Волчаночный панникулит у ребенка
Добавил пользователь Евгений Кузнецов Обновлено: 31.12.2025
ФГБУ "Научно-исследовательский институт ревматологии им. В.А. Насоновой" РАМН, Москва
ФГБНУ «Научно-исследовательский институт ревматологии им. В.А.Насоновой», Москва, Россия
ФГБНУ «Научно-исследовательский институт ревматологии им. В.А. Насоновой», Москва, Россия
ФГАОУ ВО «Первый МГМУ им. И.М. Сеченова» Минздрава России, Москва, Россия
Идиопатический лобулярный панникулит: клинико-морфологические корреляции
Журнал: Архив патологии. 2019;81(3): 37‑44
Панникулит является гетерогенной группой заболеваний, характеризующихся поражением подкожной жировой клетчатки (ПЖК) и нередко протекающих с вовлечением в процесс опорно-двигательного аппарата и внутренних органов. Это хроническое полиорганное заболевание. Отмечено, что «золотым стандартом» его диагностики является морфологическое исследование. Представлена современная классификация панникулита. Цель исследования — изучение морфологических особенностей идиопатического лобулярного панникулита (ИЛП) в соответствии с характером течения и клиническими формами заболевания. Материал и методы. Изучены биоптаты 62 больных с различными клиническими формами ИЛП. Биопсийный и операционный материал изучали светооптическими морфологическими методами. Статистическую обработку результатов проводили с использованием пакета статистического анализа данных Statistica 10 для Windows («StatSoft Inc.», СШA). Различия считали статистически значимыми при уровне ошибки p
Панникулит является гетерогенной группой заболеваний, характеризующихся поражением подкожной жировой клетчатки (ПЖК) и нередко протекающих с вовлечением в процесс опорно-двигательного аппарата и внутренних органов. Диагностика панникулита является довольно трудной задачей, особенно у пациентов ревматологического профиля, так как до настоящего времени нет четких клинических, морфологических и лабораторных данных для определения этого состояния. Принципиальное значение имеет морфологическая картина. Болезнь характеризуется чередованием периодов ремиссии и обострений. Полиморфизм клинической картины панникулита создает определенные трудности в диагностике заболевания. Отсутствие четких алгоритмов обследования нередко приводит к несвоевременному распознаванию болезни, что влечет за собой неадекватную тактику лечения больных.
В 1892 г. V. Pfeiffer [1] описал спонтанный панникулит как синдром очаговой атрофии ПЖК в области молочных желез, на щеках и нижних конечностях. В 1925 г. F. Weber [2] назвал это заболевание «ненагнаивающийся узловатый панникулит», а через 3 года H. Christian [3] отметил наличие лихорадки. И лишь в 1938 г. I. Brill назвал это заболевание болезнью Пфейффера—Вебера—Крисчена [4]. Первое описание в СССР сделали Ю.В. Постнов и Л.П. Николаева [5].
Особый интерес в практике ревматолога представляет идиопатический лобулярный панникулит (ИЛП) (син.: болезнь Вебера—Крисчена, панникулит Вебера—Крисчена и т. д.), который в соответствии с Международной классификацией болезней 10-го пересмотра (МКБ-10) относится к системным поражениям соединительной ткани (М 35.6). ИЛП рассматривается как хроническое заболевание с полиорганным поражением и расценивается как клинико-морфологический вариант лобулярного панникулита с определенной клинической симптоматикой. Заболевание характеризуется быстрым развитием ограниченных подкожных, как правило, множественных узлов, расположенных в клетчатке на разной глубине с преимущественной локализацией на нижних и верхних конечностях, реже на груди и животе. Обычно в течение нескольких недель узлы рассасываются, оставляя «блюдцеобразные» западения кожи вследствие развития атрофии ПЖК. Иногда откладываются соли кальция [1, 6]. Наряду с этим выделяют клинические стадии развития узла у больных в зависимости от цвета кожи в области уплотнения: 0 - отсутствуют высыпания, I — бледно-розовый или розовый цвет, II — красный или багрово-красный и III — синюшный цвет и/или подкожное уплотнение [6].

На сегодняшний день «золотым стандартом» диагностики этого заболевания является патоморфологическое исследование, занимающее одно из центральных мест в алгоритме обследования больных. Заключение патологоанатома о локализации и вовлечении сосудов в патологический процесс, а также характере клеточного состава инфильтрата помогает клиницистам уточнить диагноз в соответствии с существующей классификацией панникулита (табл. 1)[7, Таблица 1. Классификация панникулитов 8].
Особенностями ИЛП являются развитие воспаления в дольках ПЖК, липонекроз и формирование гранулем. Изменения проходят 3 морфологические стадии: островоспалительную, липофагическую и фиброзную [9]. К сожалению, чаще всего биопсию проводят на стадии фиброза. Следовательно, патологоанатом не имеет возможности отразить в своем заключении те морфологические признаки, которые могли бы способствовать правильной диагностике. В литературе отсутствуют данные о комплементарности морфологических и клинических стадий болезни.
Цель исследования — изучить морфологические особенности ИЛП в соответствии с характером течения и клиническими формами заболевания.
Материал и методы

В исследование включены 62 больных с достоверным клиническим и морфологическим диагнозом ИЛП, из которых 6 (9,7%) имели I клиническую стадию узла, 25 (40,3%) — II и 31 (50%) — III стадию узла (рис. 1). Рис. 1. Клинические стадии уплотнения узла. а — I стадия; б — II стадия; в — III стадия.

В 64,5% случаев преобладало хроническое течение заболевания, в 21% — подострое и в 14,5% — острое. Анализ клинических проявлений позволил выделить 4 формы ИЛП: узловатую (n=28), бляшечную (n=9), инфильтративную (n=14) и мезентериальную (n=11) (рис. 2). Рис. 2. Клинические формы идиопатического лобулярного панникулита. а — узловатая; б — бляшечная; в — инфильтративная; г — мезентериальная. Наряду с появлением болезненных узлов в подкожной клетчатке заболевание характеризовалось повышением температуры тела, изменениями лабораторных острофазовых воспалительных показателей (повышенные СОЭ, СРБ и т. д.). Мезентериальную форму ИЛП ставили на основании наличия не более 5 узлов на теле, появления болей в околопупочной области, синдрома раздраженного кишечника. У 5 пациентов была проведена ПЭТ-КТ, что позволило исключить IG4-ассоциированные, лимфопролиферативные и онкологические заболевания. В исследование включен операционный материал, полученный при ранее проведенном лапароскопическом обследовании больных.
У 16 (23,88%) пациентов уплотнения были незначительно болезненными, что соответствовало III стадии узла. У 29 (43,28%) больных зафиксирована выраженная боль, которая на II стадии узла наблюдалась у всех пациентов. Оценивали суммарную площадь поражения методом «ладони» [10]. Наряду с поражением ПЖК 51 (76,11%) пациент предъявлял жалобы на слабость и 48 (71,64%) — на повышение температуры до фебрильных цифр.
Пациентам проводили обширную хирургическую биопсию узла с последующим гистологическим исследованием. Материал обрабатывали рутинными гистологическими методами. В окрашенных гематоксилином и эозином препаратах оценивали локализацию изменений, наличие липонекроза, васкулитов, характер васкулитов, клеточный состав инфильтрата, наличие фибробластов, грануляционной ткани и склероза. Статистическую обработку результатов проводили с использованием пакета статистического анализа данных Statistica 10 для Windows («StatSoft Inc.», СШA). Различия считали статистически значимыми при уровне ошибки pt-критерий Стьюдента, Z-тест для сравнения процентов, непараметрические тесты: U-тест по методу Манна—Уитни, критерий Краскела—Уоллиса.
Результаты
На первом этапе исследования оценивали наличие морфологических признаков, которые отмечали при ИЛП независимо от клинических проявлений. Гистологическая картина характеризовалась преобладанием выраженного воспаления в дольках клетчатки с множественными фокусами липонекроза. Воспалительный инфильтрат был полиморфен. Наряду с лимфоцитами, лейкоцитами и гистиоцитами присутствовали эозинофилы и гигантские многоядерные клетки. В единичных случаях отмечали формирование гранулемоподобных структур.
Кожа вовлекалась в патологический процесс умеренно. Основные изменения были связаны с наличием скудных лимфогистиоцитарных инфильтратов дермы (88,7%) и слабовыраженных деструктивных васкулитов у 37 (59,67%) больных.
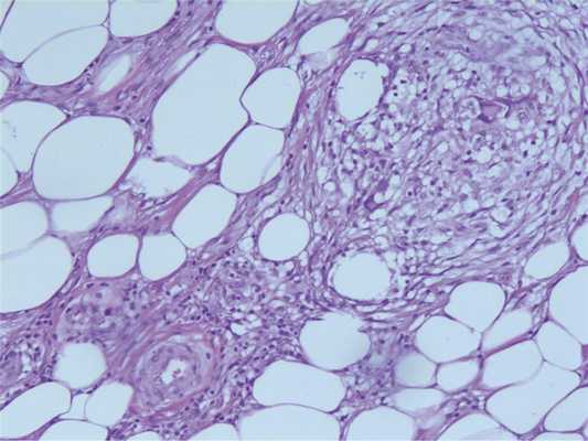
Почти у половины больных (27, 43,5%) в ПЖК на фоне воспаления выявляли липонекрозы и микрокисты (табл. 2, рис. Таблица 2. Морфологическая характеристика панникулита Примечание. ++ типичный показатель, + выявлен показатель, ± может присутствовать, — показатель не характерен. 3, а). Рис. 3. Подкожная клетчатка. а — липонекроз и образование кист, ×150; б — липофаги на фоне липонекроза, ×250; в — полиморфно-ядерные лейкоциты в инфильтрате, ×150; г — лимфоциты и эозинофилы в воспалительном инфильтрате. Вовлечение венул. Продуктивно-деструктивный васкулит, ×200. Окраска гематоксилином и эозином. Липофаги наблюдали у 26 (42%) пациентов, а гигантские многоядерные клетки — лишь у 11 (17,7%) (cм. рис. 3, б). Следует отметить преобладание лимфоцитов в инфильтрате более чем в половине случаев (42, 67,74%). Наряду с этим в 32,25% случаев были полиморфно-клеточные инфильтраты с преобладанием лейкоцитов (см. рис. 3, в). Хотя ИЛП считается лобулярным панникулитом без васкулита, было определено наличие продуктивных и продуктивно-деструктивных васкулитов у большинства пациентов (40, 64,5%) (см. рис. 3, г). Слабовыраженное вовлечение в патологический процесс септ определено в 67,74% случаев, т. е. имел место смешанный лобулярно-септальный панникулит. Описанные морфологические изменения можно было расценить как проявления острого процесса. У 14 больных обнаружены гранулемоподобные гистиоцитарные структуры в дольках подкожной клетчатки. Такие изменения укладывались в картину липофагической фазы панникулита. В единичных случаях наблюдали описанные изменения в сочетании с фокусами грануляционной ткани. При этом не отмечали выраженную фибропластическую реакцию.

На втором этапе провели анализ изменений в подкожной клетчатке в зависимости от характера течения заболевания. Из 62 больных ИЛП (в том числе у 9 с острым, у 13 с подострым и у 40 с хроническим течением болезни) у половины пациентов каждой подгруппы отмечали липонекроз (см. рис. 3, а). Следует отметить, что при подостром и остром течении преобладал полиморфно-клеточный воспалительный инфильтрат: 10 (76,92%) из 13 случаев подострого ИЛП и 8 (88,89%) из 9 случаев острого ИПЛ (см. рис. 3, в). В инфильтрате больных с хроническим течением ИЛП преимущественно присутствовали лимфоциты — у 38 (95%) из 40. В инфильтрате больных этой группы гигантские многоядерные клетки выявлены в большом количестве. Встречали гранулемы в дольках клетчатки (рис. 4). Рис. 4. Подкожная клетчатка. Гранулема, гигантские клетки. Окраска гематоксилином и эозином, ×250. Эозинофилы в инфильтратах статистически значимо выявляли у больных с хроническим течением ИЛП (χ 2 =13,43; р=0,001). Описанные изменения сопровождались развитием продуктивных васкулитов у половины пациентов этой подгруппы (21, 52,5%) (χ 2 =6,90; р=0,03). Частота формирования гранулемоподобных структур значимо не различалась в целом и в подгруппах заболевания. Независимо от характера течения ИЛП фиброз соединительнотканных септ и сосудов отсутствовал (χ 2 =5,98; р=0,05).
Таким образом, характер морфологических показателей заболевания коррелировал с клиническим течением ИЛП. Острое течение болезни характеризовалось преобладанием липонекроза и лимфолейкоцитарного воспаления в сочетании с продуктивно-деструктивными васкулитами. Это признаки островоспалительной фазы формирования узла. При хроническом течении преобладали лимфоциты и гистиоциты с гигантскими макрофагами (липофагами), а также отмечали наличие гранулемоподобных структур. Указанные морфологические изменения характерны для липофагической стадии формирования узла. В данном исследовании фибропластическую стадию панникулита не наблюдали. Вероятно, это объясняется тем, что пациенты находятся в клинике лишь в стадии обострения болезни, когда необходима дифференциальная диагностика.
Для оценки практической значимости морфологических признаков применяли статистические методы с построением графиков типа форест-плот. Сравнивали узловатую клиническую форму с бляшечной, инфильтративной и мезентериальной формами. Выявленные лимфоцитарные инфильтраты (отношение шансов (ОШ) 0,042; 95% доверительный интервал (ДИ) 0,007—0,271; р<0,005) с примесью эозинофилов (ОШ 0,306; 95% ДИ 0,065—1,428; р<0,005) явились критериальными признаками узловатой формы, тогда как полиморфно-клеточные инфильтраты (ОШ 23,750; 95% ДИ 3,689—152,885; р<0,005) с нейтрофилами (ОШ 10,800; 95% ДИ 2,095—55,666; р<0,005) с большей вероятностью свидетельствовали о бляшечной форме.
Наличие нейтрофильных лейкоцитов в инфильтратах являлось значимым фактором риска развития инфильтративной формы (ОШ 8,000; 95% ДИ 1,243—51,506; р<0,005) в отличие от узловатой.
Панникулит — это гетерогенная группа воспалительных заболеваний, характеризующихся поражением ПЖК и нередко протекающих с вовлечением в процесс опорно-двигательного аппарата и внутренних органов [6, 12]. Отсутствует единая концепция этиологии и патогенеза панникулита. Определенную роль в развитии панникулита могут играть инфекции (вирусные, бактериальные), травмы, гормональные и иммунные нарушения, прием лекарственных препаратов, заболевания поджелудочной железы, злокачественные новообразования и др. Лобулярный панникулит характеризуется патологией преимущественно долек клетчатки и может протекать с или без вовлечения сосудов в патологический процесс [13—15]. Многие авторы подчеркивают, что отсутствие васкулита является характерной особенностью ИЛП как самостоятельной нозологической формы [6, 9, 10]. Однако результаты представленного исследования показали, что продуктивно-деструктивные васкулиты, в частности венулиты, развиваются при острой и подострой форме заболевания ИЛП. При хроническом течении васкулиты могут быть продуктивными. Алгоритм диагностики этого заболевания включает морфологическую диагностику. Многие авторы отмечают, что это «золотой стандарт» диагностики заболевания [10, 12, 14, 16]. В связи с тем что изменения в узле разнообразные, фрагмент ткани должен быть большим. Это позволяет выявить весь спектр гистологических проявлений заболевания. В нашем исследовании определили, что для гистологического исследования необходим большой фрагмент воспаленного узла, т. е. должна быть проведена хирургическая эксцизионная биопсия с изучением всего доставленного для диагностики материала. Различные варианты пункционной биопсии менее травматичны, но полученные мелкие фрагменты клетчатки и цитологический материал не позволяют установить правильный диагноз. Алгоритм гистологического исследования начинался с определения локализации морфологических изменений в дольках или септах клетчатки. В случае воспаления в дольках необходимо отметить, есть ли поражение сосудов, т. е. идет ли речь о лобулярном панникулите без или с васкулитом. Таким образом определяли вид и подгруппу панникулита. Следующим этапом изучали характер инфильтрата в клетчатке. Определение клеточного состава воспалительного инфильтрата дает возможность выявить форму заболевания, а именно острую, подострую, хроническую. В медицинской литературе отсутствуют данные о корреляциях морфологических изменений в тканях при ИЛП в зависимости от характера течения. Показано, что преобладание лейкоцитов указывает на острую форму болезни. Большое количество лимфоцитов и гистиоцитов в инфильтрате характерно для подострого течения, а макрофаги, гигантские многоядерные клетки и гранулемы — для хронического течения. Полученные данные о характере инфильтрата, наличии фокусов некроза лишь частично согласуются с данными других авторов [14—18]. В представленном исследовании показано, что острое течение болезни характеризовалось преобладанием липонекроза и лимфолейкоцитарного инфильтрата в сочетании с продуктивно-деструктивными васкулитами. Это признаки островоспалительной фазы формирования узла. Морфологическая характеристика хронического течения ИЛП включает наличие лимфогистиоцитарного инфильтрата с примесью эозинофилов и гигантских многоядерных клеток долек ПЖК, продуктивных васкулитов. Это липофагическая фаза формирования узла. Гранулемоподобные структуры встречаются закономерно при ИЛП, однако они не коррелируют с характером течения ИЛП [9—11].
Результаты исследования выявили признаки, которые характеризуют различные клинические формы ИЛП — узловатую, бляшечную, инфильтративную и мезентериальную. При этом определено, какие признаки могут иметь диагностическое значение. Критериальными признаками узловатой формы болезни являются лимфоцитарные инфильтраты с примесью эозинофилов, тогда как бляшечная форма ассоциируется с полиморфно-клеточными инфильтратами с преобладанием нейтрофилов. Фактором риска развития инфильтративной формы является наличие нейтрофильных лейкоцитов в инфильтратах. Самой трудной для диагностики является мезентериальная форма ИЛП, так как основные изменения локализуются в мезентериальной клетчатке, а в ПЖК узлы формируются в небольшом количестве. Мезентериальная форма болезни характеризуется сочетанием полиморфно-клеточных инфильтратов с примесью нейтрофилов и эозинофилов на фоне минимальной выраженности воспаления долек. При этом характерно незначительное увеличение указанных клеток по сравнению со средними значениями.
Таким образом, для диагностики ИЛП необходима гистологическая верификация заболевания. Алгоритм исследования должен начинаться с определения преимущественного поражения долек или септ, характера поражения сосудов, а также качественного состава воспалительного инфильтрата. Такой подход способствует достоверной диагностике ИЛП (панникулит Вебера—Крисчена), определению характера течения, формы заболевания. Особенно важно выявить мезентериальную форму заболевания на основании изучения характера воспаления и клеточного состава подкожного узла.
Волчаночный панникулит у ребенка
Саратовский государственный медицинский университет
Описаны этиология, патогенез, классификация, клинические и патоморфологические критерии диагностики относительно редкой формы красной волчанки, принципы терапии. Приведен случай собственного наблюдения.
Цель данной работы заключается в напоминании практикующим врачам о редкой форме красной волчанки, этиологии, патогенезе, ее месте в классификации этого заболевания, клинической и патоморфологической картине, принципах диагностики и лечения.
Определение, история. Красная волчанка (КВ; lupus erythеmatodes, эритематоз, рубцующийся эритематоз) — аутоиммунное заболевание из группы диффузных болезней соединительной ткани.
В 1851 г. П. Казенав впервые описал «малоизвестную кожную болезнь», проявляющуюся покраснением и увеличенным ороговением кожи лица, назвав ее эритематозной волчанкой. До него подобное заболевание описывали ряд авторов под другими названиями (Bateman Т., 1817; Rayer P.-F.-O.,1827; Biett L.-T., 1828; Fuchs E., 1840; Hebra F.-R., 1845).
Системную КВ впервые описал венгерский дерматолог M.K. Kaposi, руководитель Венской дерматологической клиники в 1872 г. Им же несколько позднее (1883 г.) была впервые описана глубокая КВ. В 1940 г. C. Ирганг вновь привлек внимание к этой редкой клинической форме заболевания (1 — 10 — 15% всех случаев КВ). С учетом поражения подкожно-жировой клетчатки при этой форме заболевания глубокая КВ еще называется «волчаночный панникулит» (ВП) [1, 2]. По данным одних авторов, ВП чаще сочетается с системной КВ, по сведениям других — с дискоидной и по современной классификации входит в группу хронической кожной КВ [2—4].
Этиология и патогенез. Причина заболевания до конца не выяснена. Параэтиологическими факторами могут быть инфекционные (вирусные, бактериальные), гормональные, иммунные, экологические, солнечная инсоляция, прием определенных лекарственных препаратов, генетическая предрасположенность. В результате воздействия этих предполагаемых причин образуются аутоантитела, направленные против различных нуклеопротеиновых антигенов, т.е. это аутоиммунная полиспецифическая патология, в основе патогенеза которой лежит поликлональная активация В-лимфоцитов [4].
Различают кожную (100% высыпания на коже) и системную (поражение кожи у 70 — 85% больных) формы заболевания [3, 4]. Поражение кожи при КВ может иметь как специфический, так и неспецифический характер [4]. ВП входит в группу хронической кожной КВ и имеет определенные патоморфологические черты [4].
Патоморфология. Для дискоидной КВ характерны гиперкератоз, атрофия эпидермиса, роговые пробки в устьях волосяных фолликулов (фолликулярный гиперкератоз), вакуольная дистрофия базальных клеток эпидермиса, отек дермы, расширение мелких сосудов, воспалительные инфильтраты из лимфоцитов и гистиоцитов вокруг волосяных фолликулов и других придатков кожи, утолщение базальной мембраны эпидермиса.
При глубокой КВ имеются явления неспецифического панникулита с наличием в подкожной клетчатке инфильтратов, состоящих из лимфоидных клеток, гистиоцитов, плазмоцидов. Часто отмечаются фибриноидные изменения, некробиоз с последующим гиалинозом коллагеновых волокон. Иногда выявляются васкулиты с инфильтрацией стенок сосудов лимфоцитами [2].
Клиническая картина. Определяется глубокими узлами или плоскими инфильтратами, которые легче выявляются при пальпации; кожа над ними нередко кажется нормальной. Над узлами могут быть эритема, гиперпигментация, телеангиэктазии или типичные для дискоидной КВ бляшки. Возможно изъязвление узлов и бляшек с последующим образованием рубцов. Чаще, по мере разрешения узлов, остаются глубокие вдавления, липоатрофия. При пальпации узлы плотные, нередко болезненные. Элементы располагаются на лице, реже на шее, конечностях, волосистой части головы, груди, ягодицах, бедрах [1,4].
Течение. Поражение существует длительно, динамика клинических изменений происходит медленно. Нередко узлы сочетаются с типичными проявлениями дискоидной КВ.
Прогноз. Для жизни благоприятный, что касается косметического аспекта, то при локализации на лице прогноз неутешительный.
У 50% больных имеются слабо выраженные системные изменения. Титр антинуклеарных антител редко превышает 1:16. Клетки КВ находят непостоянно.
Диагностика. Основывается на жалобах (узлы, нередко болезненные), анамнезе (длительное течение), клинической картине, сочетании с дискоидной или реже системной КВ, результатах лабораторных и патоморфологических исследований.
Дифференциальный диагноз. ВП нужно дифференцировать от ряда заболеваний, поражающих подкожную клетчатку: спонтанного панникулита Вебера—Крисчена, ферментативного панникулита, узловатых ангиитов, скрофулодермы, туберкулезной волчанки (опухолевая форма), саркоидоза, глубокой формы ограниченной склеродермии.
Лечение. Препаратами выбора в лечении дискоидной и глубокой КВ являются производные хинолинового ряда в сочетании с местными кортикостероидными мазями. В тяжелых случаях, при наличии признаков системности, назначают глюкокортикоидные, цитостатические и иммуносупрессивные препараты внутрь или парентерально. Используют нестероидные противовоспалительные средства. Обсуждаются альтернативные и экспериментальные методы лечения (талидомид, ретиноиды, дапсон, лазерная терапия) [5, 6].
Приводим собственное клиническое наблюдение.
Больная С., 28 лет, продолжительность болезни 13 лет. Заболела в возрасте 15 лет. Начало заболевания ни с чем не связывает, но в детстве отмечались частые ангины. На щеках и шее появились узлы, которые были слегка болезненны лишь при пальпации. Кожа над ними приобрела розово-синюшный, а затем бурый цвет с белым оттенком в центре. Узлы постепенно увеличивались, а затем разрешились, оставив глубокие, втянутые рубцы. Течение болезни торпидное, обострения наступают весной — очаги по периферии становятся ярче. В центре рубцов или по их периферии появляется шелушение, чешуйки отделяются с трудом, беспокоят боль и чувство жжения. В последние 2—3 года возникли багрово-красные полосы. Весной прошлого года в области левого плеча отметила очаги красноты и шелушения. Наблюдалась постоянно у дерматолога и ревматолога по месту жительства, обследовалась в терапевтических стационарах, в областном кожно-венерологическом диспансере. Признаков системности заболевания не обнаруживалось. Эпизодически находили в крови LE-клетки (клетки КВ).
В 16-летнем возрасте была консультирована в ЦНИКВИ. По заключению патоморфолога имеются явления неспецифического панникулита с наличием инфильтратов из лимфоидных клеток, гистиоцитов, плазмоцитов, фибриноидные изменения, васкулиты. Патоморфологическая картина не противоречит клиническому диагнозу глубокой КВ.
Лечилась в стационаре детской больницы №2 г. Энгельс Саратовской области, в дерматологическом стационаре ОКВД. Получала делагил, системные глюкокортикостероиды в суточной дозе 30—40 мг, в течение 2 лет была на поддерживающей дозе 5—10 мг/сут преднизолона. В последние 3 года преднизолон не принимала.
08.12.2008 больная направлена на стационарное лечение в клинику кожных болезней СГМУ им. В.И. Разумовского.

Объективно: поражение кожи многоочаговое с локализацией в области лица, шеи, левого плеча. На щеках практически симметрично (на правой щеке очаг меньших размеров и больше сдвинут к ушной раковине) имеются обширные участки неравномерно глубокой рубцовой атрофии причудливо-неправильной формы с четкими границами. Обращает внимание пестрота окраски очагов — от белого до багрово-красного и бурого цвета. На фоне очагов багрово-красного цвета видны множественные телеангиэктазии. При пальпации очаги безболезненны, неравномерной плотности (более плотные в центре). В области подбородка и шеи слева, вблизи основного очага имеются атрофические рубцы (участки липоатрофии) неправильно округлой формы, глубиной 0,3—0,5 см, кожа над которыми практически нормального цвета, мягкие на ощупь (см. рисунок, а, б). Рисунок 1. Рубцы и участки липоатрофии в области щек и шеи (а, б) и очаги дискоидной красной волчанки (в) у больной волчаночным панникулитом.
В средней трети левого плеча, на разгибательной поверхности, имеются 3 очага неправильно округлой формы диаметром от 0,7—1,0 до 2,5 см, в центре которых рубцовая атрофия белого цвета с шелушением (чешуйки снимаются с трудом, положителен симптом Бенье—Мещерского и «дамского каблучка»). По периферии — эритема с багровым оттенком (см. рисунок, в).
Общее состояние удовлетворительное. Больная обследована фтизиатром. Рентгенография легких, результат реакции Манту, иммуноферментный анализ по определению антител к микобактериям человеческого вида позволили полностью исключить туберкулезное происхождение поражения кожи. Общие и биохимические анализы крови, мочи, УЗИ печени, поджелудочной железы, почек, ЭКГ, осмотр гинекологом, а также определение титра антинуклеарного фактора сыворотки крови и LE-клеток в препаратах периферической крови позволили исключить системность процесса.
Больной были назначены плаквенил в дозе 200 мг и 8 мг метипреда (2 таблетки утром), наружно — крем элоком и фотозащитные средства. Через 3 нед от начала лечения отмечена положительная динамика в области очагов поражения в средней трети левого плеча: исчез венчик эритемы, уменьшилось шелушение. Рубцы, телеангиэктазии, участки липоатрофии на лице и шее остаются без изменений.
В марте 2010 г. пациентка вызвана на консультацию в клинику. В течение последнего года новые очаги не выявлены. Очаги дискоидной КВ разрешились с образованием рубцовой атрофии. Получает очередной курс лечения (преднизолон 30 мг/сут, делагил, топические кортикостероиды на ночь) в ОКВД.
Таким образом, данное наблюдение редкой формы КВ, ее варианта — Капоши—Ирганга, или ВП, интересно ранним началом заболевания, длительным и доброкачественным течением (отсутствием признаков системности), сочетанием и более поздним появлением типичных дискоидных очагов и наличием выраженных телеангиэктазий на рубцах, сочетающихся с липоатрофией.
ГКБ №14 им. В.Г. Короленко Департамента здравоохранения Москвы
Московский научно-практический центр дерматологии и косметологии Департамента здравоохранения Москвы, Москва, Россия, 119071
Городская клиническая больница №14 им. В.Г. Короленко Департамента здравоохранения Москвы
Московский научно-практический центр дерматовенерологии и косметологии, филиал «Клиника им. В.Г. Короленко» Департамента здравоохранения Москвы, Москва, Россия, 119071
Дискоидная красная волчанка у девочки 2 лет
Журнал: Клиническая дерматология и венерология. 2017;16(2): 19‑23
Представлено описание клинического случая дискоидной красной волчанки у 2-летней девочки. Данная нозология встречается редко в детском возрасте. Ранняя диагностика и адекватная терапия улучшают прогноз заболевания.
Красная волчанка (КВ) — понятие, включающее системную красную волчанку (СКВ) и кожную форму волчанки, в которой выделяют четыре формы: дискоидную красную волчанку (ДКВ), диссеминированную КВ, центробежную эритему Биетта и глубокую форму Ирганта—Капоши [1—4]. Эта аутоиммунная болезнь соединительной ткани не имеет окончательно установленную этиологию. Ее возникновение связывают с патологией иммунных комплексов [5—7]. Патогенетическую значимость при КВ имеют также наследственная предрасположенность, инсоляция, стрессы, переохлаждение, инфекции, применение антибиотиков и сульфанил-амидов, вакцинация [2, 4, 6, 7]. Существующая патогенетическая близость между дискоидной и системной формами красной волчанки объясняет переход в 1—5% случаев ДКВ в СКВ [5].
КВ редко встречается у детей и чаще наблюдается у лиц женского пола [2—5]. У детей ДКВ встречается в разные возрастные периоды: от новорожденного и раннего детского возраста до наступления пубертатного периода. Врожденная красная волчанка (ВКВ) как редкий синдром может встречаться у младенцев, матери которых имеют в сыворотке крови аутоантитела к ядерным антигенам. Эти антитела проникают через плаценту и реагируют с кожей и миокардом младенца. Антитела в сыворотке ребенка преходящие и определяются на 6—9-м месяце жизни [8]. Характерными кожными проявлениями при ВКВ являются округлые или кольцевидные эритематозные бляшки с более частой локализацией на лице и туловище. Высыпания чаще появляются вскоре после рождения [6, 9, 10]. Изменения кожи разрешаются спонтанно, обычно в первые месяцы жизни. Часто при ВКВ отмечается поражение сердечно-сосудистой системы, чаще в виде врожденной атриовентрикулярной блокады при наличии или отсутствии врожденного порока сердца. В редких случаях могут наблюдаться анемия, тромбоцитопения и/или поражение печени [7].
В связи с редкой встречаемостью ДКВ у детей и поздним распознаванием классической волчаночной эритемы лица как симптома КВ, часто диагноз ДКВ устанавливают спустя несколько месяцев и даже лет после начала заболевания [1]. Обычно ДКВ начинается с беспорядочных высыпаний на открытых участках кожного покрова, чаще на лице. Появляющаяся эритема отечная, ярко-розовая с ливидным оттенком, округлой, овальной или полициклической формы, имеет четкие контуры; размер в диаметре около 10 мм. Эффлоресценции склонны к периферическому росту и слиянию, слегка шелушатся. В дальнейшем при прогрессировании патологического процесса эритематозная стадия переходит в инфильтративно-гиперкератотическую. При этом формируются инфильтративные бляшки, которые покрываются корко-чешуйками, развивается фолликулярный кератоз. В поздней атрофической стадии в центре дискоидных очагов развивается рубцовая атрофия, а по их краям сохраняются уп-лотнение, инфильтративная эритема и гиперкератоз. Вокруг очагов могут появляться телеангиэктазии, пойкилодермия [2, 4].
Лечение КВ — сложная задача [2, 7]. Первостепенную роль играют хинолиновые препараты (делагил, плаквенил), которые назначают 5-дневными циклами с 3-дневными перерывами (в возрастных дозах). Часто их назначению предшествует иммунокоррекция с одновременным приемом витаминов В2, В5, В6, В12, А, Е, РР, фолиевой и пантотеновой кислот. Наружно назначают кремы и мази, содержащие глюкокортикостероиды [2, 4].
Профилактика и реабилитация данного дерматоза включают санацию очагов хронической инфекции, ограничение пребывания на солнце, показано применение фотозащитных средств. С середины февраля до начала марта рекомендуется поддерживающее лечение делагилом или плаквенилом (по ½ или 1/3 суточной дозы препарата), а также никотиновая кислота с целью предупреждения обострения. В осенне-зимний и весенний периоды назначают витаминные комплексы. Прогноз ДКВ относительно благоприятный для жизни и излечения при раннем распознавании, адекватной терапии и рациональном ведении больных, стойкая ремиссия наступает примерно у половины пациентов [2, 5, 7].
Клинический случай
У наблюдаемой нами 2-летней пациентки первые высыпания появились на лице весной. Мама ребенка связывала их с укусами комаров. Применяемые самостоятельно наружные средства (фенистил гель и бепантен крем) не оказали эффекта. Продолжавшееся в дальнейшем амбулаторное лечение у дерматолога по месту регистрации этого дерматоза, но уже как аллергического дерматита, фуцидином и акридермом оставалось безуспешным. Микоз гладкой кожи был исключен отрицательными результатам микроскопии и отсутствием свечения сыпи в лучах лампы Вуда, а также отрицательными результатами культурального исследования. Применение пимафукорта уменьшило эритему в очагах.
Пациентка вскоре после заболевания была консультирована в филиале «Центр детской дерматологии и косметологии». Локальный статус: эритематозные отечные пятна располагались на лице. Они были мелкими дискретными, диаметром 1—4 мм, в небольшом количестве, на левой щеке сливались в бляшку. Зуд отсутствовал (рис. 1). С диагнозом дискоидная красная волчанка пациентка была направлена на консультацию к ревматологу для исключения системности процесса и на стационарное лечение в филиал «Клиника им. В.Г. Короленко», однако вместо этого мама увезла девочку на море. Отдых негативно отразился на состоянии кожного процесса, высыпаний стало больше, они увеличились в размере (рис. 2).

Рис. 1. Высыпания ДКВ на первичном приеме.

Рис. 2. Высыпания ДКВ у девочки после отдыха на море.
В детское стационарное отделение филиала «Клиника им. В.Г. Короленко» ребенок поступил в октябре 2015 г. с диагнозом: дискоидная красная волчанка. Кожный процесс был представлен отечными эритематозными пятнами и четко контурированными бляшками диаметром до 5 см, располагающимися на лице (щеки, нос).
Результаты клинико-лабораторного обследования
Динамика показателей клинического анализа крови представлена в табл. 1.
Таблица 1. Результаты клинического анализа крови Примечание. Эр. — эритроциты; Нb — гемоглобин; Нct — гематокрит; тромб. — тромбоциты; лейк. — лейкоциты; п/я — палочкоядерные; с/я — сегментоядерные; эоз. — эозинофилы; баз. — базофилы; лимф. — лимфоциты; мон. — моноциты; СОЭ — скорость оседания эритроцитов.
В клиническом анализе мочи: цвет соломенно-желтый, прозрачность полная, относительная плотность 1015, реакция кислая (рН 5,5); белок не обнаружен, глюкоза в норме, уробилиноиды в норме; эпителий — плоский 2—3 в поле зрения, переходный 4—6 в поле зрения; лейкоциты 1—2—3 в поле зрения; эритроцитов нет, соли и бактерии отсутствуют, слизи нет.
Результаты биохимического анализа крови представлены в табл. 2.

Таблица 2. Результаты биохимического анализа крови
Содержание антител класса IgG к двухцепочечной ДНК методом иммуноферментного анализа в сыворотке крови Anti-dsDNA-NcX IgG 2,28 МЕ/мл (референтный интервал не более 100 МЕ/мл).
Определение аутоантител класса IgG к ядерным антигенам методом иммуноблотинга в сыворотке крови — обнаружены SS-A.
Результаты соскоба на энтеробиоз и анализа кала на простейших и яйца гельминтов отрицательные.
Консультации специалистов: педиатр: острой соматической патологии не выявил. В анамнезе отметил функциональное нарушение желудочно-кишечного тракта; эндокринолог: патологии не обнаружил; ревматолог: убедительных клинико-лабораторных данных за СКВ не обнаружил. Результаты анализа на LE-клетки отрицательные.
Проведено лечение: 10% раствор глюконата кальция по 2,0 внутримышечно ежедневно в течение 10 дней, хлорапирамин по 0,2 внутримышечно на ночь (курс 10 инъекций), хлорапирамин (25 мг) по ¼ таблетки 2 раза в день в течение 10 дней, хлорохин (делагил) 125 мг/сут. Наружно крем локоид.
При выписке отмечалось улучшение кожного процесса: эритема, инфильтрация в очагах уменьшилась.
Рекомендовано динамическое наблюдение дерматолога и ревматолога-педиатра по месту регистрации. Контроль лабораторных показателей: клинического анализа крови, общего анализа мочи, биохимического анализа крови (аминотрансферазы, креатинин, мочевина, мочевая кислота, С-реактивный белок, антистрептолизин-О, антинуклеарный фактор, антитела к одно- и двухспиральной ДНК, антинуклеарные антитела, антитела к кардиолипинам, к фосфолипидам).
Трудности раннего распознавания ДКВ у детей (особенно раннего возраста) обусловлены редкой встречаемостью этого дерматоза и особенностями его клинического проявления. Патологический процесс носит поверхностный характер, гиперкератоз и рубцовая атрофия часто отсутствуют. В связи с этим представленное наблюдение заслуживает внимания клиницистов, так как ранняя диагностика и адекватное лечение благоприятно отражаются на прогнозе заболевания.
Панникулит
Панникулит — прогрессирующее поражение подкожной жировой клетчатки воспалительного характера, приводящее к разрушению жировых клеток и замещению их соединительной тканью с образованием узлов, бляшек или инфильтратов. При висцеральной форме панникулита происходит поражение жировых клеток печени, поджелудочной железы, почек, жировой клетчатки сальника или забрюшинной области. Диагностика заболевания основана на клинике и данных гистологического исследования. Лечение панникулита зависит от его формы.
Общие сведения
Примерно половина случаев панникулита приходится на спонтанную (идиопатическую) форму заболевания, которая чаще встречается у женщин в возрасте от 20 до 50 лет. Остальные 50% — это случаи вторичного панникулита, развивающегося на фоне системных и кожных заболеваний, иммунологических нарушений, действия различных провоцирующих факторов (холод, некоторые медикаменты). Известно, что в основе развития панникулита лежит нарушение перекисного окисления жиров. Но, несмотря на многочисленные исследования в области этиологии и патогенеза этого заболевания, дерматология до сих пор не имеет четкого представления о механизме его возникновения.
Классификация панникулита
В классификации панникулита выделяют первичную или спонтанную форму заболевания (панникулит Вебера-Крисчена) и вторичную. К вторичному панникулиту относятся:
- иммунологический — нередко наблюдается на фоне системных васкулитов, у детей может быть вариантом течения узловатой эритемы;
- волчаночный (люпус-панникулит) — развивается при глубокой форме системной красной волчанки, характеризуется сочетанием симптомов панникулита с кожными проявлениями, типичными для дискоидной волчанки;
- ферментативный — связан с воздействием панкреатических ферментов, уровень которых в крови повышается при панкреатите;
- пролиферативно-клеточный — возникает при лейкемии, лимфоме, гистиоцитозе и др.
- холодовой — локальная форма панникулита, развивающаяся в ответ на сильное холодовое воздействие, проявляется плотными розовыми узлами, которые проходят в течение 2-3 недель;
- стероидный — может возникать у детей в течение 1-2 недель после окончания общего лечения кортикостероидами, характеризуется самопроизвольным излечением и не требует терапии;
- искусственный — связан с введением некоторых медикаментозных препаратов;
- кристаллический — развивается при подагре и почечной недостаточности в связи с отложением в подкожной клетчатке уратов и кальцификатов, а также при отложении кристаллов после инъекций пентазоцина или менеридина;
- панникулит, связанный с дефицитом α1-антитрипсина (ингибитора α-протеазы), — наследственное заболевание, сопровождающееся системными проявлениями: васкулитами, геморрагиями, панкреатитом, гепатитом, нефритом.
По форме образующихся при панникулите узлов различают узловой, инфильтративный и бляшечный варианты заболевания.
Симптомы панникулита
Основным проявлением спонтанного панникулита являются узловые образования, расположенные в подкожно-жировой клетчатке на различной глубине. Чаще всего они появляются на ногах и руках, реже — в области живота, груди или на лице. После разрешения узлов панникулита остаются очаги атрофии жировой клетчатки, которые выглядят как округлые участки западения кожи.
Узловой вариант панникулита характеризуется появлением в подкожной клетчатке типичных отдельно расположенных узлов размером от 3-4 мм до 5 см. Кожа над узлами может иметь окраску от обычной до ярко-розовой.
Бляшечный вариант панникулита представляет собой отдельные скопления узлов, которые, срастаясь, образуют бугристые конгломераты. Цвет кожи над такими образованиями бывает розовый, бардовый или бардово-синюшний. В некоторых случаях конгломераты узлов распространяются на всю клетчатку голени, плеча или бедра, сдавливая при этом сосудистые и нервные пучки, что обуславливает выраженную болезненность и отек конечности, приводит к лимфостазу.
Инфильтративный вариант панникулита протекает с расплавлением узлов или их конгломератов. При этом в области узла или бляшки, как правило, ярко красного или бардового оттенка, появляется флюктуация, типичная для абсцесса или флегмоны. Однако при вскрытии узлов из них выходит не гной, а маслянистая масса желтого цвета. На месте вскрывшегося узла образуется длительно не заживающее изъязвление.
Смешанный вариант панникулита — встречается редко и представляет собой переход узловой формы в бляшечную, а затем в инфильтративную.
Изменения со стороны подкожной жировой клетчатки в случае спонтанного панникулита могут не сопровождаться нарушением общего состояния пациента. Но чаще в начале заболевания наблюдается симптоматика, схожая с проявлениями острых инфекций (ОРВИ, гриппа, кори, краснухи и др): головная боль, общая слабость, повышение температуры, артралгии, боли в мышцах, тошнота.
Висцеральная форма панникулита характеризуется системным поражением жировых клеток по всему организму с развитием панкреатита, гепатита, нефрита, образованием характерных узлов в забрюшинной клетчатке и сальнике.
По своему течению панникулит может быть острым, подострым и рецидивирующим, длиться от 2-3 недель до нескольких лет. Острая форма панникулита характеризуется выраженным изменением общего состояния с высокой температурой, миалгиями, болями в суставах, нарушением функции почек и печени. Несмотря на проводимое лечение, состояние пациента прогрессивно ухудшается, изредка бывают непродолжительные ремиссии, но в течение года заболевание заканчивается летальным исходом.
Подострое течение панникулита более сглаженное. Для него типично нарушение общего состояния, лихорадка, изменения функциональных проб печени, резистентность к проводимому лечению. Наиболее благоприятно рецидивирующее или хроническое течение панникулита. При этом рецидивы заболевания протекают не тяжело, часто без изменения общего самочувствия и чередуются с длительными ремиссиями.
Диагностика панникулита
Диагностику панникулита дерматолог проводит совместно с ревматологом, нефрологом и гастроэнтерологом. Пациенту назначают биохимический анализ крови и мочи, печеночные пробы, исследование панкреатических ферментов, пробу Реберга. Выявление узлов висцерального панникулита осуществляют с помощью УЗИ органов брюшной полости, УЗИ почек. поджелудочной железы и УЗИ печени. Посев крови на стерильность позволяет исключить септический характер заболевания. Для дифференцировки инфильтративного варианта панникулита от абсцесса проводят бактериологическое исследование отделяемого вскрывшегося узла.
Точный диагноз панникулита устанавливают по результатам биопсии узла. При гистологическом исследовании выявляют воспалительную инфильтрацию, некроз жировых клеток и их замещение соединительной тканью. Диагностика волчаночного панникулита основана на данных иммунологических исследований: определение антинуклеарного фактора, антител к ds-ДНК, комплемента С3 и С4, антител к SS-A и др.
Дифференциальную диагностику панникулита проводят с узловатой эритемой, липомой, олеогранулемой, инсулиновой липодистрофией при сахарном диабете, актиномикозом, индуративным туберкулезом.
Лечение панникулита
Терапия панникулита проводится комплексно в зависимости от его формы и течения. Для лечения узлового панникулита с хроническим течением назначают нестероидные противовоспалительные (напроксен, диклофенак) и антиоксиданты (витамин Е, аскорбиновая кислота), проводят обкалывание единичных узловых образований глюкокортикоидами. Эффективны физиопроцедуры: УВЧ, фонофорез гидрокортизона, магнитотерапия, озокерит, ультразвук, лазеротерапия.
При бляшечной и инфильтративной форме, подостром течении панникулита применяют глюкокортикостероиды (гидрокортизон, преднизолон) и цитостатики (циклофосфан, метотрексат). Для улучшения функции печени целесообразно назначение гепатопротекторов. Лечение вторичных форм панникулита обязательно включает терапию фонового заболевания: панкреатита, СКВ, васкулита, подагры.
Интегументная красная волчанка
Интегументная красная волчанка - разновидность эритематоза с кожными проявлениями и фоточувствительностью. Клинически характеризуется высыпанием пятен с дальнейшей трансформацией в атрофическое рубцевание через стадию гиперкератоза. Провоцирующим фактором является инсоляция. Диагностируют интегументную форму заболевания на основании анамнеза и типичной клинической картины. Для подтверждения диагноза используют микроскопию соскоба с элемента, гистологию, иммунологическое тестирование крови. Терапия включает коррекцию сопутствующей патологии, комплекс противовоспалительных средств, витаминотерапию. Пациенты нуждаются в пожизненном врачебном наблюдении.
Интегументная красная волчанка - локальная разновидность поражения кожи при системном коллагенозе (СКВ), известна дерматологам более века. В 1828 году французский врач Биетт описал её под видом центробежной эритемы, но опубликовал эти сведения его ученик Казенава в 1833 году. Австрийский дерматолог Гебра в 1845 году отметил, что большинство конгестивных (застойных) дерматозов на лице имеют форму «бабочки», а в 1851 году Казенава предложил ввести в обиход термин «lupus erythematosus» - «красная волчанка» для разграничения туберкулёза кожи и проявлений коллагеноза. Своё название патология получила из-за того, что высыпания на коже, по мнению специалистов, напоминали укусы голодных волков.
В 1872 году венгерский дерматолог Капоши связал кожные высыпания с поражениями внутренних органов, разделив все проявления СКВ на дискоидные и диссеминированные. В последующие 20 лет (с 1875 по 1895 годы) один за другим дерматологи Капоши, Хатчинсон и Ослер предложили теории этиопатогенеза интегументной красной волчанки, указав на инсоляцию в качестве основной причины развития патологии. Актуальность проблемы обусловлена способностью поражения кожи трансформироваться в системную разновидность коллагеноза с возможностью летального исхода.
Причины интегументной красной волчанки
Причины возникновения патологического процесса до конца не изучены. Триггером интегументной красной волчанки дерматологии считают вирус. Косвенно это доказывает нахождение в соскобах с поражённой кожи образований, содержавших вирусоподобное ДНК. Провоцирующими моментами называют очаги фокальной инфекции, гиперинсоляцию, перепады температуры, травматизацию кожи, нерациональный приём медикаментов. Некоторые дерматологи рассматривают интегументную красную волчанку как семейную патологию (более чем в 1% случаев отмечается наличие этого заболевания в семейном анамнезе). Выявлен даже ген наследственной предрасположенности - HLA BD/DR, способный спровоцировать болезнь, однако достоверные подтверждения этой теории пока отсутствуют. Признанным механизмом развития интегументной красной волчанки сегодня считается аутоиммунный. В ответ на внедрение в кожу повреждающего антигена активируется иммунная система организма. Отличительной особенностью иммунного ответа при интегументной красной волчанке является его аутоиммунный характер.
По неясным до конца причинам часть чужеродных антигенов внедряется в структуры соединительной ткани, вызывая выработку особенных аутоантител, сенсибилизируя дерму. Аутоантитела в большинстве своём антинуклеарные, ассоциированные с нуклеиновыми кислотами и белками в ядре клеток, что используется для точной диагностики интегументной красной волчанки. Параллельно происходит повреждение кератиноцитов и лимфоцитов, продуцирующих биологически активные медиаторы воспаления, образуются циркулирующие иммунные комплексы. Они повреждают мембраны клеток кожи, усиливая воспаление. Нарушается клеточный иммунитет, отмечается диспропорция между Т и В лимфоцитами. Количество Т-киллеров и Т-супрессоров уменьшается, популяция В-лимфоцитов стремительно увеличивается. В крови появляется иммуноглобулин LE, а вслед за ним LE-клетки, специфичные для патологии. На коже возникает ярко-розовая эритематозная сыпь.
Классификация интегументной красной волчанки
Чаще всего кожный эритематоз делят на несколько вариантов по характеру первичных элементов. Различают:
1. Дискоидный эритематоз - наиболее распространённый вид интегументной красной волчанки, характеризующийся локальными изменениями на коже, ассоциированностью с климатическими условиями. К нему относятся:
- эритематозная форма, отличительной чертой которой является высыпание бледно-розовых пятен на фоне отёчной кожи с тенденцией к периферическому росту;
- инфильтративная (гиперкератотическая) форма, проявляющаяся образованием шелушащихся очагов инфильтрации и гиперкератоза с положительным феноменом Мещерского;
- атрофическая форма, характеризующаяся центральной алебастровой дистрофией с образованием рубца.
2. Центробежную эритему Биетта, которая проявляется образованием поверхностного яркого пятна на коже лица.
3. Диссеминированный эритематоз, отличительной чертой которого является множественность очагов с тенденцией к распространению по всему покрову кожи.
4. Эритематоз Капоши-Ирганга - самую редкую глубокую разновидность интегументной красной волчанки, характеризующуюся образованием специфических подвижных образований (люпус-панникулитов) и лишенную возможности к трансформации в системный процесс.
В настоящее время в дерматологии существует ещё одна классификация интегументной красной волчанки. По атипичным клиническим проявлениям выделяют:
- Пигментную интегументную красную волчанку, при которой вокруг образовавшегося очага возникают бурые эритемы.
- Гиперкератотическую интегументную красную волчанку с обильным («известковым») шелушением.
- Опухолевую интегументную красную волчанку, при которой в очаге гиперкератоза появляются лиловые отёчные бляшки.
- Себорейную интегументную красную волчанку, характеризующуюся возникновением первичных элементов на фоне себорейного поражения кожи.
- Мутилирующую интегументную красную волчанку, при которой происходит атрофическое «растворение» соединительной ткани кончика носа и ушной раковины.
- Пемфигоидную интегументную красную волчанку, характеризующуюся образованием булл в очагах воспаления.
Симптомы интегументной красной волчанки
Дебютирует эритематоз высыпаниями розовых пятен с чёткими границами на фоне слегка отечной дермы. Почти сразу в центре эритем появляются белесые чешуйки с шипами на внутренней стороне, врастающими в волосяные фолликулы и создающими явления гиперкератоза. Попытка убрать чешуйки вызывает болевые ощущения (симптом Мещерского). Со временем с центра начинается белая атрофия кожи. Образуется типичный дискоидный очаг - асбестовый атрофичный центр с блестящим рубцом и вал глубокого гиперкератоза на фоне инфильтрации с алым ободком по периферии. Локализация специфична, форма напоминает бабочку, раскрывшую крылья от спинки носа к щекам. Интегументная красная волчанка распространяется со временем на область декольте, голову, шею, слизистые. На красной кайме губ появляются эрозии.
Реже возникает эритема, характеризующаяся только гиперемией, разлитой по лицу в форме бабочки. Дерма не инфильтрируется, не атрофируется, очаги не имеют тенденции к распространению (эритема Биетта). Достигая определённого размера, эритема стабилизируется, при этом возможна трансформация поражения в системную разновидность красной волчанки. Если очаги волчаночной гиперемии или волчаночные диски множатся, начинают распространяться по всему кожному покрову, то заболевание трансформируется в диссеминированную кожную волчанку.
Редко, в основном - после травмирования кожных покровов регистрируются случаи глубокой формы интегументной красной волчанки (эритематоз Капоши-Ирганга). При данной форме наряду со всеми типичными симптомами выявляется образование узлов под дермой (люпус-панникулитов). Узлы внутри изъязвляются и атрофируются, плотные, отграничены от окружающих тканей. Отличительной чертой этой разновидности интегументной красной волчанки является её неспособность к перерождению в системную красную волчанку при выраженной тенденции к озлокачествлению. Локализуется преимущественно на верхних конечностях и голове.
Диагностика и лечение интегументной красной волчанки
Клинический диагноз патологии обычно не представляет затруднений. Дерматологи используют результаты микроскопии и гистологии, иммунное тестирование (ИФА). Для определения устойчивости и выраженности воспаления микроскопируют скарификат эпидермиса. Электронная микроскопия выявляет вирусоподобные включения, подтверждающие вирусную природу интегументной красной волчанки. Специфические иммуноглобулины М и G обнаруживают методом ИФА в составе аутоиммунных комплексов. ИФА используют и для определения антиядерных антител. Дифференцировку интегументной красной волчанки проводят с себореей, псориазом, угревой сыпью, сухой экземой.
Терапия заболевания комплексная. Начинают с коррекции сопутствующей патологии, подключают хинолины, витамины, противовоспалительные средства. Наружно показаны гормональные мази. В случае резистентности используют разрушение узлов жидким азотом. Подозрение на трансформацию процесса является показанием для госпитализации пациента. Весной и летом требуются солнцезащитные кремы. Диспансеризация проводится пожизненно. Прогноз при своевременной адекватной терапии и отсутствии признаков трансформации в системную форму патологии благоприятный для жизни. При появлении симптомов системной красной волчанки прогноз ухудшается.
Читайте также:
