Введение в особенности принятия клинического решения
Добавил пользователь Владимир З. Обновлено: 21.11.2025
Врачи всегда чувствовали, что их решения были основаны на доказательствах; таким образом, нынешний термин «доказательная медицина» является чем-то неправильным. Однако, для многих клиницистов «доказательство» является часто смутной комбинацией припоминаемых стратегий, эффективных у предыдущих пациентов, советы наставников и коллег и общее впечатление от того «что делается», основанное на случайных журнальных статьях, рефератах, симпозиумах и рекламы. Такая практика приводит к различиям в стратегиях для диагностики и управлению аналогичными состояниями, даже при наличии убедительных доказательств в пользу одной конкретной стратегии в сравнении с другой. Существуют варианты в разных странах, разных регионах, разных больницах и даже внутри отдельных групповых практик. Данные вариации привели к призыву создать более систематический подход к определению наиболее подходящей стратегии для конкретного пациента. Такой подход называется доказательной медициной (ДМ). ДМ строится на обзорах соответствующей медицинской литературы и следует дискретному ряду шагов.
Доказательная медицина (ДМ)
ДM не слепое применение советов, почерпнутых из недавно опубликованных в литературе по проблемам конкретного пациента. Она не подразумевает универсальной модели медицинской помощи. Доказательная медицина требует применения определенных этапов сбора достаточного объема необходимой информации для ответа на четко поставленный вопрос в отношении конкретного пациента. Скорее ДМ требует использования ряда шагов, чтобы собрать достаточно полезной информации для тщательного ответа доказательной медицины, также включает систему ценностей пациента, куда входят такие вещи, как понесенные расходы, религиозные или моральные убеждения пациента и самостоятельность пациента. Применение принципов доказательной медицины обычно включает в себя следующие этапы:
Формулирование клинического вопроса
Сбор доказательств, чтобы ответить на вопрос
Оценка качества и достоверности доказательств
Принятие решения о том, чтобы применить полученные результаты для лечения определенного пациента
Формулирование клинического вопроса
Вопросы должны быть конкретными. Конкретные вопросы скорее всего должны быть рассмотрены в медицинской литературе. Хорошо разработанный вопрос определяет население, вмешательство (диагностический тест, лечение), сравнение (лечение А против лечения B) и результат. «Какой наилучший способ оценки пациента с болью в животе?» не является слишком полезным вопросом для литературного поиска. Лучшим, более конкретным вопросом может быть такой: «Является ли КТ или УЗИ предпочтительнее для диагностики острого аппендицита у 30-летнего мужчины с острой болью внизу живота?»
Сбор доказательств, чтобы ответить на вопрос
Обзор литературы предоставляет широкий выбор соответствующих исследований. Для поиска используют стандартные ресурсы (например, MEDLINE или PubMed для первичных справочных материалов, Кокрановского сообщества [варианты лечения, часто отвечают на конкретные вопросы], ACP Journal Club).
Оценка качества и достоверности доказательств
Не все научные исследования имеют равную ценность. Различные типы исследований имеют различную научную силу и легитимность, и для любого данного типа исследования отдельные примеры часто отличаются по качеству методологии внутренних действий, а также обобщению результатов и применимостью к конкретному пациенту (внешняя валидность).
Уровень достоверности оценивается от 1 до 5 в порядке убывания качества. Формы обучения на каждом уровне несколько изменяются в зависимости от клинического вопроса (например, о диагностике, лечении или экономическом анализе), но обычно включают в себя следующее:
Доказательства 1 уровня (высокое качество): систематические обзоры или мета-анализ рандомизированных контролируемых исследований и высококачественных единичных рандомизированных контролируемых исследований
2 уровень: тщательно спланированные когортные исследования
3 уровень: тщательно отрецензированные исследования с применением методики «случай-контроль»
4 уровень: исследования серий случаев и менее качественные когортные исследования, а также исследования с применением методики «случай-контроль»
Уровень 5: экспертное заключение, основанное не на критической оценке, а на доводах физиологии, доклинических исследований или основополагающих принципов.
Для анализа ДM выбирают самый высокий уровень из всех имеющихся данных. В идеале, имеется значительное количество крупных, хорошо проведенных исследований 1 уровня. Тем не менее, поскольку количество высококачественных, рандомизированных, контролируемых испытаний исчезающе мало по сравнению с числом возможных клинических вопросов, менее надежные свидетельства 4 или 5 уровня очень часто все, что доступно. Низкое качество доказательств не означает, что процессу ДМ не возможно использовать только потому, что сила выводов слабее.
Принятие решения о том, чтобы применить полученные результаты для лечения данного пациента
Поскольку наилучшие доступные доказательства могут быть получены от групп пациентов с характеристиками, отличными от таковых у данного пациента, при применении результатов рандомизированного исследования к конкретному пациенту требуется значительная оценка. Кроме того, должны быть приняты во внимание пожелания пациента относительно агрессивных или инвазивных диагностических исследований и лечения, а также их терпимость к дискомфорту, риски и неопределенности. К примеру, даже если обзор ДМ может убедительно показать выгоду 3 месяца выживаемости от агрессивной химиотерапии при лечении определенной формы рака, пациенты могут иметь расхождения относительно того, предпочитают ли они получить дополнительное время жизни или хотят избежать дополнительных неудобств. Стоимость тестов и лечения может также влиять на принятие решений врачом и пациентом, особенно когда некоторые из вариантов значительно дороже для пациента. Два общих момента, вызывающих обеспокоенность, заключаются в том, что пациенты, которые добровольно участвуют в клинических испытаниях, не являются такими же, как пациенты в реальной клинической практике, и медицинский уход, оказываемый в условиях клинических испытаний, не идентичен реальному уходу в медицинском сообществе.
Ограничения доказательного подхода
В оживленной практике врачи в течение даже одного дня сталкиваются с десятками клинических вопросов. Хотя некоторые из них могут быть предметом существующего обзора ДМ, доступного для ознакомления, большинство из них нет, и подготовка формального анализа ДM слишком затратна по времени, чтобы быть полезной при ответе на немедленный клинический вопрос. Даже когда время не является проблемой, по многим клиническим вопросам отсутствуют соответствующие исследования в медицинской литературе.
Клинические руководства
Клинические руководства стали широко доступными в медицинской практике; многие профессиональные организации уже опубликовали такие руководства. Большинство хорошо продуманных клинических рекомендаций разрабатываются с использованием указанного метода, который включает в себя принципы ДM и консенсус или процесс Дельфи рекомендаций группы экспертов. Хотя Клинические рекомендации могут описывать идеализированную практику, сами по себе они не могут устанавливать стандарт медицинской помощи для конкретного пациента.
Некоторые Клинические рекомендации следуют правилу «если, то» (например, если у пациента наблюдается лихорадка и нейтропения, то следует прописать антибиотики широкого спектра). Более сложные, многоступенчатые правила могут быть оформлены в виде алгоритма. Руководства и алгоритмы, как правило, просты и удобны в использовании, но должны применяться только к тем пациентам, чьи клинические характеристики (например, демографические данные, сопутствующие заболевания, клинические признаки) аналогичны характеристикам группы пациентов, используемых для создания руководства. Кроме того, руководящие принципы не принимают во внимание степень неопределенности, присущей результатам испытаний, вероятность успешного лечения и относительные риски и преимущества каждого курса действий. Для того чтобы включить неопределенность и значимость медицинских результатов в процесс принятия клинических решений, часто лечащим врачам приходится применять принципы количественных или аналитических врачебных решений (см. также Стратегии принятия клинических решений [Clinical Decision-Making Strategies] Стратегия принятия клинического решения Одна из наиболее часто используемых стратегий для медицинского принятия решений отражает научный метод гипотезы поколения с последующей проверкой гипотезы. Диагностические гипотезы принимаются. Прочитайте дополнительные сведения ). Кроме того, многие организации, публикующие руководства, требуют использования данных только рандомизированных исследований, что часто является существенным ограничением.
Введение в особенности принятия клинического решения
Клиницисты должны интегрировать огромное разнообразие клинических данных, сталкиваясь с противоречивым давлением для уменьшения диагностической неопределенности, рисков для пациентов и расходов на лечение. Процесс решения, какую информацию собирать, какие анализы назначать, как эту информацию интерпретировать и интегрировать в гипотезу диагноза и какой способ лечения предложить, известен как «принятие клинического решения».
Оценивая пациента, врачи, как правило, должны ответить на следующие вопросы:
Указывают ли данные анамнеза и физикального обследования на конкретные диагнозы?
Существуют ли "красные флаги", указывающие на неотложные медицинские или социальные проблемы, которые необходимо решить до подтверждения диагноза?
Следует проводить тестирование или консультироваться с узкими специалистами?
В простых или распространенных ситуациях врачи зачастую принимают такие решения рефлекторно; диагнозы ставятся путем распознавания клинической картины болезни, а обследования и лечение начинают на основе обычной практики. К примеру, во время эпидемии гриппа здоровый взрослый человек, у которого наблюдаются лихорадка, тяжелые боли в мышцах, боли в глазнице, сильный кашель в течение 2 дней, вероятно, будет считаться как еще один случай гриппа и лечение ему будет назначено только чтобы облегчить симптомы болезни. Такая схема признана эффективной и простой в использовании, но она не застрахована от ошибок, потому что в ней не учитываются серьезно или систематически другие диагностические и терапевтические возможности. К примеру, пациент с шаблонным диагнозом «грипп» и сниженным насыщением кислородом может вместо него иметь COVID-19 или же бактериальную пневмонию, при которых требуется прием антибиотиков. Клиницисты должны быть осведомлены о возможных отклонениях, которые могут быть внесены в диагностический процесс (1 Общие справочные материалы Клиницисты должны интегрировать огромное разнообразие клинических данных, сталкиваясь с противоречивым давлением для уменьшения диагностической неопределенности, рисков для пациентов и расходов. Прочитайте дополнительные сведения ).
В более сложных случаях лучшим подходом к принятию решений может быть применение структурированных, количественных, аналитических методологий. Даже когда шаблонное распознавание заболевания предоставляет наиболее вероятную диагностическую возможность, часто для подтверждения диагноза используется аналитическое принятие решения и исключение потенциальных похожих заболеваний. Аналитические методы включают применение принципов доказательной медицины, использование клинических руководств, а также применение различных конкретных количественных методов (например, теорема Байеса Теорема Байеса Результаты теста могут помочь поставить диагноз пациентам с симптомами (диагностическое тестирование) или определить наличие скрытых заболеваний у бессимптомных пациентов (скрининг). Если тесты. Прочитайте дополнительные сведения ).
Общие справочные материалы
Авторское право © 2022 Merck & Co., Inc., Rahway, NJ, США и ее аффилированные лица. Все права сохранены.
Доказательная медицина и клинические руководства
Системы поддержки принятия врачебных решений

В своей практической деятельности врач сталкивается с большим количеством задач, которые требуют быстрого и точного реагирования. При постановке диагноза и лечении необходимо учесть:
индивидуальные особенности пациента;
результаты лабораторных и инструментальных методов исследования.
Рутинные операции — оформление медицинской документации, мониторинг состояния пациентов, контроль за соблюдением назначений — создают дополнительную нагрузку на специалистов.
Ситуация осложняется появлением новых регламентов оказания медицинской помощи: клинических рекомендаций, стандартов и протоколов. У клиницистов не всегда есть возможность актуализировать свои знания. Это связано с возрастающим объёмом специализированной информации и её источников 1 .
При этом важно обеспечить своевременность и безопасность клинических мероприятий: вовремя обнаружить заболевание и начать правильное лечение. Частичная автоматизация лечебно-диагностического процесса и информационная поддержка специалиста — направления, которые призваны снизить нагрузку на врача.
Помощником врача при решении клинических задач может стать искусственный интеллект, реализованный в системе поддержки принятия врачебных решений (СППВР).
Что такое система поддержки принятия врачебных решений?
СППВР — компьютерная программа, которая обеспечивает врача клиническими данными и сведениями о пациенте и сопровождает при принятии решений. Оперативная информационная поддержка помогает выстроить правильную врачебную тактику. Клиническое мышление специалиста объединяется с искусственным интеллектом для повышения качества диагностики и лечения 2 .
Искусственный интеллект в СППВР реализуется с помощью чёткой и нечёткой логики, методов машинного обучения, обработки естественного языка 3 . Компьютерное зрение и глубокое обучение помогают распознавать медицинские изображения и интерпретировать их 4 .
По мере поступления новых данных ИИ способен обучаться самостоятельно и повышать точность принятия решения 3 .
Задачи СППВР
Сервис снабжает специалиста актуальными клиническими рекомендациями и протоколами. Сведения о лекарственных препаратах помогают уточнить аспекты терапии 5 .
Помощь в оформлении медицинской документации
Система проводит сортировку и учёт электронных медицинских карт. Болезнь пациента кодируется по международной классификации болезней 10-го пересмотра (МКБ-10). При постановке диагноза врач выбирает соответствующий код 6 .
Определение степени и тяжести заболевания
Алгоритм оценивает состояние пациента, используя классификацию в рамках машинного обучения. На выходе врач получает заключение о группе риска 7 .
Генерация тревожных сигналов
СППВР способна выявить скрытые закономерности, которые может не заметить врач. Алгоритмы предупреждают о возможных осложнениях, например: о повышении уровня глюкозы при сахарном диабете 8 , об инфекции в послеоперационный период 9 , о декомпенсации заболевания 10 .
Ассистирование в диагностике
ИИ может проводить «консультацию» на основе входных данных: симптомов и жалоб пользователя. Система выдаёт диагноз, который служит ориентиром для врача 11 . Другое направление — диагностическая визуализация. СППВР распознаёт медицинские изображения и выделяет подозрительные области 2 .
На основании данных ЭМК СППВР помогает подобрать правильное лечение: назначить оптимальную дозировку лекарств 10 , спрогнозировать длительность пребывания в стационаре 12 провести мониторинг терапии 13 .
Достижение экономической эффективности
Внедрение ИИ помогает правильно расходовать ресурсы медицинской организации. Это достигается за счёт эффективного использования диагностического оборудования 14 и электронного документооборота 10 .
Диагностика
Диагностика с помощью СППВР основана на органичном сочетании профессиональных навыков врачей и технических возможностей ИИ. Заключение ИИ имеет вероятностный характер и служит ориентиром для клинициста. Система автоматизирует рутинные процессы в медицине.
При поддержке Google разработан алгоритм автоматического обнаружения диабетической ретинопатии — поражения сетчатки глаза при сахарном диабете. В качестве обучающих данных использовалось 128 175 изображений сетчатки 15 .
Наборы для проверки в клинических условиях включали 9963 и 1748 изображений соответственно. Офтальмологи оценивали качество изображения и наличие на нём патологии зрения. Их заключения сравнивались с решениями нейросети. По данным исследователей, чувствительность для наборов составила 97,5% и 96,1% 15 .
Российский сервис Care Mentor AI использует ИИ для повышения точности заключений врача-рентгенолога. Экспертная система анализирует результаты лучевых исследований, чтобы обнаружить признаки заболеваний органов грудной клетки 16 .
Сервис Care Mentor AI позволяет 16 :
выявить поражение лёгочной ткани, наличие инородного тела или полости с уровнем жидкости;
определить зоны патологических изменений;
рассчитать размеры подозрительных образований;
сформировать итоговое заключение.
В России командой СберМедИИ реализуется многокомпонентная система поддержки принятия врачебных решений:
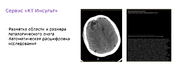
ТОП-3: анализирует данные первичного приёма пациента и выдаёт 3 наиболее вероятных диагноза по МКБ-10;
КТ Инсульт: проводит на томограммах поиск областей с острым нарушением мозгового кровообращения;

КТ Легких: анализ снимков органов грудной клетки (ОГК) направлен на поиск признаков вирусной пневмонии, в том числе природы COVID-19, и онкологических заболеваний. Сервис выделяет поражённые зоны и минимальные узелковые новообразования в лёгочной ткани.

Маммография: выявляет подозрительные образования молочной железы;
Короткое ЭКГ: обработка результатов ЭКГ с отображением в режиме онлайн;
Мобильное приложение AI Resp: исследует акустические характеристики при заболеваниях органов дыхания;
Мобильное приложение AI Skin: определяет кожные высыпания по фотографии.
Предиктивная аналитика
Для выбора лечения клиницисты оценивают тяжесть заболевания с присвоением определенной группы или категории. Ориентиром при этом служат общепринятые международные классификации.
Система поддержки принятия врачебных решений ускоряет выполнение этой задачи. Для этого ИИ использует входные данные о здоровье пациента: пол, возраст, перенесённые заболевания, симптомы, лабораторные показатели 10 .
Исследователи Института рака Бари им. Иоанна Павла II в Италии опубликовали предварительные результаты по прогнозированию рецидива рака молочной железы. Они использовали модель на основе машинного обучения. Исходные данные — результаты обследования и лечения 256 пациентов научно-исследовательского центра. Оценивалась вероятность рецидива рака через 5 и 10 лет после постановки диагноза 17 .
Итальянские учёные отмечают эффективность вспомогательного инструмента на основе ИИ: точность прогноза составила 77,5% и 80,39%, чувствительность 92,31% и 95,83% для 5 и 10 лет соответственно 17 .
Помощь в назначении и контроле лечения
С информационной поддержкой СППВР врач может принимать обоснованные решения при выборе терапии 5 :
посмотреть рекомендуемые дозировки;
уточнить возможные противопоказания и нежелательные взаимодействия лекарств;
провести поиск более дешёвых аналогов;
убедиться в правильности и безопасности назначенного лечения.
Немецкие учёные из Университетской клиники г. Мангейма сравнили решения 77 врачей и 89 студентов-медиков при использовании разных источников информации. Участников попросили назначить антибактериальную терапию при инфекции верхних мочевых путей. В помощь были предоставлены: доступ в интернет, справочники и СППВР. Система давала пользователю рекомендации с учётом индивидуальных особенностей пациента 18 .
Авторы отмечают, что только 27,1% участников правильно диагностировали заболевание. Назначить лечение в соответствии со стандартами смогли только 19,4% испытуемых. Это свидетельствует о необходимости информационной поддержки медицинских специалистов 18 .
Участники, чьи решения опирались на ИИ, показали лучшие результаты: 57,1% среди верно поставивших диагноз и 40,5% в случае правильного лечения 18 .
В России реализуются сервисы для повышения качества фармакотерапии. Система «Электронный клинический фармаколог» обеспечивает врачу доступ к актуальным сведениям о лекарственных препаратах: справочнику Государственного реестра лекарственных средств (ГРЛС) и клиническим рекомендациям 19 .
Мониторинг состояния пациентов
СППВР позволяет оценивать количественные и качественные показатели здоровья пациентов в динамике. Благодаря ИИ внимание врача концентрируется на каждой стадии заболевания. Контроль индивидуальных характеристик направлен на своевременную коррекцию лечебно-диагностических мероприятий.
Публикация британских исследователей в The Lancet описывает модель, которая проводит мониторинг состояния пациентов. Алгоритм Oracle прогнозирует результаты психотерапии. Для этого он:
опирается на данные анкетирования пациентов;
оценивает симптомы депрессии и тревожности на каждом сеансе психотерапии;
обновляет прогнозы модели с каждым новым сеансом 20 .
Высокие индексы точности прогноза позволили авторам рассмотреть применение Oracle в медицине. Алгоритм может помочь врачу уже на первых сеансах психотерапии определить пациентов в группе риска 20 .
Американские исследователи из университета Дьюка в Северной Каролине разработали модели машинного обучения для оценки послеоперационного риска — возникновения осложнений и смертности. Алгоритмы обрабатывали большой массив клинических и хирургических данных пациентов. Анализ проводился для 37 миллионов клинических случаев по 194 признакам 20 .
По данным авторов, созданная модель смогла выявить пациентов с высоким риском после хирургического вмешательства с чувствительностью и специфичностью, равными 76% 21 .
Эффективность систем
Отечественные и зарубежные обзоры исследований указывают на активное развитие интеллектуальных систем. Эффективность применения ИИ находится в процессе изучения. Но уже сейчас технологические решения дают первые положительные результаты в диагностике и лечении 2,22-24 .
На данном этапе можно выделить аспекты применения СППВР 25 :
Высокий уровень компьютерной грамотности. Знание основ биоинформатики поможет врачу использовать все преимущества медицинских технологий.
Прозрачность решений. Методы обработки больших объёмом данных не всегда понятны пользователю. Клиницисту важно знать общие принципы работы технологии: как ИИ пришёл к тому или иному выводу, какие рабочие характеристики и границы применения системы.
Этичность. Алгоритмическая предвзятость может сделать решение не с учётом особенностей пациента, а с опорой на математически вычисленную пользу. Врач следует принципу «не навреди», заботясь о каждой человеческой жизни. Специалист учитывает жизненную ситуацию пациента и его предпочтения в выборе лечения.
СППВР становится высокоразвитым помощником в медицине, но ключевая роль остаётся у человека. Благодаря технологиям врач сохраняет время для своего пациента. Уделить внимание личной беседе, построить доверительные отношения, стать партнёрами в борьбе с болезнью — залог успешного лечения.
Источники
С.М. Стиварос, А. Гледсон, Г. Ненадич и др. Системы поддержки принятия решений для клинической радиологической практики — к следующему поколению // Br J Radiol. 2010.
Формирование клинического мышления студентов посредством имитационных технологий
Канский медицинский техникум
«…думается, что можно говорить о
«трех китах» - логике, интуиции,
эмпатии, делающих клиническое мышление тем,
чем оно является, и обеспечивающих то, что от него ждут»
Игровые и имитационные технологии - современное требование времени, которое обусловлено, в первую очередь, обучением по Федеральному Государственному Образовательному стандарту III поколения, принципиальным отличием которого является переход от знаниевых технологий к компетентностым, где клиническое мышление рассматривается как одна из профессиональных компетенций будущего специалиста.
Имитационное обучение - это обучение, при котором обучаемый осознано, выполняет действия в обстановке, моделирующей реальную, с использованием специальных средств обучения. Синонимом имитационного обучения является «моделирование» в процессе обучения, а в сфере здравоохранения еще используют термин «симуляционное обучение», когда для моделирования профессиональных ситуаций разными способами симулируют проявления болезней.
В формировании клинического мышления большую роль играет использование в процессе обучения игровых имитационных методов - ситуационных задач и деловых (ролевых) игр с решением практических вопросов тактики, лечебно-диагностических, экспертных, профилактических и других аспектов.
Так что же такое клиническое мышление? Клиническое мышление в широком смысле не может быть сведено к мышлению в обычном для логики понимании. Это не только решение сложных логических задач, но и способность к наблюдательности, установлению психологического контакта, доверительных отношений с больным, развитая интуиция и «воссоздающее воображение», позволяющее представить патологический процесс в его целостности.
Клиническому мышлению нельзя научиться по учебникам и руководствам, как бы хорошо они ни были составлены. Для этого необходима практика под руководством опытного преподавателя. Как известно, С.П. Боткин и Г.А. Захарьин при подготовке будущего врача решающее значение придавали усвоению метода. Так, C.П. Боткин говорил: «Если учащийся овладел клиническим методом, то он вполне готов к самостоятельной деятельности». Примерно так же считал и Г.А. Захарьин: «Кто усвоил метод и навык индивидуализировать, тот найдется и во всяком новом для него случае». Кстати, в современных учебниках вопрос о клиническом мышлении почти нигде не ставится. Даже такой крупный клиницист, как М.П. Кончаловский, утверждая, что «врач… должен научиться рассуждать, логически мыслить, или, как говорят, овладеть клиническим мышлением», не указывает, где и как будущий врач должен этому научиться.
Работа над воспитанием клинического мышления, начинающаяся со студенческой скамьи и продолжающаяся в дальнейшем на протяжении всей практической деятельности, включает:
- изучение образцов клинического мышления - трудов С.П. Боткина, Г.А. Захарьина, А.А. Остроумова, их учеников и последователей в виде блестяще составленных клинических лекций;
- усвоение примеров клинического мышления у преподавателей при обучении, у коллег по работе при обследовании пациентов, постановке диагноза и назначении лечения;
- самостоятельные занятия и упражнения в разрешении практических задач у постели больного путем анализа имеющихся у него симптомов, постоянно ставя перед собой вопросы: почему? как? для чего?
- анализ каждой ошибки, своей и чужой, имея в виду, что «нет ничего более поучительного, как диагностическая ошибка, распознанная, проанализированная и продуманная. Ее воспитательное значение часто много выше правильной диагностики при условии, что этот анализ будет верным и методичным» (А. Мартине).
К клиническому мышлению врача и фельдшера предъявляются следующие требования:
- Наблюдательность. Афоризм «Лучше один раз увидеть, чем сто раз услышать» нигде не звучит так актуально, как в практической медицине. Надо лишь слово «увидеть» дополнить словом «наблюдать».
- Объективность мышления. Субъективизм в оценке фактов и диагностических заключениях - наиболее частая причина врачебных ошибок, связанная с недостаточно критическим отношением врача к своим умозаключениям.
- Гибкость, т.е. способность к быстрой мобилизации и перемене хода рассуждений, когда это диктуется изменением в течении болезни.
- Целенаправленность, что подразумевает умение врача (фельдшера) рассуждать, придерживаясь определенного направления мысли.
- Концентрированность - умение врача (фельдшера) с начала обследования пациента выделить главное. В диагностике важно сосредоточить внимание на доминирующих симптомах, определяющих состояние больного и оказывающих решающее влияние на выбор лечебной тактики.
- Решительность. Она вытекает из важнейшей особенности работы врача и фельдшера - необходимости действовать во многих случаях с учетом лимита времени и отсутствия достаточной информации.
- Опыт клинической работы. Вероятно, поэтому в области медицины редко встречаются «вундеркинды»: зрелость приходит, как правило, с сединой.
- Память, способность помнить возможно большее число известных в настоящее время заболеваний. Диагностировать можно лишь то заболевание, которое подозреваешь и которое знаешь.
Выделяют следующие этапы клинического мышления и принятия решения:
- Изучение жалоб путем клинического исследования (сбор анамнеза и физикальное обследование).
- Назначение диагностических тестов, каждый из которых обладает определенной точностью и информативностью.
- Обобщение клинических находок и результатов лабораторных исследований для разработки возможных вариантов диагноза.
- Сравнительная оценка риска и преимущества альтернативных вариантов дальнейших исследований.
- Сопоставление плана лечения с учетом пожеланий больного.
Теперь перейдем к понятию деловой игры. Деловая (имитационная, операционная, учебная, дидактическая) игра - это метод обучения профессиональной деятельности посредством ее моделирования, близкого к реальным условиям, с обязательным разветвленным динамическим развитием решаемой ситуации, задача или проблемы в строгом соответствии последующих событий с характером решений и действий, принятых играющими на предыдущих этапах.
Можно выделить несколько типов деловых игр.
Первый тип игры: «медработник - больной». Это основная форма клинической игры, моделирующей условия интеллектуальной профессиональной деятельности фельдшера, направленной на распознавание болезней и лечение больного. Эта форма наиболее проста, она является основой всех клинических игр. Учебная игра «фельдшер - больной» организационно и методически чрезвычайно широка, мобильна и может применяться в диапазоне от единственного играющего с преподавателем студента до применения этой методики на лекции. Студенты имеют возможность в деловой игре имитировать профессиональную деятельность фельдшера в условиях скорой помощи или ФАПа.
Второй тип - «Действия медицинского персонала в нетипичных ситуациях». Эта игра отличается тем, что в игре участвуют консультанты, координаторы, менеджеры.
Третий тип клинической игры - это «Фельдшер скорой помощи», «Фельдшер ФАПа». Отличие этого варианта в том, что фельдшер обслуживает нескольких пациентов. При этом для моделирования наиболее реальной ситуации каждый из этих больных находится на разных стадиях обследования и лечения, на разных стадиях своих заболеваний. Здесь помимо чисто клинических задач, возникает организационные проблемы взаимодействия с разными специалистами ЛПУ, с вспомогательными, клиническими, инструментальными и лабораторными службами.
Нередко поступают жалобы от лечебных учреждений, получающих молодых специалистов, на то, что выпускники не владеют профессиональными элементарными навыками, особенно плохо они подготовлены к взаимодействию со своими коллегами и различными службами.
Моделирование профессиональной работы медицинского работника в коллективе ЛПУ посредством учебной деловой игры в принципе позволит лучше подготовить студента к будущей деятельности. Иными словами, клинические игры должны моделировать сложные проблемы в ЛПУ, максимально реальные модели профессиональной работы медработника с больным.
Главное назначение деловых игр - уменьшить для студентов степень новизны и неожиданности вероятных производственных ситуаций. Необходимо помнить, что «производственная сфера» медработника - это больной человек и неожиданность ситуации для фельдшера в сложных случаях оборачивается вполне реальной гибелью больного.
Учебная игра может быть нетолько методом обучения, но и методом контроля, который в условиях приближенных к реальным, объективно выявит способность студента к реальной конкретной профессиональной деятельности.
При первом варианте роли распределяются между некоторыми обучаемыми, а остальные, не получившие ролей, становятся активными зрителями или выполняют функции «арбитра». Во втором - слушатели разбиваются на небольшие группы единомышленников, и каждая из них берет на себя роль отдельного лица, участника ситуации или возглавляемого им подразделения.
Мною разработаны деловые клинические игры к практическим занятиям по различным формам проведения. Например: в приемное отделение межрайонной больницы поступает больной 19 лет с диагнозом: « Инсулинзависимый сахарный диабет с кетоацидотической комой». В этой игре студенты оценивают ситуацию, выдвигают возможные варианты решения приоритетной проблемы. По условию задания подгруппа студентов должна оказать неотложную помощь в приемном покое и показать определенные практические умения, согласно установленного алгоритма (оценка состояния больного, определение уровня глюкозы в крови и моче, техника постановки простого инсулина, внутривенное введение физиологического раствора). Затем один из участников игры должен определить программу лечения больного с инсулинзависимым сахарным диабетом в стационаре. В результате проведения этой деловой игры оцениваются профессиональные компетенции фельдшера по оказанию неотложной помощи на догоспитальном этапе.
По методике второго варианта предлагаю игру «Профилактика гипертонической болезни». В игре принимает участие также подгруппа студентов, но контролирует, направляет и активизирует работу внутри подгруппы «ведущий фельдшер». В ходе игры фельдшер должен составить индивидуальный план профилактических мероприятий в отношении данного больного, план беседы с больным и его родственниками, дневник самонаблюдения при проведении лечения для больного, дать рекомендации по организации лечения и лечебному питанию, обучить больного и родственников мониторингу за АД и пульсом, само- и взаимопомощи при гипертоническом кризе, остром нарушении мозгового кровообращения. При проведении данной деловой игры проверяются и оцениваются профессиональные компетенции профилактической деятельности фельдшера.
Таким образом, деловые игры являются перспективной формой учебной деятельности, которая формирует клиническое мышление медицинского работника. Имитационное обучение способствует повышению качеству обучения за счет того, что профессиональное действие может быть неоднократно повторено для выработки уверенности выполнения и ликвидации ошибок. Для этого используются игровые методы обучения, а также специальные тренажеры, симуляторы и модели. Использование таких высокотехнологичных средств обучения позволяет формировать профессиональные компетенции и развивать клиническое мышление, и обеспечивают у каждого студента достижения третьего уровня обучения - практического овладения профессиональной деятельностью.
Читайте также:
- Согласие пациента на лечение. Разделение принятия решений с пациентом
- Брадикардия: причины, симптомы и лечение
- Почему болит грудь? Причины боли в груди
- Артерио-венозная аневризма и туберкулома легкого. Лечение туберкуломы легкого.
- Торакопластика при двусторонних процессах. Искусственный пневмоторакс перед торакопластикой
