Возможности хирургии гамма-ножом вестибулярной шванномы
Добавил пользователь Владимир З. Обновлено: 28.01.2026
Гамма-нож (Leksell Gamma Knife) - радиохирургическая установка производства шведской фирмы Elekta, использующая множественные конвергирующие пучки от 196 источников Co60, создающие одну высокую дозу радиации в точно определенном целевом объёме головного мозга.
Лечение на Гамма-ноже: технология и процедура
В ноябре 2008 года в Санкт-Петербурге состоялось открытие клиники радиохирургии, стереотаксической радиотерапии и общей онкологии Медицинского Института имени Березина Сергея (до 2015 года ЛДЦ МИБС).
Клиника была оснащена радиохирургической установкой Гамма-нож (Leksell Gamma Knife Perfexion) производства шведской компании Elekta.
В марте 2011 года Клиника радиохирургии МИБС была отмечена специальным сертификатом шведской компании Elekta, знаменующим проведение 1000 радиохирургических операций на аппарате Гамма-нож (Leksell Gamma Knife).
Сегодня, спустя более 13 лет, специалистами Клиники выполнено почти 14 000 нейрохирургических (радиохирургических) вмешательств только на установке Гамма нож, а сама Клиника с 2014 года признается самым активно оперирующим отделением Гамма-нож в мире, с количеством операций более 1600 ежегодно.



В Клинике имеются все возможности по оказанию современной высококвалифицированной радиохирургической помощи пациентам с опухолями головного мозга, сосудистыми мальформациями и функциональной патологией. В ее составе имеются дневной стационар на 50 мест для размещения иногородних пациентов, кабинеты компьютерной томографии и магнитно-резонансной томографии. Персонал Клиники прошел длительное обучение в ведущих мировых центрах Гамма-нож.
Узнать
Показания к лечению на Гамма-ноже
Основными показаниями к радиохирургическому лечению на аппарате Гамма-нож являются доброкачественные и злокачественные опухоли, расположенные в полости черепа, метастазы в головной мозг, сосудистые мальформации, невралгия тройничного нерва, меланома сосудистой оболочки глаза и другие заболевания.
Лечение на Гамма-ноже НЕ показано в следующих случаях:
- Тяжелое декомпенсированное состояние больного
- Наличие «острых» симптомов сдавления головного мозга
- Повышенное внутричерепное давление
Опухоли головного мозга
- Рецидивы глиальных опухолей, либо остаточные опухоли после хирургического удаления, лучевой и химиотерапии
- Гамартома гипоталамуса
Сосудистые заболевания головного мозга
Функциональные заболевания головного мозга
- Многоочаговая эпилепсия
- Болевой синдром при таламическом синдроме
- Болевой синдром при множественном метастатическом поражении костей осевого скелета
Заболевания глаз
- Прогрессирующая глаукома
- Меланома сосудистой оболочки глаза
Что такое Гамма-нож?

Гамма-нож (Leksell Gamma Knife Perfexion) - это радиохирургическая установка производства шведской компании Elekta, предназначенная для лечения патологических образований (доброкачественных и злокачественных опухолей и сосудистых мальформаций) в полости черепа. Гамма-нож использует радиоактивное излучение от 196 источников кобальта-60, пучки которого собираются вместе и действуют подобно неинвазивному хирургическому ножу.
Современный Гамма-нож - это высокотехнологичное компьютеризированное устройство в котором используются самые новейшие достижения медицинской радиологии, нейрохирургии и робототехники.
Подобно нейрохирургической операции, процедура лечения проводится однократно, однако при этом отсуствуют разрезы кожи и нет необходимости проводить трепанацию черепа.
Излучение от 196 источников Со60 проходит через отверстия в коллиматорных шлемах к выбранной целевой точке. При этом излучение каждого отдельного пучка не оказывает повреждающего действия на мозг, но сходясь в изоцентре, они создают высокую суммарную дозу, достаточную для гибели опухоли или облитерации сосудистой мальформации. Точность наведения составляет менее 0,5 мм, что полностью исключает облучение здоровых тканей мозга и всего тела.


Под действием высокой дозы облучения происходит разрушение ДНК опухолевых клеток, которые теряют способность к делению и постепенно погибают. Некоторые опухоли полностью "рассасываются" и исчезают, некоторые остаются в прежних размерах, либо уменьшаются и больше никогда не растут.
При лечении сосудистых мальформаций происходит облитерация патологических сосудов и прекращение по ним кровотока. При этом тотальное выключении мальформации из кровотока приводит к полному избавлению больного от этого заболевания.
Радиохирургия считается самым значимым достижением в развитии нейрохирургии за последние 20 лет. Благодаря своей надежности, точности и эффективности Гамма-нож считается «золотым стандартом» в радиохирургии.
Первая операция на Гамма-ноже была проведена в 1968 году, за прошедшее время пролечено около миллиона пациентов. На сегодняшний день существует более 300 отделений Гамма-нож во всех развитых странах мира.
Эффективность и безопасность
Эффективность и безопасность лечения подтверждены длительными периодами наблюдений (более 50 лет) и отражены более чем в 2000 публикаций.
Благодаря своей надежности, точности и эффективности Гамма-нож признан «золотым стандартом» в радиохирургии. Наведение на целевую структуру происходит с точностью 0,5 мм в автоматическом режиме, что полностью исключает риск ошибок.всего тела.
Механизм действия Гамма-ножа заключается в поражении опухолевой ДНК, что приводит к гибели опухолевых клеток.
При лечении сосудистых артерио-венозных мальформаций происходит облитерация сосудов с последующим тромбозом и выключением их из кровотока.
Лечение на гама-ноже
Лечение осуществляется за одну процедуру и занимает обычно несколько часов.
Лечение на Гамма-ноже является абсолютно безболезненным и не требует проведения общей анестезии. Отсутствуют разрезы кожи, в большинстве случаев пациенты возвращаются к своей повседневной деятельности на следующий день после операции.
Лечению доступны любые локализации, в том числе расположенные на основании черепа и в глубоких структурах мозга.
Преимущества Гамма-ножа
- Лечение проводится за один день
- Госпитализация не требуется
- Отсутствие риска общей анестезии
- Нет необходимости в длительном восстановительном периоде
- Отсутствие риска кровотечения и инфицирования
- Возможно лечение множественных образований
- Возможность безопасного лечения образований, расположенных в глубоких структурах мозга и на основании черепа
- Возможность лечения рецидивов опухолей после проведенной операции и лучевой терапии
Вопросы пациентов
препараты после радиохирургического лечения
Добрый день! Мне 65 лет. В ноябре 2017 года у вас проводили радиохирургическое лечение на аппарате Гамма нож. По месту жительства наблюдаюсь у невролога, Мне рекомендованы препараты: спитомин и феназепам.Можно ли их применять? И еще. Может и бестактно .
Возможные лекарственные препараты после удаления менингиомы на установке гамма-нож
Здравствуйте. В октябре 2018 года в вашем центре мне удалили менингиому на установке Гамма-нож. Скажите, пожалуйста, какие лекарственные препараты мне запрещены? Кардиолог мне прописал Стимол и Магнерот. Мне их можно принимать? А ещё меня интересует .
Болезнь Паркинсона
Здравствуйте! На этапе одобрения процедуры лечения болезни Паркинсона на "Гамма-ноже" состоялся телефонный разговор с доктором вашего центра из которого стало понятно, что в нашем случае одним из фактов, который может повлиять на эффективность лечения .
Здравствуйте! Моей маме (полных лет 73) в вашем центе на сентябрь одобрено лечение на аппарате "Гамма-нож" (лечение болезни Паркинсона). Подскажите, пожалуйста, существует ли вероятность отмены лечения по причине высокого показателя СОЭ в анализе крови ( .
Лечение после оперции гамма-нож
В ноябре 2017г. было проведено радиохирургическое лечение по поводу менингиомы в области правой гемисферы мозжечка. Для лечения хронического бронхита и ларингита мне назначено лечение: ингаляции (лазолван+ физраствор ) , мирамистин, Гексорал- аэрозоль. И .
Гамма-нож и Кибер-нож: показания к операции, цены, риски и последствия лечения
Гамма-нож и Кибер-нож - уникальные установки для радиохирургического лечения разных церебральных и спинальных заболеваний. Радиохирургия с Gamma Knife впервые стала применяться американскими нейрохирургами в конце 80-х годов прошлого столетия, создана исключительно для терапии головного мозга. Система Cyber Knife появилась позже, в клинической практике используется с 2001 года. Полем лечебного воздействия Кибер-ножа, в отличие от предшествующей разработки, может быть выбран совершенно любой внутренний орган или система, в том числе и головной мозг.

Гамма и Кибер ножи позволяют «закрыто» удалять, уменьшать размеры патологических образований или приостанавливать прогрессию внутричерепной патологии, то есть без хирургических доступов (краниотомия и др.) и связанных с ними рисками осложнений. Лечебный эффект нетравматичных методов достигается за счет прицеленного воздействия на проблемный сегмент спланированной дозой радиоактивного излучения, не оказывающей инвазии на здоровые ткани.

Обе технологии признаны специалистами перспективными и наиболее безопасными в хирургии внутричерепных поражений, в ряде случаев успешно заменяющие стандартные оперативные вмешательства. Могут применяться как у детей, так и взрослых людей. Наибольшее распространение они получили в лечении больных с доброкачественными и злокачественными новообразованиями мозга, сосудистыми мальформациями. Итак, знакомимся подробнее (суть, показания, прогнозы и пр.) с передовыми методиками, которые без скальпеля и боли способны дать мощный отпор злополучной церебральной патологии.
По сути «ножом» выступает излучающий радиоактивные лучи поток, который спроектирован в избранную зону. Потенциал высокотехнологичных установок по устранению внутричерепного дефекта разработчики сопоставляют с возможностями радикальной скальпельной резекции. Потому их назвали Knife, что в переводе с англ. означает «нож».
Операция Гамма-ножом: понятие, плюсы, показания
Во всем мире уже проведено более 1,5 млн. благополучных вмешательств на Gamma Knife, из них 1/3 составляют операции по поводу метастазов в головном мозге. В нынешней стереотаксической нейрохирургии головного мозга Гамма-нож является «золотым стандартом», так как оборудование создано специально для борьбы церебральными заболеваниями. Суть процедуры заключается в одномоментном воздействии радиоактивными лучами кобальта-60 на дефектные клетки анормального мозгового образования. Радиокобальт в момент сеанса распадается, образуя сложный спектр бета-частиц с испусканием гамма-лучей.
Анимация процедуры на головном мозге:
Излучающий поток обладает хорошей проникающей способностью и фокусируется исключительно в одной точке-мишени. Поэтому жизнеспособные ткани не подвергаются опасности, как в случае с типичной (рассеянной) лучевой терапией. Перед сеансом голову человека жестко фиксируют в так называемой стереотаксической раме - устройстве, похожем на шлем. С его помощью точно рассчитывается цель-зона, где в последующем с разных сторон очага в одной точке соберется до 2 сотен γ-лучей, атакующих болезнь. Вся процедура проходит в камере томографа, пациент находится один в помещении, где лежит на кушетке, задвинутой в капсулу аппарата. Специалисты из соседнего кабинета управляют терапевтическим процессом.
Главные преимущества технологии Gamma Knife:
- Возможность помогать пациентам с неоперабельной раковой опухолью мозга, представляющей собой метастазы первичного онкологического процесса.
- Возможность удалять очаг, расположенный в глубинных, труднодоступных слоях головного мозга или опасных зонах, когда обычная операция невозможна или сопряжена огромными рисками для жизни.
- Минимальная вероятность развития осложнений, так как не нужно делать трепанацию и «орудовать» острыми инструментами в мозге. По некоторым данным, осложнения возникают в 10 раз реже, чем после стандартных операций.
- Безболезненность процедуры, общий наркоз не нужен. Достаточно только провести местное обезболивание участков соприкосновения рамы с головой (человек находится в сознании).
- Достаточно одного (максимум 2) сеанса облучения гамма-лучами для достижения терапевтического эффекта. После него запускается механизм разрушения очага, который «работает» в течение нескольких месяцев за счет поглощенной в облучаемой единице входной дозы γ-энергии в нужной лечебной концентрации.
- Недолгая продолжительность процедуры, время сеанса в среднем составляет 30 минут. Однако учтите, что при сложных диагнозах гамма-терапия может затянуться надолго, вплоть до 3 часов.
- Госпитализация, как правило, не нужна, в основном лечение проходит в амбулаторном режиме. Пациента отпускают домой в тот же день, когда проводилась процедура. В редких случаях выписывают через 2-3 суток. Не требуется вносить новые ограничения в образ жизни.
Процедура на станции Gamma Knife применяется при следующих новообразованиях головного мозга:
- аденома гипофиза;
- невриномы V, VII, IX, X, XI, XII черепно-мозговых нервов, в том числе вестибулярная шваннома;
- менингиома;
- вторичные злокачественные опухоли в мозге (единичные и множественные);
- опухоль кармана Ратке;
- мозговые глиомы;
- эпендимома;
- гемангиобластома;
- медуллобластома мозжечка;
- хордома;
- аденома шишковидного тела;
- герминома;
- гломангиома;
- периваскулярная гемангиоэндотелиома.
Показаниями к применению процедуры «Гамма-нож» также являются патологии сосудистого характера:
- артериовенозная мальформация (АВМ);
- кавернозная ангиома; .
Высокоэффективной технология признается и при функциональных расстройствах головного мозга:
- паркинсонизм;
- тригеминальная невралгия;
- эпилепсия с очагом в височной доле ГМ;
- мультифокальная эпилепсия;
- синдром таламической боли.
Гамма-операция не может быть применена, если размер новообразования выше 3,5 см (исключением являются АВМ). Противопоказано лечиться на данном устройстве при наличии окклюзионной гидроцефалии мозга. Метод не действует или оказывает крайне низкий эффект на разрушение мультиформной глиобластомы.
Отличия Гамма-ножа от Кибер-ножа
Кибер-нож - одна из последних разработок в области ядерных медицинских технологий, так же являющаяся безопасной альтернативой агрессивным операциям со вскрытием черепа. Базируется на компьютерной навигации, робототехнике и лучевой хирургии. На таких модернизированных аппаратах во всем мире прошли лечение около 300 тыс. пациентов с онкозаболеваниями. Безоперационная тактика «выжигания» опухоли по принципу Гамма-нож применима не только в пределах головы, а и в других сегментах организма. Например, ее часто задействуют при онкологии легких, молочной железы, простаты, печени, позвоночника и пр.

Гамма-нож обеспечивает 200 вариаций углов при одной процедуре. Кибер-нож имеет 1400 вариаций углов облучения.
Cyber-станция - роботизированная машина, оснащенная компактным линейным ускорителем радиоактивного излучения на базе рентгена. Ускоритель установлен на гибком подвижном манипуляторе - «руке» робота с 6 степенями свободы. Кибер-нож генерирует высокоэнергетическое фотонное излучение 6 МэВ для прицеленного наведения лучей и уничтожения атипичных клеток. Аппарат мгновенно реагирует на малейшие перемещения опухоли в анатомическом пространстве (например, в процессе дыхания человека), быстро корректируя направленность лучевого потока.
- Кардинальная разница этого метода от Gamma Knife в том, что в нем заложен принцип рентгеновского излучения. Рентген-излучение характеризуется внеядерной формой происхождения, в то время как гамма-лучи выступают продуктом распада атомного ядра радиоактивного изотопа 60Co.
- Данную тактику также отличает абсолютная ненадобность применения анестезии и установки массивных рамных конструкций стереотаксиса на голову. Голова фиксируется посредством легкой сеточной маски из эластичной термопластмассы, не причиняющей неудобств и дискомфорта, что особенно ценно в практике лечения детей.
Важно заметить, что в ходе действия Гамма-ножа, когда голова зафиксирована в жестком каркасе, обеспечивается наивысшая степень надежности корректного позиционирования лучей.

Итак, высокотехнологичный нож вида Cyber основывается на фокусированном высокодозном рентген-облучении любой структуры головного мозга, которая подверглась гиперплазии. Разрушающая сила в виде сходящихся в одной точке многочисленных лучей направлена сугубо на проблемный объект. Близко расположенные ткани, аналогично, не подвергаются токсическому действию излучающего поля, но только при безукоризненном управлении процессом медицинскими работниками.
Операции на Кибер-ноже в зависимости от гистологии и масштабов очага длятся от 30 до 120 минут. Все это время пациент лежит на столе открытой станции, что обеспечивает комфорт, не вызывает эффекта замкнутого пространства (страха, паники, тревоги и т. п.). Для максимальной релаксации сеанс проходит под звучание приятной музыкальной композиции. Врачи находятся в соседней комнате, беспрерывно контролируя процесс лечения на мониторах компьютеров. Пациент уже примерно через 1 час после лечения может вернуться в привычный ритм жизни.
Вывод: Кибер- и Гамма-ножи базируются на одинаковом принципе воздействия на патологию с разницей лишь в источнике активного радиоизлучения. Эффективность, клинические показания и противопоказания, риски осложнений у обеих технологий одинаковы.
Эффективность GammaKnife и CyberKnife, возможные осложнения
Оперирование лучом отличается доказано высоким уровнем эффективности и надежности. При безупречно проведенной терапии позитивные результаты наблюдаются в 95% случаев. Акцентируем, эффект не происходит молниеносно, ощутимо положительные сдвиги будут наблюдаться спустя 60-90 суток. При этом опухоли сначала останавливаются в росте, а затем постепенно регрессируют в объемах. Полная ликвидация доброкачественных неоплазий практически обеспечена.

Продуктивные методики, к глубокому сожалению, нельзя трактовать как панацею от запущенных и серьезных форм рака. Но тяжелому онкопациенту с неоперабельным метастатическим поражением в мозг они могут продлить жизнь на месяцы и даже годы, что играет весомое значение как для больного, так и его родственников.
Перейдем к осложнениям: да, в редких случаях возможен неудовлетворительный исход. Неудачи после оперирования пространственным «ножом» любого вида делят на 3 группы:
- 1 группа связана с неблагополучной динамикой ввиду продолжения роста новообразования или появления новых метастазов (чаще является следствием недостаточной подачи дозы облучения, плохой предоперационной диагностики или генерализированного онкопроцесса);
- 2 группу составляют последствия неврологического характера (радиационное поражение головного мозга по причине сверхпорогового радиоактивного воздействия, проявляющееся болевым синдромом, прогрессированием неврологического дефицита);
- 3 группа включает осложнения общего плана, не связанные с повреждениями нервной ткани (это преимущественно сыпь и гиперемия кожных покровов, которые могут последовать, если облучалась опухоль поверхностной локализации).
Опасные инфекционные последствия, которые часто возникают после открытых операций и даже трансназальных миниинвазивных вмешательств, для Кибер-нож/Гамма-нож не характерны.
Где лечат
Центров радиохирургии, специализируемых на рассматриваемых технологиях, в пределах России очень мало. Найти их можно в Москве или Санкт-Петербурге: Центр «Гамма-нож» при НИИ им. Бурденко, ЛДЦ института Березина, НИИ скорой помощи им. Склифосовского. Аппаратура слишком дорогостоящая, и государственный бюджет РФ не может в достаточной мере обеспечить все клиники онкологии и нейрохирургии соответствующим оборудованием.

НИИ им. Бурденко.
Услуги в отечественных больницах предоставляются преимущественно на платной основе, цена на них высокая - порядка 200-300 тыс. рублей. Главная проблема состоит в нехватке опыта, так как в российскую клиническую практику эти способы только начинают входить. Чтобы обеспечить себе максимум уверенности в том, что лечение принесет ожидаемые плоды, преобладающий контингент людей предпочитает лечиться за рубежом.
Согласно проведенному мониторингу посещаемости заграничных стран российскими и украинскими пациентами, Чехия пользуется высоким спросом. Однозначно, популярности Чешской Республики логическое объяснение есть.
Невриномы слухового нерва
Ежегодно невринома слухового нерва выявляется примерно у одного из 100 тысяч человек. На долю этого заболевания приходится 11 - 12 % всех опухолей головного мозга. Болезнь может развиться как у молодых, так и у пожилых людей, но чаще всего обнаруживается в возрасте от 30 до 50 лет. У детей опухоли этого типа не встречаются вовсе. Женщины страдают данным недугом втрое чаще, чем мужчины. В последние годы количество диагностированных случаев невриномы слухового нерва увеличивается. Впрочем, не в последнюю очередь это объясняется количественным и качественным ростом МРТ-диагностики.
Что такое невринома слухового нерва?
Невринома слухового нерва - это доброкачественная (нераковая) опухоль. Несмотря на название, она не затрагивает собственно слуховой нерв, который состоит из двух корешков с разными функциями: улитковый отвечает за проведение слуховых импульсов в головной мозг, а вестибулярный связан с равновесием. Невриномы образуются в вестибулярном корешке, а именно - в его шванновских (оболочковых) клетках. Отсюда их второе название неврином - шванномы.
Внешне невринома слухового нерва (вестибулярная шваннома, акустическая невринома, акустическая шваннома) выглядит как плотный узел округлой, овальной или неправильной формы с бугристой поверхностью. В ее ткань нередко вкраплены кисты различных размеров, заполненные жидкостью. Опухоли обычно растут медленно и не распространяются на другие органы. Однако нередко ухудшают качество жизни человека: он теряет слух, возможность держать равновесие, поражаются лицевые нервы. Хотя невринома слухового нерва не является раком, она может быть опасна: вырастая до большого размера, новообразование начинает давить на головной мозг или его ствол, что приводит к постоянным головным болям, в редких случаях - к нарушению ясности сознания.
Типы невриномы слухового нерва
Невриномы слухового нерва бывают двух видов
- односторонние. Возникают спорадически, не наследуются и не связаны с другими новообразованиями центральной нервной системы;
- двусторонние. Встречаются у больных с нейрофиброматозом второго типа, который является генетической патологией и передается от родителей детям. У страдающих данным заболеванием людей, помимо шванном, как правило, развиваются также другие опухоли внутри головы и в позвоночнике.
Причины и группы риска
Причина развития невриномы слухового нерва на сегодня неизвестна. Также не выявлены какие-либо факторы риска развития невриномы, помимо предрасположенности к их возникновению в связи с генетически наследуемым заболеванием
Симптомы
Данное заболевание развивается по разным сценариям. В одних случаях новообразование остается небольшим, до полутора сантиметров в диаметре, никак себя не проявляет и не мешает жизни человека. Такая невринома не требует оперативного вмешательства, достаточно будет наблюдать за ее состоянием, посещая врача раз в год.
В других случаях опухоль разрастается и начинает давить на улитковый корешок слухового нерва, а при особо больших размерах - на ствол головного мозга. В связи с этим возникают следующие симптомы:
- постепенно развивающаяся или внезапная потеря слуха на одно ухо;
- тиннитус (звон в ухе). Он отмечается у 60 % пациентов;
- ощущение заложенности уха;
- проблемы с равновесием, головокружение и неустойчивость при резких поворотах головы или наклонах. Встречается у 60% заболевших;
- рвота, тошнота, вызванные нарушениями в работе вестибулярного аппарата. Встречаются крайне редко;
- онемение, чувство покалывания на пораженной опухолью стороне лица. В запущенных случаях болезнь приводит к парезу (ослаблению или параличу) лицевого и отводящего нервов;
- тупые, ноющие боли в голове, возникающие из-за сдавливания невриномой ствола головного мозга. Возникают на поздних стадиях;
- к симптомам поздней стадии относятся также расстройство зрения, трудности с жеванием и глотанием.
Симптомы невриномы слухового нерва нарастают медленно и часто ошибочно принимаются за нормальные возрастные изменения. Надо быть внимательным: если звон в ухе длится более двух месяцев, вам следует обратиться к врачу.
Диагностика
Заболевание выявляется в результате проверки слуха и последующей инструментальной диагностики. Как правило, врач проводит ряд исследований:
- проверка слуха. Во время обычного осмотра врач-отоларинголог может заметить снижение слуха у пациента. В этом случае будет назначен специальный тест, который называется аудиограмма для оценки слуха в обоих ушах;
- слуховой тест на ответную реакцию ствола мозга. В ходе этого исследования измеряется скорость электрических импульсов, проходящих от внутреннего уха к мозгу. Замедление или отсутствии импульса почти всегда указывает на наличие шванномы;
- электронистагмография. Тест, который позволяет выявить наличие проблемы по нистагму - непроизвольному движению глазных яблок. В ушной канал вводятся холодная и теплая вода, а специальный прибор фиксирует и анализирует движение глаз;
- Магнитно-резонансная томография (МРТ).
Если предыдущие исследования с большой долей вероятности указывают на шванному, наиболее информативным инструментальным методом визуализации считается МРТ. Это современное высокоточное неинвазивное исследование, которое позволяет определить размер и локализацию опухоли, а также увидеть состояние окружающих ее органов и тканей. Магнитно-резонансная томография проводится по назначению лечащего врача или по желанию пациента при наличии головных болей, головокружений, при подозрении на опухоль (ухудшение зрения, слуха, нарушение речи, чувствительности и движений в конечностях).
После проведения основной МР томографии может понадобиться уточняющее исследование для постановки дифференциального диагноза, уточнения размеров опухолевого процесса и степени вовлечения окружающих органов и структур. В таком случае назначается МРТ с контрастным усилением, в ходе которого в вену пациента вводится контрастное вещество. Изображения, полученные с применением контраста, дают не только точное представление о размере и границах невриномы, но позволяют оценить функциональные нарушения в органах.
Стадии заболевания
- 1-я стадия. Размеры опухоли не превышает 2,5 см. Отмечаются симптомы поражения слуха и вестибулярного аппарата, например, глухота на одно ухо. Возможны также частичное нарушение вкуса, легкий парез лицевого нерва;
- 2-я стадия. Невринома выросла до 2,5- 3,5 см. Симптомы усиливаются: возникает неконтролируемое движение глазных яблок, нарушается равновесие и координация движений;
- 3-я стадия. Размеры опухоли превысили 4 см. Она уже сильно давит на головной мозг, вследствие чего нистагм становится более заметным, возможны нарушения зрения. Скапливание жидкости в желудочках головного мозга (гидроцефалия) может привести к изменению сознания и нарушению психики пациента.
Лечение невриномы слухового нерва
На данный момент существует три основных вида лечения - выжидательная тактика (наблюдение), хирургическая операция и лучевая терапия. Выбор метода зависит от параметров конкретного случая. Врач определит оптимальное лечение, ориентируясь на следующие показатели:
- размер и место опухоли;
- возраст пациента;
- общее состояние здоровья;
- уровень слуха;
- предпочтение больного.
Выжидательная тактика. Показана в тех случаях, когда опухоль мала, расположена таким образом, что не сдавливает близлежащие нервы. Либо, несмотря на достаточно крупный размер, ничем себя не проявляет и не беспокоит пациента. Наблюдение также выбирается в качестве метода, если пациенту противопоказано оперативное вмешательство в силу пожилого возраста или ослабленности организма.
Врач порекомендует наблюдать за развитием процесса, ежегодно делать МР исследование и приходить на консультацию;
Хирургическая операция. Хирургия невриномы слухового нерва - очень сложная и тонкая операция. Показана людям молодого возраста в тех случаях, когда опухоль растет, симптомы усиливаются, а радиохирургия не дает ожидаемого результата. Проводится для сохранения зрения, слуха, лицевого нерва. Хирургическая операция может быть проведена через различные доступы: сосцевидный отросток (транслабиринтный доступ); за ухом (ретросигмоидный доступ); над ухом (средняя ямка).
Операция идет под анестезией, предполагает трепанацию черепа. Восстановительный период длиться от полгода до года.
Лучевая терапия
Гамма-нож
Операции на установке Гамма-нож представляют собой неинвазивный (бескровный) метод лечения неврином слухового нерва, по своей эффективности не уступающий открытой хирургии и значительно снижающим риск послеоперационных осложнений. На сегодняшний день в мире известно более чем о 28 тысяч пациентов с невриномами слухового нерва, пролеченных с помощью Гамма-ножа, и их количество продолжает возрастать.
Целью радиохирургического лечения является предотвращение дальнейшего роста опухоли с минимизацией риска осложнений со стороны прилегающих невральных структур. Биолологические эффекты радиохирургического лечения неврином слухового нерва связаны с разрушением опухолевой ДНК и тромбозом сосудов, питающих опухоль.
Операции на Гамма-ноже показаны больным, у которых наибольший размер опухоли не превышает 3 см. А также - пациентам с остаточными и рецидивирующими опухолями после проведенного микрохирургического удаления.
До начала радиохирургического лечения проводится обследование, позволяющее определить точное положение опухоли и прилегающих нервных образований. Выполняется трехмерная реконструкция, отображающая детальную микрохирургическую анатомию этой области. Для этой цели с помощью МРТ получают четкую визуализацию опухоли и нервов во внутреннем слуховом проходе и области мосто-мозжечкового угла.
С помощью планирующей системы Gamma Planи автоматической позиционирующей системывозможно проводить очень точное облучение опухоли (точность 0,5 мм), избегаяповреждения черепных нервов и других важных отделов мозга.

Преимуществами лечения на Гамма-ноже являются высокая степень сохранения функции лицевого нерва (в 98%) и слуха (в 80%). Полностью отсутствуют осложнения, связанные с открытой операцией (менингит, ликворея). Лечение проводится за один день. Госпитализации и послеоперационного восстановительного периода не требуется. Большинство пациентов возвращаются к своему обычному образу жизни на следующий деньпосле операции.

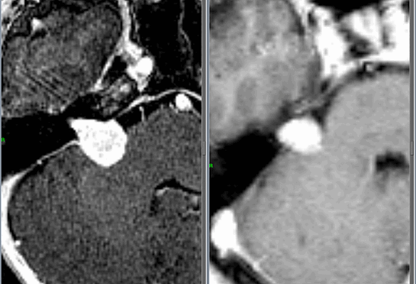
Слева - МРТпациентки М., 65 лет. Обратилась в радиохирургический центр МИБС с диагнозом-невринома правого VIII нерва. Проведено радиохирургическое лечение, доза по краю невриномы составила 13 Грей, в изоцентре опухоли 21,7 Грей.
Справа - контрольное МРТ через 1,5 года после операции. Отмечается уменьшение объёма опухоли на 47%.
Кибер-нож
Роботизированная радиохирургическая система Кибер-нож, предназначенная для лечения доброкачественных и злокачественных опухолей. В отличие от Гамма-ножа, не имеет ограничений, связанных с размером новообразования. Принцип воздействия радиации на невриному, а также преимущества перед хирургическом вмешательством аналогичны описанным выше, а разделе о Гамма-ноже.
Отдаленные результаты радиохирургического лечения хорошо изучены на протяжении более 50 лет. Уровень контроля за опухолью (отсутствие роста после радиохирургического лечения) составляет 95%. Безопасность лечения и отсутствие побочных эффектов подтверждены длительными периодами наблюдения. На МРТ исследовании, выполненном через 6-12 месяцев после операции, видно, что контраст перестает накапливаться в центре опухоли. После чего новообразование начинает замещаться соединительной тканью. радиационный ответ обычно проявляется через 6-12 месяцев ввидепотери контрастного усиления в центре опухоли, после чего опухоль начинает замещаться соединительной тканью.
Радиохирургия в МИБС: лечим не только опухоли
Изначально термин “радиохирургия” подразумевал высокоточное воздействие на опухоль головного мозга Гамма-ножом, который подавал в заданном порядке и по заданной траектории множество пучков излучения радиоактивного изотопа кобальта. На пересечении этих “лучей” формировалась зона высокой дозы радиации, и под ее действием останавливались биологические процессы в опухоли. Но возможностью высокоточного разрушения клеток внутри заданного объема головного мозга пользуются не только онкологи - радиохирургия дает шанс при серьезных заболеваниях, связанных с аномалиями развития сосудов головного мозга (АВМ, каверномы, гемангиомы), а также применяется для устранения причин некоторых функциональных нарушений (эпилепсия, болезнь Паркинсона и др.), болевых синдромов (невралгия тройничного нерва, таламический синдром, болевой синдром при множественном поражении костей) и даже для лечения глаукомы. Как именно?

С развитием медицинской техники радиохирургия перестала быть “именем нарицательным” для бесконтактного разрушения опухолей Гамма-ножом: был разработан Кибер-нож и современные линейные ускорители, которые позволили лечить опухоли в любой части тела, создана и доведена до совершенства технология протонной терапии, выполняющая буквально “инъекции радиации” приводя к точечному воздействию на заданную область.
Но и сам Гамма-нож получил дальнейшее развитие: технология дала нейрохирургам инструмент, позволяющий дистанционно, без операции, разрушить любые биологические клетки, а не только опухолевые. Добиваясь (через определенный промежуток времени) “замены” одного типа клеток, подвергаемых облучению, на клетки фиброзной (соединительной) ткани, нейрохирурги в настоящее время успешно лечат Гамма-ножом такие заболевания, как:
Сосудистые заболевания головного мозга
- Артерио-венозные мальформации (АВМ)
- Каверномы
- Гемангиомы
Функциональные заболевания головного мозга
- Невралгия тройничного нерва
- Паркинсонизм и эссенциальный тремор
- Височная эпилепсия
- Многоочаговая эпилепсия
- Болевой синдром при таламическом синдроме
- Болевой синдром при множественном метастатическом поражении костей осевого скелета
Заболевания глаз

Радиохирургия в МИБС проводится на современной радиохирургической установке Leksell Gamma Knife Perfexion (Elekta, Швеция)
Радиохирургия: лечение артериовенозных мальформаций без операции
Артериовенозная мальформация (АВМ) - врожденная аномалия сосудов головного мозга, представляющая собой хаотическое сплетение патологических вен и артерий. При этом происходит прямой сброс артериальной крови в вену, из-за чего вены расширяются, их стенки истончаются.
Это редкое (1 случай на 50 тыс. населения), но коварное заболевание, которое может привести к кровоизлиянию в мозг - патологические сосуды лишены мышечного слоя и имеют склонность к разрыву. Летальным становятся 10-30% случаев первого кровоизлияния. Но и в случае благоприятного исхода риск повторного кровоизлияния у пациентов с АВМ в пять раз выше, чем у здорового человека.
Традиционно лечение АВМ проводилось либо оперативным путем, либо сложной сосудистой манипуляцией - эмболизацией (закрытием кровотока в сосуде с доступом через сеть кровеносных сосудов), которую возможно провести в 10-40% случаев.

Лечение артериовенозной мальформации без операции: радиохирургия (Гамма-нож) демонстрирует высокую эффективность
После того, как в России стала доступна радиохирургия, у пациента появилась возможность получить эффективное лечение АВМ без операции - без трепанации черепа, без общего наркоза, без восстановительного периода и с высокой вероятностью положительного эффекта. Лечение проходит в один сеанс (одну фракцию) длительностью около часа. Ожидаемый эффект от радиохирургии - запустевание мальформации, наступает в течение 1-2 лет и четко отображается на снимках. Кровоток отсутствует - риска кровоизлияния нет.
Радиохирургия кавернозных мальформаций
Немного реже, чем АВМ, встречаются кавернозные мальформации. Это сосудистые новообразования в виде патологических полостей, заполненных кровью и разделенных перегородками.
В отличие от АВМ, протекающих бессимптомно или характеризующимися головной болью, каверномы, ангиомы и гемангиомы могут проявляться серьезными неврологическими нарушениями, представляющими прямую опасность жизни человека - гемипарезами, эпилептическими приступами снижением зрения и т.д.
Также, как и в случае с АВМ наибольшая опасность кавернозных мальформаций заключается в риске кровоизлияния в мозг, ведущего к инвалидизации или даже летальному исходу. Хирургическое лечение кавернозных мальформаций - сложное и рискованное, из всех операций 8% ведут к летальному исходу, а еще 14% заканчиваются серьезными осложнениями.
Радиохирургия на Гамма-ноже (лечение кавернозных мальформаций без операции) - альтернатива хирургическому лечению и единственный шанс для пациентов, чье состояние не позволяет перенести хирургическое вмешательство под общим наркозом, или при наличии множественных мальформаций.

Пациентка М., 32 года, диагноз "кавернозная ангиома правого полушария мозжечка". Выполнена радиохирургия на Гамма-ноже. Справа - контрольное МРТ через 14 месяцев после лечения - достигнут полный регресс образования.
После одного сеанса в течение 5-90 месяцев достигается облитерация мальформации (заращение полости соединительной тканью), в 70% полость полностью закрывается и вероятность кровоизлияния снижается до нулевой.
Невралгия тройничного нерва - лечение без операции
Одно из самых мучительных заболеваний - невралгия тройничного нерва (тригеминальная невралгия, болевой тик), не несет прямой угрозы жизни человека. Но такой диагноз означает, что острые боли половины лица, приступы которых начинаются внезапно, будут становиться все интенсивнее, постоянно прогрессируя, что нередко приводит к нервному истощению и даже психическим расстройствам.
Причина, по которой невралгия тройничного нерва возникает, учеными пока не установлена. Наиболее вероятным фактором называется сдавление корешка тройничного нерва проходящей рядом с ним артерией. В редких случаях болевой тик может указывать на опухоли головного мозга, а также на множественный склероз и аневризмы сосудов мозга.
Лечение невралгии тройничного нерва всегда начинается с медикаментозной терапии. Если лечение не дает эффекта и наблюдается нарастание симптоматики (приступы становятся чаще и длительнее), нейрохирург может провести хирургическое вмешательство (хирургическая микроваскулярная декомпрессия) во время которого будет выполнена трепанация черепа и корешок тройничного нерва будет изолирован от проходящей рядом артерии инертным материалом.
Однако есть и другой метод, не связанный с проведением операции - радиохирургия. Радиохирургия показана тем, кому ни медикаментозная терапия, ни микроваскулярная декомпрессия не помогли справится с мучительным заболеванием.
Радиохирургическое лечение невралгии тройничного нерва Гамма-ножом хорошо известно и широко применяется в мире более 50 лет, отдаленные результаты такого воздействия хорошо изучены и подробно описаны в литературе.
В России безоперационное лечение тригеминальной невралгии на Гамма-ноже успешно проводится более десяти лет - практически с первого дня работы Центра радиохирургии МИБС мы внедрили лучший мировой опыт, регулярно пополняя его наработками из собственной практики.
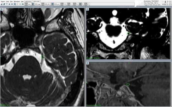
Клинический случай из практики отделения Радиохирургии онкологической клиники МИБС. Пациент Т., 1956 г.р. Тригеминальная невралгия справа и слева, на фоне рассеянного склероза. Медикаментозное лечение без клинического эффекта. Гамма-нож единственный возможный вариант лечения, оперативное лечение при такой форме заболевания не применяется. Радиохирургическое лечение Gamma-Knife с двух сторон с интервалом 10 месяцев. Уменьшение боли после радиохирургического лечения на аппарате Gamma-Knife через 3 и 5 месяцев.

Иллюстрация плана лечения на Гамма-ноже, проведенного в вышеупомянутом клиническом случае. Крохотная зона, находящаяся внутри зеленого контура, - и есть точка подведения высокой дозы радиохирургии, которая разрушает тройничный нерв, бесконтактно избавляя от мучительной боли. За один сеанс, проходящий без анестезии и разрезов.
В таком случае “мишенью” Гамма-ножа является корешок тройничного нерва в месте его выхода из ствола мозга - разовое подведение радиохирургической дозы ионизирующего излучения разрушит нерв в этом месте и мучительные боли с вероятностью 80-90% отступят по прошествии от нескольких дней до нескольких месяцев. Серьезных осложнений лечение невралгии тройничного нерва Гамма-ножом не вызывает.
Один сеанс - и пациент возвращается к обычной активности в своей новой жизни - жизни без мучительной боли и не менее мучительного ожидания начала приступа.
Аналогичным образом радиохирургия применяется в лечении других болевых синдромов, с высокой точностью ликвидируя путь передачи нервных импульсов.
Гамма-нож, как способ победить болезнь Паркинсона и эссенциальный тремор без операции?
Еще одно функциональное нарушение, при котором эффективна радиохирургия - болезнь Паркинсона. Неизбежная прогрессия заболевания - от легкого дрожания (тремора) конечностей и скованности движений до более серьезных нарушений координации и брадикинезии (замедления движений) к которым на поздней стадии добавляются психические расстройства и полное обездвиживание, - заставляет врачей находить новые способы более эффективного лечения паркинсонизма.
Проявления болезни Паркинсона часто путают с еще одним функциональным нарушением. Эссенциальный тремор (идиопатическое дрожание, болезнь Минора) - наследственное заболевание, также характеризуемое дрожанием рук, но не столько в состоянии покоя, сколько при попытке совершить движение или сохранить определенную позу.
Эти два разные заболевания абсолютно одинаковы с точки зрения лечения на Гамма-ноже. Если лекарственная терапия не приносит облегчения, сопровождается значительными побочными эффектами либо противопоказана, радиохирургия предлагает быструю, недорогую и безопасную альтернативу. Точечное воздействие высоких доз радиации на зоны головного мозга, отвечающие за возникновение болезни Паркинсона или эссенциального тремора, приводит к резкому снижению интенсивности проявления, вплоть до полного излечения.
Аналогично Гамма-нож применяется для разрушения патологических очагов в других тканях, находящихся в пределах головы и шеи, например, прогрессирующей глаукомы.
Ключевым условием эффективности радиохирургии является компетенция профильных специалистов, которые проводят диагностику и готовят план лечения, точно намечая будущую “цель” радиохирургии.
Радиохирургия и эпилепсия
Независимо от причин проявления эпилептических припадков, их наличие буквально “отравляет” жизнь пациента. Но лишь небольшая часть диагнозов является эпилепсией - вызывать симптоматику могут и ряд других заболеваний головного мозга. Поэтому важно не только иметь возможность провести радиохирургию на Гамма-ноже, разрушив очаги, в которых “возникает” эпилепсия, но и иметь опыт и необходимое диагностическое оборудование, чтобы точно определить причину припадков: истинная эпилепсия, наличие новообразований (опухолей) мозга и др.
Успех лечения - в квалификации на каждом из этапов
Любые новообразования (доброкачественные и злокачественные опухоли), оказывающие давление на головной мозг, патологии сосудов, приводящие к нарушениям кровообращения (АВМ, кавернома, гемангиома, ангиома) - все это может давать сходную симптоматику. Успех лечения в таком случае обуславливает богатый профильный опыт специалистов, оснащение диагностическим и лечебным оборудованием, а также доступная стоимость лечения, которая позволяет поддерживать стабильно высокий объем клинической практики в лечебном заведении.
В каждом из этих компонентов МИБС имеет высокие позиции не только с точки зрения медицины в России - богатый опыт (Гамма-нож, работающий в Центре радиохирургии МИБС, неоднократно признавался наиболее интенсивно используемым Гамма-ножом в мире) и демонстрируемые на международных конференциях результаты способствуют установлению надежных партнерских связей с клиниками, не имеющих собственного Гамма-ножа, но ценящих высокую квалификацию специалистов МИБС и умеренную стоимость лечения.
Звоните сейчас, чтобы записаться на лечение или получить больше информации о возможностях радиохирургии в Онкологической клинике МИБС!

Иванов Павел Игоревич
Заведующий отделением нейрорадиологии.
Нейрохирург высшей категории, кандидат медицинских наук.
Действительный член Всемирного Общества пользователей Гамма-Ножа (LGKS).
Действительный член Европейского Общества функциональной и стереотаксической нейрохирургии (ESSFN).
Действительный член Образовательного комитета Международного Общества Стереотаксической Радиохирургии (ISRS) .
Доцент кафедры нейрохирургии Военно-Медицинской Академии им. С.М. Кирова.
Возможности хирургии гамма-ножом вестибулярной шванномы
Телефон регистратуры поликлиники:
Телефон регистратуры лучевой диагностики:
Гамма-нож
![]() |
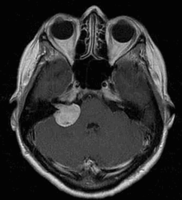
Вестибулярная шваннома (невринома VIII нерва, акустическая невринома) представляет собой доброкачественное новообразование, возникающее из шванновских клеток вестибулярной порции VIII нерва.
Заболеваемость невриномами слухового нерва составляет примерно 1 случай на 100000 населения в год. Каждый год в Российской Федерации появляется 1500 новых случаев неврином слухового нерва. Среди первичных интракраниальных опухолей вестибулярные шванномы вестибулярные шванномы занимают 4-е место (после глиом, менингиом и аденом гипофиза), составляя до 6-10% всех верифицированных опухолей мозга и поражая преимущественно лиц работоспособного возраста (30-60 лет), на который приходится более 80% случаев. Вестибулярные шванномы составляют около 30% опухолей задней черепной ямки и до 90% новообразований мосто-мозжечкового угла. Несколько чаще встречаются у женщин, чем у мужчин, примерное соотношение 3:2.
Клиническая картина зависит от размеров опухоли. При небольших размерах симптоматики может не быть вовсе. По мере увеличения опухоли в размерах появляется симптоматика, зависящая от того, какие структуры сдавливает опухоль:
- Поражения нервов.
- Нарушение слуховой и вестибулярной функции.
- Расстройства функции вкуса на передней 2/3 языка и слюноотделения (XIII нерв).
- Расстройства функций каудальной группы нервов.
- Расстройства функции мимической мускулатуры.
- Глазодвигательные нарушения.
- Симптомы раздражении/компрессии ствола головного мозга.
- Различные виды нистагма.
- Пирамидная симптоматика.
- Мозжечковая симптоматика.
- Гипертензионно-дислокационный синдром.
Наиболее информативным методом выявления вестибулярных шванном является МРТ головного мозга с контрастным усилением в режиме Т1 и Т2. Это исследование позволяет определить размеры опухоли, наличие перитуморозного отека, наличие признаков окклюзионной гидроцефалии, которая может быть следствием сдавления опухолью IV желудочка. Кроме этого МРТ позволяет провести дифференциальную диагностику с другими опухолями схожей локализации (чаще с менингиомой задней грани пирамиды височной кости). Еще одним стандартом диагностики является КТ в костном режиме. Независимо от снижения слуха стандартом является проведение аппаратной аудиографии.
Классификация KOOS
I стадия: опухоль находится в пределах внутреннего слухового прохода, диаметр экстраканальной части составляет 1-10 мм.
II стадия: опухоль вызывает расширение канала внутреннего слухового прохода, и выходит в мостомозжечковый угол, ее диаметр составляет, 11-20 мм.
III стадия: опухоль распространяется до ствола головного мозга без его компрессии, диаметр составляет 21 - 30 мм.
IV стадия: опухоль вызывает компрессию ствола головного мозга, ее диаметр более 30 мм.
Классификация M. Samii
Т1 - интрамеатальная опухоль.
Т2 - интра-экстрамеатальная опухоль.
Т3а - опухоль заполняет мостомозжечковую цистерну.
Т3b - опухоль распространяется до ствола головного мозга.
Т4а - опухоль вызывает компрессию ствола.
Т4b - опухоль грубо деформирует ствол мозга и IV желудочек.
Тактика лечения
В зависимости от размеров опухоли, клинической симптоматики, возраста больного, тяжести его состояния, наличия сопутствующей патологии возможны 3 варианта тактики лечения:
- динамическое наблюдение;
- хирургическое лечение;
- стереотаксическая радиохирургия.
Динамическое наблюдение
Учитывая, что вестибулярная шваннома является доброкачественной опухолью с невысокими темпами роста, при небольших ее размерах, отсутствии или минимальном неврологическом дефиците возможен выбор выжидательной тактики. Особенно такой подход оправдан у пожилых людей, или у пациентов с выраженной декомпенсированной соматической патологией. Однако, в большинстве случаев, учитывая риски, связанные с возможным ростом опухоли, более оправданным считается выбор активной тактики.
Хирургическое лечение
Наличие у пациента вестибулярной шванномы является показанием к хирургическому лечению. Большие и гигантские размеры опухоли (более 3,5 см.) являются абсолютным показанием к хирургическому лечению. При меньших размерах возможно проведение радиохирургического лечения.
Для удаления вестибулярных шванном в настоящее время используются три основных доступа: транслабиринтный, ретросигмовидный (наиболее часто используемый) и доступ через среднюю черепную ямку. Каждый из них обладает своими преимуществами и своими же недостатками. В последние годы в связи с развитием микрохирургической техники результаты хирургического лечения пациентов значительно улучшились. Летальность после удаления вестибулярных шванном колеблется в пределах (0-3%), рецидивы опухоли наблюдаются в 5-10%.
В настоящее время превалирующим фактором результативности хирургического лечения считается качество жизни пациента, поэтому интраоперационная тактика в большей степени должна быть нацелена на достижение именно этой цели. Такие послеоперационные осложнения как паралич лицевого нерва (до 25%), нарушения глотания, глазодвигательные нарушения, несут существенную угрозу инвалидизации, поэтому проведение таких операций диктуют высокие требования к профессиональной подготовке оперирующего нейрохирурга. Из послеоперационных осложнений также следует отметить ликворею у 2-20% пациентов, которая иногда может потребовать проведение повторной операции для закрытия ликворного свища; кровоизлияние в ложе операции (1-2%); отек мозжечка и ствола мозга; гемипарез; менингит (1,2%); раневую инфекцию (1,2%); парез VI черепного нерва (1-2%) и парезы других, ниже расположенных черепных нервов; подкожную гематому (3%).
Стереотаксическая радиохирургия
Целью радиохирургического метода является контроль роста опухоли. Стабилизация процесса и даже уменьшение размеров наблюдается в 85-94% случаев, что соответствует мировым данным. Другим критерием эффективности лучевой терапии является высокий (до 98%) показатель отсутствия операции после проведения облучения. Важным также является сохранение функции улиткового и других черепных нервов в случаях, когда это возможно, а также улучшение неврологического статуса пациента. Эффективность применения Гамма-ножа при лечении больных с вестибулярными шванномами создало реальную альтернативу хирургическому лечению при опухолях, размеры которых не превышают 3,5 см, при этом метод радиохирургии лишен недостатков хирургического метода лечения.
После облучения опухоли гамма-ножом возможно как уменьшение ее размеров, так и временное их увеличение. Третьим возможным вариантом развития событий может быть продолженный рост опухоли, однако, это происходит нечасто (от 0 до 7% в течение 10 лет).
Версия для слабовидящих Карта сайта
Читайте также:

