Внутри- и чрезкостная иммобилизация металлическими спицами (внутреннее шинирование кисти)
Добавил пользователь Евгений Кузнецов Обновлено: 08.01.2026
Перелом кисти - распространенное явление, и несмотря на высокий уровень развития современной медицины, нередки случаи, когда у пациента развиваются осложнения после сращения костных отломков. Чаще всего речь идет о неполной двигательной функции пальцев.
Остеосинтез - операция, направленная на репозицию отломков костей с их фиксацией специальными элементами для полного правильного сращивания. Для кисти чаще всего используются такие фиксаторы, как - спицы, винты, пластины. Операция проходит под общей анестезией. При невозможности использования общего наркоза пациенту может быть введена проводниковая анестезия.
Показания
- Основное показание для операции - перелом пястных кистевых костей со сложным смещением отломков.
- Также операция может быть проведена при неправильном сращивании отломков.
- Рассматривается эффективность остеосинтеза, если остеоинтеграция замедленна (длится дольше 3 месяцев).
- Псевдоартроз.
- Варусная деформация.
Противопоказания
Невозможно провести операцию остеосинтеза в случаях, если:
- Общее тяжелое состояние.
- Аллергия на наркоз.
- Наличие инфекционных поражений мягких тканей и кожных покровов кисти, в том числе с нагноением.
Ход операции
Пациент располагается лежа на кушетке, руку отводит в сторону и помещает на специальный столик. На предплечье накладывается гемостатическая манжета. Врач проводит операцию в соответствие с намеченной предварительно схемой. Это может быть остеосинтез компрессирующими винтами, использование спиц Киршнера с временным артродезом кистевого сустава или другой протокол, наиболее эффективный для конкретной клинической картины. Операция длится 15-40 минут.
Реабилитационный период
Лечебная физкультура после остеосинтеза костей кисти начинается буквально на следующий день после операции. Под контролем специалистов пациент разрабатывает кисть и пальцы в режиме умеренных нагрузок. Соблюдение графика занятий обеспечит максимально быстрое возвращение нормальной двигательной функции. Для повышения эффективности реабилитационного процесса пациенту могут быть назначены физиотерапевтические процедуры:
- Магнитотерапия;
- УВЧ;
- Массаж;
- Ультразвук;
- Электрофорез и т.д.
Остеосинтез костей кисти в Москве
В отделении травматологии многопрофильного медицинского центра «КЛИНИКА №1» (Люблино) опытные специалисты выполняют операцию по репозиции и фиксации костей кисти после переломов любой сложности. Запись на консультацию осуществляется по телефону или на сайте - с помощью онлайн формы. Если на руках у пациента имеются свежие результаты обследования (рентгенограмма, КТ), можно взять ее с собой. В иных случаях обследование будет проведено непосредственно на месте.
Удаление металлоконструкции после остеосинтеза

Операция по удалению металлоконструкций после остеосинтеза переломов
Несколько доводов:
- В любом случае, это инородное тело и никто не спрогнозирует, как металл поведет себя через несколько лет, хоть это и высокотехнологичный сплав титана. Это и металлозы, и нагноения металлоконструкций, вплоть до такого осложнения как остеомиелит.
- Если металлоконстукция начнет мешать через 3 или более лет, то костная мозоль так "обрастет" пластину или винты, или стержень, что будет очень сложно технически её удалить. Поэтому имплантаты нужно удалять в плановом порядке примерно через год после установки.
Другое дело - удаление конструкций из костей таза часто сопровождается обильным кровотечением, обширными повреждениями тканей, риском травматизацией тазовых органов. Вследствие этого извлечение имплантатов нужно производить только при появлении абсолютных показаний — присоединении осложнений, признаков отторжения имплантата и др. Планово удалить можно только конструкции, фиксирующие лонное сочленение, при этой операции можно избежать обширной травматизации.
Экстренное удаление металлоконструкций
Показаниями к экстренному удалению могут стать:
- глубокое нагноение,
- непереносимость материала, из которого изготовлен имплантат,
- нестабильная фиксация,
- формирование ложного сустава,
- отсутствие признаков образования костной мозоли в течение долгого времени.

Технически удаление остеосинтеза является несложной операцией, если металлоконструкция установлена правильно, по принятой методике. При наружном расположении спиц производится простое механическое удаление. При внутрикостной фиксации с помощью штифтов, гвоздей, винтов производится полноценная операция под проводниковой анестезией или наркозом. Как правило это внутрисуставное внедрение. Рассечение кожи происходит с иссечением первичного рубца, либо без иссечения. Вскрывается суставная сумка, производится механическое удаление конструкции специальными инструментами с последующим зашиванием сумки, мягких тканей, кожного покрова.

Для определения состояния имплантата непосредственно перед операцией производится контрольная рентгенография, для опрелеления возможной миграции винтов или спиц. Также применение компьютерной томографии.
Удаление металлоконструкций после остеосинтеза.
Удаление имплантатов из бедра, голени, плеча и предплечья, ключицы обычно производится в плановом порядке после формирования полноценной костной мозоли и надежной консолидации места перелома. Показания к экстренному вмешательству возникают нечасто, но пациент все равно требует регулярного осмотра.
Удаление спиц после операции
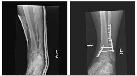
Спицами Киршнера в основном фиксируют мелкие кости и суставы (пальцы стопы и кисти, плюсневые и пястные кости). Иммобилизация проводится, как правило, в течение 4-6 недель после операции. Факсация может быть как наружной, т.е. конец спицы находится над поверхностью кожи, так и внутренней, т.е. спица полностью погружена под кожу для снижения риска инфицирования и неудобств пациента. Исполюзуется для временной фиксации. Так же существует погружной остеосинтез спицами и проволокой для остеосинтеза более крупных костей по Веберу, например, при:
Удаление спиц и проволоки после остеосинтеза надколенника по Веберу
При переломах надколенника (коленной чашечки) со смещением отломков выполняется операция остеосинтеза, т.е. скрепление костных фрагментов для восстановления целостности кости и соответственно функции коленного сустава. Так как при отказе от операции пациент рискует остаться инвалидом.
Для остеосинтеза надколенника в подавляющем большинстве случаев используется методика Вебера. Когда костные отломки скрепляются двумя титановыми спицами Киршнера и дополнительно стягиваются титановой проволокой 8 образно. Это позволяет быстро и очень эффективно восстановить поврежденную кость и что немаловажно металлоконструкция минимальна по стоимости. Но у нее есть один большой минус. Очень часто пациенты испытывают дискомфорт и боль в области мпиц и проволоки, так как она находится правктичекски сразу под кожей. Поэтому часто выполняется удаление металлоконструкции из надколенника.

После того как кость срослась и металлоконструкция выполнила свою функцию ее можно удалить. Полное сращение кости происходит за 6- 8 месяцев, в некоторых случая 1 год. Именно спустя этот срок можно удалять металл.
Перед данной операцией нужно выполнить стандартные анализы крови; список можно посмотреть здесь.
Операция зачастую выполняется в условиях дневного стационара, т.е. через несколько часов после операции пациент может уйти домой. Анестезия местная, проводниковая либо наркоз. Непосредственно сама операция по времени занимает 30 минут. Найти проволку и спицы, как правило, не представляет труда для хирурга. После того как металлоконструкция удалена проводится зашивание раны и наложение асептической повязки. Пациент приходит на перевязки в первые сутки, далее можно перевязываться самостоятельно либо в лечебном учреждении рядом с домом. Швы необходимо снять через 14 дней после операции. В раннем послеоперационном периоде назначаются обезболивающие и антибактериальные препараты.
Примерно через 1 месяц после операции по удалению металлоконструкции из надколенника можно постепенно увеличивать нагрузку и возвращаться в свой обычный ритм жизни.
Удаление пластины после операции
Пластинами и винтами фиксируют практически любые кости человеческого тела. Это очень надежный и удобный метод остеосинтеза. На сегодняшний день существуют огромное количество пластин различной формы, размеров и модификации для определенного вида перелома. Самые распространенные примеры остеосинтеза пластинами это:
- Остеосинтез ключицы;
- Остеоситез плечевой кости
- Остеосинтез наружной лодыжки;
- Остеосинтез переломов голени;
- Остеосинтез пястных и плюсневых костей;
- Остеосинтез лучевой и локтевой кости.

Удаление стержня (штифта) после операции
Внутрикостными (интрамедуллярными) стержнями с блокированием винтами или, как еще их называют, штифтами выполняют фиксацию переломов трубчатых костей, а в частности поперечных и винтообразных переломов с небольшим количеством отломков и осколков. Также предпочтение для внутрикостного остеосинтеза отдают ввиду скорости операции, миниинвазивности и малой травматичности операции. Стоит сказать, что фиксация стержнями очень хорошая и дозированную нагрузку на оперированную конечность разрешают давать уже через нечколько дней.
После успешной операции и сращения перелома, как правило, удаляют динамический винт и увеличивают нагрузку на конечность, для полного сращения перелома. Через 1 год после операции, когда перелом полностью сросся, в плановом порядке выполняется удаление винтов и стержня.
Почти всегда операция по удалению стержня не занимает более 30 минут, Удаление происходит с использованием подобных инструментов как и при установке.
Сложности при удалении стержня могут возникнуть, он установлен некорректно. Либо резьба и шляпки винтов сорваны. В таком случае нужно будет высверливать винты и стержень.


Удаление спицестержневого аппарата, аппатата Илизарова после операции
Удаление аппарата Илизарова не представляет сложности, так как спицы и стержни расположены над кожей. После выполнения общей или регионарной анестезии выполняется "скусывание" спиц и удаление их из кости. При наличии стержней, они выкручиваются. Раны обрабатывают растворами антисептиков, накладывают асептичесие повязки.

В нашей клинике производится удаление всех видов металлоконструкций .
Стоимость удаления металлоконструкции зависит от сложности операции и локализации имплантата, так же от вида анестезии, которая необходима для удаления.
Травмы/разрывы сухожилий сгибателей и разгибателей пальцев
Для правильного функционирования кисти необходима слаженная работа сухожилий сгибателей и разгибателей пальцев кисти. В пальцах отсутствуют мышцы, поэтому их сгибание и разгибание реализовывается за счёт сухожилий мышц, которые расположены на предплечье. Располагаются сухожилия сгибателей на ладонной поверхности кисти, разгибателей - на тыльной стороне прямо под кожей. У каждого пальца имеется по два сухожилия-сгибателя, поверхностный и глубокий. Глубокий сгибатель прикрепляется к ногтевым фалангам пальцев и отвечает за их сгибание, а поверхностный - к средним фалангам. Повреждения сгибателей и разгибателей пальцев кисти рук встречаются довольно часто по причине преимущественно поверхностного расположения сухожилий. При травмировании сгибателей пальцев кисти происходит подтягивание конца сухожилия, расположенного проксимально, из-за этого очень сложно найти концы сухожилия при обрыве. При ранении разгибателей, сухожилие практически не сдвигается, следовательно, легче поддается лечению.
Виды повреждений
- Разрывы и отрывы сухожилий
Травмы сгибателей и разгибателей пальцев кисти сопровождаются нарушением их целостности при прямом или непрямом воздействии. При повреждении возможен разрыв и полный отрыв сухожилия от его места прикрепления к костному фрагменту.
- Открыты и закрытые - в зависимости от нарушения целостности кожного покрова
- Частичные и полные - в зависимости от степени поражения
- Свежие, несвежие и застарелые - в зависимости от срока давности травмы
- Сочетанные, изолированные, и множественные - в зависимости от количества областей поражения
- Тендовагинит кисти - острое или хроническое воспаление, происходящее в синовиальных оболочках фиброзных влагалищ сухожилий мышц кисти и пальцев. Тендовагинит сопровождается хрустом при движениях, небольшой припухлостью по ходу пораженного сухожильного влагалища
- Теносиновит (или болезнь де Кервена) - это заболевание, при котором происходит воспаление сухожилий большого пальца руки. Связанная с этим недугом боль, возникает от трения отекших сухожилий о стенки тоннеля, предназначенного для их движения, в области основания большого пальца и под ним, а также по краю лучезапястного сустава. Проявляется ноющей болью в районе запястья.
- Болезнь Нотта (щелкающий палец, пружинящий палец) - заболевание сухожилий сгибателей пальцев и окружающих их связок, характерной особенностью которого является щелканье, возникающее при движении пальцев. По мере протекания данной болезни разгибание пальца становится практически невозможно.
Симптоматика
При разрывах или отрывах наблюдаются следующие симптомы:
- При повреждении сухожилий на ладонной поверхности кисти или пальцев наблюдается нарушение функции сгибания, из-за чего пальцы находятся в переразогнутом состоянии
- При травмах тыльной поверхности кисти повреждается функция разгибания одного или нескольких пальцев
- Онемение пальцев и другие нарушения чувствительности (при повреждении нервов)
- Деформация пальцев
- Отек
- Кровоизлияние
- Нарушение целостности сухожилий
- Видимое повреждение мягких тканей (открытая форма травмы)

К какому врачу обращаться
Диагностика
- Детальный осмотр врачом-травматологом места повреждения, проведение диагностических тестов (сгибание-разгибание пальцев рук в той или иной последовательности)
Лечение
При повреждении разгибателей возможно два варианта лечения: консервативный и хирургический. Повреждения на уровне пальцев можно вылечить и без операции, но при условии длительного ношения гипса или пластиковой шины. Во всех остальных случаях, также как и при травмах сухожилий сгибателей показано оперативное лечение. Операция представляет собой сложное хирургическое вмешательство, зачастую с применением микрохирургических техник. Она заключается в рассечении кожных покровов и сшивании концов разорванного сухожилия под местной или проводниковой анестезией. В послеоперационном периоде руку в обязательном порядке фиксируют гипсовой повязкой.
При разможжении или разволокнении концов сухожилий их иссекают. Во избежание послеоперационной сгибательной контрактуры, проводят операции по удлинению сухожилия в сухожильно-мышечной части или его Z-образному удлинению проксимальнее области повреждения.
В некоторых случаях при застарелых повреждениях сухожилий сгибателей пальцев (наличие дефектов сухожилия длиной 2 и более сантиметров) пациенту показана пластика сухожилий, либо пластика с предварительным формированием сухожильного канала при помощи временного эндопротезирования сухожилия силиконовым эндопротезом. Чаще всего пластика проводится совместно с другими оперативными вмешательствами (ревизия сухожилий, тенолиз и т. д.).

После любого метода лечения повреждений разгибателей и сгибателей пальцев кисти руки необходима реабилитация. За 3-5 недель сухожилия срастаются достаточно прочно, после этого можно снимать гипсовую повязку и под присмотром врача начинать восстановительные процедуры.
Восстановление всех необходимых функций пальцев рук включает: лечебную физкультуру по разработке руки, физиотерапевтические процедуры, массаж, солевые ванны и другие процедуры по назначению врача.
В Москве записаться на прием к квалифицированным специалистам Вы можете в клинике ЦКБ РАН. Ждем Вас.
Перелом лучезапястного сустава
Лучезапястный сустав соединяет кисть с предплечьем. Его образовывают несколько костей, две из которых - полулунная и ладьевидная - травмируются наиболее часто. Перелом лучезапястного сустава чаще встречается у женщин, особенно пожилых, в связи с недостатком кальция и ослаблением костей. У мужчин кости прочнее и крупнее, а возрастные гормональные изменения выражены не так явно.
Отсутствие правильного и своевременного лечения впоследствии может стать причиной:
- Боли при функционировании;
- Ограничения объема совершаемых движений;
- Развития артроза;
- Слабости кисти.
Травмирование сустава руки является следствием повышенной нагрузки в результате падения или резкого упора на кисть.
Еще одна причина - остеопороз - заболевание, которое сопровождается повышенной хрупкостью костей.

Симптомы перелома
- Кисть теряет возможность выполнять свои функции. Возникает отек.
- Перелом костей лучезапястного сустава сопровождает сильная боль.
- После перелома визуально определяется деформация сустава. Возникает ощущение покалывания в области перелома и онемение пальцев.
- При открытом переломе может возникнуть кровоизлияние.

Поскольку переломимеет признаки, сходные с ушибом или растяжением, поставить диагноз может только специалист.
В соответствии с признаками заболевания можно обращаться к врачам:
- хирургу или травматологу - если у пациента механическая травма;
- ревматологу, терапевту, урологу или дерматологу - при артрозе, артрите или бурсите.
При внутрисуставном переломе назначают КТ или МРТ.
При необходимости проводят дополнительное обследование.
Первая помощь заключается в следующих действиях:
- Обезболивание;
- Иммобилизация руки при помощи накладывания шины на ладонную поверхность и прибинтовывания руки;
- Госпитализация в стационарное отделение (травматологическое).

Лечение перелома лучезапястного сустава
При переломе костей лучезапястного сустава используют консервативное или хирургическое лечение, в зависимости от серьёзности заболевания. Фиксация производится при помощи ортеза (фиксатора).
Если у пациента закрытый перелом без смещения, накладывают гипс или полимерную повязку на несколько недель - до того времени, когда кости полностью срастутся. При переломе со смещением, когда образованы отломки, важно придать им правильное положение и зафиксировать, чтобы исключить артроз. В некоторых случаях проводится операция. В это время необходим контролирующий рентген для исключения повторного смещения.
После наложения фиксирующей повязки возможны болезненные ощущения. В этом случае прикладывают холодные компрессы, используют противовоспалительные средства.
Гипс не должен давить руку. При онемении кисти и повышенной бледности кожи необходимо обратиться к врачу.
Восстановительный период
После удаления фиксирующей конструкции рекомендуются восстановительные процедуры.
Пациент и в более ранний период может самостоятельно начинать реабилитацию:
- Со второго дня после получения травмы двигать суставом и пальцами, насколько это можно сделать;
- Через две недели после травмы пытаться сжимать кулак, избегая напряжения травмированных мышц.
- Проходить сеансы магнитотерапии.
После снятия гипса рекомендуется восстановительная терапия:
- Электрофорез;
- Лечебные грязи;
- УВЧ;
- Соленые ванны;
- Озокерит;
- Массаж;
- Лечебная физкультура на основе специально подобранных упражнений.

Комплекс ЛФК врач подбирает для каждого случая отдельно.
Скорость восстановления в значительной степени зависит от характера травмы.Если следовать рекомендациям врача, то разработка после перелома пройдет успешно, исключая негативные последствия - развитие контрактуры и артроза.
Переломы костей кисти
Переломы костей кисти — травмы, при которых нарушается целостность костей запястья, пясти или фаланг пальцев. Это распространенные повреждения, на долю которых приходится около трети всех переломов костей.Такая тенденция связана как с относительной хрупкостью кисти, приспособленной для выполнения тонких манипуляций, так и с ее высокой активностью. Перелом может произойти в результате падения на согнутую кисть, удара кулаком, ребром ладони или пальцами или прямого удара по кисти.

Костный аппарат кисти состоит из 27 костей трех отделов — запястья, пясти и пальцев. Запястье состоит из 8 губчатых костей, расположенных в два ряда — проксимальный, ближе к предплечью, и дистальный, ближе к пясти. Первым, проксимальным рядом, начиная от большого пальца, располагаются ладьевидная, полулунная и трехгранная кости, образующие сочленение с лучевой костью предплечья — лучезапястный сустав. Четвертая кость проксимального ряда — гороховидная — в формировании лучезапястного сустава не участвует.
Второй, дистальный ряд — многоугольная, трапециевидная, головчатая и крючковидная кости — соединяются с пятью трубчатыми костями пясти, радиально расходящимися от запястья. Дистальные концы пястных костей образуют пять пястно-фаланговых суставов — соединений пясти с пальцами. Первый палец кисти состоит из двух фаланг, остальные — из трех. Фаланги пальцев — короткие трубчатые кости — соединяются между собой межфаланговыми суставами.
Наиболее подвержены переломам кости фаланг пальцев и пястные кости. Кости запястья ломаются достаточно редко. Абсолютное большинство повреждений костей запястья приходится на перелом ладьевидной кости, реже страдают полулунная и гороховидная кости. Переломы крючковидной кости и дистальных костей запястья в клинической практике практически не встречаются.
Переломы костей кисти сопровождаются резкой болью и отечностью в области повреждения, при смещении костных отломков возможна деформация кисти. В месте отека может появиться гематома. При некоторых переломах можно прощупать смещенные костные отломки под кожей или услышать их крепитацию. Диагноз может быть установлен врачом-травматологом, который выяснит жалобы, подробно расспросит о механизме травмы, произведет осмотр и пальпацию области перелома, проверит сохранность движений в суставах. Подтверждает диагноз рентгенологическое исследование кисти, на котором можно визуализировать линию перелома, оценить степень смещения отломков и в результате — определиться с тактикой лечения.
Лечение переломов кисти включает в себя обязательную иммобилизацию гипсовой повязкой на срок от 3 до 8 недель. В случае смещения отломков проводится закрытая репозиция, при ее неэффективности — скелетное вытяжение или остеосинтез. Тщательное сопоставление отломков и консолидация перелома важны для сохранения не только эстетики кисти, но и полноценной ее функции.
Классификация переломов костей кисти
В зависимости от наличия или отсутствия повреждения кожи над переломом различают:
- закрытые переломы — целостность кожи не нарушена;
- открытые переломы — в области повреждения имеется рана, в которой могут определяться костные отломки.
По положению костных отломков:
- без смещения — сломанная кость сохраняет свое положение, отломки точно соприкасаются по линии перелома;
- со смещением — костные отломки расходятся в стороны и в результате не могут срастись по линии перелома без их сопоставления — репозиции.
По вовлечению в перелом суставных структур:
- внесуставные переломы — линия перелома проходит вне полости сустава;
- внутрисуставные переломы — линия перелома находится внутри полости сустава;
- переломовывихи — нарушение целостности кости в сочетании с вывихом в смежном суставе.
По локализации перелома:
- переломы костей запястья;
- переломы пястных костей;
- переломы фаланг пальцев.
Также можно классифицировать переломы кисти в зависимости от количества отломков, степени смещения, присоединения инфекции. Важное значение имеет и этиология перелома — был ли он травматическим или же патологическим — возникшим на фоне заболевания костей. Все эти факторы влияют на выбор лечебной тактики при переломах и в конечном итоге — возможности полного восстановления функции поврежденной кисти.
Переломы костей запястья
Кости запястья в силу своей формы, структуры и положения ломаются достаточно редко. Наиболее подвержена перелому ладьевидная кость — крупная косточка в основании большого пальца. Также встречаются повреждения полулунной и гороховидной костей запястья. Трехгранная кость, а также кости дистального ряда — многоугольная, трапециевидная, головчатая и крючковидная — подвержены переломам крайне редко, обычно их переломы сочетаются с вывихами в соответствующих суставах.
Переломы ладьевидной кости
Причина — падение на согнутую кисть, удар кулаком или прямая травма запястья. Возможны следующие варианты:
- внутрисуставной перелом ладьевидной кости — линия перелома находится внутри полости лучезапястного сустава;
- внесуставной перелом — отрыв бугорка ладьевидной кости;
- переломовывих де Кервена — одновременный перелом ладьевидной кости и вывих ее проксимального отломка и полулунной кости из лучезапястного сустава.
Симптомы — боль и отечность в основании большого пальца, невозможность двигать рукой в лучезапястном суставе, сжимать кисть в кулак. Диагноз устанавливается на основании жалоб пациента, данных о характере возникновения травмы, осмотра и рентгенографии костей кисти. Иногда при отсутствии смещения отломков линия перелома при всех его признаках не определяется. В этом случае все равно проводится иммобилизация с повторной рентгенографией через 7-10 дней, когда из-за активации регенеративных процессов линия перелома становится хорошо заметной.
Лечение — иммобилизация гипсовой повязкой на срок 4 недели с последующим контролем и продлением иммобилизации при недостаточной консолидации перелома. При смещении отломков и переломовывихе закрытая репозиция неэффективна, показана фиксация отломков ладьевидной кости спицей. Переломы ладьевидной кости часто осложняются развитием ложного сустава или лизисом костных отломков из-за повреждения кровоснабжающих их сосудов при травме. Поэтому важно выполнять все рекомендации врача, своевременно делать контрольные снимки, чтобы избежать осложнений и ухудшения функции лучезапястного сустава. После восстановления целостности ладьевидной кости для восстановления функции кисти показаны физиотерапевтическое лечение и лечебная физкультура.
Переломы полулунной кости
Причина — падение на согнутую кисть или прямая травма, удар по запястью. Проявляется болью и отечностью, усиливающимися при движениях в III, IV и V пальцах и при разгибании кисти. Диагноз устанавливается с учетом жалоб, механизма получения травмы, объективного осмотра области повреждения и результатов рентгенологического исследования. Для лечения перелома полулунной кости накладывают гипсовую повязку сроком на 4-8 недель. Обычно восстановление протекает без осложнений.
Переломы гороховидной кости
Причина — удар ребром ладони или прямая травма. Проявляется болью и отечностью запястья со стороны мизинца, усилением боли при его движении. Диагноз устанавливают с учетом жалоб, анамнеза травмы, осмотра области повреждения и рентгенографии костей кисти. Для полной консолидации перелома гороховидной кости достаточно 4-5 недель иммобилизации. Осложняется травма редко.
Переломы пястных костей
Длинные и тонкие пястные кости часто ломаются при ударе кулаком или прямой травме. Тяга мышц и движения в кисти до иммобилизации перелома нередко приводят к смещению костных отломков. Выделяют эпифизарные переломы, когда линия перелома локализуется в области головок костей, и диафизарные — переломы тела кости.
Перелом первой пястной кости
Причина — удар согнутым первым пальцем, реже — прямой удар по первой пястной кости.
Перелом основания I пястной кости. Характерная травма для боксеров и бойцов MMA. Различают перелом Беннета — отрыв участка основания первой пястной кости, который удерживается связками, с одновременным вывихом ее большей части в запястно-пястном суставе. Перелом Роландо — многооскольчатый переломовывих I пястной кости. Обе травмы проявляются болью, деформацией и отечностью в области “анатомической табакерки” — области под основанием первого пальца — с усилением боли при движении, попытке сжать кулак. Диагностика осуществляется с учетом жалоб, данных анамнеза травмы, осмотра области повреждения и рентгенографии кисти. Лечат переломы Беннета и Роландо хирургическим путем с применением остеосинтеза — восстановления целостности кости путем фиксации отломков металлическими спицами, штифтами или пластинами.
Перелом средней части I пястной кости. Чаще возникает вследствие прямого удара по кости. Проявляется болью, отеком и деформацией в области первой пястной кости. Диагноз устанавливается с учетом жалоб пациента, сведений о механизме повреждения, осмотра области первой пястной кости и рентгенологического исследования костей кисти. Лечение — гипсовая иммобилизация сроком 4-5 недель, при смещении отломков — предварительная закрытая репозиция. При неэффективности консервативной репозиции для сопоставления отломков проводится операция — спицевой остеосинтез.
Пример операции доктора Валеева по восстановлению после перелома первой пястной кости:



Перелом II, III, IV, V пястных костей
Причина — удар кулаком или падение на сжатые в кулак пальцы. Могут быть одиночными, но чаще ломаются несколько пястных костей, обычно — четвертая и пятая. Проявляется болью, отеком и деформацией кисти, нередко возникает гематома. Диагностируется на основании жалоб, анамнеза травмы, объективного осмотра и результатов рентгенографии костей кисти. Для лечения перелома без смещения выполняется иммобилизация сроком на 4-5 недель. При смещении отломков показана закрытая репозиция, а при ее неэффективности — скелетное вытяжение или спицевой остеосинтез.
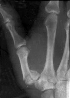
Перелом фаланг пальцев
Причина — удар пальцами, травма при фиксации пальцев или прямой удар по фалангам. Переломы фаланг пальцев могут быть:
- внутрисуставными;
- внесуставными;
- одиночными;
- множественными — в пределах одного пальца или нескольких;
- сочетаться с вывихами в пястно-фаланговых или межфаланговых суставах.
Симптомы — боль, отек, гематома, деформация. Болевые ощущения усиливаются при попытке движения пальцами. Диагноз устанавливается на основании жалоб, данных анамнеза травмы, объективного осмотра и результатов рентгенографии. Для лечения перелома фаланг пальцев без смещения выполняется фиксация гипсовой повязкой на 3-4 недели. При переломовывихах проводят вправление суставов, при смещении отломков — закрытую репозицию. Если сопоставить отломков закрытым путем не удается, показаны скелетное вытяжение или спицевой остеосинтез.
Читайте также:
- Диагностика внежелудочковой обструктивной гидроцефалии по КТ, МРТ головного мозга
- Синдром Хаммена-Рича (Hamman-Rich)
- УЗИ при скоплении жидкости вокруг трансплантата почки
- Синдром нарушенного всасывания в кишечнике: лечение, причины, симптомы, диагностика
- Гетерогенность популяций в эпидемиологии. Устойчивость паразитарной системы.
