Болезнь Фрейберга
Добавил пользователь Евгений Кузнецов Обновлено: 14.12.2025
Методы медицинской визуализации костно-мышечной системы: общий канал для пользователей IMAIOS
Осложнения болезни Фрейберга
Анамнез
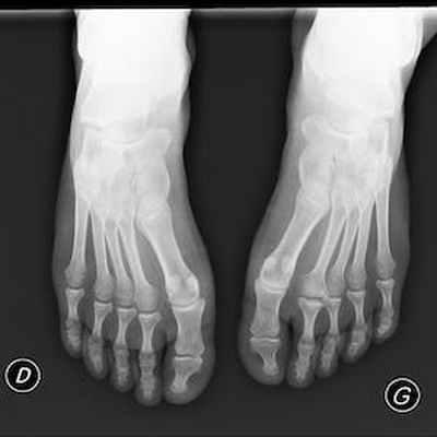
Боль в переднем отделе стопы правой ноги у пациентки 19 лет, в области головки 2-ой плюсневой кости.
Результаты
Головка 2-ой плюсневой кости выглядит сплюснутой и расширенной с правой стороны в связи с болезнью Фрейберга.
Отсутствие внутрикостной отёчной инфильтрации по краям суставной щели плюснефалангового сустава. Напротив, следует отметить наличие внутрисуставного выпота.
Отсутствие бурсита между головками плюсневых костей или под ними.
Не обнаружено невромы Мортона или тендовагинита.
Диагноз
Осложнения болезни Фрейберга
Анализ
Болезнь Фрейберга соответствует, как правило, асептическому остеонекрозу дистальной головки 2-ой плюсневой кости. Головки других плюсневых костей поражаются намного реже.
Чаще встречается в женщин.
Никаких особых клинических признаков у детей от 10 до 18 лет. Нарастающие затруднения при ходьбе, боль в переднем отделе стопы. Иногда наблюдается воспалительный процесс с опуханием и отек в суставе.
Радиодиагностическое исследование показывает линию перелома, более или менее заметную, расширение суставной щели. Головка сплюснутая и расширена в развитой стадии некроза.
Лечение зависит от степени тяжести поражения:
- на стадии, когда перелом плохо просматривается, редко можно поставить диагноз. Лечение ортопедическое, обеспечение покоя для поражённой плюсневой кости. Используются ортопедические стельки, которые облегчают боль. Риск развития артроза плюснефалангового сустава.
- при изменениях головки, применяется резекция-пересадка методом иссечения хрящевой ткани.
- на более развитой стадии, наконец применяется остеотомия под головкой плюсневой кости (остеотомия по методу Готье, который был предложен в 1989 году и является наиболее практикующимся на сегодняшний день).

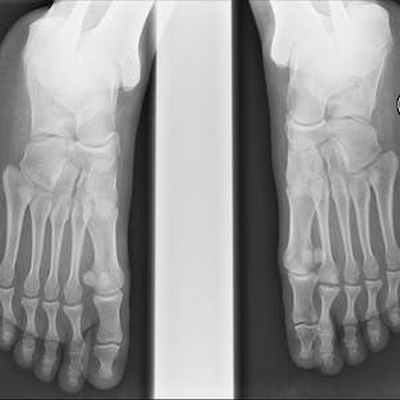
Avant pieds Face






Комментарии
Введите действительный адрес электронной почты. Можно также ввести список адресов электронной почты, разделяя их запятыми.
IMAIOS и некоторые третьи лица используют файлы cookie или подобные технологии, в частности для измерения аудитории. Файлы cookie позволяют нам анализировать и сохранять такую информацию, как характеристики вашего устройства и определенные персональные данные (например, IP-адреса, данные о навигации и местонахождении, данные пользователя, уникальные идентификаторы). Эти данные используются в следующих целях: анализ и улучшение опыта пользователя и/или нашего контента, продуктов и сервисов, измерение и анализ аудитории, взаимодействие с социальными сетями, отображение персонализированного контента, измерение производительности и привлекательности контента. Для получения дополнительной информации ознакомьтесь с нашей политикой конфиденциальности.
Вы можете дать согласие на обработку данных, отозвать или отказаться от согласия в любое время, воспользовавшись нашим инструментом для настройки файлов cookie. Если вы не согласны с использованием данных технологий, это расценивается как отказ от хранения, имеющего правомерный интерес, любых файлов cookie. Чтобы дать согласие на использование этих технологий, нажмите кнопку «Принять».
Настройки файлов cookie
При посещении сайта IMAIOS в вашем браузере сохраняются файлы cookie.
Для некоторых из них требуется ваше согласие. Щелкните тип файлов cookie, чтобы включить или отключить их сохранение. Чтобы воспользоваться всеми функциями сайта IMAIOS, рекомендуется включить различные типы файлов cookie.
Обязательные файлы cookie
Эти файлы cookie обеспечивают надлежащее функционирование сайта и позволяют оптимизировать его работу (выявление проблем с навигацией по сайту, вход в аккунт IMAIOS, онлайн-платежи, отладка и безопасность сайта). Веб-сайт не может нормально функционировать без этих файлов cookie, поэтому их использование не зависит от вашего согласия.
Аналитические файлы сookie
Эти файлы cookiе предназначены для измерения аудитории: статистика посещаемости сайта позволяет улучшить качество его работы.
Болезнь Фрейберга
БОЛЕЗНИ СТОП
БОЛЕЗНЬ ФРЕЙБЕРГА
Заболевание было впервые описано в 1914 году американским хирургом Альбертом Фрейбергом ( A .H.Freiberg). Келлер в 1920 голу детально изучил рентгенологическую картину заболевания. Асептический некроз головок костей плюсны в мировой практике называется болезнью Фрейберга, а в нашей стране по неизвестным причинам болезнью Келлера II. Заболевание относится к остеохондропатиям. То есть суставный хрящ подвергается дегенеративным и некротическим поражениям, вовлекая в этот процесс близлежащую костную ткань (в данном случае головку плюсневой кости).
Болезнь поражает преимущественно девушек в возрасте от 12 до 18 лет. Встречаются целые семьи, страдающие этим недугом. Причина возникновения заболевания остаётся невыясненной до сих пор. Большинство учёных поддерживают гипотезу о том, что причиной возникновения болезни Фрейберга является нарушение кровообращения в головке плюсневой кости. В свою очередь причин нарушения кровообращения может быть множество: анатомические особенности, сосудистые патологии, повторяющиеся травмы и микротравмы области плюснефалангового сустава и т.д. Фрейберг же считал, что основной причиной возникновения патологии является относительно большая длина второй плюсневой кости по сравнению с остальными. Его теория была подтверждена рядом исследований.
Обычно поражается головка второй плюсневой кости. В 10 – 15% случаев поражение затрагивает головку третьей плюсневой кости. Очень редко страдает головка четвёртой плюсневой кости, а в 10% случаев патологический процесс распространяется на несколько плюсневых костей.
Основываясь на результатах рентгенологического исследования, выделяют пять фаз заболевания.
1 фаза – появляется трещина в головке плюсневой кости.
2 фаза – центральная часть головки рассасывается, а сама головка уплощается. Начинается слущивание хряща.
3 фаза – продолжается деформация всей головки, плюсневая кость уменьшается в 2-3 раза, приводя к укорочению пальца.
4 фаза – возникают переломы головки и кости, приводя к возникновению в полости сустава свободных тел.
5 фаза – головка плюсневой кости расширена и уплощена, суставная щель расширена, возникают грубые вторичные артрозные деформации.
Распространёнными симптомами болезни Фрейберга являются: боль, отёк и ограниченная подвижность поражённого сустава. Сустав увеличен в объёме. Часто наблюдается повышение местной температуры тканей.
Для диагностики заболевания обычно бывает достаточно обычной рентгенографии, но иногда доктор может назначить МРТ либо исследование радиоизотопным методом.
При обращении к врачу на ранней стадии заболевания возможно консервативное лечение кортикостероидами, ограничение подвижности с помощью короткой шины или ортезов, ортопедических стелек.. Необходимо подобрать обувь, исключающую перекат стопы, с низким каблуком и рокерной подошвой (утолщённая подошва с заокругленным каблуком). Пациент также выполняет упражнения лечебной физкультуры для растяжения мышц стопы и ахиллова сухожилия.
На поздних стадиях заболевания прибегают к хирургическому вмешательству, удаляя головку плюсневой кости.
Болезнь Фрейберга (аваскулярный некроз плюсневой кости)

Болезнь Фрейберга - это форма бессосудистого некроза, поражающая плюсневые кости (пять ног в передней части стопы). Болезнь Фрейберга обычно поражает вторую (2-ю) плюсневую кость, но теоретически может поражать любую из пяти плюсневых костей. Боль может быть довольно постоянной в пораженном месте даже в покое, но хуже при нагрузке. Также в этой области могут возникать онемение и пульсирующая боль.
Причины болезни Фрейберга
Повторяющиеся физические нагрузки с течением времени могут вызвать микропереломы, когда центр плюсневых костей прикрепляется к пластине роста. Из-за микротрещин в середине плюсневых костей конец кости не будет получать необходимую циркуляцию крови, что вызывает некроз (гибель клеток и тканей) из-за недостатка кислорода и питательных веществ.
Кого поражает болезнь Фрейберга?
Заболевание встречается очень редко, но чаще всего поражает молодых женщин, спортсменов и людей с удлиненными плюсневыми костей. 80% получивших диагноз - женщины.

- Здесь мы видим анатомию стопы и видим, как плюсна - это ноги перед пальцами ног.
Симптомы болезни Фрейберга
Обычно пациенты испытывают недомогание после активности, которая включала шок в переднюю часть стопы, например бег трусцой. Пациенты могут страдать от боли в передней части стопы в течение месяцев и лет, прежде чем обратиться за помощью, в то время как у других она становится более острой после травмы и т.п. Боль может быть неопределенной, и ее часто трудно обнаружить - ее часто описывают так, как будто кажется, будто небольшой предмет застрял внутри стопы.
Диагностика болезни Фрейберга
Клинический осмотр при пальпации покажет нарушение движений и местную болезненность над пораженной плюсневой костью. На более ранних стадиях может быть единственным проявлением только локальной болезненности, но стойкие недуги также могут вызвать крепитацию (звук в суставе при движении) и образование костей. Другие возможные причины подобных симптомов: тенонит, разрушающее напряжение, интерметатарзальный бурсит или Неврома Мортона.
Сначала будет сделан рентгеновский снимок, но его недостаток в том, что он может не показать Фрейберга на ранней стадии. Один МРТ обследование - самый полезный инструмент для раннего обнаружения Фрайберга. Исследование 3D CT может дать хорошее представление о том, насколько обширны повреждения от некроза.
Рентген болезни Фрейберга:

- На картинке выше мы видим остеонекроз (отмирание костной ткани) второй плюсневой кости. Характерный признак болезни Фрейберга.
Лечение болезни Фрейберга
Основная цель лечения болезни Фрейберга - дать возможность области заживить и таким образом уменьшить боль и воспаление. В большинстве случаев рекомендуется отдых в течение 4-6 недель без напряжения. Некоторым могут понадобиться костыли, а другим могут потребоваться амортизирующие подошвы, гелевые прокладки и обувь - это бывает по-разному. Противовоспалительные препараты (например, Ибакс) не рекомендуются, так как для заживления травмы может потребоваться больше времени. Лечение холодом может облегчить боль в суставах и мышцах, в том числе в стопе. Синий. Биофриз это популярный продукт. Прежде чем прибегать к инвазивным процедурам (хирургия и хирургическое вмешательство), всегда следует надолго попробовать консервативное лечение, но в некоторых случаях это единственный выход.
Что я могу сделать даже при болях в мышцах и суставах?
1. Рекомендуется общее упражнение, специальные упражнения, растяжка и активность, но оставайтесь в пределах боли. Две прогулки в день по 20-40 минут полезны для всего тела и боли в мышцах.
2. Триггерная точка / массажные шарики мы настоятельно рекомендуем - они бывают разных размеров, поэтому вы можете ударить даже по всем частям тела. Нет лучшей самопомощи, чем эта! Мы рекомендуем следующее (щелкните изображение ниже) - это полный набор из 5 триггерных точек / массажных шариков разных размеров:

3. Обучение: Специальная тренировка с тренировочными приемами различных противников (например, этот комплект из 6 вязок разного сопротивления) может помочь вам тренировать силы и функции. Тренировка вязания часто включает в себя более специфические тренировки, которые, в свою очередь, могут привести к более эффективной профилактике травм и уменьшению боли.
4. Облегчение боли - охлаждение: Биофриз это натуральный продукт, который может облегчить боль, осторожно охлаждая область. Охлаждение особенно рекомендуется, когда боль очень сильная. Когда они успокоятся, рекомендуется термообработка - поэтому желательно иметь как охлаждение, так и нагрев.
5. Облегчение боли - Отопление: Разогрев мышц может улучшить кровообращение и уменьшить боль. Мы рекомендуем следующее многоразовая горячая / холодная прокладка (нажмите здесь, чтобы узнать больше об этом) - который можно использовать как для охлаждения (можно заморозить), так и для нагрева (можно нагреть в микроволновой печи).
Рекомендуемые продукты для снятия боли при боли в мышцах и суставах

Упражнения при болезни Фрейберга
Если человек страдает болезнью Фрейберга, следует постараться сократить слишком много силовых упражнений. Замените бег на плавание, на эллиптическом тренажере или велотренажере. Также убедитесь, что вы вытягиваете ногу и слегка тренируете ступни, как показано Эта статья.
Болезнь Фрейберга - лечение в Германии, клиника профессора Ноа
Методы лечения остеохондропатии головки плюсневой кости в Касселе
Болезнь Фрейберга – это некротические процессы в тканях свода стопы, затрагивающие преимущественно головку второй плюсневой кости. Заболевание в ряде случаем можно вылечить без хирургического вмешательства, но иногда операция все же является обязательной. И в клинике пластической и реконструктивной хирургии доктора Ноа подобные операции успешно проводятся уже не первый год.
От болезни Фрейберга в первую очередь страдает свод стопы. Проявляется это в дискомфорте и болевых ощущениях даже при относительно небольших и непродолжительных нагрузках.
Заболевание преимущественно наблюдается у девочек в раннем возрасте – от 12 до 18 лет. Преимущественно в период начала полового созревания. Именно в это время тело растет быстрее всего. Поражение плюсневой кости может быть спровоцировано травмами, перегрузками и ношением неудобной обуви. Как следствие, нарушается питание кости, возникает боль при ходьбе и другие негативные последствия.
В подавляющем большинстве случаев патологии подвергается головка только одной плюсневой кости. Поражения сразу нескольких наблюдаются только в 10% случаев. Нередко патология сопровождается наличием продольного или поперечного плоскостопия.
Клиническая картина при болезни Фрейберга
Очень редко заболевание проявляется в острой форме. Почти всегда оно развивается постепенно и не всегда заметно. Изначально пациенты отмечают незначительные болевые ощущения при нагрузках. Постепенно боль может наблюдаться и в состоянии покоя. Если не начать лечение, со временем она будет только усиливаться и постепенно приведет к постоянной хромоте. Особенно больно ходить в обуви с мягкой подошвой или вообще босиком по неровной поверхности, где давление на стопу распространяется неравномерно.
В области пораженной головки формируется припухлость, которая не исчезает даже без нагрузок на стопу. При малейшем нажатии пальцами боль становится очень сильной. Постепенно становится заметно, что палец, прилегающий к пораженному суставу, укорачивается. Амплитуда движения существенно снижается, а любая подвижность также отдает сильной болью.
Примечательно, что даже если не провести лечение заболевания, где-то спустя два года боль проходит сама по себе. Но это не значит, что болезнь Фрейберга ушла. Велика вероятность, что боль и другие симптомы вернутся в будущем, так как артроз плюснефалангового сустава будет развиваться дальше. А это в свою очередь приводит к другим негативным последствиям для организма.
Деформация головки плюсневой кости при болезни Фрейберга может быть как незначительной, так и очень объемной. Обычно это зависит от стадии заболевания. В первом случае наблюдается только небольшое выпрямление поверхности сустава. В более серьезных случаях – заметно уменьшается высота головки, наблюдается увеличение суставной щели. Если не начать лечение, может начаться рассасывание костной ткани в силу некротического поражения. На четвертой стадии структура деформированной головки становится более однородной, появляется заметное углубление по центру и выступающие в стороны края сустава. Последняя стадия – деформирующий артроз.
Лечение болезни Фрейберга
Если заболевание находится на ранних стадиях, то в большинстве случаев предпринимается консервативное лечение. Пациенту устанавливают специальный гипсовый сапожок, с которым нужно ходить в течение месяца. Если стадия более поздняя, используется ортопедическая стелька. Очень важно с максимальной точностью провести выкладку продольного и поперечного сводов стопы. Вместе с тем пациенту подбирают ортопедическую обувь, в которой ему требуется ходить на постоянной основе.
После такого лечения обязательно назначается программа гимнастики и расслабляющий массаж. Пациенту необходимо исключить любые серьезные нагрузки на стопу во избежание прогрессирования заболевания.
Нередко применяется физиотерапевтическая программа лечения, куда входит:
- ультразвук с применением трилона Б;
- компрессы и ванночки для ног;
- электрофорез;
- грязевые и/или озокерито-парафиновые ванны.
Если заболевание на поздней стадии, а консервативные методы лечения не дали положительного результата, специалисты рекомендуют проводить хирургическое лечение. Во время операции доктор удаляет все имеющиеся костные разрастания на пораженной головке сустава. Именно они провоцируют болевые синдромы и вызывают неудобства при ношении обуви. Если плюсневый сустав двигается плохо, нередко прибегают к резекции основания фаланги пальца, который соответствует пораженной плюсневой кости.
Прогнозы для таких операций – положительные. Тем более, что в клинике NOAHKLINIK применяются самые современные технологии, а сама процедура осуществляется ведущими специалистами отрасли. Нередко, особенно в тяжелых случаях, хирургическое вмешательство проводит сам профессор Эрнст Магнус Ноа.
Если же на протяжении всего заболевания, которое может постепенно прогрессировать годами, не предпринимать необходимых мер, оно приводит к деформирующему артрозу плюснефаланговых суставов. Как следствие, серьезно нарушаются функции переднего отдела стопы, а боль становится невыносимой.
Хирургия ожогов
Уникальные операции при свежих и давних ожогах от профессора Ноа Подробнее
Болезнь Фрейберга - Келера II
Боль в стопе у подростка? Причиной может быть болезнь Фрейберга - Келера II. Это заболевание чаще всего поражает вторую или третью плюсневую кость стопы.
Хотя болезнь Фрейберга - Келера II может затронуть людей всех возрастов, его чаще всего его диагностируют у активных подростков, особенно девочек, в возрасте от 14 до 18 лет. Она относится к группе заболеваний, называемых остеохондропатии , обусловлена микротравматизацией в области метафиза и зоны роста.
Что происходит при болезни Фрейберга - Келера II.
В зарубежных источниках это заболевание называют - болезнь Фрейберга, а вот в отечественных – чаще всего болезнь Фрейберга - Келера II.

Болезнь Фрейберга - это медленное разрушение костной ткани любой головки плюсневой кости, хотя обычно затрагивается вторая головка плюсневой кости. Что является причиной заболевания точно неизвестно. Оно может быть связано с травмой стопы, нарушением кровотока в пораженной кости. Повторяющееся или частое нажатие на подушечку стопы усугубляет ситуацию, что заметно у молодых спортсменов или девочек-подростков, которые часто носят высокие каблуки.
Состояние пораженной плюсневой кости начинает ухудшаться. Кость ломается, иногда разрушаясь на мелкие кусочки. В конечном итоге конец плюсневой кости образует уплощенное поражение.
Симптомы болезни Фрейберга:
- Боль в передней части стопы непосредственно под пораженной плюсневой костью.
- Дискомфорт усиливается при нагрузках, уменьшается с отдыхом.
- Передняя часть стопы может ощущаться жесткой и иногда отекать.
- В сложных случаях может появиться хромота.
Как протекает заболевание
Патологическое течение суставных остеохондрозов происходит в три этапа. На первом этапе внутрисуставные и околосуставные мягкие ткани набухают и уплотняются. На втором этапе наблюдается неровность эпифизарного контура. На последнем этапе происходит рассасывание некротизированных тканей под воздействием остеокластов.
Боль и припухлость локализируются в пораженной области плюсневой кости передней части стопы. При этом человек при описании своего состояния, может жаловаться, что при ходьбе у него ощущение, что он ходит по чему-то твердому, например камню. Появление симптомов обычно происходит постепенно. При этом отмечается ухудшение при ходьбе, особенно босиком или в обуви с поднятой пяткой.
Внешне палец может быть опухшим, особенно в районе плюснево-фалангового сустава. Может присутствовать возвышение (дорсифлексия) носка. При хроническом течении или на поздних стадиях может развиться смещение сагиттальной или корональной плоскости. Диапазон движения в суставе уменьшен, и может пальпироваться крепитация. На подошвенной подушке может развиться мозоль под вовлеченной плюсневой головкой.
Диагностика

Диагноз болезни Фрейберга - Келера II может быть подтвержден после клинического обследования с помощью рентгенограмм. На рентгенограммах ног могут наблюдаться незначительные изменения в начале проявления заболевания, характеризующиеся расширением суставного пространства. Расширение может наблюдаться в течение 3-6 недель после появления симптомов. По мере прогрессирования заболевания происходит увеличение плотности кости в субхондральной области и уплощение плюсневой головки.
МРТ также может использоваться для оценки состояния, и помочь в раннем выявлении болезни Фрейберга, когда рентгенограммы не имеют изменений. Другие исследования, такие как лабораторные исследования, также могут быть рекомендованы для исключения других состояний, вызывающих подобные симптомы.
Лечение
Лечение зависит от многих факторов, включая тяжесть состояния; присутствующие признаки и симптомы; и возраст пациента. Основной целью терапии является отдых сустава и уменьшение боли и отека, сведения к минимуму деформации эпифизарного отростка.
Первоначально обычно применяется более консервативный подход к лечению, который может включать ношение плюсневой подушечки, ношение ортезов с плюсневыми стержнями, предназначенных для разгрузки.
Такие лекарства, как нестероидные противовоспалительные препараты (НПВП), могут быть рекомендованы для лечения боли. Если консервативные методы лечения неэффективны, может потребоваться операция.
Длительность течения заболевания составляет от 6 месяцев до 2—3 лет. Болевой синдром купируется, но, при проведении рентгенографии, изменения в головке плюсневой кости могут сохраняться и нарастать. Это может привести к формированию деформирующего артроза и повторному появлению боли.
Важно вовремя обратиться к врачу для диагностики и назначения правильного лечения. Основная цель лечения - добиться восстановления правильной формы головки.
Читайте также:
