Болезнь Кинбека
Добавил пользователь Владимир З. Обновлено: 29.01.2026
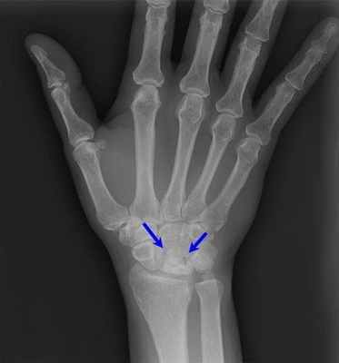
Болезнь Кинбека (Kienböck disease) — это проблема в запястье, связанная с нарушением кровоснабжения полулунной кости. Полулунная — это одна из тех восьми маленьких косточек, которые составляют запястье. В запястье выделяют два ряда: тот, что ближе к предплечью называют проксимальным, другой, который ближе к пальцам — дистальным. Полулунная кость находится в самом центре проксимального ряда, она неразрывно связана с ладьевидной костью, которая соединяет оба ряда запястья. Согласно биомеханическим исследованиям порядка 70% нагрузки на лучезапястный сустав ложатся именно на полулунную кость.
Чем вызвана болезнь Кинбека?
По всей видимости, нет одной точной причины для нарушения кровоснабжения, что приводит к некрозу полулунной кости. Болезнь Кинбека вызвана многими факторами. Эти факторы могут быть связаны с притоком крови (артериальные проблемы), с оттоком крови (венозные проблемы) или особенностями строения костей. Варианты строения костей, предрасполагающие к болезни Кинбека, — это относительное укорочение локтевой кости и особенности строения самой полулунной кости. Некоторые случаи могут быть ассоциированы с подагрой, серповидно-клеточной анемией или церебральным параличом.
Травма, единичная или регулярно повторяющаяся, также может вызвать некроз полулунной кости. В целом, все же, не существует достоверных данных о том, что болезнь Кинбека может считаться профессиональным заболеванием. Следует заметить, что нарушение кровоснабжения полулунной кости накладывает свои особенности на лечение травм запястья и безусловно влияет на прогноз.

Некроз полулунной кости на МРТ
Как поставить диагноз?
Большинство пациентов жалуются на боль запястье, усиливающуюся при нагрузке. При осмотре определяется болезненность в проекции полулунной кости. Первые шаги для диагностики болезни Кинбека — это сбор анамнеза, осмотр и рентгенограммы. Иногда требуются дополнительные исследования, наиболее информативным из которых является магнитно-резонансная томография. Именно МРТ позволяет выявить нарушение кровоснабжения полулунной кости, когда еще нет изменений на рентгенограммах. Также могут применяться компьютерная томография или остеосцинтиграфия.
Что происходит с кистью при этой патологии?
Болезнь Кинбека может иметь различное и непредсказуемое течение. Иногда болезнь удается выявить на самой ранней стадии, когда есть только боль, отек и нормальные рентгенограммы. По мере прогрессирования болезни асептический некроз полулунной кости прогрессирует, рентгенологические и биомеханические изменения становятся более очевидными. В дальнейшем в появляются маленькие переломы, кость распадается на фрагменты и полностью разрушается. После разрушения полулунной кости меняется биомеханика движений, что вызывает чрезмерную нагрузку на суставы запястья и их повреждение. Однако стоит помнить, что далеко не все случаи болезни Кинбека неизменно прогрессируют от начальной стадии до завершающей с тяжелыми нарушениями в запястье.
Лечение болезни Кинбека
Если удается выявить болезнь на ранней стадии возможно выполнение относительно малотравматичной операции с хорошим прогнозом — это укорочение лучевой кости. Благодаря этой процедуре снимается чрезмерное давление с полулунной кости и есть большая вероятность восстановления ее кровоснабжения. При уже случившемся коллапсе (разрушении) полулунной кости ее можно заместить костным трансплантатом, искусственным имплантом или удалить. Кстати, несмотря на кажущуюся травматичность операции по удалению всего проксимального ряда запястья, она может давать неплохие функциональные результаты. На последней стадии заболевания при тотальном поражении запястья рассматриваются варианты эндопротезирования или артродеза кистевого сустава.

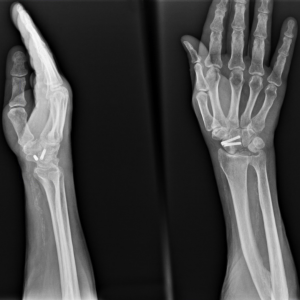
Снимок после укорочения лучевой кости

Элегантный способ фиксации остеотомии скобкой.
Консервативное лечение и физиотерапия не оказывают влияния на течение болезни, однако могут уменьшить боль и улучшить функцию кисти.
Изготовление индивидуального фиксатора позволяет снять нагрузку с поврежденного сустава и тем самым уменьшает боль, связанную с болезнью Кинбека.
Что следует ожидать человеку с диагнозом болезнь Кинбека?
Результаты лечения напрямую зависят от стадии заболевания и от скорости его прогрессирования. Оценить скорость развития болезни и эффективность лечения можно только по прошествии нескольких месяцев. В некоторых случаях различные способы лечения могут сочетаться, и не всегда одной операции достаточно.
Случай из практики
Пациентка 26 лет пришла на прием с болью в запястье. До нашей встречи жалобы были уже больше полугода. К моменту осмотра болезнь Кинбека была уже диагностирована, разрушение полулунной кости отчетливо видно на рентгене, стадия 3б.
Коллеги из крупной и уважаемой больницы успели рекомендовать девушке оперативное лечение в объеме тотального артродеза лучезапястного сустава. Конечно, эта операция дает прогнозируемый и уверенный результат: болей в лучезапястном суставе не будет. Но не будет и самого лучезапястного сустава, а значит и сгибания/разгибания в кисти.

На компьютерной томографии были признаки фрагментации полулунной кости.
Мы подробно все обсудили и решили не делать тотальный артродез лучезапястного сустава, ведь потерять движения в крупном суставе в возрасте 26 лет — отнюдь не самая радужная перспектива.
При обнаружении некроза полулунной кости почти всегда я рекомендую начинать с остеотомии лучевой кости. Это относительно безопасная и весьма эффективная операция. Она заключается в пересечении лучевой кости (пилой или остеотомом) с последующей ее фиксацией. При этом сам кистевой сустав и кости запястья даже не затрагиваются. Плюсы в том, что мы, не вмешиваясь в поврежденный сустав, можем значительно улучшить его функцию.
Как же так? Не может быть! Дело в том, что мы действительно не знаем, почему остеотомия работает при болезни Кинбека.
Такой способ лечения болезни Кинбека был открыт случайно: пациент сломал лучевую кость, а после ее сращения сказал своему врачу, что у него прошли боли в кисти, которые он испытывал предыдущий год. Рентгеновский снимки подтвердили изменения в полулунной кости. С тех пор врачи специально делают такие “переломы” с лечебной целью. Есть две теории: биомеханическая — укорочение лучевой кости снимает давление с полулунной, вторая теория сосудистая, скорее магическая — декортикация соседней с поврежденной кости, снимает внутренний отек и тем самым улучшает кровоснабжение всего сегмента. Есть даже доктор из Аргентины, который просто делает отверстие в лучевой кости и докладывает об улучшении течения некроза полулунной кости.
Вот именно подобная мистика и отсутствие четкого простого объяснения механизма работы этой методики заставляет докторов сомневаться в эффективности остеотомии лучевой кости для лечения болезни Кинбека.
Посмотрим на это с другой стороны: что мы теряем в случае неудачи? В общем-то ничего, кроме времени. Сам кистевой сустав остается нетронутым и доступным для любых других вариантов оперативных пособий: кровоснабжаемых трансплантатов, артродезов, различных имплантов, удаления проксимального ряда.
Главное предостережение, которое я хочу дать докторам и пациентам, который столкнулись с болезнью Кинбека: опасайтесь так называемой операции Гранера — это заведомо порочная и неэффективная методика. Сама идея остеотомии и дистракции головчатой кости противоречит всем современным знаниям о биомеханике кистевого сустава. Да, опора головчатой кости на фасетку полулунной возможна, но для этого не надо тянуть ее вниз, для этого надо удалить соседние ладьевидную и трехгранную, как в тетрисе. Удаление проксимального ряда запястья — распространенная процедура, которая может использоваться в том числе и для лечения болезни Кинбека.
Вернемся к нашей героине, которая столкнулась с проблемой запястья накануне свадьбы. За месяц до намеченной даты была выполнена операция — остеотомия лучевой кости.
Болезнь Кинбека
В предыдущей статье «Синдром канала Гюйона», было упоминание еще об одной интересной и порой загадочно распространённой патологии кисти, которой за последнее время уделяется мало внимания. Описанное в этой статье заболевание заходит слишком далеко в осложнения, от чего пациент уже не сможет консервативными методами лечения, и уж тем более «самолечением» восстановить кисть. Поговорим теперь про Болезнь Кинбека.
Болезнь Кинбека (m. Kienbock) - остеонекроз полулунной кости. Заболевание имеет и другие синонимы (остеохондропатия полулунной кости, деформирующий остеохондрит запястья, травматический остеопороз костей запястья, лунатомаляция, асептический некроз полулунной кости запястья, аваскулярный некроз полулунной кости), но в настоящее время принято считать корректным именно трактовку "остеонекроз" полулунной кости. Впервые описано австрийским врачом рентгенологом R. Kienbock в 1910 году.
Полулунная кость - одна из восьми костей запястья.

Кости запястья.
Считается, что причиной развития заболевания может служить однократная травма (падение на ладонь или кисть), а также постоянная травматизация (микротравматизация), что может привести к нарушению кровоснабжения костей запястья.
Поэтому болезнь Кинбека чаще встречается у людей, чья физическая активность связана с высокой нагрузкой на область лучезапястного сустава. Полулунная кость занимает центральное место в запястье, располагаясь между головчатой костью запястья и лучевой костью, и поэтому больше других костей травмируется при физической нагрузке. Заболевание развивается постепенно, и встречается чаще всего у мужчин рабочих профессий: рубщиков, столяров, слесарей, крановщиков, лиц, работающих с вибрирующими устройствами (отбойные молотки, перфораторы, и т.п.). НО, может возникать и у женщин других специальностей: парикмахер, повар, пекарь, кондитер, косметолог, визажист, массажист и т.п. Чаще всего поражается ведущая рука (у правшей - правая, у левшей - левая) при болезни Кинбека. Еще одна из причин развития болезни Кинбека - врожденная короткая локтевая кость. При таком случае давление на полулунную кость возрастает и может развиться остеонекроз полулунной кости (болезнь Кинбека).

Слева - нормальная длина лучевой и локтевой костей, справа - врожденная короткая локтевая кость.
Сущность болезни состоит в постепенно нарастающем асептическом некрозе (или, точнее остеонекрозе) полулунной кости, который со временем приводит к ее фрагментации и полному разрушению. Все это сопровождается болью в запястье, в области лучезапястного сустава. Боль усиливается при движениях и возрастает по мере прогрессирования заболевания.


Место болезненности при болезни Кинбека.
Схематическое изображение болезни Кинбека При тяжелых поражениях полулунной кости область болезненности может быть не такой локальной, а охватывать всю область лучезапястного сустава, запястья
- Первая стадия: Полулунная кость теряет свое кровоснабжение, может возникнуть патологический спонтанный перелом.
- Вторая стадия: Полулунная кость становится слишком твердой, как камень - (склероз кости) из-за недостаточного кровоснабжения.
- Третья стадия: Коллапс полулунной кости. Кость спадается, уменьшается в размерах, фрагментируется (распадается на кусочки), фрагменты кости могут мигрировать.
- Четвертая стадия: Повреждаются соседние кости, что приводит к артрозу суставов запястья.
В дальнейшем рентгенологически определяются, деформация полулунной кости, сплющивание вдоль продольной оси и укорочение в поперечнике. Контуры кости становятся неровными; в центре определяются участки просветления, которые соответствуют зонам рассасывания кости. Не часто, но отмечаются сужение суставной щели, как проявление деформирующего остеоартроза. Также могут определяться рентгенологические признаки ложного сустава полулунной кости, патологические переломы, полулунная кость может стать фрагментированной, т.е. распасться на части.

Рентгенограмма при болезни Кинбека.
В сомнительных случаях, когда рентгенография не позволяет с уверенностью говорить о диагнозе, выполняется КТ или МРТ:

МРТ при болезни Кинбека.
Лечение болезни Кинбека определяется стадией заболевания.
При начальных стадиях заболевания используется иммобилизация (консервативное лечение): лучезапястный сустав обездвиживают специальным ортезом на 3-3,5 недели. Врач травматолог-ортопед подбирает оптимальный вариант ортезирования (лангет, тутор, ортез, повязка из полимерного бинта) с целью создание максимального покоя для полулунной кости. Принимая во внимание и учитывая характеристики материала, конструкцию и функциональность подобранного им ортеза может привести к регрессу заболевания на ранних стадиях, восстановлению кровоснабжения полулунной кости за счет прорастания новых сосудов или усиления-восстановления кровотока по старым кровеносным сосудам. Вопрос восстановления кровотока, иннервации, нормализации периферической нервной системы -берет на себя врач невролог и врач физиотерапевт. Составление поэтапного плана реабилитации и восстановления привычных и профессиональных навыков движения в кисти и лучезапястном суставе пораженной правой или левой руки- это удел врача ЛФК и профессионального инструктора по лечебной физкультуре. Если консервативное лечение привело к успеху, то в дальнейшем обязательны контрольные рентгенограммы каждые 4-6 недель в течение 1 года, наблюдение у травматолога, невролога. И если так случится, что заболевание начнет прогрессировать, то в первую очередь об этом будут знать наблюдающие специалисты, которые своевременно направят пациента на оперативное лечение с последующей поэтапной послеоперационной реабилитацией, которая будет похожа на этапы консервативного лечения, что, по сути, и есть выработанная тактика полного восстановления.

Удачи. Здоровья.
Врач травматолог-ортопед по направлению ортопедической реабилитации, ЛФК и СМ Тарасов А.Б.
Болезнь Кинбека (некроз полулунной кости)
Доктор Андреа Швайтцер-Эренрайх - специалист по заболеваниям кистевых суставов в частной клинике "Дёблинг" в Вене, отвечает на вопросы, возникающие у пациентов, страдающих некрозом полулунной кости.
Почему зачастую это заболевание не диагностируется?
Часто заболевание поражает пациентов очень молодого возраста. Они жалуются на отёчность по заднебоковой поверхности и боли в области лучезапястного сустава, часто возникающие без травм. Изначально боли не поддаются точному определению, так как они диффузно иррадиируют в сустав. На ранней стадии рентгеновские снимки в большинстве случаев не показывают наличие патологических изменений, зачастую устанавливается неверный диагноз воспаления сухожильного влагалища.
Как возникает это заболевание?
Некроз полулунной кости приводит к отмиранию костной структуры полулунной кости. Одной из причин этого является снижение кровоснабжения полулунной кости. Зачастую заболевание вызвано несколькими факторами, например, слишком короткой локтевой костью и меньшим суставным углом лучевой кости, что приводит к дополнительной повышенной передаче усилия на полулунную кость.
Тяжёлые ударные нагрузки, например, работа с пневматическим молотом, удары молота в строительстве или регулярные ударные нагрузки в спорте (езда на горном велосипеде, занятия видами спорта с мячом), также могут привести к возникновению заболевания.
Какие признаки указывают на наличие заболевания?
При совпадении нескольких критериев, таких как боли, возникающие прежде всего при сгибании лучезапястного сустава, диффузная отёчность на боковой поверхности лучезапястного сустава, а также слишком короткая локтевая кость, необходимо выполнить МРТ с контрастированием.
Как лечится это заболевание?
Лечение проводится в зависимости от стадии заболевания. На начальной стадии перелом можно вылечить фиксацией в гипсе в течение не менее 4 недель, но не более 8 недель. При слишком короткой локтевой кости предпочтительным методом лечения является укорочение лучевой кости (максимум на 2 мм) для разгрузки полулунной кости.
На стадии прогрессирующего заболевания, на которой уже определяются переломы полулунной кости, её можно заменить хрящево-костным трансплантатом и тем самым стабилизировать архитектуру запястья. Затем выполняется фиксация в гипсе предплечья в течение 8 недель, а затем, в течение следующих 4 недель, — фиксация в съёмной шине. В случае слишком запущенной стадии заболевания (распад полулунной кости) существует возможность операции с сохранением сустава и подвижности.
В большинстве случаев можно отказаться от частичного укрепления или полного укрепления лучезапястного сустава. Через 3 месяца после операции, отмечается начальное затвердевание (консолидация) полулунной кости.
Возможности частной клиники «Дёблинг»
В частной клинике «Дёблинг» пациентам предлагается весь спектр услуг в области диагностики и лечения заболеваний опорно-двигательного аппарата. Здесь, под одной крышей находится отделение радиологии, где можно провести все необходимые исследования рентген, МРТ и КТ, а также врачебный центр, где практикуют одни из лучших специалистов ортопедии, травматологии, а также смежных специальностей.
Если у вас есть жалобы или вы хотите проконсультироваться с нашими специалистами, свяжитесь с нами!
Контакт
Мы говорим по-русски!
У Вас есть вопросы? − Напишите нам!
Вы можете задать вопрос на русском языке. Ответ Вам будет направлен также на русском языке.
Болезнь Кинбека
Болезнь Кинбека представляет собой асептический некроз полулунной кости. Симптомы включают боль и болезненность в запястье. Диагностируется заболевание с помощью методов визуализации. Лечение предполагает различные хирургические вмешательства.
Болезнь Кинбека наиболее часто встречается в доминантной руке у мужчин в возрасте от 20 до 45 лет, особенно занимающихся тяжелым ручным физическим трудом. В целом, болезнь Кинбека регистрируется относительно редко. Причина его возникновения не известна. Происходит сдавление полулунной кости, которое обусловливает фиксированную ротацию ладьевидной кости и последующую дегенерацию суставов запястья.
Симптомы и признаки болезни Кинбека
Болезнь Кинбека обычно начинается с внезапных приступов боли в запястье, локализованной в области полулунной кости; признаков предшествующей травмы не отмечается. При болезни Кинбека в 10% случаев отмечается двустороннее поражение. Отмечается локализованная болезненность в лунообразной кости, чаще всего над дорсальной частью запястья вдоль средней линии. Возможен умеренный отек.
Диагностика болезни Кинбека
МРТ и КТ являются наиболее чувствительными при диагностике болезни Кинбека; простая рентгенография показывают отклонения позже, как правило, при начале склеротических изменений полулунной кости, сменяющихся кистозными изменениями, фрагментацией и коллапсом.
Дифференциальную диагностику срединной дорсальной боли в запястье следует проводить с гигромой тыльной поверхности запястья, синовитом, артритом, или тендинитом разгибателей.
Лечение болезни Кинбека
Шина на запястье и анальгетики на ранних стадиях
На ранних стадиях болезни Кинбека шинирование запястья может уменьшить давление на полулунную кость, уменьшая боль и, возможно, помогая восстановить кровоток. Назначают анальгетики при боли.
Цель хирургического лечения болезни Кинбека заключается в уменьшении давления на полулунную кость путем укорочения лучевой ( 1 Справочные материалы по лечению Болезнь Кинбека представляет собой асептический некроз полулунной кости. Симптомы включают боль и болезненность в запястье. Диагностируется заболевание с помощью методов визуализации. Лечение. Прочитайте дополнительные сведения ). При обширном вовлечении полулунной кости, некоторые хирурги пытались сохранить кость с помощью свободной васкуляризованной костной пластики с использованием костных трансплантатов, взятых с коленного участка ( 3 Справочные материалы по лечению Болезнь Кинбека представляет собой асептический некроз полулунной кости. Симптомы включают боль и болезненность в запястье. Диагностируется заболевание с помощью методов визуализации. Лечение. Прочитайте дополнительные сведенияСохраняющие операции, например удаление проксимального ряда костей запястья или артродез запястья, помогают сохранить функцию запястья при дегенерации его суставов.
Последней попыткой уменьшить выраженность болевого синдрома может быть тотальный артродез запястья. Нехирургические методы лечения редко бывают эффективны
Справочные материалы по лечению
1. Shin YH, Kim JK, Han M, et al: Comparison of long-term outcomes of radial osteotomy and nonoperative treatment for Kienböck disease: a systematic review. J Bone Joint Surg 100(14):1231-1240, 2018. doi: 10.2106/JBJS.17.00764.
3. Bürger HK, Windhofer C, Gaggl AJ, et al: Vascularized medial femoral trochlea osteochondral flap reconstruction of advanced Kienböck disease. J Hand Surg Am 39(7):1313-1322, 2014. doi: 10.1016/j.jhsa.2014.03.040.
Авторское право © 2022 Merck & Co., Inc., Rahway, NJ, США и ее аффилированные лица. Все права сохранены.
Болезнь Кинбека
БОЛЕЗНЬ КИНБЕКА

БОЛЕЗНЬ КИНБЕКА
В лучезапястном суставе, расположенным между предплечьем и пястными костями, восемь костей. Четыре из них расположены вверху, остальные — в нижнем ряду. Болезнь Кинбека — это заболевание, характеризующееся сдавливанием верхней полулунной кости, нарушения притока крови и, дальнейшим ее разрушением и, как следствие, некрозом. Данная патология чаще встречается у мужчин в возрасте около 30 лет и у тех, кто занят на работе, требующей активного использования руки. Хотя точной причины возникновения болезни не обнаружено. Одним из факторов развития болезни Кинбека является врожденный дефект, когда одна из костей предплечья, а именно локтевая, короче другой(лучевой). При данном дефекте происходит излишнее давление лучевой кости на полулунную кость, вызывая заболевание.
Симптомы болезни Кинбека
При болезни Кинбека боль локализуется в середине запястья, усиливаясь при нагрузке на запястье и при нажатии на больную область. По мере прогрессирования заболевания возникает скованность суставов, затрудняющая движение пальцев.
В диагностике болезни Кинбека используются рентген, МРТ и КТ. МРТ особенно важна для определения стадии заболевания, а рентген позволяет выявить отек костей, который плохо наблюдается на первых стадиях заболевания. Раннюю диагностику и вмешательства желательно осуществлять с помощью визуализации на устройстве МРТ 3 Тесла. С помощью томографии оценивают перелом и коллапс кости и возможные истирания вокруг полулунной кости и запястья в целом.
Стадии болезни Кинбека
По радиологическим наблюдениям болезнь Кинбека имеет 4 стадии:
Стадия 1 — рентгеновские снимки в норме. Диагноз ставится на основании отека костей на МРТ.
Стадия 2 — полулунная кость сломана и разрушена.
Стадия 3 — коллапс сломанной полулунной кости.
Стадия 4 – полное разрушение полулунной кости, приводящее к деформации положения других костей запястья. Возникновение вторичного остеоартроза(истирание хрящевой ткани) остальных костей лучезапястного сустава.
Лечение болезни Кинбека


При назначении лечения учитывается возраст пациента, состояние полулунной кости и запястья в целом. Цель лечения: защитить полулунную кость от абразивных воздействий, увеличив ее кровоснабжение. У пациентов младше 15-20 лет результаты консервативного лечения положительные. И, хотя рентгеновские снимки выходят не совсем четко у пациентов старше 70 лет, обычно их случаи также не требуют хирургического вмешательства. В качестве лечения назначается ношение ортеза или нанесение гипса.
На ранних стадиях болезни Кинбека, в случаях, если причиной является короткая локтевая кость, то лучевая кость предплечья укорачивается над полулунной костью. Если длина костей предплечья нормальная, возможен вариант укорачивания головчатой кости. При необходимости, на полулунную кость производится микрохирургическая пересадка кровоснабжаемых фрагментов соседних костей.
При сильном коллапсе полулунной кости и вторичном остеоартрозе вокруг нее, удаляется верхний ряд костей запястья или сращиваются соседние кости.
Если болезнь Кинбека достигла стадии 4 и вторичный остеоартроз возник на всем запястье, то для обеспечения безболезненного движения руки можно провести операцию замораживания всего запястья или эндопротезирование лучезапястного сустава.
Читайте также:
