Безболезненная опухоль мошонки
Добавил пользователь Владимир З. Обновлено: 23.11.2025
Опухоль яичка – образование, сформированное из соединительной или эпителиальной ткани яичка. Такие новообразования преимущественно имеют злокачественную природу и чаще всего возникают у сексуально активных молодых мужчин (15-40 лет). В урологическом центре GMS Hospital осуществляются успешные операции по удалению опухолей яичек. Комплексное лечение также предусматривает проведение лучевой, иммунной и химиотерапии.
Подробнее о болезни
Яички (текстикулы) — парные мужские гонады, состоящие из различных по структуре тканей. В зависимости от типа ткани, из которой сформировалось новообразование, их подразделяют на:
- герминогенные (наиболее часто встречающиеся) — возникают из эмбриональных клеток половых желез (семинома, терабластома, хорионэпителиома, эмбриональный рак);
- стромальные — новообразования стромы полового тяжа (сертолиома, лейдигома, саркома);
- другие опухоли.
Более 95% от всех опухолей составляют герминогенные образования, из них 50% занимают семиномы, другие типы новообразований встречаются значительно реже. Нередко встречаются опухоли смешанного строения.
Почему нужна операция
Любой опухолевый процесс — это нетипичное разрастание клеток, подвергшихся мутации. Эффективных консервативных методов лечения опухолей яичка не существует. Удалить новообразование можно лишь оперативным путем.
Преимущества лечения опухоли яичек в GMS Hospital
Онкоурологи центра хирургии GMS досконально владеют всеми современными хирургическими техниками, отдавая предпочтение малотравматичным. Наши специалисты ставят перед собой задачу не только устранить злокачественный процесс, а максимально сохранить при этом детородную функцию пациента. Даже самые радикальные операции мы выполняем в наиболее щадящем режиме, с минимальным травмированием здоровых тканей.
Применение современных методов комбинированного лечения обеспечивает высокие онкологические результаты даже при метастатическом раке яичка и у большинства пациентов позволяет быстро вернуться к обычному образу жизни.
с ведущими российскими и зарубежными медицинскими учреждениями
и передовые методики диагностики и лечения
Причины болезни
К основным предрасполагающим к заболеванию факторам относятся:
- раследственность;
- аномалии развития (крипторхизм — неопущение яичек в мошонку);
- травмы текстикул;
- гормональный дисбаланс;
- синдром Кляйнфельтера.
Признаки и симптомы
Появление в мошонке небольшого, эластичного, безболезненного образования может быть первым признаком болезни, который должен стать поводом для обращения ко врачу. Важно понимать, что на начальных стадиях, болезнь себя практически ничем не проявляет. Клинические симптомы возникают уже при разрастании опухоли и/или переходе злокачественного процесса на семенной канатик.
Нужно срочно идти на консультацию к онкоурологу при появлении следующих симптомов:
- увеличение одного или обоих яичек в размере;
- появление на поверхности текстикул уплотнения, узелка;
- припухлость и покраснение мошонки;
- дискомфорт при ходьбе.
Раковая опухоль в запущенной стадии сопровождается сильной слабостью, тошнотой, резким снижением массы тела, потерей аппетита и другими неспецифическими симптомами.
Диагностика
Для обнаружения новообразований яичек применяется дифференциальная диагностика, включающая:
- осмотр онкоуролога;
- анализы крови, в том числе на онкомаркеры: , (АФП) и лактатдегидраназу (ЛДГ);
- анализы мочи;
- УЗИ, КТ, МРТ мошонки, органов брюшной полости и забрюшинного пространства;
- редко — пункционную биопсию органа.
При наличии показаний выполняется рентген или КТ легких, сцинтиграфия и ряд других исследований. Опухолевые поражения яичек дифференцируют от водянки оболочек яичка (гидроцеле), острого и хронического орхита, эпидидимита.
Какие методы лечения применяются
Заболевание предполагает комплексное лечение, включающее хирургическое вмешательство, лучевую и химиотерапию. Медикаментозное лечение при такой патологии не проводят, поскольку никакого результата оно не дает.
Хирургическое лечение опухоли яичек в центре хирургии клиники GMS выполняется с применением наиболее результативных техник, позволяющих тотально иссечь патологически измененные ткани, исключая возможность дальнейшего распространения злокачественного процесса. Для этого наши специалисты выполняют следующие операции:
- Орхофуникулэктомия — стандартное вмешательство при новообразованиях мужских половых желез. Операция осуществляется под общей анестезией, через паховый доступ. Врач иссекает текстикул единым комплексом с придатком и семенным канатиком. Удаленные ткани отправляются на гистологическое исследование. При агрессивных формах рака или более запущенных стадиях, операция дополняется забрюшинной лимфаденэктомией.
- Резекция яичка — малотравматичная операция, выполняющаяся при доброкачественных новообразованиях или при злокачественном поражении единственного яичка. В этом случае, хирург удаляет лишь поврежденные ткани, а для предупреждения распространения злокачественного процесса проводится химиотерапия.
Оперативное лечение у подавляющего большинства пациентов с опухолью яичка заключается в хирургическом удалении яичка и семенного канатика. По желанию пациента одновременно может быть выполнена имплантация протеза яичка.
Пациентам, планирующим впоследствии решение репродуктивных задач, накануне операции целесообразна криопрезервация спермы, так как все методы лечения опухоли яичка сопряжены с риском временного или постоянного снижения фертильности.
При наличии факторов риска или выявлении отдаленных метастазов, обязательно проведение химиотерапии. Дозировка, комбинация химиотерапевтических средств и продолжительность лечения определяются . В некоторых случаях также показано проведение лучевой терапии.
Современные методы лечения опухолей яичек обладают высокой эффективностью и, при своевременном и правильном использовании, позволяют излечить пациента даже при метастатических формах рака.
Отек мошонки
Отек мошонки с одной или обеих сторон может быть симптомом заболевания мочевыводящих путей. Отек может быть небольшим и обнаруживаться только при тщательной пальпации мошонки или может быть очень большим и легко заметным. Некоторые расстройства, вызывающие отек мошонки, также являются причиной боли в мошонке.
Отек (скопление избыточной жидкости в организме)
Признаки: Отек, который как губка на ощупь. возникает с обеих сторон мошонки. остается вдавленным после нажатия и отпускания, часто у мужчин с отеком в ногах и иногда в области живота. У мужчин с сердечной недостаточностью, тяжелыми нарушениями печени или почек.
Гематоцеле (скопление крови в мошонке)
Признаки: Отек, который является болезненным и чувствительным, развивается после травмы.
Водянка яичка или гидроцеле (скопление жидкости в мошонке)
Признаки: Отек, который является мягким на ощупь, не исчезает в положении лежа, нельзя втолкнуть назад в брюшную полость.
Паховая грыжа (грыжа в паху)
Признаки: Обычно у мужчин с безболезненной выпуклостью в паху, сохраняющейся в течение длительного времени, часто у тех, у кого уже есть грыжа. Припухлость, которая является мягкой на ощупь и похожа на воздушный шар, часто может прощупываться над мошонкой, обычно увеличивается в положении стоя или при увеличении давления в брюшной полости. Иногда исчезает в положении лежа, может быть вдавлена обратно в брюшную полость. Иногда сопровождается болью, которая развивается постепенно или возникает внезапно, чаще всего в тех случаях, когда припухлость невозможно вдавить обратно в брюшную полость.
Лимфатический отек (скопление лимфатической жидкости врожденный или в связи с инфекционным заболеванием, вызванном укусами тропических насекомых)
Признаки: Эластичный отек всей мошонки. При нажатии на эту область ямка не остается.
Сперматоцеле (киста в придатке яичка)
Признаки: Твердое уплотнение в верхней части яичка.
Рак яичка
Признаки: Твердое уплотнение, прикрепленное к яичку или являющееся частью яичка. Возможна тупая ноющая боль или, в случае кровотечения из опухоли, внезапная острая боль.
Варикоцеле (расширение вен, по которым осуществляется отток крови от яичка)
Признаки: Отек, который воспринимается на ощупь как мешочек с червями, обычно появляется с левой стороны. Возможна боль и ощущение припухлости в положении стоя. Возможно усохшее яичко (атрофия яичек).
Настораживающие признаки (причина для беспокойства):
- твердое уплотнение, прикрепленное к яичку или являющееся частью яичка;
- шарообразная выпуклость, выступающая из живота в мошонку, которую невозможно вдавить обратно.
Когда обратиться к врачу?
- Мужчина с шарообразным отеком, выступающим из живота в мошонку, который невозможно вдавить обратно, может иметь паховую грыжу, которая была ущемлена в мошонке. В таком случае следует немедленно обратиться к врачу.
- Если безболезненный отек вдруг становится болезненным, также следует сразу же обратиться к врачу, так как причиной может быть паховая грыжа, которая была ущемлена, и кровоснабжение прекратилось (ущемленная грыжа).
- В остальных случаях следует записаться на прием к врачу при первой возможности. Задержка на неделю вреда не причинит.
Опрос и осмотр
Сначала врач задает вопросы о симптомах, уточняя следующую информацию:
- в течение какого срока присутствует отек;
- есть ли какие-либо изменения в отеке в положении стоя или лежа, или при увеличении давления в брюшной полости (при кашле или подъеме тяжести);
- об истории болезни (отек, связанный с сердечной недостаточностью или печеночной недостаточностью).
Данные, полученные при сборе анамнеза и осмотра, часто указывают на причину отека и на исследования, которые могут потребоваться.
Обследование
- различные анализы крови;
- ультразвуковое исследование;
- компьютерную томографию (КТ) брюшной полости, таза и грудной клетки.
Лечение
Наиболее эффективным лечением отека мошонки является устранение причины отека. В этом случае врач может назначить:
Опухоль яичка

Опухоли яичка – новообразования, поражающие мужские половые железы. Это достаточно редкая патология – составляет лишь 1-2% злокачественных опухолей у мужчин.
О заболевании
Опухоли яичка чаще обнаруживаются у мужчин возрастом 30-40 лет. В 90% случаев они имеют злокачественную природу, однако каждое 10-е новообразование является доброкачественным.
Основу опухолей данной локализации, как правило, составляют герминогенные клетки и стромальная ткань яичка. Для опухолей семенников характерен быстрый рост – некоторые из них способны увеличиваться вдвое на протяжении всего 1 месяца.
Классификация опухолей яичка
Раковые опухоли семенников различают по морфологическому типу клеток, из которых они происходят:
- герминомные (семиномные, несеминомные, эмбриональный рак, опухоли желточного мешка, хориокарцинома, тератома);
- стромальные (опухоли клеток Лейдига, Сертоли, гранулезноклеточные, фиброзные, гонадобластомы);
- смешанные опухоли неспецифической природы (эпителиальные, собирательных протоков, стромы).
Развиваются они в три стадии:
- Образование локализовано в мошонке, признаков метастазирования нет.
- Атипичные клетки распространяются в забрюшинные лимфатические узлы.
- В отдаленных органах обнаруживаются дочерние опухоли – метастазы.
Международная классификация TNM отражает локализацию основной опухоли, степень вовлеченности регионарных лимфатических узлов, поражение отдаленных лимфоузлов и внутренних органов. TNM-критерии расшифровываются следующим образом:
- T1 – образование затрагивает яичко, придаток, белковую оболочку;
- T2 – опухоль прорастает во влагалищную оболочку;
- T3 – в патологический процесс вовлечен семенной канатик;
- T4 – поражены ткани мошонки;
- N1 – обнаруживаются мелкие метастазы в региональных лимфатических узлах;
- N2 – имеются крупные (до 50 мм) метастазы в региональных лимфоузлах;
- N3 – в региональных лимфоузлах локализуются метастазы диаметром более 50 мм;
- M1a – очаги опухоли выявляются в отдаленных лимфоузлах и органах дыхания;
M1b – новообразование прорастает в другие органы.
Симптомы опухоли яичка
На начальных этапах развития опухоли яичек у мужчин проявляются местной симптоматикой. Ранним признаком является появление в мошонке безболезненного, округлой формы уплотнения. Иногда пациенты отмечают наличие дискомфорта, тяжести, тупой ноющей боли в надлобковой области и пояснице. По мере роста опухоли возникают все более интенсивные болезненные ощущения в мошонке, становится заметна ее асимметрия.
Некоторые новообразования приводят к гормональным нарушениям: набуханию груди, изменению тембра голоса, снижению либидо, эректильной дисфункции, импотенции.
Системные проявления опухолей яичка представлены симптомами раковой интоксикации: стойким повышением температуры тела до субфебрильных значений, слабостью, утомляемостью, снижением аппетита, тошнотой, рвотой.
Если новообразование метастазировало в лимфоузлы, брюшную полость, почки, легкие, пациент предъявляет жалобы на кашель, одышку, отеки, вздутие кишечника, боли в животе, повышение артериального давления.
Причины
Причины опухолей яичка точно не известны. Повышают вероятность их развития такие факторы:
- Наследственность. Вероятность развития злокачественной опухоли гонад выше у мужчин, близкие родственники которых страдали этой патологией.
- Онкопатология любой локализации в анамнезе. Особенно высок риск у мужчин, ранее перенесших опухоль одного из яичек. Чтобы своевременно выявить рецидив, пациентам, которые успешно прошли лечение, следует регулярно проходить осмотры у врача.
- Крипторхизм. У мужчин с не опустившимися в мошонку яичками риск развития рака этих органов повышается в 10 раз. Хирургическая коррекция такого состояния не снижает вероятности возникновения опухоли, что указывает на эмбриональное происхождение большинства новообразований яичек.
Менее значимыми факторами риска являются:
- бесплодие;
- малый размер яичек, измененная их консистенция (слишком рыхлая или уплотненная);
- рубцовые деформации мошонки, возникшие после травм или воспалительных заболеваний;
Конституциональные особенности пациентов с подобными заболеваниями указывают на склонность к онкологии яичек худых и высоких мужчин, причем среди европейцев заболеваемость ей выше, чем у представителей других рас.
Получить консультацию
Если у Вас наблюдаются подобные симптомы, советуем записаться на прием к врачу. Своевременная консультация предупредит негативные последствия для вашего здоровья.
Узнать подробности о заболевании, цены на лечение и записаться на консультацию к специалисту Вы можете по телефону:

Почему «СМ-Клиника»?
Диагностика опухолей яичка
Определение природы опухолей яичка начинается с консультации уролога. Врач опрашивает пациента – собирает жалобы и анамнез. Специалисту необходимо сообщить о перенесенном крипторхизме, травмах мошонки, других серьезных заболеваниях (особенно – об онкопатологии иной локализации).
Следующий этап диагностики – объективное обследование:
- визуальный осмотр (будет заметна асимметрия мошонки, а может, и само новообразование);
- пальпация яичек (врач оценивает размеры, консистенцию гонад, эластичность, структуру и степень болезненности уплотнения);
- диафаноскопия (специалист просвечивает мошонку для дифференциации раковой опухоли от кисты, сперматоцеле, гидроцеле);
- пальпация поверхностных лимфатических узлов.
Лабораторное обследование включает анализы крови и мочи. С целью подтверждения рака яичек назначают тесты на онкомаркеры. Опухоли гонад провоцируют повышение уровня альфа-фетопротеина, лактатдегидрогеназы, хорионического гонадотропина, плацентарной щелочной фосфатазы. Значительное увеличение этих показателей наблюдается почти у половины больных. Нормальный уровень маркеров не является гарантией, что рака нет.
Инструментальное обследование включает:
- УЗИ мошонки (позволяет обнаружить новообразование, оценить его размеры, структуру, степень инвазии в ткани яичка);
- МРТ мошонки.
При подозрении на метастазирование опухоли для выявления вторичных очагов проводят рентгенографию, КТ, МРТ, УЗИ внутренних органов.
В постановке окончательного диагноза поможет биопсия. Материал для исследования берут во время диагностической открытой операции через паховый доступ, в экстренном порядке проводят гистологическое исследование полученного образца тканей. И только после того, как результаты анализа готовы, врачи принимают решение о тактике хирургического лечения и целесообразности применения иных методов терапии.
Мнение эксперта
Своевременно обнаружить патологический процесс в семенниках и обратиться за помощью помогает самостоятельный осмотр половых органов – его необходимо проводить каждому мужчине ежемесячно. Самодиагностика начинается с визуальной оценки состояния мошонки. Стоит насторожиться при выявлении чрезмерной асимметрии, участков покраснения, отечности. От осмотра следует перейти к пальпаторному исследованию: тщательно, со всех сторон прощупать яички и мошонку. Если будут выявлены уплотнения, изменение консистенции гонад, участки болезненности, необходимо срочно обратиться к урологу.
Лечение
Опухоли яичка у мужчин требуют комплексного подхода в лечении. Основной этап – хирургическая операция, при которой пораженную гонаду удаляют вместе с семенным канатиком. Радикальные меры неизбежны, поскольку риск распространения атипичных клеток крайне высок и часто возникают рецидивы заболевания. Операцию обычно дополняют химиотерапией или облучением.
Хирургическое лечение
Операция по удалению яичка с семенным канатиком – орхифуникулоэктомия – признана наиболее эффективным способом лечения злокачественных поражений гонад. При необходимости выполняют резекцию близких по расположению лимфатических структур.
При двустороннем распространении новообразования сохранение гонад, как правило, невозможно.
Если детородная функция пациента не реализована, перед началом лечения рака яичка ему рекомендована процедура криоконсервации спермы. Сохранившийся семенной материал в будущем может быть использован для искусственного оплодотворения.
Консервативное лечение
Если опухоль крупная, еще до операции пациенту может быть назначен курс химиотерапии – это поможет уменьшить размеры новообразования. В большинстве случаев облучение и химиотерапевтические препараты применяют после хирургического вмешательства, чтобы устранить остаточные клетки опухоли.
Основное лечение, вероятно, приведет к дефициту в организме пациента половых гормонов – чтобы его восполнить, мужчине будет назначена гормональная заместительная терапия.
Опухоли яичек
Этот вид опухолей встречается достаточно редко (около 1% всех онкологических заболеваний). Частота возникновения примерно 20- 25 на 1 млн мужчин, типичный возраст при котором наиболее часто выявляются опухоли яичек - 20-35 лет. Это одна из самых "молодых" опухолей.
Происхождение и анатомические особенности.
Яички относятся к внешним половым органам и располагаются обычно в специальном кожном образовании (мошонке), куда они опускаются из брюшной полости плода в конце беременности. Функция яичек связана с производством сперматозоидов и половых гормонов. Образованные сперматозоиды посредством системы тонких каналов (семявыносящих протоков) попадают в находящиеся позади яичек придатки, затем через паховый канал достигают предстательную железу, откуда, при эякуляции, выносятся в мочеиспускательный канал и далее, через отверстие мочеиспускательного канала наружу.
В яичке находятся различные виды клеток, у каждого из которых есть определенная задача. Например, продукция половых клеток (сперматозоидов) или половых гормонов. К тому же яичко окружено большим количеством соединительно-тканных оболочек, выполняющих защитно-барьерную функцию. Это разнообразие клеточного состава играет определенную роль в развитии раковой опухоли яичек, так как любой вид ткани может стать источником ракового перерождения клеток. Распределение по типу клеток лежит в основе классификации опухолей яичка.
Классификация.
В зависимости от ткани из которой появляется опухоль, онкологические заболевания яичка подразделяются на:
герминогенные опухоли (95%), т.е. опухоли происходящие из незрелых половых клеток и эпителия, выстилающего семенные протоки;
негерминогенные, исходящие из клеток, продуцирующих гормоны, и из соединительнотканных оболочек яичка (5%).
Из так называемых герминогенных опухолей выделяют: семиномы (40%) и несеминомы (эмбриональный рак, тератома, хорионэпителиома, опухоль желточного мешка). Семиномы чаще обнаруживают у лиц старше 30 лет, несеминомы - от 20 до 36 лет.
Опухоли яичка - это чаще всего злокачественные (раковые) образования. Среди злокачественных опухолей яичка в 95% случаев обнаруживаются эмбриональные опухоли (тератомы и др.). Основную проблему в плане прогноза для жизни составляет рак яичек, именно поэтому речь в дальнейшем пойдет о злокачественных новообразованиях.
Причины развития рака яичка.
Причины возникновения опухолей яичка до конца не ясны, но существуют факторы, при которых риск развития рака яичек значительно увеличивается:
Kрипторхизм - состояние, когда в ходе внутриутробного развития или первых месяцев жизни яичко не опускается в мошонку, оставаясь в брюшной полости или в паховом канале. Очевидной причиной опухолевого перерождения клеток является нарушение температурного режима и кровоснабжения яичек. При крипторхизме рак встречается в 10 раз чаще, причем особенно высок риск у больных с оставшимися в брюшной полости яичками.
Факторы, приводящие к атрофии яичка: химические агенты, травмы, идиопатическая атрофия яичка, инфекционные заболевания.
Генетические факторы: родство увеличивает заболеваемость в 2-4 раза. Бесплодие, наличие синдрома Клайнфельтера, недоразвитие яичек.
Чем опасна раковая опухоль яичек.
Рак яичка характеризуется ранним метастазированием, чаще всего в забрюшинные лимфатические узлы, реже в легкие, печень, внутригрудные лимфатические узлы, головной мозг, почки. Это особенно опасно в связи с тем, что на ранних стадиях рак яичка может ничем себя не проявлять, и первичный источник опухоли – яички, выявляется уже после развития метастазов.
Это одна из самых "молодых" опухолей, поэтому важную роль играет социальный фактор. Заболеванию подвергается самый социально активный слой мужского населения. Смертность от опухолей яичка за последние десятилетия снизилась благодаря внедрению в клиническую практику эффективных схем химиотерапии, основанных на цисплатине, а также совершенствованием методов облучения, выявлением опухолевых маркеров и появлением новых методов диагностики. В результате этого рак яичка был признан излечимой опухолью с частотой полного излечения, достигающей 90%. С начала 70-х до начала 90-х годов показатель смертности от опухолей яичка на 100 тыс. мужского населения в Европе упал с 1,2 до 0,3%.
Симптомы.
Проблема состоит в том, что нет специфических, характерных только для этого заболевания симптомов. Часто рак яичек очень долго никак себя не проявляет. Иногда, при определенном размере опухоли, пациент может сам обнаружить безболезненное уплотнение яичка, что заставляет его обратиться к врачу. По мере развития опухоли может присоединяться чувство тяжести в мошонке, боль и увеличение размеров яичка.
Примерно в 10 процентах случаев первые проявления связаны с появлением отдаленных метастазов. Основная симптоматика связана с метастазированием в забрюшинные лимфатические узлы, что приводит к появлению мучительных тянущих болей в пояснице. Метастазы в легких проявляются кашлем, в некоторых случаях кровохарканьем. Нередко наблюдается гинекомастия (увеличение молочных желез в результате нарушения гормонального фона).
Опухоли яичка иногда метастазируют в головной мозг, вызывая изменения психики, нарушения неврологического характера (парезы, параличи). При метастазах опухолей яичка в кости возникает болевой синдром и переломы.
Диагностика.
Диагностика опухолей яичка основывается на данных опроса, осмотра пациента, осмотра и ощупывания мошонки, а также возможных зон метастазирования опухоли. Проводят ультразвуковое исследование органов брюшной полости, при котором исключают или подтверждают наличие метастазов во внутренних органах, а также лимфатических узлах забрюшинного пространства. Проводится ультразвуковое исследование и самого яичка, что позволяет нередко определить связь опухоли с другими образованиями мошонки. Производят рентгенографию легких для исключения или подтверждения наличия метастазов в легкие. В настоящее время для диагностики нередко используется компьютерная томография и МРТ.
Диагностике опухолей яичка помогает анализ крови на специфические опухолевые маркеры (специфические вещества, которые появляются или содержание их увеличивается при развитии опухоли. Так, используется анализ крови на альфа-фетопротеин (АФП), хорионический гонадотропин, лактатдегидрогеназу. Повышенные уровни этих веществ в крови говорят о вероятном наличии рака яичка. Эти же анализы используются после излечения для контроля над опухолью, а также своевременного выявления рецидива.
Лечение.
При злокачественных опухолях яичка производится комплексное лечение с включением хирургических, лекарственных и радиологических приемов. Перед началом лечения стоит обговорить возможность консервации спермы пациента. Заготовленные половые клетки могут быть использованы в будущем для искусственного оплодотворения, если в результате химио- или лучевой терапии будет утрачена способность к оплодотворению.
Оперативное вмешательство необходимо практически во всех случаях, поскольку оно позволяет установить разновидность опухоли и сразу определить объем операции и дальнейшего лечения. При подтверждении диагноза - рак яичек, производится удаление одного или, в зависимости от ситуации, обоих яичек. Также, при далеко зашедших стадиях, удаляются близлежащие лимфоузлы. Лучевая терапия уже долгое время с успехом используется при раке яичек. Раковые клетки наиболее восприимчивы к радиоактивному излучению, так как они имеют очень высокую активность деления. Как уже сказано выше, внедрение химиопрепарата цисплатина значительно улучшило результаты лечения.
Самым эффективным можно считать сочетание всех трех видов лечения. Эффективная комбинация оперативного лечения, химио- и лучевой терапии позволила навсегда вычеркнуть рак яичка из списка неизлечимых заболеваний.
Профилактика и прогноз.
После операции в первые два года, когда наиболее вероятно появление рецидива заболевания, необходимо каждые полгода проходить обследование у специалиста уролога.
Профилактика злокачественных опухолей яичка затрагивает, в первую очередь, проблему своевременного выявления и лечения крипторхизма - низведения в мошонку или удаление неполноценного яичка. Прочие пути профилактики касаются предотвращения травм мошонки, диспансеризации, уменьшения радиационного фона, производственных вредностей и экологии.
Необходимо сразу обратиться к врачу в случае, если:
От чего бывает отек мошонки и что делать, если опухло яичко у мужчины

Отек мошонки может возникнуть внезапно или развиваться постепенно. В статье расскажем, почему он возникает и по каким признакам распознать опасные заболевания.
Причины, почему опухают яички у мужчин
Увеличение мошонки может быть вызвано скоплением лимфы, крови, образованием кист, грыж и опухолей. Группа состояний, сопровождающихся выпотом воспалительной жидкости, объединена термином «синдром отечной мошонки». Ниже мы разберем наиболее частые причины таких состояний.
После операций
Отек мошонки почти всегда возникает после операции по удалению паховой грыжи, варикоцеле, гидроцеле. В ходе оперативного вмешательства повреждаются лимфоузлы, кровеносные и лимфатические сосуды, капилляры. После ушивания раны они еще некоторое время «сочатся», в результате чего в мошонке скапливается лимфа или кровь. Гематома через некоторое время спадает, но необходимо наблюдение врача во избежание ее нагноения.
Отек мошонки и полового члена также может возникнуть после операции на почках и простате. Причина в травматизации тканей и удалении части тазовых лимфоузлов. Отток лимфы нарушается и возникает отек, который держится от 2 до 5 недель. Проблема актуальна для мужчин в пожилом возрасте, которые перенесли простатэктомию.
После удара
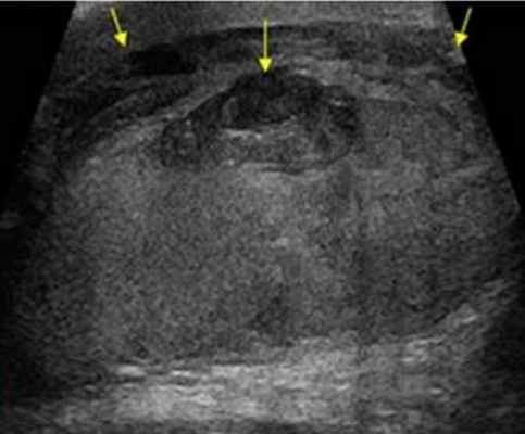
При травматическом повреждении яичка лопаются сосуды, вследствие чего образуется гематоцеле – ограниченное кровоизлияние между оболочками яичка. Гематома может возникнуть также под кожей мошонки, на семенном канатике. Кроме отека, характерна болезненность, кровоподтек.

УЗИ после травмы мошонки: гематоцеле по краям, кровоизлияние в тело яичка в центре
Аллергический отек мошонки
Аллергический отек возникает внезапно, чаще с двух сторон мошонки. Такая опухоль редко бывает изолированной, обычно переходит на лобок и член. Основные признаки:
- Общее состояние удовлетворительно.
- Возможно повышение температуры до 37˚С.
- Сверху мошонка болезненна, иногда ощущается зуд.
- В первые часы отек увеличивается, капилляры сдавливаются, кожа бледнеет.
Через сутки аллергия отступает, мошонка приходит в норму.
При гидроцеле
Гидроцеле представляет собой скопление жидкости между окружающими яичко оболочками. Возникает после травмы, операции, воспаления, повреждения лимфатических сосудов. Может быть врожденным. Если нет инфицирования, то особого дискомфорта такое образование не доставляет. В ряде случаев гидроцеле становится напряженным, сдавливает окружающие ткани, тогда возникает тянущая боль.

После лучевой терапии
Увеличение мошонки наблюдается после облучения органов малого таза. Воздействие радиации повреждает лимфатические сосуды, отток лимфы нарушается, формируется стойкий отек. Это одно из частых последствий лучевой терапии. Кроме того, может возникнуть кашель, одышка, дерматит, тошнота, рвота, боль.
При перекруте
Перекрут ножки яичка является острым состоянием, требующим немедленного хирургического вмешательства. В течение 6 часов из-за недостатка питания произойдут необратимые изменения в тканях. Причиной перекрута обычно являют прыжки, резкие движения.

- Острая боль в мошонке.
- Усиленное сердцебиение.
- Тошнота.
- Обильное потоотделение.
От воздержания
От длительного отсутствия секса яички не опухают, поскольку в них предусмотрен механизм утилизации невостребованных сперматозоидов. Возможно небольшое увеличение тестикул в объеме и легкая болезненность в случаях, когда мужчина физически тяжело переживает отсутствие половых отношений. Если мошонка отекла, то необходима врачебная диагностика.
При варикоцеле
При варикоцеле отек формируется преимущественно в верхней части мошонки, причем в основном слева. Кожа сверху сморщенная, волнистая. При напряжении видно выпячивающиеся вены. Симптомы: тяжесть в мошонке, дискомфорт при ходьбе. Запущенное варикоцеле может спровоцировать нарушение питания яичка и его атрофию.

При сердечной недостаточности
Отечность на фоне сердечной недостаточности возникает из-за нарушения насосной функции сердца. Его правый желудочек не способен качественно перегонять кровь по большому кругу, из-за чего она задерживается в сосудах, через их стенки жидкость сочится в окружающие ткани. Чаще всего страдают нижние конечности, но в ряде случаев отек поднимается и до мошонки.
Признаки сердечного отека:
- Безболезненный.
- Плотный.
- Синеватый оттенок кожи.
- Нарастает к вечеру.
- Симметричный.
О сердечной недостаточности свидетельствуют аритмия, повышенная утомляемость, давление за грудиной, синюшность носогубного треугольника.
При простатите
Отечность мошонки при простатите означает, что инфекция из предстательной железы перешла в одно или оба яичка. В результате чего они воспалились, опухли, отсюда и увеличение мошонки. Характерных для острого орхита и эпидидимита болей и повышения температуры при этом может не быть. Сопутствующими признаками могут быть болезненное и учащенное мочеиспускание, ноющая боль внизу живота.


От перевозбуждения
Мошонка становится болезненной и плотной в случаях, когда нет возможности реализовать сексуальное возбуждение. Кровь обильно приливает к половым органам, сосуды и ткани расширяются, возникает небольшой отек и дискомфорт. Самый простой способ избавиться от этого – мастурбировать с эякуляцией. В противном случае придется ждать.
После секса
Отек мошонки через некоторое время после секса может возникнуть из-за травмы и воспаления яичка. Из дополнительных признаков возможны красные нити, сгустки крови в сперме и моче. Боль присутствует не всегда. Наиболее серьезный вариант – это перекрут яичка. Безобидный отек может появиться после долгого и интенсивного секса.
Эякуляция может спровоцировать отечность мошонки, если за 10-14 дней до нее была выполнена операция по удалению варикоцеле, грыжи, гидроцеле.
При опухоли
Опухоль на ощупь плотная, твердая, спаянная с окружающими тканями. Ее нельзя обхватить, как кисту. При ощупывании яичко и его придаток слиты в единый конгломерат, границы смазаны. Мошонка становится асимметричной, развивается гидроцеле. Иногда опухоль проявляет себя постоянными тупыми болями в яичке.

От переохлаждения
Переохлаждение провоцирует резкое снижение местного тканевого иммунитета. Паховая гипотермия может стать катализатором для активизации скрытых инфекций. В результате через несколько часов развивается воспаление яичка, которое сопровождается его увеличением. Соответственно и мошонка выглядит отечной с одной или двух сторон. При этом возможны боли при мочеиспускании, слизистые выделения из уретры, болезненность яичка.
При цистите
Увеличение мошонки при цистите спровоцировано миграцией инфекции из мочевого пузыря в яички и последующим развитием их воспаления. Схема заражения такая же, как и при уретрите, простатите, пиелонефрите.
Перекрут гидатид
Гидатиды – это остатки Вольфова и Мюллерова протоков, которые в процессе эмбрионального развития в норме должны полностью деградировать, но в ряде случаев этого не происходит. В результате на яичке и его придатке образуются мелкие кисты, ножки которых иногда перекручиваются.

При перекруте гидатиды возникает сильная боль в левой или правой части мошонки, она краснеет и отекает. Отек вскоре спадает, под кожей просматривается багряное или синюшное образование размером с фасоль. Без хирургического удаления разовьется обширное воспаление.
При паховой грыже
Увеличение мошонки при паховой грыже происходит при опускании части кишки через паховый канал. Это мягкое безболезненное образование. В положении лежа иногда вправляется самостоятельно, затем снова выходит. Грыжа может сдавить семенной канатик или яичко. Наиболее опасным осложнением является ущемление грыжи и некроз части кишки.
При орхите и эпидидимите
При остром воспалении яичко увеличивается в размере, твердеет, становится болезненно садиться. Мошонка краснеет, отекает, ее поверхность становится глянцевой. Если опухло правое яичко, увеличивается правая часть мошонки, соответственно при воспалении левого отек локализуется слева.

Увеличение размеров яичка при орхите
При эпидидимите можно нащупать увеличившийся болезненный придаток в верхней части мошонки.
При наличии кисты
Киста яичка чаще всего образуется в области придатка. При достижении значительных размеров она выпячивается под кожей мошонки. Невоспаленная киста мягкая, безболезненная.
О причинах и симптомах кисты придатка яичка рассказывает врач-иммунолог Ермаков Георгий Александрович
При упражнениях Кегеля
Иногда припухлость мошонки возникает после длительных поездок на велосипеде, за рулем. Причина в данном случае заключается в нарушении крово- и лимфотока.
Диагностика
К какому врачу обращаться: к урологу, хирургу.
Основным методом диагностики является УЗИ мошонки. При необходимости его выполняют с допплерографией, чтобы проверить кровоснабжение новообразования. В ряде случаев достаточно диафаноскопии. В ходе этой процедуры мошонку просвечивают лучом яркого света. По степени его прохождения через опухоль судят о ее содержимом. Таким образом можно отличить кисту от грыжи.
Из лабораторных исследований назначают анализ и бакпосев мочи. Анализ крови информативен в основном при новообразованиях яичек.
Что делать, если опухли яички
Что прикладывать на отек: при перекруте или травме до обращения к врачу следует приложить к мошонке холод. Это позволит дольше сохранить жизнеспособность тканей. Можно достать из морозилки продукт, завернуть его в полотенце и приложить к мошонке. Важно исключить физические нагрузки. Снять боль и воспаление помогут нестероидные противовоспалительные препараты: «Ибупрофен», «Нурофен».
При орхите и эпидидимите первичный отек также снимают при помощи противовоспалительных, а затем проводят курс лечения антибиотиками.
Аллергический отек обычно проходит сам через 1-2 дня. Для ускорения процесса можно принять таблетку «Тавегила» или «Супрастина».

Супрастин помогает не только против аллергии, но и оказывает успокаивающее, снотворное, противозудное действие. Цена от 150 рублей
При перекруте, ущемленной грыже, остром нагноении требуется срочная операция. Плановые хирургические вмешательства проводят при неущемленной грыже, варикоцеле, гидроцеле, семенных и дермоидных кистах, опухолях.
Народные средства
Лечить отек мошонки в домашних условиях опасно. Приведенные ниже способы можно применять только при безобидных лимфатических отеках, например, после долгой велопрогулки. Компрессы для снятия отека:
- Обложить отекшее место капустными листьями на ночь.
- Содовый: растворить чайную ложку порошка в половине стакана крепкой заварки. Смочить марлю, наложить на отек на 5-10 минут.
- Натереть картофель на терке, приложить кашицу к отеку, подержать до появления дискомфорта.

Компресс из тертого картофеля

Профилактика
Меры профилактики отека мошонки:
- Избегать травм паховой области, при занятиях спортом надевать паховую защиту.
- Не допускать переохлаждений мошонки.
- Вовремя лечить инфекции мочеполовой системы.
После операций в паховой области следует ограничить физическую и половую активность, не возвращаться домой за рулем, не сидеть и не стоять на протяжении длительного времени.
Читайте также:
