Аноректальная мальформация
Добавил пользователь Евгений Кузнецов Обновлено: 13.12.2025
Аноректальные пороки развития это врожденными дефекты (проблемы, возникающие при развитии плода во время беременности), при которых задний проход и прямая кишка не развиваются должным образом.
Аноректальные пороки развития это врожденными дефекты (проблемы, возникающие при развитии плода во время беременности), при которых задний проход и прямая кишка не развиваются должным образом.
- «Ано» относится к анусу, который является отверстием на конце толстой кишки, через которое проходит стул.
- «Ректальные» относится к прямой кишке, которая является областью толстой кишки чуть выше заднего прохода.
- Дефекация – процесс выделения стула через прямую кишку.
Во время дефекации стул проходит из толстой кишки в прямую кишку, а затем в задний проход. Мышцы в анальной области помогают удерживать стул в прямой кишке. Нервы в этой области помогают мышцам почувствовать потребность в дефекации, а также стимулируют мышечную активность.
Какие встречаются аноректальные аномалии?
При аноректальной аномалии может произойти несколько нарушений, включая следующие:
- Анальный проход может быть узким
- Над анальным отверстием может присутствовать мембрана
- Прямая кишка может не соединяться с задним проходом
- Прямая кишка может соединяться с частью мочевыводящих путей или репродуктивной системы через проход, называемый свищем
- Лечение зависит от того, какой тип аномалии присутствует.
Что вызывает аноректальный порок развития?
Поскольку плод растет в матке матери до рождения, развиваются и созревают различные системы органов. Нижний конец кишечного тракта формируется довольно рано во время беременности. У плода нижняя часть толстой кишки и мочевыводящих путей начинаются как одна большая масса клеток. В первые три месяца беременности должны произойти определенные процессы, чтобы прямая кишка и задний проход отделялись от мочевыводящих путей и сформировались правильно. Иногда эти не происходят, как они должны, и прямая кишка и / или задний проход не могут развиваться нормально. Ничто из того, что мать делала во время беременности, не может быть причиной порока развития.
Кто подвержен риску развития расстройства?
В большинстве случаев причина аноректальной аномалии неизвестна. Аноректальная аномалия может сочетаться с некоторыми из генетических синдромов или врожденных проблем: Ассоциация VACTERL (синдром, при котором наблюдаются аномалии позвоночника, анала, сердца, трахеи, пищевода, почек и конечностей).
- Нарушения пищеварительной системы
- Нарушения мочевыводящих путей
- Нарушения позвоночника
Почему аноректальная мальформация вызывает проблемы?
Пороки аноректального развития вызывают отклонения в способе дефекации у ребенка. Эти проблемы будут варьироваться в зависимости от типа порока развития.
- Когда анальный проход узкий, ребенку может быть трудно опорожнять кишечник, вызывая запоры и, возможно, дискомфорт.
- Если над анальным отверстием имеется перепонка, возможно, ребенок не может испражняться.
- Когда прямая кишка не связана с задним проходом, но имеется фистула, стул покидает тело ребенка через свищ вместо заднего прохода. Это может вызвать инфекции.
- Если прямая кишка не связана с задним проходом и нет фистулы, то нет никакого пути для стула покинуть кишечник. Ребенок не сможет иметь стул.
Как диагностируют аноректальные пороки развития?
Врач проводит медицинское обследование после рождения ребенка. Осматривает задний проход, чтобы увидеть, открыт ли он.
Диагностические исследования с изображениями могут быть сделаны для более точной оценки сложности проблемы:
Рентген брюшной полости. Диагностическое исследование, в котором используются невидимые электромагнитные лучи для создания изображений внутренних тканей, костей и органов на пленке. УЗИ брюшной полости. Метод диагностической визуализации, который использует высокочастотные звуковые волны и компьютер для создания изображений кровеносных сосудов, тканей и органов. Ультразвук используется для просмотра внутренних органов и оценки кровотока через различные сосуды.
Компьютерная томография. Процедура диагностической визуализации, которая использует комбинацию рентгеновских лучей и компьютерной технологии для получения горизонтальных или осевых изображений (часто называемых срезами) тела. КТ показывает детальные изображения любой части тела, включая кости, мышцы, жир и органы. КТ более подробные, чем обычные рентгеновские снимки. Магнитно-резонансная томография (также называется МРТ). Диагностическая процедура, которая использует комбинацию больших магнитов, радиочастот и компьютера для получения подробных изображений органов и структур внутри тела.
Реннтгеновское исследование толстой кишкис барием – ирригография (также называется бариевой клизмой) - процедура, которая исследует прямую кишку, толстую кишку и нижнюю часть тонкой кишки. Жидкость, называемая барием (металлическая, меловая жидкость, используемая для покрытия внутренних органов, чтобы они были видимы на рентгеновских снимках), вводится в прямую кишку в виде клизмы. Рентген брюшной полости после введенеия бария показывает стриктуры (суженные области), препятствия (закупорки) и другие проблемы.
От чего зависит лечение аноректальной мальформации?
Лечение аноректальной мальформации может зависеть от следующих особенностей пациента и патологии:
- Масштаб проблемы
- Общее состояние здоровья ребенка и история его болезни
- Мнение врачей, занимающихся уходом за ребенком
- Промежутков ожидания очередного этапа лечения по ходу заболевания
- От мнения родителей и их предпочтений
Как проводится лечение аноректальной мальформации?
Какие операции выполняются при сложном пороке?
Сначала делается операция по созданию колостомы - толстая кишка пересекается, а ее концы выводятся через отверстия в брюшной стенке и подшиваются к коже. Верхняя часть позволяет стулу выходить наружу (называется стомой) и затем в калоприемник – мешок для сбора. Нижняя часть позволяет слизи, которая вырабатывается кишечником, выходить в мешок для сбора. После формирования колостомы, пищеварение ребенка не нарушено, и он или она может хорошо расти и набираться сил для следующей операции. Кроме того, когда следующая операция будет выполнена, в нижней части кишечника не будет никакого стула, чтобы заразить область операции.
Следующая операция – проктопластика прикрепляет прямую кишку к анусу и обычно проводится в течение первых нескольких месяцев жизни. Колостомы остаются на месте в течение нескольких месяцев после этой операции, поэтому область швов может заживать без инфицирования стулом. Несмотря на то, что прямая кишка и задний проход теперь соединены, стул выходит через колостому до тех пор, пока она не будет закрыты хирургически. Через несколько недель после операции родители могут выполнять бужирование ануса, чтобы помочь ребенку подготовиться к следующему этапу.
Через два-три месяца проводится операция по закрытию колостомы. Ребенку не разрешается есть в течение нескольких дней после операции, пока кишечник заживает. Питание он получает через подключичный венозный катетер. Через несколько дней после операции появляется самостоятельный стул через прямую кишку.
Сначала стул будет частым и жидким. На этом этапе могут возникнуть проблемы с опрелостями и раздражением кожи. Через несколько недель после операции стул становится менее частым и более твердым, и это нередко вызывает запор. Врач ребенка может порекомендовать диету с высоким содержанием клетчатки (включая фрукты, овощи, соки, цельнозерновые зерна и крупы, а также бобы), чтобы помочь при запорах.
Когда приучать ребенка с аноректальной атрезией к горшку?
Обучение туалету следует начинать в обычном возрасте, когда ребенку от двух до трех лет. Однако дети, у которых были устранены аноректальные пороки развития, могут медленнее, чем другие, вырабатывать контроль над кишечником. Некоторые дети могут быть не в состоянии хорошо контролировать стул, в то время как у других может быть хронический запор, в зависимости от типа порока развития и его восстановления. Хирург ребенка может объяснить перспективы вашего ребенка.
Каковы долгосрочные прогнозы этих расстройств?
Дети, у которых был тип порока развития, который включает анальную мембрану или узкий анальный проход, обычно могут обретать хороший контроль над стулом после восстановления аноректальной мальформации. Дети с более сложными вариациями аноректальной аномалии могут нуждаться в программах лечения кишечника, чтобы помочь им контролировать движения своего кишечника и предотвратить запор.
Какие осложнения встречаются после хирургического лечения аноректальных атрезий
Основные осложнения в отдаленном послеоперационном периоде после коррекции аноректальных мальформаций – хронический запор, недержание кала, стеноз ануса, выпадение слизистой прямой кишки и сексуальные дисфункции, а также приобретенные в результате неудачных операций (ятрогенные) урологические проблемы: стриктура уретры, недержание мочи, нейрогенный мочевой пузырь, орхиоэпидидимит , пузырно-мочеточниковый рефлюкс, расстройства эрекции, кишечно-мочевой свищ.
Какие урологические проблемы встречаются у детей с аноректальными атрезиями?
Урологические проблемы у пациентов с анорекальными атрезиями бывают врожденного характера (вследствие неврологических расстройств из-за проблем крестцово-копчикового отдела позвоночника), а также приобретенными вследствие травматизации нервов и мышц в процессе операции (ятрогенные). Урологические осложнения после операций встречаются с частотой от 10 до 90% в зависимости от клиники и тяжести порока.
Частота ятрогенных урогенитальных проблем в результате коррекции аноректальных пороков прогрессивно возрастает при повторных проктопластиках, когда вслед за безуспешной первой операции и несмотря на осложнения, хирург выполняет вторую, третью , а иногда и 5-6 операцию. Данные осложнения ведут к серьезным психологическим нарушениям и психосоциальной дезадаптации пациентов с пороками аноректальной области и их родителей, и часто не могут быть исправлены при повторных вмешательствах
Где оперировать ребенка с аноректальной атрезией?
Анректальные мальформации необходимо исправлять с первой попытки. Лучшие результаты получены опытными хирургами , выполняющими не менее не менее 10 проктопластик в год. Поэтому самые сложные пороки – клоаки, пороки с удвоениями кишечника и мочевых путей, пороки сочетающиеся с аномалиями крестца и копчика и нейрогенным мочевым пузырем следует оперировать в федеральных центрах.
Сложные клоакальные пороки должны лечиться только хирургами, имеющими большой опыт и владеющими всеми хирургическими приемами, применяемыми в урологии, проктологии, гинекологии.
Консультации (от 0 до 18 лет) проводятся в поликлинике Российской Детской Клинической Больницы (Москва, Ленинский проспект 117)
Аноректальные мальформации у детей (федеральные клинические рекомендации) Текст научной статьи по специальности «Клиническая медицина»
Аннотация научной статьи по клинической медицине, автор научной работы — Аверин В.И., Ионов А.Л., Караваева С.А., Комиссаров И.А., Котин А.Н.
Похожие темы научных работ по клинической медицине , автор научной работы — Аверин В.И., Ионов А.Л., Караваева С.А., Комиссаров И.А., Котин А.Н.
Гидроэхоколонография как альтернатива ирригографии при оценке толстой кишки у детей с аноректальными мальформациями
Anorectal malformations in children (federal clinical recommendations)
Federal clinical recommendations on the treatment of anorectal malformations are presented based on the summarized clinical experience of 28 clinical centres that annually perform about 300 anoplastic operations and 7 pediatric coloproctologists annually performing 20-40 anoplastic operations each. These recommendations and Russian Consensus were discussed in 2013-2014 in the framework of 9 national and international forums of pediatric surgeons. The Consensus is expected to standardize the treatment of children with anorectal malformations .
Текст научной работы на тему «Аноректальные мальформации у детей (федеральные клинические рекомендации)»
© КОЛЛЕКТИВ АВТОРОВ, 2015
Аверин В.И.8, Ионов А.Л.5, Караваева С.А.4, Комиссаров И.А.10, Котин А.Н.4, Мокрушина О.Г.3, Морозов Д.А.1'2, Николаев В.В.5, Новожилов В.А.6 7, Поддубный И.В.1'9, Смирнов А.Н.3, Пименова Е.С.1'2, Окулов Е.А.1
АНОРЕКТАЛЬНЫЕ МАЛЬФОРМАЦИИ У ДЕТЕЙ (федеральные клинические рекомендации)
Щаучный Центр здоровья детей; 2Первый Московский ГМУ им. И.М. Сеченова; 3Российский НИМУ им. Н.И. Пирогова; 4Первый Санкт-Петербургский медицинский университет им. И.П. Павлова, 5Российская детская клиническая больница; 6Иркутский государственный медицинский университет; 7Ивано-Матренинская детская больница; 8Белорусский ГМУ; 9МГМСУ им. А.И. Евдокимова; 10Санкт-Петербургский государственный педиатрический медицинский университет
Для цитирования: Детская хирургия. 2015; 19 (4): 29—35.
Averin V.I.8, Ionov A.L.5, Karavaeva S.A.4, Komissarov I.A.10, Kotin A.N.4, Mokrushina O.G.3, Morozov D.A.12, Nikolaev V.V.5, Novozhilov V.A.67, Poddubny I.V.1,9, Smirnov A.N.3, Pimenova E.S.12, Okulov E.A.1
ANORECTAL MALFORMATIONS IN CHILDREN (Federal Clinical Recommendations)
1Research Centre of Children's Health; 2I.M.Sechenov First State Moscow Medical University;
3N.I.Pirogov Russian National Research Medical University; 4I.P.Pavlov First State Sankt-Peterburg
Medical University; 5Russian Children's Clinical Hospital; 6Irkutsk State Medical University;
7Ivano-Matreninskaya Children's Hospital; 8Belorussian State Medical University; 9A.I.Evdokimov
Moscow State Medical Stomatological Uinversity; 10Sankt-Peterburg State Pediatric Medical University
Federal clinical recommendations on the treatment of anorectal malformations are presented based on the summarized clinical
experience of 28 clinical centres that annually perform about 300 anoplastic operations and 7 pediatric coloproctologists annually
performing 20—40 anoplastic operations each. These recommendations and Russian Consensus were discussed in 2013-2014 in the
framework of 9 national and international forums of pediatric surgeons. The Consensus is expected to standardize the treatment of
children with anorectal malformations.
Key words: anorectal malformations, consensus
Клинические рекомендации и Российский Консенсус по лечению аноректальных мальформаций стали результатом совместного труда детских хирургов России, Белоруссии, Узбекистана. В открытом и интерактивном обсуждении приняли участие коллективы из Архангельска, Астрахани, Белгорода, Владикавказа, Волгограда, Воронежа, Екатеринбурга, Ижевска, Иркутска, Кемерово, Кирова, Краснодара, Минска, Москвы, Нижнего Новгорода, Новосибирска, Омска, Орла, Самарканда, Самары, Санкт-Петербурга, Саратова, Ставрополя, Томска, Уфы, Челябинска, Якутска. Методология создания и программа обеспечения качества
клинических рекомендаций основывались на базовых принципах использования информационных ресурсов, консолидированного опыта специалистов [1—3].
Подготовке клинических рекомендаций предшествовал ряд важных мероприятий.
Европейской ассоциации детских хирургов (EUPSA, Guis J.M., France).
2. Анкетирование детских хирургов — комплекс мер по достижению профессионального консенсуса. В основу положен обобщенный клинический опыт 28 клиник (ежегодная практика около 300 аноректо-пластик) и отдельно — семи экспертов детских коло -проктологов с ежегодным опытом 20—40 аноректо-пластик.
- Первое анкетирование проведено в рамках Российского симпозиума детских хирургов (Астрахань, апрель 2013 г.).
- Анкетирование детских хирургов из 30 клиник РФ
"Хирургическое лечение вестибулярных свищей"
(Москва, февраль 2014 г.).
3. Второе обсуждение в ходе симпозиума "Коррекция аноректальных пороков развития. Консенсус" XII Российского конгресса педиатров и детских хирургов "Инновационные технологии в педиатрии и детской хирургии" (Москва, октябрь 2013 г.), включая on-line голосование по вопросам диагностики и лечения аноректальных мальформаций 56 участников — детских хирургов (Москва — 2013 г.).
4. Дискуссия, обсуждение операций on-line, экспертная оценка на Международном симпозиуме и мастер-классе по детской колопроктологии (аккредитация в Европейском совете по непрерывному медицинскому образованию Европейского союза медицинских специалистов — EACCME UEMS), Научный центр здоровья детей РАМН, февраль 2014 г.
9. Публикации основных полученных результатов: промежуточные результаты исследования были опубликованы в материалах научно-практических конференций, в специальном выпуске журнала Российский вестник детской хирургии, анестезиологии и реаниматологии, 2013 г., № 4 (детская колопроктология).
10. Принятие протоколов лечения и клинических рекомендаций "Аноректальные мальформации" — одноименный круглый стол в рамках XIII конгресса педиатров и детских хирургов "Инновационные технологии в педиатрии и детской хирургии" — Москва, октябрь 2014 г.
Рекомендации включают детальное описание последовательных действий хирурга в определенных клинических ситуациях. Углубленная информация
об эпидемиологии, этиопатогенезе рассматриваемых процессов представлена в специальных руководствах. Существует электронная версия настоящих клинических рекомендаций, размещенная в свободном доступе на сайте Российской ассоциации детских хирургов, Научного центра здоровья детей.
Определение, эмбриогенез, классификация аноректальных мальформаций
Аноректальная мальформация — врожденный порок развития аноректальной области (согласно Малой медицинской энциклопедии malformatio; лат. malus плохой + formatio образование, формирование). Классифицируется по МКБ-10 в рубриках в Q42, Q43.
Аноректальные мальформации требуют хирургической коррекции в периоде новорожденности или раннем возрасте, в ряде случаев — многоэтапных операций и реабилитационных мероприятий, направленных на сохранение нормальной кишечной конти-ненции. Согласно отчету Международного справоч-но-информационного центра по эпидемиологическому надзору и исследованиям в области врожденных пороков, в 2008 г. частота аноректальных мальформаций во всем мире составила 1 на 5000 новорожденных; 1 на 1500 живых новорожденных.
Причина развития аноректальных мальформаций до конца не изучена, однако в последнее время идет речь о несомненном участии генетических факторов. Нередки случаи семейных форм аноректальных пороков, последние входят в состав синдромов Курра-рино (мутация в гене HLXB9), Палистера—Холла, Таунса—Брокса (мутация в гене Sall 1). Описаны гены, отвечающие за развитие аноректальной атре-зии (WNT3A, PCSK5, TCF4, MKKS, GLI2, HOXD12, BMP4), а также мутации в различных генах (Shh, Gli, Bmp7, Wnt5a), ведущих к нарушению развития урорек-тальной перегородки и формированию аноректальных пороков. Наиболее приемлемой в настоящее время является полиэтиологическая теория возникновения аноректальных пороков, опирающаяся на воздействие разнообразных вредных агентов в критические периоды развития эмбриона, в частности в период органогенеза. В первые недели внутриутробного периода конечная кишка открывается вместе с каналом первичной почки в одну общую полость — клоаку, которая у хвостового конца закрыта клоачной перепонкой.
При нарушении нормального процесса развития могут возникать различные пороки. При недоразвитии клоачной мембраны наблюдается атрезия заднего прохода. Если в результате недоразвития энтодер-мального зачатка слепой конец кишки не доходит до втянувшейся эктодермальной заднепроходной перепонки и не происходит рассасывания разделяющей их клоачной мембраны, развивается атрезия прямой кишки. В случаях недоразвития энтодермального зачатка и эктодермальной кишечной трубки нарушается развитие дистального отдела кишки и не происходит втягивания эктодермы, результатом чего является атрезия заднего прохода и прямой кишки. Врожденное сужение ануса возникает как следствие неполного прорыва клоачной мембраны. Если нарушение развития затрагивает краниальный конец клоакальной мембраны, формируются различные формы урогени-
тальных мальформаций. Нарушения бластогенеза в первые 4—8 нед ге стации с большой долей вероятности являются причиной развития аноректальных мальформаций.
Анализ большого числа исследований, проведенных за последние 20 лет преимущественно в США, показал высокую частоту рождения детей с анорек-тальными пороками от родителей, курящих табак, употребляющих алкоголь, а также от матерей с сахарным диабетом (в том числе гестационным) и ожирение.
Основные осложнения в отдаленном послеоперационном периоде после коррекции аноректальных мальформаций — хронический толстокишечный стаз, недержание кала и сексуальные дисфункции, а также урологические проблемы. Кроме врожденных нарушений, связанных с патологией крестца и копчика, инфравезикальной обструкцией при клоакальных мальформациях, инфекции при ректопузырных свищах, существует большая группа ятрогенных урологических проблем, возникающих вследствие проведения ректопластик, особенно повторных. Данные осложнения ведут к инвалидизации и серьезной психосоциальной дезадаптации пациентов с пороками аноректальной области и их родителей.
В настоящее время общепризнана большинством детских хирургов Согласительная Крикенбекская классификация аноректальных пороков (Германия, 2005 г.) (табл. 1), в которой нет регистрации таких понятий, как " высокие", "низкие", "промежуточные" [5].
Клиника и первичная диагностика аноректальных мальформаций. Современные задачи и методы диагностики аноректальных мальформаций
Этап родильного дома
Первостепенную роль в диагностике аноректаль-ных мальформаций играет тщательный осмотр промежности. Почти во всех случаях аноректальных мальформаций анальное отверстие в привычном месте отсутствует, в связи с чем подобный диагноз должен быть поставлен при первичном осмотре новорожденного педиатром. Исключение составляют атрезия прямой кишки и кишечные свищи при нормально сформированном анусе. Важным фактом для анализа является наличие или отсутствие отхождения мекония. В этой связи безусловной рекомендацией детским хирургическим коллективам следует считать проведение методической работы в родильных домах. Задача на данном этапе — своевременная диагностика наличия мальформации и согласованный перевод в детский хирургический стационар. В большинстве наблюдений рекомендован перевод из родильного дома не ранее 10—12 ч после рождения, чтобы не ухудшить транспортировкой состояние ребенка в периоде ранней адаптации. Транспортировка новорожденного должна осуществляться только специализированной бригадой с созданием идеальных условий. Более ранний перевод возможен в структурах перинатальных центров.
В случае антенатально выявленного порока или при подозрении на порок развития ануса и прямой кишки предпочтительно родоразрешение в специализированном роддоме, рекомендованном хирургом, проводившим антенатальную консультацию.
АНОРЕКТАЛЬНЫЕ АНОМАЛИИ
Широкий спектр патологии от эктопии анального отверстия до комбинированных аномалий прямой кишки и мочеполового тракта относится к порокам развития аноректальной области. Многие формы требуют экстренной диагностики и хирургического лечения во избежание грозных осложнений и смерти ребенка.
В среднем заболевание встречается у 1: 3500 – 5000 новорожденных детей, чаще обнаруживается среди мальчиков (до 55-70%), при этом наиболее сложные варианты пороков также более характерны для пациентов мужского пола.
Аноректальные аномалии у новорождённых чрезвычайно разнообразны, поэтому существует множество классификаций этих пороков.
Практическое значение имеет выделение двух видов аноректальных атрезий:
- атрезии анального отверстия и прямой кишки без свищей.
- атрезии анального отверстия и прямой кишки со свищами.

Аномалии второй группы, в свою очередь, могут быть подразделены на:
- аномалии с наружными свищами (промежностные фистулы; у девочек — вестибулярные);
- аномалии с внутренними свищами (все свищи с мочевой системой; у девочек — с половой).
Из тератогенных факторов, приводящих к атрезии ануса, наиболее часто встречается диабет у матери.
Вероятность обнаружения сочетанных аномалий и пороков развития очень велика (до 80%). Чаще всего обнаруживают пороки развития органов мочеполовой системы, сердца, желудочно-кишечного тракта и позвоночника, особенно каудального отдела. Среди хромосомных аномалий наиболее часто выявляются синдромы Дауна и Паллистера – Киллиана (тетрасомия 12р). Атрезия ануса и прямой кишки входит в состав VACTER- и VACTERL-ассоциации.
При первичном осмотре новорожденного в родзале врач-неонатолог обязан осмотреть промежность ребенка, установить наличие анального отверстия в типичном месте и с помощью катетера проверить его проходимость. Отсутствие ануса или трудности катетеризации прямой кишки являются показанием для экстренной консультации детского хирурга.
При ультразвуковом исследовании плода признаки патологии со стороны прямой кишки можно обнаружить только у 10-20% плодов в третьем триместре беременности. Эхографическая картина включает расширение петель толстой кишки.
Новые перспективы в пренатальной диагностике атрезии прямой кишки открывает визуализация анального сфинктера у плода, в виде гипоэхогенной циркулярной структуры с центральным эхогенным компонентом.
При подозрении на атрезию ануса и прямой кишки следует провести тщательное исследование других органов и систем плода, а также кариотипирование в связи с высокой частотой сочетанных аномалий и пороков развития.
Перевод новорождённого с любой формой аноректальных аномалий в хирургическое отделение выполняют в течение первых суток жизни ребенка, поскольку для определения варианта порока могут потребоваться специализированные методы обследования, которые уже проводятся непосредственно в специализированном отделении.
Аришке очень нужна ваша помощь

Годовалой Арине при рождении поставили диагноз - отсутствие ануса (атрезия). Спустя некоторое время диагностировали не просто атрезию ануса, а её клоакальную форму. Кроме того, была обнаружена атрезия пищевода, трахеопищеводный свищ. По словам врачей, у Арины очень сложный случай, за 15 лет в России было прооперировано всего трое детей с похожей ситуацией. Операцию надо делать срочно. Медики посоветовали обратиться к одному из ведущих специалистов по этому заболеванию. Только работает этот специалист в американской клинике, и счёт за лечение там выставили огромный – более 6 миллионов рублей.
Благотворительный фонд «Алёша» просит оказать помощь в сборе средств на операцию.
Батаева Арина, 1 год.
Аноректальная мальформация, клоакальная форма.
Спасёт операция. Стоимость 6 245 750 рублей.
История Арины началась 4 октября 2016 года в роддоме. До этого ни многочисленные анализы, ни УЗИ, ни лечащие врачи не обнаружили каких-либо патологий. Наоборот, все было отлично «как по учебникам». Только при рождении в роддоме им. Мухиной в Москве был диагностирован первый порок – отсутствие ануса (атрезия). Через некоторое время (с помощью рентгена) обнаружен второй – атрезия пищевода, трахеопищеводный свищ. Девочку срочно перевезли в ДГКБ св. Владимира, где в первые сутки жизни была сделана операция на пищеводе.
Два месяца Аришка провела в реанимации, после чего её перевели в отделение новорождённых, где она пробыла ещё 2,5 месяца. Там же Арине диагностировали не просто атрезию ануса, а её клоакальную форму.
Но самое страшное даже не это. Сразу после рождения девочке на животик вывели стому и калоприемник. Для неё это единственный возможный способ опорожнять кишечник. Маме приходится постоянно контролировать и состояние кожи вокруг стом, так как кожа на животике тонкая, чувствительная и не предназначена для контакта с калом. Калоприёмники нужно часто менять, в течение дня выпускать накопившиеся в нем газы и кал, иначе он может переполниться и отклеиться.
После выписки Арине ещё не раз приходилось лежать в больнице – остеомиелит правой бедренной кости, пиелактазия левой почки. Но всё это не так тревожило родителей, как предстоящая операция на клоаке. Мама и папа в панике стали искать специалистов, которые смогут помочь (на операции должны присутствовать не только хирурги, а ещё и гинеколог, проктолог и уролог). К сожалению, случай у Арины очень сложный. За 15 лет в России было прооперировано всего трое детей с похожей ситуацией. Лечащий врач посоветовал обратиться в клинику в Коламбусе (США, Огайо) к одному из ведущих специалистов по этому заболеванию – доктору Марку Левитту. Изучив выписки из больницы, он согласился принять Арину в своей клинике, но счёт, который выслали семье, оказался огромным – 107 500 долларов, или 6 245 750 рублей.
«Пожалуйста, не оставьте нашу просьбу о помощи без внимания. Вы – последняя надежда обеспечить нашей маленькой дочке дальнейшую счастливую жизнь без калоприемников, постоянных больниц и страха, что вот-вот в садике либо школе может произойти «конфуз», после которого жизнь нашей Аришки станет асоциальной», – обращаются родители девочки.
Есть шанс, что при удачной операции девочка сможет контролировать акты дефекации и мочеиспускания, а также в будущем сможет вести нормальную половую жизнь и родить детей. Но лечение надо начинать как можно быстрее. Организм девочки растёт и развивается с каждым месяцем, с ним же растёт и патология. Чем старше Арина – тем меньше шансов на удачный исход. Девочке крайне нужна ваша помощь. Пожалуйста, подарите Аришке счастливое детство и надежду на будущее.
Клиническое наблюдение повторной аноректопластики у ребенка с ректовестибулярной фистулой, осложненной гигантским мегаректумом
Информация только для специалистов в сфере медицины, фармации и здравоохранения!

Журнал "Медицинский совет" №11/2021
Е.А. Окулов, ORCID: 0000-0002-0132-5662
А.В. Доценко, ORCID: 0000-0003-0671-7910
Е.Ю. Дьяконова, ORCID: 0000-0002-8563-6002
А.А. Гусев, ORCID: 0000-0002-2029-7820
С.П. Яцык, ORCID: 0000-0001-6966-1040
Национальный медицинский исследовательский центр здоровья детей; 119991, Россия, Москва, Ломоносовский проспект, д. 2, стр. 1
Введение. Аноректальные мальформации составляют одну из наиболее многочисленных групп проктологической патологии у детей. Частота встречаемости составляет 1 на 5 000 живых новорожденных. Для уточнения анатомотопографических особенностей порока и выявления сопутствующих пороков развития (пресакральные объемные образования, патология дистальных отделов спинного мозга) применяют УЗИ промежности, дистальную колостографию, МРТ органов малого таза и крестцово-копчиковой области. В статье представлен клинический случай оперативного лечения девочки 11 лет, первично оперированной по поводу аноректальной мальформации с ректовестибулярным свищом в грудном возрасте. В послеоперационном периоде на протяжении 10 лет родителями практически не проводилась реабилитационная терапия. Указанные факторы привели к стойкой декомпенсации нижних отделов кишки в виде гигантского мегаректума, что потребовало повторной аноректопластики с резекцией патологически расширенных отделов кишечной трубки. В статье представлено описание повторной операции с интраоперационной электромиоидентификацией мышц промежности, данные катамнестического наблюдения через 9 мес. после повторной аноректопластики с инструментальными методами диагностики (ирригография, функциональное исследование запирательного аппарата прямой кишки).
Заключение. Использование в ходе первичной проктопластики электромиостимуляции для достоверного определения топики сфинктерно-леваторного комплекса является обязательной. Длительная последовательная реабилитация в послеоперационном периоде, включающая бужирование неоануса, обеспечение регулярной полноценной дефекации, проведение физиотерапевтического лечения, а также регулярное катамнестическое обследование в условиях стационара также является неотъемлемой частью лечения.
Конфликт интересов: авторы заявляют об отсутствии конфликта интересов.
Case report of repeated anorectoplasty in a child with a rectovestibular fistula complicated by a giant megarectum
Evgenij A. Okulov, ORCID: 0000-0002-0132-5662
Aleksey V. Dotsenko, ORCID: 0000-0003-0671-7910
Elena I. Dyakonova, ORCID: 0000-0002-8563-6002
Aleksey A. Gusev, ORCID: 0000-0002-2029-7820
Sergey P. Yatsyk, ORCID: 0000-0001-6966-1040
National Medical Research Center for Children’s Health; 2, Bldg. 1, Lomonosovsky Ave., Moscow, 119991, Russia
Introduction. Anorectal malformations are one of the most numerous groups of proctologic pathology in children. The incidence is 1 per 5,000 live births. Perineal ultrasound, distal colostography, and MRI of the pelvic organs and sacrococcygeal region are used to clarify the anatomico-topographic features of the malformation and identify concomitant malformations (presacral masses, distal spinal cord pathology). This article presents a clinical case of surgical treatment of an 11-year-old girl who underwent primary surgery for anorectal malformation with rectovestibular fistula in infancy. In the postoperative period for 10 years, the parents practically did not carry out rehabilitation therapy. These factors led to persistent decompensation of the lower intestine in the form of a giant megarectum, which required repeated anorectoplasty with resection of pathologically dilated parts of the intestinal tube. The article presents description of the repeated surgery with intraoperative electromyoidentification of the perineal muscles, data of follow-up 9 months after the repeated anorectoplasty with instrumental diagnostic methods (irrigography, functional study of the closing apparatus of the rectum).
Discussion. This clinical observation illustrates complications following surgical treatment of anorectal malformation with rectovestibular fistula. Lack of intraoperative electromyoidentification of the muscles during primary anorectoplasty often resulted in ectopia of the neoanus relative to the center of the perineal muscle center. This circumstance was one of the causes of persistent chronic constipation in the postoperative period.
Conclusion. The use of electromyostimulation during primary proctoplasty for reliable determination of the sphincter-levator complex topography is mandatory. Long sequential rehabilitation in the postoperative period including neoanus bougienage, provision of regular full defecation, physiotherapeutic treatment, as well as regular follow-up examination in the in-patient department is also an integral part of the treatment.
Conflict of interest: the authors declare no conflict of interest.
Введение
Аноректальные мальформации составляют одну из наиболее многочисленных групп проктологической патологии у детей. Частота встречаемости составляет 1 на 5 000 живых новорожденных [1].
Диагностика рассматриваемого порока (ректовестибулярная фистула) в большинстве случаев не вызывает трудностей и осуществляется при первичном визуальном осмотре после рождения.
Для уточнения анатомотопографических особенностей порока и выявления сопутствующих пороков развития (пресакральные объемные образования, патология дистальных отделов спинного мозга) применяют УЗИ промежности, дистальную колостографию, МРТ органов малого таза и крестцово-копчиковой области [2, 3].
Объем и сроки хирургической коррекции определяются вариантом порока и возможностью адекватного опорожнения кишки. При узком наружном отверстии свища либо при выявлении сопутствующих пороков развития в течение первых суток жизни выполняется колостомия. Оперативная коррекция основного порока в таком случае осуществляется в возрасте 1–3 мес. [1, 4].
При адекватном опорожнении кишки через свищ возможна одноэтапная оперативная коррекция на 1–2-м мес. жизни. Допустимо также наложение защитной колостомы одновременно с аноректопластикой. Интраоперационно обязательно использование электромиостимулятора для низведения кишки в центр мышечно-леваторного комплекса [1, 5]. После аноректопластики обязательным условием является длительное бужирование неоануса с постепенным увеличением размера бужа для предотвращения стенозирования неоануса [2].
Необходимо диспансерное наблюдение хирурга с целью разработки тактики дальнейшей реабилитации, направленной на восстановление и поддержание эвакуационной функции толстой кишки, а также улучшение кишечного держания и окончательного становления гигиенических навыков [1, 4].
Представляем клинический случай повторного оперативного лечения ребенка с аноректальной мальформацией с ректовестибулярным свищом.
Клинический случай
Девочка Е. в марте 2019 г. в возрасте 11 лет поступила в хирургическое отделение с диагнозом «Каловый завал, мегаректум, хронический толстокишечный стаз, декомпенсированное течение. Состояние после переднесагиттальной проктопластики по поводу аноректальной мальформации с ректовестибулярным свищом».
В анамнезе диагноз установлен при рождении. В возрасте 1 года 4 мес. ребенок был оперирован переднесагиттальным доступом без наложения защитной колостомы. Операция была выполнена без использования электромиостимулятора. Послеоперационный период протекал без особенностей. В межгоспитальный период отмечались жалобы на отсутствие самостоятельной дефекации. Реабилитационная терапия на протяжении 10 лет не проводилась в связи с особенностями социального статуса (ребенок из неблагополучной семьи). Консервативная терапия (слабительные препараты) давала временный непостоянный эффект. Неполная дефекация осуществлялась только на фоне эпизодических очистительных клизм.
При поступлении отмечались жалобы на слабость, тошноту, эпизодическую рвоту, боли в животе, отсутствие стула на фоне очистительных клизм. При осмотре ребенка: живот вздут, перитонеальной симптоматики нет, в нижних отделах пальпируется визуально расширенная петля кишки, заполненная каловыми массами каменистой плотности. При детальном осмотре промежности неоанус открывается кпереди от долженствующего места на 1,5 см, приоткрыт за счет выстояния слизистой по передней полуокружности. Перианальная область загрязнена каловыми массами, передняя спайка промежности заметно укорочена (рис. 1).
Рисунок 1. Вид промежности перед повторной аноректопластикой

При пальцевом ректальном исследовании тонус наружного сфинктера значительно снижен, неоанус проходим для бужа №22. Сразу за сфинктером определяется каловый камень, заполняющий прямую кишку. При произвольном сокращении наружного сфинктера определяется ослабленное нециркулярное сокращение по задней полуокружности и отсутствие сокращения по передней полуокружности неоануса.
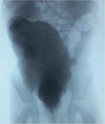
Под аппаратно-масочным наркозом было выполнено удаление калового камня. После подготовки ребенка курсом очистительных клизм и слабительных препаратов выполнена ирригография: сигмовидная и прямая кишка резко расширены в диаметре до 11 см (в прямой проекции), сигмовидная кишка удлинена с образованием дополнительной петли, гаустрация сглажена. Опорожнение неполное. После опорожнения в боковой проекции ампула прямой кишки расширена до 8,5 см, рельеф имеет грубую складчатость (рис. 2).
Рисунок 2. Ирригография перед повторной аноректопластикой

Учитывая стойкие запоры в послеоперационном периоде, неэффективность консервативной терапии, клинически определенное расположение неоануса вне центра сфинктерно-леваторного комплекса, рентгенологические признаки мегаректума и мегадолихосигмы, а также крайне низкий реабилитационный потенциал, принято решение о необходимости повторной операции.
После подготовки проведена операция: брюшно-промежностная резекция сигмовидной и прямой кишки, аносфинктеролеваторопластика с формированием колоанального анастомоза, двуствольная сигмостомия, дренирование брюшной полости (рис. 3, 4).
Рисунок 3, 4. Интраоперационная картина: выраженно расширенный ректосигмоидный отдел

Протокол операции: выполнена нижняя срединная лапаротомия. В рану предлежит расширенная петля сигмовидной кишки диаметром до 13 см и мышечной стенкой до 6 мм, с продольной складчатостью, характерной для аноректальных пороков развития и мегадолихосигмы в стадии декомпенсации. Установлено, что нижние отделы, включая прямую кишку, имеют схожие характеристики. Дистальные отделы толстой кишки признаны нефункциональными. Принято решение об экстирпации дистальных отделов толстой кишки. Антеградно мобилизована и экстирпирована на границе верхней и средней трети сигмовидная кишка, экстирпирована прямая кишка в пределах мышечной стенки. Далее со стороны промежности экстирпация завершена. С помощью электромиостимулятора определен центр наружного сфинктера, находившийся кзади от имеющегося неоануса. Выполнена леваторопластика и предуготован анальный канал, через который кишка низведена на промежность, где выполнена аносфинктеропластика (рис. 5).
Рисунок 5. Вид промежности после повторной аноректопластики

Со стороны промежности восстановлена целостность переходной складки брюшины, ушито «окно» в брыжейке. В малый таз и ретроректально установлен силиконовый дренаж, выведенный через контрапертуру справа. Наложена двуствольная сигмостома в левом мезогастрии. Лапаротомная рана послойно ушита, косметический шов на кожу.
Послеоперационный период протекал гладко. Перед выпиской сняты швы в области промежности. Заживление проходило первичным натяжением. При калибровочном бужировании неоанус свободно проходим для бужа №14. Выписана в удовлетворительном состоянии.
В межгоспитальный период ребенок получал бужирование до бужа №20.
В сентябре 2019 г. девочка госпитализирована в плановом порядке для закрытия колостомы.
При осмотре промежности: спайка промежности достаточной длины. Неоанус открывается в анальной ямке, сомкнут, опрятен. Анальный рефлекс определяется, снижен. При пальцевом ректальном исследовании тонус наружного сфинктера циркулярный, несколько снижен. Буж №20 проходит свободно. При произвольном сокращении наружного сфинктера определяется циркулярное сокращение неоануса (рис. 6).
Рисунок 6. Вид промежности при катамнестическом обследовании через 6 мес. после операции

В рамках предоперацинного обследования выполнена ирригография: per rectum с помощью шприца введено 200 мл бариевой взвеси. Толстая кишка выполнена до нисходящих отделов, расположена обычно. «Неоампула» сформирована достаточно, не расширена, контуры четкие, неровные. Аноректальный угол удовлетворительный. Позыв на акт дефекации после введения 100 мл контрастного вещества. Опорожнение полное (рис. 7).
Рисунок 7. Ирригография при катамнестическом обследовании через 6 мес. после операции

Таким образом, результат предыдущего хирургического вмешательства признан удовлетворительным и 05.09.2019 выполнено закрытие колостомы. Послеоперационный период протекал гладко, выписана в удовлетворительном состоянии.
В декабре 2019 г. ребенок госпитализирован для катамнестического обследования. В межгоспитальный период проводилась гимнастика, направленная на усиление мышц таза (упражнения Кегеля), курсы эндоректальной стимуляции аноректальной области, контроль за регулярным опорожнением путем проведения очистительных клизм. У ребенка отмечался ежедневный самостоятельный стул достаточным объемом, периодическое каломазание.
Местный статус аналогичен статусу при последней госпитализации. При комплексном сфинктерометрическом исследовании запирательного аппарата прямой кишки тонус анальных сфинктеров и суммарная сократительная способность анальных сфинктеров несколько снижены. Рефлекторная реакция на пробу с повышением внутрибрюшного давления снижена. Утомляемость мышц наружного сфинктера повышена. При натуживании косвенные признаки диссинергической дефекации отсутствуют. Спонтанная активность внутреннего сфинктера 44%. За время госпитализации ребенку был проведен курс физиотерапевтического лечения и лечебной физкультуры. Выписана в удовлетворительном состоянии.
Данное клиническое наблюдение иллюстрирует осложнения, возникшие после хирургического лечения аноректальной мальформации с ректовестибулярным свищом.
Отсутствие интраоперационной электромиоидентификации мышц при первичной аноректопластике нередко приводит к эктопии неоануса относительно центра мышечного центра промежности. Это обстоятельство явилось одной из причин стойких хронических запоров, возникших в послеоперационном периоде.
Вторым, не менее важным фактором, приведшим к необходимости повторной операции, явилось полное отсутствие послеоперационной реабилитации. Контроль адекватности опорожнения, очистительные клизмы, прием слабительных препаратов, катамнестическое обследование обязательны в послеоперационном периоде и позволяют избежать стойких запоров и, как следствие, декомпенсированного мегаректума.
Длительное скопление плотных каловых масс большого объема в прямой кишке и редкий твердый стул, по нашему мнению, оказывают несомненное негативное действие на переднюю порцию сфинктерно-леваторного комплекса и усугубляют ее истончение.
Итогом вышеназванных факторов стали декомпенсированный мегаректум и мегадолихосигма, а также полное расхождение передней порции сфинктерно-леваторного комплекса. По результатам клинического осмотра и проведенного обследования было принято решение о необходимости повторной аносфинктеролеваторопластики и резекции сигмовидной и прямой кишки под защитой колостомы.
При обследовании в катамнезе через 1 год после закрытия колостомы отмечена регулярная удовлетворительная дефекация, расположение неоануса в центре сфинктерно-леваторного комплекса, удовлетворительно сформированная неоампула.
Заключение
На основании настоящего клинического наблюдения, а также исходя из нашего опыта использование в ходе первичной проктопластики электромиостимуляции для достоверного определения топики сфинктерно-леваторного комплекса является обязательным.
Длительная последовательная реабилитация в послеоперационном периоде, включающая бужирование неоануса, обеспечение регулярной полноценной дефекации, проведение физиотерапевтического лечения, а также регулярное катамнестическое обследование в условиях стационара также являются неотъемлемой частью лечения.
Соблюдение данных условий обеспечивает удовлетворительный функциональный послеоперационный результат хирургического лечения пациентов с аноректальными пороками развития и позволяет избежать инвалидизации, а также в конечном итоге обеспечивает максимальную социализацию индивидуума.
Читайте также:
