Шваннома средостения на рентгенограмме, КТ, МРТ
Добавил пользователь Владимир З. Обновлено: 01.11.2025
1. Соединительная ткань, подкожная жировая клетчатка и другие мягкие ткани, периферические нервы.
2. Забрюшинное пространство.
3. Средостение: переднее, заднее; средостение без дополнительных уточнений.
Клиническая классификация TNM
Т - первичная опухоль
Тх - оценка первичной опухоли невозможна.
Т0 - первичная опухоль не обнаружена.
Т1 - опухоль размером до 5 см в наибольшем измерении:
Т1а - поверхностная опухоль*;
Т1Ь - глубокая опухоль*. Т2 - опухоль размером более 5 см в наибольшем измерении:
Т2а - поверхностная опухоль*;
Т2Ь - глубокая опухоль*.
Обратите внимание!
* Поверхностная саркома расположена выше поверхностной фасции, а глубокая - под указанной фасцией либо над ней, с поражением данной фасции. Кроме того, все саркомы органов брюшной полости и забрюшинного пространства относят к глубоким.
N - регионарные лимфатические узлы
? - состояние регионарных лимфатических узлов оценить невозможно.
N0 - метастазов в регионарных лимфатических узлах нет. N1 - метастазы в регионарных лимфатических узлах имеются.
М - отдаленные метастазы
Мх - наличие отдаленных метастазов оценить невозможно.
М0 - отдаленных метастазов нет.
M1 - наличие отдаленных метастазов.
Патологическая классификация pTNM
Критерии выделения категории рТ, pN и рМ соответствуют таковым для категории Т, N и М.
G - гистопатологическая дифференцировка
Ох - степень дифференцировки не может быть установлена. G1 - высокая степень дифференцировки. G2 - средняя степень дифференцировки. G3 - низкая степень дифференцировки. G4 - недифференцированные опухоли.
Группировка по стадиям
ЛОКАЛИЗАЦИЯ. КЛИНИЧЕСКАЯ КАРТИНА
Согласно Международной классификации ВОЗ насчитывается 39 форм злокачественных опухолей мягких тканей. Первые попытки классификации новообразований мягких тканей принадлежат A. Stout (1958), К.В. Даниел-Бек (1967).
Злокачественные новообразования мягких тканей чаще возникают на фоне доброкачественных опухолей. Почти в половине случаев началу заболевания предшествует травма.
Основным клиническим проявлением заболевания служит наличие опухоли в мягких тканях. Болевой синдром обусловлен тканевой принадлежностью, локализацией и размерами опухоли.
Более половины пациентов обращаются к специалистам с большими по размерам опухолями, которые нередко уже прорастают в кость или нервные стволы. Кожные покровы чаще вовлекаются в опухолевый процесс при больших, а иногда - огромных размерах опухоли, вызывая в некоторых случаях нарушение целостности (изъязвление). Консистенция опухоли чаще плотноэластическая, возможно - с участками размягчения; последние свидетельствуют о наличии распада опухолевой ткани в отдельных участках. Большинство сарком мягких тканей обладают способностью к частому рецидивированию после радикальных операций.
Метастазирование чаще всего происходит гематогенным путем. Лимфогенное метастазирование в регионарные и отдаленные лимфатические узлы встречается в 5 % случаев. Лимфогенно метастазируют в основном синовиальная, круглоклеточная и светлоклеточная саркомы.
Синовиальная саркома (злокачественная синовиома) - одна из самых частых злокачественных опухолей мягких тканей. Развивается у людей любого возраста (редко у людей старше 50 лет) из синовиальных оболочек суставов, сухожильных влагалищ, фасций, нижних и верхних 5 конечностей (рис. 25.4).
Рис. 25.4. Синовиальная саркома пра- Выявлению °пух°ли могут
вого плеча (а, б) предшествовать боли, которые
отличают синовиальную саркому от большинства других опухолей мягких тканей. В опухоли могут образовываться кистозные полости - и тогда она эластична; если в опухоли откладываются соли кальция, она становится плотной. Правильной постановке диагноза помогает локализация опухоли вблизи суставов или костей конечностей.
Липосаркома - мезенхимальная злокачественная опухоль из жировой ткани, представленная многочисленными вариантами и разновидностями (рис. 25.5). Липосаркома может быть множественной, развиваясь у одного больного одновременно или поэтапно в самых разных местах туловища и конечностей. Некоторые авторы относят первично-множественный вариант опухоли к системным заболеваниям, обозначая процесс как липобластоматоз.
Липосаркома может развиваться в любой части тела, где есть жировая ткань, но чаще возникает на нижних конечностях (бедро), в области плечевого сустава, на ягодичной области; «излюбленной» локализацией считается также забрюшинное пространство. Частота встречаемости увеличивается в старших возрастных группах. Липомы, как правило, озлокачествляются очень редко.
Основной симптом - пальпируемая опухоль. Границы опухоли пальпаторно четко не выявляются. Опухоль редко прорастает кожу или кости. При дифференцированных формах опухоль растет медленно, иногда достигая значительных размеров, когда и обнаруживается больным. Склонна к рецидивам после хирургического вмешательства. Низкодифференцированные липосаркомы растут быстро и могут достигать больших размеров, метастазируют гематогенным путем, чаще всего в легкие, а также в печень, головной мозг. Метастазирование в регионарные лимфатические узлы встречается редко. Окончательный диагноз устанавливают после биопсии и морфологического изучения удаленной опухоли.
Рабдомиосаркома - злокачественная опухоль, развивающаяся из элементов поперечно-полосатой мускулатуры. По частоте возникновения занимает 3-4-е
Рис. 25.5. Рецидив липосаркомы правой ягодичной области
место среди всех злокачественных опухолей мягких тканей. Развивается у мужчин в 2 раза чаще, чем у женщин, в любом возрасте, но чаще у людей старше 40 лет. Является самой распространенной злокачественной опухолью мягких тканей у детей. Характерная локализация опухоли: конечности, голова и шея, малый таз. Растет в толще мышц в виде узла различной консистенции - от мягкой до плотной.
Как и при других мягкотканых опухолях, основной признак рабдомиосаркомы - пальпируемая опухоль, локализующаяся в мышцах, с нечеткими границами, плотноэластической консистенции, безболезненная, малоподвижная. Рост опухоли быстрый, не сопровождается болями и изъязвлением, распадом. Сеть подкожных вен расширена. Опухоль метастазирует в легкие, редко - в регионарные лимфатические узлы.
Фибросаркома - одна из частых злокачественных опухолей мягких тканей, которая формируется из незрелой волокнистой соединительной ткани. Может возникать на фоне нейрофиброматоза (рис. 25.6).
Чаще всего локализуется в мышцах конечностей (бедро, плечо) или туловища. Развивается из межмышечных фасциальных образований. Как и другие опухоли мягких тканей, пальпируется в виде плотного, бугристого, малоболезненного и относительно подвижного узла округлой или овальной формы. Женщины болеют чаще мужчин. Как правило, заболевание наблюдается у людей среднего возраста, но возможно в любом возрасте. Опухоль растет сравнительно медленно, почти никогда не поражает кожу; может расти очень долго, иногда в течение нескольких лет, и достигать больших
Рис. 25.6. Фибросаркома правой подвздошной области: а - компьютерная томограмма; б - магнитно-резонансная томограмма
размеров. Началу заболевания может предшествовать травма. Опухоль отличается склонностью к частому рецидивированию. Каждый последующий рецидив сопровождается снижением дифференцировки опухолевых клеток и увеличением злокачественного потенциала опухоли. Метастазирует гематогенно, главным образом в легкие, редко - в регионарные лимфатические узлы.
Лейомиосаркома - редкая злокачественная опухоль гладкой мускулатуры, чаще возникающая в матке, изредка - в конечностях. Нередко локализуется вблизи сосудистого пучка. Растет опухоль в виде бугристого опухолевого узла плотной или плотноэластической консистенции, с нечеткими границами.
Злокачественная фиброзная гистиоцитома. Чаще локализуется в мягких тканях конечностей, туловища, реже - в забрюшинном пространстве.
Развивается из межмышечных фасциальных образований. Как и другие опухоли мягких тканей, проявляется в виде пальпируемой опухоли, плотноэластической консистенции. При больших размерах отмечаются участки размягчения, что указывает на наличие некроза. Чаще встречается у мужчин (60-65 %), заболевают, как правило, люди среднего возраста (25-55 лет). Растет опухоль сравнительно медленно, но отличается скачкообразным ростом, что редко связывают с наличием в анамнезе травм или проведенного ошибочного лечения (физиотерапевтические процедуры).
Ангиосаркома - это общее название относительно редких злокачественных опухолей, развивающихся из элементов стенки кровеносных или лимфатических сосудов. В группу включаются, в зависимости от особенностей гистологического строения, гемангиоэндотелиома, гемангиоперицитома, лимфангиосаркома и саркома Капоши. Заболевание возникает одинаково часто у мужчин и женщин, в возрасте 40-50 лет, наиболее частая локализация - на конечностях.
Клинически выявляется опухоль мягкоэластической консистенции, болезненная при пальпации, малоподвижная, локализуется в глубине мягких тканей. Опухоль растет быстрее, чем другие саркомы мягких тканей; склонна к изъязвлению и распаду. Наблюдается раннее гематогенное метастазирование в легкие.
Злокачественная невринома (нейрогенная саркома, злокачественная шваннома) - редкая злокачественная опухоль, развивающаяся из клеток шванновской оболочки периферических нервов (нейроэктодермального происхождения); встречается преимущественно у людей
среднего возраста, чаще на бедре, голени, предплечье, очень редко на шее, голове.
Поражение опухолью периферических нервов не всегда сопровождается выраженным болевым синдромом и другими неврологическими расстройствами. Они возникают приблизительно у половины больных. При дифференцированных формах рост опухоли медленный. Быстрый рост опухоли обычно связан с ее выраженной анаплазией.
К редким формам также относятся эктопированные в мягкие ткани остеогенная саркома, хондросаркома, злокачественная фиброзная гистиоцитома.
«Сигналы тревоги»
Основной симптом, на который следует обращать внимание, - это пальпируемая опухоль. Злокачественные новообразования мягких тканей отличают быстрые темпы роста (в отличие от доброкачественных новообразований), отсутствие видимых границ опухоли, плотный характер большинства новообразований, быстрое появление болевого синдрома.
ДИАГНОСТИКА
Дифференциальный диагноз проводят с хроническими воспалительными заболеваниями, туберкулезным поражением, сифилисом, посттравматическими гематомами и абсцессами, а также с доброкачественными новообразованиями мягких тканей.
Методы обследования
Несмотря на наружную локализацию большинства опухолей мягких тканей, диагностика их представляет определенные трудности. Объективное обследование включает в себя осмотр, пальпацию опухоли, регионарных лимфатических узлов. Обязательно проводят рентгенологическое и гистологическое исследование опухоли.
Рентгенографию выполняют в двух стандартных проекциях. На снимках видна интенсивная гомогенная тень опухоли. Метод информативен при плотных новообразованиях. На рентгенограмме определяют взаимоотношение мягкотканой опухоли с костью. Проводится дифференциальная диагностика между мягкотканой опухолью и мягкотканым компонентом костной опухоли. Длительный анамнез, быстрый рост опухоли могут привести к узурации кости или
к вторичной деструкции; чаще это наблюдается при синовиальной саркоме, рабдомиосаркоме, нейробластоме средостения. Ангиография позволяет определить локализацию опухоли, характер ее кровоснабжения, связь с магистральными сосудами. Для синовиальной саркомы, рабдомиосаркомы характерны наличие большого количества патологических сосудов в опухоли, диффузное распределение контрастного вещества в последней.
На ангиограммах опухоль мягких тканей контурируется более четко, хорошо выявляется соотношение опухоли с магистральными сосудами, что очень важно для хирургического лечения. Рентгеновская КТ и МРТ применяются для уточнения степени распространенности процесса, связи мягкотканых новообразований с подлежащими костями, соотношения жизненно важных структур с последними. Особенно информативно данное исследование при локализации опухоли на туловище (врастание в грудную и брюшную стенку, связь с органами средостения, легких, брюшной полости). Данная методика дает ценную информацию также при подозрении на проникновение опухоли в полость малого таза.
Лимфография у больных со злокачественными опухолями мягких тканей используется редко (чаще - для исключения метастатического поражения регионарных и отдаленных лимфатических узлов). Цитологический метод позволяет провести микроскопическое исследование клеточного материала, полученного из опухоли с помощью тонкоигольной аспирационной биопсии. Метод позволяет дать заключение о характере поражения (воспаление, опухоль), типе опухолевого процесса (доброкачественный или злокачественный). Морфологический метод дает точную гистологическую характеристику опухоли (тип опухоли, степень ее злокачественности, степень посттерапевтических изменений после предоперационного лечения).
Шваннома средостения на рентгенограмме, КТ, МРТ
Шваннома средостения на рентгенограмме, КТ, МРТ
а) Терминология:
• Наиболее частая опухоль оболочки периферических нервов
б) Лучевые признаки:
• Рентгенография: шаровидное объемное образование паравертебральной локализации, расширяющее межпозвонковое отверстие:
о Может возникать в любом периферическом нерве
о Вследствие внелегочной локализации визуализируется симптом неполного контура
о Граница между легким и опухолью визуализируется выше ключицы, что указывает на локализацию образования в заднем средостении (его паравертебральном отделе)
• КТ: гантелевидная форма опухоли, распространяющейся в спинномозговой канал:
о Вследствие наличия жировой ткани или кистозных изменений характеризуется пониженной плотностью
о Различный характер накопления контрастного вещества (гомогенный, гетерогенный)
• МРТ: различная интенсивность сигнала на Т1ВИ, часто сигнал изоинтенсивный по сравнению со спинным мозгом:
о Сигнал на Т2ВИ изоинтенсивный или гиперинтенсивный
о Симптом фасцикул: множественные небольшие гипоинтенсивные кольцевидные структуры, соответствующие пучкам мышечных волокон
(а) На рисунке изображена опухоль оболочки периферических нервов: шаровидное мягкотканное объемное образование паравертебральной локализации.
Давление опухоли может приводить к доброкачественной эрозии костных структур и расширению межпозвонкового отверстия.
(б) Женщина 33лет, которой была выполнена КТА по поводу тромбоэмболии легочной артерии.
При сканировании в правой паравертебральной области случайно было выявлено мягкотканное объемное образование, гетерогенно накапливающее контрастное вещество.
Также было обнаружено расширение межпозвонкового отверстия на уровне позвонка Th8 и распространение опухоли в спинномозговой канал. При биопсии под ультразвуковым контролем был подтвержден диагноз шванномы. (а) При рентгенографии органов грудной клетки в боковой проекции в паравертебральной области определяется объемное образование, характеризующееся симптомом неполного контура вследствие внелегочной локализации.
Картина позволяет заподозрить опухоль оболочки периферических нервов: для исключения распространения опухоли в спинномозговой канал была назначена МРТ.
(б) При МРТ на совмещенных Т1 (вверху) и Т2 (внизу) взвешенных изображениях визуализируется овоидноеобъемное образование гомогенной структуры, гипоинтенсивное на Т1ВИ и гиперинтенсивное на Т2ВИ.
Биопсия под контролем КТ позволила подтвердить диагноз шванномы.
в) Дифференциальная диагностика:
• Нейрофиброма
• Злокачественная опухоль оболочки нервов
• Ганглионеврома
• Параганглиома
г) Патоморфология:
• Тип А по Антони (гиперклеточное образование, которое состоит из веретеновидных клеток, образующих переплетающиеся пучки)
• Тип В по Антони (гипоклеточная миксоидная ткань)
д) Клинические аспекты:
• Обычно симптомы отсутствуют
• Симптомы, обусловленные ущемлением нерва: потеря чувствительности, ухудшение двигательной функции
е) Диагностические пункты:
• При выявлении шаровидного объемного образования паравертебральной локализации и доброкачественной эрозии костей от давления следует заподозрить шванному
Новообразования средостения (часть 1)
Стенограмма первой части видеолекции профессора Игоря Евгеньевича Тюрина о новообразованиях средостения из цикла передач Лучевая диагностика для терапевтов.
Игорь Евгеньевич Тюрин, профессор, доктор медицинских наук:
- Мы двигаемся дальше в сторону новообразования средостения как продолжение вопросов, которые уже затрагивала Ирина Александровна в своем выступлении.
Может быть, новообразования средостения – это не такая частая патология. Мы видим по статистике, что даже в структуре заболеваемости это достаточно редкая вещь. Во-первых, они всегда вызывают большие сложности в интерпретации.
Во-вторых, с моей точки зрения, еще более важное обстоятельство – это решение вопроса новообразований опухоли средостений или какие-то другие патологические изменения (заболевания сердца, сосудов, лимфатических узлов средостений).
Это всегда очень серьезная и ответственная работа врача-рентгенолога, врача, который предполагает использование нескольких диагностических методов. Конечно, методов лучевой диагностики, прежде всего, рентгеновского исследования.
Если посмотреть на структуру, то в тех лечебных учреждениях, где есть гематологические больные, гематологические отделения, на первом месте изменения лимфатических узлов средостений у больных с лимфомами. Сейчас это болезнь Ходжкина.
Помимо этого традиционный набор в виде герминогенных опухолей, тимом, нейрогенных опухолей. Они с разной частотой встречаются у детей и взрослых. У детей значительно чаще герминогенные опухоли, врожденные кисты, нейрогенные опухоли. У взрослых – это лимфомы, тимомы, внутригрудной зоб.
Диагностика отличается у детей и взрослых, топики этих патологических образований. Но мы можем выделить общие принципы. Есть определенные клинические проявления этой патологии. Мы будем говорить о наиболее характерных, типичных признаках. Это симптомы компрессии (сосуды, нервы, трахеи, бронхи), что выражается в кашле, резистентном к терапии, или в возникающих болевых ощущениях, резистентных к соответствующей терапии.
Иногда это системные проявления, такие как миастения или более известные проявления заболевания вилочковой железы. Болевые ощущения в грудной полости, увеличение периферических лимфоузлов. Это может сопровождать целый ряд состояний патологических средостений. Все это может сопровождать формирование патологического образования средостения.
Но вряд ли мы можем назвать какие-то прямые клинические признаки этого состояния. Чаще всего эти изменения выявляются при рентгенологическом исследовании. Основные – это рентгенография и компьютерная томография (КТ). Дополнительно в определенных ситуациях может использоваться магнито-резонансная томография (МРТ), ультразвуковое исследование (УЗИ), радионуклидное исследование, рентгеноскопия с контрастированием пищевода (когда речь идет о патологии пищевода или заднего средостения).
Но выявление – это рентгенологическое исследование в двух проекциях. Уточнение характера изменения – это компьютерная томография.
Зачем и когда компьютерная томография. Сегодня это актуальный вопрос, потому что количество оборудования, аппаратов в нашей стране увеличивается и очень существенно. Сегодня компьютерная томография стала в большинстве регионов, большинстве городов нашей страны доступным исследованием, которое можно выполнить пациентам, у которых подозреваются такие изменения в средостении.
Уточнение, локализация и структура патологических образований, видимых на рентгеновских снимках – это самое частое показание в тех случаях, когда выявляется случайно, может быть, при минимальных клинических проявлениях.
Мы должны понимать, что это еще и выявление патологических изменений, которые не видны на рентгеновских снимках, но которые могут быть у этого пациента в силу наличия тех или иных клинических проявлений.
Почему это может возникать, почему это случается.
Аксиальный срез. Томограмма на уровне бифуркации трахеи. В переднем средостении достаточно большое патологическое образование, исходящее из вилочковой железы перед восходящей аортой. Это образование не выявляется на обзорных снимках, потому что в прямой проекции контуры средостения определяются анатомическими структурами или патологическими образованиями, которые кондурируются воздухсодержащей легочной тканью. Являются краеобразующими в этом случае.
В этой ситуации верхняя полая вена справа и нисходящая аорта слева формируют контуры средостения. Увидеть такое образование на рентгеновском снимке очень сложно, практически невозможно. Если у этого пациента миастения, то это и есть прямое показание к выполнению компьютерной томографии.
Также как парез гортани и увеличение лимфатических узлов в аорто-пульмональном окне. Также как и определение стадии злокачественных опухолей в плане увеличения лимфатических узлов средостений (в лимфомах, в раке легкого, в пищеводе, в других злокачественных образованиях). При различных системных проявлениях, когда нас интересует либо состояние отдельных органов и тканей средостений, либо наличие увеличенных лимфатических узлов.
Там, где есть возможность выполнения МРТ, периодически возникает спор о том, что лучше, что хуже. На сегодняшний день нет какого-то единого однозначного мнения о том, как и когда нужно применять МРТ при патологии средостений.
Мы знаем сегодня, что возможность спиральной многосрезовой компьютерной томографии (МСКТ) (особенно, когда она выполняется с внутривенным контрастированием) и МРТ равны при некоторых минимальных преимуществах того и другого метода.
Учитывая, что КТ более распространено, более доступно в большинстве лечебных учреждений, на сегодняшний день она является первоочередным методом. Когда имеет смысл выполнять МРТ. Когда речь идет о патологии сердца и крупных сосудов средостения. Особенно у пациентов, у которых имеется реакция на рентгеноконтрастные препараты (их невозможно вводить или это опасно для пациента).
Когда речь идет о патологии паравертебральной области (нейрогенные опухоли или дифференциальная диагностика таких образований с патологией позвоночника. Натечник при туберкулезных спондилитах, лимфостатические поражения позвонков. Подозрения на кистозное образование. МРТ, как и УЗИ, гораздо лучше позволяет дифференцировать жидкостные образования от тканевых.
Рецидивы злокачественных опухолей – еще одно показание к магнитному резонансу. Это лимфомы, рецидивы рака легкого, когда использование этой технологии вместе с внутривенным контрастированием иногда помогает поставить правильный диагноз.
Один из типичных примеров. Преобразование кистозного образования энтерогенной кисты средостения при различных последовательностях МРТ делает совершенно понятным диагноз, что может вызывать затруднение при компьютерной томографии.
На чем основана диагностика патологии средостения и опухоли средостения вообще. Рентгенолог должен определить, где находятся эти патологические изменения – в средостении или в рядом расположенной легочной ткани, грудной стенке, плевре или плевральной полости. Иногда это достаточно сложная задача.
Во-вторых, если патология в средостении – это патологическое образование, опухоль. Или нет. Это может быть сосудистая патология. В качестве классического примера приводятся обычно аневризмы аорты или аномалии вариантов расположения сосудов.
Это разнообразные патологии пищевода. Расширение пищевода у больного с ахалазией пищевода, с другими патологическими неопухолевыми состояниями, которые тоже могут имитировать опухоль. Это патология костных структур (консолидированный перелом бедра или туберкулезный натечник при патологии грудных позвонков).
Это все может нам имитировать образование средостения при том, что к средостению это не имеет никакого отношения. В какой части расположено и какой характер или структура образования. Это узкоспецифические вопросы, которые решаются с помощью современных томографических исследований.
Ступенчато, последовательно врачи-рентгенологи пытаются решить эти вопросы. Когда мы все-таки выявляем патологические изменения в средостении, говорим, что это патология средостения, мы должны в этом случае либо подтвердить, либо исключить наличие опухоли в средостении.
Как правило, используются два основных принципа дифференциальной диагностики. Это дифференциальная диагностика по расположению, по локализации самой опухоли в средостении.
Сейчас с появлением томографических технологий (КТ и МРТ) – это плотностные (денситометрические, структурные) характеристики патологического образования, которые позволяют разграничивать эти изменения.
Долгое время, начиная еще с предвоенных лет, определение средостения осуществлялось по обзорной рентгенографии в боковой проекции. Врачи-рентгенологи, основываясь на снимке боковой проекции, традиционно выделяли среднее или центральное средостение, заднее средостение как основные отделы этой анатомической области для того, чтобы локализовать те или иные патологические изменения.
В середине прошлого века в 1950-е годы появилось еще горизонтальное разделение – разделение с помощью горизонтальных линий на верхнее, среднее и нижнее средостение. В результате на рентгенограмме можно было обнаружить 9 квадратиков и в каждый квадратик уложить наиболее часто встречающееся патологическое образование или патологический процесс.
Это существенно облегчало диагностику патологических изменений в грудной полости. С появлением компьютерной томографии магнитно-резонансная ситуация немножко изменилась. Хотя термины остались практически те же самые – передняя, центральная и задняя.
Но несколько изменилось представление о размерах той или иной области средостения. Переднее средостение превратилось в преваскулярное пространство, то есть фактически во все то, что располагается спереди от крупных сосудов и передней поверхности перикарда средостения.
Заднее средостение представляет из себя область, которая расположена позади перикарда, позади трахеи пищевода. Центральное средостение – это фактически перикард как мешок, в котором содержится сердце и крупные сосуды, и сосудистый пучок, который выходит из сердца и устремляется в верхнюю апертуру.
Таким образом, при КТ и МРТ чаще всего разграничиваются по локализации патологические процессы. Если исходить из такого подразделения, то мы можем в каждую часть средостения уложить тот или иной патологический процесс.
В переднем средостении самые верхние части, связанные с верхней апертурой – это внутригрудной зоб. Чуть ниже на уровне восходящей аорты, в средней части переднего средостения это лимфомы, герминогенные опухоли, гимомы. В нижней части кисты перикарда или мидиастинальные «липомы».
В зависимости от того, где мы видим патологические изменения – в центральном средостении, заднем средостении – мы можем говорить о том, что вероятнее всего мы видим на обзорной рентгенограмме, а теперь и на томограммах, которые получаются с помощью современных методов.
Я приведу несколько примеров дифференциальной диагностики, чтобы было понятно. Мы приблизительно знаем наиболее частые патологические процессы, которые здесь возникают. Они включают опухоли, доброкачественные и злокачественные (внутригрудной зоб, лимфомы). Неопухолевые процессы, такие как скопление жира в ретростернальной клетчатке, которые по традиции называют «липомы», или кисты перикарда, или какие-то другие патологические процессы.
Можем выделить среди них самые частые. Мы знаем клинические проявления этих патологических процессов. Мы имеем рентгеновский снимок, где можем определить тупику этих изменений. Мы можем с помощью современных томографических технологий выявить более-менее характерные проявления этого патологического процесса.
Тимомы – это обычно пациенты в возрасте старше 40-ка лет, которые нередко ассоциируются с миастенией и другими системными проявлениями. У многих пациентов это совершенно бессимптомное течение и случайная находка при флюорографическом, например, исследовании, при рентгенографии по другому поводу. Редко мы видим признаки инвазии.
Лучевые признаки этого процесса достаточно известны и понятны. Это средняя часть переднего средостения. Это нередко точечные или скорлуповидные обызвествления. Как правило, ассиметричное расположение. Во многих случаях они не определяются при рентгенографии. Но в силу наличия миастении или системных проявлений им выполняется компьютерная томография, и выявляются патологические изменения.
Если они видны при обычном рентгеновском исследовании, то мы хорошо видим, что тень средостения расширена влево на уровне дуги аорты. В ретростернальном пространстве (там, где должно быть скопление воздуха, содержащего легочную ткань) мы видим снижение пневмотизации, снижение прозрачности на боковом снимке.
Все это дает возможность предположить, что здесь есть патологические образования.
Томографическая картина. Мягкотканой плотности образования. В этом случае однородной структуры, овальной формы, с четкими контурами, расположенными перед восходящей аортой и общим стволом легочной артерии. Типичная характерная картина тимомы, которая, во-первых, нуждается в верификации, во-вторых, в соответствующем хирургическом лечении.
В каждом случае для врача-рентгенолога и для лечащего врача имеет значение определение того, доброкачественный или злокачественный этот процесс. Далеко не всегда мы можем ответить на этот вопрос или предположить характер этого процесса на основании рентгеновских или томографических данных.
Но, как правило, злокачественные опухоли увеличиваются значительно быстрее. Мы видим признаки местной инвазии в легочную ткань, в грудную стенку, в камеры сердца, в крупные сосуды и другие признаки распространенного патологического процесса. В большинстве случаев это более крупные опухоли.
В этом случае, продолжая патологию вилочковой железы, огромные размеры карциноидной опухоли вилочковой железы, которые занимают все переднее средостение, оттесняя сердце и крупные сосуды сзади аорты, вызывают накопление жидкости в правой плевральной полости. Это огромная неоднородная структура патологического образования с гиперваскулярными участками, со сдавлением верхней полой вены.
На снимке с трехмерной реформацией вы видите характерные симптомы расширения подкожных сосудов в следствие сдавления верхней полой вены. Все это говорит о злокачественной природе этого образования. Морфологический диагноз устанавливается во время операции.
Диагностика нейрогенных опухолей средостения на снимках МРТ и КТ
Что такое нейрогенные опухоли и почему они развиваются
- В 80% случаев являются доброкачественными.
- Составляют 10-20% объемных образований средостения
- 90% нейрогенных опухолей средостения располагаются в заднем его отделе
- Выделяют несколько форм нейрогенных опухолей:
- опухоли оболочек периферических нервов (шванномы, или неврилеммомы, нейрофибромы, злокачественные опухоли оболочек нервов), обычно выявляемые у взрослых
- Опухоли симпатических ганглиев (ганглионевромы, ганглионейробластомы, нейробластомы; обычно наблюдаются у детей в возрасте до 10 лет)
- Опухоли, исходящие из парасимпатических ганглиев (встречаются очень редко).
Какой метод диагностики нейрогенных опухолей выбрать: МРТ, КТ, ЭХО-КГ, ангиографию
Метод выбора
- КТ и МРТ - для диагностики интраспинальной патологии
- При подозрении на нейробластому выполняют ПЭТ с [131I]-метайодбензилгуанидином.
Что покажет ренген средостения при нейрогенной опухоли
Шваннома и нейрофиброма:
- округлой формы или дольчатое образование мягкотканной плотности, расположенное паравертебрально, до двух межреберных промежутков в наибольшем измерении
- Гомогенная или гетерогенная по плотности либо с контрастным усилением периферии
- В 50% случаев приводит к образованию вдавления на позвонке или ребрах
- При опухолях в форме «песочных часов» (в 10% случаев) отмечается расширение межпозвонкового отверстия
- Вариант: плексиформная нейрофиброма.
Ганглионеврома и ганглионейробластома:
- чаще имеет удлиненную форму, соответствует по протяженности 3-5 сегментам, широко соприкасается с переднебоковой поверхностью позвоночника
- Гомогенная или гетерогенная по плотности (может содержать точечные очаги обызвествления)
- Характеризуется умеренным контрастным усилением
- Признаки злокачественного роста нейрогенных опухолей: размер более 5 см, неравномерная плотность, местно-инфильтрирующий рост (прорастание в медиастинальные структуры или в грудную стенку), гематогенные метастазы (в легких).
Информативна ли МРТ средостения при нейрогенной опухоли
Шваннома и нейрофиброма:
- морфологические критерии такие же, как при КТ
- На Т1-взвешенных изображениях интенсивность сигнала от низкой до средней, на Т2-взвешенных изображениях высокая интенсивность сигнала.
Ганглионеврома и ганглионейробластома:
- гетерогенный по интенсивности сигнал независимо от взвешенности и импульсной последовательности.

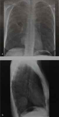
Неврилеммома у мужчины 48 лет. На обзорной рентгенограмме грудной клетки видно округлое образование с гладкими контурами, расположенное паравертебрально в нижнем отделе заднего средостения. Даже в отсутствие расширения межпозвонкового отверстия локализация объемного образования дает основание думать, что оно, скорее всего, имеет нейрогенное происхождение. Диагноз неврилеммомы подтвердился на операции.

Нейрофиброма у женщины 38 лет.
На обзорной рентгенограмме грудной клетки верхний отдел средостения расширен в обе стороны, но больше слева в области верхней апертуры грудной клетки. Еще одна опухоль, имеющая мягкотканную плотность, расположена латеральнее вдоль ребер в левом верхнем легочном поле. Имеется также локальное затемнение в области корня правого легкого.
Отличительные признаки нейрогенных опухолей
- Округлое или дольчатое образование с гладкими контурами, типичной паравертебральной локализацией, вызывающее эрозию кости от давления
- Множественные нейрогенные опухоли и плексиформные нейрофибромы патогномоничны для нейрофиброматоза.
Клинические проявления
- Доброкачественные опухоли в большинстве случаев клинически не проявляются
- Большинство злокачественных опухолей вызывают боль, парестезии и неврологические нарушения
- Нейробластома и ганглионейробластома с метаболической активностью продуцируют катехоламины и интестинальный пептид, которые могут вызвать артериальную гипертензию, приливы и диарею.
Тактика лечения нейрогенных опухолей
- Радикальное иссечение
- При нейробластоме и ганглионейробластоме показано комбинированное лечение: химиотерапия в сочетании с хирургическим иссечением.
Течение и прогноз
- При доброкачественных опухолях, если удается иссечь их полностью, прогноз благоприятный
- При неполном иссечении опухоли, а также при нейрофиброматозе часто наблюдаются рецидивы
- Прогноз при злокачественных опухолях зависит от исходного состояния и возможности радикального удаления, но в целом прогноз неблагоприятный.
Что хотел бы знать лечащий врач
- Вовлечен ли в процесс спинной мозг
- Является ли опухоль злокачественной (местно-инфильтрирующий рост, наличие метастазов)
- Стадию опухоли (нейробластомы и ганглионейробластомы):
Стадия I: локализуется на одной стороне, имеет четкие границы, не прорастает в смежные структуры.
Стадия II: местно-инфильтрирующий рост; не распространяется на противоположную сторону (за срединную линию), метастазы в лимфатических узлах отсутствуют.
Стадия III: распространяется за срединную линию, имеются метастазы в лимфатических узлах обеих сторон.
Стадия IV: множественные метастазы.
Стадия IVS: стадия I или II плюс метастазы в печень, кожу и/или костный мозг.
С какими заболеваниями можно спутать нейрогенную опухоль средостения
Боковое менингоцеле грудного отдела позвоночника
- Грыжа имеет плотность, равную ЦСЖ или меньшую
- Сообщается с позвоночным каналом
- Не беспокоит больного
- В 75% случаев ассоциирована с нейрофиброматозом
Экстрамедуллярный гемопоэз
- Очаги кроветворения в виде паравертебральных объемных образований (симптом «дымовой трубы»)
Околопозвоночный абсцесс
- Типичная картина абсцесса с широким ободком контрастного усиления на периферии, центральной областью низкой плотности на КТ и повышенной интенсивностью сигнала на Т2-взвешенных изображениях при МРТ
27. Злокачественные опухоли мягких тканей. Принципы диагностики и лечения.
Под мягкими тканями конечностей и туловища подразумеваются все анатомические образования, расположенные между кожей и костями скелета, подкожная жировая клетчатка, рыхлая жировая межмышечная прослойка, синовиальная ткань, поперечно-полосатые и гладкие мышцы. Под опухолями мягких тканей, согласно определению комитета ВОЗ, понимают все неэпителиальные опухоли, за исключением новообразований ретикулоэндотелиальной системы.
Более половины пациентов обращаются к специалистам с большими по размерам опухолями, которые нередко уже прорастают в кость или нервные стволы. Кожные покровы чаще вовлекаются в опухолевый процесс при больших, а иногда - огромных размерах опухоли, вызывая в некоторых случаях нарушение целостности (изъязвление). Консистенция опухоли чаще плотноэластическая, возможно - с участками размягчения; последние свидетельствуют о наличии распада опухолевой ткани в отдельных участках. Большинство сарком мягких тканей обладают способностью к частому рецидивированию после радикальных операций.
Метастазирование чаще всего происходит гематогенным путем. Лимфогенное метастазирование в регионарные и отдаленные лимфатические узлы встречается в 5 % случаев. Лимфогенно метастазируют в основном синовиальная, круглоклеточная и светлоклеточная саркомы.
Синовиальная саркома (злокачественная синовиома) - одна из самых частых злокачественных опухолей мягких тканей. Развивается у людей любого возраста (редко у людей старше 50 лет) из синовиальных оболочек суставов, сухожильных влагалищ, фасций, нижних и верхних конечностей (рис. 25.4).
Выявлению опухоли могут предшествовать боли, которые отличают синовиальную саркому от большинства других опухолей мягких тканей. В опухоли могут образовываться кистозные полости- и тогда она эластична; если в опухоли откладываются соли кальция, она становится плотной. Правильной постановке диагноза помогает локализация опухоли вблизи суставов или костей конечностей.
Липосаркома может развиваться в любой части тела, где есть жировая ткань, но чаще возникает на нижних конечностях (бедро), в области плечевого сустава, на ягодичной области; «излюбленной» локализацией считается также забрюшинное пространство. Частота встречаемости увеличивается в старших возрастных группах. Липомы, как правило, озлокачествляются очень редко.
Основной симптом - пальпируемая опухоль. Границы опухоли пальпаторно четко не выявляются. Опухоль редко прорастает кожу или кости. При дифференцированных формах опухоль растет медленно, иногда достигая значительных размеров, когда и обнаруживается больным. Склонна к рецидивам после хирургического вмешательства. Низкодифференцированные липосаркомы растут быстро и могут достигать больших размеров, метастазируют гематогенным путем, чаще всего в легкие, а также в печень, головной мозг. Метастазирование в регионарные лимфатические узлы встречается редко. Окончательный диагноз устанавливают после биопсии и морфологического изучения удаленной опухоли.
Рабдомиосаркома - злокачественная опухоль, развивающаяся из элементов поперечно-полосатой мускулатуры. По частоте возникновения занимает 3-4-е место среди всех злокачественных опухолей мягких тканей. Развивается у мужчин в 2 раза чаще, чем у женщин, в любом возрасте, но чаще у людей старше 40 лет. Является самой распространенной злокачественной опухолью мягких тканей у детей. Характерная локализация опухоли: конечности, голова и шея, малый таз. Растет в толще мышц в виде узла различной консистенции - от мягкой до плотной.
Фибросаркома - одна из частых злокачественных опухолей мягких тканей, которая формируется из незрелой волокнистой соединительной ткани. Может возникать на фоне нейрофиброматоза (рис. 25.6).
Чаще всего локализуется в мышцах конечностей (бедро, плечо) или туловища. Развивается из межмышечных фасциальных образований. Как и другие опухоли мягких тканей, пальпируется в виде плотного, бугристого, малоболезненного и относительно подвижного узла округлой или овальной формы. Женщины болеют чаще мужчин. Как правило, заболевание наблюдается у людей среднего возраста, но возможно в любом возрасте. Опухоль растет сравнительно медленно, почти никогда не поражает кожу; может расти очень долго, иногда в течение нескольких лет, и достигать больших размеров. Началу заболевания может предшествовать травма. Опухоль отличается склонностью к частому рецидивированию. Каждый последующий рецидив сопровождается снижением дифференцировки опухолевых клеток и увеличением злокачественного потенциала опухоли. Метастазирует гематогенно, главным образом в легкие, редко - в регионарные лимфатические узлы.
Дифференциальный диагноз проводят с хроническими воспалительными заболеваниями, туберкулезным поражением, сифилисом, посттравматическими гематомами и абсцессами, а также с доброкачественными новообразованиями мягких тканей.
Несмотря на наружную локализацию большинства опухолей мягких тканей, диагностика их представляет определенные трудности. Объективное обследование включает в себя осмотр, пальпацию опухоли, регионарных лимфатических узлов. Обязательно проводят рентгенологическое и гистологическое исследование опухоли.
Рентгенографию выполняют в двух стандартных проекциях. На снимках видна интенсивная гомогенная тень опухоли. Метод информативен при плотных новообразованиях. На рентгенограмме определяют взаимоотношение мягкотканой опухоли с костью. Проводится дифференциальная диагностика между мягкотканой опухолью и мягкотканым компонентом костной опухоли. Длительный анамнез, быстрый рост опухоли могут привести к узурации кости или к вторичной деструкции; чаще это наблюдается при синовиальной саркоме, рабдомиосаркоме, нейробластоме средостения. Ангиография позволяет определить локализацию опухоли, характер ее кровоснабжения, связь с магистральными сосудами. Для синовиальной саркомы, рабдомиосаркомы характерны наличие большого количества патологических сосудов в опухоли, диффузное распределение контрастного вещества в последней.
На ангиограммах опухоль мягких тканей контурируется более четко, хорошо выявляется соотношение опухоли с магистральными сосудами, что очень важно для хирургического лечения. Рентгеновская КТ и МРТ применяются для уточнения степени распространенности процесса, связи мягкотканых новообразований с подлежащими костями, соотношения жизненно важных структур с последними. Особенно информативно данное исследование при локализации опухоли на туловище (врастание в грудную и брюшную стенку, связь с органами средостения, легких, брюшной полости). Данная методика дает ценную информацию также при подозрении на проникновение опухоли в полость малого таза.
Лимфография у больных со злокачественными опухолями мягких тканей используется редко (чаще - для исключения метастатического поражения регионарных и отдаленных лимфатических узлов). Цитологический метод позволяет провести микроскопическое исследование клеточного материала, полученного из опухоли с помощью тонкоигольной аспирационной биопсии. Метод позволяет дать заключение о характере поражения (воспаление, опухоль), типе опухолевого процесса (доброкачественный или злокачественный). Морфологический метод дает точную гистологическую характеристику опухоли (тип опухоли, степень ее злокачественности, степень посттерапевтических изменений после предоперационного лечения).
Затем следует хирургический этап в виде широкого иссечения опухоли. Исходя из степени постлекарственного патоморфоза, в послеоперационном периоде проводятся курсы адъювантной химиотерапии препаратом, вызвавшим некроз опухолевых клеток.
Липосаркома относится к опухолям с низкой чувствительностью к лучевой и химиотерапии. Основной метод лечения липосарком - хирургический (иссечение опухоли в пределах здоровых тканей). К таким калечащим операциям, как ампутация и экзартикуляция конечности, прибегают при местно-распространенных процессах.
Лечение рабдомиосарком комбинированное и комплексное. Применяются ПХТ (антрациклины, препараты платины, этопозид и др.) и лучевое лечение в комбинации с радикальной операцией.
Ангиосаркома чувствительна к лучевому воздействию. Лечение комбинированное (предоперационная лучевая терапия с последующим широким иссечением). При больших опухолях, распаде новообразования возможно применение ампутации или экзартикуляции.
Фибросаркома относится к опухолям, нечувствительным к лучевому воздействию и химиотерапии. Лечение хирургическое. Опухоль широко иссекается с учетом правил футлярности и зональности. При распространенных опухолях применяются ампутации или экзартикуляции.
Злокачественная невринома (нейрогенная саркома, злокачественная шваннома). Лечение хирургическое - радикальное иссечение опухоли.
Читайте также:
