Диагностическая тактика при множественных и сочетанных ранениях груди
Добавил пользователь Владимир З. Обновлено: 21.10.2025
Политравма – это сложный патологический процесс, обусловленный повреждением нескольких анатомических областей или сегментов конечностей с выраженным проявлением синдрома взаимного отягощения, который включает в себя одновременное начало и развитие нескольких патологических состояний и характеризуется глубокими нарушениями всех видов обмена веществ, изменениями со стороны центральной нервной системы (ЦНС), сердечно-сосудистой, дыхательной и гипофизарно-надпочечниковой систем [1].
Множественная травма – повреждение двух и более органов одной полости, двух и более анатомических образований опорно-двигательного аппарата, повреждение магистральных сосудов и нервов в различных анатомических сегментах.
Сочетанная травма – повреждение внутренних органов различных полостей, совместные травмы внутренних органов и опорно-двигательной системы, совместная травма опорно-двигательного аппарата и магистральных сосудов и нервов.
В настоящее время политравму необходимо рассматривать в неразрывной связи с клинико-патофизиологическими особенностями течения травматической болезни.
Концепция травматической болезни предполагает изучение и оценку всего комплекса явлений, возникающих при тяжелых механических повреждениях организма в неотрывной связи с реакциями приспособительного, адаптивного характера в их сложных взаимосвязях на всех этапах болезни – с момента травмы до ее исхода: выздоровления (полного или неполного) или гибели [2].
- при завале сыпучими материалами.
Т 03 - Вывихи, растяжения и перенапряжение капсульно-связочного аппарата суставов, захватывающие несколько областей тела
Т 03.2 - Вывихи, растяжения и перенапряжение капсульно-связочного аппарата суставов нескольких областей верхней(их) конечности(ей)
Т 03.3 - Вывихи, растяжения и перенапряжение капсульно-связочного аппарата суставов нескольких областей нижней(их) конечности(ей)
Т 03.4 - Вывихи, растяжения и перенапряжение капсульно-связочного аппарата суставов нескольких областей верхней(их) и нижней(их) конечности(ей)
Т 03.8 - Другие сочетания вывихов, растяжений капсульно-связочного аппарата суставов и перенапряжений нескольких областей тела
Т 03.9 - Множественные вывихи, растяжения и перенапряжение капсульно-связочного аппарата суставов неуточненные
S26 - Травма сердца
S26.0 - Травма сердца с кровоизлиянием в сердечную сумку
S26.8 - Другие травмы сердца S26.9 - Травма сердца неуточненная
S27 - Травма других и неуточненных органов грудной клетки
S22.2 - Перелом грудины
S22.3 - Перелом ребер
S22.4 - Множественные переломы ребер
S22.5 - Западающая грудная клетка
S22.8 - Перелом других отделов костной грудиной клетки
S30.7 - Множественные поверхностные травмы живота, нижней части спины и таза
S31.7 - Множественные открытые раны живота, нижней части спины и таза
Дата разработки протокола: 2013 год
Категория пациентов: пациенты с политравмой, возникшей в результате воздействия различных повреждающих агентов.
Пользователи протокола: врачи-травматологи, анестезиологи-реаниматологи, врачи скорой помощи, хирурги, нейрохирурги, челюстно-лицевые хирурги, оториноларингологи, урологи, ангиохирурги.

Автоматизация клиники: быстро и недорого!
- Подключено 300 клиник из 4 стран
- 800 RUB / 4500 KZT / 27 BYN - 1 рабочее место в месяц

Автоматизация клиники: быстро и недорого!
- Подключено 300 клиник из 4 стран
- 1 место - 800 RUB / 4500 KZT / 27 BYN в месяц
Мне интересно! Свяжитесь со мной
13-15 октября, Алматы, "Атакент"
600 брендов, более 150 компаний-участников из 20 стран.
Новинки рынка стоматологии. Цены от производителей
Классификация
1. Период острой реакции на травму: соответствует периоду травматического шока и раннему постшоковому периоду; его следует рассматривать как период индукционной фазы СПОН.
2. Период ранних проявлений травматической болезни: начальная фаза СПОН – характеризуется нарушением или неустойчивостью функций отдельных органов и систем.
3. Период поздних проявлений травматической болезни: развернутая фаза СПОН – если больной выжил в I периоде течения травматической болезни, то протеканием именно этого периода определяется прогноз и исход болезни.
4. Период реабилитации: при благоприятном исходе, характеризуется полным или неполным выздоровлением.
Вышеизложенная концепция призывает рассматривать травматический шок, кровопотерю, посттравматический токсикоз, тромбогеморрагические нарушения, посттравматическую жировую эмболию, СПОН, сепсис не как осложнения политравмы, а как патогенетические связанные звенья единого процесса – травматической болезни [3].
Схема 1. Классификация травм [4]


Схема 2. Классификация сочетанных механических повреждений [4].
Диагностика
II. МЕТОДЫ, ПОДХОДЫ И ПРОЦЕДУРЫ ДИАГНОСТИКИ И ЛЕЧЕНИЯ
3. Общий анализ крови: уровень эритроцитов, лейкоцитов, гемоглобина, гематокрит, СОЭ, агрегация эритроцитов
4. Биохимический анализ крови: общий белок, его фракции, мочевина, креатинин, билирубин и его фракции, ферментативная активность крови, липидный состав крови, электролиты
15. Рентгенография различных сегментов опорно-двигательного аппрата в зависмости от локализации повреждений
16. Компьютерная томография черепа, грудного, абдоминального сегментов позвоночника, таза – по показаниям в зависимости от локализации повреждений, механизма травмы
Транспортировка больного в отделение лучевой диагностики для проведения КТ возможна только после исключения внутрибрюшного кровотечения и патологии органов грудной клетки, требующих оперативного вмешательства.
Оценка состояния больного должна проводится на основании результатов проведенных обследований по интегральным прогностическим шкалам [7.]
Для оценки тяжести травмы используется шкала TRISS, базирующаяся на шкале RTS с поправкой на возраст.

Таблица 3. Шкала Revised Trauma Score (RTS)[7]
b0 , b1 , b2 ,b3 - коэффициенты, полученные методом регрессивного анализа (разные для закрытой и открытой травмы).
Таблица 4. Шкала оценки острого и хронического состояния здоровья II – The Acute Physiology and Chronic Health Evaluation II (APACHE II) [Knaus W.A. et al., 1985]
А. Физиологическое состояние здоровья
- Тяжелая хроническая обструктивная болезнь легких (гиперкапния, необходимость проведения кислородотерапии в условиях дома)
C. Коррекция хроническими заболеваниями

Таблица 5. Общая сумма баллов APACHE II
Анамнез: полезна первичная информация, которую могут сообщить родственники пострадавшего, очевидцы случившегося или сотрудники бригады, доставившие пострадавшего с места травмы.
Своевременная и краткая информация о механизме травмы , времени от момента травмы, величине ориентировочной кровопотери на месте травмы может значительно облеглить работу врачей и улучшить ее результаты.
В первую очередь проводится оценка нарушений сознания. С этой целью более удобно пользоваться шкалой ком Глазго – Glasgow Come Scale (GCS) (см.таб.1)

Таблица 1. Шкала ком Глазго
Градации расстройств сознания
Необходимо тщательно осмотреть глазные яблоки, оценить ширину зрачков и выявить наличие глазодвигательных нарушений как признака внутричерепного объемного процесса. Следует осмотреть волосистую часть головы, ротоглотку и все кожные покровы с целью выявления проникающих повреждений и инородных тел (в том числе протезов глазных яблок и вставных челюстей).
Целесообразно считать, что все пациенты с политравмой «условно» имеют повреждение шейного отдела позвоночника. Эта концепция требует обязательного применения коаксальной стабилизации при помощи жесткого съемного воротника начиная с догоспитального этапа оказания медицинской помощи. Подозрение на повреждение шейного отдела позвоночника снимается только после рентгенологического контроля, даже несмотря на высокий уровень сознания пострадавшего и отсутствие выраженной очаговой симптоматики!
При осмотре грудной клетки следует обратить внимание на видимую деформацию и асимметричное участие грудной клетки в акте дыхания. Необходимо внимательно осмотреть состояние ключиц, ребер и осторожно после поворота пострадавшего на бок – грудной и поясничный отделы позвоночника. Деформация грудной клетки свидетельствует о травме грудной клетки с нарушением ее каркасной функции и развитием гемо- или пневмотораксов. Наличие набухания яремных вен на фоне низких показателей системного АД в сочетании с деформацией грудной клетки или наличием проникающего ранения в «опасной» зоне позволяет заподозрить ранение сердца с развитием его тампонады.
Слева – среднеподмышечная линия
Выявленная у пострадавшего деформация позвоночника, болезненность при пальпации может свидетельствовать о его повреждении. Отсутствие у пострадавшего активных движений в нижних конечностях, выраженный брюшной тип дыхания при слабой экскурсии грудной клетки может быть признаком повреждения спинного мозга.
Первичный осмотр передней брюшной стенки при политравме недостаточно информативен. Однако необходимо осмотреть кожные покровы с целью выявления кровоизлияний в проекции паренхиматозных органов. Если пострадавший в сознании, то пальпация живота может выявить симптомы раздражения брюшины. В обязательном порядке должна быть визуально осмотрена промежность с проведением ректального и вагинального исследований. Катетеризация мочевого пузыря проводится осторожно с учетом возможного повреждения уретры. Макрогематурия является показанием для проведения рентгенологических исследований с использованием контраста с целью исключения повреждения мочевого пузыря и почек.
В случае отсутствия сознания или при его значительном угнетении клинические методы (перкуторное определение уровня жидкости, аускультация, определение увеличения окружности живота в динамике) не могут исключить патологию органов брюшной полости. Тогда исключение патологии органов брюшной полости (в первую очередь паренхиматозных) становится приоритетным для следующего диагностического этапа – «инструментального».
Осмотр верхних и нижних конечностей направлен на выявление деформации, переломов трубчатых костей и повреждение суставов. Особое внимание следует уделить выявлению возможных переломов костей таза. Иммобилизация переломов должна проводится на догоспитальном этапе, в противном случае это следует сделать сразу при поступлении в стационар.

Все пациенты с политравмой в обязательном порядке должны совместно осматриваться травматологом, реаниматологом, хирургом, нейрохирургом.
Консультации других специалистов – в зависимости от локализации повреждений (оториноларинголог, челюстно-лицевой хирург, уролог) и наличия комбинированной травмы (комбустиолог).
Лечение
Цель лечения: стабилизация состояния больного и профилактика септических осложнений, синдрома осрого повреждения легкого, полиорганной недостаточности.
Режим в зависимости от тяжести состояния – 1, 2, 3. Диета – 15; другие виды диет назначаются в зависимости от сопутствующей патологии
2. Обеспечение адекватной перфузии тканей, что достигается коррекцией острой кровопотери, гиповолемических и метаболических расстройств.
5. Оперативное лечение повреждений.
Абсолютные показания для эндотрахеальной интубации(интубация трахеи и перевод на ИВЛ осуществляется при наличии хотя бы одного признака):
3. Угнетение сознания по шкале ком Глазго менее 8 баллов; нарушение механики дыхания (множественные переломы ребер с флотацией грудной клетки).
Дополнительные признаки для эндотрахеальной интубации (интубация трахеи и перевод на ИВЛ производится при наличии хотя бы двух признаков):
Диагностическая тактика при множественных и сочетанных ранениях груди
Подчеркивая сложность выбора диагностических средств и методов хирургического лечения при сочетанных ранениях груди и живота, крупнейшие специалисты США в области хирургии повреждений, J. A. Asensio и соавт., в статье с красноречивым названием «Торакоабдоминальные ранения: нерешенная проблема— какая полость и когда?» справедливо подчеркивают, что «сочетание ранения груди с ранениями других анатомических областей кардинальным образом изменяет общепринятую последовательность диагностических и лечебных мероприятий».
Ясно, что наличие к тому же еще и ранений шеи только усложняет ситуацию. Хирургические операции при огнестрельных сочетанных ранениях груди и живота Н. Н. Бурденко называл атипичными. По этому поводу он еще в 1939 г. писал: «Атипичные операции при одновременном ранении живота и груди, полости живота и органов малого таза решаются каждый раз на основании конкретной ситуации».
И в наше время в подавляющем большинстве авторы, подчеркивая сложность принятия тактических решений, рекомендуют подходить к выбору тактики индивидуально [Авилова О. М. и др., Шапошников Ю. Г. и др., Shi Y. К.]. Однако такая позиция не дает практическим врачам никаких критериев для общей оценки множества вариантов ранений, что ведет к большому числу тактических ошибок и осложнений [Ivatury R. R. et al.].
J. A. Asensio и соавт. отмечают, что неадекватная последовательность операций (торакотомия, затем лапаротомия или наоборот) наблюдается в 44 % случаев. Основными причинами ошибочных решений, по их мнению, является устойчивая гипотония (18%) и, в частности, неверная оценка количества отделяемой крови из дренажа плевральной полости (10%).
В понятие диагностической тактики входит определение последовательности и объема диагностических методов в каждом конкретном случае. Помимо информационной ценности метода хирург должен оценивать реальность его применения, а также время, затрачиваемое на получение информации. Кроме того, в оценке того или иного метода необходимо исходить из разумного объема информации, достаточного для принятия правильного решения.
Так, например, ультразвуковое исследование, спиральная компьютерная томография и тем более лапароскопия могут дать исчерпывающую информацию о характере ранений, например селезенки. Однако при наличии в брюшной полости 1800 мл крови и продолжающемся кровотечении эта дополнительная информация не повлияет на принятие решения о немедленной лапа-ротомии, и тратить на ее получение время нерационально.
Приоритеты в определении очередности применения доступов и условия, в которых необходимо изменить ход операции в зависимости от динамики в течении ранений шеи, груди и живота, будут нами изложены после ряда конкретных клинических примеров.
Критическое состояние пострадавшего и дефицит времени диктуют необходимость использования быстрых и точных методов диагностики даже при изолированных ранениях шеи, груди и живота. Повреждение двух и более анатомических областей ставит хирурга перед проблемой выбора очередности и объема вмешательства.
Надежда на клинические критерии (типа пресловутых симптомокомплексов) или на расчеты траектории ранящих снарядов (при огнестрельных ранениях) не привели к заметным успехам в определении характера ранений и превалирующего повреждения. Как признавал в своей монографии О. Чиковани, «точный и своевременный диагноз все еще остается ахиллесовой пятой торакоабдоминальных ранений». Точно так же и попытки строить диагностику торакоабдоминальных ранений на основании нарушений дыхания и частоты сердечных сокращений (А. Ю. Созон-Ярошевич, О. Чиковани) оказались несостоятельными, так как нарушения дыхания и гемодинамики отражают общую тяжесть состояния пострадавшего, но не могут быть критериями в определении характера ранения.
По данным Е. А. Вагнера, торакоабдоминальный характер ранения до операции был установлен в 32,4 %. М. П. Постолов и соавт. сообщали, что 66% торакотомий, выполненных у пострадавших с подозрением на торакоабдоминальное ранение, оказались диагностическими.
В. П. Сидоров и соавт. опубликовали данные, согласно которым у 16 из 65 пациентов с торакоабдоминальными ранениями из-за тяжести состояния и наличия алкогольного опьянения не удалось выяснить характер жалоб, чтобы определить клинический симптомокомплекс.
Чувствительность и специфичность различных видов обследования (показатели в процентах)
Высокую достоверность в диагностике проникающих ранений груди, сердца показали клинический, рентгенологический и ультразвуковые методы. Именно на них следует делать упор при подозрении проканиющего ранения груди.
Что касается ранений шеи, то использование УЗИ позволяет диагностировать не только патологические изменения в области шеи, но и в плевральных полостях. При отсутствии обширной эмфиземы мягких тканей при ультразвуковом исследовании в проекции сосудистого пучка можно отчетливо видеть гематому как признак повреждения сосудов шеи. Однако решающим фактором в определении последовательности хирургических вмешательств является определение величины гемоторакса при сочетанных ранениях шеи и груди, а также величина гемоторакса и гемоперитонеума при сочетанных ранениях груди и живота.
Таким образом, обзорная рентгенография шеи, груди, живота позволяет в определенной степени получить объективные данные о характере повреждений, но низкая чувствительность метода и большая трата времени заставляет хирургов относиться к рентгенологическому методу с некоторой долей скептизма [Asensio J. A. et al.].
Ультразвуковое исследование является быстрым, мобильным и высокочувствительным методом выявления гематом и скоплений свободной жидкости (крови) в серозных полостях. В этом плане метод, являясь неинвазивным, в подавляющем большинстве наблюдений заменяет такие инвазивные методы, как торакоцентез и лапароцентез. Однако он не информативен при эмфиземе мягких тканей шеи и груди, выраженном пневматозе кишечника. Диагностические возможности метода напрямую зависят от опыта врача и качества ультразвуковой аппаратуры.
Что касается таких специальных методов диагностики, как ренттеноконтрастные методы (включая ангиографию), эндоскопические методы, спиральная компьютерная томография и магниторезонансная томография, то для них существуют более узкие показания, которые возникают после первичного обследования пострадавшего. Рентгеноконтрастное исследование пищевода следует применять при подозрении на его повреждение. Для исключения ранения глотки, пищевода, гортани, трахеи и бронхов используются эндоскопические методы, в том числе и на операционном столе.
На основании опыта диагностики и лечения 3670 пострадавших с сочетанными ранениями груди можно сформулировать следующие положения.

В диагностике характера повреждений важное место по-прежнему занимает тщательный клинический осмотр, рентгенологическое исследование груди и смежных областей (шея, живот). Основной задачей первичного обследования является обнаружение признаков кровотечения (свободной жидкости в плевральных полостях, полости перикарда, брюшной полости), а также наличия кровоизлияний и гематом мягких тканей шеи, средостения и забрюшинного пространства.
Метод ультразвукового исследования позволяет в кратчайшее время получить данные о количестве свободной жидкости в плевральных полостях, полости сердечной сорочки, брюшной полости, что в подавляющем большинстве наблюдений и определяет хирургическую тактику. Достаточно высокая диагностическая достоверность ультразвуковых методов и возможность их выполнения непосредственно в операционной как до, так и в ходе оперативного вмешательства делает их методом выбора в диагностике превалирующего повреждения и определении хирургической тактики.
При подозрении на такие специфические повреждения, как ранение пищевода, трахеи и бронхов, используем эндоскопические методы диагностики. К дополнительным методам исследования (спиральная компьютерная томография, ангиография) прибегаем при необходимости уточнения характера повреждений, локализации инородных тел и при стабильном состоянии пациентов.
Завершая этот раздел, считаем необходимым остановиться на организационных моментах диагностики при ранениях шеи, груди и живота. В любых областях неотложной хирургии, в том числе и в хирургии повреждений, первичное применение любых методов диагностики (в том числе и лабораторных, которые не являются специфическими для определения характера повреждений и поэтому нами не рассматриваются) может не дать оснований для установления правильного диагноза.
Прежде всего это касается оценки темпа внутриплеврального кровотечения, когда исследование, выполненное в первый час после ранения, может не отражать тяжесть повреждения, так как накопление патологического содержимого в плевральных полостях при ранении происходит постепенно. Сравнение данных исследования в динамике дает возможность оценить произошедшие изменения и принять меры к коррекции методов лечения.

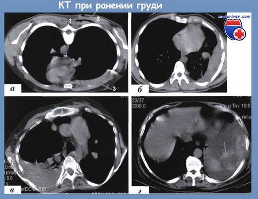
Спиральные компьютерные томограммы груди при гемотораксе различного объема
При стабильном состоянии пациента хирург ставит задачи исследования, которое должно быть выполнено в приемном отделении стационара, а специалист лучевой диагностики определяет методику исследования, адекватную поставленным задачам.
При тяжелом состоянии пострадавшего необходимость и последовательность применения методов диагностики и их объем определяются хирургом и реаниматологом. Естественно, что предпочтение отдается быстрому, информативному и простому методу, который будет достаточным для определения немедленных действий, направленных на спасение жизни, а именно -определению приоритетов в очередности и объеме хирургических вмешательств на шее, груди и брюшной полости.
Мы не разделяем точку зрения тех авторов, которые считают, что обследование и интенсивное лечение пострадавших, в частности с торакоабдоминальными ранениями, следует начинать в условиях реанимационного отделения [Нечаев Э.А., Бисенков Л. Н.]. Пострадавшие с сочетанными ранениями груди, доставленные в стационар с явлениями дыхательной недостаточности и нестабильной гемодинамикой, должны быть немедленно транспортированы в операционную, где на операционном столе дежурная бригада одновременно проводит реанимационные, диагностические мероприятия и подготовку к экстренной операции.
При этом приоритетным методом диагностики является ультразвуковое исследование, которое за несколько минут дает необходимую на данный момент информацию о количестве крови в серозных полостях и о признаках ранения крупных сосудов шеи, груди, живота. Исследованию следует подвергать не только область ранения, но и смежную область. Весьма полезную информацию дают и рентгенограммы шеи, груди и живота, сделанные на операционном столе. Через некоторое время, затрачиваемое на обработку пленок, эта информация становится известной дежурной бригаде, включая анестезиолога (которому важно иметь сведения о состоянии легких и плевральных полостей).
Конечно, такие объективные методы, как СКТ и МРТ, дают более демонстративные результаты, но тяжесть состояния пациентов, как и время, затрачиваемое на транспортировку и исследование пострадавших, часто является непреодолимым препятствием к их использованию.
Положения, изложенные выше, можно представить в виде следующего алгоритма.
Основная цель диагностики — выявить все источники наружного, внутриполостного (грудь, живот) или внутритканевого (шея, средостение, забрюшиннос пространство) кровотечения.
Редактор: Искандер Милевски. Дата обновления публикации: 18.3.2021
Восполнение кровопотери при множественных и сочетанных ранениях груди
Специалист в хирургии повреждений, владеющий техникой операций на органах шеи, груди и живота, должен:
1) быстро выявить все повреждения;
2) определить повреждение, превалирующее по тяжести и опасности для жизни пострадавшего;
3) применить оптимальный доступ и минимальный объем вмешательства, цель которого состоит в обеспечении гемостаза и прекращении инфицирования.
На протяжении всей истории хирургии остановка кровотечения была главной и первейшей задачей. В руководстве по оперативной хирургии, изданном в 1840 г., X. Соломон писал: «Во всякой ране особенного внимания достойно кровотечение, которое должно стараться остановить, когда оно бывает стремительное. Не должно приступать к какой-либо операции, не обдумавши наперед, каким образом остановить кровотечение, могущее при ней встретиться: оно первое при операциях и ранениях составляет самую большую опасность».
Следует помнить, что при нестабильной гемодинамике, когда для спасения жизни пациента необходимо быстрое завершение операции, возрастает опасность просмотренных повреждений. В таких случаях хирург должен быть готов к повторному вмешательству, как только удастся стабилизировать гемодинамику.
Восполнение кровопотери
Как известно, с целью быстрого восполнения дефицита ОЦК анестезиолог начинает инфузионную терапию с введения больших объемов (до 200 мл/ мин) плазмозамещающих растворов. В критическом состоянии пострадавшего единственной задачей хирурга является быстрейшая временная остановка кровотечения. По достижении этой цели операция по согласованию с анестезиологом может быть приостановлена до стабилизации гемодинамики. В арсенале анестезиолога имеется ряд эффективных инфузионных сред и прежде всего компоненты донорской крови.
Интраоперационная компенсация острой кровопотери после достижения гемостаза хирургическим методом является одним из условий сохранения жизни пострадавшего. Исследования ученых показали, а клинический опыт подтвердил, что лечение надо начинать с введения в организм коллоидных кровезаменителей гемодинамического действия с большим молекулярным весом, таких как инфузол, альбумин, желатиноль.
Их введение восстанавливает объем циркулирующей крови и показатели центральной гемодинамики, что приводит к ликвидации циркуляторной гипоксии, первопричиной которой является гиповолемия. Кроме того, повышение коллоидно-осмотического давления в сосудистом русле привлекает в его просвет большое количество межтканевой жидкости, разгружая ткани от избытка воды, солей и мелкодисперсного белка и предупреждая развитие отека легких.
В то же время при ранениях крупных сосудов инфузия больших объемов представляет собой определенную опасность. Закрывающий дефект стенки сосуда сверток крови при повышении давления может оторваться и временно остановившееся кровотечение может возобновиться. Поэтому при подозрении на ранение магистрального сосуда тактика реаниматолога-анестезиолога должна быть такой же, что и при разрывах аневризмы аорты: максимальное артериальное давление не поднимать выше 100-110 мм рт. ст.

Однако компенсация дефицита объема циркулирующей крови плазмозаменителями приводит в то же время к гемодилюции, так как число переносчиков кислорода (эритроцитов) остается по-прежнему малым. Если при этом увлечься введением больших объемов плазмозамещающих растворов, это приведет к увеличению нагрузки на сердечно-сосудистую систему, нарушению функционального состояния миокарда из-за недостатка его кислородного снабжения и к сердечной недостаточности.
Кроме того, гемодилюция может привести к коагулопатии потребления из-за гипокоагуляции вследствие разведения концентрации свертывающих факторов, а также к гипопротеинемии. Следовательно, одновременно с крупномолекулярными коллоидными растворами необходимо ввести в организм эритроциты.
С точки зрения сегодняшнего дня, переливание крови от одного человека к другому является трансплантацией биологической ткани, проблемы которой не до конца решены, а некоторые возникли совершенно неожиданно (перенос вирусов гепатита, СПИДа, сифилиса). В то же время этот раздел медицины насчитывает многовековую историю.
Смерть от массивного истечения крови в результате ранения во время сражения или на охоте в самой глубокой древности создали представление о крови, как о вместилище души и жизненной силы.
Медея пыталась возвратить молодость старому отцу — царю Язону, выпустив из его тела старую кровь, а затем влив свежую от юноши.
Плиний описывает существовавший в Древнем Риме обычай пить кровь погибших на арене гладиаторов, чтобы предупредить «падучую болезнь». Отсюда берет начало мифология «вампиризма», столь распространеная в Средневековье и в эпоху Возрождения.
В XV веке одряхлевший папа Иннокентий VIII лечился кровью, взятой от нескольких мальчиков, эликсир не помог, папа умер, осужденный на сожжение на костре врач сбежал.

В 1538 г. Вильям Гарвей опубликовал свой труд «Анатомические исследования над движением сердца и крови». Примерно через 100 лет студенты Оксфордского университета Кларк и Бойль вводили в вену осужденным на смерть преступникам молочную сыворотку, цельное молоко и даже пиво, но не добились какого-либо эффекта. Однако в 1665 г. Кокс в эксперименте путем обескровливания доводил животных до агонии, а затем возвращал их к жизни путем переливания крови.
Через 2 года, в 1667 г. во Франции профессор математики, философии и медицины Дэни перелил 9 унций крови ягненка юноше 16 лет, ослабевшему от «лечебных» кровопусканий, больной выздоровел. Однако дальнейшие попытки Дэни и других исследователей переливать человеку кровь животных заканчивались плачевно, и в 1675 г. появился запретительный эдикт Ватикана, прекративший эти попытки более чем на столетие.
Тем не менее ученые по-прежнему верили в целесообразность переливания крови, но от человека к человеку. Один из таких энтузиастов писал: «Людовику XIII за десять месяцев болезни сделали 47 кровопусканий, 215 раз давали слабительные и произвели 210 очистительных клизм вместо того, чтобы сделать ему только одно переливание крови от здорового человека, которое его спасло бы».
Первое в мире переливание крови от человека к человеку было произведено в 1819 г. в Англии. В 1832 г. в Санкт-Петербурге доктор Вольф перелил кровь женщине, умиравшей от кровотечения после родов. Женщина выздоровела.
Переливание крови периодически применялось на всем протяжении XIX в., особенно во время войн. Но эта операция часто давала серьезные осложнения, вплоть до смерти. Положение коренным образом изменилось в начале XX в., когда были открыты группы крови, а также свойства цитрата натрия предотвращать свертывание крови, полученной от донора.
Мы не будем углубляться в современную технологию гемотрансфузии, так как это слишком специальный вопрос. Отметим лишь еще раз, что в устранении последствий острой кровопотери переливание клеточных компонентов (эритроцитов) имеет решающее значение.
Общеизвестна тяжело и плохо решаемая современная проблема трансмиссивных инфекций — гепатита, ВИЧ, сифилиса. Поэтому кровь доноров подвергают карантину, повторным исследованиям, фракционируют: эритроциты, тромбоциты, лейкоциты, плазма.
Переливание только эритроцитов резко повышает вязкость циркулирующей крови пациента, поэтому эритроцитную массу переливают вместе с электролитным сбалансированным раствором (Дэрроу, Рингера) в отношении 1:1. Солевые растворы положительно влияют на реологию и нормализуют вязкость крови.
Для профилактики гипокоагуляционного эффекта от введения коллоидных растворов необходимо восполнять плазменные факторы свертываемости, для чего переливают не менее 1 л свежезамороженной плазмы человека (предварительно ее оттаивают и нагревают до 37 °С).
Тромбоцитопения (менее 100 тыс/мм3) является показанием к переливанию тромбоцитной массы. При кровопотере свыше 2 л некоторые авторы рекомендуют внутривенное введение антибиотиков во время операции. Решение о продолжении антибактериальной терапии в послеоперационном периоде в таких случаях принимается в зависимости от находок на операции и наличия сопутствующих повреждений.
Для компенсации гипопротеииемии в сосудистое русло пострадавшего добавляют либо сухую или нативную плазму, либо такие препараты, изготовленные из плазмы доноров, как 20% раствор альбумина или 4,8% протеина (от 100 до 300 мл). На каждый литр донорской крови необходимо вводить внутривенно 10 мг хлорида кальция.
Следует подчеркнуть, что при переливании большого объема донорской крови может развиться угрожающая гипотермия, поэтому в задачу анестезиолога входит обеспечение согревания пострадавшего, находящегося в критическом состоянии.
Применение компонентов консервированной донорской крови связано с трудностями, обусловленными ее недостатком, необходимостью индивидуального подбора, возможностью переноса ряда вирусных заболеваний. Переливание цельной крови в настоящее время используется крайне редко. Это обусловлено внедрением в службу крови современных технологий заготовки клеточных компонентов. Действующие в настоящее время нормативные документы, в значительной мере отражающие интересы банков крови во всем мире, предписывают использование только разделенных компонентов.
Однако в критической ситуации переливание свежестабилизированной цельной крови может спасти жизнь пострадавшему с коагулопатиеи. Примером может служить публикация S. M. Grosso и J. О. Vecman с красноречивым названием «Переливание цельной крови при обескровливающей коагулопатии в полевом хирургическом госпитале США в послевоенном Косово». После переливания больших объемов эритроцитной массы и свежезамороженной плазмы у пострадавшего возникла прогрессирующая коагулопатия. В связи с отсутствием тромбоцитной массы пациенту была перелита цельная кровь, что позволило купировать коагулопатию и стабилизировать гемодинамику.
Гемотрансфузия представляет собой один из видов аллогенной трансплантации ткани, при которой возможно развитие иммунного конфликта. В результате консервации и хранения компоненты крови теряют биологическую ценность из-за разрушения форменных элементов, повышения содержания калия, снижения рН, изменения ферментативной активности и кислород-транспортной функции. Массивная трансфузия компонентов крови от разных доноров приводит к тяжелой почечной недостаточности, острому респираторному дистресс-синдрому, системным нарушениям микроциркуляции. Кроме того, возможно переливание компонентов, несовместных по резус-фактору, kill-антигену.
Наиболее безопасным и эффективным методом восполнения кровопотери при ранениях шеи, груди и живота является интраоперационная реинфузия крови. С нашей точки зрения, использование реинфузии крови или отказ от нее относится к проблемам хирургической тактики, поскольку речь идет о интраоперациоиных действиях хирургической бригады и решение о начале реинфузии, ее проведении остается за хирургом.
Политравма
Политравма – это одновременное или практически одновременное возникновение двух и более травматических повреждений, каждое из которых требует специализированного лечения. Для политравмы характерно наличие синдрома взаимного отягощения и развитие травматической болезни, сопровождающееся нарушениями гомеостаза, общих и местных процессов адаптации. При таких повреждениях, как правило, требуется интенсивная терапия, экстренные операции и реанимационные мероприятия. Диагноз выставляется на основании клинических данных, результатов рентгенографии, КТ, МРТ, УЗИ и других исследований. Перечень лечебных процедур определяется видом травмы.
МКБ-10
Общие сведения
Политравма – обобщающее понятие, означающее, что у пациента одновременно имеется несколько травматических повреждений. При этом возможно как поражение одной системы (например, костей скелета), так и нескольких систем (например, костей и внутренних органов). Наличие полисистемных и полиорганных поражений негативно влияет на состояние больного, требует проведения интенсивных лечебных мероприятий, повышает вероятность развития травматического шока и летального исхода.
Классики травматологии и ортопедии рассматривали политравму преимущественно, как проблему военного времени. В наши дни в связи с механизацией промышленности и широким распространением автомобильного транспорта резко возросло количество политравм, полученных в мирных условиях вследствие автодорожных происшествий и несчастных случаев на производстве. Лечение политравмы обычно осуществляют врачи-травматологи при участии реаниматологов. Кроме того, в зависимости от вида и локализации повреждений, в диагностике и лечении политравмы могут участвовать торакальные хирурги, абдоминальные хирурги, урологи, нейрохирурги и другие специалисты.
Причины политравмы
Самыми распространенными являются множественные повреждения в результате автодорожных происшествий (более 50%), второе место занимают несчастные случаи на производстве (более 20%), третье – падения с высоты (более 10%). Мужчины страдают примерно вдвое чаще женщин. В 1-5% от общего количества случаев политравмы пострадавшими являются дети, основной причиной является участие в ДТП (дети младшего возраста – как пассажиры, в старших возрастных группах преобладают случаи наездов на детей-пешеходов и велосипедистов). У детей при политравме чаще наблюдаются ранения нижних конечностей и ЧМТ, а травмы брюшной полости, грудной клетки и костей таза выявляются реже, чем у взрослых.
У взрослых при политравме в результате автодорожных происшествий преобладают повреждения конечностей, ЧМТ, травмы грудной клетки, травмы брюшной полости, переломы таза, разрывы мочевого пузыря и повреждения шейного отдела позвоночника. Наибольшее влияние на прогноз для жизни оказывают травмы брюшной полости, грудной клетки и черепно-мозговые травмы. При случайных падениях с большой высоты чаще выявляется тяжелая черепно-мозговая травма, при попытках самоубийства – множественные повреждения нижних конечностей, поскольку пациенты практически всегда прыгают ногами вперед. Падения с высоты нередко сопровождаются разрывом внутриторакальных сосудов, что приводит к быстрому развитию геморрагического шока.
Отличительными чертами политравмы являются:
- Синдром взаимного отягощения и травматическая болезнь.
- Атипичные симптомы, затрудняющие диагностику.
- Высокая вероятность развития травматического шока и массивной кровопотери.
- Нестойкость механизмов компенсации, большое количество осложнений и летальных исходов.
Различают 4 степени тяжести политравмы:
- Политравма 1 степени тяжести – имеются легкие повреждения, шок отсутствует, исходом становится полное восстановление функции органов и систем.
- Политравма 2 степени тяжести – имеются повреждения средней степени тяжести, выявляется шок I-II степени. Для нормализации деятельности органов и систем необходима длительная реабилитация.
- Политравма 3 степени тяжести – имеются тяжелые повреждения, выявляется шок II-III степени. В исходе возможна частичная или полная утрата функций некоторых органов и систем.
- Политравма 4 степени тяжести – имеются крайне тяжелые повреждения, выявляется шок III-IV степени. Деятельность органов и систем грубо нарушена, существует высокая вероятность летального исхода как в остром периоде, так и в процессе дальнейшего лечения.
С учетом анатомических особенностей выделяют следующие виды политравмы:
- Множественная травма – два или более травматических повреждения в одной анатомической области: перелом голени и перелом бедра; множественные переломы ребер и т. д.
- Сочетанная травма – два или более травматических повреждения разных анатомических областей: ЧМТ и повреждение грудной клетки; перелом плеча и повреждение почки; перелом ключицы и тупая травма живота и т. д.
- Комбинированная травма – травматические повреждения в результате одновременного воздействия различных травмирующих факторов (термического, механического, радиационного, химического и т. д.): ожог в сочетании с переломом бедра; радиационное поражение в сочетании с переломом позвоночника; отравление токсическими веществами в сочетании с переломом таза и т. д.
Сочетанные и множественные повреждения могут являться частью комбинированной травмы. Комбинированная травма может возникать при одновременном прямом действии поражающих факторов или развиваться вследствие вторичного повреждения (например, при появлении очагов пожара после обрушения производственной конструкции, ставшей причиной перелома конечности).
С учетом опасности последствий политравмы для жизни пациента различают:
- Нежизнеопасную политравму – повреждения, не вызывающие грубых нарушений жизнедеятельности и не представляющие непосредственной опасности для жизни.
- Жизнеопасную политравму – повреждения жизненно важных органов, которые можно скорректировать путем своевременного хирургического вмешательства и/или адекватной интенсивной терапии.
- Смертельную политравму – повреждения жизненно важных органов, деятельность которых невозможно восстановить даже путем оказания своевременной специализированной помощи.
С учетом локализации выделяют политравму с поражением головы, шеи, груди, позвоночника, таза, живота, нижних и верхних конечностей.
Диагностика и лечение при политравме зачастую представляют собой единый процесс и осуществляются одновременно, что обусловлено тяжестью состояния пострадавших и высокой вероятностью развития травматического шока. В первую очередь оценивается общее состояние пациента, исключаются или выявляются повреждения, которые могут представлять опасность для жизни. Объем диагностических мероприятий при политравме зависит от состояния пострадавшего, к примеру, при выявлении травматического шока осуществляют жизненно важные исследования, а диагностику мелких повреждений проводят, по возможности, во вторую очередь и только если это не утяжеляет состояние больного.
Всем пациентам с политравмой выполняют срочные анализы крови и мочи, а также определяют группу крови. При шоке осуществляют катетеризацию мочевого пузыря, контролируют количество выделяемой мочи, регулярно измеряют АД и пульс. В ходе обследования может быть назначена рентгенография грудной клетки, рентгенография костей конечностей, рентгенография таза, рентгенография черепа, эхоэнцефалография, диагностическая лапароскопия и другие исследования. Больных с политравмой осматривают травматолог, нейрохирург, хирург и реаниматолог.
Лечение политравмы
На начальном этапе лечения на первый план выступает противошоковая терапия. При переломах костей осуществляют полноценную иммобилизацию. При размозжениях, отрывах и открытых переломах с массивным кровотечением производят временную остановку кровотечения с использованием жгута или кровоостанавливающего зажима. При гемотораксе и пневмотораксе проводят дренирование грудной полости. При повреждении органов брюшной полости выполняют экстренную лапаротомию. При сдавлении спинного и головного мозга, а также при интракраниальных гематомах производят соответствующие операции.
Если есть повреждения внутренних органов и переломы, являющиеся источником массивного кровотечения, хирургические вмешательства осуществляют одновременно двумя бригадами (хирурги и травматологи, травматологи и нейрохирурги и т. д.). Если массивное кровотечение из переломов отсутствует, открытую репозицию и остеосинтез переломов при необходимости производят после вывода пациентов из шока. Все мероприятия проводят на фоне инфузионной терапии.
Затем пациентов с политравмой госпитализируют в отделение реанимации или палату интенсивной терапии, продолжают инфузии крови и кровезаменителей, назначают препараты для восстановления функций органов и систем, осуществляют различные лечебные мероприятия (перевязки, смену дренажей и т. д.). После улучшения состояния больных с политравмой переводят в травматологическое (реже – нейрохирургическое или хирургическое отделение), продолжают лечебные процедуры, проводят реабилитационные мероприятия.
Прогноз и профилактика
Повреждения грудной клетки ( Травмы грудной клетки )
Повреждения грудной клетки – травмы, при которых страдают кости, образующие каркас грудной клетки и/или органы, расположенные в грудной полости. Это – обширная и достаточно разнородная группа травматических повреждений, включающая в себя как переломы ребер, так и травмы жизненно важных органов (легких и сердца). Зачастую повреждения грудной клетки представляют непосредственную угрозу или потенциальную опасность для жизни пациента. Нередко сопровождаются кровопотерей различной тяжести и развитием острой дыхательной недостаточности, которые могут развиваться как сразу, так и спустя некоторое время после травмы. Поэтому все без исключения пациенты с повреждениями грудной клетки должны срочно направляться в специализированное мед. учреждение для обследования и дальнейшего лечения, которое, в зависимости от вида травмы, может быть либо консервативным, либо оперативным.
Повреждения грудной клетки – группа повреждений, включающая в себя травмы ребер, грудины и внутренних органов, расположенных в грудной полости. Такие травмы могут сильно различаться как по характеру, так и по тяжести, однако из-за потенциальной опасности для жизни пациента на начальном этапе всегда рассматриваются врачами, как серьезные, требующие детального обследования больного. Эта группа травм отличается высокой летальностью при отсутствии медицинской помощи и достаточно высоким процентом благоприятных исходов при своевременной доставке пациента в специализированное мед. учреждение. Смертность составляет 5-6%, при этом большинство смертельных случаев приходится на открытые повреждения (ранения), а также на множественные переломы ребер с разрывом легкого.
Все повреждения грудной клетки подразделяются на две группы: закрытые и открытые. Отличительной особенностью закрытых повреждений является отсутствие раны. Такие повреждения делятся на:
- Сотрясения. Травмы, при которых видимые морфологические изменения грудной клетки отсутствуют.
- Ушибы. В эту группу включают ушибы ребер и мягких тканей, ушиб сердца, ушиб сосудов, ушибы и разрывы легких, гемоторакс и пневомоторакс, переломы грудины, ребер и грудных позвонков.
- Сдавления. Сюда относятся случаи травматической асфиксии, при которых грудь пациента сдавливается между двумя тупыми предметами, из-за чего возникает удушье.
При открытых повреждениях в области грудной клетки есть рана, которая может быть ножевой, огнестрельной и т. д. Открытые повреждения (ранения) подразделяются на:
- Непроникающие.
- Проникающие.
- Без повреждения внутренних органов, расположенных в грудной полости.
- С повреждением внутренних органов, расположенных в грудной полости.
- С повреждением костей (ребер, грудных позвонков или грудины).
- Без открытого пневмоторакса или с его наличием.
- Без открытого гемоторакса или с его наличием.
- Торакоабдоминальная травма (с одновременным нарушением целостности грудной полости, диафрагмы и брюшной полости).
С учетом характера повреждения также выделяют сквозные, слепые и касательные раны груди.
Причины
В мирное время закрытая травма грудной клетки встречается в травматологии намного чаще открытой. Ее основными причинами становятся автомобильные аварии (70%), падения с высоты (23%), производственные травмы, природные катастрофы, криминальные действия (избиение, драка) или бытовая травма. Чаще всего при закрытой травме выявляются повреждения легких (60%), ребер (45,4%), сердца (8%) и позвоночника (4,8%). Остальные органы страдают достаточно редко. Повреждения легких, межреберных сосудов, плевры, бронхов и легочных сосудов чаще имеет вторичный характер и развивается вследствие травматизации этих органов острыми концами сломанных ребер.
Открытые повреждения в мирное время встречаются нечасто и обычно возникают в результате ранения холодным оружием. Количество огнестрельных ранений резко увеличивается в военное время. Раны, нанесенные другим предметом (например, острым металлическим штырем или куском арматуры) могут возникнуть в результате производственной травмы, техногенной или природной катастрофы либо несчастного случая в быту.
Переломы ребер и грудины
Переломы ребер обычно возникают у взрослых пациентов. У детей и подростков наблюдаются очень редко вследствие чрезвычайной эластичности костных структур. С учетом механизма травмы все переломы ребер можно разделить на три группы: непрямые, прямые и отрывные. Наибольшее смещение отломков и, как следствие, высокая вероятность повреждения органов грудной полости острыми концами сломанных ребер, возникает при отрывных, двойных и множественных переломах.
Отломки ребер могут повреждать не только легкое и плевру, но и межреберные сосуды, вследствие чего возникает внутреннее кровотечение в плевральную полость и формируется гемоторакс. Если острый конец ребра протыкает легкое, воздух выходит в плевральную полость, и образуется пневмоторакс.
О переломе ребер свидетельствует резкая боль в месте повреждения и боль при сдавлении грудной клетки в переднезаднем направлении. Дыхание становится поверхностным. Пациенту легче находиться в сидячем, чем в лежачем положении. Основным методом инструментальной диагностики является рентгенография ребер. Лечение заключается в устранении болей, профилактике пневмонии и облегчении дыхания.
При неосложненном переломе одного ребра пациент находится на амбулаторном наблюдении. Перелом двух или более ребер является показанием для госпитализации. Больным назначают анальгетики и физиолечение, рекомендуют находиться в постели в положении полусидя. Для предупреждения застойных явлений в легких обязательно назначается дыхательная гимнастика. При множественных переломах ребер производится их оперативная иммобилизация.
Переломы грудины относительно редки. Сопровождаются болью, усиливающейся при кашле и глубоком дыхании. Пальпация резко болезненна. Для подтверждения диагноза выполняют боковую рентгенографию грудины. Лечение осуществляется в условиях стационара. При переломах без смещения назначается покой и обезболивающие препараты. При смещении выполняется репозиция на щите.
Ушибы, сотрясения и сдавления
Подобные повреждения грудной клетки встречаются реже, чем переломы ребер и возникают вследствие удара тупым предметом или форсированного сдавления между двумя крупными тупыми предметами. Ушиб грудной клетки сопровождается небольшой гематомой и умеренной болью. Обычно не требуют специального лечения. В отдельных случаях при сильном ушибе может возникнуть обширное кровоизлияние в ткани или полости грудной клетки, иногда сопровождающееся разрывом органов и тканей. Такая травма относится к категории тяжелых, требует неотложной госпитализации и может закончиться смертью больного.
При сотрясении грудной клетки наблюдается чрезвычайно тяжелый шок при отсутствии анатомических изменений. Состояние пациента тяжелое, дыхание неравномерное, болезненное, поверхностное. Пульс учащенный, неровный, едва уловимый. Конечности холодные, цианотичные. Необходима немедленная госпитализация, полный покой и вдыхание кислорода под давлением.
При сдавлении грудной клетки дыхательные движения нарушаются. Кровь оттекает от надплечий, верхней части груди, шеи и головы. Развивается удушье. Возможны нарушения сознания. Кожа перечисленных отделов тела синеет, на ней, а также на конъюнктиве и на слизистой полости рта образуются многочисленные мелкие кровоизлияния (экхимозы). Выявляется симптом декольте – отек и цианотичность верхней части туловища. Возможна временная потеря зрения и слуха, обусловленная кровоизлияниями и зрительный нерв, сетчатку, глазное яблоко и внутреннее ухо.
Пациента госпитализируют, рекомендуют находиться в покое в полусидячем положении. Для устранения болевого синдрома выполняют новокаиновые вагосимпатические блокады. Проводят санацию дыхательных путей, оксигенотерапию и, в некоторых случаях – искусственную вентиляцию легких.
Открытые повреждения
При непроникающих повреждениях грудной клетки состояние больных удовлетворительное. Лечение заключается в наложении повязки или ушивании раны. При проникающих ранениях состояние пациентов может значительно варьироваться и зависит от отсутствия или наличия гемопневмоторакса и сопутствующих повреждений внутренних органов и костного каркаса.
Гемоторакс при таких травмах развивается вследствие кровотечения в плевральную полость из поврежденных сосудов легкого и грудной стенки, пневмоторакс – из-за проникновения в плевральную полость воздуха из раненого легкого. При ранении легкого наблюдается кровохарканье, гемоторакс и подкожная эмфизема. Для уточнения диагноза выполняется рентгенография грудной клетки. Лечение хирургическое. Пациентов госпитализируют в специализированное отделение, где торакальные хирурги в экстренном порядке выполняют операцию и ушивание раны. Объем вмешательства зависит от характера травмы.
Гемоторакс
Гемоторакс (скопление крови в плевральной полости) образуется при кровотечении вследствие повреждения межреберных сосудов, легкого или внутренней грудной артерии. Выделяют малый (менее 500 мл), средний (от 500 до 1000 мл) и большой (более 1000 мл) гемоторакс. При малом состояние пациента не страдает или страдает незначительно. Возможно консервативное лечение. При среднем гемотораксе состояние больного умеренно или незначительно ухудшается, дыхание учащается. Может потребоваться как консервативное лечение, так и плевральная пункция.
При большом гемотораксе наблюдается шок, нарушение гемодинамики, сморщивание легкого и смещение органов средостения. Кожа больного цианотична, пульс учащен, дыхание тоже учащенное, поверхностное. Положение тела – вынужденное, сидячее, с опорой на руки. Необходима плевральная пункция, либо, если гемоторакс нарастает, – торакотомия для выявления и устранения источника кровотечения. Все пациенты с гемотораксом в обязательном порядке госпитализируются. Наблюдение включает в себя повторные рентгеноскопические или рентгенографические исследования для оценки динамики и определения дальнейшей тактики лечения.
Пневмоторакс
Пневмоторакс – это скопление воздуха, проникающего в плевральную полость из поврежденного легкого или из внешней среды. Выделяют три вида пневмоторакса: закрытый, открытый и клапанный. При закрытом пневмотораксе рана закрывается мягкими тканями. Количество воздуха ограничено и не увеличивается. Небольшое количество воздуха рассасывается самостоятельно, при умеренном может потребоваться плевральная пункция.
Помимо сдавления легкого на стороне повреждения пневмоторакс вызывает баллотирование средостения – маятникообразное движение органов при вдохах и выдохах. Сердце и сосуды смещаются, приток крови к сердцу уменьшается. Это еще больше утяжеляет состояние пациента. Все больные госпитализируются. Принимаются экстренные меры для устранения пневмоторакса. В последующем осуществляется динамическое наблюдение, выполняются повторные рентгеноскопии легких или рентгенографии.
Читайте также:
- Оздоровление труда в гальванических цехах. Гигиена труда при цинковании, хромировании
- Патогенез и диагностика опухолей яичников. Гистологическая классификация опухолей яичников.
- Классификация абдоминоторакальных ранений (сочетанных ранений груди и живота)
- Кортикостероиды при септическом шоке - эффективность преднизолона и аналогов
- Синхронизированная с электрокардиограммой ОФЭКТ. Планарное изображение перфузии миокарда
