АКТГ, ТТГ, ЛГ, пролактин. Гипоталамус и гормоны нейрогипофиза
Добавил пользователь Евгений Кузнецов Обновлено: 23.11.2025
Для выявления нарушений беременности и предотвращения различных осложнений у пациентов, а также для оценки состояния эндокринной системы используют как рутинные тесты, так и появившиеся новые маркеры, такие как ингибины, антимюллеров гормон. Принято считать, что одной из причин нарушения фертильности является аутоиммунная патология, вызванная антиспермальными антителами, антителами к Zona pellucida или антиовариальными антителами.
Мужское бесплодие может быть обусловлено нарушением сперматогенеза или выделения спермы. В главе подробно дается информация о маркерах, которые используются в диагностике аутоиммунного бесплодия, описаны тесты в диагностике мужского бесплодия (анализ спермы), а также тесты, используемые в протоколах ЭКО.
ФСГ (фолликулостимулирующий гормон)
ФСГ стимулирует созревание фолликулов яичников и синтез эстрадиола (Е2) в гранулезных клетках; у мужчин стимулирует клетки Лейдига, развитие сперматогониев и рост преклеток Сертоли. В половозрелом организме клетки Сертоли содержат рецепторы к ФСГ. Определение ФСГ проводится с целью диагностики нарушений генеративных органов (аменорея, олигоменорея, гипогонадизм, бесплодие у мужчин и женщин, нарушение полового развития детей).
Концентрация гормона увеличена при первичном гипогонадизме/гипергонадотропном гипогонадизме, недоразвитии яичников и яичек, синдроме Кляйнфельтера, менопаузе, после кастрации, при гонадотропинсекретирующей опу- холи, алкоголизме, бронхитах.
Снижение наблюдается при дисфункции гипофиза и гипоталамуса, например, синдроме Калмана, неврогенной анорексии, поликистозе яичников, гиперпролактинемии. Уменьшение уровня ФСГ может отмечаться также при гемохроматозе, серповидноклеточной анемии, при тяжелых заболеваниях. При гипогонадизме уровни ФСГ и ЛГ ниже нормы указывают на поражение гипоталамуса или гипофиза; уровни выше нормы – на первичное поражение половых желез. Вследствие пульсового характера секреции ФСГ и ЛГ при состояниях, приводящих к понижению выделения этих гормонов, необходимо проанализировать, по крайней мере, три пробы крови с интервалом 30 мин.
В диагностическом алгоритме обследования при подозрении на эндокринное бесплодие ключевым является определение концентраций ЛГ, ФСГ, Е2 и тестостерона.
ЛГ (лютеинизирующий гормон).
Мишени ЛГ – клетки оболочки яичника и желтое тело. ЛГ вызывает овуляцию и лютеинизацию гранулезных клеток. Кроме того, ЛГ активизирует в клетках яичников синтез эстрогенов и прогестерона, а также синтез тестостерона в клетках Лейдига в мужских гонадах. По механизму отрицательной обратной связи тестостерон, в свою очередь, блокирует синтез и высвобождение в гипоталамусе и гипофизе люлиберина. Уровень ЛГ возрастает при первичной дисфункции половых желез, в постменопаузальном периоде, при аденоме гипофиза, СПКЯ. При неэффективности лечения бесплодия у пациенток с СПКЯ с высоким уровнем ЛГ (более 15 МЕ/л) и тестостерона с использованием прямых и непрямых индукторов овуляции перспективной является схема лечения с предварительной десенситизацией гипоталамо-гипофизарной области агонистами ЛГ-РГ •. Уровень гормона снижен при дисфункции гипоталамуса или гипофиза, тяжелом стрессе, нервной анорексии, при изолированном дефиците гормона, нарушении всасывания в кишечнике, при тяжелых заболеваниях. Имеет место суточный и циклический ритм секреции. У женщин концентрация ЛГ в крови максимальна за 12-24 ч перед овуляцией и удерживается в течение всего дня, достигая концентрации в 10 раз большей по сравнению с неовуляторным периодом.
Пролактин.
Гормон состоит из одной полипептидной цепи длиною в 198 аминокислотных остатков и секретируется лактотрофными клетками гипофиза, децидуальной оболочкой и эндометрием. Измерение уровня пролактина может быть первым этапом обследования пациентов, страдающих нарушениями репродуктивной функции. Установлено, что пролактин не оказывает непосредственного влияния на функциональную активность половых желез, в то же время уровень пролактина в крови четко коррелирует с состоянием гипоталамуса и аденогипофиза.
Сдвиги в нейромедиаторной системе гипоталамуса могут нарушать гонадотропную функцию. В синергизме с эстрогенами он играет важную физиологическую роль в развитии молочных желез и процессе лактации. Кроме этого пролактин воздействует на клеточный рост других тканей и иммунную систему. Высокие концентрации пролактина оказывают ингибирующий эффект на функцию гонад: по принципу отрицательной обратной связи это приводит к низкой секреции ЛГ и ФСГ.
Пролактин присутствует во многих биологических жидкостях, включая плазму, амниотическую жидкость, секрет слизистых оболочек и спинномозговую жидкость. Повышенные уровни пролактина в плазме характерны для овуляции, беременности, кормления грудью и стресса. Анормально высокое содержание пролактина наблюдается при аденомах гипофиза, других анатомических и травматических патологиях, фармакологическом действии некоторых препаратов (фенотиазины, трициклические антидепрессанты) и гипотиреоидизме. Снижение концентрации пролактина характерно для гипофункции гипофиза.
АКТГ, ТТГ, ЛГ, пролактин. Гипоталамус и гормоны нейрогипофиза
АКТГ, ТТГ, ЛГ, пролактин. Гипоталамус и гормоны нейрогипофиза
Адренокортикотропный гормон (АКТГ) проявляет свое действие через кору надпочечников, способствуя синтезу глюкортикоидов, андрогенов и частично альдостерона.
Вненадпочечниковый эффект АКТГ выражается в лииолитическом его действии на жировую ткань.
Тиреотропный гормон (ТТГ) стимулирует биосинтез тиреоидных гормонов в щитовидной железе, их поступление в кровоток, а также способствует гиперпластическим процессам в железистой и соединительной ткани щитовидной железы. При удалении гипофиза наступает атрофия щитовидной железы.
Фолликулостимулирующий гормон (ФСГ) стимулирует рост фолликулов яичников у женщин и эпителия семенных канальцев у мужчин.
Лютеинизирующий гормон (ЛГ) способствует овуляции и развитию желтого тела в яичниках и стимулирует рост и функцию интерстициальпых клеток в яичниках.
ЛТГ (пролактин, лактогенный гормон) стимулирует секрецию молочных желез и функцию желтого тела. Во многом действие пролактина на обменные процессы сходно с действием гормона роста.
Задняя доля гипофиза получает кровь из задней гипофизарной артерии.
Венозная система гипофиза состоит из коротких, широких вен, отходящих от передней и задней долей.

Гипофиз и гипоталамус в настоящее время рассматривают как единую взаимосвязанную систему. Постоянство внутренней среды и различных функций организма, процесс гомеостаза зависят в основном от гипоталамуса.
Гипоталамусом называют область головного мозга, ограниченную перекрестом зрительных нервов, зрительным трактом, внутренним краем ножек головного мозга, задним продырявленным пространством. Гипоталамус находится в тесной связи с рядом других отделов нервной системы: корой головного мозга, ретикулярной формацией, зрительным бугром, миндалевидным ядром и другими образованиями. Через портальную систему гуморальным путем гипоталамус связан с аденогипофизом. В гипоталамусе располагаются 32 пары ядер.
Кроме регуляции функции гипофиза, гипоталамус влияет парагипофизарпо на деятельность щитовидной железы, половых желез, корковый и мозговой слои надпочечников и другие железы внутренней секреции.
Секрецию тропных гормонов передней доли гипофиза регулируют так называемые реализующие факторы (realising factors), выделенные из гипоталамических экстрактов.
В течение последнего десятилетия выделены релизинг-факторы, представляющие собой полипептиды для всех тропных гормонов передней доли гипофиза. Их роль, как считает большинство авторов, заключается в стимуляции секреции тропных гормонов и поступлении их в кровь.
В свою очередь обилие нервных и гуморальных связей гипоталамуса с другими отделами центральной нервной системы и особенно с корой головного мозга безусловно оказывает влияние на деятельность гипотала-мических центров, принимающих участие в регуляции секреции тропных гормонов.
В нейрогипофизе обнаружены два гормона — вазопрессин и окситоцин, которые секретируются в супраоптических и паравентрикулярных ядрах гипоталамуса и депонируются в нейрогипофизе. Оба гормона представляют собой полипептидные соединения, близкие между собой по химической структуре.
Вазопрессин (антидиуретический гормон) способствует реабсорбции воды эпителием дистальных отделов почечных канальцев, в результате чего уменьшается диурез, а также вызывает повышение артериального давления на фоне гипотонии, повышает тонус гладкой мускулатуры. Окситоцин усиливает сократительную способность матки во время беременности и родов, стимулирует лактацию.
Секреция вазопрессина зависит от объема плазмы и ее осмотического давления. Увеличение объема плазмы и понижение осмотического давления тормозят секрецию вазопрессина, обратные изменения способствуют усилению его секреции. Важную роль в секреции вазопрессина несомненно играет непосредственное повреждение гипоталамических ядер и их функциональных и нейро-гуморальных связей с другими отделами центральной нервной системы.
Информация на сайте подлежит консультации лечащим врачом и не заменяет очной консультации с ним.
См. подробнее в пользовательском соглашении.
Обзор эндокринной системы (Overview of the Endocrine System)
Эндокринная система координирует функции различных органов посредством гормонов, являющихся химическими веществами, которые выделяются в кровоток из специализированных клеток, находящихся внутри эндокринных желез (внутренней секреции). Находясь в крови, гормоны влияют на функцию тканей-мишеней, которые могут быть либо другой эндокринной железой, либо рецептором. Некоторые гормоны действуют на клетки того же органа, который является их источником (паракринный эффект), а иногда даже на сами продуцирующие их клетки (аутокринный эффект).
Гормоны могут быть:
Пептиды (одна или несколько аминокислот, соединенных химическими связями) различных размеров
Стероидами (образуются из холестерина)
Гормоны избирательно связываются с рецепторами, располагающимися внутри или на поверхности клеток-мишеней. Рецепторы, находящиеся внутри клетки, взаимодействуют с гормонами, регулирующими функции гена (например, кортикостероидами, витамином D, гормоном щитовидной железы). Рецепторы на поверхности клеток связываются с гормонами, которые регулируют функцию энзимов или влияют на ионные каналы (например, гормон роста, тиреотропин-рилизинг гормон).
Гипофиз и его органы-мишени
Гипоталамо-гипофизарная система
Функции периферических эндокринных органов в той или иной степени контролируются гормонами гипофиза. Некоторые функции (например, секреция инсулина поджелудочной железой, в первую очередь контролируется уровнем глюкозы в крови) контролируются в минимальной степени или являются независимыми от контроля гипофиза (например, секреция паратиреоидного гормона Обзор паратиреоидной функции Обычно имеется четыре околощитовидные железы. Как следует из названия, они располагаются рядом со щитовидной железой, хотя их число и особенно локализация весьма разнообразны. Эти железы размером. Прочитайте дополнительные сведения околощитовидными железами, прежде всего происходит в ответ на уровень кальция в крови), в то время как многие (например, секреция гормонов щитовидной железы или гонад) контролируются в значительной степени. Секреция самих гипофизарных гормонов контролируется гипоталамусом.
Взаимоотношения между гипоталамусом и гипофизом (называемые гипоталамо-гипофизарной системой) представляют собой систему с обратной связью. Гипоталамус получает сигналы практически из всех областей центральной нервной системы и использует их для формирования сигналов, направляемых в гипофиз. Гипофиз в ответ выделяет различные гормоны, которые стимулируют многие эндокринные железы организма. Изменения в крови уровней гормонов, продуцируемых этими эндокринными железами, воспринимаются гипоталамусом, который соответственно усиливает или ослабляет стимуляцию гипофиза, поддерживая таким образом гомеостаз.
Гипоталамус модулирует активность передней и задней долей гипофиза разными способами. Синтезируемые в гипоталамусе нейрогормоны достигают передней доли гипофиза (аденогипофиза) через особую портальную систему сосудов и регулируют синтез и секрецию 6 основных пептидных гормонов передней доли (см. рисунок Гипофиз и его органы-мишени Гипофиз и его органы-мишени ). Последние регулируют функции периферических эндокринных желез (щитовидной железы, надпочечников и гонад), а также рост и лактацию. Прямые нервные контакты между гипоталамусом и передней долей гипофиза отсутствуют.
В отличие от этого задняя доля гипофиза (нейрогипофиз) состоит из аксонов, нейронные тела которых расположены в гипоталамусе. Эти аксоны служат в качестве депо для 2 пептидных гормонов: вазопрессина (антидиуретического гормона) и окситоцина , синтезируемых в гипоталамусе; на периферии эти гормоны регулируют водный баланс, выработку молока и маточное сокращение.
Практически все гормоны, продуцируемые гипоталамусом и гипофизом, выделяются в кровь импульсами; периоды секреции сменяются периодами покоя. Секреция некоторых гормонов [например, адренокортикотропного гормона (АКТГ), гормона роста, пролактина] обладает четким циркадным ритмом; секреция других (например, лютеинизирующего и фолликулостимулирующего гормонов в ходе менструального цикла) подчиняется месячному ритму, на который накладывается циркадный.
Лечение заболеваний гипоталамуса и гипофиза
Гипоталамус и гипофиз представляют собой единую взаимосвязанную систему организма. Гипоталамо-гипофизарная система отвечает за работу всех желёз внутренней секреции.
Гипоталамус — высший регулятор нейроэндокринный системы, расположенный в базальном отделе головного мозга. Он участвует в регуляции вегетативных функций организма, отвечающих за артериальное давление, проницаемость сосудов, теплорегуляцию и теплоотдачу, аппетит, обменные процессы, регуляцию сна и психической деятельности. Гипоталамус осуществляет регуляцию деятельности периферических желёз внутренней секреции через гипофиз.
Найти врача по направлению Лечение заболеваний гипоталамуса и гипофиза

Нарушение работы гипоталамо-гипофизарной системы влияет на все органы и ткани нашего организма.
Гипофиз — железа внутренней секреции, расположенная в турецком седле основной кости черепа. Гипофиз состоит из передней и задней доли. Передняя доля — аденогипофиз, задняя доля — нейрогипофиз. Нарушения работы гипофиза проявляется в виде усиления выработки гормонов (например, как при аденомах гипофиза) и недостаточности выработки гормонов. Это в свою очередь приводит к нарушению эндокринно-обменных процессов и внутреннему дисбалансу.
В аденогипофизе вырабатываются гормоны: АКТГ, ФСГ, ЛГ, ТТГ, СТГ, пролактин. При нарушении их выработки диагностируются такие заболевания, как болезнь Иценко- Кушинга, пролактинома, акромегалия, тиреотропинома и тд.
В нейрогипофизе вырабатывается вазопрессин (антидиуретический гормон). При нарушении выработки этого гормона развивается несахарный диабет.
Аденома гипофиза — доброкачественная опухоль, которая вырабатывает гормоны в избыточном количестве.

При гиперпродукции гормонов гипофиза могут наблюдаться следующие симптомы: повышение температуры тела, артериального давления, сахара в крови, увеличение массы тела, изменение кожных покровов (например, багровые стрии), выделение молока из молочных желез, нарушение менструального цикла, гинекомастия, изменения черт лица.
При недостаточной выработке гормонов гипофиза снижается температура тела, артериальное давление, масса тела, нарушается менструальный цикл. А также угасает половое влечение и потенция.
При появлении вышеперечисленных симптомов надо обратиться к врачу-эндокринологу!
В Группе компаний «Мать и Дитя» вы можете записаться на первичную консультацию к эндокринологу, который проведёт осмотр, соберёт анамнез, назначит необходимое лабораторное обследование (гормональный анализ крови, мочи или слюны, биохимический и клинический анализ крови). Направит на проведение МСКТ головного мозга с интерпретацией результата. При необходимости вас проконсультирует нейрохирург.
Нейроэндокринные заболевания
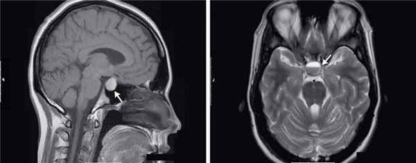
Гипофиз — это эндокринная железа, массой около 0,5 г, располагается в гипофизарной ямке турецкого седла клиновидной кости и отделен от полости черепа отростком твердой оболочки головного мозга, образующим диафрагму седла.
В гипофизе различают две доли — переднюю (аденогипофиз) и заднюю (нейрогипофиз). Гипофиз и гипоталамус вместе с их нейроэндокринными, сосудистыми и нервными связями принято рассматривать как гипоталамо-гипофизарную систему.
Гормоны передней и задней долей гипофиза оказывают влияние на многие функции организма, в первую очередь через другие эндокринные железы.
В передней доле гипофиза вырабатываются гормоны:
- Сомотропный гормон (гормон роста), принимающий участие в регуляции процессов роста и развития молодого организма.
- Адренокортикотропный гормон (АКТГ), стимулирующий секрецию стероидных гормонов надпочечниками.
- Тиротропный гормон (ТТГ), влияющий на развитие щитовидной железы и активирующий продукцию ее гормонов.
- Фолликулостимулирующий (ФСГ), лютеинизирующий (ЛГ) и пролактин — влияют на половое созревание организма, регулируют и стимулируют развитие фолликулов в яичнике, овуляцию, рост молочных желез и выработку молока у женщин, процесс сперматогенеза у мужчин.
- Здесь же секретируются липотропные факторы гипофиза, которые оказывают влияние на мобилизацию и утилизацию жиров в организме.
- В промежуточной части передней доли образуется меланоцитостимулирующий гормон, контролирующий образование пигментов — меланинов — в организме.
Нейросекреторные клетки в гипоталамусе продуцируют вазопрессин и окситоцин.
Гормон вазопрессин оказывает сосудосуживающее и антидиуретическое действие, за что и получил также название антидиуретического гормона (АДГ).
Окситоцин оказывает стимулирующее влияние на сократительную способность мускулатуры матки, усиливает выделение молока лактирующей молочной железой, тормозит развитие и функцию желтого тела, влияет на изменение тонуса гладких (неисчерченных) мышц желудочно-кишечного тракта.
Гипофиз, связанный через гипоталамус со всей нервной системой, объединяет в функциональное целое эндокринную систему, участвующую в обеспечении постоянства внутренней среды организма (гомеостаз). Внутри эндокринной системы гомеостатическая регуляция осуществляется на основе принципа обратной связи между передней долей гипофиза и железами-«мишенями» (щитовидная железа, кора надпочечников, гонады). Избыток гормона, вырабатываемого железой-«мишенью», тормозит, а его недостаток стимулирует секрецию и выделение соответствующего тропного гормона. В систему обратной связи включается гипоталамус. Именно в нем находятся чувствительные к гормонам желез-«мишеней» рецепторные зоны. Специфически связываясь с циркулирующими в крови гормонами и меняя ответную реакцию в зависимости от концентрации гормонов, рецепторы гипоталамуса передают свой эффект в соответствующие гипоталамические центры, которые координируют работу аденогипофиза, выделяя гипоталамические аденогипофизотропные гормоны.
Таким образом, гипоталамус следует рассматривать как нейро-эндокринный мозг.
Читайте также:
