Акантома волосяного влагалища. Трихолеммома.
Добавил пользователь Валентин П. Обновлено: 04.01.2026
Опухоли волосяных фолликулов у собак и кошек обычно являются доброкачественными опухолями зародышевых клеток волосяных фолликулов, которые классифицируются согласно направлению дифференциации придатков кожи. Они часто встречаются у собак и редко у кошек. Трихоэпителиома и пиломатриксома являются наиболее частыми опухолями волосяных фолликулов.
Трихоэпителиома является доброкачественной опухолью клеток, которые дифференцируются в направлении волосяных фолликулов и структуры стержня волоса. Она часто встречается у собак и редко у кошек, с увеличенной частотой встречаемости у животных старше 5 лет. Среди собак могут быть предрасположены бассет хаунды, золотистые ретриверы, немецкие овчарки, карликовые шнауцеры, стандартные пудели, и спаниели. Среди кошек могут быть предрасположены персидские кошки. Опухоли обычно встречаются как одиночные (часто множественные у бассетов), безволосые, твердые, белые или серые многодольчатые массы, которые могут изьязвляться. Опухоли варьируют в размере от 1 мм до 2 см или больше. Они часто локализуются на туловище или лапах у собак и на голове, хвосте и конечностях у кошек.
Эта доброкачественная опухоль возникает из клеток луковицы/матрикса волоса. Она редко встречается у собак и очень редко у кошек и наблюдается в возрасте от 5 до 10 лет. Среди собак могут быть предрасположены керри блю терьеры, пудели и староанглийские овчарки. Опухоли являются солитарными, часто безволосыми, твердыми, иногда изьязвленными или кальцифицированными, хорошо отграниченными, куполообразной или бляшкоподобной формы кожными или подкожными массами, которые могут быть кистозными или пигментированными и варьируют в размере от 1 до 10 см и встречаются наиболее часто на туловище.
Она является доброкачественной опухолью клеток, которые возникают из примитивного зародышевого эпителия волоса. Она редко встречается у собак и кошек среднего возраста. Среди собак предрасположены пудели и кокер спаниели. Опухоли варьируют в размере от 1 до 2 см и выглядят как солитарные, твердые, куполообразной формы безволосые узелки, которые встречаются наиболее часто на голове и шее у собак и на краниальной половине туловища у кошек.
Это доброкачественная опухоль клеток, которые дифференцируются в направлении наружного волосяного влагалища волосяного фолликула. Она редко встречается у собак и кошек и наблюдается у животных в возрасте от 5 до 13 лет. Могут быть предрасположены афганские борзые. Опухоли варьируют от 1 до 7 см в диаметре и являются твердыми, хорошо отграниченными узелками, часто располагающимися на голове и шее.
Эта доброкачественная опухоль волосяных фолликулов может, в реальности, быть в большей степени фолликулярной или сальноволосяной гамартомой, чем истинной опухолью. Она редко встречается у собак и кошек и не имеет известной предрасположенности по возрасту, породе или месту расположения. Опухоль выглядит как твердый куполообразный узелок, который может иметь центральное углубление или отверстие, которое содержит волос или сальный материал.
Это доброкачественная опухоль или киста волосяного фолликула. Она редко встречается у возрастных кошек и выглядит как солитарная твердая масса или киста (меньше, чем 1 см), с выходом в центре кератина. Этот кератин иногда может быть похожим на кожный рог. Узелки наиболее часто встречаются на туловище, голове и шее.
Диагноз
1 Цитология (часто недиагностичная): опухоли волосяных фолликулов характеризуются зрелыми ороговевшими клетками плоского эпителия и аморфным клеточным дебрисом. Иногда можно встретить мелкие однородные эпителиальные клетки базального типа.
2 Дерматогистопатология: опухоли волосяных фолликулов классифицируются гистологическим паттерном и внешним видом базалиоидных опухолевых клеток. В зависимости от типа опухоли массы могут быть солидными или кистозными и могут содержать кератин.
Лечение и прогноз

Фото 1 Опухоли волосяных фолликулов у собак и кошек. Этот мелкий недренирующийся узелок типичен для этих опухолей.

Фото 2 Опухоли волосяных фолликулов у собак и кошек. Мелкий пигментированный узелок. Обратите внимание на сходство с базальноклеточными опухолями, опухолями апокриновых желез и меланомой.

Фото 3 Опухоли волосяных фолликулов у собак и кошек. Эта большая киста на вентральной части грудной клетки помесной собаки была ассоциирована с фолликулярной опухолью.


Фото 5 Опухоли волосяных фолликулов у собак и кошек. Большая безволосая кистозная опухоль на бедре собаки.
Акантома волосяного влагалища. Трихолеммома.
Акантома волосяного влагалища. Трихолеммома.
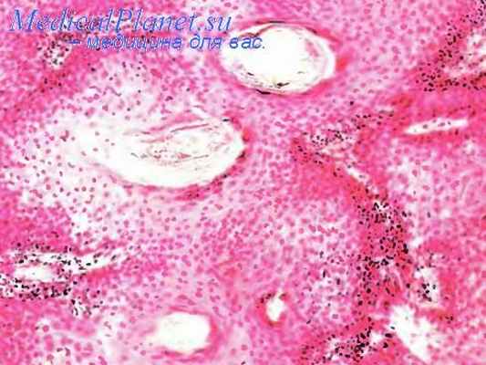
Акантома волосяного влагалища (англ. pilar sheath acanthoma) клинически представляет собой солитарную кисту диаметром 5-10 мм с центральным отверстием в виде поры , почти всегда локализующуюся на верхней губе. Цвет кожи над образованием не изменен.
Гистологически акантома волосяного влагалища характеризуется крупной кистозной полостью, открывающейся на поверхность кожи, и эпителиальной пролиферацией, более массивной, чем при расширенной поре Винера. Неправильные островки эпителиальных клеток, напоминающих клетки наружного корневого влагалища, могут распространяться в окружающую дерму. Клетки наружного слоя стенки кисты содержат гликоген, тогда как керати новые массы центральной зоны окружены зернистым слоем.
Трихолеммома
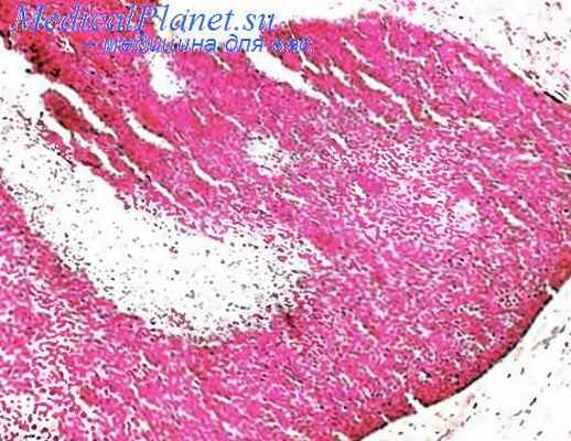
Трихолеммома — редкая доброкачественная опухоль фолликулярных клеток наружного корневого влагалища волосяного фолликула. Этиология неясна, выдвигается гипотеза о вирусной природе образования. Поражает взрослых и лишь иногда — детей.

Наиболее частая солитарная трихолеммома — маленькая, диаметром 3-8 мм, веррукозная папула цвета нормальной кожи; локализуется главным образом налице (нос, щеки, губы, подбородок, лоб, брови) и шее, в некоторых случаях является основанием кожного рога. Опухоль не наследуемая.
Множественные трихолеммомы — папулы мясо-красного, розового или коричневого цвета, напоминающие вульгарные бородавки. Являются признаком синдрома Каудена, связанного с высоким риском развития злокачественных новообразований: почти в 50% случаев ассоциируется с раком молочной железы, реже — с фолликулярным раком щитовидной железы и т.д. Располагаются в центральной части лица, вокруг рта, губ, на ушных раковинах (их огромное количество может уродовать больного), а также в полости рта. Опухоли в полости рта — трихолеммомы (белесоватые папулы на слизистой оболочки десен, губ, нёба) и фиброэпителиальные папилломы, сливаясь, могут придавать слизистой вид «булыжной мостовой». Тип наследования аутосомно-доминантныи
При гистологическом исследовании трихолеммомы солитарная и множественная опухоли имеют одинаковое строение — дольчатые состоят из скоплений однородных светлых клеток, богатых гликогеном, по периферии окруженных частоколом из более темных клеток. Отмечается склонность к кератинизации. Дольки опухоли располагаются вокруг волосяных фолликулов и растут в связи с эпидермисом.
Дифференциальный диагноз трихолеммомы проводится с трихофолликуломой, бородавкой, базалиомой, светлоклеточной гидраденомой, аденомой сальных желез, инвертированным фолликулярным кератозом.
Так как множественные трихолеммомы нередко предшествуют развитию рака молочной железы у женшин. таким образом можно выделять женщин с высоким риском развития этого рака.
Лечение трихолеммомы заключается в хирургическом удалении опухолей. При синдроме Каудена необходимо медико-генетическое консультирование и обследование для выявления рака молочной и щитовидной желез.
- Вернуться в оглавление раздела "Дерматология"
Информация на сайте подлежит консультации лечащим врачом и не заменяет очной консультации с ним.
См. подробнее в пользовательском соглашении.
Акантома волосяного влагалища. Трихолеммома.
Невус сальных желез (син. невус Ядассона) — редкий врожденный порок развития. Обычно обнаруживается на волосистой части головы, изредка на лице в виде тонкой, мягкой, оранжевой бляшки диаметром 1—2 см. Примерно у 10 % больных на месте невуса сальных желез развивается базально-клеточный рак. Под микроскопом этот порок характеризуется наличием большого количества зрелых сальных желез, а также эпидермальных кист, расширенных потовых желез и недоразвитых волосяных фолликулов.
Рак сальных желез (син. светлоклеточный рак кожи) — крайняя редкость. Болеют люди пожилого возраста. Локализация любая, преобладают язвенно-инфильтративные формы роста. Под микроскопом паренхима опухоли обычно представлена как солидными комплексами, осуществляющими инвазию и сформированными из крупных полиморфных себоцитов с пенистой цитоплазмой, так и мелких клеток с единичными точечными включениями жира. Встречаются фигуры митоза. Местами опухоль напоминает липосаркому, от которой ее в первую очередь и следует дифференцировать.

Трихоэпителиома
Трихоэпителиома
Трихоэпителиома (син. трихоэпителиоматозный невус) — доброкачественная опухоль, встречается у лиц обоего пола, обычно в период полового созревания. Локализация повсеместная. Макроскопически опухоль представляет собой несколько папул, иногда одиночную бляшку. Под микросколом видно, что паренхима трихоэпителиомы состоит из порочно развитых волосяных фолликулов, эпидермальных кист и солидных пластов, построенных из светлых клеток, аналогичных наружным элементам корневого влагалища волосяного фолликула. Внутри кист встречаются массы кератина или извести.
Родственные формы трихоэпителиомы: трихобазалиома, отличающаяся от трихоэпителиомы наличием базалиомных структур с пилоидной дифференцировкой; трихо фолликул ома развивается в глубине дермы и содержит особенно много уродливо развитых волосяных фолликулов с разрастаниями светлых клеток, подобных элементам наружного волосяного влагалища, и с гиалиновыми мембранами вокруг этих разрастаний; аденоидкистозная эпителиома Брука (син.: железисто-кистозная эпителиома Брука, трихоэпителиоматозный аденоид-кистозный невус). Последняя форма часто появляется на липе, шее или голове в период полового созревания. У нее нет эпидермальных кист, но имеется сочетание порочно развитых волосяных фолликулов и потовых желез, часть которых кистозно-расширены и могут содержать роговые массы. Все эти формы следует дифференцировать от разновидностей базально-клеточного рака.

Опухоль волосяного матрикса
Трихолеммома
Трихолеммома — редкая доброкачественная опухоль, растущая в виде интрадермального узла небольшой величины и умеренной плотности. Локализация: волосистая часть головы, крайне редко—другие места. Как составная часть синдрома Каудена (син. болезнь Каудена), являющегося комплексом врожденных аутосомно-доминантных аномалий у женщин, может в виде папул появиться на лице и губах. Под микросколом опухоль отличается от трихоэпителиомы лишь преобладанием солидных пластов паренхимы, построенных из крупных светлых клеток, содержащих гликоген. Обычно эти пласты окружены развитой «стекловидной» мембраной. Трихолеммому следует дифференцировать от трихоэпителиомы и всех ее родственных форм.
Опухоль волосяного матрикса
Опухоль волосяного матрикса (син.: обызвествляющаяся эпителиома Малерба, некротизирую-щаяся эпителиома Малерба, трихоматриксома)— редкая, обычно одиночная доброкачественная опухоль, поражающая лиц любого возраста. Локализация: голова, лицо, верхняя часть туловища. Макроскопически представляет собой интрадермальный или подкожный узел плотной, иногда каменистой консистенции, может издавать хруст при разрезании. Растет медленно. Характерно спонтанное самоизлечение путем некроза. Под микроскопом, в большинстве случаев, отмечается тетрада признаков: пласты из темных лимфоиитоподобных клеток базалоидного типа, очаги погибающих клеток («теней»), отложения извести (непостоянно), участки, построенные по типу грануляционной ткани с гигантскими клетками инородных тел, изредка с признаками окостенения.
Инвертированный фолликулярный кератоз (син. фолликулярная кератома) — редкая одиночная интрадермальная опухоль, растущая обычно на лице у пожилых мужчин. Под микроскопом видны обширные акантотические тяжи с «жемчужинами и/или очагами пилоидной дифференцировки. Следует дифференцировать от бородавок и эккринной поромы.
Рак из элементов волосяного фолликула (син.: пилокарцинома, рак с пилоидной дифференцировкой) — настолько редкое новообразование, что определить закономерности его распределения по разным признакам не удается. От эпидермоидного рака отличается наличием в пластах опухолевой паренхимы очагов пилоидной дифференцировки, крупных светлых клеток типа элементов наружного корневого влагалища волосяного фолликула и гиалиновых мембран, окружающих пласты.
Акантома волосяного влагалища. Трихолеммома.
ОСНОВЫ ДЕРМАТООНКОЛОГИИ Исторический очерк дерматоонкологии 1.1. История вопроса 1.2. Классификации опухолей кожи Система кожных покровов 2.1. Эмбриогенез 2.2. Эпидермальный слой (эпидермис) 2.3. Дерма (собственно кожа) 2.4. Клеточные элементы придатков кожи 2.4.1. Потовые железы 2.4.2. Волосяные фолликулы 2.4.3. Сальные железы 2.4.4. Мышцы, поднимающие волос 2.5. Кровоснабжение кожи 2.6. Рецепторная функция кожи 2.7. Изменения нормальной структуры до неоплазии Экспериментальный канцерогенез кожи 3.1. Краткая история вопроса 3.2. Модель двухстадийного канцерогенеза 3.3. Генотоксические и негенотоксические (эпигенетические) канцерогены 3.4. Цитохром Р-450 в коже 3.5. Метаболизм промоторов опухолевого роста 3.6. Промоторное действие механического повреждения кожи 3.7. Волосяные циклы и их роль в канцерогенезе кожи у грызунов 3.8. Кератины в опухолях кожи 3.9. Инициация - промоция в других органах экспериментальных животных 3.10. Инициация - промоция у человека 3.11. Видовые различия в морфологии экспериментальных опухолей кожи Иммунология опухолей кожи 4.1. Клеточные основы специфического противоопухолевого иммунитета 4.2. Экспериментальные модели противоопухолевого иммунитета 4.3. Антигены опухолевых клеток и способы их идентификации 4.4. Условия индукции специфического противоопухолевого иммунитета 4.5. Современные подходы к иммунотерапии опухолей 4.6. Методические подходы к оценке специфического противоопухолевого иммунитет Ангиогенез 5.1. Ангиогенные факторы роста 5.2. Ингибиторы ангиогенеза 5.3. Модуляторы ангиогенеза Роль цитокинов в канцерогенезе опухолей кожи 6.1. Цитокины в канцерогенезе меланом 6.2. Цитокины в канцерогенезе базальноклеточного рака и плоскоклеточного рака кожи 6.2.1. Роль цитокинов в повреждении кожи и эпидермальной гиперплазии 6.2.2. Цитокины и ультрафиолетовое облучение 6.2.3. Цитокины в канцерогенезе, обусловленном химическими агентами 6.3. Цитокины в канцерогенезе злокачественных лимфом кожи Диагностика опухолей кожи Принципы лечения опухолей кожи ЧАСТНАЯ ДЕРМАТООНКОЛОГИЯ ОПУХОЛИ МЕЛАНОГЕННОЙ СИСТЕМЫ Меланоцитарные невусы 1.1. Меланоцитарные невусы эпидермального меланоцитарного происхождения 1.1.1. Основные типы 1.1.1.1. Пограничный невус 1.1.1.2. Сложный невус 1.1.1.3. Внутридермальный невус 1.1.2. Особые типы невусов 1.1.2.1. Гало-невус 1.1.2.2. Невус из баллонообразных клеток 1.1.2.3. Рецидивирующий меланоцитарный невус 1.1.3. Веретеноклеточный и эпителиоидный невус 1.1.3.1. Spitz невус 1.1.3.2. Невус Рида 1.2. Меланоцитарные невусы дермального меланоцитарного происхождения 1.2.1. Голубой невус 1.2.1.1. Простой голубой невус 1.2.1.2. Клеточный голубой невус 1.2.1.3. Комбинированный невус 1.2.1.4. Глубоко пенетрирующий невус 1.2.2. Доброкачественные дермальные меланозы 1.2.2.1. Монгольское пятно 1.2.2.2. Невус Оты 1.2.2.3. Невус Ито 1.3. Течение и прогноз меланоцитарных невусов эпидермального и дермального меланоцитарного происхождения 1.4. Лечение меланоцитарных невусов эпидермального и дермального меланоцитарного происхождения 1.5. Врожденные меланоцитарные невусы 1.6. Диспластический меланоцитарный невус Меланомы 2.1. Основные клинико-морфологические формы меланом 2.1.1. Первая фаза развития меланомы, или стадия радиального роста 2.1.2. Вторая фаза развития меланомы, или стадия вертикального роста 2.2. Варианты меланомы 2.2.1. Поверхностно распространяющаяся меланома 2.2.2. Злокачественное лентиго и меланома тина злокачественного лентига 2.2.3. Акрально-лентигинозная меланома 2.2.3.1. Меланома слизистых оболочек 2.2.4. Узловая нодулярная меланома 2.3. Необычные и неклассифивдруемые формы меланом 23.1. Десмогшастическая меланома 2.3.2. Нейротропная меланома 2.3.3. Минимально отклоненная меланома 2.3.4. Злокачественный голубой невус 2.3.5. Меланома из баллонообразных клеток 2.3.6. Меланома на стебельке 2.4. Диагностика меланом 2.5. Факторы прогноза 2.6. Течение и прогноз 2.7. Метастазы, безрецидивный период и рецидивы 2.8. Лечение и профилактика Неопухолевые гаимешации 3.1. Веснушки 3.2. Лентиго 3.2.1. Простое, или юношеское, лентиго 3.2.2. Старческое лентиго 3.2.3. Ретикулярное меланотическое лентиго 3.2.4. Лентигиноз слизистых оболочек 3.2.5. ПУВА-лентито 3.3. Лентигиноз, ассоциирующийся с системными заболеваниями 3.3.1. Лентигиноз врожденный системный 3.3.2. Синдром Кейпюта - Римойна-Конигсмарка 3.3.3. LAMB-синдром 3.3.4. Синдром Кронкхайта-Канада 3.3.5. Лентигиноз центролицевой дизрафический 3.3.6. Лентигиноз периорифициальный 3.3.7. Аксиллярные веснушки. 3.3.8. Синдром МакКюне-Олбрайта 3.3.9. Пятна типа «кофе с молоком" 3.4. Лечение, течение и прогноз ЭПИДЕРМАЛЬНЫЕ ОПУХОЛИ КОЖИ Доброкачественные эпидермальные опухоли и опухолевидные образования кожи 1.1. Эпидермальные невусы 1.1.1. Папилломатозный мягкий эпидермальный невус 1.1.2. Бородавчатый эпидермальный невус 1.1.3. Акантолитические эпидермальные невусы 1.1.3.1. Дарье-подобный эпидермальный невус 1.1.3.2. Хейли-Хейли-подобный эпидермальный невус 1.1.3.3. Naevus corniculatus 1.1.4. Воспалительные линейные бородавчатые эпидермальные невусы 1.1.4.1. Дермальный эпидермальный невус 1.1.4.2. Лихеноидный эпидермальный невус 1.1.4.3. Невоидный псориаз 1.1.5. Гиперкератоз невиформный околососкового кружка и соска молочной железы 1.1.6. Лечение эпидермальных невусов 1.2. Доброкачественные эпидермальные опухоли 1.2.1. Себорейный кератоз 1.2.2. Светлоклеточная акантома 1.2.3. Фиброэпителиальный полип 1.2.4. Бородавчатая дискератома 1.2.5. Крутшоклеточная акантома 1.2.6. Кожный poi 1.2.7. Кератоакантома 1.2.8. Доброкачественный лихеноидный кератоз 1.3. Бородавчатые (связанные с вирусом) поражения кожи 1.3.1. Простые бородавки 1.3.2. Подошвенная бородавка 1.3.3. Плоские бородавки 1.3.4. Остроконечные кондиломы 1.3.5. Контагиозный моллюск Предраковые эпителиальные поражения кожи 2.1. Солнечный кератоз 2.2. Пигментная ксеродерма 2.3. Мышьяковый кератоз 2.4. Дегтярный кератоз 2.5. Хронический радиационный дерматит 2.6. Хронический рубцовый кератоз 2.7. Реактивный кератоз 2.8. Карциноидный папилломатоз кожи Готтрона 2.9. Подошвенная веррукозная карцинома 2.10. Вирусные кератозы 2.10.1. Бовеноидный папулез 2.10.2. Гигантская кондилома Бушке-Левенштейна 2.10.3. Верруциформная эпидермодисплазия Левандовского-Лютца 2.11. Лейкоплакия полости рта 2.12. Лейкоплакия вульвы Плоскоклеточный рак кожи 3.1. Патогенез плоскоклеточного рака кожи 3.2. Плоскоклеточный рак in situ 3.2.1. Болезнь Боуэна 3.2.2. Эритроплазия Кейра 3.3. Инфильтрирующий плоскоклеточный рак кожи 3.3.1. Гистологические варианты плоскоклеточного рака кожи 3.4. Лечение плоскоклеточного рака кожи 3.5. Особые формы плоскоклеточного рака наружных локализаций 3.5.1. Плоскоклеточный рак губы 3.5.2. Плоскоклеточный рак полости рта 3.5.3. Плоскоклеточный рак языка 3.5.4. Плоскоклеточный рак полового члена 3.5.5. Плоскоклеточный рак вульвы Базальноклеточный рак 4.1. Патогенез 4.2. Эпидемиология Мужчины Женщины 4.3. Клиническая картина 4.3.1. Нодупярный базальноклеточный рак 4.3.2. Поверхностный базальноклеточный рак 4.3.3. Склеродермоподобный базальноклеточный рак 4.3.4. Фиброэпителиома Пинкуса 4.4. Гистологическая картина 4.4.1. Поверхностный мультифокальный базальноклеточнаый рак 4.4.2 Узловой базальноклеточный рак 4.4.3. Инфильтрирующий базальноклеточный рак 4.4.4. Фиброэпителиома Пинкуса 4.4.5. Базальноклеточный рак с дифференцировкой в сторону придатков 4.4.6. Базосквамозный рак 4.4.7. Ороговевающая базальноклеточная карцинома 4.4.8. Пигментный базальноклеточный рак 4.4.9. Базальноклеточная карцинома при синдроме невоидного базальноклеточного рака 4.4.10. Микронодулярный базальноклеточный рак 4.5. Течение и прогноз 4.6. Лечение 4.7. Профилактика 4.7.1. Активное выявление и вопросы диспансеризации 4.7.2. Первичная профилактика 4.7.3. Вторичная профилактика Метатипический рак кожи 5.1. Историческая справка 5.2. Этиология, патогенез 5.3. Распространенность 5.4. Клиническая картина 5.5. Патогистология 5.6. Течение и прогноз; диагностика и лечение Болезнь Педжета 6.1. Маммарная болезнь Педжета 6.2. Экстрамаммарная болезнь Педжета ОПУХОЛИ ПРИДАТКОВ КОЖИ Опухоли эккринных потовых желез 1.1. Доброкачественные опухоли эккринных потовых желез 1.1.1. Невусы эккринных потовых желез 1.1.1.1. Эккринный ангиоматозный невус 1.1.1.2 Линейный эккринный невус с комедонами 1.1.1.3. Порокератотический невус эккринного протока и волосяного фолликула 1.1.2. Цилиарная киста 1.1.3. Гидрокистома (эккринная цистаденома) 1.1.4. Папиллярная эккринная аденома 1.1.5. Сирингома 1.1.6. Смешанная опухоль кожи (хондроидная сирингома) 1.1.7. Эккринная порома 1.1.8. Сирингофиброаденома 1.1.9. Нодулярная гидроаденома 1.1.10. Эккринная спираденома 1.1.11. Цилиндрома 1.2 Злокачественные опухоли эккринных потовых желез 1.2.1. Склерозирующий рак протоков потовых желез 1.2.2. Злокачественная смешанная опухоль кожи (злокачественная хондроидная сирингома) 1.2.3. Порокарцинома 1.2.4. Злокачественная нодулярная пщроадснома 1.2.5. Злокачественная эккринная спираденома 1.2.6. Муцинозный эккринный рак 1.2.7. Аденоидно-кистозный эккринный рак 1.2.8. Злокачественная цилиндрома 1.2.9. Агрессивная папиллярная аденома/аденокарцинома пальцев Опухоли апокринных потовых желез 2.1. Доброкачественные опухоли апокринных потовых желез 2.1.1. Апокринная цистаденома (гидрокистома) 2.1.2. Гидраденома папиллиформная 2.1.3. Сирингоцистаденома папиллиформная 2.1.4. Апокринная аденома 2.2. Злокачественные опухоли апокринных потовых желез 2.2.1. Апокринная аденокарцинома Опухоли сальных желез 3.1. Доброкачественные опухоли сальных желез 3.1.1. Аденома и эпителиома сальных желез (себоцейная аденома, эпителиома) 3.1.2. Аденома сальных желез при болезни Прингля—Бурневилля 3.1.3. Аденома сальных желез старческая Гиршфельда 3.2. Злокачественные опухоли сальных желез 3.2.1. Себоцейная карцинома Пиюсебоцейные гиперплазии и гамартомы 4.1. Фолликулярные невусы 4.1.1. Истинный волосяной невус 4.1.2. Шерстяной невус 4.1.3. Комедоновый невус 4.1.4. Базальноклеточный невус с комедонами 4.1.5. Волосяная мальформация ладоней и подошв 4.1.6. Монилиформная гамартома 4.1.7. Невус Беккера 4.2. Себоцейный невус 4.2.1. Невус сальных желез Ядассона 4.2.2. Синдром Шиммельпеннинга-Фейерштейна-Мимса Опухоли волосяных фолликулов 5.1. Доброкачественные опухоли волосяных фолликулов 5.1.1. Коническая акантома воронки волосяного фолликула 5.1.2 Акантома волосяного влагалища 5.1.3. Трихолеммома 5.1.4. Опухоль фолликулярной воронки 5.1.5. Трихоэпителиома 5.1.6. Десмопластическая трихоэпителиома 5.1.7. Трихофолликулома 5.1.8. Пиломатриксома 5.1.9. Волосяная опухоль (пролиферирующая трихолеммальная киста) 5.2. Злокачественные опухоли волосяных фолликулов. 5.2.1. Трихолеммокарцинома 5.2.2. Злокачественная пиломатриксома Фолликулярные кисты 6.1. Инфундибулярная киста 6.1.1. Эпидермальная киста мошонки 6.1.2. Вторичная эпидермальная киста 6.1.3. Травматические эпителиальные кисты 6.1.4. Милиум 6.2. Волосяная киста 6.3. Стеатокистомы множественные 6.4. Дермоидная киста 6.5. Эруптивная велюсная волосяная киста Опухоли пилосебоцейной мезенхимы 7.1. Фолликулярная фиброма (триходискома, фиброфолликулома, перифолликулярная фиброма) 7.1.1. Триходискома 7.1.2. Фиброфолликулома 7.1.3. Перифолликулярная фиброма КОЖНЫЕ ЛИМФОПРОЛИФЕРАТИВНЫЕ ОПУХОЛИ Патогенез злокачественных лимфом кожи 1.1. Механизмы патогенеза злокачественных лимфом кожи Классификации злокачественных лимфом кожи Кчинические проявления и диагностика основных нозологических форм злокачественных лимфом кожи 3.1. Общая характеристика злокачественных лимфом кожи, 3.2. Клинико-морфологическая характеристика больных Т-клеточной злокачественной лимфомой кожи. 3.2.1. Грибовидный микоз 3.2.1.1. Классическая форма грибовидного микоза 3.2.1.2. Эритродермическая форма грибовидного микоза 3.2.2. Синдром Сезари 3.2.3. Опухолевые формы Т-клеточной злокачественной лимфомы кожи 3.2.4. Лимфоматоидный папулез 3.2.5. Фолликулярный муциноз 3.2.6. Ангиоцентрическая лимфома кожи 3.2.7. Педжетоидный ретикулез 3.2.8. Гранулематозная складчатая кожа (Granulomatosis slack skin) 3.3. Клинико-морфологическая характеристика В-клеточных злокачественных лимфом кожи. 3.3.1. Лимфома из клеток фолликулярного центра (.мелко- и крупноклеточная) 3.3.2. Иммуноцитома 3.3.3. Плазмоцитома 3.3.4. Лимфома из мантийных (центродитарных) клеток 3.3.5. В-клеточная злокачественная лимфома кожи из клеток маргинальной зоны 3.3.6. Крупноклеточная В-клеточная злокачественная лимфома кожи Псевдолимфомы 4.1. Актинический ретикулоид 4.2. Бляшечный парапсориаз. 4.3. Псевдолимфомы, обусловленные химическими факторами (синдром псевдолимфомы) 4.4. Лимфоцитарная инфильтрация Иесснера—Канофа 4.5. Лимфоцитарная реакция на укусы насекомых 4.6. Доброкачественная лимфоплазия кожи. 4.7. Болезнь Кимуры 4.8. К вопросу о трансформации доброкачественных воспалительных дерматозов в злокачественные лимфомы кожи. Лечение злокачественных лимфом кожи 5.1. Применение кортикостероидных препаратов в терапии больных ЗЛК 5.2. Химиотерапевтическое лечение 5.3. Иммунотропная терапия 5.4. Фотохимиотерапия. 5.5. Ретиноипы 5.6. Лучевая терапия 5.7. Дезинтоксикационная и противовоспалительная терапия 5.8. Тактика диспансерного наблюдения больных ЗЛК Мастоцитоз Поражения кожи при других системных лимфопролиферативных заболеваниях 7.1. Поражения кожи при гистиоцитозе X 7.2. Лимфогранулематоз кожи. 7.3. Поражения кожи при лейкемиях ОПУХОЛИ ДЕРМЫ И ПОДКОЖНОЙ ЖИРОВОЙ КЛЕТЧАТКИ Сосудистые опухоли и пороки развития 1.1. Сосудистые аномалии 1.1.1. Сосудистые мальформации 1.1.1.1. Капиллярные мальформации Невус Унны Пламенеющий невус Синдром Стурджа—Вебера—Краббе Синдром Кобба Синдром Протея Синдром Робертса Синдром тромбоцитопении Синдром Вайберн-Масона Bregeat синдром Болезнь Гиппеля—Линдау Синдром Видеммана—Беквита Анемический (олигемический) невус 1.1.1.2. Смешанные сосудистые мальформации Ретикулярный сосудистый невус Синдром Диври—Ван Богарта Синдром Клиппеля—Тренонея^Вебера 1.1.1.3. Венозные мальформации Голубой пузырчатый невус Синдром Маффуччи Зостериформпые венозные мальформации Болезнь Горхема Синдром Баннайана-Зонана Синдром Райли-Смита 1.1.2. Ангиокератомы Ангиокератома ограниченная Ангиокератома ограниченная невоидная пальцев Мибелли Ангиокератома солитарная папулезная Ангиокератома мошонки (вульвы) Фордайса Ангиокератома Фабри Лимфангиэктазы 1.1.3. Ангиоматозный невус 1.2. Сосудистые гиперплазии 1.2.1. Ангиолимфоидная гиперплазия с эозинофилией 1.2.2. Пиогенная гранулема 1.2.3. Бациллярный ангиоматоз 1.2.4. Внутри сосудистая папиллярная эндотелиапьная гиперплазия 1.2.5. Псевдосаркома Капоши 1.3. Доброкачественные сосудистые опухоли 1.3.1. Ангиома серпигинозная Крокера-Гетчинсона 1.3.2. Ангиома старческая 1.3.3. Акральная артериовенозная гемангиома 1.3.4. Мишенеподобная гемосидеротическая гемангиома 1.3.5. Микровенулярная гемангиома 1.3.6. Приобретенная пучковая ангиома 1.3.7. Клубочковая гемангиома 1.3.8. Капошиформная гемангиоэндотелиома 1.3.9. Синусоидальная гемангиома 1.3.10. Врожденная инфильтрирующая гигантоклеточная ангиобластома 1.3.11. Веретеноклеточная гемангиоэндотелиома 1.3.12. Гломусная опухоль 1.4. Злокачественные сосудистые опухоли 1.4.1. Ангиосаркома 1.4.2. Саркома Капоши 1.4.3. Гемангиоперицитома 1.4.4. Другие злокачественные опухоли сосудов 1.4.4.1. Эпителиоидная гемангиоэндотелиома 1.4.4.2. Опухоль Дабска . 1.4.4.3. Ретиформная гемангиоэндотелиома 1.4.4.4. Злокачественная гломусная опухоль 1.5. Доброкачественные опухоли лимфатических сосудов 1.5.1. Лимфангиома 1.5.2. Доброкачественная лимфангиоэндотелиома 1.6. Злокачественные опухоли лимфатических сосудов 1.6.1. Лимфангиосаркома (злокачественная лимфангиоэндотелиома) Глава 2. Опухоли и опухолевидные образования из волокнистой соединительной ткани 2.1. Доброкачественные фиброгистиоцитарные опухоли 2.1.1. Фиброма 2.1.2. Доброкачественная фиброзная гистиоцитома 2.1.3. Гигантоклеточная ангиогистиоцитома 2.1.4. Дерматомиофиброма 2.1.5. Доброкачественная (ювенильная) ксантогранулема 2.1.6. Ретикулогистиощггома 2.1.7. Ксантома 2.2. Злокачественные фиброгистиоцитарные опухоли 2.2.1. Атипичная фиброксантома 2.2.2. Выбухающая дерматофибросаркома 2.2.3. Гигантоклеточная фибробластома 2.2.4. Злокачественная фиброзная гистиоцитома 2.2.5. Фибросаркома 2.3. Ангиофиброматозные пролиферации 2.3.1. Аденома sebaceum 2.3.2. Фиброзная папула 2.3.3. Перифолликулярная фиброма 2.3.4. Множественные фиброфолликуломы 2.4. Мезенхимальные опухоли пальцев 2.4.1. Фиброма пальцев 2.4.2. Приобретенная (пальцевая) фиброкератома 2.4.3. Синовиальная киста 2.4.4. Кожная метапластическая синовиальная киста 2.5. Плексиформные фиброгистиоцитарные опухоли 2.5.1. Узловатый псевдосаркоматозный фасциит 2.5.2. Гигантоклеточная опухоль влагалища сухожилий 2.5.3. Десмоид Мезенхимальные пороки развития кожи 3.1. Соединительнотканные невусы 3.1.1 Соединительнотканные невусы с увеличением коллагена 3.1.2. Соединительнотканные невусы с увеличением эластина 3.1.3. Соединительнотканные невусы с уменьшением эластина 3.1.4. Соединительнотканные невусы с уменьшением коллагена и эластина 3.1.5. Соединительнотканные невусы с увеличением коллагена и эластина 3.2. Гладкомы шечные гамартомы 3.3. Врожденные поперечнополосатомышечные мезенхимальные гамартомы 3.4. Липомато ные невусы 3.5. Фиброзная гамартома младенцев Опухоли из нервной ткани 4.1. Доброкачественные опухоли из нервной ткани 4.1.1. Нейрофиброма 4.1.2. Неврилеммома 4.1.3. Зернистоклеточная опухоль 4.1.4. Дермальная миксома нервных оболочек и нейротекома 4.1.5. Палисадная инкапсулированная неврома 4.1.6. Пачиниева нейрофиброма 4.2. Злокачественные опухоли из нервной ткани 4.2.1. Злокачественная шваннома 4.2.2. Злокачественная зернистоклеточная опухоль 5.1. Доброкачественные опухоли мышечной ткани 5.1.1. Лейомиомы из мышц, поднимающих полос Опухоли мышечной ткани 5.1.2. Ангиолейомиома 5.2. Злокачественные опухоли мышечной ткани 5.2.1. Поверхностная лейомиосаркома 5.2.2. Лейомиосаркома 5.2.3. Кожная рабдомиосаркома Опухоли жировой ткани 6.1. Доброкачественные опухоли жировой ткани 6.1.1. Липома 6.1.2. Ангиолипома 6.1.3. Кожная ангиомиолипома 6.1.4. Гибернома 6.2. Злокачественные опухоли жировой ткани 6.2.1. Липосаркома Опухоли неясного генеза 7.1. Кожная ангиомиксома 7 2. Меркелиома 7.3. Десмогшастическая мелкоклеточная опухоль детей и молодых людей 7.4. Светлоклеточная саркома (злокачественная меланома мягких тканей) 7.5. Альвеолярная саркома мягких тканей 7.6. Эпителиоидная саркома ОПУХОЛИ КОЖИ ПРИ ГЕНЕТИЧЕСКИХ СИНДРОМАХ. ПАРАНЕОПЛАСТИЧЕСКИЕ ДЕРМАТОЗЫ Опухоли кожи при генетических синдромах 1.1. Первичные иммунодефицитные состояния 1.2. Синдромы, ассоциированные с полипозом желудочно-кишечного тракта 1.3. Синдромы, связанные с хромосомной нестабильностью Паранеопластические дерматозы 2.1. Облигатные паранеопластические дерматозы 2.2. Факультативные паранеопластические дерматозы 2.3. Вероятные паранеопластические дерматозы
Акантома волосяного влагалища. Трихолеммома.
Keratinocytic/epidermal tumours (Опухоли из кератиноцитов и эпидермиса)
- Carcinomas (Рак кожи)
- Basal cell carcinoma (Рак базальноклеточный) 8090/2
- Nodular basal cell carcinoma (Рак базальноклеточный узловой) 8097/3
- Superficial basal cell carcinoma (Рак базальноклеточный поверхностный) 8091/3
- Micronodular basal cell carcinoma (Рак базальноклеточный микроузелковый) 8097/3
- Infiltrating basal cell carcinoma (Рак базальноклеточный инфильтрирующий) 8092/3
- Sclerosing/morphoeic basal cell carcinoma (Рак базальноклеточный склерозирующий, морфеаподобный) 8092/3
- Basosquamous carcinoma (Рак базально-плоскоклеточный,метатипический) 8094/3
- Pigmented basal cell carcinoma (Рак базальноклеточный пигментный) 8090/3
- Basal cell carcinoma with sarcomatoid differentiation (Рак базальноклеточный с саркоматоидной дифференцировкой) 8092/3
- Basal cell carcinoma with adnexal differentiation (Рак базальноклеточный с придатковой дифференцировкой) 8090/3
- Fibroepithelial basal cell carcinoma (Рак базальноклеточный фиброэпителиальный Пинкуса) 8093/3
- Keratoacanthoma (Рак плоскоклеточный по типу кератоакантомы) 8071/3
- Acantholytic squamous cell carcinoma (Рак плоскоклеточный акантолитический) 8075/3
- Spindle cell squamous cell carcinoma (Рак плоскоклеточный веретеноклеточный) 8074/3
- Verrucous squamous cell carcinoma (Рак плоскоклеточный веррукозный) 8051/3
- Adenosquamous carcinoma (Рак плоскоклеточный железисто-плоскоклеточный) 8560/3
- Clear cell squamous cell carcinoma (Рак плоскоклеточный светло-клеточный) 8084/3
- Other (uncommon) variants (Другие редкие варианты)
- Squamous cell carcinoma with sarcomatoid differentiation (Рак плоскоклеточный с саркоматоидной дифференцировкой) 8074/3
- Lymphoepithelioma-like carcinoma (Рак подобный лимфоэпителиоме) 8082/3
- Pseudovascular squamous cell carcinoma (Рак плоскоклеточный псевдососудистый) 8074/3
- Squamous cell carcinoma with osteoclast-like giant cells (Рак плоскоклеточный с подобными остеокластам гигантскими клетками) 8035/3
- Premalignant keratoses (Предраковые кератозы) 8070/0
- Actinic keratosis (Актинический кератоз) 8070/0
- Arsenical keratosis (Кератоз мышьяковый) 8070/0
- PUVA keratosis (ПУВА кератоз)
- Verruca vulgaris (Вульгарные бородавки)
- Verruca plantaris (Подошвенные бородавки)
- Verruca plana (Плоские бородавки)
- Seborrhoeic keratosis (Себорейный кератоз) 8052/0
- Solar lentigo (Солнечное лентиго) 8052/0
- Lichen planus–like keratosis (Лишаеподобный кератоз) 8052/0
- Clear cell acanthoma (Светлоклеточная акантома) 8084/0
- Large cell acanthoma (Крупноклеточная акантома) 8072/0
- Warty dyskeratoma (Бородавчатая дискератома) 8054/0
- Other benign keratoses (Другие доброкачественные кератозы) 8052/0
Melanocytic tumours (Меланоцитарные опухоли)
- Melanocytic tumours in intermittently sun-exposed skin (Меланоцитарные опухоли в коже, периодически подвергаемой воздействию солнца)
- Low-CSD melanoma (superficial spreading melanoma) (Поверхностно распространяющаяся меланома) 8743/3
- Simple lentigo and lentiginous melanocytic naevus (Простое лентиго и лентигинозные меланоцитарные невусы) 8742/0
- Junctional naevus (Пограничный невус) 8740/0
- Сompound naevus (Сложный невус) 8760/0
- Dermal naevus (Дермальный невус) 8750/0
- Dysplastic naevus (Диспластический невус) 8727/0
- Naevus spilus (Рассыпной невус) 8720/0
- Special-site naevi (of the breast, axilla, scalp, and ear) (Топографо-специфический невус: молочной железы,подмышек,волосистой части головы и ушной раковины)
- Halo naevus (Гало невус) 8723/0
- Meyerson naevus (Невус Мейерсона) 8720/0
- Recurrent naevus (Рецидивный невус)
- Deep penetrating naevus and melanocytoma (Глубокопенетрирующий невус и меланоцитома) 8720/0
- Pigmented epithelioid melanocytoma (Пигментная эпителиоидная меланоцитома) 8780/1
- Combined naevus, including combined BAP1-inactivated naevus / melanocytoma (Комбинированный невус) 8720/0
- Lentigo maligna melanoma (Злокачественное лентиго-меланома) 8742/3
- Desmoplastic melanoma (Десмопластическая меланома) 8745/3
- Malignant Spitz tumour (Spitz melanoma) (Шпитц меланома) 8770/3
- Spitz naevus (Невус Шпитц) 8770/0
- Pigmented spindle cell naevus (Reed naevus) (Пигментированный веретеноклеточный невус Рида) 8770/0
- Acral melanoma (Акральная меланома) 8774/3
- Acral naevus (Акральный невус) 8774/0
- Mucosal melanomas (genital: oral, sinonasal) (Меланомы слизистых: генитальная,оральная,синусоназальная) 8720/3
- Mucosal lentiginous melanoma (Лентигинозная меланома слизистых) 8746/3
- Mucosat nodular melanoma (Узловая меланома слизистых) 8721/3
- Genitial naevus (Генитальный невус) 8720/0
- Melanoma arising in blue naevus (Меланома из голубого невуса) 8780/3
- Blue naevus (Голубой невус) 8780/0
- Cellular blue naevus (Клеточный голубой невус) 8790/0
- Mongolian spot (Монгольское пятно)
- Naevus of Ito (Невус Ито)
- Naevus of Ota (Невус Ота)
- Melanoma arising in giant congenital naevus (Меланома из гигантского врожденного невуса) 8761/3
- Congenital melanocytic naevus (Врожденный меланоцитарный невус) 8761/0
- Proliferative nodules in congenital melanocytic naevus ( Пролиферативные узлы во врожденном меланоцитарном невусе) 8762/1
- Uveal melanoma (Увеальная меланома)
- Epithelioid cell melanoma (Эпителиоидноклеточная меланома) 8771 /3
- Spindle cell melanoma, type A (Веретеноклеточная меланома типа А) 8773/3
- Spindle cell melanonia, type B (Веретеноклеточная меланома типа В) 8774/3
- Melanoma NOS (Меланома NOS) 8720/3
- Nodular melanoma (Узловая меланома) 8721/3
- Naevoid melanoma (Невоидная меланома) 8720/3
- Metastatic melanoma (Метастатическая меланома) 8720/6
Appendageal tumours (Опухоли из придатков кожи)
- Malignant tumours with apocrine and eccrine differentiation (Злокачественные эккринные и апокринные опухоли)
- Adnexal adenocarcinoma not otherwise specified (Аднексальная аденокарцинома) 8390/3
- Microcystic adnexal carcinoma (Микрокистозная карцинома из придатков) 8407/3
- Porocarcinoma (Порокарцинома) 8409/3
- Malignant neoplasms arising from spiradenoma,cylindroma, or spiradenocylindroma (Злокачественные опухоли из спираденомы,цилиндромы или спираденоцилиндромы) 8403/3
- Malignant mixed tumour (Злокачественная смешанная опухоль) 8940/3
- Hidradenocarcinoma (Гидроаденокарцинома) 8402/3
- Mucinous carcinoma (Муцинозная карцинома) 8480/3
- Endocrine mucin-producing sweat gland carcinoma (Эндокринная муцин-продуцирующая карцинома потовых желез) 8509/3
- Digital papillary adenocarcinoma (Пальцевая папиллярная карцинома) 8408/3
- Adenoid cystic carcinoma (Аденокистозная карцинома) 8200/3
- Apocrine carcinoma (Апокриновая карцинома) 8401/3
- Squamoid eccrine ductal carcinoma (Сквамозная карцинома эккринных протоков) 8560/3
- Syringocystadenocarcinoma papilliferum (Сирингоцистоаденоарцинома сосочковая) 8406/3
- Secretory carcinoma (Секреторная карцинома) 8502/3
- Cribriform carcinoma (Решетоподобная карцинома) 8201/3
- Signet-ring cell/histiocytoid carcinoma (Перстневидноклеточная/гистиоцитоидная карцинома) 8490/3
- Hidrocystoma/cystadenoma (Гидроцистома) 8404/0
- Syringoma (Сирингома) 8407/0
- Poroma (Порома) 8409/0
- Syringofibroadenoma (Сирингофиброаденома) 8392/0
- Hidradenoma (Гидроаденома) 8402/0
- Spiradenoma (Спироаденома) 8403/0
- Cylindroma (Цилиндрома) 8200/0
- Tubular adenoma (Тубулярная аденома) 8211/0
- Syringocystadenoma papilliferum (Сирингоцистоаденома сосочковая) 8406/0
- Mixed tumour (Смешанная опухоль-хондроидная сирингома) 8940/0
- Myoepithelioma (Миоэпителиома) 8982/0
- Pilomatrical carcinoma (Пиломатрикальная карцинома) 8110/3
- Proliferating trichilemmal tumour (Пролиферирующая трихолемальная опухоль) 8103/1
- Trichoblastic carcinoma/carcinosarcoma (Трихобластная карцинома / карциносаркома) 8100/3
- Trichilemmal carcinoma (Трихолемальная карцинома) 8102/3
- Trichoblastoma (Трихобластома) 8100/0
- Pilomatricoma (Пиломатриксома) 8110/0
- Trichilemmoma (Трихолеммома) 8102/0
- Trichofolliculoma (Трихофолликулома) 8101/0
- Pilar sheath acanthoma (Акантома волосяного влагалища) 8104/0
- Tumour of the follicular infundibulum (Опухоль фолликулярной воронки) 8104/0
- Melanocytic matricoma (Меланоцитарная матрикома) 8110/0
- Spindle cell–predominant trichodiscoma (Триходискома с преобладанием веретенообразных клеток) 8391/0
- Sebaceous carcinoma (Сальная карцинома) 8410/3
- Sebaceous adenoma (Сальная аденома) 8410/0
- Sebaceoma (Себоцистома) 8410/0
- Mammary Paget disease (Болезнь Педжета молочной железы) 8540/3
- Extramammary Paget disease (Экстрамаммарная болезнь Педжета) 8542/3
- Adenocarcinoma of anogenital mammary-like glands (Аденокарцинома аногенитальных молочно-подобных желез) 8500/3
- Hidradenoma papilliferum (Гидроаденома сосочковая) 8405/0
- Fibroadenoma of anogenital mammary-like glands (Фиброаденома аногенитальных молочно-подобных желез) 9010/0
- Phyllodes tumour of anogenital mammary-like glands (Филлоидная опухоль аногенитальных молочно-подобных желез) 9020/0
Tumours of haematopoietic and lymphoid origin (Опухоли кроветворного и лимфоидного происхождения)
Soft tissue and neural tumours (Опухоли мягких тканей и нервов)
- Adipocytic tumours (Жировые опухоли)
- Atypical lipomatous tumour (Атипичная липоматозная опухоль) 8850/1
- Dedifferentiated liposarcoma (Дедифференцированная липосаркома) 8858/3
- Pleomorphic liposarcoma (Плеоморфная липосаркома) 8854/3
- Lipoma (Липома) 8850/0
- Spindle cell/pleomorphic lipoma (Веретеноклеточная/плеоморфная липома) 8857/0
- Angiolipoma (Ангиолипома) 8861/0
- Naevus lipomatosus superficialis (Невус липоматозный поверхностный)
- Myxoinflammatory fibroblastic sarcoma (Миксовоспалительная фибробластическая саркома) 8811/1
- Dermatofibrosarcoma protuberans (Дерматофибросаркома выбухающая) 8832/1
- Giant cell fibroblastoma (Гигантоклеточная фибробластома) 8834/1
- Bednar tumour (Опухоль Беднара) 8833/1
- Fibrosarcomatous dermatofibrosarcoma protuberans (Фибросаркоматозная выбухающая дерматофибросаркома)8832/3
- Plexiform fibrohistiocytic tumour (Плексиформная фиброгистиоцитарная опухоль) 8835/1
- Superficial fibromatosis (Поверхностный фиброматоз) 8813/1
- Dermatofibroma (fibrous histiocytoma) (Дерматофиброма) 8832/0
- Epithelioid fibrous histiocytoma (Эпителиоидная фиброзная гистиоцитома) 8830/0
- Fibromas (Фибромы)
- Fibroma of tendon sheath (Фиброма сухожильного влагалища) 8813/0
- Calcifying aponeurotic fibroma (Фиброма апоневротическая кальцифицированная) 8816/0
- Sclerotic fibroma (Склеротическая фиброма) 8823/0
- Nuchal-type fibroma (Фиброма затылочного типа) 8810/0
- Gardner fibroma (Фиброма Гарднера) 8810/0
- Pleomorphic fibroma (Плеоморфная фиброма) 8832/0
- Elastofibroma (Эластофиброма) 8820/0
- Collagenous fibroma (Коллагеновая фиброма) 8810/0
- Cutaneous leiomyomas (Лейомиома из клеток, поднимающих волос) 8890/0
- Cutaneous leiomyosarcoma (atypical smooth muscle tumour) (Кожная лейомиосаркома) 8897/1
- Glomus tumour (Гломус опухоль) 8711/0
- Glomuvenous malformation (glomangiomyoma) (Гломангиомиома) 8713/0
- Glomus tumour of uncertain malignant potential (Гломус опухоль с неопределенным злокачественным потенциалом) 8711/1
- Malignant glomus tumour (Злокачественная гломус-опухоль) 8711/3
- Cutaneous angiosarcoma (Кожная ангиосаркома) 9120/3
- Haemangioendotheliomas (Гемангиоэндотелиомы)
- Composite haemangioendothelioma (Композитная гемангиоэндотелиома) 9136/1
- Kaposiform haemangioendothelioma (Капошиформная гемангиоэндотелиома) 9130/1
- Pseudomyogenic haemangioendothelioma (Псевдомиогенная гемангиоэндотелиома) 9138/1
- Retiform haemangioendothelioma (Сетевидная гемангиоэндотелиома) 9136/1
- Epithelioid haemangioendothelioma (Эпителиоидная гемангиоэндотелиома) 9133/3
- Kaposi sarcoma (Саркома Капоши) 9140/3
- Atypical vascular lesion (Атипичные сосудистые поражения) 9126/0
- Cutaneous epithelioid angiomatous nodule (Узел кожный эпителиоидный ангиоматозный) 9125/0
- Cherry haemangioma (Вишневая гемангиома) 9120/0
- Sinusoidal haemangioma (Синусоидальная гемангиома) 9120/0
- Microvenular haemangioma (Микровенулярная гемангиома) 9120/0
- Hobnail haemangioma (Гемангиома мишеневидная гемосидерозная) 9120/0
- Glomeruloid haemangioma (Гломерулоидная гемангиома) 9120/0
- Spindle cell haemangioma (Веретеноклеточная гемангиома) 9120/0
- Epithelioid haemangioma (Эпителиоидная гемангиома) 9125/0
- Tufted haemangioma (Пучковая гемангиома) 9161/0
- Angiokeratoma (Ангиокератома) 9141/0
- Infantile haemangioma (Гемангиома младенцев) 9131/0
- Rapidly involuting congenital haemangioma (Быстро разрешающаяся врожденная гемангиома) 9131/0
- Non-involuting congenital haemangioma (Не-разрешающаяся врожденная гемангиома) 9131/0
- Lobular capillary haemangioma (Пиогенная гранулема) 9131/0
- Verrucous venous malformation (Бородавчатая венозная мальформация) 9142/0
- Arteriovenous malformation (Мальформация артериовенозная) 9123/0
- Neurofibroma (Нейрофиброма) 9540/0
- Solitary circumscribed neuroma (Ограниченная солитарная нейрофиброма) 9570/0
- Dermal nerve sheath myxoma (Миксома нервных оболочек) 9562/0
- Perineurioma (Периневрома) 9571/0
- Malignant perineurioma (Злокачественная периневрома) 9571/3
- Granular cell tumour (Зернистоклеточная опухоль) 9580/0
- Malignant granular cell tumour (Злокачественная зернистоклеточная опухоль) 9580/3
- Schwannoma (Шваннома) 9560/0
- Malignant peripheral nerve sheath tumour (Злокачественная шванома) 9540/3
- Epithelioid malignant peripheral nerve sheath tumour (Эпителиоидная злокачественная опухоль оболочки периферического нерва) 2542/3
- Malignant triton tumour (Злокачественная тритон-опухоль) 2561/3
- Atypical fibroxanthoma (Фиброксантома атипичная) 8830/1
- Pleomorphic dermal sarcoma (Плеоморфная дермальная саркома) 8802/1
- Myxofibrosarcoma (Миофибросаркома) 8811/3
- Epithelioid sarcoma (Эпителиоидная саркома) 8804/3
- Dermal clear cell sarcoma (Дермальная светлоклеточная саркома) 9044/3
- Ewing sarcoma (Саркома Юинга) 9364/3
- Primitive non-neural granular cell tumour (Примитивная не-нервная зернисто-клеточная опухоль) 8990/1
- Cellular neurothekeoma (Клеточная невротекеома) 9562/0
Inherited tumour syndromes associated with skin malignancies (Наследственные опухолевые синдромы, связанные со злокачественными новообразованиями кожи)
Читайте также:
- Basal cell carcinoma (Рак базальноклеточный) 8090/2
