Диагностика цирроза печени. Лечение портальной гипертензии.
Добавил пользователь Евгений Кузнецов Обновлено: 30.01.2026
Диагностика цирроза печени. Лечение портальной гипертензии.
Пациенты, страдающие кровотечением из варикозно расширенных вен пищевода, должны быть обследованы специализированной бригадой для решения вопроса о наиболее адекватном лечении в каждом отдельном случае. Таких пациентов необходимо классифицировать в соответствии с функциональным состоянием их печени по Child— Pugh. Дополнительно нужно оценить их обшее состояние, питание, состояние сердечно-сосудистой системы и почек. Если возможно, необходимо произвести биопсию печени для определения состояния паренхимы печени и, таким образом, выявить наличие некроза печеночных клеток, лейкоцитарной полинуклеарной инфильтрации и телец Mallory.
Группа С по классификации Child—Pugh характеризуется наиболее серьезными изменениями в печени. Независимо от применяемой терапии риск в этой группе наиболее высокий.
Давление заклинивания печеночных вен измеряется путем катетеризации нижней полой вены. Давление в пульпе селезенки можно измерить чрескожно. Портальное давление также можно измерить с помощью чрескожной чреспеченочной катетеризации пли через пупочную вену.
Дуплексная ультрасонография — неинвазивный метод, обеспечивающий хорошую корреляцию. С его помощью определяют количественные характеристики и направление венозного кровотока в воротной вене. В случаях, когда с помощью дуплексного ультрасонографического исследования установлено, что кровоток через портальную вену отсутствует, не имеет смысла накладывать спленоренальный шунт по Warren. В таких случаях при наличии показаний к операции необходимо накладывать портокавальный анастомоз.

Оценка клинического статуса пациентов с портальной гипертензией должна завершаться ангиографическим исследованием чревного ствола и верхней брыжеечной артерии с наблюдением венозной фазы, для того чтобы определить проходимость, калибр, локализацию, а также возможное наличие анатомических вариантов портальной, селезеночной и верхней брыжеечной вен. Катетеризацией полой вены через бедренную вену можно контрастировать левую почечную вену для определения ее длины и калибра. Это необходимо для решения вопроса о возможности наложения дистального спленоренального шунта.
С 1980 г. достаточно популярным методом лечения варикозного расширения вен пищевода стала эндоскопическая склеротерапия. Склеротерапию можно использовать во время кровотечения или после него. В настоящее время эндоскопическая склеротерапия является методом выбора при лечении варикоза вен пищевода. Наложение анастомозов между воротной веной и системным кровотоком применяют все реже и реже, и обычно лишь в случаях неудачной эндоскопической склеротерапии.
При лечениии портальной гипертензии необходимо различать две разные ситуации:
1. Неотложная помощь при остром кровотечении из варикозно расширенных вен пищевода.
2. Избирательное лечение пациентов без кровотечения в настоящее время, но имевших кровотечение из варикозных вен. У таких пациентов есть вероятность рецпдпва опасного для жизни кровотечения.
Неотложная помощь пациентам с портальной гипертензией и кровотечением из варикозно расширенных вен пищевода
Варикозным расширением вен пищевода вызвано преобладающее число острых кровотечений у пациентов с алкогольным циррозом Лаэннека. Тяжесть кровотечения у них накладывается на органические изменения, которые еще больше усугубляют положение пациента. Обычно эти пациенты пониженного питания, имеют выраженные нарушения функции печени, пониженную свертываемость крови, инфекционные процессы, сердечно-легочную и почечную недостаточность и т. д. Необходимо помнить, что у пациентов даже с бесспорным циррозом печени причиной кровотечения не всегда могут быть варикозно расширенные вены пищевода. Примерно у 50% пациентов с циррозом печени причиной кровотечения могут быть эрозивный гастрит и язва желудка или двенадцатиперстной кишки. Поэтому больных циррозом печени с кровотечением из верхних отделов желудочно-кишечного тракта необходимо обследовать для установления источника кровотечения. Наиболее эффективной процедурой при этом является эзофагогастроскопия. Во время эндоскопического исследования наблюдают варикозно расширенные вены в подслизистом слое дистального отдела пищевода, образующие три, иногда четыре продольных столба, расширенных и извитых, с синеватым оттенком, вызванным истончением слизистой над варикозными узлами. Если у пациента имеется кровотечение из варикозных вен и количество крови умеренное, то обычно возможно идентифицировать кровоточащий сосуд и немедленно начать введение склерозирующего раствора. В 70—90% случаев с помощью склеротерапии удается остановить кровотечение. Склерозпрующую терапию повторяют через 48—72 ч или, если необходимо, раньше. Затем инъекции следует выполнять один или два раза в неделю до достижения надежного гемостаза.
В 20—30% случаев во время пребывания пациента в стационаре кровотечение повторяется. У пациентов с профузным кровотечением, когда невозможно четко видеть место кровотечения, можно ввести вазопрессин с одновременным назначением нитроглицерина. Вазопрессин вызывает сокращение артериол во внутренних органах, уменьшая портальное давление и способствуя гемостазу. Однако это может вызвать сердечную аритмию, предсердечные боли, инфаркт миокарда, а в некоторых случаях — некроз кишечника. Этот эффект можно предупредить назначением нитроглицерина или изопротеренола. Вазопрессин вводят внутривенно в дозе 0.4 ЕД/мин. Нитроглицерин можно дать сублпнгвально в дозе 0.4 мг каждые 30 мин или внутривенной инфузией 0.4 ЕД/мин.
В настоящее время часто используется терлипрессин. Это синтетический аналог вазопрессина, который в организме медленно превращается в вазопрессин, вызывая меньший кардиотоксический эффект. Терлипрессин вводится болюсом по 2 мг каждые 6 ч.
Некоторые эндоскописты, если не могут четко видеть кровоточащую вену, применяют введение склерозирующего препарата вслепую. Такая практика крайне опасна и чаще может привести к изъязвлению или перфорации пищевода, чем в случаях, когда кровоточащая вена хорошо видна. В такой ситуации предпочтительнее использовать ранее упоминавшиеся фармацевтические препараты. Если это неэффективно пли вызывает сильные побочные эффекты, то. хотя бы для временной остановки кровотечения, можно прибегнуть к использованию зонда Sengstaken—Blakemore. Это позволит провести склеротерапию с наибольшей точностью.
От прямого хирургического доступа к варикозным узлам пищевода — торакального или абдоминального — практически отказались по причине многочисленных осложнений и частых реппдпвов. Такпе же неприятности наблюдаются и при азигопортальном разъединении, которое начал выполнять Norman Tanner в 1950 г. в Лондоне. Эта операция неоднократно подвергалась модификациям без заметного улучшения результатов.
Информация на сайте подлежит консультации лечащим врачом и не заменяет очной консультации с ним.
См. подробнее в пользовательском соглашении.
Цирроз печени - симптомы и лечение
Что такое цирроз печени? Причины возникновения, диагностику и методы лечения разберем в статье доктора Васильева Романа Владимировича, гастроэнтеролога со стажем в 15 лет.
Над статьей доктора Васильева Романа Владимировича работали литературный редактор Маргарита Тихонова , научный редактор Сергей Федосов

Определение болезни. Причины заболевания
Цирроз печени (ЦП) — это хроническое дегенеративное заболевание печени, связанное с диффузным патологическим процессом, при котором нормальные клетки печени повреждаются, а затем замещаются рубцовой тканью, образуя избыточный фиброз и структурно-анатомические регенераторные узлы.

Этиология
По этиологическим характеристикам можно выделить:
- распространённые формы ЦП;
- редкие формы ЦП.
К распространённым относят вирусные (В, С, D), алкогольные и метаболические формы цирроза печени.
Редкими формами ЦП являются:
- аутоиммунные, лекарственные, токсические, первичные и вторичные билиарные циррозы;
- генетически обусловленные патологии — гемохроматоз (нарушение обмена железа), болезнь Вильсона — Коновалова, дефицит белка альфа-1-антитрипсина, гликогеноз IV типа (недостаток ферментов), галактоземия, наследственная тирозинемия и непереносимость фруктозы;
- нарушение венозного оттока из печени — венокклюзионные формы ЦП (болезнь Бадда — Киари);
- тяжёлая правожелудочковая сердечная недостаточность;
- флебопортальные циррозы (типа Банти).
Пути заражения
Заразиться циррозом печени нельзя. Однако, если он вызван вирусным гепатитом, то возбудитель может передаться через кровь, при половых контактах и от матери к ребёнку.
Основную роль в возникновении и развитии вирусного ЦП играют симптомные, малосимптомные и бессимптомные формы острого вирусного гепатита В, С, а также одновременное заболевание гепатитами В и D с последующим переходом в активный хронический вирусный гепатит. У большинства больных интервал между острым гепатитом С и клинически выраженными проявлениями ЦП превышает 30 лет. Только у мужчин, употребляющих более 50 г спирта в день, выраженные формы ЦП возникают через 13-15 лет.
Наиболее частыми причинами смерти больных ЦП является:
- большая печёночная недостаточность;
- кровотечение из варикозно расширенных вен пищевода;
- первичный рак печени;
- иммунопротективная недостаточность, влекущая за собой активизацию инфекционных (микробных) процессов, в первую очередь спонтанного бактериального перитонита и пневмонии, а также возникновение оксидативного стресса.
У больных в терминальной (заключительной) фазе заболеваний печени в основном наблюдаются декомпенсированные формы цирроза печени: асцит, варикозное расширение вен пищевода и желудка, энцефалопатия и желтуха.
Особенности цирроза печени у детей
Заболевание у детей встречается крайне редко и обычно связано:
- с аутоиммунным поражением печени;
- кардиогенными заболеваниями — лёгочной гипертензией и хронической сердечной недостаточностью;
- болезнью Бадда — Киари;
- врождёнными болезнями накопления — наследственным гемохроматозом, лизосомальными болезнями накопления, болезнью Вильсона — Коновалова;
- флебопортальным циррозом (типа Банти).
Прогноз у таких детей неблагоприятный, чаще всего они погибают, так как не успевают попасть к гепатологу и выяснить диагноз. Также они обычно страдают от множества сопутствующих болезней, в том числе от основного заболевания, ставшего причиной цирроза.
Проявления заболевания у детей и взрослых схожи. Единственный эффективный метод лечения цирроза у детей — это пересадка печени. Поэтому крайне важно вовремя диагностировать заболевание и встать в очередь на пересадку печени.
При обнаружении схожих симптомов проконсультируйтесь у врача. Не занимайтесь самолечением - это опасно для вашего здоровья!
Симптомы цирроза печени
Цирроз печени в течение длительного времени может протекать латентно, т. е. бессимптомно.
Клиническая картина ЦП зависит от его формы и течения, активности основного заболевания, а также наличия или отсутствия печёночно-клеточной недостаточности, синдрома портальной гипертензии, холестаза и внепечёночных проявлений.
Основные общие симптомы, которые чаще всего встречаются при ЦП:
- повышенная утомляемость;
- похудение;
- нарушения сознания и поведения;
- ухудшение аппетита и чувство дискомфорта в животе;
- пожелтение кожи, белковых оболочек глаз и слизистой;
- осветление или обесцвечивание кала;
- потемнение мочи;
- болевые ощущения в животе;
- отёки;

- асцит (скопление жидкости в брюшной полости);
- кровотечения из носа, желудочно-кишечного тракта, дёсен или геморроидальных узлов, а также подкожные кровоизлияния;
- часто возникающие бактериальные инфекции (например, органов дыхания);
- снижение полового влечения;
- кожный зуд.
Симптомы распространённых форм ЦП
При высокоактивном ЦП, кроме общей утомляемости, осветления стула и потемнения мочи, может возникать тупая боль в правом подреберье и вздутие живота.
Во время осмотра часто выявляют:
- субиктеричность (желтушность) склер;
- расширение вен брюшной стенки, напоминающее голову медузы;
- венозный шум при выслушивании в эпигастральной области живота (шум Крювелье — Баумгартена);
- серо-коричневатый цвет шеи;
- гинекомастию (увеличение грудных желёз);
- гипогонадизм (у мужчин);
- контрактуру Дюпюитрена (укорочение сухожилий ладоней).

Три последних признака цирроза печени зачастую наблюдаются при алкогольных ЦП.
В области грудной клетки в 50-80% случаев наблюдаются телеангиэктазии кожи (расширения мелких сосудов), чаще при алкогольных ЦП. Пальпаторно печень отчётлива уплотнена, имеет неровный нижний край. Размеры печени различны — от значительного увеличения до уменьшения.
Часто при пальпации выявляется умеренно увеличенная селезёнка, причём её край может выступать из-под рёберной дуги на 1-3 см.
При развитии ЦП появляются симптомы белково-энергетической недостаточности, асцит, отёки, а также печёночный запах при тяжёлой печёночной недостаточности.
Симптомы при малоактивных и начальных стадиях ЦП
Данные формы ЦП зачастую протекают бессимптомно и выявляются в ходе периодических медицинских осмотров, диспансеризации, а также как случайная находка при обследовании пациента со смежной патологией или внепечёночными проявлениями.
При малоактивном ЦП, как правило, не возникают жалобы, связанные с печенью. Во время активного расспроса можно выявить весеннее снижение работоспособности, частые болезни, после которых возможны кровоточивость дёсен и потемнение мочи. Такие пациенты хуже, чем раньше, переносят длительные физические и нервно-психические нагрузки.
Желтухи и выраженного увеличения билирубина, за исключением периода интеркурентного острого гепатита, нет. Неяркая телеангиоэктазия кожи (сосудистые звёздочки) в области грудной клетки наблюдаются у 40-60% людей с ЦП.
Телеангиоэктазии кожи, плотная печень с фестончатым краем и умеренно увеличенная селезёнка — ценная клинико-диагностическая триада, которая с вероятностью 80-90% свидетельствует о ЦП или далеко зашедшем активном хроническом гепатите.
Патогенез цирроза печени
В основе патофизиологии цирроза лежит повреждение и некроз паренхимы (основной ткани) печени с деструкцией и гибелью гепатоцитов (клеток печени), а также системное поражение интерстициальной ткани.
При всех формах ЦП нарушается иммунологическое равновесие организма, преобладающими становятся аутоиммунные процессы: иммунная система человека принимает собственные клетки печени за чужеродные и повреждает их. В конечном итоге, это приводит к разрушению гепатоцитов и структуры печени в целом. Однако при этом каждая форма ЦП имеет свои патогенетические особенности:
- при вирусных гепатитах повреждающим агентом является сама вирусная частица, которая, размножаясь в клетке, разрушает её, вызывая цитолиз;
- при алкогольном ЦП прямое токсическое воздействие на мембраны гепатоцитов оказывает ацетальдегид с развитием алкогольной жировой болезни печени и алкогольного стеатогепатита;
- при метаболическом ЦП ведущую роль в патогенезе играет ожирение и сахарный диабет через стадию неалкогольного стеатогепатита с инсулинорезистентностью и последующей запрограммированной гибелью клеток печени.
В основе патогенеза более редких причин цирроза печени лежат ещё более частные механизмы развития повреждения и разрушения гепатоцитов и структуры печени:
- нарушение обмена и накопления железа при гемохроматозе;
- накопление меди при болезни Вильсона — Коновалова;
- окклюзия в системе воротной вены при гепатопортальном склерозе.
Цирроз формируется на протяжении многих лет. С течением времени происходят изменения генетического аппарата клеток печени, в результате чего появляются новые патологические клетки. Этот процесс в печени является иммуновоспалительным, он поддерживается чужеродными агентами, в роли которых могут выступать разные субстраты:
- вирус гепатита В;
- алкогольный гиалин;
- денатурированные белки;
- некоторые лекарственные средства;
- медьбелковые и железобелковые комплексы (ферритин).
В итоге повреждения паренхимы печени развивается гепатоцеллюлярная (печёночно-клеточная) недостаточность за счёт диффузного фиброза и трансформации ткани печени в анормальные узлы-регенераты. [3] [4] [5]
Классификация и стадии развития цирроза печени
В 1974 году на съезде гепатологов в Акапулько (Мексика) была принята единая морфологическая классификация, которую позже уточнили и несколько доработали эксперты ВОЗ. В настоящее время она является общепринятой.
Портальная гипертензия
Портальная гипертензия – синдром, развивающийся вследствие нарушения кровотока и повышения кровяного давления в бассейне воротной вены. Портальная гипертензия характеризуется явлениями диспепсии, варикозным расширением вен пищевода и желудка, спленомегалией, асцитом, желудочно-кишечными кровотечениями. В диагностике портальной гипертензии ведущее место занимают рентгеновские методы (рентгенография пищевода и желудка, кавография, портография, мезентерикография, спленопортография, целиакография), чрескожная спленоманометрия, ЭГДС, УЗИ и др. Радикальное лечение портальной гипертензии – оперативное (наложение портокавального анастомоза, селективного спленоренального анастомоза, мезентерико-кавального анастомоза).
МКБ-10



Общие сведения
Под портальной гипертензией (портальной гипертонией) понимается патологический симптомокомплекс, обусловленный повышением гидростатического давления в русле воротной вены и связанный с нарушением венозного кровотока различной этиологии и локализации (на уровне капилляров или крупных вен портального бассейна, печеночных вен, нижней полой вены). Портальная гипертензия может осложнять течение многих заболеваний в гастроэнтерологии, сосудистой хирургии, кардиологии, гематологии.
Причины
Этиологические факторы, приводящие к развитию портальной гипертензии, многообразны. Ведущей причиной выступает массивное повреждение печеночной паренхимы вследствие заболеваний печени:
- острых и хронических гепатитов
- опухолей печени, холедоха
- паразитарных инфекций (шистосоматоза),
- интраоперационном повреждении или перевязке желчных протоков.
Определенную роль играет токсическое поражение печени при отравлениях гепатотропными ядами (лекарствами, грибами и др.). К развитию портальной гипертензии может приводить заболевания сосудистого генеза:
- тромбоз, врожденная атрезия, опухолевое сдавление или стеноз портальной вены
- тромбоз печеночных вен при синдроме Бадда-Киари
- повышение давления в правых отделах сердца при рестриктивной кардиомиопатии, констриктивном перикардите.
В некоторых случаях развитие портальной гипертензии может быть связано с критическими состояниями при операциях, травмах, обширных ожогах, ДВС-синдроме, сепсисе. Непосредственными разрешающими факторами, дающими толчок к развитию клинической картины портальной гипертензии, нередко выступают инфекции, желудочно-кишечные кровотечения, массивная терапия транквилизаторами, диуретиками, злоупотребление алкоголем, избыток животных белков в пище, операции.

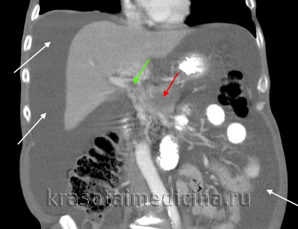
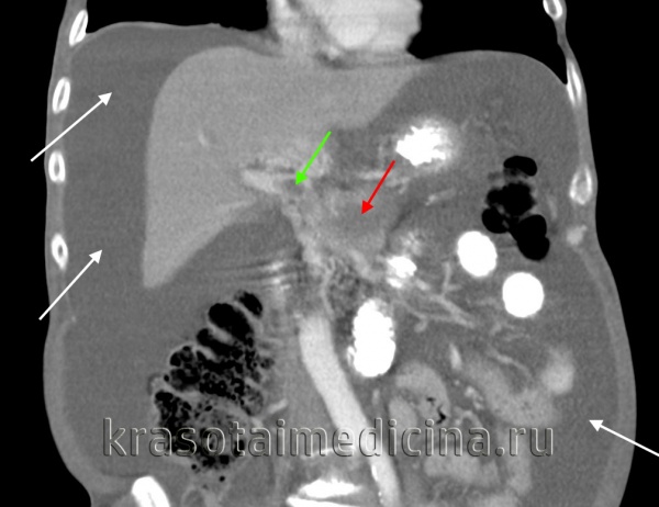
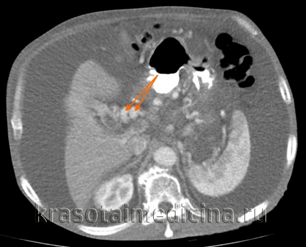
КТ ОБП. Портальная гипертензия на фоне обструкции воротной вены опухолью поджелудочной железы (красная стрелка). Опухолевый тромб (зеленая стрелка) в воротной вене. Асцит (белая стрелка).
Патогенез
Основными патогенетическими механизмами портальной гипертензии выступают наличие препятствия для оттока портальной крови, увеличение объема портального кровотока, повышенное сопротивление ветвей воротной и печеночных вен, отток портальной крови через систему коллатералей (потртокавальных анастомозов) в центральные вены.
В клиническом течении портальной гипертензии может быть выделено 4 стадии:
- начальная (функциональная)
- умеренная (компенсированная) – умеренная спленомегалия, незначительное расширение вен пищевода, асцит отсутствует
- выраженная (декомпенсированная) – выраженные геморрагический, отечно-асцитический синдромы, спленомегалия
- портальная гипертензия, осложненная кровотечением из варикозно-расширенных вен пищевода, желудка, прямой кишки, спонтанным перитонитом, печеночной недостаточностью.
Классификация
В зависимости от распространенности зоны повышенного кровяного давления в портальном русле различают тотальную (охватывающую всю сосудистую сеть портальной системы) и сегментарную портальную гипертензию (ограниченную с нарушением кровотока по селезеночной вене с сохранением нормального кровотока и давления в воротной и брыжеечных венах).
По локализации венозного блока выделяют предпеченочную, внутрипеченочную, постпеченочную и смешанную портальную гипертензию. Различные формы портальной гипертензии имеют свои причины возникновения.
- Развитие предпеченочной портальной гипертензии (3-4 %) связано с нарушением кровотока в портальной и селезеночных венах вследствие их тромбоза, стеноза, сдавления и т. д.
- В структуре внутрипеченочной портальной гипертензии (85-90 %) различают пресинусоидальный, синусоидальный и постсинусоидальный блок. В первом случае препятствие на пути внутрипеченочного кровотока возникает перед капиллярами-синусоидами (встречается при саркоидозе, шистосомозе, альвеококкозе, циррозе, поликистозе, опухолях, узелковой трансформации печени); во втором – в самих печеночных синусоидах (причины - опухоли, гепатиты, цирроз печени); в третьем – за пределами печеночных синусоидов (развивается при алкогольной болезни печени, фиброзе, циррозе, веноокклюзионной болезни печени).
- Постпеченочная портальная гипертензия (10-12%) бывает обусловлена синдромом Бадда-Киари, констриктивным перикардитом, тромбозом и сдавлением нижней полой вены и др. причинами. При смешанной форме портальной гипертензии имеет место нарушение кровотока, как во внепеченочных венах, так и в самой печени, например, при циррозе печени и тромбозе воротной вены.

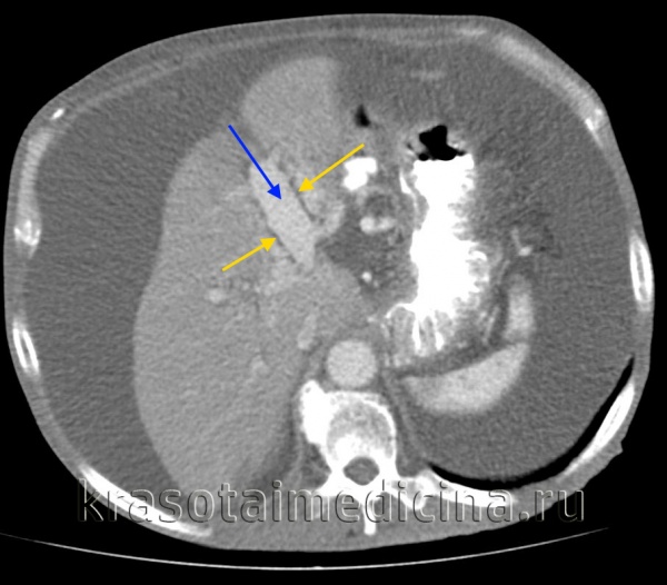
КТ ОБП. Этот же пациент, расширенный левый долевой ствол воротной вены (синяя стрелка) с периваскулярным отеком (желтая стрелка).
Симптомы портальной гипертензии
Наиболее ранними клиническими проявлениями портальной гипертензии служат диспепсические симптомы: метеоризм, неустойчивый стул, чувство переполнения желудка, тошнота, ухудшение аппетита, боли в эпигастрии, правом подреберье, подвздошных областях. Отмечается появление слабости и быстрой утомляемости, похудание, развитие желтухи.
Иногда первым признаком портальной гипертензии становится спленомегалия, выраженность которой зависит от уровня обструкции и величины давления в портальной системе. При этом размеры селезенки становятся меньше после желудочно-кишечных кровотечений и снижения давления в бассейне портальной вены. Спленомегалия может сочетаться с гиперспленизмом – синдромом, характеризующимся анемией, тромбоцитопенией, лейкопенией и развивающимся в результате повышенного разрушения и частичного депонирования в селезенке форменных элементов крови.
Асцит при портальной гипертензии отличается упорным течением и резистентностью к проводимой терапии. При этом отмечается увеличение объемов живота, отеки лодыжек, при осмотре живота видна сеть расширенных вен передней брюшной стенке в виде «головы медузы».
Осложнения
Характерными и опасными проявлениями портальной гипертензии являются кровотечения из варикозно измененных вен пищевода, желудка, прямой кишки. Желудочно-кишечные кровотечения развиваются внезапно, имеют обильный характер, склонны к рецидивам, быстро приводят к развитию постгеморрагической анемии. При кровотечении из пищевода и желудка появляется кровавая рвота, мелена; при геморроидальном кровотечении – выделение алой крови из прямой кишки. Кровотечения при портальной гипертензии могут провоцироваться ранениями слизистой, увеличением внутрибрюшного давления, снижением свертываемости крови и т. д.
Диагностика
Выявить портальную гипертензию позволяет тщательное изучение анамнеза и клинической картины, а также проведение совокупности инструментальных исследований. При осмотре больного обращают внимание на наличие признаков коллатерального кровообращения: расширения вен брюшной стенки, наличия извитых сосудов около пупка, асцита, геморроя, околопупочной грыжи и др.
- Лабораторный комплекс. Объем лабораторной диагностики при портальной гипертензии включает исследование клинического анализа крови и мочи, коагулограммы, биохимических показателей, АТ к вирусам гепатита, сывороточных иммуноглобулинов (IgA , IgM , IgG).
- Рентгенография. В комплексе рентгеновской диагностики используется кавография, портография, ангиография мезентериальных сосудов, спленопортография, целиакография. Данные исследования позволяют выявить уровень блокировки портального кровотока, оценить возможности наложения сосудистых анастомозов. Состояние печеночного кровотока может быть оценено в ходе статической сцинтиграфии печени.
- Сонография. УЗИ брюшной полости необходимо для выявления спленомегалии, гепатомегалии, асцита. С помощью допплерометрии сосудов печени производится оценка размеров воротной, селезеночной и верхней брыжеечной вен, расширение которых позволяет судить о наличии портальной гипертензии.
- Функциональные исследования. С целью регистрации давления в портальной системе прибегают к проведению чрескожной спленоманометрии. При портальной гипертензии давление в селезеночной вене может достигать 500 мм вод. ст., тогда как в норме оно составляет не более 120 мм вод. ст.
Обследование пациентов с портальной гипертензией предусматривает обязательное проведение эзофагоскопии, ФГДС, ректороманоскопии, позволяющих обнаружить варикозное расширение вен ЖКТ. Иногда вместо эндоскопии проводится рентгенография пищевода и желудка. К биопсии печени и диагностической лапароскопии прибегают в случае необходимости получения морфологических результатов, подтверждающих заболевание, приведшее к портальной гипертензии.

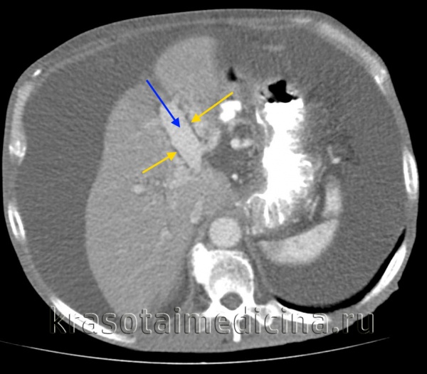
КТ ОБП. Этот же пациент, варикозно расширенные вены как проявление синдрома портальной гипертензии (коричневая стрелка).
Лечение портальной гипертензии
Терапевтические методы лечения портальной гипертензии могут быть применимы только на стадии функциональных изменений внутрипеченочной гемодинамики. В терапии портальной гипертензии используется:
- Фармакотерапия: нитраты (нитроглицерин, изосорбид), β-адреноблокаторы (атенолол, пропранолол), ингибиторы АПФ (эналаприл, фозиноприл), гликозаминогликаны (сулодексид) и др.
- Эндоскопические манипуляции. При остро развившихся кровотечениях из варикозно-расширенных вен пищевода или желудка прибегают к их эндоскопическому лигированию или склерозированию. При неэффективности консервативных вмешательств показано прошивание варикозно-измененных вен через слизистую оболочку.
- Оперативное лечение. Основными показаниями к хирургическому лечению портальной гипертензии служат желудочно-кишечные кровотечения, асцит, гиперспленизм. Операция заключается в наложении сосудистого портокавального анастомоза, позволяющего создать обходное соустье между воротной веной или ее притоками (верхней брыжеечной, селезеночной венами) и нижней полой веной или почечной веной. В зависимости от формы портальной гипертензии могут быть выполнены операции прямого портокавального шунтирования, мезентерикокавального шунтирования, селективного спленоренального шунтирования, трансъюгулярного внутрипечёночного портосистемного шунтирования, редукции селезеночного артериального кровотока, спленэктомия.
- Паллиативные вмешательства. Паллиативными мерами при декомпенсированной или осложненной портальной гипертензии, могут являться дренирование брюшной полости, лапароцентез.
Прогноз
Прогноз при портальной гипертензии, обусловлен характером и течением основного заболевания. При внутрипеченочной форме портальной гипертензии исход, в большинстве случаев, неблагоприятный: гибель пациентов наступает от массивного желудочно-кишечного кровотечения и печеночной недостаточности. Внепеченочная портальная гипертензия имеет более доброкачественное течение. Наложение сосудистых портокавальных анастомозов может продлить жизнь иногда на 10—15 лет.
Билиарный цирроз печени
Билиарный цирроз печени – это хроническое прогрессирующее заболевание, характеризующееся постепенным замещением печеночной ткани фиброзными рубцами. Патология длительное время никак не проявляется. На поздних стадиях характерны внешние малые печеночные знаки, портальная гипертензия, печеночная энцефалопатия. Предварительный диагноз цирроза устанавливается на основании УЗИ, КТ гепатобилиарной системы, ЭРХПГ, клинических и биохимических анализов. Окончательный диагноз ставится на основании биопсии печени и обнаружения антимитохондриальных антител. Нехирургическое лечение состоит из симптоматической терапии, дезинтоксикации, витаминотерапии и соблюдения диеты. На поздних стадиях показана пересадка печени.

Билиарный цирроз печени – тяжелейшая патология печени, при которой нормальная печеночная ткань замещается фиброзной. Чаще встречается у женщин после сорока лет, а общая распространенность составляет 40-50 случаев на 1 млн населения. Замечена тесная связь заболевания с наследственными факторами – среди родственников эта патология встречается в 570 раз чаще. На сегодняшний день патогенез первичного билиарного цирроза до конца не изучен, поэтому неизвестны и точные причины его возникновения.
Более чем в 95% случаев заболевания в крови определяются антимитохондриальные антитела. Однако ученые до сих пор не могут выяснить, почему поражаются только митохондрии печеночной ткани, а в других тканях этого не происходит. Коварство данного недуга в его скрытом начале – очень часто биохимические признаки болезни могут быть случайно выявлены при обследовании по поводу других заболеваний. Течение заболевания прогрессирующее, на поздних стадиях поражения печени показана ее пересадка.
Специалисты в сфере современной гастроэнтерологии и гепатологии связывают развитие первичного билиарного цирроза с аутоиммунными нарушениями в организме. Заболевание это имеет наследственную природу: случаи билиарного цирроза очень часты в семейном кругу. Об аутоиммунной природе болезни говорит и ее связь с другими заболеваниями этой группы: ревматоидным артритом, тубулярным почечным ацидозом, синдромом Шегрена, аутоиммунным тиреоидитом и другими.
Провоцируют начало процесса и другие заболевания: врожденные пороки развития и приобретенные деформации желчных путей, желчнокаменная болезнь, внутрипеченочные опухоли и увеличенные лимфоузлы в печени, кисты желчного протока, первичный склерозирующий или гнойный холангит. Также провоцировать начало болезни может грамотрицательная инфекция – энтеробактерии, которые имеют на своей поверхности схожие с митохондриальными антигены.
Вторичный билиарный цирроз развивается на фоне заболеваний, приводящих к застою желчи во внепеченочных желчных путях. К ним относятся атрезии, камни и стриктуры желчных протоков, рак внепеченочных желчных путей, киста холедоха и муковисцидоз.
Несмотря на обнаружение антител к митохондриям практически у всех больных первичной формой цирроза, установить связь этих антител с разрушением клеток печени так и не удалось. Известно, что начинается болезнь с асептического воспаления желчных путей, выраженной пролиферации эпителия и прогрессирующего фиброза в области протоков. Постепенно воспалительный процесс стихает, но фиброз продолжает распространяться на ткань печени, вызывая ее необратимое разрушение.
В крови при данном заболевании определяются не только антитела к митохондриям и гладкомышечным клеткам, но и другие иммунные расстройства: повышение уровня иммуноглобулина М, нарушение выработки В- и Т-лимфоцитов. Все это говорит в пользу аутоиммунного патогенеза первичного билиарного цирроза.
Правильная классификация первичного билиарного цирроза важна для выработки тактики дальнейшего лечения. Функция печени оценивается по шкале Чайлд-Пью. В этой шкале учитывается наличие асцита, энцефалопатии, цифры билирубина, альбумина и протромбиновый индекс (показатель свертывающей системы крови). В зависимости от суммы баллов, присвоенных за эти показатели, различают стадии компенсации цирроза:
- Класс А. Характеризуется минимальным количеством баллов, продолжительностью жизни до 20 лет, выживаемостью после полостных операций более 90%.
- Класс В. Продолжительность жизни меньше, а летальность после полостных операций более 30%.
- Класс С. Продолжительность жизни не более 3 лет, а смертность после полостных операций больше 80%.
Присвоение пациенту класса В или С говорит о необходимости пересадки печени. В России широко используется шкала METAVIR, при которой степень фиброзирования оценивается на основе данных биопсии, градация степени – от 0 до 4; 4 степень говорит о наличии цирроза.
Симптомы билиарного цирроза
На ранних стадиях симптоматика цирроза неспецифична и стерта. Так, в большинстве случаев жалобы начинаются с кожного зуда. Более половины больных предъявляют жалобы на периодический зуд кожи, а каждого десятого беспокоит нестерпимый зуд с расчесами на коже. Чаще зуд появляется за полгода, а то и несколько лет до появления желтухи, но иногда эти два симптома могут возникать одновременно. Также характерными признаками начинающегося цирроза являются повышенная утомляемость, сонливость, сухость глаз. Изредка первым признаком заболевания может быть тяжесть и боль в правом подреберье. При обследовании обнаруживается повышенный уровень гамма-глобулинов, нарушение соотношения АСТ к АЛТ, склонность к артериальной гипотензии.
По мере развития заболевания появляются другие признаки. Внешне цирроз проявляется группой малых печеночных признаков: сосудистыми звездочками на коже; покраснением лица, ладоней и стоп; увеличением слюнных желез; желтушностью кожи и всех слизистых; сгибательной контрактурой кистей рук. Изменяются и ногти пациента – становятся широкими и плоскими (деформация ногтей по типу "часовых стекол"), на них появляются поперечные белесоватые полосы; ногтевые фаланги утолщаются ("барабанные палочки"). Вокруг суставов и на лице, веках образуются белесоватые узелки – жировые отложения.
Кроме внешних проявлений, появляются симптомы портальной гипертензии: за счет повышения давления в воротной вене селезенка увеличивается в размерах, в венах органов брюшной полости возникает застой – формируется варикозное расширение геморроидальных и пищеводных вен, на передней брюшной стенке образуется расширенная венозная сеть по типу "головы медузы". Венозный застой приводит к пропотеванию жидкости в брюшную полость с формированием асцита, в тяжелых случаях – перитонита.
Чем более выражено поражение печени, тем выше вероятность возникновения осложнений билиарного цирроза. Из-за нарушения усвоения витамина Д примерно у трети больных возникает остеопороз, проявляющийся патологическими переломами. Нарушение всасывания жиров приводит к дефициту всех жирорастворимых витаминов (А, К, Д, Е), что проявляется признаками полигиповитаминоза. С калом выводятся излишки жиров – стеаторея. У пятой части больных появляется сопутствующий гипотиреоз, развиваются миелопатии и нейропатии.
Варикозное расширение вен пищевода и прямой кишки может привести к массивному кровотечению с развитием геморрагического шока. Поражение печени приводит к дисфункции других органов и систем: развиваются гепаторенальный, печеночно-легочной синдромы, гастро- и колопатия. Из-за того, что печень не выполняет функцию очистки организма от токсинов, они свободно циркулируют в крови и оказывают токсическое воздействие на головной мозг, вызывая печеночную энцефалопатию. Очень часто в финале билиарного цирроза может развиться гепатоцеллюлярная карцинома (злокачественная опухоль), полное бесплодие.
При наличии признаков застоя желчи оценивается клинический и биохимический профиль, для начальных стадий билиарного цирроза печени характерно повышение уровня щелочной фосфатазы и Г-ГТП, смещение соотношения АЛТ и АСТ, уровень билирубина повышается позже. Исследуется иммунный статус пациента: повышается уровень иммуноглобулина М, антител к митохондриям, также отмечается повышение уровня ревматоидного фактора, антител к гладкомышечным волокнам, тканям щитовидной железы, ядрам клеток (антинуклеарные антитела).
Признаки фиброзирования печени могут выявляться на УЗИ печени и КТ гепатобилиарной системы, однако окончательный диагноз можно поставить только после проведения биопсии печени. Даже при исследовании биоптата характерные для билиарного цирроза изменения в печени можно обнаружить только на ранних стадиях заболевания, потом морфологическая картина становится одинаковой для всех видов цирроза.
Выявление или исключение заболеваний, приводящих к развитию вторичного билиарного цирроза, возможно путем проведения дополнительных исследований: УЗИ органов брюшной полости, МР-панкреатохолангиографии, ЭРХПГ.
Лечение билиарного цирроза печени
В лечении этого заболевания принимают активное участие врач-гепатолог, терапевт, гастроэнтеролог и хирург. Задачами терапии при циррозе является остановка прогрессирования цирроза и устранение явлений печеночной недостаточности. Замедлить процессы фиброза можно с помощью иммуносупрессивных препаратов (угнетают аутоиммунный процесс), желчегонных средств (устраняют холестаз).
Симптоматическая терапия заключается в предупреждении и лечении осложнений цирроза: печеночная энцефалопатия устраняется с помощью диетотерапии (уменьшение доли белка, увеличение растительного компонента пищи), дезинтоксикационной терапии, уменьшение портальной гипертензии достигается с помощью диуретиков. Обязательно назначаются поливитаминные препараты, для улучшения пищеварения назначаются ферменты. При циррозе класса А и В рекомендуется ограничение физических и эмоциональных нагрузок, а при классе С - полный постельный режим.
Наиболее действенным методом лечения билиарного цирроза является трансплантация печени. После пересадки более 80% пациентов выживают в последующие пять лет. Рецидив первичного билиарного цирроза возникает у 15% пациентов, однако у большей части больных результаты хирургического лечения превосходны.
Прогноз и профилактика
Предупредить появление билиарного цирроза практически невозможно, но значительно снизить его вероятность может отказ от алкоголя и курения, регулярное обследование у гастроэнтеролога при наличии случаев заболевания в семье, полноценное питание и здоровый образ жизни.
Прогноз патологии неблагоприятный. Появление первых симптомов возможно лишь через десять лет от начала болезни, однако продолжительность жизни при начавшемся циррозе не более 20 лет. Прогностически неблагоприятным является быстрое прогрессирование симптомов и морфологической картины, пожилой возраст, ассоциированные с циррозом аутоиммунные заболевания. Наиболее неблагоприятным в плане прогноза является исчезновение зуда, уменьшение ксантоматозных бляшек, снижение уровня холестерина в крови.
Первичный билиарный цирроз печени
Первичный билиарный цирроз печени – хронический прогрессирующий деструктивно-воспалительный процесс аутоиммунного генеза, поражающий внутрипеченочные желчные протоки и приводящий к развитию холестаза и цирроза. Первичный билиарный цирроз печени проявляется слабостью, кожным зудом, болью в правом подреберье, гепатомегалией, ксантелазмами, желтухой. Диагностика включает исследование уровня печеночных ферментов, холестерина, антимитохондриальных антител (АМА), IgM, IgG, морфологическое исследование биоптата печени. Лечение первичного билиарного цирроза печени требует проведения иммуносупрессивной, противовоспалительной, антифибротической терапии, приема желчных кислот.
Первичный билиарный цирроз печени развивается преимущественно у женщин (соотношение заболевших женщин и мужчин 10:6), средний возраст пациентов составляет 40-60 лет. В отличие от вторичного билиарного цирроза печени, при котором имеет место обструкция внепеченочных желчных протоков, первичный билиарный цирроз протекает с постепенным разрушением внутрипеченочных междольковых и септальных желчных протоков. Это сопровождается нарушением желчевыделения и задержкой токсических продуктов в печени, приводя к прогрессирующему снижению функциональных резервов органа, фиброзу, циррозу и печеночной недостаточности.
Причины первичного билиарного цирроза печени
Этиология первичного билиарного цирроза печени неясна. Заболевание часто носит семейный характер. Отмеченная связь между развитием первичного билиарного цирроза печени и антигенами гистосовместимости (DR2DR3, DR4, В8), характерными для патологии аутоиммунного характера. Данные факторы указывают на иммуногенетическую составляющую заболевания, обусловливающую наследственную предрасположенность.
Первичный билиарный цирроз печени протекает с системным поражением эндокринных и экзокринных желез, почек, сосудов и довольно часто сочетается с сахарным диабетом, гломерулонефритом, васкулитом, синдромом Шегрена, склеродермией, тиреоидитом Хашимото, ревматоидным артритом, системной красной волчанкой, дерматомиозитом, целиакией, миастенией, саркоидозом. Поэтому первичный билиарный цирроз печени находится в фокусе внимания не только гастроэнтерологии, но и ревматологии.
В развитии первичного билиарного цирроза печени не исключается пусковая роль бактериальных агентов и гормональных факторов, инициирующих иммунные реакции.
Стадии первичного билиарного цирроза печени
В соответствии с происходящими гистологическими изменениями выделяют 4 стадии первичного билиарного цирроза печени: дуктальную (стадию хронического негнойного деструктивного холангита), дуктуллярную (стадию пролиферации внутрипеченочных протоков и перидуктального фиброза), стадию фиброза стромы и стадию цирроза.
Дуктальная стадия перевичного билиарного цирроза печени протекает с явлениями воспаления и деструкции междольковых и септальных желчных протоков. Микроскопическая картина характеризуется расширением портальных трактов, их инфильтрацией лимфоцитами, макрофагами, эозинофилами. Поражение ограничено портальными трактами и не распространяется на паренхиму; признаки холестаза отсутствуют.
В дуктуллярной стадии, соответствующей пролиферации холангиол и перидуктальному фиброзу, отмечается распространение лимфоплазмоцитарной инфильтрации в окружающую паренхиму, снижение числа функционирующих внутрипеченочных протоков.
В стадии фиброза стромы на фоне воспаления и инфильтрации печеночной паренхимы отмечается появление соединительнотканных тяжей, соединяющих портальные тракты, прогрессирующая редукция желчных протоков, усиление холестаза. Происходит некроз гепатоцитов, нарастают явления фиброза в портальных трактах.
В четвертой стадии развивается развернутая морфологическая картина цирроза печени.
Симптомы первичного билиарного цирроза печени
Течение первичного билиарного цирроза печени может быть бессимптомным, медленным и быстропрогрессирующим. При бессимптомном течении заболевание обнаруживается на основании изменений лабораторных показателей – повышения активности щелочной фосфатазы, увеличения уровня холестерина, выявления АМА.
Наиболее типичным клиническим проявлением первичного билиарного цирроза печени служит кожный зуд, который предшествует появлению желтушного окрашивания склер и кожи. Кожный зуд может беспокоить в течение нескольких месяцев или лет, поэтому часто пациенты все это время безуспешно лечатся у дерматолога. Беспокоящий зуд приводит к множественным расчесам кожи спины, рук и ног. Желтуха обычно развивается спустя 6 месяцев-1,5 года после начала кожного зуда. У пациентов с первичным билиарным циррозом отмечаются боли в правом подреберье, гепатомегалия (селезенка чаще всего не увеличена).
Гиперхолестеринемия довольно рано приводит к появлению на коже ксантом и ксантелазм. К кожным проявлениям первичного билиарного цирроза печени также относят сосудистые звездочки, «печеночные» ладони, пальмарную эритему. Иногда развиваются кератоконъюнктивит, артралгии, миалгии, парестезии конечностей, периферическая полиневропатия, изменение формы пальцев по типу «барабанных палочек».
В развернутой стадии первичного билиарного цирроза печени появляется субфебрилитет, нарастает желтуха, ухудшение самочувствия, истощение. Прогрессирующий холестаз вызывает диспепсические расстройства – диарею, стеаторею. Осложнениями первичного билиарного цирроза печени могут служить желчнокаменная болезнь, язвы 12-перстной кишки, холангиокарциномы.
В поздней стадии развивается остеопороз, остеомаляция, патологические переломы, геморрагический синдром, варикозное расширение вен пищевода. Гибель пациентов наступает от печеночноклеточной недостаточности, которая может провоцироваться портальной гипертензией, желудочно-кишечными кровотечениями, асицтом.
Диагностика первичного билиарного цирроза печени
Ранними диагностическими критериями первичного билиарного цирроза печени служат изменения биохимических показателей крови. При исследовании печеночных проб отмечается повышение активности щелочной фосфатазы, уровня билирубина, аминотрансфераз, рост концентрации желчных кислот. Характерно увеличение содержания меди и снижение уровня железа в сыворотке крови. Уже на ранних стадиях определяется гиперлипидемия – увеличение уровня холестерина, фосфолипидов, b-липопротеидов. Определяющее значение имеет выявление титра антимитохондриальных антител выше 1:40, повышение уровня IgM и IgG.
По данным УЗИ печени и МРТ печени внепеченочные желчные протоки не изменены. Для подтверждения первичного билиарного цирроза показано проведение биопсии печени с морфологическим исследованием биоптата.
Первичный билиарный цирроз печени дифференцируют от заболеваний, протекающих с обструкцией гепетобилиарного тракта и холестазом: стриктурами, опухолями печени, конкрементами, склерозирующим холангитом, аутоиммунным гепатитом, карциномой внутрипеченочных протоков, хроническим вирусным гепатитом С и др. В ряде случаев с целью дифференциальной диагностики прибегают к проведению ультрасонографии желчных путей, гепатобилисцинтиграфии, чрескожной чреспеченочной холангиографии, ретроградной холангиографии.
Лечение первичного билиарного цирроза печени
Терапия первичного билиарного цирроза печени включает назначение иммуносупрессивных, противовоспалительных, антифибротических препаратов, желчных кислот. Диета при первичном билиарном циррозе печени требует достаточного употребления белка, поддержания необходимой калорийности пищи, ограничения жиров.
К препаратам патогенетической терапии относятся глюкокортикостероиды (будесонид), цитостатики (метотрексат), колхицин, циклоспорин А, урсодезоксихолевая кислота. Длительный и комплексный прием препаратов позволяет улучшить биохимические показатели крови, замедлить прогрессирование морфологических изменений, развитие портальной гипертензии и цирроза.
Симптоматическая терапия первичного билиарного цирроза печени включает мероприятия, направленные на уменьшение кожного зуда (УФО, седативные препараты), потери костной массы (прим витамина D, препаратов кальция) и др. При рефрактерных к основной терапии формах первичного билиарного цирроза показана как можно более ранняя трансплантация печени.
Прогноз первичного билиарного цирроза печени
При бессимптомном течении первичного билиарного цирроза печени продолжительность жизни составляет 15-20 и более лет. Прогноз у пациентов с клиническими проявлениями значительно хуже – гибель от печеночной недостаточности наступает примерно в течение 7-8 лет. Значительно отягощает течение первичного билиарного цирроза печени развитие асцита, варикозного расширения вен пищевода, остеомаляции, геморрагического синдрома.
После трансплантации печени вероятность рецидива первичного билиарного цирроза достигает 15-30%.
Читайте также:
- Соматоформное расстройство - эпидемиология, причины, классификация
- Влияние тромболизиса на летальность. Анализ эффективности тромболизиса при инфаркте миокарда
- Позные и локомоторные рефлексы спинного мозга. Шагательные движения
- Извращенный аппетит (пикацизм) и его причины
- Пиридостигмин как антидот - противоядие нервно-паралитических газов, миорелаксантов
