Пальпация коленного сустава спереди
Добавил пользователь Евгений Кузнецов Обновлено: 22.11.2025
Это воспаление сухожилия с последующим дегенеративным процессом, которое локализуется в области коленного сустава. Патология часто встречается у спортсменов. В большинстве случаев поражается собственная связка надколенника в месте ее крепления к костным структурам.
Причины
Воспаление часто спровоцировано прыжками, считается профессиональным заболеванием спортсменов, занимающихся волейболом, большим теннисом, баскетболом, легкой атлетикой, футболом. В спортивной медицине существует термин «колено прыгуна».
Провоцирующими факторами развития заболевания служат:
- большой вес;
- прыжки на твердой поверхности;
- плосковальгусные стопы;
- неправильная осанка;
- обувь, не приспособленная для занятий спортом;
- длительная антибиотикотерапия;
- системные заболевания (ревматоидный артрит, склеродермия, подагра, диабет);
- повышенное содержание холестерина в крови;
- эндокринная патология.


Симптомы и степени тендинита коленного сустава
Изначально заболевание характеризуется появлением боли при интенсивных физических нагрузках. В покое пациент чувствует себя удовлетворительно. При прогрессировании воспаления болевой симптом появляется уже при привычных нагрузках, со временем — при незначительной физической активности и в состоянии покоя.
При пальпации пораженного сухожилия, надколенника ощущается болезненность. Сочленение отекает, объем движений ограничен.
Со временем прогрессирует дегенерация тканей сухожилия, оно истончается, теряет эластичность. Возможен разрыв этой анатомической структуры.
- боль при интенсивных нагрузках;
- боль при обычных нагрузках;
- симптомы проявляются в покое;
- дегенерация и разрыв сухожилия.
Диагностика
Предварительный диагноз можно установить на стадии осмотра, беседы с пациентом. Чтобы выяснить, является тендинит первичным либо вторичным, назначается общий анализ крови, мочи, ревмокомплекс, биохимия.
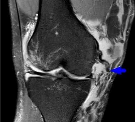
С помощью КТ, МРТ визуализируются дегенеративно измененные очаги, можно оценить их размеры, диагностировать повреждения сухожилия. На рентгенограмме пораженного сустава изменений обычно нет.
Как лечить тендинит коленного сустава
При появлении первых признаков заболевания не стоит пытаться лечить его в домашних условиях. Это может привести к необратимым последствиям. Не нужно доводить заболевание до стадии, когда колено уже не разгибается, лучше идти к врачу при первых эпизодах боли.
Для выздоровления нужно прекратить спортивные тренировки, избегать физических нагрузок. В тяжелых случаях показана иммобилизация пораженного сустава. Для снятия воспаления и боли назначают препараты группы НПВС.
После купирования острого процесса к терапии подключают электрофорез, УВЧ, магнитотерапию, и другие физиопроцедуры. При выраженном болевом синдроме и отеке выполняют блокады с глюкокортикостероидами.
После лечения восстанавливать двигательную активность нужно постепенно. Начинают терапию с курса массажа и ЛФК. Спортсменам рекомендуется пересмотреть технику выполнения упражнений, более мягко приземляться при прыжках.
При отсутствии результата от консервативной терапии в течение 2-3 месяцев и при разрывах сухожилия показана операция. Вскрывается канал, в котором расположено сухожилие, удаляются патологически измененные участки сухожилия. При разрыве связки хирург выполняет ее реконструкцию.
Профилактика
Коленный сустав принимает на себя большие нагрузки, поэтому при тяжелом физическом труде и занятиях спортом нужно давать отдыхать конечностям, выполнять упражнения таким образом, чтобы приземление было максимально плавным. Следует избегать прыжков на твердой поверхности.
Пальпация коленного сустава спереди
Пальпация коленного сустава спереди
Лучше всего начинать пальпаторное исследование в положении пациента лежа на спине, поскольку признаки асимметрии или отечности при разогнутых коленных суставах определить легче. Отметьте любые признаки кровоподтеков, гематом, асимметрии мышечных и костных контуров, обратите внимание на места отграниченного выпота, изменения окраски кожных покровов, раны и шрамы. Генерализованный отек может быть вызван метаболическими или сосудистыми нарушениями. Признаки гипертрофии костей могут указывать на артрит.
Осмотрите кожные покровы на наличие любых дистрофических изменений (потерю волос, снижение температуры, утолщение ногтей), которые могут указывать на рефлекторную симпатическую дистрофию. Не следует прилагать чрезмерные усилия для определения зон болезненности или смещений. Важно использовать направленное, но щадящее давление и постоянно совершенствовать мастерство пальпации. При глубоких знаниях топографической анатомии нет необходимости проникать через несколько слоев тканей, чтобы хорошо оценить подлежащие структуры. Помните, что, если во время обследования боль у пациента усилится, он будет сопротивляться продолжению обследования, а свобода его движений может ограничиться еще больше.
Пальпацию легче всего проводить, когда пациент расслаблен. Хотя можно выполнить пальпацию в положении пациента стоя, предпочтительными являются положения, при которых отсутствует нагрузка весом тела. Положение пациента сидя на смотровом столе со свисающими ногами является оптимальным для пальпации области коленного сустава. Это положение обеспечивает легкий доступ ко всем отделам сустава и позволяет оценить изменения его конфигурации под действием силы тяжести. Врачу следует расположиться на вращающемся табурете, лицом к пациенту.

Рисунок 1. Высокий, низкий, косой надколенник и надколенник по типу «глаза кузнечика» (или лягушки-буйвола).
а) Пальпация надколенника. Надколенник является поверхностной структурой и его расположение легко определяется на передней поверхности коленного сустава. Он представляет собой большую сесамовидную кость. Когда коленный сустав находится в положении разгибания, надколенник, вместо нормального положения покоя (на середине линии, проведенной между мыщелками бедренной кости), может быть смещен в верхнем, нижнем, медиальном или латеральном направлении. При разогнутом коленном суставе и при отсутствии какой-либо контрактуры мышц длины надколенника и его сухожилия должны быть равны.
Надколенник может быть смещен кверху (patella alta — высокий надколенник), книзу (patella baja — низкий надколенник), кнутри (косой надколенник) или кнаружи («глаза лягушки-буйвола, рыбы, кузнечика» (рис. 1). Косое расположение надколенника может быть обусловлено скручиванием бедренной кости кнутри или большеберцовой кости кнаружи.
Если смотреть на надколенник сбоку и сверху, он должен располагаться ровно. Внутренние и наружные отклонения надколенника могут вызвать аномальный износ его заднего отдела и хряща, что приводит к развитию пателлофеморального компрессионного синдрома. Когда пациент сидит, нижний полюс надколенника должен находиться на одном уровне с линией большеберцово-бедренного сустава.
Болезненность при пальпации может быть вызвана ушибом или переломом надколенника вследствие прямого удара. У подростков боль, отечность и болезненность при прикосновении или давлении в области нижнего полюса надколенника может указывать на болезнь Ларсена-Юханссона (остеохондрит нижнего полюса надколенника). Боль при компрессии надколенника может указывать на его хондромаляцию.
Рисунок 2. Пальпация бороздки блока. Рисунок 3. Измерение угла Q.
Бороздка блока большеберцовой кости является желобом, в котором скользит надколенник. Она частично пальпируется при согнутом коленном суставе поскольку в этом положении надколенник смещается книзу. Положите большие пальцы сразу выше надколенника между внутренним и наружным мыщелками бедренной кости, и Вы сможете пропальпировать углубление, которое и есть бороздка блока (рис. 2). Внутри блока надколенник стабилизируется благодаря форме своей поверхности и пателло-феморальным связкам, называемым складками.
Теперь самое подходящее время для измерения угла Q. Проведите линию между передней верхней подвздошной остью и центром надколенника. Вторую линию начертите между центром надколенника и бугорком большеберцовой кости. Измерьте угол, образованный пересечением этих линий (рис. 3). В норме указанный угол составляет 10-15° у мужчин и 10-19°—у женщин. В положении пациента сидя бугорок большеберцовой кости находится на средней линии или в проекции наружной половины надколенника. Поэтому, когда пациент сидит, угол Q должен быть равен 0°.

Рисунок 4. Пальпация бугристости большеберцовой кости.
б) Пальпация бугристости большеберцовой кости. Положите пальцы на нижний полюс надколенника. Приблизительно на 5 см ниже этой точки находится поверхностный выступ — бугристость большеберцовой кости, которая служит местом прикрепления поднадколенниковой связки (рис. 4). Чрезмерное выступание бугорка большеберцовой кости может указывать на остеохондроз апофиза большеберцовой кости (болезнь Осгуда-Шлаттера — наследственная остеохондропатия бугристости большеберцовой кости).

Рисунок 5. Измерение объема бедра.
в) Пальпация четырехглавой мышцы. Положите пальцы на переднюю поверхность бедра пациента, чтобы пропальпировать объемную четырехглавую мышцу. Четыре мышцы, входящие в эту группу, прикрепляется к верхней поверхности надколенника. Мышечный массив наиболее выражен при изометрическом разгибании в коленном суставе. Наиболее рельефными являются широкая медиальная и широкая латеральные мышцы, при этом медиальная мышца расположена немного ниже. Атрофия косой широкой медиальной мышцы обычно наблюдается после травмы, иммобилизации или операции. Для сравнения полезно обследовать и пропальпировать оба коленных сустава одновременно.
Обе мышцы должны быть симметричны, без каких-либо видимых дефектов. Можно сравнить окружность бедер, измерив их с помощью мерной ленты. Обхват бедра может увеличиваться в результате отека или уменьшаться при атрофии. Измерения следует выполнять с обеих сторон через определенные интервалы, начиная приблизительно на 7-8 см проксимальнее верхнего полюса надколенника (рис. 5). Зоны болезненности или увеличения объема тканей могут быть обусловлены напряжением, гематомой или опухолью.

Рисунок 6. Пальпация связки надколенника.
г) Пальпация поднадколенниковой связки (сухожилия надколенника). Пропальпируйте тяж, идущий от внутренней нижней поверхности надколенника до бугристости большеберцовой кости. Инфрапателлярное жировое тело расположено непосредственно позади связки, его пальпация может быть болезненной. При воспалении жирового тела образуется распространенный выпот (рис. 6). Болезненность сухожилия может быть вызвана тендинитом связки надколенника (коленный сустав прыгуна), который развивается в результате перегрузок.

Рисунок 7. Схема расположения сумок коленного сустава.
д) Пальпация сумок коленного сустава. Если сумки не воспалены и не увеличены, они обычно не пальпируются. Однако в связи с тем, что бурсит коленного сустава является распространенным заболеванием, следует ознакомиться с их локализацией. Воспаление одной из этих сумок приведет к местному выпоту, который легко пальпируется.
Препателлярная сумка расположена сразу же кпереди от надколенника. Эта сумка обеспечивает свободное движение кожи, покрывающей переднюю поверхность надколенника. Воспаление препателлярной сумки может быть вызвано длительным стоянием на коленях и называется «колено горничной/плотника».
Поверхностная инфрапателлярная сумка расположена непосредственно кпереди от связки надколенника. Воспаление этой сумки может быть также вызвано длительным нахождением на коленях и носит название «колено пастора».
Глубокая инфрапателлярная сумка расположена сразу за связкой надколенника (рис. 7).
Препателлярный бурсит и другие бурситы колена
Препателлярный бурсит - заболевание опорно-двигательного аппарата, обусловленное воспалением препателлярной сумки. Заболевание проявляется отеком передней поверхности коленного сустава – над надколенником, болезненностью при разгибании и сгибании в коленном суставе, при опоре на коленный сустав.


ПРИЧИНЫ РАЗВИТИЯ ПРЕПАТЕЛЛЯРНОГО БУРСИТА
Причины воспаления могут быть разными: от банальной травмы до инфекции. По классификации выделяют септические (инфекционные) и асептические (воспалительные) бурситы. Для препателлярной сумки характерными являются оба вида бурситов.
В некоторых случаях препателлярная сумка может повредиться в результате прямого механизма травмы, например, удара или падения на колено. Травма вызывает надрывы тканей препателлярной сумки и кровоизлияние в полость сумки. В некоторых случаях кровь может полностью заполнить полость препателлярной бурсы и бурса может раздуться, в результате чего коленный сустав принимает характерную форму.
Считается, что скопившаяся в полости препателлярной сумки кровь запускает воспалительную реакцию. В результате воспаления стенки препателлярной сумки утолщаются, становятся не такими эластичными, и их скользящие свойства исчезают. В результате чего развивается препателлярный бурсит.
Препателлярный бурсит может возникнуть из-за постоянного давления на надколенник. Некоторые рабочие выполняют работу в положении, когда опираются коленями о твердую поверхность. Если колено постоянно травмируется - это приводит к развитию воспаления и развивается препателлярный бурсит.
Препателлярный бурсит может быть вызван инфекцией. Небольшая царапина или укол в область препателлярной сумки может привести к её инфицированию. Или же после травмы инфекция может попасть в поврежденные ткани препателлярной сумки с кровотоком из очага хронической инфекции в организме, например, кариозного зуба. Инфекция приводит к скоплению гноя в полости препателлярной сумки. Последствия инфекционного препателлярного бурсита могут быть достаточно серьёзными.
СИМПТОМЫ ПРЕПАТЕЛЛЯРНОГО БУРСИТА
Препателлярный бурсит проявляется болью и припухлостью над надколенником. При осмотре во время пальпации (ощупывании) препателлярная сумка обычно болезненна. При данном состоянии больно встать коленом на твёрдую поверхность. Если препателлярный бурсит долго не проходит, то воспаление переходит в хроническое. Может появиться чувство, что в препателлярной сумке в воспалительной жидкости появились комочки. Это говорит о том, что препателлярная сумка в ответ на хроническое воспаление стала ещё толще и сформировались складки. Эти складки и ощущаются как комочки.
Препателлярная сумка может увеличиваться в размерах в несколько раз. Это происходит за счёт утолщения стенок препателлярной сумки и наполнения препателлярной сумки воспалительной жидкостью. Количество воспалительной жидкости, как правило, связано с фазой воспаления. Если воспаление в активной фазе, то количество воспалительной жидкости увеличивается, и сумка увеличивается в размерах. При больших размерах препателлярной сумки коленный сустав при взгляде сбоку принимает характерный вид.
Если возникает инфекция препателлярной сумки, то колено становится опухшим, очень болезненным и теплым на ощупь. В данном случае помимо местных признаков воспаления (боли, покраснения, повышения местной температуры, отёка), развиваются общие – повышение температуры, озноб, изменения в анализе крови. Требуется экстренное хирургическое вмешательство – вскрытие и дренирование препателлярной сумки. Если не обращаться к врачу и не выполнить вскрытие препателлярной сумки, то гной может самостоятельно прорваться, и при этом могут возникнуть системные осложнения.
ДИАГНОСТИКА ПРЕПАТЕЛЛЯРНОГО БУРСИТА
Дифференциальный диагноз бурсита препателлярной сумки проводится с такими заболеваниями, как подагра, ревматоидный артрит, септический артрит коленного сустава.
Диагноз бурсита препателлярной сумки становится очевидным после осмотра пациента, не требуется использование специальных методов обследования. Если все же нужно дообследование, то УЗИ позволяет быстро и уверенно подтвердить диагноз препателлярного бурсита.
Если для врача не ясно, является бурсит воспалительным или инфекционным, то выполняется пункция препателлярной сумки и полученный образец жидкости отправляется на исследование в лабораторию. Выполняются посевы жидкости на выявление микрофлоры и определения её чувствительности к антибактериальным препаратам. Таким образом врач получает ответ на два вопроса: является бурсит инфекционным или воспалительным и, если бурсит инфекционный, то каким антибиотиком его нужно лечить.
ЛЕЧЕНИЕ ПРЕПАТЕЛЛЯРНОГО БУРСИТА
Травматический бурсит препателлярной сумки можно лечить консервативно. Если в результате травмы скопилось значительное количество крови, то выполняется пункция толстой иглой или выполняется небольшой надрез для удаления всей скопившейся крови из полости препателлярной сумки. Вопрос о целесообразности пункции решается врачом.
Существует небольшой риск инфицирования препателлярной сумки во время выполнения данных манипуляций, поэтому пункция выполняется в перевязочном кабинете с соблюдением всех правил асептики и антисептики. После выполнения пункции накладывается стерильная повязка.
Хронический бурсит препателлярной сумки является проблемой, которая может снизить трудоспособность и ухудшить качество жизни. Отек и боль – главные проявления. Обычные повседневные действия могут доставлять дискомфорт. Лечение обычно начинается с попытки снять воспалительный синдром. Мероприятиями по снятию воспаления являются покой в коленном суставе и использование противовоспалительных средств. Такие препараты, как диклофенак и ибупрофен используются, чтобы снять воспаление и отек.
Если в сумке имеется воспалительная жидкость, то может быть выполнена пункция с целью удаления жидкости и дальнейшего её лабораторного исследования. Во время пункции ( при условии, что нет признаков инфекции в полости препателлярной сумки и отсутствии других противопоказаний) может быть введено небольшое количество стероидного средства, такого, как соли бетаметазона. Стероидные препараты являются сильными противовоспалительными средствами. Его противовоспалительного эффекта может хватить на несколько недель.
Необходима консультация с врачом-физиотерапевтом, который поможет подобрать физиотерапевтические процедуры, учитывая все особенности и противопоказания.
Использование тепла, холода, ультразвука или УВЧ обычно помогает уменьшить боль и отек. Использование холода или тепловых процедур помогут улучшить состояние в домашних условиях. Холод обычно показан сразу после травмы, тепловые процедуры – во время хронического воспаления; в любом случае применение любых методов воздействия следует обсудить с врачом.
Если бурсит является инфекционным, то локтевая сумка должна быть полностью дренирована, то есть удалена вся воспалительная жидкость или гной. Обязательным условием является обеспечение покоя коленному суставу и назначение антибактериальных препаратов. Пациенты с инфекционным бурситом наблюдаются врачом до полного исчезновения воспаления.
Дренирование препателлярной сумки.
Если развивается острая инфекция, либо в результате исследования полученной из препателлярной сумки жидкости высеялись микроорганизмы, то необходимо дренирование препателлярной сумки. Препателлярная сумка вскрывается хирургическим путем, то есть выполняется небольшой разрез, через который отделяемое может полностью дренироваться. Иногда для улучшения оттока целесообразно использование трубки или полутрубки. После того, как обеспечен отток отделяемого, пациент наблюдается до полного заживления раны. Обычно улучшение наступает в течение нескольких дней. При инфекционном бурсите обязательно назначаются антибактериальные препараты.
Удаление бурсы (бурсэктомия).
При хроническом бурсите стенки сумки утолщаются, сумка увеличивается в размерах, появляются складки сумки. При консервативном лечении удаётся снять воспаление, но через какое-то время воспалительный процесс снова обостряется. Выполнять работу и повседневные действия становится затруднительно. В данном случае стоит подумать о хирургическом лечении – удалении препателлярной сумки.
Делается разрез в проекции препателлярной сумки. Сумка иссекается. Определение границ сумки обычно не вызывает затруднений, так как стенки её значительно утолщены. После этого рану зашивают послойно. После проведения операции целесообразно на несколько дней поместить ногу в тутор для обеспечения покоя и лучшего заживления послеоперационной раны, после чего можно начинать реабилитационные мероприятия.
Так как в данном участке необходимо обеспечить скольжение кожи над надколенником, в организме образуется новая сумка из соединительной ткани. Это происходит в процессе реабилитации через некоторое время после операции. Для того, чтобы данный процесс прошёл без осложнений целесообразно пройти предписанную программу реабилитации.
РЕАБИЛИТАЦИЯ ПОСЛЕ ЛЕЧЕНИЯ ПРЕПАТЕЛЛЯРНОГО БУРСИТА
Во время консервативного лечения какой-либо специальной реабилитации как правило не требуется. Необходимо ограничить двигательную активность в коленном суставе на период развития воспаления. После того как воспаление начинает разрешаться, допускается увеличение нагрузки и амплитуды движений в коленном суставе. Некоторым не доставляет беспокойства увеличенная в размерах препателлярная сумка. Препателярный бурсит, который не связан с инфекционным процессом, может проходить самостоятельно без какого-либо лечения.
После операции для лучшего заживления раны коленный сустав фиксируют тутором. Если заживления раны проходит без осложнений, то тутор снимают на 3-5 сутки и начинают процесс реабилитации. Первые несколько занятий проводятся с инструктором по лечебной физкультуре, который помогает выполнять необходимые упражнения.
Обычно реабилитация не вызывает проблем и пациенты после нескольких занятий могут заниматься дома без контроля инструктора. Восстановление проходит достаточно быстро. Если работа не связана с постоянными движениями в коленном суставе и опорой на колено, то вернуться к повседневной деятельности возможно уже через 3-4 недели. Если необходима опора на колено, то реабилитация может занять 2-3 месяца. В течение этого времени необходимо полностью избегать опоры на колено.
Заболевания мягких тканей в области коленного сустава

Боль в коленном суставе (боль в колене) может быть вызвана не только артрозами и артритами, но и поражением мягких тканей, которые необходимо вовремя диагностировать. Своевременное лечение этих состояний полностью избавляет от проблемы боли в коленном суставе.
Бурсит гусиной лапки
Представляет собой воспаление сухожилий полусухожильной, портняжной и стройной мышц, расположенных в области прикрепления к большеберцовой кости. Это место находится на 3-4 см ниже проекции щели коленного сустава по медиальной его поверхности. Воспаление этой области очень часто развивается у тучных женщин, страдающих артрозом коленных суставов. Обычно он не сопровождается значительной припухлостью, но вызывает боли при нагрузке и локальную болезненность при пальпации в зоне поражения. Заболевание возникает вследствие бытовой, профессиональной или спортивной микротравматизации колена.
Препателлярный бурсит

Препателлярный бурсит — воспалительный процесс в синовиальной сумке, которая расположена между надколенником и покрывающей его кожей. Чаще всего это самостоятельное заболевание, развивающееся у лиц, профессия которых связана с частым стоянием на коленях (паркетчики, шахтеры и др.). При развитии бурсита спереди надколенника появляется малоболезненная большая опухоль с четкими границами.
Инфрапателлярный бурсит
Инфрапателлярный бурсит — воспаление поднадколенниковой сумки. При развитии бурсита ниже надколенника появляется отек и припухание.
Подколенный бурсит

Подколенный бурсит (киста Бейкера). Особенностью подколенной серозной сумки является то, что в половине случаев она соединяется с полостью коленного сустава, поэтому в большинстве случаев гонартрит и подколенный бурсит развиваются одновременно. Причинами первичного подколенного бурсита являются травмы, микротравмы, перегрузка коленного сустава (в частности при нарушении статики), вторичного— ревматоидный артрит, гонартроз с реактивным синовитом и другие заболевания коленного сустава.
Киста Бейкера проявляется умеренными болями в подколенной ямке, усиливающимися при разгибании голени, иногда слабостью и онемением конечности (сдавление проходящего здесь большеберцового нерва). Подколенная ямка заполнена округлой эластичной опухолью, исчезающей при сгибании голени. Разгибание коленного сустава болезненно и ограничено. Иногда опухоль распространяется на верхнюю часть икроножной мышцы. При пункции кисты получают прозрачную жидкость, напоминающую синовиальную. Часто одновременно наблюдаются признаки артрита коленного сустава.
Энтезопатии боковой поверхности надколенника
Нижнебоковая поверхность надколенника с латеральной или медиальной стороны (сопутствует гонартрозу). Диагноз устанавливают путем прощупывания (пальпации), отмечая , что пациент больше всего реагирует на давление в вышеуказанных точках. Их может быть несколько по обеим сторонам надколенника.
У вас болят колени? Приходите, мы Вам поможем!
Записаться к ревматологу на прием и лечебную блокаду в Самаре, можно позвонив по телефону на странице контакты.
Пальпация коленного сустава спереди
Врач-невролог высшей категории, специалист по рефлексотерапии, гирудотерапии, внутритканевой электростимуляции
Каждый из нас хотя бы раз в жизни испытывал боль в колене. Очень неприятное ощущение, когда с трудом поднимаешься со стула, вскрикиваешь от боли в колене при перемещении по лестнице, или начинаешь хромать при обычной ходьбе. Игнорировать боли в колене опасно, так как многие заболевания коленного сустава полностью излечимы только на ранних стадиях

Помните, что именно от своевременного лечения зависит здоровье и подвижность вашего колена. Поставить точный диагноз и назначить грамотное лечение может только специалист. При болях в колене, главное, не пропустить серьезное заболевание, которое может привести к операции и инвалидности.

Анатомия коленного сустава. Коленный сустав имеет сложное анатомическое строение, на него приходится очень большая функциональная нагрузка. Поэтому он считается самым уязвимым из всех суставов.
Коленный сустав образован бедренной, большеберцовой костями и надколенником. Суставные поверхности костей покрыты слоем хряща. Дополнительные хрящевые прокладки между костями называются менисками, они выполняют амортизирующую функцию. Коленный сустав имеет самую большую синовиальную оболочку, которая образует крупные завороты и сумки.
Полость сустава заполнена синовиальной жидкостью, которая питает суставной хрящ. Синовиальная жидкость содержит гиалуроновую кислоту, необходимую для нормального скольжения суставных поверхностей. В норме коленный сустав содержит 3-5 мл синовиальной жидкости. При болях в суставе происходит повышенная выработка жидкости воспалительного характера. Количество выпота может достигать 30-70 и даже более 100 мл. Связки, мышцы и их сухожилия направляют и ограничивают движения в суставе.
Боль в колене может возникнуть при повреждении любой из составляющих сустава (связок, сухожилий, суставного хряща, синовиальной оболочки, менисков, костей, а также близлежащих мышц).
Боль в коленях: причины. Заболеваний, проявляющихся болью в колене, великое множество. Одни связаны с травмой, вторые с разрушением хряща, третьи с воспалением или инфекцией. В этой статье мы не будем рассматривать травматические причины болей в колене. Переломы, ушибы, кровоизлияния в полость сустава (гемартроз), повреждение менисков, разрыв связок требуют лечения у травматолога.
Боль в колене: симптомы. Клиническая картина во многом зависит от заболевания, вызвавшего боли в колене. Боли в колене могут быть ноющими, тупыми, острыми, жгучими и даже нетерпимыми. Иногда боль в суставе беспокоит только при чрезмерной нагрузке, других только при ходьбе по лестнице, сгибании или разгибании ноги. Иногда боли возникают даже в покое, по ночам, нарушая сон. Характер боли в колене, как и вызвавшая её причина, могут быть разными.
К какому врачу обратиться при болях в колене? Если колено было травмировано, то необходима консультация травматолога или хирурга. При отсутствии травмы в анамнезе, следует посетить терапевта, который назначит обследование и направит при необходимости на консультацию к ревматологу, ортопеду или неврологу.
- при появлении очень сильной боли в колене;
- при боли в колене более 7 дней;
- интенсивность боли в колене со временем нарастает;
- при возникновении боли в колене после травмы, ангины, укуса клеща;
- при покраснении, отечности колена;
- при утренней скованности в колене более 30 минут;
- при повышении температуры тела.
Артроз коленного сустава начинается постепенно с незначительных болей в колене при перегрузке. В покое боли быстро проходят. Во вторую стадию боль в колене появляется уже при обычной нагрузке. Уменьшается объем активных движений в коленном суставе. Форма сустава меняется из-за костной деформации и скопления патологической жидкости в суставе.
В третью стадию боли становятся хроническими, возникают не только при движениях, но и в покое, нарушают ночной сон. Постепенно развивается типичная для артроза деформация с искривлением ноги и выраженной функциональной недостаточности коленного сустава.
Артрит коленного сустава возникает при ревматических заболеваниях, псориазе, подагре, инфекциях. Артритами болеют люди любого возраста. Характерная особенность артрита – быстрое начало, выраженная боль в колене, припухлость, покраснение, повышение местной температуры.
Для ревматоидного артрита и псориаза характерна выраженная утренняя скованность. При инфекциях, передающихся половым путем (уреаплазмоз, хламидиоз), развивается синдром Рейтера. Боли в коленях сочетаются с поражением глаз и уретритом. Боли в коленях могут сопровождать и кишечные инфекции (дизентерию, сальмонеллез).
При болезни Лайма боли в коленях возникают через 4–12 месяцев после укуса клеща. Суставной вариант характеризуется формированием хронического артрита, достаточно резистентного к проводимому лечению.
Радикулопатия L4 корешка возникает при выпадении грыжи L3-L4 диска. При сдавлении L4 корешка боли распространяются по передней поверхности ноги ниже колена. Выпадает коленный рефлекс, нарушается чувствительность на передней поверхности бедра, колена и голени.
«Колено прыгуна». Это воспаление сухожилия четырехглавой мышцы бедра в месте ее прикрепления к верхнему полюсу надколенника. Также изменения, характерные для «колена прыгуна» могут возникать в точке прикрепления собственной связки надколенника к бугристости большеберцовой кости ниже надколенника.
Причиной заболевания является острая или хроническая профессиональная, спортивная перегрузка. «Колено прыгуна» чаще наблюдается у легкоатлетов, волейболистов, баскетболистов, футболистов. Фактор риска – многократные прыжки на твердой поверхности, форсированное разгибание колена. Стрессовые перегрузки возникают и при спорте выходного дня, многих видах бытовой деятельности (перенос тяжестей, ремонт, уборка).
У пожилых пациентов развитие болей в колене происходит на фоне обычной повседневной деятельности. Клинически отмечается локальная болезненность спереди колена у верхнего или нижнего полюса надколенника. Боль в колене усиливается при разгибании колена, ходьбе по лестнице как вверх, так и вниз, вставании из положения сидя. Приседание на корточки очень болезненно. Боль усиливается при выжимании педалей автомобиля, что затрудняет вождение. Боль нередко усиливается при длительном сидении, что заставляет людей вставать и искать более удобное положение для ноги.
При прощупывании пораженное сухожилие резко болезненно. В переднем отделе коленного сустава в проекции надколенника и его собственной связки можно обнаружить небольшую припухлость. При спортивной травме необходимо прекратить тренировку, зафиксировать коленный сустав и сразу обратиться за медицинской помощью.
Синдром «гусиной лапки». Сухожилия тонкой, полусухожильной и портняжной мышц прикрепляются к внутренней поверхности большеберцовой кости на 5 см ниже суставной щели коленного сустава, образуя поверхностную «гусиную лапку». При артрозе коленного сустава, а также при избыточном вращении голени у футболистов, танцоров, гимнастов возникает перегрузка сухожилий с реактивным местным воспалением и болью в колене при сгибании, ходьбе и стоянии. При пальпации определяется плотный болезненный валик в точке прикрепления сухожилий, больной сам пальцем показывает на беспокоящее его место.
Бурсит – воспаление околосуставной сумки (бурсы) , в которой содержится суставная жидкость. Симптомы бурсита – покраснение, припухлость, боль над коленной чашечкой. В области коленного сустава расположено несколько синовиальных сумок.
«Колено домохозяйки» или препателлярный бурсит. Препателлярная сумка располагается между передней поверхностью надколенника и кожей, поэтому нередко травмируется при длительном стоянии на коленях. Клинически проявляется ограниченной, безболезненной и малоподвижной опухолью спереди от надколенника.
При значительных размерах бурсы возникает ограничение движений в коленном суставе, болезненность при максимальном сгибании колена. При других бурситах припухлость может располагаться ниже надколенника, по обе стороны связки надколенника.
Болезнь Гоффа. При избыточном весе жировая подушка может ущемляться между суставными поверхностями коленного сустава. Болезнь проявляется болью в колене при движениях, возникающих строго позади связки надколенника или немного кнутри. Наибольшая болезненность отмечается при максимальном разгибании колена. Припухлость заметна по обеим сторонам связки надколенника, болезненна при пальпации.
Болезнь Осгуд-Шлаттера возникает у мальчиков 12-15 лет, занимающихся спортом (футболом, хоккеем). Заболевание проявляется болью в колене при физической нагрузке, во время ходьбы или приседаний. Ниже коленной чашечки появляется болезненная припухлость в области бугристости большеберцовой кости.
Полное сгибание в колене возможно, но резко болезненно. Боль не проходит и в покое. В большинстве случаев после прекращения роста костной ткани происходит самостоятельное выздоровление. У взрослых данная патология не встречается.
Очень редко боли в колене возникают при опухолях, остеомиелите, туберкулезе.
Диагностика при болях в колене. Общий анализ крови (лейкоциты, СОЭ) подтверждает воспалительные процессы в организме. Чем выше лейкоциты и СОЭ (скорость оседания эритроцитов), тем сильнее воспаление. Повышение СОЭ в сочетании с ночными болями свидетельствует о воспалении, встречается чаще при ревматическом заболевании. При повышении уровня лейкоцитов причиной болей в коленях могут быть инфекционные заболевания. При артрозах показатели общего анализа крови остаются без изменений.
Анализ крови на ревмопробы. При ревматических заболеваниях резко повышен уровень СРБ, серомукоида. Отрицательные ревмопробы исключают ревматические причины болей в колене. Положительный ревматоидный фактор подтверждает связь болей в колене с ревматоидным артритом.
Повышение уровня мочевой кислоты в крови позволяет подтвердить связь болей в колене с подагрой.
Анализ крови на антитела к хламидиям и уреаплазме, соскоб из уретры позволяет исключить инфекционные причины болей в коленях.
При болезни Лайма диагноз подтверждается серологическими методами. IgG сохраняются в течение нескольких месяцев или лет.
Рентгенограмма отображает костные изменения в коленном суставе, исключает травматические причины болей в колене, опухоли, туберкулез костей. Каждая болезнь имеет свои специфические изменения на рентгенограммах. При артрозе коленного сустава хорошо видны костные деформации, остеофиты («шипы»), определяется ширина суставной щели.
УЗИ коленного сустава позволяет оценить состояние связок, сухожилий, мышц, хряща. С помощью УЗИ можно определить количество внутрисуставной жидкости, повреждение менисков, наличие кисты Бейкера.
МРТ коленного сустава помогает обнаружить самые ранние изменения хряща, визуализирует мягкие ткани (мышцы, связки, мениски).
Артроскопия коленного сустава является самым точным методом диагностики болей в колене. Специальный зонд вводится в полость сустава и под микроскопом врач оценивает степень разрушения хряща.
Пункция коленного сустава с микроскопическим исследованием внутрисуставной жидкости, посевом на микрофлору.
Лечение боли в колене. Боль в колене считается одной из самых неблагоприятных в плане терапии. Очень важно заметить первые признаки поражения коленного сустава. При своевременном и правильном лечении можно полностью избавиться от боли, восстановить подвижность коленного сустава, предотвратить деформацию сустава и сохранить трудоспособность.
Лечение болей в коленном суставе зависит от причины. Различные заболевания требуют различного подхода к лечению, нет единого универсального метода. Однако, для уменьшения болей в коленях есть и общие правила.
В первую очередь необходимо ограничить физические нагрузки и разгрузить больное колено. С этой целью применяются эластичные бинты, наколенники, трости. В настоящее время все большую популярность приобретает тейпирование. Это метод лечения, в основе которого лежит прикрепление к колену специальных липких лент (тейпов), которые разгружают коленный сустав.
Снять или облегчить боль в колене лучше всего помогают нестероидные противовоспалительные препараты. Но данные средства вызывают много побочных эффектов и должны назначаться только врачом. Длительный прием некоторых из них способствует разрушению суставного хряща. Поэтому будьте очень осторожны при самолечении.
Для наружного применения рекомендуются компрессы с димексидом или медицинской желчью, мази с НПВП. Осторожно следует относиться к разогревающим мазям и компрессам. При травмах, отеке сустава разогревающие процедуры противопоказаны. В этой ситуации лучше прикладывать на 10-15 минут к больному колену пакет со льдом, завернутый в полотенце.
При отечности, покраснении сустава быстро снимают резкую боль, воспаление лечебные блокады с кортикостероидами. Но они должны проводиться грамотными хирургами или ревматологами строго по показаниям не более 3 процедур в один сустав.
Альтернативой гормонам я считаю полезные пиявки, которые также снимают отек, воспаление и уменьшают боль в колене при любых заболеваниях, в том числе и при ревматоидном артрите. При артрозе суставов очень эффективна внутритканевая электростимуляция. Хорошо снимает боль в суставах иглорефлексотерапия.
При подагре на первое место в лечении выходит диета с резким ограничением алкоголя и продуктов, содержащих пурины. В остром периоде показаны нестероидные противовоспалительные препараты, а при стихании боли в суставе ревматолог назначит вам специальное средство, снижающее уровень мочевой кислоты в крови.
При ревматоидном артрите лечение должен назначать ревматолог. Показан постоянный прием специфических базовых препаратов, нестероидных или стероидных противовоспалительных средств.
При урогенитальных инфекциях вы должны лечиться у дерматовенеролога. При суставной форме болезни Лайма назначаются антибиотики.
Читайте также:
