Значение пломбировки в хирургии туберкулеза. Операционные осложнения пневмолиза, пломбировки
Добавил пользователь Владимир З. Обновлено: 02.11.2025
Характерной особенностью последних десятилетий является увеличение частоты рецидивов туберкулеза как после терапевтического, так и после хирургического лечения [1, 2, 5, 8, 13]. Многие хирурги связывали это в первую очередь с увеличением частоты лекарственной устойчивости микобактерий туберкулеза [3, 6, 20, 21].
Несмотря на все возрастающую роль хирургии в лечении легочного туберкулеза и ее высокую непосредственную эффективность, проблема послеоперационных рецидивов туберкулеза остается серьезным сдерживающим фактором на пути ее широкого применения. Частота послеоперационных рецидивов, по данным изученной нами литературы, составляет в среднем 5,7% и имеет в последние годы тенденцию к увеличению.
Эффективность консервативного лечения послеоперационных реактиваций туберкулеза, по данным большинства авторов, невелика [6-8, 13-15, 18, 25, 26]. Согласно публикации В.Д. Ямпольской [26], интенсивным консервативным лечением удалось излечить только 7 из 23 послеоперационных реактиваций туберкулеза (30%). По данным В.А. Краснова [13], успешным консервативное лечение было лишь у 36% из 590 больных с послеоперационными рецидивами. Из опыта А.В. Елькина и соавт. [8] при лечении 241 пациента с послеоперационными реактивациями лишь в 78 (32%) случаях достигнут клинический эффект.
Закономерным следствием низкой эффективности химиотерапии послеоперационных рецидивов туберкулеза является высокая хирургическая активность (до 94,8%) у этой категории больных [16]. Проанализировав данные 9 публикаций [4-6, 8, 10, 16, 21, 26, 28] о частоте использования хирургических методов в лечении послеоперационных реактиваций туберкулеза (1684 случая), мы подсчитали, что повторное хирургическое лечение проведено 903 (53,6%) больным из их числа.

Чаще всего в лечении послеоперационных рецидивов туберкулеза используются такие оперативные вмешательства, как пневмонэктомия (удаление ранее резецированного легкого) и экстраплевральная торакопластика (табл. 1 ). Обобщив литературные публикации 18 авторов о хирургическом лечении 1723 пациентов с рецидивами туберкулеза, мы подсчитали, что до удаления легкого у половины оперированных (50%) были выполнены экстраплевральная торакопластика - у 371 (21,5%), резекции ранее оперированного или противоположного легкого - у 275 (15,9%) и кавернопластики - у 230 (13,3%) [3, 5-9, 11-13, 15, 18, 21-23, 26, 28], другие виды операций - лишь в 6,6% случаев.

В целом ререзекции применяются по поводу рецидивов туберкулеза крайне редко. Нами найдено лишь 6 публикаций [8, 11, 13, 18, 22, 27] за последние три десятилетия, в которых приводились результаты этих операций раздельно от других повторных операций (табл. 2 ) и описывались в общей сложности последствия 70 ререзекций. Однако суммарное число этих вмешательств, скорее всего, еще меньше, поскольку при описании наибольших групп этих операций в разные годы сотрудниками Санкт-Петербургского НИИ фтизиопульмонологии (Ю.М. Репин - 30 случаев [18], А.В. Елькин и соавт. - 26 случаев [8]) в последней публикации, обобщающей материал с 1989 по 2001 г., по видимому, частично включены и больные, описанные в 1994 г. [18].
Частота послеоперационных осложнений повторных резекций легких у больных туберкулезом, по данным доступной литературы, составляет в среднем 43%, а послеоперационная летальность - 4,3%, что намного превышает уровень осложнений и летальности первичных резекций легких по поводу туберкулеза.
Непосредственная эффективность всех хирургических методов лечения послеоперационных рецидивов туберкулеза в большинстве статистик остается невысокой (от 60 до 88%, а в отдаленном периоде она снижается до 50-72%) [8, 11, 13, 17, 18] при большой послеоперационной летальности (в среднем 9%) и летальности в отдаленный период до 25% и более [5-8, 12].
В литературе подчеркивается высокий травматизм повторных радикальных операций (большая кровопотеря, длительность операции), высокий риск интраоперационных осложнений (до 58%) [14] и, в частности, ранений крупных сосудов (в среднем 13,7% случаев). Радикальные резекционные операции, в том числе и ререзекции, сопровождаются высоким риском смерти во время операции от кровотечения (до 16%) [14].
Материал исследования
Материалом для настоящего исследования послужили повторные резекции легких по поводу послеоперационного рецидива туберкулеза в оперированном легком у 50 больных, выполненные первым автором этой статьи c 2004 по 2011 г. в клинике фтизиопульмонологии ГБОУ ВПО "Первый МГМУ им. И.М. Сеченова" и ФГБУ ЦНИИТ РАН. Были прооперированы 28 мужчин и 22 женщины в возрасте от 15 до 67 лет: 10% из них в возрасте до 18 лет,
30% - от 19 до 29 лет, 32% - от 30 до 39 лет и
28% - старше 40 лет. У всех больных до операции был установлен рецидив туберкулеза легких.
Анализ распространенности основного процесса в легком по сегментам показал, что при деструктивных процессах чаще всего поражалось 5 и более сегментов. Размеры каверн в большинстве случаев составляли от 2 до 4 см. Лишь у 8% пациентов размеры деструкции в легком превышали 6 см. Двустороннее поражение легких было у 24 (48%) больных, в том числе деструктивные формы - у 6 (12%).
Бациллярным на момент операции был 41 (82%) пациент. Данные о лекарственной чувствительности микобактерий туберкулеза (МБТ) к антибактериальным препаратам были получены в 34 (68%) случаях, о множественной и экстремальной лекарственной устойчивости - в 21 (42%) и 8 (16%) случаях соответственно.
Легочный процесс осложнялся у 40 (80%) больных. Самым частым осложнением была дыхательная недостаточность (35 случаев), реже отмечались эмпиема плевры (9), легочное кровотечение (4), кахексия (7). У 39 (78%) пациентов имелись сопутствующие заболевания (101 случай различной патологии), наиболее частыми среди них были: сердечно-сосудистая патология (а именно легочное сердце), нарушения сердечного ритма и миокардиодистрофия, хронические обструктивные заболевания легких.
При фибробронхоскопии изменения выявлены в 11 (22%) случаях: дренажный гнойный эндобронхит и рубцовый стеноз главного бронха (по одному случаю), туберкулез бронхов (2), диффузный хронический эндобронхит (6), микрофистула культи бронха после первичной операции (1).
После резекций легкого в отдаленный период показания к повторной резекции на стороне предшествующей операции чаще всего возникают при послеоперационных рецидивах деструктивного туберкулеза легких ограниченной распространенности без очаговой диссеминации и вне основной зоны поражения, не имеющих тенденции к закрытию полостей распада и абациллированию на фоне достаточно длительной (4-6 мес) химиотерапии. Дополнительными доводами в пользу операции в подобной ситуации является наличие множественной или широкой лекарственной устойчивости МБТ, а также непереносимости химиотерапии.
Наиболее частым показанием к ререзекции у наших больных был фиброзно-кавернозный туберкулез оперированного легкого (48%), причем часто при наличии очагового обсеменения остающихся отделов легкого к ререзекции приходилось прибегать вынужденно из-за низких функциональных резервов организма и поражения контралатерального легкого. Объемом ререзекций у больных ФКТ являются комбинированные резекции, лоб- и билобэктомии, требующие в послеоперационном периоде применения методов коррекции гемиторакса из-за малого объема остающейся легочной ткани и наличия очаговых изменений.
Более редким показанием для ререзекции легкого у наших больных служил кавернозный туберкулез оперированного легкого (16% оперированных). Все пациенты с этой формой туберкулеза лечились по поводу послеоперационного рецидива в терапевтических отделениях от 5 мес до 8 лет, в том числе четверо (50%) - с применением пневмоперитонеума, в 7 из 8 случаев срок консервативного лечения превысил 8 мес. Наиболее часто при рецидиве кавернозного туберкулеза выполнялись анатомические резекции легких.
На нашем опыте туберкулемы с распадом послужили показанием к выполнению ререзекций легкого у 24% больных. При этой форме туберкулеза во многих случаях оказались возможны атипичные ререзекции легкого небольшого объема, однако при множественных туберкулемах объем операции мог доходить до обширных комбинированных ререзекций. Более редким показанием к ререзекции явился цирротический туберкулез (1 случай, 2%) и эмпиема плевры или ложная каверна (5 случаев, 10%). При наличии эмпиемы плевры этим больным чаще
выполняются комбинированные ререзекции легких с плеврэктомией, плевролоб- и плевробилобэктомия, реже плеврэктомия с частичной ререзекцией легкого.
Особо следует подчеркнуть, что подавляющее большинство наших больных (66%) получали консервативное лечение по поводу послеоперационного рецидива в течение 12 и более месяцев без положительной клинико-рентгенологической динамики, а большинство даже с отрицательной динамикой. Столь длительная химиотерапия при резектабельном процессе только ухудшает прогноз хирургического лечения за счет усиления лекарственной устойчивости.
Среди первичных операций, после которых были выполнены ререзекции, отмечены атипичные (29 случаев), сегментарные анатомические (4) и комбинированные (7) резекции легкого, а также лоб- и билобэктомия (9 и 1 случай соответственно).
Авторами статьи было выполнено 85 операций 50 пациентам, включая резекции противоположного легкого при двусторонних процессах (2 случая), отсроченные корригирующие торакопластики (29) и повторные операции по поводу послеоперационных осложнений ререзекций (4). У 13 больных повторная резекция легкого сочеталась с плеврэктомией и декортикацией легкого.
Объем повторной резекции легкого в большинстве случаев был значительным. У 24 больных
выполнены комбинированные резекции, в том числе объемом более доли у 11 оперированных. Лобэктомия произведена в 1 случае, анатомические полисегментарные ререзекции - в 8, а частичные атипичные ререзекции - только в 17 (34%) случаях.
У 47 (94%) пациентов, с учетом большого объема произведенных резекций и высокого риска повторного рецидива, применены различные способы коррекции объема гемиторакса, в том числе торакопластика отсроченная (у 29), предшествующая (у 4), на противоположной стороне (у 1), а также одномоментное перемещение диафрагмы с ререзекцией (у 1), одномоментный экстраплевральный пневмолиз с пломбировкой (у 1), френикотрипсия (у 3) и пневмоперитонеум у 39, причем последний часто сочетался с другими методами уменьшения объема плевральной полости.
Из 85 операций, выполненных 50 нашим пациентам, 61 произведена из минидоступа с применением видеоторакоскопии. При этом для прошивания легочной ткани использовался сшиватель органов для малоинвазивной хирургии, разработанный проф. Д.Б. Гиллером совместно с фирмой "Уникон" (Россия). Примером подобной операции может служить наблюдение повторной резекции после ранее произведенной нижней лобэктомии слева (рис. 1-4 ).
Результаты и обсуждение
При выполнении 50 повторных резекций легкого у 50 пациентов мы обнаружили плевральные сращения во всех случаях, при этом в 2 (4%) они были ограниченными, в 13 (26%) субтотальными (более 1 / 2 поверхности плевральной полости) и в 35 (70%) тотальными. Длительность операции составила в среднем 220,7 мин, средняя интраоперационная кровопотеря - 346,6 мл. Гемотрансфузий удалось избежать у всех больных.
Интраоперационные осложнения отмечены у
7 (14%) пациентов, в том числе вскрытие полости эмпиемы и скальпированные ранения легкого по
2 случая, вскрытие прикультевого абсцесса, ранение v. azygas и разрыв мембранозной части трахеи перераздутой манжеткой интубационной трубки - по
В послеоперационном периоде у 5 (10%) больных развились осложнения, в том числе (по одному случаю) раннее, позднее интраплевральные кровотечения, эмпиема с бронхиальным свищом, остаточная плевральная полость и раневое осложнение. Эти послеоперационные осложнения были ликвидированы и послеоперационной летальности не отмечено. Все пациенты на момент выписки не выделяли МБТ в мокроте. Полный клинический эффект был достигнут в 48 (96%) случаях, 2 пациента были выписаны с кавернами в противоположном легком, отказавшись от операции на второй стороне.
Отдаленные результаты удалось проследить у
36 пациентов. Полный клинический эффект сохранялся в 35 (97,3%) случаях, реактивация туберкулеза отмечена в 1 (2,8%). Работали или учились в вузах
29 (80,6%) оперированных.
В доступной литературе нами найдено лишь
одно исследование, приводящее подробный анализ отдаленных результатов ререзекций легких у больных с рецидивами туберкулеза, с данными которого мы могли бы сравнить полученные нами результаты.
Согласно публикации А.В. Елькина и соавт. [8], после 26 ререзекций послеоперационные осложнения возникли в 11 (43,7%) случаях, умерли в стационаре 2 (7,7%) пациента. Непосредственная эффективность (87,5%) в отдаленном периоде снизилась до 50%. Реактивация туберкулеза произошла после ререзекций в 43% случаев, 2% оперированных умерли от туберкулеза в отдаленном периоде, а всего в срок до 5 лет погибли более 20% оперированных. Пятилетняя выживаемость у всей группы больных, по данным А.В. Елькина и соавт.,
составила 78,6% [8]. Сравнительно высокую эффективность операций в нашей серии больных
мы связываем с более частым использованием
различных методов уменьшения объема плевральной полости после повторных резекций легкого.
Коррекция объема гемиторакса при такого рода вмешательствах, по нашему мнению, показана во всех случаях и не была нами применена только у 3 пациентов, отказавшихся от корригирующей операции и имевших противопоказания (спаечный процесс в брюшной полости после абдоминальных операций) к наложению пневмоперитонеума. При резекции верхних отделов легких мы отдавали предпочтение отсроченным экстраплевральным торакопластикам, при резекции нижних отделов - френикотрипсии, перемещению диафрагмы или пневмоперитонеуму.
Заключение
Таким образом, несмотря на большую тяжесть состояния пациентов, техническую сложность и более высокий хирургический риск повторных резекций, чем у коллапсохирургических и органоуносящих вмешательств, хорошие отдаленные результаты и высокая частота трудовой реабилитации оперированных убедительно доказывают преимущество выполнения повторных резекций легких при рецидивах туберкулеза в ранее резецированном легком.
ЭФФЕКТИВНОСТЬ ЭКСТРАПЛЕВРАЛЬНОЙ ПЛОМБИРОВКИ СИЛИКОНОВЫМ ИМПЛАНТОМ У БОЛЬНЫХ ДЕСТРУКТИВНЫМ ТУБЕРКУЛЕЗОМ ЛЕГКИХ И ЕЕ ВЛИЯНИЕ НА ФУНКЦИОНАЛЬНОЕ СОСТОЯНИЕ ЛЕГКИХ И ГАЗОВЫЙ СОСТАВ КРОВИ
Ключевые слова
Об авторах
ФГБНУ «Центральный научно-исследовательский институт туберкулеза», г. Москва
Россия
кандидат медицинских наук, старший научный сотрудник хирургического отдела
ФГБНУ «Центральный научно-исследовательский институт туберкулеза», г. Москва
Россия
доктор медицинских наук, профессор, главный научный сотрудник, руководитель хирургического отдела
ФГБУ «Национальный медицинский исследовательский центр фтизиопульмонологии и инфекционных заболеваний» МЗ РФ, г. Москва
Россия
доктор медицинских наук, профессор
ФГБНУ «Центральный научно-исследовательский институт туберкулеза», г. Москва
Россия
кандидат медицинских наук, старший научный сотрудник отделения функциональной диагностики клинико-диагностического отдела
ФГБНУ «Центральный научно-исследовательский институт туберкулеза», г. Москва
Россия
доктор медицинских наук, заведующая первым хирургическим отделением
ФГБНУ «Центральный научно-исследовательский институт туберкулеза», г. Москва
Россия
доктор медицинских наук, и. о. главного научного сотрудника клинико-диагностического отдела, заведующая клинико-диагностическим отделом
Список литературы
1. Агкацев Т. В., Синицын М. В. Способ операции экстраплеврального пневмолиза. Патент на изобретение RUS 2448658 21.09.2010
2. Агкацев Т. В., Синицын М. В., Кессель М. М., Айвазов А. А. Силиконовая экстраплевральная пломба в коллапсохирургии легочного туберкулеза // Материалы 3-й Московской международной конференции по торакальной хирургии. ‒ М., 2005. ‒ С. 153.
3. Баласанянц Г. С., Шульгина М. В. История туберкулеза ‒ основные вехи // Фтизиатрия и пульмонология. ‒ 2015. ‒ № 2 (10). ‒ С. 159-170
4. Бартусевичене А. С. Оперированное легкое: Клинико-рентген. исслед. ‒ М.: Медицина, 1989. ‒ 236 с.: ил.
5. Красникова Е. В., Ловачева О. В., Агкацев Т. В. Случай клинического излечения больного двусторонним деструктивным туберкулезом лtгких с лекарственной устойчивостью возбудителя с помощью сочетания эффектов установки эндобронхиального клапана, экстраплевральной пломбировки и местного лечения // Туб. и болезни легких. ‒ 2011. ‒№ 11. ‒ С. 54-57.
6. Левин А. В., Кагаловский Г. М. Щадящая коллапсохирургия: издательство Алтайского государственного технического университета (СП Наука). Барнаул, 2000, 175 с.
7. Ловачева О. В., Багиров М. А., Багдасарян Т. Р. Красникова Е. В., Шергина Е. А., Грицай И. Ю. Применение эндобронхиальных клапанов и экстра-плевральной пломбировки для лечения двусторонних гигантских каверн у больной туберкулезом легких с множественной лекарственной устойчивостью возбудителя // Туб. и болезни легких. ‒2017. ‒ № 9. ‒ С. 60-66.
8. Мандрыкин С. Ю., Отс О. Н., Чушкин М. И. Результаты лобэктомии и пульмонэктомии по поводу туберкулеза легких: качество жизни и функция внешнего дыхания // Туб. и болезни легких. ‒ 2015. ‒ № 5. - С. 41.
9. Мургустов И. Б. Повторные резекции легкого у больных с послеоперационным рецидивом туберкулеза в оперированном легком: Автореф. дис. . канд. мед. наук. ‒ Центр. науч.-исслед. ин-т туберкулеза. ‒ М., 2014.
11. Нефедов А. В. Современные методы коррекции объема гемиторакса после резекций легких по поводу туберкулеза // Пробл. туб. ‒ 2007. ‒ № 9. ‒ С. 47-50.
12. Попова Л. А., Шергина Е. А., Ловачева О. В., Шабалина И. Ю., Багдасарян Т. Р., Сидорова Н. Ф. Изменения функционального статуса легких в ранний период эндоскопической клапанной бронхоблокации у больных хроническим деструктивным туберкулезом // Пульмонология. ‒ 2018. ‒ Т. 28, № 3. ‒ С. 332-340.
13. Савенков Ю. Ф., Корпусенко И. В., Дуплий Т. И., Бакулин П. Е., Васильченко В. В. Категории операционного риска в хирургии туберкулеза легких // Хiрургiя Украiни. ‒ 2011. ‒ № 2. ‒ С. 13-19.
14. Федеральные клинические рекомендации по использованию метода клапанной бронхоблокации в лечении туберкулеза легких и его осложнений. - М.: НЬЮ-ТЕРРА, 2015. - 24 с.
15. Шевченко А. А., Жила Н. Г., Шевченко А. В., Свистунова В. П., Дребинец Е. С. Коллапсохирургическое лечение распространенных деструктивных форм туберкулеза легких // Дальневосточный медицинский журнал. ‒ 2014. ‒ № 4. ‒ С. 113-116.
Первый опыт одномоментной резекции легкого и экстраплеврального пневмолиза с установкой силиконовой пломбы при распространенном деструктивном лекарственно-устойчивoм туберкулезe легких: клинический случай

Обоснование. Рост числа больных с лекарственно-устойчивыми формами распространенного деструктивного туберкулеза легких диктует не только необходимость расширения показаний к хирургическому лечению, но и разработки новых интраоперационных технологий, снижающих риск развития послеоперационных осложнений и дальнейшего прогрессирования туберкулезного процесса. При длительном хроническом течении деструктивного лекарственно-устойчивого туберкулеза достичь стабилизации процесса, необходимой для успешного выполнения резекции легкого, часто бывает невозможным. Торакопластические операции, обычно выполняемые при противопоказаниях к резекционным вмешательствам, являются не только травматичными для больного, но и не обеспечивают должной степени компрессии легкого.
Описание клинического случая. Представлен клинический пример больного распространенным фиброзно-кавернозным туберкулезом с широкой лекарственной устойчивостью возбудителя, у которого кавернозные изменения наблюдались на фоне выраженного цирроза легочной ткани. Чтобы достичь эффекта, выполнена экстраплевральная резекция легкого, после которой одномоментно с целью предотвращения перерастяжения оставшейся части легкого экстраплеврально была установлена силиконовая пломба. Данные гистологического исследования операционного материала подтверждают выраженную степень активности туберкулезного воспаления, несмотря на предшествующую длительную противотуберкулезную терапию.
Заключение. Благодаря низкой травматичности и высокой эффективности операция симультантного экстраплеврального пневмолиза с пломбировкой силиконовым имплантом и резекции легкого может быть использована в комплексном лечении распространенного деструктивного туберкулеза легких с широкой лекарственной устойчивостью возбудителя и длительным хроническим рецидивирующим течением заболевания.
Ключевые слова
Полный текст
ОБОСНОВАНИЕ
Известно, что применение хирургических методов увеличивает эффективность лечения фиброзно-кавернозного туберкулеза до 75% [1, 2]. Распространенный характер деструктивного процесса на фоне низкой эффективности противотуберкулезной химиотерапии вследствие множественной или широкой лекарственной устойчивости микобактерий туберкулеза часто делает невозможным выполнение резекционной операции [3], поэтому чаще приходится обращаться к коллапсохирургии, эффективность которой составляет 53-70% [4].
Операция экстраплевральной торакопластики с резекцией 5-8 ребер крайне травматична, поскольку деформирует и изменяет экскурсию грудной клетки, приводит к нарушению функции плечевого пояса [5]. По этой причине многие больные фиброзно-кавернозным туберкулезом с множественной или широкой лекарственной устойчивостью микобактерий часто отказываются от торакопластики, что снижает эффективность их лечения. До настоящего времени ведется поиск эффективного коллапсохирургического метода — альтернативы традиционной торакопластике [5, 6], при этом хорошо себя зарекомендовал разработанный в Центральном научно-исследовательском институте туберкулеза (Москва; далее ЦНИИТ) экстраплевральный пневмолиз силиконовым имплантом, который обеспечивает стойкий коллапс полостных образований в измененном туберкулезным процессом легком и не изменяет конфигурации грудной клетки. Метод защищен патентом [7]. В качестве пломбы используется силиконовый имплант молочной железы, предназначенный для постоянного нахождения в организме человека и не вызывающий реакцию отторжения. Иногда из-за цирротической деформации легочной ткани плотности импланта бывает недостаточно для обеспечения необходимого коллабирующего эффекта. Поэтому возникла необходимость выполнения в этих условиях одномоментного экстраплеврального пневмолиза и экстраплевральной резекции легкого. Приводим клинический пример первого опыта подобной успешной операции у больного деструктивным туберкулезом легких с широкой лекарственной устойчивостью микобактерий возбудителя и наличием цирротического компонента.
КЛИНИЧЕСКИЙ ПРИМЕР
О пациенте
Пациент А., 48 лет, житель Республики Дагестан, поступил на лечение в хирургический отдел ЦНИИТ 23.03.2016. Из анамнеза: болен с 2013 года, когда появились жалобы на кашель с мокротой слизисто-гнойного характера, подъем температуры до субфебрильных цифр, кровохарканье. Обратился к фтизиатру по месту жительства, установлен диагноз «Инфильтративный туберкулез легких в фазе распада». Назначена противотуберкулезная химиотерапия в объеме изониазид в дозе 0,6 г/ сут, этамбутол по 1,8 г/сут, протионамид по 5,0 мг/ сут, пиразинамид по 1,5 г/сут, левофлоксацин по 1,5 г/ сут. Отмечалась отрицательная динамика, процесс трансформировался в фиброзно-кавернозный туберкулез, из-за чего больной был направлен в ЦНИИТ, и в связи с эпизодами кровохарканья в анамнезе 31.10.2015 был госпитализирован в хирургическое отделение.
На момент поступления: состояние больного удовлетворительное. Жалобы на кашель со слизисто-гнойной мокротой, одышку при сильной физической нагрузке. При аускультации: дыхание ослаблено в верхних отделах справа, где прослушиваются влажные разнокалиберные хрипы. Частота дыхательных движений 16/мин, пульс 76/ мин, артериальное давление 120/80 мм рт.ст., тоны сердца ясные, ритмичные. Живот мягкий, безболезненный. Физиологические отправления в норме.
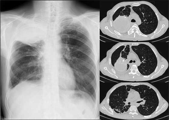
На обзорных рентгенограммах и компьютерной томографии легких определяется фиброзное сморщивание верхней доли и S6 правого легкого, S1-2 левого легкого. Множественные разнокалиберные тонко- и толстостенные каверны: крупные в верхних отделах и мелкие в нижних отделах правого легкого (рис. 1).
Рис. 1. Рентгенографическое (А) и КТ (Б) исследование органов грудной клетки у больного А. при поступлении (описание в тексте)
Функция внешнего дыхания: жизненная емкость легких 62,9% д.в., объем форсированного выдоха за 1 сек 48,1% д.в.; газовый состав крови: РаО2 61 мм рт.ст., SaО2 90,9%, РаСО2 42 мм рт.ст. Снижение вентиляционной способности легких по смешанному типу, умеренное снижение жизненной емкости легких. Умеренная артериальная гипоксемия.
Электрокардиограмма: ритм синусовый, перегрузка правого предсердия.
Исследование мокроты методом люминесцентной микроскопии выявило кислотоустойчивые микобактерии (+++) трехкратно, методом полимеразно-цепной реакции обнаружена ДНК микобактерий. При посеве на жидких питательных средах (BACTEC MGIT 960) выявлен рост культуры микобактерий с лекарственной устойчивостью к изониазиду, рифампицину, этамбутолу, этионамиду, капреомицину, амиацину, фторхинолонам; сохранена чувствительность микобактерий к линезолиду.
Общий анализ крови: гемоглобин 142 г/л, лейкоциты 6,4×10 9 /л, палочкоядерные 1%, сегментоядерные 53%, эозинофилы 4%, лимфоциты 29%, моноциты 3%, скорость оседания эритроцитов 20 мм/ч (W).
Диагноз, лечение
Установлен клинический диагноз: «Фиброзно-кавернозный туберкулез правого легкого в фазе обсеменения. Микобактерии (+). Широкая лекарственная устойчивость микобактерий».
Больному с учетом полученных данных о широкой лекарственной устойчивости микобактерий в отделении проводились противотуберкулезная химиотерапия по схеме: моксифлоксацин, теризидон, пиразинамид, ПАСК (парааминосалициловая кислота), линезолид, капреомицин в дозировках, соответствующих массе тела больного, а также витаминотерапия и гепатопротекторы. В качестве патогенетического лечения накладывался искусственный пневмоперитонеум; проведен курс внутривенного лазерного облучения крови: 15 ежедневных процедур длительностью 8 мин при помощи полупроводникового арсенид-галлиевого лазера с длиной волны 630 нм, мощностью 25 мВт на частоте 3000 Гц.
В результате у больного наблюдалась положительная клинико-рентгенологическая динамика: прибавка в весе на 6 кг за 6 мес, стойкое абациллирование, дальнейшее рассасывание перифокальной инфильтрации и уплотнение очагов обсеменения по данным контрольных рентгенограмм.
Больной был осмотрен на консилиуме: учитывая двустороннюю распространенность процесса, решено выполнить экстраплевральный пневмолиз справа с установкой силиконовой пломбы.
На операции 18.05.2016 при выполнении экстраплеврального пневмолиза выявлен выраженный цирроз верхушки легкого, на фоне которого определялась ригидная фиброзная каверна с измененной плеврой в ее проекции. Принято решение о экстраплевральной резекции ригидного участка. Таким образом, S1-2 правого легкого, содержащие каверну, резецированы с помощью наложения сшивающего аппарата «СОМИ-80», после чего установлена силиконовая пломба объемом 275 мл. Положение пломбы представлено на рис. 2. Продолжительность операции составила 175 мин, кровопотеря — 610 мл.

Рис. 2. Положение импланта в экстраплевральном пространстве после выполнения резекции верхней доли правого легкого
На макропрепарате (рис. 3) видна цирротически измененная легочная ткань, на фоне которой определяется толстостенная каверна, содержащая жидкие казеозные массы, окруженная более мелкими очагами казеоза.

Рис. 3. Удаленный фрагмент легкого с фиброзной каверной
Согласно гистологическому заключению № 2475-84/16 (рис. 4, 5), в ткани легкого имеются очаги казеозного некроза, большинство из которых с признаками организации в виде соединительнотканной капсулы с элементами грануляционной ткани. По периферии слабовыраженная эпителиоидно-клеточная реакция и лимфоидные скопления, встречаются единичные многоядерные макрофаги (см. рис. 4А). Один из очагов казеозного некроза с расплавлением и лейкоцитарной инфильтрацией (см. рис. 4Б).

Рис. 4. А — морфологические признаки прогрессирования фиброзно-кавернозного туберкулеза, участок гематогенного отсева. Б — расплавление казеозных масс с лейкоцитарной инфильтрацией стенок туберкулезной каверны. Окраска гематоксилином и эозином, ×120
Заключение: «Морфологическая картина соответствует фиброзно-кавернозному туберкулезу с обсеменением и выраженной активностью процесса, что можно расценить как прогрессирование».
Послеоперационный период без особенностей, дренаж удален на 3-и сут, швы сняты на 10-е сут после операции.
Больной завершил лечение по рекомендациям ЦНИИТ, вернулся к привычному образу жизни, самочувствие его удовлетворительное.
Рентгенографическое и компьютерно-томографическое исследование через 1,5 мес после операции: в динамике дальнейшее расправление правого легкого под пломбой. Дополнительных очагово-инфильтративных изменений в легких не выявлено (см. рис. 5).

Рис. 5. Рентгенографическое исследование от 04.07.16 и КТ органов грудной клетки от 22.06.2016 при выписке
ОБСУЖДЕНИЕ
Клинико-рентгенологические особенности и данные морфологического исследования операционного материала у больных распространенным деструктивным туберкулезом с множественной или широкой лекарственной устойчивостью микобактерий доказывают активный характер туберкулезного процесса без тенденции к отграничению и заживлению очагов воспаления. Поэтому коллапсохирургические операции, которые в отличие от резекций обеспечивают биомеханический покой легочной ткани, создают условия для заживления полостей и рассасывания инфильтративных и очаговых изменений в легком, становятся все более востребованными.
Все шире внедряется в клиническую практику экстраплевральный пневмолиз силиконовым имплантом, который обеспечивает максимальный эффект компрессии полостных образований. В то же время при длительном течении деструктивного процесса развиваются фиброзные изменения легочной ткани и стенок каверны, в результате чего достичь полноценного коллапса полостей с помощью пломбы обычно не удается. В данной ситуации, согласно нашему опыту, целесообразно выполнение одномоментной экстраплевральной резекции легкого и пломбировки силиконовым имплантом, что препятствует перерастяжению оставшейся легочной ткани, предотвращая развитие эмфиземы и прогрессирование туберкулезного воспаления в оставшихся очагах.
Резекционные операции, направленные на санацию очага туберкулезной инфекции, можно сочетать с коллапсохирургическими технологиями, способствующими заживлению полостей и рассасыванию казеозных масс. Сочетание этих методик может быть оптимальным при прогрессирующем распространенном деструктивном туберкулезе легких с широкой лекарственной устойчивостью микобактерий с преобладанием цирротического компонента. Симультантность экстраплевральных резекций и пломбировки после комплексной предоперационной подготовки с использованием таких патогенетических методов, как внутривенное лазерное облучение крови и искусственный пневмоперитонеум, демонстрирует эффективность подобного подхода в достижении стойкого клинического излечения пациента с хроническим рецидивирующим течением заболевания.
Информированное согласие
От пациента получено информированное согласие на использование его персональных данных в качестве иллюстраций профессиональной деятельности, а также в научной работе, статьях и обучающих материалах.
ИСТОЧНИК ФИНАНСИРОВАНИЯ
Работа выполнена в рамках темы НИР № 0515-2019-0017 «Разработка хирургических методов лечения распространенного туберкулеза органов дыхания и костно-суставной системы».
КОНФЛИКТ ИНТЕРЕСОВ
Авторы подтверждают отсутствие конфликта интересов, который необходимо обнародовать.
УЧАСТИЕ АВТОРОВ
Е.В. Красникова — разработка концепции, написание текста, создание дизайна исследования; Л.Н. Лепеха — разработка концепции, проведение и анализ патогистологического изучения операционного материала с определением степени активности туберкулезного воспаления; В.К. Алиев — подготовка иллюстраций, форматирование текста; А.Э. Эргешова — курация пациента весь период его нахождения в клинике, участие в операции; Р.В. Тарасов — подготовка текста, выбор иллюстраций, редактирование; М.А. Багиров — разработка органосохраняющего направления во фтизиохирургии, создание концепции данного клинического наблюдения, выполнение операции.
Значение пломбировки в хирургии туберкулеза. Операционные осложнения пневмолиза, пломбировки
Несмотря на довольно высокую эффективность хирургии в лечении лекарственно-устойчивого туберкулеза, применение этого метода в РФ и во всем мире остается очень ограниченным, в том числе по причине частого двустороннего поражения легких, низких функциональных резервов и тяжелых сопутствующих заболеваний у таких пациентов [1].
К числу наиболее тяжелых относятся случаи с тотальным разрушением одного легкого при наличии ограниченных деструктивных изменений в контралатеральном легком. Такие пациенты, по данным отечественной и зарубежной литературы, могут быть кандидатами для последовательной пневмонэктомии и операции на единственном легком резекционного или коллапсохирургического плана [2—5].
Однако частота как резекционных, так и коллапсохирургических операций на единственном легком остается на протяжении 60 лет их применения казуистически малой и является прерогативой лишь нескольких хирургических клиник.
Цель исследования — повышение эффективности лечения пациентов с деструктивным туберкулезом единственного легкого путем совершенствования коллапсохирургических операций.
Материал и методы
Пневмонэктомия с последующими коллапсохирургическими вмешательствами по поводу деструктивного туберкулеза единственного легкого выполнена у 123 пациентов: 78 (63,4%) мужчин и 45 (36,6%) женщин в возрасте от 14 до 59 лет, средний возраст 35±1,6 года. У 117 (95,1%) пациентов при поступлении в наши хирургические отделения на стороне большего поражения определен фиброзно-кавернозный туберкулез, у 1 — эмпиема плевры с циррозом легкого, у 5 — тотальная казеозная пневмония.
Фиброзно-кавернозный туберкулез со стороны меньшего поражения отмечен у 33 (26,8%) больных, очаговый туберкулез с распадом — у 31 (25,2%), кавернозный — у 29 (23,6%), туберкулемы с распадом — у 25 (20,3%), инфильтративный с распадом — у 5 (4,1%).
Срок заболевания туберкулезом, как и сроки химиотерапии до хирургического лечения, варьировал от 9 мес до 46 лет, но у 121 (98,4%) пациента составлял более 1 года. При этом 36 (29,3%) пациентов болели туберкулезом более 10 лет.
На момент хирургического лечения бактериовыделение в мокроте сохранялось у 122 (99,2%) больных. Данные о лекарственной устойчивости (ЛУ) микобактерий туберкулеза (МБТ) до операции получены у 117 (95,1%) пациентов, в том числе у 63 (53,8%) определена широкая лекарственная, у 46 (39,3%) — множественная лекарственная устойчивость, у 4 (3,3%) — поли- и монорезистентность.
У всех больных по данным КТ на стороне наибольшего поражения установлено тотальное обсеменение легкого с множественными кавернами. Каверны диаметром 2—4 см в наиболее пораженном легком описаны у 24 (19,5%) пациентов, 5—6 см — у 57 (46,3%), 7 см и более — у 42 (34,1%).
Осложнения легочного туберкулеза до хирургического лечения были у 114 (92,7%) больных, в том числе эмпиема плевры на стороне большего поражения у 65 (52,8%), туберкулез или дефекты грудной стенки после ранее перенесенных операций у 17 (13,8%), легочные кровотечения у 23 (18,7%), туберкулез гортани, трахеи и бронхов у 28 (22,8%), острое прогрессирование или генерализация процесса у 34 (27,6%).
Показатели внешнего дыхания оценивали по классификации В.Б. Нефедова (1988 г.). В оценке степени дыхательной недостаточности (ДН) учитывали также показатели газов крови: I степень ДН — PO2 60 —79 мм рт.ст., SaO2 90—94%; II степень ДН — PO2 40— 59 мм рт. ст., SaO2 75—89%; III степень ДН — PO2 менее 40 мм рт.ст., SaO2 менее 75%.
Отсутствие ДН выявлено при обследовании у 1 (0,8%) больного, ДН I степени — у 3 (2,4%), ДН II степени — у 40 (32,5%) и ДН III степени — у 79 (64,2%) пациентов.
Сопутствующие заболевания были у 122 (99,2%) оперированных, из них наиболее значимые — хроническая обструктивная болезнь легких и хронический бронхит у 103 (83,7%), кардиальная патология у 101 (82,1%), чаще всего легочное сердце, гепатиты или цирроз печени (38/30,9%), патология желудочно-кишечного тракта у 41 (33,3%), алкоголизм у 10 (8,1%) и сахарный диабет у 9 (7,3%).
Всем больным на стороне наибольшего поражения выполнены пневмонэктомии (58) или плевропневмонэктомии (65).
Показанием к использованию у этих пациентов коллапсохирургических операций послужило наличие ограниченных полостей без выраженных рубцовых перифокальных изменений, сочетающихся с очаговым обсеменением, делающим резекцию в пределах здоровых тканей невыполнимой, а также сохранение бактериовыделения и деструкций без тенденции к закрытию после 12 мес лечения и более, проводимого с учетом ЛУ МБТ при функциональной и технической возможности выполнения торакопластики или экстраплеврального пневмолиза (ЭПП).
К числу коллапсохирургических операций, выполненных нами у 123 пациентов, относились: ВАТС-торакопластика на стороне пневмонэктомии (патент РФ на изобретение №2428942, опубликовано 20.09.11 в бюл. №26), направленная на ликвидацию перерастяжения единственного легкого, а следовательно, оказывающая лечебное действие на легочной процесс — 63; торакомиопластика, при которой использовали широчайшую мышцу спины — 46; ВАТС-экстраплевральная торакопластика на стороне единственного легкого — 12 [6]; в 13 случаях осуществлен ЭПП с использованием надувных силиконовых баллонов (патент РФ №2338560) на стороне единственного легкого; в 2 случаях — ЭПП с миопластикой экстраплевральной полости широчайшей мышцей спины на сосудистой ножке.
У 13 больных различные виды коллапсохирургических операций с обеих сторон сочетались.
Таким образом, у 104 (84,6%) оперированных (1-я группа) применены коллапсохирургические операции только на стороне выполненной ранее пневмонэктомии и у 19 (15,4%) — на стороне единственного легкого или с обеих сторон (2-я группа). Пациенты 2-й группы отличались от пациентов 1-й группы большей распространенностью деструктивного процесса в единственном легком, что и обусловило более агрессивный хирургический подход.
Результаты
Интраоперационное осложнение во время коллапсохирургических операций возникло только у 1 (0,8%) пациента (ранение плевры во время ЭПП потребовало дополнительного дренирования плевральной полости).
Средняя продолжительность операции ЭПП составила 60,4 мин (40—100 мин). Средняя интраоперационная кровопотеря — 37,3 мл (5—100 мл).
Средняя длительность ВАТС-торакопластики составила 59,7 мин (25—155 мин), кровопотеря — 180 мл (10—800 мл).
Более травматичным вмешательством была торакомиопластика. Средняя продолжительность торакомиопластических операций 142,6 мин (25—285 мин), средняя интраоперационная кровопотеря 565,2 мл (10—2000 мл).
Послеоперационные осложнения после коллапсохирургических операций развились у 13 (9,6%) пациентов, в том числе эмпиема плевры или экстраплевральной полости у 5, прогрессирование туберкулеза у 2, тромбоэмболия легочной артерии (ТЭЛА) у 1, инфаркт миокарда у 1, у 3 больных отмечен разрыв экстраплеврального баллона и у 2 — миграция дренажа.
Тридцатидневная летальность после 136 коллапсохирургических операций составила 1,5% (в 1 случае от ТЭЛА, в 1 — от инфаркта миокарда).
После заживления раны пациентов переводили во фтизиатрические отделения того же стационара, где продолжали консервативное лечение. Непосредственную эффективность оценивали при выписке из терапии через 5—6 мес после завершения хирургического этапа лечения и получения результатов от 3 до 12 анализов мокроты на МБТ методами люминесцентной микроскопии и посева (табл. 1). Полный эффект достигнут у 79,7% оперированных.
Таблица 1. Непосредственные исходы хирургического лечения у выписанных больных
Полный эффект (КВ-, БК-)
Улучшение (КВ+, БК-)
Без перемен (КВ+, БК+)
При сравнении распределения исходов в 1-й и 2-й группах различия были недостоверны, χ 2 3≈0,85, p=0,838.
Отдаленные результаты удалось изучить у 100 (84,0%) из выписанных пациентов в сроки от 1 года до 5 лет, в том числе у 16 (88,9%) из 18 выписанных больных 2-й группы.
Через 5 лет после завершения хирургического лечения частота излечения уменьшилась. Полный эффект лечения отмечен у 55 (77,5%) из 71 больного, прослеженных более 5 лет, рецидивы или обострения туберкулеза (в том числе и излеченные) наблюдались у 24 (33,8%) пациентов, из которых 11 (15,5%) умерли от туберкулеза.
Через 1, 2, 3, 4 и 5 лет были живы 96, 94,5, 87,1, 83,1 и 81,2% оперированных соответственно (табл. 2).
Таблица 2. Выживаемость больных, оперированных по поводу туберкулеза
Фактическая выживаемость оперированных обеих групп достоверных различий не имела (χ 2 5≈4,51, p=0,479).
Вопросы трудовой реабилитации изучены через 3 года после хирургического лечения у 74 пациентов, все они на момент операции были нетрудоспособны (II группа инвалидности). Через 3 года II группа инвалидности была у 36 (48,6%) оперированных, II группа с правом работать — у 4 (5,4%), III группа — у 31 (41,9%), не имели инвалидности 3 (4,1%) больных. В народном хозяйстве работали 38 (51,4%) оперированных, выполняли домашнюю работу через 3 года после хирургического лечения 67 (90,5%) больных.
Эффективность лечения туберкулеза легких с МЛУ/РУ нельзя признать удовлетворительной. Например, при лечении когорты впервые выявленных больных 2013 г. среди больных с МЛУ/РУ в странах мира в среднем достигнута эффективность 52%, а в РФ — 48% [8]. При этом, по мнению экспертов ВОЗ, риск смерти у пациентов с МЛУ/РУ в среднем в мире превышает 40% [8]. Еще более мрачным является прогноз лечения больных с ШЛУ туберкулеза. Эффективность лечения этой категории пациентов в когорте, впервые выявленных 2013 г., составила в странах мира и РФ в среднем 28% [8].
Несмотря на успехи фтизиохирургии в лечении ограниченных процессов, хирургический метод в лечении распространенного двустороннего фиброзно-кавернозного туберкулеза легких применяется казуистически редко.
В случае тотального поражения одного легкого и деструктивном процессе во втором легком большинство хирургов считают операцию не показанной [1, 9, 10], причем многие подчеркивают опасность прогрессирования деструктивного туберкулеза в единственном легком после пневмонэктомии, чему способствует его перерастяжение [4, 11, 12]. Однако также существует мнение, что пневмонэктомия и последующее проведение антибактериальной терапии благоприятно влияют в подобной ситуации на течения заболевания в целом [10].
Публикации, в которых хотя бы упоминаются операции на единственном легком по поводу туберкулеза, встречаются в отечественной и зарубежной литературе казуистически редко [2—4, 11—13], хотя сложность и низкая эффективность консервативного лечения пациентов с деструктивным туберкулезом в единственном остающемся легком подчеркивают многие авторы [11—13].
Впервые резекции единственного легкого по поводу туберкулеза у 6 пациентов описали F. Woods, N. Wilson и R. Overholt [3] в 1956 г., а первая публикация об успешном применении коллапсохирургии (торакопластика) на единственном легком у 3 больных принадлежит B. Bicford и соавт. [4].
С тех пор предложены и ограниченно применялись различные варианты хирургических операций на единственном легком: пневмонэктомия с последующей резекцией единственного легкого [3, 14, 15], резекция легкого на стороне меньшего поражения с последующей пневмонэктомией [11, 16, 17], одномоментные пневмонэктомии с экономной резекцией единственного легкого из трансстернального доступа [14], одномоментная трансстернальная трансперикардиальная окклюзия главного бронха и сосудов разрушенного легкого с одномоментной резекцией остающегося легкого и последующей плевропневмонэктомией [2], одномоментная трансстернальная трансперикардиальная окклюзия культи главного бронха с резекцией единственного легкого [2], одномоментная контралатеральная трансплевральная окклюзия культи главного бронха с резекцией единственного легкого [2], искусственный пневмоторакс и торакокаустика [11], ЭПП [2, 12], экстраплевральная торакопластика [4, 14], экстраплевральная торакопластика с клапанной бронхоблокацией до или после выполнения торакопластики, микродренирование каверны [14, 18], кавернотомия [2], кавернопластики [13, 19], одномоментная трансстернальная трансперикардиальная окклюзия главного бронха разрушенного легкого с ЭПП и пломбировкой поролоном на стороне остающегося легкого и последующей плевропневмонэктомией [2, 12], одномоментная трансстернальная трансперикардиальная окклюзия культи главного бронха с ЭПП и пломбировкой поролоном [2].
Наиболее частыми операциями в лечении туберкулеза единственного легкого, по данным литературы, являются его резекции, однако и эти вмешательства выполняются редко.
В 2014 г. мы обобщили [5] сведения о 132 резекциях единственного легкого, упомянутых в 27 работах. Послеоперационные осложнения при операциях по поводу туберкулеза составили в среднем 52,4%, послеоперационная летальность — 21%, а полный клинический эффект — 73,8% [5].
Гораздо более редко, чем резекции, в лечении туберкулеза единственного легкого применялись коллапсохирургические операции, причем отношение к хирургии коллапса у многих авторов неоднозначно. Так, F. Woods, N. Wilson и R. Overholt в 1956 г. [3] отмечали безрезультатность лечения туберкулеза единственного легкого искусственным пневмотораксом, торакопластикой, экстраплевральным пневмолизом и дренированием каверны. В то же время некоторые хирурги получили при операциях коллапса на единственном легком большую эффективность, чем при резекции единственного легкого [2, 13]. Большинство зарубежных авторов в последние 30 лет относились к коллапсохирургическим операциям в лечении туберкулеза вообще отрицательно и совсем их не применяли [1, 20, 21]. Только в самые последние годы появились немногочисленные публикации в англоязычной литературе, свидетельствующие о некотором возрождении интереса к хирургии коллапса [22—25].
Сведения о торакопластиках на стороне единственного легкого за 62 года с момента их первого применения единичны: в 1957 г. B. Bicford и соавт. [4] сообщили о 3 операциях, в 1983 г. Л.К. Богуш [2] — об 1, в 2002 г. В.А. Порханов [18] — о 3 операциях.
Наибольший опыт торакопластики и кавернопластики на единственном легком опубликован А.В. Елькиным [13]. После 21 торакопластики и кавернопластики летальность составила 9,5%, а эффективность в отдаленный период — 47,6%.
ЭПП с пломбировкой полости поролоном применяли в клинике ЦНИИТ Л.К. Богуш и В.Н. Наумов [2, 12], как правило, из стернотомии одномоментно с окклюзией главного бронха разрушенного легкого и последующим его удалением. После операции умерли 7 (33%) из 21 больного, оперированного с применением этапной хирургической тактики, и у 1 из выписанных операция была неэффективной.
Вообще метод ЭПП, используемый в первой половине XX века, в последующие годы из-за высокой частоты осложнений и сравнительно низкой эффективности исчез из арсенала торакальной хирургии практически полностью. Мы нашли только 4 публикации [2, 11—13], в которых приведены непосредственные и отдаленные результаты коллапсохирургических операций в лечении деструктивного туберкулеза легких, и суммировали приведенные в них данные: средняя послеоперационная летальность составила 22,4% (13 из 58 больных), эффективность в отдаленный период — 62,1% (36 случай) (табл. 3).
Таблица 3. Результаты коллапсохирургических операций, выполненных по поводу деструктивного туберкулеза единственного легкого, по данным литературы
Читайте также:
