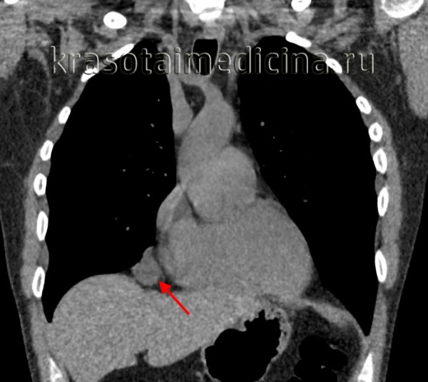
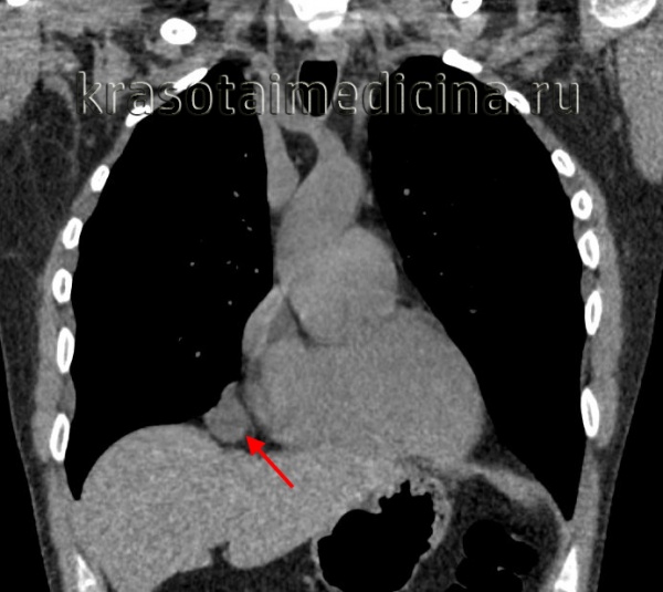
Бронхогенные кисты средостения. Эпителиальные кисты средостения
Добавил пользователь Владимир З. Обновлено: 23.11.2025
Презентация на тему: " Кисты средостения. Кисты средостения – обширная группа новообразований в медиастинальном пространстве." — Транскрипт:
3 Кисты средостения – обширная группа новообразований в медиастинальном пространстве.
4 Кисты средостения Кисты средостения занимают значительное место в медиастинальной патологии, составляют до 14% от общего числа новообразований средостения. Среди множества кистозных образований принято различать истинные (первичные, врожденные) кисты средостения, развивающиеся из целома или из передней кишки, и вторичные (приобретенные) кисты, развивающиеся из различных органов и лимфатических сосудов средостения, а также паразитарные и исходящие из пограничных областей (менингеальные) [5,8]
7 Врожденные кисты средостения Целомические кисты и дивертикулы перикарда – это полые тонкостенные образования, по строению напоминающие перикард, возникают в результате порока развития. Целомические кисты и дивертикулы перикарда являются довольно редкими заболеваниями. По данным Б.В.Петровского (1960), кисты перикарда встречаются в 3,3% случаев опухолей и кист средостения, а по утверждению А.Н.Бакулева и Р.С.Колесниковой (1967), они не превышают 10,5%, К.Т.Овнатанян и В.М. Кравец (1971) наблюдали целомические кисты перикарда в 14,2% случаев среди больных, оперированных по поводу медиастинальных новообразований. Целомические кисты перикарда обнаруживаются у лиц обоего пола в возрасте от 30 до 50 лет. Наиболее часто кисты перикарда локализуются в переднем средостении справа.
8 Н.Г.Батищев (1967) предложил классификацию, систематизирующую кисты и дивертикулы перикарда. Автор различает по строению однокамерные и многокамерные кисты: 1. Кисты, сообщающиеся с полостью перикарда, 2. Кисты, связанные с перикардом ножкой или плоскостным сращением, 3. Отшнуровавшиеся кисты. По локализации: 1. В правом кардио-диафрагмальном углу, 2. В левом кардио-диафрагмальном углу, 3. В переднем средостении на уровне основания сердца, 4. В других отделах средостения.
9 Диаметр целомических кист перикарда колеблется от 3 до 20 см и более (И.Д.Кузнецов 1970). Стенка целомических кист и дивертикулов перикарда, как правило, бывает прозрачной, тонкой, фиброзной. Наружная поверхность кист гладкая, серого или серовато-желтого цвета. В стенке кисты выявляются тонкие сосуды, расположенные в виде сетки. Содержимое кисты обычно бывает прозрачным, бесцветным или соломенно-желтым. Основу стенки кист составляет волокнистая соединительная ткань, пронизанная эластическими волокнами. Внутренняя их поверхность выстлана плоским или кубическим мезотелием. Наружный слой стенки представлен богато васкуляризированной рыхлой соединительной тканью с включениями жировых клеток. Толщина стенок кист очень незначительная и обычно не превышает толщины писчей бумаги.
12 Бронхогенные кисты характеризуются общностью строения стенок со стенками дыхательных путей, чему обязаны своим названием. Они встречаются наиболее часто среди кист, происходящих из передней кишки. Частота бронхогенных кист по отношению к другим новообразованиям средостения не очень велика. Так, Э.А.Степанов (1961) среди 34 оперированных детей с опухолями и кистами средостения у 5 обнаружил бронхиальные кисты. К.Т.Овнатанян и В.М.Кравец (1971) наблюдали бронхогенные кисты в 4,5% случаев, а В.Л.Толузаков (1970) – в 4% случаев. Бронхогенные кисты встречаются несколько чаще среди мужчин, во всех возрастных группах.
14 Наиболее часто кисты локализуются в верхних отделах заднего средостения справа. Э.А.Степанов (1961) предлагает классификацию по локализации, подразделяющую кисты на 4 группы: 1. Паратрахеобронхиальная: · паратрахеальные; · бифуркационные; · корневые. 2. Параперикардиальная; 3. Парапищеводная: · околопищеводные; · интрамуральные; 4. Отшнуровавшиеся кисты, объединяющие кисты с необычной локализацией.
15 Бронхогенные кисты, за редким исключением, однокамерные. На размере стенка кист неравномерна по толщине, имеет гладкую блестящую внутреннюю поверхность. Содержимое кист представлено прозрачной или мутноватой желатинозной, вязкой массой, которая может нагнаиваться при наличие связи между кистой и бронхиальным деревом. Микроскопически в стенке бронхогенных кист может содержаться какая-либо одна ткань, характерная для трахеи и бронхов или же все ткани, составляющие стенку (многоядерный цилиндрический эпителий, нередко реснитчатый, рыхлая соединительная ткань, содержащая слизистые железы, гиалиновый хрящ и гладкие мышцы). Наряду с указанными тканями в стенке бронхиальных кист выявляются нервные волокна, сосуды и элементы жировой ткани.
17 Рентгенологически обычно выявляется округлое или эллипсовидное затемнение, локализующееся в медиальных зонах верхних отделов заднего средостения чаще правой половины грудной клетки, сливающееся с тенью средостения, имеющее четкий наружный контур. Тень бронхиальной кисты двигается при глотании или меняет свою форму при дыхании. При прорыве кисты в бронх выявляется горизонтальный уровень жидкости в полости кисты.
18 Энтерогенные кисты включают врожденные кисты средостения, строение стенок которых напоминает строение стенок пищеварительного тракта. Медиастинальные энтерокистомы встречаются гораздо реже бронхиальных. Частота их среди различных новообразований средостения, по данным различных авторов, колеблется от 0,7 до 5% (Т.А.Суворова, 1968, В.Л.Маневич, 1963). Чаще встречаются у мальчиков до 2 лет. Характерна локализация энтерокистом в заднем средостении. Энтерокистомы образуются в эмбриональном периоде развития из первичной кишки зародыша. В зависимости от степени сходства их строения с различными отделами пищеварительного тракта принято выделять пищеводные, желудочные и кишечные кисты. Желудочные кисты чаще встречаются у детей, локализуются преимущественно в задне-нижнем отделе средостения, справа от позвоночника. Кисты эти разнообразны по форме (шаровидные, овоидные, грушевидные) и величине. Желудочные кисты, как правило, однокамерные, с мутноватым слизевидным содержимым. Они плотно сращены с окружающими тканями.
20 Кишечные кисты сходны по строению со стенкой кишки. Они относятся к наиболее редким кистам средостения, имеют однокамерное строение. Пищеводные кисты в литературе почти не освещены и встречаются крайне редко. Наиболее частыми клиническими симптомами энтерокистом средостения является кашель, одышка, цианоз, тахикардия, боли в груди, дисфагия и недомогание. Сдавление сосудов растущей кистой довольно рано приводит в различным нарушениям сердечной деятельности. Довольно часто при энтерокистомах развиваются различные по тяжести, порой угрожающие жизни осложнения. Наиболее опасные среди них: прорыв кисты в трахею, бронх или в плевральную полость, пенетрация язв слизистой кисты в позвоночник и пищевод. С развитием осложнений могут возникнуть кровохаркание, эмпиема, частые пневмонии и лихорадка, бронхоэктазии.
21 Рентгенологически энтерокистомы проявляются неправильно- округлым или овоидным образованием с вертикальным расположением длинного диаметра его. Энтерокистомы чаще располагаются в среднем и нижнем отделах заднего средостения. Контуры тени энтерокистом нечеткие.
22 Лечение Лечение предполагает хирургические методы удаления. Желательно проконсультироваться у хирурга по вопросу выбора методики. Если не провести своевременное удаление, может возникнуть проблема сдавливания органов, разрыв или перерождение в злокачественные опухоли. Существует ряд методов открытого удаления кисты:продольная стернотомия – если киста расположена в переднем средостении; переднебоковая торакотомия – если образование расположено сбоку; боковая торакотомия – если киста расположена в среднем средостении; заднебоковая торакотомия – если новообразование расположено в заднем средостении. Торакоскопический метод избавления от кист средостения может использоваться для медиастинальных образований. Если развитие недуг сопровождается соматическими заболеваниями, возможно дренирование и склерозирование образования. Для этого применяется раствор йода со спиртом, либо глюкоза.
Кисты средостения
Кисты средостения – многочисленная группа полостных образований медиастинального пространства врожденного и приобретенного характера. Кисты средостения могут иметь бессимптомное течение или сопровождаться признаками компрессии окружающих органов (бронхов, пищевода, предсердий, артерий), нарушая их функцию. Диагностика кист средостения подразумевает проведение полипозиционной рентгеноскопии и рентгенографии грудной клетки, пищевода, сердца; томографии; бронхоскопии, пневмомедиастинографии, медиастиноскопии, тонкоигольной аспирационной биопсии, УЗИ средостения, парастернальной медиастинотомии. Лечение кист средостения может включать их открытое или торакоскопическое удаление, трансторакальную пункцию кисты с дренированием и склерозированием и др.
МКБ-10


Общие сведения
Кисты средостения составляют от 14 до 18,5% всей медиастинальной патологии. К кистами средостения относят полостные образования различного генеза, происходящие из разнородных тканей и объединенные анатомо-топографическими особенностями расположения. Преимущественно обнаруживаются у пациентов в возрасте 20-50 лет, при этом с одинаковой частотой у женщин и мужчин.
Кроме кист, в средостении могут развиваться истинные доброкачественные и злокачественные опухоли: тимомы, тератомы, липомы, нейрогенные опухоли, лимфомы, саркомы, лимфогенные метастазы злокачественных опухолей различных органов и др. Проблема диагностики и лечения кист средостения относится к числу наиболее сложных и актуальных разделов пульмонологии и торакальной хирургии.
Анатомия средостения
Под средостением (mediastinum) понимают сложное в анатомическом отношении пространство, расположенное в грудной полости. Спереди границами средостения служат грудина, позадигрудинная фасция и реберные хрящи; сзади - предпозвоночная фасция, передняя поверхность грудного отдела позвоночника и шейки ребер; по бокам - листки медиастинальной плевры; снизу – диафрагма; сверху - условная горизонтальная плоскость, проходящая по верхнему краю рукоятки грудины. Т.о., в медиастинальном пространстве выделяют 3 отдела (переднее, среднее и заднее средостение) и 3 этажа (верхнее, среднее и нижнее средостение).
В средостении сосредоточены жизненно важные органы и анатомические образования (крупные сосуды, нервные стволы и сплетения, лимфатические протоки, бифуркация трахеи и главные бронхи, пищевод, перикард и др.). Поэтому компрессия или инвазия этих структур может сопровождаться различными по проявлениям и нередко угрожающими жизни симптомокомплексами. Кисты средостения могут выявляться в любых отделах и этажах медиастинального пространства.
Классификация кист средостения
Кисты средостения классифицируются по происхождению и локализации. Среди множества кист средостения различают истинные (врожденные, первичные), вторичные (приобретенные).
Врожденные кисты средостения развиваются из мезодермальных образований - целома или передней кишки. К ним относятся целомические, энтерогенные, бронхогенные, дермоидные кисты, кисты тимуса и др. Приобретенные кисты средостения происходят из лимфатических сосудов, различных органов средостения и пограничных областей. В число приобретенных кист средостения входят лимфатические, тимусные, паразитарные (эхинококковые), менингеальные.
Целомические кисты и дивертикулы перикарда
Являются своеобразным врожденным пороком развития и составляют 3,3-14,2% всех медиастинальных новообразований. Наиболее часто кисты перикарда (60%) развиваются в правом кардиодиафрагмальном углу, реже (30%) – в левом кардиодиафрагмальном углу и других отделах средостения (10%). Такие кисты средостения являются полыми тонкостенными образованиями, сходными по строению с тканями перикарда, имеют гладкую поверхность серо-желтого или серого цвета.
Кисты перикарда содержат прозрачную серозную или серозно-геморрагическую жидкость. Целомические кисты перикарда могут достигать диаметра от 3 до 20 и более см. Целомические кисты средостения могут быть однокамерными или многокамерными, сообщаться с полостью перикарда, быть связанными с перикардом посредством ножки или плоскостного сращения. Приобретенные кисты перикарда встречаются редко; обычно имеют воспалительное и травматическое происхождение. Также описаны паразитарные (эхинококковые) кисты перикарда.
Бронхогенные кисты средостения
Встречаются в 30-35% наблюдений. Они также являются пороками эмбрионального развития и формируются из участков дистопированного бронхиального эпителия. Макроскопически представляют тонкостенные образования, заполненные прозрачной, реже бурой жидкостью. При гистологическом исследовании в них обнаруживается хрящевая ткань, соединительнотканные и гладкомышечные волокна слизистые железы.
Полость бронхогенной кисты средостения изнутри выстлана эпителием цилиндрического или реснитчатого типа. Внутри кисты содержится прозрачная или мутноватая желатинообразная, вязкая масса, которая, при наличии связи кисты с бронхиальным деревом, может нагнаиваться. Бронхогенные кисты средостения обычно располагаются позади бифуркации трахеи и тесно соприкасаются с трахеей или главными бронхами, иногда - пищеводом. Обычно они имеют однокамерное строение и достигают размеров 7-10 см в диаметре.
Гастроэнтерогенные кисты средостения
Энтерокистомы являются эмбриональными производными из первичной кишки. С учетом микроскопического сходства их структуры с отделами ЖКТ, выделяют пищеводные, желудочные и кишечные кисты. Гастроэнтерогенные кисты средостения встречаются в 0,7-5% случаев. Они представляют собой однокамерные округлые или овоидные образования, с толстыми стенками и ножкой; локализуются преимущественно в заднем средостении. Гастроэнтерогенные кисты средостения содержат мутноватую слизевидную массу. Желудочные кисты могут продуцировать соляную кислоту, что приводит к изъязвлению стенок, кровотечению, язвам и перфорации стенок кисты средостения. В редких случаях в стенке кисты может развиваться рак.
Дермоидные кисты средостения
Кистозные тератомы содержат в своей структуре элементы эктодермы и возникают в процессе нарушения эмбриогенеза. В медицине встречаются дермоидные кисты яичников, брюшной стенки, кожи, забрюшинной клетчатки, печени, почек и др. органов и тканей. Дермоидные кисты обычно расположены в передневерхнем отделе средостения. Величина дермоидных кист средостения может достигать 15-25 см. Форма кистозных тератом обычно неправильная овальная; консистенция эластическая или мягкая. Стенки кисты могут содержать хрящевые и известковые включения. Внутри кисты заключена густая кашицеобразная жирная масса с множеством различных включений (волос, чешуек эпидермиса, кристаллов холестерина, аморфных жиров, зубов).
Кисты вилочковой железы
Могут иметь врожденное и приобретенное (воспалительное, опухолевое) происхождение. Они преимущественно выявляются у детей и людей молодого возраста.
Симптомы кист средостения
Особенности клинических проявлений кисты средостения обусловлены типом и расположением образования, его величиной и скоростью роста. В большинстве случаев симптоматика развивается на том этапе, когда увеличение кисты средостения вызывает компрессию других органов и неизбежное нарушение их функций.
Течение кист перикарда в большинстве случае бессимптомное, гладкое. Нередко они являются находкой при прохождении профилактической флюорографии. Иногда наблюдаются сердцебиение, одышка, сухой кашель, возникающие при перемене положения туловища и физической нагрузке. При осложненном течении целомических кист средостения может иметь место провыв содержимого кисты перикарда в бронх, нагноение и разрывы кисты.
Развитие бронхогенных кист средостения нередко сопровождается надсадным кашлем, одышкой, дисфагией, тупой болью в грудной клетке. При сдавлении кистой дыхательных путей развивается стридорозное дыхание. В случае прорыва бронхогенной кисты средостения в бронх может появиться кровохарканье. При одновременном прорыве кисты в плевральную полость и в бронх, развивается гидропневмоторакс и бронхоплевральный свищ.
Гастроэнтерогенные кисты средостения проявляют себя кашлем, одышкой, тахикардией, дисфагией, болью в груди. Энтерокистомы могут прорываться в трахею, бронхи, плевральную полость, средостение, вызывая развитие кровохарканья, эмпиемы плевры, частых пневмоний, лихорадки неясного генеза, бронхоэктазов, медиастинита.
Более чем в половине случаев дермоидная киста средостения сопровождается различными сердечно-сосудистыми нарушениями: приступами стенокардии, болью в области сердца, тахикардией. У 30% больных признаком дермоидной кисты средостения служит появление продуктивного кашля с выделением кашицеобразной массы, содержащей примесь волос и жира, что наблюдается при прорыве кисты в бронх. У части пациентов отмечается выпячивание грудной стенки в проекции расположения опухоли.
Симптоматика кист вилочковой железы может быть разнообразной – от бессимптомного течения до осложненного. Достигнув известных размеров, кисты могут вызывать медиастинальный «компрессионный» синдром. В некоторых случаях на первый план выходит миастенический синдром. Опасность кист вилочковой железы заключается в риске нагноения, прорыва в плевру, кровотечения.
Осложнения
Наиболее грозным осложнением кист средостения служит так называемый синдром медиастинальной компрессии, частота которого колеблется от 27 до 39%. Сюда может входить компрессия дыхательных путей, синдром верхней полой вены (СВПВ), сдавление пищевода, сердца, возвратного нерва.
При компрессии дыхательных путей развивается стридорозное дыхание, одышка, дыхательная недостаточность. Синдром ВПВ проявляется цианозом кожи лица, видимых слизистых оболочек, шеи, верхних конечностей и грудной клетки; отечностью мягких тканей этой зоны; расширением и напряжением вен шеи; повышением давления в системе ВПВ. Сдавление кистами различных структур средостения может сопровождаться дисфагией, дисфункцией надгортанника, дисфонией, компрессией и дислокацией сердца.
К прочим осложнениям кист средостения относятся их прорывы в полости плевры, бронхи и легкое, кровотечения в средостение и плевральную полость (гемоторакс). Осложненное течение кист средостения несет в себе потенциальную угрозу жизни пациента.
Диагностика
Методы выявления кист средостения включают рентгенологическую, ультразвуковую, томографическую, эндоскопическую, морфологическую диагностику.
- Рентгенологические исследования. Полипозиционная рентгеноскопия и рентгенография грудной клетки, рентгенография пищевода и сердца, пневмомедиастинография позволяют определить локализацию, форму и размеры кисты, ее связь с соседними органами, изменение положения при дыхательных движениях.
- Томографическая диагностика. Для более детальной оценки структуры, толщины стенок кисты, характера содержимого и взаимоотношения с соседними анатомическими образованиями, производится КТ и МРТ средостения.
- Эхография. При медиастинальных новообразованиях в диагностической практике широко используется УЗИ средостения. В диагностике кист перикарда существенно помогает ЭхоКГ, позволяющая дифференцировать кисту средостения от кист легкого, дермоидных кист средостения, аневризмы аорты.
- Бронхологическое обследование. При кистах средостения, демонстрирующих интимную связь с трахеей или бронхами, прибегают к выполнению бронхоскопии и бронхографии.

Если названные методы диагностики не позволяют определиться с нозологией образования, целесообразен переход к инвазивным диагностическим исследованиям:
- Биопсия. Проведение аспирационной тонкоигольной биопсии кисты средостения позволяет осуществить цитологическое исследование полученного пунктата и верифицировать морфологию образования в 80-90% случаев. Тонкоигольная биопсия может выполняться чрескожным, чрестрахеальным, чрезбронхиальным, чреспищеводным доступом.
- Диагностические операции. С целью визуализации и открытой эксцизионной биопсии опухоли средостения может быть предпринята медиастиноскопия, диагностическая торакоскопия, парастернальная медиастинотомия.
Лечение кист средостения
Лечебная тактика в отношении кист средостения сводится к их хирургическому удалению в возможно ранние сроки. Такой подход является профилактикой развития компрессионного синдрома, разрыва и малигнизации кист средостения.
- Открытое удаление кисты средостения может проводиться путем продольной стернотомии (при расположении кисты в переднем средостении), с помощью переднебоковой торакотомии на стороне поражения (при боковом расположении образования), боковой торакотомии (при локализации опухоли в среднем средостении), заднебоковой торакотомии (при расположении кисты в заднем средостении). Открытые операции обеспечивают возможность наибольшей свободы действий и полноценной интраоперационной ревизии раны. При развитии осложнений может потребоваться проведение медиастинотомии.
- Торакоскопическое удаление кист средостения также широко и успешно применяется не только для диагностики, но и для удаления медиастинальных образований. В некоторых случаях используется миниторакотомия с видеоподдержкой.
- Пункционная аспирация. У соматически отягощенных пациентов с низкими функциональными резервами методом выбора служит трансторакальная пункция с дренированием и склерозированием кисты средостения. В качестве склерозантов обычно используется раствор спирта с йодом, глюкозы.
1. Опухоли и кисты средостения (включая патологию вилочковой железы)/ Овнатанян К.Т. Кравец В.М. – 1971.
2. Новообразования средостения: принципы дифференциальной диагностики и хирургического лечения: Автореферат диссертации/ Пищак В.Г. – 2008.
3. Клинические рекомендации по диагностике и лечению больных опухолями средостения и вилочковой желез/ Борисова Т.Н., Бредер В.В., Горбунова В.А., Иванов С.М., Лактионов К.К., Михина З.П., Реутова Е.В., Полоцкий Б.Е., Тюляндин С.А. – 2014.
Бронхогенные кисты средостения

В нашем отделении находились на лечении 5 больных с бронхогенными кистами в возрасте 7, 10, 33, 50 и 53 лет. У 3 больных правильный диагноз был установлен до операции, у 2 предполагалась невринома средостения. Все они успешно оперированы.
Ключевые слова
Полный текст
В нашем отделении находились на лечении 5 больных с бронхогенными кистами в возрасте 7, 10, 33, 50 и 53 лет. У 3 больных правильный диагноз был установлен до операции, у 2 предполагалась невринома средостения. Все они успешно оперированы.
Бронхогенные кисты обычно протекают со слабо выраженными клиническими проявлениями либо бессимптомно и дают о себе знать при воспалении кисты или при сдавлении ею соседних органов. М. А. Зив указал на возможность кровохарканья. По наблюдениям Э. А. Степанова, у детей бронхогенные кисты средостения могут вызвать ателектаз или обтурационную эмфизему легкого, одышку, цианоз. При околопищеводном или интрамуральном (в стенке пищевода) расположении кисты иногда наблюдается дисфагия. У 2 оперированных нами детей не было никаких жалоб, образование в средостении у них выявлено случайно при флюорографии. 1 больная за 2 месяца до поступления стала ощущать боли в груди: повысилась температура, появился кашель с выделением до 100—150 мл слизисто-гнойной мокроты в сутки; при рентгенологическом исследовании слева паратрахеально была обнаружена полость с горизонтальным уровнем жидкости. У 1 больного заболевание проявлялось кашлем и одышкой и у 1 — болями в груди, особенно при положении на здоровом боку. Физикальные методы обследования мало помогают распознаванию болезни.
Наибольшее значение для диагностики бронхогенных кист имеет рентгенологическое исследование (рентгеноскопия, рентгенография, пневмомедиастинотомография). Решающим критерием в установлении диагноза является определение локализации образования и его связи с окружающими органами. Бронхогенные кисты располагаются, как правило, в непосредственной близости к трахее (к ее боковым стенкам или бифуркации), т. е. в среднем или в заднем средостении.
Форма кист в значительной степени обусловливается их расположением: паратрахеальные бронхогенные кисты имеют вытянутую, часто грушевидную форму, а расположенные в области бифуркации — округлую или яйцевидную, при этом более узкая часть кисты направлена в сторону бифуркации. Вертикальный размер бронхогенной кисты всегда превышает горизонтальный (6, 13].
Интенсивность тени кист зависит от их размеров и характера содержимого. Обычно полость кисты наполнена сгущенной слизью, напоминающей вареный крахмал, но иногда в ней содержится много извести [2], и тогда ее тень при относительно небольших размерах может быть интенсивнее тени сердца; этот феномен мы наблюдали у I больного.
Связь кисты с трахеобронхиальным деревом подтверждается смещением ее при глотании и кашле. Тонкостенные кисты могут изменять свою форму в различные фазы дыхания, при проведении пробы Вальсальвы, введении газа в средостение, перемене положения тела [9, 14].
Стенка бронхогенной кисты состоит обычно из рыхлой соединительной ткани, содержит мышечные и хрящевые элементы, слизистые железы и выстлана изнутри респираторным эпителием. Однако при повторном инфицировании многорядный цилиндрический эпителий замещается плоским, а в отдельных случаях может отсутствовать. Описаны бронхогенные кисты со стенкой из плотной фиброзной ткани, лишенной хрящей, слизистых желез, эпителиальной выстилки. 3. В. Гольберт, Г. А. Лавникова считали бронхиальный генез таких кист сомнительным, однако М. А. Зив, Броун и Роббинс и др. относили их к бронхогенным на основании тесной связи со стенками дыхательных трубок. Мы в 4 наблюдениях обнаружили в стенках удаленных кист слизистые железы и респираторный эпителий, в 5-м киста, связанная с кариной, имела фиброзную стенку без желез и респираторного эпителия. Хрящи не были найдены ни в одном из наших наблюдений.
Обызвествление стенок бронхогенных кист встречается очень редко [9, 13], иногда отложение извести в стенке кисты обнаруживается лишь при гистологическом исследовании [20].
Случаи озлокачествления бронхогенных кист средостения единичны [15, 18].
Наиболее целесообразным методом лечения больных с бронхогенными кистами является удаление кисты под интратрахеальным управляемым наркозом.
Кисты средостения
Цекломические кисты и дивертикулы перикарда относятся к врожденным порокам. Они представлены в виде новообразований с тонкими стенками, сходными по своему строению с тканями перикарда и наполненные серозной, либо серозно-геморрагической жидкостью.
Бронхогенные наблюдаются В 30-35% случаях наблюдаются бронхогенные недуги, развивающиеся из дистопированного эпителия бронхов, состоящие из хрящевой ткани, соединительнотканных и гладкомышечных волокон. Гастроэнтерогенные имеют вид эмбриональных производных первичной кишки, а дермоидные возникают при нарушении эмбриогенеза, с наличием в структуре составных эктодермы.
Для кист вилочковой железы характерно врожденное возникновение, либо приобретенное, чему способствуют воспалительные или опухолевые процессы.
Новообразования отличаются локализацией и происхождением, врожденным или приобретенным характером.
Врожденные возникают из мезодермальных тканей. Приобретенные возникают на основе лимфатических сосудов.
Кисты средостения бывают:
- дивертикулы перикарда, целомические;
- бронхогенные;
- гастроэнтерогенные;
- дермоидные;
- кисты вилочковой железы.

Появление кисты средостения
Симптомы
Новообразования по своим проявлениям различаются в зависимости от типа, скорости роста и величины. Как правило, выраженные симптомы возникают, когда увеличение образования приводит к сдавливанию окружающих органов и нарушению их функциональности.
Кисты перикарда обычно обнаруживаются после профилактической флюорографии. В некоторых случаях при изменении положения или физических нагрузках отмечается следующая симптоматика:
- ;
- усиленное сердцебиение;
- сухой кашель.
Если развитие новообразования осложняется, возможен разрыв кисты и попадание ее содержимого в бронх, нагноение.
При бронхогенных кистах может также наблюдаться тяжелый кашель, дисфагия, одышка, тупые боли в груди. Если киста сдавливает дыхательные пути, может развиться стридорозное дыхание. А при разрыве такого образования возникает кровохарканье. Иногда киста прорывается одновременно в бронх и плевральную полость, возникает гидропневмоторакс, а также свищ бронхоплевральной локализации. При гастроэнтерогенных кистах заметны следующие симптомы:
- ;
- кашель; ;
- одышка;
- боль в грудной клетке.
Дермоидные проявляют себя такими симптомами:
- тахикардия;
- болезненность в области сердца; ;
- кашель с кашицеобразной массой;
- выпячивание стенки груди.
Кисты вилочковой железы могут себя никак не проявлять либо приводить к компрессионному синдрому при разрастании.
Диагностика
Для точного диагностирования заболевания нужно записаться на прием к пульмонологу. Проводятся следующие типы инструментальных исследований:
- рентген груди, пищевода, сердца;
- пневмомедиастинография (для определения места размещения, размера, связи с органами);
- компьютерная томография и МРТ средостения;
- бронхоскопия;
- УЗИ средостения.
Если подобного рода исследования не дают достаточно материала, применяются инвазивные пути изучения. Тонкоигольная биопсия предоставляет в 80-90% случаев достаточную информацию для утверждения морфологии новообразования. Дополнительно могут применяться методы визуализации кисты при помощи:
- парастернальной медиастинотомии;
- медиастиноскопии;
- диагностической торакоскопии.
Лечение
Лечение предполагает хирургические методы удаления. Желательно проконсультироваться у хирурга по вопросу выбора методики.
Если не провести своевременное удаление, может возникнуть проблема сдавливания органов, разрыв или перерождение в злокачественные опухоли.
Существует ряд методов открытого удаления кисты:
- продольная стернотомия – если киста расположена в переднем средостении;
- переднебоковая торакотомия – если образование расположено сбоку;
- боковая торакотомия – если киста расположена в среднем средостении;
- заднебоковая торакотомия – если новообразование расположено в заднем средостении.
Торакоскопический метод избавления от кист средостения может использоваться для медиастинальных образований. Если развитие недуг сопровождается соматическими заболеваниями, возможно дренирование и склерозирование образования. Для этого применяется раствор йода со спиртом, либо глюкоза.
Профилактика
Профилактические меры связаны прежде всего с отказом от курения, соблюдением правил безопасности органов дыхания при работе на вредном производстве.
Опухоли и кисты средостения
Опухоли и кисты средостения встречаются не так уж часто, они составляют около трех процентов всех объемных образований у детей. Тем не менее, они заслуживают внимания как предмет дифференциальной диагностики с другими заболеваниями, встречающимися у детей гораздо чаще: пневмониями, пороками развития легких, диа-фрагмальными грыжами. Большое значение имеет дифференциальный диагноз доброкачественных опухолей и опухолеподобных образований средостения со злокачественными новообразованиями, своевременность и правильность лечения которых определяют судьбу ребенка.
Клиническая классификация объемных образований средостения представлена на рис. 16.1. Подавляющая их часть, за исключением злокачественных лимфом, к которым относят лимфогранулематоз и лим-фосаркомы, имеет дизонтогенетическое происхождение.
В настоящей лекции мы не будем подробно рассматривать лечение злокачественных новообразований (это предмет лекций по основам детской онкологии), а осветим проблемы их диагностики. Подробнее остановимся на доброкачественных опухолях и дизонтогенетических образованиях, одно из которых (энтерогенную кисту, являющуюся вариантом удвоения пищевода) подробно рассмотрено в лекции о пороках развития желудочно-кишечного тракта.
Для удобства рассмотрения вопроса о локализации опухолей разделим средостение на переднее, среднее и заднее, а также на два его этажа: верхний и нижний. Каждая из представленных в классификации разновидностей объемных образований имеет характерную локализацию. Так, рассмотренная ранее энтерогенная киста находится обычно рядом с пищеводом в заднем средостении, хотя с ростом может и выходить за его пределы.
Общие симптомы заболевания имеют только злокачественные опухоли. Это так называемый опухолевый симптомокомплекс, обусловленный опухолевой интоксикацией. Злокачественные нейрогенные опухоли, симпатические клетки которых продуцируют катехоламины опухоли и онухоленодооные образования средостения
целомические кисты перикарда
Рис. 16.1. Клиническая классификация опухолей и опухолеподобных образований средостения у детей
(адреналин, норадреналин), проявляют себя специфическим для них синдромом катехоламиновой интоксикации (повышение АД, головные боли, сердцебиения, тахикардия, потливость, тремор рук). Их повышенные содержание в крови и экскрецию с мочой можно определить лабораторными методами.
Локальные симптомы характеризуют каждую опухоль в зависимости от ее типичной локализации в средостении и связи с находящимися рядом органами. Это могут быть неврологический, респираторный, дисфагический, сосудистый и кардиальный синдромы. Решающую роль в диагностике имеют обычно результаты дополнительных исследований, которые в данном случае применяются во всем их разнообразии: обзорная рентгенография грудной клетки, томография, искусственный пневмоторакс и пневмоперитонеум, пневмомедиастинография, рент-генконтрастные исследования пищевода, сосудов и перидурального пространства. В последние годы многие из этих исследований в значительной степени заменили компьютерные рентгеновская, магнитно-резонансная томографии и ультразвуковая диагностика.
Бронхогенные кисты средостения встречаются редко и являются следствием нарушения эмбриогенеза бронхов и трахеи. По аналогии с пороками развития пищеварительной трубки они могут расцениваться вариантами их удвоения. Они располагаются возле бронхов, иногда возле бифуркации трахеи, в среднем средостении. Кисты заполнены жидкостью — продуктами жизнедеятельности выстилающего их изнутри эпителия дыхательных путей. Клинически бронхогенные кисты себя ничем не проявляют и, как правило, являются рентгенологическими находками. Осложняются они, в отличие от энтерогенных кист, крайне редко.
На обзорной рентгенограмме и томограмме они всегда единичные и имеют правильную округлую форму, в отличие от полициклических контуров увеличенных бифуркационных и корневых лимфоузлов, с которыми и приходится проводить дифференциальную диагностику. Компьютерная рентгеновская, магнитно-резонансная томография или УЗИ позволяют определить, что содержимым новообразования является жидкость, и на основании этого диагностировать кисту.
Лечение бронхогенных кист — хирургическое, они подлежат удалению в плановом порядке. Иногда до операции их принимают за энте-рогенные кисты, однако гистологическое исследование удаленного препарата по характеру выстилающей их изнутри слизистой позволяет расценивать их как бронхогенные. В стенке их иногда обнаруживают хрящевые включения.
Деломические кисты перикарда клинически себя ничем не проявляют и всегда являются рентгенологическими находками. Их нередко находят уже у новорожденных. Лучше всего они видны на боковой рентгенограмме грудной клетки — в виде округлого кистовидного образования в передненижнем средостении за мечевидным отростком грудины (см.
Рис. 16.2. Рентгенограмма грудной клетки ребенка с целомической кистой перикарда
Описания осложнений кисты перикарда мы не встретили. Операцию их удаления предпринимают обычно для исключения более опасных опухолей.
Дермоидные кисты являются результатом нарушения формирования передней грудной стенки у эмбриона, когда участки эктодермы оказываются за грудиной. Они представляют кистозные образования, располагающиеся обычно на боковой поверхности средостения под ме-диастинальной плеврой, чаще слева. Изнутри они выстланы кожным эпителием, а в полости содержат продукты кожных желез и придатков кожи — кожное сало и волосы. Клинически себя не проявляют, обычно тоже являются рентгенологическими находками (см. рис. 16.3). С описаниями осложнений дермоидных кист средостения мы не встретились, но они подлежат удалению, так как медленно увеличиваются и могут достигнуть громадных размеров, а также для исключения более опасных опухолей.
Из доброкачественных опухолей средостения чаще всего встречаются нейрогенные опухоли — ганглионевромы. Они исходят из вегетативных узлов пограничного симпатического сплетения в любом из его отделов и встречаются, кроме средостения, еще и в забрюшинном пространстве. Растут они медленно в плевральную полость и длительное время себя ничем не проявляют. При поражении звездчатого узла сплетения может быть синдром Горнера. При прорастании опухоли через межпозвоночное отверстие в позвоночный канал (опухоль типа «песочных часов») могут развиться неврологические симптомы сдавления спинного мозга и его корешков. Но, как правило, доброкачественная
Рис. 16.3. Обзорная рентгенограмма грудной клетки на фоне пневмомедиастинума девочки с дермоидной кистой средостения
опухоль является рентгенологической находкой. Она выглядит как шарообразное интенсивное гомогенное затемнение с типичной локализацией в реберно-позвоночном углу заднего средостения (см. рис. 16.4).
Рис. 16.4. Рентгенограммы больного с нейрогенной опухолью средостения
При злокачественных вариантах опухоли в ее структуре иногда прослеживаются мелкие бесформенные вкрапления извести. Дополнительные рентгенологические исследования проводятся лишь в том случае, когда есть симптомы сдавления спинного мозга. Тогда проводят контрастную миелографию или эпидурогафию, позволяющие выявить внутрипозвоночный компонент опухоли.
Лечение ганглионевромы только хирургическое. Опухоль подлежит радикальному удалению путем торакотомии. При наличии внутрипозво-ночного компонента он удаляется вторым этапом путем ламинэктомии.
Доброкачественные сосудистые опухоли — гемангиомы встречаются в любом участке тела, изредка и в средостении. Как и другие доброкачественные образования средостения, они обычно являются случайной рентгенологической находкой. Каких-либо специфических, только им свойственных, клинических и рентгенологических признаков не имеют. Обычно природа опухоли устанавливается во время операции и окончательно подтверждается при гистологическом исследовании. В наших наблюдениях гемангиомы средостения были кавернозными. У одного ребенка гемангиома размещалась в левой доле вилочковой железы и была удалена вместе с нею.
Лимфангиомы встречаются обычно в верхнем средостении как остатки удаленных больших кавернозных лимфангиом шеи, распространявшихся в средостение. Они, как правило, не имеют тенденции к росту и не требуют удаления, если не вызывают сдавления крупных сосудов средостения, проявляющегося клиникой «синдрома верхней полой вены» (увеличение объема шеи с расширением подкожных и магистральных вен) и трахеи, проявляющегося затруднениями дыхания (респираторный синдром).
Доброкачественные тератомы по своей природе являются «несостоявшейся двойней» или «плодом-паразитом». Они возникают в том случае, когда один из бластомеров начинает свое самостоятельное развитие на стадии восьми бластомеров и позднее и уже неотделим от «плода-хозяина». В такой опухоли можно найти множество вполне дифференцированных органов и тканей (головной мозг, кости, зубы, кишечник и др.), расположенных совершенно хаотично. Потому такие тератомы называют еще «зрелыми». Они редко озлокачествляются, хотя риск наличия в них незрелых тканей, способных дать начало опухолевому росту, выше, чем в тканях «хозяина».
Источником же незрелых и злокачественных тератом (тератобластом) является первичная половая (герминогенная) клетка, потому эти опухоли называют герминогенными. Они обычно состоят из кист и солидного компонента, могут содержать крупные скопления извести и участки недифференцированной костной ткани, но никогда не имеют сформированных органов. Самыми потенциально злокачественными их компонентами являются сохранившиеся клетки желточного мешка, дающие начало «опухоли желточного мешка», и первичные нервные клетки.
В средостении встречаются обычно зрелые тератомы. Они располагаются всегда в переднем средостении, непосредственно за грудиной, и медленно вместе с ребенком растут. Их клинические проявления связаны со сдавлением сердца и могут проявляться чувством тяжести и болями за грудиной, иногда нарушениями ритма сердца. Диагноз легко подтверждается обзорной рентгенограммой грудной клетки в двух проекциях, на которых за грудиной видна опухоль, содержащая плотные включения, напоминающие кости и зубы. Лечение опухоли оперативное и заключается в ее полном удалении вместе с капсулой. При этом нередко вскрываются обе плевральные полости, так как опухоль обычно покрывается медиастинальной плеврой со стороны обеих плевральных полостей.
Очень много волнений педиатрам и хирургам доставляют гиперплазии вилочковой железы, которые часто встречаются у грудных детей. Это состояние раньше называлось тимико-лимфатическим статусом, при нем очень часто наступала необъяснимая смерть ребенка во время эфирного наркоза. А поскольку еще в недалеком прошлом детям давался в основном эфирный наркоз, обнаружение увеличенной вилочковой железы считалось противопоказанием к любой операции, за исключением состояний, непосредственно угрожающих жизни. Сейчас эфирный наркоз практически не применяется, и случаи таких смертей стали казуистикой, а об этом статусе стали забывать. Тем не менее, не уделять ему внимания нельзя и при гиперплазии вилочковой железы по возможности следует откладывать плановые операции на более старший возраст, когда гиперплазия самостоятельно исчезает.
Гиперплазированная вилочковая железа выглядит на рентгенограмме грудной клетки как овальной или треугольной формы опухоль, широким основанием прилежащая к верхнему и среднему средостению, а при больших размерах железы — и к нижнему. Она гомогенна, а по плотности соответствует тканям средостения. Чаще увеличивается правая доля, реже левая, нередки случаи увеличения обеих долей. Нам встречались дети, у которых железа занимала почти всю правую половину грудной клетки, одного из них мы оперировали с диагнозом тимомы, удалили правую долю железы, а гистологическое исследование показало, что это гиперплазия вилочковой железы.
Характерный рентгенологический вид «опухоли», расположение ее в верхнем переднем средостении позволяет установить локализацию процесса в вилочковой железе, заподозрить гиперплазию и занять выжидательную позицию. Дифференцировать ее с тимомой очень трудно, наше счастье в том, что тимомы у маленьких детей встречаются крайне
редко. Известно также, что гиперплазии вилочковой железы очень чувствительны к рентгеновским лучам, иногда опухоль быстро уменьшается уже после рентгенографии в двух проекциях.
Хорошую помощь в диагностике оказывает назначение недельного курса преднизолона, после чего опухоль начинает быстро уменьшаться в размерах. Такую терапию, после консультации с детским эндокринологом, мы применяем в качестве предоперационной подготовки детям с гиперплазией тимуса, когда откладывать плановую операцию надолго очень нежелательно для ребенка.
Читайте также:
