Брюшинный покров желчного пузыря. Кровоснабжение желчного пузыря. Иннервация желчного пузыря. Лимфоотток от желчного пузыря.
Добавил пользователь Владимир З. Обновлено: 27.01.2026
Желчный пузырь располагается в fossa vesicae felleae на нижней поверхности печени между правой и квадратной ее долями. Проекция дна желчного пузыря на переднюю брюшную стенку соответствует углу, образованному наружным краем правой прямой мышцы живота и реберной дугой на уровне слияния хрящей правых IX—X ребер. Желчный пузырь представляет собой резервуар желчи. Свободный отдел желчного пузыря, выступающий за нижний край печени, носит название дна, противоположный узкий конец — шейки, а средняя его часть между ними называется телом пузыря. Шейка пузыря продолжается в пузырный проток, ductus cysticus. Различают две стенки желчного пузыря: верхнюю, прилегающую к печени, и нижнюю, свободную, обращенную в брюшную полость. Желчный пузырь чаще расположен мезоперитонеально, брюшина покрывает дно пузыря на всем протяжении, тело и шейку — с трех сторон. Дно желчного пузыря и нижняя поверхность тела его соприкасаются с поперечной ободочной кишкой, пилорическим отделом желудка и двенадцатиперстной кишкой.
Следует отметить две крайние формы положения пузыря: 1) желчный пузырь со всех сторон покрыт брюшиной и имеет собственную брыжейку и 2) внутрипеченочное положение пузыря. Кровоснабжение желчного пузыря осуществляется пузырной артерией, a. cystica, отходящей от правой печеночной артерии. Венозный отток от желчного пузыря происходит через пузырную вену в правую долевую воротную вену.
Иннервация желчного пузыря и его протока осуществляется печеночным сплетением. Лимфоотток происходит в лимфатические узлы ворот печени. Пузырный проток, ductus cysticus, сливается с общим печеночным протоком, ductus hepaticus communis. В воротах печени оба долевых печеночных протока сливаются в один крупный — общий печеночный проток, ductus hepaticus communis. Ниже слияния правого и левого печеночных протоков в общий печеночный проток вливается пузырный, образуя общий желчный проток, ductus choledochus. Он подразделяется на 4 части: супрадуоденальную — от места слияния с пузырным до двенадцатиперстной кишки; ретродуоденальную — позади двенадцатиперстной кишки; панкреатическую — в толще головки поджелудочной железы и интерстициальную — участок протока, расположенный в стенке кишки до отверстия на вершине большого дуоденального сосочка, papilla duodeni major. Супрадуоденальная часть проходит в правом крае lig. hepatoduodenale, ретродуоденальная часть залегает позади верхней части двенадцатиперстной кишки. Выше и слева от него проходит воротная вена, ниже и справа — a. gastroduodenalis. Воротная вена пересекает панкреатическую часть общего желчного протока в косом направлении слева. Интерстициальная часть прободает заднюю стенку средней
трети нисходящей части двенадцатиперстной кишки и открывается на вершине большого дуоденального сосочка. Конечная часть общего желчного протока сливается с основным протоком поджелудочной железы, образуя при вхождении в кишку печеночно-поджелудочную ампулу, ampulla hepatopancreatica.
Топография селезенки .
Селезенка — непарный паренхиматозный орган, расположенный глубоко в заднем отделе левого подреберья. Брюшина покрывает ее со всех сторон, кроме ворот органа. Наружная поверхность селезенки прилежит к реберной части диафрагмы. Зона проекции ее соответствует левому реберно-диафрагмальному синусу. В норме селезенка проецируется между IX и XI ребрами посредней подмышечной линии, не выходя вперед за переднюю подмышечную линию. Задний конец селезенки отстоит от позвоночника на 4—6 см и соответствует уровню X—XI грудных позвонков. Селезенка имеет продолговатую, часто овальную форму. Соответственно продольной оси селезенки в ней различают два конца, или полюса: задний, extremitas posterior, закругленный, обращенный к позвоночнику, и передний, extremitas anterior, заостренный, направленный к реберной дуге, а также две поверхности: наружную, или диафрагмальную, facies diaphragmatica, и внутреннюю, или висцеральную, facies visceralis. На внутренней поверхности селезенки находятся ворота селезенки, hilus lienis. Связки селезенки образованы листками брюшины, идущими от соседних органов и стенок брюшной полости в основном к воротам органа.
Различают следующие связки: желудочно-селезеночную, lig.gastrolienale, диафрагмально-селезеночную, lig, phrenicolienale, поджелудочно-селезеночную, lig. pancreaticolienale, диафрагмально-ободочная связка, lig. phrenicocolicum. Диафрагмально-селезеночная связка выполняет основную фиксирующую функцию; в ней содержатся также сосудисто-нервные образования селезенки. Диафрагмально-ободочная связка представлена дупликатурой брюшины и тянется в виде широкого листка от нижней поверхности диафрагмы к левому изгибу поперечной ободочной кишки. Связка замыкает снизу так называемый слепой карман, saccus caecus lienis, куда спускается передний конец селезенки. В селезенке различают наружную фиброзную оболочку, трабекулы и пульпу.
Фиброзная капсула, tunica fibrosa, селезенки тесно сращена с покрывающей ее висцеральной брюшиной, а изнутри — с трабекулами. Фиброзная капсула достаточно прочна, эластична и растяжима.
Основным источником кровоснабжения органа является селезеночная артерия. Она отходит в большинстве случаев от чревного ствола. Артерия входит в lig. pancreaticolienale. Селезеночная артерия отдает ряд ветвей к телу и хвосту поджелудочной железы, к желудку и большому сальнику. Основной ствол a. lienalis в воротах селезенки делится на 2 ветви: верхнюю и нижнюю. Верхняя направляется к верхней (задней) половине селезенки, нижняя — к нижней (передней). Внеорганные вены селезенки собираются, как правило, в крупную селезеночную вену, v. lienalis. В селезеночную вену впадают короткие вены желудка, левая желудочно-сальниковая вена, вены хвоста и тела поджелудочной железы, а также нижняя брыжеечная вена. Отводящие лимфу от паренхимы селезенки лимфатические сосуды выходят из ворот селезенки вместе с кровеносными сосудами и впадают в поджелудочно-селезеночные лимфатические узлы. Часть их расположена непосредственно у ворот селезенки, другие — в селезеночной ножке и по всему ходу артерии.
Иннервация селезенки осуществляется ветвями левой половины чревного сплетения. Кроме того, в иннервации ее участвуют левое надпочечное и левое диафрагмальное сплетения
12. Топография поджелудочной железы.
Поджелудочная железа располагается забрюшинно, позади желудка, в верхней половине живота. Поджелудочная железа проецируется на переднюю брюшную стенку по горизонтальной линии, соединяющей концы VII—VIII ребер, или по горизонтальной линии, проходящей через середину расстояния между мечевидным отростком и пупком, что соответствует уровню тела I поясничного позвонка.
Форма может быть вытянутой, дугообразно изогнутой, молотообразной и углообразной.
Поджелудочная железа условно разделяется на три отдела: головку, тело и хвост, шейку железы.
Головка поджелудочной железы утолщена и приближается по форме к неправильному четырехугольнику; занимая внутренний изгиб двенадцатиперстной кишки, она прочно фиксирована вместе с общим желчным и поджелудочными протоками к ее нисходящей части. В переднезаднем направлении головка уплощена. В ней различают переднюю и заднюю поверхности, а также верхний и нижний края.
Тело поджелудочной железы представляет среднюю, наибольшую часть органа. Правая часть передней поверхности несколько выступает вперед, образуя сальниковый бугор, tuber omentale pancreatis. На задней поверхности расположено продольное углубление для проходящей здесь селезеночной вены.
Хвост поджелудочной железы уплощен и не имеет граней. В нем различают переднюю и заднюю поверхности, а также верхний и нижний края.
Выводная система поджелудочной железы включает мелкие дольковые протоки, которые впадают в основной и добавочный поджелудочные протоки. Проток поджелудочной железы, ductus pancreaticus, формируется путем слияния дольковых протоков большей части органа и прослеживается на протяжении всей железы, располагаясь на равном расстоянии от верхнего и нижнего краев ее. В области большого дуоденального сосочка он соединяется с общим желчным протоком или открывается самостоятельно. У места соединения проток поджелудочной железы имеет собственный гладкомышечный сфинктер. Добавочный проток поджелудочной железы, ductus pancreaticus accessorius, располагается в верхнепередних отделах головки железы. Он соединяется с главным протоком в головке, впадает самостоятельно на малом дуоденальном сосочке двенадцатиперстной кишки. Выделяют желудочно-поджелудочную, привратниково-поджелудочную и поджелудочно-селезеночную связки.
14. Топография ободочной кишки. Ее отделы, кровоснабжение, иннервация, лимфоотток.
Продолжением слепой кишки кверху является восходящая ободочная кишка (colon ascendens). Она располагается в части брюшной полости на протяжении от подвздошной ямки до правого подреберья, длина ее колеблется в пределах 3–16 см, в среднем составляя 10 см.
Отношение к брюшине
Восходящая ободочная кишка спереди и с боков покрыта брюшиной. Задняя поверхность ее лишена брюшинного покрова и посредством соединительнотканных волокон фиксирована к жировой клетчатке забрюшинного пространства.
Положение и синтопия
Восходящая ободочная кишка располагается в желобе, образованном m. psoas major, m. quadratus lumborum и m. transversus abdominis, и доходит до нижнего полюса правой почки. Спереди она покрыта петлями тонкой кишки или непосредственно соприкасается с передней брюшной стенкой. Нередко верхняя часть ее прикрыта начальной частью поперечной ободочной кишки. Сзади восходящая ободочная кишка отделена от поперечной мышцы живота и квадратной мышцы забрюшинной клетчаткой и фасцией. Иногда к заднемедиальной стенке кишки прилежит правый мочеточник, обычно же он располагается на расстоянии 1–4 см кнутри от кишки. Слева от восходящей ободочной кишки находится правый мезентериальный синус, справа — правый латеральный канал. В правом подреберье, на месте перехода восходящей ободочной кишки в поперечную ободочную, образуется правая кривизна (flexura coli dextra). Она располагается соответственно нижнему полюсу правой почки, прикрывая его на протяжении 1–6 см, и непосредственно соприкасается с жировой капсулой почки. Вверху правая ободочная кривизна граничит с висцеральной поверхностью правой доли печени.
Поперечная ободочная кишка (colon transversum) является продолжением восходящей ободочной кишки. Она простирается от правой до левой ободочной кривизны. Длина поперечной ободочной кишки равняется 40–100 см, наиболее часто 50–60 см.
Отношение к брюшине
В отличие от восходящей и нисходящей ободочной кишки colon transversum покрыта брюшиной со всех сторон и имеет довольно длинную брыжейку (mesocolon), которая позволяет ей свободно смещаться в различные отделы брюшной полости.
Нижняя поверхность брыжейки поперечной ободочной кишки соприкасается с петлями тонкой кишки. Верхняя поверхность брыжейки поперечной ободочной кишки отграничивает снизу полость сальниковой сумки. Нередко в области пилорической части желудка брыжейка поперечной ободочной кишки сращена с желудочно-ободочной связкой.
Передняя поверхность кишки сращена с большим сальником, верхняя часть которого между большой кривизной желудка и поперечной ободочной кишкой известна под названием желудочно-ободочной связки.
Положение и синтопия
Поперечная ободочная кишка обладает большой подвижностью и может смещаться кверху, соприкасаясь с передней поверхностью желудка, опускаться книзу до уровня лонного сочленения или иногда в полость малого таза.
Большая подвижность поперечной ободочной кишки и различное положение, которое она может занимать в брюшной полости, являются причиной того, что иногда поперечная ободочная кишка может быть содержимым пупочных, паховых или бедренных грыж.
Вверху и справа начальная часть поперечной ободочной кишки соприкасается с висцеральной поверхностью правой доли печени и желчным пузырем. В средней части кишка граничит с передней поверхностью желудка или располагается у большой кривизны его, с которой она соединена посредством желудочно-ободочной связки. Слева colon transversum соприкасается с facies colica lienis, снизу с петлями тонкой кишки, иногда с петлей сигмовидной кишки, сзади с 12-перстной кишкой и поджелудочной железой, а спереди с передней брюшной стенкой.
В левом подреберье поперечная ободочная кишка переходит в нисхо-дящую ободочную кишку, образуя левую кривизну (flexura coli sinistra), которая располагается несколько выше правой кривизны. Между диафрагмой и левой кривизной ободочной кишки натянута диафрагмально-ободочная связка (lig. phrenicocolicum), ограничивающая слепой карман, saccus lienalis, в котором размещается передний полюс селезенки.
Нисходящая ободочная кишка (colon descendens) является продолжением поперечной ободочной кишки. Она располагается в левой части брюшной полости на протяжении от левого подреберья до левой подвздошной ямки. Длина ее колеблется в пределах 5–20 см, в среднем составляя 15 см.
Отношение к брюшине
Нисходящая ободочная кишка покрыта брюшиной спереди и с боков, а задняя стенка ее сращена с забрюшинной клетчаткой.
Положение и синтопия
Нисходящая ободочная кишка располагается кнаружи от m. psoas major на квадратной мышце поясницы и поперечной мышце живота. В левой подвздошной ямке или на уровне гребня подвздошной кости она переходит в сигмовидную кишку. Справа от нисходящей ободочной кишки располагается левый мезентериальный синус, а слева — левый латеральный канал. Нисходящая ободочная кишка соприкасается с петлями тонкой кишки; если она переполнена содержимым или раздута газами, то может соприкасаться также с передней брюшной стенкой.
Кровоснабжение толстой кишки осуществляется ветвями верхней и нижней брыжеечных артерий.
Верхняя брыжеечная артерия (a. mesenterica superior) и ее ветви, идущие к толстой кишке:
1. Подвздошно-ободочная артерия (a. ileocolica) проходит в забрюшинном пространстве в проекции правого брыжеечного синуса к илеоцекальному углу и отдает:
· артерию червеобразного отростка (a. appendicularis), проходящую в брыжейке червеобразного отростка;
· переднюю и заднюю слепокишечные артерии, кровоснабжающие слепую кишку;
· восходящую артерию, кровоснабжающую начальную часть восходящей ободочной кишки и анастомозирующую с нисходящей ветвью правой ободочной артерии.
2. Правая ободочная артерия (a. colica dextra) делится забрюшинно в пределах правого брыжеечного синуса на нисходящую и восходящую ветви, кровоснабжающие восходящую ободочную кишку и анастомозирующие с восходящей ветвью подвздошно-ободочной артерии и правой ветвью средней ободочной артерии соответственно.
3. Средняя ободочная артерия (a. colica media) делится в брыжейке поперечной ободочной кишки на правую и левую ветви, кровоснабжающие поперечную ободочную кишку и анастомозирующие с правой и левой ободочными артериями соответственно. Анастомоз между левой ветвью средней ободочной артерии и левой ободочной артерией соединяет бассейны верхней и нижней брыжеечных артерий и называется дугой Риолана.
Нижняя брыжеечная артерия (a. mesenterica inferior) кровоснабжает толстую кишку от левого изгиба ободочной кишки до верхней трети прямой кишки, отходит от брюшной аорты на уровне IV поясничного позвонка.
Ветви нижней брыжеечной артерии:
1. Левая ободочная артерия (a. colica sinistra) направляется в забрюшинном пространстве в проекции левого брыжеечного синуса к нисходящей ободочной кишке и делится на:
· восходящую ветвь, кровоснабжающую верхнюю часть нисходящей ободочной кишки и анастомозирующую на уровне селезеночного изгиба ободочной кишки с левой ветвью средней ободочной артерии с образованием дуги Риолана;
· нисходящую ветвь, кровоснабжающую нижнюю часть нисходящей ободочной кишки и анастомозирующую с 1-й сигмовидной артерией.
2. Сигмовидные артерии (aa. sigmoideae) в количестве 2–4-х проходят в брыжейке сигмовидной кишки и, разветвляясь, анастомозируют друг с другом (анастомоза между последней сигмовидной и верхней прямокишечной артериями, как правило, не бывает).
3. Верхняя прямокишечная артерия (a. rectalis superior) спускается вдоль корня брыжейки сигмовидной кишки в позадипрямокишечное пространство и кровоснабжает нижнюю часть сигмовидной и верхнюю часть прямой кишки.
Вены толстой кишки принадлежат к системе верхней и нижней брыжеечных вен. От правой половины толстой кишки отток крови осуществляется по v. ileocolica, v. colica dextra, v. colica media, которые вливаются в верхнюю брыжеечную вену.
От слепой кишки, а также от конечного отдела тонкой кишки и начального отдела восходящей ободочной кишки кровь оттекает по подвздошноободочной вене. Правая ободочная вена принимает кровь из восходящей ободочной кишки.
Венозный отток крови от поперечной ободочной кишки происходит в систему верхней и нижней брыжеечных вен. В верхнюю брыжеечную вену впадают средняя ободочная; в нижнюю брыжеечную вену направляется вена, сопровождающая восходящую ветвь левой ободочной артерии.
От нисходящей ободочной и сигмовидной кишок отток крови осуществляется по левой ободочной и сигмовидным венам.
Лимфатические сосуды и узлы, отводящие лимфу от толстой кишки, в основном, располагаются по ходу артерий, питающих кишку. Они отводят лимфу к центральным группам лимфатических узлов, лежащих вдоль верхней и нижней брыжеечных артерий, затем в кишечный ствол, впадающий в поясничный ствол, и далее в грудной проток.
Иннервация толстой кишки осуществляется ветвями верхнего и нижнего брыжеечных сплетений, а также ветвями чревного сплетения.
58. Желчный пузырь, его строение, топография. Выводные протоки желчного пузыря и печени. Кровоснабжение и иннервация.
Желчный пузырь, vesica fellea fbilidrisj, является резервуаром, в котором накапливается желчь. Он расположен в ямке желчного пузыря на висцеральной поверхности печени, имеет грушевидную форму. Его слепой расширенный конец — дно желчного пузыря, fundus vesicae felleae fbilidrisj, выходит из-под нижнего края печени на уровне соединения хрящей VIII и IX правых ребер, что соответствует месту пересечения правого края прямой мышцы живота с правой реберной дугой. Более узкий конец пузыря, направленный к воротам печени, получил название шейки желчного пузыря, collum vesicae felleae fbilidrisj . Между дном и шейкой располагается тело желчного пузыря, corpus vesicae felleae [bilidris]: Шейка пузыря продолжается в пузырный проток, ductus cysticus, сливающийся с общим печеночным протоком. Объем желчного пузыря колеблется от 30 до 50 см 3 , длина его 8—12 см, а ширина 4—5 см.
Стенка желчного пузыря по строению напоминает стенку кишки. Свободная поверхность желчного пузыря покрыта брюшиной, переходящей на него с поверхности печени, и образует серозную оболочку, tunica serosa. В тех местах, где серозная оболочка отсутствует, наружная оболочка желчного пузыря представлена адвентицией. Мышечная оболочка, tunica musculdris, состоит из гладких мышечных клеток. Слизистая оболочка, tunica mucosa, образует складки, а в шейке пузыря и в пузырном протоке формирует спиральную складку, plica spirdlis (рис. 221).
Общий желчный проток, ductus choledochus (bilidris), располагается между листками печеночно-двенадцатиперстной связки, справа от общей печеночной артерии и кпереди от воротной вены. Проток идет вниз вначале позади верхней части двенадцатиперстной кишки, а затем между ее нисходящей частью и головкой поджелудочной железы, прободает медиальную стенку нисходящей части двенадцатиперстной кишки и открывается на верхушке большого сосочка двенадцатиперстной кишки, предварительно соединившись с протоком поджелудочной железы. После слиян-ия этих протоков образуется расширение — пече-ночно-поджелудочная ампула, ampulla hepatopancredtica, имеющая в своем устье сфинктер печеночно-поджелу-дочной ампулы, или сфинктер ампулы, m. sphincter ampullae hepatopancredticae, seu sphincter ampullae. Перед слиянием с протоком поджелудочной железы общий желчный проток в своей стенке имеет сфинктер общего желчного протока, т. sphincter ductus choledochi, перекрывающий поступление желчи из печени и желчного пузыря в просвет двенадцатиперстной кишки (в печеночно-поджелудочную ампулу).
Желчь, вырабатываемая печенью, накапливается в желчном пузыре, поступая туда по пузырному протоку из общего печеночного протока. Выход желчи в двенадцатиперстную кишку в это время закрыт вследствие сокращения сфинктера общего желчного протока (рис. 222). В двенадцатиперстную кишку желчь поступает из печени и желчного пузыря по мере
необходимости (при прохождении в кишку пищевой кашицы). Сосуды и нервы желчного пузыря. К желчному пузырю подходит желчепузырная артерия (из собственной печеночной артерии). Венозная кровь оттекает по одноименной вене в воротную вену. Иннервация осуществляется ветвями блуждающих нервов и из печеночного симпатического сплетения.
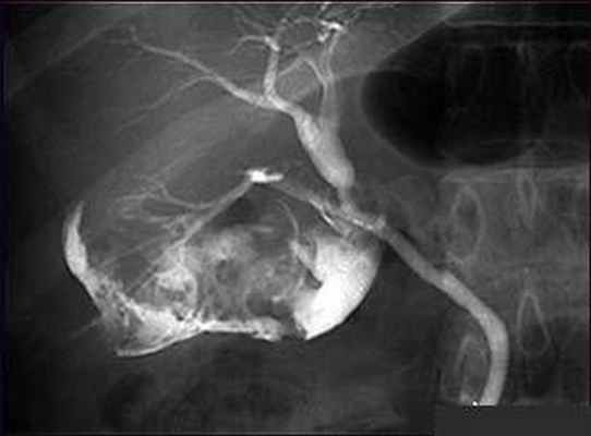
Рентгеноанатомия желчного пузыря. Для рентгенологического исследования желчного пузыря внутривенно вводят рентгено-контрастное вещество. Это вещество выделяется из крови в желчь, накапливается в желчном пузыре и на рентгенограмме образует тень, проецирующуюся на уровне I—II поясничных позвонков.
Обзор желчных поражений (Overview of Biliary Function)
Печень Строение и функции печени Печень является органом, где протекают сложные метаболические процессы. Собственно метаболические функции печени обеспечивают гепатоциты (паренхиматозные клетки): Образование и экскреция желчи. Прочитайте дополнительные сведения продуцирует приблизительно от 500 до 600 мл желчи каждый день. Желчь имеет одинаковое осмотическое давление с плазмой и состоит в основном из воды и электролитов, а также органических веществ: солей желчных кислот, фосфолипидов (преимущественно лецитина), холестерина, билирубина и других эндогенно производимых или поступивших извне соединений, таких как белки, которые регулируют гастроинтестинальные функции и препаратов или их метаболитов. Билирубин Метаболизм билирубина, общие представления (Overview of Bilirubin Metabolism) Печень является органом, где протекают сложные метаболические процессы. Собственно метаболические функции печени обеспечивают гепатоциты (паренхиматозные клетки): Образование и экскреция желчи. Прочитайте дополнительные сведения является продуктом распада составляющих гема от погибших эритроцитов и пигмента, который придает желчи ее желто-зеленый цвет.
Желчные соли (желчные кислоты) являются основными органическими компонентами в желчи. Печень использует активный транспорт для выведения желчных солей в каналикулы, образованные соседними гепатоцитами. Каналикулярный транспорт лимитирует секрецию желчи. Как только она выделяется, соли желчных кислот посредством осмоса привлекают в каналикулы другие компоненты желчи (в частности, натрий и воду). Соли желчных кислот также являются биологическими детергентами, которые позволяют организму выводить холестерин и потенциально токсичные соединения (например, билирубин, метаболиты лекарственных препаратов). В двенадцатиперстной кишке желчные кислоты участвуют в метаболизме жиров и жирорастворимых витаминов, способствуя их перевариванию и абсорбции. От печени желчь направляется через систему мелких внутрипеченочных протоков в правый или левый печеночный протоки, затем – в общий печеночный проток.
Во время голодания около 75% секретируемой желчи по общему печеночному протоку поступает в желчный пузырь через пузырный проток. Остальная часть попадает непосредственно в общий желчный проток (формируется путем соединения общего печеночного и пузырного протоков) и в двенадцатиперстную кишку. Во время голодания желчный пузырь абсорбирует до 90% жидкой составляющей желчи, концентрирует ее и сохраняет.
Обзор печени и желчного пузыря
Из желчного пузыря желчь поступает в общий желчный проток. Общий желчный проток соединяется с панкреатическим протоком, образуя Фатеров сосочек на уровне двенадцатиперстной кишки. До объединения с протоком поджелудочной железы общий желчный проток имеет диаметр ≤ 0,6 см.
Сфинктер Одди, который окружает и панкреатический проток, и общий желчный проток, включает в себя отдельный сфинктер для каждого протока. Желчь обычно не поступает ретроградно в панкреатический проток. Эти сфинктеры являются весьма чувствительными к холецистокинину и другим гормонам кишечника (например, гастрин-релизинг пептиду) и к изменениям в холинергическом тонусе (например, антихолинергическим препаратам).
Прием пищи высвобождает пищеварительные гормоны и стимулирует холинергическую иннервацию, что приводит к сокращению желчного пузыря и расслаблению сфинктера Одди. В результате 50–75% содержимого желчного пузыря поступает в двенадцатиперстную кишку. В период голодания повышение тонуса сфинктера Одди дает возможность желчному пузырю накапливать желчь.
Соли желчных кислот плохо абсорбируются методом пассивной диффузии в проксимальном отделе тонкой кишки; большинство их достигает терминального отдела подвздошной кишки, где в портальную венозную циркуляцию активно абсорбируется 90% солей желчных кислот. Возвратившись к печень, желчные кислоты активно поглощаются, модифицируются (например, конъюгируются, если поступили в свободной форме) и вновь секретируются в желчь. Этот феномен называется энтерогепатической циркуляцией, он осуществляется 10–12 раз/день.
Большинство заболеваний желчных путей развивается вследствие появления в желчном пузыре конкрементов, хотя бескаменная боль в желчном пузыре Бескаменная билиарная боль Бескаменная билиарная боль – это желчная колика без камней в желчном пузыре, возникающая в результате структурных или функциональных нарушений; иногда ее лечат с помощью лапароскопической холецистэктомии. Прочитайте дополнительные сведения возникает при отсутствии конкрементов, а постхолецистэктомический синдром Постхолецистэктомический синдром Постхолецистэктомический синдром включает в себя абдоминальные симптомы, которые имеют место после холецистэктомии. (См. также Обзор функций желчи (Overview of Biliary Function)). Постхолецистэктомический. Прочитайте дополнительные сведения развивается после удаления желчного пузыря. Наличие конкрементов в желчном пузыре ( холелитиаз Холелитиаз Холелитиаз – наличие одного или нескольких камней в желчном пузыре. В развитых странах около 10% взрослых и около 20% лиц > 65 лет имеют камни в желчном пузыре. Заболевание чаще протекает бессимптомно. Прочитайте дополнительные сведения ), обычно не проявляется симптоматично. Выделение желчи может быть заблокировано камнями в желчных протоках ( холедохолитиаз Холедохолитаз и холангит Холедохолитиаз – это наличие камней в желчных протоках; камни могут образовываться в желчном пузыре или в самих протоках. Эти камни вызывают желчные колики, обструкцию желчных путей, билиарный. Прочитайте дополнительные сведения ), провоцируя печеночную колику или вызывая воспаление желчного пузыря (холецистит). Холецистит может быть острым Острый холецистит Острый холецистит – это воспаление желчного пузыря, которое развивается в течение нескольких часов, как правило, из-за обструкции пузырного протока камнем. Симптомы включают боль в правом верхнем. Прочитайте дополнительные сведения , развивающимся в течение нескольких часов, или хроническим Хронический холецистит Хронический холецистит – это длительное воспаление желчного пузыря, практически всегда вызванное камнями. (См. также Обзор функций желчи (Overview of Biliary Function)). Хронический холецистит. Прочитайте дополнительные сведения , сохраняющимся в течение длительного времени.
Авторское право © 2022 Merck & Co., Inc., Rahway, NJ, США и ее аффилированные лица. Все права сохранены.
Холецистит
Холецистит — воспаление желчного пузыря — одно из наиболее частых осложнений желчнокаменной болезни. Основные принципы развития воспалительного процесса в стенке желчного пузыря: наличие микрофлоры в просвете пузыря и нарушения оттока желчи.
Ведущим фактором развития острого холецистита является нарушение оттока желчи из желчного пузыря, что возникает при закупорке камнем шейки желчного пузыря или пузырного протока. Второстепенное значение в развитии острого воспаления имеет нарушение кровоснабжения стенки желчного пузыря при атеросклерозе висцеральных ветвей брюшной аорты и повреждающее действие панкреатического сока на слизистую оболочку желчного пузыря при рефлюксе секрета поджелудочной железы в желчные протоки.

Причины развития холецистита
Холецистит происходит по причине образования камней в желчном пузыре. Это приводит к застою желчи и заражению кишечной микрофлорой. Периодически возникающие и проходящие воспаления приводят к изменению стенки желчного пузыря с развитием в нем хронического воспалительного процесса (хронический калькулезный холецистит).
По течению холецистит может быть острым и хроническим.
Острый холецистит
Основные признаки острого холецистита: приступообразные боли в правой половине живота, иррадиирующие в правое плечо, лопатку; тошнота и рвота; озноб и повышение температуры тела; возможны желтуха и зуд кожного покрова.
Опасное осложнение острого холецистита — перитонит.
Хронический холецистит
Хронический холецистит может быть бескаменным и калькулёзным, от латинского слова «calculus», что значит «камень». Калькулёзный холецистит является одним из результатов желчно-каменной болезни.
Хронический холецистит проявляется тошнотой, тупой болью в правом подреберье и другими неприятными ощущениями, возникающими после еды. В диагностике холецистита важную роль играют данные лабораторных исследований, холецистохолангиография и УЗИ.


Наиболее частым осложнением калькулезного холецистита является печёночная колика. Если в желчевыводящие пути попадает некрупный (менее 1см) камень, он препятствует нормальному оттоку желчи, при этом в кровь поступают желчные пигменты и развивается желтуха.
Симптомы колики очень похожи на начало острого холецистита. Тем не менее, болевой синдром при печёночной колике более выражен и возникает, как правило, ночью или рано утром.
Спустя некоторое время проявляется симптоматика желтухи: происходит пожелтение склер и кожи — появляется своеобразный лимонно-жёлтый цвет, моча темнеет и становится похожа на пиво, а кал заметно светлеет, вплоть до белизны.
Больные в таком состоянии подлежат экстренной госпитализации.
Хронический холецистит может быть следствием острого, но может возникнуть и самостоятельно.
Лечение
Консервативное лечение холецистита и других воспалительных заболеваний желчных путей направлено главным образом на подавление инфекции (для этого применяются антибиотики и другие противомикробные препараты), а также на усиление оттока желчи (специальная диета, желчегонные и спазмолитические средства, дуоденальное зондирование).
Значительную роль при консервативном лечении холецистита играет диета с исключением механически и химически раздражающей пищи.
При остром холецистите и отсутствии эффекта консервативной терапии применяют хирургическое лечение. При хроническом течении заболевания операция (холецистэктомия) производится по определённым показаниям после тщательного комплексного обследования больного.

При функциональных нарушениях жёлчного пузыря (дискинезия) операция не показана.
Прогноз
Прогноз условно благоприятный, при адекватно проведенном лечении трудоспособность будет полностью сохранена. Наибольшую опасность могут представлять осложнения, связанные с разрывом жёлчного пузыря и развитием перитонита. В случае его развития даже при адекватном лечении возможен летальный исход. Также необходимо большое внимание уделять наблюдениям лечащего врача, так как клиническая динамика имеет свои особенности в каждом конкретном случае.
Государственная клиническая больница №29 им. Н.Э.Баумана – это современная многопрофильная высокотехнологичная больница с уникальной полуторавековой историей и традицией, оказывающая высококачественную медицинскую помощь в круглосуточном режиме.
И. И. Лемешева

Единственный в мире Музей Смайликов
Самая яркая достопримечательность Крыма
1.3 Топография малого и большого сальника
Малый сальник (omentum minus) — листки висцеральной брюшины, перехо-дящие с печени на желудок и 12-перстную кишку. Он состоит из 3-х связок, непосредственно переходящих слева направо одна в другую: желудочно-диафрагмальной (lig. gastrophrenicum), печеночно-желудочной (lig. hepatogastricum) и печеночно-двенадцатиперстной (lig. hepatoduodenale).
В печеночно-желудочной связке на малой кривизне желудка проходит левая желудочная артерия, анастомозирующая с идущей справа правой желудочной артерией. Здесь же располагаются одноименные вены и лим-фатические узлы.
Печеночно-дуоденальная связка, занимающая крайнее правое поло-жение в составе малого сальника, справа имеет свободный край, являю-щийся передней стенкой сальникового отверстия (foramen omentale — epiploicum, Winslowi).
Между листками связки проходят: справа — общий желчный проток и формирующие его общий печеночный и пузырный протоки, слева — соб-ственная печеночная артерия и ее ветви, между ними и сзади — воротная вена, а также лимфатические сосуды и узлы, нервные сплетения.
Большой сальник (omentum majus) в системной анатомии — это связ-ки, переходящие с диафрагмы на дно, большую кривизну желудка и попе-речную ободочную кишку (передний листок), на почку и селезенку, перед-нюю поверхность поджелудочной железы и поперечную ободочную кишку (задний листок), от которой соединившиеся здесь листки продолжаются вниз, в нижний этаж брюшной полости.
Этожелудочно-диафрагмальнаясвязка(lig. gastrophrenicum), желу-дочно-селезеночнаясвязка(lig. gastrosplenicum (lig. gastrolienale), желу-дочно-ободочнаясвязка(lig. gastrocolicum), диафрагмально-селезеночная(lig. phrenicosplenicum), селезеночно-почечная(lig. splenorenale (lig. lienorenale), поджелудочно-селезеночная(lig. pancreaticosplenicum), диафрагмально-ободочнаясвязка(lig. phrenicocolicum).
В клинической анатомии большим сальником считают лишь желудочно-ободочную связку (верхний отдел сальника) и свободный свисающий вниз нижний отдел.
Lig. gastrocolicum содержит между своими листками vasa gastroomentalis (gastroepiploica) dextra et sinistra и лимфатические узлы.
1.4 Топография желудка (gaster, ventriculus)
В желудке можно выделить следующие анатомические образования:
кардиальное отверстие (ostium cardiacum);
малая и большая кривизна (curvatura minor et curvatura major);
передняяизадняястенки(paries anterior et posterior);
кардиальная вырезка (incisura cardiaca), располагающаяся на гра-нице пищевода с большой кривизной желудка.
Условно желудок делят на 5 частей:
1) кардиальная часть (pars cardiaca) — узкая полоса желудочной стенки вокруг одноименного отверстия;
2) дно желудка (fundus ventriculi) — часть, расположенная выше кар-диального отверстия;
3) тело желудка (corpus ventriculi), сверху граничащее с кардиальной частью и дном желудка, снизу ограниченное угловой вырезкой (incisura angularis);
4) привратниковая пещера (antrum pyloricum), расположенная ниже угловой вырезки;
5) привратник (pylorus ventriculi) — узкая полоса желудочной стенки в месте расположения сфинктера привратника (sphincter pylori).
На переднюю брюшную стенку желудок проецируется в области левого подреберья и собственно эпигастральной области, а при наполнении желудка большая кривизна проецируется в верхнем отделе пупочной области.
кардиальное отверстие лежит слева от тел X–XI грудных позвонков;
выходное отверстие привратника лежит у правого края XI грудного или I поясничного позвонков.
Передняя стенка желудка прикрыта справа печенью, слева — ребер-ной частью диафрагмы, часть тела и пилорического отдела прилежат к пе-редней брюшной стенке; задняя стенка отделена сальниковой сумкой от органов забрюшинного пространства (поджелудочная железа, левый над-почечник, верхний полюс левой почки); слева и сзади к желудку прилегает селезенка; малая кривизна прикрыта левой долей печени; большая кривиз-на соприкасается с поперечной ободочной кишкой и ее брыжейкой.
Связки, отношение к брюшине
Желудок — орган интраперитонеальный, брюшиной покрыты как его передняя, так и задняя стенки, и лишь узкие полоски по большой и малой кривизне между листками малого сальника и желудочно-ободочной связки остаются непокрытыми брюшиной.
Связки желудка подразделяются на поверхностные и глубокие. К по-верхностным связкам относятся: печеночно-желудочная, желудочно-ободочная, желудочно-селезеночная, желудочно-диафрагмальная и диа-фрагмально-пищеводная связки. Глубокие связки желудка можно рассмот-реть после пересечения желудочно-ободочной связки и перемещения большой кривизны вверх. При этом от верхнего края поджелудочной же-лезы натягиваются 2 складки брюшины: желудочно-поджелудочная и при-вратниково-поджелудочная связки (см. выше).
Кровоснабжение желудка осуществляется ветвями чревного ствола (truncus celiacus), отходящего от брюшной аорты на уровне XII грудного позвонка и разделяющегося на 3 сосуда: левую желудочную, селезеночную и общую печеночную артерии.
По малой кривизне (в малом сальнике) анастомозируют:
gastrica sinistra (ветвь чревного ствола), проходит в lig. gastropancreaticum, где дает ветвь к пищеводу, и далее идет в lig. hepatogastricum;
a. gastrica dextra — ветвьa. hepatica propria, проходитвligg. hepa-toduodenale et hepatogastricum.
a. gastroepiploica dextra — ветвьa. gastroduodenalis;
a. gastroepiploica sinistra — ветвьa. lienalis, отходящейотчревногоствола, расположенавlig. gastrolienale.
Коднужелудкавlig. gastrolienale идутaa. gastricae breves отселезе-ночнойартерии.
Венозный отток от желудка осуществляется в систему воротной вены (v. portae).
Правая и левая желудочные вены (vv. gastricae dextra et sinistra) впа-дают непосредственно в воротную вену.
Левая желудочно-сальниковая и короткие желудочные вены (v. gastroepiploica sinistra et vv. gastricae breves) впадают в селезеночную вену (v. lienalis), ко-торая, в свою очередь, впадает в воротную вену.
Правая желудочно-сальниковая вена (v. gastroepiploica dextra) впадает в верхнюю брыжеечную вену (v. mesenterica superior), также впадающую в воротную вену. На передней поверхности привратника у его перехода в 12-перстную кишку проходит v. prepylorica (вена Мейо), представляющая собой анасто-моз между правой желудочной и правой желудочно-сальниковой венами. Во время оперативных вмешательств эта вена служит ориентиром для на-хождения границы между привратником и 12-перстной кишкой.
Лимфоотток от желудка происходит по лимфатическим сосудам, идущим вблизи сосудов, кровоснабжающих желудок, через лимфатические узлы 1-го и 2-го порядка.
Регионарные лимфатические узлы 1-го порядка:
правые и левые лимфатические узлы (nodi lymphatici gastrici dextri et sinistri) расположены в малом сальнике;
правые и левые желудочно-сальниковые лимфатические узлы( nodi lymphatici gastroomentales dextri et sinistri) расположены в связках большо-го сальника;
желудочно-поджелудочные лимфатические узлы (nodi lymphatici gastroраncreatici) расположены в желудочно-поджелудочной связке.
Лимфатическими узлами 2-го порядка для органов верхнего этажа брюш-ной полости являются чревные лимфатические узлы (nodi lymphatici celiacae).
Иннервируют желудок блуждающие нервы (nn. vagi) и ветви чревного сплетения (plexus celiacus).
Передний (левый) блуждающий ствол, располагаясь на передней поверх-ности брюшного отдела пищевода, при подходе к желудку распадается на вет-ви, идущие к передней поверхности желудка. Он отдает ветви к пищеводу, кардиальному отделу желудка, ко дну, между листками малого сальника отда-ет печеночные ветви, а остальная часть левого ствола следует вдоль переднего края малой кривизны желудка и распадается на многочисленные желудочные ветви. Самая длинная ветвь, отходящая от основного ствола и идущая к пило-роантральному отделу желудка, получила название ветвь Латарже (левая).
Задний (правый) блуждающий ствол лежит между задней поверхно-стью пищевода и брюшной аортой. В области кардии он также распадается на ряд ветвей, идущих к пищеводу, к задней поверхности дна и тела желудка. Самая крупная ветвь его идет в lig. gastropancreaticum слева от a. gastrica sin-istra к чревному сплетению (чревные ветви), а самая длинная (правая ветвь Латарже) — к задней поверхности пилороантрального отдела же-лудка. От заднего ствола блуждающего нерва может отходить небольшая ветвь, которая идет влево позади пищевода к желудку в области угла Гиса («криминальный» нерв Грасси). Если при ваготомии эта ветвь остается не-пересеченной, то возникают рецидивные язвы.
1.5 Топография двенадцатиперстной кишки (duodenum)
В составе 12-перстной кишки выделяют 4 отдела: верхнюю горизон-тальную, нисходящую, нижнюю горизонтальную и восходящую части. Верхняя горизонтальная часть (pars horizontalis superior) лежит на уровне I поясничного позвонка. Она расположена в верхнем этаже брюш-ной полости: интраперитонеально — в начальной части, куда подходит пе-ченочно-дуоденальная связка, мезоперитонеально — в средней части и ре-троперитонеально — в области верхнего изгиба. Вверху она соприкасается с желчным пузырем и квадратной долей печени, внизу — с головкой под-желудочной железы, сзади — с телом I поясничного позвонка и спереди — с антральной частью желудка.
Нисходящая часть (pars descendens) идет справа от позвоночного столба на уровне LI–LIII. Верхний участок нисходящей части кишки рас-положен выше брыжейки поперечной ободочной кишки, т. е. в верхнем эта-же брюшной полости. Средний участок (примерно такой же длины) лежит позади корня брыжейки поперечной ободочной кишки. Нижний участок длиной до 6 см находится ниже брыжейки поперечной ободочной кишки, справа от корня брыжейки тонкой кишки в нижнем этаже брюшной полости. Она расположена ретроперитонеально; брюшина при переходе на правую почку образует дуоденально-почечную связку. На слизистой оболочке ее имеется небольшая (0,5–1 см длины) продольная складка (plica longitudinalis duodeni), которая заканчивается возвышением — большим дуоденальным со-сочком (фатеров сосочек, papilla duodeni major), на котором открывается пе-ченочно-поджелудочная ампула (ampulla hepatopancreatica).
В тех случаях, когда имеется добавочный проток поджелудочной же-лезы (ductus pancreaticus accessorius), он открывается на слизистой обо-лочке кишки несколько выше главного протока на малом дуоденальном сосочке (papilla duodeni minor).
Нисходящая часть контактирует слева с головкой поджелудочной же-лезы, сзади и справа с правой почкой, правой почечной веной, нижней по-лой веной и мочеточником; спереди — с брыжейкой поперечной ободоч-ной кишки и ниже ее прикрепления — с петлями тонкой кишки.
Нижняя горизонтальная часть (pars horizontalis inferior) лежит на уровне LIII. Она расположена ретроперитонеально. Сверху граничит с го-ловкой поджелудочной железы, сзади — с нижней полой веной и брюшной аортой, спереди и снизу — с петлями тонкой кишки.
Восходящая часть (pars ascendens) идет на уровне LIII влево и вверх до 12-перстно-тощекишечного изгиба (flexura duodenojejunalis), располо-женного на уровне LII и фиксированного связкой Трейтца. Восходящая часть кишки расположена мезоперитонеально; сверху она контактирует с нижней поверхностью тела поджелудочной железы, сзади — с нижней по-лой веной и брюшной аортой, спереди и снизу — с петлями тонкой кишки.
Печеночно-12-перстная связка, расположена между воротами печени и верхней стенкой луковицы 12-перстной кишки, она является крайней правой частью малого сальника и ограничивает сальниковое отверстие спереди.
12-перстно-почечная связка натянута между наружнозадним краем нисходящей части 12-перстной кишки и областью правой почки, она огра-ничивает сальниковое отверстие снизу.
Связка Трейтца удерживает 12-перстно-тощекишечный изгиб в нор-мальном положении. Она образована складкой брюшины, покрывающей мышцу, подвешивающую 12-перстную кишку.
Кровоснабжение осуществляется ветвями чревного ствола (передняя и задняя верхние панкреатодуоденальные артерии) и верхней брыжеечной артерии (передняя и задняя нижние панкреатодуоденальные артерии), ко-торые анастомозируют между собой на уровне середины нисходящей час-ти 12-перстной кишки.
Венозный отток осуществляется по одноименным венам в систему воротной вены.
Лимфоотток осуществляется в верхние и нижние панкреатодуоде-нальные лимфатические узлы и далее в чревные лимфатические узлы.
Иннервация 12-перстной кишки осуществляется ветвями чревного, верхнего брыжеечного, печеночного, желудочного сплетений, обоими блуждающими нервами.
1.6 Топография печени (hepar), современные представления о сег-ментарном строении печени
Печень занимает правое подреберье, собственную надчревную и сво-ей левой долей частично левую подреберную область.
Читайте также:
- Лучевые признаки идиопатической неспецифической интерстициальной пневмонии
- Прессорный нистагм при лабиринтите. Гальванический нистагм при лабиринтите
- Признаки миокардита на ЭКГ
- Мезаденит при туберкулезе. Клиника мезаденита при туберкулезе.
- ЭКГ при нейроциркуляторной дистонии. Кардиосигнал при вегетососудистой дистонии
