Виды инфаркта миокарда. Продромальные симптомы инфаркта миокарда.
Добавил пользователь Владимир З. Обновлено: 21.11.2025
Заболевания сосудов и сердца - наиболее частая причина смерти. Среди этих патологий одну из первых строк занимает инфаркт миокарда. Несмотря на то, что болезнь достаточно хорошо изучена, и медики в целом умеют с ней справляться, основная сложность заключается в быстром развитии необратимых повреждений сердечной мышцы. Счет, как правило, идет даже не на часы, а на минуты от появления первых признаков инфаркта миокарда. Поэтому каждый должен знать особенности этого состояния и представлять, как необходимо вести себя во время приступа.
Что собой представляет заболевание
Инфарктом миокарда принято называть тяжелейшую форму ишемии сердца, при которой у больного быстро развивается состояние, непосредственно угрожающее его жизни. Нарушается кровоснабжение тканей сердечной мышцы, из-за чего в ней быстро формируется область некроза - отмирания клеток. Спазматическое сужение либо закупорка просвета сосудов создает препятствие для кровотока. Поскольку миокард, т.е. средний слой мышечной ткани сердца, составляет основную часть этого органа, то его поражение представляет огромную опасность. Чем быстрее будет оказана медицинская помощь, тем больше шансов на благополучный исход приступа.
Почему может случиться приступ?
Ни одно заболевание, тем более столь тяжелое, не развивается внезапно у абсолютно здорового человека. К основным причинам инфаркта миокарда медики относят:
- атеросклеротическое поражение сосудов, следствием которого становится ишемия миокарда, приводящая к длительному нарушению кровоснабжения его тканей из-за критического сужения артериального просвета;
- тромбоз, т.е. полное или частичное закупоривание сосудов сгустком крови либо атеросклеротической бляшкой;
- эмболия артерий, которая приводит к образованию некротического очага в тканях сердечной мышцы;
- пороки либо наследственные заболевания сердца.
У многих пациентов к приступу приводит сочетание нескольких причин: инфаркт миокарда развивается из-за тромбирования суженного спазмом просвета артерии при наличии атеросклеротических бляшек либо кровоизлияния в стенку сосуда.
Факторы риска
Существует ряд объективных факторов, которые существенно повышают риск развития заболевания. К ним относят:
- возрастные показатели: после 40 лет частота инфарктов миокарда заметно увеличивается;
- пол больного: в период между 40 и 65 годами инфаркт миокарда встречается гораздо чаще у мужчин, чем у женщин, после этого возраста статистика выравнивается для обоих полов;
- наличие стенокардии, артериальной гипертонии, эндокардита, ревмокардита, других сердечных заболеваний;
- увеличенная масса тела, ожирение;
- психологический стресс либо физическое перенапряжение на фоне ишемии сердца, атеросклероза;
- наличие сахарного диабета;
- малоподвижный образ жизни;
- курение, употребление алкоголя.
Сочетание нескольких основных факторов риска инфаркта миокарда особенно опасно, поэтому людям, у которых они присутствуют, необходимо быть максимально осторожными и тщательно следить за своим здоровьем.
Формы заболевания
Существует медицинская классификация инфарктов миокарда, при помощи которой кардиологи выделяют варианты течения болезни в зависимости от локализации пораженного участка, его размеров, глубины и других признаков.
В соответствии с размерами участка некротизированной ткани инфаркт миокарда может быть:
- мелкоочаговым, когда в сердечной мышце образуется несколько разрозненных пораженных зон небольших размеров;
- крупноочаговым, для которого характерна обширная зона поражения тканей.
В зависимости от глубины некроза различают:
- трансмуральное поражение по всей толщине мышечной ткани;
- субэпикардиальное, когда зона поражения прилегает к эпикардиальной ткани;
- субэндокардиальное, с пораженным участком, прилегающим к эндокардиальной ткани;
- интрамуральное, находящееся в мышечной толще.
По частоте развития различают первичный, повторный и рецидивирующий инфаркт миокарда.
В зависимости от показателей электрокардиографии выделяют следующие формы инфаркта миокарда:
- Q-инфаркт, наиболее характерный для крупноочаговых приступов;
- не Q-инфаркт, чаще встречающийся при мелкоочаговом поражении тканей.
Кроме того, заболевание проявляется:
- типично, с болями в загрудинной или прекардиальной области;
- атипично, с болями, локализованными в других участках либо вовсе без болевых ощущений.
Определение вида инфаркта миокарда по его признакам и симптоматике позволяет выбрать оптимальную схему лечения, которая наилучшим образом подходит конкретному пациенту.
Как распознать сердечный приступ
Перечислить симптомы инфаркта миокарда довольно сложно, поскольку они различны для разных периодов развития патологического состояния. У многих пациентов присутствует собственный набор клинических проявлений, что наиболее характерно для атипичной формы протекания процесса.
Типичная форма
При типичной форме приступ протекает следующим образом.
- Продромальная стадия инфаркта миокарда. Примерно у 45% пациентов приступ начинается внезапно, и этот этап у них отсутствует. У остальных больных учащаются и усиливаются загрудинные боли, появляется чувство страха, ухудшается общий тонус. Антиангинальные препараты почти не помогают.
- Острейшая стадия. Она длится от 30 минут до нескольких часов и сопровождается сильнейшими болями, локализованными за грудиной. Боль может иррадиировать в левую руку, ключицу или левую сторону нижней челюсти, а также в спину между лопатками. Характер болей, как правило, режущий, жгучий либо сдавливающий, ощущения волнообразно усиливаются и ослабевают.
- Острый период. Его продолжительность составляет от 2 до 10 дней (при рецидивах). Как правило, в это время давящие боли прекращаются. Если они продолжаются, это означает, что некроз еще не остановлен. Артериальное давление снижается примерно на 20% от обычной величины. Ритмичность сердцебиений нарушена.
- Подострая стадия инфаркта миокарда. Длится примерно месяц, в течение которого пациент постепенно возвращается к своему обычному состоянию: нормализуется температура тела, проходит одышка, стабилизируется ритм сердцебиений.
- Постинфарктный период. В течение полугода формируется рубец на месте некротического повреждения. Если зона некроза была небольшой, сердечная недостаточность полностью устраняется. При обширном участке поражения формируется прогрессирующая сердечная недостаточность.
Симптомы инфаркта миокарда у мужчин и женщин практически одинаковы.
Атипичное протекание болезни
При атипичном течении заболевания сложно распознать признаки инфаркта миокарда, поскольку локализация болей может указывать и на другие недомогания. Различают следующие формы заболевания:
- абдоминальную, для которой характерны боли, локализующиеся в области желудка либо пищевода, а также тошнота и иногда рвота;
- отечную, признаком которой служат сильные отеки конечностей, сердечная недостаточность и одышка - свидетельство обширного очага некротизации тканей;
- церебральную, сопровождаемую шумом в ушах, головокружениями, потерей сознания, наиболее часто встречающуюся у пожилых людей;
- аритмическую, характеризующуюся приступами учащенного биения сердца;
- астматическую, с проявлениями в виде приступов удушья, кашлем, обильным холодным потом;
- периферическую, по симптоматике иногда напоминающую межреберную невралгию, с локализацией болевых ощущений в разных местах - в лопатке, нижней челюсти, кисти руки и т.д.
Кроме перечисленных, медики выделяют так называемую стертую форму, когда жалобы при инфаркте миокарда практически полностью отсутствуют.
Постановка диагноза
Помимо физикального обследования, изучения анамнеза и жалоб пациента, важную роль в диагностике инфаркта миокарда играют лабораторные и инструментальные исследования. В их число обычно входят:
- и ЭхоКГ; ; ; пораженного органа; ; для выявления маркеров некроза.
Эти исследования проводят как в первые часы после начала лечения, так и при наступлении последующих стадий процесса.
Проблемы и сложности лечения
Для успеха выздоровления чрезвычайно важна первая помощь при инфаркте миокарда, которую больной получает сразу после начала приступа. Желательно, чтобы рядом оказались люди, которые:
- помогут принять удобную полусидячую позу с ногами, согнутыми в коленях;
- расстегнут сдавливающую одежду, высвобождая грудь и шею для доступа воздуха;
- положат под язык больного таблетки нитроглицерина и аспирина, предварительно растертые в порошок для быстрого усвоения;
- вызовут бригаду неотложной помощи при инфаркте миокарда.
При этом заболевании важно без промедления доставить больного в специализированное медицинское учреждение, в котором есть условия для полноценной кардиологической реанимации. Чем быстрее будут предприняты усилия, тем более благоприятны перспективы восстановления здоровья и тем ниже риски развития осложнений инфаркта миокарда.
Лечение
Лечебный процесс включает несколько этапов, каждый из которых проходит в особых условиях.
- Догоспитальный. Бригада скорой помощи выполняет первичные реанимационные действия и доставляет пациента в стационар.
- Госпитальный. Врачи специализированного отделения сосудистой хирургии проводят непосредственное лечение инфаркта миокарда в острейшей и острой стадии болезни.
- Реабилитационный. В специальном отделении больницы или кардиосанатории больной проходит реабилитацию после инфаркта миокарда, позволяющую максимально восстановить функции организма под наблюдением врачей.
- Амбулаторный. В постинфарктном периоде пациент возвращается к обычной жизни, периодически посещая специалиста в поликлинике по месту жительства.
Лечение инфаркта миокарда в стационаре решает три основные задачи.
- Первая - купирование болей, возникающих при некрозе мышечной ткани.
- Вторая - ограничение зоны некроза введением антикоагулянтных препаратов и тромболитиков.
- Третья - предотвращение развития тяжелых осложнений (острой сердечной недостаточности, аритмии и т.д.) при помощи специальных лекарственных препаратов.
При несвоевременном оказании медицинской помощи либо при попытках лечения инфаркта миокарда дома так называемыми народными средствами, существенно повышается риск развития осложнений и даже становится возможным летальный исход.
Возможные осложнения
Основная проблема заключается в том, что осложнения при инфаркте миокарда могут развиваться уже в первые часы или первые дни. К ранним проявлениям относят различные виды аритмий, наиболее опасным из которых является мерцание желудочков, создающее высокий риск летального исхода. Кроме того, возможны расстройства кровообращения, травмы сердца, тромбоэмболии, перикардиты и др. Наиболее опасными из поздних осложнений инфаркта миокарда являются синдром Дресслера, эндокардит, нарушения иннервации, хроническая недостаточность сердечной функции.
Профилактические меры
Приложив определенные усилия, каждый человек может существенно понизить риск развития столь серьезного заболевания. Меры по профилактике инфаркта миокарда достаточно просты: нужно ограничить количество жирных продуктов и жареной пищи в рационе, отказаться от курения и минимизировать количество спиртных напитков, контролировать уровень холестерина и сахара в крови. Не следует забывать о физической активности, которая должна быть посильной и регулярной. Кроме того, следует избегать чрезмерного напряжения, как физического, так и эмоционального. Поддержание здоровья до глубокой старости всецело находится в наших руках.
Острый инфаркт миокарда (субэндокардиальный и трансмуральный)
Инфаркт миокарда (ИМ) - это ишемический некроз сердечной мышцы, развивающийся в результате острой недостаточности коронарного кровообращения.
ИМ является одной из самых распространенных причин смертности и инвалидизации населения, как в нашей стране, так и за рубежом.
В последние годы отмечается рост заболеваемости ИМ, особенно среди лиц молодого и среднего возраста. Несмотря на повсеместное снижение госпитальной летальности от ИМ, общая смертность от этого заболевания до сих пор остается высокой, достигая 30-50% от общего числа заболевших. Причем большая часть летальных исходов наступает на догоспитальном этапе.
Код протокола: E-013 "Острый инфаркт миокарда (субэндокардиальный и трансмуральный)"
Профиль: скорая медицинская помощь
Включено: инфаркт миокарда, уточненный как острый или установленной продолжительностью 4 недели (28 дней) или менее после возникновения острого начала

Автоматизация клиники: быстро и недорого!
- Подключено 300 клиник из 4 стран
- 800 RUB / 4500 KZT / 27 BYN - 1 рабочее место в месяц

Автоматизация клиники: быстро и недорого!
- Подключено 300 клиник из 4 стран
- 1 место - 800 RUB / 4500 KZT / 27 BYN в месяц
Мне интересно! Свяжитесь со мной
Классификация
При трансмуральном ИМ (инфаркте миокарда с зубцом Q) очаг некроза захватывает либо всю толщу сердечной мышцы от субэндокардиальных до субэпикардиальных слоев миокарда, либо большую его часть, что находит свое отражение на поверхностной ЭКГ в виде формирования патологического зубца Q или комплекса QS в нескольких электрокардиографических отведениях. Отсюда и синоним трансмурального ИМ - “инфаркт миокарда с зубцом Q”. Как правило, такое повреждение сердечной мышцы достаточно обширно и очаг некроза распространяется на 2 и больше сегментов левого желудочка (крупноочаговый ИМ).
При нетрансмуральном ИМ (инфаркте миокарда без зубца Q) очаг некроза захватывает только субэндокардиальные или интрамуральные отделы левого желудочка (ЛЖ) и не сопровождается патологическими изменениями комплекса QRS (“инфаркт миокарда без зубца Q”). В течение длительного времени в отечественной литературе для обозначения ИМ без зубца Q использовался термин “мелкоочаговый ИМ”. Действительно, в большинстве случаев ИМ без зубца Q существенно меньше по протяженности, чем трансмуральный инфаркт, хотя нередко встречаются случаи обширного субэндокардиального ИМ, распространяющегося на несколько сегментов ЛЖ, но затрагивающего только субэндокардиальные слои миокарда.
Первичный ИМ диагностируется при отсутствии анамнестических и инструментальных признаков перенесенного в прошлом ИМ.
Повторный ИМ диагностируется в тех случаях, когда у больного, у которого имеются документированные сведения о перенесенном в прошлом ИМ, появляются достоверные признаки нового очага некроза.
При рецидивирующем ИМ клинико-лабораторные и инструментальные признаки формирования новых очагов некроза появляются в сроки от 72 ч. (3 суток) до 28 дней после развития ИМ, т.е. до окончания основных процессов его рубцевания.
Иногда выделяют так называемый продромальный период, который в известной степени соответствует понятию нестабильной стенокардии, осложнившейся развитием ИМ.
Диагностика
Жалобы и анамнез
Главным клиническим признаком инфаркта миокарда является ангинозная боль, с которой заболевание начинается в 90-95% случаев.
Помимо ангинозной, при инфаркте миокарда встречаются и другие разновидности боли, различающиеся по причинам возникновения, характеру, длительности, прогностическому значению и методам оказания неотложной помощи.
Характер ангинозной боли при инфаркте миокарда аналогичен таковой при стенокардии, но выражена она сильнее, при большой интенсивности боль воспринимается как "кинжальная", раздирающая, разрывающая, жгучая, палящая, "кол в грудной клетке".
Локализация ангинозной боли - обычно за грудиной в глубине грудной клетки, реже - в левой половине грудной клетки или в надчревной области.
Начало ангинозной боли при инфаркте миокарда - внезапное, часто в утренние часы, длительность - несколько часов.
Особенности ангинозного болевого синдрома при инфаркте миокарда зависят от локализации и течения заболевания, фона, на котором оно развивается, и возраста пациента. У 90% молодых пациентов ангинозный статус проявляется ярко. У пациентов пожилого и старческого возраста типичная загрудинная боль встречается лишь в 65% случаев, а в 23% случаев в остром периоде инфаркта миокарда она вообще не наблюдается, причем при безболевой форме заболевание протекает тяжело. В большинстве случаев она не купируется полностью нитроглицерином, а иногда и повторными инъекциями наркотических анальгетиков.
По силе боль при инфаркте миокарда варьирует от сравнительно нетяжелой до чрезвычайно сильной, невыносимой. Больные чаще всего жалуются на сжимающие, давящие, реже - жгучие, режущие или покалывающие ощущения. Наиболее типично чувство сжатия или давления за грудиной. Иногда боль охватывает всю грудную клетку.
Локализация боли в надчревной области более характерна для нижнего (заднего) инфаркта миокарда. При атипичном болевом варианте может наблюдаться только боль в области иррадиации - например, в левой руке. Хотя сила и продолжительность болевого приступа не всегда соответствуют величине инфаркта, в целом при обширных поражениях болевой синдром более продолжителен и интенсивен.
Характерной особенностью боли при инфаркте миокарда является ее выраженная эмоциональная окраска. Она может сопровождаться чувством страха, возбуждения, беспокойства. В то же время следует отметить, что болевой синдром может быть смазанным, невыраженным и маскироваться обычным приступом стенокардии. В ряде случаев приступ может проходить самостоятельно.
Другие известные варианты начала инфаркта миокарда - астматический, абдоминальный, аритмический, цереброваскулярный или бессимптомный - в чистом виде встречаются значительно реже.
Астматический вариант чаще всего наблюдается у больных с обширным повторным инфарктом миокарда, при котором вследствие суммарного поражения сердечной мышцы быстро развивается клиника острой левожелудочковой недостаточности. В ряде случаев в процесс вовлекаются сосочковые мышцы, что обусловливает возникновение митральной регургитации вследствие относительной недостаточности митрального клапана.
Абдоминальный вариант характеризуется локализацией болевого синдрома в надчревной области и диспептическими расстройствами. Наиболее часто он развивается при нижнем инфаркте миокарда. Такой вариант течения заболевания необходимо дифференцировать с острым панкреатитом, перфоративной язвой, тромбозом мезентериальных сосудов.
Аритмический вариант наблюдается в тех случаях, когда в клинической картине преобладают выраженные расстройства ритма и проводимости - пароксизмы
суправентрикулярной либо желудочковой тахикардии, полная атриовентрикулярная блокада. Аритмия часто сопровождается выраженным снижением АД.
Цереброваскулярный вариант наиболее часто встречается у пациентов пожилого возраста со значительно нарушенным мозговым кровообращением. Он может проявляться обмороком, головокружением, тошнотой, рвотой, иногда - признаками преходящего нарушения мозгового кровообращения. Наконец, у части больных инфаркт миокарда протекает с минимальными жалобами либо они вообще отсутствуют.
1. У 90-95% больных отмечаются выраженный болевой синдром или выраженная одышка, что позволяет заподозрить начало инфаркта миокарда.
2. Следует госпитализировать и наблюдать больных с выраженной болью в надчревной области, которая не сопровождается признаками раздражения брюшины, выраженными нарушениями гемодинамики вследствие аритмий, а также больных с мозговыми эпизодами неясного генеза. Динамическое наблюдение и регистрация ЭКГ позволяют в большинстве таких случаев поставить правильный диагноз.
3. Крайне важно знать время начала инфаркта миокарда, которое чаще всего связывают с появлением интенсивного болевого синдрома. От этого зависит выбор тактики лечения.
Симптомы, причины и лечение инфаркта
Острый инфаркт миокарда недаром считается самым опасным из всех ишемических заболеваний и при отсутствии лечения заканчивается он, в лучшем случае, развитием хронической сердечной недостаточности. Обширный некроз и гибель клеток сердца часто являются причиной смерти человека. В моей практике было немало примеров, когда при своевременном поступлении в реанимационное отделение удавалось эффективно ограничить зону поражения и спасти пациента. В этой статье я хочу подробно рассказать о том, как заподозрить, определить и лечить инфаркт.
Что это за болезнь и какие ее причины
Основной этиологической причиной развития острого инфаркта миокарда является атеросклеротическое поражение интимы (внутренней оболочки) коронарных артерий. В результате формирования отложений просвет сосуда сужается, и кровь начинает поступать в ограниченном количестве. Так начинается ИБС с приступами стенокардии. При воздействии провоцирующих факторов (физическая или эмоциональная нагрузка) происходит полное перекрытие артерии и развивается непреходящая ишемия с формированием участка некроза.
Другими (очень редкими) причинами инфаркта становятся состояния, при которых нарушается кровоток:
- ревматизм;
- васкулиты;
- опухоли;
- аллергия;
За время практики мне часто приходилось сталкиваться с тем, что многие пациенты не исключают вредные привычки и неправильное питание из своего образа жизни. Но эти факторы риска инфаркта миокарда часто приводят к фатальным последствиям.
Ухудшение снабжения сердца кровью происходит чаще у пожилых: остерегаться болезни нужно мужчинам после 45 лет и женщинам после 55 лет. Спровоцировать приступ могут психоэмоциональные встряски — немало пациентов поступает к нам в отделение после смерти близких людей, увольнения с работы, развода.
Классификация инфаркта миокарда осуществляется по нескольким принципам.
По времени возникновения различают:
- впервые возникший (первичный);
- рецидивирующий (повторяющийся в течение 1,5 месяцев после первого);
- повторный (возникший позднее 6 недель после первичного).
По локализации определяют следующие виды инфаркта миокарда:
- левого желудочка (передней, задней, боковой стенок и перегородочный); , с поражением сразу нескольких отделов; (возникает крайне редко, часто сопровождается поражением и других областей сердечной мышцы).
По степени распространенности ишемии и некроза бывают такие типы острого инфаркта миокарда:
- интрамуральный (находится в глубине стенки органа);
- субэндокардиальный (развивается во внутреннем слое); (проходит все три слоя сердца насквозь);
- субэпикардиальный (нарушение во внешней части органа).
Сколько инфарктов может перенести человек
Почти все пациенты, единожды перенесшие инфаркт, задают мне вопрос о повторном риске на приеме. Прекрасно понимая их беспокойство, все же скажу, что однозначного ответа в данном случае не даст ни один специалист. Нужно учитывать местонахождение рубца, глубину и ширину поражения, наличие осложнений. Степень восстановления функции сердца зависит от развития коллатерального кровообращения (дополнительных сосудистых путей). Я встречала случаи, когда пациент оставался жив после пятого эпизода, хотя гибель может наступить и в результате первичного инфаркта.

Стадии развития заболевания
Клиническое течение инфаркта проходит пять основных периодов:
- Подромальный или прединфарктный. Может быть коротким (до нескольких часов или суток) или довольно длинным (1-2 недели или месяц). В это время происходит учащение и удлинение болевых приступов. К такому же варианту относится инфаркт, который проявляется на фоне внезапно возникшей и быстропрогрессирующей стенокардии.
- Острейший. Заключается в стойкой ишемии с последующим развитием некроза. Продолжается от 20-30 минут до 2 часов (но не более). Ангинозная боль к этому времени становится слабее или совсем исчезает. Давление падает, появляются или нарастают признаки сердечной недостаточности.
- Острый. Некроз плавно перетекает в расплавление ткани сердца (может длиться от двух дней до двух недель).
- Подострый (от 1-го до 45 дней от начала эпизода). На данной стадии начинается формирование соединительной ткани в области поражения, а оставшиеся миокардиоциты адаптируются для продолжения дальнейшей работы. Рубец полностью организуется, на месте некроза появляются грануляции. Занимает от начала острой стадии от 1,5 месяцев до полугода.
Обращаю ваше внимание на тот факт, что оказание квалифицированной помощи во время ухудшения состояние при стенокардии или в острейший период инфаркта миокарда позволяет не допустить развития некроза. В этом случае процесс является обратимым, а прогноз - благоприятным.
Подробнее о том, что происходит и как правильно действовать на каждой из вышеперечисленных стадий инфаркта, читайте здесь.
Ранние признаки инфаркта
Большая часть пациентов (примерно от 60 до 80%), которые наблюдались мною с таким диагнозом, указывают на то, что заболевание у них не начиналось внезапно. Ему предшествовали предвестники инфаркта, или продромальный период. Наиболее благоприятный исход наблюдался у тех больных, которые обратились за помощью или были привезены бригадой в первые часы приступа.
Хочу сделать небольшую оговорку — ранние признаки инфаркта миокарда возникают не всегда, все зависит от болевого порога и состояния нервной системы пациента.
Но в большинстве случаев мне доводилось наблюдать такую симптоматику:
- Боли по передней поверхности грудной клетки с иррадиацией в левую руку, часть нижней челюсти, лопатку.
- Неприятное ощущение не купируется приемом нитросодержащих препаратов и проходит только после введения наркотических анальгетиков.
- Имеет постоянный, нарастающий или волнообразный характер с периодами затихания и возобновления.
- Продолжается более 20-30 минут.
- Больной покрывается потом, старается присесть или лечь как можно выше. Такая поза немного облегчает приступ.
- Развивается одышка, кожа становится бледной, синеет носогубный треугольник.
- Когда речь идет о первых признаках инфаркта миокарда, нельзя не отметить нарушения ритма. По моим наблюдениям, они отмечаются в 90% случаев на стадии развития ишемии и до формирования рубца.
Любое подозрение на инфаркт требует немедленного проведения ЭКГ, на которой будут выявляться все признаки ишемии, а в более поздней стадии - некроза и формирование рубца. Подробнее о том, какие изменения будут видны на пленке, читайте здесь.
Последствия и осложнения
В любой период от начала острого инфаркта и до его разрешения в виде формирования соединительнотканного рубца могут отмечаться следующие осложнения:
- кардиогенный шок;
- остановка сердца; ;
- разрыв стенки по причине миомаляции;
- формирование пристеночного тромба и тромбоэмболия; .
Летальный исход при данном заболевании фиксируется на ранних стадиях примерно в 35% случаев. Его причиной становится нарушение ритма, кардиогенный шок и острая недостаточность сердца. Позднее смерть может наступить в результате формирования аневризмы с разрывом, тромбоэмболических осложнений, острой тампонады перикарда.
После острого периода сердечная мышца адаптируется к новым условиям работы, но сохраняется высокий риск повторных эпизодов.
Лечение инфаркта миокарда должно осуществляться в условиях реанимационного отделения с квалифицированным персоналом и специальным оборудованием. Но начинать оказание помощи следует еще на догоспитальном этапе.
Делает это обычно бригада скорой помощи.
После снятия ЭКГ и установления предположительного диагноза следует:
- положить под язык таблетку «Нитроглицерина»;
- дать выпить 300 мг «Аспирина»;
- ввести наркотические анальгетики для устранения болевого синдрома;
- при необходимости использовать внутривенное введение антиаритмических средств;
- произвести реанимационные мероприятия при развитии остановки сердца и наступлении клинической смерти.
Больше о том, как правильно оказывать неотложную помощь пациенту с инфарктом читайте здесь.
Медикаментозная терапия
После поступления больного я и мои коллеги проводят оказание помощи, согласно установленному протоколу. Все мероприятия направляются на купирование боли, ограничение области некроза, предупреждение развития осложнений, восстановление кровотока по венечным артериям.
Лечение инфаркта миокарда начинается с устранения болевого синдрома. Так как обычные препараты в данном случае неэффективны, врачи используют внутривенное введение наркотических анальгетиков «Промедола» или «Морфина». Это помогает нормализовать эмоциональное состояние человека, снизить частоту пульса и выровнять давление. Когда снимаются неприятные ощущения, снижается вероятность наступления рефлекторного кардиогенного шока.
Острый инфаркт миокарда представляет собой коронарный тромбоз. Поэтому пациенту вводят прямой антикоагулянт, тем самым выполняя ему процедуру тромболизиса — растворения кровяного сгустка.
Современным и самым эффективным подходом считается проведение процедуры стентирования, которая позволяет мгновенно восстановить кровоток в пораженном сосуде сердца. После этого назначается «Клопидогрель» с «Ацетилсалициловой кислотой» на протяжении 2 лет для предупреждения агрегации тромбоцитов и развития повторного приступа.
Использование бета-блокаторов позволяет снизить нагрузку на сердце, а также предупредить развитие аритмии. Лечение инфаркта миокарда обязательно включает в себя пролонгированные нитраты («Кардикет»). Они позволяют путем расширения коронарных сосудов улучшить приток крови к сердцу и ограничить зону некроза.
Важным моментом является назначение высоких доз статинов («Розувастатин» до 40 мг, «Аторвастатин» до 80 мг) — препаратов . Их применение позволяет снизить степень воспалительной реакции.
Симптомы инфаркта миокарда и их особенности также учитываются во время лечения. Пациенту при выраженном беспокойстве даются седативные средства, если давление остается высоким используются гипотензивные лекарства.
Хочу заметить, что лечение после инфаркта не заканчивается. Пациенту в течение всей жизни нужно будет принимать кроворазжижающие средства и препараты для снижения холестерина (статины). О том, как правильно проходить реабилитацию после приступа читайте здесь.
Хирургические методы
При отсутствии эффективности от лечения и с целью предупреждения повторного развития инфаркта на том же самом участке применяются такие операции:
- . Заключается в восстановлении прохождения крови по сердечным артериям путем создания искусственного анастомоза.
- Балонная ангиопластика. В просвет сосуда вводится трубочка с шариком на конце. Дойдя до точки приложения, его надувают и прижимают атеросклеротическую бляшку к стенке, восстанавливая нормальный кровоток.
Совет специалиста
Я настоятельно рекомендую всем пациентам, кто страдает от стенокардии и у которых присутствуют факторы риска инфаркта миокарда внимательно следить за своим состоянием здоровья. Учащение и усиление приступов, эпизоды аритмии или одышки должны настораживать. Препараты необходимо принимать регулярно, также как и соблюдать диету. Это позволит успешно бороться с причиной инфаркта.
Клинический случай
В стационар ко мне поступил пациент, у которого отмечались сильные боли за грудиной и другие типичные симптомы инфаркта миокарда. Был направлен из поликлиники, где была сделана кардиограмма, на которой обнаружился крупноочаговый некроз в острой стадии развития по передней стенки левого желудочка. Отмечает, что в последнее время наблюдались предвестники инфаркта - приступы стенокардии становились сильнее, плохо купировались «Нитроглицерином».
Пациент был направлен на чрескожное коронарное вмешательство — стентирование. На вторые сутки после процедуры больной чувствовал себя уже гораздо лучше, в связи с чем он был переведен в общее кардиологическое отделение. Были выданы рекомендации: соблюдать диету с ограничением жидкости и соли, а также исключением жирных блюд и продуктов с высоким содержанием холестерина, пожизненное применение «Аспирина» и статинов, адекватная физическая реабилитация.
Для подготовки материала использовались следующие источники информации.
Стадии развития инфаркта миокарда: длительность и характеристики
При поступлении больного в стационар я, как врач-кардиолог, всегда определяю, на каком этапе находится заболевание: провожу ЭКГ в динамике, оцениваю результаты анализа крови и общее состояние пациента. Это позволяет определиться с дальнейшими действиями по оказанию помощи. Давайте разберемся, какие выделяют стадии инфаркта миокарда по времени, чем они отличаются друг от друга и что происходит в каждый период с сердечной мышцей.
Инфаркт миокарда по стадиям
У большей части пациентов инфаркт миокарда развивается постепенно. Сначала у больного со стенокардией увеличивается частота и продолжительность сердечных приступов, снижается порог физической нагрузки, возникают боли в загрудинной области, которые не беспокоили уже много лет. А «Нитроглицерин» не купирует болевой синдром так быстро, как раньше.
После начала приступа и появления стойкой ишемии и некроза выделяется 4 стадии развития инфаркта, каждая имеет свои клинические симптомы и проявления на кардиограмме.
Острейшая стадия
Длительность — от 10-20 минут до нескольких часов. Нестабильная стенокардия перерастает в инфаркт:
- Резко возникшая боль уже не купируется нитратами и проходит после использования наркотических анальгетиков.
- Боль давящая, сжимающая, пекущая.
- При классическом проявлении определяется в груди слева, отдает под левую лопатку, ключицу, шею, нижнюю челюсть, половину головы.
При объективном осмотре:
- Бледные кожные покровы, холодный пот, синий носогубный треугольник.
- Аускультативно отмечается приглушение I тона в зоне верхушки.
- Частота пульса меняется. По данным статистики, нарушение ритма и проводимости, тахикардия или брадикардия, наблюдается у 90% больных.
- Давление сначала повышается, а потом падает.
- Появляется одышка, в некоторых случаях наблюдаются признаки легочной недостаточности.
- В анализе крови отмечается рост уровня тропонина и миоглобина.
На ЭКГ отмечается резкое снижение зубца R, значительный подъем ST выше изолинии и его слияние с T (монофазная кривая).
Морфология ткани изменяется. Очаг повреждения имеет отчетливые границы, миокард становится бледным, отечным. На вторые сутки область ишемии желтеет, у нее появляется демаркационная линия.
Подробнее о признаках инфаркта на ЭКГ можно прочесть здесь.
Острая
Продолжается до 10 дней. Ангинозная боль, характерная для острейшей стадии, проходит. Сохраняется пониженное давление, нарастают признаки сердечной недостаточности. Почти всегда прогрессируют нарушения ритма и проводимости. В первые двое суток на первое место выходит резорбционно-некротический синдром:
- Повышается температура, не выше 37,5 °C. Если показатель выше, то это свидетельствует о присоединении инфекции. Продолжается 5-7 дней.
- Увеличивается уровень лейкоцитов в крови, преимущественно нейтрофилов, увеличивается СОЭ.
- В крови определяются маркеры некроза сердечной мышцы (повышение миоглобина, АЛТ, АСТ, тропонина).
На кардиограмме острая стадия развившегося инфаркта миокарда проявляется четко, особенно при обширном поражении. В это время происходит формирование патологического зубца Q, T становится отрицательным, ST сохраняет позицию выше изолинии.

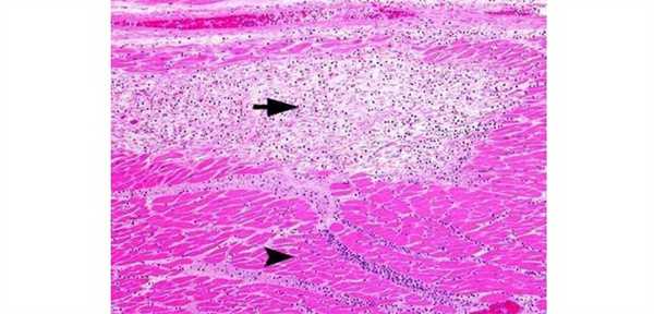
На гистологическом срезе хорошо виден участок повреждения с лизисом ядер и некротическим распадом клеток (стрелка вверху). Внизу указатель обозначает демаркационную область с инфильтрацией ткани лейкоцитами, образованием новых капилляров и отека. Она находится на границе области инфаркта и нормального миокарда.

Подострая
Подострая стадия инфаркта миокарда длится от 10 дней до 1-2 месяцев. Для этого периода характерными признаками являются:
- Полное прекращение боли в сердце.
- У многих больных — восстановление проводимости и ритма.
- Нормализация дыхания.
- Тоны сердца становятся громче или остаются приглушенными (в зависимости от степени повреждения).
- Температура и картина общего анализа крови приходит в норму.
- Давление нормализуется.
ЭКГ: Зубец Q переходит сразу в R, при крупноочаговом поражении R исчезает, желудочковый комплекс приобретает вид QS, ST возвращается к изоэлектрической линии, T становится отрицательным.
Если сделать срез в это время и рассмотреть микропрепарат, то на нем будет четко определяться область поражения серо-розового оттенка с красной каймой по периферии.
Рубцевание
Развивается на протяжении 2-6 месяцев от начала заболевания. В стадии рубцевания (формирования кардиосклероза) наблюдаются восстановительные процессы, миокард приспосабливается к работе в новых условиях:
- У многих пациентов развивается гипертрофия левого желудочка (компенсаторный механизм).
- Постепенно возвращается к исходным показаниям пороговая толерантность к физическим нагрузкам.
- Очень редко наблюдаются эпизоды нарушения ритма, у большей части больных ритм нормализуется.
- Возрастает вероятность появления истерий, фобий и других неврологических отклонений.
Кардиограмма показывает уменьшение патологического зубца Q, ST сохраняется на изолинии, снижается амплитуда отрицательного T или он переходит на изолинию. Это признак формирования рубца.
При гистологическом исследовании это выглядит как белое образование, немного западающее внутрь и состоящее из грануляций. Повторные инфаркты, стенокардия и гипертония приводят к развитию кардиосклероза там, где таких участков много и они не могут выполнять прежние функции. Морфогенез таких изменений хорошо виден на приложенном фото.

Ниже можно увидеть динамику изменения лабораторных показателей, в зависимости от времени развития некроза.
В стационар поступил пациент с сильными загрудинными болями, которые отмечались на протяжении трех дней. Прием анальгетиков и «Нитроглицерина» не приносил облегчения. Ранее был поставлен диагноз стенокардии напряжения ФК II. За неделю до приступа испытал сильный стресс, состояние ухудшалось. На кардиограмме определился крупноочаговый инфаркт с локализацией в передней стенке, острая стадия. В крови — повышение миоглобина и тропонина.
Через месяц стационара пациент был выписан для лечения в амбулаторных условиях. ЭКГ показало рубцевание в области поражения, показатели крови пришли в норму.
При появлении первых признаков инфаркта меры следует принимать незамедлительно. Я советую сразу звонить в скорую помощь, и пока врач едет, обеспечить больному полный покой, усадить или уложить в такое положение, которое максимально облегчит состояние. Дать «Корвалол», «Нитроглицерин», «Аспирин», проветрить помещение.
Самым опасным является острейший период, который обычно проявляется очень сильной болью, одышкой, нарушениями ритма. От быстроты и правильности действий находящегося рядом человека зависит жизнь пациента. Лучше всего при вызове врача описать симптомы, чтобы могла приехать специализированная бригада, которая снимет ЭКГ, даст кислород и введет препараты для ограничения зоны некроза.
Безболевой инфаркт миокарда ( "Немой" инфаркт миокарда , Бессимптомный инфаркт миокарда )
Безболевой инфаркт миокарда — это атипичная форма некроза сердечной мышцы, которая развивается вследствие острого нарушения кровообращения и не сопровождается характерными клиническими признаками. Проявляется неспецифическими симптомами: слабостью, одышкой, дискомфортом в грудной клетке. У 1% больных не возникает никаких симптомов инфаркта. Для диагностики используются тесты на маркеры повреждения миокарда, электрокардиография и ЭхоКГ. Лечение включает тромболитическую и антикоагулянтную терапию. При необходимости реперфузия миокарда достигается путем ангиопластики или коронарного шунтирования.
МКБ-10


Общие сведения

Причины
В большинстве случаев инфаркту миокарда (ИМ) предшествует длительно протекающая патология сердечно-сосудистой системы, поэтому удается четко установить этиологию возникшего неотложного состояния. Безболевой вариант имеет те же этиологические факторы, что и другие клинические формы болезни. В современной кардиологии выделяют 3 основные причины инфаркта:
- Коронарный тромбоз. Более 90-95% случаев обусловлены внезапным уменьшением кровотока в коронарных сосудах, которое вызвано закупоркой венечной артерии тромбом. Обычно состояние возникает на фоне атеросклеротического поражения сосудистой стенки и сопровождается вазоспазмом.
- Эмболия коронарной артерии. Существует несколько вариантов окклюзии сосудов, питающих миокард: тромбоэмболия при нарушении свертывания крови или тромбозе вен нижних конечностей, септическая эмболия при эндокардите или коронарите. В крайне редких случаях наблюдается жировая эмболия.
- Изолированный коронароспазм. Спазм неизмененных венечных артерий встречается очень редко и составляет около 0,5% всех причин безболевого варианта инфаркта. Коронароспазм может быть обусловлен массивной интоксикацией организма, серьезными нарушениями вегетативной иннервации.
Факторы риска
Основным фактором риска ИМ является атеросклероз. Остальные предрасполагающие факторы подразделяются на большие и малые. К «большим» относят:
- дислипопротеинемии;
- артериальную гипертензию;
- сахарный диабет 2 типа;
- ожирение;
- неправильный образ жизни (гиподинамия, вредные привычки), которые ухудшают формирование коллатеральных сосудов в миокарде и усугубляют ишемию.
При сочетании двух и более факторов риск начала инфаркта возрастает в 2-4 раза. «Малые» факторы включают дефицит фолиевой кислоты, подагру, аутоиммунные процессы.
Патогенез
Выделяют несколько патогенетических периодов течения безболевого инфаркта. Острейшая стадия длится до двух часов и охватывает время от начала ишемического процесса в миокарде до первых проявлений некроза. Отсутствие характерного приступа боли связано с нарушением вегетативной иннервации сердца — синдромом «кардиальной гипестезии».
В остром периоде (около 2-х суток) наблюдается отграничение очага некроза мышцы от здоровых тканей, в кровь начинают поступать кардиоспецифические ферменты. Подострый период (28 дней) характеризуется постепенным замещением очага некротического поражения мышечных волокон первичной соединительной тканью. В постинфарктном периоде (до 6 месяцев) происходит формирование плотного рубца на месте повреждения.
С учетом анатомических изменений безболевой инфаркт представлен 3 основными типами:
- трансмуральным (захватывает всю толщу миокарда);
- субэндокардиальным;
- субэпикардиальным;
- интрамуральным (внутристеночным).
Согласно локализации некроза выделяют безболевой инфаркт левого или правого желудочка, межжелудочковой перегородки. В клинической практике наиболее важна классификация по объему поражения, включающая:
- ИМ с зубцомQ. Более частый вариант инфаркта, который классифицируется как крупноочаговый. На электрокардиограмме формируется патологический зубец Q в нескольких отведениях, что указывает на локализацию процесса в определенном участке мышечной стенки.
- ИМ без зубцаQ. Этот термин соответствует мелкоочаговому инфаркту, когда глубины и степени поражения мышечной оболочки недостаточно для образования отрицательного зубца Q. Считается прогностически благоприятный вариантом безболевого ИМ.
По клиническому течению выделяют первичный безболевой ИМ, рецидивирующий — образование новой зоны некроза в течение 28 суток после первого эпизода, повторный — возникает спустя 28 дней и дольше после первичного поражения. В отдельную категорию относят безболевой инфаркт миокарда с затяжным течением, для которого характерно отсутствие фиброзных процессов спустя 1-1,5 месяца после некроза и длительно сохраняющееся тяжелое состояние больного.
Симптомы
У 40-60% пациентов наблюдается продромальный период (предынфарктное состояние), который в основном развивается при психоэмоциональном стрессе. Нарастает слабость, снижается трудоспособность. Человек начинает испытывать необъяснимое чувство тревоги, характерны частые ночные пробуждения. Больные с ИБС отмечают увеличение частоты и длительности приступов стенокардии. Антиангинальные препараты в этот период действуют менее эффективно.
Безболевая форма острейшего периода не имеет специфических проявлений. К продромальным симптомам добавляются колебания артериального давления, головная боль. На протяжении 12-24 часов возможна субфебрильная температура тела. Пациенты жалуются на сильную слабость, одышку, повышенную потливость. Иногда беспокоит дискомфорт в области грудной клетки. у 1% людей инфаркт протекает истинно бессимптомно («немое» течение).
Осложнения
Опасность безболевой формы поражения миокарда заключается в несвоевременном обращении за медицинской помощью. При этом варианте заболевания намного чаще встречаются осложнения, а риск внезапной смерти на 30-60% выше, чем при других клинических вариантах инфаркта. Около 10-15% причин смертности при инфаркте миокарда занимают механические осложнения — аневризма левого желудочка, разрыв межжелудочковой перегородки.
Самое распространенное осложнение острого периода — нарушение сердечного ритма, выявляемое у 90% пациентов. Во время острой фазы зачастую развивается сердечно-сосудистая недостаточность. Клиническими признаками этого неотложного состояния служат сердечная астма, отек легких. У 10-15% больных формируется кардиогенный шок, который ассоциируется с высоким риском летального исхода. К отдаленным осложнениям ИМ относят синдром Дресслера, кардиосклероз.
Постановкой диагноза занимается квалифицированный терапевт-кардиолог, так как безболевой инфаркт нужно дифференцировать с множеством других патологий. Поскольку при заболевании отсутствуют патогномоничные физикальные данные, основное место в диагностике занимают лабораторно-инструментальные исследования. Для верификации диагноза рекомендованы:
- Электрокардиография. При подозрении на безболевой ИМ необходима регистрация кардиограммы в кратчайшие сроки. Характерные признаки: формирование глубокого зубца Q, подъем сегмента ST выше изоэлектрической линии. На основе анализа ЭКГ в 12 отведениях определяется локализация участка некроза.
- ЭхоКГ. Двухмерная эхокардиография является ценным исследованием для дифференциальной диагностики безболевого инфаркта и других кардиологических болезней. На наличие некроза миокарда указывают нарушения подвижности стенки желудочка, снижение фракции выброса левого желудочка менее 40%.
- Оценка маркеров повреждения миокарда. Для подтверждения диагноза в первые 6 часов используются автоматические тесты на КФК-МВ и миоглобин. В более поздние сроки регистрируется повышение уровня тропонинов и ЛДГ. Дополнительно исследуют кровь на острофазовые показатели.

МРТ сердца. Правый желудочек (красная стрелка), левый желудочек (зеленая стрелка), межжелудочковая перегородка (синяя стрелка). Позднее контрастное усиление субэндокардиальной зоны левого желудочка, характерное для инфаркта миокарда (белая стрелка).
Лечение безболевого инфаркта миокарда
Консервативная терапия
Лечение безболевой формы инфаркта проводится в специализированном кардиологическом или реанимационном отделении. Лечебные мероприятия в острейшем и остром периоде направлены на ликвидацию ишемии миокарда и предотвращение ранних осложнений. Для этих целей подбирается медикаментозная схема, которая включает несколько групп препаратов:
- Тромболитики. Тромболитическая терапия (ТЛТ) — основной метод лечения, который используется на протяжении первых 12 часов для реперфузии миокарда и ограничения зоны некроза. Применяются специфические ферментные средства и активаторы плазминогена, которые разрушают тромб в венечной артерии.
- Антикоагулянты. Низкомолекулярные гепарины и антиагреганты назначаются для профилактики повторного тромбообразования и улучшения реологических свойств крови. Препараты эффективно дополняют метод ТЛТ.
- Бета-блокаторы. Лекарственные средства улучшают кровоснабжение и повышают сократимость миокарда, уменьшают частоту фатальных аритмий. Бета-блокаторы снижают вероятность рецидивов после отмены ТЛТ, а также уменьшают показатели ранней летальности.
Хирургическое лечение
Для лечения пациентов пожилого возраста или находящихся в состоянии кардиогенного шока целесообразно использовать малоинвазивные оперативные вмешательства. В течение нескольких первых часов выполняется чрескожная транслюминальная коронарная ангиопластика (ЧТКА). Метод быстро восстанавливает кровоток в венечных сосудах и снижает риск осложнений инфаркта.
Реже прибегают к расширенной оперативной методике — хирургическому шунтированию коронарных артерий. Операция рекомендована при неэффективности ЧТКА, сочетании инфаркта с дефектом межжелудочковой перегородки или митральной регургитацией. Проведенная в подостром периоде безболевого инфаркта, операция дает хорошие результаты при многососудистом повреждении коронарного дерева.
Прогноз и профилактика
Прогноз заболевания определяется тяжестью перенесенного инфаркта и показателями фракции выброса ЛЖ. При назначении комплекса лечебных и санаторно-курортных мероприятий улучшение качества жизни достигается даже у больных из группы высокого риска. Первичная профилактика предусматривает борьбу с гиперлипидемией, медикаментозный контроль артериальной гипертензии и устранение поведенческих факторов риска.
1. Клинические особенности атипичных форм инфаркта миокарда/ З.Н. Лигай, А.Е. Матекова, А.М. Атаханова, А.А. Танирбергенова// Вестник КазНМУ. — 2018.
4. Атипичное течение острого инфаркта миокарда: клинико-анамнестическая характеристика пациентов, тактика ведения и исходы (по данным Регистра острого инфаркта миокарда)/ А.А. Гарганеева, Е.А. Кужелева, К.Н. Борель, Е.А. Паршин// Кардиоваскулярная терапия и профилактика. — 2016.
Читайте также:
- Лечение иммунных нарушений при привычной потере беременности. Терапия антифосфолипидиого синдрома
- Камень в мочеточнике: причины, симптомы и лечение
- Общие сведения о заболеваниях плевры и средостения
- Абсцесы легких. Причины абсцесса легких
- Генетика аутоиммунного лимфопролиферативного синдрома. Механизмы развития
