Внутрипротоковая папиллома молочной железы - диагностика, лечение
Добавил пользователь Владимир З. Обновлено: 01.11.2025
Автор - Сергей Александрович Тверезовский, хирург-онколог, маммолог, онкодерматолог, к.м.н., врач высшей категории.
Внутрипротоковая папиллома молочной железы - это одно из доброкачественных заболеваний молочной железы, когда доброкачественная опухоль формируется и развивается в просвете протока молочной железы. У внутрипротоковой папилломы существует много синонимов (интрадуктальная папиллома, внутрипротоковая цистаденома, цистаденопапиллома молочной железы, кровоточащий сосок, болезнь Минца).
Внутрипротоковые папилломы молочной железы могут быть односторонними и двусторонними (папилломы в протоках обеих молочных желез). Также выделяют одиночные или солитарные внутрипротоковые папилломы груди (как правило, центрально расположенные) или множественные (как правило, расположенные периферически).
Внутрипротоковая папиллома может сопровождаться выделениями из соска, прозрачными или окрашенными кровью, бурого цвета, а также болевыми ощущениями.
Лечение внутрипротоковых папиллом молочной железы - операция (секторальная резекция или органосохраняющая операция).
Как выглядит внутрипротоковая папиллома?
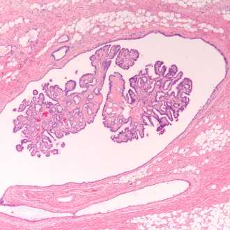
Внутрипротоковая папиллома молочной железы выглядит как выступающее в просвете протока или кистозной полости сосочковидное разрастание, иногда напоминающее по форме цветную капусту.
Размеры внутрипротоковых папиллом груди колеблются от нескольких миллиметров до 2-3 сантиметров. Мелкие внутрипротоковые папилломы молочной железы чаще бывают множественные и периферические (растут в мелких протоках периферических отделов долек молочной железы). Крупные папилломы, как правило, располагаются ближе к соску и находятся в просвете более крупных протоков.

Чем опасна внутрипротоковая папиллома молочной железы?
Внутрипротоковая папиллома молочной железы относится к предраковым состояниям, поэтому требует незамедлительного обращения к онкологу-маммологу, но риск перерождения этих образований - различный.
В рак молочной железы чаще переходят мелкие, множественные, периферические внутрипротоковые папилломы груди (формируя папиллярный, протоковый рак молочной железы), а крупные, центральные, солитарные опухоли имеют крайне малый риск озлокачествления.
Когда вокруг крупной внутрипротоковой папилломы формируется кистозная полость с плотными стенками, этот процесс и называется цистаденопапиллома молочной железы. Этим заболеванием могут страдать женщины в любом возрасте, но чаще внутрипротоковая папиллома выявляется у женщин после 40 лет.
Причинами возникновения внутрипротоковой папилломы молочной железы считают гормональный дисбаланс в организме пациентки, который может быть вызван нарушением функции яичников, воспалительными заболеваниями женских половых органов, избытком веса, абортами, хроническими стрессами, курением.
Кроме того, достаточно часто у пациенток с выставленным диагнозом «внутрипротоковая папиллома» есть наследственная предрасположенность к данному заболеванию.
Симптомы внутрипротоковой папилломы молочной железы
- Выделения из соска (они могут быть различными по объему и цвету, особенно должны насторожить выделения из соска кровянистого оттенка).
- Уплотнение в молочной железе - пропальпировать можно лишь центральные солитарные опухоли, располагающиеся недалеко от кожи молочной железы и имеющие размер от 7-8 мм и выше. Пальпируются они в виде упруго-эластичного округлого образования, четким, ровным, гладким контуром, не связанного с кожей.
- В редких случаях возникает воспаление цистаденопапилломы - процесс представляет собой инфильтрат без четких ровных контуров, с отеком и покраснением на коже.
При наличии этих симптомов безотлагательно обратитесь к квалифицированному онкологу-маммологу нашей клиники, который в подавляющем большинстве случаев может выставить этот диагноз уже после первого осмотра пациентки, используя инструментальные методы диагностики.
Внутрипротоковая папиллома молочной железы - симптомы и лечение
Что такое внутрипротоковая папиллома молочной железы? Причины возникновения, диагностику и методы лечения разберем в статье доктора Степыко Станислава Борисовича, онколога со стажем в 17 лет.
Над статьей доктора Степыко Станислава Борисовича работали литературный редактор Юлия Липовская , научный редактор Сергей Федосов и шеф-редактор Лада Родчанина

Определение болезни. Причины заболевания
Внутрипротоковая папиллома молочной железы — это доброкачественная папиллярная опухоль, которая развивается в расширенном протоке молочной железы. Синонимы заболевания — болезнь Шиммельбуша, цистаденопапиллома, кровоточащая молочная железа и болезнь Минца.

Папиллома может появиться в отдаленных участках протоков, но чаще всего формируется под ареолой, недалеко от соска. Млечный проток при этом расширяется и приобретает форму кисты. Среди остальных доброкачественных опухолей цистоаденома встречается примерно в 1 % случаев [9] .
Новообразования могут диагностироваться в любом возрасте. Их обнаруживают как у подростков, так и у женщин после наступления климакса. Но в зависимости от возраста опухоли отличаются по строению и риску развития злокачественных форм.
Внутрипротоковые папилломы считают одной из форм мастопатии. Грудные железы — это гормонально чувствительный орган, поэтому любые внешние или внутренние влияния на эндокринную систему могут стать провоцирующим фактором. Основные причины развития опухоли:
- дисфункция яичников — нарушения в работе яичников, которое сопровождается сбоем менструального цикла, приводит к нарушению баланса гормонов и преобладающему влиянию эстрогенов;
- гиперпластические заболевания репродуктивных органов (миома, эндометриоз, гиперплазия эндометрия) являются как следствием избытка этрогенов, так и сами участвуют в поддержании патологической секреции гормонов [6] ;
- воспалительные процессы в яичниках — при хроническом инфекционном поражении придатков нарушается гормональная функция, увеличивается риск развития новообразований в грудной железе;
- многократные искусственный аборты — при прерывании беременности нарушается ритмическая секреция гормонов, страдает гипоталамо-гипофизарная система, что приводит к развитию гиперпластических процессов [2] ;
- отсутствие грудного вскармливания, беременностей, завершившихся родами, период лактации менее 1 месяца или больше 1 года — во время кормления происходит окончательное созревание и функциональная перестройка тканей молочной железы, и если у женщины не было достаточной лактации, повышается вероятность развития пролиферативных заболеваний (связанных с избыточным разрастанием тканей);
- синдром поликистозных яичников — при этой патологии в яичниках не созревают яйцеклетки, наблюдается хроническая ановуляция, поэтому организм страдает от дефицита прогестерона.
Внутрипротоковая папиллома может развиваться на фоне диффузной или узловой мастопатии. Гиперплазия стромы в грудных железах ведет к сдавлению протоков, их расширению, а дисгормональное расстройство способствует пролиферации эпителия.
Риск развития эпителиальных новообразований повышается в следующих случаях:
- , болезни щитовидной железы;
- раннее начало менархе, поздний климакс; или избыточная масса тела;
- неправильное применение гормональной контрацепции [6] .
При обнаружении схожих симптомов проконсультируйтесь у врача. Не занимайтесь самолечением - это опасно для вашего здоровья!
Цистаденомы небольшого размера могут долгое время не обнаруживаться. Они расположены под ареолой или соском достаточно поверхностно, но связи с соском не имеют, поэтому первые симптомы женщина замечает после сдавления или небольшого повреждения груди. Из соска выделяется небольшое количество капель крови, но болезненные ощущения отсутствуют.
Признаки новообразования можно определить при самообследовании молочных желез. Оптимальный срок для диагностики — первые дни после окончания менструации. В это время грудь не находится под влиянием гормонов, поэтому остается мягкой и эластичной. Если проводить пальпацию во второй фазе цикла, можно принять за новообразование небольшую отёчность [5] .
При осмотре груди может определяться тяжистость (ощущается как натянутые плотные волокна, тяжи ткани). Если папиллома сочетается с узловой формой мастопатии, у пациентки будет пальпироваться очаговое уплотнение. Но в большинстве случаев при самообследовании можно определить кровянистые выделения из соска, а под ареолой — небольшой подвижный узел до 1 см в диаметре. Его сдавление может сопровождаться болью [7] . Иногда уплотнение имеет веретенообразную форму.
В запущенных случаях, когда женщина не проводит ежемесячный осмотр груди, она замечает первые симптомы по красно-коричневым выделениям, которые пачкают бюстгалтер. Иногда на сосках остаются корочки свернувшейся крови [5] .

В норме на соске открывается 3-5 протоков груди, но при внутрипротоковой папилломе, расположенной поверхностно, выделения наблюдаются только из одной точки. Если новообразование находится глубоко в тканях, то кровит из нескольких протоков.
Патогенез внутрипротоковой папилломы молочной железы
Механизм развития внутрипротоковой гиперплазии схож с другими гиперпластическими процессам в молочной железе. Этот орган чувствителен к концентрации половых гормонов. Основное влияние на грудь оказывают эстрогены. После начала полового созревания под их влиянием в первую фазу менструального цикла активируются пролиферативные процессы. Они уравновешиваются прогестероном, который повышается после овуляции. У женщин с нарушениями менструального цикла этого не происходит [6] .

Под нескомпенсированным влиянием эстрогенов в ткани груди происходят следующие процессы:
- активируется деление эпителиальных клеток;
- усиливается выработка факторов роста;
- увеличивается активность фибробластов;
- вырабатываются протоонкогены.
Но не у всех женщин с гормональными нарушениями развивается внутрипротоковая папиллома. Для этого необходимо нарушение иммунных механизмов, снижение апоптоза — запрограммированной гибели клеток. Патологические клетки получают возможность делиться, поэтому в очаге появляются атипичные структуры.
Зависимость от эстрогенов подтверждается иммуногистохимическими анализами. В участках атипической и типичной гиперплазии наблюдается увеличение количества рецепторов к эстрогенам [8] .
Классификация и стадии развития внутрипротоковой папилломы молочной железы
Внутрипротоковые папилломы классифицируют в зависимости от их количества:
- одиночные — одно новообразование, которое часто расположено в конечных отделах протоков, характерно для женщин в период климакса;
- множественные — не имеют строгой локализации, могут обнаруживаться в разных отделах молочной железы, в глубине тканей и поверхностно, характерны для женщин репродуктивного возраста [5] .
Отдельно выделяют юношеский тип внутрипротоковых папиллом, которые формируются в подростковом возрасте.
Существует гистологическая классификация новообразования, согласно которой выделяют два типа папиллом:
- Типичная протоковая гиперплазия — доброкачественная пролиферация эпителия протоков, для которой характерно увеличение количества слоёв клеток, вплоть до полной облитерации просвета.
- Атипичная протоковая гиперплазия — в этом случае происходит увеличение слоёв клеток, которые отличаются цитологической атипией [9] .

Типичная протоковая гиперплазия может быть нескольких вариантов:
- папиллярная, или слабовыраженная;
- фестончатая (криброзная), имеющая многочисленные выросты, или умеренная;
- солидная, или выраженная.
Типичная гиперплазия представлена гетерогенной клеточной популяцией. Клетки имеют разную форму и размер, ориентированы беспорядочно. Просвет между фестончатыми краями отличается по диаметру и контурам. Исследования показывают, что в новообразовании много рецепторов к эстрогенам.
При атипической протоковой гиперплазии популяция клеток мономорфная. Они одного размера и формы, с округлыми ядрами и имеют чёткие границы. Такой тип называют люминальными атипическими клетками [8] .
При внутрипротоковой папилломе с типичной гиперплазией чаще поражается одна молочная железа. Если у женщины атипическая гиперплазия, то в 50 % случаев поражение будет двусторонним [10] .
Осложнения внутрипротоковой папилломы молочной железы
Основная опасность внутрипротоковой папилломы молочной железы — риск перерождения в злокачественную опухоль. Он зависит от нескольких факторов. У женщин после 45 лет папиллома из-за гормональных особенностей способна перерождаться в рак. Этому способствуют ановуляторные циклы, когда не происходит созревания яйцеклеток и не формируется жёлтое тело, выделяющее прогестерон. В молодом возрасте вероятность озлокачествления ниже.
Если при гистологическом исследовании обнаружена типичная протоковая гиперплазия, риск развития рака в 2 раза выше, чем при других доброкачественных пролиферативных процессах, например, мастопатии [11] . При атипической гиперплазии риски повышаются в 3-5 раз [10] .

Врач может предположить риски на начальном этапе диагностики. Онконастороженность должна присутствовать при обращении за помощью женщин старше 45-50 лет, у которых папиллома хорошо пальпируется, имеются выраженные выделения из сосков. По данным УЗИ в новообразованиях, склонных к переходу в рак, имеются кальцинаты — плотные структуры с отложением солей кальция. Такие доброкачественные опухоли хорошо заметны при маммографии [5] .
При множественных внутрипротоковых папилломах молочных желез после хирургического удаления часто возникает рецидив [9] .
Диагностика внутрипротоковой папилломы молочной железы
При появлении жалоб женщина должна обратиться на консультацию к маммологу. Первым этапом диагностики является сбор анамнеза и осмотр. Врач фиксирует сопутствующие заболевания и факторы, которые могли спровоцировать развитие внутрипротоковой папилломы, отмечает время появления симптомов.
Осмотр проводится в двух положениях:
- стоя с опущенными руками: маммолог оценивает симметричность груди, наличие локальных изменений, пальпирует грудь;
- лежа с заведенными за голову руками: прощупывается глубокий слой тканей.
Обязательно оценивают выделения из молочной железы. Врач аккуратно надавливает на сосок и берёт отпечаток для цитологического исследования. По его результату можно сделать первые выводы о характере новообразования [7] .
В качестве скринингового метода на начальном этапе диагностики может применяться радиотермометрия и электроимпедансная маммография . При радиотермометрии груди через кожу специальным датчиком измеряется электромагнитное излучение тканей и выстраивается температурный график. Опухоли выглядят более горячими, чем здоровые ткани. Электроимпедансная маммография основана на изучении электропроводности, которая изменяется в опухолевых очагах. Эти способы эффективны для выявления пролиферативных процессов и позволяют отличить внутрипротоковые папилломы и рак молочной железы от фиброаденомы или мастопатии.
Методика основана на том, что при активном клеточном делении, которое происходит при гиперпластических заболеваниях, усиливается кровенаполнение и питание тканей. Это вызывает повышение температуры и электропроводности. При внутрипротоковой папилломе радиотермометрия информативна в 83 % случаев, специфична в 90 %.

Для электроимпедансной маммографии при цистаденоме гипоимпедансные очаги определяются в 70 % случаев, а если этот показатель достигает 100 %, то диагностируют рак [1] .
УЗИ молочной железы проводится для поиска объёмных образований, но при внутрипротоковой папилломе этот метод недостаточно эффективный. Косвенным признаком патологии являются:
- эктазия, или расширение, протоков;
- мягкотканное образование недалеко от соска;
- гипоэхогенный характер образования (на мониторе темнее окружающих тканей);
- четкие контуры опухоли [3] .
У женщин старше 45 лет УЗИ не используется из-за физиологических изменений молочной железы. А маммография также не покажет патологию протоков, если только опухоль не начнёт прорастать в окружающие ткани.
Выявить локализацию процесса помогает дуктография. Это рентгенологический метод диагностики, при котором в млечные протоки вводится контрастное вещество. Она назначается при патологических выделениях из грудных желез, но не во всех случаях. Нет показаний для проведения дуктографии если:
- по цвету выделения молочные, прозрачные, жёлто-зелёные или коричневые;
- нерожавшая женщина принимает препараты, которые влияют на функцию гипофиза;
- пациентка недавно родила или закончила кормить грудью [5] .
Специальная подготовка к дуктографии не требуется. Женщину нужно предупредить, что выдавливать кровь из соска перед процедурой нельзя. Обследование занимает около 30 минут. Специальным инструментом в протоки водится тонкий катетер, по которому нагнетается рентгеноконтрастный раствор. После этого выполняется стандартный снимок, как при маммографии.

Результат снимка оценивается в тот же день. Обычно внутрипротоковая папиллома не позволяет пройти раствору в дистальные отделы протока, поэтому на снимке появляется дефект наполнения. Дуктография — это безопасный метод диагностики патологии млечных протоков. Он безболезненный, но некоторые пациентки ощущают дискомфорт. По результатам исследования врач получает точное представление о локализации патологического образования, чтобы взять образец тканей для гистологической диагностики [5] .
Подтвердить или опровергнуть злокачественный процесс помогают морфологические методы [reference:4:
- трепан-биопсия — аппаратом со специальной иглой берут фрагмент тканей из патологического очага. Но по некоторым исследованиям, методика недостаточно информативна при внутрипротоковых папилломах, т.к. в этом типе новообразования клетки гетерогенны, а во время забора материала можно захватить только доброкачественный участок. Поэтому есть риск ложного диагноза;
- вакуумная аспирационная биопсия — через толстую иглу берётся фрагмент тканей, который больше, чем при трепан-биопсии. Метод позволяет точно определить доброкачественный и злокачественный процесс [9] .

Сравнение результатов гистологии, полученной после вакуумной аспирационной биопсии и изучения тканей, удалённых во время операции, показывает, что диагнозы в большинстве случаев совпадают.
Лечение внутрипротоковой папилломы молочной железы
Консервативная терапия при внутрипротоковой папилломе не применяется. Основной метод лечения — хирургическое удаление, для которого используются разные подходы.
У молодых женщин и подростков с типичной протоковой гипреплазией, которую подтвердили при помощи вакуумной аспирационной биопсии, допускается выжидательная тактика. Но большинство исследователей считают, что папилломы, особенно множественные, нужно удалять [5] .
При атипической протоковой гиперплазии вне зависимости от возраста проводится секторальная резекция молочной железы. Техника операции отличается от той, которая применяется при фиброаденоме. Хирургическое вмешательство проводят под наркозом. Сначала в проток вводят красящее вещество, чтобы точно локализовать новообразование.

Разрез выполняют по краю ареолы. В ране за соском находят прокрашенный проток, его аккуратно выделяют из окружающих тканей и пересекают. Молочную железу ушивают внутрикожными швами и накладывают стерильную повязку [4] .
Полученные ткани отправляют на гистологическое исследование, чтобы верифицировать тип новообразования. В 15 % случаев послеоперационная диагностика подтверждает, что в очаге не гиперплазия, а инвазивный рак [12] .
Прогноз. Профилактика
Прогноз благоприятный при своевременном обнаружении единичной внутрипротоковой папилломы и её адекватном лечении. Чем младше женщина, тем ниже вероятность, что у неё обнаружится злокачественное новообразование. Но при множественных папилломах существует риск рецидива после секторальной резекции.
Профилактика внутрипротоковой папилломы проводится путем коррекции образа жизни. Защитным действием на молочные железы обладает лактация. Но женщина должна полноценно кормить ребёнка грудью на протяжении не менее 1 месяца. Лактация, которая сохраняется больше года, может иметь негативные последствия [7] .
Гормональные контрацептивы имеют профилактический эффект на молочные железы, но только при их непрерывном использовании на протяжении года и более. Лечение антагонистом эстрогена тамоксифеном и аналогичными препаратами наоборот увеличивает вероятность гиперпластических процессов в грудных железах.
Для профилактики внутрипротоковой папилломы необходимо своевременно диагностировать и лечить гинекологические заболевания. Опасность представляют миома, эндометриоз, кисты яичников, хронические воспалительные процессы [2] .
Рекомендуется избегать искусственных абортов. Они наносят вред гипоталамо-гипофизарной системе, ведут к гормональному сбою и увеличивают риски новообразований молочных желез. Поэтому женщинам, не планирующим беременность, необходимо подбирать эффективный метод контрацепции.
Но главный метод профилактики — регулярное посещение врача и самодиагностика после окончания менструации. Женщинам после удаления внутрипротоковой папилломы груди необходимо 1-2 раза в год приходить на осмотр, чтобы вовремя обнаружить рецидив.
Внутрипротоковая папиллома молочной железы
Внутрипротоковая папиллома молочной железы - интрадуктальная папиллярная опухоль, развивающаяся в млечном протоке. Наличие внутрипротоковой папилломы сопровождается обильными выделениям из соска молочного, желтовато-зеленоватого или коричневатого цвета. Диагностика внутрипротоковой папилломы молочной железы включает проведение дуктографии, маммографии, УЗИ, цитологического исследование выделений. Лечения внутрипротоковой папилломы молочной железы - оперативное, включает секторальную резекцию молочной железы.

Общие сведения
Внутрипротоковые папилломы (папиллярные цистаденомы, цистаденопапилломы) представляют собой доброкачественные сосочковидные выросты, возникающие из эпителия протоков молочной железы. Они могут развиваться в любом возрасте - от пубертатного периода до постменопаузы. Частота обнаружения цистаденопапиллом в маммологии составляет около 10% среди общего числа опухолеподобных заболеваний молочной железы.
Макроскопически внутрипротоковая папиллома молочной железы напоминает кистозное образование с сосчковидными разрастаниями. Папилломы легко травмируются, а выделяющаяся при этом кровянистая жидкость попадает в выводные протоки и выделяется наружу из соска. В области опухоли возможны кровоизлияния и некрозы; озлокачествлению чаще подвергаются множественные внутрипротоковые папилломы молочной железы.
Причины
Определяющим фактором, ведущим к развитию внутрипротоковых папиллом, считается гормональный дисбаланс. Развитие внутрипротоковой папилломы молочной железы может провоцироваться любыми изменениями гормонального гомеостаза: дисфункцией яичников, оофоритами, аднекситами, абортами, ожирением, стрессами и т. д. В группе риска по развитию внутрипротоковой папилломы молочной железы находятся нерожавшие, курящие женщины. В меньшей степени развитию новообразований груди подвержены пациентки, имеющие детей, кормившие грудью, использующие гормональную контрацепцию.
Как правило, папиллярные цистаденомы развиваются на фоне имеющейся фиброзно-кистозной (узловой или диффузной) мастопатии. В результате мастопатии происходит локальное расширение протоков молочной железы, в которых и возникают сосочковые разрастания. У пациенток с внутрипротоковой папилломой молочной железы нередко прослеживается семейная история опухолевых поражений молочных желез злокачественной или доброкачественной природы.
Классификация
Папиллярные цистаденомы молочной железы могут развиваться в любом отделе протоковой системы - от соска до терминальных протоково-дольковых структурных единиц. На основании локализации выделяют центральные папилломы, расположенные в области ареолы, и периферические.
Интрадуктальные папилломы могут быть одиночными (солитарными) и множественными; их размеры варьируют от нескольких миллиметров до 1-2 см в диаметре. Солитарные папиллярные опухоли чаще локализуется в субареолярной области; множественные - ближе к периферии железы.
Множественным внутрипротоковым папилломам молочной железы свойственна высокая потенциальная возможность малигнизации. Как правило, из них возникает внутрикистозный или внутрипротоковый папиллярный рак молочной железы.
Симптомы внутрипротоковой папилломы
К первым клиническим признакам внутрипротоковой папилломы молочной железы относится появление обильных выделений из соска различного характера. Выделения могут быть прозрачного, беловатого, зеленоватого, бурого или кровянистого характера.
Прощупать папиллому удается тогда, когда она располагается в главном протоке. В этом случае при пальпации в области ареолы ощущается округлый узел эластической консистенции, слегка болезненный при надавливании. Сдавливание узелка сопровождается выделением из соска кровянистых капель и уменьшением опухоли. При развитии вторичного воспаления опухолевидный узел уплотняется, развивается отек окружающих тканей.
Диагностика
Распознавание внутрипротоковой папилломы молочной железы основано на клинико-рентгено-цитологических данных. Опытный маммолог может заподозрить наличие папиллярной цистаденомы уже при проведении пальпации молочных желез. Обязательным этапом диагностики служит цитологическое исследование мазка из соска молочной железы. При выявлении в анализе клеточной атипии показано более углубленное обследование и консультация маммолога-онколога. Для исключения онкопатологии выполняется исследование онкомаркера рака молочной железы СA 15 - 3.
Среди методов инструментальной верификации при внутрипротоковой папилломе применяется дуктография, УЗИ молочных желез, маммография, МРТ. С помощью дуктографии (галактографии) - рентгеноконтрастного исследования протоков папиллома определяется как дефект заполнения млечного протока. Дуктография дает точное представление о локализации и размере папиллярных разрастаний, что чрезвычайно важно при планировании оперативного лечения. Перед проведением дуктографии категорически воспрещается массировать и сдавливать грудь, сцеживать молоко.
Проведение УЗИ, маммографии и МРТ молочной железы не позволяет рассмотреть млечные протоки, но помогает дифференцировать внутрипротоковую папиллому от рака груди. Также в процессе диагностики необходимо исключить галакторею, возникающую при пролактиноме.
Поскольку внутрипротоковая папиллома относится к предраковым поражениям молочной железы, в отношении нее показана исключительно хирургическая тактика. При папиллярной цистаденоме выполняется секторальная резекция молочной железы, в ходе которой удаляются ткани с измененными протоками. Обычно операция выполняется через периареолярный разрез, что в дальнейшем не влияет на размер и форму груди и исключает необходимость проведения маммопластики. При выявлении внутрипротокового папиллярного рака показана радикальная мастэктомия.
Профилактика
Предупредить развитие внутрипротоковой папилломы молочной железы позволяет регулярное маммологическое обследование, своевременная терапия мастопатии, воспалительных и дисгормональных нарушений женской половой сферы. Для раннего обнаружения опухолевых изменений рекомендуется систематический самоконтроль, включающий пальпаторное обследование молочных желез.
Методы лечения внутрипротоковой папилломы молочной железы
Опухоль молочной железы — опасное заболевание, которое может поменять доброкачественную природу на злокачественную. Внутрипротоковая папиллома молочной железы поражает женский организм в любом возрасте, начиная с подросткового. В чем особенность проявления и развития данного заболевания, какие методы терапии применяют при лечении цистоаденопапилломы? Что провоцирует появление новообразования, и как предотвратить развитие болезни? Рассмотрим все возможные методы.

Описание болезни
Внутрипротоковая папиллома имеет и иные названия — болезнь Минца, цистаденопапиллома, цистаденома, интрадуктальная папиллярная опухоль. Это доброкачественное новообразование, поддающееся лечению при своевременной диагностике. Самостоятельно папилломы рассосаться не могут: их необходимо удалить. В запущенном случае доброкачественное новообразование может перейти в злокачественное, поэтому удаление полипов — жизненно важно для каждой женщины.
Как выглядят папилломы? Внешне они напоминают бородавки или сосочки, внутри которых находится жидкость. Располагаются полипы внутри млечных протоков, их размер от нескольких миллиметров до нескольких сантиметров. Опухоль может поразить обе груди сразу или локализоваться только в одной. Образуются наросты из клеток эпителия в любом возрасте.
В зависимости от места локализации цистаденомы бывают:
- центральные;
- периферические;
- ареолярные;
- атипические.
Центральные полипы располагаются в районе соска, периферические — поражают ткани внутри молочной железы, ареолярные локализуются в зоне ареолы. Атипические папилломы локализуются вне долек и протоков.
Центральные папиллярные цистаденомы редко принимают злокачественную форму и переходят в рак.
Самыми опасными являются периферические цистаденомы, так как поражают большую площадь молочной железы и чаще всего мутируют в злокачественную опухоль.
По форме образования наросты бывают:
Одиночные локализуются вблизи сосков, а множественные папилломы располагаются внутри молочной железы и образуют папилломатоз. Одиночная (солитарная) папиллома образует крупный нарост, размеры которого достигают двух сантиметров. Множественные папилломы не характеризуются определенной локализацией, располагаются в боковой зоне грудной железы.
В наростах могут образовываться атипические клетки, имеющие иную структуру и форму. Это явление может спровоцировать развитие папиллярного рака молочной железы.
Одиночные папилломы диагностируются у женщин после сорока лет, а множественные — у более молодых пациенток. Папилломатоз (множественные наросты) поражает обе груди сразу. Многие медики относят папилломатоз к факторам повышенного риска онкозаболевания.
Папиллярные цистаденомы не болят, это затрудняет своевременное диагностирование патологии. Женщины обращают внимание на грудь только в связи с появлением выделений непонятной природы из соска.

Толчком к развитию папиллом является гормональная перестройка организма во время переходного периода, беременности или климакса. Однако не только переходные моменты в жизни женщины могут спровоцировать рост полипов, но и гормональные сбои во время стрессовых событий. Поэтому основной причиной образования наростов внутри протоков является гормональный дисбаланс.
Причины гормональных нарушений:
- генетика;
- операционное вмешательство;
- воспалительные очаги в грудных железах;
- лечение гормональными лекарствами;
- снижение иммунной защиты;
- инфекции в организме;
- патологии эндокринной и мочеполовой системы;
- последствия мастопатии грудных желез;
- аборты и выкидыши;
- резкое прекращение грудного вскармливания;
- сахарный диабет.
Папиллярные цистаденомы молочной железы могут возникнуть как следствие гинекологических заболеваний или половых инфекций.
Причиной образования внутрипротоковых бородавок может стать вирус герпеса, вирус папилломы человека, гонококковая и хламидийная инфекция, кандидоз и микоплазмоз, уреаплазмоз и цитомегаловирус.
Вредные привычки и постоянные стрессовые обстоятельства тоже играют немаловажную роль в развитии гормональных нарушений и патологических новообразований.
Симптомы
На начальной стадии формирования нароста симптоматика не выражена. Подозрение вызывают выделения из сосков — одного или двух сразу. Выделения могут быть еле заметными и обильными, цвет жидкости — от прозрачного до темно-коричневого или кровянистого.
Гнойные выделения из сосков свидетельствуют о развитии воспалительного процесса в млечных протоках и тканях грудных желез.
При механическом повреждении грудной железы (удар, падение) из сосков может выделяться кровянистая жидкость. Такое состояние отличается наличием дополнительной симптоматики:
- гипертермия;
- опухание и покраснение груди в месте удара;
- болезненные ощущения при касании пораженного места;
- общая слабость и недомогание.
Если наросты в протоках вызваны гинекологическими заболеваниями, то появляются дополнительные симптомы: сбой менструального цикла, ПМС, неприятные выделения из влагалища.
Если образование наростов вызвано патологиями эндокринной системы, то дополнительными симптомами являются: сердцебиение, учащенный пульс, потливость, слабость, одышка и набор лишнего веса. Сбои в эндокринной системе всегда сопровождаются нарушением обменных процессов в организме.

Гинекологи рекомендуют женщинам и девушкам регулярно проходить профилактические осмотры. Обнаружить папилломы в протоках можно уже на УЗИ -обследовании. Раковые опухоли ежегодно уносят десятки жизней, поэтому не нужно дожидаться негативных симптомов — профилактически обследоваться у маммолога следует раз в год или полгода.
На приеме маммолог прощупывает молочные железы пальцами и назначает общий анализ крови и анализ на гормоны.
- общий анализ крови;
- анализ на гормоны;
- на онкомаркеры;
- анализ выделений из соска;
- биопсия.
Анализ крови на онкомаркеры позволяет выявить или исключить раковую опухоль. Цитологическое исследование выделений из соска позволяет обнаружить атипические клетки тканей. Однако самым точным анализом на злокачественность является биопсия — забор тканей папилломы для исследования.
Также маммолог отправляет на лабораторный анализ мазок содержимого из соска, чтобы исключить (или выявить) злокачественный характер новообразования. При положительном ответе на тест консультации в дальнейшем проводит маммолог-онколог.
- ультразвук;
- компьютерная томография;
- магнитно-резонансная томография;
- маммография;
- дуктография.
Последнее обследование проводят с помощью введения контрастного вещества, которое покажет локализацию папиллом в протоках. Однако пациенткам не обязательно проходить все виды инструментальной диагностики, иногда бывает достаточно одного УЗИ.
Ультразвуковое исследование показывает наличие бородавок, достигших в размерах 5 мм и более. Также УЗИ покажет состояние лимфоузлов и поможет отличить папиллому от кистозного образования.
Магнитно-резонансная томография (МРТ) помогает определять папилломы в любой стадии развития и в любом месте молочных желез — периферии и центре.
Маммография представляет собой рентген груди. Снимки показывают локализацию бородавок и их форму. Однако данная диагностика не позволяет изучить наросты изнутри, что затрудняет объективную оценку состояния молочных желез.
Дуктография представляет собой рентген с введением контрастного вещества в главный проток — через сосок. Этот метод позволяет выявить не только локализацию и форму бородавок в протоках, но и определить вероятную онкогенность. Дуктография невозможна при наличии атипических клеток.
При сложности в постановке диагноза или для уточнения используют несколько методов диагностики, если одного было недостаточно.

Самодиагностика
Можно ли самостоятельно обнаружить папилломы при пальпации? Это возможно, когда бородавки станут большими. Наиболее заметны папилломы в районе ареола вокруг соска: при нажатии из них выделяется жидкость, а сами папилломы уменьшаются в размере.
Для исследования внутреннего пространства молочных желез нужно поднять одну руку вверх, а второй аккуратно прощупать всю железу. Бородавки ощущаются как плотные образования круглой либо овальной формы. Если вам удалось обнаружить уплотнения, не затягивайте визит к маммологу.
Самодиагностику можно проводить регулярно, раз в месяц на седьмой или восьмой день после начала месячных. Однако не следует зацикливаться на осмотре грудных желез и подозревать развитие опухоли.
Также при самодиагностике важно обратить внимание на форму грудных желез и сосков, состояние кожного покрова. Нет ли там покраснений, втягивания соска или несимметричности форм? При любых подозрениях на патологию записывайтесь к врачу.
Терапия
Лечение патологии заключается в удалении внутрипротоковой папилломы молочной железы. Нарост не лечится медикаментозно или с помощью народной медицины. Лекарства и знахарские рецепты могут только помочь в восстановлении здоровья пациентки. Ни в коем случае нельзя самостоятельно лечиться: делать примочки, парить грудь или пить настои и отвары. Прогревания и компрессы могут усугубить состояние и даже спровоцировать переход доброкачественной папилломы в злокачественое образование.
Оперативное удаление папиллом является единственным методом устранения патологии.
Доктор определяет дату операции и дает пациентке рекомендации по подготовке к данной процедуре. Метод оперативного вмешательства тоже определяется лечащим врачом:
- лазер;
- электрокоагуляция;
- иссечение тканей скальпелем.
Лазерную хирургию применяют только для устранения папиллом на соске, операцию с помощью тока — на ареоле вокруг. Устранение папиллом на периферии проводят с помощью скальпеля. Иногда врач назначает эндоскопию.
При множественных папилломах показано удаление грудной железы полностью. Это исключает риск развития онкопроцесса в тканях. Вместо удаленной железы устанавливают имплант: для этого потребуется еще одно оперативное вмешательство.
При обнаружении в тканях раковых клеток пациентку направляют к онкологу. Дальнейшее лечение проводится с помощью химиотерапии и лучевой терапии.
После устранения новообразований назначается стандартная терапия:
- медикаменты;
- физиопроцедуры;
- прием витаминов;
- соблюдение диеты.
После операции возможны осложнения, поэтому пациенты находятся под наблюдением у врачей. Ежедневные перевязки и обработка лечебными растворами помогают предотвратить развитие воспалительных и инфекционных процессов. Пациенты находятся в больнице до снятия швов с грудных желез. Помимо перевязок больным назначают антибиотики, противовирусные и гормональные препараты, витамины и обезболивающие. Иногда показана гомеопатия.

Реабилитация
Восстановительный период зависит от сложности проведенной операции и общего состояния здоровья пациентки. После операции женщины находятся на стационарном наблюдении в течение недели. В это время развитие патологических процессов исключено: женщинам регулярно делают перевязки и проводят осмотр. Также пациентам оказывается психологическая помощь и поддержка, особенно, после серьезной операции и удаления большого патологического участка.
Для предотвращения развития очагов воспаления следует выполнять специальные гимнастические упражнения.
Осложнения после оперативного вмешательства могут быть из-за применения наркоза: у некоторых пациентов наблюдается непереносимость анестезирующих веществ. Однако дискомфорт проходит в течение суток или двух.
В реабилитационный период нужно корректировать гормональный фон, из-за которого и возникла патология. Если внутрипротоковые наросты появились вследствие фиброзно-кистозной мастопатии, проводят лечение данного заболевания.
Для восстановления здоровья часто рекомендуется применение народных (знахарских) рецептов. Хорошо снимает отек тканей и способствует скорейшему заживлению настой из листьев и корней лопуха. Нужно делать примочки и обертывания после согласования с лечащим доктором.
Неприятным косметическим эффектом после операции является изменение формы груди или сосков. Это требует нового вмешательства, но уже пластического хирурга.
К предупреждающим развитие папиллом методам относится регулярное обследование грудных желез — ежемесячная самодиагностика и ежегодное посещение маммолога. Женщинам после сорока лет рекомендуется регулярно проверять гормональный фон, чтобы избежать развития новообразований. Молодым женщинам часто рекомендуют принимать гормональные контрацептивы.
Не отказывайтесь от грудного вскармливания: оно предупреждает многие заболевания грудных желез и половой сферы женщины.
Если в регионе отмечен дефицит йода в почве и растениях, рекомендуется принимать йодистые препараты после согласования с врачом. Помните, что переизбыток йода также опасен, как и его недостаток.
Своевременное лечение очагов воспаления в грудных железах и организме поможет предотвратить развитие патологий в тканях. Особенно это касается мастопатий. Правильный образ жизни, соблюдение режима труда и отдыха — не голословные утверждения. Необходимо избавиться от вредных привычек, ложиться спать до полуночи и регулярно бывать на свежем воздухе. Дозированная физическая нагрузка хорошо повышает иммунитет, который помогает противостоять инфекциям и патологиям.

Внутрипротоковую папиллому называют кровоточащей молочной железой из-за кровянистых выделения из соска. Эта опухоль в большинстве случаев созревает внутри молочной железы, но иногда локализуется на соске и возле него. Образуется папиллома из тканей эпителия, выстилающих протоки изнутри. Кровянистые выделения из соска происходят из-за большого числа мелких кровеносных сосудов, образующихся в млечных протоках.
Причина хаотичного роста эпителиальных клеток — гормональный дисбаланс организма. Однако в большинстве случаев цистаденомы образуются вследствие фиброзно-кистозной или диффузной мастопатии. Это вызвано расширением протоков из-за воспалительных очагов внутри молочных желез: бородавки формируются в свободном пространстве.
Лечение папиллом проводят хирургическим путем — удалением наростов. В единичных случаях папилломы рассасываются самостоятельно без какого-либо вмешательства, но это исключение из правил. Операцию проводят под общим наркозом.

Внутрипротоковая папиллома молочной железы (болезнь Минца) - это доброкачественная опухоль, которая характеризуется локальным разрастанием эпителия, выстилающего выводящий млечный проток.
О заболевании
При протоковой папилломе пролиферируют и эпителиальные клетки, и стромальный компартмент. Эта опухоль часто развивается в области молочных синусов и терминальных протоков. По морфологическому строению эти новообразования в большинстве случаев являются цистаденопапилломами.
В некоторых папиллярных образованиях могут появиться атипические клетки, которые повышают вероятность злокачественной опухоли. Поэтому ряд исследователей относит внутрипротоковую папиллому к предраковому состоянию. С учетом этого аспекта к пациенткам с данным диагнозом применяется принцип повышенной онкологической настороженности.
Достаточно частым симптомом при внутрипротоковой папилломе являются выделения из соска. Они могут иметь разный цвет, в т.ч. серозный прозрачный (обычно на начальной стадии заболевания). Однако в большинстве случаев выделения являются кровянистыми или коричневыми. Микроскопическое исследование этого транссудата не всегда приводит к получению положительного результата. Определенную диагностическую пользу может принести ультразвуковое сканирование груди и маммография. Прицельным методом, который позволяет исследовать протоки, является дуктография.
При обнаружении внутрипротоковой папилломы показано хирургическое удаление патологически измененного очага маммарной ткани. Операция проводится для предупреждения озлокачествления папиллярных образований. После хирургического вмешательства показана противорецидивная терапия, проводимая с помощью лекарственных средств.
Папиллома внутри протока может быть центральной и периферической. Во многом от локализации и морфологических признаков этой опухоли зависят онкологические риски.
Центральная внутрипротоковая папиллома характеризуется следующими особенностями:
- образование, как правило, является одиночным - развивается в млечном синусе или крупном выводящем протоке;
- размер опухоли может варьировать в широких пределах - от нескольких миллиметров до 5 см и более в диаметре;
- обычно диагностируется в возрасте 30-50 лет;
- характеризуется наличием пальпируемого узла и выделений из соска;
- имеет низкий риск злокачественного перерождения.
Прогноз при периферической внутрипротоковой папилломе более серьезный (в сравнении с периферической папилломой), т.к. у таких пациенток риск малигнизации повышен. Особенностями этого типа опухолей являются:
- множественный рост;
- небольшие размеры образования, которые обычно не превышают 1 см;
- локализация папилломы в мелких протоках;
- развитие в молодом возрасте;
- диагностика только маммографическая (пальпаторные изменения зачастую отсутствуют).
Опасность мелких протоковых папиллом молочной железы в том, что они часто сочетаются с протоковой гиперплазией, а в клетках со временем могут развиваться атипические изменения, которые повышают вероятность рака груди.
Симптомы внутрипротоковой папилломы молочной железы чаще всего включают в себя патологические выделения из соска. По характеру эти выделения обычно являются кровянистыми или сукровичными. При центральных папилломах удается с помощью пальпации обнаружить в груди локальное образование, при периферических - этот признак отсутствует. Болевой синдром для внутрипротоковых папиллом мало характерен.
Причины папилломы молочной железы
Истинные причины папилломы молочной железы окончательно не установлены. Считается, что это дисгормональное заболевание, в основе которого лежит гиперэстрогения. В одних случаях она может быть абсолютной, когда повышен уровень эстрогенов, в других - относительной, когда к этим гормонам повышена рецепторная чувствительность, а вырабатывается их не больше, чем должно быть. В норме эстрогены стимулируют пролиферацию эпителиоцитов, выстилающих внутренние стенки протоков. При нефизиологической гиперэстрогении универсальный механизм действия этих гормонов может стимулировать образование внутрипротоковых папиллом в левой и/или правой молочной железе.
Получить консультацию
Если у Вас наблюдаются подобные симптомы, советуем записаться на прием к врачу. Своевременная консультация предупредит негативные последствия для вашего здоровья.
Узнать подробности о заболевании, цены на лечение и записаться на консультацию к специалисту Вы можете по телефону:

Почему «СМ-Клиника»?
Диагностика внутрипротоковой папилломы молочной железы - задача непростая, т.к. стандартные методы визуализации могут быть не всегда информативными. В программу комплексного обследования обычно включаются следующие тесты:
- дуктография - рентгенологическая оценка протоков железы после поступления в них контрастного вещества;
- ультразвуковое сканирование груди - зачастую папилломы располагаются поверхностно, поэтому на УЗИ они могут быть хорошо видны;
- магнитно-резонансная томография (МРТ) - этот метод исследования особенно рекомендуется пациенткам, у которых повышена мамографическая плотность, имеются установленные импланты или ранее проводились хирургические вмешательства на грудной железе (могут привести к развитию фиброзных изменений);
- цитологическое исследование мазков - в некоторых случаях в материале могут быть обнаружены атипические клетки (однако отрицательный результат микроскопии не исключает диагноз).
Мнение эксперта
Наличие выделений из соска у нелактирующей женщины всегда требует исключения не только функциональных, но и органических причин подобного состояния. Этот симптом не стоит игнорировать. Важно как можно раньше записаться на консультацию к маммологу. Врач проведет объективный осмотр и назначит расширенное обследование, которое позволит провести дифференциальную диагностику между следующими состояниями - дисгормональные нарушения, внутрипротоковые папилломы, внутрипротоковый рак, недостаточность клапанного аппарата протока, бактериальная инфекция протокового русла. В качестве скринингового обследования проводится анализ содержания в крови пролактина, выполняется ультразвуковое сканирование груди. При наличии изменений, подозрительных в отношении папилломы, проводится адресная диагностика под названием дуктография.
Учитывая то, что внутрипротоковая папиллома расценивается рядом исследователей как предраковый процесс, основным вариантом лечения является хирургическое удаление.
Консервативное лечение
Комплексное лечение внутрипротоковой папилломы предполагает не только удаление патологически измененных тканей, но и назначение консервативной терапии, которая позволит улучшить гормональное влияние на грудную железу. В некоторых случаях достаточно фитотерапии, в некоторых случаях - требуется назначение гормональной терапии с антиэстрогеновым влиянием. Такой всесторонний подход снижает частоту развития рецидива заболевания и уменьшает онкологические риски.
Хирургическое лечение
В рамках лечения внутрипротоковой папилломы молочной железы, как правило, проводится секторальная резекция с полным удалением папиллярного образования. Для его хорошей визуализации проводится интраоперационное окрашивание протоков. Доступ к патологическому участку обычно формируется вокруг соска.
Удаленный материал обязательно направляется на гистологическое исследование, проводимое в плановом порядке, т.к. не всегда предоперационная биопсия позволяет точно разграничить между собой папиллому, внутрипротоковую карциному или атипическую папиллому. Важно отметить, что после удаления внутрипротоковой папилломы молочной железы не проводится срочного гистологического исследования, как при других опухолях. Это связано с тем, что недостаток времени не позволяет морфологу адекватно подготовить материал для исследования. Поэтому окончательный диагноз устанавливается после операции и планового гистологического анализа, который часто дополняется иммуногистохимическим исследованием.
Пациенткам из группы повышенного онкологического риска в менопаузальном возрасте может проводиться превентивная мастэктомия, которая позволяет минимизировать риски рака молочной железы. После хирургического вмешательства для восстановления эстетики груди возможно эндопротезирование - установка силиконовых имплантов.
Читайте также:
- Склероз легких под действием радиации. Аккомодация альвеолярного эпителия
- Синдром Гланцманна-Заланда (Glanzmann-Saland)
- Ультраструктура животных и растительных клеток. Клеточные мембраны.
- Возбуждение нейрона. Концентрация ионов по сторонам нейрона
- Астроцитарная гамартома сетчатки: признаки, гистология, лечение, прогноз
