ВИЧ-ассоциированная нефропатия
Добавил пользователь Евгений Кузнецов Обновлено: 13.12.2025
ВИЧ-ассоциированная нефропатия (ВИЧАН) относится к заболевание почек развивается в связи с инфекцией Вирус иммунодефицита человека, вирус, вызывающий СПИД. Наиболее распространенный, или «классический», тип ВИЧ-ассоциированной нефропатии - коллапс. очаговый сегментарный гломерулосклероз (ФСГС), хотя могут встречаться и другие формы заболевания почек. [1] Независимо от основного гистология, заболевание почек у ВИЧ-инфицированных связано с повышенным риском смерти. [2]
ВИЧAN может быть вызван прямым инфицированием клеток почек ВИЧ с последующим повреждением почек из-за продуктов вирусных генов. Это также могло быть вызвано выпуском цитокины во время ВИЧ-инфекции. Обычно возникает только при запущенной стадии ВИЧ-инфекции, и примерно у 80% пациентов с ВИЧАН есть CD4 количество менее 200. ВИЧАН представляет нефротический синдром и прогрессивный почечная недостаточность. Несмотря на то, что они являются причиной хронической почечной недостаточности, размеры почек обычно нормальные или большие.
Содержание
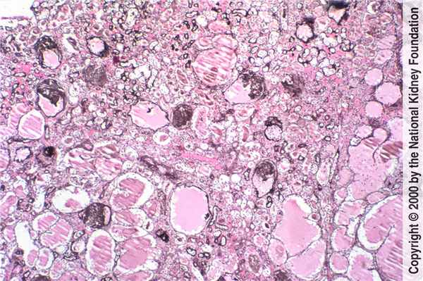
Патология
Аномалии затрагивают все компоненты нефрон. Типичными находками являются коллапс капиллярных петель, области рубцевания, называемые фокальным сегментарным гломерулосклерозом (ФСГС ), микрокистозная дилатация канальцев, которая является высокоэхогенной, и выступающие подоциты.
Характерным признаком коллапсирующей гломерулопатии является коллапс клубочкового пучка и пролиферация и гиперплазия гломерулярных висцеральных эпителиальных клеток. Прогноз всегда плохой, так как он быстро прогрессирует до хроническая болезнь почек.
Нет адекватных данных из рандомизированных контролируемых исследований.
Лечение с высокоактивная антиретровирусная терапия и ингибиторы ангиотензинпревращающего фермента или же блокаторы рецепторов ангиотензина было показано, что он полезен, и его следует назначать всем пациентам, если не противопоказано иное. Общие ренопротекторные меры и лечение осложнений нефротического синдрома и почечной недостаточности являются дополнительными.
Кортикостероид лечение может быть полезным у пациентов, которые не реагируют на начальное лечение. Есть некоторые свидетельства того, что циклоспорин может быть полезным в отдельных случаях, однако необходимы дальнейшие исследования как стероидов, так и циклоспорина, прежде чем эти типы препаратов можно будет считать стандартным лечением.
Заболеваемость
ВИЧАН - третья по частоте причина терминальной стадии почечная недостаточность среди афроамериканцев и обычно наблюдается у афроамериканских пациентов с ВИЧ по сравнению с другими этническими группами. В США у 12% пациентов, умирающих от СПИДа, гистологически подтвержден ВИЧAN, и заболеваемость среди пациентов со СПИДом во всем мире примерно такая же. Южноафриканское исследование Больница Тигерберг, Стелленбошский университет, показал гистологию ВИЧАН в 33/61 (54%) биопсия выполняется у ВИЧ-положительных пациентов.
ПОРАЖЕНИЯ ПОЧЕК ПРИ ВИЧ-ИНФЕКЦИИ. ЭПИДЕМИОЛОГИЯ, ПОДХОДЫ К КЛАССИФИКАЦИИ, ОСНОВНЫЕ КЛИНИЧЕСКИЕ ФОРМЫ ПРОЯВЛЕНИЯ. Часть 1
Поражения почек и мочевыводящих путей при ВИЧ-инфекции относятся к категории коморбидных состояний, при которых клиническая картина почечного поражения чаще появляется через некоторое время после заражения ВИЧ, значительно снижая качество жизни и становясь важной причиной плохого прогноза и смерти пациентов. Дан анализ эпидемиологии поражения почек при ВИЧ-инфекции, представление о классификации, патогенезе, клинических симптомах, часто встречающихся или наиболее опасных формах заболевания, подходы к диагностике, профилактике и лечению.
Ключевые слова
Об авторах
ГБОУ ВПО «Первый Санкт-Петербургский государственный медицинский университет имени академика И.П.Павлова» ФБУН «Санкт-Петербургский НИИ эпидемиологии и микробиологии имени Пастера» ФГБНУ «Институт экспериментальной медицины»
Россия
д.м.н., профессор кафедры социально-значимых инфекций ГБОУ ВПО «Первый Санкт-Петербургский государственный медицинский университет имени академика И.П.Павлова» МЗ РФ; в.н.с. ФБУН «Санкт-Петербургский научно-исследовательский институт эпидемиологии и микробиологии имени Пастера» Федеральной службы по надзору в сфере защиты прав потребителей и благополучия человека; зав. лабораторией хронических вирусных инфекций отдела экологической физиологии ФГБНУ «Институт экспериментальной медицины»
197376, Санкт-Петербург, ул. Академика Павлова, 12
студентка ФГБОУ ВО «Санкт-Петербургский государственный педиатрический медицинский университет» МЗ РФ
194100, Санкт-Петербург, Литовская ул., 2
Список литературы
1. Беляков Н.А., Рассохин В.В., Трофимова Т.Н., Степанова Е.В., Пантелеев А.М., Леонова О.Н., Бузунова С.А., Коновалова Н.В., Миличкина А.М., Тотолян А.А. Коморбидные и тяжелые формы ВИЧ-инфекции в России // ВИЧ-инфекция и иммуносупрессии. 2016. Т. 8, № 3. С. 9–24. [Belyakov N.A., Rassokhin V.V., Trofimova T.N., Stepanova E.V., Panteleev A.M., Leonova O.N., Buzunova S.A., Konovalova N.V., Milichkina A.M., Totolyan A.A. Comorbid and severe forms of HIV infection in Russia. HIV Infection and Immunosuppressive Disorders, 2016, Vol. 8, No. 3, pp. 9–24 (In Russ.)].
2. Леонова О.Н., Степанова Е.В., Беляков Н.А. Тяжелые и коморбидные состояния у больных с ВИЧ-инфекцией: анализ неблагоприятных исходов // ВИЧ-инфекция и иммуносупрессии. 2017. Т. 9, № 1. С. 55–64. [Leonova O.N., Stepanova E.V., Belyakov N.A. Severe comorbid conditions in patients with HIV infection: analysis of adverse outcomes. HIV Infection and Immunosuppressive Disorders, 2017, Vol. 9, No. 1, pp. 55–64 (In Russ.)].
3. Беляков Н.А., Рассохин В.В., Леонова О.Н., Степанова Е.В., Бобрешова А.С. Интегральная оценка тяжести состояния больного на фоне коморбидности при ВИЧ-инфекции // ВИЧ- инфекция и иммуносупрессии. 2017. Т. 9, № 3. С. 47–53. [Belyakov N.A., Rassokhin V.V., Leonova O.N., Stepanova E.V., Bobreshova A.S. Integral estimation of the patient’ condition severity against the background of comorbidity in HIV infection. HIV Infection and Immunosuppressive Disorders, 2017, Vol. 9, No. 3, pp. 47–53 (In Russ.)].
4. Нефрология: национальное руководство / Под ред. Н.А.Мухина. М.: ГЭОТАР-Медиа, 2009. 720 с. [Nephrology: national manual. Ed. N.A.Mukhina. Moscow: GEOTAR-Media, 2009, 720 p.(In Russ.)].
6. Infectious Disease and Nephrology Region Medscape. 2015, NephMadness.
7. Kimmel P.L., Barisoni L., Kopp J.B. Pathogenesis and treatment of HIV-associated renal diseases: lessons from clinical and animal studies, molecular pathologic correlations, and genetic investigations. Ann. Intern. Med., 2003, No. 139, pp. 214–226 [PubMed].
8. Ющук Н.Д., Волгина Г.В., Томилина Н.А., Гаджикулиева М.М., Кочарян К.А. Нефротоксические эффекты высокоактивной антиретровирусной терапии (Обзор литературы) // Нефрология и диализ. 2010. Т. 12, № 3. С. 154–163. [Yushchuk N.D., Volgina G.V., Tomilina N.A. Gadzhikulieva M.M., Kocharyan K.A. Nephrotoxic effects of highly active antiretroviral therapy (Literature Review). Nephrology and Dialysis, 2010, Vol. 12, No. 3, pp. 154–163 (In Russ.)].
9. Agnes B. Fogo, MD, Mark A. Lusco, MD, Behzad Najafian, MD, and Charles E. Alpers, MD. Eds. AJKD. Atlas of Renal Pathology: HIV-Associated Immune Complex Kidney Disease (HIVICK).
10. Национальные клинические рекомендации «Хроническая болезнь почек у ВИЧ-инфицированных пациентов (причины, диагностика, принципы ведения)» / Г.В.Волгина, M.M.Гаджикулиева. M., 2015. [National clinical guidelines «Chronic kidney disease in HIV-infected patients (causes, diagnosis, principles of management)». Eds. G.V.Volgina, M.M.Gadzhikulieva. Moscow, 2015 (In Russ.)].
11. HIV-1 and Kidney Cells: Better Understanding of Viral Interaction. Joanna Mikulak and Pravin C.; Factors associated with renal dysfunction within an urban HIV-infected cohort in the era of highly active antiretroviral therapy. Ed. E.T.Overton et al. HIV Med., 2009, Vol. 10, pp. 343–350.
12. Abraham A.G., Althoff K.N., Jing Y., Estrella M.M., Kitahata M.M., Wester C.W., Bosch R.J., Crane H., Eron J., Gill M.J., Horberg M.A., Justice A.C., Klein M., Mayor A.M., Moore R.D., Palella F.J., Parikh C.R., Silverberg M.J., Golub E.T., Jacobson L.P., Napravnik S., and Lucas G.M. End-Stage Renal Disease Among HIV-Infected Adults in North America. Clinical Infectious Diseases, 2015, Vol. 60 (6), pp. 941– 949.
13. Bruggeman L.A., Bark С., Kalayjian R.C. HIV and the Kidney. Curr. Infect. Dis. Rep., 2009, Vol. 11 (6), pp. 479–485.
14. Laurinavicius A., Rennke H.G. Collapsing glomerulopathy — a new pattern of renal injury. Semin. Diagn. Pathol., 2002, Vol. 19 (3), pp. 106–115.
15. Kopp J.B., Smith M.W., Nelson G.W., Johnson R.C., Freedman B.I., Bowden D.W., Oleksyk T., McKenzie L.M., Kajiyama H., Ahuja T.S., Berns J.S., Briggs W., Cho M.E., Dart R.A., Kimmel P.L., Korbet S.M., Michel D.M., Mokrzycki M.H., Schelling J.R., Simon E., Trachtman H., Vlahov D., Winkler C.A. MYH9 is a major-effect risk gene for focal segmental glomerulosclerosis. Nat. Genet., 2008, No. 40, pp. 1175–1184.
16. Мухин Н.А., Фомин В.В. ВИЧ-ассоциированная нефропатия: стратегии диагностики и лечения // Клиническая нефрология. 2010. № 4. С. 69–75. [Mukhin N.A., Fomin V.V. HIV- associated nephropathy: strategies for diagnosis and treatment. Clinical Nephrology, 2010, No. 4, pp. 69–75 (In Russ.)].
17. Huber T.B., Reinhardt H.C., Exner M., Burger J.A., Kerjaschki D., Saleem M.A., Pavenstädt H. Expression of functional CCR and CXCR chemokine receptors in podocytes. J. Immunol., 2002, No. 168, pp. 6244–6252 [PubMed].
18. Haraouse J.M, Kunsch C., Hartle H.T., Laughlin M.A., Hoxie J.A., Wigdahl B., Gonzalez-Scarano F. CD4-independent infection of human neural cells by immunodeficiency virus, type 1. J. Virol, 1989, No. 63, pp. 2527–2533 [PMC free article] [PubMed].
19. Tokizawa S., Shimizu N., Hui-Yu L., Deyu F., Haraguchi Y., Oite T., Hoshino H. Infection of mesangial cells with HIV and SIV: identification of GPR1 as a coreceptor. Kidney Int., 2000, No. 58, pp. 607–617 [PubMed].
20. Lucas G.M., Ross M.J., Stock P.G. et al. Executive summary: clinical practice guideline for the management of chronic kidney disease in patients infected with HIV: 2014 update by the HIV Medicine Association of the Infectious Diseases Society of America. Clin. Infect. Dis., 2014, No. 59 (9), pp. 1203–1207.
21. Meneses G.C., Cavalcante M.G., Da Silva Junior G., Martins A.M., Neto R.D., Liborio A., Daher E. Endothelial glycocalyx damage and renal dysfunction in HIV patients receiving combined antiretroviral therapy. AIDS Res. Hum. Retroviruses, 2017, Mar 6.
22. Stokes M.B., Chawla H., Brody R.I. et al. Immune complex glomerulonephritis in patients coinfected with human immunodeficiency virus and hepatitis C virus. Am. J. Kidney Dis., 1997, No. 29, pp. 514–525.
23. Roe J., Campbell L.J., Ibrahim F. et al. HIV care and the incidence of acute renal failure. Clin. Infect. Dis., 2008, No. 47, pp. 242–249.
24. Choi A.I., Li Y., Parikh C., Volberding P.A., Shlipak M.G. Long-term clinical consequences of acute kidney injury in the HIV-infected. Kidney Int., 2010, No. 78 (5), pp. 478–485.
25. Li Y., Shlipak M.G., Grunfeld C., Choi A.I. Incidence and risk factors for acute kidney injury in HIV infection. Am. J. Nephrol., 2012, No. 35 (4), pp. 327–334.
26. Nadkarni G.N., Patel A.A., Yacoub R. et al. The burden of dialysis-requiring acute kidney injury among hospitalized adults with HIV infection: a nationwide inpatient sample analysis. AIDS, 2015, No. 29 (9), pp. 1061–1066.
27. Franceschini N., Napravnik S., Eron J. Jr., Szczech L.A., Finn W.F. Incidence and etiology of acute renal failure among ambulatory HIV infected patients. Kidney Int., 2005, No. 67 (4), pp. 1526–1531.
28. Braun D.L., Kouyos R.D., Balmer B., Grube C., Weber R., Günthard H.F. Frequency and spectrum of unexpected clinical manifestations of primary HIV-1 infection. Clin. Infect. Dis., 2015, May 19.
29. Клинические аспекты ВИЧ-инфекции / Дж.Бартлетт, Дж.Галлант, П.Фам. М.: Р.Валент, 2010. 490 c. [Clinical aspects of HIV infection. Eds. J.Bartlett, J.Gallant, P.Pham. Moscow: R.Valent, 2010, 490 p. (In Russ.)].
30. Wyatt C.M. Acute renal failure in hospitalized patients with HIV: risk factors and impact on in-hospital mortality. AIDS, 2006, Vol. 20 (4), pp. 561–565.
31. Беляков Н.А., Багненко С.Ф., Дубикайтис П.А., Алимов Р.Р., Виноградова Т.Н. Результаты десятилетнего выявления ВИЧ-инфекции в стационаре скорой медицинской помощи // Медицинский академический журнал. 2014. Т. 14, № 2. С. 48–54. [Belyakov N.A., Bagnenko S.F., Dubikaitis P.A., Alimov R.R., Vinogradova T.N. The results of a decade of HIV-infection in the hospital medical emergency. Medical Academic Journal, 2014, Vol. 14, No. 2, pp. 48–54 (In russ.)].
32. Багненко С.Ф., Дубикайтис П.А., Минаева Н.В., Рассохин В.В., Беляков Н.А. Структура обращений ВИЧ-инфицированных больных в стационар скорой помощи // ВИЧ-инфекция и иммуносупрессии. 2011. Т. 3, № 3. С. 81–87. [Bagnenko S.F., Dubikaitis P.A., Minaeva N.V., Rassokhin V.V., Belyakov N.A. The structure of treatment of HIV infected patients in an emergency hospital. HIV Infection and Immunosuppressive Disorders, 2011, Vol. 3, No. 3, pp. 81–87 (In Russ.)].
33. Daudon M., Estepa L., Viard J.P. et al. Urinary stones in HIV-1-positive patients treated with indinavir. Lancet, 1997, Vol. 349, pp. 1294–1295.
34. Colomba C., Siracusa L., Madonia S., Bonura S., Rubino R. Inreversible acute renal failure and cholestatic hepatitis following therapy with indomethacin in a HIV-naive patient with pericarditis: a case report. Infez. Med., 2014, No. 22 (3), pp. 247–249.
35. Lazarus Jeffrey V., Laut K.G., Safreed-Harmon K., Peters L., Johnson M., Fätkenheuer G., Khromova I., Vandekerckhove L., Maciejewska K., Radoi R., Lisa Ridolfo A., Mocroft A. Disparities in HIV clinic care across Europe: Findings from the EuroSIDA clinic survey. BMC Infectious Diseases, 2016, No. 16, pp. 335.
36. Karras A., Lafaurie M., Furco A. et al. Tenofovir-related nephrotoxicity in human immunodeficiency virus-infected patients: three cases of renal failure, Fanconi syndrome, and nephrogenic diabetes insipidus. Clin. Infect. Dis., 2003, Vol. 36 (8), pp. 1070–1073.
37. Mocroft Amanda, Kirk Ole, Reiss Peter, De Wit Stephane, Sedlacek Dalibor, Beniowski Marek, Gatell Jose, Phillips Andrew N., Ledergerber Bruno, Lundgren Jens D. Estimated glomerular filtration rate, chronic kidney disease and antiretroviral drug use in HIV-positive patients. AIDS, 2010, No. 24, pp. 1667–1678.
38. Cirino C.M., Kan V.L. Hypokalemia in HIV patients on tenofovir. AIDS, 2006, No. 20, pp. 1671–1673.
39. Boffa J.J. Stenose atheromateuse de l’artere renale chez le jeune patient VIH. Nephrol. Ther., 2007, Vol. 5, pp. 303.
40. Нефрология. Основы диагностики / Под ред. В.П.Терентьева. Ростов-на-Дону: Феникс, 2003. [Nephrology. Bases of diagnostics. Ed. V.P.Terentyev. Rostov-on-don: Phoenix, 2003 (In Russ.)].
41. Национальные рекомендации по диспансерному наблюдению и лечению больных ВИЧ-инфекцией (клинический протокол). М., 2015. [National guidelines for dispensary observation and treatment of patients with HIV infection (clinical Protocol). Moscow, 2015 (In Russ.)].
42. Clinical Practice Guideline for the Management of Chronic Kidney Disease in Patients Infected With HIV: 2014 Update by the HIV Medicine Association of the Infectious Diseases Society of America.
43. Medapalli R.K., Parikh C.R., Gordon K. et al. Comorbid diabetes and the risk of progressive chronic kidney disease in HIV-infected adults: data from the Veterans Aging Cohort Study. AIDS, 2012, No. 60 (4), pp. 393–399.
44. Mallipattu S.K., Liu R., Zhong Y. et al. Expression of HIV transgene aggravates kidney injury in diabetic mice. Kidney Int., 2013, No. 83 (4), pp. 626–634.
45. Soriano V., Rodriguez-Rosado R., Garcia-Samaniego J. Management of chronic hepatitis С in HIV-infected patients. AIDS, 1999, No. 13, pp. 539–546.
46. Wyatt C.M., Malvestutto C., Coca S.G., Klotman P.E., Parikh C.R. The impact of hepatitis C virus coinfection on HIV-related kidney disease: a systematic review and meta-analysis. AIDS, 2008, No. 22 (14), pp. 1799–1807.
47. Гаджикулиева М.М., Ющук Н.Д., Мартынов Ю.В., Волгина Г.В. Частота маркеров и факторы риска повреждения почек при ВИЧ-инфекции // Здоровье населения и среда обитания. 2011. № 6. С. 33–35. [Gadzhikulieva M.M., Yushchuk N.D., Martynov Yu.V., Volgina G.V. Frequency markers and risk factors of renal damage in HIV infection. Health of the Population and Habitat, 2011, No. 6, pp. 33–35 (In Russ.)].
49. Haydon G.H., Flegg P.J., Blair C.S. et al. The impact of chronic hepatitis С virus infection on HIV disease and progression in intravenous drug users. Eur. J. Gastroenterol. Hepatol., 1998, No. 10 (6), pp. 485–489.
50. Mocroft A., Neuhaus J., Peters L. et al. Hepatitis B and C co-infection are independent predictors of progressive kidney disease in HIV-positive, antiretroviral-treated adults. PLoS One, 2012, No. 7 (7), pp. e40245.
51. Peters L., Grint D., Lundgren J.D. et al. Hepatitis C virus viremia increases the incidence of chronic kidney disease in HIV-infected patients. AIDS, 2012, No. 26 (15), pp. 1917–1926.
52. Lucas G., Jing Y., Sulkowski M. et al. Hepatitis C co-infection and the risk of chronic kidney disease in HIV+ individuals: Does hepatitis C Viremia matter? [Abstract 718]. Conference on Retroviruses and Opportunistic Infections. March 3–6, 2013, Atlanta, Georgia.
53. Miyajima I., Kawaguchi T., Fukami A., Nagao Y., Adachi H., Sasaki S. et al. Chronic HCV infection was associated with severe insulin resistance and mild atherosclerosis: a population-based study in an HCV hyperendemic area. J. Gastroenterol., 2013, No. 48, pp. 93–100. DOI: 10.1007/s00535-012- 0610-3.
54. Коротяев А.И. Медицинская микробиология, иммунология и вирусология, СПб.: СпецЛит, 2002. [Korotyaev A.I. Medical Microbiology, immunology and Virology. Saint-Petersburg: Spetslit, 2002 (In Russ.)].
55. Манина В.В., Старшинова А.А., Пантелеев А.М. Туберкулез и ВИЧ-инфекция: эпидемическая ситуация в России и в мире за последние десять лет, особенности выявления и диагностики // ВИЧ-инфекция и иммуносупрессии. 2017. Т. 9, № 4. С. 7–16. [Manina V.V., Starshinova A.A., Panteleev A.M. Tuberculosis and HIV infection: epidemiological situation in Russia and in the world over the last ten years, particularly for detection and diagnosis. HIV Infection and Immunosuppressive Disorders, 2017, Vol. 9, No. 4, pp. 7–16 (In Russ.)].
56. Туберкулез и ВИЧ-инфекция: ведение больных с коинфекцией / Клинический протокол для Европейского региона ВОЗ (обновленная версия, 2013). Копенгаген, 2013. 52 с. [Tuberculosis HIV: management of patients with coinfection: Clinical Protocol for the Who European region (updated version, 2013). Copenhagen, 2013, 52 p.
57. Global tuberculosis report. Geneva: WHO, 2017.
58. Зимина В.Н., Кошечкин В.А., Кравченко А.В. Туберкулез и ВИЧ-инфекция у взрослых: руководство. М: ГЭОТАР-Медиа, 2014. 222 с. [Zimina V.N., Koshechkin V.A., Kravchenko A.V. Tuberculosis and HIV infection in adults: a guide. Moscow: GEOTAR-Media, 2014, 222 p. (In Russ.)].
59. Быхалов Л.С., Седова Н.Н., Деларю В.В., Богомолова Н.В., Голуб Б.В., Губанова Е.И., Гуров Д.Ю., Даниленко В.И., Замараев В.С., Кашина Н.П., Маланин Д.А., Матвеев О.В., Маслова Е.А., Самусев Р.П., Хлопонин П.А. Причины смерти и патоморфологическая характеристика органов при туберкулезе, ассоциированном с ВИЧ-инфекцией // Вестник ВолГМУ. 2013. № 3 (47). С. 64– 68. [Bykhalov L.S., Sedova N.N., Delarue V.V., Bogomolova N.V., Golub B.V., Gubanova E.I., Gurov D.Yu., Danilenko V.I., Zamaraev V.S., Kashina N.P. Malanin D.A., Matveev O.V., Maslova E.A., Samusev R.P., Khloponin P.A. Causes of death and pathological characteristics of organs in tuberculosis associated with HIV infection. Bulletin VolGMU, 2013, No. 3 (47), pp. 64–68 (In Russ.)].
60. Цинзерлинг В.А. ВИЧ-инфекция и туберкулез. Проблемы клинико-морфологических совпадений // Медицинский академический журнал. 2013. Т. 13, № 4. С. 87–91. [Zinserling V.A. HIV infection and tuberculosis. Problems of clinical and morphological matches. Medical Academic Journal, 2013, Vol. 13, № 4, pp. 87–91 (In Russ.)].
ВИЧ-ассоциированная нефропатия

ВИЧ-ассоциированная нефропатия характеризуется клиническими признаками фокального сегментарного гломерулосклероза, и часто при биопсии выявляется склерозирующая гломерулопатия (вариант фокального сегментарного гломерулосклероза).
ВИЧ-ассоциированная нефропатия, тип нефротического синдрома Обзор нефритического синдрома (Overview of Nephritic Syndrome) Нефротический синдром – экскреция с мочой более 3 г белка в день в результате патологии почечных гломерул, а также отек и гипоальбуминемия. Чаще всего он встречается среди детей и имеет как. Прочитайте дополнительные сведения , наиболее распространена среди пациентов негроидной расы с ВИЧ, принимающих инъекционные наркотики или имеющих низкий уровень комплемента при проведении антиретровирусной терапии. Инфицирование клеток почек ВИЧ может играть роль в развитии заболевания.
Большинство клинических признаков схожи с признаками фокального сегментарного гломерулсклероза Клинические проявления Фокальный сегментарный гломерулосклероз – это рассеянный мезангиальный склероз, который начинается в некоторых, но не во всех (фокальных) гломерулах, с течением времени распространяясь на всех. Прочитайте дополнительные сведения
У большинства пациентов с ВИЧАН заболевание быстро прогрессирует до терминальной стадии почечной недостаточности Хроническая болезнь почек Хроническая болезнь почек (ХБП) представляет собой длительное прогрессивное снижение почечной функции. Симптомы развиваются медленно и на продвинутых стадиях включают в себя анорексию, тошноту. Прочитайте дополнительные сведения в течение 1–4 месяцев.
Диагностика
ВИЧ-ассоциированную нефропатию следует подозревать у пациентов с нефротическим синдромом или нефропатией, больных СПИДом или имеющих симптомы СПИДа. Необходимо отличать ВИЧ-ассоциированную нефропатию от других заболеваний, которые с высокой частотой встречаются у ВИЧ-инфицированных пациентов и приводят к болезни почек, таких как тромботическая микроангиопатия ( гемолитико-уремический синдром Гемолитико-уремический синдром (ГУС) Гемолитико-уремический синдром (ГУС) является острым скоротечным заболеванием, для которого характерна тромбоцитопения, микроангиопатическая гемолитическая анемия и острое поражение почек. ГУС. Прочитайте дополнительные сведенияВ случае проведения УЗИ видно, что почки увеличены, наблюдается высокая эхогенность почек.
Обычно проводится биопсия почек. Световая микроскопия выявляет спавшиеся капилляры разной степени выраженности (склерозирующая гломерулопатия) и разной степени выраженности увеличение мезангиального матрикса. Отмечаются выраженные дегенеративные изменения и атрофия канальцев или дилатация микроцитов. Также часто обнаруживаются интерстициальные иммуноклеточные инфильтраты, фиброз и отек. Канальцевые ретикулярные включения, подобные таковым при системной красной волчанке Системная красная волчанка (СКВ) Системная красная волчанка – хроническое мультисистемное воспалительное заболевание аутоиммунной природы; поражает преимущественно молодых женщин. Наиболее часто заболевание проявляется артралгиями. Прочитайте дополнительные сведенияНормальное АД и постоянно увеличенные почки помогают дифференцировать ВИЧ-ассоциированную нефропатию от фокально-сегментарного гломерулосклероза.
Лечение
Применение высокоактивной антиретровирусной терапии (ВААРТ) и ингибиторов ангиотензин-конвертирующего фермента (АПФ)
Лечение ВИЧ-инфекции может улучшить исход поражения почек; собственно, ВИЧ-ассоциированная нейропатия встречается намного реже среди пациентов с хорошо контролируемой ВИЧ-инфекцией, принимающих ВААРТ. Применение ингибиторов АПФ вероятно приносит некоторую пользу. Роль глюкокортикоидов окончательно не определена. В некоторых центрах были получены хорошие результаты трансплантации почек Трансплантация почки Трансплантация почек является наиболее распространенным видом трансплантации цельных органов. (См. также Обзор трансплантации (Overview of Transplantation)). Основное показание для трансплантации. Прочитайте дополнительные сведения .
Авторское право © 2022 Merck & Co., Inc., Rahway, NJ, США и ее аффилированные лица. Все права сохранены.
ВИЧ-ассоциированная нефропатия
DOCDOC
DOI: 10.1093/ cid / ciu 617
РЕЗЮМЕ
Ниже суммированы пересмотренные в 2014 г рекомендации по лечению ХБП у ВИЧ-инфицированных пациентов. Группа экспертов действовала в соответствии с процессом разработки рекомендаций, который был принят Американским обществом по инфекционным заболеваниям ( Infectious Diseases Society of America ( IDSA )/Медицинской ассоциацией по ВИЧ Medicine Association ( HIVMA ) и включал систематический метод градации рекомендаций как по степени качества доказательности (очень низкое, низкое, умеренное и высокое), так и по силе (слабая или сильная). Рекомендации не предназначены для замены клинической оценки при лечении конкретных пациентов. Подробное описание методов, общих положений и обобщенных доказательств в поддержку каждой рекомендации можно найти в полном тексте рекомендаций.
КОММЕНТАРИИ
Хроническая болезнь почек (ХБП) определяется как нарушение строения или функции почек, которое персистирует > 3 месяцев и оказывает влияние на состояние здоровья. ХБП, часто наблюдающаяся у ВИЧ-инфицированных больных, возникает по многим причинам и ассоциирована с увеличением заболеваемости и смертности. Данные рекомендации по лечению ХБП у ВИЧ-инфицированных больных представляют собой пересмотр варианта от 2005 года, выполненный с целью определения клинически релевантных вопросов по лечению, обобщения соответствующих результатов клинических исследований и формулирования рекомендаций по адекватному клиническому ведению. Современные терапевтические проблемы связаны с нефротоксическим действием лекарственных препаратов, лекарственными взаимодействиями и взаимодействием ВИЧ-инфекции с другими хроническими заболеваниями, характерными для малоподвижного образа жизни, нездорового питания и старения.
Рекомендация, сформулированная ниже как «мы рекомендуем», включает важный обзор потенциально неблагоприятных эффектов антиретровирусной терапии (АРВТ), полезный для консультанта-нефролога. Тенофовиру было уделено наибольшее внимание, он упомянут в 3-х из 24 положений рекомендаций: избегать начала терапии тенофовиром при рСКФ < 60 мл/мин/1,73 м 2 , заменять альтернативным препаратом для АРВТ при снижении рСКФ на >25% и до уровня < 60 мл/мин/1,73 м 2 у больных, получающих лечение, а также избегать применения тенофовира у детей в препубертатном периоде.
РЕКОМЕНДАЦИИ ПО СКРИНИНГУ БОЛЕЗНИ ПОЧЕК
I . Как следует контролировать функцию и наличие повреждения почек у ВИЧ-инфицированных больных?
Рекомендации
1. Мы рекомендуем контролировать скорость клубочковой фильтрации (СКФ), определяемую по креатинину, в начале или при изменении антиретровирусной терапии (АРВТ), а также не реже 2-х раз в год у ВИЧ-инфицированных больных в стабильном состоянии, используя те же самые методы исследования для оценки динамики изменений. При наличии у пациентов дополнительных факторов риска повреждения почек может потребоваться более частый контроль (сильная, низкое).
2. Мы предлагаем мониторировать повреждение почек с помощью анализа мочи или количественного измерения уровня альбуминурии/протеинурии исходно, в начале или при изменении АРВТ, а также не реже 1 раза в год у ВИЧ-инфицированных больных в стабильном состоянии. При наличии у пациентов дополнительных факторов риска повреждения почек может потребоваться более частый контроль (слабая, низкое).
РЕКОМЕНДАЦИИ ПО ОЦЕНКЕ АССОЦИИРОВАННОЙ С ВИЧ ХБП
II . Как следует проводить обследование при ассоциированной с ВИЧ ХБП и когда показана консультация нефролога?
Рекомендации
1. Мы рекомендуем, чтобы обследование по поводу впервые возникшего или впервые выявленного поражения почек у ВИЧ-инфицированных больных включало биохимический анализ крови, клинический анализ мочи, количественное определение уровня альбуминурии (соотношение альбумин/креатинин в разовом анализе мочи или исследование суточной альбуминурии), оценку динамики уровней расчетной СКФ, артериального давления и глюкозы в крови (у больных сахарным диабетом), исследование маркеров нарушения функции проксимальных канальцев (особенно при терапии тенофовиром), УЗИ почек, сбор информации о принимаемых рецептурных и безрецептурных препаратах с целью выявления средств, способных вызвать повреждение почек или требующих коррекции дозы при снижении функции почек (сильная, низкое).
3. По возможности мы рекомендуем создание постоянного сосудистого доступа (в идеале – артериовенозной фистулы) или установку перитонеального катетера в плановом порядке до начала заместительной почечной терапии, чтобы избежать ассоциированного с высоким риском использования центрального венозного катетера в качестве сосудистого доступа для проведения гемодиализа (сильная, умеренное).
4. По-возможности, мы рекомендуем избегать установки центральных катетеров в периферические вены и установки центральных венозных катетеров в подключичные вены у пациентов с ВИЧ-инфекцией, которым в будущем потребуется проведение диализной терапии, поскольку эти устройства могут повредить вены и ограничить возможность создания постоянного сосудистого доступа для гемодиализа (сильная, умеренное).
РЕКОМЕНДАЦИ ПО КЛИНИЧЕСКОМУ ВЕДЕНИЮ ВИЧ-ИНФИЦИРОВАННЫХ БОЛЬНЫХ С ХБП
III . Как следует проводить антиретровирусную терапию у пациентов с ХБП или терминальной почечной недостаточностью?
Рекомендации
1. Мы рекомендуем клиницистам назначать и поощрять продолжение терапии у ВИЧ-инфицированных больных с ХБП или терминальной почечной недостаточностью (ТПН), поскольку АРВТ снижает смертность, но не применяется в должном объеме в этой популяции больных (сильная, умеренное).
2. Мы рекомендуем клиницистам при определении доз антиретровирусных препаратов или других средств, которые требуют снижения дозы при нарушении функцией почек, рассчитывать клиренс креатинина по формуле CKD - EPI ( CKD Epidemiology Collaboration ) или по формуле Кокрофта-Гоулта (сильная, умеренное).
3. Мы рекомендуем у больных с морфологически подтвержденной или клинически подозреваемой ВИЧ-ассоциированной нефропатией (ВИЧ-АН) проводить АРВТ для снижения риска наступления ТПН (сильная, умеренное).
IV . Каково значение ингибиторов ангиотензинпревращающего фермента, блокаторов рецепторов ангиотензина II, ингибиторов ГМК-коэнзим А редуктазы (статинов) и аспирина в профилактике прогрессирования почечной недостаточности и/или снижении риска сердечно-сосудистых заболеваний у пациентов с ХБП?
Рекомендации
1. Мы рекомендуем применять ингибиторы ангиотензинпревращающего фермента (АПФ) или блокаторы рецепторов ангиотензина II (БРА), если это клинически обосновано, у ВИЧ-инфицированных больных с подтвержденной или клинически подозреваемой ВИЧ-АН или клинически значимой альбуминурией (например, > 30 мг/сут у больных сахарным диабетом; > 300 мг/сут у пациентов без сахарного диабета) (сильная, высокое).
2. Мы рекомендуем назначать ВИЧ-инфицированным больным с додиализной стадией ХБП статины для профилактики ССЗ по той же схеме, что и пациентам из группы наиболее высокого риска ССЗ (например, при 10-летнем риске ССЗ > 7,5%) (сильная, высокое).
3. Мы предлагаем клиницистам рассматривать вопрос о назначении аспирина (75-100 мг/сут) для профилактики ССЗ у ВИЧ-инфицированных пациентов с ХБП; однако преимущество аспирина следует оценивать с учетом риска кровотечений у конкретного пациента (слабая, высокое).
V . Каковы оптимальные целевые значения АД у ВИЧ-инфицированных пациентов с ХБП?
Рекомендации
VI . Должны ли пациенты с ВИЧ-АН получать глюкокортикостероиды для снижения риска ТПН?
Рекомендации
1. Мы предлагаем клиницистам рассматривать возможность назначения глюкокортикостероидов в дополнение к АРВТ и терапии ИАПФ или БРА у пациентов с морфологически подтвержденной ВИЧ-АН (слабая, низкое).
VII . Каково значение трансплантации почки у ВИЧ-инфицированных пациентов с уже имеющейся или приближающейся ТПН?
Рекомендации
1. Мы рекомендуем поставщикам медицинских услуг у больных с ВИЧ и ТПН или приближающейся ТПН рассматривать возможность проведения трансплантации почки с учетом наличия в анамнезе состояний, обусловленных оппортунистическими инфекциями, сопутствующих заболеваний, текущего иммунного статуса и вирусологического контроля ВИЧ с помощью АРВТ (сильная, умеренное).
2. Мы рекомендуем проводить коррекцию доз и фармакологический мониторинг иммунодепрессантов у ВИЧ-инфицированных больных после трансплантации почки с целью выявления лекарственных взаимодействия с антиретровирусными препаратами. По возможности следует выбирать такую АРВТ, при которой взаимодействие с иммунодепрессантами сведено к минимуму (сильная, умеренное).
РЕКОМЕНДАЦИИ ПО ВЕДЕНИЮ ХБП У ДЕТЕЙ И ПОДРОСТКОВ С ВИЧ-ИНФЕКЦИЕЙ
VIII . Как следует проводить скрининг по выявлению поражения почек и мониторирование ассоциированной с тенофовиром нефротоксичности у детей и подростков?
Рекомендации
1. Мы рекомендуем у детей и подростков с ВИЧ-инфекцией без признаков поражения почек проводить скрининг функции почек так же, как и у взрослых: по расчетной СКФ (используя формулу, разработанную для детей), в начале или при изменении АРВТ и не реже 2-х раз в год. Мы рекомендуем мониторировать поражение почек по анализу мочи или с помощью количественной оценки протеинурии в начале и при изменении АРВТ, а также не реже 1-го раза в год у детей и подростков со стабильной функцией почек. При наличии дополнительных факторов риска поражения почек может потребоваться более частый контроль (сильная, низкое).
2. Мы предлагаем избегать применения тенофовира в качестве препарата первой линии терапии у детей в препубертатном периоде (1-3 стадии по Таннеру), поскольку использование тенофовира в этой возрастной группе ассоциировано с повышенной частотой канальцевых нарушений и снижением минеральной плотности костной ткани (слабая, низкое).
IX . Должно ли отличаться лечение ВИЧ-ассоциированного поражения почек у детей/подростков и у взрослых?
Рекомендации
1. Мы рекомендуем назначать детям и подросткам с ВИЧ-инфекцией и протеинурической нефропатией (в том числе ВИЧ-АН) АРВТ и направлять их к нефрологу (сильная, умеренное).
2. Мы предлагаем использовать ингибиторы АПФ или БРА для лечения протеинурической нефропатии у детей с ВИЧ-инфекцией и предлагаем применять их в качестве терапии первой линии для лечения артериальной гипертензии у этих детей. Поскольку у ВИЧ-инфицированных дети с протеинурией может быть повышен риск потери соли и иметься предрасположенность к дегидратации, ингибиторы АПФ и БРА у детей следует использовать с осторожностью (слабая, очень низкое).
3. Мы предлагаем не использовать глюкокортикостероиды у детей с ВИЧ-АН (слабая, очень низкое).
Жак ШАНАР ( Jacques CHANARD )
Презентация на тему "ВИЧ-ассоциированная нефропатия"

Помогите другим пользователям — будьте первым, кто поделится своим мнением об этой презентации.
Аннотация к презентации
Интересует тема "ВИЧ-ассоциированная нефропатия"? Лучшая powerpoint презентация на эту тему представлена здесь! Данная презентация состоит из 19 слайдов. Средняя оценка: 3.3 балла из 5. Также представлены другие презентации по медицине для студентов. Скачивайте бесплатно.
Содержание
ВИЧ-ассоциированная нефропатия
Рощина А.А., Ребров А.П., Пономарева Е.Ю.
Слайд 2
Слайд 3
Слайд 4
Слайд 5
Слайд 6
Слайд 7
Слайд 8
Слайд 9
Слайд 10
Слайд 11
Слайд 12
Слайд 14
Слайд 15
Слайд 16
Слайд 18
Слайд 19
Читайте также:
