Компьютерная томография височной кости в норме
Добавил пользователь Евгений Кузнецов Обновлено: 01.11.2025
Височная кость имеет сложную анатомию. Классическая рентгенография по Стенверсу, Шюллеру, Майеру показывает воспалительные процессы внутри ячеек пирамиды.
Нативная КТ орбиты глаза, височных костей позволяет исследовать каналы, структуры внутреннего уха, верифицировать опухоли, инфекционные процессы.
Для изучения мягкотканых частей применяется магнитно-резонансная томография.
Описанный перечень лучевых методов позволят с высокой достоверностью обследовать анатомические структуры области - слуховой нерв, оболочки мозга, крупные артерии, евстахиеву трубу, образования внутреннего уха (наковальня, молоточек, стремечко).
МРТ внутреннего уха или КТ - что делать
После травм КТ височной кости более рационально. На снимках (томограммах) прослеживаются мелкие трещины, твердые опухоли, нарушение проходимости каналов пирамиды. После внутривенного усиления контрастом (препараты на основе йода) визуализируется сосудистая сеть внутреннего уха.

Высокопольная МРТ височных костей позволяет отслеживать воспалительные процессы, гнойники, абсцессы, мягкотканые новообразования, холестеатому.
Выбор исследования зависит от диагностических целей. При онкопоиске пациенту делают компьютерную и магнитно-резонансную томографию поочередно для получения максимальной информации. Повышает информативность обоих обследований увеличение количества срезов с минимизацией шага (сканирование через 1 мм) исследуемой области.
- Структуры нижних частей барабанной полости (полукружные канала, улитка);
- Склеротические изменения - разрастание соединительной ткани на месте воспаления, костно-деструктивных дефекты. Остеосклероз является причиной тугоухости;
- Образования средней части (евстахиевая труба, слуховые косточки);
- Холестеатома - новообразование среднего уха, являющееся причиной снижения слуха. Компьютерное сканирование помогает выявить опухоль на начальной стадии;
- Верхнюю барабанную полость (ушная раковина, проход);
- Опухоли пирамидной части височной кости - гемангиома, остеома, гломусные новообразования, невриномы.
Контрастная процедура верифицирует внутреннюю часть сонной артерии, яремную вену.
Компьютерный снимок (томограмма) области височной кости показывает инородные тела, аномалии уха, инородные тела, сопутствующие воспалительные процессы - абсцесс, энцефалит, метастазы, изменения мозговой оболочки.
МРТ височных образований дифференцирует виды отита (гнойный, серозный, катаральный), отосклероз, изменения синусов (фронтиты, гаймориты), патологию внутреннего уха, слухового прохода.
МРТ лучше, чем КТ подходит для повторного исследования после хирургического вмешательства.
Контраст при КТ височной кости
Бесконтрастную КТ височных костей делают при подозрении на костную патологию. Информативность обследования повышается при введении в вену препаратов на основе солей йода (ультравист, дотарем, омнипак). Из-за наличия усиливающего соединения в сосудах удается получить детали, очертания объектов на снимках.
Анатомические элементы височной части головы расположены близко друг к другу, без усиления сложно дифференцируются.
Существует две процедуры контрастирования:
- Болюсная - мгновенное введение соединения с томографией через несколько секунд после заполнения сосудов;
- Классическая - препарат вводится постепенно с помощью автоматического дозатора или шприца.
Первый способ предпочтительнее, так как позволяет изучить артериальную и венозную фазу заполнения внутреннего и среднего уха.
Контрастирование при МРТ проводится веществами с солями гадолиния. Полученные снимки показывают микроциркуляцию аналогично компьютерному томографу.

Противопоказания, показания к компьютерной томографии височной области
Рентгеновское излучение лежит в основе метода, поэтому томограф при работе обеспечивает облучение человека.
Обследование выполняют строго по показаниям:
- Травматические повреждения черепа;
- Ушиб мягких тканей;
- Подозрение на перелом височных костей;
- Гнойные отиты;
- Верификация новообразований;
- Необъяснимые головокружения, потеря слуха;
- Подготовительный этап перед имплантацией электрода.
Цена КТ височной кости доступна для среднестатистического жителя России - 2500-5500 тысяч рублей. Зависит от оборудования, задач диагностики.
Большинство современных центров оснащено закрытыми высокопольными томографами, подходящими для выполнения исследований у большинства пациентов.
Компьютерное исследование височной области противопоказано:
- Беременным женщинам;
- При лактации;
- Аллергических болезнях;
- Почечной недостаточности;
- Сахарном диабете (контрастная процедура).
Индивидуальные противопоказания определяются лечащим врачом.
Где сделать МРТ, КТ томографию внутреннего уха в СПб
Выполнить исследование височной области предлагает более 60 клиник Санкт-Петербурга. В большинстве случаев диагностика выполняется с контрастированием для получения исчерпывающей информации об анатомических деталях костного и мягкотканого компонента.
Как делают КТ височной части головы

Процедура безболезненна. Перед сканированием требуется снять все металлические украшения, создающие артефакты на снимках.
Компьютерный томограф - устройство с диагностическим столом, вокруг которого располагается тоннель с источниками и приемниками рентгеновских лучей. Пациент помещается внутрь томографа горизонтально, фиксируется ремнями. Перед процедурой в локтевую вену вводится контрастный препарат (при необходимости).
После начала КТ височных частей головы обследуемый должен лежать неподвижно. За ходом процедуры персонал наблюдает из соседнего кабинета через рентгенозащитное окно. Во время обследования стол постепенно двигается внутрь тоннеля. Сканирование височных областей не занимает много времени.
Нельзя часто делать компьютерное исследование внутреннего уха из-за вреда от рентгеновских лучей. Врачи лучевой диагностики определяют показания для манипуляции. По стандартам повторять КТ ранее 6 месяцев не желательно.
Компьютерное сканирование пирамид височных костей
На височной кости расположено костное утолщение, называемое пирамидой. Структура содержит среднее и внутреннее ухо. Область оснащена нервами, сосудами. Томография визуализирует все образования. Дополнительно томограмма показывает воспалительные выделения, аномалии развития, невриномы.
Сложность строения пирамиды не позволяет четко отслеживать патологию на мультиспиральной КТ головного мозга. После травм диагностика помогает обнаружить скрытые кровотечения, которые при длительном сохранении приводят к слуховым нарушениям. Контрастирование дополняет диагностическую информацию, но компьютерная диагностика более информативна при сканировании пирамид.
Звоните нам по телефону 8 (812) 241-10-46 с 7:00 до 00:00 или оставьте заявку на сайте в любое удобное время
Компьютерная томография височной кости в норме
Височная кость черепа - сложная парная структура, содержащая много анатомических структур, имеющая запутанный рельеф из множества протоков, сосцевидных ячеек, слуховых косточек, внутреннего уха, барабанной перепонки.

КТ-анатомия височных костей
Возле пирамиды височной кости расположена седловидная ямка турецкого седла, где располагается важная эндокринная железа - гипофиз. Орган регулирует состояние эндокринных желез. Компьютерная томография (КТ) хорошо показывает структуры области, позволяет определить размеры турецкого седла, выявить опухоли, обызвествление, воспаление гипофиза.
Височная кость соединена с подвижной челюстью посредством височно-нижнечелюстного сочленения. Возле области расположены артерии, нервные волокна. Повреждение сегмента обуславливает множественную патологию, приводящую к воспалению внутреннего и среднего уха (отит), нарушению глотания, воспалительным процессам внутри пищевода, желудка.
КТ височных костей в норме
Компьютерная томография височных костей в норме показывает следующие анатомические структуры:
- Ровные, четки стенки;
- Физиологическая ширина просвета;
- Склеротический тип строения ячеек;
- Нормальная пневмотизация;
- Мягкотканые структуры устья слуховой трубы;
- Четкая визуализация слуховых косточек;
- Нормальная конфигурация прохода;
- Четкие ровные стенки.
КТ-признаки двустороннего среднего отита с хроническим течением нередко сочетаются с повышенной склеротизацией, снижением пневмотизации ячеек сосцевидного отростка. Гнойные, воспалительные процессы области хорошо визуализируются на компьютерной томограмме.
КТ височных костей - что показывает
Рентгеновская компьютерная томография назначается для изучения костей. Мягкие ткани лучше анализирует МРТ головного мозга.
КТ-признаки патологии барабанной полости:
- Оценка состояния стенок;
- Визуализация невральных структур;
- Анализ сосудистых образований;
- Определение анатомии сосцевидного отростка, пирамид.
Среднее ухо располагается вблизи мозговых оболочек, лицевого нерва, крупных кровеносных сосудов. Компьютерное сканирование позволяет четко определить гнойно-воспалительные процессы среднего уха (отиты).
Компьютерная томография височных костей четко отслеживает опухолевые, травматические повреждения. Новообразования вестибулярных и слуховых частей небольших размеров не приводят к падению слуха.
Компьютерная томография показывает степень минерализации (плотность солей кальция), отосклероз внутреннего и среднего уха. Отложение склеротической ткани наблюдается при хронических процессах.
На компьютерных томограммах определяются опухоли - остеомы, фибромы, ангиомы. Новообразования медленно растут, могут сопровождаться кровоизлияниями.
Длительный гнойный отит приводит к раку среднего уха. Опухоль злокачественная, имеет инфильтративный рост, характеризуется распространением на соседние области, характеризуется склонностью к распространению на окружающие анатомические структуры, в лимфатические узлы.
Патология приводит к сильному болевому синдрому головы, гнойно-кровянистым выделениям, сопутствующим воспалением лицевого нерва. Своевременное КТ позволяет определить нозологию на ранней стадии, уменьшить летальность.
Любые патологические изменения височной кости, пирамиды, сосцевидного отростка приводит к нарушению кровоснабжения. Высокая вероятность патологии микроциркуляции головного мозга из-за близкого расположения мозговых артерий. Попадания внутрь сосуда гнойного сгустка, тромба, эмбола приводит к блокаде кровоснабжения, возникновению участка кровотечения.
Показания к КТ височных костей:
- Внутриушные выделения;
- Падение слуха и зрения;
- Травматические поражения височных костей;
- Патология височно-нижнечелюстного сустава (ВНЧС);
- Перед оперативным вмешательством.
Томография височной кости является быстрым, информативным способом диагностики большинства видов нозологий.
Что лучше КТ или МРТ височной области
Результативность компьютерной и магнитно-резонансной томографии височной области существенно различается. Отличие между КТ и МРТ не только в физической основе метода. Радиационное облучение тканей в высоких дозах не позволяет использовать компьютерную томографию повторно на протяжении короткого промежутка времени.
Магнитно-резонансная томография безвредна для человеческого здоровья при отсутствии металлических объектов в теле. Современные инновационные томографы способны отслеживать даже патологию костных тканей. Цена оборудования достаточно высока, чтобы периферические медицинские заведения могли приобрести МР-сканеры.

Опухоль яремного гломуса на КТ височных костей
Кости содержат мало воды, поэтому под действием магнитного поля не преобразуют радиочастотный сигнал. Особенности оборудования не позволяют использовать его для обследования черепа при подозрении на переломы. МРТ предпочтительней для изучения церебральной паренхимы, мозговых оболочек, нервных волокон, сосудов.
КТ с контрастом также позволяет изучать артерии, вены, нервы, другие сосудистые образования, опухоли, измерять размеры.
КТ пирамид височных костей
Утолщение посередине височной кости называемое пирамидой содержит анатомические структуры среднего и внутреннего уха. Область включает множество сосудов, нервов. Рентгеновское послойное сканирование пирамидной части височной кости позволяет выявить опухоли, гнойные инфильтраты, патологическое скопление ликвора.
Гнойные и бактериальные воспалительные процессы, кровотечения внутрь пирамиды хорошо диагностируются после контрастирования. Процедура предполагает внутривенное введение усиливающего препарата с последующим изготовлением послойных срезов. Каждая томограмма показывает анатомические структуры в срезе, но с помощью трехмерного моделирования удается создать пространственное отображение объекта. Картина позволяет выявить мельчайшие полости, внутренние протоки, спланировать ход оперативного вмешательства.
КТ при отите
Бактериальное воспаление среднего уха приводит к поражению слизистых оболочек, скоплению гноя внутри ячеек сосцевидного отростка, барабанной полости. Длительное сохранение хронического воспаления приводит к выходу гноя наружу, появлению перфорационного отверстия в барабанной перепонке. Патология формирует опасные осложнения:
- Утрата слуха;
- Инфильтрация внутреннего уха;
- Распространение гноя по кровеносной системе;
- Разрушение стенок сосцевидного отростка;
- Деструкция внутренних полостей;
- Тромбоз сигмовидного синуса;
- Развитие абсцесса;
- Эпидуральная гематомы;
- Эмпиема;
- Вовлечение в воспалительный процесс слуховых косточек с потерей слуха.
Заключение компьютерной и магнитно-резонансной томографии нередко завершается постановкой диагноза «мастоидит». Ошибочность трактовки возникает из-за обнаружения асептической жидкости внутри сосцевидных ячеек, возникающей после простого экссудативного отита. Правильно диагностировать мастоидит можно только после обнаружения воспалительного поражения костных перегородок.
Компьютерная томография височной кости ребенка
Присутствие радиационного облучения при использовании метода компьютерной томографии (КТ) требует тщательного отношения к применению обследования у ребенка. Только при наличии опасных для жизни заболеваний, отсутствии эффективности от консервативного лечения заболеваний мезотимпанума, эпитимпанума, гипотимпанума по показаниям выполняют сканирование детям.
Эпитимпанум - верхняя часть барабанной полости, состоящая из слухового прохода, ушной раковины и барабанной полости. Воспалительные и гнойные процессы области хорошо выявляются после осмотра отоларинголом (ЛОР-врачом). Необходимость в компьютерной томографии для диагностики патологии области отсутствует.
Мезотимпанум - средняя часть барабанной полости. Область состоит из евстахиевой, слуховой трубы. Осмотру область не доступна, поэтому обследование проводится лучевыми методами.
Нижнюю часть барабанной полости (гипотимпанум) можно изучить только с помощью компьютерного сканирования. Отдел содержит важные анатомические структуры - три полукружных канала (латеральный, задний, верхний), улитку, преддверье.
Отосклероз на КТ
Наследственное генетическое заболевание - отосклероз возникает из-за метаболических расстройств. Точную причину болезни установить не удалось. Морфологические изменения при патологии сопровождаются разрастанием костной ткани с заполнением ячеек сосцевидного отростка. Резорбция обусловлена активностью костных клеток - остеобластов и остеокластов. Места разрушения заполняются волокнами соединительной ткани. Склероз внутреннего уха приводит к тугоухости (кондуктивной). У молодых людей нозология характеризуется образованием склеротического очага вблизи переднего края преддверья. Начинающий рентгенолог не всегда обнаруживает изменения. Процесс двусторонний, поэтому принимается за анатомическую норму.
Холестеатома на компьютерных томограммах
Опухолевидное образование (холестеатома) состоит из эпителиальной ткани, соединительнотканных волокон с расположением в среднем ухе. Опасность заболевания заключается в склерозировании сосцевидных ячеек пирамиды височной кости. ЛОР-врачи считают, что рациональности диагностики холестеатомы с помощью КТ нет, так как часть опухоли обнаруживается во время осмотра. Трехмерное моделирование после компьютерной томографии позволяет выявить небольшое образование в слуховом канале на ранней стадии развития.
На КТ-холестеатома имеет вид мягкотканого образования с сопутствующими костными эрозиями.
Томографические признаки холестеатомы:
- Расположение внутри слухового прохода;
- Мягкотканое образование;
- Смещение слуховых косточек;
- Эрозивные дефекты стенок эпитимпанума, латерального полукружного канала.
Во время сканирования дополнительной находкой могут быть другие опухоли височной кости - гемангиома, остеома, невринома, гломусные образования.
Цена КТ височных костей
Специалисты рекомендуют выполнять томографию височной области после воспалительных процессов, травм черепа, падении слуха, подозрении на опухоли. Цена обследования в Москве варьирует в пределах от 2500 до 6000 российских рублей. Большой диапазон определяется видом оборудования, квалификацией врачей, применением или отсутствием контрастирования.
В стоимость услуги входит необходимость наркоза (ребенку), запись результатов на оптический диск, необходимость получения второго мнения. Получение нескольких заключений рентгенологов требуется пациентов с выявленными воспалительными процессами (хронический мастоидит, отит).
Где сделать КТ височной кости в Москве и Санкт-Петербурге
Большую часть клиник Москвы и Санкт-Петербурга собрал «Единый консультативный центр». Предлагаем читателям выбрать оптимальный диагностический центр вблизи места жительства, рядом с работой. Сортировка осуществляется по десяткам параметров. Наши партнеры имеют лицензии, современное оборудование, квалифицированный персонал. Заведения предлагают не только услуги КТ головы, шеи и МРТ, но и бесплатную предварительную консультацию, второе мнение при расшифровке томограмм, сделанных в других заведениях.
Альтернативы рентгеновской компьютерной томографии при диагностике патологии пирамид, сосцевидных ячеек височных костей не существует. Магнитно-резонансное сканирование применяется для определения мягкотканой патологии. Обращаясь к профессионалам, защищаетесь не только от необоснованного облучения, но и от ненужных финансовых затрат.
Что покажет КТ височных костей, как делают, подготовка и противопоказания

Височная кость является важной анатомической структурой - она участвует в формировании черепной коробки, здесь расположен слуховой аппарат, проходят крупные нервы и артерии. Обычные методы диагностики, такие как рентгенография или УЗИ, зачастую не позволяют диагностировать патологические изменения в этой области. КТ височных костей − более точное исследование, которое дает возможность выявлять заболевания на ранней стадии.
Что покажет КТ височных костей
Во время КТ получают послойные снимки височной кости и окружающих тканей в трех плоскостях. Толщина среза составляет всего несколько миллиметров, что позволяет врачу-рентгенологу рассмотреть не только все анатомические образования, но и минимальные патологические изменения.
На полученных снимках хорошо видны следующие структуры:
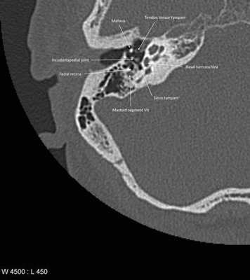
пирамида височной кости;
ячейки и антрум сосцевидного отростка;
улитка, преддверие, передний и задний полукружный каналы;
слуховые косточки среднего уха;
стенки наружного слухового прохода;

Снимок (томограмма) височных костей в осевой проекции
С помощью КТ височных костей можно выявить любые заболевания воспалительного, травматического, опухолевого характера. Метод применяется для диагностики следующих патологий:
объемных образований, кист костной ткани и слухового аппарата;
воспалительных процессов (мастоидиты, отиты, остеомиелиты);
травматических повреждений (трещины, переломы);
дегенеративных изменений (отосклероз, дисплазия);
Большим преимуществом КТ перед другими диагностическими методами является возможность получения трехмерной модели височной кости. 3D-изображение необходимо перед хирургическим вмешательством, часто по поводу установки имплантата внутреннего уха, поскольку дает максимально четкое представление об особенностях анатомии у конкретного пациента.
Иногда во время КТ височной кости дополнительно вводят контрастирующее вещество на основе йода. Введенный фармпрепарат хорошо поглощает рентгеновские лучи и делает изображения более отчетливыми. Контрастирование необходимо для уточнения характера изменений в мягкотканных образованиях, прилегающих к височной кости. Также методика позволяет отчетливо визуализировать церебральные артерии и вены. Вместе с тем, данная процедура обходится немного дороже стандартного исследования: пациенту нужно будет доплатить за количество использованного контраста.
Показания к КТ височных костей
В большинстве случаев КТ височных костей назначают ЛОР-врачи, неврологи, нейрохирурги, реже специалисты другого профиля. Обычно основанием для проведения томографии являются выявленные на рентгенограмме или во время УЗИ патологические изменения. Именно КТ височных костей позволяет разрешить все сомнения и поставить точный диагноз.
Показаниями для компьютерной томографии височной кости служат:
нарушения работы слухового аппарата (прогрессирующее ухудшение слуха, звон или шум в ухе и пр.);
вестибулярные расстройства (головокружение, шаткость при ходьбе);
длительный болевой синдром в области уха, в половине головы, особенно сопровождающийся неврологической симптоматикой;
выделения из слухового прохода различного характера (гной, кровь, ликвор);
клинические данные, свидетельствующие об опухолевом процессе;
нарушение работы лицевого нерва с развитием слабости мимической мускулатуры;
травмы головы с подозрением на перелом основания черепа и височной кости.
Также рекомендуют КТ височных костей перед запланированным хирургическим вмешательством, для контроля за проводимой терапией.
Кому противопоказана КТ височной кости
Компьютерная томография височных костей не проводится женщинам в период беременности, поскольку рентгеновские лучи негативно влияют на развитие плода. В случае томографии с контрастированием противопоказаниями являются:
нарушение фильтрационных характеристик почек;
непереносимость препаратов на основе йода;
повышенная функция щитовидной железы.
Как проходит компьютерная томография височных костей
Записаться в диагностический центр «Магнит» можно по телефону, указанному на сайте. Сотрудник подберет для вас наиболее удобное время, разъяснит особенности процедуры, одновременно вы сможете уточнить точную стоимость обследования.
Идя на томографию, потребуется взять с собой направление, имеющиеся на руках медицинские документы. В случае запланированной КТ височных костей с контрастированием нужно заранее сдать анализ на креатинин. Он необходим для оценки функционального состояния почек.
В центре «Магнит» обследование проводят на современном мультиспиральном томографе Siemens. Аппарат установлен в отдельной комнате, где и будет проходить сканирование.

Внешний вид компьютерного томографа и положение пациента на столе аппарата перед началом исследования
Непосредственно перед исследованием специалист центра проинструктирует больного и предложить занять положение на спине на столе томографа.
Во время сканирования стол с пациентом будет плавно перемещаться по направлению к тоннелю аппарата. Таким образом, голова будет находиться на уровне источника излучения и датчиков. Каких-либо неприятных ощущений во время исследования не возникает, тем более что сама процедура длится всего 1-2 минуты.
Все это время персонал будет находиться в соседней комнате и наблюдать за ходом исследования. В тоннеле томографа есть переговорное устройство, по которому пациент всегда может связаться с медперсоналом.
КТ височной кости с введением контраста длится немного дольше: от 15 до 25 минут, так как исследование включает несколько этапов. Первоначально выполняют нативное сканирование, после которого внутривенно вводят йодсодержащий препарат (Ультравист). Контраст относительно редко вызывает побочные реакции, иногда наблюдаются небольшое головокружение или подташнивание. Эти неприятные явления самостоятельно проходят в течение нескольких минут. Завершающий этап - повторное сканирование с получением максимально контрастных изображений.
После получения снимков и их обработки компьютерной программой врачу потребуется некоторое время для анализа данных. Обычно на это уходит не более 1,5-2 часов .
Когда назначают КТ височных костей детям
Данный вид исследования рекомендуют детям только при наличии веских оснований. Это связано с тем, что организм ребенка более чувствителен к рентгеновскому излучению, чем у взрослого пациента. КТ височных костей назначают тогда, когда другие методы исследования (рентген, УЗИ, МРТ) не дают достаточно информации для постановки диагноза. Детям компьютерная томография височных костей чаще всего проводится в случае черепно-мозговой травмы с переломами костей черепа, одностороннего нарушения слуха, при подозрении на новообразование.
В центре «Магнит» мультиспиральную КТ делают детям начиная с пяти лет. Современное оборудование и программное обеспечение позволяют подобрать оптимальный режим сканирования и, таким образом, существенно снизить лучевую нагрузку на организм. Процедуру с контрастированием в нашем центре проводят детям, достигшим двенадцатилетнего возраста.

Положение ребенка на столе компьютерного томографа перед исследованием
Компьютерная томография височной кости не причиняет маленькому пациенту дискомфорта или боли. Поскольку сканирование длится считанные минуты, дети хорошо переносят диагностику. Однако при запланированной томографии родителям все же следует психологически подготовить ребенка: рассказать о процедуре и почему так важно ее пройти.
Преимущества КТ височных костей
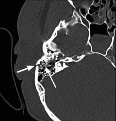
Компьютерная томография является оптимальным вариантом для исследования костей, в том числе черепа. Костная ткань хорошо поглощает рентгеновские лучи, в результате получают четкие ее изображения. Данный метод незаменим в диагностике скрытых переломов и трещин, он хорошо выявляет деструктивные изменения.

На КТ-снимке виден перелом пирамиды височной кости (указан стрелками)
Другими преимуществами мультиспиральной томографии являются:
высокая скорость сканирования;
относительно низкий уровень лучевой нагрузки;
неинвазивность и безболезненность;
доступность для выполнения пациентам с ферромагнитными имплантатами, электронными устройствами;
возможность получения трехмерной модели исследуемой зоны.
КТ височных костей имеет вполне доступную цену. В диагностическом центре «Магнит» ее можно пройти за 2450 рублей. Такая низкая, по сравнению с другими медучреждениями Санкт-Петербурга, цена объясняется проводимой в этом месяце специальной акцией.
Что показывает КТ лицевого черепа? Подготовка, показания и противопоказания
Компьютерная томография - метод исследования, основой которого являются рентгеновские лучи. Предшественник компьютерного томографа - обычный рентгеновский аппарат, но при проведении КТ возможно получение послойных изображений исследуемой области.
Наиболее современной считается мультиспиральная компьютерная томография (МСКТ). Преимущество этого метода в следующем:
уменьшение дозы облучения;
получение более качественного изображения на мониторе;
позволяет увеличить объем и скорость сканирования.
Что показывает КТ лицевого черепа
Мультиспиральная КТ назначается для оценки практически любой патологии лицевой части черепа.

КТ лицевого черепа с 3D-реконструкцией
КТ лицевого черепа позволяет оценить:
целостность костей лица;
состояние придаточных пазух, глазниц и носовой полости;
состояние мягких тканей.
Показания к проведению КТ лицевого черепа
Проведение КТ лицевого черепа актуально:
при травмах лицевой области, особенно с выраженными смещениями костей, отеками и внутренними кровотечениями или гематомами;
при воспалительных изменениях тканей лица;
потере тонуса мимической мускулатуры;
подозрении на онкологические процессы;
при невозможности проведения МРТ.
Большинство повреждений головы сопровождается переломами костей лица и их смещением. Лицевой череп образуют лобные, челюстные кости и ряд мелких костей. Повреждение мелких костей лицевого черепа не всегда удается визуализировать при проведении обычного рентгена, наиболее информативно КТ лицевого черепа. Немаловажно отметить, что компьютерная томография позволяет диагностировать опухоли из хрящевой и костной ткани даже на ранней стадии. На снимках КТ лицевого черепа хорошо прослеживаются контуры опухоли, а также их прорастание в пространство мозгового черепа, носовую полость и глазницу. В таких ситуациях может потребоваться дополнительное внутривенное контрастирование.

Компьютерный томограф Siemens
Бывают случаи, что пациентам с клаустрофобией невозможно провести магнитно-резонансную томографию мягких тканей лица, так как ее проведение предполагает длительное нахождение в замкнутом пространстве. Однако, если проведение МРТ более информативно - доктор назначает именно ее.
Безопасность проведения метода КТ лицевого черепа
При проведении обследования пациент находится в специализированном помещении, под постоянным наблюдением врача-рентгенолога, находящегося во время процедуры в соседнем кабинете. Связь осуществляется посредством специального микрофона. Однократные лучевые нагрузки на МСКТ минимальны и абсолютно безопасны для пациента. Для более четкой визуализации мягких тканей, очаговых воспалительных процессов и дифференциальной диагностики кист от мягкотканных образований используются контрастирующие вещества на основе йода, которые практически не вызывают побочных эффектов. Изредка после их применения возникают слабые головокружения, которые быстро проходят. Сам процесс прохождения процедуры длится несколько минут, сводя к минимуму облучение пациента.
Как проходит КТ костей лицевого черепа
Для проведения КТ необходимости в специальной подготовке нет. Если вы решили сделать КТ костей лицевого черепа, то Вам необходимо взять с собой направление от лечащего врача, а также результаты проведенных ранее обследований и анализов, проведенных на ранних этапах диагностики. Перед процедурой необходимо временно снять с головы и шеи все металлические предметы. Одежда должна быть легкая, удобная, не вызывающая дискомфорта, без металлических замков, молний и пуговиц.
Если вы собираетесь делать КТ лицевого черепа с применением контрастного вещества - необходимо сделать анализ уровня креатинина. Это можно сделать заранее, либо непосредственно перед проведением процедуры. Если показатель креатинина выше нормы - проведение компьютерной томографии с контрастированием невозможно.
Последовательность действий при проведении КТ лицевого черепа:
Врач-рентгенолог укладывает пациента в удобном положении на передвижной стол томографа и проводит краткий инструктаж. Затем выполняет необходимую настройку аппарата - выбирает требуемый режим работы - и переходит в соседнюю комнату для управления прибором.
Томограф автоматически перемещает стол вместе с телом пациента, погружая голову в тоннель аппарата.
Рентгеновские лучи, проникая через ткани головы, улавливаются специальными датчиками, проходят компьютерную обработку и отображается на мониторе компьютера.
Продолжительность процедуры КТ лицевого черепа составляет несколько минут , если требуется введение контрастного вещества - время подготовки займет 10-15 минут. Основным правилом является то, что во время работы томографа обследуемый не должен двигаться - даже слишком интенсивное проглатывание слюны может создать помехи для построения изображения исследуемой области . Контрастное вещество в большинстве случаев переносится хорошо и выводится из организма в течение суток.
Можно ли делать КТ лицевого черепа детям
Компьютерная томография в медицинском центре проводится детям только с пяти лет и строго при направлении от лечащего врача. Запрещается выполнять КТ лицевого черепа ребенку только по желанию родителей, без соответствующих веских оснований. В исключительных случаях назначается КТ лицевого черепа с пяти лет, если специалист придет к выводу, что без этой процедуры обойтись нельзя и пользы от проведения исследования гораздо больше, чем потенциального вреда от дозы облучения, полученной во время его прохождения.

КТ лицевого черепа ребенку
В нашем медицинском центре используется аппарат мультиспиральной компьютерной томографии, позволяющий минимизировать воздействие облучение на ребенка.
Особенности проведения сканирования беременным
Хотя воздействию рентгена подвергается верхняя часть организма беременной женщины, негативное воздействие лучей на развивающегося ребенка возможно. При проведении КТ лицевого черепа уровень лучевой нагрузки превышает относительно безопасный для зародыша , что негативно сказывается на развитии плода. Клетки эмбриона активно делятся, при воздействии на них радиоактивного излучения возможно формирование пороков развития, а в тяжелых случаях - отторжение плода.
Проведение КТ лицевого черепа во время беременности категорически противопоказано, разрешается только в случае крайней необходимости на поздних сроках по назначению лечащего врача с использованием специальных средств защиты плода и настройки МСКТ на минимальную дозу облучения.
Оптимально отложить процедуру, провести ее после родоразрешения или назначить альтернативные метод обследования - магнитно-резонансную томографию.
Результаты КТ лицевого черепа
При проведении КТ рентгеновские лучи, проходя через ткани, ослабляются различно, в зависимости от их плотности. Результаты улавливаются высокоточными детекторами и поступают в компьютер, где анализируются и отображаются в трехмерной проекции с шагом меньше 1 мм. Врач-рентгенолог анализирует изображение, делает выводы о наличии или отсутствии патологии. После этого пациенту выдается заключение вместе со снимками на электронным носителе.
Что показывает КТ уха? КТ или МРТ что лучше? Подготовка, показания и противопоказания

При снижении слуха или полной его потери обосновано проведение КТ уха. Это современный высокоинформативный способ визуализации, использующий рентгеновские лучи и компьютерную обработку данных для построения объемного изображения. Контрастное усиление при выполнении КТ уха позволяет дать оценку не только костным структурам, но и мягким тканям, нервам и сосудам данной области, что важно для определения дальнейшей тактики действий - консервативной терапии или оперативного лечения.
Нормальная анатомия уха
Компьютерная томография дает исчерпывающую информацию о патологических процессах наружного и среднего уха. К КТ-сканированию прибегают при атрезии наружного слухового прохода (из-за отсутствия отверстия при отоскопии невозможно увидеть состояние барабанной перепонки и структур среднего уха). Необходимость визуализации, как дополнительного звена обследования, возникает при неэффективности терапии или при подозрении на развитие осложнений. Что показывает КТ среднего уха:
воспаление и его последствия;
патологические изменения височной кости;
опухоли (остеома, шваннома, параганглиома и пр.) и их инвазию в окружающие структуры ;
врожденные пороки развития;
состояние костного лабиринта;
деструктивно-дегенеративные процессы (остеодистрофия, фиброзная остеодисплазия, послевоспалительная оссификация, склеротические изменения и пр.);
инородные тела в ухе.
Компьютерное сканирование височной кости позволяет провести дифференциальную диагностику опухолей с воспалением, уточнить анатомические особенности, определить необходимость операции и ее объем. Исследование полезно в оценке осложнений после хирургических вмешательств.
КТ внутреннего уха показано при подозрении на патологический процесс в зоне, ограниченной височной костью. Чем раньше сделать компьютерное сканирование - тем больше шансов на выполнение успешной операции, в том числе - для восстановления или сохранения слуха. Структуры среднего и внутреннего уха спрятаны за барабанной перепонкой, что ограничивает прямую неинвазивную оценку. Выполнение отоскопии не дает полномасштабной картины, поэтому для определения степени заболевания, точного месторасположения патологического процесса, вовлеченных структур и возможных деструктивных изменений кости выполняют КТ и/или МРТ. Наиболее часто в данной области встречаются хронические и острые воспалительные заболевания (инфекционный и секреторный отит), реже - опухоли (шваннома среднего уха и параганглиома). КТ внутреннего уха с контрастом показывает евстахиеву трубу, улитку, слуховой и вестибулярный нервы, сосуды и кости, что позволяет выявить причину неблагополучия при соответствующих жалобах.
Как делают КТ уха

Положение пациента при обследовании
Пациента укладывают на стол (положение горизонтальное). Для удобства и фиксации используют упругие валики и ремни, эта мера необходима чтобы на полученных томограммах не было артефактов (размытостей, как на снимках обычным фотоаппаратом движущегося объекта). В середине исследования для лучшей визуализации мельчайших деталей внутривенно вводят контрастное вещество. Это делает медсестра одномоментно, или радиофармпрепарат поступает автоматически с помощью инжектора в определенные фазы исследования (болюсное усиление). Стол скользит вглубь томографа, вокруг головы в кольце аппарата с характерным пощелкиванием начинают вращаться датчики, улавливающие ответ органов и структур на поток рентгеновских частиц, испускаемых излучателем. Информация передается на компьютер, а специальная программа восстанавливает полученные срезы в единое целое.
Под рукой пациента есть “тревожная кнопка”: об ухудшении самочувствия (липкий пот, предобморочное состояние, резкая нехватка воздуха) следует немедленно поставить в известность персонал. При использовании современных контрастных препаратов генерализованные реакции гиперчувствительности встречаются крайне редко, менее, чем в 1-5% случаев.
Что лучше: КТ или МРТ уха

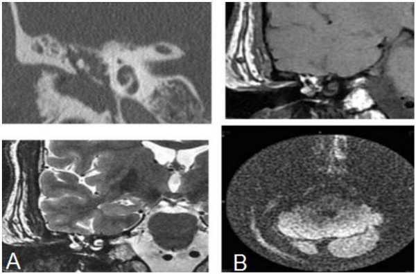
КТ (А) и МРТ(В) - картина холестериновой гранулемы
Эта дилемма волнует многих пациентов, но вид исследования выбирает лечащий врач, опираясь на результаты предыдущей диагностики и на конкретные жалобы. Отказываться от КТ уха из-за ложных соображений о вреде процедуры не стоит, современные мультидетекторные томографы позволяют минимизировать влияние лучевой нагрузки для большей категории лиц (исключение - беременные и дети, не достигшие 14 лет). В ряде наблюдений, особенно, если визуализируется опухолевый процесс, может понадобиться и МРТ, и КТ уха - эти способы взаимодополняют друг друга. Выполнение магнитно-резонансного сканирования обосновано, если после проведенной КТ остались сомнения в диагнозе. МРТ лучше демонстрирует менингоцеле, холестеатому, неврит лицевого нерва, внутричерепную патологию, вызванную процессами в среднем ухе, что не всегда показывает компьютерная томография высокого разрешения. КТ среднего уха часто не способна визуализировать степень возможной облитерации улитки после перенесенного воспаления или отдаленные последствия перелома височной кости. Точная оценка состояния имеет решающее значение для планирования кохлеарной имплантации.
Компьютерная томография ребенку или беременной женщине может быть выполнена по жизненным показаниям. Предпочтительнее в период гестации - МРТ, которое не использует рентгеновское облучение, а магнитное поле не представляет опасности для организма.
Подготовка к КТ-исследованию уха

Неплотный перекус за 40 минут до КТ нейтрализует вегетативные симптомы
Длительной подготовки КТ уха не подразумевает, достаточно выбрать удобную одежду без металлических деталей и оставить все украшения дома. Съемные зубные протезы, пирсинг Вас также попросят убрать. Если планируется введение контрастного вещества, необходимо обратить внимание на следующие аспекты:
Анализ крови на креатинин. Его можно сдать в поликлинике и принести результат с собой (не позднее 10-дневного срока выполнения), или сделать непосредственно перед компьютерной диагностикой. В центре “Магнит” такая услуга предусмотрена, но на обследование следует явиться на 15 минут раньше.
Перерыв в приеме Метформина и его аналогов. Пациенты с сахарным диабетом, контролирующие уровень глюкозы медикаментозно, за 48 часов до диагностической процедуры должны прекратить лечение сахароснижающими средствами. Перед этим обязательна консультация и разрешение эндокринолога.
Лактация. В этот период исследование не приведет к негативным последствиям, если сделать запас молока на два последующих кормления. После компьютерной томографии для избежания мастита рекомендовано сцеживание.
Неплотный перекус. Введение контрастного вещества могут сопровождать ряд вегетативных реакций (металлический привкус, тошнота, головокружение). Чтобы этого не произошло, нужно съесть легкий завтрак за 40 минут до диагностической процедуры.
КТ уха с контрастом

В диагностическом центре “Магнит” используют современный контрастный препарат с максимальным профилем безопасности
Нативная КТ уха показывает преимущественно костные структуры. Для оценки сосудов, мягких тканей, распространенности патологического процесса и определения степени вовлеченности соседних областей необходимо выполнение контрастирования. Усиленная компьютерная томография обеспечивает превосходную визуализацию разницы между костными структурами, воздухом и мягкими тканями в сочетании с высоким пространственным разрешением, и является методом выбора для исследования структур среднего уха. КТ височной кости с контрастированием позволяет дифференцировать воспалительные изменения, холестеатому и опухоль. Цена на КТ уха с усилением несколько выше, так как включает стоимость радиофармпрепарата.
Показания и противопоказания

На КТ уха направляет ЛОР-врач, если первичные способы диагностики показали неоднозначные результаты
При всех необъяснимых симптомах обосновано прохождение диагностики. Показания к КТ уха следующие:
ухудшение/потеря слуха с оценкой ее возможных причин;
выделения из слухового канала;
длительно существующее воспаление в среднем или внутреннем ухе, не поддающееся лечению;
головокружения, шаткость походки, нистагм;
травма уха, височной кости;
подозрение на опухолевый процесс;
выявление аномалий развития;
динамическое наблюдение изменений после консервативной терапии или хирургического вмешательства;
диагностика осложнений: петрозита, лабиринтита, лабиринтного свища, внутричерепного абсцесса или абсцесса мозга, менингита.
Общим противопоказанием к нативному КТ уха является беременность, при контрастировании к этому добавляются:
отягощенный аллергологический анамнез: генерализованная аллергическая реакция на радиофармпрепарат по типу отека Квинке или анафилатического шока;
урологическая и нефрологическая патология, сопровождаемая хронической почечной недостаточностью;
гиперфункция щитовидной железы.
Пациентам с выраженной степенью ожирения (масса тела выше 150 кг) исследование не проводят по техническим причинам.
Фото томографии уха
Расшифровкой полученных данных занимается врач-рентгенолог, на руки пациенту выдают заключение и снимки в электронном виде. Представляем Вашему вниманию несколько фото КТ уха, с типичными патологическими процессами:

Шваннома лицевого нерва: осевое КТ-изображение (костное окно) демонстрирует расширение ганглия, присутствует однородная масса мягких тканей (стрелка)

Хроническое воспаление среднего уха с холестеатомой: коронарная КТ показывает боковой свищ полукруглого канала (стрелка), вызванный эрозией кости из-за роста новообразования

Хроническое воспаление среднего уха: осевая КТ демонстрирует очаговую кальцификацию (стрелка) в барабанной полости - тимпаносклероз.
Читайте также:
- Техника латерального доступа к локтевой кости
- Диагностика отдаленного кровоизлияния в мозжечок по КТ, МРТ
- Зачем снятся эротические сны? Трактовки эротических сновидений
- Врожденный вывих бедра и дисплазия тазобедренного сустава: атлас фотографий
- Узловатые тени ревматического пульмонита. Стадии ревматизма легких

