Дефект межжелудочковой перегородки
Добавил пользователь Евгений Кузнецов Обновлено: 08.01.2026
Существует разные вариации ДМЖП: мышечный и мембра н озный, е д иничный и множественный, изолированный и в сочетании с другими патологиями (самый частый пример — тетрада Фалло).
Причиной появления болезни считается воздействие неблагоприятных факторов на эмбрион, и, как следствие, нарушение развития плода.
Патогенетической основой болезни является патологический сброс («шунт», «шунтирование слева направо») из области с высоким давлением в область с низким давлением — в случае ДМЖП из левого желудочка в правый. Количество крови, попадающее в легочную артерию становится больше, чем в норме, появляется легочная гипертензия. Правому желудочку становится сложнее продвигать кровь через область с таким высоким давлением и он гипертрофируется. Со временем в правой половине сердца давление становится настолько высоким, что кровь через дефект начинает течь в обратном направлении — в левый желудочек («обратный шунт», «шунтирование справа налево»). В левой половине сердца превалирует кровь из правого желудочка, бедная кислородом и богатая углекислым газом, которая разносится по сосудам организма, вызывая гипоксию. Также возникает застойная сердечная недостаточность.
Клинические симптомы зависят размеров и количества дефектов. Чаще встречаются непереносимость нагрузок, апатия, отставание в росте и развитии, одышка, бледность или цианоз видимых слизистых оболочек, обмороки, аускультативно — шумы (особенно в области 2-4 межреберья близко к грудине у собак и в области грудины у кошек), аритмии.
Диагноз ставят на основании результатов эхокардиографии. Определяют в В-режиме, цветном доплеровском картировании наличие, количество, размер и расположение дефектов, с помощью спектрального доплера можно определить скорость потока сквозь дефект, направление сброса и давление внутри камер сердца.

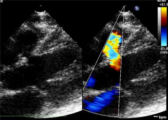
Р ис. 1 ДМЖП в В-режиме.

Рис.2 ДМЖП в В-режиме и режиме ЦДК.
В качестве дополнения можно также провести электрокардиографию и рентгенографию грудной клетки. На ЭКГ часто выявляются блокады левой и/или правой ножки пучка Гиса, АВ-блокады, или норма. На рентгеновских снимках выявляется кардиомегалия за счет левого или правого желудочка (в зависимости от прямого или обратного шунтирования).
При бессимптомном ДМЖП (единичный, небольшой размер дефекта), не вызывающем нарушения гемодинамики лечение не требуется.
Существует метод хирургического лечения — транскатетерное закрытие дефекта, а также установка бандажа на легочную артерию, предупреждающего развитие легочной гипертензии. Однако, при обратном шунтировании хирургическое лечение строго противопоказано. В качестве консервативного лечения могут использоваться диуретики, ингибиторы АПФ, селективный ингибитор цГМФ.
В случае значимых АВ-блокад необходимо также консервативное их лечение или установка кардиостимулятора.
Профилактика заболевания складывается из своевременного выявления проблемы, а также хорошие условия содержания и кормления самок до и во время беременности.
Дефект межжелудочковой перегородки
Дефекты межжелудочковой перегородки могут располагаться в ее мембранозной или мышечной части (рис. 10), а в ряде случаев имеется полное отсутствие перегородки между желудочками.
![]() | Рис. 10 Схема локализации основных типов дефектов межжелудочковой перегородки: (сверху вниз) надгребешковый, подгребешковый, канальный, мышечный типы. |
Гемодинамическая сущность этого порока заключается в сбросе в фазу систолы артериальной крови из левого желудочка в правый (рис. 11), вследствие чего в систему малого круга попадает избыточный объем крови, что приводит к развитию гиперволемии сосудов легких с возникновением в последующем склеротической гипертензии. Прогрессирование гипертензии зависит главным образом от величины дефекта в перегородке, но необратимые изменения в легких могут развиться довольно быстро и обусловить функциональную неоперабельность больного, несмотря на отсутствие субъективных ощущений.
Клиническая картина у больных с дефектом межжелудочковой перегородки разнообразна и определяется главным образом размерами соустья и величиной сброса артериальной крови в систему малого круга. Наиболее частыми жалобами являются повышенная утомляемость, одышка, боли в области сердца и ощущение перебоев в его работе. В большинстве случаев наблюдается отставание в физическом развитии ребенка. С прогрессированием легочной гипертензии давление в легочной артерии становится выше, чем в аорте, и изменяется направление шунта: венозная кровь смешивается с артериальной уже в левом желудочке, и у больных появляется цианоз. Но, как правило, они редко доживают до этой (терминальной) стадии порока, так как развивается декомпенсация правого желудочка или естественное течение порока обрывается присоединяющимся инфекционным эндокардитом. Средняя продолжительность жизни детей с дефектом межжелудочковой перегородки около 14-16 лет.
Диагностика порока не представляет трудностей. Дефект межжелудочковой перегородки проявляется довольно интенсивным грубым систолическим шумом с эпицентром, соответствующим проекции отверстия в перегородке на передней грудной стенке. Как правило, это левый край тела грудины. Часто имеется распространение шума вправо соответственно направлению струи крови из дефекта межжелудочковой перегородки. При легочной гипертензии возникает акцент второго тона над легочной артерией. ЭКГ указывает на комбинированную перегрузку желудочков с преобладанием перегрузки левого желудочка. При рентгенологическом исследовании органов грудной клетки отмечается увеличение сердца за счет правого желудочка, правого предсердия, выбухания легочного ствола. Легочный сосудистый рисунок обычно значительно усилен, а корни подчеркнуты и могут пульсировать. Однако эти рентгенологические признаки не являются патогномоничными. При неопределенности аускультативной картины необходимы катетеризация камер сердца, измерение давления в его полостях и сосудах, а также киноангиокардиография. Дефект межжелудочковой перегородки можно визуализировать с помощью эхокардиографии.
Лечение только оперативное в условиях искусственного кровообращения (рис. 12). Дефект ушивается различными приемами (рис. 13) или закрывается с помощью каких-либо пластических материалов (рис. 14). Ушивание небольших дефектов межжелудочковой перегородки можно выполнить и без искусственного кровообращения в условиях общей или краниоцеребральной гипотермии. При своевременном выполнении оперативного пособия результаты лечения, как правило, хорошие.
![]() | Рис. 12 Один из оперативных доступов при дефекте межжелудочковой перегородки – правая вентрикулотомия. Разрез правого желудочка проходит параллельно ходу венечных артерий. |
![]() | Рис. 13 Ушивание небольшого мембранозного дефекта межжелудочковой перегородки отдельными узловыми швами. |
![]() | Рис. 14 Пластика дефекта межжелудочковой перегородки заплатой. |
© 2022 ФГБУ «НМХЦ им. Н.И. Пирогова» Минздрава России. Использование материалов сайта полностью или частично без письменного разрешения строго запрещено.
Дефект межжелудочковой перегородки
Дефект межжелудочковой перегородки (ДМЖП) – врожденный порок сердца, при котором наблюдается нарушение целостности перегородки между правым и левым желудочками. В результате кровь из одного желудочка попадает в другой и нарушает нормальную работу сердца и кровообращения в организме. Иногда перегородка отсутствует вовсе. ДМЖП образуется в результате нарушения эмбрионального развития в утробе матери. Часто заболевание сопровождается другими сердечными пороками. ДМЖП у взрослых может появиться при разрыве межжелудочковой перегородки при остром инфаркте миокарда.
Причины возникновения дефекта межжелудочковой перегородки
Как было сказано ранее, ДМЖП формируется на стадии эмбриона. Будущим мамам важно с осторожностью относиться к своему здоровью и здоровью развивающегося плода. Поэтому необходимо оградить себя и будущего ребенка от воздействия негативных факторов, таких как:
- никотин и смолы, выделяющиеся при курении;
- спиртные напитки;
- бесконтрольный прием лекарственных препаратов;
- стрессовые ситуации;
- физические нагрузки;
- воспалительные заболевания;
- преждевременные роды.
Симптомы дефекта межжелудочковой перегородки
Т.к. порог врожденный, первые симптомы могут появиться при первых днях жизни:
- отсутствие аппетита, вялое сосание с частыми перерывами;
- медленный набор веса;
- быстрая утомляемость (дети много спят);
- появление одышки;
- отечность на ногах и в области живота; .
При небольших дефектах внешние симптомы могут не проявляться и обнаруживаются только при выслушивании сердца.
Патология может не давать знать о себе до взрослого возраста. Симптоматика у зрелого человека практически такая же, как и у ребенка. Дополнительно могут быть жалобы на:
- ухудшение работоспособности;
- утомляемость.
Если вы заметили у своего ребенка или у себя схожие симптомы, обратитесь к врачу. В кардиологическом центре ФНКЦ ФМБА проводятся комплексные программы по исследованию сердца. Запишитесь на прием к кардиологу, чтобы своевременно купировать недуг и предотвратить развитие заболевания.
Диагностика
Диагностировать ДМЖП у эмбриона возможно во время беременности уже на втором-третьем триместре при проведении скрининговых УЗИ. Зная о пороке сердца, родители наперед понимают, какие обследования необходимо будет провести ребенку после рождения:
- УЗИ сердца дупплексным исследованием (исследованием кровотока);
- рентгенография грудной клетки;
- пульсоксиметрия – измерение концентрации кислорода в крови;
- МРТ сердца.
Для взрослого пациента, не знающего о своем диагнозе, врачом проводится первичный опрос и осмотр. Измеряется давление, выслушивается сердце. После сбора анамнеза выдается направление на лабораторные анализы и инструментальное исследование. К вышеперечисленным могут быть добавлены:
- ЭКГ;
- ЭХОКГ;
- катетеризация сердца – введение катетера с рентгеноконтрастным веществом.
Профилактика
Особых требований по профилактике ДМЖП нет. Врачи могут дать несколько рекомендаций беременным женщинам, чтобы предотвратить развитие заболевания у будущего ребенка:
- правильно питаться;
- избегать чрезмерных физических нагрузок;
- больше времени проводить на свежем воздухе;
- отказаться от вредных привычек;
- обращаться к врачу при любых недомоганиях и заболевания;
- не принимать самостоятельно медикаментозные препараты;
- своевременно посещать врача, контролирующего ход беременности.
При своевременном обнаружении патология легко лечится. Не теряйте ни минуты! Пройдите обследование вашего сердца, чтобы не допустить осложнений.
Лечение дефекта межжелудочковой перегородки
При обнаружении дефекта межжелудочковой перегородки у эмбриона, лечение могут отложить до года, т.к. есть вероятность, что нарушение пройдет самостоятельно. В остальных случаях необходимо лечение.
В кардиологическом центре ФНКЦ ФМБА лечение ДМЖП у взрослых (старше 18 лет) проводится с помощью медикаментозных препаратов или с помощью хирургического вмешательства. Медикаментозное лечение может проводиться амбулаторно либо под присмотром специалистов в терапевтическом отделении нашего центра. Назначение препаратов зависит от степени поражения перегородки и от наличия сопутствующих недугов. Это могут быть бета-блокаторы, препараты снижающие нагрузку на сердце. Перечень препаратов и их дозировку определяет строго лечащий врач-кардиолог.
Радикально устранить ДМЖП можно хирургическим путем. Наиболее безопасной и малотравматичной считают эндоваскулярную коррекцию. Через катетер к сердечной мышце проводят специальное приспособление (окклюдер), которое перекрывает место нарушения заплаткой, со временем дефект зарастает. После проведения коррекции пациента переводят в отделение интенсивной терапии на 24 часа для наблюдения, на следующий день отпускают домой. Постоперационной реабилитации не требуется - быстрое восстановление и возвращение к обычной жизни.
Второй метод – пластика дефекта. Операция проводится на открытом сердце с помощью вскрытия грудной клетки. Перед началом процедуры пациента подключают к аппарату искусственного кровообращения. Сердце разрезают и дефект ушивают дефект с помощью заплаты из искусственной или собственного перикарда, который фиксируют швами по краям дефекта. Метод более травматичный и требует более длительной реабилитации около месяца. Если ДМЖП произошло в остром периоде инфаркта миокарда, то хирургическое лечение проводят или в первые же сутки или в подостром периоде, что более безопасно.
Дефект межжелудочковой перегородки (ДМЖП)
Дефект межжелудочковой перегородки (см. рисунок Дефект межжелудочковой перегородки Дефект межжелудочковой перегородки ) является второй наиболее распространенной врожденной аномалией сердца после двустворчатого аортального клапана Двустворчатым аортальным клапаном Двустворчатый аортальный клапан – это клапан, в котором присутствуют только две (а не три в норме) створки. Наличие двустворчатого аортального клапана является наиболее распространенной врожденной. Прочитайте дополнительные сведения , что составляет 20% всех дефектов. Он может развиться самостоятельно или вместе с другими врожденными аномалиями (например, тетрадой Фалло Тетрада Фалло Тетрада Фалло имеет 4 признака: большой дефект межжелудочковой перегородки, обструкцию выходящих из правого желудочка сосудов и стеноз клапана легочной артерии, гипертрофия правого желудочка. Прочитайте дополнительные сведения ).
Дефект межжелудочковой перегородки
Легочного кровоток и объемы левого желудочка (ЛЖ) и левого предсердия (ЛП) увеличены. Давление в предсердиях среднее. Давление в правом желудочке и сатурация O2 переменно повышенные, что прямо пропорционально величине дефекта.
АО = аорта; IVC = нижняя полая вена; LA = левое предсердие, LV = левый желудочек; PA = легочная артерия; PV = легочные вены; RА = правое предсердие; RV = правый желудочек; SVC = верхняя полая вена.
Классификация
Большинство дефектов межжелудочковой перегородки классифицируют по местоположению:
Перимембранозный (также называемый коновентрикулярным);
Подлегочнные дефекты выносящего тракта (надгребневые, коносептальные, двойной коммитированный подаортальный)
Дефекты приносящего тракта (атриовентрикулярной перегородки, по типу атриовентрикулярного канала)
Перимембранозные дефекты (70–80%) являются дефектами в мембранной перегородке, прилегающей к трехстворчатому клапану, они распространяются на варьирующееся количество окружающей мышечной ткани; наиболее распространенный тип этого дефекта происходит немного ниже аортального клапана.
Трабекулярные мышечные дефекты (5–20%) полностью окружены мышечной тканью и могут возникать в любом месте перегородки.
Дефекты субпульмонарного выброса (5–7% в США, 30% в странах Дальнего Востока) развиваются в межжелудочковой перегородке непосредственно под клапаном легочной артерии. Эти дефекты часто называют супракристальными, коносептальными или двукратно детерминированными субартериальными дефектами, они нередко связаны с пролапсом аортальных створок в дефект, что приводит к аортальной регургитации.
Впускной дефект (5–8%) граничит сверху с кольцом трехстворчатого клапана и расположен сзади от мембранозной перегородки. Эти дефекты иногда называют дефектами типа атриовентрикулярной перегородки.
Дефект смещения межжелудочковой перегородки характеризуется смещением конусного или выходного отдела перегородки. Когда конусная перегородка смещена вперед, она выступает в выводной отдел правого желудочка, часто приводя к обструкции, как это проявляется при тетраде Фалло Тетрада Фалло Тетрада Фалло имеет 4 признака: большой дефект межжелудочковой перегородки, обструкцию выходящих из правого желудочка сосудов и стеноз клапана легочной артерии, гипертрофия правого желудочка. Прочитайте дополнительные сведенияПатофизиология ДМП
Величина шунта зависит от размера дефекта и сопротивления потока (т.е. легочной обструкции выносящего сосуда и легочного сосудистого сопротивления).
При нерестриктивных дефектах межжелудочковой перегородки кровь легко проходит через большие дефекты; давление между правым и левым желудочками выравнивается, и возникает значительный шунт крови слева направо. При отсутствии стеноза легочной артерии, с течением времени большой шунт вызывает гипертензию легочной артерии Легочная гипертензия Легочная гипертензия – это повышение давления в малом круге кровообращения. В большинстве случаев она является вторичной, в некоторых случаях – идиопатической. При легочной гипертензии происходит. Прочитайте дополнительные сведения , повышение легочного сосудистого сопротивления, перегрузку давлением и гипертрофию правого желудочка. В конечном счете, повышение легочного сосудистого сопротивления вызывает смену направления шунта на обратное (из правого в левый желудочек), что приводит к синдрому Эйзенменгера Синдром Эйзенменгера Синдром Эйзенменгера является осложнением невылеченных больших интракардиальных шунтов слева-направо или шунтов от аорты к легочной артерии. Повышенное сопротивление легких может развиваться. Прочитайте дополнительные сведения .
Рестриктивные дефекты межжелудочковой перегородки, или меньшие дефекты, ограничивают приток крови и давление в правых отделах сердца. Малые дефекты межжелудочковой перегородки вызывают относительно небольшой шунт слева направо, и давление в легочной артерии нормальное или незначительно повышенное. Сердечная недостаточность, легочная гипертензия и синдром Эйзенменгера не развиваются.
Умеренные ДМЖП приводят к промежуточным проявлениям.
Симптомы и признаки ДМП
Симптомы зависят от размера дефекта и величины шунта слева-направо. Дети с небольшим дефектом межжелудочковой перегородки, как правило, не имеют симптомов и характеризуются нормальным ростом и развитием. У детей с большим дефектом симптомы сердечной недостаточности Сердечная недостаточность Врожденный порок сердца является наиболее распространенной врожденной аномалией, которая возникает у почти 1% живорожденных ( 1). Среди врожденных дефектов врожденный порок сердца является ведущей. Прочитайте дополнительные сведения (например, расстройство дыхания, плохая прибавка веса, усталость после кормления) появляются в возрасте 4–6 недель, когда легочное сосудистое сопротивление снижается. Могут возникать частые инфекции нижних дыхательных путей. В конце концов, у пациентов, не получавших лечения, могут развиться симптомы синдрома Эйзенменгера.
Результаты аускультации меняются в зависимости от размера дефекта. Малые дефекты межжелудочковой перегородки обычно производят высокие короткие систолические шумы от класса 1–2/6 (из-за крошечных дефектов, которые довольно близки в конце систолы) до класса 3–4/6 голосистолических шумов (с дрожанием грудной стенки или без него) у нижнего левого края грудины, этот шум обычно слышен в течение первых нескольких дней жизни (см. таблицу Степень выраженности сердечного шума [Heart Murmur Intensity] Интенсивность шумов сердца ). Прекардий не гиперактивный, и 2-й тон сердца (S2) обычно разделен и имеет нормальную интенсивность.
Умеренные и большие ДМЖП вызывают голосистолический шум, который присутствует в возрасте 2–3 недели; S2, как правило, узко разделен с акцентом на легочный компонент. Апикальный диастолический гул (в связи с увеличением потока через митральный клапан) и симптомы СН (например, учащенное дыхание, одышка при кормлении, задержка развития, галоп, хрипы, гепатомегалия) могут присутствовать. При умеренных ДМЖП с интенсивным потоком шум часто очень громкий и сопровождается дрожанием грудной клетки (шум 4 или 5 класса). С большими дефектами, выравнивающими давление в левом и правом желудочках, систолический шум часто ослабляется.
Дефект межпредсердной перегородки
Дефект межпредсердной перегородки – это отверстие в межпредсердной перегородке, через которое кровь поступает из левого в правое предсердие.
Дефекты по своему расположению и формированию подразделяются на первичные, вторичные дефекты межпредсердной перегородки и дефекты венозного синуса.
Дефекты могут иметь различную форму и размеры (вплоть до полного отсутствия перегородки и формирования единого предсердия), могут быть единичными и множественными, могут быть единственным пороком сердца, а могут входить в состав более сложных пороков сердца (открытый AV-канал, аномальный дренаж легочных вен и т.д.).
Причины дефекта межпредсердной перегородки
В основе формирования дефекта межпредсердной перегородки лежит нарушение развития первичной или вторичной перегородки в эмбриональном периоде.
- Первичный дефект располагается в нижней части межпредсердной перегородки рядом с фиброзными кольцами атриовентрикулярных клапанов (митрального и трехстворчатого), по сути его нижним краем является само фиброзное кольцо.
- Вторичный дефект располагается в центральной части межпредсердной перегородки, и все его края представлены самой перегородкой.
- Дефект венозного синуса – это дефект, локализующийся в верхней части межпредсердной перегородки. Данному пороку часто сопутствует аномальный дренаж лёгочных вен (часть лёгочных вен впадает не в левое предсердие, а в верхнюю полую вену).
Гемодинамика
Cмысл порока заключается в сбросе артериальной крови из большого круга кровообращения (левого предсердия) в малый круг кровообращения (правое предсердие), что приводит к перегрузке малого круга кровообращения избыточным объемом крови с поражением, в первую очередь, легких. Крайней формой поражения является формирование легочной гипертензии (высокого давления в сосудах легких). Легочная гипертензия при дефекте межпредсердной перегородки носит злокачественный характер, приводя к тяжелой сердечной недостаточности и гибели пациента.
Симптомы
Первые симптомы заболевания возникают в виде одышки при физической нагрузке, частых простуд, ощущения перебоев в работе сердца. При этом симптоматика разнообразная и зависит от локализации и размера дефекта, сочетания его с другими пороками сердца. Дефекты малого размера не имеют характерной клинической картины. Жалобы пациенты активно не предъявляют, физическая активность их не ограничена - порок обнаруживается случайно. При больших, гемодинамически значимых дефектах у пациентов появляются одышка, повышенная утомляемость, непереносимость физической нагрузки. После физических упражнений возможно возникновение кашля, сопровождающегося иногда кровохарканьем. Для таких пациентов характерны частые пневмонии, бронхиты.
Диагностика
- Осмотр пациента с аускультацией (выслушиванием) сердца выявляет шумы в сердце.
- ЭКГ выявляет гипертрофию миокарда правого желудочка, блокаду правой ножки пучка Гиса, аритмии разной степени тяжести, резкое отклонение электрической оси сердца влево.
- Рентгенография органов грудной клетки выявляет расширение ствола легочной артерии, увеличение сердца, усиление лёгочного рисунка.
- Трансторакальная эхокардиография позволяет не только визуализировать дефект межпредсердной перегородки и уточнить его характер (первичный, вторичный, дефект венозного синуса), но также оценить направление сброса крови через дефект и его гемодинамическую значимость (Qp/Qs).
- Чреспищеводная эхокардиография у взрослых позволяет получить детальную информацию о краях дефекта, что важно для выбора метода оперативного лечения.
- Зондирование камер сердца и атриография используется при недостаточной информации от вышеописанных методов исследования или как часть уже оперативного лечения.
Показания к операции на дефект межпредсердной перегородки
Принятие решения об оперативном лечении зависит от размера дефекта, его гемодинамических характеристик (объем и направление сброса крови через дефект), наличия и величины легочной гипертензии, возраста пациента, наличия сопутствующей патологии и т.д. Решение о целесообразности оперативного лечения принимается совместно лечащим кардиологом, кардиохирургом, врачами других специальностей (при необходимости).
Лечение дефекта межпредсердной перегородки

На данный момент существует два вида оперативного лечения:
- 1. Операция на открытом сердце в условиях искусственного кровообращения с ушиванием дефекта или его пластикой заплатой из перикарда.
- 2. Устранение дефекта межпредсердной перегородки с использованием специальных устройств (окклюдеров) в условиях рентгеноперационной через проколы артерий без стернотомии.
- Необходимо понимать, что не каждый дефект может быть устранен оперативным путем, существуют противопоказания к операции (дефекты малого диаметра, тяжелая легочная гипертензия, право-левый сброс через дефект), и не каждый дефект может быть устранен с использованием оккклюдеров (сочетание дефекта с аномальным дренажом легочных вен, первичные дефекты с отсутствующим нижним краем, дефекты большого размера, сочетание дефекта с другой
- патологией сердца являются показанием к открытой операции).
- Более подробно о конкретном случае заболевания, показаниях и противопоказаниях можно узнать в процессе консультации сердечно-сосудистого хирурга (на амбулаторном приеме).
Оформите заявку на сайте, мы свяжемся с вами в ближайшее время и ответим на все интересующие вопросы.
Читайте также:





