Внутренняя яремная вена. Показания к пункции внутренней яремной вены
Добавил пользователь Владимир З. Обновлено: 11.12.2025
V. jugularis interna, внутренняя яремная вена, выносит кровь из полости черепа и органов шеи; начинаясь у foramen jugulare, в котором она образует расширение, bulbus superior venae jugularis internae, вена спускается вниз, располагаясь латерально от a. carotis interna, и далее вниз латерально от a. carotis communis. На нижнем конце v. jugularis internae перед соединением ее с v. subclavia образуется второе утолщение - bulbus inferior v. jugularis internae; в области шеи выше этого утолщения в вене имеется один или два клапана. На своем пути в области шеи внутренняя яремная вена прикрыта m. sternocleidomastoideus и m. omohyoideus.
Притоки внутренней яремной вены разделяются на внутричерепные и внечерепные. К первым относятся синусы твердой оболочки головного мозга, sinus durae matris, и впадающие в них вены мозга, vv. cerebri, вены черепных костей, vv. diploicae, вены органа слуха, vv. auditivae, вены глазницы, vv. ophtalmicae, и вены твердой оболочки, vv. meningeae. Ко вторым относятся вены наружной поверхности черепа и лица, впадающие во внутреннюю яремную вену по ее ходу. Между внутричерепными и внечерепными венами существуют связи посредством так называемых выпускников, vv. emissariae, проходящих через соответственные отверстия в черепных костях (foramen parietale, foramen mastoideum, canalis condylaris).
На своем пути v. jugularis interna принимает следующие притоки:
- V. facialis, лицевая вена. Притоки ее соответствуют разветвлениям a. facialis и несут кровь от различных образований лица.
- V. retromandibular, позадичелюстная вена, собирает кровь из височной области. Далее книзу в v. retromandibularis впадает ствол, выносящий кровь из plexus pterygoideus (густое сплетение между mm. pterygoidei), после чего v. retromandibularis, проходя через толщу околоушной железы вместе с наружной сонной артерией, ниже угла нижней челюсти сливается с v. facialis. Наиболее коротким путем, связующим лицевую вену с крыловидным сплетением, является анастомотическая вена (v. anastomotica facialis), которая расположена на уровне альвеолярного края нижней челюсти. Соединяя поверхностные и глубокие вены лица, анастомотическая вена может стать путем распространения инфекционного начала и потому имеет практическое значение. Имеются также анастомозы лицевой вены с глазничными венами. Таким образом, есть анастомотические связи между внутричерепными и внечерепными венами, а также между глубокими и поверхностными венами лица. Вследствие этого образуются многоярусность венозной системы головы и связь между различными ее подразделениями.
- Vv. pharyngeae, глоточные вены, образуя на глотке сплетение (plexus pharygneus), вливаются или непосредственно в v. jugularis interna, или впадают в v. facialis.
- V. lingualis, язычная вена, сопровождает одноименную артерию.
- Vv. thyroideae superiores, верхние щитовидные вены, собирают кровь из верхних участков щитовидной железы и гортани.
- V. thyroidea media, средняяя щитовидная вена, отходит от бокового края щитовидной железы и вливается в v. jugularis interna. У нижнего края щитовидной железы имеется непарное венозное сплетение, plexus thyroideus impar, отток из которого происходит через vv. thyroideae superiores в v. jugularis interna, а также по vv. thyroideae interiores и v. thyroidea ima в вены переднего средостения.
К каким докторам обращаться для обследования Внутренней яремной вены:
Какие заболевания связаны с Внутренней яремной веной:
Какие анализы и диагностики нужно проходить для Внутренней яремной вены:
Вас что-то беспокоит? Вы хотите узнать более детальную информацию о Внутренней яремной вене или же Вам необходим осмотр? Вы можете записаться на прием к доктору - клиника Eurolab всегда к Вашим услугам! Лучшие врачи осмотрят Вас, проконсультируют, окажут необходимую помощь и поставят диагноз. Вы также можете вызвать врача на дом. Клиника Eurolab открыта для Вас круглосуточно.
Как обратиться в клинику:
Телефон нашей клиники в Киеве: (+38 044) 206-20-00 (многоканальный). Секретарь клиники подберет Вам удобный день и час визита к врачу. Наши координаты и схема проезда указаны здесь. Посмотрите детальнее о всех услугах клиники на ее персональной странице.
Если Вами ранее были выполнены какие-либо исследования, обязательно возьмите их результаты на консультацию к врачу. Если исследования выполнены не были, мы сделаем все необходимое в нашей клинике или у наших коллег в других клиниках.
Необходимо очень тщательно подходить к состоянию Вашего здоровья в целом. Есть много болезней, которые по началу никак не проявляют себя в нашем организме, но в итоге оказывается, что, к сожалению, их уже лечить слишком поздно. Для этого просто необходимо по несколько раз в год проходить обследование у врача, чтобы не только предотвратить страшную болезнь, но и поддерживать здоровый дух в теле и организме в целом.
Если Вы хотите задать вопрос врачу - воспользуйтесь разделом онлайн консультации, возможно Вы найдете там ответы на свои вопросы и прочитаете советы по уходу за собой. Если Вас интересуют отзывы о клиниках и врачах - попробуйте найти нужную Вам информацию на форуме. Также зарегистрируйтесь на медицинском портале Eurolab, чтобы быть постоянно в курсе последних новостей и обновлений информации о Внутренней яремной вене на сайте, которые будут автоматически высылаться Вам на почту.
Если Вас интересуют еще какие-нибудь органы и части тела человека или у Вас есть какие-либо другие вопросы или предложения - напишите нам, мы обязательно постараемся Вам помочь
Катетеризация центральных вен
Для центрального венозного доступа чаще используют правую внутреннюю яремную вену или правую подключичную вену. Это связано с тем, что слева проходит грудной лимфатический проток и возможно его повреждение во время катетеризации. А также по внутренней левой яремной вене происходит отток крови от доминирующего полушария головного мозга. И в случае возникновения гнойных или тромботических осложнений, неврологические последствия для пациента могут быть более серьезными.
Считается, что катетеризация внутренней яремной вены сопровождается меньшим числом осложнений (пневмоторакс, тромбозы, кровотечение) по сравнению с катетеризацией подключичной вены. В то же время в каких-то случаях удобнее использовать подключичный доступ, например: при гиповолемии, двигательном возбуждении, низком артериальном давлении у больного и т.д.
Катетеризация бедренной вены ассоциируется с повышенным риском инфекционных и тромботических осложнений. И используется, как запасной вариант при невозможности выполнить центральную катетеризацию из другого доступа. Облегчить поиск вены, уменьшить риск осложнений позволяет проведение ультразвукового исследования, позволяющее уточнить индивидуальные особенности расположения венозных стволов пациента.
Внимание! Если попытка катетеризации вены закончилась неудачей, не упорствуйте и сразу позовите коллегу на помощь - часто помогает если не решить проблему, то, по крайней мере, избежать неприятностей в дальнейшем.
Пункция правой внутренней яремной вены центральным доступом
Пациента уложите на спину, руки - вдоль туловища, голову поверните влево. Для увеличения наполнения центральных вен и снижения риска воздушной эмболии придайте положение Тренделенбурга (головной конец стола опускают на 15° вниз), если конструкция кровати не позволяет это сделать - горизонтальное.
Определите положение правой сонной артерии. Внутренняя яремная вена располагается поверхностнее, латеральнее и параллельно сонной артерии. Обработайте кожу антисептиком и ограничьте место пункции стерильными салфетками. Инфильтрируйте кожу и подкожную клетчатку над передним краем грудино-ключичнососцевидной мышцы на уровне щитовидного хряща 5 мл 1% раствором лидокаина. Поисковая пункция выполняется внутримышечной иглой с целью локализовать расположение вены с минимальным риском получить значительное кровотечение при непреднамеренной пункции артерии.
Также «поисковой иглой» стоит воспользоваться, если есть коагулопатия, или игла для пункции из набора неудобна для вас, или необходимо ввести катетер большого диаметра. При наличии хороших мануальных навыков, вы, естественно, от использования «поисковой пункции» может отказаться. Левой рукой определите ход сонной артерии. Иглу введите чуть латеральнее (приблизительно 1 см) артерии под углом 45° к коже по направлению к правому соску у мужчины или правой верхней передней подвздошной ости у женщин. Продвигайте иглу медленно, поддерживая разрежение в шприце, до получения крови. Вена расположена поверхностно, поэтому не следует вводить иглу глубже 3-4 сантиметров.
Если вы не обнаружили вену, медленно извлеките иглу под кожу, поддерживая разряжение в шприце (т. к. игла могла случайно проколоть обе стенки вены). Если получить кровь не удалось, повторите попытку, взяв на этот раз направление немного медиальнее. Убедившись, что вы нашли вену, можно удалить поисковую иглу запомнив направление пункции, либо оставить ее на месте, удалив ее после попадания иглы из набора в вену. Пункция вены иглой из набора выполняется в направлении, определенном при поисковой пункции.
Пункция правой подключичной вены
Больного уложите на спину, руки - вдоль туловища, голову поверните влево. Чтобы отвести плечи назад и вниз, между лопатками положите валик. Для увеличения наполнения центральных вен и снижения риска воздушной эмболии придайте положение Тренделенбурга (головной конец стола опускают на 15° вниз), если конструкция кровати не позволяет это сделать - горизонтальное.
Нащупайте яремную вырезку грудины, грудино-ключичное и акромиально-ключичное сочленения. Далее обработайте кожу раствором антисептика и ограничьте место пункции стерильными салфетками. Точка пункции находится на 2-3см ниже ключицы, на границе средней и медиальной трети ее. Инфильтрируйте кожу и подкожную клетчатку вокруг места пункции 5-10 мл 1% раствором лидокаина.
Введите иглу через указанную точку до соприкосновения с ключицей. Постепенно продвиньте конец иглы вниз так, чтобы она оказалась сразу под ключицей. Затем поверните и направьте иглу на яремную вырезку. Медленно продвигайте иглу вперед, поддерживая разрежение в шприце, до получения крови. Срез конца иглы должен быть повернут в сторону сердца - это увеличивает вероятность правильной установки катетера. Старайтесь держать иглу параллельно плоскости кровати (во избежание пункции подключичной артерии или плевры);
Если вы не попали в вену, медленно извлеките иглу под кожу, поддерживая разряжение в шприце. Промойте иглу и убедитесь, что она проходима. Повторите попытку, взяв направление вкола немного краниальнее.
Пункция правой бедренной вены
Положение пациента на спине, с подложенным под ягодицы валиком. Ногу следует несколько отвести и развернуть кнаружи. Определите пульсацию бедренной артерии ниже паховой связки: бедренная вена располагается медиальнее. Обработайте кожу антисептиком и ограничьте место пункции стерильными салфетками. Далее инфильтрируйте кожу и подкожную клетчатку 5 мл 1 % раствором лидокаина. Надсеките кожу скальпелем с небольшим лезвием.
На 2 см ниже паховой связки определите ход бедренной артерии двумя пальцами левой руки. Иглу вводят на 1 см медиальнее бедренной артерии под углом 30° к коже и направляют ее по ходу вены, поддерживая разрежение в шприце, до получения крови. Вена обычно расположена на глубине 2-4 см от поверхности кожи. В качестве иглы удобно использовать периферический венозный катетер G14-16, предварительно убедившись, что он пропускает проводник.
Если вы не обнаружили вену, медленно извлеките иглу, поддерживая разряжение в шприце. Промойте иглу и убедитесь, что она проходима. Повторите попытку, направляя иглу немного правее или левее от первоначального места пункции.
Введение катетера по Сельдингеру
Сразу после пункции вены убедитесь, что кровь легко поступает в шприц. Отсоедините шприц, удерживая иглу на месте. Старайтесь опираться кистью на тело больного, чтобы минимизировать риск миграции иглы из просвета вены. Закройте павильон иглы пальцем во избежание попадания воздуха;
Введите в иглу гибкий конец проводника. Если возникает какое-либо сопротивление продвижению проводника, осторожно поверните его, и попробуйте продвинуть. Если это не помогло - металлический проводник удалите. Снова оцените аспирацию крови из вены. Измените угол наклона иглы или поверните ее, проверьте поступление крови в шприц. Повторите попытку. Если не удалось провести проводник из пластика, во избежание срезания, он должен удаляться обязательно вместе с иглой.
После заведения проводника в вену на половину его длины удалите иглу. Перед введением дилататора надсеките кожу скальпелем с небольшим лезвием; Введите по проводнику дилататор. Старайтесь брать дилататор пальцами ближе к коже, чтобы избежать перегиба проводника и дополнительной травмы тканей, а то и вены. Нет необходимости вводить дилататор на всю длину, достаточно создать туннель в коже и подкожной клетчатке без проникновения в просвет вены. Извлеките дилататор и введите катетер. Удалите проводник. Проведите аспирационную пробу. Свободный ток крови свидетельствует о том, что катетер находится в просвете вены.
Контроль правильного положения дистального конца яремного или подключичного катетера
Конец катетера должен находиться в полой вене. При высоком расположении катетера в верхней части полой вены, конец его может упираться в противоположную стенку вены, что затрудняет проведение инфузий и способствует формированию пристеночного тромба. Нахождение катетера в полостях сердца вызывает нарушения ритма, увеличивает риск перфорации сердца.
Установка катетера под ЭКГ контролем
Установка катетера под ЭКГ контролем позволяет оптимизировать его положение и уменьшить вероятность осложнений.
1.Катетер промывают физиологическим раствором. В катетер вводят металлический проводник, так, чтобы он не выходил за пределы катетера (на некоторых проводниках есть специальная метка). Или через заглушку катетера вводится металлическая в/м игла и катетер заполняют 7,5% раствором натрия хлорида. На иглу надевают заглушку;
2.Присоедините провод грудного отведения ―V‖ электрокардиографа или кардиоскопа к игле или проводнику с помощью зажима типа ―крокодил‖. И включите режим «грудное отведение» на регистрирующем устройстве. Или к дистальному электроду подсоединить провод правой руки и включить второе (II) отведение на кардиоскопе или кардиографе;
3. Если конец катетера находится в правом желудочке, на экране монитора видим высокоамплитудный (в 5-10 раз больше обычного) комплекс QRS. Медленно подтягивая катетер, видим снижение амплитуды комплекса QRS, но при этом зубец P остается очень высоким, что указывает на нахождение катетера в предсердии.
Дальнейшее подтягивание катетера приводит к нормализации амплитуды зубца P. Еще приблизительно на 1 см подтягиваем катетер — это и есть оптимальное положение катетера в верхней полой вене.
4. Зафиксируйте катетер к коже швом или лейкопластырем. Наложите стерильную повязку.
Рентгенологический контроль положения центрального катетера
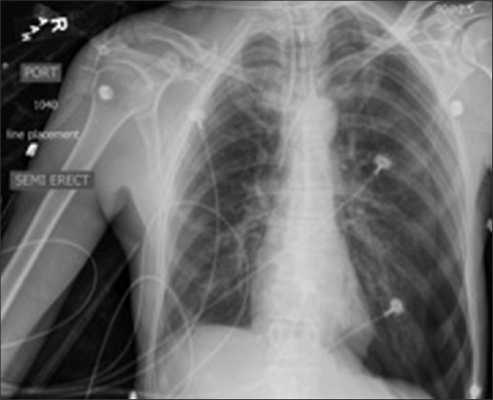
После катетеризации внутренней яремной или подключичной вены необходимо произвести рентгенографию органов грудной клетки для подтверждения правильного расположения катетера и исключения пневмоторакса. Если больному проводится ИВЛ - рентгенография проводится сразу после катетеризации. При самостоятельном дыхании больного - через 3-4 часа. При признаках гемоторакса, пневмоторакса - рентгенография проводится немедленно.
Определение правильного положения дистального конца катетера на ретгенограмме
На рентгенограмме грудной клетки в передней проекции у взрослых конец катетера должен располагаться не более чем на 2 см ниже линии, соединяющей нижние концы ключицы. Эта линия разделяет верхнюю полую вену на два участка, расположенных ниже верхней границы перикарда и выше нее. Если катетер вводят в нижнюю полую вену, его конец должен располагаться ниже уровня диафрагмы.
Осложнения
Пункция артерии
При случайной пункции артерии прижимайте место пункции в течение 5-10 минут, затем повторите венепункцию.
Пневмоторакс/гидроторакс
У пациента, находящегося на ИВЛ, возможно развитие напряженного пневмоторакса. В этом случае даже при небольшом пневмотораксе необходимо дренирование плевральной полости. Если больной находится на самостоятельном дыхании, при небольшом пневмотораксе осуществляют динамическое наблюдение. При большом, признаках дыхательной недостаточности - дренирование плевральной полости.
Гидроторакс чаще связан с нахождением конца катетера в плевральной полости. Иногда через этот неправильно установленный катетер жидкость удается эвакуировать, опустив головной конец стола или кровати.
Смещение подключичного катетера во внутреннюю яремную вену
Положение катетера следует изменить, так как введение гипертонических растворов во внутреннюю яремную вену может вызвать венозный тромбоз.
Частые желудочковые экстрасистолы или желудочковая тахикардия
Развитие этих аритмий может указывать, что конец катетера находится прямо на трехстворчатом клапане. Подтяните катетер на несколько сантиметров назад.
Инфицирование катетера
Чаще всего происходит инфицирование Staphylococcus aureus и S. epidermidis, но у пациентов с иммунодефицитом возбудителями инфекции могут стать грамотрицательные палочки или грибки.
Явные признаки инфицирования катетера: болезненность, покраснение кожи и гнойное отделяемое в месте стояния катетера.
Возможное инфицирование катетера: при наличии лихорадки или других системных признаков сепсиса, но отсутствии признаков инфицирования в месте стояния катетера.
25 осложнений катетеризации центральных вен
Осложнения катетеризации центральных вен — неблагоприятные события, непосредственно связанные с пункцией или катетеризацией подключичной, яремной или бедренной вены. Непосредственные осложнения возникают во время установки катетера: сосудистые, сердечные и легочные осложнения. Отсроченные осложнения включают дисфункцию катетера и инфекцию.
Показания к пункции и катетеризации центральных вен здесь
Катетеризация по Сельдингеру здесь
КЛАССИФИКАЦИЯ ОСЛОЖНЕНИЙ:
По данным нескольких исследований, проведенных в США, частота осложнений при катетеризации центральных вен может достигать более 15%: механические осложнения от 5 до 19%, инфекционные осложнения от 5 до 26%, тромботические осложнения от 2 до 26%.
ВИДЫ ОСЛОЖНЕНИЙ
1) травма легкого
2) кровотечение
3) анафилактический шок
4) гемоторакс
5) пневмоторакс
6) катетер-ассоциированные инфекции
7) тампонада сердца
8) тромбоз вены
9) потеря проводника
10) повреждение нервов
11) воздушная эмболия
12) артерио-венозный свищ
13) пневмомедиастинум
14) эмболия фрагментами катетера
15) тромбирование катетера
16) подкожная гематома
17) нарушения ритма сердца
18) пункция артерии
19) флебит
20) перфорация вены
21) перфорация пищевода
22) перфорация трахеи
23) расслоение аорты
24) травма грудного лимфатического протока
25) миграция катетера
МЕХАНИЧЕСКИЕ ОСЛОЖНЕНИЯ КАТЕТЕРИЗАЦИИ ВЕН
Пункция артерии, гематома и пневмоторакс являются наиболее частыми механическими осложнениями при установке центральных венозных катетеров.
Катетеризация подключичной вены по Сельдингеру с большей вероятностью, чем внутренней яремной вены, будет осложнена пневмотораксом и гемотораксом, тогда как катетеризация внутренней яремной вены с большей вероятностью будет связана с ятрогенной пункцией артерии. Во время катетеризации бедренной вены часто встречаются гематома и артериальная пункция.
Если нет противопоказаний, для катетеризации следует выбирать подключичную или внутреннюю яремную вену, т.к. механические осложнения наиболее вероятны во время катетеризации бедренной вены.
Сосудистые осложнения: повреждение артерии и вены, кровотечение и гематома. Непреднамеренное размещение катетера в правом предсердии или даже внутри правого желудочка может вызывать локальное раздражение миокарда, с последующей наджелудочковой аритмией.
Легочные осложнения: пневмоторакс, пневмомедиастинум, хилоторакс, травма трахеи, повреждение возвратного гортанного нерва и воздушная эмболия. Повреждение париетальной плевры при установке центрального катетера приводит к пневмотораксу и пневмомедиастинуму. Пневмоторакс и пневмомедиастинум встречаются в 1% случаев и чаще всего связаны с установкой подключичного катетера.
ОПЫТ КАТЕТЕРИЗАЦИИ
Установка катетера по Сельдингеру анестезиологом, выполнившим более 50 катетеризаций, вдвое снижает риск механических осложнений. Если врачу не удается выполнить пункцию центральной вены после трех попыток, ему следует обратиться за помощью, а не продолжать попытки.
Частота механических осложнений катетеризации центральной вены по Сельдингеру после трех и более попыток в шесть раз выше, чем после одной попытки. Клинические рекомендации Федерации анестезиологов-реаниматологов по катетеризации центральных вен здесь
УЛЬТРАЗВУКОВОЕ ИССЛЕДОВАНИЕ
Использование УЗИ может снижать риск осложнений во время катетеризации центральных вен. Во время катетеризации внутренней яремной вены ультразвуковой контроль снижает количество механических осложнений, количество неудачных попыток и время, необходимое для всей процедуры.
УЗИ во время пункции подключичной вены дает сомнительные результаты в клинических исследованиях, вероятно по анатомическим причинам.
Катетеризация под ультразвуковым контролем требует обучения. В больницах, где доступно ультразвуковое оборудование и анестезиологи имеют соответствующую подготовку, следует регулярно рассматривать возможность использования ультразвукового контроля при катетеризации внутренней яремной вены.
Примеры осложнений
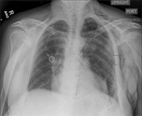
Ипсилатеральный пневмоторакс

Контралатеральный пневмоторакс

ИНФЕКЦИОННЫЕ ОСЛОЖНЕНИЯ КАТЕТЕРИЗАЦИИ ВЕН
При катетеризации центральной вены следует соблюдать меры стерилизации (стерильный халат, маска, шапка, стерильные перчатки, стерильная пеленка. В научном исследовании было показано, что этот подход снижает частоту инфекционных осложнений.
Инфекционные осложнения, связанные с катетером, возникают по нескольким механизмам:
- инфицирование места выхода катетера с последующей миграцией патогенной флоры по внешней поверхности катетера
- загрязнение катетера, приводящее к колонизации патогенной флоры внутри просвета катетера
- гематогенное инфицирование катетера
Рандомизированное исследование Veenstra D.L. показало, что катетеризация подключичной вены была связана со значительно более низкой частотой инфекционных осложнений, чем катетеризация бедренной вены, и тенденцией к более низкой частоте подтвержденных инфекций, связанных с катетером (1,2 инфекции на 1000 катетер-дней, против 4,5 инфекции на 1000 при катетеризации бедренной вены; p=0,07). Имеющиеся данные свидетельствуют о том, что катетеризация подключичной вены с меньшей вероятностью приведет к катетерной инфекции, чем катетеризация внутренней яремной вены, хотя эти два подхода не сравнивались в рандомизированных исследованиях. Таким образом, выбор подключичной области, по-видимому, сводит к минимуму риск инфекционных осложнений.
Центральный катетер следует удалить как только он больше не нужен! Риск инфекционных осложнений считается низким до 5-7 дня, после чего он возрастает. Рутинная замена катетера по проводнику связана с тенденцией к увеличению числа инфекций, связанных с катетером. Кроме того, чем чаще катетер заменяется новым катетером (на новом месте), тем больше вероятность того, что у пациента будут механические осложнения. Таким образом, центральные венозные катетеры не следует заменять по расписанию!
При подозрении на катетер-ассоциированную инфекцию (сепсис) необходимо взять для посева два образца крови, чтобы оценить вероятность бактериемии! Место установки катетера следует тщательно осмотреть. Если есть гнойные выделения или эритема — катетер необходимо удалить. Если у пациента есть признаки сепсиса или септического шока, следует начать эмпирическую антибактериальную терапию для лечения инфекций, вызванных Staphylococcus epidermidis или S. aureus . Следует добавить антибактериальную терапию для грамотрицательных микроорганизмов, особенно если у пациента ослаблен иммунитет, есть нейтропения или другие факторы риска инфицирования грамотрицательными бактериями. У пациентов с септическим шоком и отсутствием другого источника инфекции катетер следует удалить и заменить на новый на новом месте. Если посев с кончика катетера положительный — катетер необходимо удалить!
ТРОМБОТИЧЕСКИЕ ОСЛОЖНЕНИЯ
В исследовании Hirsch D.R. было показано, что пациенты, которым требуется катетеризация центральной вены, подвержены высокому риску тромбоза, связанного с катетером. При использовании УЗИ выявлен венозный тромбоз у 33% пациентов в отделениях интенсивной терапии и примерно у 15% этих пациентов тромбоз связан с катетером. Риск тромбоза, связанного с катетером, варьируется в зависимости от места введения. В исследовании Merrer J. тромбоз, связанный с катетером, возник у 21,5% пациентов с катетерами бедренной вены и у 1,9% пациентов с катетерами подключичной вены (p<0,001). Катетеризация подключичной вены несет самый низкий риск тромбоза, связанного с катетером. Клиническое значение тромбоза, связанного с катетером, остается неопределенным, хотя все тромбозы могут вызывать эмболию.
РАСПОЗНАВАНИЕ ПУНКЦИИ АРТЕРИИ И ПРОФИЛАКТИКА ВОЗДУШНОЙ ЭМБОЛИИ
У пациентов с нормальным артериальным давлением и нормальным парциальным давлением кислорода в крови ятрогенную пункцию артерии легко определить по пульсирующему кровотоку в шприце и ярко красному цвету крови. Однако у пациентов с выраженной гипотензией или десатурацией диагностика может быть затруднена.
При возникновении сомнений следует немедленно удалить иглу!
Во время спонтанного вдоха пациент создает отрицательное внутригрудное давление. Если центральный катетер открыт, отрицательное внутригрудное давление может втягивать воздух в вену, что может привести к воздушной эмболии. Даже небольшое количество воздуха может стать фатальным, особенно если оно передается через дефект межпредсердной или межжелудочковой перегородки.
Чтобы предотвратить это осложнение, заглушки двупросветного катетера должны быть всегда закрыты!
Катетеризация центральных вен
Катетеризация центральной вены — это чрескожное введение катетера в подключичную, яремную или бедренную вену с целью проведения инфузионной терапии и контроля центрального венозного давления.Осложнения катетеризации центральных вен здесь
Катетеризация по Сельдингеру здесь
Клинические рекомендации Федерации анестезиологов-реаниматологов по катетеризации центральных вен можно скачать здесь

Показания: измерение и контроль центрального венозного давления, невозможность катетеризации периферической вены, сложные операции с предполагаемой кровопотерей, гемодиализ, рентген-контрастные исследования сердца.
Противопоказания: гнойная инфекция кожи в месте пункции, нарушения свертываемости крови, травма проксимальнее места пункции
Осложнения: кровотечение, гемоторакс, пневмоторакс, катетер-ассоциированные инфекции, тампонада сердца, тромбоз вены, потеря проводника, повреждение нервов, тромбоз вены, воздушная эмболия, эмболия фрагментами катетера, тромбирование катетера, подкожная гематома, нарушения ритма сердца, пункция артерии.
Инструменты и препараты: набор для катетеризации центральных вен (игла, шприц, проводник, расширитель, катетер, фиксатор), иглодержатель, хирургическая нить, 1% раствор лидокаина, йод, спирт, стерильные перчатки, салфетки и др.
ПУНКЦИЯ И КАТЕТЕРИЗАЦИЯ ПОДКЛЮЧИЧНОЙ ВЕНЫ
Подключичную вену рекомендуется катетеризировать, если ожидается нахождение катетера в венозном русле более пяти суток, что обусловлено значимо меньшим риском инфекционных осложнений и лучшим комфортом для пациента по сравнению с катетеризацией внутренней яремной и бедренной веной.
Подключичная вена проходит под ключицей медиальнее среднеключичной точки.
Подключичный доступ
Ввести иглу на границе внутренней и средней трети ключицы. Направление иглы — медиально и слегка краниально, к яремной вырезке грудины.
После пункции подключичной вены из подключичного доступа производится катетеризация по Сельдингеру, подробнее здесь

Надключичный доступ
Ввести иглу на 1 см выше ключицы и на 1 см латеральнее ключичной головки грудино-ключично-сосцевидной мышцы. Направление иглы — к яремной вырезке грудины или соску с противоположной стороны.
После пункции подключичной вены из надключичного доступа производится катетеризация по Сельдингеру, подробнее здесь
ПУНКЦИЯ И КАТЕТЕРИЗАЦИЯ ВНУТРЕННЕЙ ЯРЕМНОЙ ВЕНЫ
Катетеризация внутренней яремной вены рекомендуется, если требуется проведение заместительной почечной терапии в условиях низкого риска инфицирования катетера, временной эндокардиальной кардиостимуляции, установки катетера Свана-Ганца или, в случаях, когда предполагаемая продолжительность стояния катетера составляет менее пяти суток. Катетеризацию яремной вены рекомендуется выполнять под УЗИ. В остальном, данный метод не имеет преимуществ перед катетеризацией подключичной вены и может нести более высокий риск инфекционных осложнений, особенно у пациентов с дефицитом массы тела, подробнее здесь
Внутренняя яремная вена расположена на вершине треугольника, образованного головками грудино-ключично-сосцевидной мышцы и ключицей.
ЦЕНТРАЛЬНЫЙ ДОСТУП
После пункции внутренней яремной вены из центрального доступа производится катетеризация по Сельдингеру, подробнее здесь
ЗАДНИЙ ДОСТУП
После пункции внутренней яремной вены из заднего доступа производится катетеризация по Сельдингеру, подробнее здесь
Зачем нужна и как проводится катетеризация яремной вены

Для постановки катетеров в венозные трубки врач пользуется стандартными наборами для катетеризации центральных вен или сосудов на периферии. Они отличаются диаметром и конфигурацией трубок-катетеров, а также наличием в комплекте дополнительных инструментов для введения и фиксации устройств на теле человека.
Стандартная комплектация набора для катетеризации подключичных и яремных вен (КПРВ) содержит:
- трубку-катетер, выполненный из полимерного материала, видимого на рентгеновских снимках, диаметром от 1,2 до 2,3 мм и длиной от 130 до 210 мм, с удлинителями;
- иглу металлическую округлую или трехгранную диаметром от 1,1 до 1,6 мм и длиной от 57 до 100 мм;
- проводники — прямой из полимерного материала или J-образный из металла;
- расширители;
- фиксирующие элементы;
- заглушку с мембраной.
Стандартная комплектация катетеров для периферических отделов венозной системы отличается от наборов для катетеризации центральных вен отсутствием расширителей и проводников, а также размером трубок: их толщина варьируется от 0,62 до 2,1 мм, а длина от 19 до 45 мм.
Выбор размера катетеров зависит от многих факторов, включая возраст и комплектацию пациента, его анатомические и физиологические особенности. Например, самые маленькие размеры используют для катетеризации детей, а более крупные — для установки в крупные ответвления кровеносной системы.
Официальная классификация разделяет катетеры на несколько видов в зависимости от назначения устройств, материалов, из которых они изготовлены, размеров и конструктивных особенностей. По назначению они делятся на три типа:
- ЦВК, представленные наборами для катетеризации центральных вен. Подходят для длительной установки во все крупные вены.
- ПВК, представленные комплектами для катетеризации периферических вен. Подходят для долговременной установки в сосуды верхних и нижних конечностей.
- Катетеры-бабочки, которые представляют собой монолитную конструкцию, состоящую из трубки и иглы, а также фиксирующего элемента в виде двух округлых пластинок. В клинической практике пользуются таким катетером для вливания в малые вены при длительности процедур не больше часа.

По размеру они делятся на 8 видов и маркируются двузначным числом и литерой G (гейч). Чем больше числовое значение на наборе для катетеризации центральных вен, тем тоньше трубка и иглы.
По конструктивным особенностям катетеры делятся на одноканальные и многоканальные. Одноканальные применяются для введения препаратов по Селдингеру в процессе оказания неотложной помощи, для проведения продолжительного введения растворов и компонентов крови. Многоканальные конструкции используются для одновременного введения лекарств, не совместимых друг с другом.
Наиболее распространенными в наборах для катетеризации подключичных вен считаются полиэтиленовые и полиуретановые трубки. Также промышленность выпускает катетеры из полиэтилена, ПВХ, силикона и тефлона.
Показания
Безусловными показаниями для катетеризации центральных вен считаются состояния, требующие длительного введения лекарственных растворов, питательных веществ и компонентов крови:
- неспособность больного принимать пищу;
- онкологические заболевания (химиотерапия);
- почечная недостаточность, требующая проведения гемодиализа;
- введение препаратов, которые провоцируют раздражение и спазм периферических сосудов;
- необходимость регулярно отслеживать гемодинамику.
Катетеризация периферических сосудов проводится в случае, если необходимо введение умеренных количеств лекарства в течение 3-5 дней.
Виды катетеров для яремной вены
Для катетеризации используют центральный венозный катетер (ЦВК). Существуют разные виды таких медицинских изделий:
- Нетуннелируемый — это катетер, который фиксируют в месте входа в вену через кожу. Его недостатком является небольшой (5-7 дней) срок использования, по истечении которого его удаляют. Типичным видом нетунеллируемых ЦВК является катетер Квинтона.
- Туннелируемые — инструмент вводят в кожу (например, на груди) и ведут под ней (в туннеле) до вены на шее. Данный вид катетера используют длительное время. Он может стоять до 30 дней. Такое введение позволяет сделать устройство более незаметным, безопасным и прочно фиксировать его. К этой группе относятся: катетер Хикмана, Грошонга.
- Имплантируемые порты — эти изделия полностью имплантируются под кожу, могут иметь резервуар для лекарства и предназначены для длительной инфузионной терапии.

Специалист выбирает тип ЦВК в соответствии с поставленной задачей.
Техника катетеризации яремной вены
Стандартная методика катетеризации требует соответствующей подготовки, положения пациента во время манипуляции, использования набора инструментов. Для проведения процедуры необходим большой опыт специалиста, применение техники визуализации внутренних структур.
Подготовка
Пациенту предварительно проводят лабораторные исследования, коагулограмму. Затем ему разъясняют особенности предстоящей процедуры:
- цель;
- необходимость;
- технику;
- возможные осложнения.
Больной подписывает добровольное информированное согласие. После этого его проводят в стерильную операционную. Пациент располагается в положении лежа на спине на операционном столе. Голову поворачивают в сторону, противоположную области пункции. Шейный отдел позвоночника слегка разогнут.
Если состояние больного позволяет, то для повышения кровенаполнения сосудов его располагают в положении Тренделенбурга — с приподнятым тазом, угол тела по отношению к горизонтальной поверхности составляет 45°. Иногда приподнимают и ноги, чтобы расширить внутреннюю яремную вену, диаметр которой составляет 7 мм.
Кожу на шее обрабатывают антисептическим раствором от угла нижней челюсти до ключицы. В качестве антисептика используют:
- 70% раствор спирта;
- 2% раствор хлоргексидина;
- 5% раствор повидон-йодида;
- йодоформ;
- настойку йода.
Рядом с пациентом располагают стерильную салфетку с отверстием в области проведения манипуляций. Специалист готовит ЦВК, промывая его физраствором и готовя к установке.

Ультрозвуковое сканирование
Определить точку ввода можно с помощью методики поисковой пункции с применением иглы для внутримышечной инъекции. Полую иглу вводят в сосуд и забирают порцию крови. По ее цвету, интенсивности кровотока определяют вид сосуда — вена или артерия. Но данный метод имеет много ограничений и может привести к механическим повреждениям. Использование внешних анатомических ориентиров, определяемых физикально, не дает 100% гарантии безопасности, т. к. их взаимоотношение с целевым сосудом может быть вариабельно.
Сегодня «золотым стандартом» диагностики расположения яремной вены и прилежащих структур является УЗИ. Для проведения диагностики используют мультичастотные линейные и микроконвексные датчики, частота излучения которых составляет от 7 до 10 мГц. Они позволяют детально визуализировать поверхностные структуры, располагающиеся на глубине до 6-7 см. На этих датчиках с одной стороны имеются специальные метки.
Из магистральных вен ультразвуковому исследованию наиболее доступна внутренняя яремная. Пациенту на боковую поверхность шеи наносят гель, повышающий проницаемость излучения, и проводят сканирование, согласно которому наносят разметку положения вены и точек доступа. Использование цветового картирования при допплеровском сканировании облегчает проведение диагностических мероприятий. Применение УЗИ позволяет на 50% снизить количество неудачных пункций и послеоперационных осложнений.
Местная инфильтрационная анестезия
У детей пункция магистральных вен проводится под общей анестезией. У взрослых при введении ЦВК применяют инфильтрационную анестезию подключичной области справа или слева местными анестетиками, например, 0,25% раствором новокаина в объеме 10 мл.
Постановка катетера
Точки доступа различают по отношению к главному анатомическому ориентиру — грудино-ключично-сосцевидной мышце. Наиболее часто применяемыми точками доступа при пункции вены являются:
- передний/наружный — латерально от мышцы, ниже 1/3 ее тела под углом к яремной вырезке;
- центральный — между внутренней и внешней ножками мышцы;
- задний/внутренний — на 5 см выше ключицы примерно на середине мышцы;
- надключичный — выше локализации кости ключицы.

В большинстве случаев применяют методику введения ЦВК по Сельдингеру:
- проводят полую иглу по направлению хода вены через выбранную точку доступа;
- после прокола вены через иглу вводят проводник на глубину 10-12 см;
- иглу убирают, а по проводнику вводят дилататор, чтобы расширить просвет сосуда;
- по нему вводят ЦВК, проводник удаляют;
- проверяют чистоту и проходимость просветов катетера;
- промывают и фиксируют свободный конец к коже пластырем.
Катетер вводят до уровня соединения 2 ребра с грудиной, что соответствует впадению полой вены в правое предсердие. После установки ЦВК рекомендуется сделать рентгенограмму грудной полости, чтобы исключить пневмоторакс на стороне пункции и уточнить расположение кончика катетера в верхней полой вене.
При постановке туннелируемого катетера выполняются хирургические разрезы, через которые устанавливают трубки. Раны впоследствии ушивают, обрабатывают и закрывают асептической повязкой.
Читайте также:
