Влияние протеза на чувствительность. Реактивные изменения протезного ложа
Добавил пользователь Евгений Кузнецов Обновлено: 21.11.2025
Проведен анализ причин возникновения протезного стоматита, а также определена его распространенность у лиц, пользующихся съемными пластиночными протезами. Было проведено обследование слизистой оболочки полости рта 650 пациентов (345 женщин и 305 мужчин), пользующихся полными частичными съемными протезами, в возрасте от 55 лет и старше при помощи клинических методов стоматологического обследования пациентов (жалобы, анамнез, осмотр слизистой оболочки полости рта). Обследование проводилось на базе стоматологических поликлиник и кабинетов г. Нальчика. Съемные пластиночные протезы, покрывающие значительную поверхность слизистой оболочки полости рта, являются одним из главных факторов, которые могут вызвать раздражение и повреждение слизистой оболочки полости рта, а также осложнения в виде катарального воспаления, эрозивно-язвенных и гиперпластических процессов. В результате исследования у большинства обследованных пациентов был выявлен протезный стоматит в различных его проявлениях, что в свою очередь было связано с качеством используемых протезов и соблюдением правил гигиены по уходу за полостью рта и ортопедическими конструкциями. Также была установлена определенная зависимость изменений слизистой оболочки от длительности пользования протезами.
2. Голик В.П., Рузин Г.П. Качество несъемного протезирования как фактор развития воспалительных процессов челюстно-лицевой области // Украинский стоматологический альманах. 2012. № 4. С.110-116.
3. Фидаров Р. Оценка эффективности протезирования пациентов съемными протезами с замковой фиксацией: автореф. дис. . канд. мед. наук. Ставрополь, 2011. 108 с.
4. Гооге Л.А., Розалиева Ю.Ю. Протетические стоматиты у пациентов, пользующихся съемными конструкциями протезов // Саратовский научно-медицинский журнал. 2012. Т.8, № 2. С. 297-299.
5. Шутурминский В.Г. Результаты изучения распространенности протезных стоматитов у лиц, протезируемых съемными пластиночными протезами // Интегративная антропология. 2015. №1(25). С.50-54.
6. Пономарев С.А. Осложнения, клинические и технологические ошибки при ортопедическом лечении больных съемными зубными протезами и их профилактика: дис. … канд. мед. наук. Омск, 2014. 119 с.
Одним из наиболее сложных направлений ортопедии считается протезирование полными съемными протезами, которые требуют наличия особых условий фиксации в полости рта. Частичные съемные протезы могут крепиться на оставшиеся (опорные) зубы, тогда как полные съемные протезы требуют поиска альтернативных способов.
При конструировании съемных протезов врач стоматолог-ортопед принимает во внимание состояние височно-нижнечелюстного сустава (ВНЧС), нижней трети лица, податливость и подвижность слизистых оболочек, проверяет наличие тяжей и рубцов, степень атрофии костной ткани и наличие экзостозов, а также выраженность свода нёба (глубокое, среднее, плоское) и другое, что в случае протезирования съемными протезами имеет большое значение.
После сдачи протеза пациенту врач стоматолог-ортопед должен дать рекомендации по поводу использования протеза, а также обучить специальным речевым упражнениям для быстрой адаптации к конструкции. Для максимального сохранения эстетики и уменьшения риска осложнений после протезирования, повышения срока службы значительное внимание уделяется правилам ухода за протезом.
Известно, что потребность населения в ортопедическом лечении не сокращается и даже имеет тенденцию к росту. Частичную или полную вторичную адентию в возрасте 20-50 лет имеют 70% населения России. Процент лиц, которым необходимо протезирование частичными и полными съемными протезами, значимо увеличился и имеет склонность к омоложению. Анализ многих исследований выявил неблагоприятные условия для протезирования у 30-40% пациентов. Невозможность пользования повторно изготовленными съемными протезами наблюдалось у 20% обследованных, что было связано с некачественной предварительной подготовкой к ортопедическому лечению [1, с. 25; 2, с. 111; 3, с. 65]. Ввиду того что слизистая оболочка полости рта обладает защитными силами и высокими регенераторными свойствами, незначительные влияния различных травматических факторов (механические и физические), воздействующих на нее в процессе приема пищи, не вызывают существенных изменений. Для возникновения патологических изменений в слизистой оболочке необходимо воздействие раздражителей более значительной силы. Особенностью слизистой оболочки полости рта является то, что всякое травматическое повреждение слизистой оболочки неизбежно сопровождается ее инфицированием. Природа раздражителя, время и сила его воздействия, локализация, индивидуальные особенности, общее состояние организма, возраст влияют на степень повреждения и клинические проявления.
Изменения слизистой оболочки часто проявляются в виде катарального воспаления (гиперемия, отек), эрозивно-язвенных процессов и гиперплазии. Наблюдается определенная зависимость поражений слизистой оболочки от сроков пользования протезами. При пользовании протезами в течение 1-3 лет в подавляющем большинстве случаев выявляется изменение слизистой оболочки, протекающее по типу катарального воспаления (гиперемия, отек), с сохранением целостности эпителиального покрова. При осмотре слизистой оболочки нарушение ее целостности проявляется в виде эрозий и язв. При более длительном пользовании (свыше 3 лет) отмечаются гипертрофические процессы в сочетании с гиперемией.
Продолжительность, характер, интенсивность действия раздражителя, с одной стороны, и реактивность организма - с другой, определяют ответную реакцию протезного ложа.
Слизистая оболочка рта обладает высокой регенеративной способностью, а также относительной устойчивостью к внедрению инфекции. В силу функционального назначения слизистая оболочка рта (СОР) постоянно подвергается воздействию различных факторов (механических, химических и физических) и болезнетворных микроорганизмов и вирусов [4, с. 147].
Съемные пластиночные протезы, покрывающие существенную часть поверхности слизистой оболочки полости рта, являются одной из ведущих причин, вызывающих патологические изменения СОР [5, с. 52].
Известно, что пластиночный съемный протез, передавая жевательное давление на слизистую оболочку полости рта, задерживая самоочищение полости рта, приводит к видоизменению имеющегося равновесия между многообразными видами микроорганизмов, а также изменяет чувствительность нервных рецепторов слизистой оболочки.
Причинами возникновения осложнений после установки съемных протезов являются:
- некачественная подготовка к протезированию. Подготовка к протезированию заключается в необходимости санации полости рта, лечения и протезирования зубов, которые будут служить опорой для фиксации протеза;
- недостаточная гигиена полости рта. Плохая гигиена может привести к воспалению слизистой оболочки протезного ложа, образованию кариеса, пульпита зубов, которые служат опорой для протеза;
- перелом протеза. В результате поломки или смещения частей протеза нарушается его фиксация в полости рта, возникают дискомфорт и боль при его ношении;
- неточно изготовленный протез. Конструкция должна легко фиксироваться и также сниматься без особых усилий. В полости рта между конструкцией и десной не должно быть щелей, но при этом протез не должен давить и натирать мягкие ткани. В первом случае в промежутке будут скапливаться остатки пищи, во втором — на слизистой будут возникать намины, а в дальнейшем - пролежни;
- изменение прикуса и положения отдельных зубов, приводящее к смещению протеза.
Патологические изменения СОР, которые возникают при пользовании съемными пластиночными протезами, называют протезным стоматитом (ПС).
В результате анализа причин возникновения ПС доказано, что изменения сор протезного ложа могут возникать в результате хронической травмы. Травма слизистой оболочки является следствием погрешностей клинических этапов изготовления зубных протезов и нарушения технологии их изготовления. Несоответствие рельефа и границ протеза, неравномерная нагрузка на слизистую оболочку протезного ложа, которая обусловливается отсутствием множественных контактов искусственных зубов, а также сроки пользования протезами, влияющие на образование деформаций, шероховатостей и микропор, оказывают раздражающее действие [6, с. 50].
Не менее важной проблемой является реакция тканей протезного ложа на материалы, которые используются для изготовления съемных конструкций протезов. На современном этапе проводится разработка новых материалов для изготовления протезов, обладающих минимальными отрицательными воздействиями. Материалы, из которых изготовлены пластиночные протезы, значительно влияют на возникновение протезного стоматита. При нарушении технологии и, в частности, режима полимеризации акриловых пластмасс возникает избыток мономера, который является одним из токсикогенных факторов. При старении пластмассы также может появиться свободный мономер.
В возникновении ПС большое значение имеет соблюдение индивидуального ухода за полостью рта и правил пользования зубными протезами. Доказано, что значительная масса обследованных имеет низкий уровень знаний об индивидуальной гигиене и средствах для гигиенического ухода за ротовой полостью и съемными протезами, что впоследствии приводит к созданию оптимальных условий для размножения патогенной микрофлоры под базисом съемного протеза. Данному процессу также способствует нерегулярный уход за полостью рта и ортопедическими конструкциями.
Хроническая механическая травма (trauma mechanicum chronicum) как осложнение после протезирования встречается часто. На выраженность клинических проявлений и характер течения заболевания оказывают влияние такие факторы, как возраст больного, особенности строения слизистой оболочки полости рта (имеется или отсутствует подслизистая основа) и выраженность воздействия в месте приложения травмирующего фактора, микрофлора полости рта (риск присоединения вторичной инфекции). Нарушения целостности слизистой оболочки под воздействием хронических раздражителей чаще наблюдаются у людей преклонного возраста. Изменение положения зубов, частичная адентия, патологическое истирание твердых тканей зубов, приводящее к изменению высоты нижней трети лица и тургора слизистой оболочки, способствуют и являются причинами ПС у лиц пожилого возраста. Причиной длительного заживления поврежденной слизистой оболочки является замедление процессов регенерации у пожилых людей.
Вызванные хронической механической травмой поражения слизистой оболочки могут долго протекать без субъективных ощущений. Спустя некоторое время больные могут предъявлять жалобы на неприятные, слабо выраженные болезненные ощущения, дискомфорт в полости рта. При объективном осмотре определяются признаки катарального воспаления слизистой оболочки, проявляющиеся в виде отечности и гиперемированности, а также эрозивных и язвенных поражений слизистой оболочки, гиперпластических процессов в виде гипертрофии тканей пародонта, а также выраженный гиперкератоз. Все вышеперечисленное может выявляться в том или ином сочетании. При этом важным аспектом является возможность неблагоприятного влияния микрофлоры ротовой полости, что приводит в последующем к инфицированию травмированной слизистой оболочки.
Таким образом, довольно распространенным осложнением в ортопедической стоматологии продолжает оставаться протезный стоматит, что требует разработки адекватных методов лечения.
Целью проведенного нами исследования явилось определение распространенности протезного стоматита у больных, пользующихся частичными и полными съемными пластиночными протезами.
- Оценить состояние слизистой оболочки протезного ложа у пациентов, пользующихся съемными пластиночными протезами.
- Проанализировать причины возникновения протезного стоматита у обследованного контингента.
Материалы и методы исследования. Для решения поставленных задач было проведено обследование слизистой оболочки рта 650 пациентов в возрасте от 55 лет и старше (345 женщин и 305 мужчин), которые пользуются полными и частичными съемными протезами. Исследование проводилось на базе стоматологических поликлиник и кабинетов г. Нальчика. Для исследования применялись клинические методы обследования (жалобы, анамнез, осмотр слизистой оболочки полости рта) больного стоматологического профиля.
Оценка состояния слизистой оболочки рта производилась визуально. При осмотре определяли цвет слизистой оболочки (розовая, бледная, гиперемия, цианоз), отечность (наличие отпечатков зубов на слизистой щек по линии смыкания зубов), влажность, наличие первичных, вторичных элементов поражения (эрозий, язв, папиллом и др.). При осмотре языка обращали внимание на его размер, наличие налета, отпечатков зубов на боковых поверхностях, выраженность сосочков языка (атрофия, гипертрофия) и др. Гигиеническое состояние съемных пластиночных протезов определяли визуально.
Результаты исследования. Пациенты были разделены на группы в соответствии с данными клинического исследования (табл. 1).
Групповое разделение пациентов в соответствии с данными клинического исследования
Тема 8. Влияние базиса частичного съемного протеза на ткани протезного ложа.
Непосредственное действие: Такое действие наблюдается при контакте протеза с тканями, которые принято объединять термином "протезное ложе".
Протезное ложе - для съемного протеза это слизистая оболочка твердого неба, альвеолярной части, естественные антагонисты, а также эмаль зубов, являющихся опорой для кламмеров. Для несъемных протезов (вкладки, полукоронки, шины) ложем является раневая поверхность коронки, стенки полости для вкладки, слизистая оболочка десневого кармана.
Опосредованное действие на органы и ткани, расположенные вдали и не приходящие с ним в соприкосновение. Это воздействие осуществляется опосредованно через различные органы и системы.
Результат - изменение функции мышцы, сустава при уменьшении или увеличении межальвеолярной высоты, дистрофия пародонта при функциональной перегрузке опорных зубов и др.
Под протезным полем понимают все ткани и органы, которые находятся в сфере как опосредованного, так и непосредственного воздействия протеза. Протезное ложе в этом понимании является частью протезного поля.
Ответные реакции протезного ложа определяются
· характером, интенсивностью и продолжительностью действия раздражителя
Характеры раздражителей, порождаемых протезом
1. Побочное влияние съемного протеза выражается в
· передаче жевательного давления на ткани протезного ложа, являющегося неадекватным раздражителем для слизистой оболочки,
· в нарушении самоочищения, терморегуляции, речи, восприятия вкуса, в функциональной перегрузке пародонта опорных зубов кламмерными системами и т.д.
· "парниковом эффекте", возникающем при пользовании протезами с пластмассовым базисом, обладающим малой теплопроводностью. Вследствие этого под протезом сохраняется температура, близкая к температуре тела человека. Это способствует размножению микроорганизмов и ухудшает гигиеническое состояние протезного ложа, затрудняет теплообмен в полости рта.
· в вакууме. Вакуум возникает под протезом с хорошим замыкающим клапаном. В силу этого появляется эффект медицинской (кровососной) банки, сопровождающийся гиперемией слизистой оболочки протезного ложа и ее хроническим воспалением. В патогенезе этого симптома не последнюю роль играет состояние капилляров, в частности их проницаемость, изменяющаяся при многих общих заболеваниях организма.
· у мостовидного протеза в функциональной перегрузке пародонта опорных зубов, раздражении маргинального пародонта краем коронки и др.
Побочное действие вытекает из принципа самой протезной конструкции. Изменяя вид протеза, можно уменьшить побочное действие, но полностью устранить его нельзя. Можно, например, уменьшить вредное влияние базиса протеза на слизистую оболочку путем замены пластиночного протеза дуговым, но полностью исключить влияние базиса протеза не удается. Можно уменьшить функциональную перегрузку пародонта опорных зубов мостовидного протеза, увеличив число опор, но полностью устранить ее также нельзя.
2. Токсическое действие съемного протеза вызывается
· избытком мономера, который будучи эфиром, оказывает раздражающее действие на слизистую оболочку протезного ложа
· бактериальными токсинами при плохой гигиене протеза.
Развивающиеся стоматиты получили название акриловых. При протезировании мостовидными протезами подобное действие может проявляться лишь в случае применения окисляющихся сплавов и припоя.
3. Аллергическое действие протеза обусловлено материалами, из которых он изготовлен:
· мономером и красителем, входящими в состав базиса протеза
· окислами металлов, которые реагируя с белками тканей протезного ложа, становятся аллергенами.
Как токсическое, так и аллергическое действие протеза может быть полностью устранено путем подбора соответствующих базисных материалов и сплавов.
4. Повреждение тканей протезного ложа (механическая травма) вызывается базисом протеза, краем коронки, искусственными зубами мостовидного протеза. Это наблюдается каждый раз, когда границы протеза не соответствуют форме и границам протезного ложа. Травму в ее грубой форме (декубитальные язвы) легко предупредить, а уже возникшую устранить путем точного повторения на протезе границ и рельефа протезного ложа.
3. Клиническая картина аллергического стоматита, вызванного пластиночными протезами.
Аллергические реакциив виде стоматитов, развивающиеся при пользовании протезами, относятся к контактным из группы реакций замедленного действия. Вещества, вызывающие контактную аллергическую реакцию, по своим свойствам не антигены, так как не имеют белковой природы. Они приобретают эти свойства в результате химического соединения с белками организма. Подобные вещества принято называть гаптенами. Аллергические реакции в виде отека Квинке, крапивницы и стоматита наблюдались еще в те времена, когда пользовались протезами с каучуковыми базисами. Еще чаще они стали появляться при использовании базисов из акриловых пластмасс.
Гаптены - вещества, соединяющееся с белками тканей протезного ложа и приобретающими вследствие этого антигенные свойства:
Установить причинность отдельных ингредиентов базисного материала удается редко. Чаще всего она определяется лишь в отношении красящего вещества и замутнителя повторным изготовлением протезов из бесцветной пластмассы.
Клиническая картина многообразна. Часто ее трудно отличить от клинической картины других реактивных изменений, имеющих иную причину и другой патогенез.
В общем плане можно было бы говорить:
· о контактной аллергии, которая проявляется воспалением слизистой оболочки протезного ложа, т.е. ткани, которая проходит в соприкосновение с материалом базиса
· об аллергических реакциях со стороны других систем организма
Аллергическое воспаление, протекающее по типу контактного стоматита, проявляется на слизистой оболочке языка, губ, щек, альвеолярных частей и особенно на небе. Оно резко ограничено областью соприкосновения базиса протеза с тканями. Слизистая оболочка здесь ярко- красного цвета, блестящая.
Однако аллергическая реакция может наблюдаться не только на участке контакта с антигеном. Встречаются больные с экземами, глосситами, контактными стоматитами, нарушениями или извращением вкуса, отеком губ, острыми дерматитами лица и рук, бронхиальной астмой, паротитами и другими аллергическими проявлениями, обусловленными акриловыми протезами.
Отличить аллергическое воспаление слизистой оболочки от воспаления, возникшего подругой причине, сложно.
Влияние протеза на чувствительность. Реактивные изменения протезного ложа
Кафедра ортопедической стоматологии стоматологического факультета ФГБОУ ВО «Северо-Западный государственный медицинский университет им. И.И. Мечникова» Минздрава России, Санкт-Петербург, Россия;
ФГБВОУ ВО «Военно-медицинская академия им. С.М. Кирова» Министерства обороны РФ, Санкт-Петербург, Россия
ЧОУ ВО «Санкт-Петербургский медико-социальный институт», Санкт-Петербург, Россия;
Кафедра терапевтической стоматологии ФГБВОУ ВО «Военно-медицинская академия им. С.М. Кирова» Министерства обороны России, Санкт-Петербург, Россия;
Лечебно-диагностический стоматологический центр «Альфа-Дент», Санкт-Петербург, Россия
Институт усовершенствования врачей Медико-хирургического центра им. Н.И. Пирогова, Москва, Россия, Санкт-Петербургский институт биорегуляции и геронтологии, Санкт-Петербург, Россия, Северо-Западный государственный медицинский университет им. И.И. Мечникова, Санкт-Петербург, Россия, Военно-медицинская академия им. С.М. Кирова, Санкт-Петербург, Россия, Санкт-Петербургский государственный медицинский университет им. акад. И.П. Павлова, Санкт-Петербург, Россия
Кафедры микробиологии, вирусологии и иммунологии ТГМА, Тверь
Реакция слизистой оболочки протезного ложа в период адаптации пациентов к съемным зубным протезам
Журнал: Стоматология. 2016;95(6): 44‑47
Исследована реакция слизистой оболочки протезного ложа на съемные акриловые зубные протезы у 43 человек (12 мужчин и 31 женщина) в возрасте от 56 до 69 лет с частичной и полной утратой зубов на одной или обеих челюстях. У пациентов 1-й (контрольной) группы (17 человек) период адаптации протекал без использования дополнительных средств, улучшающих фиксацию съемных зубных протезов. Пациенты 2-й (основной) группы исследования (26 человек) в течение адаптационного периода длительностью 30 сут использовали крем для фиксации зубных протезов Corega. Оценку состояния слизистой оболочки протезного ложа осуществляли на 3—4-е и на 28—30-е сутки от начала пользования протезами в баллах по трем показателям: болевой синдром, влажность слизистой оболочки протезного ложа, наличие воспаления слизистой оболочки протезного ложа. Показано, что применение в адаптационном периоде средств, улучшающих фиксацию съемных зубных протезов, типа крема для фиксации зубных протезов Corega, позволяет значительно улучшить состояние слизистой оболочки протезного ложа, уменьшить выраженность воспалительных изменений в ответ на воздействие полимерных материалов, из которых изготовлены съемные зубные протезы.
Многофакторность воздействия внутренней и внешней среды диктует необходимость обобщенного видения и целостного подхода к человеку, использования много-аспектных диагностических и лечебных мер [4, 8, 17]. Это означает целостность подхода не только к больному органу, но и к больному человеку в комплексе экологических, социально-психологических и нравственных проблем [1]. Поэтому проблема профилактики и лечения стоматологической патологии для взрослых людей является не только медицинской, но и социальной [5, 18].
По современным представлениям оценка критериев здоровья взрослых людей, особенно старших возрастных групп, должна быть интегральной и учитывать степень их физической подвижности, социальную активность, остроту зрения, слуха, а также показатель числа сохранившихся зубов и их функциональной ценности [7, 15]. Последний показатель важен, так как нарушение целостности жевательного аппарата снижает качество жизни людей, отрицательно влияет на процесс их социальной адаптации [9, 16].
В настоящее время в связи со старением населения России, а также в связи с увеличением числа взрослых людей, страдающих частичной и полной утратой зубов, причина потери которых находится в прямой зависимости от условий жизни и возраста человека, вопросы повышения эффективности стоматологической реабилитации приобретают важное медико-социальное значение [10, 12]. Это делает актуальным в медицинском и социальном плане задачу эффективного зубного протезирования при частичной и полной утрате зубов. Вместе с этим, в отечественной и зарубежной литературе мало внимания уделяется эффективности пользования съемными зубными протезами, в том числе в период адаптации к ним. В то же время воздействие съемных зубных протезов часто выходит за пределы жевательного аппарата, распространяется иногда на весь лицевой и мозговой скелет [13, 14], а также влияет на психосоматическое здоровье [3, 11, 19]. В связи с вышеизложенным, мы сочли необходимым проведение настоящего клинического исследования. Считаем, что исследования в этом направлении могут существенно обогатить сведения, входящие в круг вопросов по проблеме «Протез и протезное ложе», которая была сформулирована профессором Е.И. Гавриловым в конце 70-х годов прошлого века [2].
Цель работы — изучение реакции слизистой оболочки протезного ложа на акриловые частичные и полные съемные зубные протезы в период адаптации к ним при использовании средств, улучшающих их фиксацию и стабилизацию.
Материал и методы
Под нашим наблюдением находились 43 человека (12 мужчин и 31 женщина) в возрасте от 56 до 69 лет с частичной и полной утратой зубов на одной или обеих челюстях. Пациентам была проведена стоматологическая реабилитация в связи с имеющимися у них стоматологическими заболеваниями органов и тканей полости рта и утратой зубов, которая завершалась изготовлением съемных акриловых зубных протезов, изготовленных по однотипной методике полимеризации базисной пластмассы. У пациентов 1-й (контрольной) группы, которую составили 17 человек, период адаптации протекал без использования дополнительных средств, улучшающих фиксацию съемных зубных протезов (рис. 1). Пациенты 2-й (основной) группы исследования, которую составили 26 человек, в течение адаптационного периода длительностью 30 суток использовали крем для фиксации зубных протезов Corega. Оценку состояния слизистой оболочки протезного ложа осуществляли на 3—4-е сутки от начала пользования протезами и по завершению адаптационного периода на 28—30-е сутки клинического наблюдения.

Рис. 1. Распределение пациентов по полу и группам исследования.
Оценку состояния слизистой оболочки протезного ложа осуществляли в баллах по трем представленным в табл. 1 показателям: болевой синдром, влажность слизистой оболочки протезного ложа, наличие воспаления слизистой оболочки протезного ложа.

Таблица 1. Методика балльной оценки состояния слизистой оболочки протезного ложа у пациентов, пользующихся съемными зубными протезами
При наличии в полости рта двух съемных зубных протезов для анализа эффективности стоматологической реабилитации использовали наиболее неблагоприятные показатели, характеризующие состояния слизистой оболочки протезного ложа под верхним или нижним съемным зубным протезом.
Полученный в результате клинического исследования цифровой материал обработан на ПК с использованием специализированного пакета для статистического анализа — Statistica for Windows v. 6.0. Для суждения о достоверности различий встречаемости частоты явлений использовали критерий χ 2 Пирсона, а также точный критерий Фишера для малых выборок. Различия между сравниваемыми группами считались достоверными при р≤0,05. Случаи, когда значения вероятности показателя «р» находились в диапазоне от 0,05 до 0,10, расценивали как «наличие тенденции».
Результаты и обсуждение
Прежде чем представить сведения о реакции слизистой оболочки протезного ложа на съемные зубные протезы в период адаптации к ним у пациентов двух исследуемых групп, отметим, что для наибольшей однородности контрольной и основной групп в первые два дня периода адаптации у пациентов обеих групп устраняли шероховатости на внутренней поверхности базисов протезов, уточняли длину и толщину краев базисов протезов, то есть устраняли длинные и острые края базиса, а также, путем коррекции окклюзии, артикуляции и создания множественных контактов искусственных зубов устраняли имеющееся повышенное жевательное давление. Были исключены аллергические и токсические протезные стоматиты, а также болевые синдромы — стоматологии, обусловлены коморбидной патологией и синдромом гальванизма [14]. Следует также отметить, что перед протезированием у всех пациентов устраняли острые костные выступы в области протезного ложа, а по завершении протезирования у всех пациентов была обеспечена удовлетворительная фиксация и стабилизация съемных зубных протезов.
Оценка результатов протезирования на 3—4-е сутки от начала ношения съемных зубных протезов показала, что в контрольной группе, то есть у тех пациентов, которые в период адаптации не использовали каких-либо средств для улучшения фиксации съемных зубных протезов, средние значения изученных показателей были следующими: болевой синдром — 2,36 балла, влажность слизистой оболочки протезного ложа — 0,93 баллов, наличие воспалительного процесса, а также травм слизистой оболочки протезного ложа — 3,25 балла (рис. 2, а). У пациентов основной группы, которые с первого дня периода адаптации использовали крем для фиксации зубных протезов Corega, состояние слизистой оболочки протезного ложа по всем исследуемым показателям было достоверно лучше (р≤0,05), чем в контрольной группе. Так, изученные показатели на 3—4-е сутки в основной группе были следующими: болевой синдром — 1,13 балла, влажность слизистой оболочки протезного ложа — 0,62 балла, наличие воспалительного процесса, а также травм слизистой оболочки протезного ложа —1,63 балла.

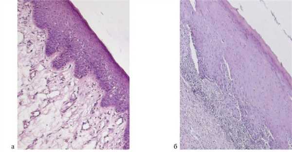
Рис. 2. Пациент К., 62 года (контрольная группа исследования), впервые протезируемый съемными зубными протезами. а — морфологическая картина слизистой оболочки в области будущего протезного ложа (норма), (гематоксилин-эозин, ув. 100); б — морфологическая картина слизистой оболочки в области протезного ложа на 29-е сутки адаптационного периода, в соединительной ткани слизистой выявляется умеренно выраженная мононуклеарная и слабовыраженная нейтрофильная воспалительная реакция; гиперкератоз и акантоз многослойного плоского эпителия слизистой (гематоксилин-эозин, ув. 100).
На 28—30-е сутки от начала пользования съемными зубными протезами описанная тенденция в реакции слизистой оболочки протезного ложа у пациентов контрольной и основной групп сохранилась, так как у лиц 2-й группы показатель наличия и выраженности воспалительной реакции и травм слизистой оболочки протезного ложа были достоверно меньшими (р≤0,05), чем в контрольной группе (см. рис. 2, б). Так, если по завершению адаптационного периода в контрольной группе этот показатель составил 1,63 балла, то в основной группе — 0,55 балла (р≤0,05). Также у пациентов основной группы достоверно меньше по сравнению с контролем определялся болевой синдром. Данный показатель в завершении периода адаптации составил в контрольной группе 1,13 балла, в основной группе — 0,68 балла (р≤0,05). Изучение изменения влажности слизистой оболочки протезного ложа у лиц контрольной и основной группы по завершению периода адаптации не выявило достоверных различий, однако в основной группе отмечалась положительная тенденция к нормализации влажности слизистой оболочки протезного ложа, а данный показатель составил 0,62 и 0,53 балла, соответственно (р≥0,05).
Клиническое наблюдение в адаптационный период выявило бо́льшую частоту встречаемости жалоб на боли в тканях протезного ложа у пациентов контрольной группы, в отличие от лиц основной группы, применявших крем для фиксации зубных протезов Corega. У лиц контрольной группы также чаще выявлялась сухость слизистой оболочки протезного ложа, а также ее воспалительные и травматические поражения, в отличие от лиц основной группы (рис. 2; рис. 3, 4).

Рис. 2. Оценка реакции слизистой оболочки протезного ложа у пациентов контрольной и основной групп. а — на 3—4-е сутки адаптационного периода; б — на 28—30-е сутки адаптационного периода.
Одним из этапов исследования было изучение морфологических особенностей реагирования слизистой оболочки протезного ложа на зубные протезы в период адаптации к ним и влияние на этот процесс крема для фиксации зубных протезов Corega. Выполненное морфологическое изучение реакции слизистой оболочки протезного ложа на съемные акриловые зубные протезы у пациентов контрольной и основной групп показало, что у лиц, применявших в период адаптации к ортопедическим замещающим конструкциям крем для фиксации зубных протезов Corega, воспалительные изменения выражены в меньшей степени, чем у лиц контрольной группы (рис. 3, 4,), что, очевидно, связано с содержанием в составе крема для фиксации зубных протезов Corega средств, обладающих антисептическим, противовоспалительным и ранозаживляющим действием.
Заключение
Применение в адаптационном периоде средств, улучшающих фиксацию съемных зубных протезов, типа крема для фиксации зубных протезов Corega, позволяет существенно улучшить не только психоэмоциональное состояние протезоносителей [11], пользующихся частичными или полными съемными зубными протезами, но и значительно улучшить состояние слизистой оболочки протезного ложа, уменьшить выраженность воспалительных изменений в ответ на воздействие полимерных материалов, из которых изготовлены съемные зубные протезы.
АО «ГлаксоСмитКляйн Хелскер»
РФ, 123112, г. Москва, Пресненская наб., д. 10
Статья опубликована при финансовой поддержке компании «ГлаксоСмитКляйн». Включенная информация отражает мнение автора и может не совпадать с позицией «ГлаксоСмитКляйн». Компания «ГлаксоСмитКляйн» не несет ответственности за возможные нарушения авторских прав и иных прав третьих лиц в результате публикации и распространения данной информации.
Смоленская государственная медицинская академия, Россия, 214019, Смоленск
ФГБОУ ВО «Смоленский государственный медицинский университет» Минздрава России, Смоленск, Россия
Адгезивные средства для съемных протезов. Мифы и реальность (лабораторное исследование)
В работе представлены результаты лабораторной оценки силы фиксации полных съемных протезов на нижнюю челюсть с применением адгезионного крема для зубных протезов КОРЕГА в зависимости от толщины исследуемого слоя. Для создания различного зазора между базисом полного съемного протеза и поверхностью лабораторной модели были изготовлены 4 модели из супергипса с различной толщиной изоляции по периметру протезного ложа для последующей полимеризации 4 полных съемных акриловых протезов с идентичными границами и различной величиной зазора от протезного ложа(0; 0,3; 0,5; 1 мм). Проверка величины зазора между базисом протеза и мастер-моделью проводилась измерением толщины наносимого силиконового корригирующего материала. Для имитации условий полости рта (температуры и влажности) проводилась предварительная подготовка модели. Модель с протезом и помещенным между ними адгезивным кремом жестко фиксировали в штативе. Через отверстия в базисе к протезу прикрепляли емкость, в которую наливали воду до тех пор, пока протез не отрывался от модели. Результаты проведенных лабораторных исследований выявили рост силовых показателей крема для фиксации зубных протезов КОРЕГА при уменьшении его толщины.
В профессиональном стоматологическом сообществе вопросы, связанные с различными аспектами лечения пациентов частичными и полными съемными ортопедическими конструкциями, уже много десятилетий вызывают дискуссии [1, 2]. Причем в последние годы молодое поколение специалистов относится к такому виду протезирования с меньшим вниманием, иногда, мягко сказать, пренебрежительно. При этом утверждается, что такие конструкции — удел стоматологов, не владеющих современными технологиями протезирования, и свидетельствуют о низком уровне оказания стоматологической помощи, которой, по их мнению, занимаются врачи государственных лечебных учреждений или слабо оснащенных клиник. В качестве альтернативы предлагается проведение имплантации с последующим протезированием, зачастую с игнорированием общих и местных противопоказаний, возраста пациента и экономической составляющей [3].
Реальное состояние вопроса выбора методики ортопедического лечения заключается в том, что число лиц, способных оплатить имплантацию, при наличии показаний к ней, и пациентов, которым требуется замещение частичного или полного отсутствия зубов съемными протезами, отличается в десятки раз [4]. И наиболее распространенной методикой протезирования зубов, особенно у пациентов 50 лет и старше, являются съемные конструкции [5]. По данным ВОЗ, к 2050 г. число лиц, которые будут нуждаться в изготовлении съемных протезов, достигнет 1 млрд человек, что связывают не только с ростом стоматологической заболеваемости, но и увеличением продолжительности жизни [6, 7].
Наиболее сложной проблемой является реабилитация пациентов с полной потерей зубов — как со стороны задач, которые должны быть решены в процессе лечения, так и со стороны особенностей проведения клинико-лабораторных этапов изготовления полных съемных протезов. Последние должны проводиться в строгой последовательности, и игнорирование любого из них негативно сказывается на эффективности восстановления утраченных вследствие полной потери пациентом зубов функций.
По данным А.К. Иорданишвили и соавт. (2018), до 30% пациентов с полными съемными протезами не могут пользоваться ими по различным причинам [8]. В большей степени это связано со снижением адаптационных возможностей пожилых пациентов, неудовлетворительным качеством конструкций и несоблюдением принципа законченности лечения [9]. В результате пациенты вынуждены находиться в самоизоляции, что является сложной социальной проблемой человека любого возраста и общества [10].
Тем не менее решить ряд вопросов, позволяющих повысить эффективность протезирования и качество жизни пациентов, возможно с помощью адгезивных средства для улучшения фиксации протезов [11, 12].
В профессиональном сообществе стоматологов-ортопедов сложились некоторые предубеждения по отношению к фиксирующим адгезивным средствам [13]. Первое связано с тем, что если врач предлагает пациенту использовать адгезивные средства, значит, он расписывается в собственной беспомощности изготовить хорошо фиксируемую съемную конструкцию, и поэтому он ни слова об этом не говорит. В результате пациенты лишены информации о возможности улучшить качество жевания и соответственно жизни из-за ошибочного мнения специалиста.
Вторая проблема связана с тем, что врачи по различным причинам нарушают рекомендации и этапность в изготовлении протезов или, считая их не очень эффективным способом лечения, изготавливают протезы, не отвечающие в полной мере клиническим требованиям [14]. В этом случае для решения проблем с фиксацией врачи предлагают пользоваться адгезивными средствами как единственным способом, позволяющим решить эту проблему, не уделяя должного внимания прецизионности протеза.
Цель исследования — провести лабораторную оценку фиксирующей способности адгезивного материала для полного съемного протеза на нижнюю челюсть в зависимости от толщины наносимого слоя.

Для исследования была изготовлена акриловая мастер-модель беззубой нижней челюсти из прозрачной пластмассы. Для создания различного зазора между базисом полного съемного протеза и поверхностью модели были изготовлены четыре гипсовые модели, являющиеся точными копиями акриловой модели. На них были определены одинаковые границы базисов полных съемных протезов и при помощи бюгельного воска различной толщины (0,3, 0,5 и 1 мм) на трех из них создана изоляция по всему периметру протезного ложа, не доходя 0,5 мм до границы базиса протеза; на одну из моделей изоляцию не наносили (рис. 1). Рис. 1. Рабочие модели из супергипса с восковой изоляцией протезного ложа толщиной 0,3, 0,5 и 1 1 мм и без изоляции.
Полученные модели дублировали технической силиконовой массой для изготовления 4 моделей из супергипса, на которых проводилось изготовление полных съемных протезов. В результате нами было получено 4 полных съемных нижних протеза с одинаковыми границами, но разной величиной зазора от протезного ложа.

Для контроля величины зазора между базисами протеза и акриловой моделью помещался корригирующий силиконовый материал, после полимеризации которого микрометром измеряли его толщину (рис. 2). Рис. 2. Акриловые модели с корригирующим силиконовым материалом различной толщины.
Для имитации условий полости рта (температуры и влажности) перед нанесением на поверхность протеза адгезивного крема модель вместе с протезом помещали в устройство (аналог водяной бани) для нагрева до 37 °C во влажной среде.

Затем образцы извлекали, заполняли протезное пространство кремом, излишки удаляли и помещали модель в водяную баню еще на 5 мин (рис. 3). Рис. 3. Этапы эксперимента. а — нанесение фиксирующего крема на протезное ложе; б — модель с протезом помещена в водяную баню.

После этого изучали силу адгезии. Модель с протезом жестко фиксировали в штативе протезом вниз. К последнему через заранее подготовленные под искусственными зубами отверстиями прикрепляли 5-литровую емкость (рис. 4). Рис. 4. Этапы эксперимента. а, б — фиксация модели в штативе; в — емкость для воды закреплена под протезом.

В последнюю наливали воду до тех пор, пока протез не отрывался от модели (рис. 5). Рис. 5. Наполнение емкости водой до полного отрыва протеза от модели. Объем воды взвешивали и затем проводили статистическую обработку данных.
В целях более корректного проведения эксперимента для каждого протеза проводили трехкратное испытание 10 сотрудников кафедры, получивших одинаковые инструкции (калибровка специалистов). Таким образом, с каждым из протезов было проведено 30 испытаний.
Максимальные показатели силы фиксации протезов были достигнуты на образцах с минимальной величиной зазора — 0,0 и 0,3 мм — и составили 2235,8±254,38 и 1782,2±92,52 г соответственно (см. таблицу). Показатели силы сцепления фиксирующего крема между экспериментальной моделью и полным съемным протезом Примечание. Различия достоверны при p≤0,001 для всех сравниваемых групп. Худшие же данные получены при максимальной исследуемой величине зазора в 1 мм — 485,2±156,38 г, что в 4,5 раза ниже по сравнению с показателями фиксации, полученными при минимальном зазоре в 0,0 мм, и в 3,5 раза ниже при величине зазора 0,3 мм. Различия статистически достоверны (p≤0,001). Ввиду малого объема выборок попарные сравнения проводились согласно критерию Манна—Уитни.
Полученные данные позволяют сделать ряд выводов и предположений. Адгезивные свойства крема для фиксации зубных протезов КОРЕГА напрямую зависят от величины зазора между базисом и поверхностью модели: чем меньше зазор, тем выше сила адгезии.
Можно предположить, что только при обеспечении минимального зазора между базисом и слизистой протезного ложа получится действительно повысить степень фиксации съемного протеза. Объяснение этому заключается в том, что при меньшем объеме адгезивного крема для смещения протеза с протезного ложа придется преодолеть силы не только адгезии, но и когезии (когезия — связь между одинаковыми молекулами, атомами, ионами внутри тела в пределах одной фазы). Учитывая этот факт, при изготовлении полных съемных протезов стоит придавать особое значение получению функционального оттиска, отдавая предпочтение методике с дифференцированным давлением, виду оттискного материала, который должен быть гидрофильным и мукостатичным, чтобы максимально точно передавать микрорельеф слизистой оболочки.
Следует признать, что попытки подменить кремом для фиксации зубных протезов КОРЕГА необходимость перебазировки или переделки съемной конструкции стоит признать ошибочным мнением, и если отмечается значительная подвижность съемного протеза или увеличение зазора по причине изменяющегося рельефа тканей протезного ложа, то адгезивные средства лишь кратковременно (на 1—2 ч) помогут решить проблему или вообще не помогут. По нашему мнению, если пациент, использующий крем для улучшения фиксации протезов, отмечает увеличение его количества, помещающегося под протезом, при снижении продолжительности фиксирующего эффекта — это свидетельство необходимости коррекции или повторного изготовления протеза, и врач, давая рекомендации по пользованию протезом, должен проинформировать об этом пациента.
Таким образом, проведенное исследование показало необходимость изготовления протезов, максимально точно соответствующих рельефу тканей протезного ложа. Это достигается только при хорошем знании анатомии беззубого рта, понимании расположения буферных и нейтральных зон слизистой оболочки протезного ложа, знании свойств оттискных материалов и огромном терпении врача-стоматолога на всех этапах протезирования. Именно при соблюдении вышеперечисленных условий адгезивный крем максимально проявит свои фиксирующие свойства и повысит эффективность жевательной функции. Результаты проведенного исследования дают основание рекомендовать использование адгезивного крема КОРЕГА всем пациентам, пользующимся съемными протезами, что окажет положительное влияние на социальную адаптацию и качество жизни пациентов с частичным и полным отсутствием зубов.
Авторы заявляют об отсутствии конфликта интересов.
The authors declare no conflicts of interest.
Сведения об авторах
КАК ЦИТИРОВАТЬ:
Стоматологическая поликлиника №29 Фрунзенского района Санкт-Петербурга, Санкт-Петербург, Россия
Особенности потребления средств для фиксации зубных протезов и их влияние на слизистую оболочку протезного ложа
Журнал: Стоматология. 2020;99(2): 55‑60
Цель исследования — изучение состояния слизистой оболочки протезного ложа, особенностей фиксации съемных зубных протезов с учетом пола и возраста пациентов, а также определение целесообразности применения пациентами средств для фиксации зубных протезов. Материал и методы. Проведено клинико-социологическое исследование, в котором участвовали 283 человека (130 мужчин и 153 женщины), пользующихся зубными протезами, в возрасте от 45 до 92 лет. У всех пациентов были акриловые съемные зубные протезы на одну или обе челюсти. При наличии у пациентов жалоб на недостаточную фиксацию протезов им рекомендовали для ежедневного использования крем для фиксации протезов. Спустя 14 суток пациентов осматривали повторно и оценивали динамику жалоб на фиксацию съемных зубных протезов, а также изменения со стороны слизистой оболочки протезного ложа. Результаты. Установлено, что независимо от пола и возрастной группы пациенты, пользующиеся частичными и полными съемными зубными протезами, редко (в 4,3% случаев) используют различные средства-кремы для фиксации зубных протезов, хотя у 40,8% отмечается неудовлетворительная фиксация и (или) стабилизация съемных акриловых частичных и полных зубных протезов, а также в 51,9% случаев выявляются воспалительные изменения со стороны слизистой оболочки протезного ложа. Коррекция съемных протезов, а также ежедневное использование крема для фиксации зубных протезов позволили в течение двух недель сократить на 72,5% жалобы пациентов на неудовлетворительную фиксацию и (или) стабилизацию съемных зубных протезов, а также у 86,4% пациентов устранить имеющиеся воспалительные изменения тканей протезного ложа.
В последние десятилетия наблюдается устойчивая тенденция к увеличению продолжительности жизни людей, в том числе в Российской Федерации (РФ) [1]. С возрастом люди теряют естественные зубы из-за основных стоматологических заболеваний, главным образом, хронических периапикальных и пародонтальных очагов одонтогенной инфекции и их обострений [2]. Утрата естественных зубов (частичная, полная) обусловливает возникновение стойко нарушенных функций жевания, речи, эстетики зубных рядов и лица и в конечном счете приводит к возникновению зубочелюстных деформаций, другой стоматологической и соматической патологии, связанной с нарушением степени измельчения пищи и ее ферментативной обработки в полости рта [3—5].
Для профилактики стоматологической и соматической патологии, обусловленной утратой естественных зубов, применяют зубное протезирование.
В большом количестве клинических наблюдений пациентам не удается изготовить несъемные или условно-съемные зубные протезы, фиксированные на естественных зубах или имплантатах (дентальных и (или) скуловых), особенно лицам старших возрастных групп — главным образом, из-за экономических соображений [6]. Такие зубные протезы являются дорогостоящими, в то же время для пенсионеров РФ съемные зубные протезы (кроме «гибких» зубных съемных протезов из нейлона) изготавливают в государственных (муниципальных и ведомственных) стоматологических учреждениях за счет средств бюджета, т.е. бесплатно для пациента.
Частичные и полные съемные акриловые зубные протезы практически не имеют противопоказаний, не требуют одонтопрепарирования, полностью восстанавливают целостность зубных рядов, а также гигиеничны и эстетичны. Однако они все же имеют ряд отрицательных свойств: недостаточно восстанавливают функцию жевания, сложны для создания хорошей фиксации и стабилизации, передают жевательное давление на слизистую оболочку протезного ложа, изменяют тактильную, температурную и вкусовую чувствительность в полости рта, способствуют размножению микроорганизмов, в том числе условно-патогенных и патогенных, нарушают функцию речи, обостряют чувствительность к раздражающим компонентам пищи и воспринимаются как инородное тело. Кроме того, при пользовании съемными зубными протезами часто возникают воспалительные изменения слизистой оболочки протезного ложа, особенно при наличии сопутствующей коморбидной патологии [7—9].
Поэтому, используя съемные зубные протезы различных конструкций, пациенты стремятся улучшить их функционирование, а также устранить воспалительные изменения протезного ложа, для чего созданы специальные кремы и гели для фиксации зубных протезов [10]. Клинические исследования показали, что их применение действительно улучшает фиксацию [11] и уменьшает психоэмоциональный дискомфорт. Это подтверждается объективными исследованиями, а именно: изучением качества ночного сна, уровня дневного стресса и динамики коэффициента восстановления. Поэтому использование кремов и гелей для фиксации зубных протезов является важным элементом индивидуальных гигиенических стоматологических лечебно-профилактических мероприятий [12]. В то же время не проводились клинико-социологические исследования об использовании пациентами разных возрастных групп средств фиксации протезов, а также влиянии этих средств на слизистую оболочку протезного ложа.
Цель работы — изучить состояние слизистой оболочки протезного ложа, особенности фиксации съемных зубных протезов с учетом пола и возраста пациентов, а также определить целесообразность применения такими пациентами средств для фиксации зубных протезов.
Проведен опрос, осмотр полости рта и оценка съемных зубных протезов у 283 человек (130 мужчин и 153 женщин) в возрасте от 45 до 92 лет (рис. 1), на предмет оценки состояния слизистой оболочки протезного ложа и поля, полноценности съемных зубных протезов. Оценка применения средств для улучшения фиксации съемных зубных протезов проводилась у пациентов пожилого возраста (131 человек), среди них в группу контроля были включены 48 пациентов (26 женщин и 22 мужчины), в группу исследования набраны 83 пациента (45 женщин и 38 мужчин). Все обследованные пациенты пользовались акриловыми съемными зубными протезами — частичными или полными (рис. 2) — на одну или обе челюсти. Период пользования протезами составлял 12—18 мес.

Рис. 1. Распределение пациентов по полу и возрасту (человек).

Рис. 2. Характеристика съемных зубных протезов у обследованных пациентов (человек).
При наличии у пациентов жалоб на недостаточную фиксацию протезов им рекомендовали для ежедневного использования средства для фиксации зубных протезов Корега, для сопоставимости результатов исследования пациентов осматривали на 12—16-е и 28—30-е сутки использования крема. Оценивали динамику жалоб на фиксацию съемных зубных протезов, а также динамику изменений со стороны слизистой оболочки протезного ложа. Эффективность пользования полными съемными протезами с использованием средства для фиксации зубных протезов Корега оценивалась у пациентов пожилого возраста с полным съемным протезированием — 35 человек. Пациенты, отказавшиеся использовать крем для фиксации, вошли в группу контроля — 11 человек, группа исследования составила 24 человека.
Оценка эффективности изучалась по методике, учитывающей следующие субъективные и объективные клинические симптомы или показатели на основании их оценки в баллах:
1) болевой синдром: отсутствует — 0 баллов; боли умеренные, появляющиеся только во время приема пищи при жевании — 1 балл; боли постоянные при ношении зубного протеза — 5 баллов.
2) ношение зубного протеза в течение суток: постоянное, в том числе ночью — 0 баллов; пользование протезом в течение дня — 1 балл; протезы являются «парадно-выходными», т.е. пользование протезами в исключительных случаях — 5 баллов.
3) использование протеза при жевании: постоянно — 0 баллов; периодически из-за каких-либо неудобств — 1 балл; не используются или используются в исключительных случаях — 5 баллов.
4) результаты пробы с ядром по И.С. Рубинову (1970): на балансирующей стороне нет смещения протеза — 0 баллов; на балансирующей стороне имеется смещение зубного протеза — 1 балл; смещение и сбрасывание протеза на обеих сторонах, балансирующей и рабочей, — 5 баллов.
5) оценка фиксации и стабилизации протеза: хорошие — 0 баллов; фиксация хорошая, стабилизация удовлетворительная — 1 балл; неудовлетворительная фиксация и стабилизация протеза или неудовлетворительная стабилизация при удовлетворительной фиксации протеза — 5 баллов.
После регистрации указанных клинических симптомов и показателей согласно предложенному нами способу осуществляли подсчет суммы баллов и исходя из нее оценивали степень эффективности пользования зубным протезом следующим образом: 0 — хорошая эффективность; 1—4 балла — удовлетворительная эффективность; 5—9 баллов — эффективность пользования протезом снижена; 10—25 баллов — неэффективное пользование зубным протезом.
Для оценки эффективности адаптации в период привыкания к зубному протезу (в процентном выражении), согласно разработанному нами алгоритму, необходимо осуществить расчет по формуле:
где А — сумма баллов при клинической оценке эффективности пользования зубным протезом в начале периода адаптации; В — сумма баллов при клинической оценке эффективности пользования зубным протезом на этапе коррекции зубного протеза или в конце периода адаптации.
Полученный в результате клинического исследования цифровой материал обработан на ПК с использованием специализированного пакета для статистического анализа — Statisticа for Windows, v.6.0. Для суждения о достоверности различий встречаемости частоты явлений использовали критерий χ 2 Пирсона, а также точный критерий Фишера для малых выборок. Для оценки эффективности лечения использовались непараметрические методы. Различия между сравниваемыми группами считались достоверными при р≤0,05.
В ходе опроса и осмотра полости рта пациентов разных возрастных групп выяснили, что жалобы на неудовлетворительную фиксацию съемных акриловых зубных протезов предъявляли 115 человек (40,78%) (рис. 3), из лиц, которые не пользуются кремом для фиксации зубных протезов. Крем для фиксации съемных зубных протезов использовался пациентами независимо от пола (р≤0,01) редко (рис. 4). Его применяли ежедневно или от случая к случаю 5 мужчин (3,85%) и 7 женщин (4,58%) .

Рис. 3. Число пациентов разных возрастных групп, предъявляющих жалобы на неудовлетворительную фиксацию съемных зубных протезов с учетом пола и конструкции зубного протеза.

Рис. 4. Число пациентов, использующих крем для фиксации полных и частичных зубных протезов, и их возрастной и гендерный состав.
На рис. 5 представлена частота использования пациентами разных кремов для фиксации зубных протезов. Отметим, что выбор пациентами крема для фиксации зубного протеза осуществлялся согласно рекомендациям работника аптеки. Следует также подчеркнуть, что среди этих лиц у 3 человек (25%) фиксация съемных зубных протезов была неудовлетворительной, что связано с переломом кламмеров частичного съемного протеза (1 случай) и выраженным несоответствием базисов полных протезов тканям протезного ложа (2 случая) из-за выраженной атрофии альвеолярных отростков (частей) челюстей и частых реставраций зубных протезов (р≤0,05).

Рис. 5. Средства для фиксации съемных протезов, применяемые пациентами (чел.).
Воспалительные изменения слизистой оболочки протезного ложа среди лиц, пользовавшихся кремом для фиксации съемного протеза, визуально определялись лишь у 1 женщины (8,33%) старческого возраста (р≤0,01), у которой полный съемный протез балансировал на протезном ложе вследствие возрастной атрофии и сопутствующего сахарного диабета 2-го типа. Из лиц, не применявших крем для фиксации протезов (рис. 6), воспалительные изменения слизистой оболочки протезного ложа были выявлены у 140 человек (51,85%) (р≤0,01).

Рис. 6. Встречаемость воспалительных изменений слизистой оболочки протезного ложа у пациентов различных возрастных групп с учетом пола и конструкции зубного протеза (чел.).
Всем пациентам, имевшим неудовлетворительную фиксацию съемных зубных протезов (115 человек), а также воспалительные изменения слизистой оболочки протезного ложа (140 человек), была выполнена коррекция протезов (уточнение границ базиса, снятие малых шероховатостей с внутренней поверхности базиса протеза), а также даны рекомендации по ежедневному применению ими средства для фиксации зубных протезов Корега.
При контрольном осмотре этих пациентов жалобы на неудовлетворительную фиксацию сохранились у 27 человек (23,48%) (р≤0,01). Это было обусловлено длительными сроками пользования протезами, базисы которых в должной мере не соответствовали рельефу тканей протезного ложа. Была дана рекомендация по замене съемных зубных протезов на новые.
Воспалительные изменения со стороны слизистой оболочки протезного ложа при использовании средства для фиксации зубных протезов Корега купировались у 121 пациента (86,43%) (р≤0,01).
У 19 пациентов (13,57%) воспалительные явления тканей протезного ложа сохранялись за счет неточности прилегания базиса протеза к естественным зубам, вызывавшей хроническую травму десны, или к слизистой оболочке неба, альвеолярного отростка (части) челюстей, что приводило к застойной гиперемии слизистой оболочки рта.
Оценка применения средства для фиксации зубных протезов Корега у пациентов пожилого возраста показала, что на 12—16-е сутки использования крема эффективность ношения протезов была на 15% выше по сравнению с группой контроля. При этом на 28—30-е сутки ношения протезов эффективность выросла еще на 4% в группе исследования и на 2% в группе контроля. Полученные данные позволяют судить о более эффективном пользовании полными съемными протезами пациентами пожилого возраста, применяющими средство для фиксации зубных протезов Корега, особенно в начале использования крема.
Независимо от пола и возрастной группы пациенты, пользующиеся частичными и полными съемными зубными протезами редко (в 4,3% случаев), используют различные средства-кремы для фиксации зубных протезов, хотя у 40,8% отмечается неудовлетворительная фиксация и (или) стабилизация съемных акриловых частичных и полных зубных протезов. А также в 51,9% случаев независимо от пола и возраста выявляются воспалительные изменения со стороны слизистой оболочки протезного ложа.
Коррекция съемных протезов, а также ежедневное использование средства для фиксации зубных протезов Корега позволило в течение двух недель сократить на 72,5% количество жалоб пациентов на неудовлетворительную фиксацию и (или) стабилизацию съемных зубных протезов, увеличить эффективность пользования полными съемными протезами в группе людей пожилого возраста на 15%, а также у 86,4% пациентов устранить имеющиеся воспалительные изменения тканей протезного ложа. Таким образом, для улучшения фиксации и стабилизации съемных зубных протезов, а также профилактики и устранения воспалительных процессов слизистой оболочки протезного ложа пациентам, пользующихся частичными и полными съемными акриловыми зубными протезами, целесообразно рекомендовать для ежедневного использования крем для фиксации зубных протезов.
Читайте также:
