Заболевания полости рта и зубов
Добавил пользователь Евгений Кузнецов Обновлено: 08.01.2026
Стоматология - медицинская дисциплина, изучающая органы полости рта, их физиологические и патологические состояния, а также занимающаяся предупреждением и лечением заболеваний этих органов. В области ведения стоматологии находятся не только заболевания зубов, но и всей зубочелюстной системы, а также слизистой полости рта. Наряду с лечением современная стоматология уделяет большое внимание эстетической стороне вопроса, стремясь создать "идеальную улыбку" каждому пациенту. Особое значение врачи-стоматологи предают правильному уходу за полостью рта, как наиболее эффективному методу профилактики болезней зубов.
Околочелюстной абсцесс - это образование воспалительного гнойного очага в тканях челюстно-лицевой зоны лица. Проявляется локальной припухлостью, покраснением и флюктуацией (зыблением) кожи над очагом воспаления, асимметрией лица, затруднением и болезненностью глотания, явлениями интоксикации. Может развиться в разлитое воспаление - флегмону, с вовлечением в процесс окологлоточной и подглазничной области, шеи. Лечение всегда хирургическое - вскрытие и дренирование полости абсцесса. .
Абсцесс полости рта - острое воспалительное заболевание ротовой полости, которое характеризуется очаговым скоплением гноя в тканях. При абсцессе полости рта наблюдается ограниченное уплотнение и набухание слизистой оболочки, болезненное при прикосновении, которое сопровождается ухудшением общего самочувствия и повышением температуры тела. Диагностируется абсцесс полости рта врачом-стоматологом во время осмотра на основании оценки состояния тканей. Лечение абсцесса полости рта включает в себя хирургическую операцию - вскрытие гнойника, а также проведение медикаментозной противовоспалительной терапии. .
Абсцесс слюнной железы - это ограниченное гнойное воспаление экзокринной железы, выделяющей свой секрет (слюну) в полость рта. Абсцесс слюнной железы обычно является осложнением сиаладенита или сиалолитиаза и имеет бактериальную этиологию. Абсцесс слюнной железы проявляет себя сухостью во рту, повышением температуры тела, слабостью, а также отечностью, покраснением, стреляющей болью и чувством распирания в области поражения. Диагностируется заболевание на основании осмотра, бактериологического и цитологического исследования секрета желез, УЗИ, сиалографии и др. Лечение абсцесса слюнной железы заключается в хирургическом вскрытии гнойника, дренировании и терапии антибиотиками. .
Абсцесс языка - это локальное гнойно-некротическое воспаление, характеризующееся формированием в толще языка гнойника, окруженного инфильтративной капсулой. Абсцесс языка проявляет себя недомоганием, повышением температуры тела, болезненным набуханием языка, затруднением разговора, приема пищи и даже дыхания. Патология диагностируется на основании выявленных в ходе осмотра признаков, пункции и данных микробиологического исследования содержимого гнойника. Лечение сформировавшегося абсцесса языка включает в себя его хирургическое вскрытие, полоскания полости рта антисептическими растворами, системную терапию антибактериальными и противовоспалительными препаратами, прием витаминов. .
Агрессивный пародонтит - это быстропрогрессирующее дистрофически-воспалительное заболевание пародонтальных тканей, приводящие к деструкции удерживающего аппарата зуба и альвеолярной кости. Местная симптоматика включает болезненность и кровоточивость десен, расшатывание зубов, проблемы с жеванием, галитоз, наличие пародонтальных карманов. Патологию диагностируют на основании жалоб, результатов осмотра, пародонтограммы, данных ортопантомографии и КТ челюстей. Лечение многокомпонентное, включает профессиональную гигиену, обработку десневых карманов, кюретаж, шинирование, физиотерапию, лоскутные операции и др. .
Аденома слюнной железы - это доброкачественное образование, развивающееся из эпителиоцитов выводных протоков малых и больших слюнных желез. Сопровождается возникновением безболезненного узла округлой формы в проекции железы. При значительных размерах новообразования возникает асимметрия лица, припухлость, ноющие боли, парестезии кожи. Диагностируется аденома с помощью общеклинических и специальных методов исследования: УЗИ слюнной железы, контрастной сиалографии, гистологии, томографии. Лечение аденом осуществляется исключительно хирургическим путем: в зависимости от размера опухоли проводится полное или частичное иссечение железы. .
Адентия - полное или частичное отсутствие зубов, возникающее вследствие их потери или аномалии развития зубочелюстной системы. Адентия характеризуется нарушением непрерывности зубных рядов, функции жевания и речи, косметическим дефектом; в тяжелых случаях - деформацией лицевого скелета, заболеваниями ВНЧС, дальнейшей утратой зубов. Диагностика адентии проводится специалистом-стоматологом с помощью визуального и пальпаторного обследования, прицельной внутриротовой рентгенографии, ортопантомографии. Лечение адентии заключается в проведении рационального протезирования с помощью частичных или полных съемных протезов либо дентальной имплантации. .
Актинический хейлит - это хроническое воспалительное заболевание губ, которое возникает вследствие патологической чувствительности (сенсибилизации) к воздействию ультрафиолета. Характеризуется ощущением жжения, зуда, застойной гиперемией, отечностью и шелушением красной каймы губ. Актинический хейлит диагностируется на основании анамнеза, выявленных при осмотре симптомов и результатов биопсии. Лечение заболевания включает в себя витаминотерапию, местное применение кортикостероидных препаратов и отваров лекарственных растений. Пациенту рекомендуется ограничить время пребывания под солнцем и использовать средства защиты от раздражающего действия лучей. .
Актиномикоз слюнных желез - это хроническое заболевание, которое характеризуется специфическим воспалением слюнных желез и провоцируется бактериями актиномицетами. Проявляется формированием воспалительного инфильтрата, припухлостью, нарушением слюноотделительной функции, образованием свищей с гнойным отделяемым. Для диагностики актиномикоза применяются общеклинический анализ крови, патогистологическое исследование биоптата, сиалография, кожно-аллергическая проба. Лечение включает хирургические методы санации, иммунотерапию, стимулирующую и симптоматическую терапию. .
Аллергический стоматит - это воспалительные изменения слизистой оболочки ротовой полости, обусловленные развитием иммунопатологических реакций (гиперчувствительности, гиперергии). Проявлениями аллергического стоматита служат отек, гиперемия, кровоточивость, язвочки и эрозии слизистой оболочки, жжение во рту, боль при приеме пищи, гиперсаливация, иногда ухудшение общего состояния. Обследование пациента с аллергическим стоматитом включает сбор аллергологического анамнеза, выявление причины аллергической реакции, осмотр полости рта, проведение провокационных, элиминационных проб, кожных тестов, исследование слюны и др. Лечение аллергического стоматита предполагает исключение контакта с аллергеном, прием антигистаминных средств, медикаментозную обработку слизистой. .
Аллергический хейлит - это поражение губ, в основе которого лежит гиперергическое воспаление, развивающееся при непосредственном соприкосновении с аллергеном. Аллергический хейлит проявляет себя чувством жжения, зуда, сухостью, гиперемией, отеком, болезненностью и шелушением губ. Патология диагностируется на основании данных анамнеза и клинических проявлений, выявленных во время стоматологического осмотра, а также результатов кожно-аллергических тестов. Лечение аллергического хейлита включает в себя прием антигистаминных препаратов, дополненный местными аппликациями противовоспалительных средств. .
Аллергия к протезным материалам - это непереносимость зубных протезов, используемых в ортопедической стоматологии, с развитием аллергической реакции замедленного типа и появлением клинических симптомов протезного стоматита (чувства жжения, болезненности в полости рта при приеме пищи, изменений вкуса), признаков аллергического поражения других органов и нарушения общего состояния. Диагностика аллергии к протезным материалам основана на данных анамнеза, клинического осмотра полости рта, результатов элиминационных, экспозиционных и кожных проб, иммунологических тестов. Лечение включает замену или коррекцию протеза, использование антигистаминных препаратов, в тяжелых случаях - глюкокортикоидов. .
Альвеолит - это посттравматическое инфицирование и воспаление зубной лунки после удаления зуба. Характеризуется сильной болью в лунке, нарушением общего состояния (слабостью, повышенной температурой тела, головной болью), увеличением подчелюстных лимфоузлов, неприятным, гнилостным запахом изо рта. В течение нескольких дней альвеолит может развиться в ограниченный остеомиелит (гнойное расплавление кости челюсти). Лечение альвеолита заключается в очищении лунки с последующим регулярным промыванием ее раствором антисептика. При своевременной санации лунки - прогноз благоприятный. .
Амелобластома - это доброкачественная одонтогенная опухоль челюстно-лицевой локализации, вызывающая деструкцию костной ткани. По мере развития амелобластомы возникает асимметрия лица, происходит постепенная деформация челюсти, расшатывание и смещение зубного ряда, нарушение жевательной функции. Амелобластома диагностируется на основании анамнеза, выявленных во время осмотра симптомов и необходимых исследований: рентгенографии, компьютерной томографии, цитологического анализа и др. Лечение заболевания осуществляется исключительно хирургическим способом и заключается в резекции пораженного участка челюстной кости или экзартикуляции челюсти. .
Анкилоз ВНЧС - это патологическая тугоподвижность или неподвижность нижней челюсти, вызванная фиброзным или костным сращением суставных поверхностей височно-нижнечелюстного сустава. Признаками анкилоза ВНЧС служит ограничение открывания рта, деформация нижней челюсти, асимметрия лица, нарушения прикуса, функции дыхания, жевания, речи и т. д. Обследование пациента с анкилозом включает рентгенографию и КТ ВНЧС, контрастную артрографию, ортопантомографию, электромиографию, анализ диагностических моделей челюстей. Лечение анкилоза ВНЧС может быть консервативным (физиотерапия, механотерапия, внутрисуставные инъекции) или хирургическим (остеотомия нижней челюсти с вытяжением или артропластикой), дополненным ортопедической коррекцией. .
Анкилоз зуба - это денто-альвеолярное сращение, характеризующееся гибелью периодонтальной связки и слиянием цемента с альвеолой. При осмотре анкилозированный зуб отсутствует или смещен в маргинальном направлении. Наблюдается зубоальвеолярное удлинение антагониста, укорочение зубной дуги. На рентгенографии отсутствие периодонтальной щели говорит об анкилозе. Консервативное лечение проводится путем восстановления высоты коронки до линини смыкания. Если анкилоз препятствует физиологической смене, или отмечается активная резорбция спаянных с костью корней, показано удаление зуба. .
Аномалии зубных рядов - это врожденные или приобретенные нарушения формы и длины нижней и верхней зубных дуг, характеризующиеся неправильным расположением (скученностью, асимметрией, транспозицией, изменением количества и пр.) зубов. Сопровождаются неправильным прикусом, нарушениями смыкания зубов, неудовлетворительной эстетикой улыбки. Диагностируются аномалии зубных рядов на основании признаков, выявленных во время стоматологического осмотра, изучения диагностических моделей и рентгенологических данных. Лечение аномалий зубных рядов состоит в восстановлении их нормальной формы и длины при помощи ортодонтической терапии, методов хирургической и ортопедической стоматологии. .
Аномалии зубов - это различного рода морфологические и функциональные отклонения от нормального количества, размера, формы, цвета, положения, сроков прорезывания, структуры тканей зубов. Аномалии зубов сопровождаются деформацией челюстно-лицевой области, неправильным прикусом, затруднениями при откусывании и пережевывании пищи, дефектами речи, эстетическими недостатками. Диагностика аномалий зубов включает внутриротовую рентгенографию, проведение и анализ ТРГ, панорамную рентгенографию, ОПТГ, томографию ВНЧС, снятие слепков, изготовление и измерение диагностических моделей челюстей, электромиографию и др. Способ лечения определяется видом аномалии зубов. .
Аномалии формы зубов - это врожденные анатомические нарушения конфигурации зубных коронок или корней зубов. Аномалиям формы зубов сопутствуют проблемы при надкусывании и жевании пищи, неправильный прикус, эстетические нарушения. Диагностируются аномалии формы зубов во время стоматологического осмотра на основании клинической картины и, при необходимости, результатов рентгенологического обследования. Лечение аномалий заключается в воссоздании правильной анатомической формы зубов и восстановлении их функции при помощи методов терапевтической, хирургической и ортопедической стоматологии. Выбор конкретного способа лечения зависит от вида аномалии формы зубов и степени ее выраженности. .
Аномалии языка - группа врожденных стоматологических заболеваний, причиной которых является нарушение внутриутробной закладки и развития органа. Одни аномалии представляют чисто анатомический дефект, другие - серьезным образом отражаются на таких важных функциях, как сосание, прием пищи, глотание, речь. К основным методам диагностики относятся клинический и инструментальный осмотр органов полости рта, сбор анамнеза, телерентгенография. Лечение аномалий проводят в детском возрасте, чтобы предупредить дальнейшие осложнения. Устраняют пороки преимущественно с помощью хирургических методов. .
Болезни зубов
Исходя из методов лечения, в стоматологии выделяют специализированные направления:
детская стоматология (разработка методов лечения стоматологических заболеваний с учётом анатомо-физиологических особенностей детей в разные периоды развития).
В последние годы в стоматологии широкое развитие получили новые направления: имплантология и эстетическая стоматология.
Стоматология охватывает широкий круг заболеваний. Она занимается лечением:
патологических процессов челюстно-лицевой области (челюстные кисты, околочелюстные флегмоны и абсцессы, дефекты зубных рядов)
Инфекции полости рта служат очагом для распространения возбудителей по всему организму. По состоянию полости рта можно судить о состоянии здоровья человека в целом. По данным Российской ассоциации стоматологов 87% россиян нуждаются в санации ротовой полости, которая, в зависимости от показаний, включает в себя лечение кариеса и пломбировку дефектов, удаление зубного налета, камня, корней и зубов, ортодонтическое и ортопедическое лечение.
Важнейшим показателем здоровья полости рта и организма в целом является состояние зубов. Их формирование происходит еще в период внутриутробного развития, прорезывание молочных зубов - приблизительно в полгода, постоянных - в 6-8 лет. Прорезавшиеся еще в детском возрасте постоянные зубы даны человеку на всю оставшуюся жизнь, поэтому они требуют особой заботы и внимания на всех этапах жизни.
Сегодня стоматология предлагает безболезненное, безопасное и высокоэффективное лечение различных заболеваний полости рта. В лечении зубов используются современные пломбировочные материалы, а также зубосохраняющие методики.
К удалению зуба стараются прибегать в крайнем случае, когда необходима ликвидация очага инфекции в полости рта или при невозможности спасения и восстановления зуба.
Если все же зуб сохранить не удалось, то высокопрочные и эстетичные зубопротезные материалы позволят точно воссоздать архитектуру зуба и цвет зубной эмали.
В наши дни здоровые зубы и красивая улыбка являются неотъемлемым атрибутом благополучия и успешности человека в социуме. Над созданием совершенной «голливудской» улыбки работает эстетическая стоматология. В сферу деятельности этого направления стоматологии входит эстетическая реставрация зубов, их отбеливание, улучшение формы, размера, - все то, что делает улыбку неотразимой и безупречной.
Сегодня стоматология - одна из самых динамично развивающихся медицинских наук: с каждым годом появляются новые высокотехнологичные методики и материалы. Однако, поддержание здоровья полости рта зависит не только от врача-стоматолога и современных технологий. Во многом оно определяется образом жизни самого пациента. Ограничение сладостей, исключение вредных привычек, качественная гигиена зубов и десен, профилактические осмотры стоматолога позволят сохранить зубы красивыми и здоровыми на долгие годы.
Медицинский справочник болезней на сайте «Красота и медицина» даст вам возможность узнать как можно больше из того, как можно противостоять угрозе потери зубов и что предпринять, если эта неприятность уже случилась. далее.
Заболевания полости рта и языка: виды патологий и способы их лечения
Данные статистики ВОЗ свидетельствуют: различные виды заболеваний полости рта диагностируются у 90% населения планеты. Рассматриваемым патологиям подвержены пациенты всех возрастов. Аномалии локализуются в мягких и твердых тканях, проявляются повторно после кажущегося выздоровления, при отсутствии терапии вызывают развитие тяжелых осложнений.

Общие понятия
Согласно медицинской литературе, к болезням полости рта относятся патологии зубов, десен, языка и слизистых оболочек. Заболевания имеют вирусную, инфекционную или грибковую этиологию, возникают вследствие развития в организме воспалительных процессов, появления онкологических новообразований. Единой классификации аномалий нет: большинство ученых дифференцируют заболевания, выявляемые в ротовой полости, по разнородным признакам.
Причины возникновения
В перечне основных факторов, влияющих на появление патологий в полости рта — ослабленный иммунитет, погрешности в питании, гормональные сбои, наличие вредных привычек, прием антибактериальных и антимикробных препаратов без назначения врача, генетическая предрасположенность. Помимо этого, аномалии могут быть вызваны особым состоянием организма — беременностью и периодом лактации.
Дополнительными факторами, способными спровоцировать развитие оральных болезней, являются:
- переохлаждение;
- частые стрессы;
- авитаминоз и нехватка микроэлементов;
- аллергические реакции;
- патологии внутренних систем организма;
- механические травмы твердых, мягких тканей во рту;
- повышенная вязкость слюны;
- некачественно проводимые гигиенические мероприятия;
- отказ от своевременного посещения стоматолога.
Симптомы инфекций полости рта
Рассматриваемые болезни характеризуются наличием ряда общих симптомов. Обычно на приеме у врача пациенты жалуются на сухость и дискомфорт во рту, проявляющиеся в ходе общения с собеседником, во время питья либо употребления пищи.
К дополнительным признакам развития патологического процесса относятся:
- упадок сил;
- снижение работоспособности;
- бессонница;
- повышение температуры тела;
- нарушение вкусового восприятия;
- увеличение лимфоузлов;
- неприятный привкус временного либо постоянного характера.
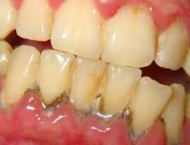
Воспаление языка сопровождается отечностью пораженного органа, чувством онемения. О наличии инфекционных заболеваний слизистых оболочек полости рта свидетельствуют боли в месте локализации недуга, появление гнойников, ран, язв, плотной пленки и творожистого белого налета, затруднение слюноотделения. Кровоточивость десен, дискомфорт при проведении гигиены — признаки, сигнализирующие о развитии патологий зубов или десен.
Виды патологий
В зависимости от типа микроорганизмов, вызвавших появление аномального состояния, все болезни, выявляемые в ротовой полости, условно дифференцируются на инфекционные и грибковые. Дополнительно выделяют стоматологические проблемы, аллергические реакции и онкологические заболевания, этиология которых не получила клинического подтверждения.
Инфекционные заболевания полости рта и их симптомы
Инфекционная группа заболеваний объединяет болезни, возникающие вследствие роста и развития в пораженных тканях бактериальных, вирусных колоний. В перечне наиболее распространенных заболеваний — стоматиты, гингивиты, глосситы, фарингиты. Основные причины их появления — некачественное проведение процедур по уходу за деснами, языком и зубами, а также прогрессирование патологий внутренних органов, преимущественно расстройств ЖКТ — язвенной болезни, гастрита, энтероколита.
Чтобы избежать появления инфекционных заболеваний, следует проходить регулярные профилактические медосмотры, посещать стоматолога.
Стоматит
Стоматит относится к числу аномалий, развивающихся у пациентов разного возраста. Выделяют несколько видов болезни. В перечне часто встречающихся стоматитов:
- Афтозный. Вызывается вирусом простого герпеса. Первичные симптомы рассматриваемой инфекции полости рта — отек слизистой оболочки, гиперемия тканей. По мере развития появляются болезненные, покрытые фибринозным налетом эрозии (афты). Второе название поражения — герпетический стоматит.
- Везикулярный. Признаки схожи с вышеописанными симптомами. Выявляется по наличию мелких пузырьковых высыпаний, преобразующихся в эрозии. Патология имеет герпетическую природу.
- Катаральный. При попадании инфекции в ротовую полость развивается отек слизистых оболочек, появляется налет светло-желтого оттенка.

Определить вид стоматита самостоятельно нельзя. При первых признаках заболевания следует немедленно обращаться к врачу.
Гингивит
Воспаление десен провоцируется химическими, механическими, инфекционными факторами. Гингивиты, активизировавшиеся вследствие жизнедеятельности патогенных агентов, встречаются преимущественно у детей и молодых людей и либо проявляются как самостоятельные патологии, либо сигнализируют о развитии других недугов, в том числе пародонтоза.

Признаки гингивита:
- отечность;
- воспаление слизистой оболочки десенного края;
- неприятный запах изо рта;
- кровоточивость тканей.
Стоматологи выделяют острую и хроническую форму гингивита. Последняя отличается длительностью течения, слабостью симптоматики.
Глоссит
Глоссит - большая группа патологий, вызывающих нарушение структуры и изменение цвета языка. В группе риска — лица, отказывающиеся от регулярных гигиенических процедур. Инфекция проникает в толщу тканей языка при наличии травм, воспаления в ротовой полости или системе ЖКТ.
Предотвратить возникновение глоссита можно посредством ежедневного использования флоссов, гигиенических ополаскивателей, качественных зубных паст.

Болезни гортани
Хронические и острые формы фарингитов, тонзиллитов (ангин), ларингитов сопровождаются ухудшением общего состояния больного, появлением сухости во рту, дискомфортом и першением в горле. Наиболее подвержены развитию перечисленных патологий дети и лица с ослабленным иммунитетом. Избежать появления аномалии поможет закаливание, занятие спортом, прием витаминов.

Другие аномалии вирусной этиологии
Незащищенные орально-генитальные контакты — причина заражения полости рта венерическими инфекциями. При указанном виде интимных отношений от больного к здоровому партнеру передаются:
- гонорея;
- сифилис;
- цитомегаловирус;
- хламидиоз;
- вирус папилломы человека;
- ВИЧ.
О наличии болезни свидетельствует налет на миндалинах, увеличение лимфоузлов. При глотании болит корень языка, горло. При отсутствии лечения возбудитель быстро распространяется, а недуг становится хроническим.
Грибковые поражения
Возбудителями грибковых заболеваний слизистых оболочек ротовой полости являются дрожжеподобные микроорганизмы Candida, пенициллы, аспергиллы. Инфекционные агенты относятся к группе сапрофитов, приобретающих патогенные свойства и вызывающих микотический процесс только при определенных условиях. В числе факторов, активизирующих их жизнедеятельность — ослабление иммунитета, лечение кортикостероидами и антибиотиками, наличие заболеваний.
Поражение плесневыми грибами встречается в 2% случаев от общего числа осмотренных пациентов. Самым распространенным недугом, локализующимся на слизистых оболочках, является кандидоз.

По характеру течения болезнь дифференцируется на 3 формы:
- Псевдомембранозную или острую. К основным признаками ее развития относят сухость внутренних поверхностей неба, губ, щек, языка и образование в указанных зонах творожистого налета белого цвета. Больной ощущает зуд, жжение.
- Гиперпластическую или хроническую. Отличается появлением бляшек, плотно спаянных с тканями. Попытки удалить налет вызывают кровоточивость слизистых оболочек.
- Атрофическую. Выявляется у пациентов, пользующихся съемными ортопедическими конструкциями. В перечне симптомов — пересыхание, воспаление поверхности слизистой оболочки полости рта.
Дрожжеподобные микроорганизмы могут вызывать грибковый глоссит, ангину, ангулярный инфекционный хейлит. Последний из перечисленных недугов поражает красную кайму губ. При открывании рта больные испытывают сильный дискомфорт. Поверхностные эрозии, выявляемые в начале заболевания, по мере прогрессирования хейлита распространяются на кожные покровы подбородка.
Во избежание развития грибковых патологий эксперты рекомендуют укреплять иммунитет, избегать стрессов и переохлаждений.
Стоматологические проблемы
Болезни в полости рта выявляются и у больных, отказывающихся от регулярного посещения стоматологии. Пародонтиты и пародонтозы в отсутствии лечения ухудшают состояние десен, оголяют шейки зубов, нарушают строение челюсти. В перечне дополнительных признаков наличия заболеваний — отеки и кровоточивость тканей. При постоянном откладывании визита к врачу можно потерять зубы, расположенные в месте локализации воспаления.

Развитие кариозных процессов сопровождается изменением состава микрофлоры ротовой полости. В кариозных отверстиях формируется зубной налет, играющий существенную роль в активизации ранее перечисленных заболеваний. Избежать прогрессирования проблемы можно лишь путем посещения клиники.
Болезни неясной этиологии
К числу болезней, наблюдаемых в полости рта, относится и красный плоский лишай — аномалия, причины возникновения которой не выяснены. Клиническая картина проявления недуга отличается рядом особенностей:
- В начальной стадии на слизистых оболочках полости рта появляются высыпания — небольшие папулы.
- Прогрессирование патологии ведет к увеличению зон поражения, их слиянию.
- На тканях образуются полосы, бляшки с ороговевшей серовато-белой поверхностью, выступающие над уровнем слизистых оболочек.
Схемы лечения лишая выбираются индивидуально, с учетом состояния пациента.
Иные патологии
Среди недугов, изменяющих структуру слизистой оболочки полости рта — заболевания, являющиеся следствием аллергических реакций. В их числе — синдромы Рейтера, Лайелла, экссудативная эритема. Провоцирующими факторами, вызывающими аномальные состояния, являются микробная, контактная и лекарственная аллергии. Схемы терапии болезней включают изучение аллергологического статуса, устранение источника негативного воздействия.
Уровень заболеваемости раком полости рта варьирует от 2 до 4% от общего количества выявляемых в России онкопатологий. На ранней стадии болезнь протекает скрыто. Дальнейшее ее развитие сопровождается появлением локальных болей, кровотечений, язв. В более позднем периоде дискомфортные ощущения усиливаются, начинают отдавать в скулы, виски, лоб. Исход онкопатологий зависит от стадии выявленного процесса, общего состояния больного.
Схемы лечения заболеваний полости рта и языка
Лечение инфекций во рту подразумевает задействование комплекса препаратов. Медработники рекомендуют обрабатывать появившиеся очаги воспаления антисептиками (Мирамистином, Хлоргексидином, Фурацилином, Гексоралом) и настоями сырья лекарственных растений (календулы, ромашки, шалфея).
Развитие вирусных недугов в полости рта пресекается применением Фамвира, Валацикловира, Ацикловира. При выявлении хронической патологии задействуют антибиотики — Ципрофлоксацин, Аугментин, Амоксиклав. Для лечения микотических заболеваний полости рта и языка используют препараты Нистатин, Леворин.
Для ускорения процесса регенерации врачи включают в схемы терапии масла шиповника и облепихи, мазь с прополисом, препарат Солкосерил. Зуд, жжение и отечность минимизируются с помощью антигистаминов (Тавегила, Цетиризина), боль — анальгетиков и НПВС (Найза, Аспирина, Ибупрофена).
Лечить стоматологические патологии следует при обнаружении их первых признаков. Пораженные кариесом зубы пломбируют, не подлежащие восстановлению единицы зубного ряда удаляют.
Дополнительные меры
Купировать развитие патологий помогает соблюдение особой диеты. Меню больного не должно состоять из излишне горячих блюд, острых соусов, кислых заправок. Прием алкогольных напитков запрещен.
В перечне разрешенных продуктов — молоко, овощи (отварные), крупы в виде каш. Закрепить достигнутый эффект помогут поливитаминные комплексы и фитотерапия.
Профилактика
К профилактическим мерам, помогающим избежать развития патологий в полости рта, относятся:
- качественное проведение гигиенических процедур;
- отказ от курения и алкоголя;
- соблюдение основных правил ЗОЖ;
- регулярное посещение диспансерных осмотров.
При первых признаках развития заболевания ротовой полости следует немедленно обратиться к врачу: своевременная диагностика и адекватная терапия помогут пресечь развитие недуга на раннем этапе.
Профилактика стоматологических заболеваний и болезней полости рта: методы и способы для взрослых, детей и беременных
Профилактика и лечение стоматологических заболеваний, гигиена полости рта играют важнейшую роль в здоровье взрослых и детей. Все профилактические меры должны приниматься в комплексе, только тогда удастся избежать серьезных патологий, требующих долгой терапии. Уход должен осуществляться как в домашних условиях, так и в клинике, поскольку не все процедуры могут выполняться самостоятельно. При возникновении вопросов, касающихся выбора действенных методик, лучше проконсультироваться со стоматологом.
Причины возникновения
Основные факторы развития патологических процессов в ротовой полости:
- некачественная гигиена;
- несвоевременное лечение кариеса и других патологий;
- наследственная предрасположенность;
- вредные привычки (курение, злоупотребление алкоголем, крепким кофе и черным чаем);
- тесное расположение зубных единиц;
- наличие хронических болезней;
- употребление углеводов в больших количествах;
- токсикоз при беременности;
- повышенная вязкость слюны, ее высокая минерализующая активность;
- дефекты прикуса;
- нарушения сроков прорезывания и др.
Большинство предпосылок можно устранить с помощью профилактических мероприятий.

Виды профилактики
Все методы можно условно разделить на 3 большие группы. К первой относятся способы воздействия на твердые ткани и слизистые оболочки, которые позволяют предотвратить патологические процессы. Есть и вторичные, а также третичные профилактические меры. Они приходят на помощь в случаях, когда проблема уже появилась и сигнализирует характерной симптоматикой, но при грамотном подходе к гигиене и использовании эффективных методик зубы и десны могут прийти в норму за короткий промежуток времени.
Лучше не допускать появления заболеваний и уделять все внимание именно домашнему уходу. Процедуры выполняются как дома, так и в клинике. Это зависит от состояния тканей, наличия острых воспалений и других возможных проблем у конкретного пациента.
Первичная профилактика полости рта в стоматологии для здоровья зубов
Это методы, позволяющие предупредить возникновение стоматологических патологий. При появлении самых первых симптомов нарушений удается остановить дальнейшее прогрессирование болезни, если своевременно среагировать на происходящие изменения. Действенные способы:
- качественная личная гигиена ротовой полости;
- профессиональные гигиенические процедуры в условиях клиники;
- применение специализированных составов с фтором;
- местные профилактические средства;
- информирование населения о существующих методах, позволяющих предупредить проблемы с зубами и деснами.
Вторичная профилактика
Сюда можно отнести традиционные методики, позволяющие остановить уже начавшийся патологический процесс, предупредить возможные осложнения и сохранить ткани. Основные способы, применяемые в данном случае:
- лечение зубов при кариозных поражениях (установка пломб, эндодонтические манипуляции и др.);
- терапия заболеваний пародонта;
- хирургическое вмешательство;
- другие методы, направленные на устранение патологии.
Третичная профилактика
Утраченные функции зубных единиц восполняются с помощью специальных материалов, замещающих отсутствующие ткани. Проводится реабилитация пациентов, со временем организм практически полностью приходит в норму.
Памятка по средствам комплексной профилактики стоматологических заболеваний
О чем нужно помнить каждому человеку, который заботится о здоровье полости рта:
- регулярная чистка в домашних условиях утром и вечером;
- использование нити и ополаскивателя в течение дня;
- осмотры стоматолога каждые полгода;
- качественная щетка, паста и другие аксессуары;
- профессиональные процедуры в клинике, особенно при наличии показаний;
- своевременное лечение патологий;
- правильное питание и здоровый образ жизни.
Основы лечения зубов от стоматологических заболеваний, профилактика осложнений
Каждый человек должен заботиться о здоровье ротовой полости и регулярно за ней ухаживать, обеспечивать качественный гигиенический уход, в том числе на профессиональном уровне. Несмотря на ежедневную чистку и полоскания, нельзя пренебрегать плановыми визитами к стоматологу. Как правило, большинство пациентов приходит в клинику при появлении неприятной симптоматики, хотя гораздо проще придерживаться простых профилактических правил и не допускать развития патологий.
Гигиена ротовой полости
О том, что нужно регулярно чистить зубы, известно и взрослым, и детям. Без ежедневных гигиенических процедур не избежать развития бактериальной микрофлоры, образования плотного налета, со временем переходящего в камень. Гигиена подразумевает не только чистку щеткой с пастой, но и использование флоссов, ирригаторов, ополаскивателей. Каждый раз после приема пищи рекомендуется полоскать рот чистой водой.

При наличии хронических патологий лучше обсудить уходовые процедуры со стоматологом. Возможно, некоторые методики будут противопоказаны, в то же время как другие средства покажут наибольшую эффективность при абсолютной безопасности.
Ирригатор
Это приспособление используется для поддержания гигиены на высоком уровне и предупреждения патологических состояний, связанных с некачественным очищением твердых и мягких тканей. На современном рынке представлена масса моделей от различных производителей. Какой аппарат подойдет лучше следует обсудить со стоматологом. Обычно конструкция представляет собой резервуар для воды и растворов, насадку для орошения и мотор для создания давления струи. Большинство современных приспособлений оснащено кнопкой регулировки силы напора воды. Каким будет этот показатель, зависит от состояния ротовой полости и пародонта в частности.
Это метод профилактики основных стоматологических заболеваний у взрослых, детей, подростков рекомендуется использовать при:
- наличии во рту ортопедических и ортодонтических конструкций;
- галитозе;
- невозможности полноценно очищать труднодоступные участки;
- снижении иммунитета;
- курении;
- вынашивании ребенка (на разных сроках гестации).
Ирригатор считается одним из самых эффективных средств для ухода в домашних условиях.
Чистка зубов
Предотвратить регулярное появление налета невозможно, поскольку микроорганизмы, участвующие в этом процессе, являются неотъемлемой частью организма человека. Для того чтобы устранить негативное влияние бактерий на эмаль и более глубокие слои зубных тканей, необходимо ежедневно ухаживать за полостью рта.
Чистить зубы нужно дважды в день (после завтрака и перед сном). Специалисты отмечают, что продолжительность чистки должна составлять не менее 3 минут. Так ни одна единица не останется без внимания. Для языка приобретаются специальные скребки и щеточки.

Очень важно подобрать качественную зубную щетку. Следует выбирать аксессуары, прошедшие государственную регистрацию, в герметичной упаковке, с подробной информацией, представленной на ней.
В целях профилактики стоматологических заболеваний нужно пользоваться пастами с фтором. Они помогают не только предупредить скопление большого количества налета, но и укрепить твердые ткани.
Зубная нить
Щетка не способна качественно вычищать межзубные промежутки. Щетинки не настолько малы, чтобы проникнуть в зазоры между плотно примыкающими зубами.
Несмотря на обилие продукции на полках магазинов, специалисты сходятся во мнении, что вид флосса не так важен, если уметь правильно им пользоваться. Новичкам лучше отдать предпочтение вощеным типам, потому что они легче проникают в межзубные промежутки, не рвутся и не распадаются на волокна.
Для облегчения процесса были созданы особые держатели, которые называются флоссетами. Этот вариант оптимален для лиц, которые не могут освоить технику флоссинга, а также для людей с нарушением подвижности пальцев рук. Такой вид профилактики стоматологических заболеваний используется и у беременных.
Ополаскиватель полости рта
Такие жидкости можно разделить на 2 большие группы. К первой относятся средства, которые наносятся до чистки и впоследствии облегчают удаление налета щеткой и пастой. Они предназначены для размягчения отложений.
Во вторую группу входят составы, применяемые после очищения. Они уменьшают сцепление бактериального слоя с зубными поверхностями. Особенно эффективны продукты, содержащие антисептики.
Иногда врачи рекомендуют пользоваться антисептическими ополаскивателями после хирургического вмешательства при наличии воспалительного процесса во рту. Однако такие составы нельзя применять на постоянной основе, они предназначены только для временной терапии в периоды обострения недугов. Кроме того, если использовать их слишком долго, бактериальная микрофлора со временем адаптируется, и эффект приближается к нулю.
Особенности профилактики стоматологических заболеваний в условиях клиники
Главная задача, которую ставят перед собой специалисты — предупредить и быстро вылечить патологии твердых тканей и слизистых оболочек ротовой полости. Профгигиена подразумевает тщательную обработку поверхностей для удаления частиц пищи и застарелых отложений, а также последующее нанесение защитных составов для предотвращения развития патологического процесса.
Процедура состоит из нескольких последовательных этапов:
- консультирование пациента о необходимости выполнения гигиенических мероприятий, формирование правильного понимания важности вопросов ухода за зубами;
- антисептическая обработка (орошение) полости рта;
- удаление отложений (камня, налета);
- покрытие специальными реминерализующими препаратами.

Профессиональная чистка зубов
Это эффективный способ удаления налетистого пигмента и зубного камня, которые являются подходящей средой для роста бактериальной микрофлоры, а значит и главной причиной развития заболеваний периодонта. В целом услуга включает в себя непосредственно устранение отложения, полировку и укрепление эмалевого слоя. Эти действия выполняются в различных комбинациях в зависимости от индивидуальных особенностей пациента, клинической картины, противопоказаний.
В стоматологии выделяют следующие виды профочищения:
- Ультразвуком. Аппарат воздействует даже на те отложения, которые располагаются в поддесневой области. Эффект от процедуры может длиться до года.
- Лазером. Устраняется налет и камень, эмаль становится светлее. В некоторых случаях даже меняется оттенок дентина. Выраженный результат можно наблюдать до 2-3 лет.
- Air Flow. На налет и камень воздействуют струей воздуха и раствора на основе соды. Эффект виден до полугода. Процедура абсолютно безвредна и безболезненна, не приносит никакого дискомфорта.
Удаление зубного камня
Твердые отложения желтоватого, белого, серого, коричневого оттенка убрать обычной щеткой не получится. Со временем поражаются глубокие ткани, что может привести к пародонтозу. Именно поэтому важно как можно раньше обнаружить наличие такого налета и обратиться к стоматологу.
Самыми распространенными способами чистки являются ультразвук и Air Flow. Чем дольше отложения находятся на зубах, тем труднее от них избавиться. Уделяйте как можно больше внимания профилактическим мерам и не забывайте:
- регулярно чистить зубы с использованием качественной щетки с щетиной средней жесткости и фторсодержащей пасты;
- периодически менять аксессуары;
- не пренебрегать зубной нитью и ополаскивателями;
- не курить, отказаться от частого употребления кофе и крепкого черного чая.
Реминерализация эмали
Это насыщение внешнего слоя зуба минеральными компонентами, которые способствуют его восстановлению. Для достижения желаемого эффекта поверхности должны быть предварительно очищены от налета и других отложений, так будет обеспечено максимальное сцепление. Кроме того, важно обеспечить длительное нахождение реминерализующего материала на зубах, воздерживаясь от приема пищи в течение как минимум 5 часов.
Можно выделить следующие виды такой терапии для профилактики стом заболеваний:
- Фторирование. Главным компонентом раствора является фтор, которым и насыщают эмалевый слой. Для этого используются специальные каппы с гелем, стоматологический фторлак, а также химическое взаимодействие веществ с эмалью.
- Реминерализация с препаратами, не содержащими фтористые соединения. Они создаются на основе кальция и фосфатов. Такой метод более безопасен, но менее результативен. Можно проводить процедуру в домашних условиях, потому что даже при проглатывании средство не окажет негативного влияния на организм.
Герметизация фиссур
Главной целью является устранение мелких борозд на поверхностях жевательных зубов. В эти углубления попадают частички пищи, патогенные микроорганизмы, которые практически невозможно вычистить самостоятельно в домашних условиях. Со временем они еще больше расширяются, что приводит к развитию фиссурного кариеса.
Фиссуры запечатываются особыми составами, содержащими ионы серебра. Это способствует укреплению зубов, повышению устойчивости эмали к внешнему воздействию. Зубные поверхности становятся более крепкими и гладкими, существенно уменьшается риск развития кариозных поражений.
Показания к герметизации:
- наличие очень глубоких бороздок, не поддающихся гигиенической чистке;
- наследственная предрасположенность к патологиям (повышенная чувствительность, слабая минерализация и др.);
- обнаружение углублений при прорезывании коренных моляров у детей;
- первые симптомы очаговой деминерализации эмали;
- кариес на боковых поверхностях зубов.

Программа профилактики основных стоматологических заболеваний запечатыванием включает выполнение процедуры неинвазивным и инвазивным способом. Первый вариант применяется на молочных единицах и в случаях, когда фиссуры неглубокие. Второй способ требует инструментального расширения углублений и их последующего заполнения герметичным составом. Герметики могут быть как прозрачными, так и цветными. Главным противопоказанием является присутствие кариеса на зубных поверхностях.
Регулярные осмотры у стоматолога
Постоянный контроль за состоянием ротовой полости способствует сохранению здоровья зубов, десен, слизистых оболочек и других органов, систем, которые могут пострадать в результате развития кариеса и иных заболеваний стоматологической природы. Врачи постоянно делают акцент на том, что предпочтение должно отдаваться именно профилактике, а не лечению патологий. Лучше лишний раз посетить стоматологию, но не допустить серьезных патологических процессов, требующих длительной и дорогостоящей терапии.
На осмотре стоматолог выявляет факторы риска развития болезни, оценивает общее состояние полости рта с помощью визуального осмотра, при необходимости направляет на диагностические процедуры. Также врач помогает подобрать эффективные уходовые средства и приспособления для домашнего очищения зубов, десен и языка.
По завершении обследования дается заключение. Посещать специалиста без показаний нужно как минимум каждые полгода, при этом возраст пациента не имеет никакого значения, это важно и для детей, и для взрослых, и для пожилых людей.
Подведем итог
В понятие о первичной, вторичной и третичной профилактике стоматологических заболеваний входит комплекс мероприятий, которые направлены на предупреждение патологических процессов, а также на остановку их прогрессирования при выявлении на самых ранних стадиях. Профилактические методы актуальны для пациентов любого возраста и пола. Если пренебрегать домашними и профессиональными процедурами, не избежать серьезных осложнений, требующих длительного и дорогостоящего лечения. Именно качественная профилактика является гарантией здоровья как твердых, так и мягких тканей ротовой полости.
Классификация заболеваний слизистой оболочки полости рта: болезни и воспаления ротовой области
Развитие стоматологических патологий, как правило, выступает следствием прогрессирования аномальных процессов, протекающих внутри организма человека. На фоне ослабления иммунитета влияние внешних негативных факторов усиливается, что приводит к образованию проблемных участков. Причины болезней могут быть разными - определить источник беспокойства позволяют симптомы, проявляющиеся на языке, губах и деснах, а также результаты клинической диагностики, в том числе проведенной с использованием профессионального оборудования. Классификация заболеваний слизистой оболочки полости рта помогает поставить корректный диагноз, и своевременно начать терапию, предотвращающую более серьезные негативные последствия.
Общее представление
Категория рассматриваемых патологических проявлений достаточно обширна. Характерными признаками в данном случае выступают воспалительные процессы, поражающие структуру тканей, окружающих зубочелюстной аппарат. В зависимости от типа, симптоматика может включать в себя гиперемию, отечность, чрезмерный объем выделяемой слизи, а в более сложных ситуациях - образование язвенных и некротических очагов. Продолжительное игнорирование симптомов приводит к ухудшению общего состояния организма, выражающемуся в повышении температуры тела, возникновении болевого синдрома, чувстве слабости и тревожности, а также нежелании принимать пищу.
Факторы, провоцирующие болезни слизистой оболочки полости рта
Образ жизни и привычки пациента, а также системные изменения, протекающие в скрытой или выраженной форме, способны повысить вероятность развития таких патологий, как стоматит, гингивит, глоссит, и т.д. К числу потенциальных источников риска относятся:
- Чрезмерное употребление спиртной и табачной продукции.
- Гормональный и иммунный сбой, в том числе вызванный ВИЧ.
- Механические повреждения тканей, приводящие к воспалению.
- Дегидратация, или общее обезвоживание организма.
- Врожденная предрасположенность.
- Избыточное потребление витаминов определенной группы.
- Влияние внешней среды — резкие температурные перепады.
- Инфицирование на фоне стоматологических болезней.
- Некорректно подобранный рацион питания.
- Самостоятельный прием антибиотиков и препаратов сильного действия.
- Нарушение функционального состояния внутренних органов.
Воспаление слизистой оболочки полости рта, как правило, становится результатом воздействия негативных факторов на условно-патогенные микроорганизмы, формирующие естественную микрофлору. Подобное влияние приводит к развитию вирусных и инфекционных патологий, а также может спровоцировать дисбактериоз, грибковые и воспалительные процессы.

Симптомы и их проявление
Симптоматика, характерная для заболеваний рассматриваемой категории, в большинстве случаев позволяет самостоятельно диагностировать факт наличия отклонений от нормы. К числу заметных изменений относятся:
- Возникновение зуда и жжения.
- Появление болевого синдрома.
- Образование отеков тканей.
- Формирование язв и гнойников.
- Кровоточивость десен.
- Нарушение структуры эмали.
- Постоянный неприятный запах.
- Чувство слабости и усталости.
При первых признаках патологического состояния рекомендуется обратиться за помощью к специалистам. Так, в стоматологических клиниках «Дентика» Вы можете пройти комплексную диагностику, гарантирующую точность постановки диагноза и своевременное начало терапевтических мероприятий.

В соответствии с классификацией МКБ-10 для стоматологии, лечение заболеваний слизистой оболочки полости рта проводится по четырем категориям. Выделяют воспалительные, инфекционные, вирусные и грибковые болезни. Лечебный план зависит как от степени выраженности негативной симптоматики, так и от индивидуальных особенностей организма пациента, проявляющихся, в том числе, в реакции на определенные группы медицинских препаратов.
Инфекционно-вирусные процессы
Форма развития напрямую связана с источником возникновения — так, для патологических циклов, спровоцированных занесением вирусной инфекции, характерны следующие разновидности:
- Катаральная - состояние, характеризующееся выраженными отеками и высыпаниями, на поверхности которых формируется налет серого оттенка.
- Афтозная - поражение слизистой оболочки полости рта, сопряженное с образованием болезненных пузырей, оставляющих после себя участки эрозии.
- Язвенная - схожа по симптоматике с первым вариантом, однако отличается более выраженным болевым синдромом.
Рассмотрим основные заболевания, относящиеся к категории инфекционных.
Фарингит
Воспалительный процесс, поражающий область глотки, вызываемый как занесением вируса пневмококка, так и систематическим вдыханием дыма, загрязненного или холодного воздуха. Сопровождается дискомфортом при глотании, обострением восприимчивости и непреходящим чувством першения, а также общим недомоганием и повышением температуры. Диагностируется при визуальном осмотре и с помощью исследования пробы мазка. В сложных случаях лечится антибиотиками, однако в большинстве ситуаций достаточно терапевтического курса, включающего регулярные ингаляции, полоскания и компрессы.
Заболевание слизистой поверхности языка, приводящее к изменению его структуры и оттенка. Вероятность занесения инфекции повышается при систематическом употреблении горячих или спиртных напитков и острой пищи, несоблюдении гигиенических норм, а также ожоговых и механических повреждениях тканей. Первичная симптоматика характеризуется дискомфортом и чувством жжения. По мере развития патологии образуются участки покраснения, усиливается интенсивность выделения слюны, а также ухудшается вкусовое восприятие.
Продолжительное отсутствие врачебного вмешательства ведет к обширному отеку, затрудняющему выполнение привычных функций, а также к формированию наростов. Медикаментозный курс лечения глоссита предусматривает особый диетический режим, исключающий из рациона твердые продукты.

Воспалительное заболевание слизистой оболочки десен, наиболее часто диагностируемое в подростковом периоде, а также у беременных пациенток. Разнообразные формы проявления обусловливают наличие дополнительной классификации:
- Язвенно-некротическая - поражает ткани полости рта, провоцирует увеличение лимфоузлов и характеризуется выраженным болевым синдромом.
- Катаральная и атрофическая - вызывают отечность, зуд, кровотечение, острую реакцию на температурные изменения, а также ослабление структуры.
- Гипертрофическая - проявляется заметным увеличением размеров десневых сосочков, сопровождается кровоточивостью и болезненными ощущениями.
Сроки лечения гингивита зависят от стадии, на которой выявляется патология. Приоритетной задачей стоматолога выступает удаление зубного налета и купирование воспалительных процессов.
Занесение инфекции осуществляется разными способами, чаще всего - выступает следствием механического повреждения тканей. По мере развития образуются характерные округлые язвы, локализующиеся с внутренней стороны губ и щек, а также в области корня языка.
При диагностировании рекомендуется проводить лечение слизистой оболочки полости рта, предварительно исключив из повседневного обихода средства, содержащие лаурилсульфат натрия, поскольку активный компонент провоцирует дополнительное раздражение. Снятию болевого синдрома способствуют анестетики, а для удаления пленки применяются антисептические и противовоспалительные составы.
Вирусные патологии
К данной категории относятся аномальные процессы, спровоцированные вирусами папилломы или герпеса, также характеризующиеся неприятной симптоматикой, и требующие врачебного вмешательства. Выбор терапевтической методики зависит от показаний клинической картины, и учитывает индивидуальные рекомендации, составленные по итогам изучения анамнеза пациента.
Герпес
Согласно данным статистических исследований, диагностика заболеваний слизистой рта выявляет данную патологию в 90% случаев. Обычно патоген присутствует в организме в скрытом состоянии, проявляясь только при воздействии на него внешних триггеров, таких как ухудшение иммунитета, стрессовые нагрузки, простуда или перенесенная операция.
При достаточном уровне сопротивляемости наблюдается появление небольших прыщиков, локализующихся в области губ, и сохраняющихся на протяжении 10-14 дней. Аномалия сопровождается зудом и покалыванием, покраснением тканей и образованием небольших отеков. В сложных ситуациях характерным признаком является выраженный болевой синдром, связанный с формированием пузырей и язв. На ранних стадиях рекомендуется охлаждение проблемного участка с помощью льда, а также обработка проблемной поверхности пенцикловиром или тетрациклиновой мазью.

ВПЧ (в ирус папилломы человека )
Заболевание способно проявляться на различных участках тела, в том числе - в ротовой полости. В этом случае наблюдаются образования и бляшки светлого оттенка, визуально напоминающие цветную капусту. При продолжительном развитии возможны такие негативные последствия, как изменение голосового тембра и нарушение дыхательной функции, связанные с распространением в горловой области.
Современные методики не позволяют полностью вылечить папиллому, однако успешно справляются с ее симптоматическими проявлениями. Исходя из степени выраженности, назначается иммунотерапия, хирургические или цитостатические процедуры, либо применяются комбинированные протоколы.
Грибковые заболевания
Еще один распространенный патоген, пассивными носителями которого являются около 50% людей - грибок Candida. Его активность связана с ухудшением функций иммунной системы. Лечение болезни слизистой оболочки полости рта зависит от типа кандидоза - в соответствии с действующей классификацией, выделяют несколько разновидностей.
Молочница
Чрезмерная сухость внутренней поверхности языка, щек и губ, а также образование белого налета. Сопровождается дискомфортом и жжением, часто наблюдается у пациентов младшей возрастной группы.
Атрофическая форма
Наиболее болезненная патология, сопряженная с обширным покраснением пораженных участков. Охватывает небо и уголки рта, создавая сложности в реализации речевой функции, а также неудобства при приеме пищи.
Гиперпластический кандидоз
Характеризуется появлением утолщенного поверхностного бактериального слоя, в процессе удаления которого высока вероятность кровотечения на пораженных участках.
Красный плоский лишай
Язвенная аномалия, признаками которой, помимо изменения естественного оттенка, выступают формирующиеся пузырьки и бляшки. Зачастую выступает побочным проявлением болезней печени, диабета, а также нарушений в работе желудочно-кишечного тракта.

Другие виды заболеваний
Существуют и другие болезни слизистой ткани ротовой полости, не относящиеся к указанной классификации. Одной из них является дисбактериоз, возникающий на фоне систематического приема антибиотиков или использования антисептических средств. Характерные симптомы - появление стойкого неприятного запаха и трещин в уголках рта, однако при продолжительном развитии есть вероятность нарушения структуры эмалевого покрытия элементов зубного ряда. Лечение направлено на нормализацию внутренней микрофлоры, и назначается в индивидуальном порядке.
Читайте также:
