Болезнь Легга-Кальве-Пертеса
Добавил пользователь Владимир З. Обновлено: 02.11.2025
Остеохондропатия тазобедренного сустава (болезнь Пертеса)
Болезнь Пертеса (остеохондропатия головки бедренной кости) — отмирание головки бедренной кости неинфекционной природы. Преобладающий возраст развития болезни Пертеса — 4—14 лет. Мальчики болеют в 3—4 раза чаще, чем девочки. Ппредставляет собой самую распространенную в детском возрасте разновидность асептического некроза головки бедренной кости.
Выделяют 5 стадий болезни Пертеса:
- 1 стадия - асептический некроз
- 2 стадия - вторичный компрессионный перелом
- 3 стадия - фрагментация, рассасывание участков отмершего губчатого вещества
- 4 стадия - восстановление
- 5 стадия - стадия вторичных изменений
Обязательным условием развития болезни Пертеса является наличие у ребенка определенных предрасполагающих (врожденных) и производящих (приобретенных) факторов. Предрасполагающим фактором болезни Пертеса (или фоном для её появления) служит нарушение развития, в данном случае – недоразвитие, (миелодисплазия) поясничного отдела спинного мозга, отвечающего за иннервацию тазобедренных суставов. Недоразвитие спинного мозга носит врожденный - наследственно обусловленный характер, оно встречается у значительной части детей и различается по степени тяжести. Миелодисплазия легкой степени может оставаться незамеченной на протяжении всей жизни, в то время как более существенные нарушения развития спинного мозга проявляются в виде целого ряда ортопедических заболеваний, к которым относится и болезнь Пертеса.
Анатомическое строение области тазобедренных суставов у детей с миелодисплазией отличается в частности тем, что количество и калибр сосудов и нервов, осуществляющих иннервацию и кровоснабжение суставов, меньше, чем у здорового ребенка, поэтому кровоток в тканях сустава хронически понижен, и они испытывают дефицит питания. Наличие миелодисплазии также отрицательно влияет и на тонус сосудистой стенки.
Между тем, болезнь Пертеса развивается только в том случае, когда кровоснабжение головки бедра полностью прекращается, что происходит под действием производящих факторов - воспаление тазобедренного сустава или незначительная по силе травма, ведущие к компрессии (пережатию) вышеописанных малочисленных и недоразвитых сосудов извне. Воспаление тазобедренного сустава возникает под влиянием инфекции, попадающей в сустав, например, из носоглотки при простудных заболеваниях. Именно поэтому последние нередко предшествуют началу болезни Пертеса. Незначительная по силе травма может остаться незамеченной как родителями, так и детьми. В результате происходит полное блокирование кровотока (или инфаркт) головки бедра, приводящий к её частичному или полному омертвению, то есть образованию очага некроза.
Процесс чаще бывает односторонним, реже - двусторонним. Начальные стадии протекают без каких-либо проявлений. Первые признаки болезни Пертеса - незначительная болезненность в тазобедренном суставе и хромота. Иногда заболевание начинается с болей в коленном суставе. Родители могут заметить некоторые нарушения походки в виде «припадания» на одну ногу или «приволакивания» ноги. Сильные боли отмечаются гораздо реже, грубой хромоты, как правило, не бывает – поэтому обращение к врачу в первой стадии заболевания (стадия остеонекроза) является довольно большой редкостью. Первая стадия заболевания является обратимой и при благоприятном стечении обстоятельств (небольшой объем очага некроза и быстрое восстановление кровотока в эпифизе) заболевание может завершиться до начала развития деформации головки бедра, не переходя во вторую стадию.
В дальнейшем омертвевшая костная ткань верхней полусферы головки бедра теряет свою нормальную механическую прочность, вследствие чего, под влиянием обычной повседневной нагрузки – ходьба, прыжки и т.п. или даже при отсутствии таковой, постепенно развивается деформация головки бедра, которая является главной и наиболее сложной проблемой в лечении ребенка. Позднее появляются усталость при ходьбе, боли в суставах, хромота, ограничение движений в тазобедренном суставе, укорочение конечности.
На момент завершения болезни Пертеса деформация головки бедра может иметь разную степень выраженности – от незначительной и едва заметной на рентгенограмме до грубой «грибовидной» или «седловидной». Степень деформации головки бедра определяется размерами и локализацией (расположением) очага некроза в эпифизе и, в свою очередь, напрямую определяет исход заболевания – благоприятный или неблагоприятный. Неблагоприятным исходом заболевания считается появление клинических признаков деформирующего коксартроза (неуклонно прогрессирующие дегенеративные изменения сустава) в виде выраженного болевого синдрома и нарушения походки.
Диагностика
Необходимый минимум обследования, который позволяет с высокой точностью подтвердить наличие болезни Пертеса даже в первой стадии или исключить данное заболевание - рентгенологическое исследование.. Может быть также рекомендовано выполнение магнитно-резонансной томографии и ультразвукового исследования тазобедренных суставов, однако последние проводятся только в качестве дополнительных методов исследования, поскольку не являются определяющими в постановке диагноза болезни Пертеса.
Основной задачей лечения детей с болезнью Пертеса является приближение анатомического строения пораженного тазобедренного сустава к нормальному, только в этом случае можно надеяться на то, что в течение последующих лет жизни у пациента не будет отмечаться выраженных нарушений походки и болевых ощущений.
В основе лечения детей с болезнью Пертеса традиционно лежат консервативные мероприятия:
- обеспечениецентрации головки бедра (то есть полного «погружения» её в вертлужную впадину) за счет использования одного из ортопедических приспособлений: функциональные шины (шина Мирзоевой или шина Виленского), гипсовые повязки (повязка-распорка Ланге или кокситная повязка), вытяжения за бедро или голень (лейкопластырное, скелетное или манжеточное)
- лечебная гимнастика, массаж, физиотерапевтические процедуры ангиопротективного действия,
- медикаментозная терапия (остеопротекторы, хондропротекторы),
- хирургическое лечение показано при 2-3 стадиях заболевания (направлено на улучшение кровоснабжения бедра и устранение биомеханических нарушений в суставе, возникших в связи сдеформацией головки бедренной кости).
Общая продолжительность лечения - 3-4 года.
©2010-2013 Федеральный центр травматологии, ортопедии и эндопротезирования
Болезнь Легга-Кальве-Пертеса — диагностика, лечение, причины и стадии развития
Описание заболевания
Болезнь Легга-Кальве-Пертеса – это асептический некроз головки бедренной кости. Если говорить простым языком, то это заболевание, при котором из-за частичного или полного временного отсутствия кровоснабжения головки бедренной кости происходит инфаркт её костной ткани с последующим формированием очага некроза (секвестра), размеры и локализация которого зависят от количества сосудов, по которым временно прекратился кровоток.
Важно! Болезнь Легга-Кальве-Пертеса преимущественно развивается в детском возрасте, в 4-12 лет. Мальчики более подвержены патологии, но у девочек она протекает тяжелее.

Причины возникновения
Несмотря на огромное количество исследований, направленных на изучение причин, вызывающих нарушение кровоснабжения в головке бедренной кости, до сих пор ни одна из представленных теорий не является решающей. Очевидно, что заболевание является мультифакторным и сопряжено со множеством предрасполагающих к его проявлению причин, протекающих одновременно.
Предрасполагающими факторами могут стать врождённые и приобретённые патологии:
- чрезмерные нагрузки (частые микротравмы);
- мутации генов, ответственных за синтез коллагена II типа, кодирующих фактор V Лейдена, повышение концентрации лептин-гормона, нарушение синтеза инсулиноподобного фактора роста, а также избыточная секреция IL6;
- недоразвитие поясничного отдела спинного мозга (миелодисплазия), из-за чего нарушается нервная регуляция тазобедренного сустава;
- гипоплазия и аплазия артериальных и венозных сосудов, спазм или стеноз эпифизарных сосудов;
- воспалительные процессы вследствие перенесенных инфекций (ангины, гриппа, ОРВИ);
- пассивное курение;
- неблагоприятная экологическая обстановка;
аномалии строения тазобедренного сустава.
По статистике мальчики с весом менее 2 кг. при рождении болеют болезнью Легга-Кальве-Пертеса в 5 раз чаще, нежели малыши с массой тела более 3,5 кг.
Клинические проявления
Признаки заболевания появляются не сразу, поэтому начало болезни, как правило, пропускается. На начальных стадиях ребёнок может вести активный образ жизни, изредка жалуясь на боль в области бедра или колена. Это первый звоночек для родителей, сигнализирующий о том, что нужно немедленно обращаться в больницу.
Примечание! Даже небольшая боль после физических нагрузок у ребёнка, которая самостоятельно проходит, является причиной, по которой требуется профильный осмотр ребёнка специалистом.
По мере прогрессирования появляются такие симптомы:
- нарушение походки в виде хромоты или «приволакивания» ноги (ребёнок начинает щадить больную конечность);
усталость при ходьбе; - усиление боли в бедре, коленном и тазобедренном суставах;
- ограничение движений в поражённом тазобедренном суставе;
- укорочение ноги.
В 5% случаев болезнь затрагивает оба тазобедренных сустава.
Тяжёлым исходом нелеченной болезни Легга-Кальве-Пертеса становится коксартроз, который проявляется выраженными болевыми ощущениями, хромотой, порочным положением всей нижней конечности с резким ограничением привычного образа жизни и социальной дезадаптацией.
Стадии развития
Заболевание имеет 5 стадий:
- I. Это стадия остеонекроза, на которой ярко-выраженная симптоматика отсутствует, поэтому за лечением редко обращаются.
- II. Импрессионный перелом – ходьба, прыжки и другая двигательная активность приводит к формированию участка перелома костной ткани под хрящом.
- III. Фрагментация – происходит разделение деформированной головки бедра на секвестры. При тяжёлом поражении в эту стадию происходит укорочение и расширение шейки бедра, формируется coxa magna – увеличение размеров головки бедренной кости.
- IV. Восстановление. Место поражённых участков занимает новая костная ткань, однако прочность кости остаётся сниженной. Также возобновляется рост головки бедра.
- V. Исход. Полное восстановление структуры губчатого вещества. В случаях отсутствия адекватной терапии возможно формирование грубых многоплоскостных деформаций головки бедра.
Завершение течения заболевания может иметь несколько возможных исходов:
- Благоприятный – восстановление структуры и сферичности головки бедренной кости, конгруэнтность суставных поверхностей вертлужной впадины и головки бедра с нормальной или минимально изменённой функцией сустава и длиной нижней конечности.
- Неблагоприятный – формирование грубых многоплоскостных деформаций головки бедра, подвывиха бедра с выраженным нарушением функции тазобедренного сустава, болевым синдромом и как следствие этого – ранним артрозом тазобедренного сустава.
Исход течения заболевания зависит не только от размеров и локализации очага некроза, но и от характера проводимого лечения. Кроме того, если распознать заболевание на I стадии, то все изменения могут иметь обратимый характер. При правильном лечении можно предотвратить развитие деформаций и развитие коксартроза.
Диагностика
Если ребёнок начал жаловаться на боль в колене или бедре, прихрамывать или щадить больную ногу, необходимо немедленно обратиться к ортопеду. Специалисты ФГБУ «НМИЦ детской травматологии и ортопедии им. Г. И. Турнера» Минздрава России имеют огромный опыт в раннем выявлении болезни Легга-Кальве-Пертеса. Они проводят дифференциальную диагностику заболевания с нейродиспластической коксопатией и инфекционно-аллергическим артритом, которые имеют схожую симптоматику.
Чтобы поставить верный диагноз, потребуется минимум обследований:
- рентгенограмма тазобедренного сустава в проекции Лауэнштейна, в передне-задней проекции;
- КТ или МРТ.
В редких случаях применяется диагностическая артроскопия.
Лечение
Тактика лечение детей с болезнью Легга-Кальве-Пертеса зависит от стадии и возраста ребёнка и включает в себя:
- медикаментозное лечение (противовоспалительные препараты, остео- и хондропротекторы);
- физиотерапевтические процедуры, лечебную физкультуру;
- массаж;
- использование ортопедических приспособлений (например, гипсовых повязок, функциональных шин);
- санаторно-курортное оздоровление.
В ФГБУ «НМИЦ детской травматологии и ортопедии им. Г. И. Турнера» Минздрава России лечение детей с болезнью Легга-Кальве-Пертеса в стадии импрессионного перелома и фрагментации осуществляется строго в соответствии с принципом «Containment therapy», в основе которого лежат некоторые патогенетические особенности данного ортопедического заболевания, в частности:
- Форма и размеры вертлужной впадины при данном заболевании остаются приближенными к нормальным вплоть до его завершения.
- Болезнь протекает в детском возрасте, когда, несмотря на наличие очага некроза в эпифизе, продолжается рост хрящевой модели головки бедренной кости, который может способствовать восстановлению её формы и размеров.
- В стадии восстановления имеют значительную выраженность процессы реваскуляризации очага некроза и новообразования костной ткани.
Компоненты «Containment therapy»:
- Исключение компрессии тазобедренного сустава, обусловленной напряжением окружающих его мышечных групп, а также продолжающейся осевой нагрузкой на конечность;
- Изменение пространственного положения тазового, бедренного или обоих компонентов поражённого сустава при помощи одного из консервативных или хирургических методов для полного погружения головки бедренной кости в вертлужную впадину с созданием степени костного покрытия, равной единице.
Лечение по принципу «Containment therapy» достигается при помощи использования отводящих ортопедических конструкций. Их цель – улучшение формы головки бедренной кости, профилактика подвывиха бедра, достижение конгруэнтности суставных поверхностей компонентов тазобедренного сустава, профилактика раннего коксартроза.
В случаях торпидного течения заболевания с формирующимся или уже существующим подвывихом бедра максимальной эффективностью обладает хирургическое лечение, а наиболее адекватной методикой – тройная остеотомия таза. Цель хирургического лечения:
- соблюсти принцип «Containment therapy», что обеспечит профилактику формирования многоплоскостных деформаций головки бедра и раннее развитие коксартроза;
- воссоздать стабильность сустава с конгруэнтностью суставных поверхностей головки бедренной кости и вертлужной впадины.
С 2021 года в отделении патологии тазобедренного сустава в комплексном лечении детей с тяжёлым поражением эпифиза и подвывихом бедра с целью улучшения процессов ревитализации костной ткани в очаге некроза, улучшения формы головки бедренной кости и сокращения сроков течения заболевания применяется ортопедический электрет – активный диэлектрик, способный после снятия внешнего воздействия сохранять длительное время остаточную поляризацию и генерировать сравнительно сильное квазистатическое электрическое поле, играющее значительную роль в пролиферации, миграции и ремоделировании костных клеток. Полученные ближайшие результаты применения ортопедического электрета внушают осторожный оптимизм и требуют дальнейшего изучения.
Научные исследования, которые проводятся на базе ФГБУ «НМИЦ детской травматологии и ортопедии им. Г. И. Турнера» Минздрава России, очень важны для создания новой эффективной тактики терапии не только болезни Легга-Кальве-Пертеса, но и других детских заболеваний опорно-двигательного аппарата. Выбирайте лучших специалистов, цените здоровье своих детей!
Болезнь Легга–Кальве–Пертеса
Болезнь Легга–Кальве–Пертеса — форма патологии бедренной кости и тазобедренного сустава, относящаяся к группе остеохондропатий. Болезнь является результатом нарушения кровоснабжения и питания суставного хряща, приводящим к некрозу головки бедренной кости. Этиология болезни пока однозначно не установлена. Разрушение хряща и костной ткани головки бедренной кости происходит постепенно и наиболее часто выявляется у детей в возрасте старше 5 лет. Поскольку определение групп риска по этому заболеванию сопряжено с трудностями, часто пациенты обращаются за помощью уже в разгар клинических проявлений, когда деструкция кости значительна. Позднее обращение ведет к развитию стойкой деформации головки бедренной кости, увеличивая продолжительность лечения и снижая качество жизни пациентов. В статье изложены данные современной литературы об основных концепциях возникновения патологии, ее эпидемиологических и клинических особенностях, диагностических и лечебных мероприятиях.
Ключевые слова
Об авторах
Список литературы
1. Perthes G. The classic: On juvenile arthritis deformans. 1910. Clin. Orthop. Relat. Res. 2012; 470 (9): 2349–2368.
2. Досанов Б. А. Современные представления о патогенезе, диагностике и лечении болезни Пертеса у детей. Астана медициналык журналы. 2011; 67 (5): 7–10.
3. Glueck C., Glueck H., Greenfield D., Freiberg R., Kahn A., Hamer T. et al. Protein C and S deficiency, thrombofilia and hypofibri no lysis: Pathophysiologic causes of Legg–Perthes disease. Pediatr. Res. 1994; 35: 383–388.
5. Arruda V., Belangero W., Ozelo M., Oliveira G., Pagnano R., Volpon J. et al. Inherited risk factor for thrombophilia among children with Legg-Calve-Perthes disease. J. Pediatr. Orthop. 1999; 19 (1): 84–87.
6. Szepesi K., Posan E., Harsfalvi J., Ajzner E., Szucs G., Gaspar L. et al. The most severe forms of Perthes' disease associated with the homozygous Factor V Leiden mutation. J. Bone Joint Surg. Brit. 2004; 86-B: 426–429.
7. Wansbrough R. M., Carrie A. W., Walker N. F. Coxa plana, its genetic aspects and results of treatment with the long Taylor walking caliper; a long-term follow-up study. J. Bone Joint Surg. Am. 1959; 41-A (1): 135–146.
8. Stephens F. E., Kerby J. P. Hereditary Legg–Calve–Perthes disease. J. Hered. 1946; 37: 153.
9. McNutt W. Inherited vascular pattern of the femoral head and neck as a predisposing factor to Legg–Calve–Perthes disease. Rep. Bid. Med. 1962; 20 (4): 525–531.
10. Gray I. M., Lowry R. B., Renwick D. H. Incidence and genetic of Legg–Perthes-disease (osteochondritis deformans) in British Columbia: Evidence of Polygenic Determination. J. Med. Gen. 1972; 9 (2): 197–202.
11. Bahmanyar S. Maternal smoking during pregnancy, other prenatal and perinatal factors, and the risk of Legg–Calve–Perthes disease. Pediatrics. 2008; 122 (2): 459–464.
12. Волков М. В. Остеохондропатия головки бедра у детей. Здраво охранение (Кишинёв). 1959; 6: 21–25.
13. Макушин В. Д. Течение и исходы остеохондропатии тазобедренного сустава у детей в стационарных условиях (клинико-рентгенологическое исследование). Автореф. дис. … канд. мед. наук. М. 1967. С. 19–25.
14. Kenzora J.E., Steele R.E., Yosipovitch Z.H., Glimcher M. J. Experi mental osteonecrosis of the femoral head in adult rabbits. Clin Orthop Relat Res. 1978; 130: 8–46.
15. Atsumi T., Yamato K., Muraki M., Yoshihara S., Kajihara T. The blood supply of the lateral epiphyseal arteries in Perthes'disease. J. Bone Joint Surg. Brit. 2000; 82 (3): 392–398.
16. Catterall A. Thoughts on the etiology of Perthes'disease. Iowa Orthop. J. 1984; 4: 34–36.
17. Барсуков Д. Б. Болезнь Пертеса. Terra Medica Nova. 2009; 3: 24–30.
18. Randall T., Elaine N. The Epidemiology and Demographics of Legg–Calve'–Perthes disease. IRSN Orthop. 2011; Article ID 504393: 14.
19. Perry D. C., Hall A. J. The epidemiology and etiology of Perthes disease. Orthop. Clin. North Am. 2011; 42 (3): 279–283.
20. Бунин Е. А., Угриницкий Я. А., Сячина Н. И., Шварберг В. Л. Отдаленные результаты хирургического лечения болезни Пертеса у детей в условиях санатория. Ортопедия и травма. 1990; 2: 20–23.
21. Wynne-Davies R., Gormley I. The etiology of Perthes'disease: genetic, epidemiological and growth factors in 310 Edinburg and Glasgow patients. J. Bone Joint Surg. Brit. 1978; 60-B: 6–14.
22. Guille J.T., Lipton G. E., Szoke G., Bowen J., Harcke H., Glutting J. Legg–Calve–Perthes disease in girls. A comparison of the results with those seen in boys. J. Bone Joint Surg. Am. 1998; 80 (9): 1256–1263.
24. Харламов М. И. К вопросу о прогнозировании течения болезни Пертеса. В кн.: Лечение и реабилитация детей-инвалидов с ортопедической и ортопедо-неврологической патологией на этапах медицинской помощи. СПб. 1997. С. 136–137.
25. Шеховцева Е. М. Рентгенодиагностика ранней дорентгенологической стадии болезни Пертеса. Тез. докл. Всесоюзной науч.-практ. конф. детских ортопедов-травматологов. Псков. 1991. С. 89–90.
26. Лобов И.Л., Кутырева О.И., Кошелев М.Ю., Борисов П.Е. Критерии ранней диагностики болезни Легга–Кальве–Пертеса. Вопросы диагностики в педиатрии. 2010; 5 (2): 23–27.
27. Nelitz M., Lippacher S., Krauspe R., Reichel H. Perthes disease: current principles of diagnosis and treatment. Dtsch. Arztebl. Int. 2009; 106 (31–32): 517–523.
28. Беренштейн С. С. Состояние микроциркуляции при остеохондропатии головки бедренной кости у детей. Ортопедия, травматология. 1993; 4: 57.
29. Львов С. Е., Назаров С.Б., Молчанов О.С., Раза Таусиф, Пахрова О. А. Реологические свойства эритроцитов у детей с болезнью Легга–Кальве–Пертеса и транзиторным синовитом. Травматология и ортопедия России. 2005; 38 (4): 15–17.
30. Фёдоров В.Г., Шарпарь В. Д. Тазобедренный сустав и патология проксимального отдела бедренной кости. Пос. для врачей. Ижевск. 2012. 68–74 с.
31. Хисаметдинова Г. Р. Современные данные об анатомии и кровоснабжении тазобедренного сустава, клинике и диагностике его воспалительно-некротического поражения. Вестник российского научного центра рентгенорадиологии. 2008; 8 (1): 18.
32. Герасименко М. А. Ошибки и осложнения при проведении реконструкции проксимального отдела бедра у детей с асептическим некролизом его головки и болезнью Легга–Кальве–Пертеса. Белорусский медицинский журнал. 2003; 2: 27–32.
33. Terjesen T., Wiig O., Sveningsen S. The natural history of Perthes' disease. Acta Orthopaedica. 2010; 81 (6): 708–714.
34. Тихоненко Т. И. Оценка остеогенезстимулирующих методов в лечении болезни Легга–Кальве–Пертеса у детей. Автореф. дис. … канд. мед. наук. М. 2011. С. 2–16.
35. Herring J. A. Legg–Calve–Perthes disease. Monograph series. Rosemont: American Academy of Orthopaedic Surgeons. 1996; 1–66.
36. Skaggs P. L., Tolo V. T. Legg–Calve–Perthes disease. J. Am. Acad. Orthop. Surg. 1996; 4 (1): 9–16.
38. Кулаженко Е. В. Диагностика болезни Пертеса у детей. Вестник морской медицины. 2001; 13 (1): 9–11.
39. Zucker E., Lee E., Restrepo R., Elsenbergs R. Hip disorders in children. Am. J. Roentgenol. 2013; 201 (6): 776–796.
40. Kim H. T., Oh M. H., Lee J. S. MR imaging as supplement to traditional decision-making in the treatment of LCP disease. J. Pediatr. Orthop. 2011; 31 (3): 246–253.
41. Merlini L., Combescure C., De Rosa V., Anooshiravani M., Hanquinet S. Diffusion-weighted imaging finding in Perthes disease with dynamic DGS MR correlation: a preliminary study. Pediatr. Radiol. 2010; 40 (3): 318–325.
42. Harry K., Kim W., Kaste S., Dempsey M., Wilkes. A comparison of non-contrast and contrast-enhanced MRI in the initial stage of Legg–Calve–Perthes disease. Pediatr. Radiol. 2013; 43 (9): 1166–1173.
43. Dimeglio A., Canavese F. Imaging in Legg–Calve–Perthes disease. Orthop. Clin. North Am. 2011; 42 (3): 297–302.
44. Schoenecker P. Do We Need Another Gold Standard to Assess Acute Legg–Calve–Perthes Disease? J. Bone Joint Surg. Am. 2014; 96 (14): 125.
45. Weinstein S. L. Legg–Calve–Perthes syndrome. In: Lowell & Winter' Pediatric Orthopaedy. R. T. Morrissey, S. L. Weinstein (eds.) Vol. 2, 4th ed. Philadelphia, etc: Lippincott-Raven Pub. 1996. P. 951–991.
46. Юмагузин У. У. Диагностика и лечение детей с болезнью Пертеса. Автореф. дис. … канд. мед. наук. Уфа. 2009.
47. Беджинский Р., Подрез-Радзшиевска Р. Анализ напряженно-деформированного состояния в проксимальном эпифизе бедренной кости при болезни Легга–Кальве–Пертеса. Российский журнал биомеханики. 2002; 6 (3): 66–76.
48. Beaule P. E., Antoniades J. Patient selection and surgical technique for surface arthroplasty of the hip. Orthop. Clin. North Am. 2005; 36 (2): 177–185.
Болезнь Легга-Кальве-Пертеса
Болезнь Пертеса – ( Aseptic necrosis of the femoral head) - генетическое заболевание бедренной кости и тазобедренного сустава, связанное с нарушением кровоснабжения головки бедренной кости и нарушением питания её суставного хряща с последующим некрозом.
Болезнь Пертеса относится к числу наиболее часто встречающихся заболеваний тазобедренного сустава у собак мелких пород весом менее 12 кг. Наиболее часто поражается один сустав и только в 10-15 % случаев оба сустава.
Термин «асептический некроз» в данном случае означает омертвение костной ткани эпифиза (то есть верхней полусферы) головки бедра неинфекционной природы.
Между тем болезнь Пертеса развивается только в том случае, когда кровоснабжение головки бедра полностью прекращается, что происходит под действием так называемых производящих факторов. Производящими факторами болезни Пертеса чаще всего являются воспаление тазобедренного сустава или незначительная по силе травма, ведущие к компрессии (пережатию) извне малочисленных и недоразвитых сосудов. Незначительная по силе травма, например в результате прыжка со стула, или просто неловкое движение, может остаться незамеченной как хозяевами, так и самим животным. В результате происходит полное блокирование кровотока (или инфаркт) головки бедра, приводящее к её частичному или полному омертвению, то есть образованию очага некроза.
В дальнейшем омертвевшая костная ткань верхней полусферы головки бедра теряет свою нормальную механическую прочность, вследствие чего под влиянием обычной повседневной нагрузки (ходьба, прыжки и т.п.) или даже при отсутствии таковой постепенно развивается деформация головки бедра, которая является главной и наиболее сложной проблемой.
Появление хромоты, болей в бедре, тазобедренном суставе, а также нарушение походки являются поводом для обращения к врачу-ортопеду, который после выяснения анамнеза (истории появления и развития) заболевания и клинического осмотра животного назначает рентгенограммы тазобедренных суставов в прямой проекции и/или КТ исследование.
Единственным критерием, на основе которого выбирается метод лечения, является КТ или рентгенографическое исследование пораженной конечности. Клинические признаки рассматриваются во вторую очередь.

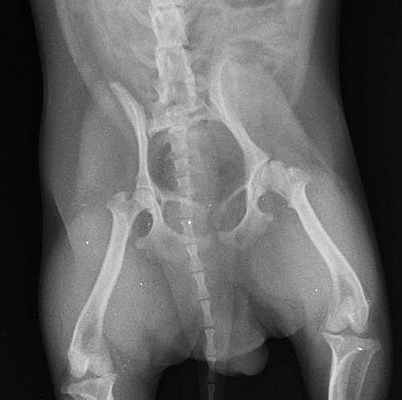
Рентгенограмма собаки с болезнью Легга -Кальве-Пертеса. Пораженный сустав справа
Единственный метод лечения данной патологии – это хирургический, а именно резекционная артропластика, которая позволяет не только избавить животного от боли, но и вернуть функции конечности в полном объеме.
Данная процедура может быть выполнена животному в любом возрасте. Хотя биомеханика конечности восстанавливается не полностью, результаты лечения в большинстве случаев устраивают владельцев.
Существует несколько техник выполнения резекции головки и шейки бедра. Ни у одной из них нет особых преимуществ по сравнению с другими. После операции вернуть животному разумные функции помогут физиотерапия и упражнения, период реабилитации может длиться от 2 недель до одного года.


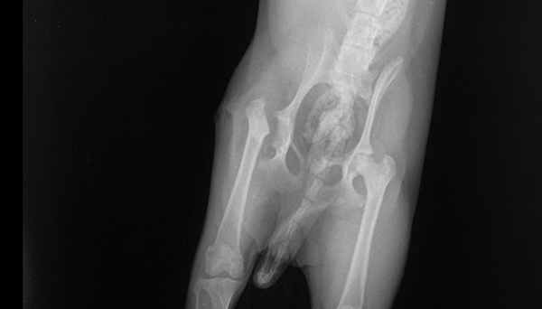
Рентгенограмма собаки с болезнью Легга-Пертеса до операции и после выполненной резекционной (отсекающей) артропластики
Чем раньше будет сделана операция, при условии слабо выраженной атрофии мышц и короткого срока применения нестероидных противовоспалительных средств, тем в более короткие сроки можно будет добиться восстановления функции конечности животного.
Основной задачей операции является облегчение боли, но небольшой размер этих пациентов обычно обеспечивает положительный прогноз на возобновление адекватной функции конечности.
Йоркширский терьер Лекс, вл.Акулов, резекция головки бедра. Видео через 4 месяца после проведенной операции
Публикации в СМИ
Болезнь Легга–Кальве–Пертеса (остеохондропатия головки бедренной кости) — идиопатический асептический некроз головки бедренной кости. Преобладающий возраст — 4–14 лет. Преобладающий пол. Мальчики болеют в 3–4 раза чаще, чем девочки.
Патоморфология. Выделяют 5 стадий: • I — Асептический некроз • II — Вторичный компрессионный перелом • III — Фрагментация, рассасывание участков некротизированного губчатого вещества • IV — Репарация • V — Стадия вторичных изменений.
Клиническая картина • Процесс чаще бывает односторонним, реже — двусторонним • Начальные стадии протекают бессимптомно • Первые симптомы — незначительная болезненность в тазобедренном суставе и хромота; иногда заболевание начинается с болей в области коленного сустава • Позднее появляются усталость при ходьбе, боли в суставе, хромота, атрофия ягодичных мышц, ограничение ротационных движений и отведения в тазобедренном суставе, укорочение конечности.
Диагностика • Рентгенологическое исследование. В зависимости от стадии заболевания головка бедренной кости может иметь уменьшенные размеры, сплющенную форму и остеопорозную, фрагментированную или склерозированную структуру. На поздних сроках головка принимает грибовидную форму. Шейка укорачивается, уменьшается шеечно-диафизарный угол. Суставная щель расширена • Радиоизотопное сканирование с 99m Tc выявляет участки нарушения кровообращения • МРТ выявляет некроз на ранних стадиях.
Лечение • Полная разгрузка конечности — манжетное вытягивание, ходьба на костылях • Физиотерапия (электрофорез с хлоридом кальция, кокарбоксилазой, аминофиллин на область тазобедренного сустава, озокерит и грязи), массаж и ЛФК • Хирургическое лечение показано при II–III стадии заболевания и направлено на улучшение кровоснабжения проксимального отдела бедра и устранение биомеханических нарушений в тазобедренном суставе, возникших вследствие деформации головки. Производят туннелизацию шейки бедра, введение в канал костного трансплантата, подвертельную остеотомию с центрацией головки бедра • Общая продолжительность лечения — 3–4 года. Рекомендуют лечение в специализированных санаториях.
МКБ-10 • M91.1 Юношеский остеохондроз головки бедренной кости [Легга–Кальве–Пертеса]
Код вставки на сайт
Болезнь Легга–Кальве–Пертеса
Болезнь Легга–Кальве–Пертеса (остеохондропатия головки бедренной кости) — идиопатический асептический некроз головки бедренной кости. Преобладающий возраст — 4–14 лет. Преобладающий пол. Мальчики болеют в 3–4 раза чаще, чем девочки.
Патоморфология. Выделяют 5 стадий: • I — Асептический некроз • II — Вторичный компрессионный перелом • III — Фрагментация, рассасывание участков некротизированного губчатого вещества • IV — Репарация • V — Стадия вторичных изменений.
Клиническая картина • Процесс чаще бывает односторонним, реже — двусторонним • Начальные стадии протекают бессимптомно • Первые симптомы — незначительная болезненность в тазобедренном суставе и хромота; иногда заболевание начинается с болей в области коленного сустава • Позднее появляются усталость при ходьбе, боли в суставе, хромота, атрофия ягодичных мышц, ограничение ротационных движений и отведения в тазобедренном суставе, укорочение конечности.
Диагностика • Рентгенологическое исследование. В зависимости от стадии заболевания головка бедренной кости может иметь уменьшенные размеры, сплющенную форму и остеопорозную, фрагментированную или склерозированную структуру. На поздних сроках головка принимает грибовидную форму. Шейка укорачивается, уменьшается шеечно-диафизарный угол. Суставная щель расширена • Радиоизотопное сканирование с 99m Tc выявляет участки нарушения кровообращения • МРТ выявляет некроз на ранних стадиях.
Лечение • Полная разгрузка конечности — манжетное вытягивание, ходьба на костылях • Физиотерапия (электрофорез с хлоридом кальция, кокарбоксилазой, аминофиллин на область тазобедренного сустава, озокерит и грязи), массаж и ЛФК • Хирургическое лечение показано при II–III стадии заболевания и направлено на улучшение кровоснабжения проксимального отдела бедра и устранение биомеханических нарушений в тазобедренном суставе, возникших вследствие деформации головки. Производят туннелизацию шейки бедра, введение в канал костного трансплантата, подвертельную остеотомию с центрацией головки бедра • Общая продолжительность лечения — 3–4 года. Рекомендуют лечение в специализированных санаториях.
МКБ-10 • M91.1 Юношеский остеохондроз головки бедренной кости [Легга–Кальве–Пертеса]
Читайте также:
