Зона просветления костей рук. Рентгенологические признаки перегрузки кости
Добавил пользователь Владимир З. Обновлено: 04.01.2026
Институт ревматологии РАМН, Москва
О стеоартроз (ОА) - хроническое прогрессирующее заболевание суставов, характеризующееся дегенерацией суставного хряща, изменениями в субхондральном отделе эпифизов костей и в околосуставных мягких тканях.
Состояние суставного хряща является важным не только для диагностики ОА, но и для оценки прогрессирования заболевания и проводимого лечения. Суммарная толщина суставного хряща на рентгенограммах определяется измерением ширины рентгеновской суставной щели между суставными поверхностями эпифизов костей. Ширина суставной щели до настоящего времени используется, как основной показатель в рентгенологической диагностике ОА, и стандартная рентгенография коленных суставов в прямой и боковой проекциях рекомендуется WHO и ILAR, как метод выбора для оценки динамики изменений в суставном хряще при проведении клинических испытаний лекарственных препаратов.
Рентгенография остается наиболее простым и общедоступным методом исследования суставов для оценки анатомических изменений структуры костей при ОА. С точки зрения оперативности диагностики, простоты и удобства использования, особенно интересны передвижные рентгенодиагностические аппараты с полипозиционным штативом типа С-дуга, широко применяемые в мировой практике. Аппараты данного класса позволяют проводить исследования пациента в любых проекциях без изменения положения последнего. В России единственным производителем подобного оборудования является Санкт-Петербургская научно-исследовательская производственная компания “Электрон”. Характерные рентгенологические проявления ОА обычно легко определяются на стандартных рентгенограммах суставов, при этом сужение рентгеновской суставной щели соответствует объемному уменьшению суставного хряща, а субхондральный остеосклероз и остеофиты на краях суставных поверхностей есть ответная реакция костной ткани на увеличение механической нагрузки в суставе, что, в свою очередь, является результатом дегенеративных изменений и уменьшения в объеме суставного хряща. Данные рентгенологические симптомы рассматриваются, как специфические для ОА, используются для постановки диагноза ОА и входят в рентгенологические критерии (в сочетании с клиническими) диагностики ОА.
Рентгенологические симптомы, обязательные для постановки диагноза остеоартроза
Сужение рентгеновской суставной щели - один из самых важных рентгенологических симптомов, имеющий прямую коррелятивную связь с патологическими изменениями, происходящими в суставном хряще. Известно, что уменьшение в объеме суставного хряща распределяется неравномерно на разных участках суставной поверхности, в связи с чем рентгеновская суставная щель в разных отделах сустава имеет различную ширину. Согласно рекомендациям WHO/ILAR ширину рентгеновской суставной щели необходимо измерять в наиболее суженном участке. Считается, что в патологически измененном суставе именно этот участок испытывает наибольшие механические нагрузки (для коленного сустава - это медиальные отделы, для тазобедренного сустава - верхнемедиальные, реже - верхнелатеральные отделы). Анатомическими ориентирами, используемыми для измерения суставной щели на рентгенограммах крупных суставов являются:
а) для выпуклых поверхностей (головка и мыщелки бедренной кости) - кортикальный слой замыкательной пластины суставной поверхности кости;
б) для вогнутых поверхностей (край вертлужной впадины, проксимальные мыщелки большеберцовых костей) - край суставной поверхности в основании суставной впадины.
Остеофиты - костные разрастания на краях суставных поверхностей костей различной формы и размеров являются чрезвычайно характерным для ОА рентгенологическим симптомом. Остеофиты в начальных стадиях развития ОА суставов проявляются в виде заострений или небольших размеров (1-2 мм) костных образований на краях суставных поверхностей и в местах прикрепления собственных связок суставов (в коленных суставах это края межмыщелковых возвышений большеберцовых костей, в месте прикрепления крестообразных связок; в тазобедренных суставах - края ямки бедренной головки, на медиальной ее поверхности, в месте прикрепления собственной связки бедренной головки). По мере нарастания тяжести ОА в суставах и прогрессирующего сужения суставной щели остеофиты увеличиваются в размерах, приобретают различные формы в виде “губ” или “гребней”, прямолинейных или “пышных” костных разрастаний на широком или узком основании. При этом суставная головка и впадина могут значительно увеличиваться в поперечнике, становиться более массивными и расплющенными. Количество остеофитов может быть подсчитано отдельно или суммарно в обоих суставах, а их размеры измерены по ширине в основании и по длине. Изменение количества остеофитов и их размеров является чувствительным индикатором прогрессирования заболевания, а отсутствие этих изменений может указывать на успешность в лечении ОА.
Субхондральный остеосклероз - уплотнение костной ткани, непосредственно расположенной под суставным хрящом. Обычно этот рентгенологический симптом выявляется на поздних стадиях ОА, когда суставная щель уже резко сужена и является следствием трения обнаженных сочленяющихся костных поверхностей друг о друга. Суставные костные поверхности при этом становятся неровными. Это свидетельствует о глубоком дегенеративном процессе в покровном хряще или о его исчезновении. Изменения целостности суставного хряща, что предшествует его количественному уменьшению, может быть результатом уплотнения кортикальной и трабекулярной костной ткани, непосредственно расположенных под хрящом. Уплотнение субхондральной костной ткани в области суставных поверхностей костей измеряется в 3-х равноотстоящих точках вдоль суставного края; результаты измерения при этом могут быть усреднены.
Рентгенологические симптомы, необязательные для постановки диагноза первичного остеоартроза
Околосуставной краевой дефект костной ткани. Хотя этот рентгенологический симптом, который может наблюдаться при ОА, определен Altman с коллегами, как “эрозия суставной поверхности”, термин “околосуставной краевой дефект костной ткани” более предпочтителен, так как точной гистологической характеристики этих рентгенологически выявляемых изменений пока не дано. У больных с ОА они небольшие с участком остеосклероза в основании, при этом окружающая их костная ткань не имеет разрежения костной структуры, что характерно для истинных эрозий, выявляемых при ревматоидном артрите, которые не имеют склеротических изменений в основании и часто определяются на фоне околосуставного остеопороза. Краевые дефекты костной ткани могут быть обнаружены на ранних стадиях ОА, появление их может быть связано с воспалительными изменениями в синовиальной оболочке. Эти изменения описаны в крупных суставах и в суставах кистей.
Субхондральные кисты - рентгенологически проявляются, как кольцевидные дефекты трабекулярной костной ткани в субхондральном отделе кости с четко определяемым склеротическим ободком. Субхондральные кисты формируются в результате резорбции костной ткани в области высокого внутрисуставного давления, в месте наибольшей нагрузки на суставную поверхность. Чаще всего эти кисты появляются при обострении заболевания и находятся в зоне наиболее узкой части суставной щели. Они характерны для ОА тазобедренных суставов и могут обнаруживаться как в головке бедренной кости, так и в крыше вертлужной впадины. О динамике изменений субхондральных кист судят по их количеству и размерам.
Внутрисуставные обызвествленные хондромы - образуются из участков некротизированного суставного хряща, а также могут являться фрагментом костной ткани - остеофита или продуцироваться синовиальной оболочкой. Хондромы обычно имеют небольшие размеры, находятся между суставными поверхностями костей или лежат сбоку от эпифизов костей, имеют различную форму (округлую, овальную, удлиненную) и неравномерную крапчатую структуру, связанную с отложением кальцийсодержащих веществ в хрящевую ткань. Количество их в суставе минимальное (1-2 хондромы).
В коленном суставе за обызвествленную хондрому можно принять сесамовидную кость (fabella) в подколенной ямке, которая при ОА коленного сустава также меняет свою форму, положение и размеры. Деформация fabella является одним из симптомов ОА коленного сустава.
Рентгенологическая диагностика остеоартроза тазобедренных суставов
На точность оценки ширины суставной щели в тазобедренных суставах влияют 3 фактора: позиция больного, поворот конечности и правильная центрация рентгеновского луча при рентгенографии сустава. Сравнение ОА изменений в тазобедренных суставах у одних и тех же больных в 2-х положениях (стоя и лежа) показало, что в положении больного стоя ширина суставной щели была достоверно меньше, чем когда больной лежал на столе. Cуставная щель сужена в большей степени тогда, когда стопа направлена кнутри. Смещение рентгеновской трубки в сторону от центра сустава может достоверно изменить ширину суставной щели. При этом рекомендуется, чтобы центральный рентгеновский луч проходил через центр бедренной головки. Правда, необходимо отметить тот факт, что раздельная рентгенография тазобедренных суставов приводит к увеличению лучевой нагрузки на пациентов.
В начальных стадиях (1-2 стадии по Kellgren) ОА тазобедренных суставов при рентгенологическом исследовании определяются: незначительное сужение суставной щели, слабовыраженный субхондральный остеосклероз, точечные кальцификаты в области наружного края крыши вертлужной впадины (зачаток остеофитов), заострение краев ямки бедренной головки в области прикрепления круглой связки бедренной головки (рис. 1).

Рис. 1. Обзорная Rо-графия тазобедренного сустава в прямой проекции.
Деформирующий остеоартроз II ст. по Kollgren. Крупные остеофиты на краях суставных поверхностей. Грибовидная деформация бедренной головки
В поздних стадиях заболевания (соответствует 3-4 стадии ОА по Kellgren) отмечаются:
• прогрессирующее сужение суставной щели
• формирование различной формы и размеров остеофитов на краях суставных поверхностей вертлужной впадины, бедренной головки, отчего она со временем приобретает грибовидную форму. В средней части вертлужной впадины возможно формирование клиновидного остеофита, который может обусловить латеральное смещение бедренной головки
• углубление вертлужной впадины может быть связано с развитием остеофитов; протрузия ее возможна на фоне остеопороза или истончения костей, составляющих дно вертлужной впадины
• выраженный субхондральный остеосклероз. Проявляется в первую очередь в области крыши вертлужной впадины, затем в верхнем отделе бедренной головки
• в далеко зашедших случаях - уменьшение в объеме и уплощение суставной поверхности бедренной головки на фоне выраженной кистовидной перестройки костной ткани, чередующейся с участками субхондрального остеосклероза. Костные кисты могут быть единичными или множественными. Возникают они в верхней части вертлужной впадины или в зоне наибольшей нагрузки на суставную поверхность бедренной головки
• асептический некроз бедренной головки
• подвывихи бедренной кости чаще вверх и латерально, реже вверх и медиально
• уплотнение костной ткани и укорочение шейки бедренной кости.
Свободные внутрисуставные тельца при коксартрозе выявляются редко.
При вторичном диспластичном коксартрозе все рентгенологические симптомы развиваются рано (в молодом или среднем возрасте) и могут закончиться асептическим некрозом бедренной головки и подвывихом или полным вывихом бедра.
Описан ишемический коксартроз с быстрым сужением суставной щели, перестройкой костной структуры в головке и шейке бедренной кости, ранними остеосклеротическими изменениями, но без значительного остеофитоза, с достаточно быстрым развитием деструкции бедренной головки.
Рентгенологическая диагностика остеоартроза коленных суставов
Коленные суставы - одни из самых трудных для правильного рентгенологического исследования из-за их структурной сложности и широкого диапазона движений. ОА в коленных суставах может быть ограниченно распространенным даже в определенном отделе сустава, что также затрудняет диагностику изменений в суставе. Последние клинические и эпидемиологические работы подтвердили важность исследования пателлофеморального сустава в оценке ОА коленного сустава, так как совместное исследование этих суставов обнаруживает заболевание приблизительно в 50% от всех обследованных больных и доказывает, что к прямой рентгенографии коленных суставов необходимо в обязательном порядке добавлять прицельный снимок надколенника в боковой или аксиальной проекции. Незначительно согнутый в положении стоя и в прямой проекции коленный сустав является наиболее приемлемым положением для объективной оценки ширины суставной щели. Каждый коленный сустав сгибается так, чтобы опорные площадки суставной поверхности большеберцовой кости стали горизонтальными, шли параллельно с центральным рентгеновским пучком и были перпендикулярны кассете. Центр сустава (суставной щели) должен совпадать с центром рентгеновского луча. Рентгенологическое исследование феморопателлярного сустава может быть проведено в положении больного лежа на животе с максимально согнутой в коленном суставе ногой или с использованием метода Ahlback, когда больной стоит и коленный сустав согнут под углом 30° от вертикального положения. В этом положении сустав находится под функциональной нагрузкой, гарантируется, что поверхности сустава хорошо видны, обеспечивается более точная оценка хрящевой ткани, чем в том случае, когда больному проводится исследование в положении лежа.
Рентгенологическая диагностика артроза феморопателлярного сустава в боковой и аксиальной проекциях характеризуется: сужением суставной щели между надколенником и бедром; остеофитами на задних углах надколенника и мыщелков бедренной кости; субхондральным остеосклерозом надколенника; единичными субхондральными кистами со склеротическим ободком.
Данный артроз почти всегда наружный, иногда наружный и внутренний, редко - только внутренний (диагностируется только по аксиальному снимку).
Ранние рентгенологические признаки (соответствуют 1-2 стадиям артроза по Kellgren):
1. Вытягивание и заострение краев межмыщелкового возвышения большеберцовой кости (в месте прикрепления крестообразной связки).
2. Небольшое сужение суставной щели (чаще в медиальном отделе сустава).
3. Заострение краев суставных поверхностей мыщелков бедренной и большеберцовой кости, чаще в медиальном отделе сустава (связано с большей нагрузкой на этот отдел сустава), особенно при наличии варусной деформации сустава; реже - в латеральной части или одновременно в обеих половинах суставной поверхности (рис. 2).

Рис. 2. Rо-графия коленных суставов в боковой проекции.
Артроз феморопателлярных суставов (больше слева). Артроз коленных суставов (I ст по Kollgren справа, IV ст. по Kollgren слева)
При прогрессировании артроза коленных суставов (соответствует 3-4 стадиям артроза по Kellgren):
• нарастает сужение суставной щели
• развивается субхондральный остеосклероз в наиболее нагруженной части сустава
• появляются множественные крупные остеофиты на боковых, передних и задних краях суставных поверхностей
• редко обнаруживаются субхондральные кисты
Вторичный синовит с развитием субпателлярной или подколенной кисты Бейкера:
• суставные поверхности бедренной и большеберцовой кости уплощаются, становятся неровными и теряют свою анатомо-функциональную дифференциацию
• многогранную неправильную форму преобретает сесамовидная кость (fabella)
• могут обнаруживаться обызвествленные хондромы
• редко возможно развитие асептических некрозов мыщелков костей.
Остеартроз проксимальных и дистальных межфаланговых суставов
Стандартная рентгенография кистей проводится в прямой проекции. Пальцы расположены вместе, кисти лежат ровно на кассете на одной линии с осью, проходящей через предплечья и запястья.
Начальные проявления (соответствуют 1-2 стадиям артроза по Kellgren):
Небольшие заострения краев или остеофиты с нерезким субхондральным остеосклерозом; мелкие, субхондрально расположенные кисты при нормальной или слегка суженной суставной щели, мелкие кальцификаты в мягких тканях в области боковых краев суставных поверхностей костей.
Выраженные изменения (соответствуют 3-4 стадиям артроза по Kellgren):
Умеренно выраженные или крупные остеофиты, деформация краев суставных поверхностей, значительное сужение суставных щелей, остеосклероз (узелки Гебердена в дистальных межфаланговых суставах и узелки Бушара в проксимальных), кисты со склеротическим ободком, краевые дефекты суставных поверхностей, при этом костные выступы с одной стороны могут вклиниваться в другую. Обычно краевые дефекты окружены зоной остеосклероза (рис. 3).

Рис. 3. Обзорная Rо-графия кистей.
Множественные артрозы дистальных и проксимальных межфаланговых суставов. Множественные узелки Гебердена и Бушара. Выраженный артроз 1-го левого запястнопястного сустава
Стандартная и микрофокусная рентгенография суставов
Методы для оценки прогрессирования ОА основываются на выявлении изменений рентгенологических симптомов в суставах. Длительные исследования рентгенологических изменений у больных с ОА в коленных суставах, получавших негормональное противовоспалительное лечение, показало отсутствие рентгенологического прогрессирования заболевания после 2-х лет наблюдений и минимальные различия между группами, получавшими лечение, и в контроле. Отсутствие достоверных изменений в этих и других, длительных исследованиях дают основание предполагать, что рентгенологические симптомы при стандартной рентгенографии суставов остаются относительно стабильными в течение длительного периода времени при ОА и предложению, что более чувствительная технология, такая как микрофокусная рентгенография суставов, должна более широко использоваться при оценке динамики изменений.
. Длительные исследования рентгенологических изменений у больных с ОА в коленных суставах, получавших негормональное противовоспалительное лечение, показало отсутствие рентгенологического прогрессирования заболевания после 2-х лет наблюдений и минимальные различия между группами, получавшими лечение, и в контроле. Отсутствие достоверных изменений в этих и других, длительных исследованиях дают основание предполагать, что рентгенологические симптомы при стандартной рентгенографии суставов остаются относительно стабильными в течение длительного периода времени при ОА и предложению, что более чувствительная технология, такая как , должна более широко использоваться при оценке динамики изменений.
Зона просветления костей рук. Рентгенологические признаки перегрузки кости
Лента новостей → Мнение ревматолога о рентгенодиагностике суставных болезней

Актуальные вопросы рентгенологической диагностики болезней суставов. Взгляд ревматолога
Наиболее часто встречаемые ошибки, совершаемых при проведении рентгеновского обследования при ревматических заболеваниях. Часто встречаемые рентгенологические признаки поражения суставов и их интерпретации. Анализ опыта работы на консультативном ревматологическом приеме в областной клинической больнице.

Триполка Светлана Анатольевна, к.м.н., доцент кафедры терапии, ревматологии и клинической фармакологии ХМАПО, КУОЗ «ОКБ ЦЭМП и МК»
Общие сведения
В подавляющем большинстве случаев после анализа жалоб, анамнеза и данных осмотра больному поставлен тот или иной предварительный диагноз заболевания суставов и позвоночника. Однако, в последующем, он нуждается в подтверждении диагноза с помощью дополнительных методов исследования: инструментальных, лабораторных, реже морфологических. Золотым стандартом диагностики суставной патологии остается рентгенологическое исследование. Рентгенография представляет собой важный инструмент не только для диагностики того или иного артрита или артроза, но и для оценки прогрессирования заболевания и эффективности терапии.
Значительной части из обратившихся в областную больницу больных рентгенографическое исследование уже было проведено в лечебных учреждениях районов области и требовало интерпретации в условиях областной больницы. Необходимо отметить, что врачи терапевтической практики нередко руководствуются описательными составляющими рентгеновских снимков (протоколами), предоставляемыми им рентгенологами, и самостоятельно не оценивают те или иные рентгенологические изменения.
И хорошо, если эти протоколы готовит рентгенолог, подготовленный по вопросам артрологии и вертебрологии, но, исходя из собственного клинического опыта, зачастую в описании рентгенограмм рентгенологи не детализируют тех специфических изменений, которые позволяют ревматологу или терапевту провести дифференциальную диагностику изменений в суставах. В заключении рентгенолога достаточно частой является формулировка «признаки артрозаартрита», однако, для каждого вида артритов согласно данным литературы можно выделить свои специфичные признаки, позволяющие определить его нозологическую принадлежность.
Поэтому в данной статье хотелось бы остановиться на наиболее часто встречаемых ошибках, совершаемых при проведении рентгеновского обследования при ревматических заболеваниях и некоторых наиболее важных и часто встречаемых рентгенологических признаках поражения суставов и их интерпретации.
Самые частые ошибки рентгенолога
Анализируя опыт работы на консультативном ревматологическом приеме в областной клинической больнице, среди наиболее часто встречаемых ошибок при использовании рентгеновского метода диагностики хотелось бы выделить следующие:
- Неправильно выбранный объем обследования
- Неправильная укладка пациента при выполнении рентгенологического обследования
- Неправильная трактовка полученных результатов
Первым этапом рентгенологического обследования для врача общей практики должен бытьправильный выбор области исследования для ее проведения, а именно такой, рентгенологические изменения в которой наиболее информативны для диагностики того или иного заболевания.
К примеру, при повторных атаках подагрического артрита клиническая симптоматика в виде боли и отечности может быть наиболее выражена в голеностопных суставах, а плюсне-фаланговые суставы могут оставаться интактными, и частой ошибкой является проведение больному рентгенографии голеностопных суставов, которая в данной ситуации малоинформативна. Аналогичная тактика и в ситуации с подозрением на реактивный спондилоартрит или периферическую форму анкилозирующего спондилоартрита с поражением голеностопных суставов. Патогномоничные рентгенологические изменения необходимо выявлять в крестцово-подвздошных сочленениях и позвоночном столбе, а рентгенологических изменений в периферических суставах, особенно в начальной стадии болезни, может не быть.
Нужно отметить, что в целом проведение рентгенографии голеностопных суставов из-за ее крайне низкой информативности нужно проводить редко и по строгим показаниям в случаях изолированного поражения одного голеностопного сустава и подозрении на специфическую (туберкулезную, гонококковую) природу артрита. Этот дефект влечет за собой необоснованную лучевую нагрузку и дополнительные материальные затраты для больного при проведении повторных необходимых для уточнения диагноза исследований.
Чтобы помочь врачу терапевту правильно определиться с выбором зоны исследования, в качестве примера может помочь следующая таблица (Смирнов А.В., 2005 г.).
Таблица
Необходимый минимум рентгенологических обследований при ревматических болезнях

Зона обследования
Также хотелось обратить внимание на неправильно выбираемую зону обследования. Например, зачастую при наличии односторонних клинических изменений в одном пястно-фаланговом или плюсне-фаланговом суставе врачи ограничиваются рентгенографией исключительно этой области. Однако, именно характер патологических изменений в обеих кистях, их локализация и распространённость, анализ того какие группы суставов изменяются в самом начале заболевания должны обязательно учитываться при оценке рентгенограмм для того, чтобы правильно интерпретировать полученные данные и провести дифференциальный диагноз между различными ревматическими заболеваниями. Поэтому в ревматологической практике для уточнения диагноза необходимо проводить по показаниям либо прямую сравнительную рентгенограмму кистей с захватом лучезапястных суставов либо прямую сравнительную рентгенограмму стоп.
Исходя из нашего опыта, результаты рентгенографии нередко могут зависеть от техники и правильного позиционирования объекта съемки. В настоящее время требованием всех протоколов исследований является соблюдение максимально унифицированных условий проведения рентгенограмм кистей и стоп. Так для общей оценки поражения суставов необходимо снимать обе кисти или стопы на одной пленке, обязателен захват лучезапястного сустава. Требования к расположению пациента при рентгенографии кистей и стоп изложены в соответствующих руководствах по рентгенологии. Врачу общей практики при направлении к рентгенологу обязательно необходимо указывать, что больной направляется на сравнительную рентгенограмму кистей в прямой проекции с захватом лучезапястных суставов или на прямую сравнительную рентгенограмму стоп.
Наконец важным моментом является трактовка полученных результатов. О наиболее часто встречающихся в практике терапевта суставных синдромах и наиболее характерных рентгенологических изменениях, присущих им, в продолжении данной статьи.
Рентген мелких суставных кистей
Наиболее информативным и обязательным практически при всех проявлениях суставного синдрома является проведение рентгенологического обследования мелких суставов кистей и стоп, поэтому хотелось бы остановиться на патогномоничных изменениях, характерных для того иного проявления артрита, происходящих именно в кистях или стопах.
Для подагрического артрита характерно преимущественное поражение дистальных отделов стоп с преобладанием изменений в области I плюсне-фаланговых сочленений, реже изменения выявляются в мелких суставах кистей. При остром подагрическом артрите рентгенологические изменения, как правило, отсутствуют. Поэтому речь идет об изменениях, характеризующих хроническую стадию болезни. Типичным для хронического подагрического артрита является обнаружение узловых образований (тофусов) в костях в виде кистовидных просветлений и участков повышения плотности мягких тканей в области фаланг пальцев кистей и стоп. Деструкция костной ткани в виде эрозий, часто выявляемая при хроническом течении подагры, локализуется в основном на краях эпифизов костей и в дальнейшем распространяется на центральные отделы суставов.

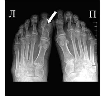
Эрозии при подагрическом артрите имеют округлую или овальную форму, часто со склеротическим ободком. Склеротический ободок вокруг внутрисуставного тофуса создает типичный для подагрического артрита симптом «пробойника» (см. рис. 1).
В отличие от ревматоидного артрита и полиостеоартроза ширина суставной щели при подагре обычно сохраняется в норме даже в поздних стадиях заболевания. Также для хронической стадии, в отличие от ревматоидного артрита, не характерен остеопороз. Таким образом, I плюснефаланговый сустав наиболее характерная локализация при подагрическом артрите.

Рис. 2 Симптом «пробойника» в головках плюсневых костей обеих стоп в сочетании с вальгусной девиацией I плюсне-фаланговых суставов
Эрозии часто обнаруживаются в верхней и медиальной части плюсневой головки и часто в сочетании с вальгусной девиацией суставов. Типичным является асимметричность изменений (рис. 2).
Одним из главных отличительных признаков ревматоидного артрита (РА) от других заболеваний является симметричность изменений мелких суставах кистей и стоп, которые становятся суставами-«мишенями» в первую очередь и поэтому именно эти области изучаются для определения стадии заболевания. Наиболее часто используемой в повседневной практике рентгенологической классификацией является деление ревматоидного артрита на стадии по Steinbrocker в различных модификациях.
Основные симптомы
Основными рентгенологическими симптомами РА являются следующие: остеопороз, кистовидные просветления костной ткани (кисты), сужение суставной щели, эрозии суставов, костные анкилозы, деформации костей, остеолиз, вывихи, подвывихи и сгибательные контрактуры суставов. Рентгенологическая диагностика развернутых стадий РА, исходя из нашей практики, как правило, затруднений не вызывают.

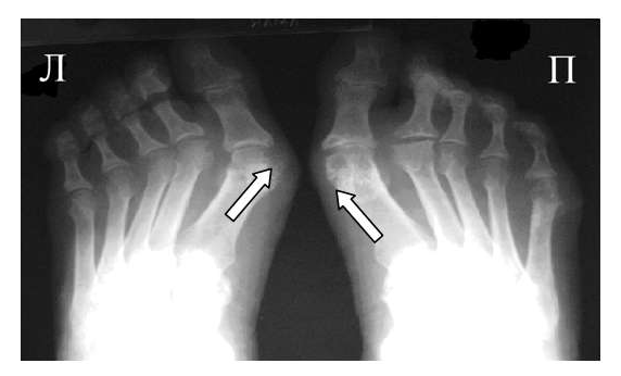
Рис. 3 Сочетание ревматоидного артрита и остеоартроза
Большинство ошибок встречаются при начальных стадиях, особенно при начале РА в пожилом возрасте и сочетании его с остеоартрозом (см. рис. 3). В этом случае для подтверждения диагноза РА и предупреждению случаев его гипердиагностики служит выявление симметричных эрозий в типичных для ревматоидного артрита суставах (запястья, плюснефаланговые, пястно-фаланговые).

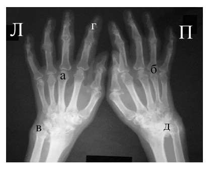
Рис. 4. Изменения кистей при ревматоидном артрите (а остеопороз, бсужение суставных щелей, в кистовидные просветвления, г костные эрозии, д анкилозирование)
Необходимо также помнить, что, как правило, при РА эрозии не предшествуют околосуставному остеопорозу, кистам и сужению суставных щелей. Имеет место последовательность развития стадий РА (см. рис. 4), в отличие от эрозивных артритов другого генеза (псориатического, серонегативного)
Костные анкилозы выявляются только в суставах запястий и во 2-5-м запястно-пястном суставах, редко в лучезапястных и суставах предплюсны. Никогда анкилозы не формируются в межфаланговых суставах кистей и стоп, в первых запястно-пястных и плюснефаланговых суставах. Анализируя сроки появления основных рентгенологических проявлений наиболее типичным по нашим данным и по данным других авторов [LandeweR.] является появление первых симптомов РА (околосуставного остеопороза и кистовидных просветлений) через несколько месяцев (до года) от начала заболевания, эрозии выявляют на 2-3 год от начала заболевания.
Какое значение для врача клинициста имеет скорость рентгенологической прогрессии у конкретного пациента? Выраженность деструкции в мелких суставах кистей и стоп является наиболее объективным маркером прогрессирования РА и/или недостаточной эффективности терапии, а появление эрозий в мелких суставах конечностей в первый год заболевания является предиктором неблагоприятного варианта развития болезни. Связь между скоростью нарастания деструкции и выраженностью и стойкостью воспалительной активности РА показана во многих исследованиях. Необходимо отметить, что у конкретного больного динамика рентгенологических изменений представляет собой не линейный процесс, а включает в себя эпизоды замедления и ускорения, связанные в том числе, и с активностью заболевания.
Для псориатического артрита, также поражающего мелкие суставы кистей, отличительным признаком от РА является отсутствие стадийности, поражение суставов, как правило, несимметрично, частые проявления артрита без околосуставного остеопороза, являющегося патогномоничным для РА. Изолированное поражение дистальных межфаланговых суставов кистей при отсутствии изменений в других мелких суставах кистей, осевое поражение 3-х суставов одного пальца.

Рис. 5 Множественный остеолиз и деструкции эпифизов костей с разнонаправленными деформациями суставов при псориатическом артрите.
При развернутой картине болезни деструкция концевых фаланг (акроостеолиз) и чашеобразная деформация проксимальной части фаланг пальцев кистей вместе с концевым сужением дистальных эпифизов симптом «карандаш в колпачке» (рис. 5), множественный остеолиз и деструкции эпифизов костей с разнонаправленными деформациями суставов (мутилирующий артрит).
Часто при псориазе рентгенологические проявления в мелких суставах кистей и стоп сочетаются с воспалительными изменениями крестцово-подвздошных сочленений сакроилиитами, обычно двусторонними асимметричными или односторонними.

Рис. 6 Сужение суставной щели, остеофиты и субхондральный остеосклероз, кистовидные просветления костной ткани, костные дефекты (псевдоэрозии), деформации эпифизов костей при остеоартрозе.
Среди обязательных диагностических критериев для верификации остеоартроза необходимо выделить сужение суставной щели, наличие остеофитов и субхондрального остеосклероза, вспомогательными являются кистовидные просветления костной ткани, костные дефекты (псевдоэрозии), деформации эпифизов костей (рис. 6), подвывихи и вывихи суставов, синовиты и обызвествленные хондромы.
Оценка рентгенологических стадий остеоартроза проводится по критериям, предложенным J.Kellgren, J. Lawrence в 1957 году.
Для серонегативных спондилоартритов более типичным является наличие эрозий суставных поверхностей в дистальных отделах стоп.

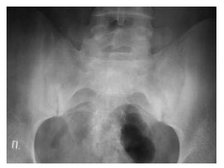
Рис. 7. Двусторонний сакроилиит у больного серонегативным спондилоартритом.
Околосуставной остеопороз в отличие от РА выявляется только в острую стадию артрита. Одна из основных локализаций, где развиваются костные пролиферации - это краевые отделы крестца и подвздошных костей (рис. 7).
Наиболее частыми проявлениями болезни Рейтера являются асимметричные артриты проксимальных межфаланговых суставов кистей (чаще 1 пальца), плюснефаланговых и проксимальных межфаланговых суставов, в отличие от псориатического артрита, поражающего дистальные межфаланговые суставы. Изолированные выраженные изменения в межфаланговом суставе 1-го пальца стопы предполагают в первую очередь диагноз реактивного спондилоартрита (болезни Рейтера) или псориатического артрита. Поражения пяточных костей обнаруживаются у 25-50%. Ахиллобурсит с наличием жидкости в слизистой сумке проявляется на боковой рентгенограмме пяточной кости затемнением, расположенным между верхней частью пяточной кости и ахилловым сухожилием. Таким образом, для диагностики и дифференциальной диагностики артритов принципиальное значение имеет раннее выявление патологических изменений в костях (кисты, эрозии). Выбор зоны для первичного обследования должен быть индивидуален, но рентгенография кистей или стоп является наиболее обоснованной, потому что позволяет наиболее рано и достоверно отличить изменения, характерные для того или иного заболевания суставов.
ЛООЗЕРА ЗОНЫ
ЛООЗЕРА ЗОНЫ (Е. Looser, швейцарский хирург и рентгенолог, 1877 — 1936) — обнаруживаемые на рентгенограммах полосы просветления в костях, отражающие приспособления отдельных участков кости к условиям функциональной перегрузки. Впервые описаны Лоозером в 1920 г. Функц, перегрузка того или иного участка кости возникает в результате повышенной нагрузки на нормальную кость или обычной нагрузки на патологически измененную кость. Напр., к развитию Л. з. может привести повышенная функц, нагрузка на вторую плюсневую кость при так наз. маршевой стопе (см.), на длинные трубчатые кости нижней конечности при непомерно усиленной ходьбе (у почтальонов, спортсменов) или статической перегрузке (у парикмахеров, прачек).
Развитие этого процесса, как правило, наблюдается также в условиях обычной нагрузки патологически измененной костной ткани при рахите (см.), алиментарной остеодистрофии (см.), остозе деформирующем (см. Педжета болезнь), несовершенном костеобразовании (см. Остеогенез несовершенный) и других дистрофических состояниях костей.
Помимо плюсневой и большеберцовой кости, Л. з. наблюдаются в ключице, седалищной кости, костях предплечья, бедренной кости, лопатке, межсуставных отделах дужек поясничных позвонков и некоторых других костях.
В понимание патогенеза Л. з. существенную ясность внесли исследования процессов жизнедеятельности кости с помощью радионуклидов (стронция-85, галлия-67, пирофосфата и др.). Установлено, что в нормальных условиях полное обновление минерального состава всего скелета человека происходит каждые два года. При наличии Л. з. обновление составных частей кости в определенном участке происходит усиленными темпами, Вначале рассасываются минеральные соли, а затем происходит постепенное обновление основного вещества костных балок. В этой фазе костная ткань замещается остеоидной тканью, вследствие чего зона перестройки на нек-рое время оказывается прозрачной для рентгеновского излучения и на рентгенограммах возникает полоса просветления, напоминающая линию перелома. Замещение основного вещества костных балок новой остеоидной тканью и последующее ее обызвествление, т. е. перестройка костной структуры, по данным радиоизотопных исследований Бесслера (W. Bessler, 1967) и Эзера (H. Oeser) с соавт. (1970), происходит в течение 6 —12 мес. Л. з. возникают в участках наибольшего влияния механической нагрузки, в частности при искривлениях трубчатой кости — на уровне ее максимального изгиба на выпуклой стороне. В этих местах усиленное лакунарное рассасывание костного вещества при гистол, исследовании также создает картину, весьма сходную с нарушением целости кости. При дальнейшем развитии процесса происходит формирование костной мозоли с отчетливо выраженным участием надкостницы.
Клин, течение Л. з. почти всегда благоприятное. Основными признаками заболевания являются боли и припухлость мягких тканей. В большинстве случаев оно заканчивается самопроизвольным излечением в сроки от нескольких месяцев до одного года и редко больше.
Л. з. могут быть единичными или множественными, причем в случае их множественности они проявляются или в одной, или одновременно в нескольких костях (при общих дистрофических состояниях скелета — рахите, авитаминозе, остеодистрофии и др.).

Рис. 1. Рентгенограмма голени: видна Лоозера зона в корковом слое большеберцовой кости в виде полоски просветления, имитирующей неполный перелом (указана стрелкой).

Рис. 2. Рентгенограмма голени: видна Лоозера зона перестройки диафиза большеберцовой кости, похожая на картину коркового абсцесса (указана стрелкой).
Рентгенол, симптоматика Л. з. весьма характерна, в особенности при локализации Л. з. в трубчатой кости. Сначала на рентгенограмме появляется едва заметная полоска просветления в диафизе с ровными контурами, пересекающая его в поперечном направлении. Крайне редко эта полоска может иметь косой или зигзагообразный ход. Вначале она может быть видна на одной стороне кости, создавая картину, сходную с неполным переломом (рис. 1), а в дальнейшем может распространяться уже на весь поперечник диафиза. К этому времени появляются более или менее обширные периостальные наслоения с обызвествлением, внешне аналогичные периостальной костной мозоли. Нередко на фоне периостальных наслоений полоска просветления едва прослеживается. Такая картина возникает часто в репаративном периоде заболевания. На отдельных этапах развития Л. з. могут возникать затруднения в диагностическом толковании рентгенол, картины, поскольку она формально может иметь сходство не только с переломом, но и с саркомой или корковым абсцессом кости (рис. 2). В целях дифференцирования особое значение приобретают повторные исследования.
Возникновение зон перестройки в губчатой кости характеризуется теми же признаками, что и в трубчатой, однако рентгенологически они выражены менее интенсивно. Наряду с нежными тенями периостальных наслоений, можно видеть и слабые признаки эндостальной реакции. Иногда полоска просветления на фоне костной структуры губчатой кости заметна только на томограмме.
В здоровой кости процесс обычно заканчивается полным восстановлением костной структуры и рассасыванием периостальных наслоений. При возникновении Л. з. на фоне общего дистрофического состояния костей, напр, при остеодистрофиях, остеопатии голодающих, светлые полоски рассасывания костного вещества и периостальные наслоения могут оставаться надолго, иногда на всю жизнь.
Распознавание Л. з. в подавляющем большинстве случаев не представляет затруднений, в особенности если они сопутствуют общим заболеваниям костей и дистрофическим состояниям и имеют множественный характер. Оно строится на анамнезе, локализации, клин, течении и динамике рентгенол, картины процесса. В анамнезе следует учитывать прежде всего отсутствие травмы, к-рая могла бы повлечь за собой истинное нарушение целости здоровой кости, выполнение тяжелой физ. работы при отсутствии соответствующих навыков, а также спортивную перегрузку. Необходимо иметь в виду и возможность патол. состояния в данной кости или в скелете в целом для возникновения перестройки.
Лечение Л. з. в первую очередь должно быть направлено на устранение факторов, обусловивших развитие этого процесса. Необходимо добиться возможно более полного освобождения больной кости от механической нагрузки. На первых этапах развития Л. з. для предотвращения возможного смещения фрагментов кости в зоне перестройки может потребоваться иммобилизация. По мере развития репаративных процессов следует перейти к дозированной механической нагрузке и леч. физкультуре. При Л. з. костей стопы рекомендуется ношение супинаторов.
Библиография: Грацианский В.П. К вопросу о лоозеровских зонах перестройки и периоститах от перенапряжения, Хирургия, № 3, с. 71, 1937, библиогр.; Рейнберг С.А. Рентгенодиагностика заболеваний костей и суставов, кн. 1, с. 59, М., 1964; С и т e н к о М. И. К вопросу о так называемых «зонах перестройки» в костях (Umbauzonen), Ортоп, и травмат., кн. 3, с. 1, 1928, библиогр.; В e s s 1 e г W. Resultate mit 85- Sr- Skelett-Szintigraphie, в кн.: Radioisotope Lokalisat. Diagnostik, hrsg. v. G. Hoffmann u. K. E. Scheer, S. 431, Stuttgart, 1967; Looser E. t)ber Spat-rachitis und Osteomalacie, Dtsch. Z. Chir., Bd 152, S. 210, 1920, Bibliogr.; Me-sc h a n J. Analysis of roentgen signs in general radiology, v. 1, p. 117, Philadelphia, 1973; Oeser H. u. a. Atlas der Szintigraphie, S. 7, B., 1970.
Для цитирования: Стадии рентгенологических изменений в суставах при ревматоидном артрите. РМЖ. 2014;7:551.
Костно-суставная система кистей и дистальных отделов стоп является основным объектом исследования для постановки диагноза и определения стадии ревматоидного артрита (РА) и проведения дифференциального диагноза с другими заболеваниями ревматической и неревматической природы.
Синовиальная оболочка периферических суставов является органом-мишенью, где при РА разворачивается хроническое аутоиммунное воспаление, приводящее в дальнейшем к характерному для РА множественному и симметричному поражению суставов. Симметричность изменений в суставах кистей и стоп является отличительной особенностью РА. Типичные признаки РА - симметричное поражение пястно-фаланговых и плюсне-фаланговых суставов, суставов запястий, проксимальных межфаланговых суставов кистей. Первые рентгенологические симптомы артрита, в т. ч. и появление первых эрозий, могут обнаруживаться во 2-х и 3-х пястно-фаланговых суставах, 3-х проксимальных межфаланговых суставах кистей, суставах запястий, лучезапястных суставах, шиловидных отростках локтевых костей, 5-х плюсне-фаланговых суставах. При более выраженных стадиях РА изменения могут обнаруживаться в дистальных межфаланговых суставах кистей и стоп. РА никогда не начинается с поражения дистальных межфаланговых суставов кистей и стоп, проксимальных межфаланговых суставов стоп.
Наиболее часто в повседневной практике применяется рентгенологическая классификация, основанная на делении РА на модифицированные стадии по Штейнброкеру с использованием обзорных рентгенограмм кистей и дистальных отделов стоп в прямой проекции.
Выделяются 4 рентгенологические стадии РА, отражающие прогрессирование симптомов артрита в суставах кистей и дистальных отделов стоп.
К 1-й стадии (ранним рентгенологическим изменениям) РА относятся периартикулярное утолщение и уплотнение мягких тканей, околосуставной остеопороз (повышение рентгенпрозрачности костной ткани), единичные кистовидные просветления костной ткани и сужение отдельных суставных щелей в типичных для начального РА суставах. Рентгенологические симптомы 1-й стадии неспецифичны для РА и могут быть обнаружены при других ревматических заболеваниях, что требует обязательного учета клинико-лабораторных показателей заболевания.
Стадия 2 характеризуется нарастанием околосуставного остеопороза, появлением множественных кистовидных просветлений костной ткани в эпифизах коротких трубчатых костей и костях запястий в сочетании с множественными сужениями суставных щелей, эрозивными изменениями в суставах и небольшими краевыми деформациями костей. Эта стадия подразделяется на неэрозивную и эрозивную формы в зависимости от отсутствия или наличия деструктивных изменений в суставах. Как правило, первые эрозии появляются во 2-3-х пястно-фаланговых, 5-х плюсне-фаланговых суставах, костях запястий, в области шиловидного отростка локтевой кости. Отличительная особенность 2-й стадии РА - отсутствие умеренных или выраженных деформационных изменений, подвывихов, вывихов и костных анкилозов суставов.
Стадия 3 характеризуется нарастанием рентгенологических симптомов, выявляемых при 2-й стадии. Деструктивные изменения выраженные, определяются во многих суставах кистей и дистальных отделов стоп. Преобладают в типичных для РА суставах. Отличительная особенность 3-й стадии - умеренные и выраженные деформации эпифизов костей, подвывихи и вывихи в отдельных или многих суставах.
4-я стадия характеризуется симптомами 3-й стадии и появлением костных анкилозов суставов. Для РА типичны анкилозы в суставах запястий (межзапястных, 2-5-х запястно-пястных суставах). Крайне редко выявляются анкилозы в проксимальных межфаланговых суставах кистей и лучезапястных суставах. Выраженные деструктивные изменения в костях запястий могут приводить к коллапсу запястий, который характеризуется снижением высоты запястий, выраженными деформациями, уменьшением размеров или остеолизом костей запястий. Остеолитические изменения могут выявляться в пястно-фаланговых и, реже, плюсне-фаланговых суставах. Рентгенологические стадии РА представлены на рисунках 1-11.
Рентгеновская семиотика заболеваний костей [В помощь начинающим]
Рентгеновское изображение различных заболеваний скелета представлено весьма немногочисленными скиалогическими симптомами. В то же время совершенно различные морфологические процессы могут давать одинаковое теневое отображение и, наоборот, один и тот же процесс в различные периоды своего течения дает разную теневую картину.
Следовательно, при анализе рентгенограммы теневую, т.е. скиалогическую, картину рентгеновского изображения необходимо трансформировать в симптомокомплекс морфологических изменений - в рентгеновскую семиотику.
- изменениями формы и величины кости;
- изменениями контуров кости;
- изменениями костной структуры.
Изменения формы и величины кости
Искривление кости (дугообразное, угловое, S -образное) - деформация, для которой обязательно искривление оси кости (в отличие от одностороннего утолщения); возникает при потере прочности кости, при изменении условий статической нагрузки, при ускоренном росте одной из парных костей по сравнению с другой, после сращения переломов, при врожденных аномалиях.
Рис. 1. Искривление плечевой кости при фиброзной дисплазии.
- удлинение - увеличение длинника кости, которое обычно происходит вследствие раздражения росткового хряща в период роста;
- укорочение - уменьшение длинника кости может быть следствием задержки ее роста в длину по той или иной причине, после сращения переломов с захождением или вклинением отломков, при врожденных аномалиях.
Рис. 2. Удлинение костей кисти (арахнодактилия).
Изменение объема кости
Утолщение кости - увеличение объема за счет образования нового костного вещества. Как правило, утолщение возникает в результате избыточного периостального костеобразования; реже - за счет внутренней перестройки (при болезни Педжета).
Утолщение может быть функциональным - в результате повышенной нагрузки на кость. Это - так называемая гипертрофия кости: рабочая - при занятиях физическим трудом или спортом и компенсаторная - при отсутствии парной кости или сегмента конечности (после ампутации). Патологическое утолщение - гиперостоз, возникающий вследствие какого-либо патологического процесса, сопровождающегося утолщением кости за счет функции надкостницы - периоста, поэтому его также можно назвать периостозом.
Рис. 3. Гиперостоз бедренной кости.
Гиперостоз - как правило, вторичный процесс. Причиной его может быть воспаление, травма, нарушение гормонального статуса, хроническая интоксикация (мышьяком, фосфором) и др. Первичный гиперостоз наблюдается при врожденном гигантизме.
Рис. 4. Гиперостоз и склероз большеберцовой кости (склерозирующий остеомиелит Гарре).
Истончение кости - уменьшение ее объема может быть врожденным и приобретенным.
Врожденное уменьшение объема называется гипоплазией.
Рис. 5. Гипоплазия бедренной кости и таза. Врожденный вывих бедра.
Приобретенное уменьшение объема кости представляет собой истинную костную атрофию, которая может быть эксцентрической и концентрической.
При эксцентрической атрофии рассасывание кости происходит как со стороны периоста, так и со стороны костномозгового канала, вследствие чего кость истончается, а костномозговой канал расширяется. Эксцентрическая атрофия кости обычно сочетается с остеопорозом.
При концентрической атрофии рассасывание кости происходит только со стороны периоста, а ширина костномозгового канала уменьшается за счет эностоза, вследствие чего соотношение поперечника кости и костномозгового канала остается постоянным.
Причинами атрофии может быть бездеятельность, давление на кость извне, нейротрофические нарушения и гормональные дисфункции.
Вздутие кости - увеличение ее объема при уменьшении костного вещества, которое может замещаться патологической тканью. Вздутие кости встречается при опухолях (обычно доброкачественных), кистах, реже при воспалениях (spina vintosa).
Рис. 6. Вздутие проксимального эпиметафиза локтевой кости (аневризматическая киста).
Изменения контуров кости
Контуры костей на рентгенограммах, в основном, характеризуются формой очертания (ровные или неровные) и резкостью изображения (четкие или нечеткие).
Нормальные кости имеют четкие и на большем протяжении ровные контуры. Только в местах прикрепления связок и сухожилий крупных мышц контуры кости могут быть неровными (зазубренными, волнистыми, шероховатыми). Эти места имеют строго определенную локализацию (дельтовидная бугристость плечевой кости, бугристость большеберцовой кости и т.п.).
Изменения костной структуры
- остеопороз,
- остеосклероз,
- деструкция,
- остеолиз,
- остеонекроз и секвестрация.
Кроме этого к патологическому изменению костной структуры следует отнести нарушение ее целостности при переломе.
- локальным или местным;
- регионарным, т.е. занимающим какую-либо анатомическую область (чаще всего область сустава);
- распространенным - на протяжении всей конечности;
- генерализованным или системным, т.е. охватывающим весь скелет.
Остеопороз - процесс обратимый, однако при неблагоприятных условиях, он может трансформироваться в деструкцию (см. ниже).
Рис. 7. Стопа. Сенильный остеопороз.
Рис. 8. Пятнистый остеопороз костей кисти (синдром Зудека).
- физиологическим или функциональным (в зонах роста костей, в суставных впадинах);
- в виде вариантов и аномалий развития (insula compacta, остеопойкилия, мраморная болезнь, мелореостоз);
- патологическим (посттравматическим, воспалительным, реактивным при опухолях и дистрофиях, токсическим).
Для рентгенологической картины остеосклероза характерна мелкопетлистая, груботрабекулярная структура губчатого вещества вплоть до исчезновения сетчатого рисунка, утолщение коркового слоя изнутри (эностоз), сужение костномозгового канала, иногда вплоть до полного закрытия его (эбурнеация).
Рис. 9. Остеосклероз большеберцовой кости при хроническом остеомиелите.
- диффузным или равномерным;
- очаговым.
- ограниченным;
- распространенным - на протяжении нескольких костей или целых отделов скелета;
- генерализованным или системным, т.е. охватывающим весь скелет (напр., при лейкозах, при мраморной болезни).
Рис. 10. Множественные очаги остеосклероза при мраморной болезни.
Деструкция - разрушение костной ткани с заменой ее на патологическую субстанцию.
В зависимости от характера патологического процесса деструкция может быть воспалительной, опухолевой, дистрофической и от замещения чужеродным веществом.
При воспалительных процессах разрушенная кость замещается гноем, грануляциями или специфическими гранулемами.
Опухолевая деструкция характеризуется замещением разрушенной костной ткани первичными или метастатическими злокачественными или доброкачественными опухолями.
При дегенеративно-дистрофических процессах (термин вызывает дискуссию) костная ткань замещается фиброзной или неполноценной остеоидной тканью с участками кровоизлияния и некроза. Это характерно для кистозных изменений при различных вариантах остеодистрофий.
Примером деструкции от замещения костной ткани чужеродным веществом является вытеснение ее липоидами при ксантоматозе.
Почти любая патологическая ткань поглощает рентгеновские лучи в меньшей степени, чем окружающая ее костная, и поэтому на рентгенограмме в подавляющем большинстве случаев деструкция кости выглядит как различное по интенсивности просветление. И только, когда в патологической ткани содержатся соли Ca, деструкция может быть представлена затемнением (остеобластический тип остеогенной саркомы).
Рис. 11. Множественные литические очаги деструкции (миеломная болезнь).
Рис. 11-a. Деструкция с высоким содержанием кальция в очаге поражения (скиалогически выглядит как затемнение). Остеогенная остеобластическая саркома.
Морфологическую сущность очагов деструкции может прояснить их тщательный скиалогический анализ (положение, число, форма, размеры, интенсивность, структура очагов, характер контуров, состояние окружающих и предлежащих тканей).
Остеолиз - полное рассасывание кости без последующего замещения другой тканью, вернее, с образованием фиброзной рубцовой соединительной ткани.
Остеолиз обычно наблюдается в периферических отделах скелета (дистальные фаланги) и в суставных концах костей.
На рентгенограммах остеолиз выглядит в виде краевых дефектов, что является основным, но, к сожалению, не абсолютным отличием его от деструкции.
Рис. 12. Остеолиз фаланг пальцев стопы.
Причиной остеолиза является глубокое нарушение трофических процессов при заболеваниях центральной нервной системы (сирингомиелия, табес), при поражении периферических нервов, при заболеваниях периферических сосудов (эндартериит, болезнь Рейно), при отморожениях и ожогах, склеродермии, псориазе, проказе, иногда, после травм (болезнь Горхэма).
Рис. 13. Остеолиз при артропатии. Сирингомиелия.
При остеолизе исчезнувшая кость никогда не восстанавливается, что так же отличает его от деструкции, при которой иногда возможна репарация, даже с образованием избыточной костной ткани.
Остеонекроз - омертвение участка кости.
Гистологически некроз характеризуется лизисом остеоцитов при сохранении плотного межуточного вещества. В некротизированном участке кости увеличивается удельная масса плотных веществ еще и за счет прекращения кровоснабжения, в то время как в окружающей костной ткани из-за гиперемии усилена резорбция. По причинам, вызывающим некротизацию костной ткани остеонекрозы можно разделить на асептические и септические некрозы.
Асептические остеонекрозы могут возникать от прямой травмы (перелом шейки бедра, оскольчатые переломы), при нарушениях кровоснабжения в результате микротравмирования (остеохондропатии, деформирующие артрозы), при тромбозах и эмболиях (кессонная болезнь), при внутрикостных кровоизлияниях (некроз костного мозга без некроза кости).
К септическим остеонекрозам относятся некрозы, возникающие при воспалительных процессах в кости, вызванных инфекционными факторами (остеомиелиты различной этиологии).
На рентгенограмме некротизированный участок кости выглядит более плотным по сравнению с окружающей его живой костью. На границе некротизированного участка прерываются костные балки и за счет развития соединительной ткани, отделяющей его от живой кости, может появляться полоса просветления.
Остеонекроз имеет такое же теневое изображение, как и остеосклероз - затемнение. Тем не менее, сходная рентгенологическая картина обусловлена различной морфологической сущностью. Дифференцировать эти два процесса иногда, а именно при отсутствии всех трех рентгенологических признаков некроза, можно только с учетом клинических проявлений и при динамическом рентгенологическом наблюдении.
Рис. 14. Асептический некроз головки правой бедренной кости. Болезнь Легга - Кальве - Пертеса.
- рассасыванию с образованием полости деструкции или формированием кисты;
- рассасыванию с замещением новой костной тканью - вживлением;
- отторжению - секвестрации.
Если рассосавшаяся кость замещается гноем или грануляциями (при септическом некрозе) или соединительной или жировой тканью (при асептическом некрозе), то образуется очаг деструкции. При так называемом колликвационном некрозе происходит разжижение некротических масс с образованием кисты.
В ряде случаев, при высокой регенераторной способности кости некротизированный участок подвергается рассасыванию с постепенным замещением его новой костной тканью (иногда даже избыточной), происходит так называемое вживление.
При неблагоприятном течении инфекционного процесса в кости происходит отторжение, т.е. секвестрация, некротизированного участка, который превращается, таким образом, в секвестр, свободно лежащий в полости деструкции, содержащий чаще всего гной или грануляции.
На рентгенограмме внутрикостный секвестр имеет все признаки, характерные для остеонекроза, с обязательным наличием полосы просветления, обусловленной гноем или грануляциями, окружающей, более плотный участок отторгнутой некротизированной кости.
В ряде случаев при разрушении одной из стенок костной полости небольшие секвестры вместе с гноем через свищевой ход могут выходить в мягкие ткани либо полностью, либо частично, одним концом, все еще находясь в ней (т.н. пенетрирующий секвестр).
В зависимости от локализации и характера костной ткани секвестры бывают губчатыми и кортикальными.
Губчатые секвестры образуются в эпифизах и метафизах трубчатых костей (чаще при туберкулезе) и в губчатых костях. Интенсивность их на снимках очень мала, они имеют неровные и нечеткие контуры и могут полностью рассасываться.
Кортикальные секвестры формируются из компактного слоя кости, на рентгенограммах имеют более выраженную интенсивность и более четкие контуры. В зависимости от размеров и расположения кортикальные секвестры бывают тотальными - состоящими из всего диафиза, и частичными. Частичные секвестры, состоящие из поверхностных пластинок компактного слоя, называются корковыми; состоящие из глубоких слоев, образующих стенки костного мозгового канала называются центральными; если секвестр образуется из части окружности цилиндрической кости, он носит название проникающего секвестра.
Рис. 15. Схема различных видов секвестров компактного костного вещества при остеомиелите. Длинная трубчатая кость в разрезе.
А, Б и В - частичные секвестры: А - корковый секвестр, Б - центральный секвестр, В - проникающий секвестр; Г- тотальный секвестр.
(Из книги Рейнберга С.А. Рентгенодиагностика заболеваний костей и суставов. - М.: Медицина, 1964)
Рис. 16. Секвестр диафиза локтевой кости.
Copyright © Журавлев Ю.Ю.
Все рентгенограммы и иллюстрации - за исключением оговоренных специально - из личного архива автора.
Читайте также:
