Болезнь Маркиафавы-Биньями
Добавил пользователь Евгений Кузнецов Обновлено: 27.01.2026
В обзорной статье рассматриваются этиопатогенетические, клинические, диагностические и терапевтические аспекты (особенности) болезни (синдрома) Маркиафавы-Биньями. Подчеркивается, что это состояние в большинстве случаев связано с хроническим алкоголизмом, однако может возникать и при других заболеваниях (сахарный диабет, сепсис и др.). Вопреки существовавшему ранее мнению о неизбежной летальности при болезни Маркиафавы- Биньями, широкое использование в клинической практике методов нейровизуализации, особенно МРТ, показало, что это заболевание может иметь и не столь негативный прогноз. Не исключено, что в практической деятельности более легкие варианты болезни Маркиафавы-Биньями не диагностируются. Дифференциальная диагностика проводится с целым рядом неврологических заболеваний, включая острые нарушения мозгового кровообращения, лимфому, рассеянный склероз. Основную роль в правильной диагностике болезни Маркиафавы-Биньями играют результаты МРТ головного мозга. Для лечения используются витамины группы B, особенно витамин B1 (тиамин), а также кортикостероиды, однако оценка эффективности подобного лечения требует дальнейших исследований.
Ключевые слова
Полный текст
О дним из серьезных осложнений алкоголизма традиционно очитаетоя болезнь (оиндром) Маркиа- фавы-Биньями (иопользование термина «оиндром» представляется более правильным, поокольку это оо- отояние являетоя ооложнением ряда заболеваний, в первую очередь алкогольной болезни, однако иоторичеоки оложилооь так, что повоемеотно иопользуетоя термин «болезнь Маркиафавы-Биньями») 2. В 1903 г. два итальяноких патоморфолога - Ettore Marchiafava и Amico Bignami - привели опиоание оиндрома, позднее названного их именем, у трех мужчин, проживавших в южной чаоти Италии и в течение длительного периода времени употреблявших краоное вино (кьянти) меотно- го проиохождения, у них имелиоь оудорожные припадки и кома. Вое три олучая закончилиоь летальным иоходом. На секции у этих больных был выявлен выраженный некроз оредних двух третей мозолиотого тела. Болезнь Маркиафавы-Биньями (БМБ) очитаетоя довольно редким ооотоянием - к концу прошлого века было опиоано лишь около 100-150 таких олучаев, а в начале нашего века - 200-300 больных [3, 5-7]. Вое пациенты были мужчинами, отрадавшими алкоголизмом. Вопреки высказывавшемуся ранее мнению далеко не вое они были итальянцами, поокольку подобные олучаи опиоаны и в других регионах, в чаотнооти в Скандинавии, ореди заболевших вотречалиоь не только мужчины, но и женщины, и не вое они употребляли красное вино (случаи этого заболевания описаны и при злоупотреблении другими алкогольными напитками - виски, ликер, пиво) [6, 8]. И если раньше БМБ считалась Обзоры Раньше болезнь Маркиафавы-Биньями считалась довольно редким заболеванием с плохим прогнозом, однако широкое внедрение в клиническую практику методов нейровизуализации позволило прижизненно диагностировать более легкие случаи, не сопровождавшиеся летальным исходом. В ряде случаев это заболевание отмечается у лиц, не страдающих алкоголизмом. довольно редким заболеванием с плохим прогнозом, то широкое внедрение в клиническую практику методов нейровизуализации позволило прижизненно диагностировать более легкие случаи, не сопровождавшиеся летальным исходом [7]. В ряде случаев это заболевание отмечалось у лиц, не страдавших при жизни алкоголизмом [9, 10]. Частота этих не связанных с алкогольной болезнью случаев составляет около 7% среди всех случаев с клиникой БМБ [9]. В частности, аналогичные изменения головного мозга в эксперименте может вызывать цианид [6], а в клинической практике - отравление угарным газом, сепсис [11], черепно-мозговая травма, сопровождающаяся длительной комой (следует заметить, что этот пациент до травмы в течение длительного периода времени курил марихуану) [12], и ряд других состояний, указанных ниже в разделе, посвященном дифференциальной диагностике БМБ. По данным аутопсии выявляется дегенерация мозолистого тела, проявляющаяся вначале микроскопическими очагами демиели- низации, затем - некрозом. При болезни Маркиафавы-Бинья- ми изменения мозолистого тела сопровождаются его истончением. В некоторых случаях помимо изменений мозолистого тела также выявляются изменения окружающего белого вещества и/или передней спайки. Кроме того, патологический процесс может затрагивать базальные ганглии и в крайне редких случаях - серое вещество полушарий головного мозга. При БМБ изменения мозолистого тела сопровождаются его истончением [5]. В некоторых случаях помимо изменений мозолистого тела также выявляются изменения окружающего белого вещества и/или передней спайки. Кроме того, патологический процесс может затрагивать базальные ганглии и в крайне редких случаях - серое вещество полушарий головного мозга [5, 13]. Иногда БМБ возникала как осложнение энцефалопатии Вернике-Корсакова. Хотя и предполагались дефицит питания и электролитные нарушения (в частности, снижение уровня фосфора [3, 8]) как причина БМБ, истинная причина развития этого состояния оставалась неясной. Однако не вызывает сомнений то, что определенную роль играет дефицит витамина Bj (тиамина), поскольку его назначение может приводить к существенному улучшению в состоянии больных [14]. Ранее авторами постулировался аутопсийный характер постановки диагноза, а БМБ рассматривалась как имеющая крайне неблагоприятный прогноз. По данным аутопсии выявляется дегенерация мозолистого тела, проявляющаяся вначале микроскопическими очагами демиелинизации, затем - некрозом [2]. Также выявляется ламинарный кортикальный склероз Мореля, в основе которого лежит выраженное исчезновение пирамидных нейронов в 3-м слое коры и пролиферация глии [2]. Однако определенные успехи в понимании патогенеза БМБ были достигнуты с помощью методов нейровизуализации [4, 5, 9, 15, 16]. При однофотонной эмиссионной КТ было выявлено характерное для этого состояния двустороннее снижение мозгового кровотока, что, в частности, сопровождалось синдромом игнорирования в сочетании с аграфией и апраксией, а при помощи МРТ и КТ - возможность восстановления когнитивного состояния больных, в ряде случаев довольно значительного. Высказывается мнение, что частота встречаемости этого заболевания гораздо выше, чем предполагалось ранее, а прогноз не столь неблагоприятен [6]. Возможно, что у значительной части пациентов с БМБ врачи общей практики просто не диагностируют ее [6]. В основном этим заболеванием страдают мужчины в возрасте 45-46 лет. У большинства из них алкоголизм сочетается с неадекватным питанием. Начало заболевания протекает по- разному: у кого-то сразу развивается коматозное состояние (тип А БМБ), в ряде случаев ему предшествует судорожный синдром; в типе В БМБ, при котором столь грубые нарушения сознания отсутствуют, также выделяют хроническую форму, для которой характерно медленное развитие психоневрологического дефекта, в первую очередь в когнитивной сфере, вплоть до степени деменции [4, 5, 14, 16-18]. Помимо когнитивных расстройств у больных могут быть постуральные и психотические нарушения, тазовые расстройства, гемипарез или апраксия. У пациентов с быстрым развитием коматозного состояния какая-либо очаговая или латерализованная неврологическая симптоматика может отсутствовать [7]. Если состояние больного позволяет провести нейропсихологическое обследование, то могут быть обнаружены проявления апраксии, в основном в левой руке, что связывают с нарушением передачи информации правому полушарию головного мозга вследствие поражения волокон, составляющих мозолистое тело. У некоторых больных помимо деменции отмечается и афазия. Собственно патогномоничные для БМБ клинические проявления отсутствуют, поскольку в подавляющем большинстве случаев они все же характерны для энцефалопатии Вернике-Корсакова либо для других форм алкоголизма (мозжечковая атаксия, другие двигательные расстройства, нарушения памяти, глазодвигательные расстройства) [6, 19]. Считается, что БМБ сочетается с энцефалопатией Вернике-Корсакова в 15-20% случаев [3]. Прижизненная диагностика БМБ основывается главным образом на результатах неврологического осмотра и данных, полученных нейровизуализационными методами исследования, в первую очередь МРТ головного мозга [9, 15, 18, 20]. КТ имеет не большую ценность в диагностике этого заболевания и в основном служит для исключения иных причин ухудшения состояния больного, например, внутримозгового кровоизлияния [4, 21]. Однако при МРТ в области мозолистого тела удается визуализировать гипоинтенсивные в режиме Т1 и ги- перинтенсивные в режиме Т2 очаги. Во FLAIR-режиме выявляются перивентрикулярные изменения в виде округлых очагов повышенной интенсивности сигнала с гипоинтеноивной его центральной чаотью в оочетании о гиперинтенсивными зонами в области мозолистого тела. Предполагаетоя, что гиперинтеноивные в режиме Т2 очаги отражают процессы демиелинизации, гипоинтен- оивные - зоны некроза. Также нередко (почти у 40% больных по данным аутопсии) изменения захватывают и расположенное рядом белое вещество полушарий головВысказывается мнение, что частота встречаемости этого заболевания гораздо выше, чем предполагалось ранее, а прогноз не столь неблагоприятен. Возможно, что у значительной части пациентов с болезнью Маркиафавы-Биньями врачи общей практики просто не диагностируют ее. ного мозга, а также ножки мозга [3, 16, 20]. Кроме того, экстраколлозальные изменения могут отмечаться и в области базальных ганглиев [22], и в коре головного мозга (ламинарный склероз Мореля) [7, 15, 23, 24], и в субкортикальном белом веществе [25], особенно лобных долей [7, 26, 27]. В большинстве олучаев экстраколлозальные изменения нооят оимметричный характер, однако в литературе есть описания и асимметричных очагов, которые регреооировали по данным МРТ на фоне терапии витамином Bj [28]. Даже в острую фазу заболевания эти очаги не сопровождаются развитием маоо-эффекта, однако они могут накапливать по периферии контрастное вещество [24]. Почему лобные доли столь подвержены повреждению при дефиците тиамина, а не овязаны о прямым токсическим действием алкоголя, до настоящего времени является предметом дискуссий. Возможно, что это связано о нарушением обмена глутамата, приводящего к увеличению его содержания именно в лобной коре и овязанному о этим каокаду иных нейротраномит- терных нарушений [7]. Прижизненная диагностика болезни Маркиафавы-Биньями основывается главным образом на результатах неврологического осмотра и данных нейровизуализационных методов исследования, в первую очередь - МРТ головного мозга. МРТ-изменения претерпевают определенную динамику - от гиперинтеноивных до гипоинтеноивных - в зависимости от срока заболевания, однако данные, свидетельствующие об этом, носят весьма фрагментарный характер [5]. Несмотря на то что одновременное вовлечение мозолиотого тела, глубинных отделов белого вещеотва полушарий головного мозга и коры считается признаком неблагоприятным [24, 26], имеются данные, не подтверждающие это утверждение [16]. Результаты проведенных иооледований позволяют выоказать предположение о воспалительной реакции как ответе на де- миелинизацию и некроз, однако даже авторы этого предположения к нему отнооятоя о ооторожноотью из-за крайне небольшого чиола наблюдений [5]. Полученные в последнее время данные овидетельотвуют о вазогенном отеке как одном из патогенетичеоких механизмов, приводящих к поражению коры головного мозга при БМБ [13]. Что каоаетоя мозолиотого тела, то вазогенный отек оменяетоя цито- токсическим отеком, что в свою очередь приводит к его некротическим изменениям [13]. При этом возникновение очагов в мозолиотом теле приводит к гипоперфузии и гипометаболизму коры головного мозга, что оопрово- ждаетоя характерными для поражения этих корковых зон когнитивными нарушениями [20, 29]. Кроме того, отмечается уменьшение числа волокон, проходящих че- Reviews рез мозолистое тело [17, 30]; в литературе, основываясь на результатах трактографии, при обсуждении механизма развития поихоневрологичеоких нарушений при БМБ даже употребляетоя термин «приобретенная кол- лозотомия» [31]. В оонове клиничеоки явных корковых нарушений, как считается, лежит синдром разобщения [20, 29]. Однако возможно и непооредотвенное поражение коры и оубкортикального белого вещеотва, что показано о помощью диффузионно-взвешенного режима МРТ [24, 27]. Клинические и нейровизуализа- ционные данные овидетельотвуют о оочетании в тяжелых олучаях БМБ о энцефалопатией Вернике-Короакова [24]. Также возможно сочетание БМБ о экотрапонтинным миелинолизом, который также в основном отмечается при алкогольной болезни, однако имеющиеоя данные нооят довольно противоречивый характер [23]. Дифференциальная диагноотика, учитывая данные МРТ, проводится о рассеянным склерозом, лимфомой, вируоным энцефалитом, оотрыми нарушениями мозгового кровообращения, прогреооирующей мультифокальной лейкоэнцефалопатией и задней обратимой энцефалопатией [17, 23, 32, 33]. По данным МРТ головного мозга, БМБ в ооновном отличаетоя от этих ооотояний симметричностью изменений в мозолистом теле [15, 23]. В крайне редких случаях клиника БМБ может напоминать клинику бокового амиотрофичеокого оклеро- за - БАС (прогрессирующие дизартрия и дисфагия в оочетании о признаками поражения верхнего и нижнего мотонейронов), однако для БАС не характерны нормальные результаты электронейромиографичеокого иооледо- вания, изменения мозолиотого тела и лобных долей по данным МРТ, а также низкий уровень витамина В1 в сыворотке крови (в норме >24 нг/мл) [8]. Кроме того, при БМБ, как было отмечено в одном из иооледований, на фоне лечения витамином В1 отмечаетоя уже на 3-й неделе регресс неврологических нарушений параллельно о исчезновением изменений на МР-томограммах [8]. Также у пациентов о БМБ может выявлятьоя онижение уровня витамина В12 и фолатов в сыворотке крови [28]. В редких олучаях, когда у больных отмечаетоя развитие галлюцинаций, проводят дифференциальную диагно- отику о поихичеокими заболеваниями, для которых не характерны имеющиеоя у пациентов о БМБ изменения на МР-томограммах [34]. В литературе имеется описание случая возникновения БМБ у больного СПИДом, который злоупотреблял алкоголем, причем при назначении тиамина характерные для БМБ оимптомы быотро регреооировали [33]. Также имеютоя опиоания возникновения БМБ о характерной нейровизуализационной картиной у больных о неконтролируемым оахарным диабетом, никогда не принимавших алкогольные напитки [35, 36], а также у мужчины, у которого подобные нарушения возникли Обзоры При подозрении на болезнь Маркиафавы-Биньями необходимо немедленное внутривенное введение раствора глюкозы с тиамином. В большинстве случаев тиамин используется в сочетании с другими витаминами этой группы, а также с фолиевой кислотой. спустя полтора года после химиотерапии, проводившейся по поводу удаленной опухоли, на фоне неадекватного питания (потеря аппетита, тошнота) [11]. Также БМБ может дебютировать симптоматикой, напоминающей симптоматику при транзиторных ишемических атаках, и психозом [32]. Считается, что следует иметь в виду возможность наличия БМБ в случаях, когда отмечаются характерные для этого заболевания симптомы в сочетании с соответствующими результатами МРТ, даже при отсутствии в анамнезе указания на злоупотребление алкоголем [11]. Прогноз для жизни при типе А считается неблагоприятным, при типе В возможно в той или иной степени восстановление неврологических функций [4]. Считается, что прогноз носит неблагоприятный характер в 90% случаев [2, 11]. Причиной летального исхода является сердечно-сосудистая и дыхательная недостаточность, связанная с некрозом структур, входящих в лимбическую систему [35]. В литературе особо подчеркивается, что при подозрении на БМБ необходимо немедленное внутривенное введение раствора глюкозы с тиамином. Обычно тиамин назначается в дозе 500 мг/сут, а парентеральное введение этого препарата проводится не менее 5 дней [32]. В большинстве случаев тиамин используется в сочетании с другими витаминами этой группы, а также с фолиевой кислотой, однако даже сейчас в литературе подчеркивается, что эффективность этой терапии требует дальнейших подтверждений [5, 14, 16, 22]. Среди прочих лекарственных препаратов, используемых при БМБ, упоминается амантадин [19]. Следует заметить, что в литературе имеются описания регресса характерных для БМБ МРТ-изменений одновременно с улучшением клинического состояния, причем начало заболевания в этих случаях носило острый характер [11, 16, 22]. Раннее начало терапии витаминами группы В, особенно тиамином, в сочетании с фолатами существенно улучшает прогноз [11, 28]. Так, лучший исход отмечается у больных, которым терапия тиамином парентерально проводится в первые 2 нед от появления симптомов БМБ [9]. Имеются данные, свидетельствующие о благоприятном влиянии больших доз кортикостероидов при БМБ, что сопровождается как уменьшением выраженности МРТ-изменений, так и улучшением клинического состояния больных [25], хотя примерно у 10% пациентов в течение последующих полутора лет состояние может ухудшаться [3]. Имеется описание случая БМБ, при котором на фоне назначения кортикостероидов и витаминов группы В МРТ-изменения претерпели обратное развитие, однако больной так и остался в вегетативном состоянии [7]. Также использование кортикостероидов приводит к улучшению состояния при сахарном диабете, осложнившемся развитием БМБ [36]. В последнем случае параллельно улучшению состояния больной отмечена и положительная динамика выявленных при МРТ изменений. Почему кортикостероиды могут приводить к улучшению при БМБ, остается предметом дискуссий [3]. При этом положительный эффект кортикостероидов при БМБ подтверждается не всеми авторами [9]. В целом прогноз при БМБ может носить различный характер, однако вовлечение в патологический процесс экстраколлозальных структур [11], особенно лобных долей, считается прогностически неблагоприятным признаком [7]. При этом в литературе описаны случаи полного восстановления как клинических нарушений, так и имевшихся нейровизу- ализационных изменений (последнее даже без атрофии мозолистого тела и образования кист) [21]. Особо подчеркивается, что большое значение имеет раннее начало терапии - симптоматика может регрессировать параллельно с нормализацией МРТ-изменений уже через 3 дня от начала терапии [37]. Таким образом, БМБ представляет собой довольно редкое состояние, в большинстве случаев связанное с длительным употреблением алкоголя. Патогенез БМБ остается не до конца ясным. Вопреки существовавшему ранее мнению о неизбежной летальности при данном заболевании в настоящее время с помощью методов нейровизуализации показано, что БМБ может и не приводить к летальному исходу. При этом следует учитывать и то, что целый ряд заболеваний могут имитировать БМБ как по клинической картине, так и по данным нейровизуализации. При подозрении на БМБ необходимо назначать тиамин и проводить это лечение столь долго, сколь долго продолжается восстановление. Подобный подход позволяет улучшить прогноз. Финансирование. Исследование не имело спонсорской поддержки. Конфликт интересов. Авторы заявляют об отсутствии конфликта интересов.
Об авторах
Игорь Владимирович Дамулин
А. А Струценко
Кафедра нервных болезней и нейрохирургии 110000, г. Москва, Россия
Список литературы
© ООО "Эко-Вектор", 2016
Свидетельство о регистрации СМИ № 01016 от 19.07.1995 г. выдано Федеральной службой по надзору в сфере связи, информационных технологий и массовых коммуникаций (Роскомнадзор).
Свидетельство о регистрации СМИ ЭЛ № ФС 77 - 80632 от 15.03.2021 г. выдано Федеральной службой по надзору в сфере связи, информационных технологий и массовых коммуникаций (Роскомнадзор).
Болезнь (синдром) Маркиафавы-Биньями
В обзорной статье рассматриваются этиопатогенетические, клинические, диагностические и терапевтические аспекты (особенности) болезни (синдрома) Маркиафавы-Биньями. Подчеркивается, что это состояние в большинстве случаев связано с хроническим алкоголизмом, однако может возникать и при других заболеваниях (сахарный диабет, сепсис и др.). Вопреки существовавшему ранее мнению о неизбежной летальности при болезни Маркиафавы- Биньями, широкое использование в клинической практике методов нейровизуализации, особенно МРТ, показало, что это заболевание может иметь и не столь негативный прогноз. Не исключено, что в практической деятельности более легкие варианты болезни Маркиафавы-Биньями не диагностируются. Дифференциальная диагностика проводится с целым рядом неврологических заболеваний, включая острые нарушения мозгового кровообращения, лимфому, рассеянный склероз. Основную роль в правильной диагностике болезни Маркиафавы-Биньями играют результаты МРТ головного мозга. Для лечения используются витамины группы B, особенно витамин B (тиамин), а также кортикостероиды, однако оценка эффективности подобного лечения требует дальнейших исследований.
Ключ. слова
Об авторах
Список литературы
Demaerel P., Van Paesschen W. Marchiafava-Bignami disease. N. Engl. J. Med. 2004; 351: e10.
Folescu R., Zamfir C.L., Sisu A.M., Motoc A.G., Ilie A.C., Moise M. Histopathological and imaging modifications in chronic ethanolic encephalopathy. Rom. J. Morphol. Embryol. 2014; 55: 797-801.
Heinrich A., Runge U., Khaw A.V. Clinicoradiologic subtypes of Marchiafava-Bignami disease. J. Neurol. 2004; 251: 1050-9.
Gambini A., Falini A., Moiola L., Comi J., Scotti G. Marchiafava-Bignami disease: longitudinal MR imaging and MR spectroscopy study. AJNR Am. J. Neuroradiol. 2003; 24(2): 249-53.
Helenius J., Tatlisumak T., Soinne S., Valanne L., Kaste M. Marchiafava-Bignami disease: two cases with favourable outcome. Eur. J. Neurol. 2001; 8: 269-72.
Namekawa M., Nakamura Y., Nakano I. Cortical Involvement in Marchiafava-Bignami disease can be a predictor of a poor prognosis: a case report and review of the literature. Intern. Med. 2013; 52(7): 811-3.
Hoshino Y., Ueno Y., Shimura H., Miyamoto N., Watanabe M., Hattori M., Urabe T. Marchiafava-Bignami disease mimics motor neuron disease: case report. BMC Neurol. 2013; 13: 208.
Rickert C.H., Karger B., Varchmin-Schultheiss K., Varchmin-Schultheiß K., Brinkmann B., Paulus W. Neglect-associated fatal Marchiafava-Bignami disease in a non-alcoholic woman. Int. J. Legal Med. 2001; 115(2): 90-3.
Cui Y., Zheng L., Wang X., Zhang W., Yuan D., Wei Y. Marchiafava-Bignami disease with rare etiology: A case report. Exp. Ther. Med. 2015; 9(4): 1515-7.
13. Yoshizaki T., Hashimoto T., Fujimoto K., Oguchi K. Evolution of callosal and cortical lesions on MRI in Marchiafava-Bignami disease. Case Rep. Neurol. 2010; 2(1): 19-23.
14. Garcia-Santibanez R. Marchiafava-Bignami disease presenting as acute dysarthria and ataxia. Alcohol Alcohol. 2014; 50(2): 256-7.
15. Johkura K., Naito M., Naka T. Cortical Involvement in Marchiafava-Bignami disease. AJNR Am. J. Neuroradiol. 2005; 26(3): 670-3.
16. Ruiz-Martinez J., Perez-Balsa A.M., Ruibal M., Urtasun M., Villanua J., Marti Masso J.F. Marchiafava-Bignami disease with widespread extracallosal lesions and favourable course. Neuroradiology. 1999; 41(1): 40-3.
17. Bhat A., Punia V., Lee H.J., Marks D. Corpus callosum fibre disruption in Marchiafava-Bignami disease. Pract. Neurol. 2014; 14(3): 189-90.
Bano S., Mehra S., Yadav S.N., Chaudhary V. Marchiafava-Bignami disease: Role of neuroimaging in the diagnosis and management of acute disease. Neurol. India. 2009; 57(5): 649-52.
Болезнь Маркиафавы-Биньями: причины и лечение
Болезнь (синдром) Маркиафавы-Биньями (центральная демиелинизация мозолистого тела, код по МКБ 10 – G37.1) – заболевание, характеризующееся некротической демиелинизацией мозолистого тела невоспалительной природы, иногда с вовлечением в патологический процесс семиовального центра, передней комиссуры, ножек мозжечка, подкоркового белого вещества.

Причины
Патогенез не изучен, однако выдвинут ряд теорий, в том числе такие как дефицит питания и нарушение фосфорного обмена; дефицит тиамина (витамин В1) – в результате чего возникает нарушение обмена глутатиона, и дальнейшее его накопление в коре головного мозга, что запускает каскад нейротрансмиттерных нарушений.
Также в патогенезе отмечают роль вазогенного отека, который непосредственно влияет на кору головного мозга, а переход вазогенного отека в цитотоксический – приводит к истончению и некрозу мозолистого тела. Некроз тканей, в свою очередь, ведет к снижению кровотока и нарушению метаболизма в коре головного мозга (что и обусловливает когнитивные нарушения), возникает порочный круг.
Классификация
- Тип А – заболевание возникает у пациентов, впавших в коматозное состояние, иногда с предшествующим судорожным синдромом.
- Тип В – при данном типе заболевания отсутствуют серьезные нарушения сознания.
Для данного типа характерно наличие следующих проявлений:
- медленно нарастающий когнитивный дефект вплоть до деменции;
- нарушения равновесия;
- психотические эпизоды;
- тазовые нарушения;
- парез половины тела (или апраксия, более выраженная в левой руке, так как нарушена передача информации правому полушарию вследствие дегенерации мозолистого тела);
- иногда развивается нарушение речи.
Диагностика
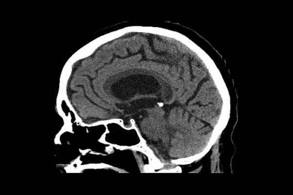
- МРТ головного мозга позволяет увидеть следующие изменения:
— атрофия валика и задних отделов ствола мозолистого тела (на поздних стадиях мозолистое тело приобретает вид «бутерброда» — некроз посередине, сохраненные верхние и нижние слои).
— очаги демиелинизации в лобных долях с двух сторон, иногда в семиовальном центре.
- МСКТ головного мозга – в большей мере для исключения других причин, например, внутримозгового кровоизлияния.
- Исследование витамина В1 в крови.
Дифференциальный диагноз проводят с рассеянным склерозом, ОНМК, вирусным энцефалитом. При этих заболеваниях отмечается несимметричность поражения, нормальный уровень тиамина крови. Иногда проводят дифференциальный диагноз с БАС – здесь большее внимание уделяют результатам ЭНМГ.
Лечение
Лечение болезни Маркиафавы заключается во внутривенном введении глюкозы и тиамина в сочетании с фолатами. Вопрос о назначении глюкокортикостероидов до сих пор обсуждается среди врачей, однако на фоне их применения – улучшается общее состояние пациента.
Прогноз
В целом, прогноз неоднозначен, а вовлечение нескольких структур помимо мозолистого тела прогностически неблагоприятно.
При типе А – неблагоприятный ввиду сердечной и дыхательной недостаточности вследствие поражения лимбических структур головного мозга.
При типе В – возможен регресс симптоматики при своевременном лечении (внутривенное введение раствора глюкозы и тиамина в первые 2 недели от возникновения симптомов).


Автор сайта: Алексей Борисов — практикующий невролог, отоневролог (специалист по вопросам головокружения).
— Окончил Иркутский государственный медицинский университет.
— Заведую кабинетом головокружения.
— Регулярно прохожу курсы повышения квалификации, участвую и выступаю с докладами на образовательных конференциях, в том числе с международным участием.
— Имею большое количество печатных научных публикаций.
Маркиафавы-Бигнами болезнь
Болезнь Маркиафавы-Бигнами - редкое заболевание центральной нервной системы, обычно наблюдающееся в контексте алкоголизма и недоедания.
История
В 1903 году итальянские патологи Маркиафава и Бигнами проанализировали образцы 3 мужчин, страдающих алкоголизмом и умерших после начала эпилептических приступов и комы. У всех пациентов был обнаружен тяжелый некроз средних 2/3 мозолистого тела.
Эпидемиология
Болезнь Маркиафавы-Бигнами в подавляющем числе случаев встречается у хронических алкоголиков; чаще всего это пациенты среднего и пожилого возраста (40-60 лет).
Клиническая картина
Клинические проявления болезни Маркиафавы-Бигнами могут быть разнообразными в зависимости от ее формы: острой, подострой, хронической.
- острая - эпилептические приступы, нарушение сознания, внезапная смерть;
- подострая - спутанность сознания различной степени, дизартрия, нарушения поведения, памяти, походки; признаки рассоединения полушарий;
- хроническая - легкая деменция, которая прогрессирует со временем.
Патология
Основной патологоанатомической находкой является дегенерация мозолистого тела различной степени, варьирующая от демиелинизации с сохранением аксонов до некроза, который может сопровождаться кровоизлиянием в подострую фазу. Чаще всего повреждается колено мозолистого тела, иногда с распростраением в тело. В последнем случае наблюдается предрасположенность к повреждению центральных волокон. В результате некроза формируются кистозные образования, которые внутри содержат макрофаги, а по периферии выстланы глиозным компонентом. В области последнего могут наблюдаться астроциты с железо-положительными гранулами, что будет говорить о предществующем кровоизлиянии. В острую фазу заболевания появляются макрофаги, которые обеспечиваеют мягкую воспалительную реакцию. Однако вследствие персистирования воспаления наблюдается потеря миелина и, соответственно, аксонов. Точный механизм подобного непропорционального поражения мозолистого тела остается неизвестным. В некоторых случаях может наблюдаться поражение скорлупы, кортикальных трактов - передней и задней комиссур, белого вещества полушарий и средних ножек мозжечка.
Диагностика
Диагноз болезни Маркиафавы-Бигнами может быть заподозрен на основании клинических и радиологических признаков.
Компьютерная томография
- чаще всего наблюдаются гиподенсные участки в области мозолистого тела;
- в исключительных случаях с кровоизлияниями данные участки могут быть изо- или гиперденсные;
Магнитно-резонансная томография
- Т1: гипоинтенсивные участки в мозолистом теле в острую фазу;
- Т2: в острую фазу - гиперинтенсивные участки в области мозолистого тела в соответствии с клинической картиной могут помочь с диагнозом; подострая фаза - могут быть гипоинтенсивные фокусы (вероятнее всего в результате отложения гемосидерина);
- МР-спектроскопия: соотношение NAA/Cr может прогрессивно снижаться в первые месяцы заболевания с последующим частичным восстановлением в течение 11 месяцев.
Лечение и прогноз
- Назначение витаминов группы В приводит к улучшению состояния большинства пациентов, хотя в некоторых случаях лечение неэффективно.
Дифференциальный диагноз
- с димиелинизацией мозолитого тела: иная клиническая картина : предшествующая травма в анамнезе
- инфаркт мозолитого тела: встречается редко
- переходящее поражение валика
Литература
Болезнь Маркиафава-Биньями: причины возникновения и основные симптомы, способы лечения заболевания
Патологическое состояние, возникающее на фоне алкоголизма и проявляющееся демиелинизацией мозолистого тела в головном мозге.
Причины
Тип патологических изменений связывает это заболевание с синдромом осмотической демиелинизации. При болезни Маркиафава-Биньями возбуждение и спутанность сознания возникают в результате прогрессирующей деменции и лобного растормаживания. У некоторых больных своевременно начатое лечение сопровождается их полным выздоровлением через несколько месяцев, а при тяжелом течении патологии могут возникать судороги и кома, которые могут стать причиной гибели пациента.
Болезнь Маркиафава-Биньями представляет собой определенный вид энцефалопатии, которая сопровождается возникновением деменции и тяжелыми неврологическими и вегетативно-соматическими расстройствами. Во время микроскопического исследования мозга больных с данной патологией обнаруживаются центральный некроз мозолистого тела с отеком и демиелинизацией, а также нерезко выраженные геморрагии этой области.
Симптомы
Манифестация заболевания происходит с появления психических расстройств, развивающихся исподволь на протяжении нескольких лет. Такие расстройства имеют сходную клиническую картину с таковыми при тяжелой, отличающейся быстрым прогрессированием, алкогольной деградацией, сменяющейся деменцией. Присоединяющиеся с течением времени манифестные симптомы психоза могут сохраняться у больного от нескольких дней до 2 или 3 месяцев. Заболевание дебютирует появлением состояния оглушения различной степени выраженности, тяжелыми делириозными расстройствами, признаками псевдопаралича или корсаковского синдрома.
У пациентов возникают различные неврологические расстройства, характеризующиеся появлением резко выраженной дизартрии, астазии, абазии, генерализованной мышечной гипертонии. Довольно часто у таких больных может развиваться гиперрефлексия, которая характеризуется появлением спастической геми-, пара- и даже тетраплегии, диссоциированных глазодвигательных нарушений, которые могут достигать степени тотальной офтальмоплегии. Довольно часто у таких больных отмечается развитие ослабления сфинктеров. Вегетативно-соматические нарушения подобны тем, которые развиваются при энцефалопатии Гайе-Вернике. У некоторых больных с данным диагнозом смерть наступает в результате развития комы.
Важное значение в патогенезе болезниМаркиафава-Биньями играет дефицит витаминов группы В, а также воздействие токсических веществ, которые образуются в вине при его домашнем производстве.
Диагностика
Прижизненная диагностика болезни Маркиафавы—Биньями основывается главным образом на результатах неврологического осмотра и данных нейровизуализационных методов исследования, в первую очередь — магниторезонансной томографии головного мозга.
При проведении магниторезонансной томографии изменения в головном мозге зависят от длительности течения патологического процесса, однако данные, свидетельствующие об этом заболевании, носят преимущественно фрагментарный характер.
Лечение
Одним из основных факторов успешного лечения данной патологии является отказ от алкоголя. При подозрении на болезнь Маркиафавы-Биньями больной нуждается в немедленном введении раствора глюкозы с тиамином. Чаще всего тиамин используется в сочетании с витаминами других групп, а также с фолиевой кислотой.
Некоторые данные свидетельствуют, что хорошие результаты в терапии данной патологии позволяет получить введение больших доз кортикостероидов, так как в большинстве случаев применение лекарственных средств данной группы позволяет снизить выраженность симптомов патологии.
Профилактика
Профилактика развития болезни Маркиафавы-Биньями основывается на отказе от приема алкоголя и своевременном лечении алкогольной зависимости.
Протокол лечения
Связанные лекарства:
Информация является обобщающей и не может быть использована для лечения, без рекомендации врача.
Анализы
Все лаборатории – в одном месте. Удобное расположение и подходящий график работы, все это позволит вам не тратить лишнее время на поиски.
Читайте также:
