Дермоидная киста у новорожденного
Добавил пользователь Евгений Кузнецов Обновлено: 23.11.2025
Цель статьи: актуализировать сведения о дермоидных кистах у детей, описать клинический случай этого редкого заболевания.
Основные положения. Киста дермоидная — дермоид-киста, содержащая волосы, волосяные фолликулы и сальные железы; обычно развивается в местах соединения развивающихся участков тела эмбриона. Кисты средостения составляют от 14% до 18,5% всей медиастинальной патологии. Особенности клинических проявлений кисты средостения обусловлены типом и расположением образования, его величиной и скоростью роста. При медиастинальных новообразованиях в диагностической практике широко используются ультразвуковое исследование средостения, компьютерная и магнитно-резонансная томография грудной клетки. При своевременной терапии прогноз благоприятный. В работе представлено собственное наблюдение, отражающее особенности течения дермоидной кисты у ребенка 9 лет.
Заключение. Дермоидные кисты у детей могут длительное время протекать бессимптомно и по мере взросления проявляться различными симптомами.
Вклад авторов: Медведева С.В. — обследование пациентки, обзор публикаций по теме статьи; Заболотских Т.В. — проверка критически важного содержания, утверждение рукописи для публикации; Данилова Н.Б. — сбор клинического материала, обработка, анализ и интерпретация данных.
Конфликт интересов: авторы заявляют об отсутствии возможных конфликтов интересов.
Медведева Светлана Викторовна — к. м. н., доцент кафедры детских болезней факультета последипломного образования ФГБОУ ВО «Амурская ГМА» Минздрава России. 675006, Россия, г. Благовещенск, ул. Горького, д. 95. E-mail: dekan.fpdo@amursma.su
Киста дермоидная — дермоид-киста, содержащая волосы, волосяные фолликулы и сальные железы; обычно развивается в местах соединения развивающихся участков тела эмбриона. Иногда появление дермоидной кисты связано с травмой. Кисты средостения составляют от 14% до 18,5% всей медиастинальной патологии. Дермоидные кисты (кистозные тератомы) содержат в своей структуре элементы эктодермы и возникают в процессе нарушения эмбриогенеза [1] .
Дермоидные кисты обычно расположены в передне-верхнем отделе средостения. Величина этих кист может достигать 15–25 см. Форма кистозных тератом обычно неправильная овальная; консистенция эластическая или мягкая. Стенки кисты могут содержать хрящевые и известковые включения. Внутри кисты заключена густая кашицеобразная жирная масса со множеством различных включений (волос, чешуек эпидермиса, кристаллов холестерина, аморфных жиров, зубов) [1] .
Особенности клинических проявлений кисты средостения обусловлены типом и расположением образования, его величиной и скоростью роста. В большинстве случаев симптоматика развивается на том этапе, когда увеличение кисты средостения вызывает компрессию других органов и неизбежное нарушение их функций. Более чем в половине случаев дермоидная киста средостения сопровождается различными сердечно-сосудистыми нарушениями: приступами стенокардии, болью в области сердца, тахикардией [2] .
У 30% больных признаком дермоидной кисты средостения служит появление продуктивного кашля с выделением кашицеобразной массы, содержащей примесь волос и жира, что наблюдается при прорыве кисты в бронх. У некоторых пациентов отмечается выпячивание грудной стенки в проекции расположения опухоли.
Ведущую роль в диагностике кист средостения играют рентгенологические исследования. Полипозиционная рентгеноскопия и рентгенография грудной клетки, рентгенография пищевода и сердца, пневмомедиастинография позволяют определить локализацию, форму и размеры кисты, ее связь с соседними органами, изменение положения при дыхательных движениях [3] .
Для более детальной оценки структуры, толщины стенок кисты, характера содержимого и взаимоотношения с соседними анатомическими образованиями делают КТ и МРТ средостения.
При кистах средостения, тесно связанных с трахеей или бронхами, выполняют бронхоскопию и бронхографию. При медиастинальных новообразованиях в диагностической практике широко используется УЗИ средостения.
Если названные методы диагностики не позволяют определиться с нозологией образования, целесообразен переход к инвазивным диагностическим исследованиям. Аспирационная тонкоигольная биопсия кисты средостения дает возможность осуществить цитологическое исследование полученного пунктата и верифицировать морфологию образования в 80–90% случаев. Тонкоигольная биопсия может выполняться чрескожным, чрезтрахеальным, чрезбронхиальным, чреспищеводным доступом. С целью визуализации и открытой эксцизионной биопсии опухоли средостения возможно производить медиастиноскопию, диагностическую торакоскопию, парастернальную медиастинотомию [3] .
Лечебная тактика в отношении кист средостения сводится к их хирургическому удалению в возможно ранние сроки. Такой подход является профилактикой развития компрессионного синдрома, разрыва и малигнизации кист средостения. Открытое удаление кисты средостения может проводиться путем продольной стернотомии (при расположении кисты в переднем средостении), с помощью передне-боковой торакотомии на стороне поражения (при боковом расположении образования), боковой торакотомии (при локализации опухоли в среднем средостении), задне-боковой торакотомии (при расположении кисты в заднем средостении).
Открытые операции обеспечивают возможность наибольшей свободы действий и полноценной интраоперационной ревизии раны. Хирургическое лечение успешно применяется не только для диагностики, но и для удаления медиастинальных образований.
КЛИНИЧЕСКИЙ СЛУЧАЙ
Девочка Т., 9 лет, поступила в кардиологическое отделение Амурской областной детской клинической больницы с жалобами на деформацию грудной клетки, редкий кашель.
Анамнез заболевания: ребенок только что перенес острый бронхит, получал амбулаторное лечение (антибактериальные препараты, муколитики). При повторном осмотре педиатром выслушан шум в области сердца. Проведены ЭхоКГ и рентген грудной клетки. Девочка осмотрена кардиологом и с диагнозом инфекционного миокардита направлена на стационарное лечение в Амурскую областную детскую клиническую больницу.
Анамнез жизни: ребенок от второй беременности, протекавшей без особенностей. Роды вторые, в срок. На грудном вскармливании находилась до 6 месяцев. Масса при рождении — 3200 г. Оценка по шкале Апгар — 7/8 баллов. Привита по календарю. Перенесенные заболевания: ветряная оспа, ОРВИ, однократно острый бронхит.
Семейный и аллергологический анамнез не отягощен. Травм и операций не было. Переливание плазмы и кровезаменителей не проводилось. Наследственность по основному заболеванию не отягощена.
При осмотре общее состояние удовлетворительное. Сознание ясное. Ребенок активный. Аппетит сохранен. Рост — 125 см, масса тела — 23 кг, температура — 36,6 °C. Кожные покровы бледно-розовые, влажные, чистые. Периферические лимфатические узлы не увеличены, безболезненные.
Осанка неправильная. Асимметрия надплечий. Ось позвоночника не отклонена. Своды стоп уплощены. Суставы визуально не изменены. Движения в суставах в полном объеме.
Носовое дыхание свободное. Зев розовый. Грудная клетка деформирована — леволежащий сердечный горб. Грудная клетка равномерно участвует в акте дыхания. Перкуторно звук легочный. Аускультативно в легких дыхание везикулярное, хрипы не выслушиваются. Частота дыхательных движений — 19 в мин.
Верхушечный толчок пальпируется в 5 м/р на 1 см кнаружи от средне-ключичной линии, средней силы и высоты, локализованный, не изменен. Тоны сердца громкие, ритмичные. Соотношение тонов сохранено. Шум систолический, грубый, выслушивается максимально во 2–3 м/р слева от грудины. ЧСС — 84 в мин.
Живот не вздут, при пальпации мягкий, безболезненный. Печень и селезенка не увеличены. Стул оформленный до 1 раза в сутки. Симптом поколачивания отрицательный с обеих сторон. Отеков нет. Мочеиспускание безболезненное, нормальное.
Лабораторные исследования: клинический и биохимический анализы крови без патологии, система гемостаза крови без патологии. В анализах мочи изменения не обнаружены.
ЭКГ — синусовая аритмия с ЧСС 94 уд/мин (нормокардия). Диффузные изменения миокарда. УЗИ внутренних органов и почек без патологии. Рентгенография грудной клетки показала увеличение размеров сердца ( рис. 1 ).
Рис. 1. Рентгенограмма грудной клетки девочки Т., 9 лет. Иллюстрация В.Г. Молчанова, врача-рентгенолога ГАУЗ АО «Амурская областная детская клиническая больница»

ЭхоКГ — сердце смещено вправо образованием грудной клетки. Перегородки прослеживаются. Ускорение кровотока в легочной артерии, возможно, за счет сдавления извне. Выпот в полости перикарда, возможно, реактивный. Камеры сердца не увеличены. Сократительная способность левого желудочка в норме.
Заключение УЗИ: образование грудной клетки, исходящее из средостения? Левого легкого?
Проводилась дифференциальная диагностика с различными заболеваниями: новообразованиями средостения, легких и сердца, кистами легкого и перикарда, аневризмой аорты. Необходимо было также определить происхождение данной кисты, т. к. принято выделять истинные, или первичные, кисты средостения; кисты, образованные из органов и лимфатических сосудов; паразитарные (чаще всего эхинококковые) и, наконец, кисты, образованные из пограничных областей (например, менингеальные, т. е. из оболочек спинного мозга, и др.). После КТ диагноз был установлен, разрабатывалась тактика лечения.
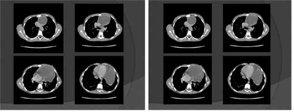
КТ органов грудной клетки — картина кистозного образования средостения слева. Небольшой объем жидкости в плевральной полости слева и в перикарде ( рис. 2 ).
Рис. 2. Компьютерная томограмма грудной клетки девочки Т., 9 лет. Иллюстрация М.Ю. Петрова, заведующего отделением, врача-рентгенолога ГАУЗ АО «Амурская областная детская клиническая больница»

Проведен консилиум, и поставлен диагноз: Доброкачественное новообразование средостения . Ребенок госпитализирован в хирургическое отделение Амурской областной детской клинической больницы, где проведена операция по удалению кисты.
Диагноз после операции: Дермоидная киста переднего средостения.
Описание препарата: новообразование с кистозно-солидным компонентом, жидкость темно-коричневого цвета и солидный компонент, представленный капсулой опухоли и жировой тканью ( рис. 3 ).
Рис. 3. Удаленная дермоидная киста у девочки Т., 9 лет. Иллюстрация Е.А. Степаненко, врача-хирурга ГАУЗ АО «Амурская областная детская клиническая больница»

Состояние девочки после операции — удовлетворительное. На 15-е сутки ее выписали домой с рекомендациями по наблюдению у педиатра.
Представленный клинический случай демонстрирует, что дермоидные кисты у детей могут длительное время протекать бессимптомно и по мере взросления ребенка проявляются различными симптомами.
Дермоидная киста
Дермоидная киста у детей – врожденное доброкачественное новообразование, возникающее, как правило, на голове, лице или шее. Опухоль (дермоид) имеет оболочку из соединительной ткани и наполнена клетками кожи, волосяными фолликулами и элементами сальных желез. Дермоидная киста встречается у девочек в 4 раза чаще, чем у мальчиков.
Дермоиды возникают вследствие нарушений внутриутробного развития плода. Точные причины возникновения патологии учеными до конца не изучены.
Диагностика
Дермоиды, как правило, развиваются медленно, не доставляя детям никаких беспокойств. Чаще всего выявляется на первом году жизни ребенка при визуальном осмотре.
- плотное новообразование округлой формы;
- безболезненное при пальпации;
- кожа в районе кисты без покраснений и изменений пигментации;
- отсутствует соединение с кожей
Для дифференциации диагноза хирург может назначить УЗИ новообразования, КТ места локализации кисты, рентгенографию области новообразования.
Ранняя диагностика и лечение дермоидов помогает предотвратить рост кисты, возможные воспаления, осложнения и перерождение ее в злокачественную опухоль.
Несмотря на то, что дермоидная киста относится к доброкачественным новообразованиям, существует 1-1,5% вероятности ее перерождения в онкологическое заболевание. Поэтому детям рекомендовано хирургическое удаление (кистэктомия) опухоли любых размеров. Консервативных методов лечения этой патологии в настоящий момент не существует.
Подготовка к операции
Удаление папилломы предусматривает проведение стандартной предоперационной подготовки, которая направлена на:
- оценку общего состояния здоровья;
- выявление возможных противопоказаний;
- предупреждение интра- и послеоперационных осложнений.
Маленький пациент осматривает анестезиолог для выбора оптимального метода обезболивания. Удаление папилломы детям проводиться с применением местных обезболивающих средств, под общим наркозом с использованием аппаратно-масочного наркоза. В каждом отдельном случае доза анестетика рассчитывается в зависимости от возраста и массы тела ребенка.
Операция
Специалисты нашего центра понимают, что любая операция, даже самая незначительная – это стресс для ребенка. Для уменьшения дискомфорта в период восстановления наши хирурги отдают предпочтение малоинвазивным вмешательствам. Это позволяет снизить риск повреждения нервных окончаний, сосудов и других структур во время манипуляции, позволяя существенно уменьшить болевые ощущения для ребенка.
Процедура занимает не более 40 минут. Удаление образования осуществляется в пределах здоровых тканей. После обработки операционного поля антисептиком и обезболивания врач делает разрез по длине образования, удаляет капсулу и ее содержимое. Ушивание раны проводится малотравматичными иглами с наложением косметических швов. Это предотвращает образование рубцов, что гарантирует хороший косметический эффект.
Реабилитационный период
«Хирургия одного дня» позволяет пациенту покинуть клинику уже через несколько часов после операции. Это время родители со своим ребенком пребывают в комфортной палате, рассчитанной на полноценный отдых.
Через день детки посещают манипуляционный кабинет для смены повязок. Хирурги оценивают качество заживления раны, при необходимости проводят коррекцию послеоперационного периода. После операции в течение недели следует воздержаться от интенсивных физических нагрузок. По заживлению раны производится снятие косметического шва. Контрольный осмотр проводится через 30 дней (ориентировочные сроки). Полное восстановление может занять до 1-2 месяцев.
Прогноз
Удаление дермоидной кисты – это радикальное лечение. Новообразование устраняется полностью, риск рецидива минимален.
Дермоидная киста
Дермоидная киста в настоящее время является очень распространенным заболеванием. Главная опасность его в том, что часто развивается оно бессимптомно и больной может узнать о наличии заболевания, когда происходит нагноение кисты или же она перерождается в злокачественное объемное образование. Поэтому очень важно чтобы лечение дермоидной кисты проводилось своевременно.

Дермоидная киста относится к разновидности фиброэпителиальных образований, имеющих стенки из соединительной ткани. Дермоидная киста обычно окружена капсулой, имеющей овальную или неправильную форму, и со временем может достигать величины крупной горошины или грецкого ореха. Дермоидная киста глаза может состоять как из одной, так и из нескольких полостей, заполненных сальной массой с примесью ороговевших кожных чешуек или волос. В зависимости от характера содержимого киста может быть плотной или мягкой.
Дермоидные кисты растут достаточно медленно, однако увеличиваются постоянно без задержек в росте.
Причины формирования дермоидных кист до сих пор не выявлены, но считается, что в основном возникают они из-за нарушения гормонального фона или травм. Чаще всего перерождение в злокачественную опухоль происходит, когда располагается дермоидная киста в брюшной полости или в области малого таза.
Локализация дермоидной кисты может быть различной
- На губах
- На веках
- В носогубных складках
- На переносице
- На шее
- Рядом с ушами
- На затылке
Также дермоидная киста может располагаться на клетчатке глаза, на животе и ягодицах, в переднем средостении, в яичниках. Если говорить о кисте яичников, то чаще всего выявляется дермоидная киста правого яичника и возникать она может в любом возрасте, как во взрослом, так и в подростковом и даже в детском.
Клиническая картина

Дермоидную кисту обычно выявляют в раннем возрасте, так как она представляет собой округлый или вытянутой формы «шарик», который располагается под кожей. При ощупывании кисты болезненных ощущений у пациента не возникает. Диагностика дермоидной кисты не вызывает сложностей, но в некоторых случаях необходимо проводить дифференциальную диагностику. Если киста локализуется в области корня носа, то ее дифференцируют от мозговой грыжи. В том случае, когда дермоидная киста располагается на шее, то проводится дифференциация ее от врожденных срединных и боковых кист. Если киста локализуется в яичнике, то для диагностики применяют ультразвуковое исследование.
Лечение дермоидной кисты
Лечение дермоидной кисты заключается в ее удалении. Если происходит нагноение кисты, то сначала ее вскрывают, эвакуируют содержимое, а затем дренируют полость. Удаление дермоидной кисты производят только после того, как воспалительный процесс стихнет. Удаляется киста полностью в пределах здоровых тканей. Операция проводится под местным обезболиванием и длится обычно не более 15 минут. Дермоидная киста у детей удаляется под общим наркозом.
Благодаря современным методикам после удаления кисты не остается послеоперационных рубцов и пациент может вернуться домой уже в тот же день, когда была проведена операция. Дермоидная киста яичника удаляется при слишком больших ее размерах или при наличии осложнений. У девочек и молодых женщин кисту удаляют с частью яичника, а у женщин в пременопаузе ампутируют яичник целиком. Для удаления может проводиться лапароскопическая операция.
Дермоидная киста у ребенка
Дермоидная киста – доброкачественное новообразование, представляющее собой полость, которая окружена плотной капсулой. В полости кисты могут находиться ороговевшие чешуйки кожи, сальные железы, волосяные фолликулы, фрагменты зубов или жидкость. Дермоидная киста у ребенка формируется в эмбриональном периоде, но ее присутствие не всегда бывает заметным на момент рождения. Для этих опухолей характерен медленный рост, и, как правило, они не причиняют существенного дискомфорта пациенту до тех пор, пока не происходит нагноение кисты или разрыв ее оболочки. Лечение дермоидной кисты в Израиле заключается в ее хирургическом удалении. Подавляющее большинство дермоидных кист располагаются близко к поверхности кожи, и их удаление не представляет технической сложности. В редких случаях дермоидная киста у ребенка может локализоваться в малом тазу, головном или спинном мозге. В детской больнице Сафра лечение редких форм дермоидной кисты производится с применением современных малоинвазивных хирургических методик, позволяющих выполнить полное удаление опухоли и нанести минимальный ущерб здоровым тканям.
Дермоидная киста у ребенка формируется на внутриутробном этапе развития из эмбриональных листков. Большинство новообразований данного типа локализуются в области лица, на поверхности спины или ягодиц, а также в яичниках. Дермоидные кисты безболезненны, и если они располагаются далеко от поверхности кожи, их присутствие некоторое время может оставаться незамеченным. Исключение составляют случаи, когда капсула кисты разрывается или же происходит нагноение ее содержимого.
Диагностика
Поверхностные дермоидные кисты диагностируются при осмотре. Иногда, чтобы определить степень их инфильтрации, необходимо выполнить компьютерную томографию. В особенности это касается дермоидной кисты, располагающейся в области лица: такие опухоли обладают способностью прорастать в глубокие слои мягких тканей или носовые пазухи. В рамках подтверждения диагноза выполняют биопсию новообразования.
Для диагностики дермоидной кисты яичника производят УЗИ органов малого таза или – значительно реже – лапароскопию.
Показания к удалению поверхностных дермоидных кист
Дермоидные кисты, расположенные близко к поверхности кожи, не нуждаются в экстренном хирургическом лечении. Их удаление необходимо при наличии следующих показаний:
- Киста воспаляется и становится болезненной
- Киста быстро увеличивается в размерах или меняет цвет
- Наличие кисты представляет серьезный косметический дефект
Лечение дермоидной кисты в Израиле
Лечение дермоидной кисты в Израиле заключается в ее хирургическом удалении: капсула кисты вскрывается, содержимое эвакуируется. Операция носит плановый характер, и после ее завершения пациенту обычно не требуется госпитализация. В особую категорию выделяют дермоидные кисты, которые располагаются поблизости от жизненно важных органов или в труднодоступных анатомических отделах. В таких ситуациях удаление дермоидной кисты в Израиле производится с применением наиболее современного медицинского оборудования и с участием врачей, прошедших специальную профессиональную подготовку:
Что такое дермоидная киста?
С диагнозом «киста» сталкивается немало пациентов, среди них большинство - женщины. Однако киста кисте рознь.
Об одной из ее разновидностей - дермоидной кисте - мы попросили рассказать исполнительного директора ООО «Клиника Эксперт Оренбург» Подлевских Юрия Андреевича.
- Юрий Андреевич, что же такое дермоидная киста и стоит ли опасаться этого диагноза?
Это одна из разновидностей доброкачественных опухолей, развивающаяся в процессе эмбрионального развития человека.
Тревога пациентов, которым установлен этот диагноз, понятна. Но паниковать не стоит. По характеру это доброкачественное образование, что уже успокаивает. Но, тем не менее, в норме его быть не должно.
- Дермоидная киста может возникнуть в любом органе?
Она может быть практически везде. Однако есть области, где дермоидная киста встречается чаще. Например, это малый таз у женщин (в частности, дермоидная киста яичника).
- Что является причинами возникновения дермоидных кист?
- Дермоидная киста – чаще случайная находка или пациента что-то беспокоит?
Часть пациентов специфичных жалоб не предъявляет: образование выявляется случайно (например при профилактическом, скрининговом исследовании).
У ряда больных можно обнаружить ее при обычном осмотре (в частности под кожей).
Симптомы дермоидной кисты также зависят от области тела, где она располагается.
Если это, например, дермоидная киста головного мозга, то могут отмечаться неспецифические признаки - например, головные боли, головокружение. При расположении ее в малом тазу также возможен болевой синдром (в ряде случаев, интенсивный - в частности при разрыве кисты), нарушение мочеиспускания, признаки кишечной непроходимости, при воспалении - повышение температуры тела. Сделать однозначный вывод по таким признакам о том, что это именно дермоидная киста, в большинстве случаев невозможно. Уточнить диагноз можно только после дополнительных исследований.
- Как проводится диагностика дермоидных кист?
Помимо клинических методов в виде опроса, осмотра, пальпации широко используются инструментальные методы диагностики. Чаще всего применяются ультразвуковое исследование, магнитно-резонансная и компьютерная томография.
На практике статистически более часто люди проходят скрининговое УЗИ, которое впервые и выявляет это образование, после чего для уточнения диагноза они направляются на МРТ или КТ. Дермоидная киста хорошо выявляется обоими методами, однако несколько более предпочтительной является МРТ - разумеется, если к нему нет противопоказаний. Главное преимущество в данном случае - отсутствие лучевой нагрузки, в определенной степени присущей КТ.
- Юрий Андреевич, если МРТ выявило дермоидную кисту, что делать такому пациенту?
Обращаться к доктору, специальность которого зависит от области расположения образования. Если оно находится интракраниально (внутри черепа), то необходима консультация нейрохирурга; если в малом тазу - гинеколога; в брюшной полости - хирурга.
- Как лечат дермоидные кисты?
Обычно лечение хирургическое. В зависимости от конкретной ситуации, дермоидная киста либо иссекается, либо сначала дренируется и освобождается от содержимого, а затем удаляется.
По решению доктора иногда производится динамическое наблюдение за ними.
- Какими могут быть осложнения, если дермоидную кисту не лечить?
Это, например, воспаление, разрыв кисты. Также описано ее озлокачествление: по разным данным, дермоидная киста перерождается примерно у 8% пациентов.
Подлевских Юрий Андреевич
Выпускник Оренбургской государственной медицинской академии 2012 года по специальности «Педиатрия».
В 2013 году на базе вышеназванного учебного заведения окончил интернатуру по специальности «Рентгенология». В этом же году прошел усовершенствование по магнитно-резонансной томографии.
В настоящее время занимает должность исполнительного директора ООО «Клиника Эксперт Оренбург».
Читайте также:
