Желточно-кишечный проток эмбриона. Желточный мешок эмбриона человека
Добавил пользователь Евгений Кузнецов Обновлено: 21.01.2026
По данным публикации в журнале Ультразвука в медицине(Journal of Ultrasound in Medicine) за январь 2012 - Sonographic Evaluation of the Yolk Sac / Сонографическая оценка желточного мешка - внешняя ссылка
Вторичный желточный мешок является первой экстраэмбриональной структурой, которая становится сонографически видимой в пределах гестационного мешка(*плодного яйца). Во время эмбрионального развития желточный мешок является основным путем обмена между эмбрионом и матерью. Желточный мешок также обеспечивает пищевую, иммунологическую, метаболическую, эндокринную и кроветворную функции до тех пор, пока не будет установлена плацентарная циркуляция. Таким образом, желточный мешок имеет решающее значение в ранней эмбриональной жизни.
Желточный мешок является одной из наиболее важных концептуальных структур, оцениваемых сонографически в первом триместре. В настоящее время наиболее важным преимуществом сонографической оценки желточного мешка является подтверждение внутриутробной беременности. Была выдвинута гипотеза, что сонографические характеристики, связанные с формой, размером и внутренней структурой желточного мешка, могут быть связаны с гестационным исходом.
Эта публикация направлена на информирование врачей путем обобщения нормальных и аномальных сонографических данных желточного мешка в течение первого триместра беременности.
В исследование вошли беременные женщины, которые прошли УЗИ в первом триместре, в период с 5-й по 13-ю недели беременности. Все данные УЗИ были рассмотрены двумя радиологами, имеющими опыт в акушерской сонографии. УЗИ проводились на аппарате LOGIQ 9 с помощью многочастотного трансвагинального датчика с частотой от 5 до 8 МГц (GE Healthcare, Milwaukee, WI). Гестационный возраст в неделях определялся по КТР или диаметру плодного яйца.
На четвертой неделе эмбрионального развития стенка желточного мешка состоит из 3 тонких клеточных слоев: экто-, мезо- и эндодермы.
Начиная с пятой недели беременности, в стенке желточного мешка четко выделяются две части. Мезодермальная часть представлена кровеносными сосудами и мезенхимальной тканью, тогда как эндодермальная состоит из эндодермального эпителия и эндодермальных везикул или канальцев.
После седьмой недели эмбрионального развития в желточном мешке начинают появляться признаки регрессии.
Желточный мешок может быть легко обнаружен на ТВУЗИ, когда средний диаметр гестационного мешка составляет от 5 до 6 мм. Общепринято, что желточный мешок должен наблюдаться, когда размер гестационного мешка более 8 мм. Желточный мешок соединен с эмбрионом желточным протоком. В норме желточный мешок выглядит как округлая структура с анэхогенным центром, окруженным однородной четко выраженной эхогенной стенкой(*проще говоря, как киста). Обычно внутренний диаметр желточного мешка составляет от 3 до 5 мм. Фактически, размер желточного мешка постепенно увеличивается с начала 5-й гестационной недели до конца 10-й гестационной недели. После этого размер желточного мешка постепенно уменьшается.
Количество желточных мешочков, присутствующих в гестационном мешочке, может помочь в определении амниональности беременности. Как правило, количество желточных и амниотических мешков совпадает, если эмбрионы живы. Таким образом, в монохориальной моноамниотической беременности будет 2 эмбриона, 1 хорионический мешок, 1 амниотический мешок и 1 желточный мешок.
При отсутствии на этом сроке беременности желточного мешка обычно обнаруживают мертвый эмбрион. Редко можно наблюдать желточный мешок и пустой амниотический мешок без эмбриона. Последствием эмбриональной смерти, вероятно, является реабсорбция очень раннего эмбриона, амниона и желточного мешка. Однако эти утверждения в значительной степени не подтверждены, потому что, насколько это известно, нет опубликованных исследований, которые сообщали бы точный порядок процесса реабсорбции.
В серии наблюдений Levi et al. 1996г. было оценено 4 монохориальных моноамниотических беременностей с одним желточным мешком. Одна из этих беременностей была соединенной двойней, тогда как другая беременность включала внематочную двойню. Обе эти беременности были прерваны. Остальные 2 беременности родились нормально на 34-й неделе беременности. Из 4 случаев у 2 был желточный мешок больше, чем обычно (> 5,6 мм), тогда как желточный мешок был нормальным в других беременностях. Эмбриональная сердечная деятельность отмечалась во всех исследованных беременностях.
Аномальный желточный мешок:
- отсутствие желточного мешка
Желточный мешок выполняет важные функции для эмбрионального развития в процессе органогенеза. При трансвагинальной сонографии в обозначенные сроки беременности отсутствие желточного мешка в присутствии эмбриона всегда ненормально и в целом связано с последующей эмбриональной смертью.
- большой желточный мешок
Несмотря на отсутствие четко определенного консенсуса, большинство авторов принимают в качестве верхнего предела размера нормального желточного мешка при беременности с гестационным возрастом от 5 до 10 недель либо 5, либо 6 мм. Недавнее исследование показало, что диаметр желточного мешка более 5 мм связан с повышенным риском самопроизвольного аборта. Однако некоторые авторы упоминали о существовании очень большого желточного мешка (например, 8,1 мм) при нормальной живой беременности. В целом было высказано предположение, что аномально большой желточный мешок может указывать на плохой акушерский исход; поэтому для этих беременностей рекомендуется тщательное наблюдение с помощью УЗИ.
- маленький желточный мешок
В литературе представлены скудные сведения о клинической значимости маленьких желточных мешков. Было заявлено, что очень маленький желточный мешок может быть нормальной находкой в ранние периоды нормального эмбрионального развития. С другой стороны, раннее опубликованное исследование, с определенными ограничениями, предполагало, что диаметр желточного мешка 2 мм или менее может быть связан с неблагоприятным исходом при беременности с гестационным возрастом от 8 до 12 недель.
Хорошо известно, что размер желточного мешка начинает уменьшаться в течение последних недель первого триместра. Этот процесс является причиной того, что при оценке размера желточного мешка следует учитывать гестационный возраст. Тем не менее, было бы разумно выполнить повторные УЗИ в течение короткого периода времени, если был выявлен меньший, чем ожидалось, желточный мешок.
- кальцинированный желточный мешок
- гиперэхогенный желточный мешок
Эхогенность желточного мешка может повышаться и по другим причинам, отличным от кальцинирования(*на представленной в публикации эхограмме, " гиперэхогенный" желточный мешок, в отличие от рассмотренных ранее также гиперэхогенных кальцинированных ЖМ выглядит менее эхогенно и имеет гипоэхогенный компонент на месте анэхогенного). Гармоническая визуализация тканей может быть более полезной для подтверждения этого. Насколько известно, только в одном исследовании сообщалось, что эхогенный желточный мешок может быть связан с гибелью плода или аномалиями. По опыту авторов публикации, эхогенный желточный мешок не связан с аномалиями или плохим исходом беременности. В соответствующей литературе также было подчеркнуто, что эхогенный желточный мешок не предсказывает эмбриональную аномалию или смерть. На самом деле, ожидается, что крупномасштабные проспективные исследования прояснят прогностическую значимость эхогенных желточных мешков.
- неровная форма желточного мешка
Желточные мешки со сморщенными краями/ вдавленными стенками обычно идентифицируются как имеющие неправильную форму. Клиническое значение аномальной формы желточного мешка является спорным и, таким образом, все еще обсуждается(*однако на представленных эхограммах " гиперэхогенного" и кальцинированного ЖМ можно наблюдать эти характеристики). Существует ряд клинических исследований, в которых было заявлено, что персистенция неправильной формы желточного мешка может использоваться для указания на неблагоприятный гестационный исход. Тем не менее, недавно опубликованное исследование предполагает, что неправильная форма желточного мешка не связана с повышенным риском самопроизвольного аборта.
- персистирование желточного мешка
После 10-11й недели беременности желточный мешок начинает быстро сокращаться и в конечном итоге исчезает. Однако иногда желточный мешок может сохраняться между амнионом и хорионом даже после 12 недель беременности. Такой персистирующий желточный мешок обычно стоит близко к месту, где пуповина входит в плаценту. Клиническое значение персистирующего желточного мешка неизвестно.
Оценка желточного мешка должна быть частью полного сонографического исследования в первом триместре. Выявленные аномалии желточного мешка могут предсказать последующую эмбриональную смерть. Поэтому точное распознавание нормальных и аномальных сонографических данных, связанных с желточным мешком, может быть использовано для прогнозирования течения беременности.
Желточный проток
канал в желточном стебельке, выстланный эктодермальным эпителием, соединяющий полость средней кишки зародыша с желточной полостью; Ж. п. у человека, не подвергшийся обратному развитию, называется дивертикулом подвздошной кишки (меккелевым дивертикулом).
1. Малая медицинская энциклопедия. — М.: Медицинская энциклопедия. 1991—96 гг. 2. Первая медицинская помощь. — М.: Большая Российская Энциклопедия. 1994 г. 3. Энциклопедический словарь медицинских терминов. — М.: Советская энциклопедия. — 1982—1984 гг .
Смотреть что такое "Желточный проток" в других словарях:
желточный проток — (ductus vitellinus, LNE; син.: желточно кишечный проток, пупочно кишечный проток) канал в желточном стебельке, выстланный энтодермальным эпителием, соединяющий полость средней кишки зародыша с желточной полостью; Ж. п. у человека, не подвергшийся … Большой медицинский словарь
Желточный проток — (Ductus vitellointestinalis) канал, соединяющий желточный мешок (см.) с полостью кишечника зародыша … Энциклопедический словарь Ф.А. Брокгауза и И.А. Ефрона
Желточный мешок или пузырь — (Vesicula umbilicalis) мешкообразный придаток на брюшной стороне зародыша большей части позвоночных, заключающий в себе запас питательного желтка и соединенный с полостью кишечника посредством желточного протока. У тех низших позвоночных, у… … Энциклопедический словарь Ф.А. Брокгауза и И.А. Ефрона
желточный стебелек — (caulis vitellinus,. LNE) трубчатое образование между средней кишкой зародыша и желточным мешком; внутри Ж. с. проходит желточный проток … Большой медицинский словарь
желточный стебелёк — ЭМБРИОЛОГИЯ ЖИВОТНЫХ ЖЕЛТОЧНЫЙ СТЕБЕЛЁК - проток между кишкой и желточным мешком … Общая эмбриология: Терминологический словарь
желточно-кишечный проток — см. Желточный проток … Большой медицинский словарь
пупочно-кишечный проток — (ductus omphaloentericus) см. Желточный проток … Большой медицинский словарь
dried yolk — желточный порошок yolk sac желточный мешок yolk duct желточный проток yolk stalk желточный проток … English-Russian travelling dictionary
Пуповина — Новорождённый после кесарева сечения. Пуповина не перерезана Пуповина, или пупочный канатик (лат. funiculus umbilicalis) особый орган, соединяющий эмб … Википедия
Общий взгляд на жизнь рыб — Рыбы образуют тот класс позвоночных животных, представители которого, все без исключения, дышат жабрами. Этими немногими словами класс рыб очерчивается гораздо резче и определеннее, чем обстоятельным и точным описанием строения их… … Жизнь животных
Зародыш — I Зародыш (embryo; синоним эмбрион) организм на ранних стадиях развития, образовавшийся из оплодотворенной яйцеклетки. В акушерстве и гинекологии З. называют организм в течение первых 8 нед. развития. Внутриутробное развитие с 9 й по 38 39 неделю … Медицинская энциклопедия
Фото УЗИ при беременности, фото плода при УЗИ во время беременности

Фото УЗИ плода при беременности 4-5 недель
Самый ранний срок, на котором можно разглядеть с помощью трансвагинального УЗИ плодное яйцо в полости матки - это 30-й день гестации, или 4-5 акушерских недель беременности. Уровень ХГЧ крови при этом должен быть не менее 1000 мЕд/мл. В это время ещё не видно ни эмбриона, ни желточного мешка. При визуализации двух плодных яиц можно утверждать, что это дихориальная многоплодная беременность. При визуализации одного плодного яйца можно утверждать, что это монохориальная беременность. Но на этом сроке мы ещё не можем сказать сколько эмбрионов находится в каждом плодном яйце. Кроме того, во время однократного УЗИ мы ещё не можем сказать, прогрессирует ли данная беременность, так как у эмбриона ещё нет сердцебиения. Средний внутренний диаметр (СВД) плодного яйца на этом сроке 2-10 мм.
В заключении будет указано: Маточная беременность малого срока.
5-6 недель

Фото УЗИ плода при беременности 5-6 недель
На этом сроке внутри плодного яйца появляется белое колечко - это желточный мешок.
В стенке желточного мешка образуются очаги эритропоэза, которые формируют капиллярную сеть, поставляя эритробласты (ядерные эритроциты) в первичную кровеносную систему плода. Желточный мешок является источником первичных половых клеток, которые мигрируют из его стенки к закладкам гонад эмбриона. До 6-й недели после оплодотворения желточный мешок, играя роль «первичной печени», продуцирует многие важные для эмбриона белки — альфа-фетопротеин, трансферрины, альфа2-микроглобулин. К концу I триместра беременности этот провизорный орган перестает функционировать и редуцируется.
Нормальные размеры желточного мешка 2-6 мм. Если в плодном яйце визуализируются два желточных мешка, значит это монохориальная многоплодная беременность. Но если внутри плодного яйца виден один желточный мешок, а эмбрион ещё отчётливо не визуализируется, то это всё ещё может оказаться монохориальная моноамниотическая двойня.
Эмбрион в начале 5-й недели практически неразличим на стенке желточного мешка, но уже к концу недели копчико-теменной размер (КТР) эмбриона достигает 3 мм.
СВД плодного яйца 11-16 мм.
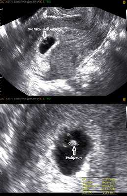
6 - 7 недель

Фото УЗИ плода при беременности 6-7 недель
Внутри плодного яйца мы видим "колечко с драгоценным камнем" :) - это желточный мешок и уже хорошо различимый эмбрион, расположенные рядом. Сердце эмбриона начинает биться в начале 6-й акушерской недели беременности. Именно наличие пульсации сердца является достоверным ультразвуковым признаком прогрессирующей беременности. При КТР ≥6 мм и отсутствии пульсации сердца делается заключение об остановке развития данного эмбриона. Нормальная частота сердечных сокращений (ЧСС) эмбриона в самом начале 6-й недели 70-90 ударов в минуту, но уже к концу недели становится более 100 уд. в мин. На ранних сроках беременности большее значение имеет не ЧСС, а как таковое наличие или отсутствие сердечных сокращений. Иногда, при неразвивающейся беременности можно увидеть отражение пульсации сосудов матери внутри эмбриона и принять их за сердцебиение ребёнка. Но в этом случае частота пульсации будет идентична ЧСС матери.
Наличие одного желточного мешка, одного эмбриона и одного пульсирующего сердца в подавляющем большинстве случаев говорит об одноплодной беременности. Но в очень редких случаях это могут в последствии оказаться неразделившиеся близнецы.
СВД плодного яйца 13-23 мм. КТР эмбриона 4-9 мм.
7 - 8 недель

Фото УЗИ плода при беременности 7-8 недель
Расстояние между эмбрионом и желточным мешком постепенно увеличивается и становится хорошо различим желточный проток (ductus vitellinus), соединяющий между собой желточный мешок и кишечник эмбриона. Так же, как и желточный мешок, проток на более поздних сроках запустевает и рассасывается, но если это не происходит по каким-то причинам, то у человека формируется слепое выпячивание стенки подвздошной кишки - дивертикул Меккеля.
До этого срока хорион имеет кольцевидную форму, окружает плодное яйцо со всех сторон и пока ещё нельзя сказать к какой стенке матки прикрепился эмбрион.
В случае монохориальной двойни ещё не видно амниотических оболочек и при наличии двух желточных мешков всё ещё нельзя сказать является ли данная беременность моно или диамниотической. Если плодное яйцо содержит два желточных мешка и два плода с наличием сердечной активности, в последующем количество амниотических полостей может быть больше, чем количество плацент (монохориальная диамниотическая) или одинаковым (монохориальная моноамниотическая). В этом случае точно определить амниональность возможно после 8 недель, когда амниотические оболочки начинают четко визуализироваться.
ЧСС эмбриона 130-160 ударов в минуту.
СВД плодного яйца 24-30 мм, КТР эмбриона 9-15 мм.
8 - 9 недель
Во время УЗИ у эмбриона уже можно отчётливо различить отдельные сегменты - голову, туловище, конечности. Появляется первая двигательная активность. Становятся хорошо видны амниотические оболочки и уже можно говорить о количестве амниотических пузырей при многоплодной беременности. Происходит дифференцировка хориона на гладкий, обращённый в сторону полости матки, и ветвистый, из которого впоследствии будет формироваться плацента, так что уже можно говорить о преимущественном расположении хориона по передней или задней стенке матки.
ЧСС эмбриона увеличивается до 160-180 ударов в минуту.
СВД плодного яйца 31-37 мм. КТР эмбриона 16-22 мм.
9 - 10 недель

Фото УЗИ плода при беременности 9-10 недель
Продолжается развитие эмбриона. Уже отчётливо видны ручки ножки, а на хорошем аппарате порой удаётся разглядеть даже пальчики на руках и ногах. Частота сердцебиения на этом сроке достигает 170-190 ударов в минуту. Шевеления эмбриона становятся активными, и есть работы, показывающие, что чем активнее ребёнок, тем длиннее будет пуповина (хотя тут может быть и обратная зависимость).
Желточный мешок

Желточный мешок — производное эмбриобласта — формируется из эндобластического пузырька в период плацентации на 15—16-й день внутриутробного развития.
Для человека желточный мешок является провизорным органом, который играет немаловажную роль в раннем развитии плодного яйца. На ранних стадиях беременности (до 6 нед) желточный мешок больше амниотической полости вместе с зародышевым диском. С 18—19-го дня после оплодотворения в стенке желточного мешка образуются очаги эритропоэза, которые формируют капиллярную сеть, поставляя эритробласты (ядерные эритроциты) в первичную кровеносную систему плода.
С 28—29-го дня после оплодотворения желточный мешок является источником первичных половых клеток, которые мигрируют из его стенки к закладкам гонад эмбриона. До 6-й нед после оплодотворения желточный мешок, играя роль «первичной печени», продуцирует многие важные для эмбриона белки — альфа-фетопротеин, трансферрины, альфа2-микроглобулин.
К концу I триместра внутриутробного развития желточный мешок перестает функционировать, редуцируется и остается в виде небольшого кистозного образования у основания пуповины.
Ткани желточного мешка выполняют разнообразные функции (гемопоэтическая, экскреторная, иммунорегуляторная, обменная, синтетическая) до того момента, когда начнут функционировать соответствующие органы плода. Если происходит преждевременная редукция желточного мешка, когда органы плода (печень, селезенка, ретикуло-эндотелиальная система) еще недостаточно сформированы, то исход беременности будет неблагоприятным (самопроизвольный выкидыш, неразвивающаяся беременность).
- Найти и оформить в виде сносок ссылки на авторитетные источники, подтверждающие написанное.
Wikimedia Foundation . 2010 .
Полезное
Смотреть что такое "Желточный мешок" в других словарях:
ЖЕЛТОЧНЫЙ МЕШОК — в эмбриологии вырост среднего отдела кишечника у зародышей головоногих моллюсков, большинства позвоночных животных и человека. Заполнен желтком и выполняет функцию питания, дыхания и кроветворения … Большой Энциклопедический словарь
ЖЕЛТОЧНЫЙ МЕШОК — ЖЕЛТОЧНЫЙ МЕШОК, пленочное образование типа мешочка в ЯЙЦАХ большинства животных. Прикрепляется непосредственно к брюшной стороне или кишке развивающегося зародыша в яйцах птиц, рептилий и некоторых рыб. Содержит ЖЕЛТОК. Термин относится также к… … Научно-технический энциклопедический словарь
желточный мешок — Орган питания, дыхания и кроветворения у зародышей головоногих моллюсков, рыб, пресмыкающихся, птиц и млекопитающих; представляет собой вырост среднего отдела первичной кишки. [Арефьев В.А., Лисовенко Л.А. Англо русский толковый словарь… … Справочник технического переводчика
ЖЕЛТОЧНЫЙ МЕШОК — в первое время после выхода из икры личинка рыбы еще не принимает пищи, поэтому рост ее” а также расход энергии происходят за счет запаса питательных веществ, имеющихся в Ж. м. Величина Ж. м. у разных рыб различна, а поэтому различен и период, в… … Прудовое рыбоводство
желточный мешок — ЭМБРИОЛОГИЯ ЖИВОТНЫХ ЖЕЛТОЧНЫЙ МЕШОК, ЖЕЛТОЧНЫЙ ПУЗЫРЕК - провизорный орган яйцекладущих животных, птиц и млекопитающих, содержащий запас питательных веществ. У млекопитающих в составе эмбриобласта в виде пузырька, заполненного серозной жидкостью … Общая эмбриология: Терминологический словарь
желточный мешок — (эмбриологич.), вырост среднего отдела кишечника у зародышей головоногих моллюсков, большинства позвоночных животных и человека. Заполнен желтком и выполняет функцию питания, дыхания и кроветворения. * * * ЖЕЛТОЧНЫЙ МЕШОК ЖЕЛТОЧНЫЙ МЕШОК, в… … Энциклопедический словарь
желточный мешок — yolk sac желточный мешок. Oрган питания, дыхания и кроветворения у зародышей головоногих моллюсков, рыб, пресмыкающихся, птиц и млекопитающих; представляет собой вырост среднего отдела первичной кишки. (Источник: «Англо русский толковый словарь… … Молекулярная биология и генетика. Толковый словарь.
желточный мешок — (saccus vitellinus primitivus, LNE; син. желточный пузырь) провизорный орган у зародышей позвоночных, стенка которого образована энтодермой и висцеральной мезодермой; выполняет функцию первичного кроветворения, а также является местом первичной… … Большой медицинский словарь
Желточный мешок — орган питания и дыхания у зародышей головоногих моллюсков, хрящевых и костистых рыб, пресмыкающихся, птиц, млекопитающих и человека. Ж. м. возникает на ранних стадиях зародышевого развития (См. Зародышевое развитие) обычно путём… … Большая советская энциклопедия
Трехмерная ультразвуковая реконструкция в I триместре беременности

Эталон новых стандартов! Беспрецедентная четкость, разрешение, сверхбыстрая обработка данных, а также исчерпывающий набор современных ультразвуковых технологий для решения самых сложных задач диагностики.
Введение
Благодаря развитию и совершенствованию технологий, средств диагностики и визуализации, в последние годы возрос интерес специалистов репродуктологии, морфологов и клиницистов к ранним стадиям эмбрионального развития человека. Еще на Всемирном конгрессе по биоэтике (1996) обсуждалась необходимость всестороннего определения статуса эмбриона человека, проблема определения возраста, с которого эмбрион человека можно рассматривать как личность, обладающую правами и защищаемую законодательством, создания соответствующих международных правил для учреждений, работающих в области репродуктивных технологий. Для практикующего врача, как правило, наибольший интерес представляет возможность клинической оценки течения раннего гестационного периода и возможность прогнозирования осложнений беременности с целью своевременной коррекции и контроля состояния матери и плода.
Современная эхография дает возможность проследить за развитием плода с самых ранних этапов внутриутробного развития. Появление ультразвуковых аппаратов, позволяющих получить трехмерное изображение исследуемого объекта, в том числе и в режиме "реального времени" расширяет возможности ультразвуковой визуализации. Благодаря трехмерному УЗИ, на ранних сроках беременности можно более точно определить эмбриональный возраст, раньше выявить грубые пороки развития, с высокой степенью точности определять объем исследуемого объекта. Важнейшее условие благоприятного течения беременности и развития плода - становление маточно-плацентарного и плодово-плацентарного кровотока. Морфологические периоды развития плаценты достаточно хорошо изучены и описаны, а применение трехмерных технологий в сочетании с режимом энергетического допплера позволяет оценивать степень развития сосудистой сети органа.
В настоящее время появились единичные работы об использовании трехмерного исследования сосудов фетоплацентарного комплекса [19, 21]. Данных об исследовании кровотока в хорионе в первом триместре беременности в доступной литературе мы не обнаружили. Цель данной работы - демонстрация возможности трехмерного ультразвукового исследования эмбриона, плода и хориона при беременности от 3 до 12 недель.
Материалы и методы
Обследовано 50 здоровых беременных без патологии эмбриона при нормальном течении данной беременности и 110 пациенток с клиническими и ультразвуковыми признаками угрозы прерывания. Определение гестационного срока производилось по дате последней менструации.
До 14-го дня после оплодотворения ведущие эмбриологи мира рассматривают эмбрион человека как проэмбрион, считая, что до этого срока он сформирован клеточными слоями, представляющими собой зародышевые оболочки, материал, не участвующий в построении в дальнейшем собственно эмбриона [1, 2, 6, 12, 13]. На 14-15 день определена ось зародышевого диска, формируется первичная полоска, гензеновский узелок, происходит закладка хорды, т.е. это срок начала формирования элементов нервной системы эмбриона человека.
Визуализация эмбриона впервые возможна при трехмерном исследовании плодного яйца сроком не менее 3-4 недель, эмбриональные стадии имплантации визуализировать не удается. Дифференцировать зародыш на трехмерном УЗИ можно на стадии "первичной полоски", начиная с 9-й сомитной стадии [3], когда размер зародыша достигает 1,35 - 1,5 мм (4 недели гестации). На этом этапе можно рассмотреть амниотическую полость, зародыш в виде "рисового зернышка" и прикрепляющий стебелек. Эхографическая дифференциация головного и тазового конца, внутризародышевых структур еще невозможна (рис. 1).
Читайте также:
