Туберкулезный инфильтират. Диагностика туберкулезного инфильтрата.
Добавил пользователь Евгений Кузнецов Обновлено: 13.12.2025
Туберкулезный инфильтират. Диагностика туберкулезного инфильтрата.
Симптом «легочный инфильтрат» определяется клиническими и рентгенологическими методами. Клинически об инфильтрате говорят: перкуторное приглушение, усиление голосового дрожания, бронхиальное дыхание и влажные звучные хрипы. По сравнению с рентгенологическими методами, которые позволяют распознавать гораздо большие тонкости, аускультация и перкуссия в выявлении и истолковании легочных затемнений в значительной степени утратили свое значение. Однако дифференцировать инфильтративный процесс только на основании одной рентгенологической картины без учета всех клинических данных невозможно.
Раз установлен легочный инфильтрат, всегда встает кардинальный вопрос: идет ли речь отуберкулезном инфильтрате или о нетуберкулезном заболевании.
Поставить диагноз туберкулезного инфильтрата, если симптоматология допускает различное толкование, чрезвычайно трудно. Нередко вопрос приходится вообще оставлять открытым.
Надо поставить за правило — каждый легочный процесс считать туберкулезным до тех пор, пока не будет совершенно точно выявлена принадлежность его к другой группе заболеваний.

Наличие туберкулеза доказывается исключительно нахождением в мокроте туберкулезных микобактерии, resp. кислотоупорных бактерий. Чрезвычайно редкие находки туберкулезных микобактерии при неспецифическом заболевании вследствие выкашливания или размягчения клинически безразличного инкапсулированного туберкулезного очага не имеют практического значения. В подозрительных случаях надо искать туберкулезных микобактерии в мокроте повторно, так как их нахождение имеет чрезвычайно важное дифференциально-диагностическое значение. При необходимости следует дополнительно проводить поиски туберкулезных микобактерии в желудочном содержимом. Других клинических критериев, говорящих о специфичности легочного инфильтрата, не существует. К сожалению, как раз при некоторых длительно протекающих, трудных для дифференциального диагноза заболеваниях такие критерии, как постепенное начало, покашливание, исхудание и ночные поты, ничего не говорят. Эти симптомы встречаются при многих нетуберкулезных заболеваниях. У взрослых, естественно, ничего не говорят и положительные результаты кожных реакций на туберкулез (Пирке, Манту). О рентгенологических изменениях подробнее будет сказано ниже.
Целесообразно — также и в дифференциально-диагностическом отношении — различать острые и хронические туберкулезные инфильтраты.
Острые туберкулезные инфильтраты (если они не являются обострением хронического туберкулеза) особенно трудны для дифференциального диагноза.
Первичный туберкулез в настоящее время наблюдается вплоть до среднего возраста. Клиническая картина его совершенно нехарактерна. Температура субфебрильная, редко выше 38°, может быть нормальной. Аускультативные данные, как правило, довольно скудные: это— крепитирующие хрипы, похожие на crepitatio indux при пневмонии. В картине крови самое большее — умеренный сдвиг влево и почти в половине случаев — моноцитоз. Токсические изменения нейтрофилов отсутствуют или, самое большее, только намечаются. Токсически измененные нейтрофилы появляются при туберкулезе только в том случае, если наслаивается вторичная инфекция (каверны и прежде всего туберкулез кишечника). Нет ни значительного лимфоцитоза, ни значительной лимфопении. РОЭ нормальна или только умеренно ускорена, редко превышая 30 мм в первый час.
Реакция Манту в большинстве случаев резко положительна, поэтому позволяет сделать некоторые дифференциально-диагностические выводы; просто положительная реакция не может быть использована, отрицательная же реакция исключает первичный туберкулез. Особое значение имеет одновременно появляющаяся узловатая эритема (приблизительно в 1/3 случаев, Leitner).
Рентгенологическая картина очень разнообразна. В зависимости от стадии туберкулезного процесса находят или обширные гомогенные очаги, в большинстве с нечеткими границами, которые могут локализоваться во всех долях легких, или же только мелкие, больше полосчатые,— остатки инфильтратов. Первичный аффект чаще всего локализуется в правой нижней доле. В рентгеновском изображении может вообще преобладать увеличение корней легких, но оно не обязательно.
Первичный туберкулез завершает свой цикл не в несколько дней, а в несколько недель или месяцев.
Отграничение первичного туберкулезного инфильтрата от раннего инфильтрата Редекера(Rеdекег) вытекает из самого определения этого инфильтрата. Однако оно утратило свое значение, когда было установлено, что первичный туберкулез сравнительно часто наблюдается также и у взрослых.
Ранним инфильтратом мы называем острый туберкулезный очаг в легких уже ранее инфицированного организма — в результате экзогенной или эндогенной суперинфекции. Ранний инфильтрат развивается большей частью под ключицей и весьма склонен к распаду. Если отрицательная туберкулиновая проба не переходит в положительную, что доказательно для первичного туберкулеза, то диагноз раннего инфильтрата ставится при наличии более старых туберкулезных проявлений. Симптоматология почти не отличается от таковой первичного туберкулезного инфильтрата.
Острые экссудативные очаговые образования при хроническом туберкулезе легких вряд ли представляют какие-либо диагностические трудности ввиду наличия хронических туберкулезных изменений. Наоборот, так называемую казеозную пневмонию, если отсутствуют типичные туберкулезные очаги в верхушках легких, рентгенологически можно только заподозрить. Диагноз ре1иают остальные данные, особенно нахождение туберкулезных микобактерии в мокроте, что часто удается только после многократного исследования.
Информация на сайте подлежит консультации лечащим врачом и не заменяет очной консультации с ним.
См. подробнее в пользовательском соглашении.
Инфильтративный туберкулез легких
Инфильтративный туберкулез рассматривается как фаза прогрессирования очагового туберкулеза легких, при которой инфильтрация, перифокальное воспаление являются ведущими. При данной форме туберкулеза чрезвычайно многообразна пролиферативная, тканевая реакция легких.
Механизм и причины возникновения различных по своему течению инфильтратов сложны. Как правило, инфильтративно-пневмонический процесс развивается на фоне гиперергической реакции организма, гиперсенсибилизации легочной ткани, большой лабильности нервно-вегетативной и эндокринной систем.
Различают следующие клинико-рентгенологические типы инфильтратов (рис. 1):
1) бронхолобулярный инфильтрат;
2) округлый инфильтрат;
3) облаковидный инфильтрат;
4) казеозную пневмонию.
Рис. 1. Схематичное представление рентгенологических типов туберкулезных инфильтратов в легких
Бронхолобулярный инфильтрат - это фокус, расположенный в кортикальных отделах I или II сегментов верхней доли легкого, неправильно округлой формы, с нечеткими контурами, диаметром 1-3 см. При томографии он состоит из 2-3 или нескольких слившихся свежих очагов. Протекает бессимптомно, без функциональных изменений и бацилловыделения (рис. 2).
Округлый инфильтрат - это фокусы затемнения округлой или овальной формы, нерезко контурированные, диаметром 1,5-2 см, расположенные чаще в I-II или VI сегментах легких. От них к корню легкого идет воспалительная «дорожка», на фоне которой определяется проекция бронха (рис. 3а, 3б).
При рентгенотомографическом исследовании удается выявить включения более плотных или обызвествленных очагов, наличие мелких полостей распада, плевральных изменений, рубцовых образований. При прогрессировании круглых инфильтратов происходит увеличение зоны перифокального воспаления, появление признаков распада казеозного центра с образованием каверны. В каверне содержатся секвестры и небольшое количество жидкости - пневмониогенная каверна.
Рис. 2. (а-б). Бронхолобулярный туберкулезный инфильтрат [обзорный снимок (а) + (б) томограмма].
В верхней доле левого легкого определяется участок инфильтрации неправильной формы размером 6X7 см. Интенсивность участка средняя, без четких контуров
Рис. 3. Инфильтративный туберкулез легких [обзорный снимок (а) + томограмма (б)]. В верхней доле правого легкого определяются 2
фокуса размерами 3X3 см, с неровными контурами, неоднородной структуры. Вокруг определяются многочисленные мелкие очаговые тени средней интенсивности.
В результате бронхогенного обсеменения в здоровых участках легких появляются очаги различной величины.
Облаковидный инфильтрат рентгенологически представляет собой неравномерное затемнение, контуры тени которого расплывчаты, оно распространяется на один или несколько сегментов верхней доли легкого (рис. 4). Туберкулезный инфильтрат напоминает картину неспецифической пневмонии, но отличается от нее стойкостью рентгенологических изменений, тенденцией к распаду и образованию каверн.
Инфильтративный туберкулез легких
Инфильтративный туберкулез легких – вторичная туберкулезная инфекция, характеризующаяся распространенным поражением легких с экссудативным типом воспалительной реакции и формированием очагов казеозного распада. В клинической картине преобладает интоксикационный синдром, гипертермия, продуктивный кашель, боли в боку, кровохарканье. В диагностике инфильтративного туберкулеза легких информативны данные физикального, рентгенологического, лабораторного обследования, результаты туберкулиновых проб. Лечение стационарное, с проведением специфической химиотерапии противотуберкулезными препаратами.
МКБ-10


Общие сведения
Инфильтративный туберкулез легких – клинико-морфологическая форма туберкулеза органов дыхания, протекающая с образованием экссудативно-пневмонических очагов в легких с казеозным распадом в центре. Среди всех форм туберкулеза легких инфильтративная форма встречается наиболее часто - в 60-70% случаев. В этой связи организованное выявление более ранних форм туберкулеза является приоритетной задачей пульмонологии и фтизиатрии. Инфильтративный туберкулез легких относится к числу социально-опасных заболеваний. Болеют в основном взрослые (чаще - лица молодого возраста), имеющие неблагоприятные бытовые условия и низкие гигиенические навыки, страдающие вредными привычками. В структуре смертности от туберкулезной инфекции инфильтративная форма занимает около 1%.
Причины
В основе возникновения инфильтративного туберкулеза легких лежит один из двух механизмов: эндогенная реактивация либо экзогенная суперинфекция. Реактивация характеризуется прогрессированием старых или свежих очагов туберкулеза, появлением вокруг них зоны инфильтрации и развитием экссудативной тканевой реакции. Экзогенная суперинфекция, как причина инфильтративного туберкулеза легких, связана с наличием участков гиперсенсибилизации в легких (т. е. зон, ранее контактировавших с туберкулезной инфекцией). При повторном массивном попадании микобактерий туберкулеза в этих очагах развивается гиперергическая реакция, сопровождающаяся инфильтративным воспалением. В обоих случаях обязательным условием заболеваемости выступает наличие специфического противотуберкулезного (вторичного) иммунитете на момент заражения.
Категорию повышенного риска по развитию инфильтративного туберкулеза легких составляют лица, перенесшие контакт с бацилловыделителем, нервно-психическую травму; страдающие алкоголизмом, никотиновой зависимостью, ВИЧ-инфекцией, наркоманией; ведущие асоциальный образ жизни; имеющие хронические заболевания (сахарный диабет, ХНЗЛ и др.) и профессиональные заболевания; подвергающиеся гиперинсоляции и т. д.
Первоначально в легочной ткани образуется инфильтрат диаметром около 3 см, границы которого имеют тенденцию к расширению вплоть до поражения нескольких сегментов или целой доли легкого. Инфильтрат представляет очаг полиморфной экссудации, состоящей из фибрина, мононуклеаров, макрофагов, полиморфноядерных лейкоцитов, альвеолярного эпителия. При слиянии и расширении инфильтратов возникает специфическая долевая пневмония или бронхопневмония.
На следующем этапе участки инфильтрации подвергаются казеозному расплавлению. Лечение инфильтративного туберкулеза легких может способствовать полному рассасыванию инфильтрата, рубцеванию участков, инкапсуляции зоны инфильтрата с образованием туберкуломы легкого. В случае дальнейшего прогрессирования инфильтративного туберкулеза возможны два варианта развития: переход в казеозную пневмонию (устар. – «скоротечная чахотка») либо распад легочной ткани с формированием каверн (кавернозный туберкулез).
Классификация
В современной фтизиатрии принято выделять пять клинико-рентгенологических вариантов инфильтративного туберкулеза легких:
- Облаковидный инфильтрат – рентгенологически определяется в виде слабоинтенсивной гомогенной тени, имеющей расплывчатые контуры. Имеет склонность к быстрому распаду и формированию свежих каверн.
- Круглый инфильтрат – на рентгенограммах имеет вид округлого гомогенного фокуса (иногда с участком распада в виде просветления) с четко очерченными границами; чаще локализуется в подключичной области.
- Дольковый (лобулярный) инфильтрат – при рентгеновском исследовании выявляется негомогенное затемнение неправильной формы, образованное слиянием нескольких очагов, часто с распадом в центре.
- Краевой инфильтрат (перисциссурит) – обширная облаковидная инфильтрация, снизу ограниченная междолевой бороздой. Имеет треугольную форму с углом, обращенным в сторону корня легкого, а основанием – кнаружи. Нередко возникает поражение междолевой плевры, иногда с развитием туберкулезного плеврита.
- Лобит – обширный инфильтрат в легком, занимающий целую долю. Рентгенологически характеризуется негомогенным фокусом с наличием в нем полостей распада.
По размеру различают малые (1-2 см), средние (2-4 см), крупные (4-6 см) и распространенные (более 6 см) инфильтраты. Отдельно выделяют казеозную пневмонию, характеризующуюся инфильтративной реакцией с преобладанием некротических процессов. Казеозно-пневмонические очаги поражают долю или все легкое. Казеозная пневмония чаще развивается на фоне сахарного диабета, беременности, легочных кровотечений, сопровождающихся аспирацией крови, обсемененной микобактериями.
Симптомы инфильтративного туберкулеза легких
Вариант клинического течения зависит от типа инфильтрата. Острое начало характерно для лобита, перисциссурита, некоторых случаев облаковидного инфильтрата. Бессимптомное и малосимптомное течение наблюдается при наличии круглого, лобулярного и облаковидного инфильтратов. В целом же острая манифестация отмечается 15-20% пациентов, постепенная - у 52-60%, бессимптомная – в 25% случаев.
Осложнения
В числе осложнений инфильтративного туберкулеза легких можно встретить казеозную пневмонию, ателектаз легкого, пневмоторакс, плеврит, легочное кровотечение, туберкулезный менингит, реактивный миокардит, сердечную недостаточность. Начало казеозной пневмонии всегда острое: лихорадка достигает 40-41°С, типичны перепады между дневной и вечерней температурой, резко выражена туберкулезная интоксикация. Больных беспокоит одышка, кашель с гнойной мокротой, боли в грудной клетке, прогрессирующее похудание.
Диагностика
Поскольку клинические признаки инфильтративного туберкулеза легких малоспецифичны или отсутствуют совсем, основное значение в диагностике имеют объективные, инструментальные и лабораторные данные. Аускультативная картина характеризуется наличием звучных хрипов; перкуссия обнаруживает притупление звука над областью инфильтрата. Особенно эти изменения выражены при лобите и наличии распада инфильтрата с формированием каверны. Воспалительные изменения крови (сдвиги в лейкоформуле, ускорение СОЭ) незначительны.
Туберкулиновая проба у больных чаще положительная. Рентгенография легких позволяет не только обнаружить инфильтративные изменения, но и оценить характер тени, проследить динамику лечения. Выявить МБТ можно как с помощью микроскопического исследования, так и методом бактериологического посева мокроты или смывных вод бронхов, полученных при проведении бронхоскопии. Подтвердить наличие тубинфекции в организме позволяют новые, высоко достоверные исследования крови: T-SPOT.TB и квантиферон-тест.

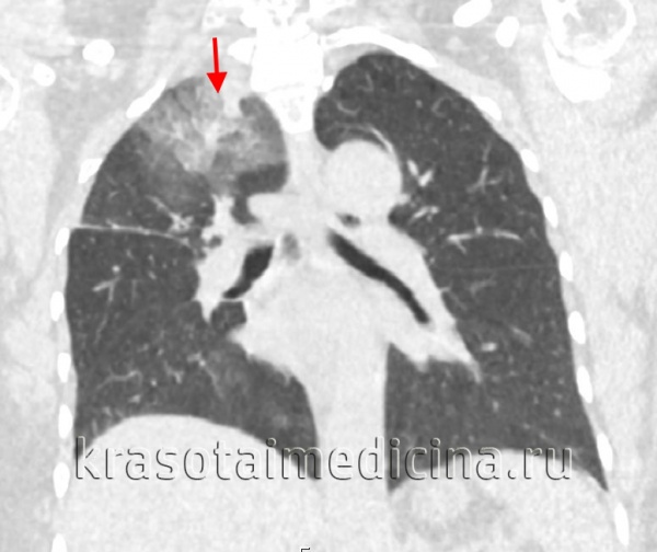
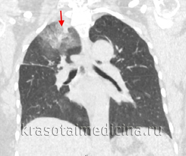
КТ органов грудной клетки. Инфильтрация верхней доли правого легкого у пациента с верифицированным туберкулезом
Дифференцировать инфильтративный туберкулез легких приходится с очаговым туберкулезом, ОРВИ, неспецифической пневмонией, раком легкого, актиномикозом, эхинококкозом и кистами легкого, лимфогранулематозом.
Лечение инфильтративного туберкулеза легких
Пациенты с инфильтративным туберкулезом легких немедленно госпитализируются в противотуберкулезное учреждение, где находятся под наблюдением фтизиатра. Больным назначается патогенетическая терапия специфическими химиопрепаратами (изониазид, пиразинамид, рифампицин, этамбутол). Лечение продолжается в течение нескольких месяцев; критерий прекращения терапии - полное рассасывание инфильтративных изменений по рентгенологическим данным; в дальнейшем в амбулаторных условиях проводятся противорецидивные курсы противотуберкулезной терапии.
Одновременно назначаются иммуномодуляторы, антиоксиданты, кортикостероиды. В условиях рационального лечения клиническая симптоматика исчезает в среднем через 3-4 недели; бактериовыделение прекращается в сроки от 1 до 4-х месяцев; уменьшение и рассасывание инфильтрации, закрытие полостей происходит к 3-4 месяцу. При инфильтративном туберкулезе легких в фазе распада может ставиться вопрос о хирургическом лечении – оперативной коллапсотерапии.
Прогноз
Вариантом прогноза инфильтративного туберкулеза может быть благоприятный исход - рассасывание инфильтрата с остаточными фиброзноочаговыми изменениями легких; реже – полное рассасывание инфильтративного очага. К неблагоприятным исходам причисляют формирование туберкуломы легкого, переход в казеозную пневмонию или фиброзно-кавернозный туберкулез, смерть от нарастающей туберкулезной интоксикации или других осложнений. В современных условиях, при проведении противотуберкулезной терапии, неблагополучные исходы встречаются редко.
Профилактика инфильтративного туберкулеза легких не отличается от мер предупреждения заболеваемости другими формами туберкулезной инфекции. Поскольку больные с инфильтративной формой являются бацилловыделителями, необходимо как можно более раннее их выявление, изоляция и лечение.
2. Клинические проявления и эффективность лечения инфильтративного туберкулеза легких: Автореферат диссертации/ Назарова Н.В. – 2005.
3. Диагностика и дифференциальная диагностика инфильтративного туберкулёза лёгких в условиях высокоспециализированных противотуберкулёзных учреждений: Диссертация/ Посаженникова С. Ю. – 2015.
4. Особенности клинических проявлений заболевания и эффективность лечения больных инфильтративным туберкулезом легких, вызванным лекарственно-устойчивыми микобактериями: Автореферат диссертации/ Барламов О.П. – 2007.
Что такое инфильтративный туберкулез легких?
Развитие инфильтративного туберкулеза чаще связано с обострением процесса во внутригрудных лимфоузлах. При этом туберкулезная инфекция оттуда распространяется в легочную ткань лимфогенным путем, благодаря наличию в легких не только прямого, но и ретроградного тока лимфы, а также бронхогенным путем. У подобных больных может выявляться специфический эндобронхит. В таких случаях инфильтрат может иногда локализоваться не только в верхних, но также в средних и нижних отделах легких, что необходимо учитывать при диагностике. Кроме этого, инфильтративный туберкулез может возникать в результате прогрессирования свежего очагового туберкулеза и обострения старых фиброзно-очаговых изменений в легких, а также в связи с суперинфекцией.
Источники инфильтративного и очагового туберкулеза в общем одинаковы, но в одних случаях развивается ограниченный процесс со склонностью к продуктивной реакции (очаговый), в других – преимущественно экссудативно-альтеративный (инфильтративный). Различие заключается, главным образом, в местной тканевой реакции.
Инфильтративный туберкулез – это гиперергическое воспаление в легочной ткани, которое развивается в участках легкого, отвечающих выраженной гиперергической реакцией на проникновение микобактерий.
Различают несколько клинико-рентгенологических форм инфильтратов.
• Круглый, или ограниченный, типа Ассмана-Редекера. Не очень интенсивная, относительно гомогенная тень, часто с просветлением (распад) и довольно четкими контурами, «дорожкой» к корню.
• Облаковидный. Чаще неоднородная тень неправильной формы, различных, нередко больших размеров (сегментарный или полисегментарный) с нечеткими размытыми контурами. Склонен к быстрому формированию полости распада, наиболее частая форма инфильтративного туберкулеза.
• Лобит. Обширный инфильтрат, занимающий долю легкого, тень чаще негомогенная, с полостями распада, которые в ряде случаев могут достигать больших размеров.
• Перисциссурит (краевой инфильтрат). Располагается по краю междолевой плевры, которая вовлекается в процесс, поэтому нижняя граница четкая, верхняя – размытая, наличие распада не исключается.
• Прикорневой инфильтрат. Представляет собой разновидность облаковидного инфильтрата в прикорневой зоне.
• Бронхолобулярный инфильтрат. Негомогенное образование из нескольких слившихся очагов, располагается чаще во 2-м или 1-м сегментах, наружные контуры нечеткие.
Клинические проявления инфильтративного туберкулеза выражены тем больше, чем обширнее поражение легких. Иногда, особенно при облаковидном инфильтрате или лобите, имеет место острое начало с температурой до 38°С и выше, симптомами специфической интоксикации, кашлем с выделением мокроты. Кашель обычно умеренный, при поражении бронхов – сильный, иногда с кровохарканьем, изредка легочным кровотечением. Кровохарканье может быть первым симптомом, приводящим больного к врачу. При небольших инфильтратах может быть бессимптомное течение. Чаще отмечается постепенное начало: выявляются общая слабость, недомогание, снижение аппетита, субфебрильная температура, потливость, похудание, небольшой кашель. При вовлечении в процесс плевры возникают боли в груди.
Объективное исследование позволяет выявить укорочение или притупление перкуторного звука, в зависимости от размеров поражения, мелкопузырчатые, а при распаде и среднепузырчатые влажные хрипы. Однако при ограниченной протяженности инфильтрата изменений в легких нередко найти не удается. Хрипы при небольшой протяженности процесса лучше выслушиваются на вдохе после покашливания. Бронхиальное дыхание в целом нехарактерно для инфильтративного туберкулеза. Оно выслушивается при наличии полости распада среднего или большого размера.
При рентгенологическом исследовании находят одну из перечисленных форм инфильтрата. В целом для инфильтративного туберкулеза характерна неоднородность тени, нечеткость наружных контуров, ее расположение в верхней доле, хотя в 6–8% инфильтративный туберкулез может быть нижнедолевым, наличие дорожки к корню, довольно частое обнаружение просветлений, т. е. полостей распада, а также мелких и средних очагов обсеменения в одном или обоих легких.
В крови при этой форме туберкулеза – умеренный лейкоцитоз, повышенная СОЭ, сдвиг лейкоцитарной формулы влево с эозинопенией и лимфопенией, увеличением палочкоядерных и сегментированных нейтрофилов. Микобактерии туберкулеза выявляют в мокроте часто, особенно при многократных исследованиях различными методами. Обнаружение их является важнейшим признаком, необходимым при дифференциальной диагностике.
Течение инфильтративного туберкулеза зависит от характера исходного процесса, его распространенности, наличия полостей распада, интенсивности лечения. В настоящее время стали встречаться остро-прогрессирующие его формы, особенно при наличии лекарственной устойчивости МБТ. Возможны обострения, рецидивы с переходом в фиброзно-кавернозный туберкулез. Негативную роль играет наличие факторов риска. Тем не менее, у большинства больных при своевременном выявлении и интенсивной адекватной терапии достигается закрытие полости распада, прекращение бактериовыделения, рассасывание инфильтрата с последующим клиническим излечением. При этом обычно имеются плотные очаги, фиброзные изменения. В некоторых случаях, при инфильтративном туберкулезе, который сопровождается поражением бронха и гиповентиляцией (ателектазом), развивается цирроз в соответствующем участке легкого.
Дифференцировать следует с различными видами пневмоний (крупозной, очаговой и т. п.), острым абсцессом, центральным раком, инфарктом легкого и инфаркт-пневмонией. В пользу туберкулезной этиологии патологического процесса свидетельствуют анамнез, наличие старых посттуберкулезных изменений, умеренный подъем температуры, более скудные аускультативные данные, небольшой лейкоцитоз, обнаружение МБТ, отсутствие эффекта от противовоспалительного лечения.
Исходы и прогноз при инфильтративном туберкулезе.
Исходы могут быть благоприятными и неблагоприятными и определяются тремя моментами:
Чаще всего наблюдаются благоприятные исходы:
- значительное рассасывание инфильтрации с формированием остаточных фиброзных и различной степени фиброзно-очаговых изменений (как правило);
- полное рассасывание без видимых остаточных изменений (редко).
- частичное рассасывание и осумкование с формированием туберкуломы;
- частичное (недостаточное рассасывание) с формированием выраженного метатуберкулезного синдрома в виде цирроза с легочно-сердечной недостаточностью;
- неуклонное прогрессирование туберкулезного процесса с переходом в казеозную пневмонию и смертельных исход от нарастающей туберкулезной интоксикации;
- хроническое течение с переходом в фиброзно-кавернозный туберкулез.
При подозрении на туберкулез легких можно пройти обследование в противотуберкулезном отделении поликлиники №1. Врачи фтизиатры принимают с 8.00 до 19.00, кроме субботы, воскресенья. Контактный телефон 50-31-29.
Врач фтизиатр
противотуберкулезного отделения
поликлиники №1
Иванов Владимир Петрович
Приемная главного врача
(+375 214) 50-62-70
(+375 214) 50-62-11 (факс)
Инфильтративный туберкулез: что это такое?

Продолжительный кашель с отделением мокроты с примесью крови, но без повышенной температуры — признак того, что в организме происходят патологические процессы. К сожалению, немногие знают, что это такое, поэтому инфильтративный туберкулез легких не всегда своевременно диагностируется. Зачастую он представляет собой вторичный недуг, поскольку возникает на фоне очаговой формы.
Инфильтрат представляет собой воспаленный фокус легочной ткани с некротизированным участком в центре. Поражает заболевание, как правило, взрослых людей молодого возраста. У 65-75 % всех пациентов, впервые обратившихся к пульмонологу за лечением туберкулеза, диагностируют именно инфильтративную форму. Летальный исход от этого недуга наступает в 1 % случаев, поэтому при первых его признаках визит к врачу откладывать не следует.
Информацию из данного раздела нельзя использовать для самодиагностики и самолечения. В случае боли или иного обострения заболевания диагностические исследования должен назначать только лечащий врач. Для постановки диагноза и правильного назначения лечения следует обратиться к профильному специалисту.

Симптомы
Это заболевание имеет две формы развития: острую и вялотекущую. Во втором случае инфильтративный туберкулез протекает почти бессимптомно. Вялотекущая форма наблюдается у 40 % пациентов. К общим ее признакам относятся:
- быстрая утомляемость;
- сонливость;
- потеря аппетита;
- повышенное потоотделение;
- незначительное покашливание.
Зачастую пациенты не обращают должного внимания на свое самочувствие, потому что не знают, что такое состояние — это инфильтративный туберкулез легких. Они связывают вышеперечисленные симптомы с курением, стрессом и переутомлением. В результате заболевание обнаруживается уже на поздних стадиях и лечится сложно.
Однако если инфильтративный туберкулез возникает в острой форме, то его проявления нарушают привычный ритм жизни и существенно снижают ее качество, поскольку доставляют серьезный дискомфорт. Симптомы этого заболевания достаточно сильно напоминают пневмонию или грипп. К ним относятся такие проявления:
- надсадный сухой кашель, а затем влажный с примесями крови;
- повышенная температура тела (до 39 °C);
- боль в области грудной клетки;
- сильная слабость.
Стоит сказать, что спустя недели две-три симптоматика идет на спад. Температура тела снижается и больной чувствует улучшение. Это обусловлено тем, что он откашливает казеозные массы, в результате чего сокращается всасывание отравляющих веществ и уменьшается интоксикация. Больной перестает беспокоится, думая, что наступило выздоровление. Однако в это время как инфильтративный туберкулез прогрессирует, что подтверждается возобновлением симптомов спустя некоторое время. К прежним проявлениям добавляются хрипы, изменение дыхания и легочного звука.

Причины инфильтративного туберкулеза
Это заболевание носит инфекционный характер. Инфильтративный туберкулез легких вызывают микобактерии, что это такое, и как избежать заражения, известно далеко не всем. Основным пусковым механизмом развития недуга является ослабленный иммунитет. К остальным причинам, провоцирующим заболевание, можно отнести:
- курение;
- стрессы;
- злоупотребление алкоголем;
- ВИЧ;
- употребление наркотических веществ;
- плохие социально-бытовые условия.
Риск заразиться инфильтративным туберкулезом легких также возрастает у людей, страдающих определенными заболеваниями: сахарным диабетом,неспецифическими патологиями легких,силикозом.
Патогенные микроорганизмы передаются воздушно-капельным путем. Они проникают в альвеолы легких вместе с частицами слюны инфицированного человека. Инкубационный период может затянуться на несколько лет. В группу риска входят люди, проживающие в неблагополучных условиях, а также: мигранты,беженцы,заключенные,бездомные,наркозависимые.
Важную роль в активизации микобактерий играет переохлаждение. Также развитию болезни способствуют постоянные стрессы, недостаток витаминов и микроэлементов, голодание. При этом иммунитет чрезвычайно ослаблен и не выполняет своей защитной функции. Также заражению сильно подвержены дети из неблагополучных семей. Их еще не сформировавшийся иммунитет не может противостоять негативному воздействию, например, табачного дыма, который вынуждены вдыхать малыши во время курения родителей.
Какой врач лечит инфильтративный туберкулез?
Читайте также:
