Закрытые травмы век. Обследование
Добавил пользователь Владимир З. Обновлено: 14.12.2025
В этом месяце жителям районов Савеловский, Беговой, Аэропорт, Хорошевский предоставляется скидка 5% на ВСЕ медицински.
Скидки для друзей из социальных сетей!
Эта акция - для наших друзей в "Одноклассниках", "ВКонтакте", "Яндекс.Дзене", YouTube и Telegram! Если вы являетесь другом или подписчиком стр.
Меняем старый гипс на новый!
«Упал, очнулся - гипс» - ситуация неприятная и резко меняющая любые планы. С тяжелым гипсом наперевес не особо разгуляешься. Одна.
Бесчастнов Дмитрий Валерьевич
Первая квалификационная категория
Бикбулатов Вадим Рифкатович
Гриценко Евгений Александрович
Кириченко Алексей Викторович
Вторая квалификационная категория
Магомедов Курбанмагомед Абдуллаевич
Мы в Telegram и "Одноклассниках"
"Men's Health", медицинский блог (октябрь 2015г.)
Черепно-мозговая травма (ЧМТ) - травма головы, при которой повреждаются кости черепа и мягкие ткани мозга (мозговые оболочки, сосуды, нервы).
Травмы головы могут произойти по самым разным причинам, будь то несчастный случай в быту или повреждение во время спортивного соревнования. Однако чаще всего ЧМТ фиксируются в дорожно-транспортных происшествиях. Статистика свидетельствует: около 30% от всех повреждений составляют черепно-мозговые травмы.

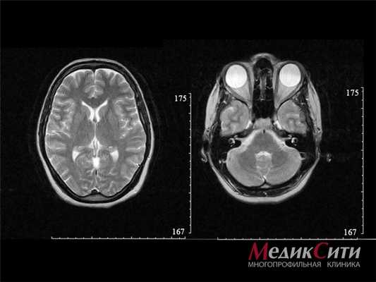
МРТ головного мозга


Травма головы - это очень серьезно. Более половины ЧМТ заканчиваются серьезными осложнениями, инвалидностью или летальным исходом. Поэтому при получении черепно-мозговой травмы (особенно при наличии таких симптомов, как потеря сознания, рвота и головокружение) немедленно обратитесь в службу скорой помощи или ближайший травмпункт!
Виды черепно-мозговых травм
Врачи разделяют все черепно-мозговые травмы на 2 большие группы:
- открытые травмы - наиболее серьезный вид травм, при котором поврежден не только череп, но и мягкие структуры мозга;
- закрытые травмы - вероятны ушиб мозга или перелом костей черепа, однако целостность мягких тканей при этом не нарушена.
К открытым черепно-мозговым травмам относятся:
- перелом основания и свода черепа с ранением мягких тканей;
- перелом основания черепа с травмированием кровеносных сосудов.


Лечение черепно-мозговых травм

Закрытый вид ЧМТ
Данный вид травм диагностируется в 70% случаях, он включает в себя:
Виды черепно-мозговых травм по степени тяжести:
- легкая степень (сотрясения и некоторые виды ушибов головного мозга, при которых сознание остается ясным);
- средняя степень (ушибы головного мозга, характеризующиеся недлительной потерей сознания и появлением некоторых неврологических отклонений);
- тяжелая степень (контузия с многочисленными повреждениями и сдавлением головного мозга, приводящая к длительной потере сознания, нарушению деятельности жизненно важных систем и даже летальному исходу).
Последствия черепно-мозговых травм зависят от тяжести конкретного повреждения. Легкая травма головы может не повлечь никаких осложнений, при средней ЧМТ могут наблюдаться неврологические нарушения, а при тяжелой стадии возможен летальный исход.
Во всех случаях повреждения головы необходимо срочно доставить пострадавшего в ближайшую больницу или травмпункт, где ему будут проведены необходимая диагностика и квалифицированное лечение черепно-мозговой травмы!
Лечение черепно-мозговых травм
Терапия подобных травм проводится в условиях стационара с обязательным соблюдением постельного режима (от нескольких дней до месяца).
Лечение черепно-мозговых травм в основном носит консервативный и симптоматический характер. Применяются препараты для снятия отека мозга, подавления рвотного рефлекса, обезболивающие лекарства, а также антигистаминные и сердечно-сосудистые средства.
Лечение черепно-мозговых травм при обнаружении гематомы и признаков сдавливания мозга допускает оперативное воздействие.



Сотрясение головного мозга
Сотрясение мозга считается достаточно легкой формой черепно-мозговой травмы с обратимыми последствиями.
Симптомы сотрясения головного мозга могут проявиться уже в первые сутки после повреждения головы.
Важно обратить внимание на следующие возможные признаки сотрясения мозга:
- головокружение и головная боль;
- тошнота, рвота (могут проявляться многократно);
- обморок (в зависимости от степени повреждения потеря сознания может быть кратковременной или длительной);
- бессонница;
- нарушение ориентации в пространстве и времени;
- шум в ушах;
- приливы крови к лицу;
- усиленное потоотделение.
У людей старшего возраста и детей сотрясение мозга возможно и без потери сознания, однако у пожилых пациентов может наблюдаться нарушение ориентации в пространстве и времени.
Диагностика и лечение сотрясения мозга
Для диагностики всех видов черепно-мозговых травм самыми информативными являются рентген и магнитно-резонансная томография. Это позволяют исключить перелом костей черепа.
При лечении сотрясении мозга прогноз, как правило, благоприятный.
Медикаментозное лечение направлено на улучшение состояния головного мозга, купирование боли, устранение головокружения, бессонницы и беспокойства. Поэтому при лечении сотрясения мозга пациенту проводят курс метаболической и сосудистой терапии.
Ушиб головного мозга
По сравнению с сотрясением, ушиб головного мозга представляет собой более серьезное повреждение, требующее срочного лечения. При этом виде ЧМТ затрагиваются мелкие сосуды головного мозга, образуется кровоизлияние, может происходить истечение ликвора (спинномозговой жидкости).
Травма может сопровождаться сдавлением мягких тканей или протекать без него. От этого зависит способ лечения ушиба головного мозга.
Основные симптомы ушиба головного мозга без сдавления:
- потеря сознания (или кома);
- частая рвота;
- тахикардия и аритмия;
- снижение функции мышц на руках и ногах (парезы) и расстройство координации движений; ;
- появление крови в ликворе;
- длительные сильные головные боли;
- нарушение вестибулярной функции;
- потеря памяти на ближайшие события.
Сдавление головного мозга может появиться во время самой травмы головы или некоторое время спустя в результате возникновения внутричерепной гематомы.
Гематомы могут быть острыми, подострыми и хроническими. Если в первом случае состояние пациента начинает стремительно ухудшаться, то при подострой и хронической гематоме воспалительный процесс может растянуться на месяцы.
При сдавлении головного мозга гематомой могут наблюдаться следующие клинические признаки:
- судорожные конвульсии;
- повышение внутричерепного давления;
- появление бреда и галлюцинаций;
- ослабление брюшных и сухожильных рефлексов;
- парезы или параличи конечностей;
- повреждение зрительных нервов.
Лечение ушибов головного мозга
Лечение ушибов мозга зависит от степени поражения головного мозга.
При легкой стадии направление терапии такое же, как и при сотрясении.
Если травма средней или тяжелой степени, лечение ушиба мозга должно быть направлено, в первую очередь, на улучшение дыхательной и сердечной функций, а также на нормализацию нервных реакций.
При лечении ушиба мозга со сдавлением необходимо срочное оперативное воздействие.
Травмпункт клиники «МедикСити» работает каждый день с 9.00 до 21.00. Опытные врачи-травматологи проводят диагностику и лечение черепно-мозговых травм и других повреждений, применяя самые современные виды обследования - рентген, МРТ, УЗИ, электронейромиографию, ЭЭГ, РЭГ. При необходимости вы можете получить консультацию различных «узких» специалистов: прием в клинике ведут врачи 30 направлений. Очень важно наблюдение пациентов с ЧМТ у врача-невролога.
Механические повреждения глаз
Механические повреждения глаз включают ранения и тупые травмы глазного яблока, его придаточного аппарата и костного ложа. Механические повреждения могут сопровождаться кровоизлияниями в мягкие ткани и структуры глаза, подкожной эмфиземой, выпадением внутриглазных оболочек, воспалением, снижением зрения, размозжением глаза. Диагностика механических повреждений глаз основывается на данных осмотра пострадавшего офтальмохирургом, нейрохирургом, отоларингологом, челюстно-лицевым хирургом; рентгенографии орбиты, биомикроскопии, офтальмоскопии, ультразвуковой эхографии и биометрии, пробы с флюоресцеином и др. Способ лечения механических повреждений глаз зависит от характера и объема травмы, а также развившихся осложнений.

Общие сведения
Ввиду своего поверхностного расположения на лице, глаза чрезвычайно уязвимы к различного рода повреждениям - механическим травмам, ожогам, внедрению инородных тел и пр. Механические повреждения глаз довольно часто влекут за собой осложнения инвалидизирующего характера: ослабление зрения или слепоту, функциональную гибель глазного яблока.
Тяжелые травмы глаз чаще случаются у мужчин (90%), чем у женщин (10%). Около 60% повреждений органа зрения получают взрослые в возрасте до 40 лет; 22% травмированных составляют дети до 16 лет. По статистике, среди травм органа зрения первое место занимают инородные тела глаза; второе - ушибы, контузии глаза и тупые травмы; третье - ожоги глаз.

Классификация
В офтальмологии механические повреждения глаз классифицируются по механизму возникновения, локализации, степени тяжести. По механизму травмирующего действия различают ранения, тупые травмы глаза (контузии, сотрясения). В свою очередь, ранения глаза могут быть непроникающими, проникающими и сквозными; неинфицированными и инфицированными; с внедрением или без внедрения инородного тела; с выпадением и без выпадения оболочек глаза.
По локализации повреждений выделяют травмы защитного аппарата глаза (век, орбиты, слезного аппарата), глазного яблока, сочетанные повреждения придатков и внутренних структур глаза, комбинированные механические повреждения глаз и других областей лица.
Степень механических повреждений глаз зависит от вида травмирующего объекта, а также силы и скорости воздействия. По тяжести глазной травмы выделяют:
- легкие повреждения, обусловленные попаданием инородных тел на конъюнктиву или поверхность роговицы, ожогами I—II ст., несквозными ранениями и гематомами век, временной офтальмией и др.
- повреждения средней тяжести, характеризующиеся явлениями резко выраженного конъюнктивита и помутнениями роговицы; разрывом или частичным отрывом века; ожогами век и глазного яблока II—IIIA ст.; непрободным ранением глазного яблока.
- тяжелые повреждения, сопровождающиеся прободным ранением глазного яблока; ранениями век со значительными дефектами ткани; контузией глазного яблока с повреждением более 50% его поверхности; снижением зрения вследствие разрыва внутренних оболочек, травмы хрусталика, отслойки сетчатки, кровоизлияний в полость глаза; повреждением костей глазницы и экзофтальмом; ожогами IIIБ—IV ст.
По обстоятельствам и условиям возникновения механических повреждений глаз различают промышленный, сельскохозяйственный, бытовой, детский и военный травматизм.
Причины
Поверхностные травмы глаза часто происходят при повреждениях век, конъюнктивы или роговой оболочки ногтем, контактной линзой, частями одежды, ветками деревьев.
Тупые механические повреждения глаз могут возникать при ударе по глазному яблоку или лицевому скелету объемным предметом (кулаком, мячом, палкой, камнем и др.), при падении на твердый предмет. Тупые травмы нередко сопровождаются кровоизлияниями в ткани век и глаза, переломами стенок орбиты, контузией глаза. Тупые механические повреждения глаз часто сочетаются с закрытой черепно-мозговой травмой.
Проникающие ранения глаз обусловлены механическим повреждением век или глазного яблока острыми предметами (канцелярскими и столовыми приборами, деревянными, металлическими или стеклянными осколками, проволокой и т. д.). При осколочных ранениях нередко отмечается внедрение инородного тела внутрь глаза.
Симптомы
Тупые травмы глаза
Субъективные ощущения при механических повреждениях глаз не всегда соответствуют реальной тяжести травмы, поэтому при любых глазных травмах необходима консультация офтальмолога. Тупые травмы глаза сопровождаются различного рода кровоизлияниями: гематомами век, ретробульбарными гематомами, субконъюнктивальными геморрагиями, гифемой, кровоизлияниями в радужку, гемофтальмом, преретинальными, ретинальными, субретинальными и субхориоидальными кровоизлияниями.
При контузии радужки может развиться травматический мидриаз, обусловленный парезом сфинктера. При этом утрачивается реакция зрачка на свет, отмечается увеличение диаметра зрачка до 7-10 мм. Субъективно ощущается светобоязнь, понижение остроты зрения. При парезе цилиарной мышцы развивается расстройство аккомодации. Сильные механические удары могут привести к частичному или полному отрыву радужки (иридодиализу), повреждению сосудов радужной оболочки и развитию гифемы - скоплению крови в передней камере глаза.
Механическое повреждение глаза с травмирующим воздействием на хрусталик, как правило, сопровождается его помутнениями различной степени выраженности. При сохранности капсулы хрусталика происходит развитие субкапсулярной катаракты. В случае травмы связочного аппарата, удерживающего хрусталик, может возникнуть сублюксация (подвывих) хрусталика, который приводит к расстройству аккомодации и развитию хрусталикового астигматизма. При тяжелых травмах хрусталика происходит его люксация (вывих) в переднюю камеру, стекловидное тело, под конъюнктиву. Если сместившийся хрусталик затрудняет отток водянистой влаги из передней камеры глаза, может развиться вторичная факотопическая глаукома.
При кровоизлияниях в стекловидное тело (гемофтальме) в дальнейшем может возникать тракционная отслойка сетчатки, атрофия зрительного нерва. Нередко следствием тупого механического повреждения глаза служат разрывы сетчатки. Достаточно часто контузионные травмы глаза приводят к субконъюнктивальным разрывам склеры, для которых характерны гемофтальм, гипотония глазного яблока, отеки век и конъюнктивы, птоз, экзофтальм. В постконтузионном периоде нередко возникают ириты и иридоциклиты.
Ранения глазного яблока
При непроникающих ранениях глазного яблока целостность роговой и склеральной оболочек глаза не нарушается. При этом чаще всего происходит поверхностное повреждение эпителия роговицы, что создает условия для инфицирования - развития травматического кератита, эрозии роговицы. Субъективно непроникающие механические повреждения сопровождаются резкой болью в глазу, слезотечением, светобоязнью. Глубокое проникновение инородных тел в роговичные слои может приводить к рубцеванию и образованию бельма.
К признакам проникающего ранения роговицы и склеры относят: зияющую рану, в которую выпадают радужка, цилиарное или стекловидное тела; наличие отверстия в радужке, наличие внутриглазного инородного тела, гипотонию, гифему, гемофтальм, изменение формы зрачка, помутнение хрусталика, понижение остроты зрения различной степени.
Проникающие механические повреждения глаз опасны не только сами по себе, но и их осложнениями: развитием иридоциклита, нейроретинита, увеита, эндофтальмита, панофтальмита, внутричерепных осложнений и др. Нередко при проникающих ранениях развивается симпатическая офтальмия, характеризующаяся вялотекущим серозным иридоциклитом или невритом зрительного нерва неповрежденного глаза. Симптоматическая офтальмия может развиваться в ближайшем после ранения периоде или спустя месяцы и годы после него. Патология проявляется внезапным снижением остроты зрения здорового глаза, светобоязнью и слезотечением, глубокой конъюнктивальной инъекцией. Симптоматическая офтальмия протекает с рецидивами воспаления и, несмотря на лечение, в половине случаев заканчивается слепотой.
Повреждения орбиты
Травмы орбиты могут сопровождаться повреждением сухожилия верхней косой мышцы, что приводит к косоглазию и диплопии. При переломах стенок глазницы со смещением отломков может увеличиваться либо уменьшаться емкость орбиты, в связи с чем развивается западение (эндофтальм) или выпячивание (экзофтальм) глазного яблока. Травмы орбиты сопровождаются подкожной эмфиземой и крепитацией, затуманиванием зрения, болью, ограничением подвижности глазного яблока. Обычно встречаются тяжелые сочетанные (орбитокраниальные, орбито-синуальные) травмы.
Механические повреждения орбиты и глаза часто заканчиваются внезапной и необратимой слепотой вследствие обширных кровоизлияний в глазное яблоко, разрыва зрительного нерва, разрывов внутренних оболочек и размозжения глаза. Повреждения орбиты опасны развитием вторичной инфекции (флегмоны орбиты), менингита, тромбоза кавернозного синуса, внедрением инородных тел в придаточные пазухи носа.
Диагностика
Распознавание характера и степени тяжести механических повреждений глаз производится с учетом анамнеза, клинической картины травмы и дополнительных исследований. При любых травмах глаза необходимо проведение обзорной рентгенографии орбиты в 2-х проекциях для исключения наличия костных повреждений и внедрения инородного тела.
Обязательным диагностическим этапом при механических повреждениях является осмотр структур глаза с помощью различных методов (офтальмоскопии, биомикроскопии, гониоскопии, диафаноскопии), измерение внутриглазного давления. При выпячивании глазного яблока проводится экзофтальмометрия. При различных нарушениях (глазодвигательных, рефракционных) исследуется состояние конвергенции и рефракции, определяется запас и объем аккомодации. Для выявления повреждений роговицы применяется флюоресцеиновая инстилляционная проба.
Для уточнения характера посттравматических изменений на глазном дне выполняется флюоресцентная ангиография сетчатки. Электрофизиологические исследования (электроокулография, электроретинография, зрительные вызванные потенциалы) в сопоставлении с клиникой и данными ангиографии позволяют судить о состоянии сетчатки и зрительного нерва.
С целью выявления отслойки сетчатки при механических повреждениях глаз, оценки ее локализации, величины и распространенности проводится УЗИ глаза в А и В режимах. С помощью ультразвуковой биометрии глаза судят об изменении размеров глазного яблока и соответственно - о постконтузионной гипертензии или гипотоническом синдроме.
Пациенты с механическими повреждениями глаз должны быть проконсультированы хирургом-офтальмологом, неврологом, нейрохирургом, отоларингологом, челюстно-лицевым хирургом. Дополнительно может потребоваться проведение рентгенографии или КТ черепа и придаточных пазух.
Лечение
Многообразие факторов возникновения механических повреждений глаза, а также различная степень тяжести травмы определяют дифференцированную тактику в каждом конкретном случае.
При травмах век с нарушением целостности кожных покровов производится первичная хирургическая обработка раны, при необходимости - иссечение размозженных тканей по краям раны и наложение швов.
Поверхностные механические повреждения глаз, как правило, лечатся консервативно с помощью инстилляций антисептических и антибактериальных капель, закладывания мазей. При внедрении осколков производится струйное промывание конъюнктивальной полости, механическое удаление инородных тел с конъюнктивы или роговицы.
При тупых механических повреждениях глаз рекомендуется покой, наложение защитной бинокулярной повязки, инстилляции атропина или пилокарпина под контролем внутриглазного давления. С целью скорейшего рассасывания кровоизлияний могут назначаться аутогемотерапия, электрофорез с йодистым калием, субконъюнктивальные инъекции дионина. Для профилактики инфекционных осложнений назначаются сульфаниламиды и антибиотики.
По показаниям осуществляется хирургическое лечение (экстракция вывихнутого хрусталика с последующей имплантаций ИОЛ в афакичный глаз, наложение швов на склеру, витрэктомия при гемофтальме, энуклеация атрофированного глазного яблока и др.). При необходимости в отсроченном периоде производятся реконструктивные операции: рассечение синехий, пластика радужки, реконструкция переднего отрезка глаза, восстановление иридохрусталиковой диафрагмы.
При постконтузионных отслойках сетчатки осуществляются различные хирургические вмешательства: склеропластика, баллонирование, лазерная коагуляция, введение силикона и др. При развитии посттравматической катаракты обязательно ее удаление одним из принятых методов.
В случае атрофии зрительного нерва производится медикаментозная и аппаратная терапия, направленная на стимуляцию сохранившихся нервных волокон (ультразвуковая терапия, электро- и фонофорез лекарственных веществ, микроволновая терапия, гипербарическая оксигенация, лазеро-, электро- и магнитостимуляция). При факогенной глаукоме требуется проведение антиглаукоматозного хирургического вмешательства.
Хирургическое лечение травм орбиты осуществляется совместно с отоларингологами, нейрохирургами, хирургами-стоматологами.
Прогноз и профилактика
Неблагоприятными исходами механических повреждений глаз могут быть образование бельма, травматической катаракты, развитие факогенной глаукомы или гипотонии, отслойка сетчатки, сморщивание глазного яблока, снижение зрения и слепота. Прогноз механических повреждений глаз зависит от характера, локализации и тяжести ранения, инфекционных осложнений, своевременности оказания первой помощи и качества последующего лечения.
Профилактика механических повреждений глаза требует соблюдения техники безопасности на производстве, осторожности в быту при обращении с травмоопасными предметами.
Контузии глаза
Контузии глаза - это поражение органа зрения, вызванное ударом тупым предметом или ударной волной. Клинические проявления определяются характером травмы. Общие симптомы включают снижение остроты зрения, усиленное слезотечение, фотофобию, появление «пелены» перед глазами, болезненность в области орбиты. Диагностика основывается на применении биомикроскопии, визометрии, рентгенографии, офтальмоскопии, МРТ, гониоскопии, тонометрии. В качестве консервативной терапии используются противовоспалительные, антибактериальные, гипотензивные и антисептические средства. Оперативным путем устраняют разрывы оболочек глазного яблока.

Контузии глаза составляют около 1/3 всех травматических повреждений органа зрения, приводящих к слепоте и инвалидизации больного. Согласно статистическим данным, наиболее распространена легкая степень поражения - 84,9%. В 55,5% случаев причиной патологии является бытовая травма. 79,4% пациентов впоследствии страдают спазмом аккомодации. У 68,3% больных диагностируют эрозивные дефекты на поверхности роговой оболочки. Распространенность субконъюнктивального кровоизлияния при контузиях глаза составляет 98%. Спустя 6-12 месяцев у 3,4 % пациентов сохраняется рецессия УПК, у 0,5% - стойкий мидриаз и у 2,3% - пигментация глазного дна.

Этиология заболевания напрямую связана с воздействием травматического агента. Определение этиологических факторов играет важную роль в постановке диагноза и выборе тактики лечения. Основные причины развития заболевания представлены:
- Черепно-мозговой травмой. Приводит к развитию непрямой формы патологии. Пациенты отмечают появление симптомов со стороны органа зрения, однако при визуальном осмотре патологические изменения переднего отдела глаз отсутствуют.
- Прямым ударом. Чаще всего встречается при бытовых травмах. Воздействие этиологического фактора становится причиной травмы глазного яблока с преимущественным повреждением наружных структур.
- Взрывной волной. Влечет за собой наиболее тяжелые последствия, что обусловлено комбинированным поражением наружного и внутреннего отдела. Патологический процесс развивается симметрично.
Патогенез
В основе прямой контузии лежит непосредственное воздействие повреждающего фактора на глазное яблоко. После механического удара происходит деформация внутриглазных структур, ведущая к резкому повышению внутриглазного давления. Нарушение гемодинамических процессов и внутриглазной гидродинамики влечёт за собой появление очагов кровоизлияния. Изменение биохимических показателей жидких сред провоцирует стресс-реакцию. При непрямом типе воздействия патологический агент не соприкасается с глазом, а оказывает влияние опосредованно через кости черепа. При пораженных внутренних оболочках и оптических средах целостность конъюнктивы и роговицы не нарушена. На степень тяжести контузии влияет вес и площадь травмирующего агента. При высокой скорости движения предмета и большой площади ударной поверхности вероятность тяжелого течения существенно возрастает. Выраженность заболевания также зависит от точки приложения повреждающего фактора.
Контузия глаза - это приобретённое заболевание. Различают прямую и непрямую формы патологии. Согласно принятой в отечественной офтальмологии клинической классификации выделяют следующие степени тяжести:
- I степень. При легкой контузии выявляются подкожные кровоизлияния в окологлазничной области, признаки гипосфагмы. Характер раны - рвано-ушибленный. Отрывов или разрывов век и конъюнктивы не возникает. Визуализируется лёгкая отечность и эрозивные дефекты роговой оболочки.
- II степень. Зона поражения роговицы ограничена отеком, надрывом поверхностных слоёв оболочек глаз. Наблюдается разрыв радужки у зрачкового края. Внутриглазные мышцы спазмированы.
- III степень. Полный разрыв или отрыв века и радужки с распространением на склеру. Края дефекта неровные. Роговица пропитана кровью. Осложняется переломом костной стенки орбиты.
- IV степень. Особо тяжёлая контузия сопровождается размозжением глазного яблока. Отмечается компрессия или разрыв волокон зрительного нерва в костном канале.
Симптомы контузии глаза
При первой степени заболевания пациенты предъявляют жалобы на повышенное слезотечение, светобоязнь, чувство рези в глазу, невозможность разомкнуть веки. Спазм аккомодации не приводит к зрительной дисфункции. Интенсивность субконъюнктивального кровоизлияния нарастает в течение первых 2 часов с момента травмы, затем самостоятельно регрессирует на протяжении 2-3 недель. Для второй степени характерно развитие выраженного болевого синдрома, который усиливается при попытке произвести движения глазными яблоками. Острота зрения резко снижена. Больные отмечают появление «пелены» или «тумана» перед глазами.
При тяжелом течении сохраняется только светоощущение. Формируется выраженный косметический дефект. Боль иррадиирует в надбровные дуги, височные и лобные отделы головы. Чувствительность роговицы резко снижена. Вывих хрусталика проявляется факодонезом (дрожанием хрусталика) или иридодонезом (колебательными движениями радужки). При четвертой степени отмечается полная потеря зрения. Появление «мушек» или «плавающих помутнений» перед глазами свидетельствует об отслойке внутренней оболочки. Визуально определяется выраженный экзофтальм. Подвижность глазных яблок резко затруднена.
Осложнения
Поражение 2-4 ст. тяжести осложняется гипосфагмой, гемофтальмом и кровоизлиянием в переднюю камеру. Травматическая рецессия угла передней камеры лежит в основе развития вторичной глаукомы. При поражении увеального тракта возникает хориоретинит. Посттравматические реакции окружающих тканей ведут к образованию гониосинехий. При тяжелой травме наблюдается нейроретинопатия, хориоретинальная дистрофия, атрофия зрительного нерва. У пациентов с данной патологией в анамнезе существует высокий риск вторичной катаракты и травматической отслойки сетчатки. При разрыве склеры по окружности лимба возможно возникновение травматической аниридии.
Постановка диагноза производится с учетом анамнестических сведений, результатов физикального осмотра и инструментальных методов исследования. При сборе анамнеза необходимо уточнить, сколько времени прошло с момента травматического повреждения, установить причины и механизм травмы. Комплекс офтальмологического обследования включает:
- Биомикроскопию глаза. При легком поражении и контузии средней тяжести выявляется отек и эрозии роговицы. На передней поверхности хрусталика определяется «пигментный отпечаток» (кольцо Фоссиуса). При 3 степени наблюдается помутнение, вывих или подвывих хрусталика.
- Офтальмоскопию. Постконтузионные изменения глазного дна подразделяют на ранние (до 2 месяцев) и поздние. Визуализируется изменение сетчатки «берлиновского» типа, при котором возникают облакообразные помутнения серого или белесоватого цвета. Видны очаги кровоизлияния, разрывы внутренней и сосудистой оболочек. Обнаруживаются признаки суб- и атрофии зрительного нерва.
- Гониоскопию. Обследование осуществляют под региональным инстилляционным обезболиванием при условии сохраненной прозрачности роговицы. При 2 ст. патологии в передней камере выявляется кровь.
- Визометрию. Степень снижения остроты зрения варьирует от незначительной дисфункции до полной слепоты.
- Рентгенографию лицевого отдела черепа. Показана при средней и тяжелой степени повреждения. Исследование проводят в прямой и боковой проекции для исключения перелома и деформаций костных стенок орбиты, диагностики кровоизлияния в околоносовые синусы. При необходимости дополнительно выполняют КТ головы.
- МРТ головы. Магнитно-резонансная томография дает возможность наиболее точно определить уровень и характер поражения оптических волокон и внутриглазных мышц, выявить локальные участки кровоизлияния.
- УЗИ глаза. Обследование применяется при помутнении оптических сред. Методика позволяет визуализировать признаки кровоизлияния в стекловидное тело и переднюю камеру, уточнить характер поражения хрусталика и заднего сегмента глазного яблока.
- Бесконтактную тонометрию. В раннем периоде внутриглазное давление резко повышается. Далее изменения офтальмотонуса варьируют от выраженного гипертонуса до гипотонии, что определяется механизмом нанесения удара.
Лечение контузии глаза
Терапевтическая тактика зависит от выраженности патологических изменений и характера повреждения внутриорбитальных структур. При 1 ст. специальное лечение обычно не требуется. Гипосфагма самостоятельно рассасывается в течение 14-21 дней. Эпителий роговой оболочки в зоне эрозии регенерирует за 3-4 дня. В зависимости от объема поражения при контузии 2-4 степени применяется консервативное или хирургическое лечение. Медикаментозная терапия базируется на применении:
- Противовоспалительных препаратов. При 1 степени показаны нестероидные противовоспалительные средства (НПВС). Начиная со 2 ст. целесообразно назначение глюкокортикоидов в виде парабульбарных инъекций.
- Ферменты. Фибринолизин используют в офтальмологической практике при кровоизлияниях травматического генеза. Коллагеназу вводят субконъюнктивальным путем при помощи электрофореза.
- Антибактериальные средства. Применяются на протяжении всего периода лечения с целью профилактики развития бактериальных осложнений.
- Антисептики. Назначают курсом длительностью в 10 дней. Инстилляции антисептиков проводят от 2 до 6 раз в день.
- Симпатомиметики. Мидриатики используют для расширения зрачка, профилактики образования рубцовых сращений, передних гониосинехий.
- Гипотензивные препараты. При выявлении повышенного внутриглазного давления в раннем послеоперационном периоде показана местная гипотензивная терапия.
Оперативные вмешательства необходимы при разрывах век, роговицы и склеры. Выявление травматического иридодиализа требует выполнения иридопластики. Корень радужной оболочки фиксируют к лимбу у склерального края. При подозрении на разрыв наружной соединительнотканной оболочки проводят ревизию раны. При ретробульбарной гематоме выполняют пункцию с дальнейшим дренированием. При повреждении костных стенок глазницы показана консультация отоларинголога, нейрохирурга. При сохранении целостности зрительного нерва осуществляют органосберегающую операцию. В случае полной атрофии нервных волокон рекомендуется энуклеация.
Исход заболевания определяется степенью тяжести контузии, характером поражения структур глазного яблока. Прогноз в отношении зрительных функций при 3-4 степени неблагоприятный. Пациент должен находиться на диспансерном учете у офтальмолога на протяжении 1 года. При плановом осмотре необходимо проведение тонометрии, прямой офтальмоскопии. При неэффективности гипотензивной терапии показано оперативное лечение глаукомы. Специфические методы профилактики не разработаны. Неспецифические превентивные меры сводятся к применению средств индивидуальной защиты на производстве (ношение очков, каски).
Черепно-мозговая травма (ЧМТ)
Черепно-мозговая травма — это повреждение костей черепа и/или мягких тканей (мозговые оболочки, ткани мозга, нервы, сосуды). По характеру травмы различают закрытую и открытую, проникающую и непроникающую ЧМТ, а также сотрясение или ушиб головного мозга. Клиническая картина черепно-мозговой травмы зависит от ее характера и тяжести. Основными симптомами являются головная боль, головокружение, тошнота и рвота, потеря сознания, нарушение памяти. Ушиб головного мозга и внутримозговая гематома сопровождаются очаговыми симптомами. Диагностика черепно-мозговой травмы включает анамнестические данные, неврологический осмотр, рентгенографию черепа, КТ или МРТ головного мозга.
МКБ-10


По генезу и механизму возникновения ЧМТ бывает первичная (воздействию на мозг травмирующей механической энергии не предшествует какая-либо церебральная или внецеребральная катастрофой) и вторичная (воздействию травмирующей механической энергии на мозг предшествует церебральная или внецеребральная катастрофа). ЧМТ у одного и того же пациента может происходить впервые или повторно (дважды, трижды).
- Первичные поражения - это очаговые ушибы и размозжения мозга, диффузные аксональные повреждения, внутричерепные гематомы, разрывы ствола, множественные внутримозговые геморрагии, возникшие вследствие механической травмы головы.
- Вторичные поражения возникают в результате действия вторичных внутричерепных факторов (отсроченных гематом, нарушений ликворо- и гемоциркуляции вследствие внутрижелудочкового или субарахноидального кровоизлияния, отека мозга, гиперемии и др.) или вторичных внечерепных факторов (артериальная гипертензия, гиперкапния, гипоксемия, анемия и др.)
Классификация ЧМТ основывается на ее биомеханике, виде, типе, характере, форме, тяжести повреждений, клинической фазе, периоде лечения, а также исходе травмы.
По биомеханике различают следующие виды ЧМТ:
- ударно-противоударная (ударная волна распространяется от места полученного удара и проходит через мозг к противоположной стороне с быстрыми перепадами давления);
- ускорения-замедления (перемещение и ротация больших полушарий по отношению к более фиксированному стволу мозга);
- сочетанная (одновременное воздействие обоих механизмов).
По виду повреждения:
- очаговые (характеризуются локальными макроструктурными повреждениями мозгового вещества за исключением участков разрушений, мелко- и крупноочаговых кровоизлияний в области удара, противоудара и ударной волны);
- диффузные (натяжение и распространение первичными и вторичными разрывами аксонов в семиовальном центре, мозолистом теле, подкорковых образованиях, стволе мозга);
- сочетанные (сочетание очаговых и диффузных повреждений головного мозга).
По своему типу ЧМТ классифицируются на:
- закрытую — повреждения, не нарушившие целостность кожных покровов головы; переломы костей свода черепа без повреждения прилежащих мягких тканей или перелом основания черепа с развившейся ликвореей и кровотечением (из уха или носа);
- открытую непроникающую ЧМТ — без повреждения твердой мозговой оболочки и открытую проникающую ЧМТ — с повреждением твердой мозговой оболочки.
Кроме этого выделяют изолированную (отсутствие каких-либо внечерепных повреждений), сочетанную (внечерепные повреждения в результате механической энергии) и комбинированную (одновременное воздействие различных энергий: механической и термической/лучевой/химической) черепно-мозговую травму.
По тяжести ЧМТ делят на 3 степени: легкую, средней тяжести и тяжелую. При соотнесении этой рубрикации со шкалой комы Глазго легкую черепно-мозговую травм оценивают в 13-15, среднетяжелую - в 9-12, тяжелую - в 8 баллов и менее. Легкая черепно-мозговая травма соответствует сотрясению и ушибу мозга легкой степени, среднетяжелая — ушибу мозга средней степени, тяжелая — ушибу мозга тяжелой степени, диффузному аксональному повреждению и острому сдавлению мозга.
Течение ЧМТ разделяется на 3 базисных периода: острый, промежуточный и отдаленный. Временная протяженность периодов течения черепно-мозговой травмы варьирует в зависимости от клинической формы ЧМТ: острый - 2-10 недель, промежуточный - 2-6 месяцев, отдаленный при клиническом выздоровлении - до 2 лет.
Симптомы
Угнетение сознания (до уровня сопора) при сотрясении мозга может продолжаться от нескольких секунд до нескольких минут, но может и отсутствовать вовсе. На непродолжительный период времени развивается ретроградная, конградная и антероградная амнезия. Непосредственно после черепно-мозговой травмы возникает однократная рвота, дыхание учащается, но вскоре приходит в норму. Также приходит в норму и артериальное давление, за исключением тех случаев, когда анамнез отягощен гипертензией. Температура тела при сотрясении мозга сохраняется в норме.
Когда пострадавший приходит в сознание, возникают жалобы на головокружение, головную боль, общую слабость, появление холодного пота, приливы крови к лицу, шум в ушах. Неврологический статус на данной стадии характеризуется мягкой асимметрией кожных и сухожильных рефлексов, мелким горизонтальным нистагмом в крайних отведениях глаз, легкими менингиальными симптомами, которые исчезают в течение первой недели. При сотрясении головного мозга в результате черепно-мозговой травмы через 1,5 - 2 недели отмечается улучшение общего состояния пациента. Возможно сохранение некоторых астенических явлений.
Диагноз
Распознавание сотрясения головного мозга — непростая задача для невролога или травматолога, так как основными критериями его диагностирования являются составляющие субъективной симптоматики в отсутствие каких-либо объективных данных. Необходимо ознакомиться с обстоятельствами травмы, используя для этого информацию, имеющуюся у свидетелей происшедшего. Большое значение имеет обследование у отоневролога, с помощью которого определяют наличие симптомов раздражения вестибулярного анализатора в отсутствие признаков выпадения.
По причине мягкой семиотики сотрясения головного мозга и возможности возникновения подобной картины в результате одной из многих дотравматических патологий, особое значение в диагностике придается динамике клинических симптомов. Обоснованием диагноза «сотрясение мозга» является исчезновение таких симптомов через 3-6 суток после получения черепно-мозговой травмы. При сотрясении мозга отсутствуют переломы костей черепа. Состав ликвора и его давление сохраняются в норме. На КТ головного мозга не определяются внутричерепные пространства.
Лечение
Если пострадавший с черепно-мозговой травмой пришел в себя, в первую очередь ему необходимо придать удобное горизонтальное положение, голова должна быть чуть приподнята. Пострадавшему с черепно-мозговой травмой, находящемуся в бессознательном состоянии, необходимо придать т. н. «спасительное» положение — уложить его на правый бок, лицо должно быть повернуто к земле, левые руку и ногу согнуть под прямым углом в локтевом и коленном суставах (если исключены переломы позвоночника и конечностей). Такое положение способствует свободному прохождению воздуха в легкие, предотвращая западение языка, попадание рвотных масс, слюны и крови в дыхательные пути. На кровоточащие раны на голове, если таковые имеются, наложить асептическую повязку.
Всех пострадавших с черепно-мозговой травмой в обязательном порядке транспортируют в стационар, где после подтверждения диагноза устанавливают им постельным режим на срок, который зависит от клинических особенностей течения заболевания. Отсутствие признаков очаговых поражений головного мозга на КТ и МРТ головного мозга, а также состояние пациента, позволяющее воздержаться от активного медикаментозного лечения, позволяют решить вопрос в пользу выписки пациента на амбулаторное лечение.
При сотрясении головного мозга не применяют чрезмерно активного медикаментозного лечения. Его основные цели — нормализация функционального состояние головного мозга, купирование головной боли, нормализация сна. Для этого используют анальгетики, седативные средства (как правило, таблетированных форм).
Для ушиба мозга легкой степени характерна утрата сознания после травмы до нескольких десятков минут. После восстановления сознания появляются жалобы на головную боль, головокружение, тошноту. Отмечают ретроградную, конградную, антероградную амнезию. Возможна рвота, иногда с повторами. Жизненно важные функции, как правило, сохраняются. Наблюдается умеренная тахикардия или брадикардия, иногда повышение артериального давления. Температура тела и дыхание без существенных отклонений. Мягко выраженные неврологические симптомы регрессируют через 2-3 недели.
Утрата сознания при ушибе мозга средней степени может длиться от 10-30 минут до 5-7 часов. Сильно выражена ретроградная, конградная и антероградная амнезия. Возможна многократная рвота и сильная головная боль. Нарушены некоторые жизненно важные функции. Определяется брадикардия или тахикардия, повышение АД, тахипноэ без нарушения дыхания, повышение температуры тела до субфебрильной. Возможно проявление оболочечных признаков, а также стволовых симптомов: двусторонние пирамидные признаки, нистагм, диссоциация менингеальных симптомов по оси тела. Выраженные очаговые признаки: глазодвигательные и зрачковые нарушения, парезы конечностей, расстройства речи и чувствительности. Они регрессируют через 4-5 недель.
Ушиб мозга тяжелой степени сопровождается потерей сознания от нескольких часов до 1-2 недель. Нередко он сочетается с переломами костей основания и свода черепа, обильным субарахноидальным кровоизлиянием. Отмечаются расстройства жизненно важных функций: нарушение дыхательного ритма, резко повышенное (иногда пониженное) давление, тахи- или брадиаритмия. Возможна блокировка проходимости дыхательных путей, интенсивная гипертермия.
Очаговые симптомы поражения полушарий зачастую маскируются за выходящей на первый план стволовой симптоматикой (нистагм, парез взора, дисфагия, птоз, мидриаз, децеребрационная ригидность, изменение сухожильных рефлексов, появление патологических стопных рефлексов). Могут определяться симптомы орального автоматизма, парезы, фокальные или генерализованные эпиприступы. Восстановление утраченных функций идет тяжело. В большинстве случаев сохраняются грубые остаточные двигательные нарушения и расстройства психической сферы.
Методом выбора при диагностике ушиба головного мозга является КТ головного мозга. На КТ определяют ограниченную зону пониженной плотности, возможны переломы костей свода черепа, субарахноидальное кровоизлияние. При ушибе мозга средней степени тяжести на КТ или спиральной КТ в большинстве случаев выявляют очаговые изменения (некомпактно расположенные зоны пониженной плотности с небольшими участками повышенной плотности).
При ушибе тяжелой степени на КТ определяются зоны неоднородного повышения плотности (чередование участков повышенной и пониженной плотности). Перифокальный отек головного мозга сильно выражен. Формируется гиподенсивная дорожка в область ближайшего отдела бокового желудочка. Через нее происходит сброс жидкости с продуктами распада крови и мозговой ткани.
Диффузное аксональное повреждение головного мозга
Для диффузного аксонального повреждения головного мозга типично длительное коматозное состояние после черепно-мозговой травмы, а также ярко выраженные стволовые симптомы. Коме сопутствует симметричная либо асимметричная децеребрация или декортикация как спонтанными, так и легко провоцируемыми раздражениями (например, болевыми). Изменения мышечного тонуса весьма вариабельны (горметония или диффузная гипотония). Типично проявление пирамидно-экстрапирамидных парезов конечностей, в том числе асимметричные тетрапарезы.
Кроме грубых нарушений ритма и частоты дыхания проявляются и вегетативные расстройства: повышение температуры тела и артериального давления, гипергидроз и др. Характерной особенностью клинического течения диффузного аксонального повреждения мозга является трансформация состояния пациента из продолжительной комы в транзиторное вегетативное состояние. О наступлении такого состояния свидетельствует спонтанное открывание глаз (при этом отсутствуют признаки слежения и фиксации взора).
КТ-картина диффузного аксонального поражения мозга характеризуется увеличением объема мозга, в результате которого под сдавлением находятся боковые и III желудочки, субарахноидальные конвекситальные пространства, а также цистерны основания мозга. Нередко выявляют наличие мелкоочаговых геморрагий в белом веществе полушарий мозга, мозолистом теле, подкорковых и стволовых структурах.
Сдавление головного мозга
Сдавление головного мозга развивается более чем в 55% случаев черепно-мозговой травмы. Чаще всего причиной сдавления головного мозга становится внутричерепная гематома (внутримозговая, эпи- или субдуральная). Опасность для жизни пострадавшего представляют стремительно нарастающие очаговые, стволовые и общемозговые симптомы. Наличие и продолжительность т. н. «светлого промежутка» — развернутого или стертого — зависит от степени тяжести состояния пострадавшего.
На КТ определяют двояковыпуклую, реже плоско-выпуклую ограниченною зону повышенной плотности, которая примыкает к своду черепа и локализируется в пределах одной или двух долей. Однако, если источников кровотечения несколько, зона повышенной плотности может быть значительного размера и иметь серповидной форму.
При поступлении в реанимационное отделение пациента с черепно-мозговой травмой необходимо провести следующие мероприятия:
- Осмотр тела пострадавшего, во время которого обнаруживают либо исключают ссадины, кровоподтеки, деформации суставов, изменения формы живота и грудной клетки, крово- и/или ликворотечение из ушей и носа, кровотечение из прямой кишки и/или уретры, специфический запах изо рта.
- Всестороннее рентгеновское исследование: череп в 2-х проекциях, шейный, грудной и поясничный отдел позвоночника, грудная клетка, кости таза, верхних и нижних конечностей.
- УЗИ грудной клетки, УЗИ брюшной полости и забрюшинного пространства.
- Лабораторные исследования: общий клинический анализ крови и мочи, биохимический анализ крови (креатинин, мочевина, билирубин и т. д.), сахар крови, электролиты. Данные лабораторные исследования необходимо проводить и в дальнейшем, ежедневно.
- ЭКГ (три стандартных и шесть грудных отведений).
- Исследование мочи и крови на содержание алкоголя. В случае необходимости проводят консультацию токсиколога.
- Консультации нейрохирурга, хирурга, травматолога.
Обязательным методом обследования пострадавших с черепно-мозговой травмой является компьютерная томография. Относительными противопоказаниями к ее проведению могут служить геморрагический или травматический шок, а также нестабильная гемодинамика. С помощью КТ определяют патологический очаг и его расположение, количество и объем гипер- и гиподенсивных зон, положение и степень смещения срединных структур головного мозга, состояние и степень повреждения головного мозга и черепа.
При подозрении на менингит показано проведение люмбальной пункции и динамического исследования ликвора, которое позволяет контролировать изменения воспалительного характера его составе.
Неврологический осмотр пациента с черепно-мозговой травмой следует проводить каждые 4 часа. Для определения степени нарушения сознания используют шкалу комы Глазго (состояние речи, реакция на боль и способность открывать/закрывать глаза). Кроме того, определяют уровень очаговых, глазодвигательных, зрачковых и бульбарных расстройств.
Лечение черепно-мозговой травмы
Консервативная терапия
Пострадавшему с нарушением сознания 8 баллов и менее по шкале Глазго показана интубация трахеи, благодаря которой поддерживается нормальная оксигенация. Угнетение сознания до уровня сопора или комы — показание к проведению вспомогательной или контролируемой ИВЛ (не менее 50% кислорода). С ее помощью поддерживается оптимальная церебральная оксигенация.
Пациенты с тяжелой черепно-мозговой травмой (выявленные на КТ гематомы, отек мозга и т. д.) нуждаются в мониторинге внутричерепного давления, которое необходимо поддерживать на уровне ниже 20 мм рт.ст. Для этого назначают маннитол, гипервентиляцию, иногда — барбитураты.
Для профилактики септических осложнений применяют эскалационную или деэскалационную антибактериальную терапию. Для лечения посттравматических менингитов используют современные противомикробные препараты, разрешенные для эндолюмбального введения (ванкомицин).
Питание пациентов начинают не позже 3 трех суток после ЧМТ. Его объем увеличивают постепенно и в конце первой недели, прошедшей со дня получения черепно-мозговой травмы, он должен обеспечивать 100% калорическую потребность пациента. Способ питания может быть энтеральным или парентеральным. Для купирования эпилептических приступов назначают противосудорожные препараты с минимальным титрованием дозы (леветирацетам, вальпроаты).
Хирургическое лечение
Показанием к операции служит эпидуральная гематома объемом свыше 30 см³. Доказано, что метод, обеспечивающий максимально полную эвакуацию гематомы — транскраниальное удаление. Острая субдуральная гематома толщиной свыше 10 мм также подлежит хирургическому лечению. Пациентам в коме удаляют острую субдуральную гематому с помощью краниотомии, сохраняя или удаляя костный лоскут. Эпидуральная гематома объемом более 25 см³ также подлежит обязательному хирургическому лечению.
Прогноз
Сотрясение головного мозга — преимущественно обратимая клиническая форма черепно-мозговой травмы. Поэтому более чем в 90% случаев сотрясения головного мозга исходом заболевания становится выздоровление пострадавшего с полным восстановлением трудоспособности. У части пациентов по прошествии острого периода сотрясения головного мозга отмечают те или иные проявления посткоммоционного синдрома: нарушения когнитивных функций, настроения, физического благополучия и поведения. Через 5-12 месяцев после черепно-мозговой травмы эти симптомы исчезают или существенно сглаживаются.
Прогностическую оценку при тяжелой черепно-мозговой травме проводят при помощи шкалы исходов Глазго. Уменьшение общего кол-ва баллов по шкале Глазго повышает вероятность неблагоприятного исхода заболевания. Анализируя прогностическую значимость возрастного фактора, можно сделать вывод о его существенном влиянии как на инвалидизацию, так и на летальность. Сочетание гипоксии и артериальной гипертензии является неблагоприятным фактором прогноза.
Читайте также:
- Влияние минералкортикоидов на желудок. Желудочные эффекты дезоксикортикостерона
- Рентгенограмма, КТ, МРТ, УЗИ при внутримышечной миксоме
- Чего стоит опасаться в макияже блондинкам? Рекомендации
- Диагностика эхинококкоза глаз. Анализы
- Фиксация центральной окклюзии по Сидоренко. Анатомическая постановка искусственных зубов.
