Значение ЭхоКГ в тактике лечения аортальной недостаточности
Добавил пользователь Владимир З. Обновлено: 21.11.2025
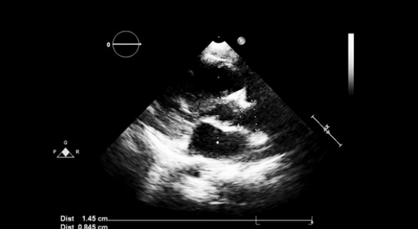
При проведении эхокардиографии всегда исследуется аорта. Как и в случае с другими артериями, стенка имеет 3 слоя - интиму, медиа и адвентицию. Это - самая большая артерия в организме, по ней проходит насыщенная кислородом кровь из ЛЖ. Аорта при проведении ЭхоКГ делится на:
- Корень аорты (фиброзное кольцо аортального клапана, створки, синусы Вальсальвы и синотубулярное соединение)
- Восходящий отдел
- Дуга аорты
Важность измерений корня аорты и восходящей аорты на эхокардиографии
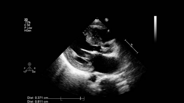
ЭхоКГ можно использовать для исследования аорты. У взрослых первые несколько сантиметров аорты можно увидеть как тонкую, яркую трубчатую эхоструктуру на трансторакальной эхокардиографии на парастернальной длинной оси и в апикальной 5-камерной проекции. ЭхоКГ (в M-режиме или 2-D) можно использовать для измерения размеров корня аорты и восходящей аорты в 4 точках во время конечной диастолы (кроме кольца аорты, которое измеряется в середине систолы): фиброзное кольцо АК, синусы Вальсальвы, синотубулярный переход и восходящая аорты. Перед операцией на аортальном клапане необходимы подробные знания и количественная оценка морфологии корня аорты и аортального клапана. Эти параметры также важны с увеличением использования процедур транскатетерной имплантации / замены AК (TAVI / TAVR).Максимальные диаметры указаны в таблице.
ТАБЛИЦА Эхокардиогрфические измерения размеров корня аорты и восходящей аорты - нормальные значения (см)
| Параметр | Женщины | Мужчины |
| Кольцо аорты (см) | 2,1-2,5 | 2,3-2,9 |
| Синусы Вальсальвы (см) | 2,7-3,3 | 3,1-3,7 |
| Синотубулярный переход (см) | 2,3-2,9 | 2,6-3,2 |
| Восходящая аорта (см) | 2,3-3,1 | 2,6-3,4 |

Эхокардиография может быть использована для исследования дуги аорты, ее ветвей и восходящей аорты в супрастернальной и правой парастернальной проекции соответственно. Эти ЭхоКГ изображения могут быть затруднены у взрослых. Чреспищеводная эхокардиография дает отличные изображения восходящей аорты, дуги и нисходящей аорты. Заболевания аорты включают врожденные аномалии, такие как коарктация и приобретенные состояния (к ним относятся атеросклероз, который можно визуализировать на трансторакальной эхокардиографии, но особенно хорошо при чреспищеводном доступ, аневризму аорты и расслоение аорты.
Аневризма аорты на эхокардиографии
Аневризма — это фиксированная локализованная дилатация аорты диаметром> 50% от верхней границы нормы. Данное патологическое состояние может произойти в восходящей, дуге или нисходящей аорте. В истинной аневризме присутствуют все слои артерии, в отличие от ложной. Аневризмы могут быть веретенообразными (симметричными) или мешковидными (асимметричными, с узкой шейкой). Причины и факторы риска аневризм аорты подробно описаны в других статьях блога.
На трансторакальной эхокардиографии могут быть обнаружены аневризмы восходящей аорты и дуги аорты. Чреспищеводная эхокардиография - отличный метод для оценки аневризм по всей аорте. Эффекты аневризм аорты зависят от их размера и местоположения. Они могут разрываться (повышенный риск при увеличении диаметра), вызывать сдавление (например, на пищевод, вызывая дисфагию) или быть связанными с другими аномалиями (например, аортальная регургитация при синдроме Марфана. Решение о том, следует ли лечить аневризму аорты хирургическим путем, основывается на местоположении, размерах, эффектах и сопутствующих сердечно-сосудистых и медицинских состояниях. Аневризмы брюшной аорты можно оценить с помощью ультразвука передней брюшной стенки.
Расслоение аорты на эхокардиографии
Это ситуация, которая относиться к неотложной медицинской помощи, которая возникает, когда интима отрывается от остальной стенки аорты, вызывая расслоение лоскута. Кровь движется вдоль этой плоскости и вызывает образования ложного просвета и может повторно войти в аорту ниже уровня разрыва (имеется две точки: входа и выхода).
Причины и факторы риска расслоения аорты аналогичны причинам аневризм аорты. Расположение расслоения определяет клиническую картину и лечение, которое может быть медикаментозным (обычная первая линия для расслоения дистального отдела аорты) или хирургическим (обычное лечение расслоения проксимального отдела аорты - восходящего отдела и дуги). Некоторые случаи расслоения нисходящей аорты можно лечить хирургическим путем или стентированием аорты. Клинические проявления расслоения аорты обычно проявляются сильной болью в груди, часто ощущаемой как ощущение разрыва между лопатками, или последствиями расслоения (например, острая сердечная недостаточность из-за острой аортальной регургитации, если расслоение затрагивает корень аорты и аортальный клапан). Трансторакальная эхокардиография может показать расслоение восходящей аорты и возможные осложнения, такие как аортальная регургитация. Чреспищеводная эхокардиография (2-D и 3-D) отлично подходит для оценки расслоения аорты.

Транскатетерные процедуры на аортальном клапане и корне аорты
Транскатетерная имплантация или замена аортального клапана (АК) (TAVI, также называемая TAVR) или чрескожная замена АК (PAVR) — это новые методы, которые все чаще используются для лечения тяжелого клапанного аортального стеноза у пациентов с симптомами, когда хирургическая (открытая) замена аортального клапана невозможна или нецелесообразна. пример из-за существующих тяжелых сопутствующих заболеваний.
TAVI включает имплантацию стентированного протеза АК через нативный стенозированный аортальный клапан. Обычно для этого используется чрескожный катетерный доступ через общую бедренную артерию, хотя существуют трансапикальные, трансаортальные и транскавальные подходы. Родной аортальный клапан удерживается открытым с помощью введенного стента, а новый искусственный клапан начинает работать сразу. Эхокардиография играет жизненно важную роль на каждом этапе этих новых процедур. Используются разные изображения на ЭхоКГ: 2-D и 3-D эхокардиография, с трансторакальным или чреспищеводным доступом.
Эхокардиография полезна в:
- Предоперационной подготовке - оценка степени тяжести аортального стеноза, измерение размеров фиброзного кольца для выбора правильного размера стентированного АК (либо методом трансторакальной эхокардиографии, либо чреспищеводной, в 2-D или 3-D режимах), оценка того, является ли АК трехстворчатым или двустворчатым (технически сложнее), анатомия корня аорты и выводного тракта левого желудочка. Оценка функции ЛЖ и систолического давления в легочной артерии. Оценка сопутствующих поражений клапанов (например, митральная регургитация и внутрисердечный тромб). Другие методы визуализации (такие как КТ и МРТ сердца) также могут быть полезны, например, для определения истоков коронарных артерий и их связи с атриовентрикулярным кольцом.
- Внутрипроцедурный мониторинг - с использованием чреспищеводной эхокардиографии. Этот подход не всегда используется и требует общей анестезии, но может быть полезным в некоторых случаях, особенно на этапах процедурного обучения и может помочь с правильной установкой протеза (в сочетании с рентгеноскопией).
- Немедленная оценка осложнений и успеха после процедуры
- Поздняя оценка после процедуры - адекватность последующего наблюдения за процедурой (например, оценка любого АР), оценка функции ЛЖ и систолического давления в ПА.
Синус аневризмы Вальсальвы аорты на эхокардиографии
Синусы Вальсальвы — это выбухания аорты, из которых берут начало коронарные артерии. Они могут стать аневризматически расширенными по нескольким причинам:
Аортальная (клапанная) недостаточность (I35.1)
Аортальная регургитация (недостаточность) - заболевание, характеризующееся ретроградным током крови из аорты в левый желудочек через патологически измененный аортальный клапан. Причиной аортальной недостаточности может быть поражение створок клапана, корня аорты и восходящей аорты.
Хроническая и острая аортальная недостаточность - это заболевания, отличающиеся этиологией, клинической картиной, прогнозом и лечением.


Автоматизация клиники: быстро и недорого!
- Подключено 300 клиник из 4 стран
- 800 RUB / 4500 KZT / 27 BYN - 1 рабочее место в месяц

Автоматизация клиники: быстро и недорого!
- Подключено 300 клиник из 4 стран
- 1 место - 800 RUB / 4500 KZT / 27 BYN в месяц
Мне интересно! Свяжитесь со мной
Классификация
Тяжесть аортальной недостаточности определяют исходя из объема регургитирующей крови.
В зависимости от длины струи регургитации в левом желудочке выделяют четыре степени аортальной недостаточности (полуколичественный признак):
- I степень - регургитация в пределах выносящего тракта левого желудочка;
- II степень - до передней митральной створки;
- III степень - до уровня сосочковых мышц;
- IV степень - до сосочковых мышц и далее до стенки левого желудочка.
Аортальная регургитация - критерии АСС/АНА (Американский кардиологический колледж/ Американская ассоциация сердца)
Степень по данным ангиографии
Ширина потока при цветовом допплеровском картировании
Центральный поток регургитации шириной менее 25% ширины выносящего пути левого желудочка
Промежуточные значения между легкой и тяжелой степенью аортальной регургитации
Центральный поток регургитации шириной ≥ 65% ширины выносящего пути левого желудочка
"Vena contracta", ширина (см)
Количественные (полученные при эхоскопии или катетеризации полостей сердца) критерии
Объем регургитации (мл/сокращение)
Площадь потока регургитации (см 2 )
Увеличение размеров левого желудочка
Этиология и патогенез
Основные причины хронической аортальной недостаточности
Патология клапана:
- ревматизм;
- инфекционный эндокардит;
- травма;
- двустворчатый аортальный клапан;
- миксоматозная дегенерация;
- врожденная аортальная недостаточность;
- с истемная красная волчанка;
- ревматоидный артрит;
- анкилозирующий спондилит;
- аортоартериит (болезнь Такаясу);
- болезнь Уиппла;
- болезнь Крона;
- лекарственное поражение клапана;
- изнашивание биопротезов аортального клапана.
Патология корня аорты и восходящей аорты:
- старческое расширение корня аорты;
- аортоаннулярная эктазия;
- кистозный медионекроз аорты (как самостоятельное заболевание и при синдроме Марфана);
- артериальная гипертония;
- аортит (сифилитический, при гигантоклеточном артериите);
- синдром Рейтера;
- анкилозирующий спондилит;
- болезнь Бехчета;
- псориатический артрит;
- несовершенный остеогенез;
- рецидивирующий полихондрит;
- синдром Эллерса-Данло.
Основные причины острой аортальной недостаточности
Патология клапана:
- травма;
- инфекционный эндокардит;
- острая дисфункция протезированного клапана;
- баллонная вальвулопластика по поводу аортального стеноза.
Патология корня аорты и восходящей аорты:
- расслаивающая аневризма аорты;
- парапротезная фистула и отрыв пришивного кольца.
Гемодинамика
Хроническая аортальная недостаточность
Аортальная недостаточность приводит к сбросу части ударного объема обратно в левый желудочек, что обуславливает увеличение конечно-диастолического объема левого желудочка и напряжения в его стенке. В ответ на это развивается эксцентрическая гипертрофия левого желудочка.
Диастолическое давление в левом желудочке, несмотря на большой конечно-диастолический объем, почти не повышается до тех пор, пока аортальная недостаточность остается компенсированной. Нормальный сердечный выброс поддерживается за счет резкого увеличения ударного объема. Но податливость левого желудочка постепенно уменьшается вследствие фиброза Фиброз - разрастание волокнистой соединительной ткани, происходящее, например, в исходе воспаления.
миокарда Миокард (син. мышца сердечная) - средний слой стенки сердца, образованный сократительными мышечными волокнами и атипичными волокнами, составляющими проводящую систему сердца
, происходит декомпенсация. В результате постоянной перегрузки объемом, систолическая функция левого желудочка снижается, в нем возрастает конечно-диастолическое давление, происходит его дилатация Дилатация - стойкое диффузное расширение просвета какого-либо полого органа.
, падает фракция выброса и уменьшается сердечный выброс.
Острая аортальная недостаточность
Эпидемиология
Около 75 % больных с чистой или преобладающей недостаточностью клапана аорты - лица мужского пола. Недостаточность клапана аорты и сопутствующее поражение левого предсердно-желудочкового клапана чаще встречается у женщин.
Клиническая картина
Cимптомы, течение
Острая аортальная недостаточность приводит к резкому нарушению гемодинамики и проявляется такими симптомами, как слабость, тяжелая одышка, обмороки, нарушение сознания. При отсутствии лечения быстро развивается шок. Если острая аортальная недостаточность сопровождается болью в груди, необходимо исключить расслаивающую аневризму аорты.
Основные клинические симптомы
Одышка - вначале появляется при значительной физической нагрузке, а затем и в покое (по мере развития левожелудочковой недостаточности). Одышка напоминает сердечную астму. Иногда течение внезапно осложняется отеком легких в результате левожелудочковой недостаточности.
Сердцебиение и головокружение - в некоторых случаях.
Стенокардия - ведущий симптом приблизительно у 50% больных с недостаточностью аортального клапана атеросклеротической или сифилитической этиологии.
Периферические симптомы, характерные для выраженной недостаточности аортального клапана и обусловленные большими перепадами давления в сосудистом русле:
- бледность кожных покровов;
- отчетливая пульсация сонных артерий ("пляска каротид");
- пульсация височных и плечевых артерий;
- синхронное с пульсацией сонных артерий сотрясение головы (симптом Мюссе);
- пульсирующее сужение зрачков (симптом Ландольфи);
- капиллярный пульс - ритмичное изменение интенсивности окраски небного язычка и миндалин (симптом Мюллера), ногтевого ложа (симптом Квинке).
При осмотре определяются:
- высокий и скорый пульс (пульс Корригана);
- усиленный и разлитой верхушечный толчок;
- расширенные влево и вниз границы сердца.
Над крупными сосудами выслушивается двойной тон Траубе. При надавливании стетоскопом на подвздошную артерию в области пупартовой связки возникает двойной шум Дюрозье. Систолическое артериальное давление чаще повышено до 160-180 мм рт. ст., а диастолическое - резко снижено - до 50-30 мм рт. ст.
Диагностика
Электрокардиограмма. При нерезко выраженном пороке может быть нормальной. При выраженной аортальной недостаточности наблюдаются отклонение электрической оси сердца влево, признаки гипертрофии левого желудочка в виде увеличенной амплитуды зубцов комплекса QRS в соответствующих отведениях, чаще в сочетании с измененной конечной частью желудочкового комплекса (уплощение, инверсия зубца Т, снижение сегмента ST) в тех же отведениях. Иногда отмечается удлинение интервала P-Q, которое указывает на нарушение AV-проводимости.
Фонокардиограмма - регистрируется диастолический шум, следующий сразу за II тоном; может занимать всю диастолу.
Рентгенологическое исследование - выявляет увеличение сердца. Левый желудочек массивный и удлиненный, с закругленной верхушкой. Восходящая часть аорты расширена, выступает по правому контуру тени сердца, по левому контуру определяется расширенная дуга аорты. Сердце приобретает аортальную конфигурацию.
Эхокардиография - важный метод в диагностике аортальной недостаточности. Наиболее часто обнаруживаются следующие изменения:
- дилатация и гипертрофия левого желудочка;
- увеличение амплитуды движения межжелудочковой перегородки и задней стенки левого желудочка;
- увеличение переднезаднего размера левого предсердия (в систолу - до 55 мм, в диастолу - до 70 мм);
- отсутствие диастолического смыкания створок аортального клапана.
Рекомендации к проведению эхокардиографии (Американский кардиологический колледж, 1998)
1. Необходимость подтвердить наличие и определить степень тяжести острой аортальной регургитации.
2. Диагностика хронической аортальной регургитации у пациентов с сомнительными данными объективного исследования.
3. Оценка этиологии аортальной регургитации (включая изучение состояния клапана, а также состояния и размера устья аорты).
4. Оценка степени гипертрофии левого желудочка, его размеров, объема и систолической функции.
5. Полуколичественная оценка степени тяжести аортальной регургитации.
6. Повторное обследование пациентов с умеренной или тяжелой аортальной регургитацией, у которых клиническая симптоматика за последнее время изменилась.
7. Повторное обследование пациентов без характерной клинической симптоматики для определения у них размеров левого желудочка и сохранности его функции.
8. Повторное обследование пациентов с мягкой, умеренной или тяжелой аортальной регургитацией и увеличенным устьем аорты без характерной клинической симптоматики.
Критерии тяжелой аортальной регургитации
Специфические признаки:
- центральный ток шириной ≥ 65% выносящего тракта левого желудочка;
- vena contracta > 0,6 см (предел Nyquist 50-60 см/с).
"Поддерживающие" признаки:
- давление (метод полувремени < 200 мс);
- голодиастолический противоток в нисходящей аорте;
- умеренная или значительная дилатация левого желудочка.
Количественные параметры:
- объем регургитации (R vol) ≥ 60 мл/уд.;
- фракция регургитации (RF) ≥ 50%;
- эффективная площадь регургитации (ERO) ≥ 0,30 см 2 .
Катетеризация правых отделов позволяет определить уровень легочно-капиллярного давления и волну регургитации.
Катетеризация левых отделов сердца обнаруживает увеличение амплитуды пульсового давления.
При аортографии определяется выраженная регургитация из аорты в левый желудочек.
Дифференциальный диагноз
Диастолический шум на аорте и в V точке может быть и функциональным, например при уремии .
Распознавание может быть затруднено при сочетанных пороках сердца и небольшой аортальной недостаточности. В этих случаях проводится Эхо-КГ (особенно эффективна в сочетании с допплер-кардиографией). Наибольшие трудности возникают при установлении этиологии аортальной регургитации. Кроме распространенных причин ее развития (ревматизм, инфекционный эндокардит), возможны и другие, более редкие, причины (миксоматозное поражение клапана, мукополисахаридоз, несовершенный остеогенез).
Ревматическое происхождение порока сердца может быть подтверждено данными анамнеза, поскольку приблизительно у половины таких больных присутствуют указания на типичный ревматический полиартрит. В пользу ревматической этиологии порока свидетельствует наличие убедительных признаков митрального или аортального стеноза.
Выявление аортального стеноза может вызывать затруднения, поскольку систолический шум над аортой выслушивается и при чистой аортальной недостаточности, а систолическое дрожание над аортой бывает лишь при ее резком стенозе. В связи с этим, большое значение имеет проведение Эхо-КГ.
У больного с ревматическим митральным пороком сердца появление аортальной недостаточности может быть обусловлено рецидивом ревматизма, однако в данной ситуации всегда возникает подозрение на развитие инфекционного эндокардита. Требуется проведение тщательного обследования больного с повторными посевами крови.
Недостаточность клапана аорты сифилитического происхождения в последние годы встречается значительно реже. Выявление признаков позднего сифилиса других органов, например, поражения центральной нервной системы, облегчает диагностику. При этом диастолический шум лучше выслушивается не в точке Бoткина, а над аортой - во втором межреберье справа и широко распространяется вниз, в обе стороны от грудины. Расширена восходящая часть аорты. Положительные серологические реакции наблюдаются в значительном числе случаев, важное значение имеет реакция иммобилизации бледной трепонемы.
При ревматоидном артрите (серопозитивном) приблизительно в 2-3% случаев наблюдается аортальная недостаточность, а при длительном течении (25 лет) болезни Бехтерева - в 10% случаев. Описаны случаи ревматоидной аортальной недостаточности задолго до появления признаков поражения позвоночника или суставов. Еще реже этот порок наблюдается при системной красной волчанке.
Кистозный некроз, без других признаков синдрoма Марфана, называют синдромом Эрдхейма. Считают, что аналогичные изменения могут одновременно или самостоятельно возникать и в легочных артериях, вызывая их, так называемое "врожденное идиопатическое расширение".
При дифференциальной диагностике поражения аорты при синдроме Марфана от сифилитического важным признаком является отсутствие кальциноза аорты. Поражение митрального клапана и хорд с их обрывом, возникает лишь у части больных, обычно сопутствует поражению аорты и приводит к пролабированию створок митрального клапана с митральной недостаточностью.
Редкой причиной аортальной недостаточности может быть болезнь Такаясу - неспецифический аортоартериит. Заболевание встречается преимущественно у молодых женщин во втором-третьем десятилетии жизни и связано с иммунными нарушениями. Начальные симптомы носят общий характер: лихорадка, похудание, боли в суставах. В дальнейшем, в клинической картине преобладают признаки поражения крупных артерий, отходящих от аорты, чаще от ее дуги. В результате нарушения проходимости по артериям часто исчезает пульс (в некоторых случаях только на одной руке). Поражение крупных артерий дуги аорты может привести к цереброваскулярной недостаточности и нарушению зрения. Поражение почечных артерий сопровождается развитием артериальной гипертензии.
Осложнения
К осложнениям относятся присоединение инфекционного эндокардита, появление коронарной недостаточности, приступов сердечной астмы.
Лечение
Медикаментозная терапия
Для борьбы с гипотензией и экстренного протезирования аортального клапана при острой аортальной недостаточности требуется назначение вазодилататоров (нитропруссид натрия) в сочетании с инотропными средствами (дофамин).
В бессимптомную стадию хронической аортальной недостаточности следует ограничить изометрические физические нагрузки, так как существует опасность развития повреждения корня аорты из-за нарастания регургитации.
Для улучшения функции левого желудочка возможно назначение вазодилататоров (ингибиторов ангиотензинпревращающего фермента).
Показана профилактика инфекционного эндокардита.
В случае наступления беременности ее прерывание целесообразно лишь при нарастании симптомов сердечной недостаточности.
В лечении сердечной недостаточности, наряду с вазодилататорами, применяются сердечные гликозиды и диуретики. Вследствие возможного увеличения объема регургитации, противопоказаны бета-адреноблокаторы и внутриаортальная баллонная контрпульсация .
Рекомендации Европейского общества кардиологов относительно особенностей фармакотерапии при аортальной регургитации (АР)
Хирургическое лечение
Цель операции при хронической аортальной регургитации - избежать систолической дисфункции левого желудочка и/или осложнений аорты.
Степень тяжести аортальной регургитации определяют на основании данных клинического и ЭхоКГ исследований.
У бессимптомнных пациентов перед операцией гемодинамические параметры необходимо качественно измерять несколько раз.
Протезирование аортального клапана уменьшает выраженность симптомов, улучшает функциональный класс и выживаемость, уменьшает количество осложнений.
Прогноз
Бессимптомная среднетяжелая аортальная недостаточность. При отсутствии дисфункции и дилатации левого желудочка прогноз, как правило, благоприятный. При бессимптомном течении и нормальной функции левого желудочка протезирование аортального клапана требуется 4% больных в год.
В течение 3 лет после постановки диагноза жалобы возникают у 10% больных, в течение 5 лет - у 19%, в течение 7 лет - у 25%.
Легкая и умеренная аортальная недостаточность. 10-летняя выживаемость составляет 85-95%. При среднетяжелой аортальной недостаточности 5-летняя выживаемость при медикаментозном лечении составляет 75%, 10-летняя - 50%. После развития дисфункции левого желудочка, жалобы появляются очень быстро - у 25% больных за год. После появления жалоб состояние быстро ухудшается. Без хирургического лечения больные обычно умирают в течение 4 лет после появления стенокардии и в течение 2 лет после развития сердечной недостаточности.
Тяжелая клинически явная аортальная недостаточность. Возможна внезапная смерть вследствие желудочковых аритмий, возникающих из-за гипертрофии и дисфункции левого желудочка или ишемии миокарда.
Профилактика
Наблюдение за пациентами с аортальной регургитацией согласно рекомендациям Европейского общества кардиологов:
1. Пациентам с "мягкой" и умеренной аортальной регургитацией рекомендуется ежегодное обследование с оценкой ЭхоКГ-параметров не реже чем 1 раз в 2 года.
2. В случаях тяжелой аортальной регургитации без дисфункции левого желудочка частота визитов и обследований составляет 1 раз в 6 или 12 месяцев (в зависимости от динамики размеров и фракции выброса левого желудочка.
3. При наличии расширения корня аорты (особенно на фоне синдрома Марфана и бикуспидального клапана) следует оценивать ее размер ежегодно или чаще, если наблюдается прогрессия.
Ревматическая недостаточность аортального клапана (I06.1)
Хроническая и острая аортальная недостаточность - это очень разные заболевания, они отличаются этиологией, клинической картиной, прогнозом и лечением.

Тяжесть аортальной недостаточности определяют исходя из объема регургитирующей крови. В зависимости от длины струи регургитации в левом желудочке выделяют четыре степени аортальной недостаточности (полуколичественный признак):
- I степень - регургитация в пределах выносящего тракта левого желудочка;
- II степень - до передней митральной створки;
- III степень - до уровня сосочковых мышц;
- IV степень - до сосочковых мышц и далее до стенки левого желудочка.
Аортальная регургитация (критерии АСС/АНА - Американский кардиологический колледж/ Американская ассоциация сердца)
| Признак | Легкий | Умеренный | Тяжелый |
| Качественные критерии | |||
| Степень по данным ангиографии | 1+ | 2+ | 3-4+ |
| Ширина потока при цветовом допплеровском картировании | Центральный поток регургитации шириной менее 25% ширины выносящего пути левого желудочка | Промежуточные значения между легкой и тяжелой степенью аортальной регургитации | Центральный поток регургитации шириной ≥ 65% ширины выносящего пути левого желудочка |
| "Vena contracta", ширина (см) | менее 0,3 | 0,3-0,6 | более 0,6 |
| Количественные (полученные при эхоскопии или катетеризации полостей сердца) критерии | |||
| Объем регургитации (мл/сокращение) | менее 30 | 30-59 | более 60 |
| Фракция регургитации (%) | менее 30 | 30-49 | более 50 |
| Площадь потока регургитации, (см2) | менее 0,1 | 0,1-0,29 | более 0,3 |
| Дополнительные критерии | |||
| Увеличение размеров левого желудочка | - | - | + |
Ревматические изменения, как правило, возникают около фиброзного кольца и оттуда распространяются на створки клапана. В результате створки утолщаются, становятся отечными, по линии смыкания створок образуются бородавки.
Аортальная недостаточность, развивающаяся при остром ревматическом кардите, может носить преходящий характер.
В результате всех этих изменений развивается несмыкание створок во время диастолы.
Объем возвратившейся крови зависит от величины клапанного дефекта. При дефекте площадью около 0,5 см 2 в левый желудочек возвращается от 2 до 5 л минутного объема крови (50% и более всего сердечного выброса).
При небольшом объеме регургитации градиент давления между аортой и левым желудочком во время диастолы существенно не отклоняется от нормы, мало изменяется и давление в аорте.
Если объем регургитации значителен, в аорте резко снижается давление и к концу диастолы приближается к нулю, что приводит к исчезновению периода изоволюмического напряжения левого желудочка. Отток крови на периферию и регургитация приводят к прогрессирующему снижению давления в аорте, при этом амплитуда пульсового давления может превышать 100 мм рт. ст.
Необходимое капиллярное давление поддерживается за счет укорочения диастолического периода и вследствие того, что капилляры наполняются только в период систолы, наполнение имеет пульсирующий характер, что в свою очередь ведет к появлению многочисленных периферических сосудистых и капиллярных признаков аортальной недостаточности.
В поддержании компенсации кровообращения при недостаточности аортального клапана имеет значение активное изменение тонуса периферических сосудов: преходящее его снижение в период систолы и повышение во время диастолы левого желудочка. Обратный ток крови в левый желудочек резко увеличивает объем выполняемой им работы. Вначале левый желудочек увеличивается в результате диастолического растяжения, затем он гипертрофируется, масса его миокарда может увеличиваться втрое.
При постепенно развивающейся недостаточности аортального клапана давление в полости желудочка сохраняется на нормальных цифрах, что соответствует фазе гиперфункции и гипертрофии левого желудочка. Истощение функциональных резервов приводит к повышению диастолического давления в левом желудочке, его дилатации и к относительной недостаточности митрального клапана ("митрализация" аортального порока) с последующей легочной гипертензией Легочная гипертензия - повышенное давление крови в сосудах малого круга кровообращения
.
Большое значение в развитии недостаточности левого желудочка имеет и недостаточное коронарное кровообращение, возникающее вследствие низкого диастолического давления и несоответствия обычного коронарного кровотока увеличившейся массе миокарда.
Недостаточность аортального клапана — второй по частоте порок сердца после митрального. Обычно аортальная недостаточность комбинируется с сужением устья аорты, а из пороков других клапанов — чаще всего с сужением левого венозного устья. У мужчин этот порок встречается несколько чаще, чем у женщин.
Основные клинические симптомы
При осмотре определяются:
- высокий и скорый пульс (пульс Корригана);
- усиленный и разлитой верхушечный толчок;
- расширенные влево и вниз границы сердца.
Над крупными сосудами выслушивается двойной тон Траубе. При надавливании стетоскопом на подвздошную артерию в области пупартовой связки возникает двойной шум Дюрозье. Систолическое артериальное давление чаще повышено до 160-180 мм рт. ст., а диастолическое - резко снижено - до 50-30 мм рт. ст.
Другой признак выраженной недостаточности аортального клапана - верхушечный диастолический низкочастотный шум Остина Флинта. Он вызван потоком крови, направленным в переднюю створку, что обуславливает вибрацию и появление мезодиастолического шума ("пистолетный выстрел"), выслушиваемого на уровне бедренных артерий. II тон на аорте в случае аневризмы ее корня может быть более громким. При декомпенсации левого желудочка пульсовое давление уменьшается и на верхушке может возникать III тон.
Электрокардиограмма. При нерезко выраженном пороке может быть нормальной. При выраженной аортальной недостаточности наблюдаются отклонение электрической оси сердца влево, признаки гипертрофии левого желудочка в виде увеличенной амплитуды зубцов комплекса QRS в соответствующих отведениях, чаще в сочетании с измененной конечной частью желудочкового комплекса (уплощение, инверсия зубца Т, снижение сегмента ST) в тех же отведениях. Иногда отмечается удлинение интервала P-Q, которое указывает на нарушение AV-проводимости.
Эхокардиография - важный метод в диагностике аортальной недостаточности. Наиболее часто обнаруживаются следующие изменения:
- дилатация и гипертрофия левого желудочка;
- увеличение амплитуды движения межжелудочковой перегородки и задней стенки левого желудочка;
- увеличение переднезаднего размера левого предсердия (в систолу - до 55 мм, в диастолу - до 70 мм);
- отсутствие диастолического смыкания створок аортального клапана.
1. Необходимость подтвердить наличие и определить степень тяжести острой аортальной регургитации.
2. Диагностика хронической аортальной регургитации у пациентов с сомнительными данными объективного исследования.
3. Оценка этиологии аортальной регургитации (включая изучение состояния клапана, а также состояния и размера устья аорты).
4. Оценка степени гипертрофии левого желудочка, его размеров, объема и систолической функции.
5. Полуколичественная оценка степени тяжести аортальной регургитации.
6. Повторное обследование пациентов с умеренной или тяжелой аортальной регургитацией, у которых клиническая симптоматика за последнее время изменилась.
7. Повторное обследование пациентов без характерной клинической симптоматики для определения у них размеров левого желудочка и сохранности его функции.
8. Повторное обследование пациентов с мягкой, умеренной или тяжелой аортальной регургитацией и увеличенным устьем аорты без характерной клинической симптоматики.
Катетеризация правых отделов позволяет определить уровень легочно-капиллярного давления и волну регургитации.
Катетеризация левых отделов сердца обнаруживает увеличение амплитуды пульсового давления.
Существенное значение при установлении диагноза имеют данные дополнительных исследований:
- рентгенография;
- фонокардиография;
- электрокардиография;
- сфигмография ;
- электрокимография ;
- апекскардиография ;
- баллистокардиография ;
- фоноартериография.
Затруднения в установлении диагноза возникают в следующих случаях:
- при комбинации аортальной недостаточности с митральным пороком, особенно выраженным митральным стенозом , когда признаки ее часто затушеваны и она может быть не распознана;
- при минимальной степени аортальной недостаточности.
Если аортальная недостаточность сочетается с нерезким сужением устья аорты, то систолический шум на основании сердца часто принимается за "сопровождающий" шум при изолированной недостаточности клапана аорты (в этом случае диагностическое значение имеют данные фонокардиографии, фоноартериографии и сфигмографии).
Сочетание аортальной недостаточности с митральным или аортальным стенозом свидетельствует о ревматической этиологии порока.
Атеросклеротическая форма недостаточности клапана аорты часто сочетается с гипертензией.
Ревматическая недостаточность аортального клапана может осложняться присоединением инфекционного эндокардита, появлением коронарной недостаточности, приступов сердечной астмы.
Консервативное лечение
При развитии недостаточности кровообращения предпочтительно применение строфантина или коргликона.
Нет противопоказаний для применения препаратов дигиталиса, но следует остерегаться возникновения выраженной брадикардии.
Одышка при физическом напряжении (тем более - в покое) и даже короткие приступы удушья по ночам являются показанием к началу лечения сердечными гликозидами. Объективно к таким признакам также относятся появление ритма галопа, значительное расширение сердца влево, венозный застой в малом круге, резкая перегрузка левого желудочка (по данным электрокардиограммы), снижение систолических комплексов на баллистокардиограмме.
При компенсированной аортальной недостаточности нет необходимости в специальном лечении, ограничиваются соблюдением общих гигиенических правил, исключением физических перенапряжений, тщательным лечением интеркуррентных заболеваний и ликвидацией очаговых инфекций.
Хирургическая коррекция. Показания: одышка, боли в области сердца (особенно если эти симптомы прогрессируют).
Протезирование аортального клапана уменьшает выраженность симптомов, улучшает функциональный класс и выживаемость, уменьшает количество осложнений.
При бессимптомной среднетяжелой аортальной недостаточности прогноз в отсутствие дисфункции и дилатации левого желудочка обычно благоприятный.
При бессимптомном течении и нормальной функции левого желудочка протезирование аортального клапана требуется 4% больных в год.
В течение 3 лет после постановки диагноза жалобы появляются у 10% больных; в течение 5 лет - у 19%; в течение 7 лет - у 25%.
При легкой и умеренной аортальной недостаточности десятилетняя выживаемость составляет 85-95%.
При среднетяжелой аортальной недостаточности пятилетняя выживаемость при медикаментозном лечении составляет 75%, десятилетняя - 50%.
После развития дисфункции левого желудочка жалобы появляются очень быстро: у 25% больных в течение года. После того как появляются жалобы, состояние быстро ухудшается. Без хирургического лечения больные обычно умирают в течение 4 лет после появления стенокардии и в течение 2 лет после развития сердечной недостаточности.
При тяжелой клинически явной аортальной недостаточности возможна внезапная смерть. Ее причиной обычно служат желудочковые аритмии, возникающие из-за гипертрофии и дисфункции левого желудочка или ишемии миокарда.
В соответствии с данными экспертов Американской кардиологической ассоциации все пациенты с ревматическим пороком сердца входят в группу умеренного риска по развитию инфекционного эндокардита. Этим пациентам при выполнении различных медицинских манипуляций, связанных с риском развития бактериемии (экстракция зуба, тонзиллэктомия Тонзиллэктомия - хирургическая операция по полному удалению небных миндалин
, операции на желчных путях или кишечнике и т.д.) необходимо профилактическое назначение антибиотиков.
При манипуляциях в полости рта, пищеводе, дыхательных путях:
- взрослым внутрь за 1 час до процедуры - амоксициллин 2 г однократно, детям до 12 лет - амоксициллин из расчета 50 мг/кг.
- при аллергии к пенициллину за 1 час до процедуры взрослым - внутрь клиндамицин 600 мг или азитромицин 500 мг, или кларитромицин 500 мг, или цефалексин 2 г; детям до 12 лет - клиндамицин 20 мг/кг, цефалексин 50 мг/кг, азитромицин 15 мг/кг, кларитромицин 15 мг/кг.
При манипуляциях на желудочно-кишечном и урогенитальном трактах:
- взрослым - амоксициллин 2 г внутрь за 1 час до процедуры или ампициллин 2 г в/в или в/м, введение закончить за 30 минут до процедуры; детям до 12 лет - амоксициллин 50 мг/кг или ампициллин 50 мг/кг в/в или в/м за 30 минут до процедуры;
- при аллергии к пенициллину взрослым - ванкомицин 1 г в/в в течение 1-2 часов, введение закончить за 30 минут до процедуры; детям до 12 лет - ванкомицин 20 мг/кг в/в в течение 1-2 часов, введение закончить за 30 минут до процедуры.
Бициллин-1 вводят в/м:
- взрослым и подросткам - 2,4 млн Ед;
- детям при массе тела менее 25 кг - 600 000 Ед;
- детям с массой тела более 25 кг -1,2 млн Ед.
Бициллинопрофилактика проводится круглогодично. Для больных с ревматическим пороком сердца проводится пожизненно.
ЭхоКГ и аортальная недостаточность
Эхокардиографическая диагностика аортальной регургитации
Аортальная недостаточность (АН) — это рефлюкс крови из аорты в ЛЖ во время диастолы. Все методы эхокардиографии полезны в диагностике и оценке аортальной недостаточности. Особенно полезны доплеровские и цветной допплеровский режим. М-режим и двумерная ЭхоКГ не могут напрямую диагностировать АН, но могут указывать на основные причины (например, расширенный корень аорты, двустворчатый аортальный клапан) и помогать в оценке эффектов АН (например, дилатация ЛЖ).
M-режим может показывать:
- Вегетации на аортальном клапане
- Дрожание створок AК в диастоле (например, разрыв из-за эндокардита или дегенерации)
- Эксцентриковая линия закрытия двустворчатого клапана
- Расширение корня аорты
- Дрожание передней створки МК
- Преждевременное открытие АК из-за повышенного конечно-диастолического давления в левом желудочке (КДДЛЖ) и преждевременного закрытия МК. Оба случая предполагают тяжелую аортальную регургитацию.
- Расширение полости ЛЖ из-за перегрузки объемом
- Увеличенное движение перегородки и задней стенки ЛЖ (преувеличенное раннее падение перегородки с большой вероятностью указывает на АН).
2-D эхокардиография может показать
- Расширение ЛЖ, которая коррелирует с тяжестью АН
- Аномальные створки (двустворчатые, ревматическое поражение)
- Вегетации
- Расширенный корень аорты
- Проксимальное расслоение аорты
- Аномальное вдавливание передней створки МК
- Аномальное движение межжелудочковой перегородки.
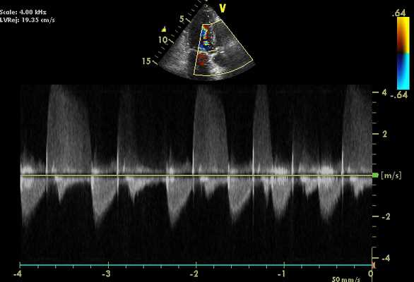
ЭхоКГ с допплерографией при аортальной регургитации
Это полезный метод как для обнаружения AН, так и для оценки ее серьезности. Отображение цветового потока очень показательно, при этом струю AН можно увидеть при попадании в полость ЛЖ на нескольких изображениях, таких как парастернальная длинная ось и апикальная 5-камерная. Импульсный допплер может использоваться в апикальной 5-камерной проекции с выставлением контрольного объема непосредственно проксимальнее аортального клапана. Аортальная недостаточность может быть обнаружен как сигнал выше базовой линии (по направлению к датчику), но поскольку скорость AР обычно высока (> 2 м/с), будет происходить наложение спектров. В этом случае полезен непрерывный волновой допплер, и сигнал будет виден выше базовой линии.
Есть 2 возможных осложняющих фактора затрудняющих диагностику аортальной недостаточности на эхокардиографии:
- Место АН может быть пропущено, особенно если она эксцентричная. Цветное отображение потока может обнаружить струю и помочь разместить контрольный объем импульсно-волнового допплера, который можно перемещать по всей длине выводного тракта ЛЖ в нескольких различных представлениях.
- Струя аортальной регургитации бывает быть трудно отличить от высокоскоростной струи митрального стеноза, особенно в апикальной 5-камерной проекции (2 потока часто сосуществуют!). Цветное допплеровское картирование может подтвердить, какие есть изменения или если оба условия присутствуют, то импульсный допплер используется для отдельного картирования областей ВТЛЖ и MК. Непрерывный допплер при аортальной регургитации показывает сигнал скорости, начинающийся на ранней стадии и продолжающийся в течение диастолы с высокой пиковой скоростью (> 2 м/с). Митральный стеноз выдает сигнал средней диастолической скорости, обычно с максимальной скоростью

Оценка степени тяжести аортальной регургитации на ЭхоКГ
Как и в случае с MР, оценить тяжесть AН непросто. Используется ряд эхокардиографических критериев:
- Воздействие на ЛЖ
- Объем крови, поступающей через клапан.
- Скорость падения градиента давления между аортой и ЛЖ.
M-режим и 2-D ЭхоКГ показывают дилатацию ЛЖ с тяжелой АН. Прогрессирующая дилатация с симптомами или конечный систолический диаметр левого желудочка (КДРЛЖ) более 5,5 см являются показаниями к хирургическому вмешательству. Допплерография достаточно хорошо показывает тяжелую АН, но не очень хорошо различает легкую и умеренную аортальную регургитацию.
Используя импульсно-волновой допплерографию, контрольный объем можно разместить в различных положениях внутри полости ЛЖ, чтобы дать полуколичественное представление о степени тяжести, наблюдая, как далеко в полость ЛЖ проникает струя AР. В целом, легкая АН остается в области АК, умеренная АН остается между выходным трактом левого желудочка (ВТЛЖ) и уровнем МК выше уровня папиллярных мышц, а тяжелая АН распространяется до верхушки ЛЖ. Это дает только грубое и приближенное представление о тяжести регургитации, так как например узкая струя легкой АН может распространяться глубоко в полость ЛЖ, в то время как сильная широкая струя АН может иметь эксцентрический угол и не распространяться далеко в ЛЖ. Используя цветовое отображение потока, ширина струи регургитации непосредственно под AК указывает на серьезность. Это относится к области плохого закрытия клапанов (регургитирующего отверстия). Ширина струи> 60% ширины аорты на уровне створки обычно серьезна. Можно сделать стоп-кадр AР и использовать планиметрию для оценки площади поперечного сечения струи. Длина струи АН в полость ЛЖ на апикальной 5-камерной проекции также может указывать на тяжесть (более длинная струя - более тяжелая АН).
При непрерывном волновом доплеровском режиме наклон скорости замедления доплеровского сигнала AР может дать указание на серьезность, как и интенсивность сигнала (более интенсивный сигнал отражает более серьезную регургитацию на аорте). Основание для этого описано в главе 3. Ретроградный диастолический кровоток в дуге аорты также предполагает тяжелую АН.
Как и в случае МР с острым началом, эти эхо-признаки тяжелой АН могут не все присутствовать при острой АН (например, из-за эндокардита, который разрушил клапан, расслоения восходящей аорты или травмы). Полость ЛЖ на ЭхоКГ не успела расшириться, и поэтому даже относительно небольшой объем высокоскоростной струи АН в ЛЖ может вызвать повышение давления в легочных венах, что вызывает одышку и может вызвать отек легких.
Рекомендации ASE по оценке тяжести АН приведены в таблице
ЭхоКГ и аортальный клапан (часть 1)
Выводной тракт левого желудочка (ВТЛЖ) состоит из трех частей: подклапанного, клапанного и надклапанного компонентов. Обструкция кровотока на ЭхоКГ может возникать на любом уровне, но чаще всего вызвана поражением аортального клапана. В долгосрочной перспективе турбулентный поток через ВТЛЖ может привести к повреждению аортального клапана. Кроме того, увеличение постнагрузки может привести к прогрессирующему развитию гипертрофии левого желудочка, дилатации и, возможно, недостаточности, что является причиной значительной заболеваемости и смертности в этой группе пациентов. В настоящее время, после установления диагноза на ЭхоКГ кардиохирургия и транскатетерные процедуры являются основой терапии этих аномалий.
Анатомические особенности аортального клапана. Аортальный клапан — это пассивный клапан, состоящий на эхокардиографии из трех створок, принимающих форму полумесяца (полулунный). В противоположность митральному клапану нет настоящего фиброзного кольца аорты, но имеется сложный корень, состоящий из синусов стенки аорты, миокарда левого желудочка и фиброзных треугольников между створками. Устья коронарных артерий расположены в синусах аорты. Синотубулярное соединение является важным анатомическим ориентиром при хирургических вмешательствах. Возможно, створки аортального клапана не пассивны, так как они богаты различными типами нервных окончаний. Функция и роль этих «нервов» остаются неясными.
Подклапанный стеноз аорты на ЭхоКГ
Обструкция оттока левого желудочка чаще всего вызывается наличием фиброзно-мышечной перегородки, фиброзной мембраны, отклонением инфундибулярной перегородки кзади или у пациентов с гипертрофической кардиомиопатией с систолическим движением вперед передней створки митрального клапана. Менее частые причины включают опухоли сердца или аномальное присоединение митрального клапана к выходной зоне перегородки. Подклапанная область на ЭхоКГ лучше всего визуализируется с помощью парастернального доступа по длинной оси, откуда можно определить этиологию обструкции. Хирургическое или интервенционное лечение часто требует больших усилий, а в некоторых случаях, особенно в субаортальной оболочке, поражения имеют тенденцию повторяться, несмотря на успешное начальное лечение.
Заболевание аортального клапана
Заболевание аортального клапана вызывает на ЭхоКГ регургитацию или стеноз, а в некоторых случаях и то и другое. У детей стеноз аорты имеет широкий спектр проявлений. В крайнем случае это связано с серьезным недоразвитием левых сердечных структур, что наблюдается, например, при синдроме гипоплазии левых отделов сердца. У этих пациентов снижение антеградного потока через аортальный клапан приведет к ретроградному заполнению восходящей аорты и дуги аорты от открытого артериального протока и зависимости кровообращения от протока. Сопутствующая сердечная дисфункция присутствует почти всегда.
Характерные эхокардиографические признаки клапанного стеноза аорты включают утолщение створок, ограниченное движение створок и сращение комиссур, создавая «куполообразный» вид клапана в систоле. Число створок может быть различным, от однокомиссуральных до квадрикомиссуральных клапанов. У детей старшего возраста стеноз клапанного клапана аорты чаще всего наблюдается в сочетании с бикомиссуральными (двустворчатыми) аортальными клапанами. Тяжелый стеноз аорты определяется средним трансклапанным градиентом> 40 мм рт. Однако градиент не имеет значения для пациентов с протоковозависимым кровообращением, дисфункцией левого желудочка или связанными с ним поражениями, такими как коарктация аорты или дефект межжелудочковой перегородки с шунтом слева направо. Регургитация на аортальном клапане при проведении ЭхоКГ обычно приобретенная, в частности, из-за предыдущих кардиологических процедур, реже врожденная. Терапия заболевания аортального клапана включает хирургическое или транскатетерное лечение.

Надклапанный стеноз устья аорты на эхокардиографии
Стеноз надклапанного отдела аорты обычно вызывается локальным ее сужением на уровне синотубулярного соединения. Однако вместо дискретного стенотического поражения у меньшинства детей наблюдается гипоплазия длинного сегмента восходящей аорты и дуги аорты. Эта редкая врожденная аномалия включает фиброзное сужение проксимального сегмента восходящей аорты дистальнее коронарных синусов. Его следует диагностировать на ранних этапах жизни по стандартным ЭхоКГ с 2D-изображениям с цветным допплером, показывающим локализованное наложение спектров в месте сужения, что подтверждает диагноз. Непрерывно-волновой допплер определяет скорости кровотока и позволяет оценить степень стеноза. Эта аномалия встречается почти исключительно у пациентов с синдромом Вильямса, у которых заболевание наблюдается более чем в 50% случаев. Единственное лечение - хирургическое вмешательство.
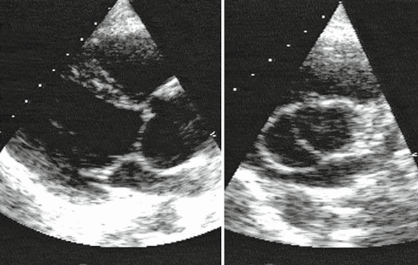
Врожденные пороки развития клапана. Двустворчатый аортальный клапан
Это наиболее частая врожденная аномалия сердца (1-2% населения). На ЭхоКГ ее можно увидеть по его особенностям на эхо-сигнале в М-режиме (линия эксцентрического замыкания) и на 2-мерной эхокардиографии, особенно в парастернальной позиции по короткой оси на уровне аортального клапана. Эту патологию можно диагностировать на эхокардиографии изолированно или в сочетании с другими врожденными состояниями (например, коарктация аорты).
Причины патологии аортального клапана на ЭхоКГ
Врожденный порок развития створок. Если у младенца и ребенка младшего возраста на ЭхоКГ наблюдается спайка, тогда нужно заподозрить одностворчатый, двустворчатый или четырехстворчатый клапан, который обычно обнаруживаются случайно у молодых людей. Последние два обычно не вызывают каких-либо значительных гемодинамических нарушений до достижения зрелости, если перепад давления на клапане незначителен. Возникающая в результате турбулентность на уровне створок увеличивает предрасположенность этих клапанов к дальнейшей деформации, фиброзу, кальцификации и инфекционному эндокардиту. В двустворчатом аортальном клапане комиссура обычно имеет поперечное положение и редко - вертикальное. Легкая аортальная регургитация и дилатация восходящей аорты часто сосуществуют с двустворчатым клапаном на эхокардиографии. Когда диагноз подтвержден, важно провести визуализацию над грудиной, чтобы исключить коарктацию аорты, которая также является часто встречающейся ассоциацией. При врожденном стенозе аорты движение створок ограничено на концах, а не у основания, и поэтому эхокардиография в M-режиме может вводить в заблуждение.
Двустворчатые аортальные клапаны по своей природе не являются стенотическими, кроме случаев дисплазии створок или других наложенных патологических изменений. Клапаны могут стенозироваться из-за склероза или одна из створок может выпадать в желудочек с последующей недостаточностью. Такие клапаны очень подвержены инфекционному эндокардиту. Морфология створок также различна. Две створки могут быть одинакового размера или, чаще, неравными. Более крупная створка почти всегда имеет в средней части неглубокий шов. Наиболее крупные створки расположены впереди, и обе коронарные артерии выходят из пазухи над ней.
Врожденный тубулярный стеноз аорты. Это редкое врожденное заболевание, которое проявляется равномерно суженным корнем аорты и проксимальным отделом восходящей аорты по типу «песочных часов». Лечение этого состояния заключается в полной резекции и замене корня аорты и проксимального (пораженного сегмента) восходящего отдела аорты. Сама по себе замена аортального клапана в этом состоянии не снимает симптомов, поскольку у пациентов сохраняется остаточное повышенное сопротивление изгнанию крови.
Субаортальный аортальный стеноз. Он может иметь форму фиброзной мембраны (гребня) ниже створок аорты или гипертрофированной верхней части межжелудочковой перегородки, которая выпирает в выводной тракт на ЭхоКГ. Первый тип — это заболевание молодых людей, которое обычно имеет форму дискретного фиброзного тяжа или мембраны в форме полумесяца, окружающих выводной тракт левого желудочка. Это приводит к появлению признаков гипертрофии желудочков и значительного градиента в ВТЛЖ в первые 3 десятилетия жизни. Фиксированное сужение субаортального отдела обычно связано с некоторой степенью аортальной регургитации, вероятно, вызванной нарушенными тубулентным кровотоком в выводном тракте ЛЖ и проксимальном отделе восходящей аорты. При проведении эхокардиографии всегда следует исключать другие врожденные сердечные заболевания, например, дефект межпредсердной перегородки и коарктацию аорты. Когда подтверждается, что это причина симптомов, хирургическое удаление является лучшим методом лечения, хотя оно имеет тенденцию к непредсказуемым рецидивам. Динамический субаортальный стеноз, возникающий в раннем возрасте, представляет собой компонент гипертрофической кардиомиопатии. Мышечный субаортальный стеноз чаще встречается у пожилых людей с небольшой полостью левого желудочка, независимо от причины гипертрофии. Когда наблюдается значительное сужение тракта оттока, это приводит к среднесистолическому закрытию аортального клапана. Если падение давления в покое (градиент) через ВТЛЖ незначительно у пациентов, ограниченных симптомами напряжения, стресс-эхокардиография является идеальным диагностическим инструментом для установления взаимосвязи между потенциальной обструкцией выводного тракта симптомами. Более подробно это условие обсуждается далее.

Приобретенные стеноз аортального клапана на ЭхоКГ
Ревматический стеноз аортального клапана. Как и болезнь митрального клапана, ревматическое поражение створок аорты связано со спаечным слиянием, что лучше всего видно на ЭхоКГ по короткой оси. По мере прогрессирования болезни створки становятся фиброзными и кальцифицируются, что приводит к стенозу клапана. Ревматическое заболевание аортального клапана почти всегда связано с ревматическим заболеванием митрального клапана. Степень стеноза аорты обычно недооценивается клинически, когда она связана со значительным митральным стенозом, который становится этапом ограничения объема перед выходным трактом и аортальным клапаном. Изолированный ревматический стеноз аорты встречается очень редко.
Дегенеративный или сенильный стеноз аортального клапана. Это результат отложения кальция на аортальной поверхности клапана. Как и в случае с митральным клапаном, кальциноз у пожилых людей поражает основание и медленно затрагивает тело створок, тогда как при ревматическом заболевании происходит обратное, и спайки сливаются с кальцификацией. Кальций откладывается в виде больших комков внутри каждой створки. Точная этиология кальцифицированного стеноза аорты не ясна. Хотя атеросклероз с его известными факторами риска считался важным механизмом, недавние результаты и метаанализы опровергают эту теорию. Кроме того, почти у 50% пациентов с кальцифицированным стенозом аортального клапана нет сопутствующей атеросклеротической коронарной болезни, что свидетельствует об однородной патологии. Кальцифицирующий стеноз аорты, выявляемый на ЭхоКГ становится все более серьезной проблемой, приводящей к инвалидности среди стареющего населения, от которой страдают 2% людей в возрасте> 65 лет.
Читайте также:

