Врожденный вывих бедра и дисплазия тазобедренного сустава: атлас фотографий
Добавил пользователь Владимир З. Обновлено: 11.12.2025
Дисплазия - это врожденный дефект строения ТБС, для которого характерна неправильная ориентация суставных компонентов. Дисконгруэнтность головки бедренной кости и вертлужной впадины приводит к функциональной перегрузке определенных частей сустава. Постоянная механическая травматизация вызывает дегенеративные изменения в суставных хрящах, капсуле и субхондральных костных структурах. В результате у больного развивается ранний деформирующий остеоартроз.

Тяжелая степень дисплазии.
По разным литературным данным, врожденные дефекты строения ТБС приводят к развитию диспластического коксартроза в 40-87% случаев.
| Цель | Любопытные сведения | |
| 1 | Восстановление конкруэнтности суставных поверхностей | Основная проблема ДТС - нарушение биомеханического соответствия головки бедра и суставной впадины. В ходе хирургического вмешательства врачи ликвидируют именно ее |
| 2 | Устранение нестабильности ТБС | Стабилизация тазобедренного сустава позволяет убрать патологическую подвижность в нем. Это уменьшает травматизацию суставных хрящей и предупреждает их разрушение |
| 3 | Полное восстановление функций конечности | Во время операции врачи стараются вернуть суставу его анатомическое положение. Также они следят за тем, чтобы прооперированная нога имела нормальную длину. Это создает благоприятные условия для восстановления походки, что крайне важно для развития ребенка |
| 4 | Профилактика осложнений и потери трудоспособности | Как мы уже выяснили, дисплазия нередко приводит к деформирующему артрозу. Тот, в свою очередь, вызывает хронические боли и нарушение функций ТБС. Со временем больные с данной патологией теряют трудоспособность. Избежать этого позволяет своевременная операция |
Если у вашего ребенка выявили дисплазию, без промедлений начинайте лечение. Чем быстрее вы отреагируете, тем больше шансов у вашего малыша. Если врачи рекомендуют хирургическое вмешательство, ни в коем случае не отказывайтесь. Помните: любое промедление может привести к нежелательным последствиям.

Открытое вправление ТБС
Требуется при тяжелой дисплазии, сопровождающейся вывихом тазобедренного сустава. Зачастую открытое вправление сочетают с другими манипуляциями на ТБС. При недостаточной глубине вертлужной впадины врачи сначала корректируют ее размер и форму. Они могут удалить часть вертлужной губы или углубить впадину с помощью специальных фрез. В случае недостаточного центрирования головки выполняют деротационную остеотомию.
Показания к открытому вправлению:
- выявление вывиха в возрасте более 2 лет;
- невозможность выполнения закрытой репозиции;
- рецидив после закрытого вправления.
После открытой репозиции ребенку на 2-5 недель накладывают гипс. После его снятия малыш обязательно проходит реабилитацию. По окончании лечения тазобедренный сустав принимает нужное положение, а его функции восстанавливаются. При рецидиве вывиха ребенку требуется еще одна операция.
Межвертельная корригирующая остеотомия бедренной кости
Результаты удачно выполненной операции:
- нормализация биомеханических условий в ТБС;
- более равномерное распределение давления на разные структуры сустава;
- устранение факторов, травмирующих суставные хрящи;
- положительная динамика развития заболевания.
Межвертельные остеотомии редко используют в виде моновмешательства. Чаще всего их комбинируют с операциями на костях таза или выполняют в случае неэффективности тазовых ОТ.
Межвертельные остеотомии приводят к нарушению анатомии бедренной кости. Это может вызвать серьезные проблемы, если в будущем человеку потребуется эндопротезирование ТБС.
Ацетабулопластика
Суть операции заключается в изменении угла наклона крыши вертлужной впадины без полного пересечения тазового кольца. Врачам удается добиться этого путем остеотомии - рассечения верхней части подвздошной кости. После ее выполнения хирурги смещают крышу к низу и фиксируют ее в нужном положении. Эти манипуляции позволяют восстановить нормальное взаиморасположение структур ТБС, то есть вернуть конгруэнтность.
Показания к выполнению ацетабулопластики:
- покрытие головки бедренной кости — менее чем на 2/3;
- угол наклона крыши вертлужной впадины — более 40°;
- угол Виберга, характеризующий централизацию головки бедра — менее 20°.

Наглядная схема вмешательства.
Ацетабулопластику делают под наркозом. Во время операции врач рассекает мягкие ткани чтобы получить доступ к тазобедренному суставу. После выполнения всех манипуляций он послойно ушивает рану и накладывает гипс. Нижнюю конечность малыша фиксируют в положении отведения и умеренной внутренней ротации. Спустя 1,5-2 месяца гипс снимают, а результаты операции оценивают с помощью рентгенографии.
При выполнении ацетабулопластики хирурги могут использовать корригирующие имплантаты. Их устанавливают по краям вертлужной впадины с целью создания упора для головки бедренной кости. В ортопедии такие операции называют shelf-процедурами.
Тройная остеотомия таза
Существует несколько методик тройных ОТ. Каждая из них подразумевает пересечение всех составляющих тазового кольца (лобковой, подвздошной и седалищной костей). После этого вертлужную впадину устанавливают в нужном положении, а костные фрагменты фиксируют титановыми конструкциями. Винты удаляют спустя 1-1,5 года, то есть после того как кости прочно срастутся.
Недостатки тройных остеотомий:
- высокая травматичность;
- большая вероятность повреждения нервов и сосудов;
- повышение риска развития асептического некроза;
- возможность расхождения лобковой и седалищной костей;
- длительный восстановительный период;
- сужение тазового кольца у девочек, имеющее негативные последствия в будущем.
Чаще всего в ортопедии используют несколько техник тройной остеотомии. К ним относится ОТ по Tonnis, Steel, Chiari, ротационная ацетабулярная и ряд модификаций типа Bernese, Ganz, RAO. Все перечисленные методики обеспечивают хорошую мобилизацию вертлужной впадины и позволяют установить ее в наиболее выгодном положении.
Диффренциальный подход к лечению ДТС
Выбор метода хирургического лечения зависит от характера деформации сустава. К примеру, при ацетабулярном типе дисплазии больным корректируют форму и положение вертлужной впадины, при бедренном - изменяют пространственное расположение головки бедра. В случае комбинированной ДТС врачи выполняют операцию сразу на обеих структурах.
Таблица 2. Виды операций при разных дисплазий тазобедренного сустава
| Вид ДТС | Наиболее подходящая операция |
| Впервые выявленная тяжелая дисплазия | Тройная остеотомия таза. При необходимости ее комбинируют с открытым вправлением тазобедренного сустава и межвертельной ОТ |
| Остаточная дисплазия с сохранением конгруэнтности суставных поверхностей | В возрасте 2-10 лет ребенку показана ацетабулопластика, после 10 лет - тройная ОТ. В обоих случаях операцию могут дополнять межвертельной корригирующей остеотомией бедра |
| Остаточная дисплазия с дисконгруэнтностью ТБС | Малышам 2-8 лет обычно делают тройную тазовую остеотомию. В более старшем возрасте вместе с ней выполняют shelf-процедуры |
В каких случаях нужна замена ТБС
Тотальное эндопротезирование - это наиболее эффективный метод лечения диспластического коксартроза. Операцию делают при массивном разрушении суставных хрящей и деструкции субхондральной костной ткани. Замена сустава в этом случае помогает избавиться от хронических болей и восстановить нарушенные функции сустава.
Ортопеды стараются не делать эндопротезирование подросткам и лицам молодого возраста. Причины - ограниченный срок службы эндопротеза, необходимость выполнения последующих ревизионных операций, высокая частота послеоперационных вывихов и расшатываний импланта.
Уплощение и деформация вертлужной впадины затрудняет погружение в нее ацетабулярного компонента эндопротеза. Именно это приводит к нестабильности ТБС, вывихам и расшатыванию эндопротеза.
Сколько стоит хирургическое лечение дисплазии
В России минимальная стоимость операции при ДТС - 35 000 рублей. При этом пациенту требуется дополнительно оплатить предоперационное обследование и консультации, пребывание в стационаре, расходные материалы, имплантаты и реабилитацию. В сумме такое лечение может обойдется в 70-100 тысяч рублей.
Реабилитация - это важная часть лечения, пренебрегать которой нельзя. Однако большинство российских клиник ее не предлагает в полноценном объеме. Они выписывают пациентов через несколько дней после операции. Подобная тактика может негативно сказаться на результатах лечения.
Возможности ультразвуковой диагностики патологий тазобедренных суставов у детей в первые 6 месяцев жизни

Профессиональные диагностические инструменты. Оценка эластичности тканей, расширенные возможности 3D/4D/5D сканирования, классификатор BI-RADS, опции для экспертных кардиологических исследований.
Введение
Анатомически правильное строение тазобедренного сустава у детей первых дней жизни позволяет в дальнейшем ребенку удерживать туловище в вертикальном положении, ограничивать разгибание в тазобедренном суставе, обеспечивая правильную походку, возможность справляться с физическими нагрузками [1]. Тазобедренный сустав - это чашеобразный сустав (разновидность шаровидного), образован суставной поверхностью головки бедренной кости, которая покрыта гиалиновым хрящом на всем протяжении (кроме ямки) и вертлужной впадиной тазовой кости, покрытой хрящом только в области полулунной поверхности, а на остальном протяжении выполнена жировой клетчаткой и покрыта синовиальной мембраной [2].
Врожденная дисплазия тазобедренных суставов проявляется повышенной подвижностью, слабостью связочного аппарата, несформировавшейся вертлужной впадиной тазовой кости (плоская), в результате чего головка бедренной кости не занимает правильное положение в вертлужной впадине. Дисплазия проявляется к концу первого года жизни, когда ребенок начинает ходить (движения асимметричны и затруднены). Вывих тазобедренного сустава резко ограничивает движения и приводит к развитию калечащей походки, нарушению осанки с последующим искривлением позвоночника.
Проведение своевременного ультразвукового исследования (УЗИ) тазобедренных суставов у детей первых 3 мес жизни позволяет визуализировать структуры сустава, которые еще не подверглись оссификации. У детей в возрасте от 3 до 6 мес УЗИ дает возможность определения сроков оссификации без лучевой нагрузки, выявить дисплазию, определить правильную тактику лечения, провести курс терапии и наблюдать за развитием суставов в динамике.
Материалы и методы
УЗИ тазобедренных суставов было проведено 395 детям в возрасте до 6 мес по методу Г. Рейнгарда [3] с одновременной оценкой развития костно-хрящевого соотношения сустава, определением сонографических типов тазобедренных суставов.
Результаты
В ходе обследования тазобедренных суставов у 395 детей были выявлены следующие типы тазобедренных суставов.
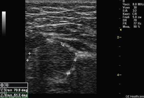
По результатам УЗИ у 286 (72,41%) детей диагностированы типы 1а и 1б тазобедренных суставов (по Г. Рейнгарду). Клинически и сонографически типы 1а и 1б соответствуют возрасту ребенка - это здоровые суставы. Костная часть вертлужной впадины хорошо определяется, костный эркер слегка сглажен или прямоугольный, хрящевая часть крыши охватывает головку бедренной кости, костно-хрящевое соотношение больше или равно 2/3. Угол α больше или равен 60°. Угол β меньше 55° - тип 1а (рис. 1); угол β больше 55° - тип 1б.

Рис. 1. Тазобедренный сустав тип 1а.
1 - угол α=70,9°;
2 - угол β=51,2°.
У 35 (4,81%) детей выявлена простая двусторонняя дисплазия тазобедренных суставов, без пространственных нарушений (рис. 2). В результате данной патологии происходит задержка сроков оссификации (формирования ядра), которая связана с пониженным содержанием кальция в организме ребенка (впоследствии при увеличении физической нагрузки на суставы, когда ребенок после 6 мес начинает сидеть и стоять, может произойти деформация головки бедренной кости).

Рис. 2. Простая дисплазия - задержка сроков оссификации без пространственных нарушений (ребенок 5 мес).
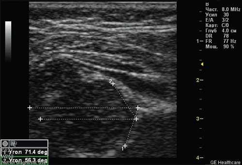
Тип 2а тазобедренных суставов (рис. 3) диагностирован у 46 (11,6%) детей. Это вариант физиологической задержки развития тазобедренных суставов у детей в возрасте до 12 нед, при котором угол α меньше 59°, но больше 50°, соответственно угол β больше 60°.

Рис. 3. Тазобедренный сустав тип 2а.
1 - угол α=55,9°;
2 - угол β=69,2°.
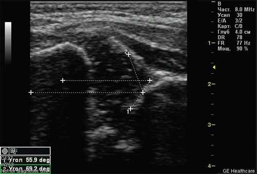
Тип 2б тазобедренных суставов выявлен у 25 (6,33%) детей - дисплазия тазобедренных суставов у детей старше 3 мес (рис. 4). Костная вертлужная впадина недостаточно развита, костный эркер закруглен, костнохрящевое соотношение меньше 2/3, хрящевая часть крыши охватывает головку бедренной кости. Угол α меньше 59°, но больше 50°, угол β больше 60°.

Рис. 4. Тазобедренный сустав тип 2б.
1 - угол α=53,4°;
2 - угол β=62,6°.
Тип 2с тазобедренных суставов (рис. 5) обнаружен у 2 (0,51%) детей. Это вариант тяжелой дисплазии в любом возрасте. Все составляющие сустава недоразвиты. Костная часть вертлужной впадины уплощена, костный эркер закруглен или плоский, хрящевая часть вертлужной впадины расширена, но еще охватывает головку бедра. Угол α меньше 49°, но больше 43°, угол β больше 65°, но меньше 72°. Такой тип суставов без соответствующего лечения, влечет прогрессирующее децентрирование головки бедра.

Рис. 5. Тазобедренный сустав тип 2с.
1 - угол α=46,0°;
2 - угол β=71,6°.
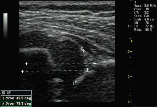
У 1 (0,25%) ребенка выявлен 3а тип тазобедренного сустава - врожденный вывих бедра (рис. 6). Костная часть вертлужной впадины и эркер плоские, хрящевая часть вертлужной впадины смещается краниально, так как головка бедра не может быть зафиксирована в вертлужной впадине, происходит ее децентрация. Структура хрящевой части крыши не изменена. Угол α меньше 43°.

Рис. 6. Тазобедренный сустав тип 3а.
1 - угол α=42,9°;
2 - угол β=79,3°.
Все 106 детей, с выявленной патологией, были направлены на консультацию к врачу-ортопеду. После курса физиотерапии, широкого пеленания, при необходимости, на контрольном УЗИ (50 детей), были выявлены следующие изменения:
- Из 8 детей с простой двусторонней дисплазией тазобедренных суставов, без пространственных нарушений, с задержкой сроков оссификации, у 2 изменений не наблюдалось, а у 6 детей сроки оссификации соответствовали возрасту.
- Из 25 детей с тазобедренными суставами типа 2а после проведенного курса лечения у 10 установлен тип 1а, у 7 - тип 1б, у 3 - тип 2б, у 5 детей имела место простая двусторонняя дисплазия тазобедренных суставов, без пространственных нарушений, с задержкой сроков оссификации.
- Из 17 детей с тазобедренными суставами типа 2б после проведенного курсалечения у 5 установлен тип 1а, у 7 - тип 1б, у 1 - тип 2б, у 4 детей сохранялась простая двусторонняя дисплазия тазобедренных суставов, без пространственных нарушений, с задержкой сроков оссификации.
В результате 35 (70%) детей со своевременно диагностированной патологией после проведенной терапии имеют здоровые суставы 1-го типа, 15 (30%) детей, с сохранившейся патологией были направлены на повторный курс терапии.
Заключение
Проведенное исследование подтверждает необходимость УЗИ тазобедренных суставов детям в возрасте до 6 мес в амбулаторных условиях, позволяющего избежать неоправданной лучевой нагрузки. Использование полученной информации дает возможность своевременного проведения корректирующей терапии для всех типов тазобедренных суставов в раннем периоде с последующим правильным их формированием.
Литература
- МакНелли Ю. Ультразвуковые исследования костномышечной системы: Практическое руководство. Издательский дом Видар-М, 2007. 400 с.
- Синельников Р.Д., Синельников Я.Р. Атлас анатомии человека.Учебное пособие. 2-е издание, стереотипное. В 4-х томах. Т. 1. М.: Медицина, 1996. 344 с.
- Рейнгард Г. Сонография тазобедренных суставов новорожденных. Диагностические и терапевтические аспекты: Руководство. 5-е издание // Сонографические типы тазобедренных суставов / Изд-во Том. ун-та, 2005. 196 с.
УЗИ сканер HS60
Лучевые методы диагностики дисплазии тазобедренного сустава
Дисплазия тазобедренных суставов (ДТБС) (врожденный вывих бедра) — врожденное нарушение развития сустава. До сих пор эта патология является одной из наиболее сложных проблем ортопедии, более того, на фоне дисплазии часто формируется диспластический коксартроз — дегенеративно-дистрофическое заболевание, в 60 % случаев ведущее к снижению трудоспособности и в 11,5 % — к инвалидности. В связи с этим на первый план выходит ранняя диагностика заболевания, которую можно осуществлять при помощи нескольких лучевых методов. В данном обзоре были рассмотрены рентгенологический, ультразвуковой, метод компьютерной и магнитно-резонансной томографии с обсуждением достоинств и недостатков каждого.
Ключевые слова: дисплазия тазобедренных суставов, лучевые методы диагностики, схема Хильгенрейнера.
Дисплазия тазобедренных суставов (ДТБС) (врожденный вывих бедра) — врожденное нарушение развития сустава, заключающееся в дисконгруэнтности суставных поверхностей (головка бедренной кости, вертлужная впадина), их неправильном взаимном расположении [1, с.2].
До сих пор эта патология является одной из наиболее сложных проблем ортопедии, более того, на фоне дисплазии часто формируется диспластический коксартроз — дегенеративно-дистрофическое заболевание, в 60 % случаев ведущее к снижению трудоспособности и в 11,5 % — к инвалидности [2, с.6]. Важно отметить, что, при таком большом проценте участия заболевания в нарушении жизнедеятельности, до настоящего времени не установлены точные причины его развития. По мнению некоторых авторов, к таковым можно отнести сочетание примерно четырех факторов из ниже перечисленных: «преждевременное излитие околоплодных вод, ОРВИ в первом триместре беременности, курение матери, возраст матери моложе 20 лет, хронические заболевания органов малого таза, патология костно- мышечной системы у ближайших родственников, бактериальный вагиноз, анемия, токсоплазмоз, патология костно-мышечной системы у матери, тазовое предлежание плода во время беременности и в родах» [1, с.4].
В связи со столь низкой точностью прогноза на первый план выходит ранняя диагностика заболевания, которую можно осуществлять при помощи нескольких лучевых методов. Так, на первом месте по распространенности — рентгенологический метод. Он не позволяет оценить трехмерное строение сустава, но дает достаточно информации об изменении костных структур. У детей до 6 месяцев применение рентгенологического метода рекомендуется совместно с ультразвуковым методом диагностики, т к именно этот метод позволяет визуализировать большой объем хрящевой ткани, наблюдаемый у детей [1, с.54]. Помимо перечисленных, также используется методы компьютерной и магнитно-резонансной томографии, но они применяются не так широко и не в целях первичной установки диагноза.
В данной работе мы рассмотрим перечисленные методы диагностики дисплазии тазобедренного сустава, их достоинства и недостатки.
Рентгенологический метод
Помимо широкой диагностической ценности метода, стоит отметить, что выделенные 4 типа изучаемой патологии были установлены именно по рентгенологическим данным:
- первый тип, с преобладанием тазового компонента патологии: наличествуют диспластические изменения вертлужной впадины (впадина мелкая, неглубокая), а отклонения проксимального отдела бедра незначительны, или вообще отсутствуют;
- второй тип, с преобладанием бедренного компонента: деформация шейки бедра (антеторсия либо вальгусная деформация — см. рис 1-2); вертлужная впадина поражена незначительно, либо ее развитие нормальное;
- третий тип: выраженные отклонения и вертлужной впадины, и бедренного компонента сустава; при данном типе обе поверхности мгут быть сильно недоразвиты;
- четвертый тип: многоплоскостная деформация бедра.
Рис.1Нормальная торсия [3]
Рис.2 Антеторсия [3]
Как уже говорилось, хрящевая ткань в возрасте до 6 месяцев выполняет значительную часть сустава, в связи с чем медиальный отдел шейки, продольная ось костной её части, а тем более перпендикуляр к поверхности метафиза, занимают по отношению к анатомической оси более латеральное положение, чем ожидается увидеть. В связи с этим, рентгенологическим критерием правильности анатомических соотношений в тазобедренном суставе у детей до 6-месячного возраста является пересечение оси шейки с контуром крыши вертлужной впадины на уровне ее медиальной четверти (рис.3). Рентгенологическим признаком децентрации является направленность оси шейки бедренной кости (или перпендикуляра к метафизу) в пределах от границы медиальной и следующей четверти крыши до границы третьей и последней четвертей, подвывиха — на латеральную четверть крыши вертлужной впадины вплоть до касательного положения к ее латеральному краю. Пересечение оси шейки с латеральным краем надацетабулярной части подвздошной кости отражает состояние вывиха [4].

Рентгеновский снимок делают в положении ребенка на спине при вытянутых и параллельно уложенных ножках.
Исследование сустава проводится в трех проекциях:
- задней: анализируется положение суставных поверхностей во фронтальной плоскости (смещения головки бедренной кости кверху и кнаружи);
- аксиальной и крестцово-вертлужной: оцениваются смещения кпереди/кзади, а также исследуется сустав на предмет патологического поворота бедренной кости вокруг вертикальной оси [5, с.14]
Проводится измерение нескольких показателей в соответствии со схемой Хильгенрейнера (рис.4) [5, с.15-17]:
- величина ацетабулярного угла: это угол крыши вертлужной впадины, образованный в месте пересечения линии, проведенной через Y-образные хрящи, и касательной к верхнему краю вертлужной впадины. В норме у детей до 3х месяцев его величина находится между 30 о -20 о (значение в 20 о достигается примерно к 1 году)
- величина h: расстояние от горизонтальной линии Хильгенрейнера до наивысшей точки проксимального отдела бедра. В норме она симметрична с обеих сторон и примерно равна 9-12 мм. Свидетельством патологии является уменьшение этой величины
- величина d: расстояние от дна вертлужной впадины до величины h. В норме она также одинакова справа и слева и составляет не более 15 мм.
- Линия Шентона: дуга, соединяющая дистальный контур шейки бедра с нижней частью горизонтальной ветви лобковой кости. При малейшем смещении дуга искривляется и прерывается, что особенно заметно при вывихе.

Рис. 4 Схема Хильгенрейнера.
Ультразвуковое исследование
В настоящее время Американская Академия хирургов-ортопедов (AAOS) ультразвуковой метод считает равным по ценности рентгенологическому. Более того, именно исходя из данных УЗ-исследований формируется понятие о положительной динамики лечения патологии [6, с.1].
Техника исследования [7, с. 2-4]:
Так как хрящ — это гипоэхогенная мягкая ткань, ее легко визуализировать УЗ-методом. Вертлужная впадина представляет собой комплекс оссифицированной ткани и хрящевой, причем у новорожденных хрящевые перетяжки имеют форму буквы «Y». Большая часть хряща вертлужной впадины соответствует по сонографическим характеристикам головке бедренной кости, однако отделить эти два образования возможно. Как правило, при движении в суставе возникают микропузырьки синовиальной жидкости, позволяющие визуализировать границу между двумя суставными поверхностями. С латеральной стороны губы вертлужной впадины хрящевая ткань переходит в фиброзно-хрящевую, которая обладает повышенной эхогенностью и покрывает головку бедра сверху.
Точки оссификации начинают виднеться в головке бедра между 2ым-8ым месяцем жизни, причем у мальчиков обычно позже. С началом оссификации возрастает содержание кальция в костях, однако его еще недостаточно для четкой визуализации рентгенологическим методом, поэтому есть мнение, что УЗ-исследование является первоочередным для детей до 1 года (4 месяца добавлено для случаев с задержкой процесса окостенения).
Исследование направлено на определение трех показателей:
- позиция головки бедренной кости на предмет абдукции/аддукции. Описывается позиция как нормальная/смещенная/неправильная;
- стабильность таза при движении;
- степень развития компонентов сустава: глубина впадины, конфигурация суставных поверхностей. Обращается внимание не на углы, как при рентгенологическом исследовании, а на общее взаиморасположение.
Что касается самой техники исследования, оно проводится в трех проекциях:
- поперечная нейтральная (Transverse neutral view): датчик направляется горизонтально в вертлужную впадину, при этом исследуется место сочленения бедренной кости с ней, визуализируется центр сустава. Если сустав деформирован, между его поверхностями будет эхо от мягких тканей, размеры и выраженность которого зависят от степени мальформации
- поперечная изогнутая (Transverse flexion view): нога отводится из нейтральной позиции на 90 о , датчик устанавливается в заднелатеральном положении над суставом, исследуется головка бедренной кости (в норме имеет конфигурацию буквы “U”, которая максимально выражена при максимальном отведении, а при полном приведении ноги конфигурация может меняться на “V”)
- коронарная изогнутая (Coronal flexion view): положение пациента то же, что и в предыдущей проекции, а датчик перемещается на 90 о , исследуется вся полость сустава, в том числе взаимное расположение его частей и точки окостенения
Магнитно-резонансная томография
Метод магнитно-резонансной томографии (МРТ) в настоящее время получает все большее распространение, однако, ввиду своей высокой стоимости, все еще не используется как рутинное исследование. Тем не менее, многие патологические состояния таза могут быть идентифицированы на ранней стадии именно посредством МРТ, т. к. сустав включает большой процент мягких тканей. В настоящее время МРТ активно используется для разрешения спорных случаев: диференциации синовита от септического артрита и остеомиелита, диагностики воспалительных заболеваний сустава, опухолей кости, а также ранней диагностики и контроля болезни Пертеса (остеохондропатия головки бедренной кости) [8, с.8].
В случае ДТБС МРТ может использоваться в тяжелых случаях для уточнения информации перед хирургическим вмешательством, т. к. на МР-томограммах не только воспроизводятся все углы и прочие данные, что видны на рентгенограмме, но и визуализируется сустав в целом: рельеф поверхности головки бедренной кости, внутрисуставные взаимодействия, аномалии хрящевой ткани. Помимо этого, метод МРТ доказал свою непревзойденность в исследовании вертлужной впадины: дифференцировки разрывов губы от других видов повреждений, а также от вариантов нормы [8, с.9-10].
Пожалуй, единственная область заболеваний таза, где КТ является более эффективным, чем МРТ — это опухоли костной ткани, т. к. именно КТ позволяет судить в степени кальцификации и внутрикостных образованиях [8, с.10]. В остальном же, равно как и в случае ДТБС, КТ применяется мало, т. к. информативность метода не превышает ранее перечисленные, а лучевая нагрузка и стоимость намного больше, чем при рентгене и УЗИ. Однако, для справедливости, стоит сказать о данном методе и продемонстрировать его возможности. Например, КТ может быть использовано для точного измерения торсии и версии бедра. Нормальные значения торсии: у новорожденных — примерно 32 о , у взрослых 10 о -20 о ; нормальные величины версии: 5 о -25 о [8, с.11].
Заключение
Таким образом, в настоящее время существует несколько эффективных методов диагностики дисплазии тазобедренного сустава. Каждый из них должен применяться с учетом особенностей пациента (возраст, тяжесть состояния, степень дисплазии), о чем уже говорилось выше. Такой подход обеспечит наиболее раннюю диагностику, что, в свою очередь, обеспечит максимально возможный положительный прогноз для каждого конкретного пациента.
Основные термины (генерируются автоматически): бедренная кость, впадина, магнитно-резонансная томография, рентгенологический метод, сустав, хрящевая ткань, тазобедренный сустав, дегенеративно-дистрофическое заболевание, латеральный край, ранняя диагностика.
Методики хирургического лечения врожденного вывиха бедра у детей
Применяется у детей первого года жизни при неудаче консервативного лечения.
Раннее установление факта невправимости бедра консервативными способами и выполнение операции на первом году жизни дает возможность уменьшить травматичность хирургического вмешательства. Нет необходимости вмешиваться на костях таза и бедра.
Рентгенограммы больной Т., 10 месяцев. Диагноз: врожденный вывих бедра справа.



2. Открытое вправление бедра в сочетании с транспозицией вертлужной впадины (подвздошной остеотомией таза)
Применяется у детей старше 1 года в тех ситуациях, когда врожденный вывих бедра сочетается с выраженным недоразвитием вертлужной впадины.
Разработанная нами методика подвздошной остеотомии не требует использования трансплантата. То есть, при фиксации фрагментов остеотомии тазовой кости нет необходимости в использовании чужеродных тканей или заборе собственного костного трансплантата.
«Способ хирургического лечения детей с патологией тазобедренного сустава» (патент РФ на изобретение № 2405486 от 10.12.2010 г.)




3. Открытое вправление бедра в сочетании с подвздошной остеотомией таза по Salter и укорачивающей корригирующей (деторсионно-варизирующей) остеотомией бедра
В тех случаях, когда головка бедра смещена высоко относительно впадины, помимо собственного открытого вправления бедра возникает необходимость вмешательства как на тазовой, так и на бедренной кости - т.н. «классическая триада».
Операция применяется у детей от 2 до 6-7 лет и позволяет обеспечить хорошие отдаленные результаты лечения у большинства пациентов.
Дисплазия тазобедренного сустава

Дисплазия тазобедренного сустава— это не только деформация бедра, но и нарушения оссификации в детском возрасте. Таким образом данное заболевание относится к наиболее часто встречающимся патологиям костной системы новорожденных.
Сначала заболевание проходит безболезненно. Однако со временем боль усиливается, что может иметь серьёзные последствия: боль в паху, преждевременный износ (коксартроз), вывих головки бедра из суставной впадины. Запущенная стадия болезни может привести к ограниченной подвижности нижних конечностей.

При ходьбе, беге и прямой походке бедро подвергается большим нагрузкам. Костными фрагментами, покрытыми хрящевой поверхностью (синий), являются вертлужная впадина (Acetabulum) и головка бедренной кости (Caput femoris). Все движения в происходят поэтому без боли. Общая суставная капсула окружает эти элементы бедра и способствует его стабилизации.© Gelenk-Klinik
Что такое дисплазия тазобедренного сустава?
При дисплазии тазобедренного сустава наблюдаются повреждения суставной впадины (Acetabulum). Данный фрагмент бедра недостаточно покрывает сферическую головку бедренной кости, а бедренная кость в свою очередь непрочно закрепляется и не центрируется в суставе. При чрезмерных нагрузках существует вероятность вывиха.
В 60% случаев дисплазия появляется на левом бедре, а в 20% случаев данному заболеванию подвержен правый сустав. Согласно научным исследованиям, младенцы женского пола страдают данной патологией от 2 до 6 раз чаще, чем мальчики.
Симптомы дисплазии тазобедренного сустава
Симптомы дисплазии тазобедренного сустава у взрослых:
- боли в околопаховой области, зависящие от степени нагрузок
- боковая боль в бедре
- боли в ноге во время ходьбы и прямого положения тела
- нарушения походки (хромота, "шарканье") , в спине или в голеностопном суставе
Как дисплазия тазобедренного сустава может вызвать артроз?
Невовремя начатое лечение уже является причиной болей в паху и области бедра у подростков. Причиной этого является статическая перегрузка нестабильного, травмированного бедра всей массой тела. По этой же причине повреждается край вертлужной впадины и хрящевой слой.
В тяжёлых случаях пациенту требуется эндопротезирование уже в 40 лет.

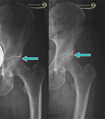
Слева: Рентген здорового бедра у взрослого. Стрелой отмечена суставная щель между крышей вертлужной впадины (Acetabulum) и головкой бедренной кости (Caput femoris). Справа: Рентген тазобедренного сустава, изменённого вследствие артроза, неравномерные высветления указывают на дегенеративные изменения. © Gelenk-Klinik
Долгие годы тазобедренный сустав компенсирует искривление так, что боль почти не чувствуется. Подвижность пострадавших может быть несколько ограничена, а завязывать шнурки с каждым годом становится все труднее. Несмотря на это может появиться и неспецифическая боль в лодыже или в колене, которая не имеет конкретной причины и часто не может быть вызвана чрезмерным давлением.

Слева: неправильное положение тазовых костей и следующее из этого сколиотическое положение позвоночника. Причиной может быть дисплазия. © Koterka Studio, Adobe Stock
Для специалистов Геленк Клиники дифференциальная диагностика различных сопутствующих заболеваний детской дисплазии является не простой задачей. Возможно, разная длина ног стала причиной неправильного положения тазовых костей, что негативно сказалось на статике всего тела.
Для того чтобы выровнять данную асимметрию, позвоночник принимает сколиотическое положение, что в свою очередь может привести к боли в спине, головным болям, а также неприятным ощущениям в области шеи и нижних конечностях. Кроме того, могут появиться болезненные ощущения в пятках и голеностопе.
Эндопротезирование при прогрессирующем артрозе

При поверхностном эндопротезировании McMinn эндопротез покрывает головку бедра, поражённую артрозом. Протез для замены поверхности сустава является более костесохраняющим и щадящим, чем тотальный эндопротез. © digitale-fotografien, Adobe Stock
На прогрессирующей стадии износа, спровоцированной артрозом и вслучае безуспешности консервативного лечения ортопеды Геленк Клиники в Германии обсуждают с пациентом необходимость эндопротезирования.
В зависимости от степени артроза пациенту предлагают частичное эндопротезирование, либо рассматривают вариант тотального эндопротезирования. Если вертлужная впадина не повреждена, но травмирована головка бедренной кости врачи прибегают к поверхностной замене. Вслучае деформации двух элементов имеет смысл операция по тотальному эндопротезированию.
Причины дисплазии тазобедренного сустава у взрослых и детей
На развитие дисплазии влияют генетические, механические и гормональные факторы. Также заболевание могут спровоцировать воздействия окружающей среды. Таким образом дисплазия бедра является мультифакториальным заболеванием.
Факторы риска врожденной дисплазии:
- нехватка места в матке
- ягодичное предлежание плода
- женский пол
- генетическая предрасположенность
- дополнительные неврологические либо мышечные заболевания, нарушения обмена веществ, хромосомные аномалии
У взрослых вывих бедра как тяжёлая форма дисплазии может быть вызван падением с большой высоты либо столкновением с движущимся впереди автомобилем. Из-за высокой энергии удара, может произойти частичный или полный вывих тазобедренного сустава.
Диагностика: как проходит обследование в Геленк Клинике?
Кроме УЗИ тазобедренного сустав по Графу, которое проводится для диагностики дисплазии у детей, в Геленк Клинике проводится ряд визуализационных обследований для взрослых и подростков.
Для подтверждения диагноза взрослых пациентов направляют на рентген таза. Для оценки результатов врачу необходимо ответить на следующие вопросы:
- Перекрывает ли вертлужная впадина головку бедра в нужном объёме?
- Каково положение головки бедренной кости?
Лечение дисплазии тазобедренного сустава
Боль в тазобедренном суставе у взрослых может возникнуть по разным причинам:
- деформация шейки бедра
- защемление сустава вследствие импинджмента бедра
- искривлённое положение вертлужной впадины
В лечении этого дефекта врач использует проверенные, коррекционные методики. Деформации вертлужной впадины и шейки бедра вызывают у пациентов сильную боль в паху, если при определённых движениях бедренная кость ударяется о крышу вертлужной впадины. Такую патологию в медицинских кругах называют бедренно-вертлужный импинджмент или синдром бедренно-вертлужного соударения. Цель лечения заключается в предотвращении износа тазобедренного сустава.
На начальной стадии артроза хирурги проводят тройную остеотомию таза по Тённису. При наличии других деформаций бедренной кости проводят комбинированное хирургическое лечение.
Как долго можно находиться на больничном после операции?

После операции физиотерапевты помогают пациенту ориентироваться в повседневной жизни. Они учатся обращаться с подлокотными костылями и подниматься по лестнице. © Gelenk-Klinik
Срок пребывания в Геленк Клиники большинства пациентов составляет от 10 до 12 дней.
Во время стационарного лечения физиотерапевты показывают какие упражнения для укрепления мышц разрешается выполнять уже на 2 день после операции. Через несколько дней упражнения с костылями и поднятие по лестнице подготавливает пациента к выписке.
В течение 6-ти недель после вмешательства не разрешается сгибать бедро более чем на 60 градусов. Таким образом в этот период запрещается сидеть. Начиная с 7 недели пациент может сгибать бедро на 90 градусов. Во время всех 12-ти недель после операции запрещены также какие-либо нагрузки на бедро. Лишь спустя 3-4 месяца можно возобновить офисную работу либо сидеть за компьютером.
Специалистом по лечению дисплазии тазобедренного сустава в Геленк Клинике является опытный хирург д-р Мартин Ринио. Доктор Ринио и весь коллектив Геленк Клиники ответят на все интересующие Вас вопросы и обеспечат Вам высококлассное лечение в Германии.
Читайте также:
