Диагностика макроаденомы гипофиза по КТ, МРТ
Добавил пользователь Евгений Кузнецов Обновлено: 21.11.2025
Хотя этот орган невелик, но его значение для организма крайне важно. Гипофиз называют регулятором жизнедеятельности и гарантом хорошего состояния здоровья. О том, в каких случаях и как проводится МРТ-исследование гипофиза, нам рассказал врач-рентгенолог «МРТ Эксперт» Новосибирск Евгений Николаевич Кликич.
- Евгений Николаевич, что это за орган - гипофиз? Какую роль он выполняет в организме?
- Гипофиз (иначе питуитарная железа) - маленькая структура, расположенная в основании черепа, которую по праву нарекли «покровителем гормонов». Будучи размером с небольшую фасолину, этот орган вырабатывает более десяти гормонов, влияющих на рост человека, функционирование щитовидной железы, надпочечников, желез репродуктивной системы. То есть гипофиз контролирует и руководит деятельностью этих эндокринных органов, поддерживая гормональный баланс в организме.
- Когда требуется проведение магнитно-резонансной томографии гипофиза?
- В подавляющем большинстве случаев на это исследование к нам направляют пациентов врачи-эндокринологи. Зачем они назначают МРТ гипофиза? Чаще всего с целью исключения микро- и макроаденом гипофиза - одной из частых патологий органа. Также данный вид исследования рекомендован при гипофизитах - воспалительных изменениях в ткани гипофиза.
Прицельная МРТ гипофиза может понадобиться после обнаружения патологических изменений в его структуре, либо в области его расположения, после проведённого МРТ головного мозга. Эта информация будет полезна неврологам и нейрохирургам. Иногда пройти этот вид обследования рекомендуют пациентам врачи-офтальмологи при расстройствах зрительной функции. Это связано с особенностью расположения гипофиза и возможностью сдавления им зрительных нервов вследствие патологических изменений, с последующим нарушением зрения.
- Что показывает МРТ гипофиза? Какие изменения органа можно увидеть на МРТ-снимке?
- Хорошо визуализируются опухолевые образования - макро- и микроаденомы, кисты, воспалительные изменения в органе, аномалии его развития, краниофарингиомы, метастазы опухолей.
- С какой целью проводят МРТ-исследование гипофиза с контрастированием?
- Практика показывает, что проведение МРТ этого органа без применения контраста малоинформативно. Мы обычно проводим МРТ-диагностику гипофиза с динамическим контрастированием. Особенность данного исследования в том, что специалист вводит контрастное вещество в вену и параллельно осуществляет серию снимков в разных фазах контрастирования. Это позволяет определить расположение и размеры микроаденом и других опухолей гипофиза, выявить их связь с окружающими тканями, а также оценить интенсивность кровотока в исследуемой области.
МРТ гипофиза с контрастом рекомендовано также пациентам перед нейрохирургическим вмешательством по поводу удаления опухолей в данном отделе головного мозга.
Подробнее об МРТ-исследованиях с контрастным веществом читайте в нашей статье
- В чём заключается подготовка к МРТ гипофиза?
- Специфической подготовки нет. Однако, как и перед любым магнитно-резонансным исследованием, следует снять с себя все металлические аксессуары. Пациенты должны информировать врача об имеющейся аллергии, чтобы исключить возможность развития аллергической реакции на вводимый препарат.
- Существуют ли противопоказания к МРТ гипофиза?
- Да. Среди них наличие в теле пациента ферромагнитных имплантов, электронных устройств (например, кардиостимулятора), искусственных сердечных клапанов. Беременным МРТ гипофиза назначают в исключительных случаях, а в первом триместре такая процедура не проводится вовсе. Исследование с контрастированием также не выполняется пациентам с хронической почечной недостаточностью 3-4 степени.
Читайте материал по теме: Можно и нельзя в МРТ
- Как проводится МРТ гипофиза?
- Человек ложится на стол томографа, на спину. Для обеспечения максимальной неподвижности голова фиксируется специальным креплением. Затем проводится сканирование. Продолжительность исследования составляет 30 - 40 минут.
- В чём преимущество магнитно-резонансной томографии для диагностики патологических процессов гипофиза по сравнению с другими методами исследования?
- Магнитно-резонансная диагностика считается «золотым стандартом» в исследовании гипофиза.
Касательно вопроса, что лучше - рентген-диагностика, КТ или МРТ гипофиза, могу сказать, что магнитно-резонансная томография отличается большей безопасностью (нет ионизирующего излучения) и высокой информативностью. На КТ-снимках небольшие микроаденомы легко спутать с тканью самой железы, тогда как на МРТ визуализируются очень чётко самые мелкие новообразования. Изменения гипофизарной ямки на рентгеновском снимке различимы только при крупных новообразованиях гипофиза, поэтому данный метод исследования мало пригоден для раннего выявления патологических изменений.
О компьютерной томографии подробнее читайте здесь
Хотелось бы отметить, что часто к нам направляют пациентов на МРТ головного мозга, подразумевая, что на снимках можно будет увидеть и детально оценить патологии гипофиза, как части мозга. Это ошибочное мнение, так как эти два исследования существенно отличаются. При проведении сканирования головного мозга осуществляются снимки срезов толщиной в 5 мм, а при прицельном исследовании гипофиза мы получаем срезы через каждые 2-3 мм. Такая детализация позволяет разглядеть мельчайшие изменения в органе.
Беседовала Севиля Ибраимова
Для справки:
Кликич Евгений Николаевич
В 2015 году окончил медико-биологический факультет Сибирского государственного медицинского университета.
С 2015 по 2016 год проходил интернатуру в этом же ВУЗе по специальности «Рентгенология».
Врач-рентгенолог в «МРТ Эксперт» Новосибирск. Принимает по адресу: ул. Якушева д.41, к2
Микроаденома, макроаденома и нефункционирующая аденома гипофиза (NFPAs), синдром гиперпролактинемии
Синдром гиперпролактинемии, аденома (микроаденома) гипофиза
Синдром гиперпролактинемии с аденомой (микроаденомой) гипофиза — это симптомокомплекс, развивающийся у женщин и мужчин вследствие длительной повышенной секреции аденогипофизом гормона пролактина и характеризующийся у женщин патологической галактореей (истечение молока), нарушением менструального цикла (аменореей), у мужчин — импотенцией, олигоспермией, гинекомастией и (крайне редко) галактореей.
Микроаденома гипофиза
Описание микроаденомы гипофиза
Микроаденома гипофиза — это опухоль диаметром до 10 мм. Аденома гипофиза может выделять гормоны, но большинство аденом клинически не активны. Патология гипофиза может быть случайно выявлена при обследовании пациента по поводу других неврологических заболеваний. Выявленные таким образом аномалии гипофиза ещё называют "инцинденталомами". Такие микроаденомы, выявленные при магнитно-резонансной томографии, вызывают клинические проблемы.
У пациентов с гиперпролактинемией при магнитно-резонансной томографии выявляют неизменённые участки микроаденомы гипофиза.
Микроаденома гипофиза может быть выявлена у пациентов с диагностированным синдромом гиперпролактинемии, акромегалии или при диагностике больного с синдромом Кушинга. Не секретирующая гормоны микроаденома в 90% случаев является нефункционирующий аденомой гипофиза (NFPAs), хотя могут быть и другие виды кист, сосудистые, неопластические, гиперпластические или воспалительные процессы, которые клинически так же не будут проявляться.
Патофизиология микроаденомы гипофиза
Большинство опухолей гипофиза непостоянны. Некоторые из них быть частью генетического синдрома, такого как множественная эндокринная неоплазия 1 типа (MEN1), синдром Маккуин-Олбрайта или комплекс Керна. Клинический анализ полученных клеток (цитологическое исследование) показывает, что по своему происхождению все они являются моноклональными мутациями одной и той же клетки.
Из продуцирующих гормоны опухолей наиболее распространены пролактиномы. Другие опухоли, секретирующие гормоны, могут выделять:
- кортикотропин, который вызывает болезнь Кушинга
- гормон роста (соматотропин), который вызывает акромегалию
- гонадотропин, клинически проявления которого зависят от его уровня и реже пола пациента
- тиреотропный гормон (TSH), который может вызывать гипертироидизм (редко)
Большинство клинически нефункционирующих аденом гипофиза (NFPAs) по своему происхождению являются гонадотропными и выделяют альфа и бета фрагменты пептида гонадотропина.
Эпидемиология микроаденомы гипофиза
Частота микроаденомы гипофиза
В 10-14% произведённых аутопсий выявлены аденомы гипофиза, которые практически все являются микроаденомами. Метаанализ аутопсий выявил 22% микроаденом, при томографии — 14%. Микроаденомы гипофиза встречаются в любом возрасте независимо от пола.
Ранее, при не выявлении микроаденом при жизни, часто наблюдали повышение пролактина при лабораторном исследовании крови. Теперь уже с помощью магнитно-резонансной томографии можно идентифицировать микроаденомы гипофиза, которые не подозревались ранее при исследовании пациентов.
Высокая частота встречаемости микроаденом гипофиза и низкая макроаденом при аутопсиях указывает на то, что микроаденомы редко прогрессируют и достигают стадии макроаденомы, и макроаденомы проявляют себя клинически ещё при жизни человека.
В 3048 случаях проведённых аутопсий в США исследования показали в 316 случаях (10%) наличие одной или более аденом гипофиза, их размеры были менее 3 мм. Иммунологический тест на пролактин был положительным в 40% случаев. В международных исследованиях также фиксируются подобные результаты.
Макроаденома гипофиза
Описание макроаденомы гипофиза
В области турецкого седла могут формироваться различного типа опухоли. Самая частая из них - аденома гипофиза. Она формируется из эпителиальных клеток гипофиза и составляет 10-15% от общего количества опухолей головного мозга. Опухоли, размер которых превышает 10 мм рассматриваются как макроаденомы, если же диаметр опухоли меньше 10 мм, то как микроаденомы. Большинство аденом гипофиза составляют микроаденомы.
Проспективные и рандомизированные исследования выявили, как препарат Ланреотид влияет на процесс выздоровления пациентов с впервые выявленной акромегалией в сравнении с транссфеноидальной нейрохирургической операцией. Исследование включало 49 больных, которым перед операцией в течении 4 месяцев проводилась предварительная медикаментозная терапия Ланреотидом, и 49 больных, которым была проведена операция без предварительной медикаментозной терапии. Выявлено 49% выздоровления (24 пациента) в первой группе (предварительная медикаментозная терапия Ланреотидом, затем операция) и 18,4 (9 пациентов) во второй группе (операция без предварительной медикаментозной терапии). На основании этого наблюдения был сделан вывод: у больных с аденомой гипофиза, вырабатывающей гормон роста (соматотропин), частота выздоровления выше, если имеет место предоперационная медикаментозная терапия Ланреотидом, нежели операция без предварительного медикаментозного лечения.
В другом исследовании сравнивали однопортальный и двухпортальный доступы (через одну или через обе ноздри) при транссфеноидальной операции на макроаденоме гипофиза. Было выявлено, что однопортальный доступ (через одну ноздрю) позволяет выполнять операцию быстрее, с минимальным воздействием на здоровые ткани, и что такой доступ адекватен для резекции (удаления) и других видов аденом гипофиза.
Удаление гантелевидной аденомы гипофиза при транссфеноидальном доступе технически затруднительно, в таких случаях применяется расширенный эндоскопический трансназальный доступ.
Патофизиология макроаденомы гипофиза
Макроаденома гипофиза является доброкачественным эпителиальным новообразованием, которое состоит из аденоэпителиальных клеток. Первичные злокачественные опухоли гипофиза довольно редки. Развитие аденомы гипофиза состоит из нескольких этапов и включает в себя необратимую фазу инициации, после которой происходит рост самой опухоли.
Развитие опухоли гипофиза является моноклональным процессом с несколькими сопутствующими факторами. Причинные факторы включат в себя генетическую наследственность, мутацию и гормональное воздействие. Предполагается, что моноклональная природа большинства опухолей гипофиза происходит от мутировавших клеток гипофиза. Хотя патофизиология (молекулярный механизм), которая предшествует развитию аденомы гипофиза, остаётся неясной.
В подобном случае, как и в случае с микроаденомой гипофиза, предполагается ведущая роль генетической мутации.
Некоторые опухоли гипофиза могут являться частью какого-либо клинического синдрома. При множественной эндокринной неоплазии 1 типа (MEN1), аутосомно доминантное генетическое расстройства, аденома гипофиза (чаще пролактинома) наблюдается в сочетании с опухолями паращитовидной железы и островковых клеток Лангерганса поджелудочной железы.
Синдром Маккуин-Олбрайта, повреждение кожи множественная костная фиброзная дисплазия встречаются вместе с гиперфункционирующими эндокринопатиями. Этот синдром является результатом активации альфа субъединицы Gs протеина и задействует ткани, которые реагируют на гормональное воздействие посредством аденилата циклазы. При синдроме Маккуин-Олбрайта самая распространённая опухоль гипофиза это соматотропинома, которой сопутствует акромегалия. Значительная часть соматотропином при спорадических случаях акромегалий скрывает те же мутации.
Комплекс Керна является аутосомно доминантным расстройством, которое характеризует первичное пигментированное узелковое поражение надпочечников, пигментные пятна на коже (пигментный невус), опухоль яичек за счёт клеток Сертоли, акромегалия, меланоцитарная шваннома и кардиальная миксома.
Эпидемиология макроаденомы гипофиза
Частота макроаденомы гипофиза
Опухоли гипофиза при проведении аутопсии встречаются в 25% случаев. Выявляемость неопламз гипофиза составляет от 1 до 7 в течении года на 100000 населения (на основании нейрохирургических вмешательств).
Заболеваемость и смертность при макроаденоме гипофиза
Заболеваемость макроаденомой гипофиза колеблется от случайно выявленных нефункционирующих аденом гипофиза (NFPAs) до клинически тяжело протекающих макроаденом. Заболеваемость возникает в результате масс-эффекта (битемпоральная гемианопсия), гормональный дисбаланс (дефицит гормонов гипофиза в результате сдавления нормальных клеток гипофиза, или избыток гормонов, продуцируемых опухолью), сопутствующие заболевания пациента. Увеличение заболеваемости может быть так же связано с лечением этих опухолей.
При макроаденоме гипофиза не выявляется расовой предрасположенности.
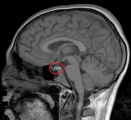
Нормальный размер гипофиза у женщин может значительно изменяться с возрастом и при беременности, что показано на МРТ гипофиза. A — пожилая женщина, B — нормальная молодая женщина, C — женщина в послеродовом периоде.
Результату аутопсий показывают отсутствие различий заболеваемостью макроаденомой гипофиза между мужчинами и женщинами. Исключением является лишь кортикотропинома, которая чаще встречается у женщин, чем у мужчин (4:1). Среди детей макроаденма гипофиза выявляется чаще у девочек, чем у мальчиков. Такая разница в заболеваемости недостаточно ясна, но может быть связана с клинической картиной у таких пациентов. Аменорея (или нерегулярный менструальный цикл), который является относительно распространённым симптомом у женщин наряду с макроаденомой, усиливает подозрение о наличии заболевания гипофиза. Макроаденома гипофиза возникает в любом возрасте, но его встречаемость увеличивается с возрастом и достигает пика между 3-м и 6-м десятком жизни.
Нефункционирующие аденомы гипофиза (NFPAs)
Нефункционирующие аденомы гипофиза являются доброкачественными (не злокачественными) разрастаниями ткани гипофиза, расположенной у основания мозга. По результатам проводимых аутопсий и исследований изображений гипофиза на МРТ или КТ, было выявлено, что в каждом 6 случае может встречаться подобный тип аденомы гипофиза.
В то время как большинство опухолей гипофиза вырабатывают гормоны, нефункционирующие аденомы гипофиза не способны к этому — именно поэтому их называют "нефункционирующими". По статистике до 30% аденом гипофиза являются нефункционирующими.
МРТ гипофиза что показывает
Магнитно-резонансная томография или МРТ гипофиза - современный, безопасный, безболезненный и высокоинформативный метод исследования мягкотканных структур головного мозга, который с высокой точностью показывает малейшие отклонения от нормы в их строении, особенностях кровоснабжения. Когда исследование завершено, его результат оформлен в виде снимков послойных срезов головного мозга. Эти фото позволяют специалисту точно разобраться, что показывает МРТ гипофиза и дать подробное заключение.
МРТ гипофиза, что показывает: показания, противопоказания, расшифровка МРТ гипофиза
МРТ гипофиза позволяет обнаружить патологические изменения на самых ранних этапах, начиная от аномалий развития, сосудистых нарушений, воспалительных процессов и заканчивая опухолями разной природы.
Дата загрузки: 2019-01-21
Видео — МРТ гипофиза, что показывает
Поскольку гипофиз имеет очень маленькие размеры и расположен в глубине головы, досконально изучить его структуру можно только с помощью МРТ. Ни один другой из существующих методов не способен дать настолько четкие фото и данные о состоянии гипофиза. Расшифровка результатов выполняется рентгенологом.
С помощью снимков МРТ гипофиза можно создать его трехмерное изображение с высокой степенью детализации. Это позволяет обнаружить патологические изменения на самых ранних этапах, начиная от аномалий развития, сосудистых нарушений, воспалительных процессов и заканчивая опухолями разной природы.
МРТ гипофиза выполняется с контрастом или без. Максимум информации предоставляет диагностика, проведенная с введением контрастного вещества на основе гадолиния. Это повышает четкость получаемых фото, а по особенностям его распределения в тканях можно с высокой точностью не только обнаружить доброкачественные и злокачественные опухоли, но и исследовать их локализацию, структуру, определить границы и заметить метастазы.
Чаще всего исследование проводится для диагностирования аденомы гипофиза и определения ее величины: микроаденомы (до 10 мм), макроаденомы (10—30 мм) и гигантской аденомы (более 30 мм). Также с его помощью обнаруживаются неоднородности структуры, асимметрия границ, изменения положения воронки гипофиза и ее структуры, а также деформации окружающих костных тканей.

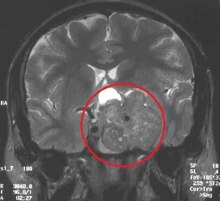
МРТ гипофиза. На МР-томограмме определяется гигантское образование неоднородной структуры (обведено) — макроаденома гипофиза.
Норма размер гипофиза на МРТ снимке
Нормальное МРТ гипофиза показывает отсутствие отклонений в его величине и структуре. Нормальными показателями для взрослого человека средней комплекции считаются:
- ширина - 6—8 мм;
- длина - 5—13 мм;
- высота - 3—5 мм.
В период физиологических гормональных колебаний (во время беременности или в пубертатном возрасте) эти показатели могут незначительно колебаться, что не является признаком патологии. Но если любой из этих параметром превышает 10 мм, это является признаком микроаденомы. Особое внимание при магнитно-резонансной томографии области турецкого седла уделяется показателям высоты гипофиза, поскольку другие изменяются значительно реже.
В норме воронка гипофиза должна располагаться на срединной линии, а сама железа - иметь однородную структуру и близкую к прямоугольной форму. Его нижний край должен напоминать изгиб турецкого седла, а верхний может быть выпуклым, прямым или вогнутым. На фронтальной проекции его части должны быть симметричны, но легкие отклонения не считаются патологией.

МРТ гипофиза в норме
Что такое и где находится гипофиз?
Гипофиз - центральный орган эндокринной системы, представляющий собой соединенную с головным мозгом округлую железу крошечных размеров (14—15 мм). Он расположен в костном кармане черепа, называемом турецким седлом.
Гипофиз имеет 2 основные доли: переднюю и заднюю. Передняя доля называется еще аденогипофизом и отвечает за продукцию:
- тиреотропного гормона (ТТГ);
- адренокортикотропного (АКТГ);
- фолликулостимулирующего (ФСГ);
- лютеинизирующего (ЛГ);
- соматотропного гормона (СТГ);
- пролактина (лютеотропного).
Задняя доля или нейрогипофиз в основном ответственна за накопление и поступление в кровь синтезированных гипоталамусом гормонов вазопрессина (АДГ) и окситоцина. Задняя и передняя доля гипофиза разделены тонким слоем клеток, синтезирующим меланоцитостимулирующие гормоны. Он называется промежуточной долей гипофиза.
Нарушения в работе этого органа приводят к возникновению серьезных гормонозависимых заболеваний, вызывая отклонения от нормы в росте, расстройства обмена веществ и нарушения репродуктивной функции. При патологиях задней доли могут наблюдаться изменения артериального давления, отклонения в работе сердца, дыхательной и выделительной системы. Поэтому изменениям гипофиза на МРТ уделяют особое внимание.
Показания и противопоказания к МРТ гипофиза
МРТ гипофиза с контрастом или без рекомендуется проводить при возникновении:
- частых головных болей;
- нарушений зрения, выпадений полей;
- признаков отставания в росте или, наоборот гигантизма;
- резкого беспричинного похудения;
- нарушений менструального цикла у женщин на фоне отсутствия инфекционно-воспалительных и других гинекологических заболеваний;
- бесплодия;
- нарушений обмена веществ;
- постоянной жажды, сопровождающейся обильным выведением мочи;
- эректильной дисфункции у мужчин, импотенции;
- резком ухудшении состояния кожи, волос;
- повышенной потливости;
- обнаружении изменений в показателях уровня гормонов в крови;
- повышенной утомляемости;
- колебаний артериального давления.


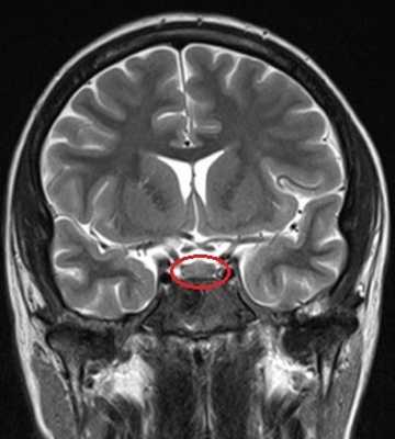
МРТ гипофиза (обведено) без контраста и с с контрастом. В норме гипофиз равномерно накапливает контрастное вещество — становится светлым.
Исследование в таких ситуациях назначает врач или пациент может самостоятельно записаться на диагностику. Но даже при наличии показаний к проведению МРТ головного мозга процедура может быть выполнена не всегда. Она противопоказана при наличии:
- встроенного кардиостимулятора или других имплантатов, сделанных из намагничивающихся материалов;
- металлических инородных тел в организме;
- крупных татуировок, сделанных с помощью красок с металлическими включениями.
Использование контрастного вещества недопустимо при аллергии на его компоненты, а также при беременности и почечной недостаточности. С соблюдением мер осторожности МРТ гипофиза с контрастом или без может проводиться при:
- эпилепсии;
- тяжелых состояниях, требующих постоянного контроля над жизненно важными показателями;
- психических расстройствах;
- сложностях с длительным сохранением неподвижного положения тела.
Но процедура не может быть проведена, если вес пациента превышает 120—200 кг, что обусловлено техническими возможностями конкретного томографа.
Особенности выполнения МРТ гипофиза с контрастом
МРТ гипофиза с контрастом или без не требует специальной подготовки. Но на исследование стоит приходить в одежде, на которой полностью отсутствуют любые металлические детали, включая пуговицы, косточки в бюстгальтере и т. д. Поскольку чаще всего рекомендуется делать МРТ с контрастом (при условии отсутствия противопоказаний), за час до него следует отказаться от употребления пищи.

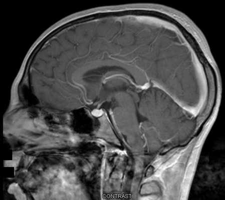
МРТ гипофиза с контрастом. После введения контрастного вещества в гипофизе происходит его накопления и он выглядит светлым. Только участок опухоли не накапливает контрастное вещество и выглятит темным (стрелка).
С собой следует взять:
- паспорт или свидетельство о рождении при выполнении обследования ребенку;
- направление от врача, в котором будет указана цель, зачем было назначено МРТ (не обязательно);
- результаты предыдущих исследований (при наличии).
Непосредственно перед процедурой пациент снимает все металлические украшения и другие предметы, оставляет мобильный телефон и направляется при необходимости в манипуляционный кабинет для установки внутривенного катетера. После этого его направляют в помещение где стоит томограф (процедурная МРТ).
Человек ложится на спину на специальную кушетку (выдвижной стол) аппарата, его тело и голова фиксируются мягкими лентами. Зачем это делается, объясняется необходимостью сохранять абсолютную неподвижность во время исследования. Так как во время работы томографа создается ритмичный шум, больному предлагают надеть наушники или использовать беруши. Также ему в руку дают “грушу”, позволяющей подать сигнал, если в ходе процедуры он почувствует себя плохо.
Если требуется провести магнитно-резонансную томографию человеку, страдающему клаустрофобией или испытывающему сильные переживания, предварительно ему дают седативное средство. В особенно сложных случаях, а также при обследовании детей используют седацию или общий наркоз.
После окончания всех приготовлений стол задвигается внутрь тоннеля МР-аппарата, медперсонал покидает помещение и включает томограф в режим сбора данных. Процедура длится 20—60 минут.
Когда обследование закончено, кушетка выезжает из томографа, пациента освобождают от фиксаторов и помогают подняться. Обычно после процедуры сохраняется нормальное самочувствие, но иногда может присутствовать незначительное головокружение, головная боль или тошнота. Эти ощущения связаны с действием контрастного вещества и проходят самостоятельно.
Когда назначают МРТ гипофиза
Существуют четкие показания, зачем назначают МРТ гипофиза. Чаще всего исследование делают с целью обнаружения опухолей, оценки их размеров, происхождения и степени опасности для жизни человека. Также МРТ делают, когда клиническая картина и результаты других исследований показывают нарушения уровня гормонов вырабатываемых гипофизом.
Поэтому прицельное сканирование области турецкого седла назначают для диагностики:
- аденомы гипофиза, представляющей собой доброкачественное новообразование, формирующееся из клеток железистого эпителия и способное сдавливать окружающие ткани (приводит к серьезным отклонениям от нормы в работе гипофиза);
- кист;
- злокачественных опухолей и их метастаз;
- несахарного диабета;
- синдрома Иценко-Кушинга;
- первично или вторично пустого турецкого седла;
- гиперпролактинемического гипогонадизма.
Процедуру назначают также, когда у пациента диагностированы нарушения работы эндокринных желез, и они не поддаются лечению в течение длительного периода времени. Еще одним показанием к тому, зачем проводят МРТ гипофиза, являются травмы головы, после которых возникли любые из описанных выше нарушений. Это позволит обнаружить гематомы, оказывающие механическое давление на орган. Исследование проводится также в рамках подготовки к нейрохирургическому вмешательству и для оценки его эффективности.


МРТ гипофиза до и после операции по удалению макроаденомы гипофиза
Расшифровка МРТ гипофиза
Расшифровка снимков занимает от 30 до 90 минут. В это время рентгенолог сравнивает полученные показатели с нормальными, что позволяет обнаружить патологические изменения любого характера.
В выдаваемом специалистом заключении обязательно указывается локализация, форма и измеренные на МРТ размеры гипофиза. Радиолог описывает структуру железы, расположение воронки, толщину задней стенки турецкого седла, а также особенности окружающих тканей и кровеносных сосудов. Если в ходе МРТ обнаружена патология гипофиза или опухоль, врач внесет подробные данные о ее локализации, предполагаемой природе, величине и структуре в протокол.
Пациент может дождаться расшифровки результата и получить заключение на руки вместе со снимками или цифровым носителем или же они могут быть направлены сразу же лечащему врачу. Окончательный диагноз ставится доктором на основании обнаруженных при магнитно-резонансной томографии патологических изменений с учетом других данных и клинической картины.
Зачем назначают МРТ гипофиза?
Среди всех опухолей головного мозга аденомы гипофиза составляют около 15-20%, причём чаще всего они выявляются у пациентов трудоспособного возраста, в основном - от 30 до 50 лет. Причины развития этой патологии до сих пор достоверно неизвестны.
С вопросами о проблемах диагностики и лечения опухолей гипофиза мы обратились к исполнительному директору и главному врачу ООО «МРТ Эксперт Липецк» Волковой Оксане Егоровне.
- Где находится гипофиз и какую роль играет в жизнедеятельности организма человека?
- Гипофиз находится в области турецкого седла, а само турецкое седло - на самом основании черепа. Гипофиз (питуитарная железа) - это руководящий орган всей эндокринной системы организма. Любые дисфункции и нарушения в его функционировании серьёзно сказываются на работе всех органов и систем. Может пострадать сердечно-сосудистая и кровеносная системы, мышечная система, опорно-двигательный аппарат. У женщин нарушения функционирования гипофиза могут привести к нарушению менструального цикла и бесплодию.
- Расскажите о видах опухолей гипофиза и их клинических проявлениях.
Опухоли гипофиза бывают двух видов: гормонально-активные (пролактиномы, соматотропиномы, кортикотропиномы) и негормонально-активные.
Клинические проявления аденомы гипофиза разнообразны и зависят от вида опухоли, её размера и направления роста в полости черепа. Над самой опухолью проходят два самых крупных сосуда головного мозга, много важных нервов, в том числе, отвечающих за чувствительность лица, движения глаз, зрение и обоняние. Поэтому рост опухоли вверх в полость черепа ведёт к сдавлению зрительных нервов. В итоге человек начинает терять зрение. С жалобой на снижение зрения пациент приходит к офтальмологу, нередко начинающего лечить пациента от несуществующих офтальмологических проблем, например, атрофии зрительных нервов или катаракты, что не приводит к улучшению состояния больного. Если опухоль гипофиза не удалить вовремя - это может привести к дальнейшему ухудшению зрения, вплоть до слепоты. Поэтому так важно дифференцировать, при помощи МРТ, заболевания офтальмологические и опухоли гипофиза.
Также аденома гипофиза может привести к нарушению оттока спинномозговой жидкости - окклюзионной гидроцефалии и гибели человека.
Что касается гормонально-активных опухолей, то они растут медленно и в большинстве случаев выявляются у пациентов на ранних стадиях эндокринных нарушений.
При пролактиномах у женщин наблюдаются такие симптомы, как нарушение менструального цикла, у мужчин - снижение либидо и нарастание веса.
Соматотропиномы, вырабатывая гормон роста, вызывают акромегалию. У детей происходит быстрый рост, а у взрослых такой вид опухоли гипофиза может привести к увеличению конечностей, носа или ушей.
Кортикотропиномы вызывают болезнь Иценко-Кушинга, одной из симптомов которой является увеличение веса в верхней части тела и артериальная гипертония. Часто у больных кортикотропиномой встречается сахарный диабет и остеопороз.
- К какому врачу нужно обратиться при обнаружении симптомов заболевания гипофиза?
Для того, чтобы разобраться с проблемой в комплексе, больных с патологией гипофиза совместными усилиями ведут эндокринолог, невролог и нейрохирург.
Узнать стоимость приёма и записаться к врачу-эндокринологу можно здесь
При обнаружении настораживающих симптомов со стороны нарушения гормонального статуса, необходимо обратиться к врачу-эндокринологу. Если начало падать зрение - к окулисту и неврологу.
Доктор назначит анализы для определения гормонального статуса больного и направит на магнитно-резонансную томографию гипофиза.
Записаться на МРТ гипофиза в вашем городе можно здесь
- Зачем необходимо делать именно МРТ гипофиза? МРТ головного мозга покажет патологию гипофиза?
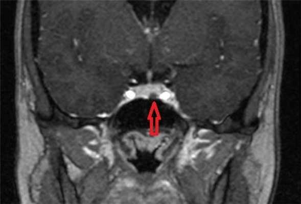
Патология гипофиза в практике врачей «МРТ Эксперт» и «Клиник Эксперт» встречается достаточно часто. При этом далеко не всегда пациенты предъявляют жалобы касательно дисфункций именно гипофиза. Гораздо чаще они приходят с целью провести МРТ головного мозга. Но на снимках МРТ головного мозга можно увидеть только большую опухоль, макроаденому, размером от 1 см (при этом нормальные размеры гипофиза у женщин и мужчин на МРТ составляют: вертикальный - до 6 мм, у подростков - до 1 см; у пожилых пациентов может уменьшаться до 2-3 мм; фронтальный (боковой) - 1,3 см и передний-задний - в среднем 1-1,1 см).
Небольшие микроаденомы при МРТ-сканировании мозга не видны, врач сможет диагностировать только увеличение гипофиза, что отразится в заключении, в котором будет написано «признаки увеличения вертикального размера гипофиза; рекомендовано - консультация эндокринолога, клинико-лабораторное дообследование и МРТ гипофиза с в/венным динамическим контрастированием).
При подозрении на деформацию гипофиза необходимо провести специальное динамическое исследование с контрастным усилением для того, чтобы не пропустить даже самые мелкие образования в гипофизе. Контраст при проведении процедуры МРТ гипофиза вводится в определённые минуты и секунды сканирования. Проведение МРТ-диагностики гипофиза без применения контраста является малоинформативным.
Зачем при магнитно-резонансной томографии применяется контрастное вещество? Рассказывает исполнительный директор ООО «МРТ Эксперт Липецк» Волкова Оксана Егоровна
- Как лечат опухоли гипофиза? Диагноз «аденома гипофиза» по умолчанию предполагает оперативное вмешательство?
Это не так. Выбор методики лечения аденом гипофиза индивидуален и зависит от многих факторов, в том числе, от неврологической симптоматики. Показания к удалению аденомы достаточно чётко известны. Если у пациента имеется нарушение зрения, то операция показана с целью спасения зрения. При гиперпродукции агрессивных гормонов, таких, как соматотропный и кортикотропный, с целью снижения агрессии этого гормона на органы-мишени также показано оперативное вмешательство.
Долгое время операции на гипофизе оставались одними из самых сложных в мире нейрохирургии и были связаны с высоким риском возникновения осложнений во время трепанации черепа. В связи с этим была разработана и внедрена методика удаления опухолей гипофиза без вскрытия черепной коробки. Так называемый транссфеноидальный метод в нейрохирургии (удаление опухолей гипофиза через нос). Методика не является новой. Транссфеноидальной хирургии аденом гипофиза более, чем сто лет. За этот период она претерпела серьёзные изменения и стала самостоятельным направлением современной нейрохирургии. Методика транссфеноидального доступа к образованиям является малоинвазивной, что позволяет избежать серьёзных осложнений во время хирургического вмешательства. Противопоказаний к такой операции практически не существует. Среди последних - воспалительные процессы в носоглотке и большое количество соматической патологии у больного, что может затруднить проведение наркоза.
Такие операции проводятся под общей анестезией и длятся около двух часов.
В случае же обнаружения гормонально-неактивных опухолей или опухолей небольших размеров, не сдавливающих прилежащие структуры мозга, проводятся консервативное лечение таблетированными препаратами и динамическое наблюдение, заключающееся в проведении МРТ гипофиза с контрастом частотой 1-2 раза в год.
МРТ-исследование гипофиза в центре «МРТ Эксперт» можно провести в любой день недели, специальная подготовка не требуется. Диагностика длится около 30 минут и не доставляет дискомфорта.
Опухоли гипофиза
Опухоли гипофиза - группа доброкачественных, реже - злокачественных новообразований передней доли (аденогипофиза) или задней доли (нейрогипофиза) железы. Опухоли гипофиза, по статистике, составляют около 15% новообразований внутричерепной локализации. Они одинаково часто диагностируются у лиц обоих полов, обычно в возрасте 30-40 лет. Подавляющее большинство опухолей гипофиза составляют аденомы, которые подразделяются на несколько видов в зависимости от размеров и гормональной активности. Симптомы опухоли гипофиза представляют собой сочетание признаков объемного внутримозгового процесса и гормональных нарушений. Диагностика опухоли гипофиза осуществляется проведением целого ряда клинических и гормональных исследований, ангиографии и МРТ головного мозга.
Общие сведения
Опухоли гипофиза - группа доброкачественных, реже - злокачественных новообразований передней доли (аденогипофиза) или задней доли (нейрогипофиза) железы. Опухоли гипофиза, по статистике, составляют около 15% новообразований внутричерепной локализации. Они одинаково часто диагностируются у лиц обоих полов, обычно в возрасте 30-40 лет.
Гипофиз является железой внутренней секреции, осуществляющей регулятивно-координирующую функцию в отношении некоторых других эндокринных желез. Гипофиз расположен в ямке турецкого седла клиновидной кости черепа, анатомически и функционально связан с отделом головного мозга - гипоталамусом. Вместе с гипоталамусом гипофиз составляет единую нейроэндокринную систему, обеспечивающую постоянство гомеостаза организма.
В гипофизе выделяют две доли: переднюю - аденогипофиз и заднюю - нейрогипофиз. Гормонами передней доли, вырабатываемыми аденогипофизом, являются: пролактин, стимулирующий секрецию молока; соматотропный гормон, влияющий на рост организма через регуляцию белкового обмена; тиреотропный гормон, стимулирующий метаболические процессы в щитовидной железе; АКТГ, регулирующий функцию надпочечников; гонадотропные гормоны, влияющие на развитие и функцию половых желез. В нейрогипофизе образуются окситоцин, стимулирующий сократительную способность матки, и антидиуретический гормон, регулирующий процесс реабсорбции воды в канальцах почек.
Аномальное разрастание клеток железы приводит к образованию опухолей переднего или заднего отдела гипофиза и нарушению гормонального баланса. Иногда в область гипофиза прорастают менингиомы - опухоли мозговых оболочек; реже железа поражается метастатическими отсевами злокачественных новообразований других локализаций.
Причины опухолей гипофиза
Достоверные причины развития опухолей гипофиза до конца не изучены, хотя известно, что некоторые виды новообразований могут быть обусловлены генетически.
В число факторов, предрасполагающих к развитию опухолей гипофиза, входят нейроинфекции, хронические синуситы, черепно-мозговые травмы, гормональные изменения (в том числе вследствие длительного применения гормональных препаратов), неблагоприятное воздействие на плод в период беременности.
Классификация опухолей гипофиза
Опухоли гипофиза классифицируются с учетом их размеров, анатомического расположения, эндокринных функций, особенностей микроскопического окрашивания и т. д. В зависимости от размера новообразования выделяют микроаденомы (менее 10 мм в максимальном диаметре) и макроаденомы (при наибольшем диаметре более 10 мм) гипофиза.
По локализации в железе различают опухоли аденогипофиза и нейрогипофиза. Опухоли гипофиза по топографии относительно турецкого седла и окружающих его структур бывают эндоселлярными (выходящими за границы турецкого седла) и интраселлярными (расположенными в пределах турецкого седла). С учетом гистологической структуры опухоли гипофиза подразделяются на злокачественные и доброкачественные новообразования (аденомы). Аденомы исходят из железистой ткани передней доли гипофиза (аденогипофиза).
По функциональной активности опухоли гипофиза делятся на гормонально-неактивные («немые», инсиденталомы) и гормонально-активные аденомы (вырабатывающие тот или иной гормон), которые встречаются в 75% случаев. Среди гормонально-активных опухолей гипофиза выделяют:
- соматотропная аденома
- соматотропинома - опухоль гипофиза, синтезирующая соматотропин - гормон роста;
- пролактиновая аденома
- пролактинома - опухоль гипофиза, синтезирующая гормон пролактин;
- кортикотропная аденома
- кортикотропинома - опухоль гипофиза, секретирующая АКТГ, стимулирующий функцию коры надпочечников;
- тиротропная аденома
- тиротропинома - опухоль гипофиза, секретирующая тиротропный гормон, стимулирующий функцию щитовидной железы;
Фоллтропинпродуцирующие или лютропинпродуцирующие аденомы (гонадотропные). Эти опухоли гипофиза секретируют гонадотропины, стимулирующие функцию половых желез.
Гормонально-неактивные опухоли гипофиза и пролактиномы встречаются наиболее часто (в 35% случаев соответственно), соматотропинпродуцирующие и АКТГ-продуцирующие аденомы - в 10-15% случаев от всех опухолей гипофиза, другие виды опухолей образуются редко. По особенностям микроскопии различают хромофобные опухоли гипофиза (гормонально-неактивные аденомы), ацидофилиные (пролактиномы, тиротропиномы, соматотропиномы) и базофильные (гонадотропиномы, кортикотропиномы).
Развитие гормонально-активных опухолей гипофиза, продуцирующих один или несколько гормонов, может приводить к развитию центрального гипотиреоза, синдрома Кушинга, акромегалии или гигантизма и т. д. Повреждение гормонопродуцирующих клеткок при росте аденомы может вызывать состояние гипопитуаризма (гипофизарной недостаточности). У 20% пациентов отмечается бессимптомное течение опухолей гипофиза, которые обнаруживаются лишь при аутопсии. Клинические проявления опухолей гипофиза зависят от гиперсекреции того или иного гормона, размеров и скорости роста аденомы.
Симптомы опухолей гипофиза
По мере увеличения опухоли гипофиза развиваются симптомы со стороны эндокринной и нервной систем. Соматотропинпродуцирующие аденомы гипофиза приводят к возникновению акромегалии у взрослых пациентов или гигантизма, если они развиваются у детей. Пролактинсекретирующие аденомы характеризуются медленным ростом, проявляются аменореей, гинекомастией и галактореей. Если такие опухоли гипофиза продуцируют неполноценный пролактин, то клинические проявления могут отсутствовать.
АКТГ-продуцирующие аденомы стимулируют секрецию гормонов коры надпочечников и ведут к развитию гиперкортицизма (болезни Кушинга). Обычно такие аденомы растут медленно. Тиротропинпродуцирующие аденомы нередко сопровождают течение гипотиреоза (функциональной недостаточности щитовидной железы). Они могут вызывать упорный тиреотоксикоз, чрезвычайно устойчивый к медикаментозному и хирургическому лечению. Гонадотропные аденомы, синтезирующие половые гормоны, у мужчин приводят к развитию гинекомастии и импотенции, у женщин - к нарушению менструального цикла и маточным кровотечениям.
Увеличение размеров опухоли гипофиза ведет к развитию проявлений со стороны нервной системы. Поскольку гипофиз анатомически соседствует с перекрестом зрительных нервов (хиазмом), то при увеличении размеров аденомы до 2 см в диаметре развиваются зрительные нарушения: сужение полей зрения, отек сосочков зрительного нерва и его атрофия, ведущие к падению зрения, вплоть до слепоты.
Аденомы гипофиза больших размеров вызывают сдавление черепных нервов, сопровождающееся симптомами поражения нервной системы: головные боли; двоение в глазах, птоз, нистагм, ограничение движений глазных яблок; судороги; упорный насморк; деменцию и изменения личности; повышение внутричерепного давления; кровоизлияния в гипофиз с развитием острой сердечно-сосудистой недостаточности. При вовлеченности в процесс гипоталамуса могут наблюдаться эпизоды нарушения сознания. Злокачественные опухоли гипофиза встречаются крайне редко.
Диагностика опухолей гипофиза
Необходимыми исследованиями при подозрении на опухоль гипофиза являются тщательное офтальмологическое и гормональное обследования, нейровизуализация аденомы. Исследование мочи и крови на содержание гормонов позволяет установить вид опухоли гипофиза и степень ее активности. Офтальмологическое обследование включает оценку остроты и полей зрения, позволяющих судить о вовлеченности в процесс зрительных нервов.
Нейровизуализацию опухоли гипофиза позволяет осуществить рентгенография черепа и зоны турецкого седла, МРТ и КТ головного мозга. Рентгенологически могут определяться увеличение размеров турецкого седла и эрозия его дна, а также увеличение нижней челюсти и пазух носа, утолщение костей черепа, и расширение межзубных промежутков. С помощью МРТ головного мозга возможно увидеть опухоли гипофиза диаметром менее 5 мм. Компьютерная томография подтверждает наличие аденомы и ее точные размеры.
При макроаденомах ангиография сосудов головного мозга указывает на смещение сонной артерии и позволяет дифференцировать опухоль гипофиза с внутричерепной аневризмой. В анализе спинномозговой жидкости может определяться повышенный уровень протеинов.
Лечение опухолей гипофиза
На сегодняшний день в лечении опухолей гипофиза эндокринология применяет хирургический, лучевой и лекарственный методы. Для каждого вида опухолей гипофиза существует специфический, наиболее оптимальный вариант лечения, который подбирается эндокринологом и нейрохирургом. Наиболее эффективным считается хирургическое удаление опухоли гипофиза. В зависимости от размеров и локализации аденомы проводится либо ее фронтальное удаление через оптический прибор, либо резекция через клиновидную кость черепа. Оперативное удаление опухолей гипофиза дополняется лучевой терапией.
Гормонально-неактивные микроаденомы лечатся с помощью лучевой терапии. Проведение лучевой терапии показано при наличии противопоказаний к оперативному лечению, а также пожилым пациентам. В послеоперационном периоде проводится гормонозаместительная терапия (кортизоном, тиреоидными или половыми гормонами), при необходимости - коррекция электролитного обмена и инсулинотерапия.
Из лекарственных препаратов используют агонисты дофамина (каберголин, бромокриптин), вызывающие сморщивание пролактин- и АКТГ-секретирующих опухолей гипофиза, а также ципрогептадин, понижающий уровень кортикостероидов у пациентов с синдромом Кушинга. Альтернативным методом лечения опухолей гипофиза является замораживание участка ткани железы при помощи зонда, введенного через клиновидную кость.
Прогноз при опухолях гипофиза
Дальнейший прогноз при опухолях гипофиза во многом определяется размерами аденом, возможностью их радикального удаления и гормональной активностью. У пациентов с пролактиномами и соматотропиномами полное восстановление гормональной функции наблюдается в четверти случаев, при адренокортикотропинпродуцирующих аденомах - в 70-80% случаев.
Макроаденомы гипофиза размером более 2 см полностью удалить невозможно, поэтому возможны их рецидивы в течение 5-летнего срока после операции.
Читайте также:
