Внежелудочковая обструктивная гидроцефалия на КТ, МРТ головного мозга
Добавил пользователь Евгений Кузнецов Обновлено: 01.11.2025
Эпидемиология
Распределение в зависит от причин, которые включают:
- врожденный стеноз водопровода
- обструкция опухолью или образованием (напр. глиома четверохолмия, коллойдная киста)
Клиническая картина
Как и в случае большинства заболеваний с объемным воздействием, клиническая картина варьирует в зависимости от скорости возникновения масс-эффекта.
Например при острой обструктивной гидроцефалии вызванной коллоидной кистой, блокирующей отверстие Монро, резкое повышение внутрижелудочкового давления может привести к потере сознания и даже смерти.
Наоборот при неполной или постепенно развивающейся обструкции (напр. при стенозе водопровода), клиническая картина может быть невыраженной, несмотря на массивное расширение желудочков.
В целом общие симптомы повышения внутричерепного давления включают в себя: головные боли ухудшающиеся при сгибании или в вертикальном положении, тошноту и рвоту, признаки отека диска зрительного нерва [2].
Диагностика
Любые методы медицинской визуализации: КТ, МРТ (УЗИ в неонатальном периоде), позволяют выявить характерные признаки гидроцефалии, но выявление основной причины может более затруднительно (напр. спайки водопровод, вызывающие его стеноз, будут видны только при использовании специальных МР последовательностей с высоким разрешением изображений).
Острая обструктивная гидроцефалия
Необходимо помнить, что при острой обструктивной гидроцефалии у молодых пациентов, несмотря на значительное повышение внутричерепного давления, наблюдается незначительное расширение желудочков. Наличие предыдущих исследований позволяет более надежно диагностировать гидроцефалию на ранних этапах. Признаки позволяющие диагностировать острую обструктивную гидроцефалию включают [3]:
- боковые желудочки
- расширение височных рогов : может визуализироваться в виде повышения вокруг желудочков МР сигнала на Т2 ВИ, и снижения плотности паренхимы мозга на КТ; не должен ошибочно приниматься за хроническую ишемию
- расширение боковых стенок кнаружи
- пролабирование дна книзу
- его оценка слабо помогает в диагностике гидроцефалии, так как небольшие размеры задней черепной ямки не позволяют ему значительно расширяться
- видимое увеличение размеров четвертого желудочка говорит об обструкции на уровне отверстий Люшка и Мажанди или на уровне субарахноидальных пространств
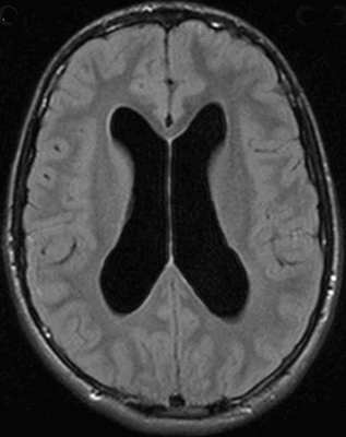
Хроническая несообщающаяся обструктивная гидроцефалия
Хроническая несообщающаяся гидроцефалия (син. хроническая обструктивная гидроцефалия) довольно легкий диагноз. С течением времени желудочковая система выше уровня обструкции постепенно увеличивается, что приводит к сдавлению и истончению коры. Признаки долго текущей несообщающейся обструктивной гидроцефалии (на уровне Сильвиевого водопровода) включают 1:
Покажет ли МРТ головного мозга опухоль
![]()
Коротко отвечая на вопрос, покажет ли опухоль МРТ головного мозга, можно сказать уверенное ДА. Магнитно-резонансная томография является приоритетным методом дифференциальной диагностики различных объемных образований в головном мозге, оболочке головного мозга, гипофизе, нервных жилах, сосудах. Данная методика активно используется при онкопоиске, поскольку позволяет визуализировать не только первичный очаг образования, но и метастатические поражения вещества головного мозга.
Когда нужно сделать МРТ головного мозга при опухоли
Ранняя диагностика опухолей головного мозга - это трудная задача по двум основным причинам:
- Многие опухоли мозга на ранних этапах не дают никакой клинической симптоматики, поэтому пациенту заподозрить что-то неладное по изменению в своем самочувствии очень сложно;
- Неврологические симптомы опухоли носят разнообразный характер и сильно зависят от локализации новообразования.
Свидетельствовать о возможной патологии могут:
- головные боли непонятного происхождения;
- частые головокружения;
- резкие перепады давления и сопутствующие им тошнота, рвота;
- повторяющиеся боли в шее;
- нарушение зрения и слуха;
- обморочные состояния;
- спутанность сознания, ухудшение памяти;
- мигренеподобные приступы;
- нарушения сознания, эпилепсия и другие припадки.
При клиническом осмотре больного невролог или онколог не сможет диагностировать объемное образование. Для этого потребуется аппаратная диагностика, например, МРТ или КТ головного мозга.
Покажет ли МРТ опухоль головного мозга
В большинстве случаев приоритетным методом выявление опухолевых образований будет магнитно-резонансная томография, поскольку белое и серое вещество очень хорошо визуализируется на снимках МРТ. Физика получения изображений при магнитно-резонансной томографии основывается на эффекте ядерного магнитного резонанса. Когда тело пациента помещается внутрь сканера, на мозговые структуры оказывает влияние сильное магнитное поле и радиочастотные импульсы. Под их воздействием атомы водорода в клетках начинают совершать колебательные движения. Этот резонанс фиксирует компьютер томографа, оцифровывает и переводит в трёхмерные изображения обследуемой области. Поскольку структуры головы на 80% состоят из воды, аппарат поможет сделать снимки очень высокой контрастности и четкости. Это позволяет врачам оценить:
- местоположение опухоли;
- ее размеры и форму;
- степень инвазии в соседние структуры;
- тканевой состав.
Для того, чтобы лучше всего разглядеть очаги при подозрении на объемное образование, МРТ головного мозга проводится с контрастированием. В ходе этой процедуры пациенту через вену на локтевом сгибе вводят специальный контрастный препарат на базе солей редкоземельного металла гадолиния. Контрастный состав максимально увеличивает тканевую контрастность, а по типу накопления и сбрасывания контрастного препарата врачи могут провести виртуальную гистологию опухоли и сказать, носит ли образование доброкачественный или злокачественный характер.
Особенно хорошо МРТ головы с контрастом способно показать:
- опухоли мозжечка
- глиобластому
- эпендимому
- глиальные опухоли
- метастазы
- невриномы
- менингеальные опухоли
- новообразования ствола головного мозга.
Как выглядит опухоль головного мозга на МРТ- фото
МРТ здорового головного мозга Глиома Глиобластома Признаки опухоли на МРТ снимках
- наличие зоны измененного МР-сигнала от тканей мозга;
- гиперинтенсивный МР сигнал, гипоинтенсивный МР сигнал, гетерогенно изменений МР сигнал, изоинтенсивный МР сигнал;
- ориентировочные размеры, форма, контуры объемного образования;
- смещение, давление или изменение величины и деформации желудочков;
- аксиальная дислокация;
- блокада ликворных путей с развитом окклюзионной гидроцефалии;
- наличие перифокального отека;
- латеральная дислокация срединных структур или сосудистого сплетения “масс-эффекта”.
Пример МРТ расшифровки опухоль головного мозга
На серии МР-томограмм, взвешенных по Т1 и Т2-ВИ, tirm, получены суб- и супратенториальные структуры, определяются округлое объёмное патологическое образование, располагающееся по конвекситальной поверхности левой лобной доли, размером до 20х17х19 мм. Образование имеет достаточно чёткие округлые контуры, прилежит широким основанием к твердой мозговой оболочке, структура его несколько неоднородная. Вокруг образования имеется небольшой ликворный ободок и умеренно выраженный перифокальный отек головного мозга. Менингеальная оболочка на этом уровне утолщена с признаками симптома «хвоста», что наиболее характерно для менингиомы.
Срединные структуры не смещены.
Субкортикально, паравентрикулярно в белом веществе головного мозга определяются единичные очаги глиоза, имеющие четкие контуры, характеризующиеся гиперинтенсивным сигналом на Т2 ВИ и Tirm ИП, гипо- изоинтенсивным на Т1 ВИ, размерами до 3-4 мм в диаметре.
Боковые желудочки обычной конфигурации, существенно не расширены, минимально асимметричны (D>S).
Вокруг боковых желудочков имеются небольшие глиозные изменения.
III-й, IV-й желудочки, базальные цистерны не деформирован.
Стволовые структуры мозга не деформированы, имеют не измененный МР-сигнал.
Субарахноидальное пространство вне зоны патологических изменений выражено неравномерно, умеренно расширено по конвекситальной поверхности лобных, теменных долей.
Супраселлярная не деформирована. Гипофиз обычного расположения и размеров. Топография перекреста зрительных нервов не изменена.
Мосто-мозжечковые цистерны не деформированы.
Миндалины мозжечка расположены обычно.
Определяется пристеночный отёк слизистой в клетках решетчатого лабиринта и левой верхнечелюстной пазухе, имеющий повышенный сигнала на Т2 ВИ.
МР-картина объемного образования левой лобной доли с небольшим перифокальным отеком головного мозга (менингиома?).
МР-картина немногочисленных очагов глиоза вещества головного мозга сосудистого характера.
Качественная МРТ диагностика опухолей головного мозга
Для качественной томографии и безошибочной диагностики при подозрении на опухоль рекомендуется:
- проводить МРТ головного мозга на аппарате мощностью не менее 1,5 Тесла;
- шаг сканирования должен быть не менее 3 мм;
- рекомендовано применение контрастного усиления.
Мощное магнитное поле томографа при обследовании головного мозга обуславливает ряд противопоказаний. Особенность поля МРТ аппарата взаимодействовать с объектами, содержащими металл, сдвигать их с места и нарушать работу электронных систем, ограничивает проведение МРТ процедуры для пациентов, в теле которых установлены любые металлические имплантаты. Поэтому к томографическому исследованию не допускаются пациенты, которые имеют:
- протезы из металла, пластины, хирургические скобки, шунты и штифты, сосудистые катетеры из ферромагнитных материалов, а также любые металлические предметы как пули, осколки, застрявшие в теле
- искусственные сердечный клапаны, стимуляторы сердечной деятельности и дефибрилляторы
- ушной кохлеарный имплант
- вшитые медицинские помпы для дозированной подачи медикаментов
- зажимы и клипсы на сосудах.
Обращаем Ваше внимание на то, что наличие зубных протезов в общем и целом не является противопоказанием для проведения МР-сканирование головного мозга. Исключением может стать лишь очень узкая группа протезов, которые вызывают искажение изображения во время диагностики.
Если у Вас есть сомнения в отношении возможности проведения томографического исследования, позвоните нам, и мы поможем найти приемлемое решение для Вашего индивидуального случая.
Вопросы
![]()
![]()
![]()
Покажет ли МРТ опухоль головного мозга без контраста
Крупные опухоли видны на нативных бесконтрастных снимках. Мелкие метастазные поражения на базовом обследовании могут плохо визуализироваться. Признаки опухоли почти всегда видны на нативном МРТ снимке, однако не достаточно четко, чтобы провести качественную дифференциальную диагностику. Поэтому врач-рентгенолог, обнаружив в ходе бесконтрастного обследования признаки объемного образования, предлагает пациенту дополнить исследование контрастной процедурой.
Вид исследования Минимальная Цена Цена на 3 Тесла МРТ головного мозга от 2800 руб. от 5200 руб. МРТ сосудов головного мозга от 2800 руб. от 8200 руб. МРТ гипофиза от 2800 руб. от 5200 руб. МРТ пазух носа от 2800 руб. от 5200 руб. МРТ орбит и зрительных нервов от 3200 руб. от 5200 руб. МРТ уха и слуховых нервов от 3200 руб. от 5200 руб. МРТ черепно-мозговых нервов от 3200 руб. от 5200 руб. Стоимость введения контрастного вещества от 3500 руб. от 3500 руб. Как МРТ определяет злокачественную опухоль
Злокачественные опухоли составляют до 50% всех опухолей головного мозга. Эти опухоли врач определяет по:
- нечеткости и неровности контуров и формы опухоли;
- большому перифокальному отеку;
- наличию “масс-эффекта”;
- неоднородному накоплению контрастного усиления;
- типу накопления контраста.
Как часто нужно делать МРТ после удаления опухоли
Периодичность МРТ головного мозга после удаления опухоли обычно определяет лечащий врач. Чаще всего после оперативного вмешательства первое обследование проводят через один месяц. Далее контрольные сканирования осуществляют раз в полгода в течение 3 лет после хирургического вмешательства.
Гидроцефалия головного мозга на МРТ
![Гидроцефалия на МРТ]()
Гидроцефалия на МРТ
Магнитно-резонансную томографию активно используют в неврологии и нейрохирургии. С помощью метода визуализируют головной мозг. Послойные снимки полноценно отражают церебральные структуры, позволяют выявить патологические изменения на любом участке и собрать детальные сведения об отклонениях.
МРТ имеет огромное значение для ранней диагностики заболеваний головного мозга. На снимках врач-рентгенолог видит признаки опасных для жизни состояний, например, водянки. Гидроцефалия головного мозга на МРТ проявляется характерными симптомами, даже на начальных этапах развития. Опытный диагност быстро определит патологию, установит форму, клиницист подберет правильную тактику лечения.
Что такое гидроцефалия?
Трофику нервной ткани обеспечивает непрерывная циркуляция ликвора. Спинномозговая жидкость перемещается по определенному пути внутри церебральных структур, участвуя в обмене веществ. Ликвор защищает ткань от механических воздействий, обеспечивает стабильные концентрации электролитов, кислотно-щелочное равновесие, выступает в качестве иммунобиологического барьера.
Гидроцефалия — патологическое состояние, характеризующееся нарушениями выработки, оттока и/или циркуляции спинномозговой жидкости, избыточным ее скоплением, часто с повышением уровня внутричерепного давления. Для заболевания характерна неврологическая симптоматика. Со временем гидроцефалия приводит к развитию вторичных изменений. Синоним — водянка головного мозга. Неконтролируемое течение заболевания чревато летальным исходом.
- приступы цефалгии (головной боли);
- колебания артериального давления;
- тошнота;
- рвота;
- недержание мочи;
- шаткость походки;
- психические нарушения (деменция и пр.); — прогрессирующее увеличение размеров головы, симптом заходящего солнца и пр.
![желудочки мозга в норме и при внутренней гидроцефалии]()
Схематичное изображение желудочков мозга в норме и при внутренней гидроцефалии
На ранних этапах развития патологии происходят изменения в головном мозге, но неврологическая симптоматика отсутствует. Проявления возникают на фоне органических процессов в церебральном веществе, нарушения кровообращения, атрофии отдельных участков.
Гидроцефалия — признак заболевания, т.к. является осложнением последнего. Идиопатическая форма патологии практически не встречается. Гидроцефалию и ее причины выявляют с помощью нейровизуализационных методов. Наиболее информативной признана МРТ.
Патологию чаще диагностируют у детей в первые 3 месяца жизни. Заболевание встречается и у взрослых, особенно после 60 лет. Причины развития гидроцефалии:
- черепно-мозговые травмы;
- опухоли;
- сосудистые патологии;
- инфекционные заболевания;
- перенесенные нейрохирургические операции; и гематомы;
- аномалии развития центральной нервной системы.
Тактика лечения гидроцефалии головного мозга зависит от вида заболевания. При благоприятном течении назначают медикаментозную терапию. При неэффективности препаратов и высоком риске развития осложнений в срочном порядке проводят хирургическое вмешательство.
Виды гидроцефалии
В зависимости от причины развития, водянка мозга бывает врожденной и приобретенной. Исходя из распределения ликвора, патологию классифицируют на виды:
- наружная;
- внутренняя (моно-, би-, три- или тетравентрикулярная);
- смешанная.
Исходя и механизма развития, водянка головного мозга бывает:
- открытой (сообщающаяся);
- закрытой (окклюзионная).
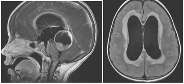
![Гидроцефалия на МРТ]()
Внутренняя тривентрикулярная окклюзионная гидроцефалия на МРТ во фронтальной и сагиттальной плоскостях: на левом снимке видно гигантское кистозно-солидное образование, явившееся причиной обструкции ликворопроводящих путей на уровне Сильвиева водопровода
МРТ покажет гидроцефалию?
При магнитно-резонансной томографии получают послойные снимки исследуемой анатомической области. При изучении сканов врач видит мозговое вещество и выявляет отклонения от нормы. МРТ отчетливо показывает гидроцефалию. Метод информативен на ранних этапах развития заболевания, даже при отсутствии у пациента характерных симптомов. Детализация снимков позволяет врачам выявить водянку головного мозга, определить тип, диагностировать сопутствующие заболевания.
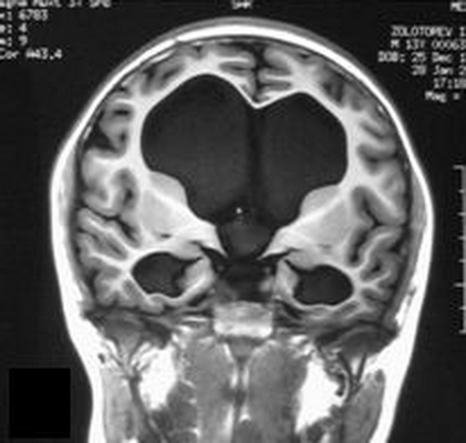
![Водянка головного мозга на МРТ]()
Водянка головного мозга при МР-сканировании в коронарной проекции
Признаки гидроцефалии у взрослых по МРТ
Проявления патологии на снимках бывают прямыми и косвенными. Первые связаны с расширением желудочков мозга (III, IV и боковых (в начальном периоде — в области передних рогов и тела)), водопровода и/или субарахноидального пространства (конвекситально, в области базальных цистерн, Сильвиевых борозд и пр.). Косвенные признаки на МР-сканах:
- межжелудочковый индекс свыше 0,5;
- перивентрикулярный отек при напряженной водянке;
- смещение гипоталамуса вниз;
- локальное выпячивание крыши боковых желудочков и др.
Дополнительно на томограммах определяют причину водянки головного мозга — основное заболевание.
Заключение МРТ головного мозга: гидроцефалия
Рассмотреть и охарактеризовать патологические изменения способен врач-рентгенолог с большим практическим опытом. Эксперт изучает снимки, сопоставляет между собой срезы в разных проекциях и режимах сканирования.
Обнаруженные признаки патологии врач фиксирует в заключении. Специалист описывает томографические признаки заболевания и ставит предварительный диагноз. В заключении МРТ может быть указано «умеренная наружная заместительная гидроцефалия». Клиницист трактует информацию, как невыраженное скопление ликвора в субарахноидальном пространстве на фоне атрофии коры мозга. Это не истинная водянка, а проявление компенсаторного механизма, развивающегося при органических или возрастных изменениях нервной ткани.
Очаги в головном мозге на МРТ
![Токсоплазмоз на МРТ головного мозга]()
Токсоплазмоз на МРТ головного мозга
Магнитно-резонансная томография является безболезненным и информативным способом исследования головного мозга. Послойное МР-сканирование позволяет детально рассмотреть все участки органа, оценить их структуру. С помощью определенных последовательностей можно подробно изучить белое и серое вещество, сосуды, желудочковую систему.
МРТ считают эффективным методом выявления очаговых поражений мозга. К таковым относят ограниченные участки с нарушенной структурой внутри вещества органа. Подобные изменения часто сопровождаются масс-эффектом, отеком, деформацией окружающих областей. Очаги в головном мозге на МРТ выглядят как зоны изменения МР-сигнала. По специфическим признакам, локализации, размерам и степени влияния на окружающие структуры рентгенолог может сделать предположения о характере патологии. Пользуясь перечисленными сведениями, врач ставит диагноз, составляет для пациента прогноз и подбирает лечение.
Очаги на МРТ головного мозга: что значит?
Результатом магнитно-резонансной томографии является серия послойных снимков исследуемой области. На изображениях здоровые ткани выглядят как чередующиеся светлые и темные участки, что зависит от концентрации в них жидкости и применяемой импульсной последовательности. По срезам врач-рентгенолог оценивает:
- развитость и положение отдельных структур;
- соответствие интенсивности МР-сигнала норме;
- состояние извилин и борозд;
- размеры и строение желудочковой системы и подпаутинного пространства;
- параметры слуховых проходов, глазниц, придаточных синусов;
- структуру сосудистого русла;
- строение черепных нервов и церебральных оболочек;
- наличие признаков патологии (очаговые изменения, отек, воспаление, повреждения стенок артерий и вен).
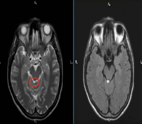
![Липома четверохолмной цистерны на МРТ]()
Липома четверохолмной цистерны на МРТ (обведена кругом)
МРТ назначают, если у пациента наблюдаются неврологические отклонения, обусловленные поражением мозговой ткани. Симптомами могут быть:
- головные боли;
- нарушения координации движений;
- дисфункции органов слуха или зрения;
- нарушения концентрации внимания;
- расстройства памяти;
- проблемы со сном;
- психоэмоциональные расстройства;
- парезы/параличи конечностей и/или мышц лица;
- чувствительные нарушения;
- судороги и пр.
Магнитно-резонансная томография головы позволяет врачу точно определить локализацию очаговых изменений и выяснить природу плохого самочувствия у пациента. В ДЦ «Магнит» на вооружении специалистов новейшие аппараты для МР-сканирования, которые позволяют с высокой достоверностью провести исследование.
Виды очагов на МРТ головы
Цвет получаемого изображения нормальных мозговых структур и патологических изменений зависит от используемой программы. При сканировании в ангиорежиме, в том числе с применением контраста, на снимках появляется разветвленная сеть артерий и вен. Очаговые изменения бывают нескольких типов, по их характеристикам врач может предположить природу фокусов.
При патологии мозгового вещества нарушаются свойства пораженных фокусов, что проявляется резким изменением МР-сигнала по сравнению со здоровыми областями. Применение определенных последовательностей (диффузионно-взвешенных, FLAIR и пр.) или контрастирования позволяет более четко визуализировать локальные изменения. То есть, если рентгенолог видит на результатах МРТ единичный очаг, для более подробного его изучения будут применены разные режимы сканирования либо контрастирование.
При сравнении изменений со здоровыми участками мозга выделяют гипер-, гипо- и изоинтенсивные зоны (соответственно яркие, темные и такие же по своему цвету, как рядом расположенные структуры).
![Абсцесс головного мозга на МРТ]()
Абсцесс головного мозга на МРТ (указан стрелкой)
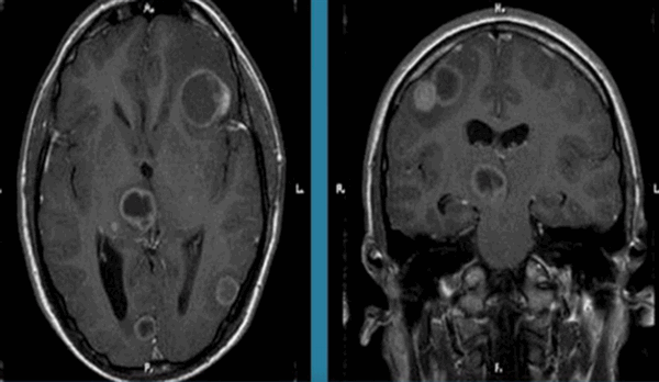
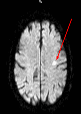
Гиперинтенсивные очаги
Выявление гиперинтенсивных, т.е. ярко выделяющихся на МР-сканах, очагов заставляет специалиста подозревать опухоль головного мозга, в том числе метастатического происхождения, гематому (в определенный момент от начала кровоизлияния), ишемию, отек, патологии сосудов (каверномы, артерио-венозные мальформации и пр.), абсцессы, обменные нарушения и т.п.
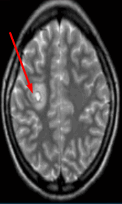
![Опухоль головного мозга на МРТ]()
Опухоль головного мозга на МРТ (указана стрелкой)
Субкортикальные очаги
Поражение белого вещества головного мозга обычно характеризуют, как изменения подкорковых структур. Выявленные при МРТ субкортикальные очаги говорят о локализации повреждения сразу под корой. Если обнаруживают множественные юкстакортикальные зоны поражения, есть смысл подозревать демиелинизирующий процесс (например, рассеянный склероз). При указанной патологии деструктивные изменения происходят в различных участках белого вещества, в том числе прямо под корой головного мозга. Перивентрикулярные и лакунарные очаги обычно выявляют при ишемических процессах.
Очаги глиоза
При повреждении мозговой ткани включаются компенсаторные механизмы. Разрушенные клетки замещаются структурами глии. Последняя обеспечивает передачу нервных импульсов и участвует в метаболических процессах. За счет описываемых структур мозг восстанавливается после травм.
Выявление глиозных очагов указывает на предшествующее разрушение церебрального вещества вследствие:
- родовой травмы;
- гипоксических процессов;
- наследственных патологий;
- гипертонии;
- эпилепсии;
- энцефалита;
- интоксикации организма;
- склеротических изменений и др.
По количеству и размерам измененных участков можно судить о масштабах повреждения мозга. Динамическое наблюдение позволяет оценить скорость прогрессирования патологии. Однако изучая зоны глиоза нельзя точно установить причину разрушения нервных клеток.
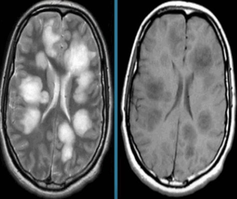
Очаги демиелинизации
Некоторые заболевания нервной системы сопровождаются повреждением глиальной оболочки длинных отростков нейронов. В результате патологических изменений нарушается проведение импульсов. Подобное состояние сопровождается неврологической симптоматикой различной степени интенсивности. Демиелинизация нервных волокон может быть вызвана:
- мультифокальной лейкоэнцефалопатией;
- рассеянным склерозом;
- диссимулирующим энцефаломиелитом;
- болезнью Марбурга, Девика и многими другими.
Обычно очаги демиелинизации выглядят как множественные мелкие участки гиперинтенсивного МР-сигнала, расположенные в одном или нескольких отделах головного мозга. По степени их распространенности, давности и одновременности возникновения врач судит о масштабах развития заболевания.
![Очаг демиелинизации на МРТ]()
Очаг демиелинизации на МРТ
Очаг сосудистого генеза
Недостаточность мозгового кровообращения являются причиной ишемии церебрального вещества, что ведет к изменению структуры и потере функций последнего. Ранняя диагностика сосудистых патологий способна предотвратить инсульт. Очаговые изменения дисциркуляторного происхождения обнаруживают у большинства пациентов старше 50 лет. В последующем такие зоны могут стать причиной дистрофических процессов в мозговой ткани.
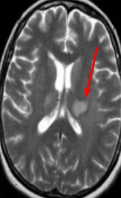
![Лакунарный инфаркт головного мозга на МРТ]()
Лакунарный инфаркт головного мозга на МРТ (указан стрелкой)
Заподозрить нарушения церебрального кровообращения можно по очаговым изменениям периваскулярных пространств Вирхова-Робина. Последние представляет собой небольшие полости вокруг мозговых сосудов, заполненные жидкостью, через которые осуществляется трофика тканей и иммунорегулирующие процессы (гематоэнцефалический барьер). Появление гиперинтенсивного МР-сигнала указывает на расширение периваскулярных пространств, поскольку в норме они не видны.
Иногда при МРТ мозга обнаруживаются множественные очаги в лобной доле или в глубоких отделах полушарий, что может указывать на поражение церебральных сосудов. Ситуацию часто проясняет МР-сканирование в ангиорежиме.
![Очаги ишемии на МРТ]()
Очаги ишемии на МРТ
Очаги ишемии
Нарушения мозгового кровообращения приводят к кислородному голоданию тканей, что может спровоцировать их некроз (инфаркт). Ишемические очаги при Т2 взвешенных последовательностях выглядят как зоны с умеренно гиперинтенсивным сигналом неправильной формы. На более поздних сроках при проведении в Т2 ВИ или FLAIR режиме МРТ единичный очаг приобретает вид светлого пятна, что указывает на усугубление деструктивных процессов.
Что означают белые и черные пятна на снимках МРТ?
Зоны измененного МР-сигнала могут означать:
- ишемию тканей;
- отек;
- некроз;
- гнойное расплавление;
- опухолевую трансформацию;
- метастатическое поражение;
- глиоз;
- демиелинизацию;
- дегенерацию и др.
Врач-рентгенолог описывает интенсивность сигнала, размеры и локализацию очага. С учетом полученных сведений, жалоб пациента и данных предыдущих обследований специалист может предположить природу патологических изменений.
![Острый рассеянный энцефаломиелит на МРТ]()
Острый рассеянный энцефаломиелит на МРТ
Причины возникновения очагов на МРТ головного мозга
Если при МРТ головного мозга выявлены очаги, их расценивают как симптомы патологии органа. Зоны гипер- или гипоинтенсивного МР-сигнала свидетельствуют о нарушении структуры определенного участка церебрального вещества. Очаговые изменения могут быть единичными или множественными, крупными, мелкими, диффузными и т.п.. Подобное наблюдается при:
- ;
- ангиопатии; ;
- хронической недостаточности мозгового кровообращения;
- рассеянном склерозе или иных демиелинизирующих заболеваниях; , Пика, Паркинсона и т.п.;
- энцефаломиелите и других заболеваниях.
Очаговые изменения могут быть результатом некроза, гнойных процессов, ишемии, воспаления тканей, разрушения нервных волокон и т.п. Фокальная патология на МР-сканах почти всегда свидетельствует о развитии серьезного заболевания, а в некоторых случаях указывает на опасность для жизни больного.
Гидроцефалия головного мозга на МРТ у взрослых: насколько это опасно?

Гидроцефалия (водянка мозга) до сих пор считается преимущественно врожденным детским заболеванием, связанным с аномалиями развития или родовыми травмами. Не существует даже четких критериев диагностики гидроцефалии у взрослых. Поэтому врачи крайне редко направляют своих пациентов на МРТ головного мозга с подозрением на гидроцефалию. В большинстве случаев водянка мозга у взрослых обнаруживается случайно. Причем, как утверждают нейрохирурги, диагностируют ее у каждого 4-го пациента, обратившегося с жалобами на плохое самочувствие.
Причины развития гидроцефалии у взрослых
В центральной нервной системе взрослого человека в норме находится около 125-150 мл спинномозговой жидкости (ликвора). Она постоянно циркулирует в полости черепа и спинном мозге.
Ликвор имеет важное физиологическое значение и выполняет ряд функций:
- защита мозга от механических повреждений: ударов, толчков, сотрясения;
- внутренний гистогематический барьер, который защищает мозг от патогенов и нейротоксинов, которые могут присутствовать в крови и плазме;
- транспорт гормонов, вырабатываемых гипофизом и гипоталамусом;
- доставка питательных веществ, отвод отработанных продуктов обмена и др.
За сутки организм вырабатывает около 500-700 мл. ликвора. Большая его часть сразу же расходуется: уходит в желудочки, субарахноидальное пространство и частично - в лимфатическую систему. Поэтому в норме объем циркулирующей цереброспинальной жидкости (ЦСЖ) остается неизменным и составляет те же 125-150 мл.
Если же процесс всасывания ликвора на каком-то этапе замедляется или прекращается, но нарушается баланс между выработкой и потреблением. В результате количество спинномозговой жидкости увеличивается. Она скапливается в полости и приводит к повышению внутричерепного давления, давит на мозг, вызывает головные боли и двигательные нарушения. Чтобы установить точную причину этих симптомов, нужно сделать МРТ головного мозга, так как сдавливать ткани может не только водянка, но и опухоль.
Виды приобретенной гидроцефалии
По патогенезу выделяют три формы водянки мозга:
По локализации скопления ликвора выделяют следующие виды гидроцефалии:
- Наружная, при которой ЦСЖ скапливается в субарахноидальном пространстве.
- Внутренняя, со скоплением ликвора в желудочках мозга.
- Смешанная, когда избыток ЦСЖ наблюдается на всех участках.
Симптомы гидроцефалии у взрослых
Скопление спинномозговой жидкости может проявляться следующим образом:
- головная боль;
- тошнота;
- рвота, ухудшение зрения;
- сонливость;
- угнетение сознания (заторможенность, спутанность сознания, непонимание обращенной речи, задержка ответа, потеря ориентации в пространстве и т.д.);
- нарушение двигательной активности, отсутствие мимики, малоподвижность;
- кратковременные обмороки;
- кома и др.
МРТ головного мозга - самый точный метод диагностики гидроцефалии
Ведущим методом диагностики гидроцефалии у взрослых считается МРТ головы.
Исследование дает исчерпывающую информацию о патологических процессах:
- наличие избыточного количества ликвора;
- форма гидроцефалии;
- локализация водянки головного мозга;
- объем и распространенность нарушения;
- сдавливание мозга избытком жидкости, нарушение кровообращения;
- причины гидроцефалии.
Определение причин особенно важно, так как в большинстве случаев сама водянка является вторичной.
Развиваться она может на фоне следующих первичных патологий:
- ишемический или геморрагический инсульт;
- опухоль (доброкачественная или злокачественная);
- острые вирусные и бактериальные нейроинфекции: менингит, энцефалит, арахноидит и др.;
- кровоизлияние, вызванное травмой мозга.
МРТ мозга позволяет выявить любую из этих и множества других причин, на фоне которых развилась гидроцефалия. Причем, например, в отделениях нейрохирургии исследование делают незамедлительно, сразу же после прибытия больного в стационар. По результатам МРТ оценивают тяжесть нарушений и в случае необходимости принимают решение о проведении операции или составляют наиболее эффективный план консервативного лечения.
Где сделать МРТ головы для диагностики гидроцефалии
Можно пройти исследование в любом диагностическом центре даже без направления врача. Однако стоит учитывать, что цена МРТ головного мозга может отличаться в 2-3 раза. Поэтому есть смысл сравнить стоимость диагностики.
Также нужно помнить о том, что прием пациентов практически во всех клиниках ведется по записи. Поэтому лучше выбрать кабинет диагностики, записаться на прием и ехать на назначенное время. Особенно если у вас на руках больной в тяжелом состоянии, которого нужно транспортировать максимально аккуратно.
Насколько опасна гидроцефалия и сколько с ней живут?
Главная опасность водянки в том, что она сдавливает головной мозг, вызывая различные неврологические расстройства (двигательные нарушения, ухудшение памяти, изменении е интеллекта и др.).
Однако гидроцефалия успешно лечится оперативным путем, позволяя человеку вернуться к нормальной жизни и сохранить работоспособность.

Возраст: 37 лет
Общий стаж: 12 лет
Окончил: Пермская государственная медицинская академия
Повышение квалификации: "Флюорография", Пермская государственная медицинская академия, "Компьютерная томография", Российский государственный медицинский университет

Существует множество разнообразных факторов возникновения боли в спине. Поэтому даже если вам кажется, что причины нет, то на самом деле она есть. Боль может возникать спонтанно и не иметь связи с нагрузками или заболеваниями. Но в любом случае нужно разобраться, откуда у нее «ноги растут».

Боль в спине - едва ли не самая распространенная причина недомоганий. Ею страдают дачники и любители фитнеса, переоценившие свои возможности, водители и офисные работники, не имеющие возможности «оторваться от кресла», грузчики и разнорабочие, вынужденные носить тяжести. В большинстве случаев боль превращает беспечного страдальца в «хроника», но представляет смертельной опасности. Но бывает и другая ситуация, когда нужно срочно сделать МРТ позвоночника и бить во все колокола. Сигналом такой тревоги являются красные флаги болей в спине.
Причиной боли в спине могут быть костно-мышечные инфекции, ревматические заболевания, опухоли, невриты, артриты и многие другие патологии. Причем в большинстве случаев страдания доставляет не какая-то страшная болезнь, а обратимые изменения структур спины. Они успешно лечатся в амбулаторно. Главное - вовремя сделать МРТ позвоночника и узнать причину дорсалгии.
Магнитно-резонансная томография - лучший метод исследования любых мягких тканей, богатых протонами водорода. Если речь идет об исследовании головного мозга, то здесь ему просто нет равных. Аппарат послойно сканирует проблемную область и представляет эту информацию в виде множества томограмм. А врач потом может рассмотреть по отдельности каждый срез, изучить мозг и его отделы, выявить патологии (аневризму сосудов, мальформацию, аденому, микроинсульт).
«Сколько живут с опухолью головного мозга? Можно ли вылечить рак? Доктор, а если сделать операцию? Она поможет?», - такие вопросы часто задают врачу сами пациенты, которым поставили пугающий диагноз, или их родные. Ответ на них будет зависеть от «запущенности» больного. Чем раньше обнаружат опухоль, тем лучше прогноз и больше шансов на полное излечение. Поэтому важно не пропустить первые симптомы, пройти диагностику и сделать МРТ головного мозга.
Читайте также:
















