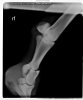
Перелом путового сустава у лошади
Переломы конечностей у лошадей. Диагностика и лечение.

Авторы: Мария ЖУКОВА,
Кирилл МАНУЙЛОВ,
Марина САВИЦКАЯ
фото авторов
До недавнего времени практически любой перелом конечности у лошади означал если и не смертельный приговор, то стопроцентную инвалидность. Только в последние годы за счет активного внедрения в ветеринарию различных медицинских технологий ситуация стала меняться в лучшую сторону, а у врачей и владельцев лошадей появились реальные возможности для борьбы с этим коварным недугом.

У спортивных лошадей нередки переломы в области путовой, копытной или челночной костей. Наиболее частыми причинами таких переломов становятся также травмы – неудачное приземление после прыжка, спотыкание и подворот ноги на быстрых аллюрах, падение, удар копытом о камень на высокой скорости и т.д.
Клинически такие переломы всегда сопровождаются сильной хромотой. Но вот отека на конечности может и не быть, и особенно, если у лошади не полный перелом, а только трещина. В таких случаях медлить с диагностикой нельзя, и первым делом понадобится рентген. Вообще, во всех случаях, когда у лошади сильная хромота (почти без опоры на конечность), и подозревается серьезная травма, врачи вначале стараются исключить трещину или перелом, а поэтому, прежде чем проводить диагностические блокады/тесы, они рекомендуют обзорное рентгенологическое обследование (иногда такое обследование может затрагивать все кости и суставы больной конечности!). И каким бы странным на первый взгляд не показался такой подход, помните, что пренебрежение этим правилом может очень дорого стоить вашей лошади. Дело в том, что как только лошадь после блокады перестанет чувствовать боль и даст полную нагрузку на конечность, всегда есть риск того, что даже небольшая трещина в ее кости может легко превратиться в полный перелом. И тогда последствия травмы могут стать гораздо более серьезными, а в некоторых случаях, даже необратимыми.
Что касается лечения, то при таких переломах оно также может быть консервативным (полный покой, ортопедическая ковка и/или гипсовая повязка) или хирургическим. При выборе метода лечения врач учитывает тип и место перелома; породу, размер и темперамент лошади, а также ее будущее предназначение. Так, продольные одиночные внутрисуставные трещины или простые переломы в путовой кости имеют гораздо лучший прогноз на восстановление после хирургической фиксации (остеосинтеза). Такая операция проводится под общим наркозом и заключается в фиксации сломанных кусочков костей при помощи специальных пластин и шурупов. При своевременной и удачной операции большинство животных возвращаются к нагрузкам и имеют все шансы работать и не хромать.

Хуже дело обстоит с переломами челночной и копытной кости. В силу труднодоступного расположения этих костей внутри копыта, а также невозможности зафиксировать структуры челнока в полностью неподвижном состоянии ни снаружи, ни изнутри (челночная кость соединена с множеством связок и с сухожилием глубокого сгибателя), добиться надежного срастания перелома, чтобы лошадь не хромала, чаще всего не представляется возможным. Однако некоторое количество случаев с благоприятным исходом все же известно. В основном это относится к несложным переломам внутри копыта у некрупных лошадей. По разным данным длительный отдых (от 6 месяцев и до 2 лет), также ковка на круглую подкову оказывали положительный результат, и лошади потом даже работали, не хромая.
о многом сомнительный и неблагоприятный прогноз при переломах у лошадей связан с тем, что у врачей до недавнего времени было не так-то много способов по организации надежного покоя сломанной конечности. В старые времена для этого широко практиковали различные подвешивающие конструкции. Но, к сожалению, такая разгрузка сломанной конечности не всегда шла во благо, а часто приводила только к дополнительным проблемам. Дело в том, что во всех таких приспособлениях у лошади со временем развивались обширные пролежни, от сдавливания живота нарушалось пищеварение, затруднялись акты дефекации и мочеиспускания. Многие животные погибали при этом от колик, инфекции и интоксикации задолго до заживления перелома (в среднем на формирование костной мозоли у лошади уходит от 2-х до 6-ти месяцев, в зависимости от размера кости, сложности перелома, возраста лошади и т.д.). Единственное, кому более или менее везло при таком лечении, так это некрупным, легким или малорослым лошадям, которые с минимальными потерями для своего здоровья приспосабливались жить в подвешивающем аппарате.
Также, немало проблем у врачей всегда возникало и из-за неспокойного темперамента некоторых пациентов. По статистике, легко возбудимые и нервные животные гораздо чаще гнут и ломают свои фиксирующие приспособления, пластины, штифты и гипсовые лангеты.
Еще одной серьезной проблемой у лошади с переломом всегда был и остается ламинит – воспаление в листочковом слое копыта. Так как при традиционном фиксировании перелома гипсом соседняя здоровая нога вынужденно несет больший вес и страдает из-за перегрузки, то она как раз и подвергается риску такого заболевания.
Последние достижения при лечении переломов
Одним из последних ветеринарных достижений при лечении переломов у лошадей, является метод транскортикальной (чрезкостной) фиксации. Смысл такой фиксации заключается в том, что выше места перелома внутри кости временно ставят специальные металлические стержни, а потом всю конечность одевают в легкий и вместе с тем очень прочный полимерный гипс, в котором и закрепляют эти стержни. Таким образом, получается, что конечность лошади выше места перелома как бы подвешивается внутри гипсовой повязки. В результате этого лошадь получает возможность полностью опираться на сломанную конечность, так как весь ее вес при этом ложится только на здоровую кость и гипс, а поврежденный участок остается без нагрузки. Устанавливаются такие стержни под общим наркозом, как правило, одновременно с наложением гипса или при проведении операции по остеосинтезу. В настоящее время метод уже достаточно широко апробирован как за рубежом, так и у нас и помог спасти не одну лошадиную жизнь. Во многом, только благодаря транскортикальной фиксации у врачей появился шанс бороться за жизни лошадей даже при таких серьезных травмах, как полный перелом пястной или плюсневой костей.
Перелом путовой кости (fractura articulationis phalangis primae) y лошадей может быть косым, продольным, поперечным, многооскольчатым.
Этиология. Направление щели перелома зависит от механизма действующей силы; при крутом повороте на опирающейся конечности чаще возникает косой (сегментальный) или продольный (от проксимальной до дистальной суставных поверхностей) перелом. В этом случае валик суставной поверхности пястной (плюсневой) кости при повороте расщепляет путовую кость на две части. Прыжок с упором на выведенную вперед конечность сопровождается поперечным переломом, обычно в нижней трети кости, редко многооскольчатым, иногда вколоченным переломом, отломом бугров. Относительно часто встречаются продольные трещины путовой кости.
Предрасполагающими факторами являются ослабление устойчивости кости вследствие длительного содержания животного без моциона, остеодистрофические изменения в связи с нарушениями обмена веществ.
Клинические признаки. В случае полного перелома они хорошо выражены. На поднятой конечности часто удается определить взаимоположение отломков. Труднее диагностировать трещину.
При этом обращают внимание на болезненность при надавливании на дорсальную поверхность кости, но и этот симптом недостоверен, так как болезненность в тех же участках пута возникает в связи с воспалением надкостницы дорсальной поверхности путовой кости, развивающемся при растяжении прикрепляющихся пучков сухожилий. В хронической стадии периостита формируются экзостозы передней поверхности путовой кости.
Прогноз благоприятный, за исключением случаев многооскольчатого перелома (возможно развитие деформирующего артрита, разрастание гипертрофической мозоли, анкилоз), а также случаев, когда не удается предотвратить развитие гнойной инфекции. Условия успешной консолидации кости при этом включают ограниченное смещение отломков, фиксированных один относительно другого связками и сухожилиями, прикрепляющимися к путовой кости, а также возможностью иммобилизации суставов пальца.
Диагностика. Диагноз ставят по клиническим признакам и уточняют при помощи рентгенографии.
Лечение. Иммобилизацию (желательно стременная шинная повязка) обычно делают на животном в положении стоя. Повязку накладывают на 5. 6 нед. С уменьшением болезненности уже со 2-й недели рационально назначать проводку. Позже можно содержать животное на выпасе.
Перелом сесамовидных костей (fractura ossium sesamoideorum phalangis primae) наблюдается у верховых, реже у упряжных лошадей. Повреждается одна или обе кости. Отмечены случаи перелома сесамовидных костей на нескольких конечностях, что обусловливается предшествующими изменениями (остеопороз).
Этиология. Определяющим моментом в механизме повреждения является чрезмерное натяжение межкостной средней мышцы и нижних связок сесамовидных костей, поэтому этот перелом обоснованно считают разрывом. Чаще возникает продольный (реже горизонтальный) перелом, что связано со структурой этих костей, обеспечивающей в норме и при медленном нарастании патологических изменений противодействие натяжению сверху вниз.
Клинические признаки. Горизонтальный перелом обеих костей сопровождается дорсальной флексией путового сустава. При диагностике учитывают наличие щели между сместившимися отломками, определяемой пальпаторно, когда отсутствует интенсивный отек прилежащих тканей. Труднее диагностировать повреждение
одной кости и продольный перелом. Помимо внезапно возникшей хромоты опирающейся конечности и сильной болезненности, характерных для перелома симптомов не обнаруживают.
Прогноз зависит от тяжести заболевания. Перелом одной кости и продольный перелом обеих костей у молодого животного поддаются лечению. Горизонтальный перелом обеих костей относится к повреждениям, при которых хромота практически неустранима.
Диагностика. Диагноз ставят по клиническим признакам и уточняют при помощи рентгенографии.
Лечение. Применяют иммобилизирующую повязку со стременной шиной, фиксирующей суставы пальца в полусогнутом положении, которую накладывают на 5. 6 нед.
![]()
![]()
![]()
![]()
![]()
Тогда два перелома скакательного сустава.
Моя собственная 16летняя кобыла прямо на глазах: на свечке в леваде на нормальном грунте развернулась на 180 градусов на задних ногах, одна из которых осталась висеть на коже с провернутым суставом. Усыпили. Была склонна к завалу, на снимках был остеопороз. Считаю, что виноваты были сами, очень долго не отнимали жеребенка, высосавшего ее на фиг. Отрада сразу сказала, что без шансов пытаться что-то делать с такой лошадью. Даже если получится собрать ногу, то слишком много шансов сломать остальные при выходе с наркоза, плюс склонность к завалам.
И вторая примерно такая же возрастная лошадь, тоже с несколькими выжеребками в не самых идеальных условиях и постоянными верховыми нагрузками. Тоже нашли в леваде с висящей ногой. Тоже усыпили сразу.
Очень долго думала писать или нет. Все же напишу: про первую лошадь уже после случившегося рассказала Сучкову (было это еще до его работы в Максиме). Он сказал, что ж я к нему не обратилась, попробовали бы собрать. Может это и переход на личности, но как есть.
Еще вспомнила. Видела в Отраде в клинике пациента с переломом на задней ноге, чего именно не скажу. Стоял без подвесов и фиксации. С какой-то периодичностью его клали под наркозом и меняли гипс. Со слов врачей все восстановление упиралось в долговечность второй ноги.
И на сколько я поняла, переломы зада сложнее, переломов переда.
![]()




![]()
![]()
![]()
Я писала в дневнике у Теры.
Жеребец. Винтовой перелом путовой кости на ЛЗ почти по всей её длине, внизу перелома смещение 5 отломков.
Отрада отказалась, практически все веты, кому звонили - как видели рентгены и слышали описание, рекомендовали усыпить.
Брался НВ - остеосинтез на пластины и штифты. перегипсовка каждые определенные периоды. Наложение гипса при таких переломах отличается на передней ноге получен перелом или задней. На задней сложнее. Нужен наркоз каждый раз.
Лошадь - ХОБЛ в сильной степени, еще в прошлом - что-то вроде инсульта (тепловой удар, на 4 дня ослеп, вытянули массой лекарств). вопросы по сердцу.
Коневоз уже готов был выезжать, но с учетом его анамнеза побоялись, что операцию он не переживет. и доедет ли вообще.
Еще один ветеринар (спасибо ему!) сказал, что можно побороться. Приехал, наложили гипс с учетом особенностей такого процесса на заднюю ногу.
НВ давал прогноз осторожный. абсолютно все, даже при условии того, что конь не загнется от ХОБЛ, что не схватит ламинит и т.д. предупреждали о газонокосилке в итоге.
Стоял с гипсом 2,5 месяца, постоянные рентгены, жрал кучу всего. Гипс он как-то так продавил пяткой или что еще сделал, но получился, как костыль, на который он мог опираться и как-то даже перемещался по деннику. Сразу научился ложиться, вытягивая ногу и также вставать. Он сразу хотел жить и делал всё от него зависящее. Вот в этот период у него было отличное дыхание, что вообще никто не может объяснить.
Делающие рентгены ветеринары (Отрада, Эквимедика) говорили, что его случай противоречит медицинской практике и опыту. И что это магия и что ни в коем случае никаких перегипсовок, пока вот этот гипс вопреки всему работает. не нужно трогать.
Изучала много материалов. Подвес меняет совсем всю систему ухода за лошадью, с ним у лошади меньше шансов выжить.
Хозяйка конюшни с ним возилась каждый день.
И она была готова, и мы предупреждены, что если что-то пойдет не так - конь уйдет.
Но мы все очень верили.
Реабилитация заняла год. Период начала и середины шаговки был увлекательный Хозяйка конюшни только могла с этим справиться )))
На месте сращения отломков образовалась шишка, предупредили, что это жабка (вроде так) и она может расти дальше.
я как вспомню тот период, так плохо сразу от ужаса. От метаний, надежд, разговор, непонимания, что делать, от решений и т.д.
Лошадка имеет свои особенности сейчас по поддержке артроза. Но не ужас-ужас. Как обычный хроник по ногам. Хобл доставляет гораздо больше хлопот. Живет полноценной жизнью. Играет, пинается, порой при его хорошем настроении может показать всаднику в поле, что 15/16 крови чк это не хухры-мухры Он просто офигенный по мозгу, темпераменту и характеру.
Чудеса бывают. Но где та грань, отделяющая веру в чудо от жестокости, я не могу сказать и сейчас.
Опорно-двигательный аппарат лошади ежедневно подвергается значительным физическим нагрузкам. Одними из наиболее серьезных проблем для животных остаются заболевания суставов. В группу риска попадают лошади, страдающие из-за недостаточного или неправильного рациона, непрофессионального ухода либо излишне высоких нагрузок на ферме или при подготовке к скачкам.

Чаще всего проблемы с суставами у лошадей бывают связаны:
- с воспалениями капсул суставов (тазобедренного, локтевого и скакательного);
- перенесенными травмами (с наличием суставных переломов, разрывов связок и др.);
- проявлением артритов различной этиологии;
- эрозиями суставов.
Артроз
У лошадей это заболевание встречается довольно часто и является хроническим. Симптомами артроза могут быть:
- отечность или припухлость;
- высокая температура;
- хромота;
- изменение поведения животного из-за возникающих болевых ощущений;
- потеря аппетита;
- стремление находиться в лежачем положении.
В запущенном виде артроз, как правило, неизлечим. Поэтому стоит особое внимание уделить профилактике этого заболевания и его выявлению на начальных стадиях. Для лечения животного назначается курс нестероидных противовоспалительных средств (НПВС) либо хондропротекторов, ускоряющих процесс восстановления хрящевой ткани.
На время лечения животному следует обеспечить специальный уход, избавить его от значительных нагрузок. Кроме того, ветеринарный врач обычно назначает применение гелей и мазей, например Alezan, с различным действием: обезболивающим, согревающим, снимающим воспаление и отечность, активирующим обменные процессы в тканях.
Артрит
И артроз, и артрит являются тяжелыми заболеваниями, в результате которых повреждаются суставы. Но артрит – комплексное заболевание, и характеризуется оно не только повреждением суставов и связок, но и наличием других очагов воспаления в организме. Причиной артрита могут стать инфекции, осложнения после перенесенных инфекционных заболеваний, нарушения иммунитета либо обменных процессов. При артрите у лошади может быть выявлено повреждение не только суставов, но и внутренних органов (почек, печени и проч.). Кроме классического артрита принято различать ряд разновидностей данного заболевания. К ним относятся дегенеративное заболевание суставов (ДЗС), в том числе остеоартрит.

Уровень опасности остеоартрита всегда зависит от того, какой именно сустав оказался поражен. Особой уязвимостью у лошадей характеризуются путовой, коленный и локтевой суставы. Тот факт, что они постоянно испытывают значительные нагрузки, перманентно прибывая в движении, очень усложняет их восстановление. Проблемными в данной ситуации могут оказаться и суставы, несущие исключительно статичные нагрузки при почти полной неподвижности.
Выбор лечения при остеоартрите у лошадей делается в зависимости от разновидности заболевания и степени поражения сустава. Если причиной болезни стали значительные статичные нагрузки, животному необходима длительная терапия и условия, которые будут способствовать максимальной разгрузке пораженного сустава. Однако подобная методика не даст результатов при лечении суставов, для которых характерна высокая степень подвижности. В этой ситуации задача врача состоит в устранении отека в месте поражения и снятии воспаления.
Для лечения артритов и остеоартритов у лошадей, как правило, врач использует и медикаментозные, и физиотерапевтические методы, то есть назначает прием лекарств выполнение физических упражнений.
При лечении артритов и остеоартритов у лошадей активно используют различные гели и мази, оказывающие противовоспалительное, обезболивающее действие. Кроме того, такие средства, как крем для суставов Alezan, не только позволяют предотвратить дальнейшее развитие воспаления и обезболить сустав, но и способствуют регенерации хрящевой ткани, активации обменных процессов.
Ушибы
Чаще всего являются следствием падений животного либо ударов о твердые поверхности. О получении животным ушиба может свидетельствовать появление припухлости вокруг сустава, хромота, в некоторых случаях лошадь старается не наступать на травмированную ногу.
На протяжении всего периода лечения животному необходимо обеспечить полный покой при отсутствии нагрузок на пострадавшую ногу. К месту ушиба прикладываются холодные компрессы, может быть наложена давящая повязка. При наличии повреждений кожных покровов требуется обработка антисептиком. Для восстановления сустава, в качестве профилактики воспалительных процессов и застойных явлений в месте ушиба, а также для снятия болезненных ощущений ветеринар может назначить животному специальные гели.
Растяжения
Симптомы при ушибах и растяжениях часто похожи. Ветеринару приходится довольно часто сталкиваться со случаями растяжения связок у лошадей.
Для лечения растяжения ноге необходимо обеспечить покой. На место травмирования накладываются давящие повязки, в первые часы после получения травмы болевые ощущения стараются уменьшить путем прикладывания холода. Эта же мера часто помогает убрать отечность и предотвратить застойные явления в месте травмирования. После снятия давящей повязки показаны массажи, компрессы, применяются резорбирующие мази. В некоторых случаях ветеринар может прописать проведение физиотерапевтических процедур.
Вывихи

При вывихе животное сильно хромает либо вообще не наступает на больную ногу. Даже визуально можно отметить, что изменилась длина пострадавшей конечности.
Для лечения вывиха и его последствий необходимо как можно скорее вправить пострадавший сустав, после чего он должен быть зафиксирован гипсовой повязкой. На протяжении ближайших недель за процессом восстановления сустава должен наблюдать ветеринар.
Контрактура путового сустава
Подобная проблема может возникать как у взрослых лошадей, так и у жеребят. Заболевание диагностируется по характерному признаку: заметно сведена первая фаланга сустава, в результате чего отмечается видимое изменение формы сустава с торцевой постановкой пута.
Как правило, в подобных случаях необходимо хирургическое вмешательство. После проведения операции и снятия швов применяют гели для скорейшего восстановления сустава и снятия болевых ощущений.
Переломы
О переломе у лошади может свидетельствовать сильная хромота, часто животное вообще отказывается вставать, конечность выглядит неестественно. На месте травмы быстро появляется отек. Окончательную картину помогает установить проведение рентгена.
Лечение требуется незамедлительно: при закрытом переломе на место полученной травмы накладывают гипсовую либо шинную повязку, после снятия повязки назначаются физиотерапевтические процедуры. При некоторых переломах требуется проведение операции.
Выбор лечения

Важно отметить, что любое из перечисленных заболеваний требует срочного принятия мер. Однако ни в коем случае нельзя заниматься самолечением. При применении гелей Alezan, кремов для суставов и прочих средств для наружного применения необходимо проконсультироваться с ветеринарным врачом и прочитать инструкцию.
Костную основу области пута составляет путовая кость, которая расположена наклонно вперед. Верхний конец ее участвует в образовании путового сустава, а нижний — венечного.
Растяжение путового сустава. Путовый сустав простой, одноосный, с задней поверхности имеет дополнительные (сезамовидные) кости и хорошо развитый связочный аппарат.
Растяжение путового сустава у рысистых лошадей наблюдают довольно часто. Оно сводится к тому, что сумочная и боковые связки сустава растягиваются и надрываются.
Причинами растяжения путового сустава могут быть внезапная остановка с разбега, крутые повороты на вязкой почве, освобождение застрявшей конечности, падение с подвернутой конечностью и т. д. Предрасполагающие причины — порочная постановка ног и неправильная ковка.
Клинические признаки. Внезапная хромота. При движении животное осторожно опирается больной конечностью, перенося тяжесть тела больше на здоровую. Обычно на вторые сутки после повреждения развивается припухлость, сопровождающаяся повышенной температурой и болезненностью. Если производить пассивные вращательные движения в путовом суставе, то животное ощущает сильную боль, проявляя ее беспокойством. При внедрении в сустав микроорганизмов через рану или с окружающих тканей развивается гнойный артрит. Болезненность и температура резко повышаются. Общая температура также повышается на 1—2°. Появляется хромота третьей степени. В процесс могут быть вовлечены также надкостница, суставные хрящи и даже костная ткань.
Прогноз при острой асептической форме, если причина устранена и применяется лечение, благоприятный, а при хронической и гнойной — от осторожного до неблагоприятного.
Лечение. Животному предоставляют полный покой, первые часы применяют холод, а затем согревающие компрессы и массажи с рассасывающими средствами. После того как острые явления воспаления пройдут, опухание и болезненность уменьшается, с целью фиксации накладывают гипсовую повязку дней на 15. Хорошие результаты дает грязелечение в виде грязевых аппликаций с температурой 40—55° на 30—40 минут ежедневно в течение 4—5 дней с последующим применением их через день.
Если развивается гнойный артрит, сустав вскрывают с передне-внутренной поверхности по соседству с сухожилием общего пальцевого разгибателя небольшим разрезом, а в область между пястной костью и средним межкостным мускулом на 1—2 см.. выше сезамовидных костей в так называемый волярный (задний) дивертикул сустава вводят инъекционную иглу и через нее шприцем промывают полость сустава подогретым раствором риванола 1 : 1000 или изотоническим раствором хлорида натрия до тех пор, пока через разрез не будет выходить чистый раствор. При промывании следует проводить сгибания и разгибания сустава, иначе раствор не будет выходить через разрез. После этого на сустав накладывают тугую повязку, пропитанную раствором риванола. В ряде случаев такое лечение в нашей практике давало выздоровление.
Профилактика. Не допускать насильственного освобождения ущемленной конечности ломиком, колом или другими способами, кроме разбора настила и высвобождения конечности,
Вывих путового сустава. Может быть полным, когда суставные поверхности путовой и пястной костей совершенно теряют между собой соприкосновение, и неполным, когда остается частичное соприкосновение концов костей — подвывих. При полном вывихе происходит разрыв боковой и сумочной связок сустава. Полный вывих возможен вперед, назад, наружу и внутрь; при неполном только наружу (рис. 227) или внутрь.
Наряду с вывихом, возможен одновременно разрыв сухожилий пальцевого разгибателя или сгибателей.
Причины те же, что и при растяжении путового сустава, по более резко выражены. Клинические признаки. Поврежденной конечностью животное не опирается, форма сустава изменена, при прощупывании определяется смещение костей сустава и большая подвижность его. В отдельных случаях животное опирается пястной костью о почву. При вывихе возможно повреждение кожи, а также кровоизлияние в суставную полость.
Прогноз. При неполных вывихах прогноз ставят осторожный, так как возможен анкилоз сустава (сращение), при полных вывихах прогноз сомнительный, а при полных осложненных — неблагоприятный.
Лечение. Животное ставят в поддерживающий аппарат или поддерживают на полотнищах, вправляют сместившиеся концы гостей и накладывают фиксирующую гипсовую или шинную повязку. Гипсовую повязку держат 15—25 дней, после чего назначают массаж, пассивные и активные движения. Если вывих имеет давность 7 дней и больше — вправление безуспешно.
Хронический серозный артрит путового сустава. Он развивается на почве растяжения или вывиха сустава, сопровождающихся острым серозным артритом.

Рис. 227. Подвывих левого путового сустава.
Клинические признаки. Между пястной костью и средним межкостным мускулом проявляется безболезненная флюктуирующая припухлость продолговатой формы, величиной около 10 см (не смешивать с тендовапшитом), за счет наполнения суставной капсулы серозным экссудатом. Иногда одновременно замечают небольшую припухлость с дорзальной поверхности путового сустава. При пальпации сустава в состоянии сгибания устанавливается перемещение жидкости из заднего дивертикула в передний и наоборот. Хромоту наблюдают редко.
Лечение. При хромоте, обусловленной хроническим серозным артритом, применяют грязелечение, парафинотерапию, массажи и теплое укутывание.
Переломы сезамовидных костей. Сезамовидные кости располагаются на задней поверхности путового сустава. Они удерживаются межкостным мускулом и соединены связками с путовой костью и между собой. Сезамовидные кости образуют жолоб, по которому проходят сухожилия поверхностного и глубокого пальцевых сгибателей.
Переломы сезамовидных костей бывают редко, они наблюдаются на одной или на обеих конечностях и почти всегда вызывают повреждение сгибателей пальца.
Причины: удары, ранения, падения, прыжки через высокий барьер и т. д
Клинические признаки. Внезапно появляется хромота. Животное слегка опирается конечностью, причем при опирании путовый сустав опускается почти до земли. В отдельных случаях животное совсем не опирается конечностью и скачет на трех ногах. Так как сезамовидные кости чаще ломаются поперек, то в этих случаях прощупывается некоторый промежуток между частями разъединенных сезамовидных костей, что, собственно, и будет отличать перелом их от других заболеваний в этой области (воспаление связок, экзостозы, воспаление путового сустава и др.). Наряду с этим появляется припухлость с повышенной температурой и болезненностью. Пассивные движения путового сустава вызывают беспокойство животного.
С диагностической целью применяют проводниковую анестезию — вводят 3-процентный раствор новокаина по ходу волярного нерва с одной и другой стороны. Прекращение хромоты подтверждает диагноз на воспаление в области сезамовидных костей. Наиболее точный диагноз — рентгенологический.
Прогноз — неблагоприятный, хромота неустранима.
Лечение. Проводят исключительно у ценных в племенном отношении лошадей. Животное помещают в поддерживающий аппарат и применяют гипсовую повязку. Если расхождение концов костей большое, то до гипсовой повязки проводят подкожную перерезку межкостного мускула. Многие авторы считают, что не обязательно производить операцию, так как все равно заживление наступает с образованием неподвижного сустава.
Перелом путовой кости. Перелом путовой кости составляет в среднем 10% всех переломов костей у лошади.
Причинами перелома являются внезапные остановки; падения животного на скользкой дороге при запущенной ковке, а также при крутых поворотах; усиленные вращательные движения при застревании конечности в колеях, выбоинах и между рельсами; пулевые ранения и ранения осколками снарядов и даже простое спотыкание, в особенности если животное страдает остеомаляцией. Часто переломам предшествуют трещины. Переломы могут быть на одной и одновременно на нескольких конечностях. По форме переломы бывают полные и неполные (трещины). По направлению — продольные, поперечные, косые в виде буквы Т или V, сегментные (на несколько кусков), раздробленные и вклинивающиеся. Затем различают переломы закрытые, или простые (без нарушения целости кожи), и открытые, или сложные (с повреждением кожи и других тканей), и внутрисуставные.
Клинические признаки. Полный перелом диагностировать очень легко по характерной для него клинической картине. Хромота появляется внезапно; пораженную конечность животное держит приподнятой кверху, в слегка согнутом положении, передвигается неохотно, больше стоит. Сдвинуть с места такое животное бывает трудно, а при насильственном передвижении оно скачет на трех ногах. Кроме того, при вращательных движениях копыта чувствуется ненормальная подвижность и крепитация в области путовой кости. Опухание горячее и болезненное. Трещина путовой кости и отломы связочных бугров верхнего конца путовой кости диагностируются труднее и могут быть точно установлены только рентгенологически.
Прогноз. При трещинах осторожный, так как трещина может легко перейти в перелом. При закрытом переломе прогноз также должен быть осторожным, выздоровления возможны, хотя хромота нередко остается у животного на всю жизнь. При открытом дробном переломе прогноз неблагоприятный.
Лечение — см. переломы пястных костей. Выздоровление наступает через 30—40 дней. При трещинах достаточно обеспечить животное покоем на 10—-15 дней и обильным количеством мягкой подстилки.
Лечение. Пораженный участок очищают от грязи и корочек перекисью водорода, денатуратом или бензином. Обмывание водой с зеленым мылом противопоказано, так как влага задерживается в складках и вызывает набухание эпидермиса, а зеленое мыло раздражает кожу. После очистки применяют высушивающие порошки из талька, таннина, ксероформа, дерматола и др. Некоторые авторы применяют 10-процентные спиртовые растворы таннина и салициловой кислоты, а также таннин с глицерином (1:10). Иногда пользуются мазями — цинковой, танниновой и др.
Прогноз. Чаще ставят благоприятный: заживление наступает под струпом, но в отдельных случаях сопровождается шелушением эпидермиса с образованием так называемой чешуйчатой экземы. При затяжном процессе, при неустранимой причине образуются складки и трещины, в которых скапливается гной.
Лечение. Лошадь освобождают от работы, ставят в сухое стойло с деревянным или цементным полом. Воспаленный участок тщательно очищают, высушивают, выстригают шерсть и обильно припудривают мельчайшим порошком йодоформа с нафталином (1 :10) или окисью цинка, дерматолом, таннином и другими в различных комбинациях между собой. Если пораженный участок болезнен и в складках кожи имеется скопление гноя, то на сутки накладывают повязку с тимоловым или камфорным спиртом. Хорошее действие при всякого рода экземах оказывает смесь рыбьего жира с дегтем и дача кормов, богатых витаминами.
Клинические признаки. Часто заболевания не замечают до тех пор, пока оно не проявится резко выраженной хромотой. При осмотре обнаруживают болезненные участки кожи, иногда большой величины, начиная от пяточных частей копыта до путового сустава и выше. Наблюдались случаи, когда воспаление кожи было вплоть до запястья, а на задней конечности до скакательного сустава. Пораженные участки кожи бывают покрыты липкой, грязноватой массой неприятного гнилостного (ихорозного) запаха. Шерсть на этих участках бывает взъерошена и местами склеена экссудатом. Кожа принимает серую окраску, становится нежизненной и отмирает. Иногда вокруг омертвевших участков кожа гиперемирована; образуется защитный вал (демаркационная линия), который отделяет мертвую ткань от здоровой. После отторжения мертвого участка хромота несколько уменьшается или совсем исчезает, а на месте бывшей мертвой ткани остается изъязвленная поверхность с неровным дном, обрывками мертвой клетчатки, покрытая ихорозным экссудатом.
Прогноз. При соответствующих лечебных и профилактических мероприятиях благоприятный, однако наблюдают гибель животного от метастатической гангрены легкого.
Лечение. Животное освобождают от работы, изолируют и выясняют, какое состояние здоровья других лошадей в хозяйстве. Лечебную помощь начинают с первичной обработки пораженного участка, для чего изъязвленную поверхность покрывают перекисью водорода. Шерсть вокруг измененных тканей выстригают, кожу протирают спиртом (лучше камфорным) и смазывают настойкой иода. Затем марлевыми компрессами удаляют перекись водорода и отделяют обрывки мертвых тканей. На подготовленный таким способом участок накладывают повязку, пропитанную 2-процентным раствором хлорацида, 1-процентным раствором марганцовокислого калия или камфорным спиртом, часто пользуются иодоформной марлей. Приготовление иодо-формной марли выполняется так: берут широкогорлую с притертой пробкой стеклянную банку, кладут в нее нарезанную стерильную марлю и заливают раствором по прописи: Jodoformii 6,0; Aetheris sulfurici, Spir. vmi rectific. 48,0; Glycerin! 4,0 M. f. solutio. D. S. Наружное.
Повязки необходимо менять ежедневно. После удаления повязки изъязвленную поверхность обрабатывают подогретым до температуры тела животного 1—2-процентным раствором марганцовокислого калия, который действует как окислитель и как дезодоратор (уничтожает запах). При лечении животных с гангренозными мокрецами без повязки пользуются преимущественно иодоформным эфиром (1 : 10) в виде орошений или мельчайшим порошком йодоформа в виде присыпок. Если же не отторглась мертвая ткань от здоровой, рекомендуют поставить согревающий компресс, лучше с камфорным спиртом. Это ускорит развитие демаркационного вала, а вместе с тем и отделение мертвых тканей от здоровых. Обычно некротический участок ткани свободно отделяется пинцетом. Отделять следует только измененную ткань, оберегая демаркационный слой. Последующее лечение аналогично изложенному выше.
В дальнейшем, если грануляции пышно растут, их прижигают ляписом, кусочком медного купороса или накладывают давящую повязку. На сильно мокнущие поверхности применяют раствор формалина с содой (формалина 0,5, соды 2,0 и воды 100 г). Есть указания на хорошее терапевтическое действие мельчайшего порошка марганцовокислого калия, применяемого в виде присыпки с последующим наложением всасывающей повязки (требуется большая осторожность при размельчении в ступке кристаллов марганцовокислого калия: возможен взрыв, поэтому кристаллы не растирают, а давят пестиком).
За последнее время при некробациллезе конечностей у крупного рогатого скота и лошадей, вне зависимости от степени поражения, применяют пенициллинотерапию. Выздоравливают животные при некробациллезе за 3—14 дней от применения пенициллина на изотоническом растворе хлорида натрия (100—200 ЕД на 1 мл) и пенициллиновой эмульсии (100 ЕД в 1 мл рыбьего жира).
Осложнения. При злокачественном течении некробациллеза наблюдают расплавление тканей, спадение рогового башмака, отчленение фаланг пальца; при менее злокачественном течении — гнойно-гнилостные артриты и тендовагиниты, флегмоны венчика и некроз мякишного хряща.
Профилактика. Нужно систематически осматривать конечности лошадей, работающих на лесозаготовках и торфоразработках; изолировать лошадей с подозрением на заболевание; тщательно дезинфицировать хирургический инструмент, употребляемый при оказании лечебной помощи животным, пораженным некробациллезом. Использованный перевязочный материал следует сжигать. Некробациллезных животных надо содержать в сухой и чистой конюшне без подстилки.

Рис. 228. Бородавчатый „мокрец" (дерматит).
Прогноз — от осторожного до неблагоприятного.
Лечение. Из лекарственных средств применяют повязки, пропитанные 1-процентным раствором сулемы, 3—5-процентным спиртовым раствором формалина, скипидаром, 10-процентным раствором хлорида цинка. Более надежным лечебным мероприятием является оперативный способ. Острым ножом или ложечкой удаляют все разращения кожи и прижигают каленым железом, затем накладывают повязку с салициловой кислотой дней на пять, на шесть и дальше лечат, как при послеоперационной ране. Вместо салициловой кислоты можно рекомендовать угле-гипсовую повязку, которую после операции можно держать до выздоровления животного.
Читайте также:


