Методика интраоперационного УЗИ печени
Добавил пользователь Евгений Кузнецов Обновлено: 01.01.2026
УЗИ печени и желчного пузыря - целенаправленное ультразвуковое сканирование органов гепатобилиарной системы при подозрении на их поражение. При УЗИ печени и желчного пузыря оцениваются размеры и структура органов, их расположение, состояние сосудов, содержимое полости желчного пузыря. УЗИ печени позволяет выявить очаговые (опухоли, кисты, метастазы) и диффузные (цирроз, гепатит, жировую инфильтрацию) изменения. На УЗИ желчного пузыря определяются аномалии строения, конкременты, полипы, воспаления (холецистит), опухолевые поражения. УЗИ печени выполняется натощак; оценка функционального состояния желчного пузыря - натощак и после приема пробного завтрака.
УЗИ печени и желчного пузыря - распространенный, неинвазивный и чувствительный метод диагностики, который широко применяет современная гастроэнтерология. Специфичность УЗИ печени в режиме серой шкалы невысока: диффузные заболевания подчас имеют сходную эхографическую картину, что затрудняет их верификацию на основе одного ультразвукового сканирования (например, при различных формах гепатита, начальных стадиях цирроза и жирового гепатоза). УЗИ желчного пузыря, в отличие от рентгенологических исследований (холецистографии и др.), не сопровождается лучевой нагрузкой, поэтому может быть проведено детям и беременным, а также при сниженных функциях почек и печени. Ввиду функциональной и анатомической взаимосвязи гепатобилиарной системы УЗИ печени и желчного пузыря часто выполняются одновременно.
Показания
Проведение УЗИ печени целесообразно при наличии лабораторных или клинических признаков, свидетельствующих о поражении печени: изменения печеночных проб, болей в правом подреберье, желтухи, похудания, пальпаторного увеличения печени, травмы области живота. УЗИ печени необходимо для отслеживания динамики в ходе лечения, исключения или обнаружения очаговых и объемных образований (кист, гематом, кальцинатов, эхинококкоза, гемангиом, рака), а также метастазов при онкопатологии другой локализации. УЗИ печени используется в процессе пункционной биопсии образований или измененных участков органа.
УЗИ желчного пузыря показано при подозрении на холецистит и ЖКБ; опухоль, водянку, эмпиему желчного пузыря; дискенезию желчных путей, после перенесенных операций на желчном пузыре и желчевыводящих протоках (холецистэктомии, экстракции конкрементов из холедоха и др.).
Подготовка к УЗИ
Методика проведения
Процедура УЗИ печени выполняется из субкостальной или интеркостальной позиции. Эхолокация печени проводится на вдохе при задержке дыхания, что обеспечивает доступность органа для визуализации. В ходе УЗИ проводится обязательное полипроекционное сканирование печени в продольном, поперечном и косом направлении. Таким образом достигается визуализация правой и левой долей печени, желчного пузыря, общего печеночного протока, холедоха, анатомических структур ворот печени. При УЗИ печени осуществляется оценка размеров, контуров, состояния паренхимы органа, печеночных и портальных вен, внутрипеченочных протоков.
При эхолокации желчного пузыря исследуется его положение, величина, форма, дыхательная подвижность, наружные и внутренние контуры, толщина и структура стенок, наличие дополнительных включений в полости, эвакуаторная функция. В ходе УЗИ печени и желчного пузыря производится определение положения, диаметра, состояния стенок и просвета внепеченочных протоков. УЗИ печени и желчного пузыря завершается обследованием брюшной полости на наличие выпота. В заключении пациенту предоставляется расшифровка протокола УЗИ печени и желчного пузыря.
Интерпретация результатов
В норме при УЗИ печени определяются следующие размеры: в передне-заднем направлении правая доля - до 12,5 см, левая доля - до 7 см; высота правой доли - до 12,5 см, левой - до 10 см; поперечный размер печени - 17-19 см. Диаметр портальной вены достигает до 13 мм, холедоха - до 6 мм. Данные о величине печени в литературе вариабельны. На размеры печени влияет конституция, рост, возраст обследуемого, глубина вдоха во время регистрации эхограммы, применяемая методика измерения. Положение нижнего края правой доли по УЗИ печени соответствует уровню правой реберной дуги; по срединно-ключичной линии нижняя граница печени выступает на 1-2 см, по срединной линии - до 6 см.
Не увеличенная в размерах печень может опускаться при бронхиальной астме и астматическом бронхите, массивном экссудативном плеврите. Смещение печени вверх может наблюдаться при метеоризме, состояниях после резекции правого легкого. Нижний угол между вентральной и дорзальной поверхностями печени в области левой и правой доли составляет соответственно менее 45° и 75°. В норме при УЗИ печени определяются ровные контуры органа, гомогенная структура, равномерное распределение эхосигналов одинаковой интенсивности, четкое изображение эхоструктур (связок, сосудов, протоков).
Желчный пузырь сканируется в виде эхонегативной структуры, удлиненной грушевидной, овальной или округлой формы с ровным четким контуром. Он прилежит к дорзальной стороне правой доли печени; имеет ширину 3-4 см и длину - 7-10 см, толщину стенки 4 мм. При УЗИ печени и желчного пузыря внутрипеченочные протоки не лоцируются.
УЗИ печени используют в качестве ориентировочного метода, выявляющего изменения, характерные для различных заболеваний. Так, при циррозе печени на УЗИ определяется неоднородная структура паренхимы, бугристые края, повышенная эхогенность, изменение размеров долей, узлы регенерации, расширение портальной вены. При хроническом гепатите УЗИ печени выявляет неоднородную эхогенность в зонах воспаления, фиброза и интактных тканей, гепатомегалию, обедненный сосудистый рисунок. Кисты и абсцессы при УЗИ печени визуализируются как ограниченные округлые жидкостные образования.
Опухоли печени с доброкачественным ростом (гемангиомы) определяются в виде очагов уплотнений, отграниченных от нормальных тканей печени. Злокачественные первичные новообразования (гепатоцеллюлярная карцинома), а также метастазы при УЗИ печени выглядят как очаги уплотненной ткани. Любые объемные образования, выявляемые в ходе УЗИ печени, требуют уточняющей диагностики с помощью томографии (магнитно-резонансной или компьютерной). УЗИ печени и желчного пузыря позволяет определять наличие конкрементов в полости желчного пузыря при ЖКБ, утолщение стенок при холецистите, изменение тонуса стенок и перегиб шейки пузыря при дискинезии органов желчевыводящей системы.
Стоимость УЗИ печени и желчного пузыря в Москве
Данная разновидность УЗИ является распространенной диагностической процедурой, широко используется в процессе скрининговых обследований и на этапе постановки диагноза, имеет доступную стоимость. Основными факторами, влияющими на цену УЗИ печени и желчного пузыря в Москве, считаются организационно-правовой статус медицинского учреждения, оперативность исследования и квалификация специалиста. Повышение стоимости возможно при обращении в престижные частные клиники, использовании дополнительных режимов сканирования и наличии дополнительного сервиса. Некоторые организации предлагают прохождение процедуры в рамках ОМС или ДМС.
Интраоперационное ультразвуковое исследование, история и практические аспекты

Автор: Ветшева Н.Н. - д.м.н., заведующая отделением ультразвуковой диагностики ГБУЗ МО «Московский областной научно-исследовательский клинический институт им. М.Ф. Владимирского» (Московская область, РФ), главный научный сотрудник ГБУЗ «Научно-практический клинический центр диагностики и телемедицины Департамента Здравоохранения города Москвы» (Москва, РФ).
Ультразвуковое исследование является самым часто используемым неинвазивным методом диагностики, которое позволяет получить наиболее полную информацию о состоянии органов непосредственно во время операции.
Впервые ультразвуковое исследование в условиях операционной было проведено уже в 50-е гг. прошлого столетия [1]. Начали использовать простой А-режим для поиска конкрементов в желчных протоках и почках [2, 3]. Появление двухмерного серошкального В-режима позволило в 70-х гг. расширить границы применения метода и использовать интраоперационное ультразвуковое исследование (ИОУЗИ) для поиска очаговых образований печени и головного мозга [4,5]. С 80-х гг., благодаря усовершенствованию аппаратуры и внедрению в общую клиническую практику режима цветового допплеровского картирования (ЦДК) методику стали активно применять в эндокринной хирургии, панкреатологии, ангио- и кардиохирургии 8. Развитие технического прогресса открыло новые возможности для модернизации оборудования, появились специализированные лапароскопические датчики для ИОУЗИ [10] .
В XXI веке ультразвуковой метод уже стал рутинным и используется в качестве повседневного исследования во всех сферах хирургии. Однако, не смотря на доказанную эффективность и простоту применения, ИОУЗИ рутинно в нашей стране проводят далеко не во всех хирургических стационарах. Целью данного обзора является аккумуляция опыта проведения интраоперационного ультразвукового исследования в иностранной и отечественной литературе с целью популяризации методики и активного его внедрения в ежедневную практику.
Оборудования для проведения ИОУЗИ
Ещё 20-25 лет назад ИОУЗИ выполняли только на стационарных массивных сканерах. В настоящее время появились специальные портативные ультразвуковые приборы, обладающие основными характеристиками для удобства их использования в условиях операционной: компактность, мобильность, возможность работы во всех режимах (В-режим, ЦДК,ЭДК, спектральный анализ кровотока).
Но основное внимание стоит уделять именно выбору датчиков для проведения ИОУЗИ. В зависимости от конкретных задач исследования выбирается форма и площадь рабочей поверхности. Основные формы интраоперационных датчиков, которые используют при открытой хирургии: L-образные, T-образные и I-образные. Чем они отличаются? Возьмем L-образный датчик в виде клюшки, им удобно исследовать открытые поверхности, например, поджелудочную железу, ткани легкого, но осмотреть поддиафрагмальные поверхности печени на предмет наличия метастатического поражения будет затруднительно. Для этих целей удобнее использовать T- или I-образные датчики.

При этом сама сканирующая поверхность может быть как линейной (ровной), так и конвексной (выпуклой над основной поверхностью). Какая удобнее? Безусловно, конвексные датчики при равных формах и размерах сканирующих поверхностей дают больший угол обзора, чем линейные, что значительно сокращает время осмотра.
Не менее важной характеристикой является возможность дезинфекции и обработки датчиков. Для соблюдения правил стерилизации в условия операционной датчики для ИОУЗИ должны иметь возможность стерилизовать полностью. Наиболее распространенный способ - полное погружение датчиков в дезинфицирующий раствор с последующей стерилизацией. Также допускается выполнение исследований нестерильным датчиком, помещенным либо в специальный стерильный пластиковый пакет, либо в стерильную перчатку и чехол.
Методика выполнения ИОУЗИ
Кто же проводит ИОУЗИ? Исследование может выполнять врач ультразвуковой диагностики, который хорошо ориентируется в ультразвуковой анатомии и владеет нюансами осмотра, тогда можно получить детальную оценку области интереса за меньшее время, но оперирующему хирургу нужно будет объяснить, где и как расположены выявленные изменения. Или датчик может держать сам хирург, а врач ультразвуковой диагностики интерпретировать полученные изображения. При работе в таком тандеме появляется возможность сравнивать тактильные и визуальные ощущения хирурга с результатами инструментального исследования, что, безусловно, улучшает качество ориентации в зоне операции. Многие авторы подчеркивают необходимость интерпретации ИОУЗИ именно опытным специалистом [11].
Сложности в выведении на экран интересующих объектов легко нивелируются путем обучения оперирующих хирургов методике ИОУЗИ, включающими основные принципы - последовательность, полипозиционность и методичность осмотра. Задача врача ультразвуковой диагностики не только полноценно использовать режимы настройки и функциональные возможности прибора, но и объяснить как, куда, под каким углом поставить датчик, а так же в какую сторону, с какой скоростью его перемещать, процедура должна проводиться опытным оператором.
Примеры клинического применения ИОУЗИ в различных сферах хирургии
Нейрохирургия
Основная цель хирургического лечения злокачественных опухолей головного мозга - радикальная резекция опухоли при сохранении окружающей функциональной ткани мозга, что напрямую связано с увеличением продолжительности и улучшением качества жизни пациента [12]. Рамочные и безрамочные стереотаксические предоперационные нейронавигационные системы, обычно используются, чтобы помочь хирургам спланировать место краниотомии и идентифицировать критические нервные структуры. К сожалению, эти системы имеют проблемы, связанные с потерей точности в результате искажения, сдвига и деформации после краниотомии и удаления ткани опухоли [13]. В последнее время разработаны новые методы, включая интраоперационную диагностическую визуализацию (Intra-Operative Magnetic resonans) дороги и доступны не во всех нейрохирургический центр. Поэтому большое внимание уделяется возможностям интраоперационного использования УЗИ.

ИОУЗИ помогает локализовать опухоль, определить ее границы, а также провести осмотр зоны после удаления на предмет наличия остаточной опухолевой ткани и оценки радикальности выполненного вмешательства [14,15]. Его основными ограничениями являются пространственное разрешение, ширина и ориентация поля зрения (разные от стандартных ортогональных плоскостей КТ и МРТ) и качества сканирования, которые зависят от оператора.

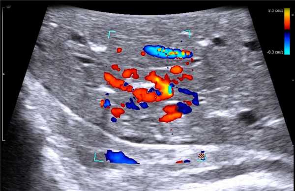
Отечественные и зарубежные авторы доказали высокий уровень корреляции между данными, полученными при интраоперационном УЗИ и послеоперационной МРТ с контрастным усилением при обнаружении остаточной опухолевой ткани [16,17]. При этом применение режимов допплерографии, а также контрастного усиления значимо повышают информативность исследования. Цветовое допплеровское картирование при сосудистых аномалия позволяет не только локализовать аневризму, но и вместе со спектральной допплерографией провести оценку гемодинамических показателей, например, после клипирования аневризмы.

Торакальная хирургия
Но может ли быть полезно и информативно ИОУЗИ при операциях на легких, особенно торакоскопических? Да, и есть несколько вариантов применения методики.
Если задача торакоскопического ИОУЗИ легкого найти небольшое периферическое образование, расположенное на глубине 1-2 мм от париетальной плевры, чтобы минимизировать объем операции, достаточно осмотреть поверхность легкого в зоне интереса, которая до операции обозначена на КТ. Изображение солидных образований на фоне воздушной легочной ткани имеет свои особенности практически анэхогенные чаще аваскулярные.

Легочный коллапс является важным фактором локализации образований, которые располагаются в центральных отделах легких, низкое давление и низкий поток CO2 в грудную клетку является безопасным способом вызвать коллапс легкого [18]. Во многих исследованиях приведены информативность ИОУЗИ в поисках образований легкого, которая по мнению разных авторов находится в пределах 93-97% [19]. По результатам, время интраоперационной ультразвуковой локализации было значительно короче, чем при пальпации (7,09 1,80 минут 9,67 2,62 минут: P <0,05). Также подчеркивается необходимость участия в интерпретации результатов ИОУЗИ опытно специалиста по ультразвуковой диагностики.
Отечественными авторами предлагается для детальной оценки, в случаях глубокого расположения патологического очага или его локализации вблизи легочной артерии, легочной вены, их крупных ветвей, бронхов крупного калибра пациента переводить на искусственную вентиляцию одного легкого, исследуемое легкое при этом выключалось из дыхания, коллабировалось и проводилось УЗИ-исследование. Перед началом исследования в один из торакопортов наливали теплый стандартный, стерильный физиологический раствор (NaCL) в количестве 800-1200 мл до полного покрытия поверхности исследуемого легкого жидкостью шириной 3-5 мм для улучшения контакта датчика с поверхностью органа [20].
Абдомиальная хирургия
Среди всех интраоперационных исследований основная доля приходится на ИОУЗИ печени. Главная задача - это выявление мелких непальпируемых вторичных образований до 1,0 см, которые трудно диагностируются на дооперационном этапе. Следует обращать внимание на любые изменения структуры и эхогенности паренхимы печени, т.к. картина метастатического поражения полиморфна и разнообразна в зависимости от первичного очага. Наиболее часто небольшие метастазы представляют собой гипо- или изоэхогенные округлые структуры, окруженные гипоэхогенных ободком, аваскулярные в режиме ЦДК. При осмотре крупных очагов оценивают их границы и взаимоотношение с крупными сосудистыми структурами [21]. Оценка границ поражения наиболее актуальна при операциях по поводу алвеококкоза, когда вероятность послеоперационного рецидива обратно пропорциональная радикальности выполненного вмешательства.

В панкреатологии ИОУЗИ применяют как при доброкачественных процессах, например, при хронических панкреатитах для локализации главного панкреатического протока, выявления вирсунголитиаза, поиска псевдокист в паренхиме поджелудочной железы и стенке двенадцатиперстной кишки, недоступных визуальному осмотру, так и при злокачественном поражении. Наиболее сложным является оценка измененной ткани головки поджелудочной железы с целью дифференциальной диагностики псевдотуморозного панкреатита и рака.


При злокачественных поражениях поджелудочной железы по данным ИОУЗИ проводят окончательную оценку резектабельности и операбельности образований [22]. Взаимоотношение опухоли с окружающими сосудистыми структурами выполняют в продольной и поперечной плоскости сканирования относительно оси сосуда. В первом случае оценивают протяженность контакта и измеряют спектральные характеристики кровотока, во втором - проходимость просвета сосуда и площадь контакта образования с окружностью. По последнему критерию разделяют резектабельные опухоли, когда площадь контакта составляет менее 25% (90º) окружности, условно-резектабельные - опухоль охватывает 25-75% (90º-270º) окружности, нерезектабельные циркулярное вовлечение сосуда более 75% (270º) окружности [23].
ИОУЗИ нейроэндокринных опухолей поджелудочной железы после пальпации является «золотым стандартом» в хирургии данного вида образований [24]. Если при ультразвуковом исследовании не удается четко выявить наличие гипоэхогенной гиперваскулярной опухоли с четкими контурами, которая интенсивно копит контраст в раннюю артериальную фазу, то можно высказать предположение о наличии незидиобластоза [25].
Ультразвуковое исследование селезенки проводят наиболее часто при паразитарных поражениях других органов для исключения наличия мелких эхиноккоковых кист, во время операций с перевязкой селезеночных сосудов, для оценки кровоснабжения паренхимы [26].
Важным моментом является интраоперационный осмотр зон лимфоотока. Лимфатические узлы брюшной полости могут претерпеть изменения как при воспалительных заболеваниях, так и при метастатическом поражении [27,28]. Интраоперационное исследование лимфатических узлов с целью дифференциальной диагностики изменений в узлах проводят во всех областях хирургии [29]. ИОУЗИ позволяет с высокой достоверностью говорить о наличие лимфаденопатии, однако четко определить характер поражения по данным ультразвукового исследования не всегда возможно.

Урология
Органосохраняющие операции при образованиях почек должны сочетать в себе минимальный объем для сохранения функции почек и онкологические принципы лечения. Для определения объема вмешательства во всем мире активно используют ИУОЗИ не только при открытых и лапараскопических, но и роботических операциях [30, 31]. Оценивают не только объем поражения ткани почки, но и распространение на почечные сосуды, а также нижнюю полую вену [32].

Опухоль почки. Сканирование интраоперационным роботическим датчиком 8826
Методы локальной деструкции под ИОУЗ-навигацией
Ультразвуковой метод может быть использован в качестве навигации для диагностических пункций, биопсий, а также проведения локальной деструкции. В задачи ИУОЗИ входят локализация очага, определение взаимоотношения образования с окружающими тканями и крупными сосудами, а также определение наименее травматичный доступ к зоне интереса. Проводить пункцию образований можно методом «свободной» руки, который позволяет выбирать больше вариантов постановки датчика, есть возможность изменения траектории движения иглы и полипозиционной оценки. Для глубокорасположенных небольших образований лучше использовать специальные направляющие насадки для игл.
В качестве методов локальной деструкции наиболее широко применяется радиочастотная абляция и микроволновая абляция объемных образований, выполняемая под ультразвуковым контролем, как на этапе позиционирования иглы, так и в ходе выполнения термообработки за оценкой происходящих изменений. Наиболее затруднительным аспектом при оценке ультразвуковой картины в динамике и последующей трактовки наличия резидуальных фрагментов является «газовое облако», представленное пузырьками воздуха, появляющимися в процессе нагревания.
Метод локальной криодеструкции в последние годы стал активно применяться, особенно в нейрохирургии. Непосредственно на ткань опухоли устанавливается аппликатор или в опухоль вводится криозонд, происходит охлаждение до -180ºС на протяжении 3-5 минут. За это время при УЗИ видим формирование так называемого «ice ball», гиперэхогенная округлая структура с четким наружным контуром, дающая широкую акустическую тень. В период оттаивания наружный контур «ice ball» становиться неровным, зазубренным, приобретает вид «талого снега». Методика криодеструкции отличается тем, что не воздействует на сосудистые структуры, что подтверждается при ЦДК.
Заключение
Интраоперационное ультразвуковое исследование используется в качестве навигации и уточнения локализации объектов, для поиска непальпируемых очагов, оценки распространенности опухолевого процесса, проведения постоянного контроля за манипуляциями, уточнения радикальности выполненной операции и проходимость сосудистых реконструкций. Использование специализированной аппаратуры упрощает, повышает эффективность и сокращает время проведения исследования. При этом тандем хирурга и врача ультразвуковой диагностики помогает в минимально короткое время провести полноценное исследование и ответить на все возникающие в ходе операции вопросы.
УЗИ печени - методика проведения и интерпретация результатов
УЗИ печени - неинвазивное исследование органа с использованием ультразвуковых волн. Позволяет получить информацию о размерах, форме и контурах печени, структуре печеночной паренхимы и состоянии локального кровотока. УЗИ печени дает возможность обнаружить патологические очаги, оценить их характер, локализацию, форму, размеры и распространенность. Назначается при диффузных изменениях (циррозе, гепатитах, жировом гепатозе) и очаговых патологических процессах (неоплазиях, жидкостных образованиях). УЗИ печени может осуществляться как амбулаторно, так и в стационарных условиях. Абсолютно безболезненно, не доставляет дискомфорта, не представляет вреда для здоровья пациента. Требует специальной подготовки для уменьшения газообразования в кишечнике.
УЗИ печени является достаточно новым методом исследования. Ультразвук был открыт в 1794 году, когда итальянский ученый Спалланцани выдвинул гипотезу о существовании невидимых лучей, испускаемых летучими мышами для ориентировки в пространстве. В медицине ультразвуковые волны используются с начала ХХ века. Вначале ультразвук применяли для лечения некоторых заболеваний. Затем исследователи предприняли ряд попыток проектирования диагностических приборов с использованием ультразвукового излучения.
Первый УЗИ-аппарат был создан в 1949 году. При исследовании печени и других органов брюшной полости с помощью этого аппарата пациенту нужно было неподвижно сидеть в резервуаре, пока вокруг него двигался специальный сканер. В середине 60-х годов появились первые приборы для проведения УЗИ печени, почек, мужской и женской репродуктивной системы и других органов, действующие по тем же принципам, что и современные аппараты, оснащенные мануальными датчиками. В настоящее время УЗИ печени стало рутинным методом исследования, широко применяемым в гастроэнтерологии и онкологии.
Метод может использоваться как на этапе скрининговых исследований, так и на этапе заключительной диагностики. В качестве цели УЗИ печени рассматриваются оценка состояния печени и органного кровотока, выявление диффузных и очаговых патологических изменений, определение тяжести заболевания и распространенности патологического процесса, проведение дифференциальной диагностики, выбор тактики консервативного лечения или метода оперативного вмешательства. Кроме того, УЗИ печени применяется для оценки эффективности лечения во время терапии и после ее завершения, а также для наблюдения за течением заболевания в стадии ремиссии.
УЗИ печени назначают при болях в правом подреберье, травматических повреждениях области живота, желтушности кожи и слизистых оболочек, появлении лабораторных признаков нарушений функции печени, злоупотреблении наркотиками и алкоголем и длительном приеме лекарственных средств, оказывающих негативное влияние на состояние органа. УЗИ печени также проводят при подозрении на абсцесс печени, первичный онкологический процесс в ткани печеночной паренхимы или метастатическое поражение органа при опухолях других локализаций.
Для наблюдения за течением заболевания, своевременного выявления осложнений и рецидивов УЗИ печени регулярно выполняют при уже диагностированных диффузных поражениях органа, перенесенных ранее гепатитах и онкологических заболеваниях в стадии ремиссии. УЗИ печени является высокочувствительной диагностической процедурой, позволяющей выявлять цирроз, хронический гепатит, жировой гепатоз, абсцессы печени, травматические гематомы, метастазы, первичный рак печени, синдром Бадда-Киари, кальцинаты и некоторые другие патологические процессы. Противопоказания к исследованию отсутствуют.
Целью подготовки к процедуре является повышение информативности исследования путем уменьшения газообразования в кишечнике. За 3 суток до УЗИ печени необходимо полностью исключить из меню свежие овощи и фрукты, хлебобулочные изделия, бобовые культуры, кисломолочные продукты, алкоголь и газированные напитки. Пищу следует принимать дробно небольшими порциями. При нарушениях пищеварения показаны ферментные препараты (фестал, панкреатин, энзистал). При склонности к запорам накануне УЗИ печени нужно очистить кишечник с помощью клизмы или мягкого слабительного.
Исследование проводят как утром, так и во второй половине дня. Промежуток между последним приемом пищи и началом УЗИ печени должен составлять не менее 6-8 часов. С собой можно взять салфетки или небольшое полотенце для удаления остатков геля с кожи живота. Врачу необходимо предоставить всю имеющуюся медицинскую документацию (направление, выписки, результаты анализов). Перед началом УЗИ печени больного укладывают на спину и просят обнажить живот. Затем наносят на область правого подреберья водорастворимый гель и исследуют орган, передвигая специальный датчик по коже живота.
При необходимости УЗИ печени дополняют ультразвуковым исследованием желчного пузыря, поджелудочной железы или селезенки, допплерометрией сосудов печени. Процедура абсолютно безболезненна и не доставляет неприятных ощущений. Продолжительность исследования составляет около 10 минут. После завершения УЗИ печени с живота вытирают остатки геля. Больному сообщают, когда можно прийти за заключением. В зависимости от загруженности специалиста подготовка документов может занять от 30 минут до 1 суток.
Данные, полученные при проведении УЗИ печени, интерпретируют с учетом нормальных показателей. В процессе интерпретации оценивают структуру печеночной паренхимы, размеры, контуры и эхогенность органа. При обнаружении очаговых изменений указывают их локализацию с учетом сегмента. При отсутствии патологических изменений по результатам УЗИ печень описывают как орган с гомогенной структурой и ровными контурами. Эхогенность печени ниже, чем у селезенки, и примерно равна эхогенности поджелудочной железы.
В норме длина правой доли по данным УЗИ печени колеблется в пределах 11-15 см, косой вертикальный размер - до 15 см. Высота (краниокаудальный размер) левой доли равна примерно 10 см, толщина - не более 7 см. Общая длина органа по результатам УЗИ печени составляет 14-18 см, поперечник - 20-22 см, саггитальный размер - 9-12 см. Диаметр общего желчного протока - 6-8 мм, портальной вены - 13 мм, полой вены - 15 мм, печеночной вены - 6-10 мм, воротной вены - 4-7 мм. Фиброз протока и сосудов отсутствует. По УЗИ печень определяется как мелкозернистый орган. Объемные образования в ткани печени отсутствуют.
Существуют так называемые ультразвуковые диагнозы - специальные термины, отражающие эхо-характеристики патологических изменений по результатам УЗИ печени. Подобные термины могут свидетельствовать о нескольких клинических диагнозах. Например, под термином «пятна на печени» понимают участки повышенной эхогенности, которые могут быть свидетельством лямблиоза, оказаться неоплазиями или узлами начинающегося цирроза. Для уточнения клинических диагнозов при выявлении перечисленных изменений назначают лабораторные анализы и дополнительные клинические исследования.
При проведении УЗИ печени могут определяться очень плотные участки (кальцификаты) и полости, заполненные жидкостью (кисты, абсцессы). Злокачественные неоплазии органа на УЗИ печени выглядят как участки необычного строения с неравномерной эхогенностью, неоднородной структурой и нечеткими границами. Плотность метастазов может быть как выше, так и ниже плотности ткани печени (в зависимости от плотности первичного новообразования), характерным признаком данной патологии является гипоэхогенный ободок вокруг патологического очага. Гемангиома при УЗИ печени представляет собой гиперэхогенное образование с четкими границами и акустической дорожкой, располагающееся рядом с крупными сосудами.
По данным УЗИ печени в остром периоде гепатита определяются увеличение размеров и плотности органа в сочетании с неоднородностью структуры паренхимы. При хроническом гепатите на УЗИ печени выявляются увеличение органа, неоднородность паренхимы и неясность сосудистого рисунка. При циррозе наблюдаются мозаичность и бугристость структуры, закругленность краев и расширение углов органа. При жировом гепатозе обнаруживается повышение эхогенности (светлая печень). Все перечисленные заболевания диагностируют по результатам комплексного обследования, которое, наряду с УЗИ печени, может включать в себя лабораторные исследования, КТ, МРТ и другие диагностические методики.
Опыт использования интраоперационной ультразвуковой компьютерной томографии в уточняющей диагностике злокачественных новообразований печени
ГУ РОНЦ им. Н.Н. Блохина РАМН,
отделение хирургии опухолей печени и поджелудочной железы,
отделение ультразвуковой диагностики,
Москва, Россия.

УЗИ сканер HS70
Точная и уверенная диагностика. Многофункциональная ультразвуковая система для проведения исследований с экспертной диагностической точностью.
Сокращения в тексте: УЗТ - ультразвуковая томография, АГ - ангиография, МРТ - магнитно-резонансная томография, РКТ - рентгеновская компьютерная томография.
Введение
Нельзя не отметить, что в последнее время ультразвуковая компьютерная томография находит все более широко применение в диагностике злокачественных новообразований печени. Использование современных технологий получения ультразвукового изображения позволяют не только выявить заболевание, но и оценить степень распространенности процесса. Особенности диагностики и лечения очаговых поражений печени связаны с тем, что в группе злокачественных заболеваний метастатическое поражение стоит на первом месте, отличается разнообразием ультразвуковой картины, а одним из основных методов лечения солидных метастазов в печень является хирургический. Таким образом, в настоящее время сохраняется необходимость в улучшении точности выявления очаговых поражений печени. В последние годы широкое распространение получает интраоперационная ультразвуковая томография, причем одна из наиболее часто используемых областей применения интраоперационного ультразвука - хирургия печени. Первый опыт использования ультразвука во время операции относится к 60-м годам [13]. Однако широкое применение интраоперационная ультразвуковая компьютерная томография получила в 80-х годах, когда были созданы специализированные датчики, для применения в условиях операционной, работающие в режиме реального времени [3,8,11,12,22]. Применение специализированных ультразвуковых микродатчиков позволяют проводить ультразвуковую ревизию практически любого органа. Одно из основных направлений - оценка состояния паренхимы печени, ее сосудистых структур и желчных протоков, что делает интраоперационную ультразвуковую томографию необходимым при хирургическом лечении злокачественных новообразований, когда требуется уточнение выявленных в дооперационном периоде очаговых поражений.
В хирургическом отделении опухолей печени и поджелудочной железы РОНЦ им. Н.Н.Блохина РАМН интраоперационная ультразвуковая томография применяется с 1999 года. Необходимым условием для выбора аппаратуры используемой в операционной является возможность стерилизации датчиков, а так же обработка консоли аппарата дезинфицирующими растворами. Широкий спектр интраоперационных датчиков различной конфигурации, с изменяемыми частотными характеристиками позволяют проводить детальную ультразвуковую ревизию печени. Как правило, исследование выполняет оперирующий хирург, а врач ультразвуковой диагностики только интерпретирует полученные результаты и выбирает оптимальный режим работы ультразвукового аппарата.
Основными задачами интраоперационного УЗИ являются
- Уточнение количества и локализации очагов в паренхиме, так как это необходимо для исключения билобарного поражения при выполнении анатомических резекций.
- Определение границ опухолевого образования.
- Определение состояния сосудистой системы печени и соотношение сосудов с опухолевым узлом.
- Уточнение локализации опухолевого образования в паренхиме печени при отсутствии пальпаторных данных.
- Выявление дополнительных очагов, не определявшихся на дооперационном этапе при использовании стандартного комплекса диагностических мероприятий вследствие их малых размеров или изоэхогенной структуры.
- Дифференциальная диагностика злокачественных и доброкачественных новообразований (гемангиомы, кисты и т.д.)
- Обеспечение навигации при выполнении интраоперационной радиочастотной термоаблации метастазов.
- Выполнение прицельной пункционной биопсии для срочного морфологического исследования при отсутствии точных данных о природе выявленного очага.
Материалы и методы
Материалом для работы послужил анализ обследования 75 пациентов, которым планировалось проведение комбинированного лечения по поводу злокачественных новообразований.
Нозологические формы поражения у больных, которым проводилось комбинированное лечение, представлены в таблице N1.
| Первичная опухоль | Число больных | % |
|---|---|---|
| Толстая кишка | 47 | 62,6 |
| Гепатоцеллюлярный рак | 6 | 8,2 |
| Почка | 7 | 9,7 |
| Желудок | 5 | 6,5 |
| Яичник | 2 | 2,6 |
| Надпочечник | 2 | 2,6 |
| Лимфосаркома | 2 | 2,6 |
| Матка | 2 | 2,6 |
| Меланома | 2 | 2,6 |
| Всего | 75 | 100 |
Стандартный план предоперационного обследования, проводившийся всем 75 больным, включает в себя все методы визуализации (УЗТ, РКТ, МРТ, АГ). При проведении дооперационного УЗ исследования использовались стандартные критерии в оценке новообразований печени.
Известно, что интерпретация данных УЗТ связана с определенными трудностями [10]. Достоверность полученных данных зависит от качества используемой аппаратуры, квалификации специалиста и индивидуальных особенностей пациента. Ложноотрицательные результаты УЗТ могут быть обусловлены малыми размерами очагов, их краевым расположением, изоэхогенной структурой и наличием дистрофических изменений в паренхиме печени. Методики интраоперационной УЗТ предполагает использование высокочастотных датчиков и их непосредственный контакт с исследуемым органом, что дает возможность значительно улучшить качество изображения и избежать ошибок.
Клинический пример N1. Пациент М. находился на лечении в ГУРОНЦ РАМН, с диагнозом: рак сигмовидной кишки. При проведении дооперационного обследования была выполнена компьютерная томография, и дано заключение о наличие метастатического поражения печени. Однако при ультразвуковом исследовании осмотр печени был затруднен, вследствие перекрытия печени петлями кишки и выраженного метеоризма. При интраоперационной ультразвуковой ревизии подтвердилось метастатическое поражение обеих долей печени.
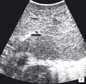
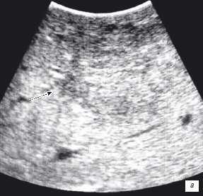
Клинический пример N2. Пациентка Р. находилась на лечении в ГУРОНЦ РАМН. При прохождении обследования был установлен диагноз рак толстой кишки. По данным ультразвуковой компьютерной томографии на фоне выраженной диффузной неоднородности паренхимы печени очаговые образования не определялись. При проведении ангиографии и компьютерной томографии так же убедительных данных за наличие метастазов в печень получено не было. При интраоперационном ультразвуковом исследовании были выявлены два очага, характерными особенностями которых являлись малые размеры (0,2 - 0,4 см), а так же нечеткость контуров и изоэхогенность структуры (рис. 1 а,б).


Рис. 1. Метастатические очаги (стрелки) в печени при интраоперационной ультразвуковой томографии.
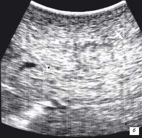
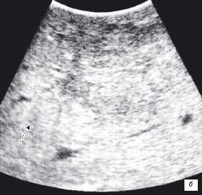
Особенностью проведения интраоперационного ультразвукового исследования у пациентов с первичным поражением печени является то, что гепатоцеллюлярный рак часто развивается на фоне цирроза печени. Следовательно, если опухоль локализуется в толще паренхимы, а так же имеет не большие размеры, пальпаторно определить ее границы крайне затруднительно. Таким образом, задачи установленные перед интраоперационной ультразвуковой томографией были несколько иными, а именно: определение границ опухоли, разметка зоны резекции, определение связи с магистральными сосудами (рис. 2 а,б).


Рис. 2. Метастатические очаги (стрелки) в печени на фоне цирроза.
Клинический пример N3. Пациент Ш. находился на лечении в ГУ РОНЦ РАМН с диагнозом гепатоцеллюлярный рак. При проведении стандартного ультразвукового исследования в правой доле печени было выявлено образование, занимающее практически всю правую долю, с четкими, неровными контурами. На операции пальпаторно определить границу опухоли и неизмененной ткани не представлялось возможным. При проведении интраоперационного ультразвукового исследования была обозначена граница опухолевого образования и неизмененной паренхимы и соотношение этого образования с сосудами печени.
Результаты
Таким образом, при проведении дооперационного ультразвукового исследования у всех пациентов, которым планировалось хирургическое лечение, было заподозрено или точно установлено очаговое поражение печени. Результаты дооперационного ультразвукового исследования представлены в таблице N2.
| Нозологическая форма | Число больных | % |
|---|---|---|
| Метастатическое поражение | 59 | 78,6 |
| Гепатоцеллюлярный рак | 5 | 6,6 |
| Гемангиома | 6 | 8 |
| Недифференцируемое объемное образование | 3 | 4 |
| Норма | 2 | 2,8 |
| Всего | 75 | 100 |
У большинства больных в процессе операции потребовалось уточнение размеров, локализации, количества очагов и определение соотношения опухоли с сосудистыми структурами печени, а также детальное определение границ резекции опухоли в тех случаях, когда пальпаторно опухолевое образование не определялось.
Из всех пациентов, которым проводилось интраоперационное ультразвуковое исследование печени, у 6 (8.3%) были выявлены ранее не определяемые метастазы, которые в дооперационном периоде не были выявлены ни одним из диагностических методов.
У 10(13.8%) пациентов были выявлены дополнительные очаги, причем количество вновь обнаруженных новообразований колебалось от 1 до 3, а размеры выявленных в ходе операции метастазов были не более 0.2-0.4 см. в двух случаях обнаружение новых очагов в другой доле печени приводило к изменению объема оперативного вмешательства.
В 59(78,6%) случаях результаты дооперационных и интраоперационных находок полностью совпали.
Основной задачей поставленной перед нами при проведении настоящего исследования, проведенном на базе ГУ РОНЦ им. Н.Н. Блохина РАМН, было определение значимости интраоперационного ультразвукового метода исследования при хирургическом лечении пациентов с опухолевыми поражениями печени различной этиологии.
В ряде случаев информация, полученная при проведении любого из методов исследования в дооперационном периоде, не может быть абсолютно достоверной и требует уточнения в операционной. Известно, что при диаметре опухолевых образований печени от 1 до 3 см, около 30-50% очагов остается не выявленными в дооперационном периоде [4,16,17]. Методом позволяющим решить эту проблему, является интраоперационное ультразвуковое исследование [4,5,7,9,10].
Интраоперационное ультразвуковое исследование печени имеет ряд неоспоримых преимуществ в выявлении опухолевых поражений печени, в тех случаях, когда они располагаются глубоко и не доступны для пальпации и осмотра хирурга [14,15].
По нашим данным, у 16 из 75 пациентов (21.3%) при проведении интраоперационного УЗИ были обнаружены дополнительные метастазы, у 6 (8%) имело место расхождение результатов дооперационных находок с результатами, полученными при проведении интраоперационного УЗИ. У 10 (13.3%) пациентов были выявлены дополнительные очаги, причем у 2 (2.6%) было выявлено билобарное поражение печени, а это не могло не повлиять на дальнейшую тактику лечения. У 59 (78.6%) больных дооперационных обследований полностью подтвердились. А у 5 (6.6%) пациентов с диагнозом гепатоцеллюлярного рака была проведена разметка границ опухоли и неизмененной паренхимы печени.
Выявление дополнительных, ранее не определяемых опухолевых поражений печени и уточнение их взаимоотношение с сосудами печени имеет существенное значение в выборе хирургической тактики [18,19,21]. На существенную роль интраоперационного УЗИ в уточнении обширности опухолевого поражения, вовлечения в патологический процесс других органов брюшной полости, крупных сосудов и лимфатических узлов указывает Parker et al.
Одним из факторов влияющим на выживаемость является расстояние от опухоли до места резекции [1], применение интраоперационного ультразвукового исследования дает возможность более четко определить границы опухолевого узла и неизмененной паренхимы печени.
Проведенные нами исследования показали, что применение интраоперационного ультразвукового исследования, в ряде случаев, является более точным методом диагностики очаговых образований печени, а именно: дает возможность четко определить локализацию очагов, размеры и структуру патологических образований, что в ряде случаев может изменить ход операции, сократить время проведения операции и как следствие уменьшить риск послеоперационных осложнений.
Таким образом, анализ полученных результатов позволяет считать интраоперационное ультразвуковое исследование обязательным и необходимым методом уточняющей диагностики у пациентов, которым планируется проведение хирургического лечения опухолевого поражения печени. Так же данный метод можно рекомендовать как дополнительный тем пациентам, у которых существует риск не выявленных поражений печени в дооперационном периоде.
Литература
УЗИ органов брюшной полости - что показывает, подготовка и методика проведения

УЗИ органов брюшной полости - комплексная диагностическая процедура, при которой визуализируется печень, желчный пузырь и его протоки, поджелудочная железа, селезенка, сосуды. Исследование позволяет выявлять новообразования, воспалительные заболевания, конкременты, кисты, последствия травм. Выполняется в B-режиме, дополнительно производится УЗДГ сосудов. Вместе с УЗИ ОБП иногда исследуется забрюшинное пространство, почки.
Подготовка
УЗИ органов брюшной полости требует проведения подготовительных процедур, благодаря которым УЗ-изображение будет более точным, а результаты более достоверными. Кроме индивидуальных требований к подготовке, сообщаемых врачом, существует ряд общих рекомендаций:
Что показывает
УЗИ органов брюшной полости начинается с визуализации печени и правой почки. Определяется их степень эхогенности, однородность структуры ткани, сосудистый рисунок, четкость контуров. Затем оценивается анэхогенность, форма и просвет желчного пузыря, расположение и особенности стенок воротной вены и общего желчного протока. Далее исследуется строение поджелудочной железы, селезенки, крупных вен и артерий.
В ходе исследования почек определяются их величина, строение, контуры и положение. В забрюшинном пространстве визуализируются надпочечники, забрюшинная клетчатка, лимфатические узлы и крупные сосуды. Полые органы желудочно-кишечного тракта не изучаются подробно, но может быть выявлено скопление жидкости в области тонкой и толстой кишки. Методом УЗИ диагностируются следующие группы патологий:
- Болезни печени. УЗИ обнаруживает признаки многих заболеваний печени. Диффузные изменения в тканях наблюдаются при циррозе и гепатите; очаговые - при опухолевых образованиях. Повышенная эхогенность характерна для жирового гепатоза, фиброза печени.
- Болезни селезенки. Наиболее распространены вторичные патологии селезенки в результате системных заболеваний, инфекций, рака. Гомогенное повышение эхогенности характерно для портальной гипертензии, нарушений эритропоэза, сердечной недостаточности. При патологии лимфопоэза и гранулопоэза, множественной миеломе эхогенность паренхимы снижается. Спленомегалия определяется как увеличение органа, развивается при системных воспалительных заболеваниях. Локальные изменения просматриваются при кальцинатах, опухолях.
- Болезни желчного пузыря. К заболеваниям желчного пузыря, диагностируемым на УЗИ, относятся перегибы и перетяжки, нарушения оттока желчи, закупорка и дискинезии желчных протоков. При желчнокаменной болезни в просвете пузыря обнаруживаются эхоструктуры высокой плотности, ультразвуковая тень позади них. Признак хронического холецистита - воспалительные изменения стенок органа.
- Болезни поджелудочной железы. Основными патологиями поджелудочной железы являются панкреатит, кисты, опухоли, жировая инфильтрация. Прогрессирующий фиброз проявляется уменьшением размеров органа. Панкреатит - общим или локальным увеличением железы, неровными контурами, чередованием участков нормальной и повышенной эхогенности. При длительном панкреатите формируются кальцинаты - яркие гиперэхогенные вкрапления. Очаговые изменения эхогенности выявляются при кистах, опухолях.
- Сосудистые патологии. Наиболее значимы такие заболевания сосудов как тромбоз вен, стеноз артерий, аневризма аорты, экстравазальная компрессия чревного ствола. При тромбозе определяется нарушение кровотока, повреждение стенок сосудов, тромб с гетерогенной эхоплотностью или тромб однородной эхогенности.
Результаты сонографии ОБП оцениваются в комплексе с жалобами, данными объективного осмотра пациента, других инструментальных и лабораторных исследований.
Преимущества
УЗИ брюшной полости - ценный диагностический инструмент при обнаружении заболеваний на доклинической стадии, дифференциации воспалительных, обменных и дистрофических изменений органов, доброкачественных и злокачественных новообразований. Процедура не имеет противопоказаний, не вызывает негативных последствий. Недостатком методики является невозможность выявления функциональных нарушений, плохое качество визуализации при лишнем весе пациента. По сравнению с МРТ и КТ УЗИ является более дешевым, но менее информативным методом диагностики.
Читайте также:
- Инструктивная функция врожденного иммунитета. Контроль за формированием адаптивного иммунитета
- Акупунктура аффективных нарушений. Пример иглорефлексотерапии при астеническом синдроме
- Артериальная гипертензия у беременных: причины, диагностика, лечение
- Выбор метода бронхографии. Направленная бронхография
- Трансфузионные реакции. Острая почечная недостаточность после трансфузионных реакций
