Абсцессы брюшной полости
Добавил пользователь Дмитрий К. Обновлено: 29.01.2026
Абсцессы могут формироваться под диафрагмой, в середине или позади брюшной полости, в тазовой области, а также в любом органе брюшной полости или вокруг него, например в почке, селезенке, поджелудочной железе, печени, в предстательной железе. Часто абсцессы брюшной полости образуются в результате травмы, воспаления или перфорации (прободения) кишечника или воспаления другого органа брюшной полости.
Поддиафрагмальный абсцесс может формироваться, когда инфицированная жидкость, например из перфорированного аппендикса, под давлением органов брюшной полости и под действием присасывающего эффекта, возникающего при движении диафрагмы во пора дыхания, перемещается вверхотура. Симптомы могут включать кашель, боль при дыхании и боль в одном плече - пример отраженной боли, которая возникает потому, что плечо и диафрагма имеют общую иннервацию, вследствие чего мозг неправильно интерпретирует источник боли.
Абсцессы в средней доли брюшной полости могут формироваться вследствие разрыва аппендикса или толстой кишки, воспалительного процесса в кишечнике или дивертикулеза. Брюшная стенка в области абсцесса традиционно болезненна.
Тазовые абсцессы образуются вследствие тех же заболеваний, тот или другой вызывают образование абсцессов в средней части брюшной полости, а также гинекологических болезней. Симптомы могут включать боль в животике, понос из-за раздражения кишечника и учащенное мочеиспускание в связи с раздражением мочевого пузыря.
Абсцессы позади брюшной полости (именуемые забрюшинными абсцессами) образуются позади брюшины - оболочки, выстилающей брюшную полость и ее органы. Причины заболевания примерно те же, что и для абсцессов брюшной полости иной локализации, нередко это воспаление аппендикса (аппендицит) и поджелудочной железы (панкреатит). Боль, традиционно в нижней части спины, усиливается, иногда человек сгибает ногу в тазобедренном суставе.
Абсцессы почек вызываются или микробами, доставляемыми к почкам с кровью, или являются осложнением инфекционно-воспалительного процесса в почках, мочевыводящих путях - тогда бактерии попадают в почку по мочеточникам и затем распространяются в почечной ткани. Абсцессы на поверхности почек (околопочечные абсцессы) почти всегда образуются в результате разрыва абсцесса внутри почки, при котором происходит распространение возбудителей инфекции к поверхности почки и на окружающие ткани. Симптомы абсцесса почки включают повышение температуры тела, озноб и боль в нижней части спины. Мочеиспускание может быть болезненным, иногда в моче присутствует кровь.
Абсцессы селезенки образуются при проникновении инфекции в селезенку с кровотоком, при ее повреждении или распространении микроорганизмов из абсцесса, расположенного вблизи, например под диафрагмой. Боль может возникать в левой стороне брюшной полости, спины или в левом плече.
Абсцессы снутри поджелудочной железы, как правило, формируются после приступа овзыскательно панкреатита. Симптомы - повышение температуры тела, боль в животике, тошнота и рвота - часто возникают спустя неделю или больше опосля того, как приступ овзыскательно панкреатита был купирован (сбит).
Абсцессы печени могут быть вызваны бактериями либо амебами (одноклеточными паразитами). Амебы из кишечника попадают в печень через лимфатические сосуды или из инфицированного желчного пузыря при проникающем либо тупом ранении; из источника инфекции в брюшной полости, например абсцесса, или из очага инфекции в другом органе. Симптомы абсцесса печени включают потерю аппетита, тошноту и повышение температуры тела. Боль в животе может отсутствовать.
Абсцессы предстательной железы обычно являются следствием воспалительных действий мочевыводящих путей, тот или другой приводят к воспалению предстательной железы (простатиту).
Эти абсцессы, как правило, возникают у мужчин в возрасте от 40 до 60 лет. При этом мочеиспускание останавливается болезненным, густым или затрудненным. Пореже нездоровой ощущает боль в основании полового челена либо подмечает гной или кровь в моче.
Абсцесс
Информацию из данного раздела нельзя использовать для самодиагностики и самолечения. В случае боли или иного обострения заболевания диагностические исследования должен назначать только лечащий врач. Для постановки диагноза и правильного назначения лечения следует обращаться к Вашему лечащему врачу.
Абсцесс: причины появления, симптомы, диагностика и способы лечения.
Определение
Абсцесс - это ограниченное скопление гноя, окруженное оболочкой (пиогенной капсулой).
Причины появления абсцессов
Абсцессы могут быть асептическими и септическими. Асептические абсцессы развиваются после подкожного введения некоторых раздражающих химических веществ (скипидара, керосина, хлоралгидрата, хлористого кальция), которые вызывают некроз тканей. При этом некротизированные ткани растворяются лейкоцитами с образованием гноя, не содержащего микробов. Септические абсцессы чаще всего формируются в результате внедрения в ткани микроорганизмов (стафилококков, стрептококков, кишечной палочки, синегнойной палочки и т.д.), вызывающих гнойное воспаление.
Инфекционные агенты (бактерии, грибы) могут проникать в организм экзогенно через поврежденный эпителий кожи или слизистые оболочки (входные ворота) или эндогенно (из очага инфекции в самом организме).
Открытые повреждения кожи, инородные тела, медицинские манипуляции (инъекции, блокады, пункции), гематомы, серомы, а также гнойно-воспалительные процессы в организме (сепсис, гнойный лимфаденит, гнойный лимфангит, гнойный тромбофлебит, фурункул, карбункул и др.) могут приводить к развитию абсцесса.
На месте внедрения инфекции и воспаления ткани отмирают, и формируется гнойная полость, вокруг которой на границе со здоровой тканью начинает образовываться пиогенная капсула. Эта капсула служит своеобразным биологическим барьером, препятствующим распространению инфекции по организму. Чем дольше существует абсцесс, тем толще становится пиогенная капсула.
По распространенности самым частым считается абсцесс кожи, подкожной жировой клетчатки и мышечной ткани, хотя возникнуть он может в любом органе и ткани.
При прогрессировании гнойного процесса повышается риск разрыва пиогенной капсулы, в результате чего инфекционный процесс распространяется за ее пределы.
Классификация абсцессов
По причине возникновения:
а) стафилококковые;
б) стрептококковые;
в) пневмококковые;
г) колибациллярные;
д) гонококковые;
е) анаэробные неспорообразующие;
ж) клостридиальные анаэробные;
з) смешанные;
и) грибковые и др.
По происхождению и путям проникновения инфекции:
- метастатические (гематогенные) абсцессы, возникающие из отдаленных гнойных очагов;
- контактные абсцессы, происходящие из близлежащих очагов воспаления;
- травматические абсцессы, являющиеся следствием открытых и проникающих повреждений;
- криптогенные абсцессы, происхождение которых и пути проникновения инфекции установить не представляется возможным.
- поверхностные (поражение кожи и подкожной клетчатки);
- глубокие (в органах и тканях):
- острые абсцессы;
- хронические абсцессы.
Симптомы абсцессов
В начальной стадии формирования поверхностного абсцесса определяется отграниченная болезненная припухлость, горячая на ощупь. Через 3-4 дня в центре появляется размягчение, кожа в центре инфильтрата становится более тонкой и темной, а границы абсцесса - более четкими. На 4-7 сутки абсцесс вскрывается и из него выходит гнойное содержимое. При этом болезненность воспаленного участка уменьшается.
Глубокие абсцессы могут формироваться на фоне пневмонии. Чаще всего абсцесс бывает одиночным и локализуется в одном сегменте легкого, реже наблюдаются большие абсцессы, которые захватывают сразу несколько сегментов. В начале заболевания больных беспокоит кашель, боль в грудной клетке, общая слабость, озноб, отсутствие аппетита, жажда. Температура может достигать высоких значений. После прорыва абсцесса в просвет бронха пациенты отмечают отхождение мокроты «полным ртом», симптомы интоксикации уменьшаются. При раннем прорыве и хорошем полном опорожнении гнойная полость может быстро уменьшиться и зажить рубцом. При плохом или недостаточном опорожнении воспаление не затихает, и возникают повторяющиеся обострения.

Абсцесс печени чаще всего возникает в результате распространения инфекции по сосудистому руслу из воспалительных очагов других органов или тканей брюшной полости (аппендицит, холангит, язвенный колит). Абсцессы могут быть одиночными или множественными. Для заболевания характерна высокая температура, озноб, боль и тяжесть в области печени, увеличение ее размеров.

Абсцесс в печени
Абсцесс головного мозга может сформироваться в результате проникновения инфекции из среднего или внутреннего уха, придаточных пазух носа, из гнойных очагов мягких тканей головы. Абсцессы могут быть одиночными или множественными. Заболевание начинается с интоксикации, симптомов повышения внутричерепного давления (головной боли, тошноты и рвоты, сонливости, недомогания, нарушения памяти, расстройства внимания, нарушения зрения). Затем присоединяются общемозговые (головокружение, психомоторное возбуждение, галлюцинации) и очаговые симптомы (неврологические симптомы, свойственные местному поражению определенных структур центральной или периферической нервной системы).

Внутримозговой абсцесс
Абсцессы брюшной полости встречаются в 30-35% у больных гнойным перитонитом. Обычно они располагаются в отлогих областях живота: подпеченочном, поддиафрагмальном пространстве, в подвздошных ямках и т.п. Клинике формирования абсцесса соответствует ухудшение состояния после небольшого светлого промежутка на фоне воспалительного заболевания брюшной полости (аппендицита, холецистита), наблюдается усиление интоксикации и боль в животе.
Внутрикостный абсцесс Броди – это отграниченный некроз губчатого вещества кости с преследующим расплавлением и образованием полости. Локализуется обычно в проксимальном отделе большеберцовой кости. Заболевание начинается с чувствительности к надавливанию. Нередко очаги ничем не проявляются, и боль носит эпизодический характер. Повышение температуры, озноб и другие симптомы интоксикации, как правило, отсутствуют, процесс может длиться годами.
Диагностика абсцессов
Диагностика поверхностного абсцесса не представляет трудностей. Диагноз устанавливается по совокупности жалоб и осмотра. Диагностика глубоких абсцессов может быть основана на результатах дополнительных лабораторных и инструментальных методов исследования.
- Клинический анализ крови: общий анализ, лейкоформула, СОЭ (с микроскопией мазка крови при наличии патологических сдвигов) покажет присутствие в организме воспалительного процесса.
Синонимы: Общий анализ крови, ОАК. Full blood count, FBC, Complete blood count (CBC) with differential white blood cell count (CBC with diff), Hemogram. Краткое описание исследования Клинический анализ крови: общий.
Абсцесс брюшной полости

Абсцесс – нагноившаяся замкнутая полость в ткани или органе, герметизированная грануляционной оболочкой, обычно болезненная и нарушающая функционирование пораженной структуры; нередко ухудшается общее состояние, причем значительно, а в отдельных случаях ситуация становится жизнеугрожающей. В целом, все зависит от локализации, размеров и динамики абсцедирования.
Абсцессы очень многообразны, – учитывая сложность человеческого организма, – но их общей специфической чертой является то, что такая инфильтрация всегда развивается как закономерное следствие инфекционно-воспалительного процесса и всегда обусловлена гнойным расплавлением тканей, т.е. массовым отмиранием и разрушением клеток вследствие активности патогенного микроорганизма. Именно эти «останки» в совокупности с продуктами жизнедеятельности инфекционного возбудителя и образуют гнойную массу, которая, накапливаясь в замкнутом объеме, может оказывать значительное и болезненное давление на окружающие ткани. В роли патогена могут выступать не только «традиционные» гноеродные стрептококки и стафилококки, но и множество других бактериальных, протозойных, грибковых культур.
Абсцесс всегда, как минимум, неприятен, даже если это «просто нарыв» на каком-нибудь относительно безопасном участке кожи (согласно известной поговорке, абсцессы легко переносятся разве что на чужой спине). Но если гнойная инфильтрация носит множественный характер, развивается стремительно и/или поражает жизненно важные органы, это может быть очень опасно: прорыв герметичной оболочки и излияние гнойного содержимого в окружающее пространство чревато фатальной интоксикацией и сепсисом. Поэтому такой диагноз, как абсцесс брюшной полости, требует самых серьезных ответных мер.
2. Причины
Абсцесс брюшной полости развивается по описанному выше сценарию, и в большинстве случаев является осложнением диффузного (разлитого) перитонита – воспаления брюшины. Такого рода абсцессы, единичные или множественные, могут возникать в самых разных зонах внутрибрюшного пространства и обычно формируются вследствие бурной активности сразу нескольких патогенных и условно-патогенных культур, которые в благоприятных для них условиях буквально «набрасываются» на здоровые ткани.
Нередко абсцедированием осложняются травмы брюшной полости, в том числе хирургические (0,5-1,5% плановых и неотложных полостных операций), прободения язвы желудка и двенадцатиперстной кишки, инфекционно-воспалительные заболевания желудочно-кишечного тракта и других внутренних органов.
3. Симптомы и диагностика
Патогномоничных симптомов, – т.е. клинических проявлений, специфичных только и исключительно для абсцесса брюшной полости, – не существует. Диагностика требует тщательного анализа жалоб, анамнеза и динамики, результатов пальпации, измерения артериального давления (при наличии абсцесса АД обычно повышается) и прочих показателей.
Клиническая картина зависит от конкретной локализации абсцесса(ов) и может быть очень разной, напоминая ряд других патологических состояний со сходной симптоматикой. Так, отмечается лихорадка, гипертонус брюшных мышц, учащенное мочеиспускание, диспептические явления (тошнота, рвота, диарея, запор), всевозможные боли и дискомфортные ощущения с различной иррадиацией, «вынужденная поза», повышение температуры и т.д.
Для подтверждения абсцедирования применяются (в зависимости от клинической ситуации) практически все современные методы инструментальной диагностики, – рентгенографические, ультразвуковые, томографические и пр., – а также лабораторные анализы, включающие бактериологическую идентификацию возбудителя инфекции и оценку его чувствительности к антибиотикам.
4. Лечение
Антибиотическая терапия, обычно очень мощная и эффективная в отношении широкого спектра патогенов, в случае подтвержденного абсцесса брюшной полости является обязательной, однако носит все-таки дополнительный характер: собственно абсцесс одними медикаментами не вылечить. Необходимо хирургически вскрывать гнойную капсулу и дренировать ее содержимое. Антибиотики служат лишь профилактическим «прикрытием» перед операцией (если остается время на какую-либо предоперационную подготовку) и в реабилитационном периоде. Главная задача – не допустить спонтанного вскрытия абсцесса с распространением гноя, кишащего инфекционным агентом и токсинами, в висцеральном (внутреннем) пространстве. В прогностическом плане критически важным является фактор времени: своевременность обращения за помощью, оперативность и точность диагностики, адекватность принимаемых (если необходимо, в экстренном порядке) мер. Очень многое зависит также от общего состояния больного, наличия фоновых и сопутствующих заболеваний (например, сердечно-сосудистых, нефрологических и т.п.), локализации абсцесса и т.д. Нельзя не учитывать, что летальность абсцессов брюшной полости весьма высока и достигает, по разным источникам, от 10 до 40 процентов всех регистрируемых случаев. Поэтому не лишним будет еще раз напомнить то, что известно, казалось бы, всем и каждому, – но все-таки нередко игнорируется. В брюшной полости не бывает «пустяковой» симптоматики, и гнойный инфекционно-воспалительный процесс здесь не «пройдет сам собой»; это один из тех случаев, о каких говорят: промедление смерти подобно. При появлении описанных выше признаков обратиться к врачу необходимо как можно скорее.
Абсцесс брюшной полости ( Отграниченный перитонит )
Абсцесс брюшной полости – это ограниченный гнойник в брюшной полости, заключенный в пиогенную капсулу. Особенности клиники зависят от локализации и величины гнойного очага; общими проявлениями абсцесса брюшной полости служат боль и локальное напряжение мышц живота, лихорадка, кишечная непроходимость, тошнота и др. Диагностика абсцесса включает обзорную рентгенографию органов брюшной полости, УЗИ и КТ брюшной полости. Лечение заключается во вскрытии, дренировании и санации гнойника; массивной антибактериальной терапии.
МКБ-10


Общие сведения
В широком смысле к абсцессам брюшной полости в абдоминальной хирургии относят внутрибрюшинные (интраперитонеальные), забрюшинные (ретроперитонеальные) и интраорганные (внутриорганные) абсцессы. Внутрибрюшинные и забрюшинные гнойники, как правило, располагаются в области анатомических каналов, карманов, сумок брюшной полости и клеточных пространствах ретроперитонеальной клетчатки. Внутриорганные абсцессы брюшной полости чаще образуются в паренхиме печени, поджелудочной железы или стенках органов.
Пластические свойства брюшины, а также наличие сращений между ее париетальным листком, сальником и органами, способствуют отграничению воспаления и формированию своеобразной пиогенной капсулы, препятствующей распространению гнойного процесса. Поэтому абсцесс брюшной полости еще называют «отграниченным перитонитом».
Причины
В 75% случаев абсцессы располагаются внутри- или забрюшинно; в 25% - внутриорганно. Пиогенная флора абсцессов чаще полимикробная, сочетающая аэробные (кишечную палочку, протей, стафилококки, стрептококки и др.) и анаэробные (клостридии, бактероиды, фузобактерии) микробные ассоциации. Причины абсцесса:
- Перитонит. В большинстве случаев формирование абсцессов брюшной полости связано с вторичным перитонитом, развивающимся вследствие попадания в свободную брюшную полость кишечного содержимого при перфоративном аппендиците; крови, выпота и гноя при дренировании гематом, несостоятельности анастомозов, послеоперационном панкреонекрозе, травмах и т. д. Типичными местами локализации служат большой сальник, брыжейка, малый таз, поясничная область, поддиафрагмальное пространство, поверхность или толща тканей паренхиматозных органов.
- Инфекционные процессы в малом тазу. Причиной абсцесса могут выступать гнойные воспаления женских гениталий – острый сальпингит, аднексит, параметрит, пиовар, пиосальпинкс, тубоовариальный абсцесс.
- Заболевания органов ЖКТ. Встречаются абсцессы брюшной полости, обусловленные панкреатитом: в этом случае их развитие связно с действием ферментов поджелудочной железы на окружающую клетчатку, вызывающим выраженную воспалительную реакцию. В некоторых случаях абсцесс брюшной полости развивается как осложнение острого холецистита или прободения язвы желудка и 12-перстной кишки, болезни Крона.
- Инфекции забрюшинного пространства. Псоас-абсцесс может являться следствием остеомиелита позвоночника, туберкулезного спондилита, паранефрита.
Классификация
По ведущему этиофактору различают микробные (бактериальные), паразитарные и некротические (абактериальные) абсцессы брюшной полости.
В соответствии с патогенетическим механизмом выделяют посттравматические, послеоперационные, перфоративные и метастатические гнойники.
По расположению относительно брюшины абсцессы делятся на забрюшинные, внутрибрюшинные и сочетанные; по количеству гнойников - одиночные или множественные.
По локализации встречаются:
- поддиафрагмальные,
- межкишечные,
- аппендикулярные,
- тазовые (абсцессы дугласова пространства),
- пристеночные
- внутриорганные абсцессы (внутрибрыжеечные, абсцессы поджелудочной железы, печени, селезенки).
Симптомы
В начале заболевания при любом виде абсцесса брюшной полости превалирует общая симптоматика: интоксикация, интермиттирующая (перемежающаяся) лихорадка с гектической температурой, ознобами, тахикардией. Часто отмечается тошнота, нарушение аппетита, рвота; развивается паралитическая кишечная непроходимость, определяется выраженная болезненность в зоне гнойника, напряжение брюшных мышц.
Симптом напряжения мышц живота наиболее выражен при абсцессах, локализующихся в мезогастрии; гнойники поддиафрагмальной локализации, как правило, протекают со стертой местной симптоматикой. При поддиафрагмальных абсцессах может беспокоить боль в подреберье на вдохе с иррадиацией в плечо и лопатку, кашель, одышка.
Симптомы тазовых абсцессов включают абдоминальные боли, учащение мочеиспускания, понос и тенезмы вследствие рефлекторного раздражения мочевого пузыря и кишечника. Для забрюшинных абсцессов характерна локализация боли в нижних отделах спины; при этом интенсивность боли усиливается при сгибании нижней конечности в тазобедренном суставе. Выраженность симптоматики связана с величиной и локализацией гнойника, а также с интенсивностью проводимой противомикробной терапии.
Диагностика
Обычно при первичном осмотре абдоминальный хирург обращает внимание на вынужденное положение пациента, которое он принимает для облегчения своего состояния: лежа на боку или спине, полусидя, согнувшись и т. д. Для подтверждения диагноза проводятся следующие диагностические процедуры:
- Объективное обследование. Язык сухой, обложен сероватым налетом, живот незначительно вздут. Пальпация живота обнаруживает болезненность в отделах, соответствующих локализации гнойного образования (в подреберье, глубине таза и др.). Наличие поддиафрагмального абсцесса характеризуется асимметрией грудной клетки, выпячиваем межреберий и нижних ребер.
- Рентгенологические исследования. Обзорная рентгенография брюшной полости позволяет выявить дополнительное образование с уровнем жидкости. При контрастном исследовании ЖКТ (рентгенографии пищевода и желудка, ирригоскопии, фистулографии) определяется оттеснение желудка или петель кишечника инфильтратом. При несостоятельности послеоперационных швов контрастное вещество поступает из кишечника в полость абсцесса.
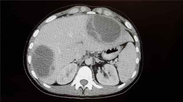
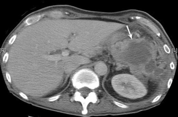
- Другие визуализационные методики. УЗИ брюшной полости наиболее информативно при абсцессе верхних ее отделов. При сложностях дифференциальной диагностики показано проведение КТ, диагностической лапароскопии.
- Лабораторные исследования. В общем анализе крови обнаруживаются лейкоцитоз, нейтрофилез, ускорение СОЭ.
Лечение абсцесса брюшной полости
Хирургическое лечение проводится под прикрытием антибактериальной терапии (аминогликозидов, цефалоспоринов, фторхинолонов, производных имидазола) для подавления аэробной и анаэробной микрофлоры. Принципы оперативного лечения всех видов абсцессов заключаются во вскрытии и дренировании, проведении адекватной санации. Доступ определяется локализацией гнойника: поддиафрагмальные абсцессы вскрывают внебрюшинно или чрезбрюшинно; абсцессы дугласова пространства – трансректально или трансвагинально; псоас-абсцесса – из люмботомического доступа и т. д.

При наличии множественных абсцессов выполняется широкое вскрытие брюшной полости. После операции оставляют дренаж для активной аспирации и промывания. Небольшие одиночные поддиафрагмальные абсцессы могут быть дренированы чрезкожно под ультразвуковым наведением. Однако при неполной эвакуации гноя велика вероятность рецидива гнойника или его развития в другом месте субдиафрагмального пространства.
Прогноз и профилактика
При одиночном абсцессе прогноз чаще благоприятный. Осложнениями абсцесса может явиться прорыв гноя в свободную плевральную или брюшную полость, перитонит, сепсис. Профилактика требует своевременного устранения острой хирургической патологии, гастроэнтерологических заболеваний, воспалительных процессов со стороны женской половой сферы, адекватного ведения послеоперационного периода после вмешательств на органах брюшной полости.
Абсцесс органов брюшной полости
Абсцесс – гнойно-воспалительный процесс, характеризующийся образованием полости, заполненной гноем. В брюшной полости абсцессы могут формироваться под диафрагмой, в середине или позади брюшной полости, в тазовой области, а также в любом органе брюшной полости или вокруг него, например в почке, селезенке, поджелудочной железе, печени, в предстательной железе.
Абсцессы позади брюшной полости (называемые забрюшинными абсцессами) образуются позади брюшины – оболочки, выстилающей брюшную полость и ее органы.
Абсцессы брюшной полости могут быть одиночными и множественными.
Абсцессы предстательной железы являются осложнением простатита и, как правило, возникают у мужчин в возрасте от 40 до 60 лет.
Общими симптомами являются повышение температуры тела (стойкое или интермитирующее), озноб, тахикардия, паралитическая кишечная непроходимость, местное напряжение мышц передней брюшной стенки, отсутствие аппетита, тошнота.
Другие симптомы заболевания во многом зависят от локализации патологии. Так, симптомы поддиафрагмального абсцесса могут включать кашель, боль при дыхании и боль в одном плече – пример отраженной боли, которая возникает потому, что плечо и диафрагма имеют общую иннервацию, вследствие чего мозг неправильно интерпретирует источник боли.
Боль при абсцессе селезенки может возникать в левой стороне брюшной полости, спины или в левом плече.
Брюшная стенка в области абсцесса обычно болезненна.
Для забрюшинного абсцесса характерна боль, обычно в нижней части спины, которая усиливается, когда человек сгибает ногу в тазобедренном суставе.
Симптомы абсцесса поджелудочной железы: повышение температуры тела, боль в животе, тошнота и рвота – часто возникают через неделю или больше после того, как приступ острого панкреатита был купирован (снят).
Симптомы абсцесса печени включают в себя потерю аппетита, тошноту и повышение температуры тела, общее недомогание. Боль в животе может отсутствовать. Печень увеличивается, ее край болезненный при пальпации.
Симптомы тазовых абсцессов могут включать боль в животе, понос из-за раздражения кишечника и учащенное мочеиспускание в связи с раздражением мочевого пузыря.
Симптомы абсцесса почки включают повышение температуры тела, озноб и боль в нижней части спины. Мочеиспускание может быть болезненным, иногда в моче присутствует кровь.
При абсцессе предстательной железы мочеиспускание становится болезненным, частым или затрудненным. Реже больной чувствует боль в основании полового члена или замечает гной или кровь в моче.
Часто абсцессы брюшной полости образуются в результате травмы, воспаления или перфорации (прободения) кишечника или воспаления другого органа брюшной полости.
Поддиафрагмальный абсцесс может формироваться, когда инфицированная жидкость, например из перфорированного аппендикса, под давлением органов брюшной полости и под действием присасывающего эффекта, возникающего при движении диафрагмы во время дыхания, перемещается вверх.
Абсцессы в средней части брюшной полости могут формироваться вследствие разрыва аппендикса или толстой кишки, воспалительного процесса в кишечнике или дивертикулеза.
Причиной забрюшинного абсцесса может быть воспаление аппендикса (аппендицит) и поджелудочной железы (панкреатит).
Абсцессы внутри поджелудочной железы, как правило, формируются после приступа острого панкреатита и являются его осложнением.
Абсцессы печени могут быть вызваны бактериями или амебами (одноклеточными паразитами). Амебы из кишечника попадают в печень через лимфатические сосуды или из инфицированного желчного пузыря при проникающем либо тупом ранении; из очага инфекции в брюшной полости, например абсцесса, или из очага инфекции в другом органе.
Абсцессы селезенки образуются при проникновении инфекции в селезенку с кровотоком, при ее повреждении или распространении микроорганизмов из абсцесса, расположенного вблизи, например под диафрагмой.
Тазовые абсцессы образуются вследствие тех же заболеваний, которые вызывают образование абсцессов в средней части брюшной полости, а также гинекологических заболеваний.
Абсцессы почек вызываются или бактериями, доставляемыми к почкам с кровью, или являются осложнением инфекционно-воспалительного процесса в почках, мочевыводящих путях – тогда бактерии попадают в почку по мочеточникам и затем распространяются в почечной ткани. Абсцессы на поверхности почек (околопочечные абсцессы) почти всегда образуются в результате разрыва абсцесса внутри почки, при котором происходит распространение возбудителей инфекции к поверхности почки и на окружающие ткани.
Абсцессы предстательной железы обычно являются следствием воспалительных процессов мочевыводящих путей, которые приводят к воспалению предстательной железы (простатиту).
Заподозрить воспалительный процесс в брюшной полости можно уже по клинической картине. Методы пальпации и перкуссии позволяют примерно определить его локализацию.
В анализе крови выявляется высокий лейкоцитоз со сдвигом формулы влево, анемия. В диагностике помогают ультразвуковое исследование органов брюшной полости, обзорная рентгенография, ангиография, компьютерная томография.
Почти во всех случаях абсцесс брюшной полости должен вскрываться и дренироваться – оперативно или иглой, введенной через кожу.
Чтобы контролировать введение иглы, врач использует компьютерную томографию (КТ) или ультразвуковое исследование (УЗИ). Лабораторный анализ гноя дает возможность определить вызывающий заболевание микроорганизм для назначения наиболее эффективного антибиотика.
При своевременном лечении прогноз одиночных абсцессов благоприятный. Наиболее частые осложнения: сепсис, прорыв гнойника в свободную плевральную или брюшную полость с формированием перитонита.
Читайте также:
- Синдром ретроградной артериальной перфузии. Акардия у одного из близнецов
- Рентгенограмма, МРТ при синдромах Марфана и Элерса-Данлоса
- Гортань. Топография гортани. Границы гортани. Хрящи гортани. Связки гортани.
- Медиатор пресинаптической мембраны. Постсинаптическая мембрана
- Лабиринтный восстановительный рефлекс. Шейный рефлекс
