Влияние кровотока на МРТ головного мозга. Перфузионная и диффузионная МРТ
Добавил пользователь Евгений Кузнецов Обновлено: 21.11.2025
Применение перфузионной диагностики в клинических условиях стало возможным в 90-е годы, когда начали использовать МСКТ (мультиспиральные) аппараты, оснащенные высококлассным программным обеспечением.
Что такое КТ-перфузия головного мозга: назначение
Перфузией называется процесс циркуляции жидкости через капиллярную сеть. Процесс обеспечивает мозговую паренхиму кислородом, без которой функционирование органа невозможно.
КТ перфузия головного мозга предназначена для изучения, анализа кровотока мозговой паренхимы. Перфузионная компьютерная томография (ПКТ) - это более подробный и информативный вид обычного компьютерного исследования мозга. Обязательно используется контрастное вещество при процедуре, позволяющее четко отслеживать сосуды на томограммах.
При ПКТ анализируют первый этап прохождения крови, насыщенной контрастным веществом, используя фармакокинетическую модель. В норме контрастный элемент не диффундирует, не метаболизируется, не абсорбируется мозговой тканью. При патологии появляются патологические участки накопления, позволяющие специалисту сделать заключение о характере патологии.
Удобно делать обследования после МСКТ брахиоцефальных артерий с целью полного изучения кровоснабжения, насыщения тканей кислородом.
Назначение перфузионного обследования ткани мозга
КТ-перфузию головного мозга выполняют для достижения следующих целей:
- Исследование состояния опухолей после химио- или лучевой терапии;
- Анализ развития онкологических новообразований головного мозга;
- Определение участков для пункционного взятия с целью последующего макроскопического обследования;
- Изучение нарушения процесса кровотока после инсультов, травм;
- Выявление болезней окклюзирующего типа (блокада проходимости сосудов);
- ПКТ мозга визуализирует очаги инсульта, распространенность, глубину поражения.
Показатели КТ-перфузии
Оценивают мозговой кровоток, исходя из следующих показателей:
- Время, затраченное для поступления контрастного вещеста в необходимую точку мозга;
- Наличие требуемого объема крови исследуемого участка белого вещества;
- Время прохождения потока крови по сосудам диагностируемой мозговой области;
- Скорость циркуляции крови внутри тканей за единицу времени.

Потребность проведения КТ-перфузии появляется у тех пациентов, которые страдают от нарушения кровообращения головного мозга.
Перфузионная компьютерная томография мозговой ткани - что это такое
Проводится компьютерная томография всегда с использованием контрастного вещества.
Исследование перфузионного типа выдает данные о количественных показателях кровотока мозга. Измерение плотности мозговой ткани является основанием для получения объективной, ценной информации о наличии участков с недостатком поступления кислорода, кровоизлияниями.
КТ перфузия - противопоказания
Исследование противопоказано, если у пациента наблюдается аллергическая реакция на контрастный элемент. Следующее противопоказание — это беременность, но при жесткой необходимости проведения обследования, когда на кону стоит жизнь человека, перфузию нужно делать. Дополнительно проводят цистернографию головного мозга при подозрении на инсульт, внутримозговой инфаркт.
Для безопасности будущего ребенка перед сканированием необходимо будет положить на живот беременной женщины свинцовый фартук. Доза облучения будет незначительной.
Чем отличается КТ от МРТ перфузии мозга
Основное отличие между двумя этими типами исследования мозга состоит в визуализации тканей. КТ-перфузия ориентирована больше на определение структуры плотных тканей (костей, плотных опухолей), а мр перфузия лучше визуализирует мягкие структуры.
Оба метода по качеству получаемых изображений сопоставимы, поэтому являются носителями ценной информации при лечении сложных заболеваний головного мозга. Применяются по очереди или комплексно для получения максимальной информации о патологическом участке.
Также они имеют важное отличие в принципе своей работы. Компьютерную томографию выполняют, применяя рентгеновское излучение, что хоть в малой степени, но вредит здоровью пациента. МРТ основана на использовании магнитного поля, что не приносит никакого вреда.
Наличие внутри тела металлических предметов (протезов) не позволит проходить обследование на мультиспиральном томографе, но разрешено использование компютерного аналога.
Радионуклидное перфузионное исследование
Основной принцип работы радионуклидной диагностики онкологических заболеваний - это накопление определенных радиофармпрепаратов в опухоли количественно больше, чем в здоровых тканях. Насыщение объясняется попаданием данных веществ в эндотелий нездоровых сосудов, продвижением сквозь сосудистую стенку в интерстициальный (межклеточный) участок сектора поражения, а также метаболизмом меченого соединения опухолевыми клетками.
После компьютерного исследования выполняется изучение полученных снимков и делается заключение о существовании или отсутствии патологического образования на молекулярном и клеточном уровнях. Радионуклиды вводят пациенту внутривенно в незначительных количествах, доза облучения сравнима с фоновым излучением окружающей среды.
Методики неинвазивны, побочные эффекты отсутствуют. Вред от рациации при онкопоиске вторичен. Важнее ранняя верификация новообразования.
Диагностика острого ишемического инсульта с помощью перфузии (информация для врачей)
Методика перфузионного скрининга позволяет находить и подробно изучать мельчайшие изменения внутри капиллярного кровотока, которые случаются на разных уровнях мозга при развитии ишемического инсульта. Выполняется после МСКТ головного мозга, показывающего патологические участки.
Диагностику проходили 18 пациентов (10 женщин, 8 мужчин, средний возраст которых составлял 63 года), страдающим от полушарного ишемического инсульта средней и тяжелой степени неврологической недостаточности. Эти люди проделали на начальной стадии комплекс упражнений для повышения мозговой микроциркуляции. На первые сутки оценивались результаты нативной КТ без введения контраста и ПКТ. Повторная оценка проводилась на третьи и десятые сутки. Срез с максимальной областью перфузионных нарушений подвергался измерению площади секторов с измененными параметрами кровотечения.
Процесс лечения

В лечение входили стандартная реперфузионная и антиагрегантная терапии. Динамика роста неврологических показателей наблюдалась на шкале инсульта. Медиана площади области сниженного CBV составила 1386,73 мм2, пониженного CBF - 2492,17 мм2, повышенного MTT - 2068,16 мм2. Временной отрезок от начала появления симптоматики до прохождения первичного ПКТ составил около 20 часов. Тяжесть инсульта на первом этапе была равна 11-ти баллам по NIHSS.
Было установлено точное снижение выраженности неврологической недостаточности на 10-е сутки после начала заболевания до 8 баллов (тест Фридмена; p=0,002). Было обращено внимание на значительное падение сектора сниженного CBF (до 1443,46 мм2; p=0,008), площадь областей скорректированных MTT и CBV оставалась прежней (2117,69 мм2; p=0,497 и 1129,89 мм2; p=0,273).
После прохождения первой диагностики параметры зоны сниженного CBF были больше зоны нарушенного CBV, но впоследствии, их размеры стали сопоставимыми (p=0,059 и p= 0,113, соответственно).
Обнаруженные изменения говорят о существовании области обратимых дефектов циркуляции крови в месте поражения ишемией в течение начальных суток после времени начала заболевания. Она подобна зоне уменьшенного CBF при отсутствии нарушения CBV и MTT. Регресс перфузионных отклонений очага ишемии происходит благодаря стабилизации кровоснабжения на данном участке, но недостаток циркуляции зоны измененных MTT и CBV остается при тех же параметрах.
Выводы
ПКТ является ценным инструментом для анализа развития патофизиологических особенностей ишемического инсульта на ранней стадии, когда другими методами не удается получить ценной диагностической информации.
Клинический опыт показывает, что при незначительных затратах можно не только диагностировать ишемический инсульт в первые часы проявления симптомов, но и определить разницу между наличием жизнеспособной ткани и необратимыми пораженными областями.
Впоследствии это дает возможность определить вероятность прохождения системной тромболитической терапии, не основываясь исключительно на данных о скорости течения заболевания.
Звоните нам по телефону 8 (812) 241-10-46 с 7:00 до 00:00 или оставьте заявку на сайте в любое удобное время
Ранняя МРТ диагностика нарушений мозгового кровообращения
Известно, что в первые 6 часов ишемические изменения мозга обратимы (пенумбра) и инфаркт (инсульт) может не развиться. При МРТ головного мозга в этот период важно подтвердить наличие ОНМК и начать тромболизис. Мы уже писали об популярно общих проблемах инсультов, их топической МРТ диагностике и возможностях МР-ангиографии. Применение диффузионно-взвешенных МРТ уже обсуждалось применительно к диагностике инсультов головного мозга.
Диффузионно-взвешенные МРТ (DWI) наиболее чувствительны к цитотоксическому отеку ( в отличие от вазогенного, цитотоксический отек отражает переход жидкости из межклеточного пространство в клетки), которые ограничивает Броуновское движение вутриклеточной воды. Динамика ДВИ МРТ типична, примерно через сутки сигнал достигает максимума, но через 2 недели наступает псевдонормализация. Это отражает переход к фазе исхода, глиозным изменениям. На Т2-взвешенных МРТ головного мозга картина обратная, только к концу первых суток появляются изменения, постепенно нарастающие за счет отека, затем отграничения зоны инфаркта и, наконец, переход к исходу к концу месяца после начала ОНМК.
МРТ головного мозга. Диффузионно-взвешенные аксиальные МРТ. Острая стадия ОНМК в разных бассейнах кровоснабжения.
МРТ головного мозга. Динамика Т2-взвешенных МРТ, диффузионно-взвешенных (DWI) МРТ и МРТ карт диффузии (ADC) во времени.
МРТ головного мозга. Диффузиооно-взвешенные аксиальные МРТ (верхний ряд) и Т2-взвешенные аксиальные МРТ (нижний ряд). Динамика процесса от острой стадии к последствиям.

МРТ головного мозга. Диффузионно-взвешенная МРТ и Т2-взвешенная аксиальная МРТ. Эффект псевдонормализации.
Перфузионно-взвешенные МРТ во многом аналогичны перфузионным изображениям при КТ. Т2-градиентные МРТ отражают магнитную чувствительность. Яркий сигнал на ДВИ МРТ коррелирует со снижением кровотока на перфузионно-взвешенных МРТ головного мозга.

МРТ головного мозга. Перфузионно-взвешенная МРТ. Снижение кровотока в левой лобной доле.
МРТ головного мозга. Сопоставление диффузионно-взвешенной и перфузионно-взвешенной МРТ.
При МРТ в СПб мы ставим задачу дифференциальной диагностики ишемического ОНМК от геморрагического, а также от опухолей, симулирующих ОНМК. При поступлении пациента в острой стадии ОНМК перед МРТ стоит задача подтверждения и оценка объема поражения.
МРТ эффекты кровотока и физические основы МР-ангиографии
МРТ очень чувствительна к кровотоку. На эффектах кровотока основана МР ангиография, кроме того, его следует учитывать ввиду возможности появления артефактов.
Эффекты кровотока в последовательности спин - эхо.
При МРТ с коротким интервалом TR полного восстановления продольной намагниченности происходить не будет, и каждый последующий 90° импульс приходится на частично насыщенную систему. В результате яркость сигнала от тканей снижается. В отличие от неподвижных тканей, многократно подвергающихся действию 90° импульса в срезе, кровь втекает в МРТ срез ненасыщенной. Поэтому протоны крови, медленно текущей перпендикулярно срезу, дают сигнал ярче, чем окружающие ткани. Это явление называется эффектом «втекания»
Зависимость сигнала в последовательности SE от её параметров и скорости кровотока
Обязательными условиями эффекта «втекания» являются при МРТ короткий интервал TR, приводящий к частичному насыщению неподвижных протонов, и толщина среза, обеспечивающая достаточное число попадающих с кровью протонов для появления по сравнению с неподвижными тканями избыточного сигнала. Исходя из этого, скорость кровотока, дающая наибольший сигнал, равна результату деления толщины среза на TR. Очевидно, МРТ будут Т1-взвешенного типа, а скорость кровотока порядка 1 см/с. Типичным проявлением эффекта «втекания» при МТ служит феномен «открывающего среза». На МРТ Т1-взвешенного типа на первом из серии срезов изображение сосуда поперечного срезу ярче, чем на последующих. Уменьшение сигнала связано с постепенным насыщением протонов.
В МРТ последовательности SE в срезе каждое ядро водорода получает два импульса 90° возбуждающий и затем через интервал, равный половине ТЕ, 180° рефазирующий (рефокусирующий). Когда время нахождения протона в МРТ срезе равно по меньшей мере половине длительности интервала TE, он также как и окружающие неподвижные ткани будет получать оба импульса. Скорость кровотока в крупных сосудах довольно высока. Тогда ядра, находящиеся в срезе, могут оказаться лишенными одного из импульсов. На МРТ это проявляется в виде потери сигнала, называемого эффектом “вымывания” (wash-out). Чем больше скорость кровотока, тем явственнее эффект “вымывания” на МРТ.
Феномен времени прохождения. Сигнал появляется только тогда, когда ядро в срезе возбуждено и рефазировано (действуют оба импульса)
Кроме скорости кровотока при МРТ на эффект “вымывания” влияют длительность интервала ТЕ и толщина среза. Удлинение ТЕ в МРТ импульсных последовательностях приводит к тому, что число ядер, неуспевающих рефазироваться, возрастает, так как они “вымываются” из среза еще до действия 180°- импульса. Уменьшение толщины среза МРТ усиливает эффект “вымывание” по тому же принципу. В участках стеноза кровоток становится вихревым, что отображается яркой зоной на “темнокровных” МР - ангиограммах.
Кроме радиочастотных импульсов на протоны действуют градиенты. Сдвиг фазы неподвижных протонов пропорционален силе градиента, приложенного к протону. В случае движущегося протона, сдвиг ещё пропорционален скорости кровотока. При небольших скоростях кровотока влияние сдвига фазы не сказывается на МРТ изображении. Однако если высокая скорость кровотока приведёт к сдвигу фазы на 180° и более, векторы намагниченности в плоскости X-Y окажутся в противофазах. Это приведёт к уменьшению суммарного вектора намагниченности и, следовательно, потере сигнала. При МРТ с последовательностью SE эффект сдвига фазы дополняет эффект «вымывания»
Ангиография, основанная на эффекте “втекания” (TOF).
В МРТ последовательностях с градиентным формированием эха рефазировка происходит не в отдельном избранном слое, а во всем объеме сразу, что соответствует приложению градиента на все тело. Следовательно рефазировка не зависит от положения возбужденного ядра и эффект “вымывания” невозможен. Тогда в отличии от МРТ с последовательностью SE эффект «втекания» всё время усиливается с уменьшением TR. Однако уменьшение TR ограничивается толщиной МРТ среза, меньше которой уже будет недостаточно протонов для эффекта «втекания». Методика ангиографии, основанная на эффекте “втекания ”, получила название time-of-flight, сокращенно TOF. Поскольку по мере прохождения вдоль слоя идёт насыщение крови и затухание сигнала, методика наиболее чувствительна к кровотоку, перпендикулярному срезу.
Если в градиентной МРТ импульсной последовательности выбрать очень короткое TR, как это делается в 3D TOF, неподвижные ядра будут многократно подвергаться действию возбуждающего импульса и насыщаться. Это означает, что на МРТ при TR короче Т1 ткани после каждого возбуждающего импульса остается остаточная продольная намагниченность. Последняя нарастает с каждым импульсом вплоть до равновесного состояния, когда существуют постоянные продольная и поперечная намагниченности.

Принцип получения устойчивого состояния.
В результате при МРТ сигнал от неподвижных тканей снижается, а ненасыщенные ядра водорода крови дают яркий сигнал. Однако при прохождении крови вдоль возбужденного МРТ слоя под действием многократных 90° импульсов сигнал от сосудов также постепенно затухает. Поэтому постоянная продольная намагниченность нежелательна. Для нарушения устойчивого состояния продольной намагниченности угол возбуждения (угол Эрнста) можно постепенно увеличивать в процессе сбора данных (т.е. вдоль к-пространства), такая методика обозначается TONE.
Яркий сигнал от жира может симулировать сигнал от кровотока. При МРТ его удается подавить сочетанием TOF с методикой FatSat. Также яркий сигнал исходит от метгемоглобина, из которого состоит гематома после распада эритроцитов. Подавить методами МРТ такой сигнал не представляется возможным.
TOF - ангиография может быть получена в 2D или 3D вариантах.
2D TOF ангиография представляет собой последовательность поперечных тонких МРТ срезов, подлежащих реконструкции. 2D TOF методика наиболее приспособлена для МР венографии, так как при МРТ ТR выбираются относительно длительными и поэтому сигнал от медленного кровотока относительно ярче.
3D TOF ангиография состоит из одного МРТ слоя, разделяемого дополнительным набором фазовых градиентов на 32 или 64 среза. Поле видения выбирается прямоугольным, в 2 раза меньше в направлении кодировки фазы. Это позволяет уменьшить матрицу МРТ до 128 х 256 или 256 х 512. Поперечные МРТ срезы получаются лучше, чем сагиттальные или корональные, так как кровь не успевает насытиться при прохождении поперек МРТ слоя. Методика 3D TOF наиболее приспособлена для изучения быстрого кровотока. Для подавления сигнала от венозного кровотока обязательно устанавливается полоса (блок) насыщения, примыкающая к слою МРТ срезов с направления венозного тока. Так, для изучения сонных артерий полоса насыщения ставится над слоем МРТ срезов. Полоса насыщения представляет собой 90° импульсы, уменьшающие в толще полосы продольную намагниченность. Так как интервал от насыщающего 90° импульса до 90° импульса последовательности короткий (нет зазора между полосой насыщения и слоем срезов) втекающие протоны остаются насыщенными и не дают сигнала. Толщина полосы насыщения при МРА должна быть не меньше произведения скорости кровотока в подавляемых сосудах на длительность интервала TR.
Вариантом 3D TOF является MOTSA - ангиография с множественными переслаивающими тонкими МРТ слоями, каждый из которых делиться на 16 или 32 среза. Переслоение составляет 25% с каждой стороны. В отличие от обычной 3D TOF в этом варианте меньше насыщение поперек поля видения и меньше падение интенсивности сигнала по краям. Однако в связи с переслоением увеличивается время сканирования. Современные методики TOF МРА включают сегментацию к-пространства.
Эффект сдвига фазы на градиентных томограммах приводит к потере сигнала в постстенотической зоне в связи с турбулентным кровотоком. Поэтому нередко отмечается преувеличение степени стеноза. Избежать эффекта сдвига помогает зануление фазы, приложением считывающих градиентов с чередующейся противоположной направленностью.
Фазово-контрастная ангиография (PC).
Фазово-контрастная ангиография основана на эффекте сдвига фазы у движущихся протонов. В ходе анализа МРТ данных вокселы с нулевой фазой воспринимаются как содержащие неподвижные протоны. Ненулевая фаза воспринимается при МРТ как кровоток.
Классическим методом получения изображения на основе сдвига фазы, обозначаемым FEER, служит использование биполярного градиента. Сперва подаётся МРТ импульсная последовательность с градиентом, зануляющим фазу. Полученные данные необходимы для последующего их вычитания из фазных данных. Затем подаётся импульсная МРТ последовательность, в которой сразу после действия радиочастотного импульса, когда спины сфазированы, прикладывается биполярный градиент. Первая его половина будет приводить к дефазировке, то есть изменению частоты прецессии спинов по направлению градиента. Вторая половина, точно соответствующая первой, но с обратной полярностью, будет их полностью рефазировать. Поперечная намагниченность неподвижных спинов опять станет нулевой. Однако на движущиеся спины градиенты воздействуют иным образом. Первая половина биполярного градиента увеличивает частоту прецессии в соответствии с его амплитудой. За время действия положительной половины градиента протоны перемещаются в пространстве. Тогда вторая половина, отрицательной полярности, прикладывается к тем же протонам уже в иной точке пространства и следовательно с иной амплитудой. В итоге при МРТ, в отличие от неподвижных спинов, движущиеся не будут полностью сфазироваться. Иначе их частота вращения не будет замедляться до Ларморовской. Изменение фазы будет пропорционально скорости кровотока в направлении биполярного градиента. Для получения ангиографического МРТ изображения биполярный градиент подается дважды в противоположных направлениях и вся процедура повторяется, в каждом из трех измерений.
В зависимости от изучаемых сосудов при PC МРА выбирается параметр скорости кровотока (Venc.). Он контролирует амплитуду и силу биполярного градиента. Значение Venc. должно быть близким, но не превышать скорость изучаемого кровотока. Тогда сдвиг фазы будет наибольшим и ангиографическое изображение наилучшим. Если Venc. превышает скорость кровотока, будет потеря сигнала, а при двухкратном превышении сигнала от воксела не будет совсем. Важным следствием является возможность раздельной визуализации быстрого и медленного кровотока, а также определение направления кровотока. В варианте 2D ангиография получается за короткое время и в едином слое (до 100 мм) без разделения на срезы. Дальнейшие преобразования (MIP или другие) не требуются. Поэтому ее хорошо использовать предварительно 3D методике с целью определения оптимального значения Venc. Вариант 3D дает наилучшее качество МРА изображения, но занимает больше времени.
Построение ангиографического изображения.
По методикам TOF и 3D РС получают множество тонких МРТ срезов. Они имеют низкую контрастность, высокую зашумленность и непригодны для диагностики. Ангиографическую картину получают путем математической обработки, называемой “проекцией с наибольшей интенсивностью пикселов” (MIP). Смысл ее состоит в том, что пакет МРТ срезов преобразуется в одно плоскостное изображение. Причем отбирается по всем МРТ срезам только пиксел с наибольшей интенсивностью по соответствующим координатам. “Проекционный луч” подается под разными углами, что дает возможность делать повороты изображения.
MIP реконструированное 3D PC МРА изображение отражает сумму сигналов во всех трёх плоскостях. Метод фазовоконтрастной ангиографии позволяет также получать изображение кровотока в каждом из направлений раздельно: кранио-каудальном, передне-заднем и слева-направо. Если стоит задача количественной характеристики кровотока, реконструируют фазные изображения в каждом из направлений.
Среди всех методов лучевого исследования сосудов МРА по праву занимает одно из ведущих мест. МРТ и МРА в СПб - две неотъемлимые составляющие МРТ головного мозга, особенно при головных болях. МР-венография также заняла достойное место при исследовании венозных синусов, а также венозной системы малого таза. МРА лучше получается в высоких полях, МРВ практически одинаково хорошо и в открытом МРТ.
Все статьи, размещенные на сайте, написаны лично профессором Холиным А.В. В качестве ссылки можно привести одну из последних монографий, где есть глава, посвященная физике МРТ. Холин А.В.МРТ заболеваний и травм центральной нервной системы//М: “МЕДпресс-информ”, 2017, 256, с.
МРТ при диффузном аксональном поражении головного мозга
Диффузное аксональное поражение (ДАП) головного мозга наблюдается при черепно-мозговой травме (ЧМТ), что уже упоминалось в статье МРТ при черепно-мозговой травме. Отдельной стать диффузное аксональное поражение заслуживает в связи с тем, что оно наблюдается у половины пациентов с ЧМТ и служит одной из ведущих причин смертности и вегетативного состояния пациентов. Считается, что в момент острой травмы именно ДАП отвечает за потерю сознания. Имеется и позднее развитие ДАП в связи с вторичным поражением аксонов.
ДАП при МРТ головного мозга выглядит чаще всего как разбросанные по белому веществу очаги разных размеров (до 15 мм). В самом раннем периоде ДАП хорошо виден на диффузионно-взвешенных МРТ, в виде гиперинтенсивных очагов. Т1-взвешенные МРТ головного мозга помогают дифференцировать ДАП с микрокровоизлияниями.На Т2-взвешенных МРТ головного мозга очаги ДАП гиперинтенсивны, локализуются типично в валике мозолистого тела, кортико-медуллярных переходах височных и теменных долей.
При МРТ головного мозга можно выделить стадии ДАП:
1 - поражение парасагиттальных областей лобных долей, перивентрикулярное теменных долей, внутренняя и наружная капсулы, мозжечок;
2 - стадия 1 + мозолистое тело;
3 - стадии 1 и 2 + задне-боковые участки ствола мозга

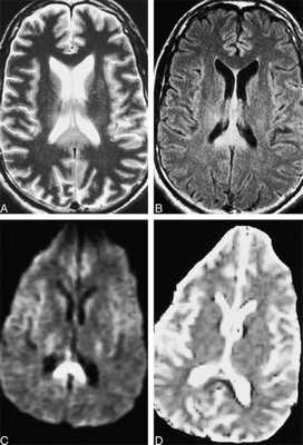
МРТ головного мозга. А- Т2-взвешенная аксиальная МРТ, В - МРТ типа FLAIR, C - диффузионно-взвешенная МРТ, D- карта диффузии (ИКД). ДАП в подострой стадии.
МРТ головного мозга при выявлении ДАП придается важное прогностическое значение. Количество и размеры очагов ДАП на МРТ головного мозга коррелируют со степенью поражения и длительностью комы. Определенные надежды возлагаются и на применение диффузионно-тензорных МРТ а также МРТ трактографии.
МРТ головного мозга. Сагиттальные диффузионно-тензорная (вехнее изображение) и трактографическое МРТ (нижнее изображение). ДАП.
При МРТ в СПб в в наших клиниках мы видим важную задачу при обследовании пациентов с ЧМТ четко дифференцировать очаги кровоизлияний и ДАП.
Влияние кровотока на МРТ головного мозга. Перфузионная и диффузионная МРТ
Перфузия - подведение, пропускание сквозь ткани любой жидкости. Процессы внутри головного мозга - микроциркуляция области головы, а перфузионная диагностика исследуемой зоны направлена на изучение особенностей притока, проницаемости, оттока крови.
Методика обследования устанавливает причины, природу патологий, дает возможность предположить время, необходимое для реабилитации пораженных нервных волокон. Томография выполняется для оценки перфузии мозга.
Метод МРТ перфузии головы - как делают
Исследуемый объект укладывается на стол диагностического аппарата, ставится локтевой катетер внутривенно, который присоединяют к автоматическому инъекционному прибору (инфузионному насосу). Перед обследованием врач анализирует виды МРТ головного мозга, подбирает оптимальный вариант сканирования.

Предварительно выполняется классическое исследование, без использования контрастного усилителя. После вводится специальный препарат, скорость поступления - 4 мл/с. Общее количество контраста составляет 40 миллилитров. Одновременно выполняется томография, во время которой образуется ряд снимков требуемого участка головного отдела. Изображения получают с промежутком - одна секунда. Анализ перфузии мозга предусматривает применение ряда стандартных параметров:
- Объемный показатель мозгового кровообращения - показывает количество крови, накапливаемой определенной областью головы. Норматив равен 2,5 мл на 100 грамм ткани мозга. Снижение показателя говорит о присутствии ишемической болезни;
- Объемный параметр скорости кровоснабжения - скорость проникновения конкретного количества крови сквозь 100 грамм мозговой ткани за минуту. Норматив - 42-46 мл/мин. Уменьшение значения наблюдается во время закупорки сосудистых просветов;
- Средний временной показатель кровотока - длительность продвижения крови внутри сосудистых каналов требуемого отдела головы. Приемлемое значение - 4-4,5 сек. Превышение параметра замечается при возникновении резкой непроходимости сосудов вследствие протекания патологических процессов.
Оценка результатов диагностики проводится с использованием специальных компьютерных программ, помогающим приводить полученную информацию к формату доступно для расшифровки рентгенологами.
МР-перфузия считается наиболее эффективным методом исследования кровообращения головного мозга. Оценивается состояние потока крови при повреждениях головы. Выполнение томографии первоначальных стадий апоплексии (ишемического инсульта) помогает обнаружить область прогнозируемого инфаркта мозга, предсказать возможный итог заболевания.
МРТ перфузия головного мозга: показания
Перфузионная диагностика позволяет провести количественные замеры показателей кровотока головного мозга. Процесс основывается на определении плотности посредством МРТ исследования. Обязательным условием служит ввод контрастного препарата внутривенно.
МРТ перфузия головного мозга используется в оценке повреждений после инсультов, ЧМТ (травм черепной коробки), помогают определить уровень сложности поражения, с высокой точностью спрогнозировать процесс восстановления нервных волокон. Томографию исследуемой области производят, чтобы:
- Оценить уровень тяжести нарушения мозгового кровообращения (черепно-мозговые травмы, ишемические заболевания);
- Проанализировать процесс кровоснабжения внутри головы на подготовительном этапе к операции;
- Провести диагностику нарушений кровотока вследствие разницы гидростатического давления. Причиной могут быть новообразования разного характера;
- Исследовать опухоли после прохождения химиотерапии;
- Осуществить анализ тока крови внутри сосудов после обтурации.
Рассматривается вероятность обследования ряда других патологий: мигрени, эпилепсия, разные психические заболевания.
Ретроградная перфузия для защиты сердца - что это такое

Ретроградная перфузия не является одним из способов исследования головного мозга. Методика используется во время выполнения хирургических вмешательств областей сердца. Изначально выполняла защитную функцию при операциях черепно-мозгового отдела, артериального конуса левого желудочка, дуге аорты. Использование метода у хирургов — нечастое явление. Способ ранее применялся совместно с лечением закупорки кровяного русла частицами воздуха, позднее стал использоваться как защитный механизм при целенаправленном охлаждении тела для искусственного кровоснабжения.
Перфузионная методика применяется кардиохирургическими медицинскими учреждениями для лечения гипоксии миокарда при постановке протезов клапана аорты, операбельного исправления комбинированных сердечных пороков и исправления дефектов структуры сердца у грудничков.
Используют перфузию регионарного типа, которая проводится путем использования специального устройства, регистрирующего поступление через катетер лекарственных средств в основной сосуд собственных вен мышцы сердца, артерий, подающих кровь к миокарду. Выполняют в условиях искусственно созданной нормальной и пониженной температуры тела.
Коррекция дефектов структуры сердца осуществляется посредством регионарного искусственного кровоснабжения сердца при остановке кровотока остальных органов сдавливанием нисходящей аорты. Коронарно-каротидная перфузия выполняется путем установки катетера в сонные артерии, верхнюю и нижнюю полые вены, самый большой непарный артериальный сосуд (аорту).
Проведение процесса при нормальной температуре приводит зачастую к накоплению недоокисленных частиц в нижней области тела. Возвращение свободных радикалов обнуляет все полученные ранее результаты. Осуществление перфузии при гипотермии сглаживает отношение внутренних органов к кислородному голоданию.
Противопоказания к перфузионному МР исследованию мозга
МР-перфузия имеет противопоказания, присущие классическому МРТ головного мозга. Единым препятствием к томографии служит наличие аллергии при использовании контрастного препарата.
Специальные подготовительные действия со стороны пациента отсутствуют. Необходимо предварительное обследование.
Осложнения после МР-перфузии мозговой паренхимы
Диагностику не советуют выполнять женщинам во время беременности, томография может неправильно отразиться на развитии ребенка, поэтому исследование проводится по острым показаниям.
Если МРТ с использованием контраста проводится женщине в период грудного вскармливания, противопоказано кормить малыша грудным молоком на протяжении 48 часов после завершения сканирования.
Читайте также:
