Цитология (гистология) биопсии носа, пазухи носа при опухоли
Добавил пользователь Евгений Кузнецов Обновлено: 07.01.2026
В состав патоморфологического отделения входят:
Патологоанатомическим отделением накоплен наибольший опыт по диагностике заболеваний почек, печени, морфометрические исследования желудочно-кишечного тракта. Современные, актуальные и прогрессивные технологии позволяют готовить гисто-препататы малого биопсийного материала (гастро, эзофаго, бронхо, гепато и нефробиопсии) в течение 3 суток, операционного материала в течение 5-7 суток. Экспресс-гистология операционного материала сокращает время проведения данного исследования для получения предварительного результата за 15- 20 мин. Прогрессивные методы обработки материала дают возможность хранить его в архиве не менее 25 лет, а пациентам направлять готовые препараты и парафиновые блоки на консультацию как в ведущие патоморфологические отделения г. Москвы, Санкт-Петербурга, так и за рубеж. Автоматическая фото насадка к микроскопу позволяет фотографировать гистологические срезы, делать слайды, компьютерную обработку и архивирование, вследствие чего пациент может забрать результаты исследования в электронном виде и пересылать их по электронной почте в любую выбранную им клинику мира.
В цитологической лаборатории проводится исследование клеток, полученных при пункции всех органов и тканей, биологических жидкостей, соскобов и отпечатков кожи и слизистых оболочек. Цитологический анализ в первую очередь производится для того, чтобы получить ответ на вопрос о наличии злокачественной опухоли, включая ранние стадии процесса, а так же диагностики предшествующих опухоли изменений. Цитологический анализ позволяет выявить изменения эпителия, на основании которых можно формировать группы «лиц повышенного риска». Например, изменения клеток эпителия шейки матки при воздействии вируса папилломы, которому в настоящее время отводится ведущая роль в возникновении злокачественной опухоли. Значительно улучшает возможности цитологического метода проведение тонкоигольной пункции под контролем ультразвуковых приборов: например, может быть выявлена и пропунктирована опухоль щитовидной железы размером до 1 см. с последующим цитологическим исследованием. Доступность и быстрота метода позволяет использовать его в условиях поликлиники при проведении массовых профосмотров. Срок выдачи анализов от нескольких минут (при срочном исследовании) до одних суток. Данные цитологических и гистологических исследований пациентам по телефону не сообщаются.
Диагностика в патологоанатомическом отделении:
1. Исследования операционного материала при неосложненных формах неспецифического острого или хронического воспаления, при дистрофических процессах, при травмах, пороках развития (грыжевые мешки; червеобразный отросток; кишка при странгуляционной непроходимости, атеросклеротической гангрене; желчный пузырь; ткань свищевых ходой и грануляций; гастробиопсии при заболеваниях желудка (1-3 кус.); полипы желудка или кишечника (1 полип); эзофагобиопсии при поражениях пищевода (1-3 кус.); мениски; варикозно-расширенные вены; геморроидальные узлы; доброкачественные новообразования кожи: папилломы, атеромы, липомы; полипы пазух носа).
2. Исследования операционного и биопсийного материала при осложненном воспалении, при неонкологических заболеваниях, при доброкачественных и злокачественных опухолях разной локализации ясного гистогенеза (доброкачественные опухоли кожи; соскобы из цервикального канала и полости матки; яичники при воспалении; соскобы при маточной беременности при искусственных и самопроизвольных прерываниях беременности; колонобиосия при НЯК; гастробиопсийный материал (от 4 до 10 кус.); полипы кишечника и желудка (более 1 полипа); фиброаденома молочной железы (без экспресс гистологии)).
3. Биопсии 3-й категории сложности. Диагностические биопсии, операционный материал при дисплазиях, при пограничных или злокачественных опухолях, срочные интраоперационные биопсии (срочные интраоперационные биопсии при пограничных или злокачественных опухолях; гепатобиопсии; множественные полипы желудка или кишечника; лейкоплакия и дисплазия шейки матки; соскоб из полости матки, цервикального канала и биопсия шейки матки; биопсии из бронха, гортани, полости рта, мочевыводящих путей, кожи; злокачественные и диспластические новообразования кожи; щитовидная железа; мастопатии; нефробиопсия; патология костной ткани; специфические воспалительные процессы; недифферинцируемые колиты; пункционные биопсии различных органов; иммунопатологические процессы).
4. Исследования при ТУР предстательной железы (10 и более столбиков).
5. Приготовление гистологических препаратов операционного материала.
Диагностика в цитологической лаборатории:
1. Исследование соскобов с шейки матки и цервикального канала, аспиратов из полости матки, исследование гинекологических мазков на гормональное зеркало.
2. Исследование мокроты, бронхиальных смывов, соскобов и мазков-отпечатков со слизистой бронха, полученных при фибробронхоскопии, в том числе для исключения туберкулезного процесса.
3. Исследование мазков-отпечатков с биоптатов, полученных при фиброгастроскопии, фиброколоноскопии, ректороманоскопии и др. с определением патогенной флоры, в том числе Helicobacter pylori, являющимся причиной развития гастрита.
4. Исследование материала аспирационных пункционных биопсий при заболеваниях щитовидной железы, выполняемых тонкой иглой под контролем УЗИ.
5. Исследование материала пункционных биопсий молочной железы, слюнной железы, мягких тканей, лимфатических узлов, опухолей различной локализации.
6. Исследование выпотных жидкостей (плевральной и брюшной полостей), секретов (отделяемое молочной железы), экскретов (мочи), соскобов и отделяемого с поверхности эрозий, язв.
7. Исследование соскобов кожи и слизистой полости рта.
8. Исследование интраоперационного материала (щитовидной железы, яичников, матки, лимфатических узлов, печени, поджелудочной железы и т. д.).
Злокачественные опухоли полости носа и придаточных пазух
Злокачественные опухоли полости носа и придаточных пазух лечение 1, 2, 3 стадии. Симптомы, признаки, метастазы, прогноз.
Носовая полость состоит из двух половин благодаря разделению носовой перегородкой. Полость носа выстлана слизистой оболочкой. Функция этой полости заключается в том, что воздух, проходя через нее, увлажняется и согревается, прежде чем попадет в легкие.
Злокачественные новообразования слизистой оболочки полости носа составляют 1,8 % новообразований головы и шеи. Среди мужчин и женщин встречаются одинаково часто. Развиваются преимущественно у лиц старше 50 лет.
Факторы риска
- Фоновые процессы, которые предшествуют развитию опухолей (хронические воспалительные изменения слизистой оболочки полости носа).
- Новообразования полости носа, имеющие тенденцию к озлокачествлению (переходно-клеточная папиллома и аденома).
- Профессиональные вредности (очищение никеля, деревопереработка, обработка кожи).
- Вредные привычки (курение, злоупотребление алкоголем).
Основные морфологические формы рака:
- плоскоклеточный ороговевающий;
- плоскоклеточный неороговевающий.
Кроме рака (опухоль из эпителия) в полости носа могут встречаться и другие злокачественные опухоли, такие как меланома (пигментная опухоль) и саркома (опухоль из соединительной ткани).
Симптомы заболевания
- затруднение носового дыхания;
- выделение гнойного экссудата;
- изъязвление слизистой носа;
- периодически появляющиеся спонтанные носовые кровотечения;
- воспаление среднего уха.
- болезненные ощущения в полости носа;
- тяжесть в голове, головные боли или боли в области лица невралгического характера;
- деформация наружного носа и асимметрия лица;
- шум в ухе и снижение слуха;
- боль в зубах верхней челюсти.
Диагностика
- Осмотр полости носа (риноскопия);
- Биопсия, т.е. иссечение маленького кусочка ткани для последующего его изучения под микроскопом; Рентгенография головы и грудной клетки;
- Компьютерная томография или при необходимости магнитно-резонансное исследование лицевого отдела черепа и шеи.
Эти методы исследования позволяют получить намного больше информации о состоянии органов и тканей.
Компьютерная томография позволяет получать как бы картинки "слоев" тканей и органов, которые далее обрабатываются компьютером.
Магнитно-резонансное сканирование не использует рентгеновских лучей. Для его проведения пациент помещается в особой камере в электромагнитное поле. Данный метод позволяет выявить увеличение лимфатических узлов;
Ультразвуковое исследование. Это безопасный и безболезненный метод исследования мягких тканей. Он так же позволяет выявить изменения соседних с опухолью тканей, увеличение лимфатических узлов.
Лечение злокачественных опухолей полости носа и придаточных пазух
Преимущественно комбинированное (удаление опухоли +лучевая терапия).
При значительном распространении опухоли лечение дополняется химиотерапией.
Вид используемого лечения зависит от многих факторов:
- общее состояние пациента;
- размер опухоли и степень ее прорастания в соседние органы и ткани;
- стадия развития опухоли;
- наличие регионарных и отделенных метастазов.
В онкологическом отделении опухолей головы и шеи ГУ "РНПЦ ОМР им. Н.Н.Александрова" выполняются все виды хирургических вмешательств при опухолях полости носа, а так же лимфатическом аппарате шеи при метастазировании опухоли.
Цитология (гистология) биопсии носа, пазухи носа при опухоли
Цитология (гистология) биопсии носа, пазухи носа при опухоли
Шнайдеровские папилломы представляют собой доброкачественные эпителиальные опухоли, которые чаще всего встречаются у взрослых и ассоциированы с вирусом папилломы человека (ВПЧ). Чаще всего локализуются с одной стороны, но в редких случаях могут поражать несколько анатомических областей. Описано три варианта Шнайдеровских папиллом.
Экзофитные папилломы в подавляющем большинстве случаев локализуются на перегородке носа, в виде папиллярных островков листовидной формы с центральным фиброзно-сосудистым ядром и утолщенным, неороговевающим плоским эпителием. Инвертированные папилломы, являются самой частой формой. Они поражают латеральную стенку полости носа и околоносовые пазухи (чаще всего верхнечелюстную), характеризуются эндофитным ростом, аналогичным росту неороговевающего плоского эпителия.
Онкоцитарные папилломы (цилиндроклеточные) встречаются реже всех остальных форм; локализация обычно аналогична локализации инвертированных папиллом. Они состоят из многослойных столбчатых эпителиальных клеток с зернистой эозинофильной цитоплазмой. Эти опухоли достаточно часто рецидивируют из-за неполного первичного удаления. Инвертированные и онкоцитарные папилломы перерождаются в плоскоклеточный рак примерно в 11% случаев. Экзофитные папилломы малигнизируются редко.

При микроскопическом исследовании тканей инвертированной папилломы определяется наличие множественных участков многослойного плоского эпителия,
прорастающего внутрь собственной пластинки; покровный эпителий истончен, но строение его не нарушено.
Согласно классификации ВОЗ 2005 года, выделяют несколько форм рака носоглотки:
(1) плоскоклеточный рак (с типичными характеристиками кератинизирующего плоскоклеточного рака);
(2) некератинизирующий рак, который может быть дифференцированным (сохранены межклеточные мостики и четкие границы клеток) и недифференцированным (который характеризуются синцитиальным ростом и отсутствием четких границ между клетками);
(3) базалоидный плоскоклеточный рак (аналогичный опухолям,поражающим гортань). Основой лечения является лучевая терапия.
Плоскоклеточный рак полости носа и околоносовых пазух представляет собой редкую опухоль, встречающуюся в основном у взрослых, которая поражает верхнечелюстную пазуху (60%), полость носа (12%), решетчатый лабиринт (10-15%), преддверие носа (4%), лобную и клиновидную пазухи (по 1%). Метастазирует редко, но характеризуется местно деструктирующим ростом.

а - Некератинизирующий цилиндроклеточный рак характеризуется наличием тяжей незрелых атипичных эпителиальных клеток (в них отсутствует кератин).
Обратите внимание на инвазию в слизистую железу.
б - Недифференцированный рак полости носа представляет собой крайне агрессивное злокачественное новообразование с локально диссеминированным патологическим процессом,
что в большинстве случаев не связано с вирусом Эпштейна-Барр.
Для него характерно наличие мелких групп, трабекул или пластов недифференцированных эпителиальных клеток с высоким соотношением ядра к цитоплазме,
частыми митозами и наличием обширных зон некроза.
Даже при агрессивном лечении прогноз неблагоприятный.
Большинство случаев заболевания представлено простым плоскоклеточным раком с четкими границами клеток, сохранными межклеточными контактами, отложением кератина во внутри- и внеклеточном пространстве. Плоскоклеточный рак может быть высокодифференцированным (характеризующимся формированием «эпителиальных жемчужин»), низкодифференцированным (характеризующимся отсутствием кератина) и умеренно дифференцированным (содержащим некоторый объем кератина).
В редких случаях плоскоклеточный рак может быть некератинизирующим (цилиндроклеточным, переходно-клеточным). Крайне редко встречается веррукозный рак, базалоидный плосклеточный рак, папиллярный плоскоклеточный рак, веретеноклеточный рак, железисто-плоскоклеточный рак.
Лимфоэпителиальный рак представляет собой редкую недифференцированную форму рака с выраженной лимфоплазмоцитарной инфильтрацией. Способен поражать полость носа и околоносовые пазухи. Морфологически сходен с лимфоэпителиальным раком носоглотки; часто связан с вирусом Эпштейна-Барр. Хорошо реагирует на лучевую терапию. Недифференцированный рак полости рта и околоносовых пазух представляет собой крайне злокачественное новообразование, которое обычно не связано с вирусом Эпштейна-Барр.

Для аденокарциномы кишечного типа, поражающей околоносовые пазухи,
характерно наличие злокачественного инвазивного эпителия с плотно сгруппированными железами неправильной формы,
состоящими из столбчатых эпителиальных клеток и редких бокаловидных клеток с гиперхромными ядрами.
На врезке изображен результат иммуногистохимического исследования на экспрессию маркера CDX-2.
Аденокарцинома кишечного типа может поражать решетчатый лабиринт (40%), полость носа (27%), верхнечелюстные пазухи (20%).
Некоторые из этих клеток гистологически напоминают нормальные кишечными структуры (клетки Панета, энтерохромафинные клетки, ворсинки, слизистую мышечного слоя).
Аденокарцинома кишечного типа поражает решетчатый лабиринт (40%), полость носа (27%), верхнечелюстную пазуху (20%).
Для низкодифференцированной аденокарциномы некишечного происхождения характерно железистое или папиллярное строение с единичным слоем кубического эпителия; характеризуется местной инвазией.
Папиллярная аденокарцинома носоглотки может иметь сходное морфологическое строение с папиллярным раком щитовидной железы, от которого ее отличает негативная иммуногистохимическая реакция к тирео-глобулину и тироидальному транскрипционному фактору (TTF-1). Мелкоклеточный нейроэндокринный рак представляет собой высокодифференцированную злокачественную опухоль, произрастающую из верхних или задних отделов полости носа и распространяющуюся в околоносовые пазухи и/или носоглотку.
Мелкие или средние по размеру клетки формируют скопления; для них характерно высокое соотношение ядро-цитоплазма, гиперхроматоз ядер, слияние ядер, высокая митотическая активность. Иммуногистохимически опухоль характеризуется повышением уровня нейроэндокринных маркеров (синаптофизина, хромогранина, нейро-специфической енолазы) и цитокератина. Описаны и исключительно редко встречающиеся карциноиды носа и околоносовых пазух.
Обонятельная нейробластома (эйстезионейробластома) представляет собой злокачественную нейроэктодермальную опухоль,
происходящую из обонятельного слоя верхних отделов полости носа с распространением в полость черепа и/или околоносовые пазухи.
Обычно клетки опухоли сгруппированы в подслизистом слое в виде долей или узлов, которые разделены васкуляризированной фиброзной стромой.
Для клеток характерно малое количество цитоплазмы и наличие включений ядерного хроматина («соль и перец»).
Иногда формируются розетки (псевдорозетки Гомера Райта или истинные розетки Флекснера-Винтерштайнера), зоны некроза.
Опухоли классифицируются в зависимости от дифференцировки, наличия ядерного плеоморфизма и некроза, интенсивности митозов (пациенты со стадией Hyam I-II имеют лучший прогноз, чем Hyam III—IV).
Положительны нейроэндокринные маркеры, цитокератин отрицателен. На периферии опухолевых узлов определяются специфические поддерживающие клетки, экспрессирующие S-100. Эктопированная аденома гипофиза состоит из полигональных, цитологически нормальных эпителиальных клеток с четкими границами; степень окраски цитоплазмы может быть различной.
Эктопированные аденомы гипофиза происходят из эмбриональных остатков аденогипофиза в носоглотки или клиновидной пазухе.
Полигональные эпителиальные клетки экспрессируют цитокератин, нейроэндокринные маркеры и специфические гормоны гипофиза.
Обонятельная нейробластома (эстезионейробластома) представляет собой злокачественную нейроэктодермальную опухоль, происходящую из обонятельного эпителия верхних отделов полости носа, которая часто распространяется в полость черепа и/или околоносовые пазухи. Эктопические аденомы гипофиза могут возникать на месте эмбрионального остатка аденогипофиза (в носоглотке или клиновидной пазухе). В них могут содержаться полигональные эпителиальные клетки, содержащие цитокератины, нейроэндокринные маркеры и специфические гормоны гипофиза.
Злокачественная меланома слизистых оболочек является редкой опухолью околоносовых пазух и полости носа, которая иногда встречается у пожилых пациентов. Как и меланома любой другой локализации, она легко мимикрирует, и может быть представлена самыми разными клетками (эпителиоидными, веретенообразными, плазмоцитоидными, палочковидными и/или многоядерными. В диагностике помогают специфические иммуногистохимические маркеры (S-100, НМВ-45, мелан-А, микрофтальмия-ассоциированный фактор транскрипции).
К другим редким нейроэктодермальным опухолям относятся саркома Юинга, примитивные нейроэктодермальные опухоли и параганглиомы. Гемангиома представляет собой доброкачественную сосудистую опухоль, которая может локализоваться на перегородке носа, носовых раковинах и в околоносовых пазухах; она состоит из пролиферирующих капилляров с включениями фиброзной стромы.

Ангиофиброма носоглотки характеризуется сосудистыми пространствами неправильной формы с толстыми стенками,
строма коллагенизированная, с веретенообразными и звездчатыми фибробластами.
Ангиофиброма носоглотки встречается исключительно у молодых лиц мужского пола, происходит из заднелатеральной стенки полости носа или носоглотки,
отличается наличием участков пролиферации сосудистой ткани.
Сосуды тонкие, ветвящиеся, выстланы эндотелием, мышечный слой присутствует не всегда. Вероятность рецидива достигает 20%.
Ангиофиброма носоглотки встречается исключительно у молодых лиц мужского пола, локализуется на заднелатеральной стенке полости носа или в носоглотке. Риск локального рецидива достаточно высок.

Гломангиоперицитома (гемангиоперицитома околоносовых пазух) поражает околоносовые пазухи,
характеризуется периваскулярным миксоидным фенотипом, наличием округлых ядер и сосудов неправильной формы.
Она представляет собой субэпителиальную неинкапсулированную опухоль, состоящую из плотно спаянных друг с другом клеток с солидным,
фасцикулярным или извитым характером роста, волокон коллагена и частых ветвящихся сосудов.
Положительна на мышечный актин, виментин, фактор ХIIIа; отрицательна HaCD34, Bcl-2, CD99 (что отличает ее от гемангиоперицитомы мягких тканей).
Гломангиоперицитома (гемангиоперицитома полости носа и околоносовых пазух) представляет собой субэпителиальную неинкапсулированную опухоль, состоящую из плотно предлежащих друг к другу клеток, растущих по солидному, пуповидному, завитому, извилистому типам; характерно малое содержание коллагена, наличие ветвящихся («коралловых») сосудов.
Солитарные фиброзные опухоли в полости носа встречаются редко, они состоят из переплетенных фибробластов и плотной сосудистой сети. Клетки положительны на CD34 и Bcl-2, но не экспрессируют гладкомышечный актин. Герминогенные опухоли полости носа встречаются редко. В состав зрелых тератом могут входить зрелая кожа, придатки кожи, ткани нейроглии, гладкие мышцы, кости, слюнные железы, респираторный и желудочно-кишечный эпителий. Элементы эктодермы, эндодермы и мезодермы могут встречаться в любых пропорциях.
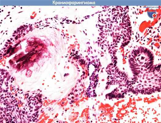
Для незрелой тератомы характерны те же находки, но в их ранней, незрелой форме. Для малигнизирующей тератомы также характерно наличие тканей, происходящих из всех трех зародышевых лист ков, а также какой-либо соматической опухоли, чаще всего карциномы. Если злокачественные эпителиальные и мезенхимальные ткани смешиваются друг с другом, опухоль носит название тератокарциносаркомы. Краниофарингиома чаще всего представляет собой опухоль области турецкого седла, происходящую из остаточных клеток кармана Ратке.

Краниофарингиома, опухоль области турецкого седла, которая чаще всего происходит из эмбриональных остатков кармана Ратке.
Характерно наличие тяжей многослойных плоских эпителиальных клеток с опалесцирующими ядрами, компактное отложение кератина с локальной кальцификацией.
Редактор: Искандер Милевски. Дата обновления публикации: 18.3.2021
Цитология (гистология) биопсии носа, пазухи носа при опухоли
В области головы и шеи злокачественные опухоли растут быстро: достаточно 3-4 месяцев, чтобы радикальное лечение стало невозможным. Когда и почему, даже во время пандемии, надо поторопиться к онкологу, объясняет Замира Раджабова, заведующая хирургическим отделением опухолей головы и шеи НМИЦ онкологии им. Н.Н.Петрова.
– Замира Ахмедовна, ваши пациенты и в «мирное» время часто обращаются за помощью, когда ситуация – хуже некуда. Что происходит сейчас, когда все изменилось из-за пандемии?
– Да, у нас и раньше было много запущенных случаев заболевания, но многим мы все-таки успевали провести лечение. Из-за эпидемии ковида пациенты терпят так долго, что обращаются с уже неоперабельными опухолями, надежда только на паллиативное лечение. Чаще всего это рак кожи лица и ротоглотки – то, что быстро растет.
– Для человека, далекого от медицины, специализация в онкологии «рак головы и шеи» звучит странно. Что входит в зону ответственности такого специалиста? Проще говоря, что подразумевается под «головой-шеей»?
– Локализация «голова-шея» состоит из нескольких зон, в которых бывает множество онкологических заболеваний: рак малых и больших слюнных желез, щитовидной железы, опухоли глаза, ротовой полости, гортани, глотки, полости носа, шейного отдела пищевода, шейного отдела трахеи. По сути, всеми органами, которые располагаются в области головы и шеи, кроме головного мозга, занимаются врачи нашего профиля. Но это неофициальное разделение. Например, офтальмологи занимаются лечением онкологических заболеваний глаз, в том числе меланомы. Лечат сначала они, а потом – онкологи, если рак распространяется уже на другие органы. Как только возникает серьезная проблема, они обращаются к нам за консультацией. Щитовидную железу тоже лечат и хирурги, и эндокринологи неспециализированных клиник. При этом заболевании у пациентов обычно хороший прогноз на излечение, но есть разные формы рака щитовидной железы. Очень часто их направляют к нам после операции, когда уже получено гистологическое заключение и поставлен диагноз «рак». Особенно если это редкие формы рака щитовидной железы, которые требуют дополнительного тщательного лечения в онкологическом стационаре. Плохо, если пациента наблюдают не онкологи, а когда злокачественный процесс становится распространенным, его направляют к нам. Я считаю, что это неправильно – надо, чтобы таких пациентов лечили онкологи с самого начала, чтобы не приходилось переделывать ранее неправильно выполненный объем операции, чтобы вовремя назначить химиотерапию или лучевую терапию, поскольку в нашем центре есть практически все для комплексного лечения. Но так уж исторически сложилось.
– Почему, когда говорят о раке головы и шеи, чаще всего речь идет о гортани, губах, носе…?
– Как правило, слизистую оболочку полости рта, гортани и носа поражает плоскоклеточный рак (развивается из клеток плоского эпителия, выстилающего ротовую полость, полость носа и гортань). Он встречается чаще других, поэтому о нем и говорится чаще. В мире плоскоклеточный рак головы и шеи занимает 6-е место в ряду онкологических заболеваний. Из 7 миллиардного населения планеты, он обнаруживается у 800 тысяч человек. В структуре онкологической заболеваемости это около 3% всех злокачественных опухолей у мужчин и 1,5 % всех злокачественных опухолей у женщин. Кажется, немного. На самом деле – немало, особенно когда речь идет о тебе или о близком человеке.
– Почему он поздно обнаруживается?
– Напомню, поздняя выявляемость объясняется в первую очередь тем, что в зоне лор-органов (пазухи носа, решетчатая кость, полость носа) пациенты не замечают злокачественных изменений. Только когда возникают проблемы со зрением или с носовым дыханием, неподдающиеся симптоматическому лечению, они обращаются к нам. Или, например, человек долго живет с постоянными носовыми кровотечениями, которые списываются на всевозможные малозначительные причины. А на самом деле это серьезный звоночек. Он сигналит о том, что необходимо обратиться к врачу, который назначит МРТ мягких тканей шеи, осмотрит лор-органы, назначит КТ пазух. Только что у нас было два пациента 18 и 20 лет, очень тяжелые – с деструкцией костей лицевого скелета и ската черепа. Это запущенный рак носоглотки.
– То есть они не обращаются к врачу?
– Возможно, обращаются. Беда не только в том, что врачи не проводят полный осмотр, сами пациенты не торопятся к ним. Или настаивают «посмотреть только ухо», например, и доктор не всегда имеет возможность объяснить, что смотреть надо все: неприятные ощущения в том же ухе могут быть обусловлены опухолью в горле и наоборот. Стандартный осмотр у лор-врача, не только детского, но и взрослого, заключается в осмотре ушей, носа, ротовой полости и голосового аппарата (проверка подвижности голосовых связок). А от осмотра связок врачи часто вообще отказываются. При жалобах на осиплость голоса (один из признаков опухолевого процесса) направляют к фониатрам.
Так сложилось, что в ротовой полости у человека органов много, а заболевания этих органов лечат врачи различных специальностей.
– Может быть и у 14-летних. Я была поражена, когда как-то к нам в институт обратились родители с 14-летним сыном, у которого левый глаз буквально был выдавлен из орбиты опухолью носоглотки. Я подумала, что он либо сирота, либо из неблагополучной семьи. Но нет, у него есть родные, которые любят его и заботятся о нем. Болит глаз, они его «лечат», ходят к офтальмологу. А опухоль продвинулась уже к мозгу, у мальчика были разрушены кости черепа.
Есть теория, что рак носоглотки возникает на фоне вируса Эпштейн-Барра. Эти опухоли чаще всего могут быть ассоциированы с этим вирусом. Кроме того, считается, что рак носоглотки обусловлен чрезмерным употреблением красного мяса. Но обе эти теории под вопросом. Так, вирус Эпштейн-Барра есть у многих, но далеко не у каждого развивается рак. По поводу мяса: есть регионы, где едят только красное мясо, но рак носоглотки тоже развивается не у всех. При этом он встречается и в регионах, где едят в основном рыбу. Эти предположения говорят лишь о том, что истинные причины рака носоглотки, носовых пазух пока не установлены. А питание в любом случае должно быть разнообразным.
– Кто направляет к онкологу пациента, когда есть подозрение на рак языка, слюнных желез, слизистой губ или щек?
– Проблему может и должен увидеть и оценить стоматолог. Самый яркий пример, когда пациенты годами лечат у стоматологов гингивит, лейкоплакию, а это оказывается в последующем меланома слизистой или плоскоклеточный рак. Или усердно лечат пациентов с плоскоклеточным раком, не подозревая, что это не стоматологическая проблема, а онкологическая, останавливаются, когда уже разрушается кость и ставят диагноз «остеомиелит». Но бывает и так, что к онкологу пациента направляют в самом начале болезни, если он случайно попадает к доктору, который сразу заподозрит злокачественный процесс.
Многие стоматологи за всю профессиональную деятельность могут и не столкнуться с онкозаболеваниями ротовой полости. Но они должны помнить – как только обнаруживается в полости рта нарушение целостности тканей, нужно это тщательно отслеживать и сразу, как только появилось подозрение, направлять пациента к онкологу, который примет решение о биопсии с гистологическим и цитологическим исследованием.
– Когда говорят об инфекционной природе рака, неизбежно вспоминается о вирусе папилломы человека (ВПЧ), о важности прививки от него. Но целое поколение уже не сможет вакцинироваться, а этот вирус есть едва ли не у половины населения. Мы все умрем от рака, вызванного ВПЧ?
– ВПЧ 16-го типа в 87% случаев сопутствует раку ротоглотки (миндалины и корень языка). А вообще, около 26% всех раков головы и шеи ВПЧ-позитивные. Так что всем, у кого есть возможность, конечно, надо рекомендовать сделать прививку.
Но не думайте, будто у всех носителей этого вируса обязательно будет рак. ВПЧ становится пусковым механизмом для его развития, а причины другие. Зоны, в которых развивается ВПЧ-позитивный рак, поражаются и у курильщиков, и у тех, кто перенес в том месте травму, а ВПЧ запускает злокачественный процесс. Но раки ротоглотки и другие, связанные с ВПЧ, развиваются и без этого вируса. Доказано, кстати, что при своевременном обращении к врачу у пациентов с ВПЧ-положительным раком прогноз лучше, чем у тех, у кого вирус не выявлен, – у них более агрессивный рак. Течение болезни одинаковое, лечение одинаковое, а ответ на терапию разный, прогноз разный.
– Статистика говорит о том, что средний возраст, в котором выявляется рак головы и шеи – 62-65 лет. Почти половина раков – в возрасте 65+. У пожилых он тоже развивается стремительно?
– В организме раковые клетки образуются постоянно, но он с ними борется. Например, папиллома, казалось бы, доброкачественное новообразование, но если постоянно происходит травматизация этого новообразования или влияют какие-то другие вредные факторы, оно будет меняться, регулярно восстанавливаться после травматизации, но в какой-то момент в процессе обновления клеток происходит сбой. И риск возникновения такого нарушения выше у пожилого человека, это обусловлено процессом старения, замедления процессов обновления. Его организм с этими «неправильными» клетками уже не справляется.
Из-за того, что деление и обновление клеток происходит быстрее у молодых, злокачественные процессы у них могут протекать быстрее, но есть опухоли, которые и у пожилых растут быстро. Это зависит от биологии опухоли, от гистологической формы рака. Часто мы видим агрессивный рост плоскоклеточного рака языка. У пожилых опухоль растет примерно 3-4 месяца до размера в 1,5-2 см, это уже большое новообразование. Но пациенты приходят с ним через полгода. Сначала думают, что прикусил язык, потом чем-нибудь смазывают. Лечатся у стоматолога или лора, которые советуют прикладывать облепиховое масло и прочее. Когда вырастает до таких размеров, что человек сам понимает, что это рак, он еще три месяца морально готовится прийти к онкологу. Да, ему больно, он не может есть, не может говорить, уже метастазы на шее, но все равно чего-то ждет. Лечить таких пациентов всегда трудно. А сейчас, во время эпидемии, когда большинство боялось идти к онкологу еще и из-за опасений заразиться ковидом, таких стало больше.
Вообще, ранние раки языка у нас – большая редкость. Хотя недавно меня удивило обращение двух пациентов, они пришли почти одновременно с диагнозом «лейкоплакия» – это предраковое состояние. Вовремя начатое лечение позволит им избежать развития злокачественной формы опухоли.
– Можно назвать основные причины рака языка? У него есть отличия от других раков ротовой полости?
– Если мы говорим о причинах, характерных только для рака языка, то это невылеченные зубы, в первую очередь. Они могут изо дня в день наносить травмы языку (во время разговора, сна, приема пищи), а как я уже говорила, в месте травмы для заживления ткани образуются новые клетки. И в процессе их бесконечного образования после постоянной травмы со временем происходит сбой. Так что своевременное лечение зубов – действительно эффективная профилактика рака языка, ближайших мягких тканей ротовой полости. Вообще, регулярное посещение и, подчеркиваю, качественное лечение у стоматолога очень важно. Санация с профилактической целью, даже если кажется, что все зубы целы, нужна, потому что стоматолог увидит, если «что-то пошло не так». Именно он может, например, своевременно распознать опухоль альвеолярных отростков в челюсти, в десне, образующуюся после удаления корней зуба в ретромалярной зоне. Эта опухоль (в ретромалярной зоне) распространяется на сустав и плохо лечится, если она в запущенном состоянии.
Причиной развития, как рака корня языка, глотки, так и рака пищевода, ротовой полости (верхние пищеварительные пути) давно уже признано злоупотребление спиртным, поскольку каждый его прием сопровождается химическим ожогом эпителия.
– Еще один парадокс – позднее выявление рака губы. Разве его нельзя обнаружить на раннем этапе? Его не видно в зеркале, человек не чувствует неудобств?
– Его видно, он доставляет дискомфорт, боль пациенту. Многие лечат месяцами «герпес» – язву на губе, действительно напоминающую герпетическое проявление, в результате рак развивается до такой степени, что приходится удалять всю губу. Кроме того, этот рак метастазирует. Сейчас причиной развития рака губы чаще становится чрезмерная инсоляция – кожу мы уже научились защищать от палящего солнца, а про губы все забывают. Они пересыхают, трескаются. Раньше часто причиной развития рака губы было курение папирос и сигар, при котором губы регулярно обжигались. А это способно привести к развитию рака губы красной каймы верхней или нижней губы.
– Почему курение называют одним из самых понятных факторов риска онкологической заболеваемости органов головы и шеи? Рак ротовой полости возникает даже, если человек давно бросил и считает, что курение ни при чем.
– Зависимые от курения, после того как прекратят курить, не могут сравниваться с некурящими, поскольку на восстановление нормальной флоры курильщика требуется 15-20 лет. Проблема в том, что в процессе курения образуются смолы, которые оказывают негативное влияние на слизистую ротовой полости и дыхательных путей. Курящие постоянно получают микротравмы – воздействие вредного дыма, в составе которого есть смолы. А это, приводит к развитию онкологических заболеваний. Чаще всего у курильщиков рак развивается в носу, ротовой полости или в носовых ходах, развитию папиллом и росту сначала доброкачественных опухолей, а потом и злокачественных, подвержены еще и люди с искривленной перегородкой. Поэтому курильщикам надо стараться хотя бы раз в год обследоваться у лор-врача.
Нельзя забывать о такой беде, как меланоз курильщика – пигментные пятна на слизистой ротовой полости. Как только обнаруживается меланоз, его следует тщательно наблюдать. Он может локализоваться в разных местах ротовой полости – на внутренней стороне щеки и на нижних отделах ротовой полости их видно стоматологу, и меры предпринимаются быстро. А на твердом небе их редко замечают. Это образование слизистой оболочки ротовой полости может быть фоновым заболеванием и может приводить к возникновению меланомы слизистой оболочки, которая плохо поддается лечению, и прогноз у нее плохой, к сожалению.
В 2018 году в мире выявлено 834 860 случаев заболеваний рака головы и шеи. 431 131 человек умерли. В России этот диагноз поставили 22 603 пациентам, умерли 14 034 человека с этим диагнозом. Чаще всего заболевают раком губы и ротовой полости: в мире – заболели 354 864 человека, умерли – 177 384, в России – 10 827 заболели, умерли – 10 040.
Затем по частоте заболеваемости следуют рак гортани, носоглотки, ротоглотки, гортаноглотки.
В России в течение года с момента постановки диагноза от рака глотки умирают 41,5% пациентов, от рака полости рта – 34,2%, рака гортани – 23%.
Цитология (гистология) биопсии носа, пазухи носа при опухоли
ФГБОУ ДПО «Российская медицинская академия непрерывного профессионального образования» Минздрава России, Москва, Россия
ФГБОУ ДПО «Российская медицинская академия непрерывного профессионального образования» Минздрава России, Москва, Россия
ФГБОУ ДПО «Российская медицинская академия непрерывного профессионального образования» Минздрава России, Москва, Россия
Кафедра болезней уха, горла, носа РМАПО, Москва
Мукоцеле перегородки носа
ФГБОУ ДПО «Российская медицинская академия непрерывного профессионального образования» Минздрава России, Москва, Россия
Введение. Мукоцеле перегородки носа является редчайшей патологией, в литературе описано лишь несколько подобных случаев. Протекая бессимптомно в течение жизни и лишь с течением времени достигая гигантских размеров, патология может явиться причиной тяжелых последствий. Цель работы — описание клинического наблюдения пациента с мукоцеле. Материал и методы. Пациент 63 лет обратился с жалобами на затруднение носового дыхания, стекание слизи по задней стенке глотки, снижение обоняния. Обследование включало: КТ и МРТ носа, цитологическое исследование. Результаты. По данным КТ и МРТ в верхних отделах перегородки носа визуализировано округлое объемное образование с однородным повышенным сигналом во всех режимах, ровными и четкими контурами, без признаков интракранального распространения, деформирующее ячейки решетчатой кости, а также верхние и средние носовые раковины. Выставлен предварительный диагноз: мукоцеле перегородки носа. Цитологическое исследование пунктата выявило чешуйки плоского эпителия, нейтрофильные лейкоциты, кристаллы солей. Заключение. Описанный клинический случай демонстрирует сложности в проведении дифференциальной диагностики, постановке грамотного диагноза и выборе наиболее оптимальной методики хирургического лечения.
ФГБОУ ДПО «Российская медицинская академия непрерывного профессионального образования» Минздрава России, Москва, Россия
ФГБОУ ДПО «Российская медицинская академия непрерывного профессионального образования» Минздрава России, Москва, Россия
ФГБОУ ДПО «Российская медицинская академия непрерывного профессионального образования» Минздрава России, Москва, Россия
Кафедра болезней уха, горла, носа РМАПО, Москва
Среди новообразований лор-органов опухоли полости носа по частоте занимают одно из первых мест, уступая лишь поражениям гортани. Их классифицируют на три большие группы. К первой относятся доброкачественные образования — хондромы, остеомы, ангиомы, папилломы и т. д. [1]. Вторая группа включает в себя злокачественные опухоли — эпителиальные (раки) и неэпителиальные (эстезионейробластомы, меланомы и др.) [2]. Третью группу составляет довольно широкий спектр нозологических единиц — так называемые опухолеподобные образования, к которым относятся кисты, полипы, в том числе и мукоцеле околоносовых пазух (ОНП) [2—5].
Впервые термин «мукоцеле» был представлен M. Rollet в 1896 г. [6]. Среди отечественных авторов, акцентирующих внимание на этой патологии, можно отметить работы В.И. Воячека, С.С. Головина, Н.Д. Ходякова, Я.И. Альпина и многие другие [7—9].
Мукоцеле представляет собой доброкачественное экспансивное кистоподобное образование, заполненное слизью и выстланное респираторным эпителием. Его содержимое богато муцином и иногда содержит холестерин, жиры и эпителиальные клетки [10]. Как правило, образование медленно растет и обладает местным агрессивным характером. Постепенно продуцируя слизь в своей полости, оно увеличивается в размерах, деформируя и разрушая окружающие костные стенки. Кроме того, мукоцеле может обтурировать соустья пазух, нарушая их дренирование и создавая тем самым предпосылки для формирования синуситов.

Частота встречаемости этой патологии как у мужчин, так и у женщин одинакова, в основном мукоцеле обнаруживается у пациентов в возрасте от 30 до 50 лет. В 70% случаев мукоцеле развивается в лобной пазухе, реже — в клетках решетчатой кости, верхнечелюстной и основной пазухах [11—15]. В литературе также было выделено 8 случаев нетипичной перегородочной локализации, связанной с ее пневматизацией [16]. Такой анатомический вариант некоторыми авторами описывается как «перегородочный синус», который может сообщаться с клиновидными пазухами (рис. 1) Рис 1. Пневматизированная перпендикулярная пластинка решетчатой кости как анатомический вариант. [17] и имеет различную распространенность (от 0,5 до 18%). В отличие от пневматизации перегородки носа мукоцеле этой анатомической структуры является очень редкой находкой [16].
Наиболее частыми причинами возникновения мукоцеле являются хронические инфекции, аллергические заболевания, травмы либо предшествующие хирургические вмешательства. Однако в отдельных случаях этиологию выяснить невозможно. Бессимптомное течение и медленный рост мукоцеле могут стать причинами его несвоевременной диагностики.
В качестве иллюстрации приводим следующее клиническое наблюдение.
Клиническое наблюдение

Пациент 63 лет обратился в Центральную клиническую больницу гражданской авиации с жалобами на затруднение носового дыхания, чувство стекания слизи по задней стенке глотки, снижение обоняния. Первые симптомы стал отмечать около 5 лет назад после получения травмы носа. Обратился к врачу-оториноларингологу, который при эндоскопическом осмотре выявил гладкое гигантское образование в задних отделах перегородки носа, затрудняющее визуализацию носоглотки (рис. 2). Рис. 2. Эндоскопическое исследование полости носа пациента слева. ПН — перегородка носа; ННР — нижняя носовая раковина; М — мукоцеле. NS — nose septum; LNC — lower nasal concha; М — mucocele. Для верификации диагноза пациент был направлен в онкодиспансер, где была проведена биопсия пораженной области; по гистологической картине атипичный процесс был исключен.

По данным компьютерной томографии (КТ) носа и ОНП с контрастированием (омнипак 50 мл), в верхних отделах перегородки носа было выявлено округлое образование с четкими ровными контурами, однородной структуры, плотностью 22—30 ед. Н, размером 40×35×29 мм, заполненное патологическим содержимым и распространяющееся в полость носа (рис. 3). Рис. 3. КТ ОНП пациента перед хирургическим вмешательством. а — аксиальная проекция; б — коронарная проекция; в — аксиальная проекция; г — сагиттальная проекция. Во всех проекциях стрелками указано мукоцеле. Был выставлен предварительный диагноз: мукоцеле перегородки носа.
В связи с наличием травмы носа в анамнезе необходимо было исключить мозговую грыжу с ликворным содержимым, для чего дополнительно были проведены магнитно-резонансная томография (МРТ) и пункция мукоцеле. На полученных снимках было визуализировано округлое объемное образование с однородно повышенным сигналом во всех режимах, с ровными и четкими контурами, без признаков интракраниального распространения, деформирующее ячейки решетчатой кости, а также верхние и средние носовые раковины (рис. 4). Рис. 4. МРТ пациента перед оперативным вмешательством в режимах T1 (а, б) и T2 (в, г). а — сагиттальная проекция; б и в — аксиальная проекция; г — коронарная проекция. Во всех проекциях стрелками указано мукоцеле. Пунктат мукоцеле представлял собой жидкость темного цвета объемом 5 мл с неоднородными включениями (рис. 5). Рис. 5. Жидкость, полученная при пункции мукоцеле. По результатам цитологического экспресс-исследования в нем были обнаружены чешуйки плоского эпителия, нейтрофильные лейкоциты, кристаллы солей, что соответствовало ранее установленному диагнозу.
Пациенту было предложено хирургическое лечение и после получения согласия проведено удаление мукоцеле перегородки носа под эндоскопическим контролем (рис. 6). Рис. 6. Интраоперационная картина. Стрелкой указано мукоцеле перегородки носа. ПН — перегородка носа. Под эндотрахеальным наркозом был выполнен полупроникающий разрез в каудальном отделе перегородки носа слева с последующей отсепаровкой слизистой оболочки с надхрящницей и надкостницей до капсулы мукоцеле, которая локализовалась за областью бугра перегородки носа и представляла собой расширение перпендикулярной пластинки решетчатой кости. Для лучшей визуализации и обеспечения доступа к образованию произведена задненижняя хондротомия. Мукоцеле выделено и удалено с помощью окончатых щипцов, материал отправлен на гистологическое исследование (рис. 7). Рис. 7. Извлечение из полости носа пациента капсулы мукоцеле перегородки носа. Размер образования составил 3,5×4,5 см (рис. 8). Рис. 8. Резецированная капсула мукоцеле перегородки носа. В задних отделах перегородки носа отмечался костный дефект, в область которого был установлен резецированный заранее и ремоделированный фрагмент четырехугольного хряща. Разрез был ушит. На перегородку носа установлены силиконовые сплинты. Послеоперационный период протекал без особенностей. Сплинты были удалены на 14-е сутки.

Результаты гистологического заключения: 1) макроскопически — вскрытое кистозное образование размером 3,5×2 см, толщина стенок — от 0,1 до 0,6 см. Наружная поверхность гладкая. На внутренней стороне — плотноватые и рыхлые коричневатые наложения; 2) микроскопически: стенки кисты представлены волокнистой соединительной тканью, выстланной уплощенным однорядным или утолщенным многослойным плоским неороговевающим эпителием. На части участков к стенке прилежат организованные массы с многочисленными кристаллическими массами, окруженными клетками рассасывания инородных тел (по типу холестеатомных масс), имеются сидерофаги. В части полей зрения — содержимое кисты с участками грануляционной ткани. Гистологическая картина соответствует клиническому диагнозу мукоцеле (рис. 9). Рис. 9. Гистологическое исследование образования. Окраска гематоксилином и эозином. Ув. 50—200. а — содержимое полости прилегает непосредственно к пластинчатой кости (остатки перегородки носа). Организованное содержимое в виде волокнистой соединительной ткани с кристаллами, окруженными клетками рассасывания инородных тел; б — организованное содержимое полости кисты с сидерофагами; в —фрагмент содержимого с грануляционной тканью; г — многочисленные кристаллические массы среди организованного содержимого полости; д —стенка кисты, выстланная однорядным (снизу) или утолщенным многослойным плоским неороговевающим эпителием (сверху); е — «рыхлые» организованные массы с многочисленными кристаллами, лежат на стенке, выстланной плоским эпителием с участками ороговения.

По данным послеоперационной риноскопии — перегородка носа по средней линии, дефектов нет (рис. 10). Рис. 10. Полость носа пациента через 3 мес с момента операции. R — правая сторона; L — левая сторона; СР — средняя носовая раковина; ПН — перегородка носа; Х — хоана. R — right side; L — left site; MNC — middle nasal concha; NS — nasal septum; Х — choana.
Обычно мукоцеле протекает бессимптомно до момента его проникновения в соседние структуры. Клиническая картина зависит от размеров мукоцеле, его локализации и наличия осложнений. Первоначально образование занимает полость пазухи или пневматизированной клетки, расширяя ее, затем может прослеживаться эрозия костных стенок и сдавление близлежащих структур. Таким образом, независимо от причины заболевания, мукоцеле оказывает остеолитическое действие с резорбцией кости [18]. В представленном клиническом случае у пациента в анамнезе была травма носа, а в заключении цитологического исследования отмечалось наличие сидерофагов в содержимом образования. Возможным механизмом формирования этой патологии могло стать посттравматическое кровотечение в пневматизированную перпендикулярную пластинку решетчатой кости с формированием гематомы и мукоцеле.
Наиболее частыми симптомами в этих случаях являются чувство давления или боль в лицевой области, гипоэстезия, связанная с компрессией ветвей тройничного нерва, и заложенность носа. Довольно распространенным осложнением мукоцеле является инфекция с формированием пиоцеле, что приводит к появлению хронического болевого синдрома [19].
Несмотря на большие размеры образования, в представленном клиническом случае у пациента отсутствовали сопутствующие осложнения, вызванные сдавлением близлежащих структур. Основной жалобой, заставившей его обратиться к врачу, стало прогрессирующее затруднение носового дыхания.
Прежде чем определять объем и тактику хирургического лечения, мукоцеле перегородки носа следует дифференцировать от некоторых срединных образований полости носа срединной локализации, таких как энцефалоцеле, менингоцеле, дермоидная киста, гематома или абсцесс, доброкачественные новообразования и опухолеподобные заболевания полости носа [20].
Клинически мукоцеле отличается от мозговой грыжи отсутствием напряжения, пульсации и изменения объема при дыхании. Давление на энцефалоцеле или менингоцеле сопровождается симптомами компрессии головного мозга (замедление пульса, судороги). Дермоидную кисту отличают наличие толстой стенки и содержимое, включающее салоподобную либо желеобразную массу с чешуйками эпидермиса, волосами, кристаллами холестерина, костными включениями, зубами.
Помощь в постановке диагноза могут оказать такие исследования, как КТ, МРТ, гистологическая верификация стенки образования и цитологическая оценка его содержимого. Классическая МРТ-картина мукоцеле в Т1-режиме представлена как гипоинтенсивный очаг, в Т2-режиме — как гиперинтенсивный, хотя эти представления могут меняться в зависимости от содержания воды и белка в секрете (гиперинтенсивный сигнал в T1 при большом содержании белка) [16]. При проведении КТ типичными признаками мукоцеле являются гладкие четкие края, возможна эрозия близлежащих костных стенок [20].
Заключение
Мукоцеле перегородки носа является редкой патологией и в связи с этим представляет сложность в диагностике и выборе хирургической тактики. На основании представленного клинического случая следует акцентировать внимание на значении эндоскопической визуализации, несмотря на то что вмешательство проводилось на перегородке носа. Мукоцеле было не только вскрыто, как в других подобных случаях, но и резецировано с участком перпендикулярной пластинки решетчатой кости, поскольку образование практически полностью закрывало просвет полости носа, и в противном случае не удалось бы обеспечить пациенту свободное носовое дыхание. Сформировавшийся в ходе оперативного вмешательства дефект в задних отделах перегородки носа был полностью закрыт.
Участие авторов:
Концепция и дизайн исследования: Ю.М., Г. П., Д.Р., Л.С.
Сбор и обработка материала: Ю.М., Г. П., Д.Р., Л.С.
Написание текста: Ю.М., Г. П., Д.Р., Л.С.
Редактирование: Ю.М., Г. П., Д.Р., Л.С.
Авторы заявляют об отсутствии конфликта интересов.
The authors declare no conflicts of interest.
Сведения об авторах
Читайте также:
