Актинический меланоз - загар
Добавил пользователь Евгений Кузнецов Обновлено: 29.01.2026
Актинический хейлит является хейлит (воспаление губ), вызванное длительным воздействием солнечных лучей. По сути, это сжечь, [2] и вариант старческий кератоз что происходит на губе. [5] Это предраковое состояние, [6] как это может развиться в плоскоклеточная карцинома (тип рак рта ).
Содержание
Признаки и симптомы
AC почти всегда поражает нижнюю губу и лишь в редких случаях - верхнюю губу, вероятно, потому, что нижняя губа больше подвержена воздействию солнца. [7] В необычных случаях поражения верхней губы это может быть связано с выпуклостью верхней губы. [7] Спайки (уголки рта) обычно не вовлекаются. [2] [6]
Больные могут испытывать такие симптомы, как ощущение сухости и растрескивания губ. [7] Обычно это безболезненно и стойко.
Внешний вид разнообразен. Белые поражения указывают на гиперкератоз. [7] Красный, эрозионный или язвенный поражения указывают атрофия, утрата эпителий и воспаление. [7] Ранние, острые поражения могут быть эритематозный (красный) и отечный (вздутый). [2] После месяцев и лет пребывания на солнце поражение становится хроническим и может приобретать серо-белый цвет и выглядеть сухим, чешуйчатым и морщинистым. [2]
Наблюдается утолщение беловатого оттенка губы на границе губы и кожи. Также наблюдается потеря обычно резкой границы между красной губой и нормальной кожей, известной как красная граница. Губа может стать чешуйчатой и затвердевший как AC прогрессирует.
Когда пальпируется губа может иметь текстуру, похожую на потерю пальцем в перчатке наждачную бумагу. [7]
АК может возникать при поражении кожи актиническим кератозом или рак кожи в других местах, особенно на голове и шее [6] так как это наиболее подверженные воздействию солнца участки. В редких случаях это может отражать генетическую предрасположенность к легким повреждениям (например, пигментная ксеродермия или актиническая почесуха ). [2]
Причины
- Открытый образ жизни: например фермеры, моряки, рыбаки, виндсерферы, альпинисты, игроки в гольф и т. д. [2] Это привело к появлению синонимов этого состояния, таких как «губа моряка» и «губа фермера». [8] Распространенность среди сельскохозяйственных рабочих в полузасушливом регионе Бразилии составляет 16,7%. [9]
- Светлая кожа цвет лица: заболевание обычно поражает людей с более светлым оттенком кожи, [8] особенно Кавказцы живущие в тропических регионах. [2] В одном отчете 96% людей с AC имели фенотип II согласно Шкала Фитцпатрика. [10]
- Возраст: AC обычно поражает пожилых людей и редко людей моложе 45 лет. [8]
- Пол: заболевание чаще поражает мужчин, чем женщин. Иногда это соотношение достигает 10: 1. [8]
Дополнительные факторы также могут играть роль, в том числе: табак использование, раздражение губ, плохой гигиена полости рта, и неподходящий зубные протезы. [11]
Диагностика
Профилактика
Чтобы предотвратить развитие переменного тока, можно предпринять защитные меры, такие как избегать полуденного солнца, [2] или использование шляпы с широкими полями, [2] бальзам для губ с ингредиентами против UVA и UVB (например, парааминобензойная кислота ), [7] или защита от солнца агенты (например, оксид цинка, оксид титана ) [7] до выхода на солнце.
Это условие считается предраковый потому что это может привести к плоскоклеточная карцинома примерно в 10% всех случаев. Невозможно предсказать, какие случаи будут прогрессировать до SCC, поэтому в настоящее время консенсус заключается в том, что все поражения следует лечить. [12]
Варианты лечения включают: 5-фторурацил, имиквимод, вермиллионэктомия скальпелем, Химический пилинг, электрохирургия, и углекислый лазер испарение. Эти лечебные процедуры пытаются разрушить или удалить поврежденные эпителий. Все методы связаны с некоторой степенью боли, отек и относительно низкая частота рецидивов.
Медикамент
Имиквимод (Aldara) - это модификатор иммунного ответа, который был изучен для лечения актинического хейлита. Это способствует иммунная реакция в коже, ведущей к апоптоз (смерть) опухоль клетки. Это вызывает эпидермис быть захваченным макрофаги, что приводит к эрозии эпидермиса. Т-клетки также активируются в результате имиквимод лечение. Имиквимод по всей видимости, способствует «иммунной памяти», которая снижает вероятность повторения поражения. Рубцевание минимальное. Полный клиренс был продемонстрирован у 45% пациентов с актинический кератоз. Однако при лечении актинического хейлита еще необходимо установить дозу и продолжительность терапии, а также долгосрочную эффективность. [5]
Процедуры
Обе криохирургия и электрохирургия являются эффективным выбором для небольших участков актинического хейлита. Криохирургия достигается применением жидкий азот в технике открытого распыления. Местный анестезия не требуется, но лечение всей губы может быть довольно болезненным. Сообщалось о показателях излечения, превышающих 96%. Криохирургия лечение очагов актинического хейлита. Электрохирургия альтернативное лечение, но местный наркоз требуется, что делает его менее практичным, чем криохирургия. При использовании обоих методов повреждение соседних тканей может замедлить заживление и способствовать шрам формирование. [11]
Более обширные или повторяющиеся области актинического хейлита можно лечить либо с помощью вермиллионэктомии с бритьем, либо с помощью углекислый лазер. Вемиллионэктомия после бритья удаляет часть красная граница но оставляет основной мышца неповрежденный. Во время процедуры может возникнуть сильное кровотечение из-за сосудистый характер губа. Линейный шрам может также образоваться после лечения, но обычно это можно свести к минимуму с помощью массаж и стероиды. Время заживления короткое, а эффективность очень высока. [11]
В более новой процедуре используется углекислый лазер к удалять красная кайма. Эта процедура выполняется относительно быстро и легко, но требует квалифицированного оператора. Анестезия обычно требуется. Вторичный инфекция и рубцевание может произойти с лазерная абляция. В большинстве случаев рубец минимален и хорошо поддается лечению. стероиды. Боль может быть прогрессирующей проблемой во время фазы заживления, которая может длиться три недели и более. Однако углекислый лазер также предлагает очень высокий уровень успеха с очень небольшим количеством повторений. [11]
Химический пилинг с 50% трихлоруксусная кислота также был оценен, но результаты были неудовлетворительными. Заживление обычно занимает 7–10 дней с очень небольшим количеством побочных эффектов. Однако ограниченные исследования показывают, что вероятность успеха может быть ниже 30%. [11]
Государственное Бюджетное Учреждение Здравоохранения Севастополя "Кожно-венерологический диспансер"
ул. Ленина, 48
Тел.: 54-30-51
Единый контакт-центр здравоохранения Севастополя
8 (800) 5-800-800
Контакт-центр ТФОМС Севастополя
8 (800) 250-35-27
8 (692) 24-13-49
«Современные аспекты профилактики фотостарения»
Солнечное излучение и его воздействие на кожу
Основное повреждающее воздействие на кожу, приводящее к появлению первых признаков старения и их прогрессированию, оказывает ультрафиолетовое (УФ) излучение. Оно инициирует в коже дегенеративный процесс, в результате которого она становиться более сухой и грубой, постепенно теряет тонус, на ней появляются морщины и пигментные пятна. Изменения, вызванные воздействием УФ-излучения, называют фотостарением. Источником ультрафиолета является солнце.

В зависимости от длины электромагнитных волн УФ - излучение условно делят на УФА-, УФВ-и УФС-диапазоны. УФС-лучи - лучи с самой короткой длиной волны (200-290 нм) - наиболее опасны, поскольку обладают самой высокой энергией. К счастью, все УФС - лучи задерживаются озоновым слоем земной атмосферы.
УФВ-лучи с длиной волны от 290 до 320 нм лишь частично задерживаются озоновым слоем и достигают поверхности Земли, хотя практически не проникают через стекло. Значительная их часть (более 70%) отражается роговым слоем кожи человека, и все же часть УФВ-лучей проникает в эпидермис, а около 10% - даже в самые верхние слои дермы. Эти лучи обладают сильным повреждающим действием. Именно они вызывают эритему (покраснение кожи или солнечный ожог) и загар, они же отвечают за множество острых и хронических побочных эффектов, связанных с воздействием солнечного света.
Длины волн УФА-лучей находятся в пределах от 320 до 400 нм. Из всего УФ - спектра эти лучи обладают наименьшей энергией, но при этом и самой высокой проникающей способностью. Они не задерживаются озоновым слоем, проходят сквозь стекло и роговой слой кожи. В коже человека УФА-лучи достигают срединных слоев дермы и, хотя не вызывают солнечных ожогов, играют ведущую роль в развитии актинического повреждения кожи.
В настоящее время достоверно установлено, что в процессе фотостарения активную роль играют оба спектра УФ-излучения - как УФА, так и УФВ.
УФ-излучение запускает в коже фотохимические реакции, продуктами которых являются свободные радикалы и активные формы кислорода. Вступая в реакцию с другими биологическими молекулами - белковыми, липидными или молекулами ДНК - они передают тем свою активность. Превратившись таким образом в свободные и агрессивные радикалы, те, в свою очередь, начинают вступать в реакцию с окружающими их молекулами. При этом белки перекрестно связываются друг с другом, липиды биологических мембран окисляются, а в генетическом аппарате клетки возникают мутации. Свободные радикалы повреждают соединительную ткань дермы, кератиноциты, оказывают отрицательное воздействие на сосудистый аппарат кожи, усиливают все проявления фотостарения.
ПРИЗНАКИ ФОТОСТАРЕНИЯ
Преждевременное старение кожи начинается с соединительной ткани, где располагаются волокна коллагена и эластина. Коллаген обеспечивает упругость кожи, и у молодых людей его нити все время обновляются. Фермент коллагеназа разрушает старые нити, а в фибробластах происходит синтез новых. Со временем под действием УФ-излучения происходит снижение синтеза коллагена в фибробластах и возникает перекрестное связывание коллагеновых нитей. Коллагеновые димеры недоступны для коллагеназы, поэтому они постепенно накапливаются в коже. Перекрестное связывание коллагеновых волокон происходит после каждой атаки свободных радикалов, одновременно увеличивается синтез эластина, что в совокупности приводит к снижению упругости кожи и образованию морщин.
Признаки фотостарения можно условно разделить на физиологические, клинические, анатомические и гистологические.
ОСНОВНЫЕ ПРОЯВЛЕНИЯ ФОТОСТАРЕНИЯ
При интенсивном воздействии УФ-излучения уже в возрасте 35-40 лет у людей развиваются признаки фотостарения кожи. Она становится более сухой, появляются легкие морщинки, пигментные пятна, единичные телеангиэктазии. С возрастом эти явления неуклонно прогрессируют. Начинают развиваться дегенеративные изменения, атрофия, кератоз, появляются пятна гипомеланоза (с частично утраченным пигментом), желтые узелки и бляшки. Перечисленные клинические признаки объединены в понятие дерматогелиоз.
СОЛНЕЧНЫЙ ЭЛАСТОЗ
Основным проявлением дерматогелиоза явялется солнечный эластоз, который развивается в возрасте 40-50 лет и клинически проявляется в виде лимонной кожи Милиана, характеризующейся сетчатой исчерченностью в виде ромбовидных щелей и бороздок на фоне утолщенной бледно-желтой кожи). Процесс обычно локализуется на лице, шее, кистях и предплечьях. Что касается других участков тела, то солнечный эластоз может на них проявляться лишь желтоватым оттенком кожи. Заболевание неуклонно прогрессирует и, хотя само по себе не является злокачественным, служит маркером других более серьезных поражений кожи, вызванных солнцем, - солнечного кератоза и плоскоклеточного рака кожи.
Одновременно с солнечным эластозом в результате УФ-облучения развиваются и другие именения кожи, количество и характер которых могут варьироваться в зависимости от расположения участка поражения на теле. К таким поражениям кожи относятся:
- • ромбовидная кожа шеи;
- • болезнь Фавра-Ракушо;
- • эластома диффузная Дюбрейля;
- • гиперплазия сальных желез сенильная;
- • солнечная пурпура Бейтмана;
- • актиническая гранулема О'Брайена;
- • актинические комедональные бляшки;
- • венозные озера;
- • лентиго солнечное;
- • гипомеланоз каплевидный идиопатический.
РОМБОВИДНАЯ КОЖА ШЕИ
Ромбовидная кожа шеи (Cutis rhomhoidalis nuchae) клинически проявляется утолщенной, с глубокими ромбовидными морщинами кожей на задней поверхности шеи, а также желтыми бляшками. При растягивании эта кожа не отличается от лимонной кожи Милиана на лице, то есть такое поражение по сути является ярко выраженным проявлением солнечного эластоза в области шеи. Ромбовидная кожа шеи встречается преимущественно у мужчин, потому что у женщин кожа шеи обычно бывает защищена волосами.
БОЛЕЗНЬ ФАВРА-РАКУШО
Интенсивная инсоляция и ветер способствуют развитию у мужчин старше 50 лет болезни Фавра-Ракушо, при которой поражается кожа лица, особенно височных областей и около ушных раковин, а также задней поверхности шеи. В очагах поражения на фоне утолщенной и уплотненной кожи желтовато-красного оттенка, собранной в грубые складки (явления выраженного солнечного эластоза), видны узловатые элементы диаметром 0,5-1,0 см, кисты с беловатым содержимым диаметром 0,1-0,5 см и комедоны, располагающиеся в центральной части большинства узелков и кист. При тяжелом течении заболевания кисты могут сливаться, формируя утолщенные желтоватые бляшки с множеством крупных комедонов.
ДИФФУЗНАЯ ЭЛАСТОМА ДЮБРЕЙЛЯ
Более легкий вариант болезни Фавра-Ракушо - диффузная эластома Дюбрейля, характеризуется наличием четко очерченных желтоватых бляшек в области лба, щек и латеральной поверхности шеи. Иногда заболевание проявляется солитарной папулой или бляшкой в области носа или затылка, состоящей из папулообразных элементов, напоминающих собой булыжную мостовую. Кожа в области бляшки желтоватая, морщинистая, мягкая, постепенно подвергается атрофии.
СЕНИЛЬНАЯ ГИПЕРПЛАЗИЯ САЛЬНЫХ ЖЕЛЕЗ
После длительного интенсивного солнечного облучения развивается сенильная гиперплазия сальных желез, характеризующаяся появлением в области лба, нижних век, щек, носа и предплечий мелких светло-желтых папул, приобретающих со временем более темный желтый оттенок, куполообразную форму и пупковидные вдавления в центре. При сдавливании элементов из них выделяются капельки сального секрета.
СОЛНЕЧНАЯ ПУРПУРА БЕЙТМАНА
Длительное воздействие солнечных лучей, повреждающее фибробласты вокруг кровеносных сосудов и приводящее к потере коллагена и хрупкости сосудов, является основным предрасполагающим фактором возникновения у лиц старше 60 лет солнечной пурпуры Бейтмана. Непосредственной причиной пурпуры является механическая травма, приводящая к разрыву расширенных сосудов субпапиллярного венозного сплетения. Клинически болезнь характеризуется внезапным появлением геморрагических пятен красного или фиолетового цвета диаметром 1,0-5,0 см с четкими изрезанными контурами на тыльной стороне кистей, разгибательных поверхностей плеч и предплечий, очень редко - на нижних конечностях или лице. Окружающая кожа тонкая, со сниженной эластичностью. В связи с наличием в элементах гемосидерина и снижением активности макрофагов очаги медленно эволюционируют в пигментные пятна.
АКТИНИЧЕСКАЯ ГРАНУЛЕМА О'БРАЙЕНА
Актиническая гранулема О'Брайена образуется в результате воспалительной реакции с гигантоклеточным инфильтратом, развивающейся в дерме на участках солнечного эластоза. Чаще возникает на разгибательной поверхности предплечий и верхней части спины у лиц со светлым цветом кожи и наличием веснушек. Начинается с появления полупрозрачных папул красновато-коричневого цвета, которые постепенно увеличиваются, светлеют и превращаются в кольцевидные элементы диаметром 1,0-3,0 см. Кожа над ними уплотнена, гладкая. Центр элемента атрофичен и депигментирован. Элементы обычно бессимптомны, но солнечный ожог может провоцировать появление выраженной эритемы и раздражения.
АКТИНИЧЕСКИЕ КОМЕДОНОВЫЕ БЛЯШКИ

Актинические комедоновые бляшки - представляют собой единичные или множественные узлы или бляшки, локализующиеся на разгибательной поверхности предплечий и лице, особенно вокруг глаз и на верхней части щек. Цвет бляшек варьируется от розового до синего, на их фоне могут образовываться комедоноподобные элементы.
ВЕНОЗНЫЕ ОЗЕРА
Венозные озера клинически выражаются в появлении мягких синих или багровых папул диаметром 0,5 см, исчезающих при диаскопии. Единичные или множественные элементы располагаются как правило на нижней губе или в области завитка ушной раковины, реже - на других открытых для солнечного воздействия участках кожи.
ЛЕНТИГО СОЛНЕЧНОЕ
Лентиго солнечное является результатом локальной пролиферации меланоцитов в области дермоэпидермального соединения. Клинически проявляется множественными пигментными пятнами равномерной светлоили темно-коричневой, а иногда и черной окраски, располагающимися на открытых участках кожи и особенно заметными на лице (висках, лбу), тыльной стороне кистей и разгибательной поверхности предплечий. Пятна обычно довольно крупные - диаметром более 1,0 см, имеют округлую форму и нечеткие границы. Хотя солнечное лентиго является результатом кумуляции солнечного облучения, оно, в отличие от веснушек, не темнеет при пребывании на солнце.
По мнению ряда авторов, очаг солнечного лентиго при распространении базалоидных клеток в нижние слои дермы может превратиться в бляшку солнечного кератоза ретикулярного типа. Кроме того, очаги солнечного лентиго могут воспаляться, становясь предшественниками доброкачественного лихеноидного кератоза. В очень редких случаях длительно существующее солнечное лентиго прогрессирует в ограниченный меланоз Дюбрейля - заболевание, трансформирующееся в меланому.
КАПЛЕВИДНЫЙ ИДИОПАТИЧЕСКИЙ ГИПОМЕЛАНОЗ
Гипомеланоз каплевидный идиопатический характеризуется появлением сотен бессимптомных депигментированных фарфорово-белых пятен с четкими краями округлой или звездчатой формы размером 0,2-0,5 см, разбросанных, как конфетти, на передней поверхности голеней и предплечий. Развитие заболевания связывают с длительным УФ-облучением, приводящим к снижению количества меланосом и гранул меланина.
Одним из грозных последствий фотоповреждения кожи является фотоканцерогенез - злокачественное перерождение клеток, возникающее под воздействием УФ-излучения. Под воздействием УФ-излучения нарушается экспрессия генов, кодирующих как белки-супрессоры, так и белки-промоторы развития опухолей. УФ-излучение стимулирует продукцию белка c-fos, стимулирующего пролиферацию клеток. В то же время постоянное длительное УФ-облучение может вызвать мутации в гене, кодирующем белок супрессор опухолевого роста р53. В результате возникает несоответствие между про лиферацией, дифференцировкой и апоптозом клеток. С возрастом разбалансировка этих процессов усугубляется, что постепенно приводит к развитию опухолей кожи.
СОВРЕМЕННЫЕ СПОСОБЫ БОРЬБЫ С ФОТОСТАРЕНИЕМ КОЖИ
Начальные проявления фотостарения носят обратимый характер и при умелом обращении с солнцем и рациональном уходе за кожей можно добиться их регресса.
Для устранения явлений дерматогелиоза необходимы уже более активные лечебные мероприятия (применение системных и топи ческих ароматических ретиноидов, пилинги, криотерапия, лазеротерапия, дермабразия, хирургическое иссечение). Лечение обычно бывает длительным, в ряде случаев травматичным. Кроме того, оно требует определенных финансовых затрат. К сожалению, особенно при уже распространившихся процессах не всегда удается достичь желаемого результата. В то же время при правильном и рациональном подходе к инсоляции фотостарение возможно предотвратить, продлевая молодость кожи на долгие годы.
Наиболее эффективным способом борьбы с фотостарением в современном мире является его активная профилактика.
Прежде всего необходимо информировать широкие массы населения о научных данных, подтверждающих повреждающее воздействие УФ-излучения на кожу и организм в целом, и формировать критическое отношение к избыточной инсоляции и моде на загар. В целях профилактики фотостарения следует использовать комплекс мероприятий, направленных на защиту кожи от повреждающего солнечного облучения. Для этого следует, по возможности, избегать прямых солнечных лучей, использовать одежду, защищающую кожу от солнца, принимать солнечные ванны только в период минимальной активности летнего солнца.
Необходимо помнить о том, что повреждающим действием обладает не только УФ-излучение прямых солнечных лучей, но также и УФ-излучение, отраженное от земли и окружающих предметов, прошедшее сквозь облака, воду и даже легкую одежду. В связи с этим, ведущим звеном профилактики становится использование солнцезащитных средств, предотвращающих повреждение кожи солнечными лучами
Предраковые заболевания кожи и мягких тканей
Предраковые заболевания кожи и мягких тканей — две различные группы, которые необходимо рассматривать в отдельности. Общей их характеристикой является то, что данному комплексу болезней свойственно возникновение злокачественных опухолей. Подразделяется на две подгруппы: облигатные (высокая степень озлокачествления) и факультативные (с необязательной малигнизацией).
Описание данной патологии
Предраковые заболевания кожи характеризуется единичными или множественными узелками, разрастаниями, очагами гиперкератоза, папулами, пигментными пятнами или очагами раздражения разной окраски, формы и размера. Диагноз устанавливается на основании осмотра и результатов гистологических исследований. Лечение – оперативное удаление, химиотерапия, криотерапия, интерферонотерапия.

Предраковые заболевания кожи – новообразования эпителиального происхождения доброкачественной природы и патологические состояния кожного покрова неопухолевого характера, имеющие склонность к преобразованию в злокачественную опухоль. Риск перерождения может существенно различаться. Фото предракового заболевания кожи представлено чуть выше.
Основная причина малигнизации
Основной причиной малигнизации являются внешние неспецифические раздражения (инсоляция, механическое трение, температурное воздействие), отсутствие своевременного лечения и различные эндогенные факторы. Страдают такими патологиями преимущественно люди пожилого и среднего возраста. Существуют также некоторые врожденные недуги такого рода, которые, в основном, поражают подростков и детей. Диагностику предраковых заболеваний кожи и терапию осуществляют врачи в области дерматологии и онкологии.
Патологии слизистого покрова рта и тканей лица
Заболевания этих областей облигатного типа включают хейлит Манганотти, ограниченный гиперкератоз, бородавчатый предрак. К факультативному типу предраковых заболеваний кожи лица и красной каймы губ относят кератоакантому, кожный рог, папиллому.

Также сюда причисляют папилломатоз неба, гиперкератотическую и эрозивно-язвенную формы красного плоского лишая и красной волчанки, эрозивно-язвенную и веррукозную формы лейкоплакии.
Классификация предраковых заболеваний кожи лица и слизистых полости рта включает:
- Кожный рог представляет собой ограниченную зону гиперплазии с выраженным гиперкератозом, имеющую форму рогового выступа. Подобный очаг ограничен, имеет коричнево-серый цвет и диаметр до 1 см.
- Кератоакантома — доброкачественная эпидермальная опухоль в форме безболезненного полушаровидного узла, имеющего плотную консистенцию. В его центральном отделе имеется воронкообразное вдавление небольшого размера, наполненное роговыми плотными массами белого оттенка. Опухоль подвижна, не связана с подлежащими тканями. Данное новообразование имеет сходство с плоскоклеточным раком кожного покрова и часто трансформируется в рак.
- Папиллома красной каймы губ ограничена от окружающих тканей. Ее поверхность шероховатая или ворсинчатая, иногда покрыта роговыми структурами. Патология характеризуется экзофитным и эндофитным разрастанием, что, по мнению многих ученых, приближает ее к онкологическому заболеванию.
При хронических травмах участков папилломатоза слизистого покрова полости рта развивается изъязвление, воспаление, очаги некроза. Образовавшееся у основания папилломы уплотнение является одним из симптомов озлокачествления.
К фоновым патологиям относятся дерматиты, актинический, метеорологический и послелучевой хейлит, хронические трещины и язвы красной каймы губ и слизистой ротовой полости, плоскую лейкоплакию.
Пациенты с облигатными предраковыми заболеваниями кожи и слизистых, как правило, подлежат оперативному лечению (производится иссечение при помощи обычного скальпеля или посредством лазероэксцизии, хирургической диатермии, лазерокоагуляции, криогенного воздействия).
Хирургическое вмешательство позволяет осуществить не только радикальную терапию, но и морфологическую верификацию тканей, которые были в его процессе удалены.
Пациенты с факультативными предраковыми патологиями – такими как кожный рог, папиллома, кератоакантома, папилломатоз, эрозивно-язвенная и веррукозная формы лейкоплакии — также проходят оперативное вмешательство. Больные лейкоплакией в некоторых случаях могут лечиться консервативно (по показаниям). Такой же терапии подлежат пациенты с красной волчанкой, красным плоским лишаем, фоновыми патологиями слизистого покрова полости рта.
Классификация предраковых заболеваний кожи
Как уже отмечалось выше, различают две категории предраковых поражений: облигатные и факультативные. Следует отметить, что подобное разделение является довольно условным. Известны заболевания, которые одни медики относят к облигатным предраковым состояниям, а другие – к факультативным. Таким образом, в категорию патологий кожи первого типа включены болезнь Педжета, болезнь Боуэна и эритроплазия Кейра, которые являются специфическими формами онкологического заболевания кожи – раками in situ, локальными онкологическими процессами, не выходящими за пределы кожного покрова. Помимо этого, пигментная ксеродерма считается предраком облигатным.

Факультативные предраковые заболевания кожи – это старческий кератоз и другие неспецифичные поражения. Вероятность злокачественной трансформации перерождения старческого кератоза составляет приблизительно 10%. Лучевые дерматиты хронических форм, мышьяковистый гиперкератоз, туберкулезные и сифилитические поражения кожи малигнизуются примерно в 6% случаев. Свищи при остеомиелите, трофические язвы (длительно существующие) и обширные рубцы после ожогов озлокачествляются у 5-6% пациентов. Поражения кожи при красной волчанке преобразуются в раковые опухоли примерно в 2-4% случаев.
Рассмотрим подробнее предраковые заболевания кожи лица и слизистой оболочки полости рта.
Болезнь Боуэна
Это довольно редкая патология, описанная в 1912 году. Она может возникать в возрасте 20-80 лет, одинаково часто ее диагностируют у мужчин и женщин. Основным факторами, предрасполагающими к развитию данного заболевания, являются папилломы человека, инфицирование вирусом, ультрафиолетовое излучение и контакт с токсическими веществами (смолой, дегтем, мышьяком). Предраковая патология может появляться на любой области кожи, но чаще всего страдает область половых органов и туловище.
На начальной стадии болезнь представляет собой неровное пятно, которое в последующем трансформируется в красную бляшку с бархатистой влажной поверхностью. На ней выявляются участки гипо- и гиперпигментации. Иногда поверхность этого пятна покрыта неровными сухими чешуйками, вследствие чего данное образование сильно напоминает псориатическую бляшку. Образования могут быть единичными и множественными, которые сливаются между собой. Обычно отмечается длительное течение патологического процесса, бляшка может сохраняться на протяжении нескольких лет.
При отсутствии терапии данная предраковая патология кожи переходит в плоскоклеточный рак. Диагноз ставится на основании гистологических исследований. Терапия – хирургическое удаление вместе с близлежащими здоровыми тканями. Кроме того, зачастую применяются криодеструкция, электрокоагуляция или лазерная коагуляция.

Эритроплазия Кейра
Это подвид болезни Боуэна, которая поражает кожные покровы полового члена. Страдают патологией мужчины 40-70 лет. Болезнь представляет собой красноватую гладкую бляшку с бархатистой влажной поверхностью. Образование медленно растет в течение нескольких лет, в исходе отмечается его злокачественное перерождение.
Болезнь Педжета
Данное предраковое заболевание кожного покрова обычно локализуется в околососковой зоне. Примерно в 20% случаев данная опухоль может быть расположена в других областях: на спине, лице, бедрах, в области промежности, ягодицах, на наружных половых органах. В некоторых медицинских классификациях болезнь рассматривается как одна из форм рака молочной железы. Диагностируется у обоих полов в 50-60 лет. У мужчин данная патология развивается реже, однако является более злокачественной. На начальном этапе подобное предраковое заболевание похоже на экземоподобное поражение, которое сопровождается зудом, жжением, покалыванием и болью.
В дальнейшем область поражения увеличивается, на поверхности образования образуются эрозии, чешуйки и изъязвления. Обнаруживается втянутость соска, возможно появление патологических выделений. Такое предраковое заболевание прогрессирует на протяжении нескольких лет и распространяется на соседние ткани. Отмечается также метастазирование и местный инфильтративный рост. Диагностика предраковых заболеваний кожи должна быть своевременной. Лечение представлено радикальной резекцией молочной железы или мастэктомией в сочетании с гормонотерапией, радиотерапией и химиотерапией.

Пигментная ксеродерма
Это редкое наследственное предраковое заболевание кожного покрова. Проявляется в виде повышенной чувствительности к ультрафиолетовому излучению. Патологический процесс протекает в 3 стадии. Первая наступает в возрасте 2-3 лет, чаще всего в летний период, на фоне даже незначительной инсоляции. На открытых областях тела ребенка появляются красные воспаленные пятна. В последующем на их месте возникают зоны неравномерной гиперпигментации. Каждый случай пребывания на солнце сопровождается возникновением новых участков поражения и усилением признаков гиперпигментации.
На второй стадии, спустя несколько лет после возникновения первых симптомов заболевания, на пораженных участках формируются зоны атрофии и телеангиэктазии. Из-за сосудистых звездочек, неровных участков пигментации кожа становится выражено пестрой, на ней образуются трещины, корки, язвочки и бородавчатые разрастания. Отмечаются также патологические изменения в хрящевых тканях, которые часто заметны в виде деформации носа. Возникают также поражения глаз: помутнение роговицы, кератоконъюнктивиты, воспаление век, слезотечение и светобоязнь.
Третья стадия возникает в пубертатный или постпубертатный период. На пораженных областях кожи возникают злокачественные и доброкачественные новообразования: ангиомы, фибромы, кератомы, базалиомы, меланомы, плоскоклеточный рак. Особенно злокачественными являются опухоли, которые образуются в зоне бородавчатых разрастаний. Примерно 60% больных не доживают до 15 лет. Главной причиной смерти становится отдаленное метастазирование и инфильтративный местный рост опухолей.
Солнечный кератоз
Это предраковое заболевание кожи еще называют актиническим кератозом – патология с низким риском злокачественного перерождения. Болезнь обусловлена избыточной инсоляцией. Ею чаще всего страдают голубоглазые светлокожие блондины пожилого и среднего возраста. У женщин патология диагностируется реже. Поражаются открытые зоны кожи, где первоначально образуется желтоватое пятно. В дальнейшем оно покрывается плотными чешуйками. Терапия – криодеструкция, удаление лазером, цитостатические мази. Необязательно, что данная патология переродится в рак. Это произойдет только в случае постоянного усугубления проблемы посредством частого пребывания на солнце.

Клинические рекомендации при данных опасных патологиях
Клинические рекомендации при предраковых заболеваниях кожи слизистых и мягких тканей заключаются в том, чтобы вовремя проводить диагностику данных патологий, лечение существующих поражений и предупреждения развития новых очагов патологического процесса.
Для того, чтобы снизить риск перехода подобных явлений в онкологические опухоли необходимо ограничение или устранение повреждающего воздействия на кожные и слизистые покровы УФ-лучей, электромагнитного излучения, ионизирующей радиации и химических канцерогенов.
Помимо этого, население и врачи должны знать о потенциальной опасности использования некоторых гормональных медикаментозных средств (экзогенные эстрогены).

Еще одно направление – это выявление и диспансеризация лиц с врожденной предрасположенностью к раку и диспластическим невусным синдромом.
Иммунологическое направление полезно для выявления и терапии лиц с различными формами иммунодепрессии, иммунодефицита, больных с пересаженными органами.
Осмотр кожных покровов при наличии подозрения на предраковое состояние осуществляется в смотровом кабинете при посещении специалиста первого контакта. Осмотр онкологом проводится в первый год наблюдения каждые 3 месяца, затем, после удачной терапии, реже. Важно самостоятельно осматривать свое тело на предмет появления новых родинок или пигментных пятен.

Слово «рак» из уст врача звучит как приговор – невероятно страшно и жутко. Этот недуг чаще всего выявляют уже на определенных стадиях развития, а ведь мало кто знает, что существуют так называемые предраковые заболевания, которые далеко не так .

Сегодня многие женщины сталкиваются с таким диагнозом, как лейкоплакия. Что это такое в гинекологии? Почему возникает подобное заболевание? Насколько опасным оно может быть? Какие средства лечения предлагает современная медицина? Ответы на эти .

Онконастороженность и ранняя диагностика онкологических заболеваний (тесты, анализы, лабораторные и другие исследования) важны для получения положительного прогноза. Рак, выявленный на ранних стадиях, эффективно поддается лечению и контролю, .

В нормальном состоянии шейка матки покрыта клетками многослойного плоского эпителия. Он состоит из трех слоев: базального, промежуточного и поверхностного. Любое изменение в созревании или дифференциации клеток эпителия врачи могут назвать .

Паракератоз — это состояние, при котором наблюдаются патологические изменения эпителиальных тканей, в частности их ороговение. Как известно, практически все органы имеют в своем составе слой эпителия. И в современной гинекологии довольно часто .
Сегодня мы поговорим о таких новообразованиях кожи, как кератомы. Что это такое? Почему появляются? Как лечить кератомы? Эти и другие вопросы рассмотрим в данной статье.
Новообразования на коже являются результатом интенсивного деления клеток эпидермиса и по своей природе могут быть доброкачественными или злокачественными, способными очень быстро перерасти в рак. У многих людей на кожных покровах присутствуют невусы, папилломы, родинки.

Рак кожи – это кожное опухолевое образование злокачественного характера, которое возникает вследствие атипического превращения ее клеток, отличается сильным полиморфизмом. Существует четыре основных типа рака кожи, базальноклеточный, плоскоклеточный, меланома и аденокарцинома, для каждого из которых свойственны собственные клинические формы.
Базально клеточный рак кожи хоть и имеет совсем неприглядный вид, но хорошо поддается терапии. Необходимо только вовремя обратиться к специалистам и выполнять все их рекомендации.

Меланоз кожи - это избыточное отложение пигмента меланина в эпидермисе. Это вещество продуцируется специальными клетками (меланоцитами) и предназначено для защиты кожных клеток от лучей солнца. У светлокожих людей такой пигмент вырабатывается в меньших количествах, чем у темнокожих. В норме меланин активизируется только под воздействием ультрафиолета. В этом случае на коже появляется загар. Если этот пигмент откладывается в больших количествах, то возникает заболевание - меланоз.
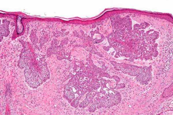
Актинический хейлит
Актинический хейлит - это хейлит (воспаление губ), вызванный длительным воздействием солнечного света. По сути , это ожог , [2] и вариант старческого кератоза , которое происходит на губе. [5] Это предраковые состояния , [6] , как это может развиться в плоскоклеточный рак (тип рака ротовой полости ).
СОДЕРЖАНИЕ
AC почти всегда поражает нижнюю губу и лишь изредка верхнюю губу, вероятно, потому, что нижняя губа больше подвержена воздействию солнца. [7] В необычных случаях поражения верхней губы это может быть связано с выпуклостью верхней губы. [7] Спайки (углы рта) обычно не вовлекаются. [2] [6]
Больные могут испытывать такие симптомы, как ощущение сухости и растрескивания губ. [7] Обычно это безболезненно и стойко.
Внешний вид изменчив. Белые поражения указывают на гиперкератоз . [7] Красные, эрозивные или язвенные поражения указывают на атрофию , потерю эпителия и воспаление. [7] Ранние острые поражения могут быть эритематозными (красными) и отечными (опухшими). [2] Через несколько месяцев и лет пребывания на солнце поражение становится хроническим и может приобретать серо-белый цвет и выглядеть сухим, чешуйчатым и морщинистым. [2]
Наблюдается утолщение беловатого цвета губы на границе губы и кожи. Также наблюдается потеря обычно резкой границы между красной губой и нормальной кожей, известной как киноварь . Губа может стать чешуйчатой и уплотненной по мере прогрессирования переменного тока.
При пальпации губа может иметь текстуру, похожую на потерю пальцем в перчатке наждачную бумагу. [7]
АК может возникать при поражении кожи актиническим кератозом или раком кожи в другом месте, особенно на голове и шее [6], поскольку эти участки наиболее подвержены воздействию солнца. В редких случаях это может отражать генетическую предрасположенность к легким повреждениям (например, пигментная ксеродермия или актиническая почесуха ). [2]
Переменный ток вызван хроническим и чрезмерного воздействием ультрафиолетового излучения в солнечном свете .
- Образ жизни на открытом воздухе : например, фермеры, моряки, рыбаки, виндсерферы, альпинисты, игроки в гольф и т. Д. [2] Это привело к появлению синонимов для этого состояния, таких как «губа моряка» и «губа фермера». [8] По имеющимся данным, распространенность среди сельскохозяйственных рабочих в полузасушливом регионе Бразилии составляет 16,7%. [9]
- Светлый цветкожи : заболевание обычно поражает людей с более светлым оттенком кожи [8], особенно кавказцев, проживающих в тропических регионах. [2] В одном отчете 96% людей с AC имели фенотип II по шкале Фитцпатрика . [10]
- Возраст : AC обычно поражает пожилых людей и редко тех, кто моложе 45 лет. [8]
- Пол : заболевание чаще поражает мужчин, чем женщин. Иногда сообщается, что это соотношение достигает 10: 1. [8]
Дополнительные факторы также могут играть роль, включая употребление табака , раздражение губ, плохую гигиену полости рта и неподходящие протезы . [11]
Чтобы предотвратить развитие AC, можно предпринять защитные меры, такие как избегать полуденного солнца [2] или использовать шляпу с широкими полями, [2] бальзам для губ с ингредиентами против UVA и UVB (например, парааминобензойной кислотой ), [7] или солнцезащитные блокирующие агенты (например , оксид цинка , оксид титана ) [7] перед воздействием солнца.
Это состояние считается предраковым, потому что оно может привести к плоскоклеточной карциноме примерно в 10% всех случаев. Невозможно предсказать, какие случаи будут прогрессировать до SCC, поэтому в настоящее время консенсус заключается в том, что все поражения следует лечить. [12]
Варианты обработки включают в себя 5-фторурацил , Имиквимод , скальпель vermillionectomy, химического пилинга , электрохирургию и диоксида углерода лазерного испарения. Эти лечебные процедуры пытаются разрушить или удалить поврежденный эпителий . Все методы связаны с некоторой степенью боли, отека и относительно низкой частотой рецидивов.
Лекарства
Имиквимод (Алдара) - это модификатор иммунного ответа, который был изучен для лечения актинического хейлита. Он способствует иммунному ответу кожи, ведущему к апоптозу (гибели) опухолевых клеток. Это приводит к тому , эпидермису быть захвачен макрофагами , что приводит к эпидермальной эрозии. Т-клетки также активируются в результате лечения имиквимодом . Имиквимод, по- видимому, способствует «иммунной памяти», что снижает вероятность рецидива поражений . Рубцевание минимальное. Полный клиренс был продемонстрирован почти у 45% пациентов с актиническим кератозом.. Однако при лечении актинического хейлита все еще необходимо установить дозу и продолжительность терапии, а также долгосрочную эффективность. [5]
Процедуры
И криохирургия, и электрохирургия - эффективный выбор для небольших участков актинического хейлита. Криохирургия выполняется путем нанесения жидкого азота методом открытого распыления. Местная анестезия не требуется, но лечение всей губы может быть довольно болезненным. Сообщается о показателях излечения, превышающих 96%. Криохирургия - лучший метод лечения очагов актинического хейлита. Электрохирургия является альтернативным лечением, но требуется местная анестезия , что делает ее менее практичной, чем криохирургия. При использовании обоих методов повреждение соседних тканей может замедлить заживление и способствовать образованию рубцов . [11]
Более обширные или повторяющиеся области актинического хейлита можно лечить либо с помощью вермиллионэктомии с бритьем, либо с помощью углекислотного лазера . Вемиллионэктомия с бритьем удаляет часть красной каймы, но оставляет нетронутыми подлежащую мышцу . Во время процедуры может возникнуть сильное кровотечение из-за сосудистой природы губы . Линейный рубец также может образоваться после лечения, но его обычно можно свести к минимуму с помощью массажа и стероидов . Время заживления короткое, а эффективность очень высока. [11]
Более новая процедура использует лазер двуокиси углерода для абляции границы Вермиллиона. Эта процедура выполняется относительно быстро и легко, но требует квалифицированного оператора. Обычно требуется анестезия . При лазерной абляции может возникнуть вторичная инфекция и рубцы . В большинстве случаев рубец минимален и хорошо поддается лечению стероидами . Боль может быть прогрессирующей проблемой на этапе заживления, который может длиться три недели и более. Однако лазер на углекислом газе также дает очень высокий процент успеха с очень небольшим количеством повторений. [11]
Химический пилинг с 50% трихлоруксусной кислотой также был оценен, но результаты были плохими. Заживление обычно занимает 7–10 дней с очень небольшим количеством побочных эффектов. Однако ограниченные исследования показывают, что вероятность успеха может быть ниже 30%. [11]
Нарушения эпидермиса или эпидермальных придатков
Заболевания (нарушения) со стороны эпидермальных придатков и непосредственно эпидермиса.
ED50.0 Приобретенный ихтиоз
EC20.0 Несиндромный ихтиоз
LD27.2 Синхронный ихтиоз
ED50.Z Ихтиоз неуказанного типа
ED51 Диффузный эпидермальный гиперкератоз и акантоз
ED51.0 Acanthosis nigricans
ED51.00 Доброкачественные акантозы нигеран
ED51.0Y Другие уточненные акантозы nigricans
ED51.0Z Акантозы негритянки неуточненные
ED51.Y Другие уточненные гиперкератотические и акантотические дерматозы
ED53 Очищение кожи
EC20.1 Наследственный пилинг кожи
ED54 Xerosis cutis или астэтоз
EA84 Астиотическая экзема
ED55 Palmoplantar keratodermas
ED55.0 Приобретенные кератодермы palmoplantar
EC20.3 Наследственные кератодермы пальмопластара
ED55.Z Palmoplantar keratoderma, неуказанный
ED56 Keratosis pilaris
EC20.2 Наследственные акантолитические дерматозы
ED5Y Другие уточненные нарушения эпидермальной кератинизации
Нарушения цвета кожи
ED60 Приобретенный гипермеланоз
ED60.0 Физиологический гипермеланоз
ED60.01 Загар из-за воздействия искусственных источников ультрафиолетового излучения
ED60.2 Поствоспламеняющий гипермеланоз
ED60.Y Гипермеланоз другой указанной этиологии
ED60.Z Гипермеланоз неуточненной этиологии
ED61 Приобретенные меланотические макулы или лентигины
ED61.1 Меланоз слизистой оболочки
ED61.10 Меланотическое пятно полости
ED61.11 Вулавальный меланотический макула
ED61.1Y. Другой назначенный меланоз слизистой оболочки
EJ10.1 Актиническое лентиго
EJ10.2 Актинический лентигиноз
ED61.Y Другие уточненные приобретенные меланотические макулы или лентигины
ED62 Эндогенная неметаниновая пигментация
ED62.0 Пигментация кожи гемосидерином
5C64.100 Наследственный гемохроматоз
ED62.Y. Другая указанная эндогенная неметаниновая пигментация
ED63 Приобретенные гипомеланотические расстройства
9A06.1 Витилиго век или периокулярной области
ED63.1 Гипомеланоз вследствие воздействия химических веществ
ED63.2 Поствоспалительный гипомеланоз
ED63.3 Синдром Фогт-Коянаги-Харада
ED63.Y Приобретенный гипомеланоз из-за другого указанного расстройства
ED63.Z Приобретенный гипомеланоз неизвестной или неуточненной этиологии
ED64 Аномальная пигментация кожи
EC23 Генетические нарушения пигментации кожи
Аномалии развития пигментации кожи
1C1E.2. Поздние поражения пинта
EH60 Пигментные аномалии кожи из-за наркотиков
ED6Y Другие уточненные нарушения пигментации кожи
ED70 Алопеция или выпадение волос
ED70.0 Выпадение волос у мужчин
ED70.1 Выпадение волос у женщин
ED70.20 Лоскутная алопеция
ED70.21 Алопеция totalis
ED70.2Y Другие указанные формы алопеции areata
ED70.2Z Алопеция areata, неуказанная
ED70.30 Острый телогенный эффлюиум
ED70.31 Послеродовое телогенное эффлювие
EH62.00 Лекарственная выпадение волос телогеном
ED70.3Y Удаление телогеновых волос из-за другой указанной причины
ED70.4 Anagen effluvium
EH62.01 Препарат, индуцированный лекарственными средствами, anagen effluvium
ED70.5 Облысение алопеция
ED70.50 Фолликулит decalvans
ED70.51 Препарирующий целлюлит
ED70.5Y Облысение алопеции по другой причине
ED70.5Z Облысение алопеции неизвестной или неуточненной этиологии
9A04.1 Мадароз век или периокулярной области
ED70.Y Другие уточненные алопеция или выпадение волос
ED70.Z Алопеция, неуказанная
ED72 Гирсутизм и синдромы с гирсутизмом
ED72.0 Конституционный гирсутизм
ED72.1 Гирсутизм, связанный с гиперандрогенемией
5A80.1 Синдром поликистозных яичников
5A71.01 Врожденная гиперплазия надпочечников
ED72.Z Гирсутизм неуточненный
ED73 Приобретенные нарушения волоса
ED73.0 Выветрившиеся волосы
ED73.1 Приобретенные изменения цвета волос
ED73.10 Преждевременные возможности
ED73.11 Приобретенный полиоз
ED73.Y Другие уточненные приобретенные нарушения волоса
EC21 Генетические дефекты роста волос или волос
LC30 Дефекты развития волос или роста волос
EH62 Нарушения, вызванные наркотиками
ED7Y Другие уточненные расстройства волос
Нарушения волосяного фолликула
ED80 Угри и связанные с этим расстройства
ED80.0 Поверхностные угри без узелки
ED80.00 Комедоновые угри
ED80.01 Поверхностные смешанные комедоновые и папулопустулярные угри
ED80.02 Папулопустулярные акне
ED80.1 Угловые угри
ED80.2 Acne vulgaris
ED80.3 Конглобатные угри
ED80.4 Шрамы от прыщей
ED80.5 Инфантильные угри
ED80.6 Фолликулит cruris pustulosa atrophicans
KC21.0 Неонатальные угри
EG20.0 Скальп фолликулит
EH57 Лекарственный острый генерализованный экзантематический пустулез
ED80.Y Другие указанные формы акне и акне-подобных воспалительных фолликулярных расстройств
ED80.Z Угри, неуказанные
ED81 Розацеа и связанные с ней расстройства
ED81.00 Erythematotelangiectatic rosacea
ED81.01 Папулопустулярная розацеа
ED81.02 Phymatous rosacea
9A02.1 Задний блефарит
ED81.0Y Другие уточненные розацеа
ED81.1 Первичный дерматит
ED81.Y Другие указанные розацеаподобные расстройства
ED82 Нарушения сальных желез
ED82.0 Гетеротопические сальные железы
ED82.1 Гиперплазия сальных желез
ED83 Нарушения, связанные с апокриновой фолликулярной единицей
ED83.0 Hidradenitis Гнойный
ED83.1 Апокринные потные расстройства
1B75.4 Хронический глубокий бактериальный фолликулит
ED8Y Другие расстройства, связанные с волосяным фолликулом
Болезни инфильтрационных потовых желез или потоотделение
ED90.0 Локализованный гипергидроз
ED90.00 Гипергидроз Palmoplantar
ED90.01 Подмышечный гипергидроз
ED90.02 Краниофациальный гипергидроз
ED90.0Y Другие уточненные локализованные гипергидрозы
ED90.0Z Локализованный гипергидроз неуточненный
ED90.1 Первичный генерализованный гипергидроз
ED90.Z Гипергидроз неуточненный
ED91.0 Гипогидроз, связанный с дефектной субомоторной иннервацией или функцией
8C21.2. Наследственная сенсорная или вегетативная невропатия типа IV
ED91.1 Гипогидроз из-за генетических аномалий структуры или функции эккринной железы
LD27.02 Гипогидротическая эктодермальная дисплазия
8C21.2. Наследственная сенсорная или вегетативная невропатия типа IV
ED91.2 Гипогидроз неопределенной этиологии
ED91.Y Другие указанные формы гипогидраза
ED91.Z Гипогидроз неуточненный
ED92.0 Неонатальная милиция
ED92.Y Другие указанные формы miliaria
ED9Y Другие специфические расстройства эксиновых потовых желез или потоотделение
Читайте также:
