Значение эхокардиографии. Практическая ценность эхокардиографии при инфаркте миокарда
Добавил пользователь Евгений Кузнецов Обновлено: 28.01.2026
Резюме. Эхокардиография является полезной методикой для стратификации риска и оценки прогноза после острого инфаркта миокарда. Показано, что для получения прогностической информации можно использовать множество традиционных эхокардиографических параметров, таких как объёмы и фракция выброса левого желудочка, индекс движения стенки, объём левого предсердия и наличие митральной регургитации. Разработка методов тканевой допплерографии и “speckle-tracking” привела к появлению новых прогностических параметров, таких как деформация, скорость деформации и диссинхрония левого желудочка. Методика контрастной эхокардиографии позволяет оценивать перфузию миокарда и целостность микрососудистого кровоснабжения, предоставляет ценную информацию о жизнеспособности миокарда, тесно связанной с прогнозом. Стресс-эхокардиография позволяет выявить ишемию и жизнеспособный миокард, допплерография коронарных артерий — оценить резерв коронарного кровотока, и, наконец, трёхмерная эхокардиография даёт оптимальную информацию об объёмах, функции и сферичности левого желудочка, которые также являются важными параметрами долгосрочного прогноза.
Российский кардиологический журнал 2018, 1 (153): 89-100
Ключевые слова: эхокардиография, митральная недостаточность, инфаркт миокарда, прогноз, диастолическая функция, систолическая дисфункция левого желудочка.
Авторы
ФГБОУ ВО Московский государственный медико-стоматологический университет им. А. И. Евдокимова Минздрава России, Москва, Россия.
Крикунов П. В.* — к. м.н., доцент кафедры внутренних болезней стоматологического факультета, Васюк Ю. А. — профессор, засл. врач РФ, зав. кафедрой клинической функциональной диагностики, Крикунова О. В. — ассистент кафедры клинической функциональной диагностики.
Эхокардиография и ИБС
Ишемическая болезнь сердца самая распространенная патология сердца. Эхокардиография играет все более важную роль в оценке ишемической болезни сердца. Техники исследования в покое и стресс-эхокардиографии используются в:
- Оценка степени ишемии или инфаркта миокарда (ИМ)
- Прогнозирование артерии, вызывающей ишемию
- Острый ИМ - функция ЛЖ, также ее оценка и после ИМ, ишемическая кардиомиопатия
- Инфаркт правого желудочка
- Осложнения ИМ - митральная регургитация, ДМЖП, пристеночный тромб, аневризма ЛЖ, псевдоаневризма, выпот в перикард, разрыв стенки миокарда
- Аномалии коронарных артерий (например, аневризма, аномальное происхождение по данным трансторакальной и чреспищеводной эхокардиографии)
- Боль в груди при нормальных коронарных артериях - пролапс митрального клапана, аортальный стеноз, гипертрофическая кардиомиопатия.
Оценка ишемии при эхокардиографии
- Ишемия приводит к немедленным изменениям, которые можно обнаружить с помощью эхокардиографии:
- Нарушения движения стенок (гипокинетические, акинетические, дискинетические)
- Нарушения утолщения стенок (уменьшенное или отсутствующее систолическое утолщение или систолическое истончение - этот признак более чувствительный и специфичный для ишемии)
- Нарушения общей функции ЛЖ (например, фракция выброса).

Указанные изменения можно обнаружить с помощью двумерной эхокардиографии, но M-режим также чрезвычайно хорош, поскольку его высокая частота дискретизации делает его очень чувствительным к движению стенок и аномалиям утолщения. Важно, чтобы курсор располагался под углом 90° к стенке. Есть ограниченные области миокарда ЛЖ, которые можно исследовать в М-режиме - наиболее полезно задняя стенка и МЖП. Изменения обратимы, если ишемия кратковременная, например в покое, прием антиангинальных препаратов, проведенная вовремя чрескожная транслюминальная коронарная ангиопластика, тромболизис или аортокоронарное шунтирование (АКШ). Если кровоснабжение миокарда прервано более чем на 1 час, происходят необратимые изменения, включающие инфаркт миокарда и рубцевание.
Прогнозирование вовлеченной артерии при проведении ЭхоКГ. Это делается путем разделения левого желудочка на сегменты. На этом основано стресс-эхокардиография.
Оценка инфаркта миокарда на ЭхоКГ
Эхокардиография может помочь в определении степени инфаркта ЛЖ, оценке поражения ПЖ и обнаружении осложнений. Изменения функции ЛЖ при остром инфаркте миокарда аналогичны изменениям, описанным при ишемии, но быстро становятся необратимыми. Обнаружение поражения правого желудочка важно для определения лечения и прогноза.
Осложнения инфаркта миокарда при использовании эхокардиографии
Многие осложнения острого инфаркта миокарда можно обнаружить с помощью ультразвукового исследования сердца.
- Острая сердечная недостаточность из-за обширного ИМ. Это приводит к отказу насосной функции сердца, что может привести к кардиогенному шоку, а эхокардиограмма показывает серьезное нарушение ЛЖ. Функция миокарда после ИМ указывает на прогноз у пациента. Миокард с рубцами выглядит как тонкий сегмент, который не утолщается во время систолы и имеет ненормальное движение. ЭхоКГ позволяет оценить степень ИМ, оценить систолическую и диастолическую функцию ЛЖ и посмотреть на остаточные осложнения .В следующих двух осложнениях (острая митральная недостаточность (МН) и дефект межжелудочковой перегородки) систолическая функция ЛЖ очень активна, в отличие от ситуации, описанной выше.
- Острая МН. Это может быть связано с дисфункцией или разрывом сосочковых мышц или разрывом хорды, что может быть определено с помощью 2-D эхокардиографии. Там может быть надрыв сосочковой мышцы или хорды, а струю митральной недостаточности можно увидеть на непрерывном волновом или цветном доплеровском картировании потока.
- Острый дефект межжелудочковой перегородки (ДМЖП). Эта патология часто происходит около верхушки сердца и чаще встречается при нижнем инфаркте левого и инфаркте правого желудочков. Нарушение непрерывности МЖП можно увидеть на 2-D эхокардиограмме в апикальной 4-камерной, парастернальной длинной оси и короткой оси. Цветное допплеровское картирование может точно показать дефект. Импульсно-волновой допплер, перемещенный вдоль правой стороны МЖП (парастернальная длинная ось или иногда четырехкамерная проекция), может показать турбулентную струю сброса.
- Пристеночный тромб часто определяется на двумерной ЭхоКГ. Обычно он располагается возле зоны инфаркта или аневризмы.
- Аневризма ЛЖ. Чаще всего наблюдается на верхушке или около нее. Чаще встречается при переднем ИМ, чем при нижнем, что лучше всего видно на 2-D эхокардиографии. Аневризмы могут различаться по размеру от маленького до очень большого, иногда бывают больше, чем сам ЛЖ.
- Псевдоаневризма (ложная аневризма). Это осложнение встречается редко. Она следует за разрывом свободной стенки ЛЖ и приводит к гемоперикарду (кровь в перикардиальном пространстве), тампонаде и обычно приводит к быстрому летальному исходу. Иногда гемоперикард закупоривает и закрывает отверстие в ЛЖ, и образуется псевдоаневризма. Двухмерное ЭхоКГ - хороший способ диагностировать это состояние, которое важно обнаружить, так как до разрыва требуется срочная хирургическая резекция. Эту патологию бывает трудно отличить от истинной аневризмы, но сообщающаяся шейка обычно уже, чем диаметр аневризмы, стенки тоньше и ее размер изменяется в сердечном цикле (увеличивается в систоле), и она чаще заполнена тромбом.
- Выпот в перикард, осложняющий ИМ, может быть обнаружен с помощью M-режима или 2-D эхокардиографии.

«Гибернация» и «оглушение» миокарда по данным эхокардиографии
Сердце критически зависит от кровоснабжения. Окклюзия коронарной артерии приводит к прекращению сокращения миокарда в течение 1 мин. Гибель клеток миокарда обычно наступает через 15 минут после ишемии.
Нарушение сократительной функции может сохраняться даже после восстановления кровоснабжения без ИМ. Этот эффект получил название оглушения миокарда (оглушение сердца). Это может вызвать обратимую систолическую или диастолическую дисфункцию. Хотя оглушенный миокард жизнеспособен, нормальная функция не может быть восстановлена в течение 2 недель. Рецидивирующие эпизоды ишемии могут привести к потере нормальной функции сердца, и термин «гибернация миокарда» (гибернация) применяется к аналогичному состоянию, но уже к хронической фазе.
Эхокардиографическая оценка анатомии коронарной артерии
В настоящее время эхокардиография еще не может дать очень точную оценку большинства частей коронарной анатомии. Истоки левой и правой коронарных артерий можно увидеть в некоторых исследованиях трансторакальной ЭхоКГ с использованием модифицированного парастернального обзора по короткой оси на уровне аортального клапана.
Аномалии более вероятно будут замечены во время чреспищеводной эхокардиографии, например аномальное отхождение коронарных артерий (например, отхождение от легочной артерии) или свищ коронарной артерии. Аневризма (например, синдром Кавасаки, приобретенное заболевание у детей с коронарными аневризмами, которые могут достигать нескольких сантиметров в диаметре).
Значение эхокардиографии при остром коронарном синдроме
В статье приводятся возможности и ограничения ультразвуковой диагностики у больных с острым коронарным синдромом. Основное внимание уделено возможностям эхокардиографической диагностики инфаркта миокарда и его осложнений, а также дифференциальной диагностике острого коронарного синдрома с неишемическими состояниями, вызывающими боль в грудной клетке и инфарктоподобные изменения электрокардиограммы. Приводятся данные о существенном снижении частоты развития ряда осложнений инфаркта миокарда у больных, которым выполнялась тромболитическая терапия или интервенционные процедуры реваскуляризации миокарда.
Значение методов визуализации при остром коронарном синдроме (ОКС) определяется вероятностью развития ишемической болезни сердца (ИБС). При высокой вероятности ИБС у больных с ОКС ведущее значение приобретает коронарография (КГ) не только как метод диагностики, но и как метод лечения больных с ОКС. У больных со средней и низкой вероятностью развития ИБС в случае появления болей в грудной клетке не всегда потребуется проведение КГ. У таких больных ведущими среди методов визуализации могут оказаться нагрузочные пробы для выявления ишемии миокарда, в частности, нагрузочная эхокардиография (ЭхоКГ), а также мультиспиральная компьютерная томография (МСКТ) для выявления коронарного кальция и оценки состояния коронарных артерий (КА).
ЭхоКГ представляет собой основной метод неинвазивной визуализации при ОКС по целому ряду причин. Это наиболее доступный и широко распространенный неинвазивный метод, который позволяет проводить диагностику быстро и непосредственно у постели больного без использования ионизирующих излучений, в связи с чем может быть использован неоднократно на всех стадиях инфаркта миокарда (ИМ). Поэтому в соответствии с рекомендациями Европейского общества кардиологов (2011 г.) ЭхоКГ должна стандартно использоваться у всех пациентов в отделениях кардиореанимации и интенсивной терапии [1].
Значение ЭхоКГ у больных с ОКС определяется двумя моментами. С одной стороны, ЭхоКГ позволяет проводить диагностику ИМ на основе выявления нарушений локальной сократимости (НЛС) миокарда желудочков. С другой стороны, ЭхоКГ позволяет идентифицировать неишемические состояния, вызывающие боль в грудной клетке и инфарктоподобные изменения на электрокардиограмме (ЭКГ). Это может наблюдаться у больных с гипертрофической кардиомиопатией (ГКМП), аортальным стенозом, тромбоэмболией легочной артерии (ТЭЛА), расслоением аорты, при перикардитах и некоторых других состояниях.
ГКМП свойственна клиническая триада, включающая стенокардию, нарушения ритма и синкопальные состояния. Другим важным обстоятельством может быть указание на наличие случаев внезапной смерти у родственников пациента в семейном анамнезе в сочетании с систолическим шумом при аускультации и нередкими инфарктоподобными изменениями на ЭКГ у этих больных. Изменения ЭКГ обычно проявляются глубокими отрицательными зубцами Т в грудных отведениях (рис. 1), заставляющих врача предполагать развитие интрамуральных очаговых изменений миокарда левого желудочка (ЛЖ).
Рисунок 1. ЭКГ больного с гипертрофической кардиомиопатией.
Это нередко приводит к типичному сценарию у таких больных с неоднократной их госпитализацией в стационар с подозрением на развитие ИМ при всяком обращении за медицинской помощью по поводу возникновения болей в грудной клетке. В итоге при расспросе пациент указывает на якобы перенесенные им множественные ИМ, которых может быть до 5—10 и более. При ЭхоКГ у таких больных выявляется выраженная асимметричная гипертрофия межжелудочковой перегородки (МЖП) ЛЖ небольших размеров. Эти изменения нередко сопровождаются динамической обструкцией выносящего тракта ЛЖ с характерными для нее движениями створок митрального (переднесистолическое движение створок митрального клапана — МК к МЖП) и аортального клапанов (среднесистолическое прикрытие створок аортального клапана) (рис. 2).
Рисунок 2. Выраженная эксцентричная гипертрофия левого желудочка с толщиной межжелудочковой перегородки 2,8 см у больного с гипертрофической кардиомиопатией.
Подобная картина ЭхоКГ и отсутствие типичной динамики на ЭКГ позволяют установить диагноз ГКМП. Следует отметить, что у больных с ГКМП при ЭхоКГ могут быть выявлены НЛС в зонах миокарда, соответствующих выраженной гипертрофии, обычно в базальных и средних отделах МЖП. Подобные НЛС обычно не свидетельствуют в пользу ИМ, а обусловлены относительной гипокинезией значительно гипертрофированного миокарда. Выявляемые при этом зоны нарушенной сократимости в большей степени соответствуют локализации значительно гипертрофированного миокарда, а не стандартным зонам его коронарного кровоснабжения.
Инфарктоподобные изменения ЭКГ могут также наблюдаться при выраженной гипертрофии ЛЖ другого генеза, чаще всего при аортальном стенозе или длительной артериальной гипертензии. Выявление стеноза аортального клапана, отсутствие НЛС ЛЖ при ЭхоКГ и отсутствие динамики ЭКГ позволяет дифференцировать аортальный стеноз при ОКС.
Боль в грудной клетке не относится к числу типичных симптомов при ТЭЛА, однако может встречаться от 10% [1] до 34% случаев [2]. МСКТ является методом выбора среди визуализирующих способов диагностики ТЭЛА. Дефекты наполнения контрастного вещества внутри артерий свидетельствуют о наличии тромбоэмболов в стволе, главных и долевых ветвях легочной артерии с чувствительностью 95—99%. Для сегментарных ветвей легочной артерии чувствител.
Эхокардиография (УЗИ сердца)
Медицинский редактор: Строкина О.А. - терапевт, врач функциональной диагностики.
Июль, 2019.
Синонимы: УЗИ сердца, эхокардиография, эхокардиоскопия, ЭХОКС, ЭХОКГ.
Эхокардиография - ультразвуковое исследование сердца, позволяющее провести оценку всех структур и функциональное состояние органа.
Обследование проводится врачом функциональной диагностики в амбулаторных или стационарных условиях в течение 15-30 минут, редко длительность доходит до 60 минут, но только в очень сложных случаях и совместно с консилиумом врачей.
Показания
Патологий, при которых необходимо провести эхокардиографию довольно много, и все они связаны так или иначе с дифференциальным диагнозом болезней сердца или аорты. К срочным показаниям для трансторакальной ЭХОКГ относятся:
- острые, колющие, режущие боли в области сердца, которые пациент ощущает впервые;
- давящие, сжимающие боли, возникшие в первый раз или усилившиеся по интенсивности и продолжительности;
- внезапно возникшая одышка.
Кроме того обязательно периодическое исследование сердца при его хронических заболеваниях и при наличии факторов риска:
- , в том числе стенокардия, развившийся ранее инфаркт миокарда; ;
- бактериальный эндокардит (воспаление внутренней оболочки сердца);
- пороки сердца - приобретенные и врожденные;
- протезированные клапаны;
- некоторые малые аномалии развития сердца (двустворчатый аортальный клапан, пролапс митрального клапана); ; ;
- опухоли сердца;
- заболевания аорты; ;
- шумы в сердце;
- нарушения ритма сердца;
- травмы грудной клетки;
- профессиональные занятия спортом.
Виды эхокардиографии
Ультразвуковое исследование сердца проводится разными способами:
Трансторакальная ЭХО-КГ

Фото: классическое положение тела при проведении обычного УЗИ сердца.
Через грудную клетку. Используются обычные ультразвуковые датчики небольшого размера, которые специалист прикладывает к коже. Это наиболее часто используемое в практике исследование из-за простоты самой процедуры и доступности оборудования.
Противопоказаний к трансторакальной ЭХО-КГ нет, однако обследование может быть затруднено в при невозможности проведения исследования на левом боку. Например при тяжелой степени сердечной недостаточности, когда пациент не в состоянии находиться в положении лежа из-за возникающей выраженной одышки. Также сложности возникают при наличии у больного заболеваний легких, которые увеличивают их воздушность (хроническая обструктивная болезнь легких - ХОБЛ) и тем самым препятствуют проникновению ультразвука до сердца. Также существуют и другие патологические состояния, которые могут усложнить обследование.
После трансторакального обследования в покое осложнений не бывает.
Стресс-эхокардиография
Это специфическая методика процедуры позволяющая оценить работу сердца в условиях повышенной активности человека. Для этого в начале проводят обычное трансторакальное исследование, а потом дают физическую нагрузку (приседания, велотренажер) или проводят фармакологическую пробу для имитации повышения физической активности. Первый вариант более предпочтителен, поскольку более физиологичен и вероятность проявления какой-либо нежелательной реакции минимальна. Естественно рядом с пациентом необходимо присутствие врача-реаниматолога и кардиолога, которые смогут адекватно и своевременно отреагировать на острые ситуации (выраженный болевой синдром в области сердца, шок, потеря сознания, остановка сердца, аритмии и т.д.).
При исследовании с физической нагрузкой или фармакологической пробой могут появиться:
- аллергия на лекарственный препарат;
- аритмия;
- боли в области сердца;
- потеря сознания;
- шок и др.
Перечисленные реакции возникают крайне редко и быстро купируются (излечиваются) при наличии рядом реаниматолога или кардиолога.
Черспищеводная ЭХО-КГ (ЧПЭХО)
Процедура похожа на ФГДС - используется специальный эндоскоп с ультразвуковым датчиком на конце, который доктор вводит через рот до уровня сердца (на эндоскопе присутствуют специальные отметки с расстоянием). Датчик прижимается к стенке пищевода и изображение органа появляется на экране монитора аппарата. Этот вид обследования проводится реже, так как это более сложная технология, предусматривающая использование отдельного датчика с эндоскопом и специально обученного специалиста функциональной диагностики и медицинской сестры.
ЧПЭХО проводят, когда нет возможности провести трансторакальное исследование: выраженная подкожно жировая клетчатка, серьезные легочные заболевания, или просто в силу конституции человека легкие большей частью прикрывают сердце. Кроме того доступ через пищевод позволяет с большей точностью выявить дефекты межжелудочковой и межпредсердной перегородок, а также обнаружить тромб в ушке левого предсердия, которое не визуализируется при трансторакальном доступе. Такая процедура обязательна к проведению перед лечением (электроимпульсная терапия - восстановление ритма с помощью небольшого разряда дефибриллятора) определенных видов аритмий.
Из-за большей инвазивности ЧПЭХО для его проведения существует ряд противопоказаний:
- крайне тяжелое состояние пациента;
- заболевания пищевода - злокачественные новообразования, стриктуры (сужения), дивертикулы, варикозное расширение вен пищевода, эзофагит 1 .
Во время ЧПЭХО осложнения также крайне редки и связаны в первую очередь с введением эндоскопа. К таковым относятся перфорация пищевода или повреждение его стенки и голосовых связок. Кроме того возможно появление аритмии.

Фото: схема проведения чреспищеводного УЗИ с контрастом
ЭХО-КГ с контрастом (контрастное УЗИ сердца)
Также выделяют эхокардиографию с контрастированием правых камер сердца с использованием обычного физиологического раствора в качестве контрастного вещества и контрастное УЗИ всего сердца с помощью инновационного препарата SonoVue (Соновью). Этот препарат представляет собой микропузырьки с газообразным содержимым. Благодаря свойству ультразвука отражаться от границы сред с разной плотностью (наибольшая разница плотности на границе ткань-газ), контраст “светится”. Такая методика появилась сравнительно недавно и позволяет:
- более четко определить размеры полостей сердца,
- выявить с большей точностью минимальные дефекты перегородок и другие пороки сердца;
- более точно определить функцию левого желудочка за счет проникновения контраста внутрь сердечной мышцы.
ЭХО-КС с контрастированием используется и при доступе через грудную клетку, и через пищевод.
УЗИ с контрастом обычно проводится для диагностики пороков сердца и для подтверждения разрыва миокарда.
Проведение эхокардиографии с контрастированием противопоказано при:
- остром коронарном синдроме;
- нестабильной стенокардии;
- инфаркте миокарда в острой стадии;
- острой сердечной недостаточности III-IV степени;
- тяжелой легочной гипертензии;
- острых стадиях неврологических заболеваний;
- неконтролируемой артериальной гипертензии;
- нахождении пациента на ИВЛ;
- беременности и грудном вскармливании;
- аллергии на компоненты контрастного вещества.
Осложнения при контрастировании ограничиваются локальными реакциями в месте введения препарата в вену или артерию и теоретически непереносимостью препарата. Основную опасность при исследовании с контрастированием представляет то, что его чаще проводят в совокупности с физической нагрузкой или фармакологической пробой, соответственно и осложнения те же.
Как проводится УЗИ сердца
Во время эхокардиоскопии доктор использует различные режимы УЗ аппарата:
- одномерный (М-режим),
- двумерный (В-режим),
- режим допплера (оценка скорости потоков крови в камерах и сосудах),
- цветового допплера - ЦДК (для определения направления потоков крови и выявления патологических),
- энергетический допплер (регистрирует сам факт наличия кровотока в сосудах),
- тканевой допплер (более глубокая оценка сократимости миокарда, основанная на исследовании характера движения стенок от датчика и к нему),
- 3D-эхокардиография (максимальную пользу приносит перед операциями на клапанах - они практически полностью визуализируются до вмешательства, что важно для определения тактики хирургом).
Трансторакальное УЗИ
Эхокардиография через грудную клетку проводится в кабинете ультразвуковой или функциональной диагностики. Иногда в стационаре из-за тяжести пациента и невозможности транспортировки для его обследования используют переносной аппарат УЗИ. Медсестра или врач просят больного раздеться сверху до пояса, в том числе необходимо снять нижнее белье женщинам. Далее пациенту необходимо лечь на кушетку на левый бок и положить левую руку под голову. При этом головной конец кушетки немного приподнят - так достигается максимальное расстояние межреберных промежутков для лучшей визуализации сердца.
Положение больного по отношению к врачу может быть различное, все зависит от предпочтений последнего и обустройства кабинета. Пациент может быть повернут лицом или спиной к доктору, головой к аппарату или от него.
Специалист смазывает датчик УЗ-проводящим гелем для лучшего контакта с кожей, прикладывает его к левой части грудной клетки, визуализирует сердце, выводя стандартные позиции его для произведения измерений.
Чреспищеводное ЭХОКГ
Чреспищеводное ЭХО проводится строго натощак в кабинете УЗИ или функциональной диагностики. Берут согласие пациента на проведение исследования, объяснив перед этим всю его суть и ход событий. Горло орошают лидокаином с помощью спрея, просят удалить зубные протезы и лечь на кушетку на левый бок, согнув ноги в коленях и положив руки под щеку или на живот. В рот вставляется загубник, чтобы пациент не прикусил зонд. Затем врач вводит эндоскоп. В начале просит больного совершить глотательные движения для более легкого продвижения аппарата. Доведя до определенной позиции, врач начинает само обследование. Оно длится 10-20 минут.
ЭХОКГ с контрастом
При использовании контрастного вещества его вводит в одну из вен или артерий на бедре - зависит от вида препарата и цели исследования. При этом УЗ датчик остается на пациенте, чтобы вовремя зарегистрировать все данные и провести измерения.
Расшифровка результатов
Во время исследования врач оценивает линейные размеры и объемы камер сердца, локальную и общую (фракция выброса) сократимость и скорость кровотока через клапаны, в сосудах.
| Показатель | Значение для женщин | Значение для мужчин | ||||||
|---|---|---|---|---|---|---|---|---|
| норма | незначительное нарушение | умеренное нарушение | значительное нарушение | норма | незначительное нарушение | умеренное нарушение | значительное нарушение | |
| Толщина межжелудочковой перегородки | 6-9 мм | 10-12 мм | 13-15 мм | более 16 мм | 6-10 мм | 11-13 мм | 14-16 мм | более 17 мм |
| Толщина задней стенки левого желудочка | 6-9 мм | 10-12 мм | 13-15 мм | более 16 мм | 6-10 мм | 11-13 мм | 14-16 мм | более 17 мм |
| Масса миокарда левдого желудочка (ММЛЖ) | 66-150 г | 151-171 г | 172-192 г | более 193 г | 66-150 г | 151-171 г | 172-192 г | более 193 г |
| Индекс ММЛЖ (более значимый показатель - учитывает рост пациента) | 43-95 г/м2 | 96-108 г/м2 | 109-121 г/м2 | более 122 г/м2 | 49-115 г/м2 | 116-131 г/м2 | 132-148 г/м2 | более 149 г/м2 |
| Фракция выброса | более 55% | 45-54% | 30-44% | менее 30% | более 55% | 45-54% | 30-44% | менее 30% |
| Сократимость | не нарушена | |||||||
В заключении пациент может обнаружить следующие термины:
- акинез - отсутствие сокращения мышцы\стенки;
- гипокинез - минимальное сокращение;
- дискинез - асинхронность сокращений стенок;
- гипертрофия - утолщение;
- диастолическая дисфункция - нарушение расслабления сердечной мышцы;
- систолическая дисфункция - нарушение сократительной способности миокарда;
- дилатация - расширение полости.
Что показывает ЭХОКГ
В процессе проведения процедуры врач проводит структурную визуализацию и гемодинамическую (допплерография) 3 .
Структурная визуализация включает:
- Визуализация перикарда (например, для исключения перикардиального выпота);
- Визуализация левого или правого желудочка и их полостей (для оценки гипертрофии желудочков, аномалии движения стенок, а также для визуализации тромбов);
- Визуализация клапанов (митральный стеноз, стеноз аорты, пролапс митрального клапана);
- Визуализация магистральных сосудов (рассечение аорты);
- Визуализация предсердий и перегородок между камерами сердца (врожденный порок сердца, травматические повреждения).
- Визуализация кровотока через сердечные клапаны (клапанный стеноз и регургитация)
- Визуализация кровотока через камеры сердца (расчет сердечного выброса, оценка диастолической и систолической функции сердца)
ЭХОКГ при сердечной недостаточности
- Дает возможность определить причины развития хронической формы (ХСН)
- Фракция выброса левого желудочка:
- снижена (систолическая ХСН);
- нормальная (диастолическая ХСН).
ЭХОКГ при нарушениях ритма сердца
Важно! Тахикардия затрудняет проведение исследования и точность оценки полученных результатов.
Используется трансторакальная ЭХОКГ и ЧП ЭХОКГ.
- Размеры полостей сердца, особенно предсердий
- Наличие тромбов
- Оценка фракции выброса не всегда достоверна
ЭХОКГ для оценки состояния онкологических больных
Поражение сердца у онкологических больных:
- опухолевая интоксикация;
- кардиотоксичность химиопрепаратов;
- кардиотоксичность лучевой терапии.
Показания к специализированной эхокардиографии для определения кардиотоксичности:
- всем пациентам с онкологическими заболеваниями перед началом лечения;
- получающим химиотерапию или лучевую терапию (после каждого курса);
- получавшим в прошлом химиотерапию или лучевую терапию (регулярность зависит от схемы лечения).
Сравнительная характеристика ЭХОКГ с другими методами
Эхокардиография несмотря на свою огромную пользу остается все-таки субъективным методом. Врачами по-разному проводятся измерения и трактуются некоторые показатели. Порой одной ЭХО-КГ бывает недостаточно или провести ее невозможно в силу каких-либо причин. Тогда на помощь придут другие методики исследования сердца:
- Электрокардиограмма - самый простой способ выявить сердечные проблемы. Аппаратами ЭКГ оснащены все лечебно-профилактические учреждения страны и машины скорой помощи. ЭКГ выявляет нарушения ритма и дает вероятную характеристику локальной сократимости (изменения при инфаркте миокарда), однако при ЭХО-КГ все может выглядеть совершенно по-другому.
- Рентгенография органов грудной клетки позволяет определить границы сердца и выявить кардиомегалию. Для точной диагностики причин необходима визуализация органа. используется для уточнения данных эхокардиографии, изучения морфологии, функций сердечных камер, клапанов. Сейчас она все больше используется для диагностики некоронарогенных болезней миокарда, различных кардиомиопатий.
- Компьютерная томография с контрастированием очень эффективна при исследовании коронарных артерий. Ее стоимость меньше КАГ (коронароангиография) Также можно определить все размеры и объемы сердца, но не даст возможности видеть его работу в реальном времени.
- Коронарная ангиография (КАГ) - “золотой стандарт” в исследовании коронарных артерий с помощью контрастного вещества с выявлением стенозов и последующим возможным их стентированием (способ расширения просвета сосуда). Ее недостатки - очень высокая стоимость и инвазивность процедуры.
- Позитронно-эмиссионная томография - редкое исследование с введением радиофармпрепарата. Прекрасно визуализирует участки с недостаточным кровоснабжением (ишемия) миокарда
Эхокардиография является основным и самым доступным методом визуализации сердца, позволяющим поставить точный диагноз, своевременное лечение, а также оценить его эффективность. Несмотря на субъективность метода, при постоянном обучении, повышении квалификации, обмене опытом с коллегами специалист повышает свою грамотность в обследовании и сводит к минимуму возможность ошибок.
Эхокардиография не стоит на месте. Продолжаются попытки дополнить метод все новыми возможностями визуализации, некоторые из них позволяют максимально объективно проводить исследования и минимизировать различия толкования между разными специалистами.
- Саидова М.А. Чреспищеводная эхокардиография: показания, техника проведения. - Болезни сердца и сосудов, №4 2007. Marwick T.H., пер. с англ.: к.м.н. Крикунова П.В. Рекомендации по применению эхокардиографии при артериальной гипертензии у взрослых: отчет Европейской ассоциации по сердечно-сосудистой визуализации (EACVI) и Американского эхокардиографического общества (ASE). Системные гипертензии. №2 2017. Ishak A Mansi, MD. Echocardiography. - Medscape, Jan 2014.
Важно! Все материалы носят справочный характер и ни в коей мере не являются альтернативой очной консультации специалиста.
Этот сайт использует cookie-файлы для идентификации посетителей сайта: Google analytics, Yandex metrika, Google Adsense. Если для вас это неприемлемо, пожалуйста, откройте эту страницу в анонимном режиме.
Эхокардиография при ишемической болезни сердца
Как проявляется ишемическая болезнь сердца до проведения эхокардиографии
- История болезни и физикальное обследование остаются краеугольным камнем для первоначальной оценки пациентов с известным или подозреваемым заболеванием коронарных артерий (ИБС).
- Однако анамнез у пациентов с ИБС может быть нетипичным. До 25% пожилых пациентов или пациентов с диабетом имеют безболевой инфаркт миокарда (ИМ); величина симптомов не коррелирует со степенью ИБС. Так с типичными симптомами
- У большинства пациентов с ОКС физическое обследование не дает отклонений.
- Электрокардиография (ЭКГ) может имитировать ишемическое повреждение при остром перикардите, аневризме левого желудочка и ранней реполяризации. Кроме того, приблизительно от 15% до 20% пациентов с ОКС имеют нормальную ЭКГ.
- Наконец, у пациентов Красноярска, поступающих в отделения неотложной помощи с болью в груди, 85% не имеют ОКС, но от 3% до 5% с острым инфарктом миокарда (ОИМ) выписываются домой.
- ИБС является наиболее распространенной клинической проблемой во взрослой кардиологии. Это затрагивает более 500 человек на 100000 населения России и являются основной причиной смерти в Красноярске.
- Ежегодно проводится не менее 5 миллионов посещений отделения неотложной помощи при болях в груди, и более 1 миллион людей в России испытывают новый или рецидивирующий ОИМ каждый год.
Показания класса I для использования при ишемической болезни сердца
Эхокардиография (ЭхоКГ) имеет важное дополнительное диагностическое и прогностическое значение для анамнеза, физического обследования и после снятия ЭКГ у пациентов с болью в груди, ОКС ((ОИМ с подъемом сегмента ST ( STEMI ), ИМ с подъемом сегмента без ST ( NSTEMI ) и нестабильная стенокардия (ИБС)) и у пациентов с известной хронической ИБС.
Диагностика ИБС: методы и основные диагностические особенности. Эхокардиография в покое
- Нарушения движения стенок являются непременным условием ишемии миокарда или ИМ.
- Левый желудочек (ЛЖ) разделен на 16 сегментов миокарда со специфическим артериальным снабжением.
- Каждый сегмент на эхокардиографии оценивается на основе внутреннего движения стенки и утолщения эндокарда по шкале от 1 до 5, где 1 = нормальный, 2 = гипокинетический, 3 = акинетический, 4 = дискинезический и 5 = аневризматический.
- Общая оценка движения стенок и индекс представляют собой сумму баллов каждого сегмента стены, деленную на общее количество набранных сегментов. Таким образом, нормальная общая оценка движения стенок и индекс составляют 16 и 1 соответственно. Чем выше балл и индекс, тем хуже степень и степень ишемии или ИМ.
- Независимо от аномалий движения стенки, склероз аортального клапана (особенно если смешанный нодулярный и диффузный склероз) и склероз митрального кольца являются прогностическими факторами возникновения ИБС.
- Сравнение отдыха с пиковым напряженным движением стенки приводит к четырем типам реакции на движение стенки и соответствующим клиническим сценариям: а) отсутствие или низкая вероятность возникновения ИБС, б) ишемия без ИМ, в) ишемический жизнеспособный миокард (оглушенный или спящий) или d ) ИМ с нежизнеспособным миокардом.
- Диагностическая точность стресс-эхокардиографии при обнаружении ИБС возрастает по мере того, как а) степень тяжести и степень увеличения ишемии, б) возрастает выраженность движения стенки или количества асинергических сегментов, и в) прогнозируемая максимальная частота сердечных сокращений составляет как достигнутая или превышенная
![]()
Эхокардиография в покое для пациентов, перенесших инфаркт миокарда: основные диагностические особенности
Спящий или оглушенный миокард
- Сравнение аномалий движения стенки покоя или дефектов перфузии по контрастному эхо-сигналу миокарда до и после реперфузионных вмешательств определяет степень спасенного миокарда с риском повторной ишемии или ИМ.
- После реперфузионной терапии оглушение миокарда может пройти в течение 3-5 дней. Таким образом, улучшение движения стенки левого желудочка и его функции при эхокардиографии после переднего ИМ может указывать на отсутствие необходимости длительной антикоагуляции.
- Постоянные значительные аномалии движения стенки с истончением или повышением эхогенности, аневризмой левого желудочка или ФВ левого желудочка ≤35% на эхокардиографии предполагают большой инфаркт миокарда. У этих пациентов необходима агрессивная терапия для снижения нагрузки после ремоделирования левого желудочка.
Ишемия после инфаркта миокарда
- Стенокардия после ИМ: преходящее или постоянное ухудшение аномалий движения стенки на эхокардиографии при ИМ или не связанных с инфаркзависимой артерией без повторного повышения изоферментов миокарда.
- Постинфарктное расширение: повторное повышение изоферментов миокарда в дополнение к новым или худшим нарушениям движения стенки.
- Расширение после постинфарктной зоны: увеличенная площадь истончения стенок в зоне инфаркта; он прогрессирует в течение 7 дней после ИМ. Это может привести к образованию аневризмы и / или тромба, разрыву стенки, рецидивирующей ишемии, сердечной недостаточности и желудочковой аритмии.
Правожелудочковый инфаркт на эхокардиографии
- Инфаркт правого желудочка встречается у 25-30% пациентов с задненижним инфарктом миокарда.
- Данные эхокардиограммы включают расширение и дисфункцию правого желудочка, аномальное движение свободной стенки правого желудочка, трикуспидальную регургитацию различной степени тяжести, парадоксальное движение межжелудочковой перегородки, дилатацию нижней полой вен (гипертензия в правом предсердии) и, редко, шунтирование из правого предсердия в левое предсердие через открытое овальное отверстие.
- Пациенты с ИМ правого желудочка имеют повышенную частоту сердечной недостаточности, механических осложнений и смертности, независимо от степени дисфункции левого желудочка.
Диастолическая дисфункция левого желудочка на эхокардиограмме
У пациентов с ИБС с клинической сердечной недостаточностью или без нее диастолическая дисфункция левого желудочка варьируется от нарушения расслабления до ослабления податливости левого желудочка.
Нарушение расслабления левого желудочка
Нарушение расслабления левого желудочка проявляется в уменьшении скорости E -волны, увеличении времени E -замедления (> 160 мсек), соотношении E / A 90 мсек.
Снижение релаксации левого желудочка
- Псевдонормальная схема митрального притока: увеличение скорости E , уменьшение скорости A , время замедления E (от 140 до 160 мсек) и отношение E / A составляет от 1,0 до 1,5.
- Ограничительная модель митрального притока: высокое отношение E / A (> 1,5), короткое время замедления E (
- Аномальный приток легочных вен: Уменьшенный или отсутствующий систолический приток в легочную вену, преобладающий диастолический приток и скорость изменения сокращения предсердия, более продолжительная, чем скорость митрального А. Ограничительный приток через митральный клапан и легочных вен является предиктором высокого давления наполнения левого желудочка или давления заклинивания в легочных капиллярах> 20 мм рт. ст. и является независимым предиктором сердечной смерти.
- Было показано, что снижение систолической и диастолической скоростей миокарда пульсовой волны базальных боковых и перегородочных стенок коррелирует с систолической и диастолической дисфункцией левого желудочка у пациентов после ИМ.
- Отсутствие увеличения систолических скоростей от базовой линии до пиковой дозы добутамина или пиковой нагрузки продемонстрировало высокую чувствительность и специфичность для выявления ишемии и, вероятно, превосходит развитие аномалий движения стенки.
- Скорость распространения цветового потока М-режима: скорость распространения цветовой М-волны при заполнения левого желудочка снижается (нормальный диапазон, 40-80 см/с) у пациентов с ишемической диастолической дисфункцией левого желудочка.
Перикардит при ИБС на эхокардиографии
- Перикардит возникает в течение 3-10 дней после ИМ, с частотой до 25% при больших инфарктах передней стенки (ниже у пациентов, получающих тромболитическую терапию, первичную ангиопластику или стентирование) и связан с небольшими или средними по размеру и обычно локализованными выпотами.
- Перикардит ≥2 недели после ИМ предполагает синдром Дресслера, который связан с периферическим выпотом перикарда от малого до большого размера и, редко вызывает тампонаду сердца.
- Эхокардиография является высокочувствительным для обнаружения локализованных или периферических выпотов перикарда после ИМ
Обнаружение механических осложнений после инфаркта миокарда, основные диагностические особенности
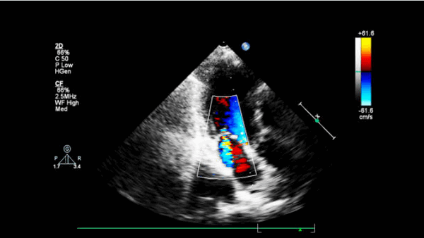
Ишемическая регургитация митрального клапана и разрыв папиллярных мышц
- Частота возникновения ишемической митральной регургитации (МР) у пациентов после ИМ составляет приблизительно 20%, аналогична при переднем и нижнем инфаркте и чаще всего бывает легкой или средней степени тяжести, но связана с повышенным кратковременным и долгосрочным смертность.
- При нижнем инфаркте миокарда ишемическая или инфарктированная заднемедиальная папиллярная мышца вызывает отсутствие и снижение подвижности медиальной половины, преимущественно задней створки митрального клапана, что приводит к неправильной адаптации створки, относительному западению передней створки или псевдопролапсу и эксцентрической направленной заднелатерально струе митральной недостаточности.
- При переднем инфаркте миокарда дилатация и дисфункция левого желудочка приводят к нисходящему и латеральному смещению обеих папиллярных мышц, неполной, но симметричной дислокации створок и центральной митральной регургитации на эхокардиографии.
- Когда разрыв папиллярной мышцы является частичным, на эхокардиографии может быть продемонстрировано западение одной или обоих митральных створок. После полного разрыва папиллярных мышц МР становится тяжелой, и вовлеченный митральный клапан с частью его папиллярной мышцы становится отслоенным или свободно выпадает в левое предсердие.
- Tрансторакальная эхокардиография недооценивает тяжесть эксцентричных струй митральной регургитации, следовательно, чреспищеводное исследование является тестом выбора, если клинически или обычная эхокардиограмма подозревают значительную МР.
Дефект межжелудочковой перегородки на ультразвуковом исследовании
- Дефекты межжелудочковой перегородки (ДМЖП) чаще всего встречаются в апикальной задней и апикальной передней зоне перегородки, часто со змеевидным кровотоком. Эхокардиограмма чаще всего показывает единичные дефекты.
- ДМЖП лучше всего визуализировать из длинной парастернальной и по короткой оси ниже уровня папиллярных мышц, а также с апикального или подреберного четырехкамерного доступа с передним или задним углом для переднего и заднего дефектов соответственно.
- Связанная с этим острая перегрузка правого желудочка приводит к дилатации и дисфункции правого желудочка, парадоксальному движению межжелудочковой перегородки, а также к легочной гипертензии и расширению правого предсердия.
- Чувствительность цветового допплера при эхокардиографии для обнаружения ДМЖП находится в диапазоне> 95%. Ширина цветной допплеровской струи коррелирует с размером дефекта при операции или патологии.
Разрыв свободной стенки на эхокардиограмме
Разрыв свободной стенки встречается чаще у пациентов с задне-боковым ИМ (окклюзия периферической артерии) и у пациентов с неудачной тромболитической терапией (5,9% против 0,5%). Он проявляется как гемоперикард (часто с внутриперикардиальной повышенной эхоплотностью или сгустками) и тампонадой сердца с частым сдавлением левых отделов сердца.
Псевдоаневризма на эхокардиограмме
Эхокардиография в состоянии покоя и стресса после лечения острых коронарных синдромов и ИБС: основные диагностические и прогностические особенности
Читайте также:

