Врожденные и наследственные заболевания с нарушением роста ногтей
Добавил пользователь Владимир З. Обновлено: 01.02.2026
Заболевания и дефекты ногтевых пластинок встречаются часто и проявляются весьма разнообразно. От 30% до 50% всех онихопатий приходится на грибковую инфекцию, в остальных случаях это неинфекционные болезни ногтевого аппарата — ониходистрофии.
Заболевания и дефекты ногтевых пластинок встречаются часто и проявляются весьма разнообразно. От 30% до 50% всех онихопатий приходится на грибковую инфекцию, в остальных случаях это неинфекционные болезни ногтевого аппарата — ониходистрофии. Онихопатии могут быть самостоятельным заболеванием или частью симптомокомплекса различных дерматозов или соматических болезней. Кроме того, изменения формы, структуры и цвета ногтевых пластинок часто приводят к функциональным и психоэмоциональным проблемам и снижают качество жизни больных. Патологическое изменение ногтей может быть вызвано действием множества экзогенных и эндогенных факторов. Из внешних факторов следует выделить различные микроорганизмы (грибы, бактерии), химические агенты и механическое воздействие. Из эндогенных — нарушение кровоснабжения, нейрорегуляции, иммунологические и токсические факторы.
Ноготь представляет собой роговую пластинку, лежащую на эпителии концевых фаланг пальцев рук и ног. Наружная поверхность гладкая, а внутренняя имеет гребешки и борозды. Основное вещество — кератин. Прочность ногтей обусловлена взаиморасположением и сцеплением клеток, а также структурой кератиновых волокон, располагающихся между клетками параллельно поверхности пластинки. Количество цистеина в ногтях генетически запрограммировано, поэтому твердость и прочность ногтей часто передается по наследству. Ногтевая пластинка с трех сторон окружена ногтевыми валиками, а ее форма зависит от формы дистальной фаланги пальцев.
Ногтевое ложе включает в себя эпидермис и дерму. Эпидермис имеет гребенчатую поверхность, которая соответствует гребешкам и бороздкам ногтевой пластинки. Этот эпидермис называют гипонихием (состоит только из клеток базального и шиповатого слоя, способных к делению, благодаря чему ноготь растет в ширину).
Эпидермальные клетки проксимальной части гипонихия, располагающиеся под корнем ногтя, называют матриксом. Нижние клетки его пролиферируют, а верхние дифференцируются в роговое вещество. Таким образом, ноготь растет в длину, выталкиваясь из желобка и медленно скользя вдоль поверхности ногтевой фаланги к дистальной ее части. Эпидермис заднего ногтевого валика (эпонихий) плотно прикреплен к наружной поверхности ногтя. Он закрывает доступ к матриксу, защищая от внешнего воздействия, бактерий и грибов. В дерме ногтевого ложа много кровеносных сосудов и нервных окончаний.
Ноготь растет в течение всей жизни, постоянно обновляется и способен восстанавливать сам себя, за исключением ростковой зоны. Повреждение матрикса приводит к необратимым изменениям всего ногтевого аппарата. Средняя скорость роста составляет 0,1-0,12 мм в сутки. Замедляют рост ногтей чрезмерно строгая диета, недостаток витаминов и минералов, общесоматические заболевания, возраст.
При обследовании ногтей следует обращать внимание на цвет и прозрачность, толщину ногтевой пластинки, характер ее поверхности, прочность, целостность, связь с окружающими структурами.
Нормальный ноготь имеет розовый цвет из-за прозрачности ногтевой пластинки и обильного кровоснабжения ногтевого ложа. Дисхромии (изменение цвета ногтей) могут быть врожденные, наследственные и приобретенные.
Наиболее часто встречаются лейконихии — участки белого цвета в ногтях, образующиеся при дисфункции матрикса. Структура и конфигурация ногтевой пластинки при этом остается нормальной. Размеры и форма лейконихий бывают разные: точечные (после травмы или идиопатические), полосовидные (в результате трофических нарушений, инфекционных заболеваний) и тотальные (свидетельствуют о тяжелой соматической патологии). Примером могут служить ногти Терри, когда большая часть ногтя выглядит белесой, за исключением дистального отдела, имеющего вид красно-коричневого пояска. Встречается у пожилых людей и при таких тяжелых заболеваниях, как цирроз печени, застойная сердечная недостаточность и инсулинонезависимый сахарный диабет. Ногти Линдсея («половина на половину») являются наиболее постоянным индикатором хронической почечной недостаточности, регистрируются у 10% больных с этой патологией почек. Проксимальная часть ногтевых пластинок кистей (от 40 до 80% поверхности) имеет белую окраску, а дистальная часть — отчетливый коричневый цвет за счет отложения меланина.
Причинами меланонихии (гиперпигментации ногтей) могут быть травмы, опухоли, грибковые поражения и воздействие лекарственных средств (азотнокислое серебро, резорцин и фенолфталеин, зиновудин и др.).
Величина и толщина ногтевой пластины значительно варьируют от возраста, пола, анатомических особенностей и профессии. Увеличение ногтя в длину является физиологическим процессом и легко корригируется. Маленькие короткие ногти (микронихия) на пальцах кистей и стоп часто являются врожденной аномалией или обусловлены такими заболеваниями, как системная склеродермия, трофоневрозы. Врожденное отсутствие ногтевых пластинок (анонихия) принадлежит к группе редких наследственных аномалий, а приобретенная анонихия встречается при травмах матрикса ногтя, при некоторых дерматозах, а также при органических заболеваниях нервной системы.
Средняя толщина свободного края ногтевой пластинки у мужчин составляет 0,384 мм, у женщин — 0,346 мм. Патологическое изменение толщины ногтя может быть следствием как утолщения собственно ногтевой пластинки, так и гипертрофии эпителия ногтевого ложа (подногтевой гиперкератоз). Онихогрифоз — удлинение, утолщение и искривление ногтей в виде птичьего когтя, особенно часто поражаются большие пальцы стопы. При этом ногти приобретают «каменистую» плотность, не позволяющую состригать их. Причиной патологического изменения чаще всего служит нарушение микроциркуляции.
Гапалонихия, или ломкие ногти, — аномально мягкие и тонкие, ломкие ногти, вследствие уменьшения объема матрицы. Причины очень разнообразные, это может быть врожденная предрасположенность, дефицит серы, витаминов А и В, Са, хронический артрит, гипотиреоз, периферические нейропатии и ангиопатии, истощение, контакт с химическими веществами, травмы матрицы и неправильный маникюр.
Нормальная ногтевая пластинка имеет слегка выпуклую форму, что предохраняет от удара мягкие ткани. Изменения формы ногтей встречаются довольно часто. Койлонихия — ложкообразная вогнутость ногтей. Может быть врожденной или приобретенной (при травмах, эндокринных, инфекционных заболеваниях) и характерна для железодефицитной анемии. Ногти Гиппократа и изменение пальцев в виде барабанных палочек характеризуются булавовидным утолщением ногтевых фаланг, усилением выпуклости ногтевых пластинок в средней части. Они наблюдаются при заболеваниях легких, а также при сердечно-сосудистой недостаточности. Пахионихия представляет собой башенноподобное утолщение роговой массы под непораженной ногтевой пластинкой. Ноготь меняет окраску, теряет прозрачность. Может являться проявлением врожденных заболеваний (ихтиоз, фолликулярный кератоз), псориаза, экземы. Платонихия — плоская, без выпуклости или вогнутости ногтевая пластинка. Чаще носит врожденный характер.
Поверхность здоровых ногтей всегда гладкая и блестящая. Иногда просматриваются борозды, направленные параллельно ногтю и ограничивающиеся с боков слегка возвышающимися гребешками. Не рассматриваются как патологическое явление, появляются еще в детстве, хорошо заметны у взрослых, и их можно обнаружить у каждого пожилого человека. Могут быть более выражены при заболеваниях желудочно-кишечного тракта. Причиной возникновения поперечной борозды (борозда Бо) может служить острое инфекционное заболевание, инфаркт миокарда, шок, высокая лихорадка, интоксикация, травма, тяжелое нервное потрясение. Точечная онихия, или наперстковидная дистрофия ногтей, часто встречается при дерматозах, особенно при псориазе, и системных заболеваниях. Каналообразная дистрофия ногтей проявляется образованием желобка или трещины с утолщенными краями, который проходит посредине ногтя во всю длину. Одной из причин ее возникновения может быть привычка постоянно теребить, тереть свои ногти. Шлифованные или полированные ногти являются признаком наличия у больного зуда.
Повышенная ломкость ногтевых пластин может проявляться продольным (онихорексис) или пластинчатым поперечным (онихошизис) расщеплением. Часто обусловлена такими экзогенными факторами, как контакт с химическими средствами, работа во влажной среде, неправильный маникюр и др., а также встречается при дефиците витаминов А и В2, недостатке питания, дерматозах, эндокринопатиях, заболеваниях печени и желчевыводящих путей.
Здоровый ноготь плотно прилегает к ногтевому ложу. Частичное или полное отслоение называется онихолизис. Различают следующие виды онихолизиса: травматический онихолизис; онихолизис прикожных болезнях; онихолизис при системных заболеваниях (сифилис, при болезнях сердечно-сосудистой системы, нервной или пищеварительной систем); онихолизис при эндокринных нарушениях; онихолизис при грибковых и бактериальных инфекциях (руброфития, эпидермофития, кандидоз, пиодермия). Онихомадезис — тотальное отслоение ногтевой пластинки, начинающееся с проксимального края ногтевого ложа, встречается при травмах, инфекционных болезнях (скарлатина), гнездной алопеции, эритродермии, фототоксических реакциях (тетрациклин) или синдроме Лайела, бурно протекающих паронихиях, вызванные грибами рода Сandida либо патогенными бактериями (стрептостафилококковой флоры).
Лечение ониходистрофий надо начинать с тщательного поиска причины их возникновения и ее устранения. Помимо этого назначают средства и методы, улучшающие микроциркуляцию в конечностях (ангиопротекторы, физиотерапевтические процедуры, массаж). Рекомендованы витаминно-микроэлементные препараты, например такие как пивные дрожжи Эвисент с повышенным содержанием серы. Это натуральный витаминно-минеральный комплекс, произведенный по уникальной технологии, сохраняющей максимальное количество витаминов группы В, Е, микро- и макроэлементов, полиненасыщенных жирных кислот.
Местная терапия ониходистрофий включает в себя достаточно широкий спектр как терапевтических, так и косметических препаратов. В случаях выраженной деформации, с эстетической целью, приходится прибегать к косметической коррекции ногтевых пластин.
Пациентам рекомендуют адекватный уход за ногтями и щадящий режим: необходимо избегать контакта с агрессивными жидкостями, поверхностно-активными средствами в быту и на производстве, использовать защитные перчатки.
В заключение хочется подчеркнуть, что лечение ониходистрофий должно учитывать индивидуальные особенности каждого больного, быть комплексным, по возможности корригирующим патогенетические предпосылки заболевания и длительным.
Литература
И. Б. Мерцалова, кандидат медицинских наук
РМАПО, Москва
Ониходистрофия
Ониходистрофия - изменение структуры, формы, цвета ногтей вследствие аномально протекающих трофических процессов, врождённых или приобретённых. Визуально патология проявляется помутнением, истончением ногтевых пластинок, признаками поперечного или продольного расслоения, шероховатостью, шелушением, появлением борозд и точечных вдавлений, частичным или полным разрушением ногтя. Диагностируют ониходистрофию на основании клинической картины, микроскопии соскобов с очага поражения. Для раннего выявления патологии используют исследование сыворотки крови на активность щелочной фосфатазы. Лечение длительное, основа - витаминно-минеральные комплексы, массаж, физиотерапия.
Общие сведения
Ониходистрофия - совокупность патологических изменений ногтей, обусловленных нарушениями трофики ногтевого аппарата. Заболевание не имеет возрастных, сезонных, гендерных, расовых особенностей, неэндемично. Ониходистрофия может являться симптомом соматической патологии или диагностироваться как самостоятельный патологический процесс. Большой проблемой в диагностике ониходистрофии является её сходство с проявлениями онихомикоза. Неоднозначность диагностики влечёт за собой проблемы в лечении. Из-за присутствия в соскобах из очага поражения дополнительных биологических включений (условно-патогенных микробов, грибов-контаминантов) участились случаи диагностических ошибок, некорректного назначения антимикотических средств, что ведёт к развитию осложнений, нарушает качество жизни пациентов. Актуальность проблемы диктуется тем, что ониходистрофии могут быть первыми проявлениями серьезной системной патологии.
Причины ониходистрофии
Ноготь - это роговая пластинка, химический состав которой индивидуален и генетически запрограммирован, что определяет разные проявления ониходистрофии, возникающие при одних и тех же условиях. Воспроизводство роговых клеток, иннервацию, кровоснабжение обеспечивает эпидермальный матрикс ногтевого ложа, на котором расположен ноготь. Суть патологических проявлений ониходистрофии связана с качеством сцепления ногтевой пластинки и ногтевого ложа.
Триггерами ониходистрофии могут явиться врождённые аномалии, дерматозы, болезни внутренних органов, интоксикации, авитаминозы, недостаток минералов в организме, травмы различного генеза, стресс, опухоли. В основе патологии лежит разбалансировка саморегулирующегося клеточного метаболизма, которая в сочетании с внеклеточными нарушениями трофики через несколько стадий структурных изменений в тканях приводит к ониходистрофии. Степень выраженности трофических изменений на каждой стадии определяет клинику заболевания.
Стадия инфильтрации характеризуется накоплением продуктов обмена из крови и лимфы в клетке или межклеточном веществе, деформацией ногтевой пластины. Декомпозиция приводит к распаду ультраструктур клеток и межклеточного вещества, изменению обменных процессов в роговой ткани, расслоению ногтя. Патологический синтез белков нарушает процесс кератинизации, деформируя ноготь. Стадия трансформации приводит к инверсии веществ, необходимых для нормального роста и развития ногтя: вместо белков, жиров и углеводов синтезируется что-то одно, теряется связь ногтя с ногтевым ложем, меняется его окраска. Так возникает и развивается ногтевая дистрофия.
Классификация ониходистрофии
Всеобъемлющей общепризнанной классификации в современной дерматологии не существует. На наш взгляд, наиболее удобным является деление ониходистрофий по причинам их возникновения с акцентом на специфику клинических проявлений. Различают врождённые ониходистрофии, как следствие генных мутаций и передачи наследственной предрасположенности, и приобретённые ониходистрофии - гетерогенный результат нарушения трофики. Врождённые ониходистрофии клинически проявляются следующими видами:
1. Онихомадезисом - проявляется в виде быстрого отделения ногтя от ложа с дистального края, чаще всего, как следствие травмы или воспаления; наследуется генетическая предрасположенность к патологии.
2. Койлонихией - наследственной предрасположенностью к спонтанно возникающему овальному углублению в центре ногтевой пластинки.
3. Анонихией - врождённым отсутствием ногтевой пластинки, передающимся из поколения в поколение.
4. Платонихией - врождённой патологией в виде ровного, плоского ногтя.
5. Микронихией - врождёнными короткими, маленькими ногтевыми пластинками на руках, реже - ногах.
6. Ногтями Гиппократа - наследственной аномалией с выпуклыми ногтевыми пластинками, «барабанными пальцами».
Приобретённые ониходистрофии могут являться самостоятельными нозологиями или составной частью симптомокомплекса соматических патологий, дерматозов, визуально проявляющихся в виде изменений ногтевых пластинок. К первой группе (изолированных заболеваний) относятся:
- Онихошизис - дистрофическое расслоение ногтя поперёк на несколько составляющих без явлений воспаления;
- Поперечные борозды Бо (маникюрная ониходистрофия) - радугообразное углубление в ногте от края до края, самая частая разновидность ониходистрофии;
- Срединная каналиформная ониходистрофия - отличительной особенностью является «симптом ёлочки»: центральная трещина - ствол, от которого отходят бороздки-ветви, является следствием травмы;
- Онихолизис - потеря связи с ногтевым ложем при сохранении целостности последнего с медленным отслоением ногтя из-за травмы или инфекции;
- Онихогрифоз - гиперутолщение и искривление ногтя возрастного характера;
- Лейконихия - патологическая окраска ногтей в результате дисфункции матрикса. Может быть точечной (мелкие пятна разного диаметра), полосовидной (возникновение одной широкой или нескольких узких белесых полос поперечно оси ногтя - линии Мюрке), тотальной (с белесыми пробелами по всей поверхности ногтя), частичной (половина ногтя белая, оставшаяся часть - без изменений);
- Гиперпигментация - возникает как следствие накопления гемосидерина, меланина. Проявляется синдромом жёлтых ногтей (состоит из триады признаков: ониходистрофия, соматическая патология, заболевание лимфатической системы); лекарственной пигментацией (возникает в результате использования антибиотиков тетрациклинового ряда, резорцина, косметических лаков); подногтевой дистрофией (характеризуется продольными кровоизлияниями в подногтевое пространством из-за травмирования ногтевого ложа).
Приобретённые ониходистрофии, как часть других заболеваний, могут быть представлены различными формами. Так, онихорексис - дистрофическое расслоение ногтя вдоль - считается одним их признаков красного плоского лишая, экземы, псориаза. Продольные борозды ногтя, возникающие из-за недостатка железа, белка или фолиевой кислоты, могут указывать на нарушения в сердечно-сосудистой системе, ревматоидный артрит. Линии Ми - белые полосы поперёк ногтя - служат симптом отравления мышьяком. Склеронихия - чрезвычайная твёрдость ногтя и гапалонихия - очень мягкий обламывающийся ноготь, выступают симптомом эндокринных нарушений. Трахионихия - мутный, шершавый, расслаивающийся, «песчаный» ноготь - обычно возникает при иммунодефиците. «Напёрсточная» ониходистрофия - испещрённость поверхности ногтя вдавлениями, напоминающими напёрсток, сопутствует псориазу.
Симптомы и диагностика ониходистрофии
Клинические проявления ониходистрофии соответствуют её разновидностям. Однако есть общие клинически признаки заболевания, связанные с нарушением прочности, эластичности, цветовых оттенков ногтей. Прочность страдает из-за расстройства трофики. Визуально в толще роговых слоёв ногтей видна продольная, поперечная исчерченность, борозды, углубления. Пигментные нарушения, инфекции меняют телесный цвет ногтя на белесый или жёлтый. Трансформируются контуры ногтей, ногтевые пластины становятся чрезмерно выпуклыми или нетипично плоскими. Приоритетным симптомом является полная или частичная потеря связи ногтя с матрицей. Такие изменения могут сопровождаться явлениями местного воспаления или протекать бессимптомно. Субъективных ощущений не наблюдается за исключением случаев, когда ониходистрофия является симптомом соматической патологии.
Диагноз ониходистрофии ставит дерматолог на основании анамнеза, клинической картины. Обязательно производится взятие соскоба с ногтей на грибы. Для ранней диагностики проводят исследование сыворотки крови на активность щелочной фосфатазы (ЩФ). Более точной диагностике способствуют такие методы исследования, как дерматоскопия, конфокальная микроскопия. Дифференцируют ониходистрофию с дерматомикозами, истинной пузырчаткой, пемфигоидом Левера, дерматитом Дюринга, буллёзным эпидермолизом, акродерматитами, красным плоским лишаём, псориазом, экземой, болезнью Девержи, дискератозом Дарье, гонореей, лепрой, сифилисом.
Лечение ониходистрофии
Терапию проводят под наблюдением дерматолога. Если возможно, исключают причину, вызвавшую ониходистрофию, осуществляют этиотропную терапию. Лечение комплексное. Приоритет отдают минералам, витаминам, аминокислотам, являющимся необходимыми элементами для восстановления химического состава ногтя. Применяют препараты, улучшающие микроциркуляцию в тканях, ангиопротекторы, иммуностимулирующие, общеукрепляющие средства; лекарства, улучшающие эмоциональную сферу пациента. В тяжёлых случаях назначают кортикостероиды, ретиноиды, хинолины, цитостатики.
Местно применяют тёплые ванночки на травах, с морской солью, эфирными маслами, питательные и увлажняющие кремы. Эффективны парафиновые аппликации с натуральным воском, озокеритом, грязями. Хорошо зарекомендовали себя ионофонофорез с витаминами, УФО, ПУВА-терапия, диатермия, иглорефлексотерапия, массаж. Применяют кератолитические пластыри по назначению врача.
С целью предупреждения ониходистрофии необходимо правильно питаться (преобладание фруктово-овощной, белковой диеты, продуктов, содержащих желатин), исключить контакты с бытовой химией, лаками для ногтей. Показано санаторно-курортное лечение. Прогноз относительно благоприятный с учётом эстетической составляющей процесса, нарушающей качество жизни пациента.
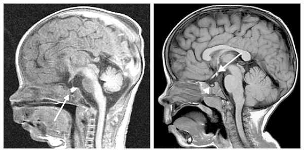
Гипофизарный нанизм (карликовость) - симптомы и лечение
Что такое гипофизарный нанизм (карликовость)? Причины возникновения, диагностику и методы лечения разберем в статье доктора Скворцовой Ольги Викторовны, детского эндокринолога со стажем в 9 лет.
Над статьей доктора Скворцовой Ольги Викторовны работали литературный редактор Маргарита Тихонова , научный редактор Сергей Федосов и шеф-редактор Лада Родчанина
Определение болезни. Причины заболевания
Гипофизарный нанизм, или гипопитуитаризм — это заболевание, при котором частично или полностью прекращается выработка гормона роста — соматотропина (соматотропного гормона) [1] . Оно сопровождается нарушением роста скелета, из-за чего мужчины не вырастают выше 130 см, а женщины — выше 120 см. В связи с этим характерным проявлением болезнь также называют карликовостью.

Наиболее частые причины гипофизарного нанизма:
- Наследственность — мутации в гене соматотропного гормона (GH1) или его рецепторах. Частота встречаемости врождённого гипопитуитаризма колеблется от 1:4000 до 1:10000 [5] .
- Дефекты развития гипоталамо-гипофизарной системы — области головного мозга, где вырабатывается соматотропный гормон:
- гипоплазия (недоразвитие) гипофиза;
- полное отсутствие гипофиза. При этом дефицит гормона роста сочетается с нехваткой других гормонов, которые вырабатываются в гипофизе. Такое состояние называется пангипопитуитаризмом. Оно проявляется надпочечниковой недостаточностью, ухудшением работы щитовидной железы (гипотиреозом), несахарным диабетом, гипогонадотропным гипогонадизмом (отсутствием полового развития и дефицитом гормона роста).
- Опухоли гипофиза:
- краниофарингиома — доброкачественная опухоль гипофизарной области, одна из самых распространённых в детском возрасте;
- гамартома — редкий вид доброкачественной опухоли;
- герминома — редкий вид опухоли, чаще всего бывает злокачественной — и др.
- Травмы головного мозга с повреждением гипофиза, возникшие до того, как человек достиг социально приемлемого роста — 155-170 см (например, родовая травма).
- Инфекционные заболевания — менингиты, энцефалиты и др.
- Облучение головы и шеи.
- Токсические последствия химиотерапии.
Теоретически, спровоцировать развитие гипофизарного нанизма может любое заболевание, которое будет затрагивать работу гипофиза.
При обнаружении схожих симптомов проконсультируйтесь у врача. Не занимайтесь самолечением - это опасно для вашего здоровья!
Симптомы гипофизарного нанизма
Гипофизарный нанизм проявляется по-разному. Симптоматика зависит от причин дефицита гормона роста.
Основной симптом — отставание в темпах линейного роста [2] . Такие дети вырастают менее чем на 4 см в год. Нарушение динамики роста будет заметно уже в первые месяцы жизни ребёнка. Если повреждение гипоталамуса или гипофиза возникло в более позднем возрасте, то отставание в росте будет отмечаться позднее. Также для детей с гипофизарным нанизмом характерно отставание костного (биологического) возраста от паспортного (фактического) более чем на 2-3 года.

При нехватке гормонов роста телосложение остаётся пропорциональным. Это важный диагностический критерий: он позволяет исключить разные формы скелетных дисплазий [9] .

Симптомами врождённого гипофизарного нанизма у новорождённых являются:
- гипогликемия — низкий уровень глюкозы в крови натощак. Это физиологическое состояние может встречаться и у здоровых детей из-за незрелости поджелудочной железы. Дети с нанизмом сталкиваются с ним гораздо чаще, особенно на первом году жизни, поскольку гормон роста участвует в регуляции углеводного обмена;
- позднее закрытие большого родничка;
- задержка костного созревания;
- истончение кожи — может быть связано со снижением функции щитовидной железы;
- медленный рост ногтей и волос;
- высокий голос.
Часто у детей с гипопитуитаризмом встречается множественный кариес зубов. Это объясняется задержкой окостенения скелета и снижением обменных процессов в костной ткани.
Психоинтеллектуальное развитие у детей с гипофизарным нанизмом, как правило, не страдает, но возможны некоторые психологические проблемы: повышенная потребность в родительской опеке, снижение самооценки, трудности в общении со сверстниками.
Патогенез гипофизарного нанизма
В зависимости от причин дефицита соматотропного гормона есть несколько вариантов механизмов развития заболевания. При этом в основе патогенеза всегда будет лежать нарушение выработки гормона роста. В дальнейшем его нехватка станет причиной нарушения работы органов и систем, на которые он оказывает влияние: костной, мышечной и соединительной ткани, жирового углеводного обмена. В некоторых случаях первоначально будут развиваться гипоталамические нарушения, а недостаточность соматотропного гормона станет вторичным проявлением.

Молекулярной основой изолированного дефицита гормона роста является мутация определённого гена, которая не даёт организму синтезировать гормон. От видов генетических мутаций зависит, будет ли дефицит соматотропного гормона изолированным, или же он будет сочетаться с нехваткой других гормонов гипофиза, которые лежат в основе других патологий:
- дефицит тиреотропного гормона — вторичный гипотиреоз;
- дефицит пролактина — гипопролактинемия;
- дефицит гонадотропинов — аменорея и недоразвитие половых органов у женщин, снижение потенции и либидо у мужчин;
- дефицит АКТГ — вторичная недостаточность надпочечников;
- дефицит вазопрессина — несахарный диабет;
- дефицит кортизола — гипокортицизм.
У некоторых пациентов с мутацией конкретных генов выявляется гиперплазия передней доли гипофиза (аденогипофиза). В процессе жизни может произойти её атрофия вплоть до формирования синдрома "пустого турецкого седла" — недостаточности области головного мозга, где расположен гипофиз. Данный синдром приводит к внедрению мягкой мозговой оболочки в полость турецкого седла, сдавлению и уменьшению гипофиза, что нарушает или полностью прекращает его работу.

В подобных случаях дефицит гормона роста и других гормонов гипофиза будет возникать постепенно [3] .
Классификация и стадии развития гипофизарного нанизма
Единой, общепринятой классификации гипофизарного нанизма не существует. Наиболее удобной для практикующих врачей является классификация, основанная на причинах заболевания. Она выделяет две большие группы: врождённый и приобретённый гипопитуитаризм [4] .
Врождённый гипофизарный нанизм делится на три подгруппы:
- Наследственный:
- изолированный дефицит гормона роста: мутации гена самого гормона (GH1) или мутации гена рецептора к соматотропину (GHRHR);
- множественный дефицит гормонов передней доли гипофиза: мутации гена PIT-1 или гена PROP1.
- Идиопатический (незафисимый) дефицит СТГ-релизинг гормонов, которые стимулируют выработку гормонов передней доли гипофиза.
- Дефекты развития гипоталамо-гипофизарной системы:
- патология срединной трубки;
- нарушение развития гипофиза: врождённая аплазия (отсутствие гипофиза), гипоплазия (недоразвитие), эктопия (неправильное расположение).
Приобретённый гипофизарный нанизм включает в себя девять причин развития болезни:
- Опухоли гипоталамуса и гипофиза: краниофарингиома, гамартома, нейрофиброма, герминома, аденома гипофиза.
- Опухоли других отделов мозга: глиома зрительного перекреста.
- Травмы: черепно-мозговая, хирургическое повреждение ножки гипофиза.
- Инфекционные заболевания: вирусный, бактериальный энцефалит и менингит, неспецифический гипофизит (воспаление гипофиза).
- Супраселлярные арахноидальные кисты — полые опухоли, заполненные жидкостью (ликвором), которые распространяются в полость черепа.
- Сосудистые нарушения: аневризмы сосудов гипофиза, инфаркт гипофиза.
- Облучение головы и шеи по поводу лейкемии, медуллобластомы, ретинобластомы; общее облучение всего тела (при пересадке костного мозга).
- Токсические последствия химиотерапии.
- Инфильтративные болезни: саркоидоз, гистиоцитоз.
Осложнения гипофизарного нанизма
Осложнения заболевания связаны с утратой воздействия гормона роста на органы и системы. Они развиваются вследствие несвоевременной диагностики.
У новорождённого с дефицитом соматотропина относительную опасность может представлять гипогликемическое состояние, поскольку этот гормон играет важную роль в регуляции углеводного обмена. Клинически гипогликемия проявляется бледностью, потливостью, повышенным аппетитом, беспокойством ребёнка, иногда наблюдается судорожный синдром [5] .

Так как сомтатотропин усиливает синтез белка и тормозит его распад, у детей с дефицитом этого гормона может снизиться уровень общего белка в организме и его фракций. Это сказывается на общем физическом развитии: снижается иммунитет, повышается риск присоединения других гормональных сопутствующих нарушений.
Значительная часть эффектов гормона роста передаётся через ИПФР-I (инсулиноподобный фактор роста-I). Он вырабатывается в печени под действием соматотропина и стимулирует рост внутренних органов. Вследствие дефицита соматотропного гормона рост и своевременное развитие органов может частично нарушиться. Это приводит к нарушению работы печени, почек, сердечно-сосудистой системы. Такое осложнение встречается нечасто.
При дефиците гормона роста совместно с другими гормонами гипофиза (пангипопитуитаризме) будет развиваться недостаточность других эндокринных желёз — щитовидной железы, надпочечников, репродуктивной системы. Несвоевременная диагностика этих нарушений после рождения опасна для жизни, а также может стать причиной необратимым нарушений психического или интеллектуального развития.
Диагностика гипофизарного нанизма
Диагностика заболевания начинается с оценки линейного роста ребёнка и скорости прибавки в росте. Для этого врачи сравнивают фактические параметры ребёнка с предполагаемым ростом и среднестатистической скоростью роста. Подставив все данные в специальную формулу, они вычисляют коэффициент стандартного отклонения. Если у ребёнка отставание в росте больше двух сигмальных отклонений, плохая скорость прибавки роста, то проводится дальнейшее обследование.
Затем врачи определяют костный возраст. Сделать это можно с помощью рентгена или УЗИ запястья. В норме костный возраст может отставать или опережать паспортный на два года.

Также важно провести оценку гормонального профиля:
- уровень тиреотропного гормона (ТТГ) и свободного тироксина (Т4) — проверка работы щитовидной железы;
- уровень кортизола и АКТГ (кортикотропина) — исключение нарушений работы надпочечников [10] ;
- уровень лютеинизирующего гормона (ЛГ) и фоллитропина (ФСГ) — исключение гипогонадотропного гипогонадизма в возрасте, когда должно начаться половое созревание;
- инсулиноподобный фактор роста-I (ИПФР-I) — оценка уровня гормона роста.
Прямая оценка уровня соматотропина, как правило, не проводится. Гормон роста в течение суток выделяется в разном количестве, поэтому узнать его истинный уровень невозможно.
При необходимости проводится МРТ головного мозга и гипофиза с контрастированием [6] . Она позволяет исключить или подтвердить наличие объёмных образований области гипофиза и головного мозга.

Для дифференциальной диагностики задержки роста, не связанной с гормоном роста, исключают дефицит железа, дефицит витамина D, общего белка и другие дефицитные состояния, т. к. их наличие может отрицательно влиять на скорость линейного роста. Рентгенография черепа в данном случае не информативна.
Для исключения определённых генетических синдромов может потребоваться консультация генетика.
При подозрении на истинный дефицит гормона роста проводятся пробы на стимуляцию соматотропина. Эти провокационные тесты стимулируют выброс гормона роста при введении определённых препаратов. Они проводятся только после исключения других возможных причин низкорослости. На основании этих проб, при отсутствии должного выброса гормона роста, будет установлен диагноз "гипопитуитаризм".
Лечение гипофизарного нанизма
Лечение проводится рекомбинантным гормоном роста, который получают методом генной инженерии. Он назначается после исключения активных злокачественных новообразований и тяжёлых сопутствующих заболеваний (как физических, так и психических). Эти состояния являются противопоказанием к использованию данного препарата.
Если имеются другие дефициты гормонов гипофиза, то перед лечением их также нужно компенсировать. Иначе должного эффекта от применения гормона роста не будет.

Цели лечения:
- ускорить темп роста и нормализовать рост;
- стимулировать начало периода полового созревания с нормальным ростом;
- достичь генетически прогнозируемого роста ребёнка или опередить его;
- улучшить качество жизни;
- повысить минеральную плотность костей;
- снизить факторы риска сердечно-сосудистых заболеваний.
Противопоказания к назначению рекомбинантным гормоном роста:
- закрытые зоны роста, за счёт которых происходит линейный рост (при их закрытии человек перестаёт расти);
- активные злокачественные новообразования;
- прогрессирующий рост внутричерепных опухолей;
- аллергия на препарат.
Прекращают терапию гормоном роста при:
- закрытии зон роста;
- плохой скорости прибавки роста — менее 2 см в год;
- достижении социально приемлемого роста.
Крайне редко возможны побочные эффекты и осложнения при терапии гормоном роста:
- доброкачественная внутричерепная гипертензия — повышение внутричерепного давления;
- боли в суставах — обычно наблюдаются при значительном ускорении линейного роста;
- возможно усугубление заболеваний, связанных с недифференцированными дисплазиями соединительной ткани (сколиозов);
- отёки — связано с функцией гормона роста задерживать жидкости в организме;
- пубертатная гинекомастия — увеличение грудных желёз за счёт разрастания железистой ткани у мальчиков [7] .
Прогноз. Профилактика
Прогноз заболевания при своевременной диагностике и проведении должного лечения, как правило, благоприятный. Дети достигают своего генетически прогнозируемого роста и иногда даже опережают его.
Если дефицит гормона роста сочетается с дефицитом других гормонов гипофиза, то для достижения желаемого эффекта, профилактики ухудшения состояний и более лёгкой социальной адаптации ребёнка необходимо лечение других дефицитов.
Также очень важен чёткий и своевременный контроль во время лечения гормоном роста: оценка динамики линейного роста, гормонального статуса и костного возраста. Особое внимание необходимо уделять режиму лечения и своевременной коррекции дозы препарата с учётом прибавки в росте и весе. При применении соматотропного гормона доза препарата будет увеличиваться. При несвоевременной прибавке дозы динамика роста может ухудшится [8] .
Мониторинг детей, находящихся на лечении, проводится раз в полгода, при других сопутствующих дефицитах гормонов гипофиза — по показаниям.
Вопрос профилактики данного заболевания сложен, т. к. речь идёт о генетических нарушениях. В первую очередь важен ответственный подход будущих родителей к рождению ребёнка:
- своевременное обследование и лечение заболеваний;
- восполнение дефицитов при планировании беременности;
- отказ от вредных привычек.
Для профилактики дефицита гормона роста, который возникает вследствие другого заболевания (инфекции, опухоли, травмы), следует проводить профилактики первоисточника.
Деформация ногтей
Деформация ногтей - различные изменения поверхности и формы ногтевых пластин, вызванные эндогенными или экзогенными причинами. Наиболее часто встречаются следующие виды деформации ногтей: продольные или поперечные бороздки, выпуклые ногти в виде часовых стекол, вогнутые ложкообразные ногти, плоские ногти, деформация по типу «наперстка» и др. Для определения причин, вызвавших деформацию ногтей, необходимо обращение к дерматологу (микологу, подологу). При деформации ногтей может потребоваться проведение местной и системной терапии, коррекции или резекции/удаления ногтевой пластины.
В норме ногтевые пластинки имеют гладкую, ровную, слегка выпуклую форму; ровные края, правильные очертания; бесцветную (матовую или слегка блестящую) поверхность, эластичную структуру. Сквозь полупрозрачную ногтевую пластинку просвечивает ногтевое ложе, богатое капиллярами и потому имеющее розоватый цвет. Деформация ногтей - изменение состояния ногтевой пластины, при котором ногти теряют однородность своей структуры, нормальную толщину и выпуклость. В дерматологии различные виды деформации ногтей относят к ониходистрофиям. Изменение внешнего вида ногтей - это не просто безобидный косметический недостаток. Довольно часто деформации ногтей (искривление поверхности, потеря прозрачности, дисхромия и др.) являются следствием хронических дерматозов и соматических заболеваний, требующих незамедлительного лечения.
Причины деформации ногтей
Врожденные деформации ногтей обусловлены пороками эктодермы, из которой, начиная с конца III месяца внутриутробного развития, начинает формироваться ногтевое ложе, ногтевые валики и ногтевая кожица, а с VII-VIII месяца - ногтевые пластинки. В клинической практике чаще встречаются приобретенные деформации, возникающие вследствие неблагоприятных эндо- и экзогенных воздействий на матрицу ногтя и другие структуры, в результате чего нарушается питание и рост ногтей.
Примерно половина случаев деформаций ногтей вызвана их грибковым поражением - онихомикозами (поверхностным белым, подногтевым дистальным, подногтевым проксимальным, тотальным дистрофическим). Распространенными причинами деформации ногтей являются кожные заболевания: псориаз, экзема, красный плоский лишай. Довольно часто к изменению формы ногтевых пластин приводит их механическое повреждение: ушибы, защемление, неправильная обработка кутикулы при проведении маникюра или педикюра, неправильное подрезание ногтей. При этом деформацию ногтей может вызвать не только травма самой ногтевой пластинки, но и ногтевого ложа или ногтевого валика. У лиц с психопатическим расстройством личности нередко наблюдается привычка к искусственному повреждению ногтевых пластин (онихотилломания).
Изменение структуры и формы ногтей может быть обусловлено взаимодействием с различными химикатами: моющими и чистящими средствами, удобрениями, растворителями, ацетоном и другими агрессивными веществами. Деформации ногтей часто наблюдаются у лиц определенных профессий (например, парикмахеров), а также женщин, часто прибегающих к наращиванию ногтей, декоративному покрытию ногтей лаками сомнительного качества (особенно содержащих формальдегид). Кроме этого, ониходистрофия может быть связана с применением некоторых лекарственных веществ (в частности, антибиотиков), проведением химиотерапии и т. п.
Часто ногти изменяют свою структуру вследствие дефицита витаминов и микроэлементов: у детей раннего возраста - при гиповитаминозе D; у взрослых - при недостатке витамина В1, дефиците кальция, железодефицитных анемиях. В некоторых случаях деформация ногтей является следствием белкового голодания, например, у лиц, следующих жестким диетам. Большую группу причин, вызывающих вторичную деформацию ногтей, составляет хронические заболевания внутренних органов (легких, сердечно-сосудистой системы, ЖКТ), эндокринные расстройства, коллагенозы, общие инфекции, онкологические процессы.
Виды и характеристика деформации ногтей
Различные деформации ногтей не являются строго патогномоничными признаками определенного заболевания, однако по виду ногтевых пластин можно с высокой степенью достоверности судить о наличии той или иной патологии.
«Гиппократовы ногти» или ногти в форме «часовых стекол» имеют выпуклую шаровидную форму и обычно сочетаются с деформацией пальцев в виде «барабанных палочек». Такие ногти чаще всего служат отражением гипертрофической легочной остеоартропатии (бронхоэктатической болезни, эмфиземы или туберкулеза легких, гнойного плеврита, абсцесса легких, рака легких). Также подобная деформация ногтей характерна для врожденных пороков сердца «синего типа», затяжного септического эндокардита, сердечной недостаточности, аневризмы аорты, билиарного цирроза печени. Иногда «гиппократовы» ногти являются наследственной или врожденной особенностью, не связанной с какими-либо патологическими состояниями.
Онихогрифоз или деформация ногтей в виде «птичьего когтя» характеризуется искривлением и утолщением ногтевых пластин. Ногти приобретают форму рога или спирали; становятся очень плотными, изменяют цвет на желтый, грязно-серый или черный. Подобная деформация ногтей развивается в пожилом и старческом возрасте, в результате ношения узкой обуви, ожогов или обморожения пальцев, онихомикозов, генерализованного кандидоза и т. д.
Койлонихия - ложкообразная деформация поражает только ногтевые пластины пальцев кистей. Поверхность ногтей становится вогнутой, однако их толщина и структура не изменяется. Ложкообразная деформация ногтей может быть обусловлена механической травматизацией, воздействием кислот и щелочей, наследственностью; реже - заболеваниями (болезнью Аддисона, железодефицитной анемией, брюшным тифом и др.).
Платонихия (плоские ногти) чаще является врожденной аномалией, однако возможно развитие деформации при воздействии профессиональных факторов, псориазе, циррозе печени и др. В этом случае обычно поражаются все ногтевые пластинки.
Поперечные бороздки на ногтях (линии Бо) могут появляться после перенесенного гриппа, желтухи, при болезни Рейно, сирингомиелии, анорексии. Глубина бороздок зависит от тяжести поражения матрикса ногтя и может достигать 1 мм. Цвет углублений не отличается от цвета всей ногтевой пластинки. При наличии множества бороздок и гребешков ноготь приобретает волнистую форму. Продольные бороздки на ногтях (ребристые, гофрированный ногти) обычно свидетельствуют о неправильном или несбалансированном питании, дефиците витаминов, нарушениях всасывания в кишечнике.
Наперстковидная или точечная деформация ногтей характеризуется наличием множества точечных ямок на поверхности ногтевой пластины. Мелкие углубления имеют диаметр от 0,3 до 1-1,5 мм и глубину до 1 мм; их количество может варьировать от 2-3 штук до нескольких десятков. Такая форма ониходистрофии типична для экземы, псориаза, ревматизма, туберкулеза легких. При различных видах деформаций ногтей часто встречаются лейконихия (белые пятна на ногтях), ломкость, расслоение ногтей, врастание ногтевой пластины.
Диагностика и лечение деформации ногтей
При появлении деформации ногтей необходимо обратиться к дерматологу или специалисту более узкого профиля - подологу или микологу. Во время осмотра ногтевых пластин под лампой-лупой врач оценивает форму, цвет, толщину, твердость, прозрачность ногтей. Определить причину ониходистрофии может помочь микроскопия ногтевых пластинок на грибы, спектральный анализ на микроэлементы, анализ содержания витаминов в крови. Возможно, пациенту с деформацией ногтей потребуется консультация других специалистов - пульмонолога, кардиолога, хирурга и др.
Лечение ониходистрофии должно быть нацелено на устранение первопричины, повлекшей за собой деформацию ногтей. Так, при онихомикозе проводится курсовое лечение грибкового заболевания, медикаментозная обработка ногтевых пластинок, при необходимости - удаление ногтя хирургическим, лазерным или радиоволновым методом. В терапии ониходистрофий находят применение сосудистые средства (никотиновая кислота, пентоксифиллин), физиотерапия (УВЧ, дарсонвализация, амплипульстерапия). Коррекция вросших и деформированных ногтей может производиться с помощью В/S-пластин, скоб, полускоб Goldstadt. В качестве косметической меры для сокрытия дефекта может использоваться протезирование ногтевых пластин.
Отрастанию здоровой ногтевой пластины способствует полноценное питание, прием витаминно-минеральных комплексов, домашних уход за ногтями (ванночки для рук и ног с морской солью и эфирными маслами, увлажняющие кремы для ногтевых пластин). Среди салонных процедур ухода за руками и ногами следует обратить внимание на парафинотерапию, массаж, европейский или аппаратный маникюр и педикюр, покрытие ногтей лечебными лаками. Во время лечения деформации ногтей рекомендуется отказаться от нанесения декоративных лаков, полировки ногтей, наращивания ногтей.
Предупредить деформацию ногтей позволяет исключение травм ростковой зоны ногтя при маникюре и педикюре, отказ от ношения тесной обуви, защита рук при работе с агрессивными жидкостями, использование качественных средств для ухода за ногтями. Чрезвычайно важным представляется своевременное выявление и терапия фоновых заболеваний.
Пахионихия
Пахионихия - дерматологическое состояние различного происхождения, которое проявляется изменением структуры, толщины и формы ногтей, что в некоторых случаях приводит к их потере. Симптомом этого состояния является утолщение, иногда весьма значительное, ногтевой пластинки с деформацией и изменением цвета - такие нарушения, в зависимости от их причин, могут захватывать один ноготь или несколько (вплоть до всех). Диагностика пахионихии производится на основании результатов осмотра специалистом, для определения этиологии заболевания могут применяться разнообразные клинические исследования. Лечение пахионихии зависит от причин, которыми обусловлены изменения ногтей. Для некоторых форм этиотропной терапии не существует.
Пахионихия - одна из форм ониходистрофии, которая характеризуется утолщением ногтевой пластинки, изменением формы и иногда цвета ногтей, в тяжелых случаях может приводить к их потере. Это состояние может быть как приобретенным, так и врожденным, в том числе - обусловленным некоторыми генетическими заболеваниями. Еще в начале 20-го века немецкие дерматологи Ядассон и Левандовский открыли наследственную патологию, одним из основных проявлений которой было утолщение ногтевых пластинок. Пахионихия считается довольно распространенным состоянием в дерматологии. Часто сопровождает некоторые кожные (псориаз, экзема и другие) и обменные заболевания. В некоторых случаях может возникать как компонент возрастных изменений у пожилых людей. Возраст развития пахионихии, распространенность поражения и другие особенности клинического течения этого состояния достаточно сильно различаются в зависимости от причин заболевания, поэтому некоторые специалисты рассматривают пахионихию как симптом определенных нарушений, а не как самостоятельную дерматологическую патологию.
Причины пахионихии
Основной причиной развития пахионихии является нарушение питания или формирования ногтевой пластинки, что внешне проявляется ее утолщением, деформацией, гиперкератозом кожи под ногтем и другими симптомами. В случае приобретенных форм этого состояния причиной развития изменений могут становиться инфицирование ногтя грибком, химическое воздействие и хроническое воспаление ногтевого валика - именно в нем происходит формирование новых тканей ногтевой пластинки. Этиологическими факторами приобретенных форм пахионихии также являются псориаз, экзема, красный плоский лишай и другие состояния в тех случаях, когда они затрагивают ногтевой валик и ложе. У пожилых людей утолщение ногтей происходит из-за нарушения микроциркуляции и лимфооттока, что также приводит к неправильному формированию новых тканей ногтевой пластинки. В молодом возрасте в качестве причины ухудшения микроциркуляции, ведущего к приобретенной пахионихии, могут выступать сахарный диабет, другие обменные или эндокринные заболевания.
Особым случаем является так называемая врожденная пахионихия, также известная как болезнь Ядассона-Левандовского. Это генетически гетерогенное состояние, которое имеет различные механизмы наследования и патогенеза, характеризуется многочисленными нарушениями процесса ороговения кожных покровов и их придатков. Одним из ведущих симптомов этого патологии является пахионихия, причина развития которой заключается в дефектах молекул некоторых типов коллагена, нарушении усвоения определенных витаминов и действии других факторов в зависимости от типа генетического дефекта. Нередко подобное генетическое заболевание в конечном итоге приводит к потере ногтей.
Симптомы пахионихии
Главным проявлением пахионихии является утолщение ногтевой пластинки на одном, нескольких или всех ногтях (в зависимости от этиологии этого состояния), гиперкератоз кожи ногтевого ложа и, как правило, деформация и изменение цвета ногтя. При псориазе, экземе и красном плоском лишае поражения ногтей сопровождаются симптомами основного заболевания: разнообразными высыпаниями на коже, шелушением, папулезными и везикулярными образованиями, появлением бляшек. При этом патологический процесс обычно захватывает область ногтевого валика, вызывая хроническую паронихию, которая в последующем провоцирует развитие пахионихии. Утолщение ногтя происходит на пальцах рук или ног, пораженных основным заболеванием, на здоровых участках пахионихия не выявляется.
В некоторых случаях пахионихия провоцируется длительным воздействием на ногти различных химических соединений, например, щелочей. Они приводят к разрыхлению структуры ногтевой пластинки, в результате чего происходит ее утолщение. Агрессивные соединения могут действовать на околоногтевой валик, вызывая его воспаление, что в конечном итоге тоже провоцирует нарушение роста ногтя. При этом пахионихия может выступать как профессиональное заболевание и поражать несколько или все ногти на руках. Заболевание такого типа на пальцах ног наблюдается крайне редко. Пахионихия пожилых людей развивается очень медленно на протяжении многих лет, сопровождается пожелтением ногтя и потерей его прозрачности. Имеются указания, что курение и другие вредные привычки могут ускорять развитие такого нарушения. Аналогичными проявлениями характеризуется пахионихия, обусловленная сахарным диабетом или микроциркуляторными расстройствами.
Наиболее яркая симптоматика обнаруживается при врожденных формах пахионихии или болезни Ядассона-Левандовского. Поскольку это генетически неоднородное состояние, выделяют несколько клинических форм заболевания. Истинный синдром Ядассона-Левандовского характеризуется выраженной пахионихией на пальцах рук и ног, болезненностью в области стоп, гиперкератозом на ладонях и подошвах. Некоторые разновидности патологии также проявляются изъязвлением роговицы и катарактой. Другая форма врожденной пахионихии (тип Джексона-Лоулера) нередко приводит к раннему, иногда даже внутриутробному развитию зубов, умственной отсталости и очаговой алопеции. Утолщение ногтей при всех формах заболевания возникает в раннем детстве и очень тяжело протекает, толщина ногтевой пластинки достигает сантиметра и более. Сильная деформация со временем приводит к потере ногтевых пластинок, как на верхних, так и на нижних конечностях.
Диагностика пахионихии
Определить наличие пахионихии для дерматолога не составляет особого труда, при осмотре сразу выявляется значительное утолщение одного или нескольких ногтей, деформация пластинки, изменение структуры и цвета данного производного кожи. Для успешного лечения необходимо выяснить причину развития патологии, для чего производится полный дерматологический осмотр пациента, расспрос и изучение анамнеза (в том числе наследственного для исключения наследственных форм заболевания). Иногда прибегают к методам генетической диагностики. Столь широкий спектр различных диагностических приемов обусловлен значительной полиэтиологичностью пахионихии.
При дерматологическом осмотре могут определяться признаки иных заболеваний: хронической или кандидамикотической паронихии, экземы, псориаза, красного плоского лишая и пр. Если они затрагивают кожу на дистальных фалангах пальцев, это практически всегда рано или поздно приводит к паронихии. В отдельных случаях могут наблюдаться изменения ногтей без признаков других дерматологических заболеваний - в основном это бывает при сахарном диабете, микроциркуляторных расстройствах и возрастной пахионихии. Также могут выявляться признаки обмерных или эндокринных расстройств: ожирение, стрии на поверхности живота, шеи и бедер, нетипичное расположение жировых отложений.
Если пахионихия носит врожденный характер, при осмотре больного определяются другие проявления этого генетического заболевания. Наиболее часто наблюдаются гиперкератозы подошвы с развитием болезненности, на ладонях могут выявляться признаки гипергидроза. При более тяжелых формах врожденной пахионихии у больных может обнаруживаться поражение других органов и систем: умственная отсталость, нарушение формирования зубов, нарушения зрения. Пахионихия генетической этиологии выявляется уже в раннем детстве, со временем она активно прогрессирует, толщина ногтей на руках и ногах увеличивается, происходит деформация ногтевых пластинок и их дальнейшая потеря. Для подтверждения диагноза используют методы генетического определения заболевания.
Лечение пахионихии
Устранение пахионихии во многом зависит от терапии состояния, которое вызвало ее развитие. Необходимо полноценное лечение паронихии, исключение контакта с агрессивными веществами. По показаниям используют общепринятые методы терапии псориаза, экземы, лишая и других дерматологических состояний, одним из проявлений которых может выступать утолщение ногтевой пластинки. При неэффективности подобных лечебных мероприятий и при врожденной пахионихии применяют механическую обработку ногтей для коррекции их толщины и формы (различные рашпили и пилочки). Облегчить корректирующие процедуры можно путем обработки ногтевой пластинки растворами мочевины, салициловой или фруктовых кислот. Имеются указания на то, что назначение препаратов ретинола и токоферола способно значительно замедлить развитие деформации ногтей даже при генетически обусловленной пахионихии.
Прогноз и профилактика пахионихии
Прогноз пахионихии относительно выздоровления неопределенный и находится в сильной зависимости от причин данного состояния. При эффективной терапии основного заболевания утолщенный ноготь может со временем замещаться нормальной ногтевой пластинкой. Наследственная форма пахионихии имеет более неблагоприятный прогноз, обычно большинство больных рано или поздно теряют ногти, кроме того, возможны нарушения со стороны других органов и систем. Профилактика приобретенной пахионихии включает в себя своевременное лечение воспалений ногтевого валика и других дерматологических заболеваний, использование защитных средств при контакте рук или ног с химически агрессивными веществами.
Читайте также:
