Диагностика внежелудочковой обструктивной гидроцефалии по КТ, МРТ головного мозга
Добавил пользователь Евгений Кузнецов Обновлено: 28.01.2026

Гидроцефалия (водянка мозга) до сих пор считается преимущественно врожденным детским заболеванием, связанным с аномалиями развития или родовыми травмами. Не существует даже четких критериев диагностики гидроцефалии у взрослых. Поэтому врачи крайне редко направляют своих пациентов на МРТ головного мозга с подозрением на гидроцефалию. В большинстве случаев водянка мозга у взрослых обнаруживается случайно. Причем, как утверждают нейрохирурги, диагностируют ее у каждого 4-го пациента, обратившегося с жалобами на плохое самочувствие.
Причины развития гидроцефалии у взрослых
В центральной нервной системе взрослого человека в норме находится около 125-150 мл спинномозговой жидкости (ликвора). Она постоянно циркулирует в полости черепа и спинном мозге.
Ликвор имеет важное физиологическое значение и выполняет ряд функций:
- защита мозга от механических повреждений: ударов, толчков, сотрясения;
- внутренний гистогематический барьер, который защищает мозг от патогенов и нейротоксинов, которые могут присутствовать в крови и плазме;
- транспорт гормонов, вырабатываемых гипофизом и гипоталамусом;
- доставка питательных веществ, отвод отработанных продуктов обмена и др.
За сутки организм вырабатывает около 500-700 мл. ликвора. Большая его часть сразу же расходуется: уходит в желудочки, субарахноидальное пространство и частично - в лимфатическую систему. Поэтому в норме объем циркулирующей цереброспинальной жидкости (ЦСЖ) остается неизменным и составляет те же 125-150 мл.
Если же процесс всасывания ликвора на каком-то этапе замедляется или прекращается, но нарушается баланс между выработкой и потреблением. В результате количество спинномозговой жидкости увеличивается. Она скапливается в полости и приводит к повышению внутричерепного давления, давит на мозг, вызывает головные боли и двигательные нарушения. Чтобы установить точную причину этих симптомов, нужно сделать МРТ головного мозга, так как сдавливать ткани может не только водянка, но и опухоль.
Виды приобретенной гидроцефалии
По патогенезу выделяют три формы водянки мозга:
По локализации скопления ликвора выделяют следующие виды гидроцефалии:
- Наружная, при которой ЦСЖ скапливается в субарахноидальном пространстве.
- Внутренняя, со скоплением ликвора в желудочках мозга.
- Смешанная, когда избыток ЦСЖ наблюдается на всех участках.
Симптомы гидроцефалии у взрослых
Скопление спинномозговой жидкости может проявляться следующим образом:
- головная боль;
- тошнота;
- рвота, ухудшение зрения;
- сонливость;
- угнетение сознания (заторможенность, спутанность сознания, непонимание обращенной речи, задержка ответа, потеря ориентации в пространстве и т.д.);
- нарушение двигательной активности, отсутствие мимики, малоподвижность;
- кратковременные обмороки;
- кома и др.
МРТ головного мозга - самый точный метод диагностики гидроцефалии
Ведущим методом диагностики гидроцефалии у взрослых считается МРТ головы.
Исследование дает исчерпывающую информацию о патологических процессах:
- наличие избыточного количества ликвора;
- форма гидроцефалии;
- локализация водянки головного мозга;
- объем и распространенность нарушения;
- сдавливание мозга избытком жидкости, нарушение кровообращения;
- причины гидроцефалии.
Определение причин особенно важно, так как в большинстве случаев сама водянка является вторичной.
Развиваться она может на фоне следующих первичных патологий:
- ишемический или геморрагический инсульт;
- опухоль (доброкачественная или злокачественная);
- острые вирусные и бактериальные нейроинфекции: менингит, энцефалит, арахноидит и др.;
- кровоизлияние, вызванное травмой мозга.
МРТ мозга позволяет выявить любую из этих и множества других причин, на фоне которых развилась гидроцефалия. Причем, например, в отделениях нейрохирургии исследование делают незамедлительно, сразу же после прибытия больного в стационар. По результатам МРТ оценивают тяжесть нарушений и в случае необходимости принимают решение о проведении операции или составляют наиболее эффективный план консервативного лечения.
Где сделать МРТ головы для диагностики гидроцефалии
Можно пройти исследование в любом диагностическом центре даже без направления врача. Однако стоит учитывать, что цена МРТ головного мозга может отличаться в 2-3 раза. Поэтому есть смысл сравнить стоимость диагностики.
Также нужно помнить о том, что прием пациентов практически во всех клиниках ведется по записи. Поэтому лучше выбрать кабинет диагностики, записаться на прием и ехать на назначенное время. Особенно если у вас на руках больной в тяжелом состоянии, которого нужно транспортировать максимально аккуратно.
Насколько опасна гидроцефалия и сколько с ней живут?
Главная опасность водянки в том, что она сдавливает головной мозг, вызывая различные неврологические расстройства (двигательные нарушения, ухудшение памяти, изменении е интеллекта и др.).
Однако гидроцефалия успешно лечится оперативным путем, позволяя человеку вернуться к нормальной жизни и сохранить работоспособность.

Возраст: 37 лет
Общий стаж: 12 лет
Окончил: Пермская государственная медицинская академия
Повышение квалификации: "Флюорография", Пермская государственная медицинская академия, "Компьютерная томография", Российский государственный медицинский университет

Существует множество разнообразных факторов возникновения боли в спине. Поэтому даже если вам кажется, что причины нет, то на самом деле она есть. Боль может возникать спонтанно и не иметь связи с нагрузками или заболеваниями. Но в любом случае нужно разобраться, откуда у нее «ноги растут».

Боль в спине - едва ли не самая распространенная причина недомоганий. Ею страдают дачники и любители фитнеса, переоценившие свои возможности, водители и офисные работники, не имеющие возможности «оторваться от кресла», грузчики и разнорабочие, вынужденные носить тяжести. В большинстве случаев боль превращает беспечного страдальца в «хроника», но представляет смертельной опасности. Но бывает и другая ситуация, когда нужно срочно сделать МРТ позвоночника и бить во все колокола. Сигналом такой тревоги являются красные флаги болей в спине.

Причиной боли в спине могут быть костно-мышечные инфекции, ревматические заболевания, опухоли, невриты, артриты и многие другие патологии. Причем в большинстве случаев страдания доставляет не какая-то страшная болезнь, а обратимые изменения структур спины. Они успешно лечатся в амбулаторно. Главное - вовремя сделать МРТ позвоночника и узнать причину дорсалгии.
Магнитно-резонансная томография - лучший метод исследования любых мягких тканей, богатых протонами водорода. Если речь идет об исследовании головного мозга, то здесь ему просто нет равных. Аппарат послойно сканирует проблемную область и представляет эту информацию в виде множества томограмм. А врач потом может рассмотреть по отдельности каждый срез, изучить мозг и его отделы, выявить патологии (аневризму сосудов, мальформацию, аденому, микроинсульт).
«Сколько живут с опухолью головного мозга? Можно ли вылечить рак? Доктор, а если сделать операцию? Она поможет?», - такие вопросы часто задают врачу сами пациенты, которым поставили пугающий диагноз, или их родные. Ответ на них будет зависеть от «запущенности» больного. Чем раньше обнаружат опухоль, тем лучше прогноз и больше шансов на полное излечение. Поэтому важно не пропустить первые симптомы, пройти диагностику и сделать МРТ головного мозга.
Покажет ли МРТ головного мозга опухоль

Коротко отвечая на вопрос, покажет ли опухоль МРТ головного мозга, можно сказать уверенное ДА. Магнитно-резонансная томография является приоритетным методом дифференциальной диагностики различных объемных образований в головном мозге, оболочке головного мозга, гипофизе, нервных жилах, сосудах. Данная методика активно используется при онкопоиске, поскольку позволяет визуализировать не только первичный очаг образования, но и метастатические поражения вещества головного мозга.
Когда нужно сделать МРТ головного мозга при опухоли
Ранняя диагностика опухолей головного мозга - это трудная задача по двум основным причинам:
- Многие опухоли мозга на ранних этапах не дают никакой клинической симптоматики, поэтому пациенту заподозрить что-то неладное по изменению в своем самочувствии очень сложно;
- Неврологические симптомы опухоли носят разнообразный характер и сильно зависят от локализации новообразования.
Свидетельствовать о возможной патологии могут:
- головные боли непонятного происхождения;
- частые головокружения;
- резкие перепады давления и сопутствующие им тошнота, рвота;
- повторяющиеся боли в шее;
- нарушение зрения и слуха;
- обморочные состояния;
- спутанность сознания, ухудшение памяти;
- мигренеподобные приступы;
- нарушения сознания, эпилепсия и другие припадки.
При клиническом осмотре больного невролог или онколог не сможет диагностировать объемное образование. Для этого потребуется аппаратная диагностика, например, МРТ или КТ головного мозга.
Покажет ли МРТ опухоль головного мозга
В большинстве случаев приоритетным методом выявление опухолевых образований будет магнитно-резонансная томография, поскольку белое и серое вещество очень хорошо визуализируется на снимках МРТ. Физика получения изображений при магнитно-резонансной томографии основывается на эффекте ядерного магнитного резонанса. Когда тело пациента помещается внутрь сканера, на мозговые структуры оказывает влияние сильное магнитное поле и радиочастотные импульсы. Под их воздействием атомы водорода в клетках начинают совершать колебательные движения. Этот резонанс фиксирует компьютер томографа, оцифровывает и переводит в трёхмерные изображения обследуемой области. Поскольку структуры головы на 80% состоят из воды, аппарат поможет сделать снимки очень высокой контрастности и четкости. Это позволяет врачам оценить:
- местоположение опухоли;
- ее размеры и форму;
- степень инвазии в соседние структуры;
- тканевой состав.
Для того, чтобы лучше всего разглядеть очаги при подозрении на объемное образование, МРТ головного мозга проводится с контрастированием. В ходе этой процедуры пациенту через вену на локтевом сгибе вводят специальный контрастный препарат на базе солей редкоземельного металла гадолиния. Контрастный состав максимально увеличивает тканевую контрастность, а по типу накопления и сбрасывания контрастного препарата врачи могут провести виртуальную гистологию опухоли и сказать, носит ли образование доброкачественный или злокачественный характер.
Особенно хорошо МРТ головы с контрастом способно показать:
- опухоли мозжечка
- глиобластому
- эпендимому
- глиальные опухоли
- метастазы
- невриномы
- менингеальные опухоли
- новообразования ствола головного мозга.
Как выглядит опухоль головного мозга на МРТ- фото
| МРТ здорового головного мозга | Глиома | Глиобластома |
Признаки опухоли на МРТ снимках
- наличие зоны измененного МР-сигнала от тканей мозга;
- гиперинтенсивный МР сигнал, гипоинтенсивный МР сигнал, гетерогенно изменений МР сигнал, изоинтенсивный МР сигнал;
- ориентировочные размеры, форма, контуры объемного образования;
- смещение, давление или изменение величины и деформации желудочков;
- аксиальная дислокация;
- блокада ликворных путей с развитом окклюзионной гидроцефалии;
- наличие перифокального отека;
- латеральная дислокация срединных структур или сосудистого сплетения “масс-эффекта”.
Пример МРТ расшифровки опухоль головного мозга
На серии МР-томограмм, взвешенных по Т1 и Т2-ВИ, tirm, получены суб- и супратенториальные структуры, определяются округлое объёмное патологическое образование, располагающееся по конвекситальной поверхности левой лобной доли, размером до 20х17х19 мм. Образование имеет достаточно чёткие округлые контуры, прилежит широким основанием к твердой мозговой оболочке, структура его несколько неоднородная. Вокруг образования имеется небольшой ликворный ободок и умеренно выраженный перифокальный отек головного мозга. Менингеальная оболочка на этом уровне утолщена с признаками симптома «хвоста», что наиболее характерно для менингиомы.
Срединные структуры не смещены.
Субкортикально, паравентрикулярно в белом веществе головного мозга определяются единичные очаги глиоза, имеющие четкие контуры, характеризующиеся гиперинтенсивным сигналом на Т2 ВИ и Tirm ИП, гипо- изоинтенсивным на Т1 ВИ, размерами до 3-4 мм в диаметре.
Боковые желудочки обычной конфигурации, существенно не расширены, минимально асимметричны (D>S).
Вокруг боковых желудочков имеются небольшие глиозные изменения.
III-й, IV-й желудочки, базальные цистерны не деформирован.
Стволовые структуры мозга не деформированы, имеют не измененный МР-сигнал.
Субарахноидальное пространство вне зоны патологических изменений выражено неравномерно, умеренно расширено по конвекситальной поверхности лобных, теменных долей.
Супраселлярная не деформирована. Гипофиз обычного расположения и размеров. Топография перекреста зрительных нервов не изменена.
Мосто-мозжечковые цистерны не деформированы.
Миндалины мозжечка расположены обычно.
Определяется пристеночный отёк слизистой в клетках решетчатого лабиринта и левой верхнечелюстной пазухе, имеющий повышенный сигнала на Т2 ВИ.
МР-картина объемного образования левой лобной доли с небольшим перифокальным отеком головного мозга (менингиома?).
МР-картина немногочисленных очагов глиоза вещества головного мозга сосудистого характера.
Качественная МРТ диагностика опухолей головного мозга
Для качественной томографии и безошибочной диагностики при подозрении на опухоль рекомендуется:
- проводить МРТ головного мозга на аппарате мощностью не менее 1,5 Тесла;
- шаг сканирования должен быть не менее 3 мм;
- рекомендовано применение контрастного усиления.
Мощное магнитное поле томографа при обследовании головного мозга обуславливает ряд противопоказаний. Особенность поля МРТ аппарата взаимодействовать с объектами, содержащими металл, сдвигать их с места и нарушать работу электронных систем, ограничивает проведение МРТ процедуры для пациентов, в теле которых установлены любые металлические имплантаты. Поэтому к томографическому исследованию не допускаются пациенты, которые имеют:
- протезы из металла, пластины, хирургические скобки, шунты и штифты, сосудистые катетеры из ферромагнитных материалов, а также любые металлические предметы как пули, осколки, застрявшие в теле
- искусственные сердечный клапаны, стимуляторы сердечной деятельности и дефибрилляторы
- ушной кохлеарный имплант
- вшитые медицинские помпы для дозированной подачи медикаментов
- зажимы и клипсы на сосудах.
Обращаем Ваше внимание на то, что наличие зубных протезов в общем и целом не является противопоказанием для проведения МР-сканирование головного мозга. Исключением может стать лишь очень узкая группа протезов, которые вызывают искажение изображения во время диагностики.
Если у Вас есть сомнения в отношении возможности проведения томографического исследования, позвоните нам, и мы поможем найти приемлемое решение для Вашего индивидуального случая.
Вопросы



Покажет ли МРТ опухоль головного мозга без контраста
Крупные опухоли видны на нативных бесконтрастных снимках. Мелкие метастазные поражения на базовом обследовании могут плохо визуализироваться. Признаки опухоли почти всегда видны на нативном МРТ снимке, однако не достаточно четко, чтобы провести качественную дифференциальную диагностику. Поэтому врач-рентгенолог, обнаружив в ходе бесконтрастного обследования признаки объемного образования, предлагает пациенту дополнить исследование контрастной процедурой.
| Вид исследования | Минимальная Цена | Цена на 3 Тесла |
|---|---|---|
| МРТ головного мозга | от 2800 руб. | от 5200 руб. |
| МРТ сосудов головного мозга | от 2800 руб. | от 8200 руб. |
| МРТ гипофиза | от 2800 руб. | от 5200 руб. |
| МРТ пазух носа | от 2800 руб. | от 5200 руб. |
| МРТ орбит и зрительных нервов | от 3200 руб. | от 5200 руб. |
| МРТ уха и слуховых нервов | от 3200 руб. | от 5200 руб. |
| МРТ черепно-мозговых нервов | от 3200 руб. | от 5200 руб. |
| Стоимость введения контрастного вещества | от 3500 руб. | от 3500 руб. |
Как МРТ определяет злокачественную опухоль
Злокачественные опухоли составляют до 50% всех опухолей головного мозга. Эти опухоли врач определяет по:
- нечеткости и неровности контуров и формы опухоли;
- большому перифокальному отеку;
- наличию “масс-эффекта”;
- неоднородному накоплению контрастного усиления;
- типу накопления контраста.
Как часто нужно делать МРТ после удаления опухоли
Периодичность МРТ головного мозга после удаления опухоли обычно определяет лечащий врач. Чаще всего после оперативного вмешательства первое обследование проводят через один месяц. Далее контрольные сканирования осуществляют раз в полгода в течение 3 лет после хирургического вмешательства.
Гидроцефалия головного мозга на МРТ

Гидроцефалия на МРТ
Магнитно-резонансную томографию активно используют в неврологии и нейрохирургии. С помощью метода визуализируют головной мозг. Послойные снимки полноценно отражают церебральные структуры, позволяют выявить патологические изменения на любом участке и собрать детальные сведения об отклонениях.
МРТ имеет огромное значение для ранней диагностики заболеваний головного мозга. На снимках врач-рентгенолог видит признаки опасных для жизни состояний, например, водянки. Гидроцефалия головного мозга на МРТ проявляется характерными симптомами, даже на начальных этапах развития. Опытный диагност быстро определит патологию, установит форму, клиницист подберет правильную тактику лечения.
Что такое гидроцефалия?
Трофику нервной ткани обеспечивает непрерывная циркуляция ликвора. Спинномозговая жидкость перемещается по определенному пути внутри церебральных структур, участвуя в обмене веществ. Ликвор защищает ткань от механических воздействий, обеспечивает стабильные концентрации электролитов, кислотно-щелочное равновесие, выступает в качестве иммунобиологического барьера.
Гидроцефалия — патологическое состояние, характеризующееся нарушениями выработки, оттока и/или циркуляции спинномозговой жидкости, избыточным ее скоплением, часто с повышением уровня внутричерепного давления. Для заболевания характерна неврологическая симптоматика. Со временем гидроцефалия приводит к развитию вторичных изменений. Синоним — водянка головного мозга. Неконтролируемое течение заболевания чревато летальным исходом.
- приступы цефалгии (головной боли);
- колебания артериального давления;
- тошнота;
- рвота;
- недержание мочи;
- шаткость походки;
- психические нарушения (деменция и пр.); — прогрессирующее увеличение размеров головы, симптом заходящего солнца и пр.

Схематичное изображение желудочков мозга в норме и при внутренней гидроцефалии
На ранних этапах развития патологии происходят изменения в головном мозге, но неврологическая симптоматика отсутствует. Проявления возникают на фоне органических процессов в церебральном веществе, нарушения кровообращения, атрофии отдельных участков.
Гидроцефалия — признак заболевания, т.к. является осложнением последнего. Идиопатическая форма патологии практически не встречается. Гидроцефалию и ее причины выявляют с помощью нейровизуализационных методов. Наиболее информативной признана МРТ.
Патологию чаще диагностируют у детей в первые 3 месяца жизни. Заболевание встречается и у взрослых, особенно после 60 лет. Причины развития гидроцефалии:
- черепно-мозговые травмы;
- опухоли;
- сосудистые патологии;
- инфекционные заболевания;
- перенесенные нейрохирургические операции; и гематомы;
- аномалии развития центральной нервной системы.
Тактика лечения гидроцефалии головного мозга зависит от вида заболевания. При благоприятном течении назначают медикаментозную терапию. При неэффективности препаратов и высоком риске развития осложнений в срочном порядке проводят хирургическое вмешательство.
Виды гидроцефалии
В зависимости от причины развития, водянка мозга бывает врожденной и приобретенной. Исходя из распределения ликвора, патологию классифицируют на виды:
- наружная;
- внутренняя (моно-, би-, три- или тетравентрикулярная);
- смешанная.
Исходя и механизма развития, водянка головного мозга бывает:
- открытой (сообщающаяся);
- закрытой (окклюзионная).

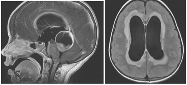
Внутренняя тривентрикулярная окклюзионная гидроцефалия на МРТ во фронтальной и сагиттальной плоскостях: на левом снимке видно гигантское кистозно-солидное образование, явившееся причиной обструкции ликворопроводящих путей на уровне Сильвиева водопровода
МРТ покажет гидроцефалию?
При магнитно-резонансной томографии получают послойные снимки исследуемой анатомической области. При изучении сканов врач видит мозговое вещество и выявляет отклонения от нормы. МРТ отчетливо показывает гидроцефалию. Метод информативен на ранних этапах развития заболевания, даже при отсутствии у пациента характерных симптомов. Детализация снимков позволяет врачам выявить водянку головного мозга, определить тип, диагностировать сопутствующие заболевания.

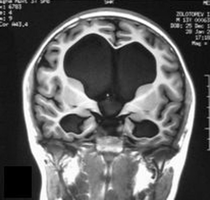
Водянка головного мозга при МР-сканировании в коронарной проекции
Признаки гидроцефалии у взрослых по МРТ
Проявления патологии на снимках бывают прямыми и косвенными. Первые связаны с расширением желудочков мозга (III, IV и боковых (в начальном периоде — в области передних рогов и тела)), водопровода и/или субарахноидального пространства (конвекситально, в области базальных цистерн, Сильвиевых борозд и пр.). Косвенные признаки на МР-сканах:
- межжелудочковый индекс свыше 0,5;
- перивентрикулярный отек при напряженной водянке;
- смещение гипоталамуса вниз;
- локальное выпячивание крыши боковых желудочков и др.
Дополнительно на томограммах определяют причину водянки головного мозга — основное заболевание.
Заключение МРТ головного мозга: гидроцефалия
Рассмотреть и охарактеризовать патологические изменения способен врач-рентгенолог с большим практическим опытом. Эксперт изучает снимки, сопоставляет между собой срезы в разных проекциях и режимах сканирования.
Обнаруженные признаки патологии врач фиксирует в заключении. Специалист описывает томографические признаки заболевания и ставит предварительный диагноз. В заключении МРТ может быть указано «умеренная наружная заместительная гидроцефалия». Клиницист трактует информацию, как невыраженное скопление ликвора в субарахноидальном пространстве на фоне атрофии коры мозга. Это не истинная водянка, а проявление компенсаторного механизма, развивающегося при органических или возрастных изменениях нервной ткани.
МРТ и КТ при гидроцефалии головного мозга - что покажет
МРТ головного мозга является аппаратным методом диагностики гидроцефалии головного мозга. Исходя из первичных симптомов, истории болезни, противопоказаний и диагностических целей, врач невролог назначает необходимые способы обследования. В большинстве случаев, МРТ головного мозга выбирается как первичный метод диагностики.
Гидроцефалия головного мозга - это патологическое скопление жидкости в головном мозге. Избыток жидкости оказывает давление на мозг, что может привести к его повреждению. Если это состояние не лечить, оно может привести к летальному исходу.
Причины гидроцефалия
В прошлом гидроцефалию называли «водянкой головного мозга». Однако при этой патологии мозг окружен не водой, а спинномозговой жидкостью. Она выполняет 3 важные функции:
- защищает мозг от повреждений
- удаляет продукты жизнедеятельности из мозга
- обеспечивает мозг питательными веществами, необходимыми для правильного функционирования.
Мозг постоянно производит новую спинномозговую жидкость, в то время как старая жидкость выделяется из него и всасывается в кровеносные сосуды. Но если этот процесс нарушить, количество спинномозговой жидкости может быстро нарастать, вызывая высокое внутричерепное давление.
Симптомы гидроцефалии
Повреждение головного мозга от гидроцефалии может вызвать широкий спектр симптомов, в том числе:
- головная боль
- помутнение зрения
- трудности при ходьбе.
Различные типы гидроцефалии могут вызывать дополнительные симптомы в виде когнитивных проблем, сложностью с движением.
Выделяют 3 основных типа гидроцефалии:
врожденная гидроцефалия - гидроцефалия, присутствующая при рождении приобретенная гидроцефалия - гидроцефалия, развивающаяся после рождения гидроцефалия нормального давления - обычно развивается только у пожилых людей.
Врожденная гидроцефалия присутствует с рождения
Врожденная гидроцефалия головного мозга провоцирует избыток жидкости у ребенка при рождении. Это может быть вызвано таким заболеванием, как расщелина позвоночника или инфекцией, которую мать развивает во время беременности, например, паротитом или краснухой. Многие дети, рожденные с гидроцефалией, имеют необратимое повреждение головного мозга, которые могут вызвать долгосрочных осложнений:
- неспособность к обучению
- проблемы с речью
- проблемы с памятью
- короткая продолжительность концентрации внимания
- проблемы с организаторскими способностями
- проблемы со зрением, такие как косоглазие и потеря зрения
- проблемы с физической координацией эпилепсия.
Приобретенная гидроцефалия головного мозга у детей или взрослых
Приобретенная гидроцефалия головного мозга развивается после болезни или травмы. Например, это состояние может случиться после серьезной травмы головы или как осложнение заболевания, например, опухоли головного мозга.
Гидроцефалия нормального давления
Гидроцефалия с нормальным давлением (ГНД или мальрезорбтивная гидроцефалия) - это необычное и малоизученное заболевание, которое чаще всего поражает людей старше 60 лет. Иногда эта форма гидроцефалии может развиться после травмы или инсульта, но в большинстве случаев причина патологии неизвестна. Проблемы с подвижностью, деменция и недержание мочи - основные симптомы (ГНД). Но поскольку эти признаки развиваются постепенно и похожи на симптомы других, более распространенных состояний, таких как болезнь Альцгеймера, диагноз гидроцефалия нормального давления трудно поставить.
МРТ или КТ при гидроцефалии головного мозга - что лучше выбрать
МРТ головного мозга является основной формой диагностики врожденной и приобретенной гидроцефалии. Контрольный список симптомов используется для диагностики мальрезорбтивной гидроцефалии. Например, будет оцениваться походка, умственные способности и контроль над мочевым пузырем. МРТ головного мозга при гидроцефалии нормального давления используется для дифференциальной диагностики этого заболевания от болезни Альцгеймера и опухоли мозга. КТ головного мозга при диагностике гидроцефалии обычно используется, если она сопровождается травмой головного мозга.
Признаки гидроцефалии головного мозга на МРТ
Признаки гидроцефалии на снимках МРТ бывают прямыми и косвенными. Первые связаны с расширением желудочков мозга (III, IV и боковых (в начальном периоде — в области передних рогов и тела)), водопровода и/или субарахноидального пространства (конвекситально, в области базальных цистерн, Сильвиевых борозд).
Разница между МРТ и КТ
Компьютерная томография и магнитно-резонансная томография используются для получения изображений органов и тканей в трехмерной проекции. Разница в томографии заключается в том, что при МРТ используются радиоволны, а при КТ - рентгеновские лучи для получения изображения. Хотя оба томографических метода имеют высокую информативность, есть диагностические различия, которые могут сделать каждый из них более подходящим вариантом в зависимости от обстоятельств.
КТ-сканирование более быстрая форма диагностики, чем магнитно-резонансная томография, и обычно используется для экстренного обследования. При использовании как КТ, так и МРТ существуют определенные риски. Они зависят от типа визуализации, а также от способа ее проведения. К рискам КТ относятся: вред для внутриутробного ребенка при беременности и доза радиации. Риски МРТ включают реакции на металлические импланты в теле из-за сильного магнитного поля, громкий шум от аппарата, повышенная, клаустрофобические риски.
Если врачу нужны более детальные изображения мягких тканей, связок или органов высоким состоянием воды, обычно назначается магнитно-резонансная томография. Если необходимо получить хорошие изображение костных структур и полых органов, обычно рекомендуется компьютерная томография.
Лечение гидроцефалии
Гидроцефалию обычно можно лечить с помощью шунта, который хирургическим путем имплантируется в мозг и выводит лишнюю жидкость. Эндоскопическая третья вентрикулостомия иногда может использоваться как альтернатива хирургии шунтирования.Во время этой процедуры в нижней части черепа делается отверстие, позволяющее скоплению жидкости выходить на поверхность, где она может абсорбироваться. Операция, применяемая для лечения гидроцефалии, иногда может вызывать осложнения. Например, шунт может быть заблокирован или инфицирован.
МРТ при гидроцефалии
При помощи магнитно-резонансной томографии выявляются изменения патологического характера, ткани головного мозга на первоначальных стадиях. Методика дает возможность своевременно определить тип и масштабы патологий, назначить адекватное лечение. МРТ при гидроцефалии информативно на любой стадии, даже если болезнь еще никак не проявляется.
Особенности и механизм развития болезни
Гидроцефалия или водянка головного мозга - заболевание, которое сопровождается накоплением избыточной цереброспинальной жидкости внутри желудочков, в подоболоченных мозговых пространствах и приводит к их расширению, а также становится причиной повышения внутричерепного давления.
В желудочках головного мозга продуцируется спинномозговая жидкость. Она служит своеобразной подушкой, защищает головной, спинной мозг, доставляет питательные вещества, отвечает за выведение отходов. В норме жидкость движется до всасывания в кровоток. При гидроцефалии ее движение блокируется, а всасывание ограничивается. При отсутствии адекватного лечения развиваются осложнения, вплоть до летального исхода.
Виды заболевания
Различают несколько видов гидроцефалии головного мозга. Патология бывает врожденной и приобретенной. Первая прогрессирует под действием неблагоприятных факторов в период внутриутробного развития. Вторая формируется под действием различных патологий и внешних факторов.
По месту локализации заболевание бывает:
- Наружным - со скоплением жидкости под мозговыми оболочками;
- Внутренним - с нарушением оттока ЦСЖ из желудочков;
- Общим - сочетает признаки обеих предыдущих форм.
По механизму развития гидроцефалия может быть открытой, с сохранением связи между желудочковой системой и субарахноидальным пространством, или закрытой, с нарушением этой связи.
Формы патологии
Форма гидроцефалии определяет характер течения болезни, степень ее тяжести. Для классификации чаще всего используются следующие критерии:
- Интенсивность проявления патологии - при выраженной накапливается много жидкости, из-за чего нарушается деятельность нервной системы. В этом случае болезнь сопровождается выраженными неврологическими симптомами. Для умеренной степени характерно скопление небольшого объема ликвора и отсутствие симптоматики;
- Степень воздействия на мозговые структуры - при компенсированной форме жидкость не оказывает воздействия на мозг, при декомпенсированной ухудшает его функционирование;
- Характер протекания - гидроцефалия головного мозга в хронической форме сопровождается постепенным нарастанием симптомов, в острой приводит к резкому ухудшению состояния человека.
Определение типа заболевания, его формы и особенностей развития позволяют современные меры диагностики.
Стадии развития
Наружная гидроцефалия имеет 3 стадии развития, для каждой из них характерны свои признаки:
- Легкая - размеры водянки небольшие, организм пытается сам справляться с нарушениями тока ЦСЖ. Человек обычно чувствует не слишком интенсивную головную боль, у него периодически кружится голова, слегка ухудшается самочувствие, иногда темнеет в глазах;
- Средняя - проявления становятся более заметными, увеличивается интенсивность головных болей, в особенности при физической нагрузке. Возможны нарушения зрительной функции, быстрое наступление усталости, перепады давления, депрессии и сильная раздражительность;
- Тяжелая - на этой стадии гидроцефалия головного мозга может вызывать судорожные припадки, апатичное состояние, обмороки, апатию, а также приводить к развитию состояний, в которых человек уже не способен к самообслуживанию.
На первоначальных стадиях развития патологии неврологические симптомы могут отсутствовать. Они появляются из-за органических процессов, которые происходят в церебральном веществе, а также на фоне нарушения кровообращения и атрофии некоторых участков.
Гидроцефалия у детей
Признаки гидроцефалии определяются возрастом человека и стадией заболевания. У детей, в том числе новорожденных, на развитие патологии могут указывать капризное поведение и плохой аппетит, мраморная кожа и замедление реакций, ретракция века и взгляд, практически всегда направленный вниз, а также вспучивание родничка и чрезмерно увеличенные размеры головы.
Именно размеры и форма головы ребенка часто указывают на патологические процессы. К полугодовалому возрасту у малышей с гидроцефалией показатель окружности головы больше, чем груди, череп становится продолговатым, грушевидным, и это заметно невооруженным взглядом.
При гидроцефалии у детей блокируется нормальное функционирование мозга, что приводит к отставанию в психическом, физическом, умственном развитии. Риск патологии повышается у новорожденных, появившихся на свет раньше срока с малой массой тела. Причиной могут послужить также родовые внутричерепные травмы, инфекционные заболевания, перенесенные матерью во время беременности.
Ребенок с таким заболеванием позже своих сверстников начинает переворачиваться, держать голову, садиться. При тяжелой форме патологии эти навыки не формируются, снижается мышечная сила в конечностях вплоть до паралича, повышается мышечный тонус. После заращения родничков начинает сильно болеть голова, чаще по утрам, частая рвота, носовые кровотечения.
Симптомы болезни у взрослых
Гидроцефалия у взрослых проявляется:
- Головными болями, при которых не спасают ни сон, ни препараты с обезболивающим действием;
- Тошнотой, чувством приближения рвоты;
- Ощущением постоянной усталости;
- Резкой сменой настроений, склонностью к раздражительности;
- Изменениями в поведении;
- Затуманиванием сознания, сложностями с памятью, процессом мышления;
- Нарушением равновесия;
- Невозможностью контролировать мочеиспускание;
- Припадками и судорогами;
- Нарушениями сна;
- Проблемами с аппетитом;
- Нечеткостью зрения, ощущением двоения в глазах, перемещения глазных яблок вниз.
Головная боль при гидроцефалии усиливается при смене горизонтального положения на вертикальное. Возможны колебания артериального давления. При нормотензивной гидроцефалии появляются признаки деменции, недержания мочи, нарушений ходьбы в сочетании с выраженным расширением желудочков мозга, но без повышения давления ЦСЖ.
Причины патологии
Основные причины развития гидроцефалии во взрослом возрасте - это:
- Патологии сосудистой системы;
- Заболевания инфекционного характера;
- Нейрохирургические операции;
- Травмы головы;
- Опухолевые процессы;
- Перенесенный инсульт;
- Аномалии развития ЦНС.
Гидроцефалия может стать осложнением менингоэнцефалита, менингита, разрыва аневризмы аневризмы либо внутрижелудочкового кровоизлияния, формирования кисты или опухоли в головном мозге.
Причина гидроцефалии у взрослых может заключаться в регулярной интоксикации, к примеру, частом потреблении спиртного. Алкоголь оказывает поражающее действие на нейроны, из-за этого отмирают участки тканей. Повышенный риск создают хронические заболевания в виде рассеянного склероза, диабета, нарушений в обмене веществ, энцефалопатии. Нередко болезнь развивается на фоне возрастных изменений в организме, связанных со старением мозговых тканей и сосудов.
Эффективность МРТ при гидроцефалии
Для диагностики гидроцефалии используют магнитно-резонансную томографию. Это наиболее информативный метод визуализации, позволяющий установить точный диагноз, вне зависимости от стадии патологии.
Суть МРТ заключается в получении послойных снимков используемой области путем сканирования. Принцип действия томографии связан с воздействием магнитного поля и фиксацией радиочастот, исходящих от тела человека.
В отличие от рентгена, МРТ не оказывает негативного влияния на организм. Это неинвазивный и абсолютно безопасный метод, позволяющий получить изображения высокого качества, в том числе трехмерные. На них хорошо видны мозговые ткани разной плотности и границы между ними, новообразования и сосуды. Благодаря исследованию в нескольких проекциях на заданной глубине, появляется возможность оценить состояние любого участка головного мозга.

Как проводится процедура?
МРТ головного мозга проводится с контрастным усилением или без него. В первом случае пациенту внутривенно вводятся специальные препараты, которые создают четкое изображение пораженных участков, улучшают качество визуализации. Например, при таком подходе хорошо видна не только сама опухоль, но и ее точные границы.
Особая подготовка к процедуре не требуется, но перед ее началом придется снять все металлические украшения. Сам аппарат для томографии выглядит как большой цилиндр, внутри которого находится подвижная платформа. Пациент располагается на ней лежа на спине. Для защиты от шума, который издает прибор, используются беруши.
Стол задвигается внутрь томографа, врач выполняет процедуру из соседнего кабинета, управляя устройством с помощью компьютера. На протяжении всего времени обследования сохраняется голосовая связь с доктором, поэтому пациент в любой момент может сообщить о неприятных или дискомфортных ощущениях.
Томограф последовательно делает серию снимков, которые в итоге формируют готовое изображение. Чтобы снимки были качественными, пациенту необходимо сохранять полную неподвижность. В среднем процедура занимает около 30-45 минут.
Оценка результатов
Данная методика дает возможность выявить не только гидроцефалию головного мозга, но и сопутствующие заболевания, точно определить тип патологии. На снимке видны и прямые, и косвенные признаки болезни. К прямым относится увеличение желудочков головного мозга, субарахноидального пространства.
Косвенными признаками являются:
- Величина межжелудочкового индекса от 0,5 и больше;
- Смещение гипоталамуса книзу;
- Отек при напряженной водянке;
- Частичное выпячивание верхней части боковых желудочков.
Исходя из результатов исследования, ставится диагноз и назначается лечение. МРТ может показать заместительную гидроцефалию. Это означает, что в субарахноидальном пространстве присутствует определенное количество жидкости, однако ее наличие является не признаком водянки, а проявлением компенсаторного механизма, связанного с возрастными либо органическими изменениями тканей.
Методы и принципы лечения
Основной задачей является устранение скопившихся излишков спинномозговой жидкости, чтобы восстановить ее нормальное течение.
В некоторых случаях проводится медикаментозная терапия. Улучшение от консервативного лечения гидроцефалии обычно наступает, когда болезнь является осложнением инфекционного либо воспалительного заболевания, травматического воздействия. Когда лекарства не дают должного эффекта, проводится операция для установки специальных шунтов. Этот элемент обеспечивает отвод жидкости к брюшной полости, где она поглощается организмом. В результате снижается давление, сокращается размер отека в головном мозге.
Другой вариант хирургического лечения - создание отверстия в 3-м мозговом желудочке для перетекания ликвора между областями мозга. Оба метода позволяют снять симптомы и блокировать развитие опасных осложнений. Если заболевание обусловлено появлением опухоли, проводится ее удаление.
Чем раньше будет выявлена гидроцефалия, тем благоприятнее прогноз лечения. При своевременном и успешном проведении операции пациент может вернуться к нормальной жизни, возможно полное выздоровление. Запущенные стадии заболевания не только ухудшают качество жизни, но и приводят к опасным последствиям, вплоть до летального исхода. Именно поэтому важную роль играет точная диагностика, в первую очередь, МРТ.
Читайте также:
- Уход после артроскопической операции фиксации перелома таранной кости
- Синдром Вестфаля (Westphal)
- Показания для операции Z-остеотомии при варусной деформации пяточной кости
- Нарушения индукции формы и полярности клеток: поликистоз почек
- Трипаносомоз африканский. Возбудитель и механизмы развития сонной болезни
