Дефект межжелудочковой перегородки с дефектом межпредсердной перегородки. Изолированный дефект межжелудочковой перегородки
Добавил пользователь Владимир З. Обновлено: 02.11.2025
Дефект межжелудочковой перегородки (ДМЖП) — одна из распространенных врожденных аномалий сердца новорожденных. ДМЖП отличается формированием дефекта в перегородке, разделяющей левый и правый желудочки сердца.
Небольшие дефекты межжелудочковой перегородки могут не представлять опасности и даже иногда самостоятельно закрываются. В то же время крупные отверстия в перегородке непосредственно угрожают жизни ребенка.
О том, что такое ДМЖП и чем он проявляется, напишем далее.
Причины возникновения ДМЖП у плода
Любые пороки сердца, и ДМЖП в том числе, чаще всего возникают в первом—втором триместре беременности под влиянием неблагоприятных факторов. Именно в этот период начинают закладываться ткани сердечной мышцы и кровеносной системы. Любое нарушение нормального процесса формирования и деления клеток может приводить к тяжелым последствиям.
Возникает ДМЖП у плода по причине таких обстоятельств как:
- острое инфекционное заболевание беременной в первом триместре,
- хронические инфекционные болезни матери,
- влияние на организм беременной токсинов, алкоголя, никотина,
- пожилой возраст одного из родителей,
- наследственная отягощенность и пр.
Очень часто при ДМЖП причины возникновения патологии вообще не обнаруживаются.
Поэтому в зоне риска может быть абсолютно любой ребенок.
Для выявления ДМЖП и причин его возникновения предусмотрен ряд диагностических мероприятий. Чаще всего необходимую информацию о здоровье сердца плода удается получить по данным ультразвукового исследования.
Особенности кровообращения при врожденном пороке сердца ДМЖП
Дефект межжелудочковой перегородки сердца относится к группе «белых» пороков. Нарушение кровообращения, связанное с аномальным перемещением крови из большого круга кровообращения в малый, вызывает синюшность кожи лица и тела.
Особенностью врожденного порока сердца ДМЖП является наличие отверстия в перегородке, которая разделяет левый и правый желудочки сердца. Левый желудочек в норме нагнетает обогащенную кислородом кровь в аорту и ко всем органам тела по большому кругу кровообращения. Правый желудочек направляет кровь в легкие для очистки от углекислого газа и насыщения ее кислородом.
Через имеющийся при ВПС дефекте межжелудочковой перегородки происходит ненормальное поступление крови из левого желудочка в правый, что вызывает резкую его перегрузку.
Повышение давления в легочных сосудах приводит к их уплотнению и обратному забрасыванию бедной кислородом крови из правого в левый желудочек.
В результате при дефекте межжелудочковой перегородки у новорожденных в органы поступает недостаточно насыщенная кислородом кровь, и происходит их голодание.
Симптомы дефекта межжелудочковой перегородки у новорожденных
В зависимости от размера отверстия при ДМЖП симптомы могут значительно различаться.
Небольшой дефект межжелудочковой перегородки у новорожденных мало влияет на качество их жизни, но характеризуется выраженным шумом в сердце. Проходящая через узкое отверстие кровь издает много звуков, что четко выслушивается доктором.
Кардиологи знают, что чем опаснее порок, тем меньше он издает звуков. Крупные отверстия ДМЖП у детей с первых часов после рождения дают о себе знать. Ребенок плохо прибавляет в весе, его кожа бледная или бледно-синюшная. Систолический шум при выслушивании сердца может быть не очень интенсивным, но постоянным.
Впоследствии при ДМЖП к симптомам добавляется быстрая утомляемость, высокая частота инфекционных процессов дыхательной системы, развитие недостаточности сердца.
Чем опасен дефект межжелудочковой перегородки
Дефект межжелудочковой перегородки у ребенка вызывает резкую перегрузку сердечной мышцы и травму легочных сосудов.
Постоянное повышение давления в кровеносной системе легких вызывает склероз, утолщение артерий, повышение массы правого желудочка.
В результате смешивания бедной и богатой кислородом крови возникает постоянное кислородное голодание тканей ребенка, больше всего страдают наиболее чувствительные органы: головной мозг, почки, сердце.
Родители должны четко осознавать чем опасен дефект межжелудочковой перегородки для понимания важности правильного лечения.
ДМЖП у плода: что делать, и когда нужна операция?
При таком пороке сердца как дефект межжелудочковой перегородки операция — наиболее эффективное и надежное средство лечения.
На сегодняшний момент ни одно лекарство или процедура не способны вызвать произвольное закрытие отверстия перегородки сердца. Дефект возможно лишь ушить или закрыть трансплантатом.
В ряде случаев происходит самостоятельное исчезновение небольших дефектов, что избавляет от необходимости вмешательства. Крошечные отверстия перегородки без существенных нарушений кровотока позволяют применить выжидательную тактику до 6 — 36 месяцев.
Тем не менее, большие дефекты являются абсолютным показанием к хирургии. В зависимости от размеров дефекта и общего состояния новорожденного операция ДМЖП у ребенка может выполняться в первые месяцы жизни или откладываться до определенного срока.
Выбор метода вмешательства и времени его выполнения зависит от общего состояния ребенка, расположения и размера дефекта, давления в желудочках и предсердиях сердца, наличия противопоказаний.
При ДМЖП операция может проводиться по классической, «открытой» методике или с применением малотравматичного эндоваскулярного оборудования.
Крупные дефекты ушиваются после рассечения грудной клетки и камеры сердца. Операция проводится при помощи аппарата искусственного кровообращения большой бригадой опытных хирургов. Риск осложнений сводится до статистического минимума благодаря современному оборудованию и высочайшему мастерству оперирующих кардиохирургов.
В случае обнаружения небольших отверстий в перегородке предпочтение может отдаваться эндоваскулярной хирургии. Достоинствами методики являются отсутствие разрезов и меньший риск нежелательных последствий. Устранение дефекта при этом производится специальным устройством, которое вводится в сердечно-сосудистую систему через небольшой прокол бедренной артерии.
Эндоваскулярной техникой нельзя провести лечение детей с большими дефектами и выраженной недостаточностью сердца.
В нашем центре есть все необходимое для лечения детей с указанной патологией.
На первичной консультации доктор подробно расскажет о прогнозах и степени ДМЖП у плода, и что делать с имеющейся проблемой дальше.
При необходимости операции она будет выполнена в наилучших для этого условиях — современной оснащенной операционной коллективом из самых опытных кардиохирургов.
Дефект межжелудочковой перегородки с дефектом межпредсердной перегородки. Изолированный дефект межжелудочковой перегородки


- НИО хирургии аорты, коронарных и периферических артерий
- НИО новых хирургических технологий
- НИО хирургической аритмологии
- НИО эндоваскулярной хирургии
- НИО сосудистой и гибридной хирургии
- НИО онкологии и радиотерапии
- НИО ангионеврологии и нейрохирургии
- НИО анестезиологии и реаниматологии
- НИО лучевой и инструментальной диагностики
- Состав совета по защите докторских и кандидатских диссертаций
- Требования к соискателям
- Соискатели
- Апелляции
- ГОСТ по оформлению диссертации и автореферата
- Контакты совета
- Генеральный директор Центра
- Руководство Центра
- Миссия
- История
- Мероприятия
- Фотопроекты
- Истории пациентов
- Нормативные документы
- Структура отдела
- Организационно-методическая работа с регионами
- Развитие телемедицинских технологий
- Кадровая политика и повышение квалификации
- Публичный отчет
- Устав и регистрационные документы
- Лицензии
- Публичный отчет
- Сведения о медицинских работниках
- План развития Центра
- Политика обработки персональных данных
- Охрана труда
- Политика в области охраны труда
- Противодействие коррупции
- Учетная политика
Дефект межжелудочковой перегородки (ДМЖП) - это сброс на уровне межжелудочковой перегородки, которого в норме быть не должно и из-за которого нарушается функция сердца и всей системы кровообращения. Дефект встречается примерно у 5% новорожденных из 1000 - это второй по частоте врожденный порок сердца..
ДМЖП образуется вследствие нарушения эмбрионального развития.
Межжелудочковая перегородка преимущественно состоит из мышечной ткани, а верхняя часть значительно меньшая часть - из фиброзной ткани, ее называют мембранозной перегородкой. При этом мышечные дефекты перегородки составляют лишь до 20% всех случаев, а остальные относятся к перимембранозным. При дефекте межжедкдочковой перегородки появляются жалобы на одышку, плохую прибавку в весе, повышенную утомляемость, плохой аппетит.
Большие дефекты МЖП становятся причиной опасной сердечной недостаточности. Если дефект не диагностировали в младенчестве, то к трем годам у ребенка могут появиться жалобы боль в груди, носовые кровотечения и потери сознания.
Симптомы заболевания и диагностика
Симптомы ДМЖП зависят от размера дефекта. Небольшой дефект может не проявлять себя и не влиять на рост и развитие ребенка. При большом размере дефекта появляются симптомы сердечной недостаточности: одышка, плохая прибавка в весе, повышенная утомляемость и т.п. Без лечения может развиться серьезное осложнение - синдром Эйзенменгера. При дефектах межжелудочковой перегородки во время аускультации выслушивается грубый шум в сердце.
Для диагностики заболевания применяется рентгенография органов грудной клетки - она показывает увеличение сердца и легочного сосудистого рисунка. Также может быть назначена электрокардиограмма, которая показывает гипертрофию желудочков. Но нужно отметить, что при небольших дефектах эти исследования не всегда показательны, показатели могут быть в норме. Ключевой метод исследования при ДМЖП - эхокардиография. Она дает исчерпывающие анатомические и гемодинамические данные и позволяет установить диагноз.
Величину дефекта определяют в сравнении с диаметром аорты. Дефекты подразделяют на большие, средние и малые. При маленьких дефектах никаких симптомов заболевания не проявляется. Большие дефекты требуют операции.
Лечение
ДМЖП встречается как самостоятельное заболевание и в составе других пороков сердца.
Единственный метод лечения данной патологии - хирургический. Раньше оперативное лечение заключалось только в пластике ДМЖП в условиях искусственного кровообращения, доступ - рассечение грудины. Сегодня при благоприятной анатомии возможно лечение эндоваскулярным методом (через бедренные сосуды) или трансвентрикулярным методом (через маленький разрез, на работающем сердце).
Дефект межжелудочковой перегородки (ДМЖП)
Дефект межжелудочковой перегородки (см. рисунок Дефект межжелудочковой перегородки Дефект межжелудочковой перегородки ) является второй наиболее распространенной врожденной аномалией сердца после двустворчатого аортального клапана Двустворчатым аортальным клапаном Двустворчатый аортальный клапан – это клапан, в котором присутствуют только две (а не три в норме) створки. Наличие двустворчатого аортального клапана является наиболее распространенной врожденной. Прочитайте дополнительные сведения , что составляет 20% всех дефектов. Он может развиться самостоятельно или вместе с другими врожденными аномалиями (например, тетрадой Фалло Тетрада Фалло Тетрада Фалло имеет 4 признака: большой дефект межжелудочковой перегородки, обструкцию выходящих из правого желудочка сосудов и стеноз клапана легочной артерии, гипертрофия правого желудочка. Прочитайте дополнительные сведения ).
Дефект межжелудочковой перегородки
Легочного кровоток и объемы левого желудочка (ЛЖ) и левого предсердия (ЛП) увеличены. Давление в предсердиях среднее. Давление в правом желудочке и сатурация O2 переменно повышенные, что прямо пропорционально величине дефекта.
АО = аорта; IVC = нижняя полая вена; LA = левое предсердие, LV = левый желудочек; PA = легочная артерия; PV = легочные вены; RА = правое предсердие; RV = правый желудочек; SVC = верхняя полая вена.
Классификация
Большинство дефектов межжелудочковой перегородки классифицируют по местоположению:
Перимембранозный (также называемый коновентрикулярным);
Подлегочнные дефекты выносящего тракта (надгребневые, коносептальные, двойной коммитированный подаортальный)
Дефекты приносящего тракта (атриовентрикулярной перегородки, по типу атриовентрикулярного канала)
Перимембранозные дефекты (70–80%) являются дефектами в мембранной перегородке, прилегающей к трехстворчатому клапану, они распространяются на варьирующееся количество окружающей мышечной ткани; наиболее распространенный тип этого дефекта происходит немного ниже аортального клапана.
Трабекулярные мышечные дефекты (5–20%) полностью окружены мышечной тканью и могут возникать в любом месте перегородки.
Дефекты субпульмонарного выброса (5–7% в США, 30% в странах Дальнего Востока) развиваются в межжелудочковой перегородке непосредственно под клапаном легочной артерии. Эти дефекты часто называют супракристальными, коносептальными или двукратно детерминированными субартериальными дефектами, они нередко связаны с пролапсом аортальных створок в дефект, что приводит к аортальной регургитации.
Впускной дефект (5–8%) граничит сверху с кольцом трехстворчатого клапана и расположен сзади от мембранозной перегородки. Эти дефекты иногда называют дефектами типа атриовентрикулярной перегородки.
Дефект смещения межжелудочковой перегородки характеризуется смещением конусного или выходного отдела перегородки. Когда конусная перегородка смещена вперед, она выступает в выводной отдел правого желудочка, часто приводя к обструкции, как это проявляется при тетраде Фалло Тетрада Фалло Тетрада Фалло имеет 4 признака: большой дефект межжелудочковой перегородки, обструкцию выходящих из правого желудочка сосудов и стеноз клапана легочной артерии, гипертрофия правого желудочка. Прочитайте дополнительные сведенияПатофизиология ДМП
Величина шунта зависит от размера дефекта и сопротивления потока (т.е. легочной обструкции выносящего сосуда и легочного сосудистого сопротивления).
При нерестриктивных дефектах межжелудочковой перегородки кровь легко проходит через большие дефекты; давление между правым и левым желудочками выравнивается, и возникает значительный шунт крови слева направо. При отсутствии стеноза легочной артерии, с течением времени большой шунт вызывает гипертензию легочной артерии Легочная гипертензия Легочная гипертензия – это повышение давления в малом круге кровообращения. В большинстве случаев она является вторичной, в некоторых случаях – идиопатической. При легочной гипертензии происходит. Прочитайте дополнительные сведения , повышение легочного сосудистого сопротивления, перегрузку давлением и гипертрофию правого желудочка. В конечном счете, повышение легочного сосудистого сопротивления вызывает смену направления шунта на обратное (из правого в левый желудочек), что приводит к синдрому Эйзенменгера Синдром Эйзенменгера Синдром Эйзенменгера является осложнением невылеченных больших интракардиальных шунтов слева-направо или шунтов от аорты к легочной артерии. Повышенное сопротивление легких может развиваться. Прочитайте дополнительные сведения .
Рестриктивные дефекты межжелудочковой перегородки, или меньшие дефекты, ограничивают приток крови и давление в правых отделах сердца. Малые дефекты межжелудочковой перегородки вызывают относительно небольшой шунт слева направо, и давление в легочной артерии нормальное или незначительно повышенное. Сердечная недостаточность, легочная гипертензия и синдром Эйзенменгера не развиваются.
Умеренные ДМЖП приводят к промежуточным проявлениям.
Симптомы и признаки ДМП
Симптомы зависят от размера дефекта и величины шунта слева-направо. Дети с небольшим дефектом межжелудочковой перегородки, как правило, не имеют симптомов и характеризуются нормальным ростом и развитием. У детей с большим дефектом симптомы сердечной недостаточности Сердечная недостаточность Врожденный порок сердца является наиболее распространенной врожденной аномалией, которая возникает у почти 1% живорожденных ( 1). Среди врожденных дефектов врожденный порок сердца является ведущей. Прочитайте дополнительные сведения (например, расстройство дыхания, плохая прибавка веса, усталость после кормления) появляются в возрасте 4–6 недель, когда легочное сосудистое сопротивление снижается. Могут возникать частые инфекции нижних дыхательных путей. В конце концов, у пациентов, не получавших лечения, могут развиться симптомы синдрома Эйзенменгера.
Результаты аускультации меняются в зависимости от размера дефекта. Малые дефекты межжелудочковой перегородки обычно производят высокие короткие систолические шумы от класса 1–2/6 (из-за крошечных дефектов, которые довольно близки в конце систолы) до класса 3–4/6 голосистолических шумов (с дрожанием грудной стенки или без него) у нижнего левого края грудины, этот шум обычно слышен в течение первых нескольких дней жизни (см. таблицу Степень выраженности сердечного шума [Heart Murmur Intensity] Интенсивность шумов сердца ). Прекардий не гиперактивный, и 2-й тон сердца (S2) обычно разделен и имеет нормальную интенсивность.
Умеренные и большие ДМЖП вызывают голосистолический шум, который присутствует в возрасте 2–3 недели; S2, как правило, узко разделен с акцентом на легочный компонент. Апикальный диастолический гул (в связи с увеличением потока через митральный клапан) и симптомы СН (например, учащенное дыхание, одышка при кормлении, задержка развития, галоп, хрипы, гепатомегалия) могут присутствовать. При умеренных ДМЖП с интенсивным потоком шум часто очень громкий и сопровождается дрожанием грудной клетки (шум 4 или 5 класса). С большими дефектами, выравнивающими давление в левом и правом желудочках, систолический шум часто ослабляется.
Дефект межжелудочковой перегородки
Существует разные вариации ДМЖП: мышечный и мембра н озный, е д иничный и множественный, изолированный и в сочетании с другими патологиями (самый частый пример — тетрада Фалло).
Причиной появления болезни считается воздействие неблагоприятных факторов на эмбрион, и, как следствие, нарушение развития плода.
Патогенетической основой болезни является патологический сброс («шунт», «шунтирование слева направо») из области с высоким давлением в область с низким давлением — в случае ДМЖП из левого желудочка в правый. Количество крови, попадающее в легочную артерию становится больше, чем в норме, появляется легочная гипертензия. Правому желудочку становится сложнее продвигать кровь через область с таким высоким давлением и он гипертрофируется. Со временем в правой половине сердца давление становится настолько высоким, что кровь через дефект начинает течь в обратном направлении — в левый желудочек («обратный шунт», «шунтирование справа налево»). В левой половине сердца превалирует кровь из правого желудочка, бедная кислородом и богатая углекислым газом, которая разносится по сосудам организма, вызывая гипоксию. Также возникает застойная сердечная недостаточность.
Клинические симптомы зависят размеров и количества дефектов. Чаще встречаются непереносимость нагрузок, апатия, отставание в росте и развитии, одышка, бледность или цианоз видимых слизистых оболочек, обмороки, аускультативно — шумы (особенно в области 2-4 межреберья близко к грудине у собак и в области грудины у кошек), аритмии.
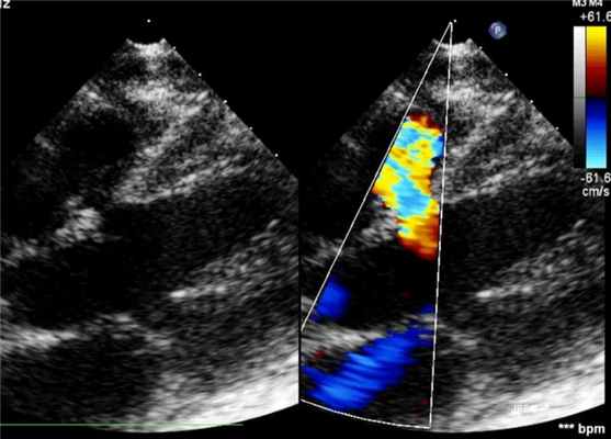
Диагноз ставят на основании результатов эхокардиографии. Определяют в В-режиме, цветном доплеровском картировании наличие, количество, размер и расположение дефектов, с помощью спектрального доплера можно определить скорость потока сквозь дефект, направление сброса и давление внутри камер сердца.

Р ис. 1 ДМЖП в В-режиме.

Рис.2 ДМЖП в В-режиме и режиме ЦДК.
В качестве дополнения можно также провести электрокардиографию и рентгенографию грудной клетки. На ЭКГ часто выявляются блокады левой и/или правой ножки пучка Гиса, АВ-блокады, или норма. На рентгеновских снимках выявляется кардиомегалия за счет левого или правого желудочка (в зависимости от прямого или обратного шунтирования).
При бессимптомном ДМЖП (единичный, небольшой размер дефекта), не вызывающем нарушения гемодинамики лечение не требуется.
Существует метод хирургического лечения — транскатетерное закрытие дефекта, а также установка бандажа на легочную артерию, предупреждающего развитие легочной гипертензии. Однако, при обратном шунтировании хирургическое лечение строго противопоказано. В качестве консервативного лечения могут использоваться диуретики, ингибиторы АПФ, селективный ингибитор цГМФ.
В случае значимых АВ-блокад необходимо также консервативное их лечение или установка кардиостимулятора.
Профилактика заболевания складывается из своевременного выявления проблемы, а также хорошие условия содержания и кормления самок до и во время беременности.
Дефект межжелудочковой перегородки
Дефект межжелудочковой перегородки (ДМЖП) – врожденный порок сердца, при котором наблюдается нарушение целостности перегородки между правым и левым желудочками. В результате кровь из одного желудочка попадает в другой и нарушает нормальную работу сердца и кровообращения в организме. Иногда перегородка отсутствует вовсе. ДМЖП образуется в результате нарушения эмбрионального развития в утробе матери. Часто заболевание сопровождается другими сердечными пороками. ДМЖП у взрослых может появиться при разрыве межжелудочковой перегородки при остром инфаркте миокарда.
Причины возникновения дефекта межжелудочковой перегородки
Как было сказано ранее, ДМЖП формируется на стадии эмбриона. Будущим мамам важно с осторожностью относиться к своему здоровью и здоровью развивающегося плода. Поэтому необходимо оградить себя и будущего ребенка от воздействия негативных факторов, таких как:
- никотин и смолы, выделяющиеся при курении;
- спиртные напитки;
- бесконтрольный прием лекарственных препаратов;
- стрессовые ситуации;
- физические нагрузки;
- воспалительные заболевания;
- преждевременные роды.
Симптомы дефекта межжелудочковой перегородки
Т.к. порог врожденный, первые симптомы могут появиться при первых днях жизни:
- отсутствие аппетита, вялое сосание с частыми перерывами;
- медленный набор веса;
- быстрая утомляемость (дети много спят);
- появление одышки;
- отечность на ногах и в области живота; .
При небольших дефектах внешние симптомы могут не проявляться и обнаруживаются только при выслушивании сердца.
Патология может не давать знать о себе до взрослого возраста. Симптоматика у зрелого человека практически такая же, как и у ребенка. Дополнительно могут быть жалобы на:
- ухудшение работоспособности;
- утомляемость.
Если вы заметили у своего ребенка или у себя схожие симптомы, обратитесь к врачу. В кардиологическом центре ФНКЦ ФМБА проводятся комплексные программы по исследованию сердца. Запишитесь на прием к кардиологу, чтобы своевременно купировать недуг и предотвратить развитие заболевания.
Диагностика
Диагностировать ДМЖП у эмбриона возможно во время беременности уже на втором-третьем триместре при проведении скрининговых УЗИ. Зная о пороке сердца, родители наперед понимают, какие обследования необходимо будет провести ребенку после рождения:
- УЗИ сердца дупплексным исследованием (исследованием кровотока);
- рентгенография грудной клетки;
- пульсоксиметрия – измерение концентрации кислорода в крови;
- МРТ сердца.
Для взрослого пациента, не знающего о своем диагнозе, врачом проводится первичный опрос и осмотр. Измеряется давление, выслушивается сердце. После сбора анамнеза выдается направление на лабораторные анализы и инструментальное исследование. К вышеперечисленным могут быть добавлены:
- ЭКГ;
- ЭХОКГ;
- катетеризация сердца – введение катетера с рентгеноконтрастным веществом.
Профилактика
Особых требований по профилактике ДМЖП нет. Врачи могут дать несколько рекомендаций беременным женщинам, чтобы предотвратить развитие заболевания у будущего ребенка:
- правильно питаться;
- избегать чрезмерных физических нагрузок;
- больше времени проводить на свежем воздухе;
- отказаться от вредных привычек;
- обращаться к врачу при любых недомоганиях и заболевания;
- не принимать самостоятельно медикаментозные препараты;
- своевременно посещать врача, контролирующего ход беременности.
При своевременном обнаружении патология легко лечится. Не теряйте ни минуты! Пройдите обследование вашего сердца, чтобы не допустить осложнений.
Лечение дефекта межжелудочковой перегородки
При обнаружении дефекта межжелудочковой перегородки у эмбриона, лечение могут отложить до года, т.к. есть вероятность, что нарушение пройдет самостоятельно. В остальных случаях необходимо лечение.
В кардиологическом центре ФНКЦ ФМБА лечение ДМЖП у взрослых (старше 18 лет) проводится с помощью медикаментозных препаратов или с помощью хирургического вмешательства. Медикаментозное лечение может проводиться амбулаторно либо под присмотром специалистов в терапевтическом отделении нашего центра. Назначение препаратов зависит от степени поражения перегородки и от наличия сопутствующих недугов. Это могут быть бета-блокаторы, препараты снижающие нагрузку на сердце. Перечень препаратов и их дозировку определяет строго лечащий врач-кардиолог.
Радикально устранить ДМЖП можно хирургическим путем. Наиболее безопасной и малотравматичной считают эндоваскулярную коррекцию. Через катетер к сердечной мышце проводят специальное приспособление (окклюдер), которое перекрывает место нарушения заплаткой, со временем дефект зарастает. После проведения коррекции пациента переводят в отделение интенсивной терапии на 24 часа для наблюдения, на следующий день отпускают домой. Постоперационной реабилитации не требуется - быстрое восстановление и возвращение к обычной жизни.
Второй метод – пластика дефекта. Операция проводится на открытом сердце с помощью вскрытия грудной клетки. Перед началом процедуры пациента подключают к аппарату искусственного кровообращения. Сердце разрезают и дефект ушивают дефект с помощью заплаты из искусственной или собственного перикарда, который фиксируют швами по краям дефекта. Метод более травматичный и требует более длительной реабилитации около месяца. Если ДМЖП произошло в остром периоде инфаркта миокарда, то хирургическое лечение проводят или в первые же сутки или в подостром периоде, что более безопасно.
Читайте также:
