Аневризма брюшной аорты
Добавил пользователь Валентин П. Обновлено: 07.01.2026
Следует начать с определения аорты. Аорта – это самый крупный сосуд в нашем организме, соответственно и значимость его высока. Аневризма – это расширение сосуда. Аневризма аорты может образоваться в грудном или брюшном отделах. Причем аневризма брюшного отдела аорты встречает намного чаще. Данное состояние сосуда долгое время может не причинять никакого вреда, тем не менее аневризма очень опасна непредсказуемым ходом расширения и угрозой разрыва стенок сосуда при их истончении – а уже это состояние несет угрозу жизни сильным внутренним кровотечением. Кроме того в месте расширения сосуда могут образовываться тромбы из-за изменения тока крови – опасность этого состояния в риске отрыва тромба и закупоривания более мелкого сосуда.
Причины возникновения аневризмы аорты в брюшном отделе
Специалисты выделяют несколько причин образования аневризмы брюшной аорты:
- наследственность (стоит проходить дополнительные обследования, если у кого-то из ваших близких родственников был такой диагноз);
- травмы или операции на аорте;
- атеросклероз (прим.коп. ссылка на статью);
Существуют так же и факторы риска образования аневризмы:
- курение,
- лишний вес,
- высокое артериальное давление,
- чаще всего с заболеванием сталкиваются мужчины старше 50 лет.
Отказ от курения и поддержание веса в норме остаются теми факторами, от которых можно избавиться, обезопасив себя от риска возникновения не только аневризмы, но и других серьезных заболеваний.
Симптомы аневризмы брюшной аорты
Чаще всего аневризма случайно диагностируется в ходе обследования по другим причинам беспокойства. Расширение сосуда обычно никак не проявляется, но следует исключить аневризму в ходе обследования у врача, если вы испытываете тупую, ноющую боль в груди, под ребрами, ощущаете пульсацию в области живота.
Если аневризма не была своевременно обнаружена, то появляется риск ее разрыва. Данное состояния проявляется в резкой сильной боли в области живота, драматичном падении артериального давления, обмороком. В такой ситуации необходимо безотлагательно вызвать скорую помощь: разрыв аорты несет угрозу жизни.
Диагностика
Из-за отсутствия ярких симптомов и постепенного расширения аорты, чаще всего подозрение на аневризму появляется у врача в ходе обследования по другой причине. Диагноз подтверждается с помощью УЗИ или КТ брюшной полости, ангиографии – какое именно обследование подходит конкретному пациенту, решает лечащий врач. Обследования дадут информацию о размере аневризмы, наличии тромба в этом месте, состоянии стенок сосуда.
У многих пациентов выявленное расширение аорты долгое время не требует оперативного вмешательства специалиста – основная задача будет заключаться в наблюдении. В таком случае пациенту будет выдан список рекомендаций, чтобы не усугубить состояние сосудов (в первую очередь – отказ от курения, если такая пагубная привычка присутствует), а также предложено прохождение периодических обследований для отслеживания состояния аорты. Но в любом случае врач должен исключить риск разрыва аорты в месте расширения. Для этого используются данные обследований: ширина аорты и скорость ее расширения в динамике. При угрозе разрыва врач может принять решение о проведении операции, и для этого потребуются дополнительные тесты крови, сосудов, мочи для подготовки к операции.
Лечение
Как уже было отмечено, самым опасным осложнением аневризмы аорты является угроза ее разрыва и внутреннее кровотечение. Если пациент не обращался к врачу, и аневризма не была своевременно выявлена, то при разрыве единственным вариантом будет открытая операция: хирург удалит пораженный участок аорты и на его место установит протез. У этого способа экстренного лечения аневризмы есть противопоказания, кроме того операция является серьезным вмешательством с соответствующими рисками и длительным периодом реабилитации (до трех месяцев). Поэтому так важно обращаться к специалисту, если вы находитесь в группе риска, и чувствуете периодическую боль и/или пульсацию в области живота.
При диагностированной аневризме ее дальнейшее расширение сложно предсказуемо, требуется регулярное наблюдение у опытного специалиста, корректировка образа жизни и контроль над факторами риска. Когда лечащий врач поймет, что появился риск разрыва, альтернативой экстренной открытой операции станет плановая установка стент-графа. Установка проходит малоинвазивно, т.е. стент вводится через сосуд, продвигается до места аневризмы и там закрепляется. По структуре стент напоминает сосуд, он закрепляется одним краем выше расширения аорты, а другим – ниже. Кровь после операции будет течь по стенту, а образовавшаяся полость между ним и стенкой аорты со временем уменьшится. Введение стент-графа проводится под местным наркозом и требует всего пару дней на восстановление.
Конечно любое хирургическое вмешательство несет свои риски, поэтому так важно подобрать хороший медицинский центр с опытными кардиоваскулярными хирургами. Понимая всю опасность аневризмы аорты как заболевания, не только врачи в кардиологическом отделении, но и в других отделениях нашего центра при проведении плановых обследований или обследований по причине других заболеваний отслеживают состояние пациента и анализируют весь объем получаемых данных: при подозрении на проблему с аортой пациент в рамках одного центра будет переведен на консультацию к кардиологу. Для наших пациентов мы стараемся организовать максимально удобную логику пребывания в нашем центре и консультаций со специалистами во избежание задвоенных обследований и излишних манипуляций. Комплексное ведение пациента – это один из основных принципов нашей работы. А качество оказания оперативной и консервативной помощи поддерживается благодаря команде опытных специалистов, обеспеченных необходимой лечебно-диагностической базой.
Записаться на консультацию вы можете через специальную форму на сайте или по телефону.
Аневризма брюшной аорты
Аневризма аорты довольно распространенное заболевание, которое встречается примерно у 1 из 20 людей старше 65 лет. Разрыв аневризмы часто заканчивается смертельным исходом. Хирургическим путем можно заменить пораженный участок аорты искусственным сосудистым протезом и предотвратить опасное осложнение.
Что такое аорта?
Аорта — это самая большая артерия в организме человека. Кровь в аорту поступает из сердца, затем, через многочисленные артериальные ветви, ко всем органам человека. Аорта отходит от сердца вверх, образует дугу, затем опускается вниз, проходя в грудной полости (грудная аорта) и в животе (брюшная аорта).

Что такое аневризма аорты?
Аневризма аорты — это расширение участка аорты или выпячивание ее стенки. Чаще встречается аневризма аорты, проходящей в животе (аневризма брюшной аорты). Реже поражается аорта, проходящая в грудной клетке (аневризма грудной аорты).
Стенка аорты в области аневризмы гораздо слабее, чем в норме, поэтому она может не выдерживать давления крови изнутри. Это может привести к разрыву аневризмы. Риск этого осложнения зависит от размера аневризмы.
Симптомы аневризмы аорты
У большинства пациентов аневризма аорты может развиваться несколько лет, прежде чем появятся какие-либо признаки заболевания (симптомы). Проявления аневризмы зависят от того, какой отдел аорты поражен. При аневризме брюшной аорты встречаются следующие симптомы:
- Ощущение пульсации в животе;
- Тупая боль в животе;
- Боль в спине.
Осложнения при аневризме брюшной аорты
Если происходит разрыв аневризмы, появляется резкая боль в животе и в спине. Разрыв аневризмы приводит к сильному внутреннему кровотечению, которое заканчивается летальным исходом, если не выполнена экстренная операция.
Причины развития аневризм
Основная причина образования аневризм — атеросклероз. Это заболевание, при котором происходит отложение холестерина, кальция и фиброзной ткани в стенке артерии (атеросклеротическая бляшка), что приводит к ее ослаблению и выпячиванию. Существует несколько факторов риска развития атеросклероза, и образования аневризм:
- Пол (мужчины более предрасположены к развитию аневризм аорты);
- Курение;
- Возраст — аневризма чаще развивается в старшем возрасте, особенно после 55 лет;
- Наследственность;
- Высокое артериальное давление (выше 140/80 мм.рт.ст);
- Отсутствие физических нагрузок;
- Избыточный вес.
Гораздо реже причинами аневризм аорты являются:
- Травма (например, при автодорожных происшествиях);
- Инфекции (сифилис);
- Редкие врожденные заболевания (при синдроме Марфана часто встречаются аневризмы грудной аорты);
Диагноз
Часто диагноз ставится уже при сборе жалоб и осмотре (когда врач чувствует пульсирующее образование в животе пациента). При подозрении на наличие аневризмы аорты выполняют следующие исследования:
- Ультразвуковое исследование (УЗИ);
- Компьютерную томографию (КТ);
- Рентгенконтрастная ангиография;
Лечение аневризмы брюшной аорты
Выбор лечения аневризмы зависит от наличия симптомов и размера аневризмы. Экстренная операция необходима при разрыве аневризмы. Такие операции сопровождаются гораздо большим риском для пациента, чем при плановых операциях, когда есть возможность полностью обследовать пациента и тщательно подготовить к хирургическому вмешательству.
При атеросклерозе поражается не только аорта, но и другие артерии, в частности артерии сердца (коронарные артерии) и сонные артерии, кровоснабжающие головной мозг. Поэтому прежде чем выполнять операцию по поводу аневризмы аорты в центре сердечно-сосудистой хирургии имени А.Н.Бакулева производится тщательное обследование всех сосудистых бассейнов, чтобы свести риск операции к минимуму. Операция заключается в замещении пораженного участка аорты искусственным сосудистым протезом.

Эндоваскулярные вмешательства при аневризмах брюшной аорты
Наряду с традиционными операциями при аневризмах брюшной аорты, может быть применен новый метод лечения – эндопротезирование аорты. Метод заключается в том, что через небольшой прокол артерии на бедре, в аорту вводится длинная узкая трубка называемая катетером. Через катетер вводится специальный сосудистый протез, который изнутри фиксируется к нормальным отделам аорты выше и ниже месторасположения аневризмы.
Данный метод лечения является миниинвазивным, то есть гораздо легче переносится пациентом, короче период восстановления после операции – всего 2-3 дня. Однако его можно применить не во всех случаях.

Профилактика
- Отказ от курения;
- Контроль артериального давления;
- Активный образ жизни;
- Необходимо избавиться от лишнего веса;
Отделение хирургии артериальной патологии (ОАП) в Институте коронарной и сосудистой хирургии (Ленинский проспект д.8.к7), заведующий д.м.н. В.С. Аракелян
Отделение реконструктивной хирургии и корня аорты (РХИКА) в Институте кардиохирургии им. В.И. Бураковского (Рублевское шоссе.д.135), заведующий д.м.н. В.А. Мироненко
Аневризма брюшной аорты

Аневризма брюшной аорты это расширенный участок нижней части аорты – главного кровеносного сосуда, который несет кровь по всему телу. Диаметр аорты около 2-3 см, она проходит через центр грудной клетки и живота. Поскольку аорта является основным поставщиком крови организму, разрыв аневризмы аорты может вызвать опасные для жизни кровотечения.
В зависимости от размера и скорости, с которой увеличивается аневризма, лечение может варьировать от тактики наблюдения до срочной операции. После обнаружения аневризмы брюшной аорты врач будет контролировать ее состояние, чтобы операция была плановой, если она потребуется. Экстренная операция по поводу разрыва аневризмы аорты очень опасна.
Симптомы
Аортальные аневризмы брюшной полости часто растут медленно и обычно бессимптомно, что создает трудности в их выявлении. Некоторые аневризмы могут никогда не разрываться. Многие изначально маленького размера и такими и остаются, хотя многие расширяются в течение долгого времени. Другие расширяются быстро. Сложно предсказать, как быстро аортальная аневризма брюшной полости будет увеличиваться.
По мере того, как аневризма увеличивается, некоторые люди могут заметить:
- чувство пульсации около пупка;
- глубокая, постоянная боль в животе или сбоку живота;
- боль в пояснице.
Причины
Большинство аневризм аорты появляется в части аорты, которая относится к брюшной полости. Хотя точная причина аортальных аневризм брюшной полости неизвестна, многие факторы могут играть роль, в том числе:
- Курение табака. Курение сигарет и другие формы использования табака увеличивают риск аортальных аневризм. В дополнение к вредным воздействиям, которые оказывает курение непосредственно на артерии, курение способствует накоплению липидных бляшек в артериях (атеросклероз) и высокому артериальному давлению. Курение также быть причиной быстрого роста аневризмы и в дальнейшем повреждения аорты.
- Уплотнение артерий (атеросклероз). Атеросклероз возникает, когда липиды и другие вещества откладываются на внутренней стенке кровеносного сосуда, увеличивая риск возникновения аневризмы.
- Инфицирование аорты (васкулит). В редких случаях аортальная аневризма брюшной полости может быть вызвана инфекцией или воспалением, которое ослабляет часть аортальной стенки.
- Аневризмы могут развиться где угодно на протяжении аорты, но когда они образуются в верхней части аорты, то называются грудными аортальными аневризмами. Чаще аневризмы формируются в нижней части аорты и называются аортальными аневризмами брюшной полости.
Факторы риска
Факторы риска аневризмы брюшной полости включают:
- Возраст. Аортальные аневризмы брюшной полости появляются чаще всего у людей старше 65 лет.
- Курение табака. Курение табака - значительный фактор риска развития аортальной аневризмы брюшной полости. Чем дольше Вы курили или жевали табак, тем вероятность развития аневризмы больше.
- Атеросклероз. Атеросклероз, откладывание липидов и других веществ, которые могут повредить внутреннюю стенку кровеносного сосуда, увеличивает вероятность возникновения аневризмы.
- Мужской пол. Мужчины заболевают аортальными аневризмами брюшной полости намного чаще, чем женщины.
- Семейный анамнез. Люди, у которых есть наследственная предрасположенность к аортальной аневризме брюшной полости, подвергаются повышенному риску. Люди, у которых есть семейный анамнез аневризм, склонны заболевать аневризмами в более молодом возрасте и находятся в группе повышенного риска разрыва аневризмы.
Осложнения
Расслаивающая аневризма разрыв стенки аорты (рассечение) является главным осложнением аортальной аневризмы брюшной полости.
Разорванная аортальная аневризма может привести к опасному для жизни внутреннему кровотечению. Вообще, чем больше аневризма, тем больше риск разрыва.
Признаки и симптомы, свидетельствующие о разрыве аневризмы:
- внезапная интенсивная и постоянная боль в брюшной полости или в пояснице;
- боль, которая иррадиирует к спине или ногам;
- потливость;
- липкий пот;
- головокружение;
- тошнота;
- рвота;
- пониженное давление;
- учащенный пульс;
- потеря сознания;
- одышка.
Другое осложнение аортальных аневризм - риск тромбообразования. В области аортальной аневризмы могут развиться небольшие тромбы. Если тромб отрывается от внутренней стенки аневризмы и закрывает кровеносный сосуд в другом месте в Вашего тела, это может вызвать боль или заблокировать приток крови к ногам, пальцам ног, почкам или органам брюшной полости.
Современные подходы к лечению аневризмы брюшной аорты
- аневризма брюшной части аорты выявляется ежегодно приблизительно у 12 – 15 человек из 100,000, и из-за потенциальной возможности разрыва увеличивает летальность;
- УЗИ или КТ скрининг рекомендуется для курящих мужчин старше 65 лет, и для мужчин старше 50 лет и женщин старше 60 лет, у которых родители или родные братья/сестры имели аневризму аорты;
- oперировать рекомендуется аневризмы с диаметром больше 5 см у женщин и 5.5 см у мужчин, или если аневризма увеличилась на 5 мм (или больше) меньше чем за 6 месяцев;
- эндоваскулярные операции аневризмы брюшной аорты являются методом выбора у пациентов старше 65 лет, при высоком риске из-за других заболеваний и при предшествующих операциях на аорте.

В руках опытных хирургов открытая операция на аневризме аорте в большинстве случаев безопасна и обеспечивает долговременные результаты, и хорошо подходит для молодых пациентов. Во время этой операции аорта пережимается выше и ниже аневризмы, и измененный участок заменяется полиэстровой заплатой.
Периоперационные осложнения (включая сердечные и легочные осложнения, послеоперационные грыжи, сексуальную дисфункцию, паралич нижних конечностей и смерть) и время восстановления при выборе традиционного открытого вмешательства, могут дать худший результат у пациентов пожилого возраста или с высоким операционным риском.
Эндоваскулярное лечение аневризмы аорты с использованием имплантируемого стента является более безопасной альтернативой открытой операции. Эта процедура дает отличные результаты у пациентов с подходящим анатомическим строением.
Контроль и лечение
- аневризмы часто протекают бессимптомно;
- аневризмы брюшной аорты часто обнаруживаются случайно при обследовании живота при выполнении рентгенографии, компьютерной томографии, УЗИ, выполненных с другой целью;
- если аневризма маленькая (4.5 см в диаметре) и никаких симптомов нет, рекомендуется ежегодное дуплексное ультразвуковое обследование;
- отказ от курения и контроль гипертонии – оптимальная профилактика появления и роста аневризм;
- оперировать рекомендуется аневризмы с диаметром больше 5 см у женщинах и 5.5 см у мужчин, или если аневризма увеличилась на 5 мм (или больше) меньше чем за 6 месяцев.
Процедура проводится через небольшие разрезы в бедренных артериях. После пункции бедренной артерии проводник проводится через расширенную часть аорты, затем стент продвигается по проводнику. После правильного расположения стента, баллон расширяется, и стент раздвигает стенку сосуда, чтобы не допустить распространения аневризмы ниже почечных артерий.
Для гарантии надлежащей герметизации между имплантируемым стентом и аортой, большинство в настоящее время доступных стентов требует, чтобы у аневризмы проксимальный перешеек был по крайней мере на 1.0 - 1.5 см ниже почечных артерий. Однако, операция может быть сделана пациентам с аневризмами, у которых перешейки аневризмы короче или вообще отсутствуют, при помощи имплантации стента с многочисленными отверстиями и браншами к артериям почек или кишечника.
Для проведения проводника требуется подходящее состояние подвздошных артерий, однако возможное введение стента через маленький забрюшинный разрез увеличило число кандидатов на эндоваскулярную операцию
По сравнению с традиционным открытым хирургическим вмешательством эндоваскулярное имеет несколько преимуществ:
- уменьшение времени операции;
- уменьшение кровопотери и необходимости инфузий;
- уменьшение времени лечения в отделении интенсивной терапии и пребывания в больнице;
- уменьшенный риск осложнений;
- используется меньше контраста, и часто во время процедуры требуется меньше 60 мл контраста;
- интраоперационная и ранняя (до 30 дней) смертность также меньше для эндоваскулярных операций, чем для открытых.
Большинство пациентов после эндоваскулярной операции не требуют госпитализации в отделение ИТ и могут быть отпущены домой на следующий день после операции. Больший процент пациентов, перенесший эндоваскулярную операцию, отпускаются сразу домой, а не в реабилитационные санатории. Эти пациенты быстрее возвращаются к нормальному уровню физической активности, реабилитационный период составляет 1-2 недели.
У пациентов с незначительной сопутствующей патологией, которым возможно провести эндоваскулярное вмешательство, также могут произойти некоторые осложнения, специфичные для этого метода. Крайне редко возможен переход к открытой операции. Проблемы, связанные с установкой стента, возникают у 5-10% пациентов и требуют КТ или УЗИ наблюдения
Смещение стента возможно редко, т.к. у стентов нового поколения имеются крючки, и они раскрываются выше уровня почечных артерий для лучшей фиксации. «Подтекания» - когда кровь проникает между стентом и стенкой аорты – встречается в 5-10% случаев. Большая их часть – II типа «подтекания» - кровь продолжается скапливается в аневризме из поясничной артерии. Если есть рост аневризмы, пациенты не считаются излеченными, в этом случае под местной анестезией амбулаторно проводят закрытие поясничных артерий эмболизацией.
При надлежащем наблюдении риск последующего разрыва чрезвычайно низок. Поэтому пациенты должны быть готовы выполнять в дальнейшем обследование, которое включает компьютерную томографию эндоваскулярного стента спустя 4 - 6 месяцев после операции и затем ежегодно. Другие менее распространенные осложнения – разрушение или инфицирование стента.
Современный прогноз для здоровых пациентов, которые переносят операцию на аневризме, превосходен. Эндоваскулярная операция является удивительным прогрессом в лечении пациентов с подходящей анатомией и является преимущественным методом лечения пациентов с высокой степенью риска и пожилых.
Лечение и препараты
Вот общие основные принципы для лечения аортальных аневризм брюшной полости.
Маленькая аневризма
Если у Вас есть маленькая аортальная аневризма брюшной полости — приблизительно 4 см в диаметре или меньше — и у Вас нет симптомов, доктор может предложить тактику наблюдения, а не хирургическое лечение. Вообще, маленькие аневризмы в операции не нуждаются, потому что риск хирургического вмешательства, может перевешивать риск разрыва.
Если Вы выберете этот подход, то Ваш доктор будет контролировать Вашу аневризму с периодическими выполнениями УЗИ, обычно каждые 6-12 месяцев; необходимо немедленно сообщить, если Вы почувствуете болезненные ощущения в брюшной полости или боль в пояснице — потенциальные признаки разрыва.
Средняя аневризма
Средняя аневризма имеет размеры между 4 и 5.3 см. Нельзя точно сказать в случае аортальной аневризмы брюшной полости среднего размера о соотношении риска разрыва и операции. Вы должны будете обсудить факторы за и против и принять решение с Вашим доктором. Если Вы выберете наблюдение, то Вы должны будете выполнять УЗИ каждые 6 -12 месяцев, чтобы контролировать Вашу аневризму.
Большая, быстрорастущая или «протекающая» аневризма. Если у Вас аневризма, которая является большой (больше, чем 5.6 см) или быстро растущей (вырастает больше чем на 0.5 см через шесть месяцев), то Вы будете, вероятно, нуждаться в операции. Кроме того, «утечка», истонченная или болезненная аневризма требует лечения. Есть два типа хирургии для аортальных аневризм брюшной полости.
Открытая операция на брюшной полости на аортальной аневризме брюшной полости включает удаление поврежденного участка аорты и замены его на синтетическую трубку (протез), которой замещают поврежденный участок через открытый доступ к брюшной полости. При этом типе вмешательства Вам, вероятно, потребуется месяц или больше для реабилитации.
Эндоваскулярная хирургия - менее агрессивная процедура, в некоторых случаях может использоваться для операции на аневризме. Врач использует синтетический имплант, который с помощью проводника (катетера) проводится через артерию на бедре в аорту. Имплант – тканная трубка, покрытая металлической поддерживающей сеткой — помещается в место аневризмы и закрепляется маленькими крючками. Тканный имплант укрепляет ослабленную часть аорты, предотвращает разрыв аневризмы.
Время восстановления для людей, которые переносят эндоваскулярную операцию, короче, чем для людей после открытой операции на брюшной полости. Однако, в последующем потребуются более частые обследования, потому что эндоваскулярно установленный имплант может протечь. Последующие УЗИ должны проводиться каждые шесть месяцев в течение первого года, и затем один раз в год после этого. Долгосрочные коэффициенты выживаемости сходны и для эндоваскулярной хирургии и для открытой хирургии.
Способы лечения Вашей аневризмы будут зависеть от множества факторов, включая местоположение аневризмы, Вашего возраста, функции почек и других условий, которые могут увеличить Ваш риск эндоваскулярной или открытой операции.
Образ жизни и домашние средства
Лучший способ предотвращения аортальной аневризмы – сохранять Ваши кровеносные сосуды максимально здоровыми. Для этого можно предпринять следующие шаги:
- бросьте курить;
- держите свое артериальное давление под контролем;
- регулярно обследуйтесь;
- уменьшите количество холестерина и жиров в Вашей диете.
Если Вы подозреваете, что можете иметь аортальную аневризму брюшной полости, или волнуетесь по поводу Вашего риска аневризмы из-за наследственной предрасположенности, посетите врача. Если аневризма обнаружена на ранней стадии, лечение может быть легче и эффективнее.
Аневризма брюшного отдела аорты: лечение, операция
Аневризма брюшной аорты - это локальное или диффузное расширение диаметра брюшного отдела аорты более 3 см. Истончение стенки и развитие аневризмы аорты в основном носит приобретенный характер и обусловлено атеросклерозом в 95% случаев, на остальные причины (неспецифический аортоартериит, туберкулезное, сифилитическое, ревматическое поражение аорты) приходится всего 5%.
В последние годы увеличилось число травматических аневризм, особенно после ДТП. Среди врожденных причин образования аневризм брюшного отдела аорты выделяют фиброзно-мышечную дисплазию, синдром Марфана.
Аневризма брюшной аорты - заболевание, при неосложненном течении не беспокоящее больного.
Систематизация проявлений аневризмы аорты
В настоящее время нет единого подхода к систематизации проявлений аневризмы аорты брюшины. Наиболее часто медики и авторы медицинских работ используют методику А.Покровского и Р.Ермолюк, согласно которой аневризмы подразделяются:
- по этиологии – на приобретённые (невоспалительного либо воспалительного характера) и врождённые;
- по морфологии – на ложные (травматического происхождения), истинные и расслаивающие;
- по форме – на диффузионные и мешковидные;
- по течению клинического процесса – на заболевания с неосложнённым течением, осложнённые и расслаивающие;
- по типу и расположению – на проксимальном сегменте аорты брюшины, на инфраренальном отделе, а также с тотальным поражением всего отдела брюшной части аорты.
Согласно медицинской статистике, до 95% аневризм локализованы в инфраренальном отделе.
Причины развития аневризмы брюшной аорты
- атеросклероз, при котором появление на стенке аорты холестериновых бляшек постепенно снижает её прочность, что способствует выпячиванию на одном из участков;
- врождённая предрасположенность, передаваемая по мужской линии, подтверждённая многолетними наблюдениями: наличие аневризмы у отца говорит о 50%-й вероятности появления этого заболевания у сына;
- воспалительный процесс хронического вялотекущего характера, который протекает в самой стенке аорты либо в жировой ткани, которая окружает сосуд;
- травматическое повреждение стенки при травме или ранении живота, хирургической операции либо эндоваскулярном вмешательстве.
Атеросклеротические проявления становятся причиной в 85-90% случаев развития приобретённой аневризмы в брюшном отделе аорты. Признаками предрасположенности к развитию заболевания являются курение, артериальная гипертония и лёгочные заболевания в хронической форме.
Симптомы аневризмы аорты
Примерно в четверти случаев аневризма брюшной аорты развивается абсолютно бессимптомно и обнаруживается случайно, при УЗИ либо рентгеновском исследовании брюшной полости. Если же заболевание не обнаружено вовремя, высока вероятность внезапного разрыва аневризмы, что внешне сопровождается внезапной бледностью и потерей сознания. Жизнь больного при разрыве аневризмы зависит от того, насколько быстро он будет доставлен в больницу и попадёт на операционный стол.
Всё же бессимптомное течение заболевания встречается не слишком часто. Как правило, о развитии аневризмы брюшной аорты свидетельствуют:
- тупые, ноющие боли в эпигастрии (в верхней части живота) и мезогастрии (около пупка), нередко приобретающие характер приступов и даже иррадирующие в поясницу;
- ощущение пульсации, напоминающее биение сердца и ощущаемое в зоне эпигастрия либо мезогастрия.
Эти симптомы проявляются по отдельности либо в комплексе, в зависимости от типа аневризмы.
Чем же тогда опасна аневризма? – осложнениями:
Разрыв аневризмы: в определенных условиях и при достижении определенных размеров происходит разрыв стенки аневризмы, при этом кровь попадает из просвета сосуда в окружающие ткани. Около 50% пациентов умирает (летальность выше у женщин, чем у мужчин - 52,8% против 44,2%). После разрыва пациенты живут в среднем 11 часов.
Лечение аневризмы брюшной аорты – только экстренная операция
- Тромбоз аневризмы с эмболией в нижележащие отделы: фрагменты тромба из полости аневризмы попадают в сосуды ног и вызывают их ишемию за счет нарушения кровотока. Лечение – только экстренная операция.
- Сдавление близлежащих органов с нарушением их функции (почки, кишечник, позвоночник, нервные сплетения) и появлением болей в животе, спине и т.д. свидетельствует об увеличении размеров аневризмы.
Кто в большей опасности?
- Возраст - 50-79 лет
- Пол – мужской (в 3 раза чаще)
- Курение (увеличивает риск в 4-5 раз)
- Пациенты с неконтролируемой артериальной гипертензией (повышенное АД);
- Пациенты с избыточной массой тела;
- Пациенты с атеросклеротическим поражением сосудов, кровоснабжающих головной мозг;
- Пациенты с нарушением обмена холестерина крови (дислипидемия);
- Пациенты, у чьих родственников также была аневризма (риск увеличен в 2 раза).
Признаки неосложненной аневризмы (если они есть):
Боли, обычно локализующиеся в нижней половине живота и поясничной области;
Также больные могут жаловаться на ощущение пульсации в животе и наличие пульсирующего образования.
Признаки РАЗРЫВА аневризмы брюшной аорты:
- Появление болей в животе, либо изменение (усиление) ранее существовавших болей;
- Появление болей в пояснице, отдающие в пах, бедра, половые органы;
- Возможна клиника инфаркта миокарда;
- Гипотензия;
- Увеличение ранее существовавшего пульсирующего образования в брюшной полости;
- Анемия;
- Возможна кровавая рвота и т.д.
Более 70-ти процентам больных с осложненными аневризмами брюшной аорты при госпитализации установлен неправильный диагноз.
Аневризма брюшной аорты - основные методы диагностики:
Физикальное обследование – включает пальпацию живота, перкуссию, т.е. простукивание, прослушивание брюшины при помощи фонендоскопа, измерение пульса и АД.
Лабораторные анализы физиологических жидкостей – мочи и крови. Они помогают диагностировать и определить причину развития аневризмы.
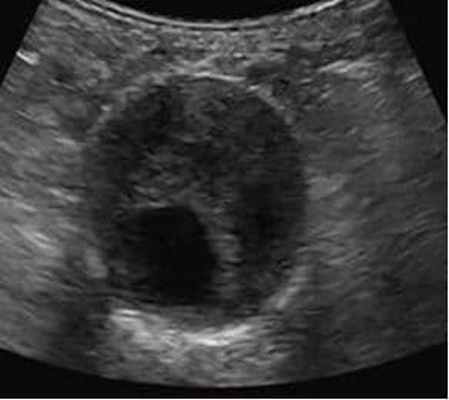
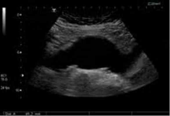
Ультразвуковое дуплексное исследование – "золотой стандарт" скринингового обследования пациентов (обнаружение и динамическое наблюдение);
КТ-ангиография - "золотой стандарт" предоперационного обследования и в тех случаях, когда информации при УЗДС недостаточно;
Рентгенография органов брюшной полости;
МРТ-ангиография с контрастным усилением;




Тактика лечения аневризмы брюшной аорты
- Если размеры аневризмы аорты менее 5,0 см в диаметре, пациент нуждается в коррекции факторов риска под динамическим наблюдением кардиолога, сердечно-сосудистого хирурга, регулярном выполнении контрольных исследований;
- Если размеры аневризмы аорты ≥ 5,0 см, то пациент нуждается в оперативном лечении для устранения риска разрыва аневризмы и возникновения других смертельно опасных осложнений.
- Если аневризма более 3,0 см и её размер увеличивается ≥ 6 мм за год, то пациент также нуждается в оперативном лечении.
Установленный диагноз аневризмы брюшного отдела аорты является показанием к операции (в любом возрасте).
Противопоказания к операции:
- острые расстройства коронарного,мозгового кровообращения с выраженным неврологическим дефицитом,
- недостаточность кровообращения IIБ-III стадии.
Важно!
- Перенесённый 3 месяца назад инфаркт миокарда - при стабильных показателях ЭКГ, а также перенесённый 6 недель назадинсульт- при отсутствии выраженного неврологического дефицита не являются противопоказанием к операции.
- Если имеется выраженная коронарная недостаточность, то проводят коронарографию и определяют состояние коронарного кровотока для решения вопроса о первоочерёдном выполнении коронарной реваскуляризации.
Протезирование брюшной аорты
Это стандартная открытая хирургическая операция. В нашем Центре эту операцию выполняют через мини-доступ - разрез на брюшной стенке длиной 5-7 см (в то время как в стандартном варианте разрез делается 15-20 см). После обработки операционного поля, подготовки сосудистого протеза необходимой длины на время, необходимое для операции, пережимается брюшная аорта выше и ниже аневризмы. Аневризма иссекается и вместо удаленного участка вшивается подготовленный сосудистый протез. После проверки герметичности швов и установки дренажей рана зашивается.
В Клинике высоких медицинских технологий им. Н. И. Пирогова СПбГУ при лечении аневризмы брюшной части аорты применяются сосудистые протезы, импрегнированные серебром, которые отличаются от обычных особой устойчивостью к инфекции. Операции продолжаются в среднем 3-4 часа, после чего пациент переводится в палату интенсивной терапии для наблюдения. При стандартном течении раннего послеоперационного периода на утро следующего дня пациент переводится в палату профильного отделения. Общий срок госпитализации таких пациентов около 7 дней.
Необходимо отметить, что существуют различные формы заболевания, усложняющие стандартное течение лечения, что в некоторых случаях может потребовать более длительной госпитализации.
Эндопротезирование аорты
Более современный метод лечения аневризмы брюшной аорты, относящийся к гибридной хирургии. Данный метод сочетает в себе открытые хирургические технологии с эндоваскулярными, он представляет собой замену аневризматически расширенного участка аорты изнутри с использованием специального протеза, изготовленного в большинстве случаев «под заказ» (этим объясняется его высокая стоимость). Сосудистый протез специальным образом уложен в системе доставки. Его расправляют прямо в полости аневризмы, под контролем рентген-установки. Таким образом, протез исключает воздействие системного артериального кровотока на слабые растянутые стенки аорты.
Этот метод позволяет добиться результатов, сравнимых с открытой хирургической техникой, только с меньшим количеством осложнений, уменьшением сроков госпитализации и реабилитации пациента в 2 раза! Ограничивают применение этого современного метода только некоторые анатомические параметры самой аорты и высокая стоимость эндопротеза.
Прогноз и профилактика
К сожалению, аневризма аорты брюшного отдела относится к наиболее коварным и непредсказуемым патологиям сосудов, при которых вероятность летального исхода превышает 50%. Важнейшее значение для позитивного исхода имеет профилактика и своевременное обнаружение аневризмы. Снизить риск развития аневризмы помогает отказ от никотиновой зависимости, а также наблюдение за артериальным давлением и своевременные меры по его нормализации.
Уменьшению числа диагностических ошибок способствует технический прогресс: современные методы исследований позволяют выявить патологию даже при отсутствии симптомов. Поэтому людям, находящимся в группе риска – курящим, гипертоникам, пожилым людям, а также тем, у кого высока вероятность появления патологии врождённого характера – следует чаще обращаться к врачу для диагностического обследования. Часто пациенты не подозревают о развитии аневризмы, пока не произойдёт её разрыв, но тогда врачебная помощь может и не быть своевременно оказана.
Обязательно обратитесь к кардиохирургу по поводу обследования на наличие аневризмы брюшной аорты. Своевременное обнаружение болезни может спасти вам жизнь и в любом случае сохранит здоровье и работоспособность.
Оформите заявку на сайте, мы свяжемся с вами в ближайшее время и ответим на все интересующие вопросы.
Аневризма брюшной аорты

Аорта – самая большая артерия в организме человека, имеющая три отдела: восходящую часть, дугу аорты и нисходящую часть. Нисходящая часть аорты подразделяется на грудной и брюшной отделы.
Аневризма брюшной аорты – это патологическое расширение брюшного отдела аорты более 30 мм в диаметре. Увеличение связано с ослаблением стенок аорты в результате возрастных изменений, генетической предрасположенности, травм, различных заболеваний, высокого артериального давления и т.д. При сильном расширении артериальный сосуд разрывается, не выдерживая высокого давления в просвете. В результате происходит сильное внутреннее кровотечение с внезапной потерей сознания. Такое осложнение аневризмы аорты часто приводит к летальному исходу.
Ещё одним осложнением, связанным с аневризмой, является тромбоз. Тромбы (сгустки крови) образовываются в стенках аневризматического мешка. Они опасны тем, что могут оторваться и застрять в мелких артериях, питающих важные органы. Закупорка приводит к ишемии (недостаточность кровоснабжения), то есть орган перестаёт получать достаточное количество крови и питательных веществ, в результате чего его функция частично или полностью утрачивается.
Заболевание непредсказуемо: аневризма может существовать в организме человека всю жизнь, не вызывая беспокойств, может сопровождаться незначительными симптомами, а в ряде случаев - внезапно разорваться.
Симптомы и признаки аневризмы брюшной аорты
К некоторым признакам аневризмы брюшной аорты относят:
- частые болезненные ощущения в животе или в области поясницы;
- ощущение пульсации в животе;
- расстройства стула;
- симптомы хронической артериальной недостаточности нижних конечностей: усталость в ногах, онемение, бледность кожного покрова, боль в икрах, возникающая при ходьбе; в запущенной стадии болезнь проявляется непрекращающейся болью в нижних конечностях, а также появлением некрозов кожи и трофических язв.
При разрыве аневризмы боль в брюшной полости или пояснице становится невыносимой, человек теряет сознание. В таком случае необходима экстренная госпитализация.
Диагностика и лечение аневризмы
В группу риска входят пожилые пациенты с тяжёлой формой атеросклероза, курильщики с большим стажем курения, лица, страдающие гипертонией и сахарным диабетом. У молодых людей патология может развиться в результате травм живота и груди.
Запишитесь на консультацию к нашему врачу
Факторами риска возникновения аневризмы
- атеросклероз;
- гендерная принадлежность – мужчины чаще подвержены заболеванию;
- пожилой возраст;
- курение;
- наследственность;
- инфекционные воспалительные заболевания аорты (сифилис, туберкулез и др.);
- виды спорта или работа, связанные с тяжёлой физической нагрузкой, например, подъём и перемещение тяжёлых грузов;
- травмы груди или живота.
Чтобы диагностировать аневризму брюшной аорты необходимо пройти ультразвуковое исследование (УЗИ) — дуплексное или триплексное сканирование брюшной аорты.
Как лечится аневризма?
До определённого размера аневризма лечится консервативно, т. е. безоперационно. Исключаются факторы риска – пациенту необходимо контролировать уровень сахара в крови, отказаться от курения, тяжёлого физического труда и т.д. Также назначается медикаментозная терапия - препараты из группы статинов.
Если аневризма брюшного отдела аорты продолжает расти и достигает 50-55 мм в диаметре, необходима операция, поскольку при таком диаметре велик риск разрыва.
Два основных способа оперативного лечения аневризмы аорты
- открытая операция по устранению аневризматического мешка и замена его на синтетический сосудистый протез;
- эндопротезирование аневризмы – изолирование аневризматического мешка от естественного просвета аорты с помощью специального металлического каркаса. Это менее травматичный, но более дорогостоящий вариант оперативного лечения.
Специалисты Медицинского центра «XXI век» рекомендуют не ждать развития болезни и при появлении подозрений на аневризму брюшной аорты обратиться за помощью. В нашей клинике вы сможете пройти все необходимые диагностические исследования аорты и магистральных артерий (дуплексное/триплексное сканирование), пройти консультацию сосудистого хирурга и получить рекомендации по дальнейшему лечению.
Читайте также:
