Внекостномозговое кроветворение на КТ, МРТ головы
Добавил пользователь Евгений Кузнецов Обновлено: 28.01.2026
Нередко пациентов интересует, можно ли самостоятельно расшифровать фото МРТ, что означают темные и светлые участки на снимках, где посмотреть примеры изображений здорового головного мозга. На эти вопросы ответим в нашей статье.
Магнитно-резонансная томография - один из наиболее информативных методов диагностики. Технология является неинвазивной и абсолютно безопасной для людей любого возраста. Лечащий врач назначает процедуру при подозрении на опухоли или при наличии в анамнезе пациента патологий сосудов (особенно важна диагностика после инсультов), гормональных нарушений, эпилептических припадков. Расшифровка МРТ головного мозга помогает выявить причины:
- тошноты и рвоты по утрам;
- стойкого повышения артериального/внутричерепного давления;
- регулярных головных болей (у людей старше 50 лет данный симптом может указывать на предынсультное состояние);
- внезапного ухудшения зрения;
- судорожных приступов;
- резкого изменения поведения;
- шума в ушах, головокружений;
- частых потерь сознания и других симптомов поражения органа.
МРТ необходима в случае подозрения на новообразования (диагностика покажет степень инвазии опухоли в здоровые ткани), для отслеживания динамики патологического процесса, контроля результатов лечения, в том числе хирургического.
Детям сканирование на магнитно-резонансном томографе делают для определения причин отставания в развитии, приступов судорог, при выраженной гидроцефалии (один из признаков аномалии - увеличение размеров головы) и пр. Применение контраста расширяет возможности исследования: дополнительные средства визуализации позволяют выявить болезни церебральных сосудов, онкологические и другие процессы.
Как выглядит фото снимок МРТ головного мозга?
Магнитно-резонансная томография помогает диагностировать целый ряд заболеваний. Заключение МРТ головного мозга отражает:
- врожденные пороки развития органа;
- патологии сосудистой системы;
- острые нарушения кровообращения (ишемический и геморрагический инсульты на разных стадиях);
- наличие кист, опухолей (расшифровка МРТ головного мозга не является окончательным диагнозом, для верификации характера новообразования проводится биопсия);
- демиелинизирующие процессы (рассеянный склероз и др.);
- инфекционно-воспалительные заболевания;
- последствия черепно-мозговых травм;
- нарушение обмена веществ в головном мозге;
- нейродегенеративные расстройства и др.
МР-снимок церебральных структур в режиме Т2 (аксиальная проекция)
Анализ результатов МРТ головного мозга заключается в расшифровке снимков, выполненных в трех плоскостях (аксиальной, сагиттальной и коронарной) с шагом среза от 1 мм. Сканирование области интереса проводят в разных режимах. Основными являются Т1 и Т2 ВИ. Отличие режимов друг от друга состоит в отображении структур, содержащих жидкость. Ткань с большим количеством воды в режиме Т1 имеет на фото темную окраску, в Т2 - светлую. По-разному выглядит серое вещество головного мозга. В последовательности Т2 субстанция визуализируется в светлом оттенке.
МР-снимок головного мозга в режиме Т1 (аксиальная проекция)
Для сканирования церебральных структур применяют и другие режимы - с целью снижения интенсивности сигнала от жира, изучения распределения протонов водорода в мозговой ткани и т.д.
При описании фотографий врач сравнивает полученные показатели с образцами нормы. Для правильной интерпретации снимков МРТ специалист должен разбираться в строении головного мозга человека. Нужно знать размеры каждой структуры, понимать, что значат отклонения от нормальных параметров, хорошо ориентироваться в вопросах физиологии и патологической анатомии.
Норма МРТ головного мозга
Нормальное состояние ткани мозга на МР-снимке головы (сагиттальная проекция)
Формирование заключения при расшифровке МРТ головного мозга - сложный многоэтапный процесс. Изучение картины начинают с полушарий. Контуры должны быть четкими, округлой формы. В норме на изображениях полушарий нет грубых вдавливаний и выпячиваний. Далее исследуют структуру вещества головного мозга. При отсутствии патологий очаговые и диффузные изменения на фото не наблюдаются. Третий этап изучения снимков - оценка желудочковой системы. Любое уменьшение или увеличение размера последней или ее отдельных частей считают отклонением. При МРТ с усилением у здорового человека контрастное вещество быстро покидает сосудистое русло и концентрируется в области патологических изменений.
Как читать результаты МРТ головного мозга?
В заключении врач описывает состояние рассматриваемых структур. При обнаружении в результатах магнитно-резонансной томографии патологического очага специалист оценивает следующие параметры:
- положение - локализация помогает определить, какие отделы головного мозга поражены и прогнозировать последствия;
- форму, размер зоны поражения;
- контуры;
- оттенок - по изменению тона серого цвета на томографических снимках (участки затемнения, просветления) врач может сделать вывод о природе патологического процесса;
- специфические характеристики, свойственные тому или иному заболеванию.
Результаты МРТ мозга с контрастом показывают наличие опухоли (пораженная часть выделена красным): патологический очаг, в отличие от здоровой ткани, интенсивно накапливает усилитель, четкие границы и связь с твердой оболочкой дают возможность предположить доброкачественное образование
Томограммы должен расшифровывать специалист. Прочитать снимки самостоятельно можно лишь приблизительно. Профессионал увидит на фото:
- опухоли - для доброкачественных образований характерны ровность краев и наличие капсулы, опасные патологии, как правило, отличаются нечеткими границами, имеют собственную сосудистую сеть и внедряются в окружающие структуры; множественные очаги на картине могут указывать на метастазы;
- болезни сосудов:
- стеноз - сужение стенок артерий и вен;
- мальформации - неправильное соединение сосудов;
- аневризмы - выпячивание стенки артерий (просвет может быть расширен более, чем в два раза);
- признаки тромбоза - в описании МРТ мозга с контрастом указывают, что имеется окклюзия (прекращение кровотока) или дефект наполнения сосуда;
- атеросклеротические бляшки и т.д.
- гидроцефалию - на патологическое скопление ликвора указывает расширение полости желудочков и/или субарахноидальных пространств;
- инсульт - область, пострадавшая от гипоксии,;
- рассеянный склероз - в разных областях белого вещества появляются мелкие очаги демиелинизации;
- возрастные изменения - МРТ-картина головного мозга показывает истончение коры, сокращение гиппокампа, расширение извилин и др.

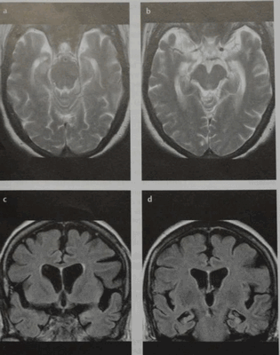
Атрофия головного мозга при болезни Альцгеймера на снимках МРТ: а, b - Т2 ВИ в аксиальной проекции, с, d - режим FLAIR в коронарной плоскости. Визуализируются истончение коры теменной и височной долей, особенно в области гиппокампа. Височные рога боковых желудочков расширены
При врожденных пороках МР-снимки патологии головного мозга детально сравнивают с нормой. Некоторые аномалии не представляют опасности для жизни и не требуют лечения.
После обследования во многих клиниках предусмотрена консультация с врачом лучевой диагностики. Доктор дает пояснения по поводу обнаруженных изменений. Для пациента расшифровывается, какие структуры головного мозга затронуло поражение, с чем связан патологический процесс, обсуждаются вероятные последствия. В некоторых ситуациях требуется многократное магнитно-резонансное сканирование для наблюдения динамики и определения скорости прогрессирования заболевания.
Точно расшифровать МРТ головного мозга без помощи специалиста нельзя. Человек без медицинского образования не сумеет различить нормальные показатели и отклонения, понять значение изменения цвета и т.д. Чтобы читать снимки, надо знать множество нюансов. Одинаковые патологии могут по-разному выглядеть в зависимости от возраста человека. Поставить правильный диагноз прио расшифровке МРТ головного мозга способен лишь опытный врач.
Заболевания костного мозга. Исследование и виды заболеваний костного мозга

Костный мозг не имеет прямого отношения к нервной системе человека. Однако важность его настолько велика, что отразилась в названии. Внутреннее содержимое костей - это жизненно важный орган, называемый «мозгом», что подчёркивает высокую функциональную значимость костного вещества. Как известно, работа всего организма организована таким образом, что необходим постоянный обмен веществами между всеми частями тела, органами и тканями. Эту функцию выполняет кровь. Именно в костном мозге происходит постоянное обновление компонентов крови - процесс образования новых кровяных телец трёх видов: эритроцитов, тромбоцитов и лейкоцитов. Вторая уникальная характеристика костного мозга - это наличие в его составе стволовых клеток, способных превращаться в клетки любого органа или любой ткани, присущей данному организму. Эта особенность в настоящее время активно изучается и используется в самых инновационных методиках лечения заболеваний, до недавнего времени считавшихся неизлечимыми (в первую очередь, онкологических).
Вес тканей костного мозга во всём организме - около трёх килограмм. Больше всего их в костях таза, грудины, рёбрах, черепе и позвоночнике. Ткань представляет собой мягкую губчатую субстанцию. Содержимое костей - это два вида костного мозга: красный и жёлтый. Красный костный мозг несёт всю функциональную нагрузку по синтезу крови. Желтый - это вспомогательное вещество. Ткань костного мозга функционально очень лабильна и отзывается усилением выработки тех или иных компонентов крови в ответ на происходящие в организме процессы (инфекции, кровотечения, соматические нарушения). Печень, селезёнка и лимфатические узлы - это вспомогательные органы кроветворения, также участвующие в поддержании оптимального состава крови.
2. Исследование костного мозга
К сожалению, количество стволовых клеток в костном мозге человека ограничено и не может восполняться. Однако их вполне хватает на всю жизнь, если мозг остаётся здоровым.
При нарушениях в составе крови и подозрении на заболевания самого костного мозга проводится глубокое исследование состава красного костного вещества. Забор материала на анализ производится путём пункции при помощи короткой толстой иглы. Прокол у взрослых делается в области грудины, у детей - в бедренной кости или пятке. Процедура эта достаточно болезненная, хотя и безопасная (применяется местная анестезия). Исследование костного мозга всегда назначается при лейкозах, менингите, подозрении на гематологические заболевания. Исследование материала нужно проводить достаточно быстро, только в этом случае результат будет достоверным и информативным.
3. Заболевания костного мозга
Все заболевания костного мозга относятся к тяжёлым, поскольку несут серьёзную угрозу жизни. Нарушения в составе крови снижают способность организма адекватно реагировать на угрозы, приходящие извне; усложняется поддержание внутренней стабильности организма; нарушается продуктивность происходящих процессов; возникает дефицит или чрезмерное накопление определённых веществ в органах и тканях; угнетаются иммунные и нервно-психические реакции.
По симптоматике и характеру нарушений выделяют основные заболевания костного мозга:
Апластическая анемия диагностируется, если происходит прекращение функционирования стволовых клеток. Поскольку они не обладают способностью к восстановлению и воспроизводству самих себя, позднее выявление этого заболевания очень опасно. Со временем красный костный мозг полностью замещается жировыми тканями. Причиной такого опасного заболевания, как правило, являются паразиты. Продукты жизнедеятельности гельминтов приводят к интоксикации, угнетающей стволовые клетки костного мозга; Железодефицитная анемия возникает при остром дефиците железа в организме. Причиной такого состояния могут стать большие кровопотери, плохое питание, а также болезни желудочно-кишечного тракта, при которых железо не усваивается, даже если пища разнообразна и включает железосодержащие продукты (яблоки, мясо, яйца, рыбу, печень, ягоды); Лучевая болезнь. Заболевание возникает в результате облучениями большими дозами радиоактивного и иных опасных излучений. Стволовые клетки мозга подвергаются столь серьёзному разрушительному воздействию, что это может стать началом опаснейших трудноизлечимых заболеваний. Экстренные меры здесь должны быть направлены на нейтрализацию воздействия и выведение из организма радиоактивных веществ; Острый лейкоз - нарушение иммунологического контроля над появляющимися время от времени клетками с мутациями. В норме иммунные механизмы вовремя выявляют образование клеток с опасными злокачественными нарушениями и уничтожают их, не давая возможности приступить к самовоспроизводству. Если появляются достаточно устойчивые раковые клетки или их образование под действием каких-то факторов слишком ускоряется, иммунные механизмы не справляются и позволяют клеткам-мутантам начать бесконтрольный рост и размножение. В результате здоровые клетки крови и костного мозга постепенно вытесняются больными, что очень опасно. Происходят нарушения во всех процессах жизнедеятельности, поскольку кровь уже не может в полной мере выполнять свои функции. Лишь своевременная диагностика и лечение дают больному шанс на выздоровление.
Костный мозг - это жизненно важный орган. Любые нарушения в его работе несут серьезную угрозу для всего организма. При малейшем подозрении на заболевание костного мозга нельзя медлить с обращением к врачу, поскольку чаще всего прогноз для таких больных напрямую зависит от стадии заболевания, на которой начато лечение.
Что лучше - МРТ или КТ головного мозга

Головной мозг в медицинских центрах СПб можно обследовать с помощью КТ и МРТ, а что лучше выбрать, об этом мы поговорим в этой статье. Если образно описывать диагностическую разницу между этими двумя томографиями, то компьютерная томография - это истребитель, который быстро несется по всем областям тела, а МРТ - это вертолет, который садится и проводит точные и скрупулезное обследование какой-то конкретной области. Врачи ценят компьютерную томографию за возможность за 3-5 минут провести поисковое исследование и в целом обследовать организм везде. МРТ головного мозга из-за высокой тканевой контрастности дает врачам прекрасную возможность диагностировать заболевания структур головного мозга даже на самой ранней стадии возникновения патологии. Чувствительность магнитно-резонансной томографии в широкому спектру аномалий головы выше, чему КТ головного мозга.
Отличия МРТ головного мозга от КТ

МРТ в медицине - это прицельное исследование. Она имеет высокую разрешающую способность и контрастность изображения. МР томография не имеет ионизирующих излучений, поскольку не использует рентген лучи, а строит свой принцип работы на эффекте ядерного магнитного резонанса. Источник сигнала - это протон. Аппарат может получить колебательные сигналы от всех тканей, где содержится вода или жир. Наш мозг на 80% состоит из воды, поэтому он так четко визуализируется на МРТ снимках.
Основное отличие МРТ головного мозга от КТ состоит в том, что процедура не предполагает вредоносного облучения, а значит более безопасна для пациента. Также на магнито-резонансном томографе сосуды головного мозга прекрасно можно обследовать без контрастирования, поскольку кровь является хорошим парамагнетиком.
МРТ головы врачи отдают предпочтение в ситуации, когда:
- есть подозрения на опухоль любого генезиса;
- нужно оценить состояние сосудистой сети;
- под вопросом диагноз - демиелинизация, например - рассеянный склероз;
- есть признаки воспаления мозговых оболочек;
- нужно посмотреть состояние черепно-мозговых нервов;
- гипофиз и эпифиз требует детального обследования;
- есть признаки деменции и болезни Паркинсона;
- нужно понять долгосрочные последствия инсульта;
- проверить зрительный нерв и ткани глазных орбит.
У МРТ есть один существенный недостаток - интолерантность к металлу и электронным устройствам в теле. Поэтому, если у пациента есть стальные импланты и водители ритма типа кардиостимуляторов, помп, вшитых слуховых аппаратов, ему лучше вместо МРТ головного мозга сделать КТ, где его импланты не станут ограничением к обследованию.
Отличия КТ головного мозга от МРТ
КТ головного мозга - это рентгенологическое сканирование. Оно все чаще заменяет традиционное рентгеновское исследование. Так как в ходе диагностики на компьютерном томографе используют эффект прохода рентгеновских лучей, этот тип томографии лучше визуализирует кость, кальцинаты и легкие. На сегодняшний день в медицинских центрах СПб компьютерную мультиспиральную томографию (МСКТ) делают на аппаратах с количеством срезов от 16 до 128. Для качественного обследования головного мозга на КТ лучше всего выбирать томограф с количеством срезов от 34. Такая установка способна делать от 1500 до 2000 изображений за одно обследование и выстраивать очень точные реконструкции.
КТ головного мозга назначают сделать при:
- инсульте в острой фазе, чтобы понять, с каким типом поражения врач имеет дело - ишемический или геморрагический инсульт;
- черепно-мозговой травме;
- внутримозговых гематомах;
- очаговой неврологической симптоматике, когда пациент в бессознательном состоянии;
- подозрении на абсцесс;
- грибковых поражениях;
- челюстной стоматологии.
КТ головы также осуществляют в ангиорежиме, чтобы исследовать сосуды головного мозга. Проводят эту процедуру всегда с контрастным усилением. КТ ангиография показана при:
- атеросклерозе;
- аневризме, тромбозе;
- кровоизлияниях.
Еще КТ делают при ЛОР - патологиях, в частности при травмах носа, наростах в носу.
КТ по скорости лучше, чем МРТ головного мозга. За 3-5 минут врачи способны обследовать все структуры головного мозга. Такая быстрота важна при экстренной диагностике. Кроме того, компьютерную томографию без контраста делают дешевле, чем МРТ. Однако контраст применяется всегда при КТ ангиографии, что делает это обследование более дорогим, чем МРТ сосудов головного мозга.
Что лучше КТ или МРТ головы с контрастом
МРТ головного мозга с контрастом - это такая же процедура, как и стандартная МРТ, только для большей информативности перед процедурой в вену пациента вводится контрастное вещество. Это нетоксичные препараты на основе гадолиния. Используемое при МРТ контрастное вещество является наиболее безопасным по сравнению с йодосодержащими составами для КТ и барием, который используется в рентгенографии. Случаи аллергии на гадолиний очень редки, и никаких последствий, как правило, после сеанса МРТ томографии с контрастом, пациент не испытывает.
КТ с контрастированием использует препараты на основе йода, и такая процедуры требует более серьезной подготовки пациента. Ее проводят натощак или через 3-4 часа после приема пищи. Обследуемый должен прибыть на исследование за 30 минут и выпить 600 мл воды медленно в течение 15 минут. Это делается для снижения риска почечной нефропатии. Такая активная регидратация помогает не только избежать почечных осложнений, но и снизить риск аллергических реакций на контраст.
Противопоказаниями к проведению любой томографии с контрастом является беременность и почечная недостаточность. В случае с компьютерной томографией также добавляются проблемы со щитовидной железой и гипертиреоз.
С точки зрения безопасности МРТ с контрастом лучше подходит для организма человека, чем КТ головного мозга с контрастированием.
Покажет ли МРТ головного мозга опухоль

Коротко отвечая на вопрос, покажет ли опухоль МРТ головного мозга, можно сказать уверенное ДА. Магнитно-резонансная томография является приоритетным методом дифференциальной диагностики различных объемных образований в головном мозге, оболочке головного мозга, гипофизе, нервных жилах, сосудах. Данная методика активно используется при онкопоиске, поскольку позволяет визуализировать не только первичный очаг образования, но и метастатические поражения вещества головного мозга.
Когда нужно сделать МРТ головного мозга при опухоли
Ранняя диагностика опухолей головного мозга - это трудная задача по двум основным причинам:
- Многие опухоли мозга на ранних этапах не дают никакой клинической симптоматики, поэтому пациенту заподозрить что-то неладное по изменению в своем самочувствии очень сложно;
- Неврологические симптомы опухоли носят разнообразный характер и сильно зависят от локализации новообразования.
Свидетельствовать о возможной патологии могут:
- головные боли непонятного происхождения;
- частые головокружения;
- резкие перепады давления и сопутствующие им тошнота, рвота;
- повторяющиеся боли в шее;
- нарушение зрения и слуха;
- обморочные состояния;
- спутанность сознания, ухудшение памяти;
- мигренеподобные приступы;
- нарушения сознания, эпилепсия и другие припадки.
При клиническом осмотре больного невролог или онколог не сможет диагностировать объемное образование. Для этого потребуется аппаратная диагностика, например, МРТ или КТ головного мозга.
Покажет ли МРТ опухоль головного мозга
В большинстве случаев приоритетным методом выявление опухолевых образований будет магнитно-резонансная томография, поскольку белое и серое вещество очень хорошо визуализируется на снимках МРТ. Физика получения изображений при магнитно-резонансной томографии основывается на эффекте ядерного магнитного резонанса. Когда тело пациента помещается внутрь сканера, на мозговые структуры оказывает влияние сильное магнитное поле и радиочастотные импульсы. Под их воздействием атомы водорода в клетках начинают совершать колебательные движения. Этот резонанс фиксирует компьютер томографа, оцифровывает и переводит в трёхмерные изображения обследуемой области. Поскольку структуры головы на 80% состоят из воды, аппарат поможет сделать снимки очень высокой контрастности и четкости. Это позволяет врачам оценить:
- местоположение опухоли;
- ее размеры и форму;
- степень инвазии в соседние структуры;
- тканевой состав.
Для того, чтобы лучше всего разглядеть очаги при подозрении на объемное образование, МРТ головного мозга проводится с контрастированием. В ходе этой процедуры пациенту через вену на локтевом сгибе вводят специальный контрастный препарат на базе солей редкоземельного металла гадолиния. Контрастный состав максимально увеличивает тканевую контрастность, а по типу накопления и сбрасывания контрастного препарата врачи могут провести виртуальную гистологию опухоли и сказать, носит ли образование доброкачественный или злокачественный характер.
Особенно хорошо МРТ головы с контрастом способно показать:
- опухоли мозжечка
- глиобластому
- эпендимому
- глиальные опухоли
- метастазы
- невриномы
- менингеальные опухоли
- новообразования ствола головного мозга.
Как выглядит опухоль головного мозга на МРТ- фото
| МРТ здорового головного мозга | Глиома | Глиобластома |
Признаки опухоли на МРТ снимках
- наличие зоны измененного МР-сигнала от тканей мозга;
- гиперинтенсивный МР сигнал, гипоинтенсивный МР сигнал, гетерогенно изменений МР сигнал, изоинтенсивный МР сигнал;
- ориентировочные размеры, форма, контуры объемного образования;
- смещение, давление или изменение величины и деформации желудочков;
- аксиальная дислокация;
- блокада ликворных путей с развитом окклюзионной гидроцефалии;
- наличие перифокального отека;
- латеральная дислокация срединных структур или сосудистого сплетения “масс-эффекта”.
Пример МРТ расшифровки опухоль головного мозга
На серии МР-томограмм, взвешенных по Т1 и Т2-ВИ, tirm, получены суб- и супратенториальные структуры, определяются округлое объёмное патологическое образование, располагающееся по конвекситальной поверхности левой лобной доли, размером до 20х17х19 мм. Образование имеет достаточно чёткие округлые контуры, прилежит широким основанием к твердой мозговой оболочке, структура его несколько неоднородная. Вокруг образования имеется небольшой ликворный ободок и умеренно выраженный перифокальный отек головного мозга. Менингеальная оболочка на этом уровне утолщена с признаками симптома «хвоста», что наиболее характерно для менингиомы.
Срединные структуры не смещены.
Субкортикально, паравентрикулярно в белом веществе головного мозга определяются единичные очаги глиоза, имеющие четкие контуры, характеризующиеся гиперинтенсивным сигналом на Т2 ВИ и Tirm ИП, гипо- изоинтенсивным на Т1 ВИ, размерами до 3-4 мм в диаметре.
Боковые желудочки обычной конфигурации, существенно не расширены, минимально асимметричны (D>S).
Вокруг боковых желудочков имеются небольшие глиозные изменения.
III-й, IV-й желудочки, базальные цистерны не деформирован.
Стволовые структуры мозга не деформированы, имеют не измененный МР-сигнал.
Субарахноидальное пространство вне зоны патологических изменений выражено неравномерно, умеренно расширено по конвекситальной поверхности лобных, теменных долей.
Супраселлярная не деформирована. Гипофиз обычного расположения и размеров. Топография перекреста зрительных нервов не изменена.
Мосто-мозжечковые цистерны не деформированы.
Миндалины мозжечка расположены обычно.
Определяется пристеночный отёк слизистой в клетках решетчатого лабиринта и левой верхнечелюстной пазухе, имеющий повышенный сигнала на Т2 ВИ.
МР-картина объемного образования левой лобной доли с небольшим перифокальным отеком головного мозга (менингиома?).
МР-картина немногочисленных очагов глиоза вещества головного мозга сосудистого характера.
Качественная МРТ диагностика опухолей головного мозга
Для качественной томографии и безошибочной диагностики при подозрении на опухоль рекомендуется:
- проводить МРТ головного мозга на аппарате мощностью не менее 1,5 Тесла;
- шаг сканирования должен быть не менее 3 мм;
- рекомендовано применение контрастного усиления.
Мощное магнитное поле томографа при обследовании головного мозга обуславливает ряд противопоказаний. Особенность поля МРТ аппарата взаимодействовать с объектами, содержащими металл, сдвигать их с места и нарушать работу электронных систем, ограничивает проведение МРТ процедуры для пациентов, в теле которых установлены любые металлические имплантаты. Поэтому к томографическому исследованию не допускаются пациенты, которые имеют:
- протезы из металла, пластины, хирургические скобки, шунты и штифты, сосудистые катетеры из ферромагнитных материалов, а также любые металлические предметы как пули, осколки, застрявшие в теле
- искусственные сердечный клапаны, стимуляторы сердечной деятельности и дефибрилляторы
- ушной кохлеарный имплант
- вшитые медицинские помпы для дозированной подачи медикаментов
- зажимы и клипсы на сосудах.
Обращаем Ваше внимание на то, что наличие зубных протезов в общем и целом не является противопоказанием для проведения МР-сканирование головного мозга. Исключением может стать лишь очень узкая группа протезов, которые вызывают искажение изображения во время диагностики.
Если у Вас есть сомнения в отношении возможности проведения томографического исследования, позвоните нам, и мы поможем найти приемлемое решение для Вашего индивидуального случая.
Вопросы


Покажет ли МРТ опухоль головного мозга без контраста
Крупные опухоли видны на нативных бесконтрастных снимках. Мелкие метастазные поражения на базовом обследовании могут плохо визуализироваться. Признаки опухоли почти всегда видны на нативном МРТ снимке, однако не достаточно четко, чтобы провести качественную дифференциальную диагностику. Поэтому врач-рентгенолог, обнаружив в ходе бесконтрастного обследования признаки объемного образования, предлагает пациенту дополнить исследование контрастной процедурой.
| Вид исследования | Минимальная Цена | Цена на 3 Тесла |
|---|---|---|
| МРТ головного мозга | от 2800 руб. | от 5200 руб. |
| МРТ сосудов головного мозга | от 2800 руб. | от 8200 руб. |
| МРТ гипофиза | от 2800 руб. | от 5200 руб. |
| МРТ пазух носа | от 2800 руб. | от 5200 руб. |
| МРТ орбит и зрительных нервов | от 3200 руб. | от 5200 руб. |
| МРТ уха и слуховых нервов | от 3200 руб. | от 5200 руб. |
| МРТ черепно-мозговых нервов | от 3200 руб. | от 5200 руб. |
| Стоимость введения контрастного вещества | от 3500 руб. | от 3500 руб. |
Как МРТ определяет злокачественную опухоль
Злокачественные опухоли составляют до 50% всех опухолей головного мозга. Эти опухоли врач определяет по:
- нечеткости и неровности контуров и формы опухоли;
- большому перифокальному отеку;
- наличию “масс-эффекта”;
- неоднородному накоплению контрастного усиления;
- типу накопления контраста.
Как часто нужно делать МРТ после удаления опухоли
Периодичность МРТ головного мозга после удаления опухоли обычно определяет лечащий врач. Чаще всего после оперативного вмешательства первое обследование проводят через один месяц. Далее контрольные сканирования осуществляют раз в полгода в течение 3 лет после хирургического вмешательства.
Очаги в головном мозге на МРТ

Токсоплазмоз на МРТ головного мозга
Магнитно-резонансная томография является безболезненным и информативным способом исследования головного мозга. Послойное МР-сканирование позволяет детально рассмотреть все участки органа, оценить их структуру. С помощью определенных последовательностей можно подробно изучить белое и серое вещество, сосуды, желудочковую систему.
МРТ считают эффективным методом выявления очаговых поражений мозга. К таковым относят ограниченные участки с нарушенной структурой внутри вещества органа. Подобные изменения часто сопровождаются масс-эффектом, отеком, деформацией окружающих областей. Очаги в головном мозге на МРТ выглядят как зоны изменения МР-сигнала. По специфическим признакам, локализации, размерам и степени влияния на окружающие структуры рентгенолог может сделать предположения о характере патологии. Пользуясь перечисленными сведениями, врач ставит диагноз, составляет для пациента прогноз и подбирает лечение.
Очаги на МРТ головного мозга: что значит?
Результатом магнитно-резонансной томографии является серия послойных снимков исследуемой области. На изображениях здоровые ткани выглядят как чередующиеся светлые и темные участки, что зависит от концентрации в них жидкости и применяемой импульсной последовательности. По срезам врач-рентгенолог оценивает:
- развитость и положение отдельных структур;
- соответствие интенсивности МР-сигнала норме;
- состояние извилин и борозд;
- размеры и строение желудочковой системы и подпаутинного пространства;
- параметры слуховых проходов, глазниц, придаточных синусов;
- структуру сосудистого русла;
- строение черепных нервов и церебральных оболочек;
- наличие признаков патологии (очаговые изменения, отек, воспаление, повреждения стенок артерий и вен).

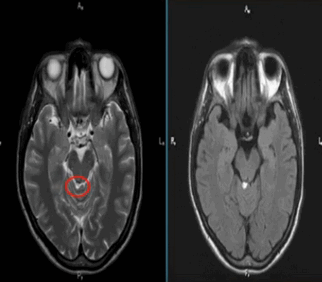
Липома четверохолмной цистерны на МРТ (обведена кругом)
МРТ назначают, если у пациента наблюдаются неврологические отклонения, обусловленные поражением мозговой ткани. Симптомами могут быть:
- головные боли;
- нарушения координации движений;
- дисфункции органов слуха или зрения;
- нарушения концентрации внимания;
- расстройства памяти;
- проблемы со сном;
- психоэмоциональные расстройства;
- парезы/параличи конечностей и/или мышц лица;
- чувствительные нарушения;
- судороги и пр.
Магнитно-резонансная томография головы позволяет врачу точно определить локализацию очаговых изменений и выяснить природу плохого самочувствия у пациента. В ДЦ «Магнит» на вооружении специалистов новейшие аппараты для МР-сканирования, которые позволяют с высокой достоверностью провести исследование.
Виды очагов на МРТ головы
Цвет получаемого изображения нормальных мозговых структур и патологических изменений зависит от используемой программы. При сканировании в ангиорежиме, в том числе с применением контраста, на снимках появляется разветвленная сеть артерий и вен. Очаговые изменения бывают нескольких типов, по их характеристикам врач может предположить природу фокусов.
При патологии мозгового вещества нарушаются свойства пораженных фокусов, что проявляется резким изменением МР-сигнала по сравнению со здоровыми областями. Применение определенных последовательностей (диффузионно-взвешенных, FLAIR и пр.) или контрастирования позволяет более четко визуализировать локальные изменения. То есть, если рентгенолог видит на результатах МРТ единичный очаг, для более подробного его изучения будут применены разные режимы сканирования либо контрастирование.
При сравнении изменений со здоровыми участками мозга выделяют гипер-, гипо- и изоинтенсивные зоны (соответственно яркие, темные и такие же по своему цвету, как рядом расположенные структуры).

Абсцесс головного мозга на МРТ (указан стрелкой)
Гиперинтенсивные очаги
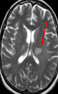
Выявление гиперинтенсивных, т.е. ярко выделяющихся на МР-сканах, очагов заставляет специалиста подозревать опухоль головного мозга, в том числе метастатического происхождения, гематому (в определенный момент от начала кровоизлияния), ишемию, отек, патологии сосудов (каверномы, артерио-венозные мальформации и пр.), абсцессы, обменные нарушения и т.п.

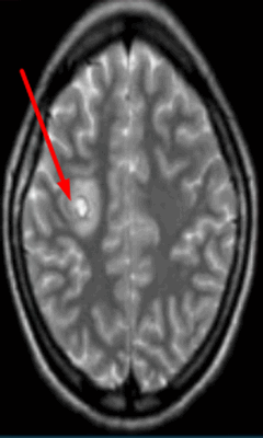
Опухоль головного мозга на МРТ (указана стрелкой)
Субкортикальные очаги
Поражение белого вещества головного мозга обычно характеризуют, как изменения подкорковых структур. Выявленные при МРТ субкортикальные очаги говорят о локализации повреждения сразу под корой. Если обнаруживают множественные юкстакортикальные зоны поражения, есть смысл подозревать демиелинизирующий процесс (например, рассеянный склероз). При указанной патологии деструктивные изменения происходят в различных участках белого вещества, в том числе прямо под корой головного мозга. Перивентрикулярные и лакунарные очаги обычно выявляют при ишемических процессах.
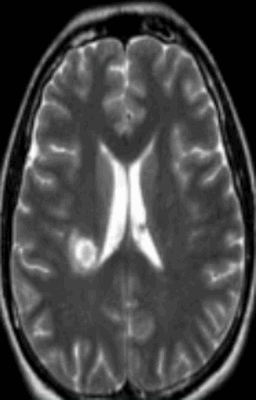
Очаги глиоза
При повреждении мозговой ткани включаются компенсаторные механизмы. Разрушенные клетки замещаются структурами глии. Последняя обеспечивает передачу нервных импульсов и участвует в метаболических процессах. За счет описываемых структур мозг восстанавливается после травм.
Выявление глиозных очагов указывает на предшествующее разрушение церебрального вещества вследствие:
- родовой травмы;
- гипоксических процессов;
- наследственных патологий;
- гипертонии;
- эпилепсии;
- энцефалита;
- интоксикации организма;
- склеротических изменений и др.
По количеству и размерам измененных участков можно судить о масштабах повреждения мозга. Динамическое наблюдение позволяет оценить скорость прогрессирования патологии. Однако изучая зоны глиоза нельзя точно установить причину разрушения нервных клеток.
Очаги демиелинизации
Некоторые заболевания нервной системы сопровождаются повреждением глиальной оболочки длинных отростков нейронов. В результате патологических изменений нарушается проведение импульсов. Подобное состояние сопровождается неврологической симптоматикой различной степени интенсивности. Демиелинизация нервных волокон может быть вызвана:
- мультифокальной лейкоэнцефалопатией;
- рассеянным склерозом;
- диссимулирующим энцефаломиелитом;
- болезнью Марбурга, Девика и многими другими.
Обычно очаги демиелинизации выглядят как множественные мелкие участки гиперинтенсивного МР-сигнала, расположенные в одном или нескольких отделах головного мозга. По степени их распространенности, давности и одновременности возникновения врач судит о масштабах развития заболевания.

Очаг демиелинизации на МРТ
Очаг сосудистого генеза
Недостаточность мозгового кровообращения являются причиной ишемии церебрального вещества, что ведет к изменению структуры и потере функций последнего. Ранняя диагностика сосудистых патологий способна предотвратить инсульт. Очаговые изменения дисциркуляторного происхождения обнаруживают у большинства пациентов старше 50 лет. В последующем такие зоны могут стать причиной дистрофических процессов в мозговой ткани.

Лакунарный инфаркт головного мозга на МРТ (указан стрелкой)
Заподозрить нарушения церебрального кровообращения можно по очаговым изменениям периваскулярных пространств Вирхова-Робина. Последние представляет собой небольшие полости вокруг мозговых сосудов, заполненные жидкостью, через которые осуществляется трофика тканей и иммунорегулирующие процессы (гематоэнцефалический барьер). Появление гиперинтенсивного МР-сигнала указывает на расширение периваскулярных пространств, поскольку в норме они не видны.
Иногда при МРТ мозга обнаруживаются множественные очаги в лобной доле или в глубоких отделах полушарий, что может указывать на поражение церебральных сосудов. Ситуацию часто проясняет МР-сканирование в ангиорежиме.

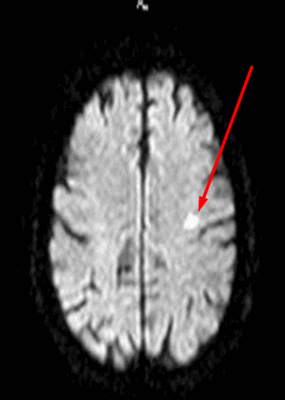
Очаги ишемии на МРТ
Очаги ишемии
Нарушения мозгового кровообращения приводят к кислородному голоданию тканей, что может спровоцировать их некроз (инфаркт). Ишемические очаги при Т2 взвешенных последовательностях выглядят как зоны с умеренно гиперинтенсивным сигналом неправильной формы. На более поздних сроках при проведении в Т2 ВИ или FLAIR режиме МРТ единичный очаг приобретает вид светлого пятна, что указывает на усугубление деструктивных процессов.
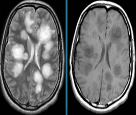
Что означают белые и черные пятна на снимках МРТ?
Зоны измененного МР-сигнала могут означать:
- ишемию тканей;
- отек;
- некроз;
- гнойное расплавление;
- опухолевую трансформацию;
- метастатическое поражение;
- глиоз;
- демиелинизацию;
- дегенерацию и др.
Врач-рентгенолог описывает интенсивность сигнала, размеры и локализацию очага. С учетом полученных сведений, жалоб пациента и данных предыдущих обследований специалист может предположить природу патологических изменений.

Острый рассеянный энцефаломиелит на МРТ
Причины возникновения очагов на МРТ головного мозга
Если при МРТ головного мозга выявлены очаги, их расценивают как симптомы патологии органа. Зоны гипер- или гипоинтенсивного МР-сигнала свидетельствуют о нарушении структуры определенного участка церебрального вещества. Очаговые изменения могут быть единичными или множественными, крупными, мелкими, диффузными и т.п.. Подобное наблюдается при:
- ;
- ангиопатии; ;
- хронической недостаточности мозгового кровообращения;
- рассеянном склерозе или иных демиелинизирующих заболеваниях; , Пика, Паркинсона и т.п.;
- энцефаломиелите и других заболеваниях.
Очаговые изменения могут быть результатом некроза, гнойных процессов, ишемии, воспаления тканей, разрушения нервных волокон и т.п. Фокальная патология на МР-сканах почти всегда свидетельствует о развитии серьезного заболевания, а в некоторых случаях указывает на опасность для жизни больного.
Читайте также:
