Контрастное усиление цветовой и спектральной допплер-эхокардиографии
Добавил пользователь Евгений Кузнецов Обновлено: 01.11.2025
Цель исследования. Изучение возможностей применения эхокардиографии (ЭхоКГ) с контрастным усилением и количественной оценкой перфузии миокарда левого желудочка (ЛЖ) у пациентов с крупноочаговым постинфарктным кардиосклерозом.
Материал и методы. Обследованы 15 мужчин (возраст от 42 до 72 лет) с патологическим зубцом Q в 2 отведениях электрокардиограммы и более. Количественную оценку перфузии миокарда ЛЖ осуществляли при помощи расчета тканевой интенсивности ультразвукового сигнала от миокардиальных сегментов ЛЖ на фоне внутривенного введения контрастного препарата. Динамику изменения интенсивности перфузии миокарда (A4, дБ) оценивали как разницу между значениями интенсивности ультразвукового сигнала в миокардиальном сегменте до принудительного разрушения контрастного вещества (до нанесения «flash») и в период восполнения пузырьков контрастного агента на 4-й кардиоцикл (после нанесения «flash»). Измерения осуществляли в 16 сегментах ЛЖ во временной отрезок, соответствующий конечному диастолическому периоду кардиоцикла. С целью верификации крупноочагового фиброза миокарда ЛЖ всем обследуемым выполнена контрастная магнитно-резонансная томография (МРТ) сердца с оценкой наличия фиброзных изменений в миокардиальных сегментах. Учитывали наличие или отсутствие признаков фиброза 50% и более толщины каждого из изучаемых сегментов.
Результаты. Проведена оценка динамики перфузии и фиброзных изменений в 240 миокардиальных сегментах. Медиана A4 составила 1 (от –20 до 10) дБ. МРТ позволила выявить 82 сегмента с крупноочаговыми фиброзными изменениями. Оценена эффективность диагностического теста (количественной перфузионной ЭхоКГ с контрастным усилением c оценкой A4) по выявлению фиброзных изменений в миокарде. Анализ ROC-кривой показал хорошее качество модели: AUC 0,787 при 95% доверительном интервале от 0,730 до 0,837 (p<0,01); чувствительность 82,9%, специфичность 75,3%. Точка отсечения для A4 оказалась равной –1.
Выводы. Новый подход к количественной контрастной оценке перфузии миокарда позволяет с высокой эффективностью выявлять нарушения перфузии у пациентов с крупноочаговым постинфарктным кардиосклерозом.
Ключевые слова
Об авторах
Бобров Андрей Львович
Список литературы
1. Аншелес А.А., Сергиенко В.Б. Перфузия миокарда: что понимается под этим термином при визуализации различными методами лучевой диагностики? Кардиология. 2017;57(7):5-12. DOI: 10.18087/cardio.2017.7.10000
2. Wei K, Jayaweera AR, Firoozan S, Linka A, Skyba DM, Kaul S. Quantification of Myocardial Blood Flow With Ultrasound-Induced Destruction of Microbubbles Administered as a Constant Venous Infusion. Circulation. 1998;97(5):473–83. DOI: 10.1161/01.CIR.97.5.473
3. Кармазановский Г.Г., Степанова Ю.А., Аскерова Н.Н. История развития контрастного усиления при ультразвуковом исследовании. Медицинская визуализация. 2015;2:110-9
4. Porter TR, Mulvagh SL, Abdelmoneim SS, Becher H, Belcik JT, Bierig M et al. Clinical Applications of Ultrasonic Enhancing Agents in Echocardiography: 2018 American Society of Echocardiography Guidelines Update. Journal of the American Society of Echocardiography. 2018;31(3):241–74. DOI: 10.1016/j.echo.2017.11.013
6. Gaibazzi N, Reverberi C, Lorenzoni V, Molinaro S, Porter TR. Prognostic Value of High-Dose Dipyridamole Stress Myocardial Contrast Perfusion Echocardiography. Circulation. 2012;126(10):1217–24. DOI: 10.1161/CIRCULATIONAHA.112.110031
7. Kutty S, Bisselou Moukagna KS, Craft M, Shostrom V, Xie F, Porter TR. Clinical Outcome of Patients With Inducible Capillary Blood Flow Abnormalities During Demand Stress in the Presence or Absence of Angiographic Coronary Disease. Circulation: Cardiovascular Imaging. 2018;11(10):e007483. DOI: 10.1161/CIRCIMAGING.117.007483
8. Abdelmoneim SS, Dhoble A, Bernier M, Erwin PJ, Korosoglou G, Senior R et al. Quantitative myocardial contrast echocardiography during pharmacological stress for diagnosis of coronary artery disease: a systematic review and meta-analysis of diagnostic accuracy studies. European Heart Journal Cardiovascular Imaging. 2009;10(7):813– 25. DOI: 10.1093/ejechocard/jep084
9. Thygesen K, Alpert JS, Jaffe AS, Chaitman BR, Bax JJ, Morrow DA et al. Fourth universal definition of myocardial infarction (2018). European Heart Journal. 2019;40(3):237–69. DOI: 10.1093/eurheartj/ehy462
10. Lang RM, Badano LP, Mor-Avi V, Afilalo J, Armstrong A, Ernande L et al. Recommendations for Cardiac Chamber Quantification by Echocardiography in Adults: An Update from the American Society of Echocardiography and the European Association of Cardiovascular Imaging. European Heart Journal – Cardiovascular Imaging. 2015;16(3):233–71. DOI: 10.1093/ehjci/jev014
11. Leong-Poi H, Le E, Rim S-J, Sakuma T, Kaul S, Wei K. Quantification of myocardial perfusion and determination of coronary stenosis severity during hyperemia using real-time myocardial contrast echocardiography. Journal of the American Society of Echocardiography. 2001;14(12):1173–82. DOI: 10.1067/mje.2001.115982
12. Eskandari M, Monaghan M. Contrast echocardiography in daily clinical practice. Herz. 2017;42(3):271–8. DOI: 10.1007/s00059-017-4533-x
Рецензия
При поддержке: Авторы статьи выражают благодарность преподавателю кафедры рентгенологии и радиологии ФГБВОУ ВО «Военно-медицинская академия им. С. М. Кирова» МО РФ кандидату медицинских наук доценту Рудю Сергею Дмитриевичу и врачу-рентгенологу отделения лучевой диагностики ФГБУ «Детский научно-клинический центр инфекционных болезней Федерального медико-биологического агентства» кандидату медицинских наук Дубицкому Дмитрию Леонидовичу за неоценимый вклад в выполнение и анализ результатов магнитнорезонансной томографии сердца.
Для цитирования:
For citation:
Контент доступен под лицензией Creative Commons Attribution 4.0 License.
Контрастное усиление цветовой и спектральной допплер-эхокардиографии
Контрастное усиление цветовой и спектральной допплер-эхокардиографии
а) Недостаточное выявление потоков из-за проблем с чувствительностью. Многие записи цветовой допплер-ЭхоКГ из апикального доступа не содержат вообще или содержат довольно малоцветокодированной информации в области предсердий. Такое положение дел должно бы вызвать у исследователя критическое отношение к правдивости получаемой информации о потоках крови.
В действительности ультразвуковая картинка по правильности воспроизведения никогда не сможет конкурировать с цветными фотографиями, ибо она есть и остается лишь конструкцией грамотных инженеров, перенесших феномены из области акустики сначала в изменения электрических потенциалов, а затем - в область оптики для построения изображения. Таким образом, представленная информация является высокоселективной. Но то, что при этом не представлено (чаще всего это связано с техническими ограничениями), может быть настолько важным, что отсутствие этих данных на экране в конечном итоге приведет к неверной информации.
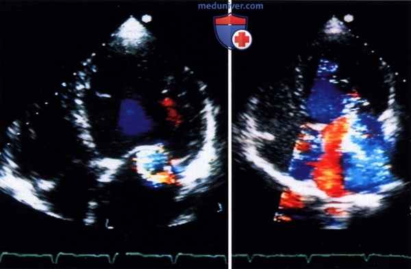
Пример неверной информации. На рисунке ниже слева показан подобный пример, создающий у исследователя впечатление, что у этого пациента с митральной недостаточностью во время систолы в области левого предсердия нет никакого антеградного потока. Однако кардиологу даже с умеренным знанием основных гемодинамических закономерностей известно, что в систолу и раннюю диастолу предсердия интенсивно наполняются из легочных вен и что при неискаженном допплеровском исследовании эти потоки в виде красной, антеградной цветокодированной зоны должны занимать не менее 70% левого предсердия.
То, что часто мы этого не видим, связано с касающимися всех ультразвуковых систем проблемами чувствительности по определению потоков на большой глубине. Но если даже нормальные антеградные потоки не могут быть визуализированы, то это же, к сожалению, относится и к патологическим потокам, диагностике которых и должно бы служить ультразвуковое исследование.

Слева: пример исследования в режиме цветовой допплер-ЭхоКГ (четырехкамерная позиция), где отсутствует информация о потоках крови в области предсердий у пациента с дилатационной кардиомиопатией и митральной недостаточностью.
Справа: после контрастного усиления, благодаря которому визуализируется как патологический (большая струя регургитации), так и нормальный антеградный кровоток (красный цвет).
б) Клинические области применения:
1. Стратегии решения проблемы. К счастью, существуют и однозначные пути решения этой проблемы:
- Наблюдение антеградного кровотока левого предсердия для контроля чувствительности детекции потоков у индивидуального пациента.
На рисунке ниже справа показано изображение того же пациента: при контрастном усилении допплеровское исследование выявляет широкую, проходящую через все предсердие струю митральной регургитации наряду с ангеградным ламинарным потоком. То, что контрастное усиление не ведет к искажающему увеличению струи регургитации, было доказано при сравнении этого режима с чреспищеводным неконтрастированным допплеровским исследованием, и это позволяет достичь существенно более надежной оценки степени тяжести митральной недостаточности.
Непрерывноволновая допплер-ЭхоКГ у пациента с клапанным аортальным стенозом.
Слева: слабый допплеровский сигнал и малоинтенсивная граница спектра при нативной регистрации.
Справа: после усиления сигнала при помощи внутривенного введения Левовиста отчетливое выявление пикового градиента, равного 92 мм рт.ст. Трансторакальное исследование потока крови в легочных венах в режиме импульсно-волновой допплер-ЭхоКГ.
Слева: в нативной регистрации слабый допплеровский сигнал и малоинтенсивная граница спектра, не позволяющая провести диагностический анализ.
Справа: после усиления сигнала при помощи внутривенного введения Левовиста отчетливое изображение антеградных и ретроградных диастолических скоростей.
3. Импульсно-волновая допплер-ЭхоКГ. Тот же принцип усиления применим и в режиме импульсно-волнового допплеровского исследования, причем здесь он имеет особенное клиническое значение для регистрации потоков в легочных венах из апикальной позиции, для оценки диастолической функции левого желудочка.
4. Оценка коронарного резерва. Последней по порядку, но не по значимости упомянем возможность при контрастном усилении оценивать скорости потоков в коронарных артериях или в шунтах из внутренней грудной артерии, что вызывает клинический интерес в плане неинвазивной оценки коронарного резерва. С 1999 г. успешное трансторакальное измерение коронарного резерва при помощи высокочастотных датчиков и/или допплеровского контрастного усиления описано в области ПМЖВ для 90% пациентов и в области правой коронарной артерии - для 80% пациентов.
Эхокардиография (ЭхоКГ) с допплерографией и цветным картированием
Эходопплеркардиография — это инструментальный метод исследования сердца и кровеносных сосудов, при котором применяются ультразвуковые технологии.
Оформите заявку на услугу, мы свяжемся с вами в ближайшее время и ответим на все интересующие вопросы.
Эходопплеркардиография — это инструментальный метод исследования сердца и кровеносных сосудов, при котором применяются ультразвуковые технологии. Как и при «рутинных» (М-режимной и двухмерной) эхокардиографиях (ЭхоКГ), данная методика использует высокочастотные звуковые волны, чтобы создать изображение сердца. Но помимо этого, чтобы определить скорость и направление кровотока, она дополняется эффектом Допплера.
Эхокардиография с допплерометрией, допплеровская эхокардиография — другие названия этой процедуры.
Основные режимы визуализации, применяемые при УЗИ сердца
Ультразвуковое исследование сердца в основном используется для получения двухмерного изображения этого органа и близлежащих магистральных сосудов. А также с помощью этой методики можно оценить скорость и направление кровотока, что требует применение эффекта Допплера. В зависимости от того, как обрабатывается и отображается на мониторе эхо-сигнал, различают следующие режимы ЭхоКГ:
- Двухмерный (2D режим). На монитор выводится изображение сердца в разрезе (в двух измерениях). Данный способ является основным при визуализации этого органа, позволяет детально рассмотреть анатомические отклонения и аномальные движения миокарда, клапанов.
- М-режим (M-mode). Это «усеченный» вариант предыдущего, при котором используется для анализа только одномерное изображение. Основное внимание уделяется одной из линий 2D трассировки, что позволяет более детально исследовать движения створок клапанов и сердечной мышцы.



Для облегчения выявления турбулентного движения (завихрений) существует порог скорости, выше которого происходит изменение цвета (во многих аппаратах это зелены). «Мозаичный» узор на участке турбулентного потока позволяет легко установить регургитацию (смену направления движения), что помогает определить степень недостаточности клапанов.


Наличие режимов визуализации сердца не означают, что для каждого из них необходим отдельный УЗИ аппарат. Все современные ультразвуковые приборы для эхокардиографии способны воспроизвести данные режимы. Для этого врачу необходимо только «переключить тумблер» или поменять датчик.
Для получения “полной картины заболевания” обычно используется сочетание нескольких методов визуализации следующих структур:
- клапанов;
- четырех камер сердца;
- перегородок между ними;
- перикарда;
- внутрисердечных масс;
- миокарда.
Так, например, эхокардиография с допплерометрией и цветным допплеровским картированием (ЦДК), которая является сочетанием 2D и М-режимов с допплерометрией, очень полезна при оценке митрального стеноза. Первые два способа визуализации позволяют заподозрить кальцификацию клапана (аномальное движение его створок).
Допплерометрия демонстрирует при этой патологии повышенную скорость кровотока (признак сужения) и может быть использована для оценки «эффективной площади отверстия» (степени выраженности стеноза).

Эхокардиография наиболее полезна при диагностики следующих патологий:
- пороках сердца: при дисфункции клапана, для контроля за протезами;
- при нарушениях функции левого желудочка: используется для выяснения причины (постинфарктный кардиосклероз, кардиомиопатия и т. д.) и определения фракции выброса (ФВ);
- мерцательной аритмии — оценка структурной причины, риска тромбоэмболии и предполагаемого ответа на кардиоверсию;
- хронической сердечной недостаточности;
- кардиомиопатиях;
- инфекционном эндокардите: включает оценку поражения клапанов, а также степень тяжести гемодинамических нарушений;
- после ишемического инсульта головного мозга с целью определения возможной сердечной причины образования эмболов;
- перикардиальной патологии — наличия жидкости в околосердечной сумке; с помощью эхокардиографии (под ее контролем) можно безопасно удалить перикардиальную жидкость при тампонаде сердца;
- патологии грудного отдела аорты: аневризма, расслоение.
Информация, которая предоставляется с помощью ЭхоКГ, чрезвычайно полезна для врачей при диагностике различных состояний, связанных с сердечно-сосудистыми заболеваниями. Тем не менее, очень важно, чтобы «клиент» понимал, что существует множество «нюансов», которые влияют на правильную постановку диагноза, связанных с эхокардиографией.
Опыт врача, проводящего исследование, вид используемого оборудования — факторы, влияющие на точность диагностики. Неправильно проведенное ультразвуковое исследование, как правило, приводит к избыточному назначению ненужных тестов или даже хирургических вмешательств.
Преимущества и недостатки допплерометрии сердца
ЭхоКГ способна определить направление кровотока, измерить скорость движения крови и сердечной стенки, если она дополняется эффектом Доплера. Одним из недостатков эхокардиографии с допплеровским анализом является то, что для получения точных результатов ультразвуковой луч и поток крови должны быть максимально параллельны, что ограничивает возможность исследовать некоторые отделы сердца.
Измерение скоростных характеристик позволяет оценить:
Допплерэхокардиография позволяет измерить все вышеперечисленные параметры, которые очень важны при оценке детской сердечной патологии (врожденные пороки) без использования инвазивной процедуры — катетеризации сердца. Помимо этого, назначение эхокардиографии с допплеровским анализом ребенку не несет никакой угрозы по сравнению с компьютерной томографией, где используется рентгеновское излучение.
Как ЭхоКГ выполняется (совместно с допплерометрией)
Эхокардиография считается довольно простой медицинской процедурой, не требующей серьезной подготовки. Во время исследования пациента размещают на кушетке. Оператор держит в руке датчик (устройство, напоминающее компьютерную мышь), медленно его перемещает по коже грудной стенки исследуемого. Предварительно врач наносит на кожу специальный гель, чтобы облегчить передвижение датчика. В процессе исследования доктор может попросить перевернуться на тот или иной бок, задержать дыхание на несколько секунд. Процедура обычно длится от 30 до 60 минут.
Эхокардиографию иногда сочетают со стресс-тестом. Сначала выполняют ЭхоКГ в состоянии покоя, а затем повторяют ее во время физических упражнений. Это помогает определить функциональные изменения в сердечной мышце в период перенапряжения. Отклонения могут косвенно указывать на заболевания коронарных артерий.
Трансэзофагеальная ЭхоКГ — методика ультразвукового исследования, которая позволяет более детально просмотреть некоторые отделы сердца (которые плохо визуализируются при обычной, трансторакальной), а также часто используется для получения изображения во время операции на этом органе. Как правило, оно проводится под действием внутривенного наркоза. Тонкий зонд проводится по пищеводу до уровня расположения сердца.

На сегодняшний день эхокардиография с допплеровским анализом — это неотъемлемая составляющая полного ультразвукового исследования сердца, позволяющая поставить правильный диагноз.
ARIETTA V70
Универсальная система ARIETTA V70 не только объединяет традиционные качества систем Fujifilm с преимуществами обновленной платформы ARIETTA, но и предоставляет дополнительные экспертные функции для продвинутых исследований.
Обновлённая платформа ARIETTA предоставляет расширенный набор инструментов, повышенное быстродействие и усовершенствованное управление.
Области исследования

Благодаря выдающейся универсальности, возможно эффективное использование системы в широком диапазоне клинических областей применения: как в повседневной рутинной практике, так и в узкой специализации. Эта особенность является одним из основных преимуществ сканеров Fujifilm!
Эргономичный дизайн
Система спроектирована таким образом, чтобы обеспечить высокую эффективность рабочего процесса, а также комфорт при проведении исследования как для врача, так и для пациента. Компактный дизайн системы делает возможным её лёгкое перемещение в пределах медицинского учреждения.
Медицинский монитор IPS-Pro со свободным позиционированием
Эргономичная панель управления с сенсорным дисплеем
Встроенный подогреватель геля
Встраиваемый блок физиологических сигналов
Диагностическая достоверность
Высокое качество визуализации и предельная информативность достигаются за счёт использования передовых технологий обработки изображения и продвинутых режимов исследования.
Если говорить про стандартные режимы, система обеспечивает высококачественную серошкальную визуализацию, поддерживает допплеровское цветовое картирование кровотока для качественной оценки, а также спектральное допплеровское сканирование кровотока (в том числе непрерывноволновое) для количественной оценки.
Исследования с применением контрастных веществ
Анализ в режиме слежения за структурами сердца 2D Tissue Tracking
Объединённая синхронная мультимодальная визуализация
Исчерпывающий набор датчиков нового поколения
ARIETTA V70 поддерживает эргономичные датчики нового семейства Smart Transducers. Также важно отметить, что система имеет обратную совместимость с некоторыми датчиками от систем серий ProSound и HI VISION. Сканер располагает как стандартными, так и узкоспециализированными инновационными датчиками для всех клинических областей.
К специализированным решениям относятся пункционные датчики для контроля проведения малоинвазивных манипуляций, большой набор хирургических датчиков для мониторинга проведения различных операций (в том числе для роботизированной хирургии), внутриполостные датчики нескольких типов (включая биплановые и радиальные), чреспищеводные датчики с моторизованным управлением, а также набор ультразвуковых эндоскопов для сочетанной визуализации в эндоскопии.
C25P - Инновационный биопсийный датчик со специальной прорезью для иглы в сканирующей поверхности
C22T - Инновационный низкочастотный датчик с пальцевым хватом
L43K - Инновационный миниатюрный линейный датчик с креплением для щипцов
L44LA - Инновационный линейный лапароскопический датчик. Предназначен для интервенционного мониторинга хирургических вмешательств в абдоминальной и других областях
Возможности вывода и передачи информации
Возможно включение системы в информационную сеть медицинского учреждения, подключение периферийного оборудования, а также импорт и экспорт данных с помощью съёмных носителей.
Очистка, дезинфекция и стерилизация
Совместимость с большим количеством средств обработки является одним из ключевых преимуществ наших систем.
Эхокардиография
Техника ЭхоКГ
Существуют 3 техники проведения эхокардиографии:
Трансторакальная эхокардиография – наиболее распространённая техника эхокардиографии. При ТТЭ датчик устанавливают вдоль левого или правого края грудины, на верхушке сердца, в яремной вырезке (с целью визуализации аортального клапана, выходного отдела ЛЖ, нисходящей аорты), либо в подгрудинной области. ТТЭ – наиболее распространенная методика, позволяющая получить двухмерные изображения крупных структур сердца. TTЭ является относительно недорогой и неинвазивной техникой визуализации для диагностики функций правого и левого желудочка, и движения их стенок, размера и анатомии полостей сердца, функционирования клапанной системы, строения корня аорты и внутрисердечного давления.
Портативная ультрасонография Ультрасонография у постели больного (POCUS) Полное обследование всех систем необходимо для выявления периферических и системных проявлений сердечно-сосудистых заболеваний и признаков других патологий, которые могут оказывать негативное. Прочитайте дополнительные сведения (POCUS) - ограниченная трансторакальная эхокардиография (направленная на обнаружение выраженного перикардиального выпота или дисфункции желудочков), которая иногда выполняется у постели тяжелобольных пациентов в палате интенсивной терапии (ПИТ) или в отделении экстренной медицинской помощи. Многие реаниматологи и врачи скорой обучены выполнению этой процедуры на переносных ручных аппаратах, в случаях когда опытные радиологи или кардиологи недоступны. Переносные ручные аппараты являются хорошим инструментом скрининга для определения того, каким пациентам может потребоваться проведение более детального исследования. В связи с более широким их использованием менее опытными специалистами, основным ограничением применения являются пропущенные диагнозы. В последнее время национальные сообщества предлагают рекомендации по обучению специалистов применению кардиоваскулярного метода исследования POCUS (ограниченная трансторакальная эхокардиография у постели больного) с целью наилучшего использования данного диагностического исследования. Медицинские учреждения, использующие метод кардиоваскулярного исследования POCUS, должны разработать соответствующие стандарты для применения его в своей практике.
При чреспищеводной эхокардиографии (ЧПЭ) датчик на конце эндоскопа позволяет осмотреть сердце через желудок и пищевод. ЧПЭ применяют для визуализации структур сердца, когда ТТЭ технически трудновыполнима, как, например, у пациентов с ожирением и хронической обструктивной болезнью легких (ХОБЛ). При ЧПЭ лучше визуализируются малые патологические структуры (например, вегетации при эндокардите или открытое овальное окно) и структуры, расположенные кзади (например, левое предсердие, ушко левого предсердия, межпредсердная перегородка, анатомия легочных вен), поскольку они располагаются ближе к пищеводу, чем к передней грудной стенке. С помощью ТТЭ можно получить также изображение восходящего отдела аорты, который начинается за третьим реберным хрящом; мелких образований, размеры которых меньше 3 мм (таких как тромбы, вегетации); искусственных клапанов.
При внутрисердечной эхокардиографии (ВС ЭхоКГ), датчик на кончике катетера (введенного через бедренную вену и проведенного в сердце) позволяет визуализировать анатомию сердца. ВС ЭхоКГ можно проводить во время сложных структурных кардиальных манипуляций (например, чрескожное закрытие дефектов межпредсердной перегородки или открытого овального отверстия) или электрофизиологических манипуляций. При проведении таких манипуляций ВСЭ обеспечивает лучшее качество изображения и меньшую длительность манипуляции по сравнению с TТЭ. Однако ВСЭ обычно дороже.
Методология
Наиболее часто применяют двухмерную ЭхоКГ; дополнительную информацию позволяют получить методы контрастной, допплеровской и других видов эхокардиографии.
Контрастная эхокардиография – это двухмерная эхокардиограмма, которая выполняется с применением вспененного раствора натрия хлорида (либо иного эхоконтрастного препарата), быстро вводимого в сердечный кровоток. Вспененный раствор образует мелкие пузырьки, которые создают облаковидную тень при ультразвуковом исследовании в правых камерах сердца; в случае наличия дефекта сердечной перегородки эти пузырьки появляются в левых отделах сердца. Обычно микропузырьки не способны пересекать барьер лёгочных капилляров. Однако один препарат, представляющий собой образованные после обработки альбумина ультразвуком микропузырьки, на это способен и может проникать в структуры левых отделов сердца после внутривенно инъекции. По этой причине он может быть использован для разграничения полостей сердца, в частности левого желудочка.
Спектральная допплер-ЭхоКГ может выявить объем, направление и тип потока крови. Данная методика необходима для обнаружения аномальных потоков крови (например, связанных с регургитацией) либо объемов (например, обусловленных стенотическими причинами). Допплер-ЭхоКГ не несет дополнительной информации о размерах и форме сердца и его структур.
Цветная допплер-ЭхоКГ в комбинации со спектральной и двухмерной допплер-ЭхоКГ позволяет более точно оценить размеры, форму сердца и его структур, также как объемы и направления потоков в области клапанов и выносящих трактов. Цвет используется для разграничения потоков крови; по соглашению красный поток, идущий к датчику, синий – в обратном направлении.
При тканевой допплерографии используются допплеровские методики для оценки скоростных показателей сокращения миокарда (так же как и кровотока). Движение ткани миокарда также можно оценить с помощью спекл-трекинг эхокардиографии, которая использует алгоритмы для отслеживания эхоспеклов миокарда (характерные реверберации от миокарда во время ультразвукового исследования) из кадра в кадр. канирование деформации использует эти данные для подсчета деформации миокарда (процентное изменение длины между сокращением и расслаблением) и скорости деформации миокарда (скорость изменения длины). Расчет деформации и скорости деформации может быть полезен при оценке систолической и диастолической функции для выявления ишемии при проведении стресс-тестов.
Все чаще применяется трехмерная эхокардиография; специальные трансдукторы позволяют получить трехмерное изображение структур сердца в реальном времени. Трехмерная эхокардиография в особенности эффективна при оценке состояния митрального клапанного аппарата для хирургической коррекции. Этот метод продолжает развиваться; его широкому распространению и применению в США воспрепятствовало уменьшение компенсационных выплат со стороны третьих лиц.
Стресс-ЭхоКГ
Трансторакальная эхокардиография – альтернатива радионуклидной визуализации Радионуклидная визуализация сердца Для выполнения радионуклидного исследования используют специальный аппарат (гамма-камеру), который формирует изображения после введения радиоактивного препарата. Этот тест проводится для оценки. Прочитайте дополнительные сведения . Данная методика позволяет выявить региональные нарушения подвижности стенок сердца, возникающие вследствие нарушения кровотока в эпикардиальных сосудах сердца во время выполнения пробы. Компьютерные программы позволяют оценить шаг за шагом сокращение желудочка во время систолы и диастолы, в период отдыха и на фоне нагрузки. Протоколы проведения нагрузочных и фармакологических исследований аналогичны таковым при выполнения радионуклидного стресс-теста с той разницей, что в США добутамин является более предпочтительным фармакологическим агентом, чем дипиридамол.
Стресс-эхокардиография является важным методом исследования тяжести гемодинамических расстройств при стенозе аортального клапана у пациентов с выраженными симптомами и невысоким трансклапанным градиентом давления в покое. Стресс-ЭхоКГ и радионуклидный стресс-тест одинаково хорошо позволяют выявить ишемию. Выбор метода чаще всего зависит от доступности, личного опыта исследователя и стоимости выполнения методик.
Признаки высокого давления наполнения левого желудочка во время физической нагрузки, в том числе увеличение показателя Е/е' (отношение пиковых скоростей трансмитрального кровотока и движения фиброзного кольца митрального клапана) или повышение скорости трикуспидальной регургитации, могут быть использованы для диагностики сердечной недостаточности с сохраненной фракцией выброса Сердечная недостаточность с сохраненной фракцией выброса (СНСФВ) Сердечная недостаточность (СН) – синдром дисфункции желудочков сердца. Левожелудочковая недостаточность приводит к развитию одышки и быстрой утомляемости, правожелудочковая недостаточность –. Прочитайте дополнительные сведенияАвторское право © 2022 Merck & Co., Inc., Rahway, NJ, США и ее аффилированные лица. Все права сохранены.
Читайте также:
