Влияние аноксии на отток лимфа из легких. Проницаемость легочных лимфатических капилляров
Добавил пользователь Владимир З. Обновлено: 13.12.2025
Патологические процессы в плевре и плевральной полости, в том числе плеврит, носят обычно вторичный характер, чаще всего -это осложнения заболеваний легких, травм грудной клетки, заболеваний органов средостения и брюшной полости. При этом нередко симптоматика плеврального выпота является ведущей в клинической картине заболевания.
История учения о плевритах имеет многовековую давность. В XVIII в. некоторые клиницисты пытались выделить плевриты в самостоятельную нозологическую форму. В течение десятилетий велось изучение этиологии, патогенеза плевритов и наиболее целесообразных методов их лечения.
Выпот в плевральной полости не должен считаться самостоятельной болезнью, так как он является лишь своеобразным проявлением различных общих заболеваний: опухолей, пневмонии, аллергических состояний, туберкулеза, сифилиса, сердечной недостаточности и т.д. (табл. 1) .
Скопление жидкости в полости плевры, обусловленное сердечной недостаточностью и пневмониями, встречается в 2 раза чаще, чем при злокачественных опухолях [4].
| Механизм образования плеврального выпота при злокачественных новообразованиях: |
| Прямое влияние опухоли 1. Метастазы в плевру (увеличение проницаемости капилляров плевры) 2. Метастазы в плевру (обструкция лимфатических узлов) 3. Поражение лимфатических узлов средостения (cнижение лимфатического оттока из плевры). 4. Обтурация грудного протока (хилоторакс). 5. Обтурация бронха (снижение внутриплеврального давления). 6. Опухолевый перикардит. Опосредованное влияние опухоли 1. Гипопротеинемия. 2. Опухолевые пневмонии. 3. Эмболия сосудов легких. 4. Состояние после лучевой терапии. |
Плевральный выпот может быть транссудатом и экссудатом. Причиной образования транссудата обычно является застойная сердечная недостаточность, в основном у больных с левожелудочковой недостаточностью и перикардитом. При скоплении транссудата (гидротораксе) листки плевры не вовлечены в первичный патологический процесс.
Гидроторакс наблюдается в тех случаях, когда изменяется системное или легочное капиллярное или онкотическое давление плазмы (левожелудочковая недостаточность, цирроз печени).
Плеврит (скопление экссудата в полости плевры) наиболее часто образуется у больных злокачественными новообразованиями. Наиболее распространенной причиной экссудативного плеврита является метастазирование в плевру и лимфатические узлы средочтения. Плевральный выпот при опухолях имеет сложное происхождение: накопление жидкости обусловлено увеличением проницаемости капилляров вследствие их воспаления или разрыва эндотелия, а также ухудшением лимфатического дренажа из-за обструкции лимфатических путей опухолью и прорастания опухоли в плевру. Накоплению выпота у онкологических больных могут способствовать нарушение питания и снижение содержания белка в сыворотке крови 3.
АЛГОРИТМ ЛЕЧЕНИЯ ОПУХОЛЕВЫХ ПЛЕВРИТОВ
Схема
Опухолевый (метастатический) плеврит является частым осложнением при раке легкого, молочной железы, яичников, а также при лимфомах и лейкозах. Так, при раке легкого он встречается у 24- 50% больных, молочной железы - до 48%, при лимфомах - до 26%, а раке яичников - до 10%. При других злокачественных опухолях опухолевый плеврит выявляется у 1 - 6% пациентов (рак желудка, толстой кишки, поджелудочной железы, саркомы, меланомы и др.). Наиболее частой причиной экссудативных плевритов является метастазирование в плевру и лимфатические узлы средостения. Плеврит, как правило, свидетельствует о далеко зашедшем опухолевом процессе и является следствием опухолевых высыпаний по плевре.
Диагностика
Цитологическое исследование плевральной жидкости на опухолевые клетки (содержание эритролитов более 1 млн/мм3) является важным методом диагностики. Получение при плевральной пункции геморрагического экссудата с высокой степенью вероятности свидетельствует об опухолевой этиологии выпота. Частота обнаружения опухолевых клеток при этом достигает 80- 70%. На основании цитологического исследования плевральной жидкости часто удается определить морфологический тип первичной опухоли.
Таблица 1. Частота выпотов различной этиологии (Р. Лайт, 1986) [1]
Частота выпотов, %
Накопление жидкости в плевральной полости приводит к сдавлению легкого, смещению средостения, что в свою очередь вызывает усиление одышки, нарушение дыхательной и сердечной деятельности. Часто плеврит, являясь единственным проявлением опухолевого процесса, может быть причиной смерти больного.
Лечение больных с выпотом в плевральную полость заключается прежде всего в эвакуации жидкости, внутриплевральном введении лекарственных препаратов с целью прекращения накопления жидкости в плевральной полости и рассасывания экссудата. Это приводит к улучшению состояния больного, уменьшению одышки, болей, легочно-сердечной недостаточности и тем самым к удлинению жизни. Алгоритм диагностики и лечения опухолевых плевритов представлен на схеме.
Перед решением вопроса о введении внутриплеврально тех или иных лекарственных препаратов необходимо уточнить локализацию первичного процесса, так как при раке молочной железы, яичников, мелкоклеточном раке легкого, лимфомах проведение системной химиотерапии может привести к ликвидации плеврального выпота у 30- 60% пациентов.
Таблица 2. Препараты, используемые для плевродеза (сводные данные)
В тех случаях, когда системная химиотерапия не показана или она была неэффективной, необходимо внутриплевральное введение лекарственных препаратов. Показанием для плевральных пункций и внутриплеврального введения лекарств является наличие выпота в плевральной полости выше уровня II- III ребра спереди, выраженной одышки с явлениями легочной или легочно-сердечной недостаточности, при ожидаемой продолжительности жизни более 2 нед. При наличии выпота без клинической симптоматики нет смысла производить плевральные пункции и вводить те или иные лекарственные препараты.
Таким образом, можно отметить следующие показания для плевродеза:
1. Наличие субъективных симптомов плеврита (выраженная одышка, боли, кашель).
2. Наличие выпота, рефрактерного к современной химио- и гормонотерапии.
3. Наличие бронхиальной обструкции.
В табл. 2 представлены препараты, используемые в настоящее время для плевродеза.
Методика введения цитостатиков, их разовые и суммарные дозы, а также режим лечения:
| 1. Эмбихин 10-30 мг 1 раз в 7-14 дней, 3-4 введения, всего 40-120 мг. 2. Тиофосфамид 30-40 мг 1 раз в 7-14 дней, 3-4 введения, всего 120-160 мг. 3. Фторурацил 500-1000 мг 1 раз в 7 дней, 3-4 введения, всего 2000-3000 мг. 4. Блеомицин 15-30 мг 1 раз в 7 дней, 4-5 введений, всего 60-150 мг. 5. Адриамицин 30-40 мг 1 раз в 7 дней, 3-4 введения, всего 90-120 мг. 6. Цисплатин 50-60 мг 1 раз в 7 дней, 2-3 введения, всего 100-180 мг. 7. Митоксантрон (новантрон) по 20-25 мг, 2-3 введения. 8. Вепезид 100-150 мг 2 раза в 7 дней, 3-4 введения, всего 600 мг. 9. Тиофосфамид 30 - 40 мг + фторурацил 500 мг 1 раз в 7 дней, 3 введения. |
Эффективность внутриплеврального введения отдельных цитостатиков при раке легкого и молочной железы колеблется от 60 до 80%. В табл. 3 представлены данные РОНЦ им. Н.Н. Блохина РАМН по эффективности химиотерапии опухолевых плевритов [5].
Особого внимания заслуживают методы неспецифической терапии с использованием различных склерозирующих средств для получения химического серозита, склеивания плевральных листков и таким образом ликвидации выпота в плевральной полости. К этим веществам относятся тальк, хинакрин (акрихин), делагил и тетрациклин. Эффективность введения талька, акрихина, делагила достигает 55-60%, а тетрациклина - 80-70% 7.
Методика введения тетрациклина. Тетрациклина гидрохлорид наиболее эффективен в больших дозах (20 мг/кг или 1200-1600 мг -12-16 ампул по 100 мг). У больного под местной анестезией производят пункцию плевральной полости с введением тонкой силиконовой трубки, по которой с помощью вакуум-отсоса эвакуируют жидкость. После этого трубку зажимают и под рентгеновским контролем убеждаются, что легкое расправилось. В случае, если легкое не расправилось или имеется смещение средостения в сторону плеврального выпота, не следует вводить тетрациклин из-за возможности образования Тпанцирного легкогоУ. Поскольку введение тетрациклина может сопровождаться болевыми ощущениями, то его предварительно разводят в 50 мл 0,5% раствора новокаина и затем вводят в дренажную трубку. Последнюю прижимают на 2 ч, а больного просят несколько раз менять положение тела. Через 2 ч зажим снимают, а дренажную трубку подключают к вакуум-отсосу с постоянным давлением (от 15 до 20 см вод. ст.). Аспирацию продолжают не менее 24 ч, пока объем выводимой жидкости не будет менее 150-200 мл в сутки. После этого дренажную трубку удаляют.
Таблица 3. Эффективность химиотерапии опухолевых плевритов (данные РОНЦ)
Гидроторакс
Информацию из данного раздела нельзя использовать для самодиагностики и самолечения. В случае боли или иного обострения заболевания диагностические исследования должен назначать только лечащий врач. Для постановки диагноза и правильного назначения лечения следует обращаться к Вашему лечащему врачу.
Для корректной оценки результатов ваших анализов в динамике предпочтительно делать исследования в одной и той же лаборатории, так как в разных лабораториях для выполнения одноименных анализов могут применяться разные методы исследования и единицы измерения.
Гидроторакс: причины появления, при каких заболеваниях возникает, диагностика и способы лечения.
Определение
Гидротораксом называют патологическое состояние, характеризующееся скоплением избыточной жидкости в плевральной полости. Термин «гидроторакс» состоит из двух греческих корней: «hydor» - вода, «thorax» ‒ грудная клетка, что переводе буквально означает «грудная водянка».
Легкое человека покрыто двумя листками серозной оболочки - плеврой. Один из них плотно покрывает поверхность легких и их сосудов. Второй плотно прилежит к ребрам и органам, которые располагаются между легкими (сердцу, пищеводу, лимфоузлам и др.).
Основная задача плевры - участие в акте дыхания. В норме полость плевры содержит небольшое количество серозной жидкости, за счет которой листки легко скользят относительно друг друга, оберегая органы от излишнего трения и травмирования при дыхании. Если уровень жидкости между листками плевры превышает физиологическую норму, то говорят о наличии гидроторакса, что сопровождается характерной симптоматикой дыхательной недостаточности (одышкой, тяжестью в груди, цианозом носогубного треугольника).
Плевральный выпот вырабатывают капилляры межреберных артерий, а выводится лишняя жидкость лимфатической системой.
Накопление жидкости происходит только в случае увеличения ее поступления в полость плевры или блокирования ее обратного оттока.
При гидротораксе накапливающаяся жидкость имеет невоспалительный характер (транссудат) в отличие от экссудативного плеврита, при котором выпот имеет воспалительное происхождение (экссудат). Транссудат представляет собой прозрачную бесцветную или слегка желтоватую жидкость, имеет щелочную реакцию, уровень белка в нем не более 3%. Количество транссудата весьма вариабельно и может достигать нескольких литров.

Все неудобства и проблемы, которые вызывает гидроторакс, носят механический характер. Накапливаясь в плевральной полости, жидкость начинает давить на легкие и органы средостения. Большой объем жидкости в плевральной полости может спровоцировать тяжелое осложнение - острую дыхательную недостаточность, угрожающую жизни пациента. Кроме того, существует высокий риск смещения органов средостения, нарушения кровообращения и развития тяжелой сердечной патологии.
В отдельных случаях может происходить вторичное инфицирование с развитием гнойного воспалительного процесса в плевральной полости (эмпиемы плевры).
Разновидности гидроторакса
Классификация гидроторакса основывается на объеме и расположении жидкости:
- малый гидроторакс — жидкость находится в пределах реберно-диафрагмального синуса;
- средний гидроторакс — скопление жидкости наблюдается от угла до уровня середины лопатки;
- большой гидроторакс — уровень жидкости выше середины лопатки.
С учетом количества транссудата различают гидроторакс:
- осумкованный - ограничен спайками или другими тканями от большего участка плевральной щели, может находиться на любой поверхности плевры;
- частичный;
- тотальный.
Гидроторакс не является самостоятельным заболеванием, то есть развивается непременно на фоне другой болезни. Причиной его возникновения всегда оказывается хроническое или осложненное заболевание внутренних органов, а также побочный эффект от лечения. К основным причинам гидроторакса относят:
- нарушения проницаемости сосудистой стенки;
- расстройства лимфатического оттока;
- нарушения обмена электролитов;
- увеличения продукции альдостерона;
- повышения давления в системе сосудов малого круга кровообращения;
- физиологически низкого давления в плевральной полости.
Хроническая сердечная недостаточность, которая может быть связана с ишемической болезнью, пороками сердца, констриктивным перикардитом, миокардитами, хронической обструктивной болезнью легких.
Накопление транссудата в межплевральном пространстве происходит по причине венозного застоя в большом круге кровообращения.
Почечная недостаточность, которую сопровождает нефротический синдром. Является следствием болезней почек различного характера, которые предусматривают поражение почечных клубочков: гломерулонефритов, амилоидоза почек, коллагенозов, токсической нефропатии и др.
На фоне гипопротеинемии и гипоальбуминемии развиваются генерализованные отеки, гидроперикард, гидроторакс, асцит.
Алиментарная дистрофия, связанная с неполноценностью или недостаточностью питания (тяжелая форма белково-энергетической недостаточности). В этом случае выпот в плевральную полость напрямую связан с дефицитом витаминов В и С, снижением оттока лимфы.
Цирроз печени. Гидроторакс развивается у 5-10% больных в терминальной фазе цирроза печени, что указывает на наличие застойных явлений в системе крови. Он обусловлен гипоальбуминемией, портальной гипертензией, сопутствующим асцитом. Является следствием попадания асцитической жидкости из брюшной полости в плевральную через диафрагму.
Перитонеальный диализ. Эта процедура подразумевает ввод в брюшную полость большого объема жидкости, а потом ее удаление. Гидроторакс возникает вследствие перемещения диализирующего раствора из брюшной полости в плевральную. При этом в 90% случаев развивается правосторонний гидроторакс.
Опухоли. При онкологических заболеваниях часто наблюдается рецидивирующий гидроторакс, причиной которого может быть не только само злокачественное новообразование, но и его лечение с помощью лучевой или химиотерапии. Еще одна возможная причина - нарушение работы лимфатической системы из-за поражения лимфоузлов метастазами или прорастания раковой опухоли. Чаще всего скопление жидкости в легких происходит при раке легкого, молочной железы, яичника, желудка, тела и шейки матки, при меланомах, лимфомах, саркомах, лейкемии. При злокачественной опухоли плевры (мезотелиоме) повышается проницаемость сосудистой стенки капилляров. Жидкость из крови активно поступает в легкие, а ее откачка лимфатической системой, напротив, ухудшается. В результате возникает застой и скопление жидкости.
Микседема — недостаток гормонов щитовидной железы. Механизм образования транссудата при тяжелом гипотиреозе неизвестен. Предполагается, что это связано с застоем лимфы ввиду снижения выработки тиреоидных гормонов.
Тромбоэмболия легочной артерии. Выпот может иметь как характер транссудата, так и экссудата. Первый характерен для острого легочного сердца, второй - для инфаркта легкого.
Гидроторакс плода во время беременности. Причиной плеврального выпота у плода могут быть генетические проблемы; инфекции и пороки развития, особенно сердца или легких; ситуации, когда при резус-конфликте нарушается работа системы кровообращения. У новорожденных детей гидроторакс может возникнуть при обвитой пуповине или родовых травмах.
К каким врачам обращаться при гидротораксе
На наличие плеврального выпота указывают данные физикального осмотра и текущие жалобы пациента.

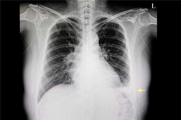
Рентгенологическое изображение легкого пациента, где виден плевральный выпот (желтая стрелка)
Первичный осмотр проводит врач-терапевт , врач общей практики или пульмонолог . Дальнейшее ведение больных осуществляется профильным специалистом: кардиологом , гепатологом, нефрологом, эндокринологом . В стационаре пациента наблюдает торакальный хирург.
Диагностика и обследования при гидротораксе
Симптомы гидроторакса становятся следствием сдавливания легких скопившейся жидкостью. Пациентов беспокоит чувство тяжести, давления в груди, сухой кашель, одышка. Если в плевральной полости накапливается большое количество транссудата, затрудняется отток крови из шейных вен. Тогда становится заметным их набухание. Наблюдается тотальная отечность тканей, скопление жидкости в брюшной полости, иногда - в перикарде. Характерными объективными признаками являются тахипноэ, асимметрия грудной клетки, ограничение подвижности пораженной стороны при дыхании, цианоз кожных покровов.
Врач выявляет наличие лишней жидкости в плевральной полости на начальных этапах осмотра. Специалист осматривает грудную клетку, проводит перкуссию (выстукивание) и аускультацию (выслушивание стетоскопом).
Для подтверждения гидроторакса применяется следующий диагностический алгоритм:
- Ультразвуковое исследование плевральных полостей позволяет выявить наличие даже минимального объема выпота в грудной полости, с высокой точностью определить его количество. Кроме того, ультразвук используется для постановки метки и контроля при проведении плевральной пункции.
Исследование плевральной полости для диагностики различные патологии легких, включая травматические повреждения плевры.
Влияние аноксии на отток лимфа из легких. Проницаемость легочных лимфатических капилляров
предоставляем актуальную медицинскую информацию от ведущих специалистов, помогая врачам в ежедневной работе
Современное представление об отеке легких позволяет выделить два принципиальных патогенетических процесса, с которыми связывают его развитие. Первый патофизиологический процесс, в основе которого лежит развитие отека легких, обусловлен повышением гидростатического давления в микрососудах малого круга кровообращения. Согласно закону Старлинга жидкость, электролиты и белки выходят за пределы сосудистой стенки и аккумулируются в интерстициальной ткани. Следующим этапом патологических изменений в легких является этап накопления жидкости на поверхности альвеол, что и становится причиной резкого ухудшения газообменной функции легких, приводящей к развитию гипоксемии. Вторая форма патофизиологических изменений при отеке легких связана с процессом нарушения проницаемости эндотелиальных клеток альвеолярных капилляров. При этом типе патологических изменений сосудистая проницаемость нарушается вследствие острого повреждения легочной ткани, которое может происходить при сепсисе, пневмонии и некоторых других заболеваниях. Клиническими формами, которые соответствуют указанным патофизиологическим процессам, являются кардиогенный отек легких и респираторный дистресс-синдром. К кардиогенной форме отека легких близко стоит остро протекающая форма отека легких, которая также встречается преимущественно при заболеваниях сердца или сосудов. Ко второй форме, которую иногда обозначают как некардиогенный отек легких, помимо респираторного дистресс-синдрома, относят также неврогенный отек легких, отек легких, который индуцируется приемом определенных лекарственных средств (например, героина, салицилатов), переливанием крови и кровезаменителей.
Современное представление об отеке легких позволяет выделить два принципиальных патогенетических процесса, с которыми связывают его развитие. Первый патофизиологический процесс, в основе которого лежит развитие отека легких, обусловлен повышением гидростатического давления в микрососудах малого круга кровообращения. Согласно закону Старлинга жидкость, электролиты и белки выходят за пределы сосудистой стенки и аккумулируются в интерстициальной ткани. Следующим этапом патологических изменений в легких является этап накопления жидкости на поверхности альвеол, что и становится причиной резкого ухудшения газообменной функции легких, приводящей к развитию гипоксемии. Вторая форма патофизиологических изменений при отеке легких связана с процессом нарушения проницаемости эндотелиальных клеток альвеолярных капилляров. При этом типе патологических изменений сосудистая проницаемость нарушается вследствие острого повреждения легочной ткани, которое может происходить при сепсисе, пневмонии и некоторых других заболеваниях. Клиническими формами, которые соответствуют указанным патофизиологическим процессам, являются кардиогенный отек легких и респираторный дистресс-синдром. К кардиогенной форме отека легких близко стоит остро протекающая форма отека легких, которая также встречается преимущественно при заболеваниях сердца или сосудов. Ко второй форме, которую иногда обозначают как некардиогенный отек легких, помимо респираторного дистресс-синдрома, относят также неврогенный отек легких, отек легких, который индуцируется приемом определенных лекарственных средств (например, героина, салицилатов), переливанием крови и кровезаменителей.
Таким образом, современные подходы к классификации отека легких построены на патогенетических принципах. Выделяют следующие формы отека легких: кардиогенный отек легких (КОЛ), некардиогенный отек легких (НОЛ), остро протекающий отек легких (ОПОЛ), неврогенный отек легких (НЕОЛ) и другие редкие формы отека легких. Принципиально выделены формы, при которых ведущим патогенетическим механизмом является повышение гидростатического давления (КОЛ, ОПОЛ) и повышение сосудистой проницаемости (НОЛ, НЕОЛ). Это деление в определенной степени носит условный характер. Так, у больного, переносящего НОЛ, может развиться дисфункция левого желудочка, которая и приведет к развитию КОЛ. В другой клинической ситуации, когда больной с заболеванием сердца и с признаками застойной сердечной недостаточности переносит острый респираторный дистресс-синдром, т.е. у одного и того же больного может развиться как кардиогенный, так и некардиогенный отек легких. Разделительной точкой этих двух принципиально различных по патогенетическим механизмам формам отека легких является давление заклинивания. Если оно превышает 18 мм рт.ст., то отек легких развился вследствие высокого гидростатического давления. В противоположной ситуации, когда при отеке легких давление заклинивания ниже 18 мм рт.ст., отек развивается вследствие повышенной проницаемости сосудистой стенки альвеолярных капилляров.
Кардиогенный отек легких (КОЛ) - один из частых синдромов, которые встречаются в практике врача, и он всегда рассматривается, как одно из наиболее тяжело протекающих осложнений, а порой является жизнеугрожающим проявлением. Основным клиническим проявлением КОЛ является развитие респираторного дистресса. У больного человека можно наблюдать тахипноэ, он жалуется на одышку, в дыхании участвует вспомогательная мускулатура грудной клетки; он вынужден занять положение ортопноэ, регистрируется тахикардия или же другие формы нарушения ритма сердца, снижается сатурация кислорода (
Для цитирования: Отек легких: физиология легочного кровообращения и патофизиология отека легких (часть I). РМЖ. 2005;21:1374.
Отек легких является жизнеугрожающим осложнением, которое может развиться при большой и разнообразной по своей природе группе заболеваний. В современной медицинской практике выделяют несколько клинических форм отека легких: кардиогенный и некардиогенный отек легких, острое повреждение легких, острый респираторный дистресс-синдром взрослых, неврогенный отек легких. В последние годы, преимущественно в англоязычной литературе, накопилась большая информация по этому разделу патологии внутренних органов. Необходимо подчеркнуть, что опубликованы согласительные документы Американского торакального и Европейского респираторного обществ по определению респираторного дистресс-синдрома, диагностическому алгоритму кардиогенного и некардиогенного отека легких, рекомендованы новые диагностические и лечебные программы по ведению больных с отеком легких. Назрела необходимость представить современную трактовку данной проблемы и в русскоязычной медицинской литературе.
Отек легких
Отек легких: причины появления, при каких заболеваниях возникает, диагностика и способы лечения.
Отек легких определяется как жизнеугрожающее состояние, для которого характерен процесс накопления внесосудистой жидкости в легких. Отек может развиться внезапно при большой и разнообразной по своей природе группе заболеваний и нарастать стремительно.
Функции легочного кровообращения - газообмен и фильтрация крови, регуляция водного и электролитного баланса, участие в метаболических процессах. Транспорту крови способствует низкое давление в системе малого круга кровообращения и относительно низкие показатели сопротивления сосудов току крови.
Жидкость из кровеносных сосудов просачивается за их пределы в окружающие ткани либо из-за слишком высокого давления в кровеносных сосудах, либо из-за недостаточного количества белков в кровотоке, чтобы удерживать жидкость в плазме крови.
Непосредственно за пределами мелких кровеносных сосудов в легких находятся крошечные воздушные мешочки - альвеолы. Альвеолы разделены тонкими эластичными стенками (мембранами), внутри которых проходят мельчайшие кровеносные сосуды (капилляры), позволяющие молекулам кислорода и углекислого газа перемещаться через мембраны. Жидкость попадает в альвеолы в том случае, если мембраны теряют свою целостность, что приводит к затруднению дыхания и плохому насыщению крови кислородом.

Выделяют два патогенетических процесса, с которыми связывают развитие отека легких:
Первый обусловлен повышением гидростатического давления в микрососудах малого круга кровообращения. Жидкость, электролиты и белки выходят за пределы сосудистой стенки и аккумулируются в интерстициальном (межсосудистом) пространстве легкого. На следующем этапе накопление жидкости происходит на поверхности альвеол, что становится причиной резкого ухудшения функции газообмена в легких и приводит к развитию гипоксемии.
Второй процесс связан с нарушением проницаемости альвеолярно-капиллярной мембраны из-за острого повреждения легочной ткани, которое может происходить при сепсисе, травме, пневмонии и некоторых других заболеваниях. Этот процесс также сопровождается гипоксемией и одышкой различной степени выраженности. В конечной фазе развития отека легких происходит аномальное накопление белков, в первую очередь альбуминов, в альвеолярной жидкости.
Разновидности отека легких
Кардиогенный отек легких встречается преимущественно при заболеваниях сердца или сосудов как осложнение острой сердечной недостаточности и связан с повышением гидростатического давления. У больного человека можно наблюдать тахикардию, кашель и одышку, которые возникают вследствие систолической или диастолической дисфункций левого желудочка.
Некардиогенный отек легких развивается вследствие повышенной проницаемости сосудистой стенки альвеолярных капилляров. Основным клиническим проявлением является развитие острого респираторного дистресс-синдрома.
По варианту течения выделяют следующие виды отека легких:
- Молниеносный - развивается в течение нескольких минут, в большинстве случаев приводит к летальному исходу.
- Острый - отмечается быстрое (на протяжении 4 часов) нарастание выраженности клинических симптомов. Вероятность летального исхода довольно высока и возникает на фоне инфаркта, черепно-мозговой травмы, анафилактического шока.
- Подострый - имеет волнообразное течение, характеризуется чередованием активных и спокойных периодов. Причиной часто является печеночная недостаточность. Имеет достаточно благоприятный прогноз, особенно при своевременном начале мероприятий неотложной помощи.
- Затяжной - симптомы нарастают в течение 12 часов со стертой клинической картиной, что значительно затрудняет диагностику. Основой являются хроническая сердечная недостаточность или заболевания бронхолегочной системы.
К основным причинам развития кардиогенного отека легких относятся:
- инфаркт миокарда с подъемом сегмента ST электрокардиограммы;
- гипертонический криз;
- пароксизм мерцательной аритмии (эпизод, длящийся от 30 секунд до семи дней, проходит самостоятельно или при помощи лечения).
- недостаточность митрального клапана (отрыв хорды сосочковой мышцы).
- постинфарктный и атеросклеротический кардиосклероз с систолической сердечной недостаточностью;
- диастолическая дисфункция миокарда у пожилых больных;
- систолическая и диастолическая дисфункция миокарда у больных с кардимиопатией или миокардитом;
- постоянная форма мерцательной аритмии;
- врожденные и приобретенные пороки левых отделов сердца;
- поражения клапанного аппарата, особенно митрального клапана, вследствие ревмокардита, инфекционного эндокардита, атеросклероза.
Основные легочные причины и факторы риска острого респираторного дистресс-синдрома:
- пневмония,
- вирус COVID-19,
- тромбоэмболия легочной артерии,
- ингаляционная травма,
- аспирационный синдром,
- травма грудной клетки,
- респираторные вирусные заболевания,
- эмфизема легких,
- бронхиальная астма,
- туберкулез легких,
- рак легких или метастазы в легкие.
- тяжелый сепсис и септический шок,
- переливание крови и кровезаменителей,
- большая кровопотеря,
- черепно-мозговые травмы, множественные и обширные травмы, ожоги,
- острое нарушение мозгового кровообращения,
- менингит, энцефалит,
- панкреонекроз,
- острая почечная недостаточность, острый гломерулонефрит,
- отравление химическими веществами, лекарственными средствами, алкоголем, наркотическими веществами,
- инфекционные заболевания, протекающие с тяжелой интоксикацией (грипп, корь, дифтерия, скарлатина, коклюш, столбняк, брюшной тиф),
- цирроз печени,
- патология беременных (эклампсия, синдром гиперстимуляции яичников),
- анафилактический шок,
- иммерсионный отек легких, вызванный плаванием на глубине.
В детском возрасте проблемы с сердцем наблюдаются намного реже, чем во взрослом. Поэтому основными причинами отека легких становятся заболевания дыхательной системы или серьезные травмы.
К каким врачам обращаться при отеке легких
Диагностика и обследования при отеке легких
Для установления диагноза обычно достаточно проведения клинического обследования и рентгенографии грудной клетки.
Рентгенологическое исследование структуры легких с целью диагностики различных патологий.
Читайте также:
- История изучения ларвального парагонимоза. География ларвального парагонимоза
- Тучные клетки и базофилы при воспалении легких.
- Внутриклеточные сигналы и рецепторы передачи сигнала
- Статьи по отравлениям противоопухолевыми препаратами (цитостатиками)
- Сроки выполнения операции при проникающих ранениях глаза. Рекомендации
